Укладка при рентгенограмме органов грудной клетки (ОГК) в боковой проекции (левой)
Добавил пользователь Валентин П. Обновлено: 22.01.2026
Рентгеном грудной клетки называют проекционное рентгенографическое обследование. Его цель - оценка патологии органов, находящихся в этой полости, и близкорасположенных анатомических структур. Данная разновидность рентгена является, пожалуй, одним из самых распространенных рентгенографических исследований. Рассмотрим подробнее этот тип аппаратной диагностики.
Рентген грудной клетки: общая характеристика метода
Органы и ткани человека по-разному реагируют на ионизирующее излучение: чем выше их плотность, тем светлее на снимке объект. Выполнение рентгенографии грудной клетки позволяет изучить мягкие ткани, кости этой части тела и анатомические структуры, находящиеся в исследуемой полости (легкие, плевру, средостение).
Стоит отметить, что на смену обычному (традиционному) рентген-исследованию пришла цифровая (компьютерная) рентгенография. Новые технологии позволяют получать более четкие снимки намного быстрее, что ускоряет процесс постановки диагноза. Изображение получают сразу в цифровом формате. Это исключает вероятность искажения снимка и появления на пленке царапин. Кроме того, по сравнению с обычным методом исследования, уменьшается лучевая нагрузка на пациента на 40%.
В зависимости от показаний пациенту может быть назначен обзорный или прицельный рентген грудного отдела. В первом случае получают изображения всех органов грудной клетки. На снимке обзорной рентгенографии хорошо видны дыхательные пути, лимфоузлы, сосуды, бронхи, трахея, легкие и сердце. Прицельная рентгенография направлена на исследование конкретного органа или его части и обеспечивает оптимальное изображение патологического очага для диагностики.
Многие задаются вопросом - чем отличается рентгенография от знакомой всем флюорографии? По сути, это одинаковые процедуры. Но рентгенография представляет собой современный, усовершенствованный метод диагностики грудной клетки высокой точности. Кроме того, это более щадящая процедура, чем флюорография, так как пациент получает меньшую лучевую нагрузку при ее проведении. Флюорография дает только общее представление о состоянии внутренних органов.
Стоит добавить, что КТ (компьютерная томография) также использует высокоточный механизм рентгеновского излучения (сканирования), но в рамках данной статьи мы описывать его не будем.
Что показывает рентген грудной клетки
Рентгенография призвана, в первую очередь, определить характер заболевания легких - пневмонию, профессиональные поражения, туберкулез, доброкачественные и злокачественные опухоли. Также данный метод эффективен при диагностике изменений лимфатических узлов и позвоночника. Рентгенография помогает определить порок сердца, болезнь перикарда и сердечной мышцы.
Когда назначают исследование
Прежде всего, сделать рентген грудной клетки стоит пациентам, у которых наблюдается следующая симптоматика:
- появление сильной одышки;
- боли в грудном отделе;
- затяжной кашель.
Также назначают рентгенографию при подозрении на перелом ребер или повреждение легких. В зависимости от причин, выписать пациенту направление на рентген может терапевт, травматолог, хирург или другой узкий специалист.
Вопрос, который интересует всех будущих мам: можно ли делать рентген при грудном вскармливании? Согласно результатам исследований, рентгеновские лучи никаким образом не влияют на состав молока и его качество, а также не мешают нормальной лактации. Следовательно, при необходимости такие исследования можно проводить. А вот во время беременности рентгенография строго запрещена, так как теоретически может вызвать аномалии развития плода.
Помните, что рентгеновское исследование в медицинском учреждении является полностью контролируемым и безопасным. Но существует ряд противопоказаний, при наличии которых пациенту данный вид диагностики не рекомендован.
- пациентам с сильными кровотечениями;
- людям в тяжелом состоянии;
- пациентам с открытым пневмотораксом.
Как делают рентген грудной клетки
Для прохождения рентгенографии грудной клетки не требуется особой подготовки. Нет необходимости придерживаться какой-либо диеты. Главное - убедиться, что у пациента нет абсолютных противопоказаний к прохождению процедуры.
«Классическое» оборудование, используемое для рентгена этой части тела, как правило, состоит из настенного ящика, в котором находится специальная пленка либо матрица для фиксации цифровых снимков, и рентгеновской трубки. Она расположена позади на расстоянии 1,5 м. Порой, рентгеновская трубка может подвешиваться над местом, где лежит пациент. А ниже, в ящике, выдвигаемом из-под стола, установлена рентгеновская пленка или фотопластинка.
Существуют и переносные (портативные) устройства, дающие возможность провести исследование больного непосредственно на больничной койке. В этом случае рентгеновская трубка соединяется с гибким манипулятором, который располагается выше тела пациента, тогда как фотопластинка либо держатель для рентген-пленки - позади тела человека.
Диагностическое исследование грудной клетки в стационаре всегда проводится в специально оборудованном и защищенном рентгеновском кабинете. Перед снимком необходимо раздеться до пояса и снять с себя все металлические вещи (часы, драгоценности и пр.). Пациент становится перед специальным щитком, в котором находится кассета с пленкой, и прижимается к нему грудной клеткой. Трубка аппарата, генерирующая рентгеновские лучи, находится примерно в двух метрах от пациента. По сигналу лаборанта необходимо вдохнуть полной грудью воздух и в таком положении замереть на несколько секунд.
Эта несложная процедура позволит сделать качественное изображение внутренних органов области грудной клетки в одной или нескольких проекциях. Следует знать, что данное исследование подразумевает, что:
- чаще всего снимки делают в двух стандартных положениях - прямом и боковом;
- время, которое понадобится на процедуру, составляет всего несколько секунд;
- никаких неприятных ощущений во время процедуры пациент не испытывает;
- расшифровка и описание результатов занимают от нескольких минут до нескольких дней.
Результаты диагностик и расшифровка рентген-снимков грудной клетки
После получения изображения рентгенолог делает заключение и краткое описание снимка для врача, направившего пациента на обследование. В записи указывается, как расположено сердце, его размер (увеличенный или нормальный), какова его паренхима. Кроме того описывается состояние и остальных внутренних органов грудной клетки - легких, бронхов, сосудов и лимфатических узлов. Если снимок показал наличие посторонних предметов, затемнений или новообразований, это также отражается в заключении рентгенолога.
Во время расшифровки полученного рентгеновского снимка, прежде всего, оценивается качество изображения, а значит, и насколько правильно осуществлена процедура. Если рентгенография была сделана в неверной проекции и снимок имеет неточности, то заключение на его основании сделать достаточно сложно. При рентгене легких, например, оценивается размер легких, их форма, структура тканей и легочных полей, состояние воздушности и расположение внутренних органов.
Если у пациента пневмония, на снимке будут видны ярко выраженные отклонения от нормы - интенсивные дополнительные ткани как на прямой, так и на боковой рентгенограмме. Присутствие на снимке особой прикорневой формы, напоминающей по виду крылья бабочки, говорит о венозном застое в области малого круга. На отечность легочной ткани будут указывать неравномерные хлопьевидные затемнения на изображении.
Сегодня в лечебных учреждениях чаще всего делают цифровую рентгенографию. Данный способ обследования позволяет получить более четкие снимки, что минимизирует возможность постановки неверного диагноза врачом. При проведении цифрового метода такого обследования результаты пациент может получить сразу же на электронном или бумажном носителе и сделать столько копий, сколько необходимо. При обычной рентгенографии получают всего один рентгеновский снимок на пленке, которую необходимо проявлять, на что уходит значительно больше времени.
Опасна ли процедура и можно ли делать рентген грудной клетки ребенку
На сегодняшний день рентген области грудной клетки остается самым простым, доступным и эффективным средством диагностики различных болезней у детей. Однако процедура проводится только после тщательной консультации лечащего педиатра и только по клиническим показаниям. Без необходимости данный способ анализа не назначают.
Обратите внимание!
Растущий детский организм в несколько раз более подвержен негативному воздействию радиации. Максимально допустимое значение для рентген-исследований детского организма не должно быть более 1 мЗв за год. Превышение этой нормы теоретически увеличивает риск возникновения разного рода онкологических заболеваний.
Большое значение имеют длительность проведения рентгенодиагностики и степень излучения. На устаревшем оборудовании, которое используют большинство государственных поликлиник, облучение в среднем составляет 0,3 мЗв или 30% от годовой дозы. Соприкосновение грудного отдела с рентгенологической трубкой длиться до 1 секунды. Современные же цифровые аппараты отличаются большей точностью и излучают всего 0,03 мЗв или 3% от годовой дозы, а сама процедура занимает до 0,02 секунд. При такой диагностике значительно сокращается время обследования - с 30-50 до 10-15 минут. Поэтому при обследовании детей преимущество отдают цифровой рентгенографии, особенно если необходимо сделать рентген грудной клетки несколько раз в год.
Это важно!
Родители должны понимать, что рентгенологическое обследование назначается для установления точного диагноза при тяжелых заболеваниях. Пренебрежение или боязнь этой процедуры может помешать своевременной диагностике и привести к серьезным последствиям вплоть до смертельного исхода.
Детям до 12 лет рентген грудного отдела делают в присутствии одного из взрослых членов семьи. Ребенка удобно укладывают, снимают все металлические предметы. При этом он должен лежать спокойно и не двигаться. Врач накрывает пациента специальным фартуком с наполнением из свинца, который служит как защитный экран. Рентгенограмма делается только на исследуемой области, остальные части тела не облучаются.
Своевременно сделанный рентген в юном возрасте помогает выявить, а значит, предотвратить осложнения, болезни и вовремя назначить лечение при целом ряде серьезных диагнозов. Чаще всего детям рентген назначают с целью диагностирования болезней опорно-двигательного аппарата, сердца, легких и бронхов. Рентген грудного отдела позвоночника дает возможность выявить на ранних стадиях опухоли различной этиологии, процессы воспалительного характера, в частности, патологии развития костной системы, последствия травм. Также рентгенологические исследования позволяют наблюдать за течением и динамикой развития врожденных патологий сердца, различных видов пневмоний, астмы, выявить туберкулез легких и костей.
И все же для детей, особенно первого года жизни, рентген используют только в случаях, если другой альтернативы не существует. Чаще всего младенцам рекомендуют проводить диагностику с помощью нелучевых методов исследования - эхокардиограммы, УЗИ, МРТ. Но далеко не всегда эти способы исследования доступны. Как правило, стоимость таких услуг на порядок выше, чем рентгенодиагностики, а оборудование и квалифицированные специалисты есть не во всех населенных пунктах.
Рентгенография грудной клетки
Для выявления патологических изменений сердца и оценки их влияния на сосудистое русло легких наиболее часто применяют рентгенографическое исследование грудной клетки, позволяющее получить изображение средостения, сердца и легких.
Снимки обычно делаются в заднепередней и левой боковой проекциях. В заднепередней проекции благодаря уменьшению расстояния между сердцем и рентгеновской пленкой изображение сердца получается более четким и менее искаженным, чем в переднезадней. У лежачего пациента можно воспользоваться передвижным рентгеновским аппаратом, но он позволяет делать снимки только в переднезадней проекции.
- Диагностировать сердечные заболевания, сопровождающиеся изменением размера, формы или внешнего вида сердца и легких.
- Контролировать расположение катетера в легочной артерии или полостях сердца, а также электродов электрокардиостимулятора.
Подготовка
- Следует объяснить пациенту, что исследование позволяет оценить размер и форму сердца, и сообщить ему, кто и где будет проводить исследование. Необходимо заверить пациента в том, что лучевая нагрузка будет небольшой и безвредной.
- Пациенту следует снять украшения, металлические предметы, раздеться до пояса и надеть халат без металлических застежек.
Процедура и последующий уход
Заднепередняя проекция
- Пациент стоит на расстоянии около 2 м от рентгеновского аппарата спиной к нему, положив подбородок на держатель кассеты.
- Высота последнего регулируется таким образом, чтобы шея пациента была слегка разогнута. Пациент кладет руки на бедра и прислоняется плечами и грудью к держателю кассеты по центру.
- Во время экспонирования снимков пациента просят сделать глубокий вдох и задержать дыхание.
Левая боковая проекция
- Руки пациента сцеплены над головой, левый бок прислонен к кассете.
- Во время экспонирования пациента просят сделать глубокий вдох и задержать дыхание.
Передпезадпяя проекция у лежачего пациента
- Головной конец кровати максимально приподнят.
- Для уменьшения давления органов брюшной полости на диафрагму пациента усаживают в кровати.
- Кассету подкладывают под спину пациента. Расстояние от пациента до рентгеновского аппарата может незначительно варьировать, но во всех случаях между ними не должно быть никаких предметов.
- Во время экспонирования пациента просят сделать глубокий вдох и задержать дыхание.
Меры предосторожности
- Рентгенография грудной клетки обычно противопоказана в I триместре беременности. При необходимости ее проведения во время экспонирования живот и область малого таза пациентки должны быть защищены свинцовым экраном или фартуком.
- Амбулаторному пациенту следует производить рентгенографию в заднепередней, а не переднезадней проекции. Кроме показаний к рентгеновскому исследованию грудной клетки, в направлении должны быть указаны все изменения, выявленные во время предыдущих исследований.
- При обследовании лежачего пациента необходимо обеспечить защиту всех присутствующих в палате с помощью свинцового экрана, ширмы или удаления на возможно большее расстояние от рентгеновского аппарата.
Нормальная картина
В норме на снимках, выполненных в заднепередней проекции, ширина грудной клетки по меньшей мере в 2 раза превышает поперечный размер сердца. В то же время в переднезадней проекции относительные размеры и положение сердца могут быть другими; возможно усиление тени сердца и дуги аорты. Когда исследование проводится с контрольной целью, рентгенограммы грудной клетки должны подтверждать правильное положение катетеров и водителей ритма.
Отклонение от нормы
Для диагностики заболеваний сердца необходимо оценивать рентгенограммы грудной клетки с учетом данных анамнеза, физикального обследования, ЭКГ и предыдущих рентгенологических исследований.
Изменение формы сердца обычно заключается в увеличении левого или правого желудочка, левого предсердия или даже нескольких полостей. При увеличении левого желудочка в заднепередней проекции левая граница сердца становится круглой и выпуклой с боковым расширением в своей нижней части, а в боковой проекции определяется выбухание левого желудочка кзади. При увеличении правого желудочка в заднепередней проекции наблюдается вторичное изменение левой границы сердца за счет расширения тени легочной артерии, а в боковой - расширение тени выносящего тракта правого желудочка. При увеличении левого предсердия его плотность на рентгенограмме в заднепередней проекции увеличивается вдвое, левая граница сердца сглаживается, левый главный бронх смещается кверху. В редких случаях правая граница сердца над проекцией правого желудочка расширяется кнаружи. В боковой проекции определяется выбухание левого предсердия кзади. Начальными признаками застоя в малом круге кровообращения на снимках, сделанных в заднепередней проекции, являются расширение тени легочных вен в верхнебоковой части корней легких и сосудистые тени, расположенные горизонтально вдоль нижней части правой границы сердца. Хроническая легочная венозная гипертензия приводит к формированию рисунка по типу оленьих рогов (из расширенных верхних и нормальных или суженных нижних легочных вен). При остром отеке легких увеличение плотности в центре легочных полей может по форме напоминать бабочку. Интерстициальный отек легких может напоминать снежные хлопья на фоне легочных полей.
Рентген грудины в 2 проекциях
Весь контент iLive проверяется медицинскими экспертами, чтобы обеспечить максимально возможную точность и соответствие фактам.
У нас есть строгие правила по выбору источников информации и мы ссылаемся только на авторитетные сайты, академические исследовательские институты и, по возможности, доказанные медицинские исследования. Обратите внимание, что цифры в скобках ([1], [2] и т. д.) являются интерактивными ссылками на такие исследования.
Если вы считаете, что какой-либо из наших материалов является неточным, устаревшим или иным образом сомнительным, выберите его и нажмите Ctrl + Enter.
Как правило, в диагностических целях проводят рентгенографию грудной клетки, но может потребоваться целенаправленная визуализация плоской грудной кости посередине ее передней стенки - рентген грудины.
Показания
Показания к рентгенографии грудины включают:
- перелом грудины, связанный с травмами, в том числе, при интенсивном компрессионном воздействии на грудную клетку во время сердечно-легочной реанимации;
- послеоперационное расхождение (несращение) грудины - после проведения стернотомии в ходе аортокоронарного шунтирования;
- деформации грудной клетки - воронкообразную грудную клетку, расщелину грудины, синдром Поланда;
- аномалию развития в виде отсутствия нижней части грудины (мечевидного отростка) - аксифоидии;
- синдром передней грудной стенки - реберно-грудинный синдром (воспаление реберно-грудинных соединений);
- подозрение на хондро- или остеосаркому грудины.
Что показывает рентген грудины? На рентгеновском снимке грудина (sternum) - начинающаяся ниже яремной выемки рукоятка (manubrium sterni), тело (corpus sterni) и мечевидный отросток (processus xiphoideus) - видна вдоль позвоночника без наложения позвонков, также над тенью сердца просматриваются кортикальные контуры кости; визуализируются и грудино-ключичные суставы (articulatio sternoclavicularis).
Подготовка, как при любом рентгене костных структур, ограничивается тем, что пациент должен снять все содержащие металл аксессуары - где бы они ни были. [1]
Расположение или укладка пациента при рентгене грудины производится согласно Атласу рентгенологических укладок и зависит от рентгенологического позиционирования, то есть, от того, в какой проекции нужно сделать снимок данной кости.
Техника проведения рентгена грудины
По стандарту, делают рентген грудины в 2 проекциях: в латеральной (боковой) и передней косой.
Рентген грудины в боковой проекции - наиболее информативный в случаях перелома грудины и определения степени смещения, а также выявления метастазов - проводится в вертикальном положении пациента (сидя или стоя). При этом одна из сторон грудной клетки пациента должна прилегать к рентгеновской кассете, его руки заводятся за спину, отводя плечи кзади (чтобы грудная клетка выдвигалась вперед), а подбородок приподнимается. По команде техника-рентгенолог пациенту нужно на несколько секунд затаить дыхание.
Если занять данную позу пациенту не позволяет сильная боль, используют параллельно идущий тонкий поток излучения (коллимацию), что позволяет получить удовлетворительное изображение. При тяжелых травмах процедуру проводят лежа - на боку или на спине, изменяя соответствующим образом фокусировку рентгеновского луча.
Часто боковую проекцию дополняет правая передняя косая проекция, при которой пациент наклоняется вперед на 15-25°, а центральный луч направляется перпендикулярно пленке - чуть левее позвоночного столба, посередине между яремной выемкой и мечевидным отростком. При наличии тяжелой травмы рентген проводится лежа - в левой задней косой проекции.
Рентген-признаки перелома грудины
Рентгенограммы грудной клетки обычно являются первичной визуализацией у пациентов с подозрением на травмы грудины. Было показано, что переднезадняя рентгенограмма имеет только 50% чувствительность для выявления переломов грудины. Боковой рентгенологический снимок увеличивает чувствительность и обычно является диагностическим, так как большинство переломов грудины являются поперечными, и любое смещение происходит в сагиттальной плоскости.
И их рентген-признак - появление темных промежутков на светлом фоне плоской грудной кости, что является отображением линий переломов. Убедительным подтверждением перелома является видимое на снимке смещение отломков. [2]
На сегодняшний день предпочтительным методом визуализации при подозрении на стернальный перелом признана КТ, которая, кроме демонстрации нарушения целостности кости, способна показать возможные загрудинные гематомы и отек мягких тканей.
Деформация грудины на рентгене
При воронкообразной деформации грудной клетки (Pectus excatum) на рентгене в боковой проекции видно проникновения (прогиб) грудины в средостение; нередко наблюдается прогиб грудного отдела позвоночника кпереди (кифоз), торсия грудины в аксиальной плоскости и заметное увеличение ее толщины.
Кроме того, оценка состояния органов средостения, костей и соединительных тканей грудной клетки поводится с помощью ультразвукового исследования и компьютерной томографии.
К числу рентгенологических признаков килевидной грудной клетки (Pectus carinatum) относится хондрогладиолярная или хондроманубриальная протрузия грудины. В первом случае кпереди выпячивается ее средняя и нижняя части, во втором - происходит выпячивание рукоятки грудины (известное как синдром Куррарино-Сильвермана).
У пациентов с синдромом Поланда II степени деформация грудины на рентгене видна в виде ее небольшого бокового разворота, который при IV степени деформации выражен намного сильнее.
Рентген-признаки саркомы грудины
На рентгене остеосаркома грудины выглядит как не имеющее четких границ образование с неровными краями, состоящее из костной и мягких тканей с наличием областей остеолитической деструкции (разрушения медуллярного и кортикального слоев костной ткани), кальцификации (зон обызвествленния), а также включением остеоидного матрикса (секретируемых остеобластами неминерализованных белков).
На снимках в латеральной проекции может визуализироваться результат опухолевой периостальной реакции - минерализация хондроидной матрицы (надкостницы) в виде костных выступов (которые специалисты называют спикулами).
на предмет их локализации, характера разрушения кости, минерализации матрикса, периостальной реакции и связанного с ней компонента мягких тканей. Однако при оценке опухолей плоских костей, особенно грудины, рентген имеет ограничения: поражение может полностью не проецироваться из-за наложения окружающих легких. Боковые рентгенограммы могут помочь, особенно в различении внутри- и внегрудных поражений. Простая рентгенография имеет ограниченное применение для диагностики небольших поражений, а также для оценки внутригрудной протяженности, что требует использования изображений поперечного сечения. [3]
И методом выбора инструментальной диагностики поражений грудины является компьютерная томография (КТ). А для локального определения стадии саркомы грудины (оценки ее внутрикостного распространения и поражения мягких тканей) используется МРТ.
Противопоказания к проведению
Рентгенография противопоказана при тяжелых состояниях пациентов, при острой фазе инфекционных заболеваний и внутренних кровотечениях, беременным и кормящим грудью женщинам.
Детям до 15-ти лет рентген, по возможности, следует заменять ультрасонографией (УЗИ) или МРТ.
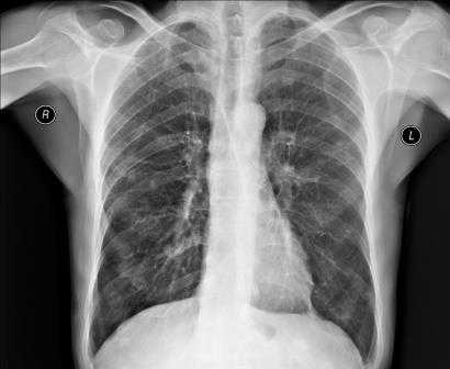
Рентгенография грудной клетки - это метод диагностики, позволяющий получить изображение органов грудной полости с помощью облучения рентгеновыми лучами. Различные ткани организма в зависимости от своей плотности по-разному пропускают рентгеновы лучи, а значит, по-разному отображаются на снимке (рентгенограмме).
Рентген грудной клетки дает возможность изучить костные структуры (ребра, грудину, позвоночник), легкие, плевру, бронхи и трахею, сердце и средостение, а также оценить состояние мягких тканей этой области.
Прежде всего, рентген грудной клетки используется для диагностики заболеваний легких.
Часто возникает вопрос, что лучше сделать рентген легких или флюорографию? Свои преимущества есть у каждого метода. Обычно флюорография используется для общей оценки состояния легких: есть ли признаки патологии или нет. Рентген легких позволяет получить более качественное изображение, а значит его диагностическая ценность выше. Зато флюорография дешевле.
Что показывает рентген грудной клетки?
Рентген грудной клетки способен выявить:
- присутствие в легких очагов воспаления, в том числе характерных для таких заболеваний как пневмония и туберкулёз;
- наличие опухолевых образований и отеков, которые могут быть следствием сердечной недостаточности;
- наличие патологических скоплений газов и жидкостей;
- скопление жидкости в околосердечной сумке, увеличение размера сердца, аорты и лимфатических узлов;
- инородные предметы в легких, пищеводе и дыхательных путях.
Какие заболевания помогает диагностировать рентген грудной клетки?

Рентген грудной клетки
Рентген грудной клетки назначается в целях диагностики и оценки состояния при таких заболеваниях, как:
- пневмония. В сложных случаях данные рентгена легких являются базовыми для постановки диагноза острой пневмонии;
- туберкулёз;
- воспалительные заболевания плевры (плеврит, эмпиема плевры);
- опухолевые заболевания легких, бронхов, трахеи;
- тромбоэмболия легочной артерии;
- профессиональные заболевания легких, вызванные длительным вдыханием пыли и других мелких частиц;
- пневмотракс (механический разрыв легочной ткани);
- паразитарные заболевания грудной клетки (эхинококкоз);
- заболевания грудного отдела позвоночника.
Показания к назначению рентгена легких (рентгена грудной клетки)
Показаниями к рентгену легких являются:
- длительный кашель;
- отхаркивание большого количества мокроты;
- кровь в мокроте;
- одышка;
- систематические боли в груди или боли в области спины;
- длительное повышение температуры тела.
Как делается рентген легких (рентген грудной клетки)
В большинстве случаев специальной подготовки к рентгену грудной клетки не требуется.
Необходимо будет раздеться до пояса, а также снять все металлические предметы и украшения. Рентгенография обычно делается в передней или задней проекции в положении стоя. В некоторых случаях рентген делается в боковой проекции, в том числе в положении лежа. В момент, когда делается снимок, нельзя двигаться. Надо быть готовым на некоторое время задержать дыхание.
Где сделать рентген грудной клетки в Москве?
Сделать рентген легких(обзорную рентгенографию грудной клетки) вы можете в рентгенологическом отделении любой из поликлиник «Семейного доктора».
Оставьте телефон -
и мы Вам перезвоним
Не занимайтесь самолечением. Обратитесь к нашим специалистам, которые правильно поставят диагноз и назначат лечение.
Рентген грудины с описанием
Грудная клетка представляет собой конус, образованный парами ребер, которые крепятся к грудине. Такая конструкция защищает органы грудной клетки (ОГК), а именно сердце, легкие, плевру, кровеносные сосуды, а также нервы и диафрагму. Рентген грудины и ОГК - это радиографическое исследование, которое позволяет определить пороки и патологии, воспалительные и дегенеративные процессы, а также используется для функции контроля процесса лечения.
В каких случаях назначат рентгенографию грудной клетки, и что покажет результат
- есть жалобы на боли в спине, груди, особенно если имели место ушиб или падение;
- после травмы, спустя некоторое время началась одышка и кровохарканье;
- есть жалобы на кашель, общую слабость, повышенную температуру тела или субфебрильную;
- непрекращающийся кашель, высокая температура, потеря веса;
- жалобы на тяжесть в груди пациента, перенесшего в недавнем прошлом пневмонию или бронхит;
- «бочкообразная» форма грудной клетки;
- тахикардия в сочетании с одышкой, особенно при наличии недавно перенесенных воспалительных заболеваний в анамнезе;
- жалобы на боли в области сердца.
В зависимости от характера изменений, который опытный специалист без труда различит на рентгеновском снимке, сделанном на качественном цифровом оборудовании, возможны следующие диагнозы:
- туберкулез;
- пневмония;
- плеврит;
- бронхит;
- астма;
- сердечная недостаточность;
- злокачественное новообразование;
- фиброз;
- цирроз;
- пневмосклероз;
- эмфизема легких;
- абсцессы и кисты;
- аневризма грудной аорты;
- перелом позвоночника, ребер, грудинной кости;
- анатомические аномалии и т.д.
Противопоказания к проведению рентгенодиагностики грудной клетки
Любое рентгенологическое исследование несет лучевую нагрузку, интенсивность которой в значительной степени зависит от характеристик используемой аппаратуры и времени действия рентгеновских лучей на организм (этот показатель также напрямую зависит от возможностей оборудования).Категорически противопоказан рентген в случае сильного кровотечения, открытого пневмоторакса, а также пациентам в тяжелом или критическом состоянии. Неблагоприятной процедура является и для беременных - несмотря на то, что живот в момент процедуры защищен «свинцовым фартуком», впоследствии теоретически допускают возможность развития аномалий у плода. По поводу лактационного периода матерей специалисты не имеют аргументов «против», хотя многие врачи советуют избегать лучевой диагностики кормящих матерей.
Детям до 14 лет не рекомендовано проводить рентген грудной клетки с профилактической целью. Однако есть ряд ситуаций, когда это неизбежно:
- попадание инородного тела в дыхательную систему и необходимость определения локализации и формы предмета с целью его дальнейшего извлечения;
- клиническая картина говорит о вероятности пневмонии;
- подозрения на туберкулез, возникшие на основании спорных результатов проб манту;
- необходимость исключить появление злокачественных новообразований в легких;
- признаки сердечно-легочной недостаточности;
- травмы грудной клетки.
Решение о направлении ребенка на рентген должно быть результатом тщательного и всестороннего анализа клинической картины опытным врачом. Родители могут обратиться в клинику, где используется цифровое оборудование, оказывающее лучевую нагрузку до 50% меньшую в сравнении с традиционным аналоговым, применяемыми в государственных медучреждениях.
Подготовка к рентгенодиагностике грудной клетки
Рентген грудины и ОГК в целом не предполагает какой-либо предварительной подготовки. Как во время любого рентген-исследования на пациенте не должно быть предметов из металла, следует снять очки, украшения, женщин с длинными волосами попросят их поднять. Также нужно будет оголить область грудной клетки, чтобы одежда не ухудшала качество изображения. Процедура не займет более 15-ти минут. Хотя непосредственный контакт тела пациента и рентгенологической трубкой на современном оборудовании составляет не более 0,02 секунды.
Как проходит процедура рентгенодиагностики грудной клетки
Такая процедура проводится в специализированном рентгеновском кабинете. Существует портативный вариант рентген-устройств, когда требуется проведение исследования пациента на больничной койке. Снимки могут быть сделаны в прямой и боковой проекциях. По сигналу сотрудника лаборатории необходимо будет сделать вдох и оставаться в неподвижном положении несколько секунд. Для того, чтобы не подвергать облучению зоны тела, не относящиеся к грудному отделу, пациента накрывают фартуком, выполненным из свинца. Он создает некий отражающий экран.
Дети до 12 лет проходят процедуру в сопровождении взрослых.
Сделать рентген грудного отдела можно не только в государственных медучреждениях, но и в частных. Немецкая клиника имеет в своем распоряжении цифровое оборудование для рентгенодиагностики, в том числе приборы, позволяющие проводить обследования даже детей грудничкового возраста. Благодаря такому оборудованию лучевая нагрузка существенно снижается, а качество получаемых изображений - возрастает. В штате клиники работают специалисты, имеющие большой опыт работы и высокую квалификацию. Они помогут грамотно расшифровать рентген-снимок и поставить точный диагноз.
Читайте также:
