Травмирование мягких тканей при подготовке зубов. Подготовка опорных зубов к протезированию
Добавил пользователь Владимир З. Обновлено: 01.01.2026
Любое эффективное протезирование зубов начинается с консультации врача стоматолога-ортопеда, при проведении которой он определяет объем и вид подготовки полости рта к протезированию.
Обычно врач-ортопед-стоматолог перед протезированием рекомендует сделать обзорный снимок всех зубов, такой снимок называется - ортопантомограмма (ОПТГ). Чтобы в целом оценить состояние зубов, костной ткани, выявить те проблемы, которые могут пациента и не беспокоить, но всё же являются серьезными и требуют решения.
Подготовка к протезированию зубов делится на следующие виды: терапевтическая, хирургическая. ортодонтическая, ортопедическая.
При терапевтической подготовке к протезированию проводится полная терапевтическая санация (лечение) зубов и зубных рядов:
- профессиональная гигиена удаление наддесневых и поддесневых зубных камней, с последующей полировкой зубов и нанесением фторсодержащих препаратов;
- при необходимости депульпирование подлежащих протезированию зубов (удаление нерва из корневого канала с последующей его пломбировкой).
- удаление не подлежащих лечению и протезированию зубов (гранулирующие и гранулематозные периодонтиты, кисты на верхушках корней зубов, чрезмерная подвижность зубов и др.);
- удаление экзостозов и остеофитов (выступающие и шипообразные выросты костной ткани), мешающие установке зубных протезов;
- установка имплантатов, как для несъемных протезов, так и для дополнительной опоры при съемном протезировании;
- устранение сложной зубочелюстной патологии - остеопластика (добавление искусственной ткани, замещающей недостающую костную ткань, удаление излишней костной ткани и др.);
- синуслифтинг (поднятие дна верхнечелюстной пазухи для создания места при установлении имплантатов).
При ортодонтической подготовке к протезированию зубов проводится выравнивание зубов и зубных рядов при помощи - пластинок, брекет-систем и др.:
При ортопедической подготовке к протезированию зубов особое внимание обращается на вторичные деформации зубов после удаления соседних или антагонирующих (на противоположной челюсти) зубов.
- изготовление специальных накусочных пластинок или капп для перемещения выдвинувшихся зубов с противоположной челюсти в сторону дефекта зубного ряда, где отсутствуют зубы. Проводится для создания места при протезировании зубов противоположной челюсти.
- изготовление специальных разгружающих и расслабляющих жевательные мышцы капп. Проводится при гипертонусе (чрезмерном напряжении) жевательных мышц, для исключения разрушения зубных протезов в дальнейшем после протезирования зубов. Также такие каппы изготавливаются в комплексном лечении при функциональной патологии зубочелюстной системы и височно-нижнечелюстного сустава.
Таким образом, подготовка полости рта к протезированию, является основополагающим комплексом мероприятий для дальнейшего рационального в функциональном и эстетическом отношении протезирования зубов.
Подготовка к протезированию зубов
Успех протезирования зависит от тщательной подготовки. Она состоит из разных этапов и, в зависимости от клинического случая, может проводиться за день, неделю или больше.
Правильная подготовка зубов к протезированию помогает врачу правильно спланировать лечение, избежать осложнений, обеспечить максимальную эстетику и функциональность ортопедической конструкции. Ниже подробно описан каждый этап подготовки к установке протеза.
- Основные этапы подготовки
- Подготовка зуба к протезированию коронкой
- Подготовка к съемному протезированию
- Подготовка к протезированию несъемными зубными мостами
- Подготовка к протезированию на имплантах
- Как выбрать стоматологию для протезирования
Основные этапы подготовки
Перед протезированием зубов пациент должен тщательно подготовиться, пройдя несколько этапов:
- консультативный;
- диагностический;
- терапевтический;
- хирургический;
- ортодонтический.

Осмотр и консультация
Все начинается с осмотра пациента в клинике. Он приходит на бесплатный осмотр и консультацию, знакомится с врачом. Сперва стоматологу необходимо установить доверительный контакт с пациентом.
Во время консультации стоматолог интересуется жалобами, проблемами со здоровьем, наличием противопоказаний к процедуре, собирает анамнез. Затем проводит осмотр, чтобы определить сложность клинической ситуации и расписывает план лечения.

Страх перед посещением стоматолога - вещь естественная. Однако беспокоиться не стоит. Если вы боитесь осуждения врача за плохое состояние полости рта - это напрасно. Подумайте о том, с каким количеством случаев он сталкивался до вас.
Еще один самый частый и сильный страх - боязнь сильной боли. Однако современная стоматология может лечить зубы абсолютно безболезненно. Для этого есть минимум 3 типа анестезии. Более того, современное клиническое оборудование с системой охлаждения значительно уменьшает болевые ощущения.
Диагностическая подготовка
Проводится с целью выявить состояние костной ткани и зубных корней, исключить противопоказания. Если вы лечите один зуб, будет достаточно прицельного снимка (рентген). Если врачу необходимо увидеть картину целиком, нужен обзорный снимок (ортопантомограмма). Перед имплантацией вас направят на компьютерную томографию.
Если перед установкой импланта показана костная пластика, необходимо сдать биохимический анализ крови. Это позволит узнать, есть ли у пациента диабет, проблемы со свертываемостью крови и прочие факторы, препятствующие операции.

Терапевтическая подготовка
Этап рассчитан на нормализацию состояния полости рта (санация). В подготовку входят:
Профессиональная чистка. Стоматолог удаляет зубной налет, зубной камень, отложения в десневых карманах. На этом этапе пациента консультируют по вопросам гигиены рта.
Лечение тканей пародонта. Если у пациента проблемы с деснами (гингивит, пародонтит), необходимо перед протезированием снять воспаление. На ранних стадиях заболевания врач обрабатывает зубодесневые карманы при помощи кюретажа - удаляет воспаленную ткань вокруг корня зуба. Чтобы купировать воспаление, назначаются медикаментозное лечение. Если зубная единица подвижна, ортопед укрепляет ее шинами.
Лечение кариеса и его осложнений (пульпита и периодонтита). Подразумевает удаление кариозных поражений, их возможных осложнений (например, перед имплантацией обязательно требуется сначала вылечить все кариозные зубы).
При пульпите и периодонтите проводится депульпирование зуба (удаление нерва), санация и пломбирование корневых каналов. Удаление нерва снижает риск:
- ожога пульпы и травмирования тканей на этапе препарирования;
- развития воспалительных процессов под протезом.
Препарирование. После подготовки корневых каналов и культи зуба врач препарирует твердые ткани зуба под коронку, мостовидный протез или виниры (люминиры). Процедура способствует повышению эстетики и надежному контакту протеза с зубами. Более того, исключает попадание пищи и бактерий под конструкцию, и как следствие, развитие воспалений.
Снятие зубных слепков. Будущий протез создают с учетом особенностей челюстной системы пациента.
Раньше слепки создавали из слепочной массы, которую пациенты держали во рту. Это вызывало дискомфорт и провоцировало рвотный рефлекс. В клинике Самсон-Дента слепки снимают путем сканирования полости рта и передачи данных в компьютер. Компьютерная программа воссоздает 3D-модель челюсти и распечатывает прототип оттиска на 3D-принтере.
Установка временных конструкций. Иногда при подготовке к несъемному протезированию может потребоваться временный протез. Врач устанавливает его, чтобы снизить дискомфорт, пока вы ходите без зубов.
Сточенную эмаль временный (адаптационный) протез защищает от бактериального воздействия, перепадов температур, попадания пищи до установки постоянного.
Адаптационную конструкцию устанавливают также при имплантации. Пациент носит ее до полного приживления импланта в челюстной кости. Потом переходят к постоянному протезированию.
Хирургическая подготовка
В сложных клинических случаях перед установкой коронок требуется более серьезная подготовка, которая включает некоторые хирургические операции:
- Удаление разросшихся тканей десны, поврежденных единиц, которые невозможно восстановить.
- Устранение корней моляров (в случае кисты, периодонтита, гранулемы), экзостозов (шиповидных выростов костной ткани).
- Удаление ретинированных, дистопированных зубов. Перед протезированием их удаляют, так как они негативно влияют на структуру зубного ряда: сдвигают его, провоцируют развитие воспалений, сокращают срок службы протезной конструкции.
Синус-лифтинг проводят при сильной атрофии челюстной ткани. Обычно процедуру проводят на верхней челюсти при продолжительном отсутствии одной или нескольких жевательных зубов.
Имплантация зубов. Установка импланта возможна по двухэтапному и одноэтапному протоколу. Во втором случае врач удаляет зубную единицу и сразу устанавливает имплант.

Ортодонтическая подготовка
Включает устранение вторичных деформаций, возникающих вследствие зубных дефектов. Процедуры этапа показаны пациентам с аномалиями прикуса и положения единиц, делающими невозможным зубное протезирование. В подготовку входит:
- Выравнивание зубного ряда (формы, наклона).
- Вытягивание ретинированных единиц - создание опоры для протезной конструкции.
- Создание пространства в полости рта для установки ортопедической конструкции.
В зависимости от клинической ситуации, для устранения дефектов ортодонт подбирает брекет-системы, каппы, трейнеры, виниры и т.д. Срок ношения ортодонтических изделий обусловлен индивидуальными особенностями пациента (максимум до двух лет).
Подготовка зуба к протезированию коронкой
Подготовка к установке коронки после консультации со стоматологом и обследования включает следующие этапы:
- Лечение зуба. На этом этапе проводится лечение кариеса, пульпита, периодонтита. Врач рассверливает зубную единицу, удаляет пораженные ткани, если необходимо, проводит депульпацию, обрабатывает и пломбирует зубные каналы.
- Подготовка коронковой части. Культя зуба восстанавливается пломбой, штифтом, культевой вкладкой. Если проводилось лечение корневых каналов, то пломбу ставят через несколько дней.
- Обточка и снятие оттисков. Зубная единица обтачивается, снимаются слепки с обеих челюстей для правильного соприкосновения единиц после крепления коронки.
- Установка коронки. Обычно ее устанавливают через неделю после снятия оттисков.

Подготовка к съемному протезированию
Этапы подготовки к установке съемного протеза после санации рта:
- Создание оттисков. По ним создается протезная конструкция с учетом особенностей челюстной системы пациента.
- Определение центрального соотношения - для нормальной функции жевания, речи.
- Выбор цвета искусственных единиц. Подбирается оттенок конструкции, схожий с цветом эмали пациента.
- Изготовление протеза - сроки индивидуальны.
- Примерка. Конструкцию не устанавливают, пока пациента полностью не устроит ее качество.
Подготовка к протезированию несъемными мостовидными протезами
Установка моста на опорных единицах зависит от их состояния. Если зубы живые, необходимо:
- депульпировать (удалить нерв);
- запломбировать каналы;
- сточить эмаль;
- снять слепок;
- установить коронку.
Если зуб мертв, но не разрушен (пломба надежно держится):
- снять пломбу;
- установить новую пломбу;
- снять слепок;
- установить мост.
При сильно разрушенной единице нужно:
- убрать старые пломбы, весь пломбировочный материал в зубных каналах;
- провести санацию корневых каналов (лечение кариеса и прочих заболеваний);
- проверить глубину каналов, перепломбировать их.
Пломба ставиться, если врач уверен, что ее достаточно для надежности зубной единицы. В противном случае ставиться пломба со штифтом или культевая вкладка по индивидуальному слепку.

Подготовка к протезированию на имплантах
Перед имплантацией зубов операцией пациенту необходимы:
3D-моделирование. Все данные переносятся в программу. Врач разрабатывает детальный макет челюстной системы, определяет количество имплантов и места вживления. Подбирает материал будущего протеза.

Панорамный снимок, КТ. Позволяют увидеть состояние челюстной системы, костной ткани, нервов, носовых пазух. На основании этого врач расписывает план лечения.
Фотометрия и кондилография (при частичной или полной адентии). У пациента берут фотопараметры с открытым, закрытым ртом, с улыбкой, без нее. Это необходимо для создания индивидуального протеза. Кондилография предоставляет данные о работе височно-челюстного сустава.
Анализы крови, мочи (не всегда). Необходимы для оценки вашего состояния здоровья, свертываемости крови, а также для выявления острых инфекций.
Санация полости рта. Перед установкой имплантов ротовая полость должна быть стерильной: лечится кариес, периодонтит. Купируется воспалительный очаг. Если зубы здоровы, обязательно проводится профгигиена рта.
Костная пластика (не всегда). Операция подразумевает наращивание кости в месте вживления зубных имплантатов для их полноценной работы. Проводится, если у пациента вследствие длительного отсутствия единиц сильно атрофировалась костная ткань.
Снятие слепков для временного протеза. После вживления имплантов устанавливают временную ортопедическую конструкцию. Она обеспечивает жевательную и защитную функции, сохраняет полноту зубного ряда, эстетику улыбки вплоть до установки постоянного протеза.
Как выбрать стоматологию для протезирования
Успешность протезирования зависит также от стоматологии. Выбор клиники - это самый первый этап перед протезированием, так как на результат лечения влияет квалифицированность ее врачей. Для выбора хорошей стоматологии рекомендуем:
- Побывать в нескольких клиниках. Многие консультируют бесплатно. Это неплохой способ узнать несколько независимых мнений врачей.
- Убедиться, что у стоматологии есть лицензии, сертификаты качества, а также разрешения на оказание дентальных услуг.
- Удостовериться, что стоматолог-ортопед клиники компетентен в оказываемых услугах. Информацию о квалификации врачей можно посмотреть на сайте клиники, в портфолио специалиста.
- Выбрать клинику, в которых есть все нужные специалисты (хирург, пародонтолог, ортодонт, имплантолог, стоматолог-терапевт). Важно, чтобы врачебная команда была в одном месте, взаимодействовала между собой.
- Заключить договор по оказанию лечения. В нем необходимо обозначить условия сделки, гарантии, цены, список услуг.
- Ознакомиться с оборудованием в клинике. Чтобы результат операции был положительным, нужна диагностическая цифровая техника, томографы, компьютеры с программами трехмерного моделирования.
В клинике «Самсон-Дента» работают врачи с большим опытом в зубном протезировании. Мы гарантируем нашим пациентам достойный результат операции по низким ценам, а также высокое качество сервиса, лечение современным оборудованием.
Перебазировка съемного протеза
А вы знаете, что делать, если съемный протез начал расшатываться? Многие пациенты пренебрегают регулярной перебазировкой. Вместо этого, они пытаются зафиксировать искусственную челюсть на большее количество клея или засунуть протез подальше в рот. В этой статье расскажем, почему это было бы ошибкой. Мы собрали самую важную информацию о перебазировании зубных протезов (обязательной и плановой).
При адентии альвеолярный отросток опускается из-за отсутствия стимуляции от зубов. Нарушается плотность посадки, возникают проблемы с жеванием. Немедленно обратитесь к стоматологу, если съемная челюсть расшаталась.
Что это такое?
Перебазирование съемного зубного протеза - это стоматологическая технология восстановления поверхности, которая соприкасается с деснами, чтобы он фиксировался плотно. Заключается в добавлении нового полимерного материала на установочную поверхность для заполнения пространства между контуром каркаса и измененным альвеолярным гребнем.
Врач работает только с базисом, не затрагивает остальные части конструкции. Перебазировка предотвращает избыточное давление протеза на мягкие ткани десны. Результат процедуры - стабилизация съемной челюсти, восстановление прикуса, пропадает дискомфорт во время еды.
Мы предупреждаем всех пациентов со съемными протезами, что периодически необходимо оценивать и исправлять прилегание базиса к десневому гребню. Это рутинная процедура, ее нужно делать регулярно раз в 6 месяцев на контрольном осмотре. Если регулярно не перебазировать, вы рискуете получить повреждение или раздражение слизистой. Обслуживание ортопедической конструкции продлит срок службы, исключит поломки, способствует правильному распределению жевательной нагрузки на челюсть
Показания для коррекции
Как понять, что нужно перебазировать челюсть? Обратиться к врачу нужно, если базис плохо фиксируется к подлежащим тканям десны. А также при нарушении эстетики, центрального отношения между челюстями и тем более при дискомфорте.
Индикатор необходимости процедуры:
- постоянный дискомфорт - челюсть выпадает или смещается, давит, натирает десны;
- деформировались фиксирующие элементы - замки или кламмеры не удерживают частичный протез на опорных зубах;
- заметны эстетические дефекты поверхности - трещины или пористость (но базис еще не сломан);
- нарушено строение или количество зубов - увеличились межзубные промежутки;
- продолжается атрофия кости - десневой гребень уменьшается из-за чего базису не хватает «упора».
Процедура показана для всех видов съемных протезов, а также для условно-съемных с опорой на импланты. Коррекцию лучше делать раз в 6 месяцев даже если нет дискомфорта.
Только несъемные протезы на имплантах не нуждаются в корректировке, потому что они стабилизируют костную ткань, равномерно распределяют жевательную нагрузку.
Противопоказания
Протез можно подгонять только в здоровой полости рта, поэтому перебазировку не проводят при:
- не устраненной боли или воспалении;
- сломанных или изношенных зубах;
- заболевании слизистой десны;
- аллергии на полимеры и пластмассу.
Когда перебазировка не поможет, а нужен новый протез?
Перебазирование не подходит для стабилизации, если базис сильно поврежден или сломан, а также выпадают коронки. При нарушении целостности требуется полная замена искусственной челюсти.
Как делают перебазировку протеза?

Повторную перенастройку зубов можно классифицировать по функциональному признаку:
- Мягкая перебазировка (клинический метод).
Показана пациентам с тонким биотипом десны или повышенной чувствительностью мягких тканей. Для коррекции используют мягкий эластичный материал - силикон или акриловая смола. Они работают, как «амортизатор», поглощают окклюзионную нагрузку. Как правило, мягкое перебазирование назначают тем, кто недавно начал носить протез. Часто проводят клиническим способом за 1 день, когда нужна небольшая корректировка или частичная перенастройка базиса.

Недостаток процедуры - мягкий материал менее прочный, потребуется частая замена (от 30 дней до 2 лет в зависимости от долгосрочности состава).
Разновидность перенастройки базиса с использованием неэластичных материалов из твердых смол. Например, полиметилметакрилат - из него делают основную поверхность челюсти.

Суть процедуры - с базиса снимают тонкий слой, наносят на него оттискной материал. Каркас вводят в рот, как будто делают слепок, чтобы масса приняла точную форму десны. Затем его отправляют в лабораторию для нанесения нового акрила.
Процедура дороже мягкой корректировки, но протез будет служить дольше, точнее посадка.
Показана при воспалении десен от протеза. Во время временной перебазировки врач наносит на базис материал с медикаментами (может содержать обезболивающее или антибиотик). Пациент может носить челюсть пока не будет изготовлена новая или до того, как сделают жесткую перенастройку базиса.
Цены перебазировки зубов
Стоимость перебазировки зубного протеза зависит от метода стабилизации, выбранного материала, а также сложности работы. Помните - стоимость перебазирования, как «оплата обслуживания», ее нужно включать в бюджет при планировании съемного протезирования.
| Перебазировка съемного протеза | 6 500 ₽ |
| Оттиск C-силикон (1 челюсть) | 1 500 ₽ |
| Оттиск A-силикон (1 челюсть) | 2 400 ₽ |
Материалы для перебазирования съемных протезов
Показан для лечения при недостаточной фиксации базиса к десне, наличии подвижного гребня, воспалении слизистой.
Как правило, используют силикон, потому что он совместим с традиционными материалами базиса. Силикон не выделяет вредные вещества, имитирует поверхность десны и не меняет цвет. Он эластичный и упругий, поэтому жевательная нагрузка амортизируется по поверхности десны. При воспалении или ране рекомендуют мягкие материалы, потому что они без пор, имеют гидрофильную поверхность, которая защищает ткани от инфекции.
Показан для выравнивания неровностей между базисом и слизистой протезного ложа. Используют материал аналогичный базису, чтобы не вызывал аллергию, имел нейтральные вкусовые свойства.
Сравнение жесткой и мягкой перебазировки исходя из свойств материалов:
| Тип перебазировки | Мягкая прокладка | Жесткая перебазировка |
|---|---|---|
| Какие протезы можно перебазировать? | полные, частичные постоянные конструкции, иммедиат-бабочка | не подходит для конструкций типа «бабочка» и временных протезов |
| Применение с лечебными целями | при воспалении десны, подвижности альвеолярного отростка, после установки имплантов | после операций или для заживления воспалений, ран |
| Срок службы | от 30 дней до 2 лет | Длительный эффект |
| Результат коррекции | улучшение фиксации при атрофии, повышение комфорта при ношении, удлинение краев базиса, устранение протезного стоматита | такие же, как у мягких материалов, но также подходит для расширения каркаса и послойной припасовки |
Вопросы и ответы
Нельзя пробовать регулировать или ремонтировать ортопедическую конструкцию в домашних условиях. Даже при наличии набора для починки есть риск безвозвратно повредить конструкцию. Клей или пластмасса, которую продают без рецепта, часто содержат вредные химические вещества. Если искусственная челюсть сломалась или расшаталась, запишитесь на прием к стоматологу. Как правило, ремонт или корректировку проводят за 1 день.
Мягкая корректировка может прослужить до 2 лет, а жесткая до 10 лет. Как правило, более длительное использование не возможно, потребуется замена съемного протеза.
Клинический способ занимает около 30 минут. Для лабораторного метода требуется 1-3 дня.
Важно соблюдать требования по уходу и хранению. А также регулярно посещать стоматолога раз в 6 месяцев для проверки прилегания, а также степени атрофии челюстной кости.
Нет - процедура не включается в гарантию, потому что является индивидуальной необходимостью.
Подготовка полости рта к протезированию - Статья
Залогом успешного протезирования и долгосрочных результатов является тщательная подготовка полости рта. Поэтому, если Вы решили протезироваться, наберитесь терпения: подготовка полости рта требует времени и средств. С чего же все начинается?
Все начинается с консультации стоматолога-ортопеда. Прежде всего, ортопед устанавливает, есть ли поражение жевательного аппарата и его степень. После полного обследования и постановки диагноза составляется план ортопедического лечения.
Примерный план ортопедического лечения:
- оздоровительные мероприятия в полости рта - стоматологическая санация;
- разработка конструкции протеза и вида протезирования;
- специальная подготовка полости рта к протезированию;
- комплекс лечебных ортопедических мероприятий;
- установка протеза и рекомендации.
Обычно врач-ортопед-стоматолог перед протезированием рекомендует сделать обзорный снимок всех зубов, такой снимок называется - ортопантомограмма (ОПТГ). Чтобы в целом оценить состояние зубов, костной ткани, выявить те проблемы, которые могут пациента и не беспокоить, но всё же являются серьезными и требуют решения. Затем после тщательного обследования составляется индивидуальный план подготовки к протезированию.
Первый этап - удаление корней и подвижных зубов, не подлежащих сохранению. Это лучше делать в первую очередь, чтобы к началу протезирования все хорошо зажило, и десна имела устоявшийся рельеф. О корнях подробнее: если это сильно разрушенный вследствие кариеса корень, подвижный да ещё с обширным воспалительным процессом в околокорневой костной ткани, то сомнений быть не может - удалять, поскольку такой корень является проводником инфекции вглубь организма и может дать серьезные осложнения. А если корень устойчив и не имеет воспаления, то он используется в протезировании, как опора для коронок, мостов и съемных протезов.
Стоматолог-хирург, кроме того, осуществляет другие важные этапы в хирургической подготовке к протезированию: удаление экзостозов и остеофитов (выступающие и шилообразные выросты костной ткани), мешающие установке зубных протезов, удаление излишних мягких тканей (десны, гипертрофированной слизистой оболочки других областей полости рта), пластика уздечек (верхней губы, нижней губы, языка) и другие манипуляции строго по показаниям.
Обязательный этап в подготовке к протезированию - посещение врача-пародонтолога и гигиениста. Профессиональная гигиена полости рта включает в себя снятие зубных отложений и пигментированного налета с помощью современных гигиенических систем - ультразвукового скейлера, воздушно-порошковой системы очистки Air-flow. Такая чистка позволяет удалить все зубные отложения, налет, возвратить зубам природный цвет, а деснам естественную бледно-розовую окраску и форму, а также устранить неприятный запах изо рта. Если же проблема не ограничивается только наличием зубных отложений и пигментированного налета, а имеется заболевание десен (пародонта) - тогда требуется специальное, пародонтологическое лечение врача - пародонтолога.
У 90 % людей старше 30 лет выявляются те или иные проблемы с деснами, требующие лечения. Среди пациентов бытует мнение, что основная причина потери зубов - это кариес. Это не так, или не совсем так: три зуба из пяти мы теряем из-за заболеваний десен. Ведь кариес разрушает в основном коронковую часть зуба. Однако, имея устойчивый корень, мы всегда можем восстановить разрушенный зуб или использовать последний для протезирования, а пародонтит вызывает воспалительные необратимые изменения в тканях (десне и кости), удерживающих зубы и придающих им устойчивость. Протезирование зубов проводится только на устойчивые зубы, т.к. любая конструкция (коронка или съемный протез) фиксируется на оставшихся зубах. И, если зубы подвижны, а десна отечная и воспаленная, то все это способствует быстрому прогрессированию заболевания, расшатыванию зубов, на которых держится протез, и их удалению вместе с протезом.
Лечение зубов - следующий этап в подготовке полости рта. Именно на этом этапе проводится непосредственная подготовка зубов к протезированию: лечение кариеса, лечение корневых каналов зубов с воспаленным нервом (лечение пульпита), по показаниям перелечивание корневых каналов ранее леченых зубов (периодонтит), подготовка корней под вкладки, а зубов - под коронки. В некоторых случаях может возникнуть необходимость в депульпировании здорового зуба (удаление нерва из зуба ,если он будет задействован в удержании протеза). Тщательность выполнения этого этапа определяет надежность подготовленных зубов и корней для протезирования.
По показаниям в некоторых случаях требуется ортодонтическая подготовка. Это отдельный этап лечения перед началом протезирования, который проводится с помощью специального ортодонтического аппарата, как правило, брекет-системы. Ортодонтическая подготовка показана пациентам с заболеваниями пародонта, при котором, вследствие убыли опорных тканей зубов, происходит их веерообразное расхождение с чрезмерным наклоном зубов вперед и появлением промежутков. В ходе ортодонтического лечения проводится закрытие промежутков между зубами, устраняется чрезмерный наклон зубов, а по окончании лечения проводится шинирование зубов с внутренней стороны для предотвращения повторного раскрытия промежутков.
Этап по Вашему желанию и показаниям - отбеливание зубов. Если пациента не устраивает природный цвет зубов, и он хочет сделать их ярче и светлее, то сначала делается отбеливание до желаемого оттенка, а только потом изготавливаются коронки и мосты в цвет отбеленных зубов.
В завершении сделаем вывод: что мы понимаем под словом «Подготовка полости рта к протезированию»? Это все стоматологические манипуляции, проводимые до ортопедического этапа лечения и направленные на подготовку зубов и полости рта в целом к протезированию.
Нет таких пациентов, которые, обращаясь в клинику, имели бы идеальные условия в полости рта, чтобы врач-ортопед сразу мог начать свою работу. Как правило, у них существует не только одна проблема, которую они хотят решить, а несколько, которые по сравнению с отсутствием зубов, для них менее важны. Но, если они есть, врач обязательно вылечит все, что может негативно сказаться на протезировании. Именно такой тщательный и последовательный подход в соответствии с индивидуальным планом лечения гарантирует максимально долгие сроки пользования протезными конструкциями и минимальное количество осложнений.
Выбираете из многочисленных стоматологий Челябинска? Обращайтесь к нам - вы не ошибетесь с выбором!

Подготовка к протезированию - это комплекс важных мер, необходимых для последующего здоровья и восстановления функциональности зубов. Подготовительный период перед протезированием зубов включает в себя полное обследование и санацию ротовой полости пациента для предотвращения возможных осложнений и получения идеальных результатов.

Подготовка к протезированию зубов начинается со стоматологического консультирования и осмотра пациента для определения примерных объемов подготовительных действий.
Специалисты условно разделяют период подготовки к протезированию на следующие этапы:
- Терапевтический этап;
- Хирургический этап;
- Ортодонтический этап.
ТЕРАПЕВТИЧЕСКИЙ ЭТАП
Подразумевает проведение двух основных направлений: санации ротовой полости и депульпирования зубов пациента, а также дополнительных направлений: лечения и препарирования зубов, а также подготовки опорных зубов.
САНАЦИЯ РОТОВОЙ ПОЛОСТИ
Санация полости рта относится к обязательным манипуляциям перед протезированием зубов. Она проводится с целью создания максимально благоприятных условий для проведения протезирования за счет удаления воспалительных очагов в организме и ротовой полости.
ПРОФЕССИОНАЛЬНАЯ ЧИСТКА ЗУБОВ
Налет на поверхности зубов является идеальной средой для размножения и развития бактерий и может стать причиной возникновения неприятного запаха изо рта и кариеса. Затвердевший и сформированный налет на зубах не под силу удалить без специальных стоматологических аппаратов, поэтому перед протезированием проводится профессиональная чистка зубов, так как, по словам специалистов, после удаления зубного камня кариес под коронкой зубов не возникает.
Кроме этого, на данном этапе подготовки специалист консультирует пациента по вопросам правильного проведения гигиенических процедур ротовой полости, что в дальнейшем гарантирует максимальный срок службы и функционирования зубного протеза после установки.
ЛЕЧЕНИЕ ЗУБОВ
Одной из основных манипуляций для обеспечения качественного протезирования зубов является лечение кариеса, в том числе замена пломб. Это связано с тем, что своевременно не вылеченный кариес может вызвать неприятный запах изо рта, ослабление иммунитета и зубную боль, а также недомогание, головную боль, повышение чувствительности к аллергенам и прочие осложнения. При наличии у пациента пульпита необходимо его лечение и пломбирование корневых каналов.
ЛЕЧЕНИЕ ПАРОДОНТА
Стоит понимать, что до начала протезирования зубов необходимо устранить все имеющиеся у пациента заболевания пародонта, клиническими проявлениями которых является неприятный запах изо рта, расшатанность зубов, кровоточивость десен и наличие пародонтальных карманов. При необходимости специалист выполняет шинирование расшатанных зубов для их укрепления.
В случае сохранения и последующего обострения заболевания пародонта после протезирования подвижные зубы не будут способны к удерживанию съемной конструкции протеза.
ПРЕПАРИРОВАНИЕ ЗУБА
По медицинским показаниям может проводиться удаление нервов в зубах, подлежащих протезированию, с последующим пломбированием каналов данных зубов. Кроме прочего, специалист подготавливает опорные зубы под коронку путем их обтачивания.
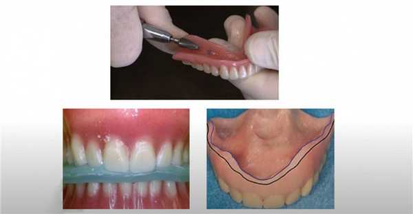
ПОДГОТОВКА ОПОРНЫХ ЗУБОВ
Конструкция для протезирования нуждается в опоре, поэтому необходима установка специальных коронок на опорные зубы, которые принимают на себя сложную жевательную нагрузку и тяжесть протеза. Для выполнения своих задач опорные зубы должны быть в прекрасном состоянии.

До установки конструкции специалист подготавливает опорные зубы, создавая плотный контакт между коронкой и зубом с целью обеспечения максимально физиологичного распределения нагрузки на зубы и предотвращения возможного развития кариозного поражения.
ХИРУРГИЧЕСКИЙ ЭТАП
- Удаление не подлежащих лечению и мертвых зубов и корней;
- Удаление имеющихся экзостозов и остеофитов, создающих помехи для установки протеза;
- Удаление мягких тканей десны, подверженных гипертрофии, и прочих участков слизистой;
- Вмешательство с целью углубления преддверия полости рта, пластика языка, уздечки, верхней или нижней губы - при необходимости;
- Установка имплантатов при несъемном зубном протезировании и с целью создания опоры для съемных конструкций протеза;
- Выполнение остеопластики - наращивания или удаления костной ткани;
- Проведение синус-лифтинга в области верхней челюсти для поднятия дна ее пазухи. Это необходимо, чтобы создать место для вживления зубного имплантата.
Хирургический этап требует восстановления организма около 2 месяцев до протезирования.
ОРТОДОНТИЧЕСКИЙ ЭТАП
На данном этапе при необходимости возможно исправление следующих проблем:
- Формы зубного ряда;
- Положения опорных зубов;
- Наклона зубов по отношению к отсутствующим зубам;
- Веерообразного положения зубов;
- Вытягивание ретинированных зубов, способных стать опорой для протеза.
В ходе ортодонтического этапа специалист уделяет основное внимание вторичным деформациям сохранных зубов, если ранее у пациента были удалены соседние зубы или зубы-антагонисты. Подготовка к протезированию в рамках данного этапа занимает от 2-3 месяцев до 2-3 лет.
Читайте также:
- Методика выполнения глазных реакций наклона и постуральных тестов
- Техника, этапы артроскопической операции по поводу кальцифицирующего тендинита плечевого сустава
- Послеоперационный уход после хондропластики и микрофрактуринга коленного сустава
- Правильное дыхание при плавании. Техника вдоха и выдоха
- Характеристика спонтанного нистагма. Исследование походки пациента
