Уход после операции по поводу вальгусной мальпозиции подтаранного и поперечного суставов стопы после трехсуставного артродеза
Добавил пользователь Владимир З. Обновлено: 08.01.2026
ПЕРСОНИФИЦИРОВАННАЯ РЕАБИЛИТАЦИЯ БОЛЬНЫХ ПОСЛЕ АРТРОДЕЗА ГОЛЕНОСТОПНОГО СУСТАВА
ССЫЛКА ДЛЯ ЦИТИРОВАНИЯ:
Р. О. ГОРБАТОВ, Д. В. ПАВЛОВ, О. П. МОТЯКИНА, Н. Н. РУКИНА, А. Н. КУЗНЕЦОВ, В. В. БОРЗИКОВ
Приволжски й федеральны й медицински й исследовательски й центр Минздрава России, Нижни й Новгород
Информация об авторах:
Цель исследования: разработка основополагающих элементов индивидуального комплексного восстановительно-реабилитационного лечения пациентов после артродезирования голеностопного сустава.
Материалы и методы: Исследование основано на проведении клинико-биомеханического и рентгенологического обследований 32 пациентов, которым в ФГБУ «ПФМИЦ» Минздрава России с 2011 по 2015 г. было выполнено 32 операции артродезирования голеностопного сустава по поводу посттравматического крузартроза III-IV стадии. Все больные были разделены на две группы в зависимости от вида послеоперационной реабилитации: 1 группа (16 больных) - стандартная программа реабилитации, 2 группа (16 пациентов) - усовершенствованное персонифицированное восстановительно-реабилитационное лечение, включающее персонифицированный подбор ортопедических стелек и функциональную электрическую стимуляцию мышц нижних конечностей.
Результаты: Наилучшие статико-динамические и клинические результаты, оцененные в одинаковые сроки после операции, наблюдались во 2 группе пациентов, которым было проведено усовершенствованное персонифицированное восстановительно-реабилитационное лечение. В отдаленном послеоперационном периоде все пациенты данной группы передвигались без дополнительных средств стабилизации голеностопного сустава (ортезы, эластичные бинты и др.), 12 (75%) - могли встать на носочки, а 10 (63%) - могли заниматься спортом, связанным с бегом. После реабилитации восстановились практически до нормы такие показатели, как опорность при двуопорном стоянии, максимальная сила толчка, коэффициент ритмичности, период опоры больной ноги и переноса здоровой.
Заключение: Разработанные основополагающие элементы (персонифицированный подбор стелек и ФЭС мышц нижних конечностей) индивидуальной комплексной реабилитации пациентов после артродезирования голеностопного сустава значительно улучшили как клинические результаты лечения, так и биомеханические показатели статики и походки. Их применение позволило не только достичь восстановления опороспособности конечности, купировать болевой синдром, но и приблизить походку к физиологической норме с восстановлением привычных нагрузок и улучшением качества жизни пациентов
Ключевые слова: крузартроз, персонифицированная реабилитация, артродез голеностопного сустава.
Введение
Посттравматический артроз голеностопного сустава развивается в 60 % случаев [1, 2]. Клинически данная патология на терминальных стадиях характеризуется выраженным болевым синдромом, значительным ограничением движений в пораженном суставе, нарушением походки и невозможностью передвижения без дополнительной опоры, что значительно ухудшает качество жизни пациентов [3]. Одним из наиболее часто используемых, а в ряде случаев и единственно возможным методом лечения больных с крузартрозом III-IV стадии является артродезирование [4, 5]. Однако в послеоперационном периоде более чем в 70% случаев развиваются дегенеративно-дистрофические процессы в смежных суставах стопы с появлением болевого синдрома, сгибательных контрактур и нарушением походки пациентов, что наиболее часто связано с отсутствием специализированных программ реабилитации для данных больных, которым приходится осваивать биомеханически отличную от нормы ходьбу 8.
Целью исследования является разработка основополагающих элементов индивидуального комплексного восстановительно-реабилитационного лечения пациентов после артродезирования голеностопного сустава.
Материалы и методы. Исследование основано на проведении клинико-биомеханического и рентгенологического обследований 32 пациентов, которым в ФГБУ «ПФМИЦ» Минздрава России с 2011 по 2015 г. было выполнено 32 операции артродезирования голеностопного сустава по поводу посттравматического крузартроза III-IV стадии. Из них было 15 женщин, средний возраст − 53±3,1 года (95% ДИ 46-61), и 17 мужчин, средний возраст − 51±2,7 (95% ДИ 39-54). Все пациенты до операции пользовались дополнительными средствами опоры, и у них имелся выраженный болевой синдром. Анкетирование больных проводилось по международной шкале AOFAS, в которой хороший результат соответствовал 75-94 баллам, удовлетворительный − 51-74 баллам, неудовлетворительный − менее 50 баллам [9]. У всех пациентов на момент исследования диагностирован костный анкилоз в физиологическом положении. Результаты лечения оценивались в срок от 1 года до 4 лет (1,9±0,4).
Артродезирование голеностопного сустава выполнялось с использованием в качестве фиксатора винтов. Применялись латеральный и медиальный доступы посредством внутренних и наружных транснадлодыжечных артротомий с резекцией хрящевых поверхностей лодыжек. Затем осуществлялась корригирующая остеотомия как большеберцовой, так и таранной костей с удалением суставного хряща и субхондрального слоя. Стопа устанавливалась в физиологически выгодное положение и фиксировалась двумя взаимно перекрещивающимися канюлированными винтами, введенными по направляющим спицам через большеберцовую кость в таранную. Латеральную лодыжку фиксировали одним или двумя винтами к большеберцовой кости, стабилизируя зону артродеза.
Для изучения опорных функций стопы обследуемый вставал в стандартной ортоградной позе на стельки с датчиками программно-аппаратного комплекса «F-scan» (Tekskan Inc., США), которые регистрировали распределение давления на различные отделы стопы.
Изучение пространственно-временных характеристик походки пациентов производилось на программно-аппаратном комплексе «Walkway» (Tekskan Inc., США). Обследуемый проходил по дорожке с интегрированными датчиками 4 метра обычной походкой, без дополнительных средств опоры, соблюдая равномерный темп. По информации о давлении с различных участков стопы на датчики во время ходьбы вычисляли периоды опоры и переноса для каждой конечности, коэффициент ритмичности.
Оценка устойчивости вертикальной позы осуществлялась с использованием метода стабилографии. Применялся компьютерный стабилометрический комплекс «МБН Биомеханика» (Россия), позволяющий регистрировать текущие координаты и колебания проекции общего центра массы человека в вертикальной позе на площади опоры с учетом массы и роста пациента. Исследования проводились при спокойном стоянии пациента с открытыми глазами без дополнительных средств опоры и установкой стоп на стабилометрической платформе по американскому варианту (стопы ног параллельны). Продолжительность исследования 60 с. С целью определения повторяемости показателей (тест ретестовой надежности) каждый пациент был обследован 10 раз с интервалами 1-2 мин для отдыха.
Все больные были разделены на две группы в зависимости от вида послеоперационной реабилитации: 1 группа (16 больных) - стандартная программа реабилитации, 2 группа (16 пациентов) - усовершенствованное персонифицированное восстановительно-реабилитационное лечение. Стандартная программа реабилитации включала в раннем послеоперационном периоде во время стационарного лечения пациентов (15±4 дней) проведение элевации оперированной нижней конечности в сочетании с упражнениями по Бюргеру Филатову, периодическую локальную гипотермию (первые сутки после операции), магнитотерапию по продольной методике, с расположением электродов-излучателей магнитного поля вдоль конечности, тромбопрофилактику антикоагулянтами (Эноксапарин), изометрическую гимнастику для мышц нижней конечности, прием венотоников (Диосмин) в течение 1 месяца. Всем пациентам до формирования костного анкилоза выполнялась иммобилизация задней гипсовой лонгетой от кончиков пальцев до верхней трети голени. На этапе амбулаторного лечения больным проводилась магнитотерапия и электростимуляция мышц нижней конечности. Постепенное увеличение опорной осевой нагрузки проводилось через 3,3±1,2 месяца (сроки образования костного анкилоза). Во время ходьбы все пациенты использовали ортопедические стельки.
Усовершенствованная программа реабилитации в дополнении к стандартной включает в себя ортопедическую коррекцию распределения центра тяжести на различные отделы стопы методом персонифицированного подбора ортопедических стелек и нормализацию биомеханики движения с использованием функциональной электрической стимуляции мышц нижней конечности.
Индивидуальный подбор стелек производили сразу же после начала опорной осевой нагрузки. Для этого пациент в ортопедических стельках вставал на датчики программно-аппаратного комплекса «F-scan» (Tekskan Inc., США) и проходил тестовое расстояние 10 м. Подбор осуществлялся до момента нормализации перераспределения нагрузки на различные отделы стопы. В случае отсутствия подходящих стелек осуществлялось их индивидуальное изготовление на 3D принтере.
Функциональную электрическую стимуляцию (ФЭС) мышц нижней конечности проводили на комплексе «МБН-Стимул» (НМФ «МБН», г. Москва). Все пациенты к моменту реабилитации могли передвигаться без дополнительных средств опоры. После установки датчиков на нижние конечности больной начинал движение по беговой дорожке в течение 1-2 минут (рис. 1).
По окончанию движения врач анализировал информацию, поступившую с датчиков, посредством имеющихся в программном пакете инструментов. На основании полученной диагностической информации уточнялись режим синхронизации для каждой нижней конечности (какой датчик и в каком режиме будет использоваться) и выбор мышц для стимуляции, определялась скорость передвижения пациента по беговой дорожке. При необходимости переустанавливались или дополнительно устанавливались электроды на стимулируемые мышцы. На основе диагностических данных и индивидуальных ощущений пациента подбирался режим стимуляции для каждой мышцы. При проведении ФЭС врач осуществлял контроль за работой каналов стимуляции и двигательным эффектом процедуры по диагностической информации с датчиков. При необходимости производились дополнительные регулировки режимов синхронизации или стимуляции. Длительность тренировки постепенно увеличивалась с 10 минут в начале курса и до 30 минут в конце. Продолжительность курса составляла 15 занятий (3 раза в неделю, 5 недель).
Исследование проведено в соответствии с Хельсинкской декларацией (принятой в июне 1964 г. (Хельсинки, Финляндия) и пересмотренной в октябре 2000 г. (Эдинбург, Шотландия)) и одобрено локальным этическим комитетом ФГБУ «ПФМИЦ» Минздрава России. Все пациенты дали письменное информированное согласие.
Статистическая обработка данных выполнена с помощью программы Statistica 6.1. Результаты представлены в виде М±σ, где М — среднее арифметическое, σ - стандартное отклонение. Оценка достоверности различий между группами проводилась с помощью U-критерия Манна-Уитни. За достоверные данные принимали отличия при уровне вероятности P
Результаты и обсуждение

Наилучшие показатели во второй группе пациентов, по нашемумнению,связанысболеепрецизионнойкоррекциейраспределения нагрузок на различные отделы стопы, возможностью стимуляции и синхронизации работы различных мышечных групп, которые обеспечивают компенсаторную гипермобильность в суставах стопы и формирование новой биомеханики движения.
При рентгенологическом обследовании пациентов за период наблюдения у всех сформировался костный анкилоз голеностопного сустава. Прогрессирование остеоартроза подтаранного сустава, который клинически проявлялся умеренным болевым синдромом и наличием хромоты, отмечено только у одного пациента во 2 группе больных. При анкетировании его по шкале AOFAS результат составил 48 баллов. Учитывая наличие остеоартроза подтаранного сустава III стадии, положительный эффект от диагностической блокады с раствором новокаина, пациенту был выполнен артродез таранно-пяточного сустава винтами. На контрольном осмотре через 1 год после операции диагностирован костный анкилоз. Пациент не предъявляет жалоб на боли, передвигается без дополнительных средств опоры даже на длительные расстояния, AOFAS - 78 баллов.
При стабилометрическом обследовании пациентов в обеих группах (табл. 2) не обнаружено статистически значимых отклонений от показателей нормы (p>0,05). Однако в 1 группе пациентов отмечалось менее устойчивое стояние больных, которое графически проявлялось большей площадью статокинезограммы и более высокой средней скоростью колебания центра давления, что мы связываем с гипои атрофией мышечного каркаса оперированной нижней конечности и сгибательными контрактурами в суставах стопы, которые нарушали опороспособность и удержание вертикальной позы пациентов.

Заключение
Разработанные основополагающие элементы (персонифицированный подбор стелек и ФЭС мышц нижних конечностей) индивидуальной комплексной реабилитации пациентов после артродезирования голеностопного сустава значительно улучшили как клинические результаты лечения, так и биомеханические показатели статики и походки. Их применение позволило не только достичь восстановления опороспособности конечности, купировать болевой синдром, но и приблизить походку к физиологической норме с восстановлением привычных нагрузок и улучшением качества жизни пациентов.
Список литературы
1. Glazebrook M. Comparison of health-related quality of life between patients with end-stage ankle and hip arthrosis/
M. Glazebrook, T. Daniels, A. Younger, C.J. Foote, M. Penner, K. Wing, J. Lau, R. Leighton, M. Dunbar// J Bone Joint Surg Am. 2008. N 90(3). P. 499-505
2. Segal A.D. Functional limitations associated with end-stage ankle arthritis/ A.D. Segal, J. Shofer, M.E. Hahn, M.S. Orendur , W.R. Ledoux, B.J. Sangeorzan// J Bone Joint Surg Am. 2012. N 94(9). P. 777-783.
3. Ritterman S.A., Fellars T.A., Digiovanni C.W. Current thoughts on ankle arthritis// R I Med J. 2013. N 96(3). P. 30 - 33.
4. Омельченко Т.Н. Переломы лодыжек и быстропрогрессирующий остеоартроз голеностопного сустава: профилактика и лечение// Ортопедия, травматология и протезирование. 2013. N 4 (593). С. 35-40.
5. Nihal A. Ankle arthrodesis/ A. Nihal, R.E. Gellman, J.M. Embil, E. Trepman// Foot Ankle Surg. 2008. N 14. P. 1-11.
6. Fuchs S., Sandmann C., Skwara A., Chylarecki C. Quality of life 20 years a er arthrodesis of the ankle. A study of adjacent joints // J Bone Joint Surg Br. 2003. N 85. P. 994-998
7. omas R., Daniels T.R., Parker K. Gait analysis and functional outcomes following ankle arthrodesis for isolated ankle arthritis // J Bone Joint Surg Am. 2006. N 88. P 526-535
8. Wang Y., Li Z., Wong D.W., Zhang M. E ects of Ankle Arthrodesis on Biomechanical Performance of the Entire Foot// PLoS One. 2015. N 29. P. 7 10
9. Машков В.М., Несенюк Е.Л., Сорокин Е.П. и соавторы. Опыт хирургической коррекции вальгусного отклонения первого пальца стопы у пациентов с поперечным плоскостопием и деформирующим артрозом первого плюснефалангового сустава// Травматология и ортопедия России. 2013. N 1 (67). С. 72 -78.
10. Прокопенко С. В., Руднев В. А., Афанасьева Е. В., Абрамов В. Г. Использование бетасерка при атактических синдромах // Журнал неврологии и психиатрии им. С.С. Корсакова. 2004. N8
11. Рукина Н.Н., Кузнецов А.Н., Белова А.Н., Воробьева О.В. Особенности биомеханических характеристик опороспособности и походки у пациентов с экзопротезом нижней конечности// Российский журнал биомеханики. 2014. Т. 18. No 3. С. 389-397
PERSONALIZED REHABILITATION OF PATIENTS AFTER ANKLE ARTHRODESIS
R. O. GORBATOV, D. V. PAVLOV, O. P. MOTYAKINA, N. N. RUKINA, A. N. KUZNETSOV, V. V. BORZIKOV
Privolzhsky Federal Research Medical Centre, Nizhny Novgorod
Objective: development of the fundamental elements of individual complex rehabilitation treatment of patients a er arthrodesis of the ankle joint
Materials and Methods: the research is based on the clinical, biomechanical and radiological examination of 32 patients a er 32 operations of ankle arthrodesis performed for posttraumatic osteoarthrosis stage III-IV in the period between 2011 and 2015. All patients were divided into two groups depending on the type of postoperative rehabilitation: Group 1 (16 patients) standard rehabilitation program, group 2 (16 patients) an advanced personalized rehabilitation treatment, which included personalized selection of orthotics and functional electrical stimulation of muscles of the lower extremities.
Results: best static and dynamic clinical outcomes assessed in the same period a er surgery were observed in group 2 among the patients who underwent advanced personalized rehabilitation treatment. In the late postoperative period, all patients of this group kept to stay mobile without additional funds ankle stabilization (orthoses, elastic bandages etc.), 12 (75%) could stand on toes, and 10 (63%) could perform sport activities including running. A er rehabilitation course such ndings have been restored almost to normal range as total double support time, maximum force, gait cycle time, stance time of recovering leg, swing time of healthy leg.
Conclusion: the developed basic elements (a personalized selection of orthotics and functional electrical stimulation muscles of the lower extremities) individual complex rehabilitation of patients a er arthrodesis of the ankle joint signi cantly improved the clinical results of treatment and biomechanical performance statics and gait. eir use has not only restore the walking, reduce pain, but also to bring to the gait of the physiological norm with the restoration of the usual loads and improve the quality of life of patients.
Key words: osteoarthrosis of the ankle, personalized rehabilitation, ankle arthrodesis.
Артродез подтаранного сустава: реабилитация после операции

Иногда даже самая тщательная репозиция или операция по замещению костной ткани не способна полностью восстановить анатомическое взаимоотношение между пяточной и таранной костью. Как следствие, нарушается опороспособность конечности и стремительно развивается не поддающийся консервативному лечению посттравматический деформирующий артроз. В данной ситуации единственным оптимальным решением становится артродезирование (обездвиживание) суставного сочленения.Для того, чтобы лечебный эффект был максимальным, а негативные последствия — минимальными, требуется последующая реабилитация после операции артродез подтаранного сустава.
Рассказывает специалист ЦМРТ
Дата публикации: 12 Августа 2021 года
Дата проверки: 30 Ноября 2021 года
Содержание статьи
Так ли мне нужна реабилитация?
Артродез подтаранного или голеностопного сустава - достаточно сложная и травматичная операция. Поэтому для ускоренной адаптации и формирования компенсаторных процессов требуется профессиональная реабилитация. В то же время несоблюдение послеоперационного режима или отказ от восстановительных процедур не только существенно увеличивает сроки выздоровления, но и влечет за собой опасные последствия для здоровья.
Возможные осложнения
- некроз близлежащих тканей (краевой раны);
- несращение костных структур
- флеботромбоз
- инфекционное воспаление
- остеомиелит
- мышечная атрофия
- вальгусная деформация заднего отдела стопы
- выраженная хромота
Через сколько можно начинать реабилитацию?
Активизацию пациентов, перенесших артродез подтаранного сустава, рекомендуется начинать со второго дня после операции. Приступать к физическим упражнениям разрешается через 1,5 месяца, давать полную нагрузку на конечность - спустя 2 месяца.
Продолжительность восстановительного периода
Для максимально возможного восстановления после замыкания сустава заднего отдела стопы требуется 6-12 месяцев. В данной ситуации многое зависит от исходного состояния, возраста и регенеративного потенциала пациента. При благоприятном исходе через 7-8 месяцев формируется новый стереотип ходьбы и пропадает хромота.
Когда будут заметны улучшения?
При отсутствии послеоперационных осложнений и выполнении врачебных рекомендаций уже через 2 недели наблюдаются первые положительные изменения функционального статуса и стабилизация состояния.
Цитата от специалиста по реабилитации

Травмы и заболевания опорно-двигательного аппарата могут существенно снизить уровень активности, как в спортивном плане, так и на бытовом уровне. Реабилитация в “Лаборатории движения” направлена на максимально возможное восстановление, компенсацию нарушенных или полностью утраченных функций. Мультидисциплинарный, комплексный, но в то же время индивидуальный подход позволяет сократить сроки восстановления. Специалисты клиники стремятся сформировать ответственное отношение пациента к реабилитационному процессу и своему здоровью.

Основные реабилитационные методики
Для восстановления опороспособности конечности используется поэтапная реабилитационная программа:
- физиотерапевтические процедуры (магнито-, лазеротерапия, ультрафонофорез, холодовое воздействие, импульсные токи и пр.)
- лечебная гимнастика (общеукрепляющие, дыхательные, изометрические упражнения)
- массаж
- кинезиотренинги для восстановления стереотипа движения
- рефлексотерапия
- функциональное ортезирование
- мануальная коррекция
- занятия на тренажерах для пассивной разработки мышц и суставов
- PRP-терапия
Реабилитация после хирургического вмешательства проводится с учетом общего состояния и индивидуальных особенностей пациента.
Реабилитация после операции халюс вальгус

Операция халюс вальгус — это удаление костного нароста на большом пальце стопы. Вальгусную деформацию провоцирует ношение остроносой обуви на каблуке. Также нарост может появиться по наследственным причинам. Из-за него нарушается биомеханика сустава, ходить становится больно, и сустав быстро изнашивается. Халюс вальгус лечат консервативным и хирургическим путем. Во время операции по реконструкции — остеотомии — корректируют ось кости и форму мягких тканей так, чтобы большой палец сохранял прямое положение. Реабилитация после операции халюс вальгус напрямую влияет на длительность сохранения результата. Если пациент следует рекомендациям реабилитолога и избегает ношения остроносой обуви, эффект сохраняется на всю жизнь.
Дата публикации: 24 Декабря 2020 года
Консервативное лечение вальгусной деформации
На начальной стадии роста «косточки» на ноге ортопеды советуют пациентам носить межпальцевые прокладки, класть в обувь специальные стельки, использовать супинаторы. Также ортопеды назначают:
- Фармакопунктуру — врач вводит лекарство в биологически активные точки с помощью тонких металлических иголок. Лекарство снимает воспаление, расслабляет мышцы, вызывает приток крови с питательными веществами к проблемной зоне и помогает костям вернуться в исходное положение, если деформация пока незначительная.
- Курс массажа — массажист прорабатывает мышцы и связки так, чтобы убрать напряжения и блоки, со временем искривляющие кости. Правильно расположенные мышцы и мягкие связки удерживают палец в прямом положении.
- ЛФК — инструктор показывает, как выполнять упражнения для коррекции небольшого отклонения оси кости от прямого положения. Мышцы привыкают к нагрузке и не дают деформироваться суставу большого пальца.
Консервативные методы эффективны на самой ранней стадии вальгусной деформации стопы. Если момент упущен, и наступать на большой палец становится все больнее, назначают хирургическую коррекцию и приступают к реабилитации после операции халюс вальгус с винтами.
Операция при плоскостопии у взрослого: поперечное — продольное, показания, виды, результаты

В ортопедии выделяют продольный и поперечный своды стопы. Первые располагаются вдоль ступни и поддерживаются мышечно-связочным аппаратом. Основную роль в укреплении этих сводов играет длинная подошвенная связка. Именно ее пластику чаще всего выполняют в случае развития продольного плоскостопия.
Поперечный свод стопы образован головками I-V плюсневых костей. В норме они образуют своеобразную арку. Поперечный свод поддерживается связками, сухожилиями и головкой мышцы, приводящей большой палец стопы. При нарушении мышечно-связочного баланса у человека возникает поперечное плоскостопие. Как правило, оно осложняется вальгусной деформацией I пальца стопы.

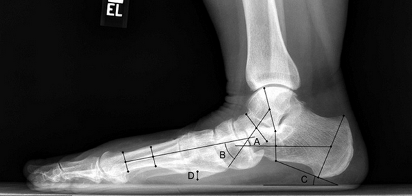
Рентген плоской стопы.
По статистике, Hallux Valgus разной степени выявляют у 100% пациентов с поперечным плоскостопием. Во время хирургического вмешательства врачам приходится одновременно устранять обе патологии.
Показания и цели хирургического лечения
Плоскостопие - это серьезное ортопедическое заболевание, ведущее к прогрессивному нарушению функций стопы. Оно вызывает сильные боли и трудности при ходьбе, доставляющие человеку немало страданий. Операция помогает устранить болезненные симптомы и вернуть ступням приятный внешний вид.
Основные принципы оперативного лечения плоскостопия:
- Дифференцированный подход, учет степени деформации и вариабельности анатомо-функционального строения стопы.
- Устранение всех компонентов плоскостопия и исключение их повторного появления в будущем.
- Прочное соединение костных структур с целью ранней активизации пациентов и восстановления подвижности пальцев.
- Обязательно сохранение всех точек опоры (пяточная кость, головки I и V плюсневой кости) при лечении разных видов плоскостопия.

Фото до и после операции.
Отметим, что после операций на ступнях пациент не нуждается в ношении гипса и ходьбе с костылями. Уже на следующий день он может свободно вставать с постели, предварительно надев специальную обувь. В туфлях Барука больному необходимо ходить на протяжении нескольких недель после хирургического вмешательства.

Операция при плоскостопии позволяет быстро восстановить функции стопы. В большинстве случаев пациенты возвращаются к привычному образу жизни уже спустя 3 месяца.
Операция при продольном плоскостопии
Когда возникает необходимость коррекции продольного плоскостопия, врачи делают операции на внутренней и/или задней части стопы. При слабовыраженной деформации они выполняют пластику связок и сухожилий. В более тяжелых случаях им приходится делать операции на костях предплюсны.
Таблица 1. Особенности разных видов хирургических вмешательств.
Факт! Лицам старше 30 лет артродез делать не рекомендуется из-за риска развития стойкого болевого синдрома.

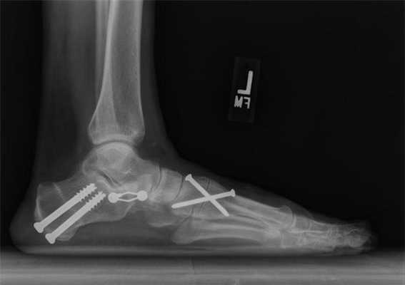
Медиализирующая остеотомия пяточной кости в сочетании с таранно-ладъевидным артродезом.
Не так давно ученые провели исследование и выяснили, какие методики наиболее эффективны в лечении продольного плоскостопия. Лучшим методом коррекции оказалась медиализирующая остеотомия пяточной кости в сочетании с таранно-ладъевидным артродезом. Она дает хороший клинический результат и редко приводит к осложнениям. В отличие от подтаранного артродеза, после такого лечения больному не требуется повторное хирургическое вмешательство.
О слабости связочного аппарата говорит появление так называемого «эластичного плоскостопия». Для патологии характерно уплощение свода стопы при ходьбе. В состоянии покоя ступни приобретают нормальный вид.
Операции при поперечном плоскостопии

Лечение комбинированного типа
Поперечно-продольное плоскостопие - это наиболее тяжелая форма заболевания. У человека деформируются сразу оба свода, а стопа становится абсолютно плоской. Лечить патологию довольно тяжело.
Цели операций при комбинированном плоскостопии:
- восстановление сводов стопы;
- надежная неподвижная фиксация костей;
- исправление деформаций I пальца;
- удаление экзостозов;
- коррекция молоткообразной деформации.

Операция продольно-поперечной деформации.
При поперечно-продольном плоскостопии человеку делают сразу несколько вмешательств. Например, больному одновременно выполняют операцию Шеде, остеотомию Scarf и артродезирование некоторых суставов плюсны. Как правило, врачи стараются сделать все за одно хирургическое вмешательство.
Восстановительный период после таких операций длится дольше, чем в остальных случаях. К счастью, пациентам не требуется гипс или костыли. В худшем случае им придется походить с фиксирующими спицами, которые снимут вместе со швами уже через 2 недели.
При тяжелом продольном плоскостопии человеку требуется пластика сухожилий задних большеберцовых мышц и краевая подкожная тенотомия ахиллова сухожилия. После такого хирургического вмешательства больному накладывают гипс, а ходить разрешают только с костылями.
Сколько стоит операция
В России цены на хирургическое лечение плоскостопия начинаются с 30 000 рублей. Отметим, что в сумму не включена стоимость предоперационного обследования, анестезии, расходных материалов и имплантов. Если же в ходе операции врачи делают сразу несколько манипуляций - лечение обойдется еще дороже. К примеру, минимальная стоимость SCARF-остеотомии в комбинации с подтаранным артродезом - 35 000 рублей.
Если посчитать, в сумме лечение за границей стоит ненамного дороже, чем в России. В Чехии за операцию и реабилитацию вы заплатите евро. В Германии - от 7 тысяч евро, в Израиле от 7 тысяч долларов (без реабилитации). Так что если вы хотите оперироваться в Европе - поезжайте в Чехию.
Хирургическое лечение вальгусной деформации стопы: операция по удалению шишки
В литературе можно найти описание более чем 400 методик оперативного лечения халлюс-вальгуса. В прошлом ортопеды боролись с вальгусной деформацией путем хирургического удаления суставных головок, что приводило к серьезному нарушению функций стопы. Поэтому сегодня врачи предпочитают делать менее травматичные операции.

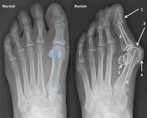
Что такое вальгусная деформация? Вначале Hallux Valgus вызывает искривление только большого пальца стопы. В результате у человека увеличивается нагрузка на головки 2-4 плюсневых костей, что ведет к молоткообразной деформации II-V пальцев. Своевременное хирургическое лечение помогает избежать этого неприятного явления.
Виды операций на стопе
Операции, которые делают при вальгусной деформации, можно условно разделить на малоинвазивные и реконструктивные. Первые менее травматичны, однако эффективны только при экзостозах и начальной деформации. Малоинвазивные хирургические вмешательства выполняют через два-три прокола размером 3-4 мм.

Шрам после вмешательства.
Таблица 1. Виды операций.
| Особенности проведения | Показания | |
| На мягких тканях | Во время операции врач работает только с мышцами, сухожилиями и суставной сумкой. | Hallux Valgus I степени без деформации головки плюсневой кости. |
| На костях | Суть таких хирургических вмешательств заключается в подпиливании костей и/или выполнении остеотомии. | Вальгусная деформация II-III степени. |
| Комбинированные | Подразумевают одновременное удаление костных наростов и пластику связок. | Выраженный Hallux Valgus с нарушением функций стопы. |

Во время малоинвазивных операций хирург использует микроинструменты, позволяющие выполнять сложные манипуляции со связками и суставной капсулой. При необходимости он подпиливает кости с помощью микрофрез, которые отдаленно напоминают стоматологический инструментарий.
Название хирургических техник
На начальных стадиях болезни врачи стараются делать малоинвазивные операции. После них пациент быстро восстанавливается и уже через 3-4 недели возвращается к привычному образу жизни. При запущенной вальгусной деформации возникает необходимость в более сложных хирургических вмешательствах.
Давайте посмотрим, какие из них чаще всего используют в современной ортопедии.
Операция McBride
Наиболее популярна среди всех хирургических вмешательств на мягких тканях стопы. Ее суть заключается в перемещении сухожилия m. adductor halluces на головку I плюсневой кости. Это позволяет сблизить между собой кости плюсны и восстановить нормальный мышечно-сухожильный баланс стопы.

К сожалению, отводящая мышца первого пальца неспособна противодействовать постоянной нагрузке. Именно поэтому частота рецидивов после операции McBride довольно высока. Если человек не устраняет действие провоцирующих факторов - у него вскоре снова развивается Hallux Valgus. Избежать этого помогает ношение ортопедической обуви, отказ от каблуков и тяжелой физической работы.
При ярко выраженных деформациях операцию McBride дополняют остеотомией I плюсневой кости SCARF.
Относится к миниинвазивным операциям. Во время хирургического вмешательства больным выполняют поперечную остеотомию через кожный разрез длиной 1 см. После этого дистальный костный фрагмент смещают в латеральном направлении и фиксируют с помощью специальной спицы.

CHEVRON
В ходе операции хирург выполняет V-образую остеотомию. Он перепиливает первую плюсневую кость в области головки, а костные фрагменты соединяет с помощью специальных титановых винтов. Поскольку фиксация очень прочная, в послеоперационном периоде пациент не нуждается в гипсовой иммобилизации.
Отметим, что Chevron-остеотомия эффективна только при незначительной деформации первого пальца стопы. В наше время в ортопедии ее используют все реже. Вместо нее большинство врачей делает Scarf-остеотомию.
SCARF
Z-образная остеотомия Scarf - это золотой стандарт лечения вальгусной деформации. Она позволяет установить головку плюсневой кости под нужным углом. В ходе хирургического вмешательства врачи также убирают деформацию суставной капсулы и меняют направление некоторых сухожилий.

Когда операции Scarf недостаточно - хирурги делают проксимальную клиновидную остеотомию или артродез.
Важно! У большинства пациентов с вальгусной деформацией врачи выявляют костную мозоль (экзостоз). Нарост локализуется на медиальной поверхности головки I плюсневой кости. Как правило, его удаляют во время всех операций, в том числе и малоинвазивных.
Не путайте спиливание костного нароста с остеотомией. Это две совершенно разные манипуляции. Цель первой - убрать косметический дефект, второй - восстановить нормальное функциональное состояние стопы. Помните, что удаление костной мозоли (операция Шеде) не в состоянии излечить вас от Hallux Valgus.
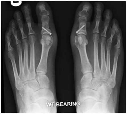
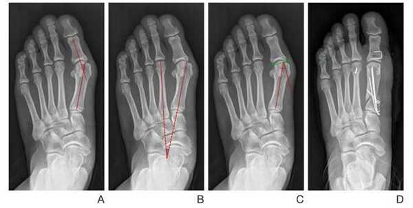
Артродез при вальгусной деформации
Артродезирование - это полное обездвиживание плюсне-клиновидного сустава путем соединения формирующих его костей. Операцию делают лицам с поперечно-распластанной деформацией и Hallux Valgus с гипермобильностью I плюсне-клиновидного сустава.

Тест для выявления патологической подвижности:
- пальцами одной руки удерживайте II-V плюсневые кости;
- второй рукой возьмите I плюсневую кость и попробуйте смещать ее в тыльно-подошвенном направлении;
- посмотрите, насколько сильно вам удалось сдвинуть ее с места;
- смещение кости более чем на один сагиттальный размер большого пальца указывает на наличие гипермобильности.
Артродез - это наиболее травматичная операция, подразумевающая полное удаление плюсне-клиновидного сустава. Ее делают только в крайнем случае, когда другие методы оказываются неэффективными.
Операция молоткообразной деформация пальцев ног
Как известно, на поздних стадиях Hallux Valgus сочетается с молоткообразной деформацией II-V пальцев. Она выглядит непривлекательно и негативно сказывается на функциях стопы. Для ее исправления используют целый ряд хирургических вмешательств.

К ним относятся:
В лечении молоткообразной деформации наиболее эффективна остеотомия. Именно ее выполняют в самых тяжелых и запущенных случаях.
Восстановительный период
Вставать с постели пациентам разрешают уже на следующий день после операции. Первое время ходить им разрешают только в туфлях Барука.
В первые дни после хирургического вмешательства больные находятся под наблюдением лечащего врача. Из стационара их выписывают на 2-3 сутки. Если во время операции человеку накладывали нерассасывающиеся швы - их снимают на 10-14 день.
Что касается обуви, пациентам требуется как минимум 3 месяца носить ортопедические стельки. Надевать каблуки можно лишь спустя полгода после хирургического вмешательства. При этом их высота не должна превышать 6 см.
Цена операции на стопе
Стоимость хирургического лечения зависит от степени деформации, вида и сложности операции, уровня медицинского учреждения и квалификации работающих там специалистов. Удаление экзостоза в Москве стоит от 40 000 до 50 000 рублей. Цены на реконструктивные операции начинаются с 70 000 рублей. Отметим, что в стоимость не входит предоперационное обследование, консультации специалистов, расходные материалы и реабилитация.
Если вы хотите прооперироваться за границей - обратите внимание на Чехию. Лечение там обойдется вам в евро включая реабилитацию. В Германии и Израиле такая же операция будет стоить гораздо дороже.
Читайте также:
- Резервация возбудителей. Саморегуляция паразитарных систем.
- Что должно быть в косметичке осенью? Обязательная осенняя косметика
- Лечение и прогноз органических психических расстройств
- Физиология сердечно-сосудистой системы. Сосудистое дерево
- Влияние синдрома короткой кишки (СКК) на желудочно-кишечный тракт
