Диагностика гидранэнцефалии по КТ, МРТ
Добавил пользователь Евгений Кузнецов Обновлено: 11.12.2025
Магнитно-резонансную томографию широко используют в диагностике заболеваний головного мозга. МРТ позволяет с высокой точностью визуализировать патологические изменения в церебральных структурах, выявить малейшие отклонения в структуре вещества мозга и ликворопроводящей системы. Хорошо заметна на снимках гидроцефалия головного мозга на МРТ, при которой в головном мозге отмечается повышенное скопление спинномозговой жидкости. В неврологии подобное состояние называют «водянкой», способно проявляться у взрослых и детей как самостоятельное заболевание или осложнение других болезней головного мозга. При отсутствии ранней диагностики и правильной терапии, патология приведет к инвалидности и даже смерти.

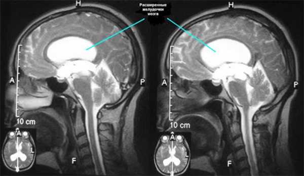
МРТ головного мозга. На МР-томограмме в сагиттальной плоскости отмечается расширение боковых желудочков мозга (линии), за счет повышенного содержания церебральной жидкости (ликвора).
Покажет ли МРТ гидроцефалию головного мозга?
МРТ при гидроцефалии головного мозга считается одной из наиболее информативных методов обследования, благодаря которому определяют не только локализацию патологических изменений, но и причину нарушения оттока ликвора. На снимках врач-рентгенолог видит аномальное увеличение количества церебральной жидкости (ликвора) в желудочках мозга, субарахноидальных щелях, определяет повышенное внутричерепное давление.
Благодаря МРТ врач имеет возможность на ранних стадиях выявить водянку, определить атрофические изменения в структурах головного мозга, сопутствующие осложнения. Жидкость при гидроцефалии скапливается под мозговой оболочкой в мягких тканях, вызывает стойкое повышение внутричерепного давления, головные боли, тошноту и др.
В отличие от УЗИ или КТ, МРТ дает возможность определить болезнь на первичном этапе развития. Для диагностики используется современная высокочувствительная аппаратура, позволяющая провести дифференциальный осмотр структур головного мозга, получить достоверные результаты. При помощи МРТ можно выявить следующие формы патологии:
1. Наружная заместительная гидроцефалия - жидкость скапливается в оболочечных пространствах головного мозга, что приводит к расширению оболочек и компрессии близлежащих структур.
2. Внутренняя - ликвор присутствует в желудочках, присутствует выраженный синдром внутричерепной гипертензии.
3. Нормотензивная или синдром Хакима-Адамса - патология малоизученная, встречается редко, сопровождается множественными супратенториальными очагами.
4. Заместительная гидроцефалия - происходит уменьшение объема головного мозга, а его место занимает спинномозговая жидкость.
Во врачебной практике часто встречается умеренная наружная гидроцефалия, реже нормотензивная форма.

Состояние после оперативного вмешательства: эндоскопической трицистерновентрикулостомии.
При проведении МРТ головного мозга не прослеживается ток ликвора на уровне водопровода мозга, отмечается ток на краниовертебральном уровне и базальных цистернах. На уровне стомы в дне третьего желудочка - ток ликвора интенсивный.
Признаки гидроцефалии у взрослых по МРТ
Гидроцефалия на МРТ проявляется высоким внутричерепным давлением, которое происходит за счет увеличения объема ликвора в желудочках мозга.
При гидроцефалии происходит скопление спинномозговой жидкости (ликвора) в желудочках головного мозга, что приводит к компрессии структур, появлению выраженной неврологической симптоматики. У детей патология чаще является врожденной, проявляется в период внутриутробного развития. Гидроцефалия у взрослых - результат сопутствующих заболеваний:
послеоперационные изменения вещества головного мозга;
нарушение мозгового кровообращения;
сосудистые патологии: гипертония, аневризма.
Гидроцефалия представляет серьезный риск для пациента, поэтому при первых неврологических симптомах (головная боль, головокружение, тошнота, тремор конечностей) важно как можно быстрее обращаться к врачу, который направит на МРТ.
МРТ позволяет провести детальную оценку всех структур головного мозга, распознать следующие патологические изменения:
степень увеличения и расширения желудочков;
количество и локализация цереброспинальной жидкости;
изменение структуры мозговой ткани;
увеличение объема субарахноидальных пространств;
поражение стволовых структур;
мозговые образования (опухоли, кисты, кровоизлияния).
Полученные снимки после МРТ позволяют врачу поставить правильный диагноз, подобрать наиболее эффективную терапию. Исходя из врачебной практике нейрохирургов, консервативные методики не приносят должного результата, единственным способом избавится от патологии, проведение операции.

Как выглядит гидроцефалия на снимках МРТ?
МР-диагностика с высокой долей достоверности определяет патологические процессы, проявившиеся на фоне нарушения оттока ликвора. Благодаря получению многоплоскостных изображений на МРТ исключаются сопутствующие изменения вещества головного мозга. Врач диагност при гидроцефалии на снимках заметит следующие изменения:
увеличение объема боковых желудочков;
снижение МР-сигнала от субарахноидального пространства, уменьшение конвекситального субарахноидального пространства;
локальное выпячивание боковых желудочков.
Сканирование в нескольких плоскостях определяет болезнь на самых ранних стадиях, что при условии правильного лечения позволяет полностью вылечить болезнь без тяжелых последствий для здоровья. Помимо патологических изменений, развившихся на фоне водянки, МРТ дает возможность выявить причину гидроцефалии.
Диагностика помимо локализации и количества жидкости распознает увеличение размера борозд и подпаутинного пространства, поражение мозга и сосудистых сплетений. С высокой точностью визуализирует признаки нейродегенеративных патологий, онкологические процессы или поражение сосудов.

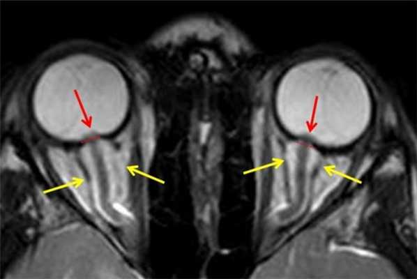
МРТ орбит. На МРТ орбит в аксиальной плоскости отмечается минимально выраженный отек ретробульбарной клетчатки с наличием жидкостного содержимого (желтые стрелки) вдоль зрительных нервов (расширение субарахноидального пространства), приводящие к масс-эффекту зрительных нервов (красные стрелки) и деформации глазного яблока.
Расшифровка МРТ головного мозга при гидроцефалии
Охарактеризовать результаты МРТ головного мозга может врач-рентгенолог, имеющий большой практический опыт. Специалист изучает полученные снимки, сопоставляет срезы в разных плоскостях и режимах сканирования. Обнаруженные патологии вносит в заключение, затем передает лечащему врачу пациента.
Современные диагностические центры оснащены высокотехнологическими сканерами, что позволяет с точностью провести исследование головного мозга, ликворопроводящих путей. Сама процедура МРТ полностью безопасна для здоровья, позволяет даже при отсутствии внешних признаков и симптомов выявить патологические изменения в голове, тем самым предотвратить прогрессирование болезни и ее возможные последствия.
МРТ и КТ при гидроцефалии головного мозга - что покажет

МРТ головного мозга является аппаратным методом диагностики гидроцефалии головного мозга. Исходя из первичных симптомов, истории болезни, противопоказаний и диагностических целей, врач невролог назначает необходимые способы обследования. В большинстве случаев, МРТ головного мозга выбирается как первичный метод диагностики.
Гидроцефалия головного мозга - это патологическое скопление жидкости в головном мозге. Избыток жидкости оказывает давление на мозг, что может привести к его повреждению. Если это состояние не лечить, оно может привести к летальному исходу.
Причины гидроцефалия
В прошлом гидроцефалию называли «водянкой головного мозга». Однако при этой патологии мозг окружен не водой, а спинномозговой жидкостью. Она выполняет 3 важные функции:
- защищает мозг от повреждений
- удаляет продукты жизнедеятельности из мозга
- обеспечивает мозг питательными веществами, необходимыми для правильного функционирования.
Мозг постоянно производит новую спинномозговую жидкость, в то время как старая жидкость выделяется из него и всасывается в кровеносные сосуды. Но если этот процесс нарушить, количество спинномозговой жидкости может быстро нарастать, вызывая высокое внутричерепное давление.
Симптомы гидроцефалии
Повреждение головного мозга от гидроцефалии может вызвать широкий спектр симптомов, в том числе:
- головная боль
- помутнение зрения
- трудности при ходьбе.
Различные типы гидроцефалии могут вызывать дополнительные симптомы в виде когнитивных проблем, сложностью с движением.
Виды гидроцефалии
Выделяют 3 основных типа гидроцефалии:
врожденная гидроцефалия - гидроцефалия, присутствующая при рождении приобретенная гидроцефалия - гидроцефалия, развивающаяся после рождения гидроцефалия нормального давления - обычно развивается только у пожилых людей.
Врожденная гидроцефалия присутствует с рождения
Врожденная гидроцефалия головного мозга провоцирует избыток жидкости у ребенка при рождении. Это может быть вызвано таким заболеванием, как расщелина позвоночника или инфекцией, которую мать развивает во время беременности, например, паротитом или краснухой. Многие дети, рожденные с гидроцефалией, имеют необратимое повреждение головного мозга, которые могут вызвать долгосрочных осложнений:
- неспособность к обучению
- проблемы с речью
- проблемы с памятью
- короткая продолжительность концентрации внимания
- проблемы с организаторскими способностями
- проблемы со зрением, такие как косоглазие и потеря зрения
- проблемы с физической координацией эпилепсия.
Приобретенная гидроцефалия головного мозга у детей или взрослых
Приобретенная гидроцефалия головного мозга развивается после болезни или травмы. Например, это состояние может случиться после серьезной травмы головы или как осложнение заболевания, например, опухоли головного мозга.
Гидроцефалия нормального давления
Гидроцефалия с нормальным давлением (ГНД или мальрезорбтивная гидроцефалия) - это необычное и малоизученное заболевание, которое чаще всего поражает людей старше 60 лет. Иногда эта форма гидроцефалии может развиться после травмы или инсульта, но в большинстве случаев причина патологии неизвестна. Проблемы с подвижностью, деменция и недержание мочи - основные симптомы (ГНД). Но поскольку эти признаки развиваются постепенно и похожи на симптомы других, более распространенных состояний, таких как болезнь Альцгеймера, диагноз гидроцефалия нормального давления трудно поставить.
МРТ или КТ при гидроцефалии головного мозга - что лучше выбрать
МРТ головного мозга является основной формой диагностики врожденной и приобретенной гидроцефалии. Контрольный список симптомов используется для диагностики мальрезорбтивной гидроцефалии. Например, будет оцениваться походка, умственные способности и контроль над мочевым пузырем. МРТ головного мозга при гидроцефалии нормального давления используется для дифференциальной диагностики этого заболевания от болезни Альцгеймера и опухоли мозга. КТ головного мозга при диагностике гидроцефалии обычно используется, если она сопровождается травмой головного мозга.
Признаки гидроцефалии головного мозга на МРТ
Признаки гидроцефалии на снимках МРТ бывают прямыми и косвенными. Первые связаны с расширением желудочков мозга (III, IV и боковых (в начальном периоде — в области передних рогов и тела)), водопровода и/или субарахноидального пространства (конвекситально, в области базальных цистерн, Сильвиевых борозд).
Разница между МРТ и КТ
Компьютерная томография и магнитно-резонансная томография используются для получения изображений органов и тканей в трехмерной проекции. Разница в томографии заключается в том, что при МРТ используются радиоволны, а при КТ - рентгеновские лучи для получения изображения. Хотя оба томографических метода имеют высокую информативность, есть диагностические различия, которые могут сделать каждый из них более подходящим вариантом в зависимости от обстоятельств.
КТ-сканирование более быстрая форма диагностики, чем магнитно-резонансная томография, и обычно используется для экстренного обследования. При использовании как КТ, так и МРТ существуют определенные риски. Они зависят от типа визуализации, а также от способа ее проведения. К рискам КТ относятся: вред для внутриутробного ребенка при беременности и доза радиации. Риски МРТ включают реакции на металлические импланты в теле из-за сильного магнитного поля, громкий шум от аппарата, повышенная, клаустрофобические риски.
Если врачу нужны более детальные изображения мягких тканей, связок или органов высоким состоянием воды, обычно назначается магнитно-резонансная томография. Если необходимо получить хорошие изображение костных структур и полых органов, обычно рекомендуется компьютерная томография.
Лечение гидроцефалии
Гидроцефалию обычно можно лечить с помощью шунта, который хирургическим путем имплантируется в мозг и выводит лишнюю жидкость. Эндоскопическая третья вентрикулостомия иногда может использоваться как альтернатива хирургии шунтирования.Во время этой процедуры в нижней части черепа делается отверстие, позволяющее скоплению жидкости выходить на поверхность, где она может абсорбироваться. Операция, применяемая для лечения гидроцефалии, иногда может вызывать осложнения. Например, шунт может быть заблокирован или инфицирован.
МРТ, Электроэнцефалография или УЗИ при энцефалопатии головного мозга - что покажет

МРТ головного мозга, УЗИ сосудов головного мозга, электроэнцефалография являются аппаратными методами диагностики энцефалопатии головного мозга. Исходя из первичных симптомов, истории болезни, противопоказаний и диагностических целей, врач невролог назначает необходимые способы обследования.
В большинстве случаев, МРТ головного мозга выбирается как первичный метод диагностики. Если результаты исследования носят тревожный или неясный характер, дополнительно назначается:
Виды энцефалопатии головного мозга
Энцефалопатия - это общий термин, описывающий заболевание, которое влияет на функцию или структуру головного мозга. Существует много типов энцефалопатии. Некоторые типы являются хроническими, а некоторые временными. Некоторые типы присутствуют с рождения и никогда не меняются, в то время как другие приобретаются после рождения и могут постепенно ухудшаться:
Хроническая травматическая энцефалопатия
Этот тип энцефалопатии возникает при наличии нескольких травм головного мозга, когда удары по голове приводят к повреждению нервов. Обычно этот вид энцефалопатии встречает у боксеров, футболистов или военнослужащие, получившие ранения в результате взрывов.
Глициновая энцефалопатия
Глициновая энцефалопатия - это наследственное состояние, при котором в мозге находятся аномально высокие уровни глицина (аминокислоты). Симптомы глициновой энцефалопатии обычно появляются у младенцев вскоре после рождения.
Гипертоническая энцефалопатия
Гипертоническая энцефалопатия является результатом высокого артериального давления, что может привести к повреждению мозга и гипертонической энцефалопатии.
Гипоксическая ишемическая энцефалопатия
Это состояние является типом повреждения мозга, которое возникает, когда мозг не получает достаточно кислорода, что может привести к необратимому повреждению мозговых клеток.
Токсично-метаболическая энцефалопатия
Токсично-метаболическая энцефалопатия является результатом инфекций, токсинов или органной недостаточности. Когда электролиты, гормоны или другие химические вещества в организме находятся вне нормального равновесия, они могут повлиять на функцию мозга. Энесфалопатия обычно разрешается при восстановлении основного химического дисбаланса или удалении токсина.
Инфекционные энцефалопатии
Трансмиссивные губчатые энцефалопатии также известны как прионные заболевания. Прионы - это белки, которые естественным образом встречаются в организме, но они могут мутировать и вызывать заболевания, которые постепенно повреждают и ухудшают работу клеток мозг (нейродегенеративные заболевания).
Верницкая энцефалопатия
Это состояние, также известное как болезнь Вернике, является результатом дефицита витамина B-1. Длительный алкоголь, плохое питание и плохое усвоение пищи могут привести к дефициту витамина B-1. Если энцефалопатия Вернике не лечится быстро, это может привести к синдрому Вернике-Корсакова.
Дисциркуляторная энцефалопатия
Дисциркуляторная энцефалопатия - прогрессирующее многоочаговое поражение головного мозга, вследствие хронической недостаточности церебрального кровообращения. Основными причинами являются: атеросклероз, гипертоническая болезнь, венозные нарушения, гемодинамические расстройства, заболевания крови.
Симптомы энцефалопатии
У пациента могут возникнуть трудности с памятью или концентрацией, изменение личности.
Неврологические симптомы
Возможные неврологические симптомы включают в себя:
- мышечная слабость в одной области
- непроизвольное подергивание
- тремор
- трудности с глотанием
- сложности с речью
- припадки
- сильная дезориентация.
КТ, МРТ, УЗИ и ЭЭГ при диагностике энцефалопатии головного мозга - что лучше?
Протокол диагностики энцефалопатии головного мозга включает:
- анализы крови для выявления заболеваний, бактерий, вирусов, токсинов, гормонального или химического дисбаланса или прионов
- люмбальная пункция для поиска заболеваний, бактерий, вирусов, токсинов или приона
- компьютерная томография головного мозга для выявления аномалий или повреждений мозговых структур
- магнитно-резонансная томография головного мозга для выявления аномалий или повреждений мозговых структур
- УЗИ сосудов головы и шеи с допплерографией для выявления атеросклероз
- электроэнцефалограмма (ЭЭГ) для измерения электрической активности в мозге.
УЗИ и МРТ - что лучше выбрать
Выбор необходимого способа обследования должен осуществлять опытный врач. Назначение метода диагностики специалист делает исходя из самочувствия пациента, симптомов заболевания, противопоказаний и целей диагностики.
При ультразвуковом исследовании врач использует безвредные высокочастотные звуковые волны для создания изображений органов и тканей. Во время исследования пациент лежит на диагностической кушетке. Специалист по УЗИ наносит на кожу зоны обследования прозрачный гель на водной основе. Затем проводит по зоне обследования ручным прибором, называемым датчиком. Он посылает высокочастотные звуковые волны, которые отражаются от структур и органов тела. Эти волны передаются на компьютер, который использует их для создания изображений.
При магнитно-резонансной томографии используются безвредное магнитное поле и радиоволны для создания изображений. Аппарат МРТ представляет собой длинную трубу. Во время этого исследования пациент лежит на томографическом столе, который задвигается в сканер. Аппарат создает сильное магнитное поле, которое заставляет молекулы воды в организме совершать колебательные движения. На базе этого резонанса томограф создает четкие трехмерные изображения органов и тканей.
С точки зрения информативности
Ультразвуковая диагностика - это более субъективный метод диагностики, поскольку его точность во многом зависит от профессиональных движений рук УЗИ врача. МРТ - это более точный и объективный вид обследования, и ее информативность, специфичность превышает результаты ультразвукового исследования.
С точки зрения безопасности
МРТ и УЗИ — это методы диагностики, которые не имеют лучевой нагрузки. Поэтому эти обследования пациент может осуществлять по личной инициативе.
С точки зрения доступности
В медицинских центрах Санкт-Петербурга самым доступным методом диагностики является УЗИ. МРТ — это экспертные и дорогостоящие виды обследования. Поэтому магнитно-резонансную томографию врачи обычно назначают в качестве дополнительной диагностики, если первичное УЗИ выявил серьезную патологию или пациенту нужно дообследование.
С точки зрения стоимости
Самыми экономичными видами исследования являются УЗИ. Магнитно-резонансная томография — это высокотехнологичные способы обследования, поэтому их стоимость будет существенно выше УЗИ.
С точки зрения противопоказаний
УЗИ является безвредным методом диагностики, у него нет противопоказаний. Оно доступно для всех пациентов вне зависимости от возраста. МРТ имеет два основных противопоказания - это наличие металла и электронных приборов в теле пациента.
Признаки дисциркуляторной энцефалопатии на КТ
КТ-картина дисциркуляторной энцефалопатии характеризуется следующими паттернами:
Гидроцефалия головного мозга на МРТ

Гидроцефалия на МРТ
Магнитно-резонансную томографию активно используют в неврологии и нейрохирургии. С помощью метода визуализируют головной мозг. Послойные снимки полноценно отражают церебральные структуры, позволяют выявить патологические изменения на любом участке и собрать детальные сведения об отклонениях.
МРТ имеет огромное значение для ранней диагностики заболеваний головного мозга. На снимках врач-рентгенолог видит признаки опасных для жизни состояний, например, водянки. Гидроцефалия головного мозга на МРТ проявляется характерными симптомами, даже на начальных этапах развития. Опытный диагност быстро определит патологию, установит форму, клиницист подберет правильную тактику лечения.
Что такое гидроцефалия?
Трофику нервной ткани обеспечивает непрерывная циркуляция ликвора. Спинномозговая жидкость перемещается по определенному пути внутри церебральных структур, участвуя в обмене веществ. Ликвор защищает ткань от механических воздействий, обеспечивает стабильные концентрации электролитов, кислотно-щелочное равновесие, выступает в качестве иммунобиологического барьера.
Гидроцефалия — патологическое состояние, характеризующееся нарушениями выработки, оттока и/или циркуляции спинномозговой жидкости, избыточным ее скоплением, часто с повышением уровня внутричерепного давления. Для заболевания характерна неврологическая симптоматика. Со временем гидроцефалия приводит к развитию вторичных изменений. Синоним — водянка головного мозга. Неконтролируемое течение заболевания чревато летальным исходом.
- приступы цефалгии (головной боли);
- колебания артериального давления;
- тошнота;
- рвота;
- недержание мочи;
- шаткость походки;
- психические нарушения (деменция и пр.); — прогрессирующее увеличение размеров головы, симптом заходящего солнца и пр.

Схематичное изображение желудочков мозга в норме и при внутренней гидроцефалии
На ранних этапах развития патологии происходят изменения в головном мозге, но неврологическая симптоматика отсутствует. Проявления возникают на фоне органических процессов в церебральном веществе, нарушения кровообращения, атрофии отдельных участков.
Гидроцефалия — признак заболевания, т.к. является осложнением последнего. Идиопатическая форма патологии практически не встречается. Гидроцефалию и ее причины выявляют с помощью нейровизуализационных методов. Наиболее информативной признана МРТ.
Патологию чаще диагностируют у детей в первые 3 месяца жизни. Заболевание встречается и у взрослых, особенно после 60 лет. Причины развития гидроцефалии:
- черепно-мозговые травмы;
- опухоли;
- сосудистые патологии;
- инфекционные заболевания;
- перенесенные нейрохирургические операции; и гематомы;
- аномалии развития центральной нервной системы.
Тактика лечения гидроцефалии головного мозга зависит от вида заболевания. При благоприятном течении назначают медикаментозную терапию. При неэффективности препаратов и высоком риске развития осложнений в срочном порядке проводят хирургическое вмешательство.
В зависимости от причины развития, водянка мозга бывает врожденной и приобретенной. Исходя из распределения ликвора, патологию классифицируют на виды:
- наружная;
- внутренняя (моно-, би-, три- или тетравентрикулярная);
- смешанная.
Исходя и механизма развития, водянка головного мозга бывает:
- открытой (сообщающаяся);
- закрытой (окклюзионная).

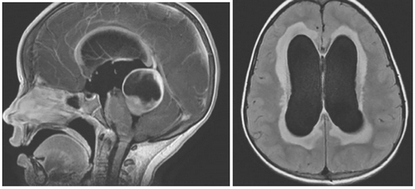
Внутренняя тривентрикулярная окклюзионная гидроцефалия на МРТ во фронтальной и сагиттальной плоскостях: на левом снимке видно гигантское кистозно-солидное образование, явившееся причиной обструкции ликворопроводящих путей на уровне Сильвиева водопровода
МРТ покажет гидроцефалию?
При магнитно-резонансной томографии получают послойные снимки исследуемой анатомической области. При изучении сканов врач видит мозговое вещество и выявляет отклонения от нормы. МРТ отчетливо показывает гидроцефалию. Метод информативен на ранних этапах развития заболевания, даже при отсутствии у пациента характерных симптомов. Детализация снимков позволяет врачам выявить водянку головного мозга, определить тип, диагностировать сопутствующие заболевания.

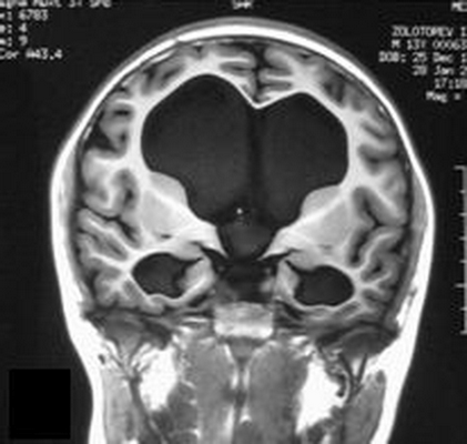
Водянка головного мозга при МР-сканировании в коронарной проекции
Проявления патологии на снимках бывают прямыми и косвенными. Первые связаны с расширением желудочков мозга (III, IV и боковых (в начальном периоде — в области передних рогов и тела)), водопровода и/или субарахноидального пространства (конвекситально, в области базальных цистерн, Сильвиевых борозд и пр.). Косвенные признаки на МР-сканах:
- межжелудочковый индекс свыше 0,5;
- перивентрикулярный отек при напряженной водянке;
- смещение гипоталамуса вниз;
- локальное выпячивание крыши боковых желудочков и др.
Дополнительно на томограммах определяют причину водянки головного мозга — основное заболевание.
Заключение МРТ головного мозга: гидроцефалия
Рассмотреть и охарактеризовать патологические изменения способен врач-рентгенолог с большим практическим опытом. Эксперт изучает снимки, сопоставляет между собой срезы в разных проекциях и режимах сканирования.
Обнаруженные признаки патологии врач фиксирует в заключении. Специалист описывает томографические признаки заболевания и ставит предварительный диагноз. В заключении МРТ может быть указано «умеренная наружная заместительная гидроцефалия». Клиницист трактует информацию, как невыраженное скопление ликвора в субарахноидальном пространстве на фоне атрофии коры мозга. Это не истинная водянка, а проявление компенсаторного механизма, развивающегося при органических или возрастных изменениях нервной ткани.
МРТ при гидроцефалии
При помощи магнитно-резонансной томографии выявляются изменения патологического характера, ткани головного мозга на первоначальных стадиях. Методика дает возможность своевременно определить тип и масштабы патологий, назначить адекватное лечение. МРТ при гидроцефалии информативно на любой стадии, даже если болезнь еще никак не проявляется.
Особенности и механизм развития болезни
Гидроцефалия или водянка головного мозга - заболевание, которое сопровождается накоплением избыточной цереброспинальной жидкости внутри желудочков, в подоболоченных мозговых пространствах и приводит к их расширению, а также становится причиной повышения внутричерепного давления.

В желудочках головного мозга продуцируется спинномозговая жидкость. Она служит своеобразной подушкой, защищает головной, спинной мозг, доставляет питательные вещества, отвечает за выведение отходов. В норме жидкость движется до всасывания в кровоток. При гидроцефалии ее движение блокируется, а всасывание ограничивается. При отсутствии адекватного лечения развиваются осложнения, вплоть до летального исхода.
Виды заболевания
Различают несколько видов гидроцефалии головного мозга. Патология бывает врожденной и приобретенной. Первая прогрессирует под действием неблагоприятных факторов в период внутриутробного развития. Вторая формируется под действием различных патологий и внешних факторов.
По месту локализации заболевание бывает:
- Наружным - со скоплением жидкости под мозговыми оболочками;
- Внутренним - с нарушением оттока ЦСЖ из желудочков;
- Общим - сочетает признаки обеих предыдущих форм.
По механизму развития гидроцефалия может быть открытой, с сохранением связи между желудочковой системой и субарахноидальным пространством, или закрытой, с нарушением этой связи.
Формы патологии
Форма гидроцефалии определяет характер течения болезни, степень ее тяжести. Для классификации чаще всего используются следующие критерии:
- Интенсивность проявления патологии - при выраженной накапливается много жидкости, из-за чего нарушается деятельность нервной системы. В этом случае болезнь сопровождается выраженными неврологическими симптомами. Для умеренной степени характерно скопление небольшого объема ликвора и отсутствие симптоматики;
- Степень воздействия на мозговые структуры - при компенсированной форме жидкость не оказывает воздействия на мозг, при декомпенсированной ухудшает его функционирование;
- Характер протекания - гидроцефалия головного мозга в хронической форме сопровождается постепенным нарастанием симптомов, в острой приводит к резкому ухудшению состояния человека.
Определение типа заболевания, его формы и особенностей развития позволяют современные меры диагностики.
Стадии развития
Наружная гидроцефалия имеет 3 стадии развития, для каждой из них характерны свои признаки:
- Легкая - размеры водянки небольшие, организм пытается сам справляться с нарушениями тока ЦСЖ. Человек обычно чувствует не слишком интенсивную головную боль, у него периодически кружится голова, слегка ухудшается самочувствие, иногда темнеет в глазах;
- Средняя - проявления становятся более заметными, увеличивается интенсивность головных болей, в особенности при физической нагрузке. Возможны нарушения зрительной функции, быстрое наступление усталости, перепады давления, депрессии и сильная раздражительность;
- Тяжелая - на этой стадии гидроцефалия головного мозга может вызывать судорожные припадки, апатичное состояние, обмороки, апатию, а также приводить к развитию состояний, в которых человек уже не способен к самообслуживанию.
На первоначальных стадиях развития патологии неврологические симптомы могут отсутствовать. Они появляются из-за органических процессов, которые происходят в церебральном веществе, а также на фоне нарушения кровообращения и атрофии некоторых участков.
Гидроцефалия у детей
Признаки гидроцефалии определяются возрастом человека и стадией заболевания. У детей, в том числе новорожденных, на развитие патологии могут указывать капризное поведение и плохой аппетит, мраморная кожа и замедление реакций, ретракция века и взгляд, практически всегда направленный вниз, а также вспучивание родничка и чрезмерно увеличенные размеры головы.
Именно размеры и форма головы ребенка часто указывают на патологические процессы. К полугодовалому возрасту у малышей с гидроцефалией показатель окружности головы больше, чем груди, череп становится продолговатым, грушевидным, и это заметно невооруженным взглядом.
При гидроцефалии у детей блокируется нормальное функционирование мозга, что приводит к отставанию в психическом, физическом, умственном развитии. Риск патологии повышается у новорожденных, появившихся на свет раньше срока с малой массой тела. Причиной могут послужить также родовые внутричерепные травмы, инфекционные заболевания, перенесенные матерью во время беременности.
Ребенок с таким заболеванием позже своих сверстников начинает переворачиваться, держать голову, садиться. При тяжелой форме патологии эти навыки не формируются, снижается мышечная сила в конечностях вплоть до паралича, повышается мышечный тонус. После заращения родничков начинает сильно болеть голова, чаще по утрам, частая рвота, носовые кровотечения.
Симптомы болезни у взрослых
Гидроцефалия у взрослых проявляется:
- Головными болями, при которых не спасают ни сон, ни препараты с обезболивающим действием;
- Тошнотой, чувством приближения рвоты;
- Ощущением постоянной усталости;
- Резкой сменой настроений, склонностью к раздражительности;
- Изменениями в поведении;
- Затуманиванием сознания, сложностями с памятью, процессом мышления;
- Нарушением равновесия;
- Невозможностью контролировать мочеиспускание;
- Припадками и судорогами;
- Нарушениями сна;
- Проблемами с аппетитом;
- Нечеткостью зрения, ощущением двоения в глазах, перемещения глазных яблок вниз.
Головная боль при гидроцефалии усиливается при смене горизонтального положения на вертикальное. Возможны колебания артериального давления. При нормотензивной гидроцефалии появляются признаки деменции, недержания мочи, нарушений ходьбы в сочетании с выраженным расширением желудочков мозга, но без повышения давления ЦСЖ.
Причины патологии
Основные причины развития гидроцефалии во взрослом возрасте - это:
- Патологии сосудистой системы;
- Заболевания инфекционного характера;
- Нейрохирургические операции;
- Травмы головы;
- Опухолевые процессы;
- Перенесенный инсульт;
- Аномалии развития ЦНС.
Гидроцефалия может стать осложнением менингоэнцефалита, менингита, разрыва аневризмы аневризмы либо внутрижелудочкового кровоизлияния, формирования кисты или опухоли в головном мозге.
Причина гидроцефалии у взрослых может заключаться в регулярной интоксикации, к примеру, частом потреблении спиртного. Алкоголь оказывает поражающее действие на нейроны, из-за этого отмирают участки тканей. Повышенный риск создают хронические заболевания в виде рассеянного склероза, диабета, нарушений в обмене веществ, энцефалопатии. Нередко болезнь развивается на фоне возрастных изменений в организме, связанных со старением мозговых тканей и сосудов.
Эффективность МРТ при гидроцефалии
Для диагностики гидроцефалии используют магнитно-резонансную томографию. Это наиболее информативный метод визуализации, позволяющий установить точный диагноз, вне зависимости от стадии патологии.
Суть МРТ заключается в получении послойных снимков используемой области путем сканирования. Принцип действия томографии связан с воздействием магнитного поля и фиксацией радиочастот, исходящих от тела человека.
В отличие от рентгена, МРТ не оказывает негативного влияния на организм. Это неинвазивный и абсолютно безопасный метод, позволяющий получить изображения высокого качества, в том числе трехмерные. На них хорошо видны мозговые ткани разной плотности и границы между ними, новообразования и сосуды. Благодаря исследованию в нескольких проекциях на заданной глубине, появляется возможность оценить состояние любого участка головного мозга.

Как проводится процедура?
МРТ головного мозга проводится с контрастным усилением или без него. В первом случае пациенту внутривенно вводятся специальные препараты, которые создают четкое изображение пораженных участков, улучшают качество визуализации. Например, при таком подходе хорошо видна не только сама опухоль, но и ее точные границы.
Особая подготовка к процедуре не требуется, но перед ее началом придется снять все металлические украшения. Сам аппарат для томографии выглядит как большой цилиндр, внутри которого находится подвижная платформа. Пациент располагается на ней лежа на спине. Для защиты от шума, который издает прибор, используются беруши.
Стол задвигается внутрь томографа, врач выполняет процедуру из соседнего кабинета, управляя устройством с помощью компьютера. На протяжении всего времени обследования сохраняется голосовая связь с доктором, поэтому пациент в любой момент может сообщить о неприятных или дискомфортных ощущениях.
Томограф последовательно делает серию снимков, которые в итоге формируют готовое изображение. Чтобы снимки были качественными, пациенту необходимо сохранять полную неподвижность. В среднем процедура занимает около 30-45 минут.
Оценка результатов
Данная методика дает возможность выявить не только гидроцефалию головного мозга, но и сопутствующие заболевания, точно определить тип патологии. На снимке видны и прямые, и косвенные признаки болезни. К прямым относится увеличение желудочков головного мозга, субарахноидального пространства.
Косвенными признаками являются:
- Величина межжелудочкового индекса от 0,5 и больше;
- Смещение гипоталамуса книзу;
- Отек при напряженной водянке;
- Частичное выпячивание верхней части боковых желудочков.
Исходя из результатов исследования, ставится диагноз и назначается лечение. МРТ может показать заместительную гидроцефалию. Это означает, что в субарахноидальном пространстве присутствует определенное количество жидкости, однако ее наличие является не признаком водянки, а проявлением компенсаторного механизма, связанного с возрастными либо органическими изменениями тканей.
Методы и принципы лечения
Основной задачей является устранение скопившихся излишков спинномозговой жидкости, чтобы восстановить ее нормальное течение.
В некоторых случаях проводится медикаментозная терапия. Улучшение от консервативного лечения гидроцефалии обычно наступает, когда болезнь является осложнением инфекционного либо воспалительного заболевания, травматического воздействия. Когда лекарства не дают должного эффекта, проводится операция для установки специальных шунтов. Этот элемент обеспечивает отвод жидкости к брюшной полости, где она поглощается организмом. В результате снижается давление, сокращается размер отека в головном мозге.
Другой вариант хирургического лечения - создание отверстия в 3-м мозговом желудочке для перетекания ликвора между областями мозга. Оба метода позволяют снять симптомы и блокировать развитие опасных осложнений. Если заболевание обусловлено появлением опухоли, проводится ее удаление.
Чем раньше будет выявлена гидроцефалия, тем благоприятнее прогноз лечения. При своевременном и успешном проведении операции пациент может вернуться к нормальной жизни, возможно полное выздоровление. Запущенные стадии заболевания не только ухудшают качество жизни, но и приводят к опасным последствиям, вплоть до летального исхода. Именно поэтому важную роль играет точная диагностика, в первую очередь, МРТ.
Читайте также:
