Укладка при рентгенограмме черепа и нижней челюсти в ЗП или ПЗ проекции
Добавил пользователь Евгений Кузнецов Обновлено: 21.11.2025
Многие пациенты по возможности избегают походов в государственные поликлиники из-за нежелания стоять в долгих очередях, неприязни к «больничной обстановке», страха попасть к некомпетентным врачам. В клинике «Московский Доктор» такие проблемы отсутствуют. У нас работают только высококвалифицированные специалисты, которые всегда готовы выслушать жалобы пациентов и оказать помощь. На входе всегда встречает дружелюбный администратор, которому можно задать любые интересующие вопросы. Атмосфера в клинике благоприятная, выполнен современный ремонт. Психологический комфорт всегда способствует скорейшему выздоровлению.
Полный комплекс оказываемых услуг
В клинике «Московский Доктор» работают опытные врачи по разным направлениям, с какой бы проблемой вы не столкнулись, они всегда найдут для нее подходящее решение. Все врачи имеют высокую квалификацию в своей области, регулярно посещают научные семинары.
Рентген укладки нижней челюсти
Рентгеновское обследование нижней челюсти является основным фактором для составления стратегии лечения пациента. Чаще всего к такому методу диагностики прибегают стоматологи, травматологи и хирурги. В данном обзоре будут освещены такие моменты, как время, когда необходимо проводить рентген, современные методы исследования и рентген укладки нижней челюсти.
Когда проводится процедура?
Рентген челюсти в травматологии используется определения состояния кости и внутрисуставных связок. В стоматологии этот вид диагностики позволяет оценить состояние надкостницы, степень поврежденности зуба, а также нарушения прикуса. В хирургии используется при опухолях.
Рентгенография уже длительное время является основным видом обследования, т.к. обладает рядом преимуществ по сравнению с другими методиками изучения нижней челюсти.
• получение информации, которую невозможно вывить стандартными методами, такими как осмотр;
• быстрое получение данных, что позволяет приступить к лечению незамедлительно;
• снимок производится с нужной стороны;
• длительность процедуры - 5-7 минут;
• отсутствие специфической подготовки;
• низкая ценовая политика;
• высокий уровень безопасности.
Чаще всего, рентген проводиться или по необходимости, или для оказания скорой медицинской помощи. Использование современного оборудования в клиниках дает возможность получать оперативные и точные сведения о заболевании или травме. Результат обследования выдается в кратчайшие сроки - чаще всего не более 30 минут.
Современные методы
Благодаря современному подходу к проведению рентгенодиагностики челюстей, существуют три метода, как осуществляется процедура:
Рентген с фиксированным прикусом производится за счет сжатия специальной пластины между зубами, которые следует оценить на состояние. Данный метод рекомендуется проводить детям в раннем возрастном периоде. На основании результатов, стоматолог может посоветовать ту или иную терапию по изменению прикуса.
Палатный и панорамный снимки позволяют обследовать гайморовы пазухи, которые часто поражаются при воспалительном процессе на корнях зубов или кисте. Такое происходит из-за глубокого кариеса.
Периапикальный рентген фиксирует состояние мягких тканей и корней зубов. Назначают такую диагностику при подозрении на кисту. Своевременное обнаружение такой патологии позволяет не только спасти зуб от разрушения, но и всю челюсть.
Укладка пациента при рентгене
При проведении рентгена укладка нижней челюсти должна обеспечиваться спокойным и устойчивым положением тела. Между зубов вводит специальная пленка, а тубус аппарата направлен под углом в нижнюю челюсть.
При подозрении на слюнной камень, рекомендуется принять следующее положение:
• Голова пациента укладывается на стол лицом вниз. В некоторых клиниках пациент садится в кресло и поворачивает голову таким образом, чтобы был выделен угол челюсти.
• Пленка вводится в ротовую полость и фиксируется зубами.
• Рентгеновский луч проходит перпендикулярно.
Благодаря такому положению исключается наложение тени, поэтому на изображение получается четким.
Перед началом обследования специалисты стараются заранее определить наиболее удобное положение для больного. Что касается тяжелобольных пациентов, то как правило, их не поворачивают, а подводят луч в наиболее удобной позиции.
Кстати, рентгенодиагностика тяжелобольных может проводиться даже в палатах или перевязочных. Такая возможность появилась за счет создания передвижных аппаратов. Поэтому данная методика столь популярна в медицине.
Рентгенологическое исследование лицевого скелета включает рентгенографию глазницы и ее содержимого, придаточных пазух носа, прицельные снимки отдельных костей лицевого скелета и снимки зубочелюстного аппарата. Большинство анатомических образований лицевого скелета достаточно четко видно на обзорных снимках черепа в прямой передней и задней проекциях, на снимках в носоподбородочной, подбородочной, носолобной, лобной, боковой и аксиальной проекциях.
Однако для более четкого их выявления, по возможности с минимальной суперпозицией изображения других анатомических структур черепа, предложен ряд специальных прицельных снимков.
С целью детального изучения стенок глазниц и придаточных пазух носа широко используют томографическое исследование.
РЕНТГЕНОГРАФИЯ КОСТНЫХ СТЕНОК ГЛАЗНИЦЫ
Верхняя и наружная стенки глазницы прослеживаются на снимке черепа в боковой проекции.
Для более детального изучения стенок глазницы предложен ряд прицельных снимков.
УКЛАДКИ СНИМОК ГЛАЗНИЦЫ В НОСОПОДБОРОДОЧНОЙ ПРОЕКЦИИ
Назначение снимка. Изучение состояния костей, образующих вход в глазницу, костной структуры верхней и наружной ее стенок.
Укладка больного для выполнения снимка сходна с укладкой для выполнения обзорного снимка в этой же проекции. В данном случае используюткассету размером 13X18 см, располагая ее в кассетодержателе в поперечном положении. Больной прилежит к столу подбородком и кончиком носа,переносье соответствует центру кассеты. Центральный пучок излучениянаправляют на центр кассеты. Фокусное расстояние—100 см.
В этой же укладке может быть выполнен снимок одной (правой или левой) глазницы. В таких случаях центр снимаемой глазницы соответствует центру кассеты, и на него отвесно направляют пучок излучения, используя тубус или диафрагмирование пучка излучения с помощью щелевой диафрагмы. Фокусное расстояние—100 см (рис. 88).
Информативность снимка. На снимке хорошо видны вход в глазницу, структура ее стенок, иногда малое и большое крыло клиновидной кости (рис. 89). На снимке в этой проекции могут быть выявлены деструктивные изменения стенок глазницы и инородные тела в ее полости (рис. 90, 91). Для выявления изменений в области верхней стенки глазницы (например, при
диагностике переломов) снимок целесообразно выполнять не в носоподбородочной, а в подбородочной проекции.
На таких снимках верхняя стенка глазницы проекционно искажается в меньшей степени, и все изменения в ее области видны более отчетливо (см. рис. 54, 55).
На прицельном снимке каждой из глазниц в этой же проекции, как правило, небольшие изменения структуры стенок, а также мелкие инородные тела глаза видны лучше. Такие снимки широко используют в офтальмологической практике (рис. 92).
Критерии правильности технических условий съемки и правильности укладки основываются на четкости выявления костной структуры и симметричности изображения глазниц.
Наиболее частые ошибки при выполнении снимка сводятся к асимметрии положения головы.



СНИМОК ГЛАЗНИЦЫ В НОСОЛОБНОЙ ПРОЕКЦИИ
Назначение снимка — изучение контуров костей, образующих вход в глазницу, структуры верхней и наружной ее стенок, ширины и контуров верхних глазничных щелей, а также выявление инородных тел в полости глазницы.

Укладка больного для выполнения снимка, информативность снимка, критерии правильности технических условий съемки и правильности укладки те же, что для снимка крыльев клиновидной кости и верхних глазничных щелей.
В качестве примера информативности снимка глазниц в носолобной проекции для выявления инородных тел глаза и деструктивных изменений стенок приводим два наблюдения.
Одно из них — случай ранения глаза металлической стружкой (рис. 93), другое — случай деструкции верхненаружного края глазницы при доброкачественной опухоли слезной железы (рис. 94).
СНИМОК ГЛАЗНИЦЫ В БОКОВОЙ ПРОЕКЦИИ
Назначение снимка — отображение наружного края, верхней и нижней стенок глазницы, а также выявления инородных тел, находящихся в ее полости.
Укладка больного для выполнения снимка такая же, как для выполнения снимка черепа в боковой проекции (рис. 95).
Кассету размером 13X18 см устанавливают в кассетодержателе в поперечном положении. Наружный край глазницы соответствует центру кассеты, и на него направляют пучок излучения.
Информативность снимка. На снимке хорошо видна наружная стенка глазницы. Для выявления небольших участков измененной костной структуры других стенок информативность снимка, как правило, невысокая из-за суперпозиции анатомических образований противолежащей стороны лицевого скелета. Хорошо видны на снимке в данной проекции инородные тела (рис. 96).
Критерии правильности технических условий съемки и правильности укладки. Правильность подбора физико-технических условий съемки определяется резкостью изображения контуров костей и четкостью костной структуры.
При правильной укладке контуры верхней и нижней стенки правой и левой глазницы совпадают.
Наиболее частые ошибки при выполнении снимка сводятся к неправильному подбору физико-технических условий съемки.


СНИМОК ГЛАЗНИЦЫ В КОСОЙ ПЕРЕДНЕЙ ПРОЕКЦИИ (СНИМОК ЗРИТЕЛЬНОГО КАНАЛА ПО РЕЗЕ)
Назначение снимка. Основное назначение снимка — получение изображения зрительного канала, Как правило, для оценки ширины и формы канала прибегают к последовательной съемке правой и левой глазницы.
Голову поворачивают в сторону и укладывают таким образом, чтобы к экспонируемой половине кассеты прилегали надбровная дуга, скуловая кость и кончик носа, а в центре ее находилась исследуемая глазница. Срединная сагиттальная плоскость головы образует с плоскостью стола угол в 40—50°, открытый кзади. Кассета размером 18Х 24 см располагается на столе в поперечном положении.
Поочередно экспонируют правую и левую половину кассеты, перекрывая неиспользуемую половину листом просвинцованной резины. На кассету накладывают неподвижную отсеивающую решетку.
Пучок излучения направляют отвесно на наружный угол глаза исследуемой стороны (рис. 97).
Информативность снимка. На снимке отображается зрительный канал, имеющий обычно неправильно-округлую форму с четкими резкими контурами. Видны также вход в глазницу, решетчатые ячейки (рис. 98, а, б). Расширение зрительного канала, возникающее при опухолях зрительного нерва, как правило, может быть достоверно выявлено только путем сравнительного анализа снимков правой и левой глазницы (рис. 99, а, б). Поэтому снимки глазниц в косой проекции по Резе всегда следует производить с обеих сторон.

Критерии правильности технических условий съемки и правильности укладки. На снимке должна быть четко видна структура костей.
Изображение зрительного канала при правильной укладке проецируется вблизи наружной стенки глазницы в виде четкой кольцевидной тени.

Наиболее частые ошибки при выполнении снимка. При неправильном угле наклона головы и неправильной центрации пучка излучения отображение зрительного канала нечеткое. При грубом нарушении правил укладки зрительный канал на снимке неразличим.
РЕНТГЕНОЛОГИЧЕСКОЕ ИССЛЕДОВАНИЕ ГЛАЗА СНИМКИ ГЛАЗА С ПРОТЕЗОМ КОМЬЕРГА- -БАЛТИНА
Назначение снимков — локализация инородных тел в глазу и полости глазницы.
Методика выполнения рентгенограмм глазницы с протезом Комбурга — Балтина. Осуществляют анестезию глаза больного путем закапывания в конъюнктивальный мешок 2% раствора дикаина. Протез Комберга — Балтина соответствующего размера после дезинфекции спиртом вводят под веки исследуемого глаза и устанавливают таким образом, чтобы в его отверстии был виден зрачок, а свинцовые метки по краям протеза соответствовали концам вертикального и горизонтального меридианов глаза («12—6 и 3—9 часов»). Снимок исследуемой глазницы производят в носоподбородочной проекции при фиксации взора вниз на кассету. Затем, не меняя положения протеза, выполняют снимок глазницы в боковой проекции с центрацией пучка излучения на пленку через плоскость лимба глаза. При этом больной фиксирует взор на точке, находящейся прямо перед глазами.
Информативность снимка. При правильно проведенном исследовании(правильное наложение протеза, правильная фиксация взора, технически правильное выполнение снимков) после соответствующих расчетов удается точно локализовать рентгеноконтрастные инородные тела, расположенные в глазу и полости глазницы (рис. 101, а, б).

Критерии правильности технических условий съемки и правильности укладки. На снимке должны быть хорошо видны структура стенок глазницы, наложенный на глазное яблоко протез и свинцовые метки на нем. При правильно наложенном протезе метки, соответствующие концам горизонтального меридиана, на снимке в боковой проекции должны совпадать друг с другом .
Наиболее частые ошибки при выполнении снимка — неправильное наложение протеза и смещение взора во время съемки.
БЕССКЕЛЕТНЫЕ СНИМКИ ПЕРЕДНЕГО ОТДЕЛА ГЛАЗА (ПО ФОГТУ)
Назначение снимков — выявление мелких инородных тел в переднем отделе глазного яблока.
Методика выполнения бесскелетных снимков переднего отделе глаза.
После анестезии глаза 2 % раствором дикаина две овальные, вместе сложенные, специально вырезанные по трафарету рентгенографические пленки размером 4X6 см, завернутые в черную бумагу и вложенные в оболочку из тонкой резины, заводят как можно глубже в конъюнктивальный мешок с носовой стороны и придерживают в этом положении (это делает сам больной).
Иногда пленки фиксируют специальным держателем (рис. 102). Рентгеновскую трубку располагают с височной стороны снимаемого глаза. Пучок рентгеновского излучения направляют кпереди от наружной стенки глазницы на передний отдел глазного яблока перпендикулярно пленке.
Для выполнения снимка в аксиальной проекции пленки вводят под глазное яблоко. Рентгеновская трубка находится над больным. Пучок излучения направляют кпереди от верхнего края глазницы через передний отдел глазного яблока перпендикулярно пленке. Во время съемки взор больного направлен прямо вперед. Для маркировки верхнего и нижнего края пленки при выполнении бокового снимка, а также наружного и внутреннего краяпри выполнении аксиального снимка соответственно к нижнему или к наружному краю пленки прикрепляют металлическую скрепку.
Информативность снимка. На бесскелетном снимке, произведенном в боковой проекции (рис. 103, а) видны верхнее и нижнее веко, роговица и передний отдел глазного яблока. На бесскелетном снимке, выполненном в аксиальной проекции, также определяются роговица и передний отдел глазного яблока и, кроме того, ткань верхнего века (рис. 103, б). Бесскелетные снимки весьма информативны для выявления мелких и мельчайших инородных тел, локализующихся в переднем отделе глаза. Их информативность во много раз превосходит обычные снимки, так как при этом исключена суперпозиция костных стенок глазницы.
С целью определения возможных артефактов на рентгенографической пленке, которые могут симулировать инородные тела глаза, снимки производят одновременно на двух, сложенных вместе пленках. Противопоказаниями к выполнению бесскелетных снимков глаза являются свежие прободные ранения рговицы и склеры.

Снимки следует производить с большой осторожностью при недостаточно окрепших рубцах роговицы.
Критерии правильности технических условий съемки и правильности укладки. При правильно подобранных условиях съемки отчетливо виден контур переднего отдела глазного яблока. Информативность переэкспонированных и перепроявленных снимков резко снижается. Снимки следует производить с минимальной выдержкой с целью исключения динамической
нерезкости.
Наиболее частые ошибки при выполнении снимков — завышение технических параметров съемки, динамическая нерезкость изображения, обусловленная недостаточной фиксацией взора, а также и длительной выдержкой.
КОНТРАСТНЫЕ ИССЛЕДОВАНИЯ ГЛАЗНИЦЫ
К контрастным исследованиям глазницы прибегают в основном при диагностике опухолей и других объемных процессов в ее полости. Наиболее информативными являются флебография орбиты — контрастирование венозной ее системы — и орбитография — контрастирование ретробульбарного (тенонова) пространства.
При подозрении на сосудистую опухоль в полости глазницы применяют артериографию.
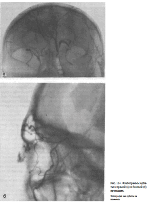
УКЛАДКИ ФЛЕБОГРАФИЯ ОРБИТЫ
Назначение исследования — определение объемного процесса в полости глазницы на основании изменения топографии венозной сети, главным образом верхней глазничной вены.
Методика исследования. Под местной анестезией производят пункцию лобной или лицевой вены. Через иглу вводят полихлорвиниловый катетер с наружным диаметром 0,8—0,9 мм. Катетер фиксируют. Широкой резиновой лентой сдавливают мягкие ткани лба с целью закрытия просвета лобных вен.

Поперечную вену носа и лицевую вену сдавливают с помощью ватных подушечек. После введения 1—2 мл 0,5 % раствора новокаина максимально быстро—за 1—1,5 с—вливают 3—4 мл 50% раствора гипака и производят серию рентгенограмм в задней обзорной и боковой проекциях. Для этого используют специальный ангиографический комплекс, включающий две рентгеновские трубки и две приставки для быстрой смены кассет. При отсутствии такого комплекса после введения контрастного вещества поочередно выполняют прямой и боковой снимки.
Информативность исследования. Топография верхней глазничной вены постоянна. В норме на флебограмме орбиты в боковой проекции верхняя глазничная вена выявляется под верхней ее стенкой. Она имеет плавные изгибы. Часто видны коллатеральные вены, соединяющие ее с нижней глазничной веной, менее постоянной в своей топографии. На флебограмме
орбиты в прямой задней проекции верхняя глазничная вена отображается в форме ромба (рис. 104, а, 6). Отклонение в пробеге верхней глазничной вены, оттеснение ее, а также обрыв, как правило, связаны с объемным процессом в полости глазницы.
ОРБИТОГРАФИЯ
Назначение исследования — выявление объемного процесса в орбите путем контрастирования заглазничного пространства.
Методика исследования. Под местной анестезией вводят иглу через нижнее веко параллельно нижней стенке глазницы на глубину 1,5—2 см, и через нее вливают в теноново пространство 2—3 мл 0,5 % раствора новокаина, а затем 4—5 мл 20 % раствора гипака. Рентгенограммы выполняют через 1 и 10 мин после введения контрастного вещества в прямой (задней) и боковой проекциях.
Информативность исследования. Контрастное вещество равномерно распределяется в жировой клетчатке заглазничного пространства и на снимках в норме имеет типичную конфигурацию: на прямом снимке — форму прямоугольника с закругленными краями и округлым дефектом наполнения в центре в месте прохождения зрительного нерва (рис. 105), а на боковом снимке — конусовидную форму с полусферическим вдавлением в области основания, соответственно заднему полюсу глазного яблока.

При опухолях или других объемных процессах распределение контрастногоещества неравномерное, с наличием дефектов наполнения (рис. 106).
Укладка при рентгенограмме черепа и нижней челюсти в ЗП или ПЗ проекции
Версия для слабовидящих: Вкл/Выкл
Рентгенографические исследования черепа (обзорные и специальные укладки) могут быть назначены для исключения травматических, опухолевых и опухолеподобных изменений костей черепа, в том числе костей лицевого скелета, при подозрении на опухоль головного мозга (в том числе, гипофиза), для исключения вторичных изменений в костях черепа при онкологических заболеваниях, заболеваниях системы кроветворения, эндокринных и других заболеваниях, при подозрении на воспалительные специфические и неспецифические изменения в костях черепа, воспалительные и опухолевые заболевания в придаточных пазухах носа, в среднем ухе, при пороках развития.
Противопоказания: Абсолютных противопоказаний нет.
Относительные противопоказания: беременность. Во время беременности рентгенологические исследования могут быть проведены только по жизненным показаниям, особенно в первый триместр.
Специальной подготовки к исследованию не требуется.
Copyright © 2006-2022 Государственное автономное учреждение здравоохранения
Межрегиональный клинико-диагностический центр
Рентген нижней и верхней челюсти взрослого человека: особенности, что показывает
Рентгенологическое исследование верхней и нижней челюсти

Рентгенологическое исследование - один из самых информативных и быстрых методов оценки состояния костной ткани верхних и нижних челюстей. Это неинвазивная процедура, которая не доставляет пациенту боли или дискомфорта. Рентген сегодня доступен - пройти его можно практически в любой поликлинике или больнице.
Когда делают рентген челюсти?
Точно сказать пациенту, нужно и можно ли ему делать рентген челюстей, должен его лечащий врач. Общими показаниями к такой диагностической процедуре являются:
- Подозрение на аномалии развития челюстей (в детском или взрослом возрасте). Это могут быть врожденные расщелины твердого/мягкого неба, нарушение роста и правильного развития, неправильный прикус.
- Подозрение на инфекционно-воспалительные и специфические патологии. К таким относят остеомиелит, периостит, сифилис, актиномикоз, туберкулез или некроз кости челюсти.
- Для выявления различных приобретенных дефектов, полученных в результате травмы или удаления онкологических образований.
- Подозрение на наличие ложного сустава.
- Подозрение на доброкачественное или злокачественное новообразование.
Что можно увидеть на снимках?
На рентгенологических снимках верхних и нижних челюстей можно увидеть следующее:
- дефекты - трещины, переломы, наличие или отсутствие костных осколков;
- патологические изменения костной ткани - очаги разрежения ткани, уплотнения, утолщения или истончения кортикальной пластинки;
- участки некроза - секвестры;
- склеротический процесс;
- различные периостальные наслоения, остеофиты (костные наросты);
- опухолеподобные новообразования.
Подготовка к процедуре
Рентген челюстей - процедура, не требующая специальной подготовки. Нужно будет только снять с себя все украшения, зубной протез (если это возможно и если он имеется).
Как выполняется процедура?
Рентген челюсти взрослого человека или ребенка - процедура несложная в исполнении. Делать её могут в разных проекциях, чтобы потом лучше рассмотреть строение костной ткани и точно поставить диагноз.
Рентген нижней челюсти
Чтобы получить общую информацию о состоянии нижней челюсти, выполняется рентген-снимок в прямой проекции. Он позволяет проводить первичную диагностику воспалительных, онкологических и травматических заболеваний. Пациента укладывают следующим образом: лежа на животе, лицом книзу, опираясь кончиком носа и лбом о кассету. Датчик рентгеновского аппарата устанавливается у затылочного бугра.
Снимок нижней челюсти в боковой проекции выполняют для оценки состояния тела, ветви и зубов нужной стороны. Пациент ложится на бок, щекой на кассету, расположенную под небольшим наклоном.
Для диагностики заболеваний нижней челюсти выполняются снимки и в аксиальной проекции. Пациент занимает позу лёжа на животе, максимально вытягивая голову подбородком вперед. К кассете при этом он прижимается передней поверхностью шеи и нижней челюстью.
Рентген верхней челюсти
Для оценки состояния костной ткани верхней челюсти и подбородочной области нижней челюсти выполняется носоподбородочная укладка. Для этого пациент ложится на живот, лицом книзу, опираясь кончиком носа и подбородком о кассету. Датчик устанавливается перпендикулярно кассете, делается 2 снимка - с открытым и закрытым ртом.
Панорамный снимок челюсти
Панорамный рентген-снимок, или ортопантомограмма, отображает полностью верхнюю и нижнюю челюсти в прямой проекции. На таком снимке можно увидеть практически все анатомические особенности зубочелюстной системы пациента, всевозможные новообразования, дефекты, переломы корней зубов и так далее. Ортопантомограмма позволяет выявить следующие патологии:
- поражение кариесом зубного корня;
- скрытые кариозные полости;
- кисты, гранулемы, опухоли;
- патологические изменения корней и околокорневого пространства.
Расшифровка результатов

Расшифровывает снимки рентгена челюсти взрослого человека обычно врач-рентгенолог. Также к этой работе могут привлекаться и другие специалисты: стоматолог, лицевой хирург, отоларинголог. Конкретные патологии верхней и нижней челюстей имеют определённые рентгенологические особенности:
Противопоказания
Рентгенография верхней и нижней челюсти противопоказана:
- Женщинам во время беременности. Отдельные виды рентгена, например цифровой, разрешают делать беременным женщинам только во втором триместре.
- Пациентам, у которых отмечается открытое кровотечение, например из дёсен.
- Пациентам в тяжелом состоянии.
Как часто можно делать рентген челюсти?
Чтобы ответить на вопрос о периодичности выполнения рентгенографии челюстей, нужно обратиться к нормативным документам, а именно к положениям СанПиНа. Там указано, что максимально допустимая доза облучения не должна превышать 150 мЗв в год. В переводе на более понятный язык, это примерно 500 снимков в год на радиовизиографе, 50 - на современном аппарате для внутриротовой рентгенографии или 80 цифровых ортопантомограмм.

Наши медицинские центры
- Взрослое отделение
- Диагностика
- Консультации
- Центр лечения боли
- Центр здоровья сердца
- Центр здоровья женщины
- Центр эндокринологии
- Детское отделение
- Массаж
- Нефрология
- Оториноларингология
- Офтальмология
- Эндокринология
Запись по ОМС на МРТ и КТ
Включить версию для слабовидящих?
Настоящим я даю своё согласие ООО «Диагностический центр «Энерго» (далее - Общество) (ИНН: 7810812758, юридический адрес - 196084, город Санкт-Петербург, ул. Киевская, д. 5 к. 4, помещ. 20-н), далее - «Оператор», и третьим лицам, осуществляющим обработку моих персональных данных по поручению Оператора, на обработку указанных сведений обо мне, в целях содействия в трудоустройстве.
Я соглашаюсь на сбор, запись, систематизацию, накопление, хранение, уточнение (обновление, изменение), извлечение, использование, передачу (предоставление, доступ), блокирование, удаление, уничтожение моих персональных данных, а также на осуществление любых других действий, предусмотренных действующим законодательством Российской Федерации, совершаемых с использованием средств автоматизации или без использования таких средств.
Настоящее согласие дано мною лично и добровольно. Настоящее согласие действует до момента его отзыва при отсутствии у Оператора других законных оснований для обработки персональных данных и может быть отозвано мной в любой момент в письменной форме путем направления уведомления Оператору по адресу, указанному выше.
Мы используем cookie-файлы, IP-адреса и данные об устройствах для аналитики, чтобы Ваше посещение сайта было удобным и персонализированным. Вы можете отключить cookie-файлы в настройках вашего браузера. Продолжая пользоваться нашим сайтом, Вы даете согласие на обработку перечисленных данных и принимаете условия Политики обработки и обеспечения безопасности ПДн.
Рентген черепа: что показывает, процедура в 2-х проекциях
Рентгенография - это быстрый и надёжный способ определения патологий, которые располагаются в пределах плотных тканей.
Достоинства рентгена черепа заключаются в следующем:
- высокая информативность снимков, выполненных в различных проекциях;
- высокая оперативность;
- неинвазивность и сравнительно простая технология выполнения процедуры;
- доступность - сегодня рентген головы можно пройти практически в любой поликлинике;
- невысокая лучевая нагрузка.
Когда назначают рентген черепа?
Обзорный рентген черепа в разных укладках может быть назначен пациентам, которых беспокоят:
- цефалгия, или, другими словами, головная боль, различной локализации и интенсивности;
- дрожь в конечностях;
- появление пелены перед глазами или темноты;
- кровотечения из носа;
- болезненное пережевывание пищи;
- снижение остроты зрения и слуха;
- случаи обмороков без видимых на то причин;
- появление асимметрии лицевых костей.
Назначать рентгенологическое исследование черепа могут разные специалисты: невролог, хирург, онколог, офтальмолог и другие.
Что показывает процедура?
На рентгеновских снимках хорошо визуализируются:
- кости скул;
- кости нижней челюсти;
- костная пирамида носа;
- клиновидная кость;
- глазницы;
- височно-нижнечелюстные суставы;
- сосцевидные отростки височных костей.
- сформировавшиеся кальцификаты - могут спровоцировать патологическое развитие черепных костей;
- частичное обызвествление опухолей;
- кровоизлияния и гематомы;
- жидкость в придаточных пазухах носа;
- переломы костей черепа.
Специальной подготовки рентген головы не требует. Перед процедурой пациент должен снять с себя все металлические украшения, очки, а также по возможности зубные протезы. Если протезы несъёмные или установлен металлический имплант, об этом нужно предупредить рентгенолога заранее. Затем, в зависимости от конфигурации рентгеновского аппарата, пациент принимает позу лёжа, сидя или стоя.
На тело пациента надевается свинцовый жилет или фартук, который предотвратит облучение ниже уровня шеи. Голову закрепляют специальными фиксаторами, так как первым условием получения качественного снимка является неподвижность.
Техника проведения
Для рентгеновской съёмки пациент должен встать, сесть возле рентгеновского аппарата либо лечь на его рабочий стол. Во время съёмки важно сохранять неподвижность и не дышать. Если потребуется сделать снимок в нескольких проекциях, врач подскажет, как нужно поменять позу.
Рентген черепа в 2-х проекциях
Чтобы получить наиболее подробную и полную информацию о состоянии костей носа, снимки могут делать в двух проекциях - прямой и боковой. В первом случае пациент становится лицом к рентгеновскому аппарату, во втором - боком (левым или правым).
Насколько опасно исследование?
Рентген - процедура неинвазивная и безболезненная. Также её можно назвать относительно безопасной, так как лучевая нагрузка минимальная. При этом, разумеется, рентген - не та процедура, которую можно повторять много раз подряд. Существуют определённые нормы и периодичность, которые необходимо соблюдать.
Противопоказания для проведения
Абсолютным противопоказанием для рентгена головы является беременность. Также существуют и относительные ограничения. Это детский возраст до 15 лет, психические заболевания, тяжёлое состояние.
Рентген черепа: расшифровка
При расшифровке рентгена черепа в 2-х проекциях специалистами оцениваются габариты и особенности расположения костей, а также строение пазух носа. Данные показатели должны соответствовать норме по возрастной категории обследуемого.
Рентген позволяет отчасти анализировать и состояние мягких тканей головного мозга (хотя для точной диагностики данного органа лучше использовать МРТ или КТ). На снимках могут визуализироваться опухолевые новообразования, можно оценить их локализацию и размер. Главным признаком новообразования злокачественного характера станет наличие затемнения неравномерной структуры. Если опухоль имеет доброкачественный характер, её контуры будут ровными и чёткими.
Нормальные показатели
Разберёмся в том, что должен показывать рентген черепа в случаях, когда патологий нет. При описании снимков рентгенолог оценивает размеры, форму, толщину и расположение костей черепа, а также систему сосудов, состояние пазух носа и черепных швов. Все перечисленные характеристики должны соответствовать возрасту пациента.
Рентгенография черепа при травме головы
Главные вопросы, на которые должен ответить специалист на основании рентгена при травме головы:
- Нарушена ли целостность костей черепной коробки?
- Если перелом есть, то сопровождается ли он вхождением обломков костей в полость черепа?
- Повреждены ли глазницы, а также пазухи носа и уха?
- Имеет ли место повреждение головного мозга вследствие сдавливания его деформированными костями черепа?
Читайте также:
