Скрининг беременных на маточный кровоток. Допплерометрия маточных артерий и контроль АД
Добавил пользователь Владимир З. Обновлено: 21.11.2025
Допплерометрическое исследование плацентарного и плодового кровотока - ультразвуковая методика, основанная на физическом эффекте Допплера, позволяющая оценивать особенности кровотока в системе "мать - плацента - плод".
Оценка маточно-плацентарного кровотока с использованием метода Допплерометрии беременным впервые проводится на сроке 11-14 недель и входит в состав ультразвукового скрининга 1 триместра. Оценивается среднее значение пульсационных индексов (ПИ) в левой и правой маточных артериях. Также может оцениваться ПИ в венозном протоке, как один из маркеров хромосомных аномалий.
В клиниках ЦИР, на сроке 19-21 неделя, Допплерометрия проводится в составе скрининга второго триместра. К маточно-плацентарному кровотоку добавляется ещё оценка фето-плацентарного кровотока. Оцениваются (ПИ) в обеих маточных артериях и в одной, или обеих, артериях пуповины.
Когда и кому показано Допплерометрическое исследование плацентарного и плодового кровотока?
Допплерометрия в акушерстве является обязательным компонентом в комплексной оценке состояния плода. В виде отдельного исследования может назначаться акушером-гинекологом на любом сроке после второго скрининга, а в некоторых сложных случаях, и между первым и вторым скринингами.
Во втором-третьем триместрах беременности Допплерометрическое исследование плацентарного и плодового кровотока включает в себя оценку ПИ в обеих маточных артериях, обеих артериях пуповины и средней мозговой артерии (СМА).
Кроме того, обычно указывается пиковая систолическая скорость кровотока и церебро-плацентарное отношение (ЦПО) в СМА. При выраженных нарушениях кровотока и замедлении роста плода (ЗРП) исследование может дополняться оценкой кровотока в венозном протоке.
На фоне проводимого профилактического лечения в группе высокого риска осложнений беременности, допплерометрия показана как метод динамического наблюдения за состоянием кровотока в системе мать-плацента-плод.
Подготовка и порядок проведения Допплерометрического исследования плацентарного и плодового кровотока.
Специальной подготовки не требуется.
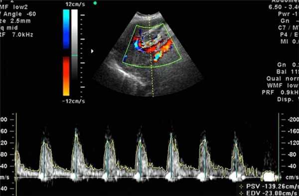
Исследование проводится лежа на спине, так же, как и УЗИ 2-3 триместра, в том же кабинете, тем же датчиком. Если Вы не можете долго лежать на спине, у Вас появляется головокружение, нехватка воздуха, ни в коем случае не терпите, сразу скажите об этом специалисту УЗД. При выраженном синдроме сдавления нижней полой вены допускается оценка кровотока в положении лёжа на боку. На живот наносят специальный гель, по которому и будет двигаться ультразвуковой датчик. При проведении Допплерометрии на экран аппарата в режиме ЦДК выводятся интересующие сосуды, окрашенные в красный или синий цвет в зависимости от направления тока крови к датчику или от датчика. Затем появляется графическое изображение скорости тока крови в течение сердечного цикла в виде двух-трехфазной кривой и слышно характерное для каждого сосуда звучание. Врач УЗД проведёт все необходимые измерения, в конце исследования всё подробно расскажет о его результатах и даст рекомендации. Как правило, исследование занимает не более 15 минут. Более подробно об оценке кровотока в системе мать-плацента-плод можно почитать и послушать по этой ссылке.
Допплерометрия плода выявляет патологии кровотока при беременности

Доплерометрия при беременности - это современный метод диагностики при помощи ультразвука, позволяющий объективно и полноценно исследовать кровообращение плода, плаценты и матки. По состоянию кровеносной системы можно оценить состояние плода, скорость его развития — не страдает ли малыш от недостатка кислорода, а также возможные патологические изменения. Допплерометрия плода — единственная методика, способная показать точное нахождение патологии сосудов (в матке, пуповине или плаценте).
Зачем и когда проводить допплерометрию при беременности
Сегодня заболевания сосудов — одна из наиболее распространенных проблем в медицинской практике. Своевременная диагностика позволяет выявить такие патологии еще на ранней стадии развития, а вместе с тем и многие факторы, способные вызвать развитие нарушений кровообращения.

Ценность процедуры заключается в её высокой информативности, благодаря чему врач способен выявить не только уже развившуюся патологию, но и практически незаметные доклинические симптомы болезни. Процедура назначается после полного формирования плаценты — не ранее 18 недель, чаще на 32-34 неделе в качестве плановой проверки.
При наличии даже незначительных подозрений на нарушения развития плода - УЗИ с доплером проводят на любом сроке. Доплер делают в комплексе со скрининговым УЗИ , при этом по ощущениям для беременной женщины процедура ничем не отличается от классического УЗ-обследования.
Суть метода
Этот способ изучения кровеносной системы основан на применении эффекта Доплера.
Для обследования используется такой же ультразвук, как и при обыкновенном ультразвуковом исследовании. Отличие заключается в особом датчике, работающем на основе допплеровского эффекта, и интерпретации полученных данных. При исследовании фиксируются ультразвуковые волны, отраженные не от статичных тканей, а от подвижных объектов - клеток крови, в результате чего частота отраженных лучей сильно изменяется в сравнении с изучаемыми. Аппарат обрабатывает полученные данные и создает двухмерное цветное изображение. Благодаря этому возможно оценить скорость и направление кровотока, анатомию и проходимость сосудов.
Длительность допплерографии составляет 20 - 40 минут. Она не имеет ни противопоказаний, ни осложнений, ни негативного воздействия на организм. Исследование совершенно безболезненное и безопасное.
Показания
Гинекологи рекомендуют проходить обследование с доплером 1-2 раза во время беременности вместе с плановыми УЗИ . Если же есть проблемы, доппплер плода нужно сделать в ближайшие сроки. В основном допплерометрия назначается при несоответствии размеров плода гестационному возрасту. Также процедура проводится в следующих случаях:
- осложнения в вынашивании ребенка;
- фетоплацентарная недостаточность;
- у матери присутствуют хронические и тяжелые заболевания (сахарный диабет, гипертония, анемия, системные заболевания);
- резус-конфликт беременной и ребенка;
- многоплодная беременность;
- неиммунная водянка плода;
- неправильное положение плода в матке;
- преждевременное созревание плаценты;
- обвитие шеи ребенка пуповиной, подозрение на гипоксию;
- выраженное маловодие / многоводие;
- гестоз (поздний токсикоз, сопровождающийся ухудшением работы почек, сосудов и мозга — появляется белок в моче, повышается давление);
- травмы живота у беременной;
- хромосомные патологии младенца;
- плод шевелится меньше обычного или шевеления не ощущаются вовсе;
- неудовлетворительные результаты кардиотокографии;
- осложнения в вынашивании предыдущей беременности (преждевременные роды, выкидыш и т.д.).
Также УЗИ плода с доплером нужно пройти в случаях, если матери нет 20 лет или ей более 35 лет.
Что выявляет допплерометрия плода
Допплер помогает своевременно выявить гипоксию плода и избежать проблемы еще до того, как ребёнку будет угрожать опасность, или же свести негативные последствия к минимуму. С его помощью врач может узнать причины обвития пуповиной и увидеть сколько раз и насколько туго обвита шея младенца. Без этой жизненно необходимой информации специалисты не смогут выбрать правильную тактику родов, что ставит под угрозу здоровье и жизнь ребенка.
Также с помощью доплера можно увидеть:
- состояние и ритм работы сердца плода в состоянии покоя и движения;
- состояние сердечных клапанов основных кровеносных сосудов, артерий и вен;
- скорость и объем кровотока периферийной кровеносной системы;
- кровообращение в пуповине и плаценте;
- состояние кровеносной системы, сердца и почек беременной.
Полученная информация позволяет врачу оценить:
- проходимость и состояние сосудистого русла, наличие отклонений, блокирующих кровоток плода;
- насыщение кровью и питательными веществами всех тканей ребенка;
- проходимость и состояние пуповины, обвитие шеи младенца;
- эффективность работы плаценты;
- состояние и работа кровеносной системы женщины в период беременности.

Подготовка и особенности проведения УЗИ плода с доплером
Процедура не требует никаких подготовительных мер: ни рацион питания, ни наполненность мочевого пузыря и желудка не оказывают влияния на результаты обследования. Единственная рекомендация — сделать перерыв в еде на пару часов до обследования.
Беременной нужно взять с собой следующее: направление и результаты прошлых анализов и обследований (УЗИ, КТГ, ЭКГ), обменную карту беременной. Бумажные салфетки и одноразовую пеленку или полотенце не нужны — в нашей клинике все предоставляется бесплатно.
Методика проведения допплерометрии аналогична трансабдоминальному УЗИ. Женщина ложится на кушетку спиной и оголяет живот. Врач наносит на исследуемый участок специальный гель для лучшей проходимости ультразвуковых волн и затем водит по нему датчиком, параллельно исследуя полученные данные на мониторе. Интерпретация результатов выдается женщине в тот же день.
Доплерометрию при беременности можно проводить несколькими способами:
- Ультразвуковой допплер - применяется для оценки направления, интенсивности, характера кровотока в сосудах.
- Дуплексное исследование - отличается от предыдущего метода большей точностью и информативностью. Применяется для оценки кровотока сосудов и их анатомии.
- Цветное картирование - состояние даже мельчайших сосудов и их проходимость кодируется цветом.
Расшифровка результатов допплерометрии плода
Оценка состояния кровоснабжения с помощью допплера формируется на основе следующих показателей:
- Систоло-диастолическое отношение - отношение максимальной и минимальной скорости кровотока;
- Индекс резистентности - отношение разницы максимальной и минимальной скорости кровотока к максимальной в период сжатия;
- Пульсационный индекс - отношение разницы максимальной и минимальной скорости кровотока к средней скорости за полный цикл сердца.
Допплерометрия плода: норма по неделям и прогноз при отклонениях
Чтобы расшифровка результатов прошла правильно и все отклонения были выявлены, необходимо сравнить полученные данные с нормативными значениями с учетом гестационного срока.
УЗДГ беременных: важнейшее исследование на поздних сроках

Ультразвуковая допплерография (УЗДГ) - метод диагностики, основанный на эффекте Доплера, который дает возможность дать оценку кровоснабжения различных органов и тканей. УЗДГ основан на изменении частоты ультразвуковых волн при отражении их от движущихся объектов.
СТОИМОСТЬ НЕКОТОРЫХ УСЛУГ ГИНЕКОЛОГА В НАШЕЙ КЛИНИКЕ В САНКТ-ПЕТЕРБУРГЕ

*Клиника имеет лицензию на оказание этих услуг
УЗДГ объединяет в себе стандартное УЗИ и эффект Доплера, тем самым позволяя рассмотреть состояние сосудов и движение крови по ним. Исследование особенно важно при беременности, ведь вся жизнедеятельность плода осуществляется именно с помощью кровотока.
Чем отличается УЗДГ при беременности от обычного УЗИ
В зависимости от применяемых режимов одновременно выделяют: дуплексное и триплексное УЗГД. Как правило, для оценки внутриутробного состояния плода используют дуплексную допплерографию. При нем обычное серошкальное УЗИ сочетается с одним из режимов допплерографии, который в режиме реального времени передает изображение.
При триплексном сканировании режим УЗИ объединяется с режимом допплерографии и с цветным картированием кровотока, что позволяет оценить анатомию сосуда и его проходимость.
Когда назначают
Однако есть показания, при которых врач назначает УЗДГ и на более ранних сроках, а именно:
- При патологии плаценты (отслойка, отставание либо быстрое созревание плаценты, образование внутриплацентарных тромбов);
- Результаты УЗИ показали несоответствие плода сроку беременности (гипотрофия плода);
- При гестозе (осложнения при беременности, которые связаны с отеками, повышенным давлением, судорогами, потерей белка с мочой);
- При многоплодной беременности;
- В случае заболеваний матери, которые связаны с патологией сосудов. Например: сахарный диабет, болезни почек, гипертония (стойкое повышение артериального давления), болезни почек, нарушения свертываемости крови;
- В случае прерывания предыдущей беременности (мертворождение, выкидыш). А также при осложнениях предыдущей беременности;
- Возраст беременной свыше 35-ти лет;
- После травм живота;
- По результатам УЗИ - плод обвит пуповиной.
Что показывает
УЗДГ показывает: как ощущает себя ребенок в утробе матери, оценивает кровоток в пуповине, в сердце и в других органах ребенка. Также оценивает работу плаценты и кровотока в маточных артериях. Качественно проведенное исследование позволяет выявить сердечные пороки.
Этот метод диагностики позволяет соотнести полученную информацию с нормативными таблицами, тем самым определив наличие или отсутствие патологий в развитии плода.
Расшифровка УЗГД при беременности
Если УЗГД проводит опытный врач, он расшифровывает результат на месте. В остальных случаях нужно отнести результаты лечащему акушеру-гинекологу.
Расшифровка УЗГД содержит следующие характеристики:
Систоло-диастолическое отношение в сосудах. СДО рассчитывается по формуле. Врач определяет соотношение максимальной скорости в сосуде в систолу и остаточной скорости - в диастолу. Показатель вычисляется для крупных сосудов матки, плода и пуповины. ДСО каждого сосуда меняется в зависимости от срока.
Норма СДО в артерии пуповины
Норма СДО в артериях матки в III триместре: 1,3-3,7
Индекс резистентности
ИР также рассчитывается по формуле. Гинеколог вычисляет отношение СДО к максимальной скорости движения крови в сосуде в систолу. Чем выше результат, тем хуже проходимость сосуда и тем больше сопротивление кровотока. Нормы УЗДГ при беременности по ИР зависят от сроков беременности, вида и диаметра сосуда.
1. Индекс резистентности в артериях матки в III триместре: 0,3-0,9.
2. Индекс резистентности в артериях пуповины:
| Срок, неделя | Индекс резистентности (ИР) |
| 16-19 | 0,78 |
| 20-22 | 0,74 |
| 23-25 | 0,71 |
Норма скорости кровотока в сосудах матки в III триместре в среднем: 60-71 см/секунду.
Пульсационный индекс
ПИ в III триместре должен составлять 0,4 -,64.
Результаты УЗГД дают возможность понять:
- не страдает ли плод от внутриутробной гипоксии, и если недостаток кислорода есть, то насколько состояние опасно;
- есть ли проблемы из-за конфликта по резус-фактору;
- степень повреждения сосудов матки, плаценты и плода из-за сахарного диабета, кардиальной патологии или гипертонической болезни женщины;
- есть ли проблемы развития при многоплодной беременности, как связаны и развиваются сосуды у близнецов.
Подготовка
Никакой специальной подготовки для проведения ультразвуковой допплерографии не требуется. Однако некоторые врачи отмечают, что лучше проводить УЗДГ через пару часов после еды. Это связано с тем, что после приема пищи, как правило, ребенок становится более активный. Это может исказить результаты исследования. Также не следует увлекаться продуктами, способными вызвать газообразование (овощи, фрукты).
Как проводится
Процедура совершенно безболезненна и полностью безопасна, но требует времени для выполнения. УЗГД займет 20-30 минут. Время проведения процедуры может увеличиться при наличии осложнений.
Для проведения исследования женщина ложится на спину, реже на бок. На оголенный живот наносится специальный гипоаллергенный гель, который обеспечивает нормальное прохождение ультразвуковой волны, и прикладывается датчик, вся информация поступает на экран. Врач обследует состояние маточных артерий, пуповину, среднюю мозговую артерию плода. Исследование: венозного протока, внутрисердечного кровотока ребенка, грудной аорты, почечных артерий, - выполняется при наличии показаний.
Заключение необходимо предоставить акушеру-гинекологу, который ведет беременность. Врач, обобщив результаты исследования, проводит общую оценку состояния плода и назначает лечение, при необходимости.
УЗДГ является это важный метод обследования. Выявление патологий на раннем сроке поможет назначить необходимое лечение. Если отклонения значительные и угрожают жизни ребенка - это показание для родоразрешения раньше срока.
Допплерография - что такое допплеровское исследование? Когда оно проводится?

Допплерография - неинвазивный метод, используемый при диагностике заболеваний сосудов - артерий и вен. Исследование основано на физическом явлении — эффекте Доплера, способном продемонстрировать направление и скорость кровотока в сосудах.
Допплерография применяется в диагностике многочисленных заболеваний, а благодаря отсутствию побочных эффектов это обследование можно проводить любым больным.
Допплерография - что это такое?
Классическое ультразвуковое исследование включает в себя визуализацию органов или тканей с помощью ультразвуковых волн. Головка ультразвукового аппарата оснащена пьезоэлектрическими кристаллами, генерирующими ультразвуковые волны, распространяющиеся внутри тканей организма. На границе заданной среды они отражаются и возвращаются в датчик, а затем обрабатываются специальным программным обеспечением и представляются в графическом виде.
Допплеровское явление, используемое на УЗИ, позволяет использовать ультразвук в диагностике заболеваний кровеносных сосудов.
Эффект Доплера - что это такое?
Эффект Доплера — это физическое явление, включающее изменение частоты волны, посылаемой объектом относительно волны, записанной другим объектом, возникающее, если объекты движутся относительно друг друга.
Хотя это явление кажется очень специфичным, оно часто наблюдается в повседневной жизни. Отличный пример, объясняющий эффект Доплера, — пожарная машина, едущая с включенным сигналом мимо прохожего. Когда автомобиль приближается к прохожему, звук принимаемого сигнала имеет более высокую частоту, чем при удалении.
В случае проведения допплеровского ультразвукового исследования роль пожарной машины играют морфотические элементы крови, от которых отражается акустическая волна. Роль прохожего играет приемник, расположенный в ультразвуковой головке. Основываясь на изменении частоты волны, соответствующее программное обеспечение определяет направление и скорость кровотока относительно головки.
Существует несколько видов УЗИ с допплером:
- Допплерография с непрерывной волной или пульсирующей волной. Определяет, какие изменения происходят в интенсивности текучей крови, не выявляет окружающие ткани;
- Дуплексная допплерография. Выявляет кровеносные сосуды и окружающие ткани;
- Цветная допплерография. Изображение текущей крови представлено красным или синим цветом в зависимости от направления кровотока и его скорости.
Допплерография - что показывает обследование?
Одна из многочисленных задач крови — снабжение органов кислородом и питательными веществами и выведение из них продуктов метаболизма и углекислого газа. Кровь течет от сердца по артериям и направляется к органам, из которых возвращается к сердцу через венозные сосуды.
Многочисленные патологии могут нарушить кровоток по сосудам, что приводит к недостаточному снабжению клеток кислородом и питательными веществами, или может блокировать отток бедной кислородом венозной крови. Классическое УЗИ часто полезно при визуализации сосудов, но оно не выявляет кровоток, это возможно только при использовании эффекта Допплера.
Допплерография применяется при диагностике многочисленных патологий, затрагивающих сосудистую систему многих участков тела, а благодаря высокой доступности и отсутствию доказанной вредоносности, является одним из наиболее часто выполняемых тестов.
Допплерография сонных и позвоночных артерий
Сонные и позвоночные артерии отвечают за снабжение кровью головного мозга. Центральная нервная система крайне чувствительна к гипоксии, из-за чего даже кратковременные эпизоды ишемии головного мозга связаны со значительным риском необратимой потери нервных клеток. Сужение артерий, снабжающих кровью головной мозг, связано с повышенным риском ишемического инсульта.
Исследование кровотока внутри сонных и позвоночных артерий позволяет обнаружить сужение по ходу этих сосудов, и заранее начать соответствующую профилактику. Среди показаний к обследованию сонных и позвоночных артерий:
- гипертония,
- атеросклероз,
- сахарный диабет II типа,
- транзиторная ишемия,
- травмы шеи,
- инсульты у близких родственников.
Допплерография нижних конечностей
Допплерография вен нижних конечностей проводится при подозрении на тромбоз глубоких вен. Показания к ультразвуку вен включают отек, покраснение, боль и варикозное расширение вен в пределах нижних конечностей.
Изучение направления кровотока в венах направлено на применение лечения к пациентам, особенно подверженным тромбозам или противодействующим осложнениям, способным привести к гибели больного.
Допплерография подключичных артерий
Допплеровское ультразвуковое исследование подключичной артерии проводится при подозрении на так называемый синдром позвоночной артерии. В ходе этого заболевания из-за сужения начального отдела подключичной артерии перед отходом позвоночной артерии возникает ситуация, при которой кровь не течет по позвоночной артерии к головному мозгу, а отступает в участок подключичной артерии, расположенный за местом стеноза, и снабжает кислородом и питательными веществами верхнюю конечность.
Симптомы, возникающие в результате синдрома Вертебра, могут быть связаны как с ишемией верхних конечностей, так и с ишемией центральной нервной системы. Исследование в подключичной артерии позволяет определить место и степень стеноза и принять решение о применении лечения.
Допплерография - показания
Среди основных показаний к проведению допплеровского ультразвукового исследования - атеросклеротические изменения внутри артерий. Отложение атеросклеротических бляшек в стенках сосудов приводит к нарушениям кровотока и может стать причиной недостаточного снабжения органов и тканей кислородом и питательными веществами. Допплерография позволит оценить степень сужения сосудов атеросклеротической бляшкой и поможет в принятии решения о дальнейшем терапевтическом ведении.
Другие показания к допплерографии УЗИ:
- наличие варикозного расширения вен в нижних конечностях;
- оценка васкуляризации раковых поражений;
- выявление пороков сердца;
- дифференцировка опухолей;
- оценка мозгового кровообращения;
- мониторинг эффекта от лечения, связанного с реконструкцией сосудов;
- оценка состояния кровеносных сосудов у пациентов после травм.
Другая группа показаний к допплеровскому УЗИ - беременность. Применение этого вида ультразвукового исследования позволяет оценить потоки внутри сосудов плаценты и органов плода. Допплерография во время беременности рекомендуется, если существует повышенный риск преждевременных родов, выкидыша или нарушений развития плода, хотя в настоящее время оно часто выполняется во время стандартных осмотров.
Допплерография - подготовка и ход обследования
Большое преимущество ультразвукового исследования тот факт, что к нему не нужно готовиться специально.
В случае обследования, проводимого в области конечностей и шеи, следует надеть свободную одежду и снять ювелирные изделия, которые могут помешать обследованию. Если допплерография направлена на сосуды в брюшной полости, пациент должен прийти натощак.
Среди немногих противопоказаний для проведения ультразвукового исследования:
- повреждения кожи;
- сильная болезненность в пределах исследуемой области.
Ход диагностики несложный. Пациент обнажает область тела, подлежащую осмотру, и ложится на кушетку. Врач, проводящий обследование, наносит гель на головку ультразвукового аппарата и водит ей по области исследования. На мониторе появляется изображение и раздается звук, изображающий поток крови по кровеносным сосудам. Все обследование занимает около 15-20 минут.
Допплерография - интерпретация обследования
После обследования на основании сделанных измерений врач УЗИ интерпретирует результаты и на их основании определяет или исключает нарушения кровотока по сосудам. Интерпретация допплеровского ультразвукового исследования обычно не является проблемой для специалиста и результат сообщается сразу после обследования.
Нарушение маточно-плацентарного кровотока
Нарушение маточно-плацентарного кровотока - симптомокомплекс, развивающийся во время беременности вследствие расстройства функций плаценты или происходящих в ее строении морфологических изменений. Со стороны матери клиника может отсутствовать. На фоне акушерской патологии возникает гипоксия плода, проявляющаяся учащением или замедлением сердечных сокращений, снижением активности. Диагностика нарушений маточно-плацентарного кровотока осуществляется посредством УЗИ, КТГ, допплерометрии. Лечение проводится в стационаре консервативным путем с использованием препаратов, улучшающих гемодинамику в сосудах плаценты.
Общие сведения
Нарушение маточно-плацентарного кровотока - акушерская патология, возникающая вследствие расстройства функций гемодинамики в системе «женщина-плацента-ребенок». Диагностируется такая аномалия примерно у 4% беременных. В 25% случаев заболевание развивается на фоне уже имеющихся экстрагенитальных заболеваний пациентки. Нарушение маточно-плацентарного кровотока представляет угрозу для здоровья и жизни плода, поскольку может приводить к недостаточному поступлению питательных веществ, что осложняется задержкой внутриутробного развития, гипоксией и даже возможной гибелью ребенка.
Опасность нарушения маточно-плацентарного кровотока зависит от выраженности и продолжительности существования данной акушерской патологии. Чем меньше питательных веществ поступает к ребенку, тем выше вероятность формирования отклонений. По статистике, около 85% новорожденных, подверженных такой патологии, появляются на свет с признаками гипоксии или врожденными аномалиями различной степени выраженности. Нарушение маточно-плацентарного кровотока способно возникать на разных этапах беременности, чаще всего оно диагностируется во 2-3 триместре вынашивания. Расстройство гемодинамики, развившееся до 16 недель, нередко заканчивается самопроизвольными выкидышами.
Причины нарушения маточно-плацентарного кровотока
Нарушение маточно-плацентарного кровотока развивается вследствие неправильного формирования ворсинчатого слоя плодных оболочек еще в период закладки плаценты или в результате влияния на организм матери неблагоприятных факторов, становящихся причиной расстройства гемодинамики в нормальной плаценте. Патогенез заболевания заключается в неполноценной маточно-плацентарной перфузии, приводящей к недостаточному поступлению кислорода к плоду. Как следствие, нарушение маточно-плацентарного кровотока запускает механизм гипоксических изменений, способствующих задержке развития плода.
Спровоцировать нарушение маточно-плацентарного кровотока могут эндогенные и экзогенные причины. К первой группе относятся факторы, влияющие изнутри организма будущей матери. Риск развития патологии наблюдается при наличии у женщины сахарного диабета, заболеваний почек, сердца и сосудов, на фоне дисфункции щитовидной железы. Формированию нарушения маточно-плацентарного кровотока способствует отягощенный акушерский анамнез - поздний гестоз, угрозы прерывания, множественные аборты и выкидыши, доброкачественные опухоли матки. Высокий риск расстройства гемодинамики наблюдается на фоне беременности с резус-конфликтом, а также, если пациентка страдала бесплодием.
Нарушение маточно-плацентарного кровотока нередко развивается на фоне генетических нарушений у плода и при наличии врожденных пороков репродуктивной системы матери (при двурогой или седловидной матке, перегородках в полости органа). Вероятность возникновения акушерской патологии существует и при половых инфекциях, а также, если больная перенесла вирусные заболевания, к примеру, грипп, ОРВИ. К экзогенным факторам, способствующим нарушению маточно-плацентарного кровотока относится работа на вредных производствах, употребление наркотиков и алкоголя, курение. Неблагоприятным образом сказывается и нерациональное питание. В группу риска по развитию нарушения маточно-плацентарного кровотока входят женщины в возрасте до 18 и старше 35 лет. Риск аномальной гемодинамики присутствует при постоянных стрессах, интенсивных физических нагрузках.
Классификация нарушения маточно-плацентарного кровотока
В зависимости от локализации патологических изменений в акушерстве различают несколько степеней тяжести нарушения маточно-плацентарного кровотока:
- 1а - характеризуется расстройством гемодинамики между маткой и плацентой, при этом к ребенку попадает достаточное количество питательных веществ.
- 1б - нарушение кровообращения происходит в круге «плод-плацента».
- 2 степень - нарушение маточно-плацентарного кровотока наблюдается в круге «плод-плацента-мать», однако гипоксия выражена незначительно.
- 3 степень - сопровождается критическим расстройством показателей гемодинамики, может привести к гибели ребенка или самопроизвольному аборту.
Учитывая срок гестации, на котором происходит нарушение маточно-плацентарного кровотока, можно выделить следующие виды патологии:
- Первичная - возникает в первом триместре, обычно развивается на фоне аномальной имплантации, нарушений в формировании или прикреплении плаценты.
- Вторичная - диагностируется после 16 недель эмбриогенеза, как правило, провоцируется негативными внешними факторами или состоянием здоровья матери.
Симптомы нарушения маточно-плацентарного кровотока
Клинические проявления нарушения маточно-плацентарного кровотока зависят от выраженности акушерской аномалии. Со стороны матери патологические признаки наблюдаются не всегда. У пациентки может развиться гестоз, нередко присутствует угроза выкидыша или преждевременных родов, что сопровождается болью в животе и в области паха. Возможно появление кровянистой слизи из половых путей. На фоне нарушения маточно-плацентарного кровотока происходит активизация деятельности условно-патогенной флоры, нередко возникают кольпиты. Это осложнение нарушения маточно-плацентарного кровотока может стать причиной внутриутробного инфицирования плода.
Нарушение маточно-плацентарного кровотока более выражено со стороны ребенка. Заподозрить признаки гипоксии плода в ряде случаев может сама пациентка. Патологическое состояние проявляется снижением двигательной активности ребенка. В ходе осмотра акушер-гинеколог выявляет учащение или уменьшение частоты сердечных сокращений у малыша, что также является достоверным признаком нарушения маточно-плацентарного кровотока. Недостаток питательных компонентов способен вызвать преждевременную отслойку плаценты. При этом состояние женщины и плода стремительно ухудшается, возможно возникновение угрозы для жизни.
Диагностика и лечение нарушения маточно-плацентарного кровотока
Выявить нарушение маточно-плацентарного кровотока можно в ходе УЗИ. О наличии акушерской патологии свидетельствуют патологии плаценты и внутриутробная задержка развития плода, проявляющаяся несоответствием размеров анатомических частей сроку гестации. Оценить степень нарушения маточно-плацентарного кровотока удается с помощью допплерографии. Для оценки функциональности сердечно-сосудистой системы ребенка используется КТГ. Характерным признаком является тахикардия или брадикардия, возникшая на фоне гипоксии.
Лечение нарушения маточно-плацентарного кровотока проводится в условиях стационара. Больной показан постельный режим, исключение стрессов и интенсивных физических нагрузок. Консервативная терапия заключается в использовании препаратов для купирования нарушений маточно-плацентарного кровотока и улучшения оксигенации плода. Также используются антиагреганты и средства, улучшающие питание тканей головного мозга. При нарушении маточно-плацентарного кровотока показано употребление витаминов, блокаторов кальциевых каналов. Последние применяются для устранения гипертонуса матки.
Прогноз и профилактика нарушения маточно-плацентарного кровотока
Своевременное лечение нарушения маточно-плацентарного кровотока позволяет женщине продлить беременность до 37 недель гестации и родить абсолютно здорового младенца. При первичной форме патологии возможна внутриутробная гибель плода или самопроизвольный выкидыш. Профилактика нарушения маточно-плацентарного кровотока состоит в устранении экстрагенитальных патологий еще до момента зачатия, ранней постановке на учет к акушеру-гинекологу и выполнении всех его рекомендаций. Беременная должна придерживаться рационального питания, отказаться от вредных привычек, стрессов и тяжелой физической работы. Уменьшить вероятность развития нарушения маточно-плацентарного кровотока позволяет также исключение контактов с возможными источниками инфекций.
Читайте также:
- Техника соединения кожи и подкожной жировой клетчатки ( подкожки ). Зашивание кожи и подкожной клетчатки.
- Витрэктомия при кровоизлиянии в стекловидное тело при диабетической ретинопатии. Показания
- Синдром Маха (Mach)
- Механизм развития мелиоидоза. Клиника мелиоидоза
- Регуляция процессов поглощения нейтрального газа. Элиминации нейтрального газа в тканях
