Удерживающие кламмеры. Виды удерживающих кламмеров.
Добавил пользователь Владимир З. Обновлено: 07.01.2026
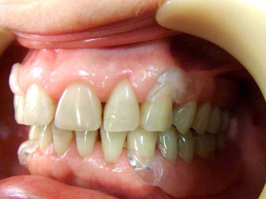
Под кламмерами понимают особенную часть съемного протеза, с помощью которой естественный зуб охватывается только на 2/3 его окружности. Кламмер служит для фиксации протеза и его стабилизации. С его помощью жевательное давление перераспределяется правильно.

Классификация кламмеров
Кламмеры классифицируются следующим образом:
- металлические (к ним относятся: хтзомоникелевые, золото-платиновые и хромокобальтовые);
- пластмассовые;
- выполненные в сочетании металла и пластмассы.
По способу изготовления кламмеры делят на:
- штампованные кламмеры;
- гнуто-литые кламмеры.
- удерживающие кламмеры;
- опорно-удерживающие кламмеры.
- ленточного вида;
- круглого вида;
- полукруглого вида.
- зубодесневые кламмеры;
- зубные кламмеры;
- десневые кламмеры.
- одноплечие;
- перекидные;
- двойные;
- двуплечие;
- т-образные;
- кольцеобразные;
- многозвеньевые.
- стабильные или жесткие;
- полулабильные или пружинящее;
- лабильные или суставные.

Конструкция кламмеров
Плечо — это особенная часть кламмера, которая предназначена для охвата коронки зуба. Этот элемент располагается между десной и экватором. Плечо должно плотно прилегать ко всей поверхности зуба на всей своей протяженности. Кроме этого, оно должно полностью повторять саму конфигурацию зуба и быть достаточно прочным.
- Опорную часть. Она составляет только 2/3 длины плеча и всегда располагается выше, чем межевая линия. В ее функции входит: возможность препятствования смещения протеза в бок и сохранение заданной жесткости. Благодаря жесткости протез под силой давления от жевания не пружинит и не испытывает деформации.
- Удерживающая часть. Она составляет лишь 1/3 длины плеча и располагается ниже, чем межевая линия. С помощью удерживающей части обеспечивается фиксация протеза.
Отросток предназначен для жесткого соединения самого кламмера с базисом протеза. Его устанавливают под самими искусственными зубами.
Тело кламмера соединяет два других элемента: плечо и отросток. Оно представляет собой пружинную часть, которую необходимо расположить на контактной поверхности зубы (то есть на самой коронке). Обычно тело располагается ниже или выше экватора.
- плеча;
- самого тела;
- окклюзионной накладки (она располагается в межбугорковой борозде, которая расположена продольно; если бугорки сильно выражены, то накладка позволяет удерживать зуб от смещения, когда на него действует угловая сила);
- якорной части (с его помощью кламмер соединяется с металлическим каркасом).

Кламмеры и межевая линия
- Первый вид: когда межевая линия начинается от самого контактного пункта с той стороны, где расположен дефект ряда зубов и далее по поверхности опускается на середину апроксимальной поверхности зуба по соседству. При таком расположении всегда применяют кламмер Роуча и кламмер Бониграда.
- Второй вид: когда экватор проходит посередине апроксимальной поверхности и плавно поднимается к контактному пункту соседнего зуба по вестибулярной поверхности. При таком расположении межевой линии обычно используют кламмер Аккера, который работает как опорно-удерживающий механизм.
- Третий вид: когда экватор на опорном зубе расположен диагонально. В этом случае межевая линия проходит в области дефекта ряда зубов у самой жевательной поверхности. Она по касательной пересекает вестибулярную поверхность самого опорного зубы и в итоге заканчивается на шейке зуба совсем с противоположной стороны. Обычно в этом случае применяют кламмеры Нея.
- Четвертый вид: когда экватор расположен очень высоко из-за очень большой стираемости зубов. Он практически идет на уровне самой жевательной поверхности. Обычно при таком положении межевой линии зубам просто необходимо покрытие коронками. Только благодаря последним можно восстановить их анатомическую форму.
- Пятый вид, когда межевая линия расположена внизу. Обычно такая особенность наблюдается у зубов, которые имеют вид усеченного конуса. Сам экватор проходит по уровню шейки зуба. Обычно в таких случаях используют только опорные кламмеры.
Виды кламмеров
Рассмотрим далее несколько часто встречающихся видов кламмеров.
Удерживающий кламмер
Является последующим изобретением после обычного проволочного кламмера. Проволочная конструкция представляла собой крючок, который устанавливают на самом зубе около его шейки. В дальнейшем этот кламмер модернизировали и на данный момент у него есть несколько разновидностей. К удерживающему типу кламмеров относятся: альвеолярный и дентоальвеолярный.
Классический опорно-удерживающий кламмер состоит из двух плечей, отростка и окколюзиционной накладки. Одним из самых лучших представителей этого вида кламмера является система Нея. Так как в основном перелом кламмера происходит около базиса протеза, верхнюю плечевую часть и само тело создали толстым и жестким. Так как верхняя часть стала жесткой, ее стали располагать выше, чем осевая линия. В результате такая постановка кламмера стала обеспечивать опорную установку и одновременно с этим препятствовать боковому смещению самого протеза. Кроме этого, самая нижняя тонкая часть, располагается чуть ниже, чем межевая линия. В результате она служит опорным элементом и не допускает бокового смещения протеза. Нижняя часть надежно фиксирует сам протез. Верхняя часть располагается выше, чем межевая линия.

Система Нея
Кроме этого, по конструкции жесткое и толстое плечо становится тонким к низу, в результате такой кламмер имеют форму рога.
Названная выше система Нея имеет пять различных типов кламмеров:
- одноплечневый;
- раздвоенный Роуча;
- двуплечий Аккера;
- кольцевой одноплечий.
- комбинированный.
Система Нея была введена в прошлом веке. Ее очень ценят за то, что при фиксации кламмеров не требуется надевать коронки. При этом такая установка подходит абсолютно любому состоянию зубов. Протезирование системой Нея относится к одним из щадящих процедур. Оно полностью исключает травмирование эмали и безопасно распределяет нагрузку.
Системы Нея отличаются своей долговечностью, даже в случае повседневного ношения. Кроме этого, их ценят за отличную эластичность и завидную практичность. Во время ее ношения пациенты отмечают, что не испытывают дискомфорт.
Кламмеры Роуча
Они представляют собой стержневую конструкцию. Клеммер Роуча имеет длинные плечи, благодаря чему он очень хорошо пружинит. Вследствие такой особенности горизонтальная нагрузка на зубы уменьшается.
Описанные стрежневые элементы могут быть задействованы как с одной, так и с двух сторон. Их всегда изготавливают из хрома и никеля.
- Эстетичность улыбки.
- Самый лучший вариант для коротких зубов.
- Возможность сделать хорошую ретенцию в различных местах опоры.
Однако кламмеры Роуча невозможно применять при анатомических нарушениях зубных рядов. Особенно когда хорошо визуализируется при улыбке верхняя десна.
Кламмер Аккера
Является самым эффективным и практически доступным. Он имеет очень простую конструкцию и не позволяет сместиться бюгельным протезам. Его очень часто применяют во время протезирования, если в зубном ряду отсутствует одна или несколько позиций. Единственное условие в этом случае: должны сохраняться опоры. Обычно кламмеры Аккера используют на молярах. Так как у них довольно прочный и жесткий состав. Из недостатков можно выделить не очень хорошую эластичность материала.

Кламмеры Бонвиля
Представляют собой две специальные окколюзионные накладки, которые располагаются в фиссурах премоляров и моляров. Такие кламмеры имеют по два плеча (это с каждой стороны), а так же две окколюзионные накладки. Приспособления Бонвиня часто применяют для стабилизации и фиксации протезов на односторонних изъянах. А так же для того, чтобы сохранить зубы на противоположной стороне.
Кламмер Джексона
Представляет собой перекидную конструкцию. Это особенный опорно-удерживающий кламмер, который представляет собой петлю. Эта петля перекидывается через межзубные промежутки и располагается на вестюбилярной поверхности ниже, чем экватор. Опорой в этой кламмере служат петли, которые лежат в межзубных промежутках. А сами фиксирующие части располагаются чуть ниже экватора. Кламмер Джексона могут изготавливать литым или он может быть проволочным.
Требования для расположения кламмеров
- Чтобы сам зуб был очень устойчивым. Если врач выявит патологическую подвижность, то он предпримет попытку ее блокировки, чтобы получить в итоге устойчивую систему. Если у пациента зубы имеют воспалительные процессы в верхушке зуба, то перед установкой опоры их необходимо обязательно запломбировать.
- Чтобы зубы имели правильную анатомическую форму. Для установки кламмеров не подойдут зубы с довольно низкой коронкой по конусу, с неправильным отношением длины корня и самой клинической коронки, а так же зубы с обнаженной шейкой. Перечисленные симптомы являются относительными. Их можно устранить и смело переходить к установке кламмеров.
- Чтобы опорный зуб имел правильное отношение с антагонистом. Отношения могут быть очень тесными. В этом случае даже очень небольшая накладка, которая помещается в саму фиссуру, сильно нарушает прикус. В такой ситуации для установки опорного элемента выбирают совершенно другой зуб. Другим выходом служит установка защитной коронки на первоначально выбранный опорный зуб.
Как изготавливаются кламмеры
Крючок, с помощью которого фиксируется зубной протез, можно изготовить только с помощью имеющихся теоретических знаний и понятий конкретной специальности. Чтобы сделать правильный кламмер, необходимо знать какие виды протезов будут крепиться с его помощью. Технология изготовления любых кламмеров имеет одинаковую последовательность действий. Здесь очень важно только правильно соблюдать этапы всего процесса и верно подобрать материал.
Кламмер всегда гнут щипцами. Их имеет в своем арсенале любой зубной техник. Так же можно использовать для изготовления кламммера круглогубцы и плоскогубцы, с помощью которых выполняют всего лишь три изгиба.
Чтобы получить само плечо кламмера, предназначенное для охвата зуба, изгибают один конец литой проволоки. Следующий загиб выполняют с помощью круглогубцев. С помощью этого инструментов так же формируют тело кламмера.

Требования к изготовлению плеча
- Во-первых, сама конструкция плеча должна быть выполнена так, чтобы оно могло охватить зуб с шеечной или с губной стороны. Оно должно быть расположено за линией выпуклости или по-другому между десной и экватором.
- Плечо не должно создавать давления на сам опорный зуб, то есть оно должно быть пассивным.
- Независимо от того, какое плечо имеется плоское или круглое, оно должно максимально касаться всей поверхности зуба. Если прилегание осуществляется только в одной точке, то это значит, что на зуб будет создаваться повышенное давление и со временем произойдет стирание эмали.
- После основных этапов придания формы плечо необходимо закруглить и провести его полировку. Это необходимо для того, чтобы предупредить возможное травмирование слизистых оболочек.
- Плечо обязательно должно быть упругим. Самыми лучшими в этом случае являются проволочные кламмеры, не такими хорошими — литые. Однако литые более точно повторяют особенности рельефа зуба.
Выполнение контактного отростка
Для того чтобы зафиксировать созданную форму кламмера, необходимо использовать круглогубцы. Выполнять изгиб к гребню лучше всего плоскогубцами. Далее полученный отросток раздавливают на наковальне и делают на нем насечки, для того, чтобы он более прочно скрепился с базисом.
Описанным способом делают только одноплечневые кламмеры. В случае двуплечевого исполнения последовательность действий такая же, только в технологии изготовления участвуют сразу два элемента.
Виды опорно-удерживающих кламмеров в протезировании

Одним из методов ортопедического лечения при потере естественных зубов является протезирование с использованием съёмной конструкции.
Сочетание съёмного протеза с оставшимися естественными зубами позволяет восстановить зубной ряд, а значит, и вернуть правильное функционирование челюстному механизму.
Специализированные устройства разработаны с учётом особенностей строения челюсти, и предполагают крепление к естественным зубам с помощью кламмеров.
Данные элементы протеза позволяют стабилизировать протез во рту пациента.
Содержание статьи:
Классификация
Кламмеры - это составная часть всей системы съёмного устройства. Их предназначение - удерживать протез в ротовой полости, охватывая часть тела естественного зуба.
Кламмеры бывают разных типов и характеризуются, исходя из их прямого предназначения.
Материал
Конструкция кламмера изготавливается из разных материалов, различающихся функциональностью:
- крепления, изготовленные из медицинской пластической массы;
- комбинированные, сочетающие металл и пластмассу;
- полностью металлические крепления.
Кламмеры, выполненные из металла, подразделяют на несколько видов:
- сплав из хрома и кобальта;
- сплав из хрома и никеля;
- сплав из золота и платины.
Самые дорогостоящие конструкции сочетают в себе благородные металлы, и одновременно, являются самыми износостойкими.
Способы изготовления

Производство кламмеров направлено на использование только в медицинских целях. Способ изготовления зависит от вида изделия, поэтому их классифицируют на штампованные и гнуто-литые элементы.
Тот или иной вид производства подбирается под изготавливаемый протез и согласуется с ортопедом.
Функции
В медицинской классификации по функциональным особенностям кламмеры подразделяют на следующие виды:
- удерживающие устройства;
- опорно-удерживающие устройства.
Функциональное предназначение нацелено на правильное распределение нагрузки в ротовой полости при осуществлении акта жевания.
Кроме этого, такие элементы призваны удерживать протез во рту пациента.
Форма
Конструкции различаются своей формой, которые визуально могут влиять на эстетику улыбки:
- круглые устройства;
- полукруглые конструкции;
- ленточные.
Место прилегания
Различают кламмеры по месту прилегания на челюстной дуге в ходе эксплуатации аппарата:
- десневые;
- зубные;
- зубодесневые.
Каждое устройство применяется в соответствии со сложностью клинической ситуации и строением челюстных дуг у пациента.
Степень охвата зубов

Элемент всегда захватывает часть коронки естественного зуба, таким образом, происходит фиксация протеза.
По степени охвата зубов в ротовой полости, различают следующие виды:
- одноплечие и двуплечие;
- перекидные и кольцеобразные;
- двойные и многозвеньевые;
- т-образные.
Применение каждого элемента зависит от состояния эмали, размера зубных коронок и сложности клинической ситуации.
Соединение с базисом
Изделия имеют свою классификацию по степени сцепления с базисной зоной:
- стабильные (жёсткие);
- суставные (лабильные);
- полулабильные (пружинящие).
Установка систем зависит от того, где у пациента располагается межевая линия.
Что представляют собой силиконовые зубные протезы и уход за изделиями.
Заходите сюда, чтобы ближе рассмотреть конструкцию бюгельного протеза Бредент.
Конструкционные особенности
Конструкция включает следующие основные элементы, имеющие свою функциональную особенность:
- Тело - это важное звено, сочленяющее составные элементы системы ― плечо и отросток. Деталь изогнута таким образом, чтобы её было удобно разместить на опорном зубе в зоне контакта с жевательной поверхностью антагонистов.
- Отросток является элементом, необходимым для полного сцепления кламмера с базисом протеза. Материал вплавляют в саму пластическую массу, поэтому его моделируют с учётом устойчивости к механическим повреждениям.
- Плечо является составной частью, функциональная особенность которого связана с прочностью и диаметром обхвата зуба. Данный элемент должен плотно прилегать, располагаясь между десенным пространством и вдоль тела зуба.
Само плечо также подразделяют на отдельные функционалы:
- опорная часть препятствует любому смещению протеза и сохраняет необходимый уровень жёсткости конструкции, поэтому при совершении акта жевания протез не подвержен деформации;
- надёжность фиксации гарантирует удерживающая часть.
Существуют также кламмеры опорно-удерживающего типа, строение их конструкции, помимо тела и плеча, дополнено несколькими элементами:
- окклюзионная накладка;
- якорная часть.
Окклюзионная накладка помогает фиксировать тело зуба от возможного смещения при сильно выраженной бугорковой зоне, а якорный элемент призван обеспечить надёжное сцепление кламмера с каркасом из металла.

Межевая линия
Выбор необходимого вида сцепления зависит от индивидуальных особенностей строения челюстного аппарата пациента.
Врач ориентируется на расположение межевой линии, которая обычно представлена пятью возможными вариантами:
- Первый тип берёт своё начало в зоне видимого дефекта челюстной дуги. Расположение линии берёт начало от контактного пункта, проходит по поверхности и завершается в средней части апроксимальной зоны рядом стоящего зуба.
Обзор модификаций
Кламмеры отличаются разными функциональными особенностями и применяются в соответствии с индивидуальными особенностями строения челюстных дуг пациента и сложившейся клинической ситуации.
Опорно-удерживающий
Опорно-удерживающие конструкции, явились усовершенствованной моделью простого крючка из проволоки, закрепляющегося непосредственно в зоне шейки опорной единицы.
Путём технологических разработок, опорно-удерживающие конструкции модернизировали:
- были сконструированы две разновидности удерживающего кламмера: альвеолярный и дентоальвеолярный;
- классическая система опорно-удерживающий конструкции представлена составными частями: двумя плечами, отростком и окклюзионной накладкой.

Систему можно отнести к стандартному варианту опорно-удерживающего кламмера, при этом отмечена высокая износостойкость материалов при эксплуатации. Особенности конструкции системы Нея:
- утолщённое тело и верхняя плечевая зона смоделирована с достаточным уровнем жёсткости, чтобы исключить частые переломы непосредственно в зоне сочленения с базисом;
- верхнюю часть располагают выше заданной осевой линии: такое положение обеспечивает стабильную опору каркаса и создаёт препятствие для бокового смещения;
- нижняя часть специально истончена и размещена ниже межевой линии, её функциональность заключается в надёжной фиксации протеза, не допускающей смещения;
- имеет клинообразную форму: жёсткое утолщённое плечо утончается к низу.
Система является универсальной, потому как при фиксировании нет необходимости использовать коронку при любом состоянии естественных зубов.
Система Нея сконструирована таким образом, чтобы нагрузка на челюстной механизм распределялась максимально равномерно, при этом, не травмируя эмали.
Применение данного вида возможно не при всех клинических ситуациях, однако они являются универсальным вариантом для анатомически коротких коронок.
- конструкция представляет собой длинное стержневое тело и длинные плечи, за счёт такого строения элемент становится упругим и хорошо пружинит, что снижает горизонтальную нагрузку на зубы;
- стержневые элементы можно задействовать в работе с двух сторон;
- обеспечена высокая эстетичность улыбки.
Модель Роуча при всех видимых достоинствах, нельзя использовать при анатомическом нарушении зубных рядов. Это касается и высокой верхней десны, открывающейся при улыбке.
Кламмеры Аккера
Модель данного вида считается самой эффективной по своей функциональности. Особенности конструкции Аккера:
- жёсткий и прочный состав системы позволяет закреплять на молярах;
- использование конструкции обосновано при отсутствии в ряду одного или двух зубов, при условии сохранности опорных единиц;
- жёсткий каркас блокирует смещение бюгельных протезов;
- практическая доступность.
Однако жёсткость и прочность конструкции не всегда является только гарантом стабильности. При использовании кламмеров Аккера отмечается невысокая эластичность, что ограничивает возможности их применения.
Бонвиля
Конструкция Бонвиля гарантирует высокую фиксацию и стабилизацию протеза в ротовой полости, но только при условии достаточного пространства между антагонистами.
- конструкция имеет четыре плеча, которые выполняют удерживающую функцию, при этом, два из них могут выполнять также и стабилизирующую функцию;
- оснащены двумя окклюзионными накладками, фиксирующимися на премолярах и молярах, препятствует попаданию пищи при совершении акта жевания.
Кламмеры такого типа используют для фиксирования корректирующих аппаратов при небольших односторонних аномалиях, а также для сохранения элементов челюстной дуги с противоположной стороны.
Джексона

Данная модель относится к опорно-удерживающим системам перекидного типа и визуально просматривается как своеобразная петля. Особенности:
- помещается в межзубное пространство, обхватывая опорную единицу, и располагается ниже экватора на вестибулярной поверхности;
- опору создают те части петли, которые пролегают в межзубной зоне;
- элементы, отвечающие за фиксацию, располагаются ниже экватора;
- модель такого типа представлена тремя вариантами: проволочная, эластичная, и литая.
Модель Джексона не травмирует эмаль и обеспечивает высокую стабильность протеза в ротовой полости.
Выясним, почему натирает зубной протез, и что делать в такой ситуации.
В этой публикации вы найдете полезную информацию о съемном протезе T Crystal.
Требования к расположению
Зачастую срок эксплуатации протеза зависит от того, насколько успешно установлены кламмеры при протезировании:
- Успешность процесса зависит от анатомической формы родных зубов. Правильная форма гарантирует хорошую стабильность.
При слишком плотно смыкающихся челюстных дугах, специалист устанавливает на опорный зуб защитную коронку. Если клиническая ситуация не позволяет надеть такой материал, то для опоры выбирается другой зуб.
Основы изготовления
Кламмеры изготавливают технологи, ориентирующиеся на тот протез, который будет установлен пациенту. Технология изготовления проходит следующую последовательность действий:
- кламмер по сути является крючком, фиксирующим протез, поэтому придание ему нужной формы происходит с помощью специализированных щипцов, круглогубцев или плоскогубцев;
- сначала формируется плечо, охватывающее зубную коронку;
- затем формируется само тело.
Зубные техники выполняют нужные изгибы для формирования кламмеров быстро и точно, в несколько изгибов.

Особенности производства плеча и контактного отростка
Нужная форма кламмера формируется круглогубцами. Контактный отросток и плечо формируются как отдельные элементы с использованием разных инструментов.
Контактный отросток формируют сначала плоскогубцами, а затем расплющивают на наковальне. Такая процедура необходима для нанесения специальных насечек, способствующих плотному скреплению отростка с базисом.
К изготовлению плеча применяется ряд правил:
- плечо должно обладать достаточным уровнем упругости, что более свойственно проволочным элементам, чем литым;
- плечо конструируют таким образом, чтобы его части пролегали между десной и экватором;
- при фиксировании на опорном зубе, материал не должен причинять дискомфорт;
- элемент обязан прилегать к поверхности зуба во всех точках соприкосновения, чтобы не допустить чрезмерного давления и истончения эмали;
- после закругления плеча, его необходимо тщательно отполировать во избежание возможной травматизации слизистых систем.
В видео представлен процесс изготовления кламмеров Джексона.
Возможные последствия
Если технология изготовления нарушена каким-либо способом, возможны нежелательные последствия для состояния ротовой полости:
- при горизонтальных движениях протеза, материал может чрезмерно давить на зубы, что делает их сильно подвижными;
- возможно стирание эмали, вызванное небольшими повреждениями;
- кламмер может создать неблагоприятную микрофлору в полости рта из-за скапливающихся под ним остатков пищи.
Для того чтобы не провоцировать кариозные инфекции и постепенное разрушение опорных зубов, пациент должен не только тщательно очищать съёмный протез, но и обратиться к врачу при малейшем возникновении дискомфорта.
Заключение
В заключение ещё раз необходимо отметить, что кламмеры выполняют функцию соединения базиса протеза непосредственно с коронками зубов.
Специалист подбирает каждому пациенту в индивидуальном порядке необходимый протез и тип удерживающего устройства.
Отзывы
Одним из способов восстановления жевательных функций является протезирование съёмными протезами.
Применение протезов невозможно без опорно-удерживающих элементов, которые способствуют фиксации конструкции в ротовой полости.
Вы можете поделиться своими отзывами об использовании протезов с кламмерами в комментариях к этой статье.
Если вы нашли ошибку, пожалуйста, выделите фрагмент текста и нажмите Ctrl+Enter.
Система Нея представлена 5 типами кламмеров.
Первый тип - жесткий опорно-удерживающий кламмер Аккера, состоящий из окклюзионной накладки, тела и двух плеч. Иногда его называют трехплечим, считая накладку третьим плечом. Этот кламмер является самым распространенным из всех видов, т.к. его конструкция проста и препятствует смещениям протеза в трех направлениях - вертикальном, сагиттальном и трансверзальном.
При этом накладка располагается на окклюзионной поверхности перпендикулярно к продольной оси зуба как при вертикальном, так и наклонном положениях коронки моляра. Тело кламмера располагается на дистальной окклюзионной поверхности моляра приблизительно под прямым углом к оси окклюзионной накладки. При наклоне зуба площадь, занимаемая телом кламмера, увеличивается, улучшая тем самым стабилизацию протеза. Плечи кламмера начинаются от его тела и направляются под углом около 45° по окклюзионной поверхности зуба до пересечения с межевой линией, после чего продолжаются в десневую зону.
Плечо кламмера Аккера состоит из трех частей: опорной, промежуточной и удерживающей.
Опорная часть - наиболее жесткая, располагается в окклюзионной зоне, осуществляет охват зуба, способствуя стабилизации протеза на челюсти.
Удерживающая часть является упругой, располагается в десневой зоне и обеспечивает фиксацию протеза. Длина удерживающей части приблизительно равна 1/3-1/2 длины плеча, т.е. ретенционную функцию выполняют лишь дистальные концы вестибулярного и орального плеч. Между этими двумя частями находится полужесткая промежуточная часть, расположенная в области межевой линии и пересекающая ее.
Охватывающие (стабилизирующие) части плеч кламмеров должны окружать зуб больше, чем на 180°, а ретенционные окончания должны доходить, по возможности, почти до смежного зуба.
Плечи кламмеров передают горизонтальную составляющую жевательной нагрузки на опорные зубы.
Применяется при включенных дефектах и в тех случаях, когда линия обзора делит вестибулярную и оральную поверхности зуба примерно пополам. Кламмер первого типа не применяется при высоком расположении межевой линии на контактной поверхности зуба, обращенной к дефекту. Фиксирующие свойства плеча этого типа кламмера будут максимальны при глубине поднутрения в 0,5 мм.
• плечо покрывает значительную поверхность зуба, на которой может задерживаться пища;
• упругие свойства удерживающего окончания плеча ограничены;
• применяется только на молярах.
Второй тип - эластичный опорно-удерживающий кламмер, имеет одну окклюзионную накладку и два Т-образно расщепленных концевых отдела плеч (кламмеры Роуча), поэтому его иногда называют расщепленным кламмером.
Стержневые плечи кламмеров могут применяться с одной или с двух сторон опорного зуба. Стержневое плечо ответвляется от каркаса ниже уровня десневого края, пересекает область клинической шейки зуба, не касаясь слизистой оболочки альвеолярного отростка, и продолжается в вертикальном направлении до контакта с его десневой зоной. Начало стержневого плеча и его вертикальная часть должны иметь относительно большое сечение, чтобы не сломаться.
Кламмеры Роуча должны изготавливаться из материалов, обеспечивающих их упругость и прочность. Этим требованиям отвечают золото-платиновые и кобальто-хромовые сплавы.
Некоторые авторы сравнивают рессорное действие кламмеров Роуча с Т-образными плечами с распределителями давления и рекомендуют применять такие кламмеры при дефектах зубных рядов без дистальной опоры. Стержневые плечи кламмеров Роуча благодаря близкому расположению к шейке зуба обладают свойством защелки, т.е. оказывают большее сопротивление выведению, чем введению протеза на свое ложе.
В отличие от кламмера Аккера, у которого окклюзионная накладка, тело и более половины длины плеч находятся выше межевой линии и обеспечивают функции опоры и охвата, в кламмере Роуча только небольшая ретенционная часть стержневого плеча контактирует с десневой зоной зуба. Поэтому для стабилизации бюгельного протеза на челюсти окклюзионные накладки кламмеров Роуча должны быть достаточно мощными. Кроме того, наряду с этими кламмерами в протезе целесообразно использовать другие, более жесткие системы, например, Аккера.
Этот кламмер рекомендуется выбирать при диагональном прохождении межевой линии и при высоком ее расположении (близко к окклюзионной поверхности). Кламмер Роуча целесообразно применять при глубине поднутрения в пределах от 0,5 до 0,75 мм. При большой глубине поднутрения также нужно использовать кламмер с хорошими пружинящими свойствами.
Применение в конструкции бюгельного протеза одних кламмеров Роуча благодаря рессорному действию стержневых плеч разгружает опорные зубы, но, с другой стороны, увеличивает нагрузку на альвеолярный отросток. Поэтому при невыраженном альвеолярном отростке использование одних кламмеров Роуча нецелесообразно.
Кламмеры Роуча обладают следующими преимуществами:
• обеспечивают хорошую ретенцию в различных зонах опорных зубов;
• эффективнее кламмеров Аккера в эстетическом отношении, т.к. располагаются со стороны десны и большая часть их длины не заметна;
• уменьшается вероятность возникновения кариеса, т.к. остатки пищи задерживаются под длинными плечами, которые не контактируют с поверхностью зуба;
• точная подгонка ретенционного окончания стержневого плеча, контактирующего с зубом, относительно проста;
• эффективны для зубов с маловыраженным экватором и наклоненных зубов, а также для коротких зубов с ограниченной ретенционной способностью;
• в результате стирания зубов межевая линия может располагаться настолько близко к окклюзионной поверхности, что не остается места для размещения плеч кламмера Аккера; такая проблема разрешается применением кламмеров с удлиненными плечами.
Недостатки кламмеров Роуча:
• не могут применяться при выраженных костных выступах и валиках слизистой оболочки, мешающих расположению плеч;
• стержневое плечо кламмера не имеет жесткой части, контактирующей с зубом. Поэтому оно менее эффективно, чем кламмер Аккера;
• нельзя применять в том случае, когда при улыбке обнажаются десны;
• могут быть случайно согнуты пациентом.
Третий тип - комбинированный кламмер, состоящий из жесткого плеча с окклюзионной накладкой (как у кламмера Аккера) и эластического плеча кламмера Роуча. Кламмер применяется на премолярах, молярах и клыках при разных уровнях расположения межевой линии на поверхностях зуба. В этой конструкции удерживающим является стержневое плечо кламмера Роуча, которое может располагаться с вестибулярной или оральной сторон в зависимости от наклона зуба. При конвергенции опорного зуба (на нижней челюсти) с язычной стороны располагается плечо Роуча, а с вестибулярной стороны - плечо Аккера. При дивергенции опорного зуба (на верхней челюсти), наоборот, с небной стороны изготавливают плечо Аккера, а со щечной стороны - плечо Роуча. Следовательно, жесткое плечо расположено на той поверхности, где линия обзора проходит низко (близко к десневому краю), эластическое плечо - с противоположной стороны, там, где линия обзора находится близко к окклюзионной поверхности.
Четвертый тип - одноплечий кламмер заднего (обратного) действия. Известны два его вида:
1) оральный одноплечий кламмер с дистальной накладкой;
2) оральный одноплечий кламмер с медиальной накладкой. Служит для предотвращения смещения (отрыва) базиса без дистальной опоры от альвеолярного отростка. Поэтому, в соответствии с системой Нея, он называется кламмером заднего действия. Применяется на премолярах и клыках, чаще на премолярах нижней челюсти при концевых дефектах зубных рядов. С медиальной стороны опорного зуба от нижней дуги отходит в вертикальном направлении мощный поддерживающий стержень. Выше межевой линии от стержня отходит плечо, охватывающее зуб с оральной, дистальной и вестибулярной сторон. Учитывая топографию кламмера, его называют его оральным одноплечим кламмером.
При низкой межевой линии с оральной стороны плечо располагается посредине окклюзионной зоны. При расположении межевой линии посредине язычной поверхности премоляра нижний край плеча кламмера может соприкасаться с этой линией, но не пересекать ее. При высокой межевой линии применение кламмера противопоказано.
На дистальной стороне премоляра плечо пересекает межевую линию и продолжается в десневой зоне с вестибулярной стороны до ретенционной точки. Таким образом, часть плеча, расположенная в пределах вестибулярной поверхности премоляра, является удерживающей.
В кламмере 1-го вида окклюзионная накладка отходит от дистальной части плеча и обеспечивает опору протеза. Эта область плеча является полужесткой, промежуточной. Жесткая часть плеча располагается на оральной стороне зуба и обеспечивает его охват, а упругая вестибулярная часть - фиксацию протеза на челюсти. Благодаря протяженным охватывающим частям плеч обеспечивается стабилизация протеза на челюсти.
Оральный одноплечий кламмер может применяться при II и III классах дефектов по Кеннеди со стороны непрерывного зубного ряда, являясь, таким образом, перекидным кламмером.
Для обеспечения достаточной упругости плечо кламмера должно быть конусовидным на всем протяжении - от поддерживающего стержня до ретенционного окончания. Оптимальной глубиной поднутрения для кончика плеча этого кламмера считается 0,25 мм.
Разновидностью данного вида кламмера является оральный одноплечий кламмер, но с медиально расположенной окклюзионной накладкой. Этот кламмер эффективнее предыдущего, т.к. топография накладки обеспечивает лучшую устойчивость опорного зуба, а плечо обладает большей податливостью, т.е. лучшим прогибом. В кламмере этого вида плечо имеет только жесткую и упругую части.
Пятый тип - одноплечий кольцевой. Известны три вида:
1) кольцевой кламмер с двумя накладками для верхней челюсти;
2) кольцевой кламмер с двумя накладками для нижней челюсти;
3) кольцевой кламмер с одной накладкой.
Кольцевой кламмер применяют на одиночно стоящих наклоненных молярах с высоко расположенной межевой линией на стороне наклона и низко опущенной на противоположной стороне. Кламмер состоит из одной (двух) окклюзионных накладок, длинного плеча, почти полностью окружающего зуб, тела (со стороны дефекта) и поддерживающего стержня со стороны, противоположной наклону. Часть плеча, находящаяся между двумя окклюзионными накладками, располагается в окклюзионной зоне, т.е. выше межевой линии.
Это полукольцо является жестким и обеспечивает стабилизацию. Свободная часть плеча является удерживающей, причем она может начинаться от медиальной или дистальной накладок в зависимости от расположения межевой линии. Пружинящий кончик плеча кламмера заходит в зону поднутрения на стороне смещения зуба на 0,5-0,75 мм.
Плечо кольцевого кламмера с двумя накладками на моляре имеет большую протяженность и может легко деформироваться. Поэтому оно должно быть усилено за счет поддерживающего стержня. Последний соединяет плечо и дистальную накладку с поперечной дугой на верхней челюсти и те же элементы кламмера с областью крепления базиса - на нижней челюсти.
Поскольку кольцевой кламмер является сложной конструкцией, под ним возможно скопление пищевых остатков. Поэтому целесообразно последние одиночные моляры, используемые под кольцевые кламмеры, покрывать коронками с хорошо отштампованными углублениями для накладок и выраженным экватором.
Прямо сейчас студенты читают про:
Согласное и встречное включение индуктивностей Выводы двух индуктивно связанных катушек, относительно которых токи направлены одинаково и направления создаваемых ими потоков.
Влияние углерода на свойства стали Углерод - не случайная примесь, а важнейший компонент углеродистой стали, от количества которого завичсят ее свойства.
ПРИМЕРНЫЕ НАЗВАНИЯ ОТРЯДОВ И ДЕВИЗЫ Предлагаю вам небольшую подборку возможных названий: Отряд: Червячки Девиз: Обломаем все крючки - мы крутые червячки.
Выделяют три способа: прямой, отсылочный и бланкетный При прямом способе статья акта содержит одну норму, причем все ее элементы сразу.
Формы организации воспитательного процесса ПЛАН 1. Понятие «форма воспитательной работы». 2. Типы форм воспитательной работы: мероприятия.
Современные виды кламмеров, их назначение и особенности

Кламмер представляет собой структурный элемент съемных протезных конструкций. Предназначение этого компонента - фиксация и стабилизация искусственных зубов в ротовой полости человека.
В зависимости от разновидности используемого протеза, форма, расположение и внешний вид кламмеров может существенно отличаться.
В ортопедической стоматологии существует несколько классификационных признаков, по которым различаются кламмеры.
Фиксирующие элементы для съемных зубных протезов могут быть изготовлены из различных материалов:
- Металлические. Чаще всего изделия выполнены из медицинской стали, хромокобальтового или золотоплатинового сплава. Эти материалы отличаются высокой прочностью и обеспечивают максимальный срок эксплуатации всей конструкции.
- Пластиковые. Применяются в протезах-бабочках и нейлоновых эластичных конструкциях. Предназначены для выполнения удерживающей функции, поскольку при жевательных нагрузках склонны к деформации и поломке.
- Комбинированные. Содержат в себе как металлические, так и пластмассовые элементы. Чаще всего такая разновидность применяется в ортопедических пелотах.

В зависимости от методики изготовления кламмеры разделяются на такие группы:
- гнутые - выполнены из стальной проволоки при помощи специального инструментария;
- литые - изделие формируется из воска, после чего он меняется на требуемый материал, чаще всего пластмассу;
- штампованные - производятся методом штамповки из сплава металлов.
По разнообразию выполняемых функций кламмеры могут быть опорными, удерживающими и комбинированными.
Опорные изделия крепятся на клыки и моляры при помощи крючков и участвуют в процессе перераспределения жевательной нагрузки.
Удерживающие элементы предназначены для закрепления протеза на элементах челюстной дуги при осуществлении вертикальных движений.
В комбинированных опорно-удерживающих кламмерах происходит перераспределение различных видов нагрузки между пародонтальными тканями и протезным ложе.
В зависимости от формы сечения выделяют круглые, полукруглые и ленточные кламмеры.
Круглые фиксаторы наиболее просты в изготовлении. Они обеспечивают эффективность крепления протеза в случае правильного размещения и использования достаточного количества опорных единиц.
Полукруглые кламмеры применяют при покрытии опорных зубов металлическими коронками. Изготавливают их, как правило, из пружинящего сплава.
Ленточные крючки применяются все реже из-за сложности их припасовки к поверхности зуба.
По способу прилегания различают следующие разновидности фиксаторов:
- Десневые. Представляют собой отросток базиса. Имеют малую фиксирующую силу, поэтому используются при невозможности размещения иных способов крепления.
- Зубные. Крепятся непосредственно на опорных зубах, благодаря чему обеспечивают надежную стабилизацию протеза.
- Зубодесневые.

Охват кламмерами зубов может значительно отличаться в различных конструкциях. Так, различают протезы с одноплечим, двуплечим, т-образным, многозвеньевым, двойным и перекидным способами охватывания опорных зубов.
Каждый из методов расположения на зубной поверхности имеет как достоинства, так и недостатки, поэтому выбор определенного способа фиксации зависит от конкретной клинической ситуации.
Существует три варианта соединения кламмера с протезной конструкцией:
- Жесткая фиксация предполагает неподвижное крепление крючка к базису, в результате чего передача жевательной нагрузки на зубы происходит через кламмер.
- Пружинящее соединение обеспечивается при помощи пружинящего отростка. Давление протеза передается на зубы лишь частично.
- Суставное соединение выполнено при помощи шарнира. Давление на опорные зубы при этом полностью отсутствует, а нагрузка идет на слизистую оболочку альвеолярного гребня.
Клинико-лабораторные этапы изготовления бюгельного протеза и используемый материал.
Заходите сюда, если интересуют объективные отзывы о полиуретановых зубных протезах.
Кламмеры удерживающего типа состоят из следующих элементов:
- Плечо выполняет функцию удержания кламмера на зубной поверхности. Этот элемент обеспечивает выполнение пружинных свойств конструкции и передачу давления на опорную единицу. Плечо не должно иметь острых выступов во избежание травмирования дёсенной ткани и щеки.
- Тело - элемент изделия, размещаемый на поверхности зуба и соединяющий плечо и отросток кламмера.
- Отросток выполняет функцию фиксации крепления в протезной конструкции. Размещен под пластиковыми составляющими крючка.
В кламмерах опорно-удерживающей направленности помимо плеча и тела присутствуют окклюзионная накладка, предотвращающая смещение зуба при возникновении давления на него, и якорная часть - элемент, соединяющий кламмер с металлическим основанием.
Расположение межевой линии имеет большое значение при выборе разновидности устанавливаемых кламмеров.
Существует 5 вариантов ее размещения:
- Межевая линия берет начало от контактного пункта элемента ряда со стороны размещения патологии и опускается в центр апроксимальной области соседнего зуба. В таком случае эффективно применение кламмеров с удерживающими плечами большой длины.
- Линия экватора располагается по центру апроксимальной поверхности и направляется в сторону контактного пункта соседнего зуба по язычной или щёчной стороне. Ситуация требует применения опорно-удерживающих механизмов.
- Межевая линия размещается диагонально на поверхности опорного элемента - от жевательной области в зоне дефекта к шейке элемента с обратной стороны. Специалисты предпочитают при такой патологии использовать кламмеры Нея.
- Межевая линия расположена низко, экватор проходит в области шейки зуба. Для фиксации протезной конструкции требуется использование опорных кламмеров.
- Высокое расположение экватора встречается в случаях повышенной стираемости зубов. Для восстановления их функциональности и внешнего вида требуется покрытие искусственными коронками.

Обзор типов
При изготовлении протезных конструкций могут быть использованы разнообразные типы кламмеров. Применение конкретной разновидности зависит от тяжести клинической ситуации.
Чаще всего опорно-удерживающие кламмеры состоят из двух плеч, окклюзионной накладки и отростка.
Нижняя часть конструкции располагается ниже линии экватора, верхняя - выше нее. Крючки данного вида обеспечивают надежную фиксацию протеза, исключая возможность бокового смещения.
Классическим примером кламмеров опорно-удерживающего типа является система Нея.
Крепежная система Нея предполагает использование нескольких разновидностей кламмеров, каждый из которых расположен на определенном месте для прочной фиксации протеза. В искусственных коронках при этом отсутствует необходимость.
Преимуществами такой системы фиксации являются безопасное распределение жевательной нагрузки, отсутствие травмирования здоровых зубов, надежность и длительный период эксплуатации.
Изделие применяется при нестандартном расположении распределяющей линии.
Крепление включает в себя два т-образных плеча, окклюзионную накладку, отросток и тело. Наличие конструктивно длинных плеч позволяет уменьшить нагрузку на опорные зубы и правильно распределить давление между всеми элементами челюстного ряда.
Среди преимуществ конструкции отмечают надежное крепление и возможность использования в случае коротких зубов. Системы Роуча нельзя применять при обнажении верхней десны во время улыбки.
Крючки Анкера состоят из следующих конструктивных элементов:
- двух плеч;
- тела;
- окклюзионной накладки.
Конструкция применяется при прохождении межевой линии в середине коронки в случаях отсутствия одного или нескольких зубов и наличии точки опоры.
Ключевое преимущество изделия - надежная фиксация протеза, исключающая возможность его смещения.
Из недостатков отмечают низкую степень эластичности, в результате чего существует вероятность появления ощущения дискомфорта в процессе эксплуатации.

Крепежный элемент представляет собой разновидность кламмеров Анкера, усовершенствованный, благодаря наличию двух окклюзионных накладок и направленности плеч в разные стороны.
Система применяется при непрерывности зубного ряда и необходимости размещения протезов на односторонних дефектах.
Кламмеры Бонвиля обеспечивают надежную фиксацию протеза, маскируют межзубные щели, препятствуют застреванию пищи в труднодоступных участках ряда и развитию воспалительных процессов в дёснах.
Система Джексона - разновидность опорно-удерживающего перекидного кламмера. Изделие состоит из двух тел и отростков, сформированных в форме петли, которая перебрасывается через промежутки между зубами и размещается на вестибулярной поверхности ниже линии экватора.
Кламмеры Джексона могут изготавливаться при помощи литья либо сгибаться из проволоки.
При размещении кламмеров опорные зубы должны соответствовать следующим требованиям:
- Быть устойчивыми. При наличии патологической подвижности, ее необходимо устранить до начала фиксации протезной конструкции. Воспалительные процессы, протекающие в теле зуба, следует пролечить во избежание дальнейшего распространения и разрушения элементов ряда.
- Иметь правильную форму. Противопоказаниями к размещению кламмеров являются малая высота зуба, обнажение шейки, неправильное соотношение длины элемента ряда и его корневой системы.
- Правильно соотноситься с зубами-антагонистами. Это поможет избежать увеличения высоты прикуса путем выбора более подходящего элемента ряда или установкой защитной коронки.
С какой целью производится полировка съемного протеза и каким инструментарием.
В этой публикации рассмотрим особенности нейлонового протеза Valplast.
Изготовление опорно удерживающих кламмеров гнутого типа осуществляется при помощи специальных щипцов, плоскогубцев или круглогубцев
- Изгибает при помощи щипцов один из концов проволоки для формирования плеча изделия.
- Выполняет второй загиб, формирующий тело кламмера.
- Формирует отросток фиксатора благодаря третьему загибу стальной проволоки.
Двуплечие изделия выполняются идентичным способом с формированием двух элементов.

При изготовлении плеча, технику необходимо соблюдать несколько важных правил. Следует оформить элемент таким образом, чтобы он соответствовал следующим требованиям:
- охватывал зуб с губной или шеечной области;
- не оказывал давления на опорный элемент ряда;
- был тщательно отполирован во избежание повреждения слизистой оболочки ротовой полости;
- максимально касался поверхности зуба;
- обладал достаточной упругостью.
При выполнении контактного отростка технику необходимо использовать несколько инструментов: круглогубцы - для фиксации формы, плоскогубцы - для выполнения изгиба к гребню.
Для прочного скрепления с базисом заготовка раздавливается на наковальне и покрывается насечками.
Несоблюдение специалистом технологии изготовления кламмеров для съемных протезов грозит пациенту массой неудобств.
Вот основные из них:
- ухудшение состояния опорных зубов вследствие снижения качества удаления бактериального налета, что чревато развитием кариеса и разрушением элементов;
- сильное стирание эмали в результате регулярной повышенной нагрузки;
- расшатывание зубов из-за перегрузки, вызванной горизонтальными движениями протеза.
Кламмеры - элементы протезной конструкции, выполняющие важную роль, связанную с качественным креплением к опорным зубам. От правильности их выбора и точности выполнения зависит удобство и безопасность дальнейшей эксплуатации искусственных зубов.
Если вы носите съемные протезы, опишите разновидность использованных в них кламмеров и удобство их фиксации на зубах.
Кламмеры системы Нея, их особенности и использование

Кламмеры считаются наиболее простыми механизмами для фиксации съемных протезов. Однако это верно только в отношении проволочных удерживающих кламмеров пластинчатых протезов.
Что касается опорно-удерживающих литых фиксаторов для бюгельных протезов, то их изготовление требует от зубных техников не только высокого профессионализма, но и немалых теоретических знаний.
Немного из истории создания
Необходимость в разработке теории кламмеров возникла в связи с большим разнообразием клинических ситуаций и частыми поломками простых проволочных фиксаторов. Ортопедия нуждалась в стандартных решениях, которые облегчали бы для ортопедов и зубных техников выбор оптимальной конструкции кламмера для конкретной клинической ситуации.
В 1956 году во Франкфурте-на-Майне фирма Нея объединила усилия мастеров разной специализации - стоматологов, металлургов, инженеров, разбирающихся в теоретической механике - с целью разработки линейки литых кламмеров для бюгельных протезов.
Собственно, в разработке новых конструкций особой необходимости не было. Требовалось проанализировать и отобрать лучшие из существовавших к тому времени конструкций.
В результате была создана система кламмеров, названная по имени фирмы, выполнившей эту работу (Нея). В нее вошли пять типов фиксаторов, конструкция которых в наибольшей степени удовлетворяла предъявляемым к ним требованиям, и перекрывала практически все клинические ситуации.

Конструкции и классификация
Прежде чем говорить о классификации кламмеров, необходимо сказать несколько слов о названии их частей, а также о параметрах зуба, от которых зависит выбор оптимальной конструкции.
Кламмера бывают удерживающими и опорно-удерживающими. Первые фиксируют протез только в горизонтальной плоскости и не передают на опору нагрузку от жевания. Опорно-удерживающие изделия не только фиксируют протез в горизонтальной плоскости, но и нагружают опорный зуб жевательной нагрузкой, снимая ее с мягких тканей.
Это очень важное отличие бюгельных протезов от пластинчатых, у которых жевательная нагрузка передается на мягкие ткани десны, отростка и нёба.
Опорно-удерживающие изделия состоят из следующих основных элементов:
- Тело. Неподвижная часть (основание), располагающаяся вертикально на контактной стороне опоры. К телу крепятся все остальные части кламмера.
- Плечи. Элементы, охватывающие опорный зуб. Именно они выполняют функцию фиксации протеза.
- Отросток. Посредством него кламмер крепится в протезе.
- Окклюзионная накладка. Упирается в окклюзионную поверхность зуба, нагружая его жевательной нагрузкой. Позволяет разгрузить слизистую оболочку от несвойственной ей нагрузки жевания.
При выборе кламмеров необходимо учитывать два важных параметра зуба - экватор и межевую (направляющую, разделительную) линии. Экватором называется наиболее выпуклая боковая поверхность зуба. Если двигаться от жевательной поверхности зуба к десне, то его диаметр вначале увеличивается, затем, перейдя экватор, уменьшается.
Межевой линией называется граница, разделяющая окклюзионную и шейную поверхности зуба. Ее расположение зависит не только от формы зуба, но и его положения (наклоненного или прямого). Направляющая линия определяется с помощью параллелометрии.
Опорная часть кламмеров Нея располагается на окклюзионной и/или частично боковой поверхности опоры до межевой линии, фиксирующая (концы плеч) - ниже ее.
При их изготовлении необходимо соблюдать следующие принципы:
- Элементы конструкции должны наносить опорным зубам наименьший вред. С этой целью их плечи нужно стараться сделать такими, чтобы они контактировали с зубом, как можно в большем количестве точек.
Изготавливать фиксаторы рекомендуется из наиболее упругих и прочных материалов. Таковыми являются сплавы золота с платиной и кобальта с хромом.
Недостатками кламмеров Нея считаются:
- обязательная жесткая связь между ними и базисом;
- отсутствие шинирования зубов, вследствие чего движение протезов в трансверсальном направлении воспринимается только опорными зубами.
Система Аккера

Модель Аккера (условно Ней-I) - наиболее известная и распространенная классическая модель, где одна накладка и два плеча соединенны непосредственно с телом.
С учетом накладки, кламмеры Аккера иногда называют трехплечими. Они обеспечивают неподвижность протеза в 3-х направлениях, в том числе и вертикальном. Хорошо фиксируют протез при поднутрении зуба около 0,5 мм.
Плечи расположены наклонно. Начинаются у тела в точке, находящейся выше разграничительной линии, идут вниз на 45⁰, пересекая межевую линию, и заканчиваются в пришеечной зоне. Они охватывают большую часть опоры, достигая смежного зуба.
Системы Аккера используются при наличии опорных элементов с обеих сторон и типичном расположении экватора. Таковым считается положение, когда последний проходит примерно посредине коронки.
Противопоказанием к конструкции Аккера является высокое расположение направляющей линии.
Основным достоинством кламмеров Ней-I считается простота и надежность конструкции, проверенная временем. К недостаткам относятся:
- благоприятные условия для задержки пищи из-за высокого расположения плеч (выходят на окклюзионную поверхность);
- малая упругость плеч.
Характеристики искусственных зубов Yamahachi и области их применения.
Заходите сюда, чтобы рассмотреть плюсы и минусы съемных зубных протезов без неба.
Система Роуча
Главное отличие конструкции Роуча - Т-образная конфигурация плеч. Они состоят из двух элементов - отходящего от тела изогнутого стержня, и прикрепленного к нему перпендикулярно удерживающего плеча.
Стержень, к которому крепится плечо, соединен с телом в точке, расположенной ниже десневого края.
Кламмера Роуча создают эффект защелки, при установке протезов требуется меньшее усилие, чем при снятии. Они показаны при диагональном высоком положении направляющей линии и глубине поднутрения 0,5-0,75 мм. Иногда их целесообразно использовать в комбинации с конструкциями Аккера.
Преимущества конструкции
- Хорошая ретенция независимо от вида опорного зуба.
- Более высокая эстетичность, чем у кламмеров Аккера - из-за меньшей заметности.
- Сниженный риск возникновения кариеса, поскольку задерживающие пищу вспомогательные стержни не контактируют с поверхностью зуба.
- Достаточно высокая эффективность в тех клинических случаях, которые считаются проблемными - наклоненные зубы, маловыраженный экватор, низкая высота коронки.
Недостатки
- Невозможность использовать при развитых валиках слизистой и больших костных выступов из-за того, что они мешают расположению плеч.
- Повышенная опасность изгиба плеч при неосторожных действиях пациента.
- Нежелательность применения у людей с десневой улыбкой.
Комбинированный кламмер
Конструкция имеет одно жесткое плечо у Аккера, второе - Т-образное Роуча. Изделие Ней III может устанавливаться на жевательных элементах при различной высоте расположения направляющей линии.
Удерживающую функцию выполняет плечо Роуча, располагающееся с той стороны, в которую наклонен опорный элемент. При конвергенции (сближении) зубов с лингвальной стороны помещается плечо Роуча, с противолежащей - плечо Аккера. При дивергенции (расхождении) картина обратная - с лингвальной - плечо Аккера, с противостоящей - Роуча.
Почему болтается зубной протез, и что делать в такой ситуации.
В этой публикации читайте, на чем основывается выбор опорных зубов для бюгельного протеза.
Одноплечий с дистальной накладкой
Само название этого кламмера говорит о том, что у него только одно плечо в форме кольца. Термин «дистальная» означает, что накладка расположена на противоположной стороне зуба от тела фиксатора.
Конструкция используется при атипичном положении разделяющей линии, которое наблюдается при наклонах опорного зуба щечно или язычно, а также низкой или конической коронке. Оптимальное поднутрение для конструкции этого типа составляет 0,25 мм.
Конструкция применяется при устойчивых премолярах. На незначительно подвижных опорах желательно использовать одноплечий кламмер с мезиальной накладкой.
Одноплечий кольцевой

Особенностью конструкций этого типа является наличие только одного плеча в форме жесткого кольца. Жесткость обеспечивается двумя точками крепления плеча к телу; в одном месте плечо примыкает к телу непосредственно, в другом - через дополнительный поддерживающий стержень. Плечо в форме кольца окружает зуб почти со всех сторон.
Кламмер имеет три модификации:
- 2-мя окклюзионными накладками для ВЧ;
- с 2-мя накладками для НЧ;
- с одной накладкой независимо от местоположения зуба.
Конструкция предназначена при использовании одиночных наклонных маляров, как опор, у которых межевая линия пролегает высоко в сторону наклона.
Достоинство одноплечих кольцевых кламмеров состоит в возможности обеспечить хорошую фиксацию протеза к одиноко стоящим наклонным молярам.
Недостатком конструкции является относительная сложность, создающая благоприятные условия для накопления остатков пищи и развития кариеса. Чтобы уменьшить этот негативный фактор, опорный зуб рекомендуется защищать коронкой с углублением под накладку.
В видео представлен принцип создания кламмеров.
Выводы
Кламмеры фирмы Нея - это линейка зубопротезных опорно-удерживающих фиксаторов кламмерного типа, удовлетворяющая ряду принципов, направленных на повышение срока службы бюгельных протезов, упрощение подбора конструкции для конкретной клинической ситуации, облегчение работы зубных техников.
Основные принципы системы Нея
Кламмеры изготавливаются по литьевой технологии, обеспечивающей переменное сечение элементов (плечи в форме рога), точность, компактность и эргономичность конструкции.
Плечи, поддерживающие стержни и другие части кламмеров, имеют увеличенное сечение в местах наибольшего напряжения.
Разнообразие типов конструкций Нея позволяет удовлетворительно решать задачу крепления бюгельных протезов при различных клинических ситуациях.
Читайте также:

