Укладка при рентгенограмме пальца руки в ЗП проекции
Добавил пользователь Владимир З. Обновлено: 13.12.2025
Укладки больного для выполнения снимков. Предложен ряд укладок как для рентгенографии запястья в целом, так и для изучения отдельных костей. К типичным укладкам относят рентгенографию запястья в прямой, боковой проекции, косой ульнарной и косой радиальной проекциях; к специальным — укладки для рентгенографии ладьевидной, трехгранной, гороховидной кости и канала запястья. При съемке можно использовать либо кассеты размером 13Х 18 см для каждого снимка, либо кассеты большего размера (18X24 или 24X30 см), перекрывая поочередно неэкспонируемые участки листами просвинцованной резины.
Снимок запястья в прямой проекции может быть выполнен как при ладонном, так и при тыльном прилежании кисти к кассете. Больной сидит боком к столу. Рука согнута в локтевом суставе, лежит на столе.
Кисть в положении пронации или супинации укладывают на горизонтально расположенную кассету.
Пучок рентгеновского излучения направляют перпендикулярно к кассете на середину запястья (рис. 349).

На рентгенограмме хорошо дифференцируются все кости запястья, за исключением гороховидной, которая проекционно наслаивается на трехгранную кость. В проксимальном ряду запястья определяются ладьевидная, полулунная и трехгранная кости, в дистальном ряду — кость-трапеция, трапециевидная, головчатая и крючковатая кости. Между этими двумя рядами костей выявляется щель межзапястного сустава. Между дистальным рядом костей запястья и основаниями пястных костей прослеживаются запястно-пястные суставы (рис. 350).
Снимок запястья в боковой проекции — выполняется при том же положении больного и кассеты. Кисть укладывают на кассету медиальным (ульнарным) краем строго боком. I палец отводят вперед.
Пучок рентгеновского излучения центрируют на ладьевидную кость (рис.351).

На рентгенограмме запястья в боковой проекции кости запястья проекционно наслаиваются друг на друга. Однако можно проследить контуры костей, зная их анатомическое расположение (рис. 352).
Снимок запястья в косой тыльной ( ульнарной ) проекции . Исследуемая конечность прилежит к кассете ульнарным краем.
Пучок рентгеновского излучения направляют на локтевое возвышение запястья (рис. 353).

На рентгенограмме наиболее четко выявляются гороховидная, трехгранная кость и крючок крючковатой кости, а также основание и тело I пястной кости. При необходимости получить неискаженное изображение V пястной кости применяют именно эту укладку, но пучок рентгеновского
излучения центрируют дистальнее на проекцию тела V пястной кости (рис. 354).
Снимок в косой лодоной( ульнарной ) проекции. Кисть прилежит к кассете ульнарным краем, отклонена кпереди; ладонная ее поверхность образует с поверхностью кассеты угол в 45°.
Пучок рентгеновского излучения направлен на проекцию межзапястного сустава (рис. 355).

На рентгенограмме хорошо прослеживаются кость-трапеция, ладьевидная и трапециевидная кости (рис. 356).
Специальные укладки для выявления отдельных костей запястья.
Для выявления ладьевидной кости применяют два варианта укладок:
1) кисть лежит ладонью на кассете, отведена в локтевую сторону Пальцы выпрямлены или согнуты. Пучок рентгеновского излучения направлен на проекцию ладьевидной кости (рис. 357, 358); 2) кисть примыкает ульнарным краем к кассете, находится в положении максимального тыльного сгибания.
Пальцы согнуты в кулак. Пучок рентгеновского излучения направлен на проекцию ладьевидной кости (рис. 359, 360).
Для выявления гороховидной кости. Кисть прилежит к кассете ульнарным краем, отклонена кзади так, что тыльная ее поверхность образует с плоскостью кассеты угол в 60°. Пучок рентгеновского излучения центрируют на проекцию гороховидной кости (рис.361, 362).
Для выявления трехгранной кости. Кисть прилежит к кассете ульнарным краем, наклонена вперед так, что ладонная ее поверхность образует с плоскостью кассеты угол в 60° и согнута в лучезапястном суставе под углом 45°. Пучок рентгеновского излучения направляют на проекцию трехгранной кости (рис. 363, 364).
Снимок передней поверхности костей запястья (канала запястья) осуществляют следующим образом: предплечье передней поверхностью прилежит к поверхности стола. Область лучезапястного сустава соответствует средней линии кассеты. Кисть максимально отогнута кзади так, что плоскость ладони находится под углом 90° к плоскости кассеты. Пучок рентгеновского излучения направляют под углом 45° к плоскости ладони, центрируя на проекцию межзапястного сустава (рис. 365, 366).

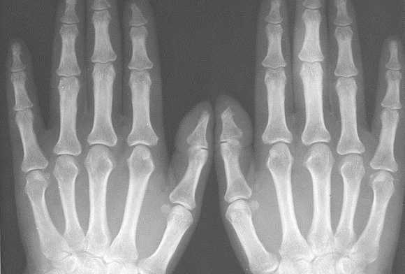
СНИМКИ КИСТИ В ПРЯМОЙ ЛАДОННОЙ ПРОЕКЦИИ
Назначение снимка — изучение скелета кисти в целом, включая запястье, пястье и фаланги.
Укладка больного для выполнения снимка. Больной сидит боком к краю стола. Рука отведена, согнута в локтевом суставе; кисть находится в положении пронации. Пальцы выпрямлены и сомкнуты.
Кассета размером 18Х 24 см расположена в плоскости стола. Ладонь плотно прилежит к кассете.
Средней поперечной линии кассеты соответствует проекция головок пястных костей.
Пучок рентгеновского излучения направлен отвесно на головку III пястной кости (рис. 367).
Информативность снимка. На снимке выявляются дистальные метаэпифизы костей предплечья, рентгеновская суставная щель лучезапястного сустава, запястье, пястные кости и фаланги. Хорошо видны рентгеновские суставные щели мелких суставов кисти.
При правильно подобранных физико-технических параметрах съемки четко видна губчатая структура костей запястья, концов пястных костей и фаланг. В телах коротких трубчатых костей определяются мозговые полости и корковое вещество (рис. 368).

СНИМОК КИСТИ В БОКОВОЙ ПРОЕКЦИИ
Назначение снимка. Снимок кисти в боковой проекции сравнительно мало информативен, так как II—V пястные кости и фаланги II—V пальцев проекционно наслаиваются друг на друга; изолированно видны лишь I пястная кость и фаланги I пальца. Поэтому в практической работе боковой снимок кисти часто заменяют снимком кисти в косой проекции.
Укладка больного для выполнения снимка. Кисть прилежит к кассете ульнарным краем. Пальцы выпрямлены и сомкнуты.
Плоскость ладони перпендикулярна плоскости кассеты. Пучок рентгеновского излучения направлен в проекции головок пястных костей в центр кассеты (рис. 369).
Информативность снимка. Снимок используют в травматологии как дополнительный снимок для определения смещения отломков пястных костей (рис. 370).

СНИМОК КИСТИ В КОСОЙ УЛЬНАРНОЙ ПРОЕКЦИИ
Назначение снимка. Снимок кисти в косой проекции значительно более информативен, чем снимок кисти в боковой проекции, и именно его чаще всего вместе со снимком в прямой проекции выполняют при исследовании кисти.
Укладка больного для выполнения снимка. Кисть прилежит к кассете ульнарным краем и отклонена вперед таким образом, что плоскость ладони образует с плоскостью стола угол в 45°. Пальцы слегка согнуты и веерообразно раздвинуты, концы пальцев прилежат к кассете. Пучок рентгеновского излучения направляют на проекцию головки 111 пястной кости (рис.371).
Информативность снимка. На снимке видны дистальные метаэпифизы костей предплечья, рентгеновская суставная щель лучезапястного сустава.
Из костей запястья лучше всего прослеживаются кость-трапеция, трапециевидная и ладьевидная кости. Пястные кости и фаланги отображены изолированно, доступны анализу их тыльная и ладонная поверхности. На снимке хорошо видны структура костей, рентгеновские суставные щели мелких суставов кисти (рис. 372).

СНИМКИ ПАЛЬЦЕВ КИСТИ
Назначение снимков. Снимки пальцев выполняют при травме и при воспалительных заболеваниях (костный панариций, артриты и др-).
Укладки при выполнении снимков. Снимки пальцев производят в прямой и боковой проекциях.
Укладки при рентгенографии I пальца и II —V пальцев имеют ряд отличий.
Снимок I пальцакисти в прямой тыльной проекции.
I палец прилежит к кассете тыльной поверхностью. Кисть и предплечье максимально ротированы кнутри. Для фиксации кисти в заданном положении больной удерживает ее здоровой рукой.
Используют кассету размером 13X1 8 см, перекрывая ее поперек листом просвинцованной резины.
Пучок рентгеновского излучения направляют отвесно на проекцию пястно-фалангового сустава (рис. 373).
На рентгенограмме видны фаланги и частично I пястная кость, их медиальные и латеральные поверхности, рентгеновские суставные щели пястно-фалангового и межфалангового суставов, бугристость дистальной фаланги (рис. 374).

Снимок I пальца в боковой проекции. I палец прилежит к кассете лучвым (наружным) краем.
Остальные пальцы слегка согнуты, опираются концами на перекрытую листом просвинцованно резины уже проэкспонированную половину кассеты.
Пучок рентгеновского излучения направлен на проекцию пястно-фалангового сустава (рис. 375).
На рентгенограмме выявляются тыльная и ладонная поверхности фаланг и частично I пястной кости.
Видны наслаивающиеся друг на друга сесамовидные кости рядом с головкой I пястной кости (рис. 376). Снимки необходимо выполнять в двух взаимно перпендикулярных проекциях (рис. 377, а, б).


Снимки 11—V пальцев в прямой ладонной проекции .
Исследуемый палец укладывают ладонной поверхностью на неперекрытую половину кассеты размером 13X18 см. Пучок рентгеновского излучения направляют на проекцию проксимального межфалангового сустава (рис. 378).

На рентгенограмме видны фаланги и может быть частично видна I пястная кость, их медиальные и латеральные края, щели межфаланговых суставов (рис. 379).
Снимки 11—V пальцев в боковой проекции. Исследуемый палец укладывают на свободную половину кассеты размером 13X18 см ульнарным или радиальным краем (как удобнее для данного пальца).
Остальные пальцы отгибают, для фиксации удерживают противоположной кистью.
Пучок рентгеновского излучения направляют отвесно на проекцию проксимального межфалангового сустава (рис. 380).
На рентгенограмме видны фаланги пальцев, их тыльная и ладонная поверхности, бугристость дистальной фаланги, рентгеновские суставные щели межфаланговых суставов (рис.381).

Теги: кисть
234567 Описание для анонса:
234567 Начало активности (дата): 25.12.2019 15:00:00
234567 Кем создан (ID): 989
234567 Ключевые слова: гороховидная кость, кисть, прямая проекция, боковая проекция, ладонь, пальцы
12354567899
Рентген пальца - большого, указательного: что показывает при переломе?

При каких-либо повреждениях пальцев рук или ног (неважно, вызваны они травмой или патологическими изменениями структуры костной ткани) самым эффективным способом диагностики является рентгенография. Такой метод исследования позволяет получать достаточно информативные снимки, на которых изображаются кости конечностей в разных проекциях. Чаще всего рентген пальцев используется в таких областях медицины, как травматология, хирургия, ортопедия.
Что такое рентген пальца?
Рентген пальцев - это диагностический метод, который имеет достаточное количество преимуществ:
- Доступность. Рентген можно пройти практически в любой поликлинике, больнице, травмпункте, частной клинике.
- Информативность. На снимке чётко отображаются кости пальцев рук и ног, а также визуализируются очаги воспалительных заболеваний, переломы и другие патологии.
- Безопасность. Во время съёмки организм человека получает небольшую лучевую нагрузку, благодаря чему рентгенографию разрешено проводить несколько раз в год, если это необходимо.
Показания для проведения
Рентген пальца на руках или ногах могут назначать в следующих ситуациях:
- При сжимании, разжимании кистей рук пациент ощущает боль или дискомфорт. Ему сложно брать предметы, писать и так далее. Что касается ног, то здесь поводом для рентгена станет боль в ступнях и именно в пальцах при движениях ими, долгой ходьбе, физической нагрузке.
- Ощущение хруста в пальцах рук и ног при движениях ими.
- Заметная деформация пальцев рук, ног.
- Механические травмы конечностей, которые могут быть причинами переломов пальцев рук и ног.
- Воспалительные заболевания костной ткани (артрит, артроз, остеомиелит и другие).
Что покажет рентген пальца?
Рентген поможет выявить:
- травматические повреждения - переломы разных видов, трещины, вывихи;
- ревматические повреждения (артроз, артрит);
- очаги воспалительных заболеваний (например, остеомиелита);
- новообразования злокачественного и доброкачественного характера;
- врождённые патологии строения костей пальцев.
Подготовка к рентгенографии
Чтобы сделать рентген фаланг большого, указательного пальцев рук или снимок пальцев ног, не требуется предварительной подготовки. Нужно только снять всевозможные металлические украшения и аксессуары, которые могут попасть в зону съёмки.
Для защиты других частей тела от рентгеновского излучения на пациента надевают свинцовый фартук или жилет. Область щитовидной железы могут закрыть специальной накладкой.
Как проводится обследование?

На рабочий стол рентгеновского аппарата кладется подготовленная кассета. На нее укладывается предназначенная для исследования конечность, пальцы по возможности выпрямляются и смыкаются.
При сложных повреждениях делают снимки в двух проекциях (прямой и косой, под углом в 45 градусов). Возможны снимки в нетипичных проекциях, чтобы получить ясный результат. Для изучения мелких структур (фаланг пальцев) делаются снимки с небольшим фокусным расстоянием (близкофокусная рентгенография, или плезиография).
Рентген большого пальца руки
Травмы большого пальца руки - довольно частое явление. Для правильной оценки повреждения рекомендуется делать не просто общий снимок кисти и пальцев рук, а прицельный снимок большого пальца. Для этого ладонь укладывается на специальный стол или подставку, большой палец максимально отводится в сторону. Кроме прямой проекции, могут применять ещё и боковую или аксиальную.
Если для съёмки используется цифровое рентгеновское оборудование, прицельный снимок большого пальца могут и не делать, так как есть возможность увеличения ранее сделанного общего.
Рентген пальца ноги
Требуемая для исследования конечность - нога - обнажается и ставится на специальную подставку. В некоторых случаях снимок делается с нагрузкой. Для этого пациент поднимает здоровую ногу вверх, сгибая ее в колене, чтобы вес тела приходился на исследуемую ногу.
Рентген пальцев ног или стопы часто проводится в нескольких проекциях, это позволит врачу получить максимальное количество информации о характере повреждения или течении патологического процесса.
Расшифровка результатов
Симптомы перелома
Главным симптомом перелома пальцев является боль в месте повреждения костной ткани. При пальпации зоны повреждения боль усиливается. Также утрачивается полноценная функция руки или ноги. Возникший отёк или гематома на месте повреждения - ещё один симптом перелома.
Для подтверждения перелома пальцев рук или ног делают рентген. На снимке повреждение будет визуализировано как небольшое затемнение с неровными контурами. Если перелом сложный, оскольчатый, снимок покажет, как смещены осколки.
Противопоказания для проведения
Рентген пальцев не рекомендуется делать беременным женщинам (особенно в 1 и 3 триместрах). По возможности эту диагностическую процедуру лучше перенести на послеродовой период.
Также редко назначают рентген пациентам в тяжёлом состоянии, не транспортабельным больным.
С осторожностью стоит выдавать направление на рентген детям в возрасте до 15 лет. Рентген назначается только тогда, когда потенциальный вред от неверно поставленного диагноза значительно превышает вред от влияния ионизирующего излучения.
Укладка при рентгенограмме пальца руки в ЗП проекции

Обзор
Укладки при рентгеновских исследованиях
Укладка локтевого сустава
Укладка голеностопного сустава
Укладка для снимка стопы
Укладка пациента для снимка пазух
Укладка для снимка пяточной кости
Укладка для снимка грудины
Укладка поясничного отдела позвоночника
Укладка лучезапястного сустава
Укладка височно нижнечелюстного сустава
Укладка для снимка глазницы
Рентген кисти
Рентген кисти — метод диагностики положения костей, травм, патологий, состояния суставов в области кисти руки человека. Метод рентгенодиагностики используют при подозрениях на артроз и ревматические болезни, в случае, когда пациент жалуется на болевые ощущения в суставах рук, при вывихах, переломах, подозрениях на трещину и других видах травм. Делают рентген кисти и для контроля над эффективностью лечения заболеваний суставов и костей.
Рентгенография остаётся самым простым, доступным и достоверным способом изучения состояния суставов, связок и костей кисти для оценки их анатомических изменений. Это возможность быстро и правильно поставить диагноз при травмах кисти. Оперативность, простота и удобство применения - это передвижной рентгенодиагностический аппарат, активно применяемый в столичном медицинском центре «Клиника К+31». Говоря простым языком - метод рентгенодиагностики - это фотографирование определённой части тела с помощью рентгеновского аппарата и излучаемых им лучей. На полученном снимке будет видно состояние суставов и костей.
- Преимущества рентгена кисти перед остальными методами
- Показания
- Противопоказания
- Подготовка к рентгенографии кисти
- Методика исследования
Преимущества рентгена кисти перед остальными методами
Рентген кисти при травмах этой части руки - единственный метод точно узнать, что с кистью - перелом, вывих или растяжение суставов. Прощупывание или даже компьютерная томография не дадут такого результата, как даст рентген. Магнитно-резонансная томография при травме кисти тоже неуместна, этот вид исследования показан при исследовании скорее сосудов, чем суставов и костей. Рентгенодиагностика - это доступный, недорогой вид обследования. Этот информативный и простой метод диагностики состояния кисти предпочитают в своей практике применять опытные травматологи и другие специалисты.
Современный рентген аппарат Luminos RF Classic в медицинском центре «Клиника К+31» снижает лучевую нагрузку по сравнению с традиционным рентген аппаратом в 2 раза. Для больше безопасности на пациентов центра перед процедурой рентгена надевают специальные фартуки, в составе которых есть свинец - защищающий от негативного воздействия рентгеновских лучей. То есть при рентгене кисти облучение (в допустимой норме) получит только та часть руки, которая фотографируется, а не вся рука и тем более - не всё тело.
Показания
Если вы ощущаете боль в кисти, когда рука находится в покое или во время движений кистью, если вы видите отёк кисти и вам трудно ею двигать, если вы ощущаете немоту в области кисти или просто слабость, невозможность ею двинуть, запишитесь на рентген кисти.
Показаниями к проведению рентгенографии кисти также служат:
- жалобы пациента на ноющую или острую боль в руке;
- травмы руки и кисти;
- инородные тела, попавшие в область кисти (колющие и режущие инструменты);
- артрозы и артриты кистевых суставов;
- новообразования костей кисти - прощупываемые и визуально видимые.
Показаниями к рентгену кисти служат также и системные заболевания:
- Склеродермия;
- Деформирующий остеоартроз;
- Псориатический артрит;
- Системная красная волчанка;
- Ревматоидный артрит.
Стали последнего заболевания устанавливаются только с помощью рентгена.
Противопоказания
Критическим показанием к рентгену кисти служит беременность пациентки. Еще одно противопоказание касается пациентов, страдающих хроническим артрозом. Регулярное прохождение ими рентгенографии способствует развитию этого заболевания и снижает иммунитет больного. Противопоказан рентген и женщинам, кормящим своих детей грудным молоком из-за возможного гормонального сбоя и как следствие - пропажи молока. Нельзя делать рентген и тем, у кого в просматриваемой области скелета, а именно - руки, есть металлические элементы. Тяжело больным пациентам, которым противопоказаны любые движения, тоже нельзя делать рентгеновские снимки. Так как вреда от такого рентгена будет больше, чем пользы.
Подготовка к рентгенографии кисти
Подготовка к рентгену кисти заключается в том, что пациент должен снять все металлические украшения с кисти рук (если они есть): браслеты, кольца, часы. На пациента надевается фартук, в составе которого есть свинец, дабы избежать попадания рентгеновских лучей на неподвергающуюся обследованию часть скелета пациента.
Методика исследования
Процесс диагностики заболеваний кисти, предусматривающий процедуру рентгена, происходит таким образом: пациент надевает защитный фартук; усаживается за стул; кладёт ладонью вниз больную руку (пальцы по возможности выпрямлены и сомкнуты) на специальный стол; кисть снимается в одной (иногда в двух) проекциях, пальцы и каждый палец по отдельности снимаются в двух проекциях. Процесс рентгенодиагностики занимает примерно 10 - 15 минут. Лаборант делает снимок в течение нескольких секунд - в это время нужно постараться не двигать рукой.
Уникальный ультрасовременный аппарат Luminos RF Classic, которым квалифицированные специалисты пользуются в медицинском центре «Клиника К+31» позволяет делать рентген кисти в разных проекциях, без изменения положения пациента. Это удобно не только медицинскому персоналу, но и для больного (минимум болевых ощущений).
Данный аппарат обеспечивает минимальную лучевую нагрузку благодаря большой степени чувствительности применяемых в медицинском центре кассет. Это снижает облучение практически в два раза по сравнению с традиционной рентгенографией в ближайшей поликлинике. Защита свинцово содержащего фартука еще больше снижает уровень облучения.
Рентген кисти руки в 2х проекциях
Кисть человека, как неотъемлемый фрагмент верхней конечности, ежедневно подвергается риску. Это сильная, подвижная, маневренная и в то же время хрупкая и незащищенная часть человеческого тела. На кисть возлагается большая нагрузка, т.к. она используется для движения, манипулирования предметами, выполнения различного рода действий, в том числе и опасных. Поэтому кисти рук травмируются чаще других частей организма и подвержены различного рода заболеваниям.
Врачи-специалисты
В настоящее время на сайте ведутся работы по изменению прайс-листа, актуальную информацию уточняйте по тел: 640-55-25 или оставьте заявку, с Вами свяжется оператор.
Цены на услуги
- Рентгенография кисти в прямой ладонной проекции 990 a
- Рентгенография пальца кисти в прямой проекции 990 a
- Рентгенография кисти в боковой проекции 990 a
- Рентгенография кисти в косой ульнарной проекции 990 a
- Рентгенография пальца кисти в боковой проекции 990 a
Наши клиники в Санкт-Петербурге

- Автово
- Проспект Ветеранов
- Ленинский проспект
- Девяткино
- Гражданский проспект
- Академическая
Самостоятельно довольно трудно определить причину недомогания или поставить диагноз при механическом повреждении кисти. Поэтому при сильной боли, отеке мягкой ткани, ограничении движения кисти, пальцев, повышении температуры, как сопровождающем симптоме при патологии кисти, если имела место травма, нужно срочно обратиться в травмпункт; или к хирургу, ортопеду и неврологу в случае появления недомогания в области кисти без видимых на то причин. Любой специалист в подобных ситуациях после сбора анамнеза и внимательного осмотра направит пациента на рентгенографию кисти для уточнения диагноза.
На сегодняшний день практически в каждом медицинском учреждении существует рентгенологический кабинет. Но если Вам не хочется терять время в очереди или боль настолько сильна, что ждать невозможно, если Вам нужен качественный снимок, качественное исследование и консультация квалифицированного специалиста, то приходите в «Медицентр». В отделении травматологии «Медицентра» Вам быстро и безопасно проведут рентгенологическое исследование кистей, окажут первую помощь и проконсультируют ведущие врачи города. В сети клиник «Медицентр» имеется современный рентгенологический цифровой аппарат Clinomat, осуществляющий все виды рентгенологических исследований в полном объеме. В условиях работы травмпункта очень важно быстро получать результаты исследований и на их основании правильно ставить диагноз, поэтому аппаратура клиники позволяет практически мгновенно проводить полную рентгенодиагностику, изучать полученные результаты в различных режимах обработки и ставить точные диагнозы для дальнейшего назначения эффективной терапии.
Виды и причины травм и заболеваний кисти
Пациенты травмируют кисть, запястье, пальцы при различных обстоятельствах: в результате падения, занятий спортом, в результате аварий. Так, спортивные травмы кисти являются одним из самых распространённых поводов обращения за медицинской помощью. При занятиях боксом, каратэ и других видах борьбы при неудачных ударах пациенты часто получают такой вид травмы, как «костяшка боксера», т.е. повреждения пястно-фаланговых суставов и сухожилий мышц пальцев. «Палец лыжника» - еще одна распространенная спортивная травма кисти, при которой происходит разрыв локтевой связки большого пальца. «Молоткообразный палец» получают в результате удара мяча по выпрямленному пальцу во время занятий волейболом, баскетболом и т.д. Такая травма вызывает повреждение сухожилия мышцы пальцев и ограниченность движения кончиков пальцев. Вывихи запястья нередко диагностируются у детей, падающих, упираясь на запястье. Кроме того, врачи сталкиваются и с повреждением сухожилий кисти, полученным при различных механизмах травмы, переломами запястья, пальцев, фаланг пальцев, вывихами и т.д.
Но бывает и так, что механического повреждения кисти не было, а боль, онемение, отек и другие неприятные симптомы присутствуют. В этом случае речь идет о заболеваниях кисти, таких как карпальный синдром, ревматоидный артрит, остеоартроз, перитендинит и т.д. Такие болезни возникают в результате длительной работы за компьютером, долгого выполнения монотонной работы, требующей участия кисти и нагрузки на нее, из-за несбалансированного питания, нехватки определенных микроэлементов в организме, сбое обмена веществ и т.д.
Показания к рентгенографии кисти:
- ушибы;
- вывихи;
- переломы;
- трещины;
- спортивные травмы;
- инородные тела в кисти;
- опухолевые процессы;
- артриты, артрозы суставов кисти и т.д.
Рентгенографию проводят в 2-х проекциях и, как правило, обеих кистей. Так у детей проводят рентгенографию кистей для проверки правильности развития и роста костей. Рентгенография кистей позволяет определить состояние костной ткани, суставов и т.д. Нельзя забывать и о частых вывихах и переломах пальцев, являющихся неотъемлемой частью кисти. Подобные травмы также требуют срочного рентгенологического исследования для определения характера и степени повреждения.
Противопоказания к рентгенологическому исследованию кисти:
- беременность;
- критические состояния пациента.
Перед началом проведения процедуры необходимо снять украшения и металлические предметы, удалить при наличии повязку, смыть с кожи йод. Гипс с руки снимается только по рекомендации врача.
Процедура проведения рентгенографии кисти
Перед началом обследования пациента покрывают защитным свинцовым передником, кисть специально ровно кладут на поверхность, пальцы соединяют вместе. Обычно рентгенография пальцев и кисти в целом делается в стандартных и атипичных укладках Процедура занимает всего несколько минут, после чего провидится описание снимков.
Читайте также:
