УЗИ при эпидермоидной кисте яичка
Добавил пользователь Евгений Кузнецов Обновлено: 22.01.2026
Появление в клинике ультразвуковых приборов нового поколения, оснащенных высокочастотными датчиками, разработка новых методологических приемов сделали возможной визуализацию анатомических структур мошонки, что еще 15-20 лет назад считалось мало реальным. Однако на сегодня практические врачи отделений (кабинетов) ультразвуковой диагностики недостаточно осведомлены в вопросах ультразвуковой диагностики и дифференциальной диагностики заболеваний органов мошонки, о чем свидетельствует, в том числе, и почта нашего журнала. В настоящей статье мы попытались восполнить этот пробел.
Мошонка представляет собой кожномышечное образование (рис. 1)*, разделенное на две половины, в каждой из которых находится яичко, придаток яичка, мошоночный отдел семенного канатика. Стенка мошонки состоит из 7 слоев, которые называют также оболочками яичка. Это: кожа; мясистая оболочка, образующая срединную перегородку; наружная семенная фасция; фасция мышцы, поднимающей яичко; мышца, поднимающая яичко; внутренняя семенная фасция и влагалищная оболочка яичка, состоящая из париетального и висцерального листков.

Рис. 1. Схематическое изображение нормальной анатомии органов мошонки.
1 - извитые канальцы;
2 - прямые канальцы;
3 - галерова сеть;
4 - гайморово тело;
5 - выносящие канальцы;
6 - головка придатка;
7 - тело придатка;
8 - хвост придатка;
9 - отклоняющиеся проточки;
10 - семявыносящий проток.
Яичко - парный железистый орган эллипсоидной формы, несколько уплощенный с боков. Длина его в среднем составляет 4,2-5 см, ширина - 3-3,5 см, толщина - 2-2,5 см. В яичке различают переходящие одна в другую латеральную и медиальную поверхности, задний и передний края, верхний и нижний полюса. Яичко подвешено на семенном канатике (левое ниже правого) таким образом, что оно наклонено верхним концом вперед, а латеральной поверхностью несколько кзади. Семенной канатик прикрепляется сзади и сверху. В проекции задненижнего края расположена мошоночная связка, фиксирующая яичко вместе с хвостом придатка к мошонке. Яичко покрыто фиброзной белочной оболочкой, образующей по задней поверхности клиновидное утолщение - средостение яичка. От последнего веером расходятся фиброзные перегородки, которые соединяются с внутренней поверхностью белочной оболочки и разделяют паренхиму на дольки. В каждой дольке располагается по 2-3 семенных канальца. Семенные канальцы содержат семяобразующие элементы, из которых развиваются сперматозоиды. Придаток располагается вертикально вдоль заднебокового отдела яичка. Различают верхнюю утолщенную часть его (головку), среднюю (тело) и нижнюю, несколько расширенную (хвост). Придаток яичка служит резервуаром для накопления спермы. В области верхнего полюса яичка, головки и хвоста придатка встречаются различные рудиментарные образования: привесок яичка, привесок придатка, отклоняющиеся протоки.
Кровоснабжаются органы мошонки следующими парными сосудами: яичковой артерией, артерией семявыносящего протока, кремастерной артерией, передней и задней мошоночными артериями, промежностной артерией. Яичковая артерия является ветвью брюшной аорты, причем правая может быть ветвью правой почечной артерии. Другие артерии - ветви внутренней и наружной подвздошных артерий. Перечисленные сосуды широко анастомозируют между собой, обеспечивая хорошее кровоснабжение мошонки. Венозный отток осуществляется венами двух типов: венами, отходящими от глубоко расположенных участков яичка, и венами, дренирующими поверхностные зоны органа. Оба типа вен, сливаясь, формируют вне яичка гроздевидное сплетение, образующее яичковую вену, которая справа впадает в нижнюю полую вену, а слева - в левую почечную вену. Вена семявыносящего протока и вена мышцы, поднимающей яичко, берут начало от одноименных венозных сплетений. Все три сплетения объединены коммуникантными венами.
При ультразвуковом исследовании применяются высокочастотные (7,5 Мгц и более) конвексные и линейные датчики. Во время эхографии пациент лежит на спине и рукой фиксирует половой член к передней стенке живота. Трансдюсер устанавливается перпендикулярно по отношению к исследуемой области, и последовательно получают томограммы в поперечной, продольной и косых плоскостях правой и левой половины мошонки.
Размеры обоих яичек (они могут незначительно различаться), а также выявляемых патологических образований измеряются в трех взаимно перпендикулярных плоскостях. Неизмененное яичко (рис. 2) имеет овальную форму, четкий, ровный контур, паренхима однородная, средней эхогенности. Белочная оболочка и висцеральный ли сток влагалищной оболочки визуализируются как тонкая непрерывная полоска высокой эхогенности, расположенная по краю яичка. Средостение (рис. 3) имеет вид гиперэхогенной тонкой полосы или клина в верхних отделах органа. Привесок яичка может визуализироваться в виде выступа или бугорка диаметром 2-3 мм у верхнего полюса яичка. Яичко окружает небольшое количество серозной жидкости, определяемое в виде тонкой гипоэхогенной зоны шириной 1-3 мм. Придаток яичка (рис. 4) располагается у верхнего полюса по задней поверхности яичка. Структура его однородна и по эхогенности аналогична паренхиме яичка. При отсутствии патологических изменений в придатке определяется лишь его головка, размер которой составляет 10-15 мм.
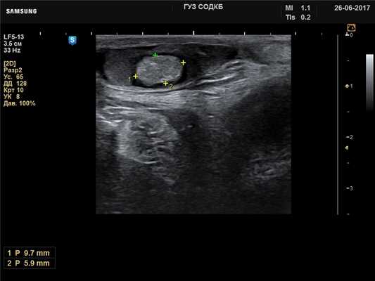
Яичко - дермоидная киста, B-режим

[EN] Эхограмма №732: Дермоидная киста яичка у ребенка 7 лет. Левое яичко. Линейный датчик 5-13 МГц, B-режим (продольно).
Автор: Суханов С.А., Саратов.
Изображение получено с помощью УЗ сканера H60 (снят с производства).
Публикации по теме
Трехмерное УЗИ при диагностике рака мочевого пузыря в процессе его комплексного химиолучевого лечения. Опухоли мочевого пузыря составляют до 4% всех опухолевых образований и по показателям смертности занимают 6 место среди других онкологических заболеваний. Цель настоящего исследования - получение в реальном масштабе времени трехмерных ультразвуковых изображений мочевого пузыря при его опухолевых заболеваниях, а также оценка возможностей указанного метода в определении объема новообразования, характера поражения слизистой оболочки, степени инфильтративного роста опухоли.
Скрининговое ультразвуковое исследование почек у больных с повышенным артериальным давлением. Как известно, до 35-40% больных с артериальной гипертензией имеют поражение почек. Наиболее часто причиной повышения артериального давления является ренопаренхиматозная артериальная гипертензия вследствие перенесенного острого или хронического гломерулонефрита или пиелонефрита. Причинами смешанной нефрогенной артериальной гипертензии могут быть кистозные образования почек, опухоли почек, гидронефроз и т.д. Целью исследования явилась оценка состояния почек, надпочечников и почечного кровотока у больных с артериальной гипертензией. Ультразвуковое исследование проведено у 60 пациентов с артериальной гипертензией, направленных на консультацию в областной кардиологический диспансер.
Дифференциальная ультразвуковая диагностика жидкостных объемных образований органов мошонки
Кафедра онкологии, лучевой диагностики и эндоскопии ФППО ИвГМА, Областной онкологический диспансер,
Владимир, Россия.

УЗИ сканер WS80
Идеальный инструмент для пренатальных исследований. Уникальное качество изображения и весь спектр диагностических программ для экспертной оценки здоровья женщины.
Введение
Опухоли яичка встречаются сравнительно редко, составляя 0,5-3% всех новообразований у мужчин. Хотя смертность от опухолей яичка в целом достигает лишь 0,64%, в возрастной группе 25-39 лет они занимают первое место среди причин смерти от злокачественных новообразований [1]. Обычно практикующие врачи нечасто встречаются с этой патологией. В ее клинической картине преобладает (80-90%) безболезненное увеличение яичка или припухлость мошонки, которые при физикальном исследовании не всегда удается четко дифференцировать от орхоэпидидимита, гидроцеле, сперматоцеле или другой объемной патологии. Во всех этих случаях может использоваться УЗИ мошонки [2].
Впервые на возможность применения УЗИ в оценке органов мошонки указал V.A. ratochwil почти четверть века назад [3]. С тех пор оно стало одним из самых эффективных методов диагностики опухолей яичка и других заболеваний мошонки и широко применяется в медицинской практике многих стран. Количество публикаций, посвященных данной теме, исчисляется сотнями [4]. Тем не менее некоторые вопросы дифференциальной ультразвуковой диагностики заболеваний органов мошонки все еще не решены или нуждаются в уточнении.
Цель работы - уточнить и усовершенствовать ультразвуковые дифференциально-диагностические критерии жидкостных объемных образований органов мошонки, а именно: ретенционных кист, сперматоцеле и гидроцеле.
Материалы и методы
За 1997-2000 гг. в диагностическом отделении областного онкологического диспансера г. Владимира УЗИ органов мошонки выполнено 120 мужчинам. Все они были направлены в поликлинику ООД городскими и областными урологами для исключения опухолевой патологии. Контрольные исследования выполнялись по необходимости в течение 3-24 мес.
В нашей работе мы использовали ультразвуковые сканеры SonoAce-4800 и SonoAce-8800 компании MEDISON с конвексными датчиками 3,5-5 МГц и линейными датчиками 7,5-10 Мгц. Осуществлялось последовательное полипроекционное и полипозиционное сканирование каждой половины мошонки, чтобы получить объемное представление о состоянии этого органа.
Кисты органов мошонки диагностированы у 51 пациента (средний возраст 52,4 года). Результаты исследований представлены в табл. 1. Резекция кисты выполнена 5 пациентам. Одному больному с метастазом анаплазированного рака в паховом лимфоузле выполнена орхиэктомия в связи с подозрением на опухоль яичка (гистологический ответ: кисты придатка и яичка).
Результаты и обсуждение
Кисты яичка (n = 8) клинически не определялись и были случайной находкой при УЗИ. Во всех случаях кисты имели вид анэхогенного округлого с четкими ровными контурами (но без определяемой стенки) образования с дистальным звукоусилением, расположенного внутри яичка под белочной оболочкой или в области средостения (рис. 1, 2). Эхотекстура паренхимы яичка рядом с кистой была обычной, за исключением одного случая тубулоэктазии сети яичка (ТЭСЯ), которая визуализировалась как образование в области средостения яичка (рис. 3), состоящее из множества мелких округлых или трубчатых анэхогенных структур (симптом "грейпфрута" [5]).
Эндометриоидная киста яичника
Эндометриоидная киста яичника - это патологическое полостное образование на поверхности яичника, состоящее из скопившейся менструальной крови, окруженной оболочкой из клеток эндометрия. Эндометриоидная киста яичника в одних случаях может длительно не проявляться, в других - сопровождаться аномальными менструациями, бесплодием, болями, вплоть до клиники «острого живота». Диагностика эндометриоидной кисты яичника основана на данных УЗИ и лапароскопии. Лечение эндометриоидной кисты яичника включает хирургическое удаление патологического образования и длительную гормональную терапию.
МКБ-10


Общие сведения
Эндометриоидные кисты яичника, в отличие от функциональных кист, имеют другой механизм развития и в подавляющем большинстве случаев являются двусторонними. В гинекологии эндометриоидная киста яичника относится к часто встречающимся проявлениям генитальной формы эндометриоза, при котором клетки слизистой оболочки, выстилающей внутреннюю поверхность матки, обнаруживаются в маточных трубах, яичниках, влагалище и брюшной полости.
Эндометриоидная киста яичника развивается у женщин в репродуктивном возрасте (30 -50 лет), обычно на фоне внутреннего эндометриоза, может сочетаться с фибромиомой матки и гиперплазией эндометрия. Размер эндометриоидной кисты яичника может достигать 10-12 см.

Причины
Несмотря на большое число теорий происхождения эндометриоза, точные причины заболевания до сих пор неизвестны. Согласно имплантационной гипотезе, эндометриоз и эндометриоидные кисты яичника могут возникать в процессе ретроградной менструации, когда клетки эндометрия вместе с кровью мигрируют и приживаются в тканях маточных труб, яичников, брюшной полости.
Занос обрывков эндометрия также возможен при хирургических манипуляциях, травмирующих слизистую оболочку матки: гинекологических и акушерских операциях, диагностическом выскабливании, медаборте, диатермокоагуляции шейки матки. Предполагают также, что эндометриоидные очаги могут быть результатом метаплазии остатков эмбриональной ткани, генетических дефектов (семейные формы эндометриоза) или ослабления иммунных реакций.
Факторы риска
Существует связь между развитием эндометриоидной кисты яичника и эндокринными нарушениями в организме: снижением уровня прогестерона, повышением уровня эстрогена (гиперэстрогенией) и пролактина, дисфункцией щитовидной железы, коры надпочечников. Провоцирующими моментами в развитии эндометриоза могут выступать:
- любой эмоциональный стресс;
- длительное использование ВМС;
- эндометриты, оофориты;
- нарушение функции печени;
- ожирение;
- неблагоприятная экология.
Патогенез
Возникшие эндометриоидные очаги являются функционально активными и гормонально зависимыми, поэтому циклически подвергаются менструальноподобной реакции. Разрастание ежемесячно кровоточащей ткани эндометрия в корковом слое яичника приводит к формированию эндометриоидных кист яичника («шоколадных» кист), заполненных не нашедшим выхода густым, темно-коричневым содержимым. Гистологическим признаком эндометриоидной кисты яичника является отсутствие желез в ее стенке.
Симптомы
Выраженность клинических проявлений эндометриоидной кисты яичника зависит от ряда факторов: степени распространения эндометриоза, наличия сопутствующих заболеваний, психологического состояния пациентки и т. д. В ряде случаев формирование эндометриоидной кисты яичника протекает бессимптомно или проявляется нарушением репродуктивной функции (бесплодием).
Эндометриоидная киста яичника может сопровождаться болевым синдромом внизу живота и в области поясницы, усиливающимся во время менструаций, при половом сношении. Иногда боли могут быть очень сильными, а при большом размере и разрыве капсулы кисты развивается клиника «острого живота».
Для эндометриоидной кисты яичника характерны обильные месячные, удлинение менструального цикла с мажущими выделениями до и после менструации. Возможно появление симптомов интоксикации: слабости, тошноты, повышенной температуры.
Осложнения
Разрастание эндометриоидной кисты яичника может приводить к местным изменениям овариальной ткани: дегенерации яйцеклеток, фолликулярным кистам, появлению рубцов, нарушающих нормальные функции яичника. При длительном существовании эндометриоидной кисты яичника может выявляться спаечный процесс в малом тазу с нарушением функций кишечника и мочевого пузыря (запорами, метеоризмом, нарушением мочеиспускания). Эндометриоидная киста яичника - серьезная гинекологическая патология, которая может осложниться нагноением, разрывом стенок кисты с излитием ее содержимого в брюшную полость и развитием перитонита.
Диагностика
Гинекологический осмотр не всегда позволяет выявить признаки эндометриоза. При эндометриоидной кисте яичника можно обнаружить наличие малоподвижного болезненного образования в яичнике и его увеличение перед менструацией. Диагноз эндометриоидной кисты яичника устанавливается по результатам УЗИ органов малого таза с допплерометрией маточно-плацентарного кровотока, МРТ и лапароскопии:
- УЗИ с допплерометрией. Определяет отсутствие кровотока в стенках эндометриоидных кист яичника.
- Исследование онкомаркеров. При определении уровня онкомаркера СА-125 в крови, его концентрация может быть в норме или несколько повышена.
- Диагностические операции. При наличии бесплодия проводят гистеросальпингографию и гистероскопию. Диагностическая лапароскопия является самым точным методом диагностики эндометриоидной кисты яичника. Проведение биопсии и последующего гистологического исследования очага эндометриоза в овариальной ткани необходимо для выявления вероятности его озлокачествления.

Лечение эндометриоидной кисты яичника
Лечение эндометриоидной кисты яичника может быть консервативным (гормональная, неспецифическая противовоспалительная и обезболивающая терапия, прием иммуномодуляторов, витаминов, энзимов), хирургическим (органосохраняющее удаление эндометриоидных очагов лапароскопическим или лапаротомным доступом) или комбинированным. Комплексное лечение эндометриоза нацелено на ликвидацию симптомов, предупреждение прогрессирования заболевания и лечение бесплодия. Тактика лечения эндометриоидной кисты яичника зависит от стадии, симптоматики и длительности эндометриоза, возраста пациентки и наличия проблем с зачатием, сопутствующей генитальной и экстрагенитальной патологии.
Консервативное лечение
При незначительном размере эндометриоидной кисты яичника возможно проведение длительной гормональной терапии с использованием низкодозированных монофазных КОК, производных норстероидов (левоноргестрел), пролонгированных МПА, производных андрогенов, синтетических агонистов ГнРГ. Болевой синдром, связанный с разрастанием эндометриоидной кисты яичника, купируют приемом НПВС, спазмолитических и седативных препаратов.
Хирургическое лечение
При неэффективности консервативной терапии при эндометриоидных кистах яичника размером более 5 см, сочетании эндометриоза и бесплодия, риске осложнений и онкологической настороженности показано только оперативное лечение.
У женщин репродуктивного возраста, желающих иметь детей, стараются избегать радикальных операций (оофорэктомии, аднексэктомии). Предпочтительными методами хирургии эндометриоидных кист являются энуклеация гетеротопных образований или резекция яичника. Удаление очагов эндометриоза и эндометриоидных кист яичника целесообразно проводить с предварительной и послеоперационной гормонотерапией.
Ведение послеоперационного периода
Предоперационная гормонотерапия позволяет уменьшить очаги эндометриоза, их кровоснабжение и функциональную активность, воспалительную реакцию окружающих тканей. После хирургического удаления эндометриоидной кисты яичника соответствующее гормональное лечение способствует регрессу оставшихся эндометриоидных очагов и предупреждает рецидив патологии.
В постоперационном периоде целесообразно назначение физиотерапии с целью коррекции эндокринного дисбаланса, профилактики инфильтративных и спаечных процессов, рецидивов эндометриоидных кист яичника (электрофореза, ультразвука, фонофореза, эндоназальной гальванизации, СМТ-терапии, магнитотерапии, лазеротерапии, иглорефлексотерапии, радоновых ванн и др.).
Прогноз
После удаления эндометриоидной кисты яичника в большинстве случаев значительно уменьшаются боли, восстанавливается нормальная менструальная и детородная функции. После лечения эндометриоидной кисты яичника рекомендуется динамическое наблюдение гинеколога с УЗИ - контролем и исследованием уровня СА-125.
Дермоидная киста яичника
Дермоидная киста яичника - дополнительное образование овариальной ткани, состоящее из толстостенной капсулы, внутри которой содержится слизеобразная масса с различными включениями (кожей, жировой тканью, сальными железами, волосами, костями, зубами, нервной тканью). Клинически дермоидная киста яичника проявляет себя при достижении больших размеров: в этом случае могут отмечаться боли в животе и пояснице, дизурические нарушения, расстройства дефекации. Дермоидные кисты склонны к воспалению, нередко наблюдается перекрут ножки кисты. Диагностика включает гинекологический осмотр, УЗИ, МРТ, лапароскопию. Лечение дермоидных кист яичника оперативное - кистэктомия, клиновидная резекция яичника или овариоэктомия.
Дермоидная киста (дермоид, зрелая тератома) - доброкачественная опухоль яичника, которая встречается у 15-20% женщин с овариальными кистами. Дермоидная киста яичника обычно имеет круглую или овальную форму, гладкие наружные стенки, может вырастать диаметром до 15 сантиметров. Внутри полость тератомы выстлана многослойным эпителием и заполнена желеобразным содержимым со зрелыми фрагментами производных эктодермы, эндодермы и мезодермы (сальных и потовых желез, волос, жировой, нервной, костной и др. тканей).
Дермоидная киста развивается из зародышевых эмбриональных листков, которые при нарушении внутриутробной дифференцировки тканей сохраняются в яичниках. Дермоидная киста яичника может возникать в любом возрасте (детском, подростковом, репродуктивном, климактерическом). Причины формирования зрелых тератом неизвестны; в их развитии предполагается провоцирующая роль гормональных изменений в период полового созревания и климакса, травм живота. Дермоидные кисты яичника растут медленно, обычно имеют одностороннюю локализацию (чаще правостороннюю). В 1-3% случаев отмечается перерождение дермоидной кисты яичника в плоскоклеточный рак.
Симптомы дермоидной кисты яичника
В начальных стадиях дермоидная киста яичника не проявляется симптоматически и может стать случайной находкой при гинекологическом исследовании или УЗИ. Клинические проявления дермоидной кисты яичника связаны с достижением ею больших размеров (15 и более см). В этот период у пациентки появляются ощущения распирания и тяжести, болезненность внизу живота, иногда - увеличение живота в размерах. Увеличение кисты может сопровождаться давлением на мочевой пузырь или прямую кишку, что проявляется учащением мочеиспускания, нарушениями функции кишечника (запорами или диареей).
Дермоидная киста яичника не вызывает гормональных изменений и нарушения менструальной функции, но имеет склонность к осложненному течению. При воспалении зрелых тератом температура тела повышается до 39°С, появляется выраженная слабость и боль в животе. В случае перекрута ножки дермоидной кисты яичника развивается клиника острого пельвиоперитонита с симптомами раздражения брюшины, подъемом температуры, резкой непрекращающейся болью с иррадиацией в ногу и прямую кишку.
Иногда дермоидная киста яичника может впервые выявляться в процессе ведения беременности. Если тератома имеет небольшие размеры, не вызывает нарушения работы соседних органов и не осложняется, во время беременности ее не трогают. В этом случае лечение зрелой тератомы рекомендуется после родов. Беременные с выявленной дермоидной кистой яичника должны находиться на особом учете у гинеколога.
При двуручном (влагалищно-абдоминальном или ректо-абдоминальном) гинекологическом исследовании дермоидная киста яичника пальпируется в виде эластичного, округлого, подвижного и безболезненного образования, расположенного кпереди и сбоку от матки.
В гинекологии наибольшей информативностью в обнаружении и диагностике дермоидной кисты яичника обладает УЗИ малого таза трансвагинальным и трансабдоминальным датчиком. При ультразвуковом сканировании определяются размеры кисты, толщина капсулы и интенсивность кровоснабжения, ЭХО-плотность ее содержимого, наличие включений в ее полости, нередко - кальцификаты. В сомнительных ситуациях диагноз зрелой тератомы подтверждается в ходе компьютерной диагностики и МРТ.
При осложненном течении дермоидной кисты яичника показано проведение пункции заднего свода влагалища, лапароскопии; для исключения внематочной беременности - теста на беременность. При дермоидной кисте яичника обязательно исследуются опухолевые маркеры-антигены (CA-125), позволяющие исключить малигнизацию образования. В процессе диагностики зрелую тератому дифференцируют от других видов кист и кистомы яичника.
Лечение дермоидной кисты яичника
Единственным способом устранения дермоидных кист яичника является их хирургическое удаление. Объем операции определяется в зависимости от возраста пациентки, размера и доброкачественности образования.При дермоидных кистах яичника, осложненных воспалением или перекрутом ножки, операция осуществляется в экстренном режиме и в объемах, диктуемых ситуацией.
У девочек и молодых женщин производится кистэктомия, клиновидная резекция яичника; у женщин в пременопаузе - оофорэктомия, иногда аднексэктомия со стороны поражения. Удаление дермоидной кисты яичника производится в процессе лапароскопии или лапаротомии. Если при гистологическом исследовании подтверждается диагноз дермоидной кисты яичника, лечение на этом заканчивается. Планировать беременность после удаления зрелой тератомы рекомендуется через 6 мес. - 1 год после операции.
При своевременном удалении дермоидной кисты яичника прогноз в отношении специфических функций (менструальной, половой, детородной) благоприятный. Повторное возникновении зрелых тератом встречается исключительно редко, в тех случаях, если на момент операции в яичнике имелись микроскопические зачатки дермоидных кист. После операции профилактические осмотры гинекологом и УЗИ-контроль проводятся дважды в год.
При неудаленной дермоидной кисте яичника любая физическая активность (прыжки, наклоны, повороты) могут способствовать перекруту ножки кисты. Также наличие кисты несет потенциальную опасность нагноения ее содержимого и злокачественного перерождения.
Читайте также:
