Ультразвуковой вид поджелудочной железы. Эхография поджелудочной железы
Добавил пользователь Евгений Кузнецов Обновлено: 21.11.2025
УЗИ поджелудочной железы — один из самых доступных и информативных методов диагностики заболеваний данного органа. Его рекомендуют делать не только при наличии жалоб, но и в рамках профилактических осмотров. УЗИ поджелудочной железы выполняется в рамках УЗИ брюшной полости и забрюшинного пространства, в ряде случаев проводится прицельное исследование.
Кому показано УЗИ поджелудочной железы
Исследование рекомендуется выполнять в случае наличия данных за патологию данного органа:
- Боли в верхней половине живота опоясывающего характера.
- Явления диспепсии — снижение аппетита, вздутие живота, тошнота.
- Хронические диареи или запоры.
- Необъяснимое похудение более, чем на 10% от исходной массы тела в течение полугода.
- Желтуха.
- Травма живота.
- Отклонения в лабораторных анализах, свидетельствующие о патологии поджелудочной железы — повышение или снижение уровня глюкозы, амилазы и др.
Помимо этого, периодически УЗИ поджелудочной железы рекомендуется делать при некоторых заболеваниях:
- Хронические гепатиты и панкреатиты.
- Сахарный диабет.
- Ожирение.
- Гастриты, дуодениты.
- Холецистит.
- Муковисцидоз.
Преимущества и недостатки метода
Главными преимуществами метода является абсолютная безопасность, простота выполнения, доступность и высокая информативность. УЗИ поджелудочной железы можно выполнить практически в любой многопрофильной клинике, но важно, чтобы оно проводилось на современном сканере квалифицированным специалистом.
Благодаря высокому профилю безопасности, исследование можно проводить столько раз, сколько потребуется конкретному пациенту. Противопоказаний к его применению нет, за исключением открытой раны в области живота.
Как подготовиться к исследованию поджелудочной железы
УЗИ органов живота всегда проводится строго натощак, и исследование поджелудочной железы не является исключением. Также стоит позаботиться о том, чтобы газ в кишечнике не мешал визуализации. Для этого за пару дней до запланированной процедуры необходимо воздерживаться от приема продуктов, вызывающих брожение: молоко, овощи и фрукты, сладости, сдоба и др. Некоторым пациентам врач может порекомендовать прием кишечных сорбентов или ферментных препаратов.
Как проводится УЗИ поджелудочной железы
Сканирование органа выполняется в разных положениях. Тело и головка органа лучше определяются, когда пациент лежит в приподнятом состоянии. В этом случае немного смещается левая доля печени и кишечник. Для исследования хвоста железы пациента могут попросить перевернуться на бок, чтобы сместился газовый пузырь, находящийся в желудке.
Во время сканирования врач определяет расположение органа, его размеры, особенности эхогенности, наличие патологических включений и очагов. В норме у взрослых людей размеры железы следующие:
- Головка — 2,5-3,5 см.
- Тело — 1,75-2,5 см.
- Хвост — 1,5-3,5 см.
Эхогенность в норме должна быть однородной на всем протяжении органа. Центральный проток определяется в виде гипоэхогенной трубки, которая утолщается от хвоста к головке. Диаметр протока в хвосте составляет около 0,3 мм, а в головке до 3 мм.
При панкреатите увеличиваются размеры органа, контур железы может терять четкость, проток расширяется. Эти изменения отмечаются на всей протяженности органа. При панкреонекрозе образуются очаги мертвой ткани, которые на УЗИ выглядят как гипоэхогенные полости с нечеткими контурами. Они могут сливаться между собой. Злокачественные новообразования сходны с панкреонекрозом, но их отличает обильное кровоснабжение, что легко можно проверить с помощью УЗИ. Если обнаруживаются опухоли, железу очень тщательно исследуют на всем протяжении, особое внимание уделяют хвосту, поскольку он хуже всего доступен для визуализации.

Стоит отметить, что заболевания поджелудочной железы являются крайне серьезной патологией, которую нельзя запускать. В связи с этим мы рекомендуем выполнять УЗИ поджелудочной железы хотя бы раз в год в рамках профилактических обследований. В сети клиник «Евроонко» такое исследование выполняется на самом современном оборудовании, обладающим мощным функционалом, которое дает возможность обнаружить новообразования размером до 2 мм. Своевременное обнаружение проблемы дает возможность избежать плачевных последствий и решить вопрос без дорогостоящего лечения.
Что нужно знать пациенту об узи?
Как правило, сканирование поджелудочной железы с помощью ультразвука назначается в качестве одного из этапов исследования органов брюшной полости. Оно должно проводиться на голодный желудок, поэтому перед процедурой нужно тщательно подготовиться.
В каких случаях назначается эхокрафия?
- Панкреатит.
- Кисты и опухолевые образования.
- Расплавление железы некротического свойства (панкреонекроз).
- Заболевания органов ЖКТ.
- Травма брюшины.
- Плановое обследование перед операцией.
- Рак фатерова соска, механическая желтуха, дуоденит, желчекаменная болезнь, папиллит.
Где находится и из каких частей состоит орган?
Железа расположена в области за брюшиной, слева и немного позади желудка. Она защищена ребрами и состоит из головки, хвоста и тела, поэтому сканирование отделов происходит из разных точек. В основе органа - небольшие дольки, производящие пищеварительные ферменты, и панкреатические островки, выбрасывающие гуморальные вещества в кровь. Панкреатический сок, служащий ферментом, поступает в двенадцатиперстную кишку и принимает участие в процессе пищеварения.
Сканирование должно проходить на голодный желудок. Для этого пациенту необходимо выполнить несколько требований:
• За 24 часа до процедуры исключить из рациона «тяжелую пищу».
• Ужин должен не позднее 18 часов.
• От вздутия живота и уменьшения процессов газообразования можно принять «Эспумизан».
На эхографию нужно принести пеленку и полотенце. Во время исследования пациент лежит на кушетке. Идеальным вариантом будет проведение УЗИ в утренние часы. В некоторых случаях пациенту понадобитсяперед процедурой выпить воды.
Нормальные показатели поджелудочной железы
- Толщина органа не превышает 2-3 см.
- Длина колеблется в пределах 14-18 см.
- Ширина в пределах 3-9 см.
- Вес органа - 80 гр.
Как проходит исследование?
Сначала пациент лежит на спине, затем он поворачивается на левый бок. В таком положении сканируется хвост железы. После этого поворачивается на правый бок. Чтобы изучить состояние головки и тела железы, врач просит пациента принять положение полусидя.
В качестве ориентиров для обнаружения поджелудочной железы сонолог использует аорту с нижней полой веной, верхнюю и нижнюю брыжеечные артерии и др. Для определения размеров органа имеется специальная программа. Даже если все показатели не отходят от нормы, врач приводит в заключении подробную расшифровку данных.
Плотность ткани поджелудочной железы (эхогенность) зависит от возраста и массы тела пациента. С годами она уменьшается и обретает признаки гиперэхогенности. В норме структура железы однородна. Правильная подготовка способствует хорошему просматриванию всех отделов органа во время осмотра.
Патологические изменения
- Гнойник (абсцесс) поджелудочной железы выглядит как кармашек или сумка, наполненные секвестрами и неоднородной жидкостью. С изменением положения тела пациента уровень наполненности меняется.
- Острый или хронический панкреатит, вызывающий изменения структуры диффузного или очагового характера. При этом плотность ткани понижена, контуры органа не отличаются четкостью. Размеры железы и ее протоков выше нормы. На основе этих изменений врач диагностирует панкреатит.
- Появление некротических очагов и кист провоцирует в дальнейшем полное расплавление тканей поджелудочной железы (панкреонекроз). Это выглядит как плохо структурированные гипоэхогенные участки.
- Одним из последствий панкреонекроза является формирование множества гнойных абсцессов, которые, слившись, образуют большие участки гноя и секвестр.
- Ложные кистозные образование на экране выглядят как анэхогенные полости, заполненные жидкостью.
- Опухоли на УЗИ выглядят как круглые или овальные образования пониженной плотности и неоднородной структуры, обильно покрытые сетью кровеносных сосудов. При подозрении на раковое заболевание необходимо очень тщательно исследовать все отделы железы. Если очаг злокачественной опухоли находится в головке, то признаком будет желтуха. Также данные эхографии позволяют диагностировать тип рака.
Стоимость процедуры
Цена услуги зависит от места ее оказания. В частных клиниках она будет стоить дороже, чем в государственных больницах. В поисках подходящего варианта необходимо ориентироваться на профессионализм врача.
Ультразвуковая диагностика образований поджелудочной железы. Профессор В. А. Изранов. Лекция для врачей

- Солидные гипоэхогенные образования поджелудочной железы
- Рак поджелудочной железы
- Очаговый панкреатит
- Лимфома
- Метастазы
- Нейроэндокринные опухоли
- Островково-клеточная опухоль
- Тромбированная аневризма
- Рак ПЖ представляет собой аденокарциному, происходящую из протокового эпителия
- Составляет более 90% всех опухолей ПЖ
- Составляет 5% случаев всей онкологической смертности и занимает 4-е место после рака легких, рака МЖ и колоректального рака
- 1-летняя выживаемость около 10%
- Чаще всего в возрастной группе 60-80 лет
- До 40 лет встречается редко. 60% - 70% опухолей развиваются в головке ПЖ
- Типичная симптоматика - желтуха без болевого синдрома. 10% - 20% опухолей развиваются в области тела и 5-10% в области хвоста
- Для этих локализаций характерны неспецифические симптомы, в частности потеря веса
- Диффузное поражение отмечается в 5% случаев
- Опухоли головки могут быть обнаружены на ранних стадиях из-за симптомов желтухи и могут быть потенциально резектабельными
- Напротив, опухоли в области тела и хвоста обнаруживаются уже крупных размеров. Редко являются резектабельными
- В большинстве случаев РПЖ представлен гипоэхогенным образованием (в сравнении с прилежащей паренхимой ПЖ)
- Изменение контура ПЖ зависит от размера и локализации опухоли
- Обструкция ОЖП является частым симптомом
- Обычно расширенный проток прослеживается дистально и обрывается на уровне образования
- Обструкция панкреатического протока также является частым симптомом. Одновременное расширение ОЖП и панкреатического протока (симптом двух протоков) всегда является подсказкой наличия рака ПЖ. В целом, расширение панкреатического протока имеет меньшую извитость и неровность контуров в сравнении с хроническим панкреатитом
- Может иметь форма без расширения протока. В таких случаях развивается атрофия ПЖ левее опухоли
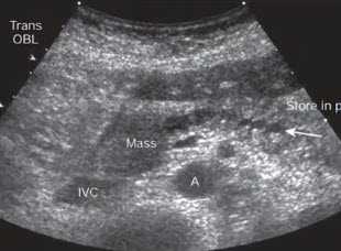
- Поперечное сканирование в эпигастральной области. Образование в головке (Mass), приводящее обструкции панкреатического протока. Четкообразное неравномерное расширение протока (стрелка). А - аорта, IVC - нижняя полая вена
- Косое сканирование в эпигастральной области. Гипоэхогенное образование в хвосте поджелудочной железы (ПЖ)
- Косое сканирование в эпигастральной области. Гипоэхогенное образование в хвосте поджелудочной железы
- Образование в головке ПЖ (белая стрелка) неоднородной структуры преимущественно повышенной эхогенности (типичными примерами являются гипоэхогенные образования). Отмечается симптом «двух протоков»:
- панкреатический проток (PD) неравномерно расширен
- в левой доле печени лоцируются расширения внутрипеченочных протоков (желтые стрелки).
- Рак поджелудочной железы. Пример
- Косое сканирование через общий желчный проток (CBD). Образование (М) приводит к выраженной дилатации ОЖП (диаметр ОЖП вдвое превышает диаметр воротной вены). D - верхняя часть двенадцатиперстной кишки. НПВ-нижняя полая вена.
- Дифференциальный диагноз
- Дифференциальный диагноз гипоэхогенных образований ПЖ первоначально включает РПЖ и локальный панкреатит. Локальный панкреатит исключается при обнаружении метастазов и вовлечении сосудов. Напротив, выявление разбросанных кальцинатов является симптомом панкреатита
- Расширение панкреатического протока с внутренними кальцификатами при локальной форме панкреатита.
Подтверждающее изображение КТ
- Диагностическая тактика при раке поджелудочной железы
- Хотя УЗИ может быть методом выявления РПЖ сопоставимым с КТ по способности выявления РПЖ в хорошо доступных для визуализации отделах (головка и тело), оно не позволяет визуализировать всю ПЖ целиком, поэтому КТ является предпочтительным методом визуализации
- ЭРХПГ и эндоскопическое УЗИ являются довольно чувствительными методами, но являются инвазивными дорогостоящими процедурами и могут провоцировать панкреатит. Их следует резервировать для случаев, когда УЗИ и КТ являются недиагностическими или у пациентов, требующих биопсии или постановки билиарного стента
- КТ и МРТ играют основную роль в определение резектабельности РПЖ
- Для врача УЗИ важно знать критерии резектабельности
- Критерии нерезектабельности:
- обнаружение печеночных, перитонеальных или других отдаленных метастазов
- вовлечение перипанкреатических артерий и вен
- инвазия в прилежащие органы (за исключением ДПК)
- наличие асцита
В - инфильтрированные мягкие ткани (указаны стрелками), окружающие чревный ствол (С)
С- продольное сечение на уровне чревного ствола (С). Стрелка демонстрирует инфильтрацию мягких тканей
- Сосудистая инвазия при РПЖ II
- А - поперечное сканирование на уровне тела ПЖ: солидное гипоэхогенное образование
- В - ЦДК демонстрирует чревный ствол с инвазией в область основания селезеночной артерии.
- Лимфома
- Лимфома ПЖ обычно является вторичной и неходжкинской. Первичная лимфома ПЖ является редкой (не более 2% экстранодальных лимфом и 1% всех опухолей ПЖ). Наиболее часто имеет место у пациентов с иммунодефицитом. Обычно представлена очаговыми единичными или множественными гипоэхогенными образованиями с нечеткими контурами. Часто инфильтрирует прилежащие ткани
- А - Гипоэхогенные образования (L) в теле и хвосте ПЖ
- В - КТ у того же пациента. Результаты биопсии: лимфома Беркитта
- Нейроэндокринные опухоли (НЭОп)
- Составляют от 1 до 5 % опухолей ПЖ. Они возникают из плюрипотентных клеток протокового эпителия. НЭОп часто ассоциированы с нейрофиброматозом 1 типа, болезнью von Hippel Lindau и туберозным склерозом. В зависимости от продуцируемого гормона подразделяются на:
- 1. Инсулинома
- 2. Гастринома
- 3. Глюкагонома, VIPoma, соматостатинома
- 4. Нефункционирующие НЭОп
- Локализация НЭОп до операции требует сочетанного применения КТ, МРТ и эндоскопического УЗИ
- Инсулиномы. Мелкие (10 мм) гипоэхогенные солидные образования, гиперваскулярные при ЦДК
- Гастриномы составляют до 20% НЭОп. В сравнении в инсулиномами большинство гастрином злокачественные. До 60% пациентов на момент постановки диагноза имеют отдаленные метастазы. Симптомы обусловлены избыточной секреций гастрина и включают тяжелые пептические язвы и секреторную диарею. Гастриномы являются мелкими опухолями и дооперационное выявление их при УЗИ ограничено. Эндоскопическое УЗИ очень чувствительно к выявлению как внутриорганных, так и внеорганных поражений, которые чаще всего обнаруживаются в стенке ДПК. Интраоперационное УЗИ чувствительно к выявлению интрапанкреатических опухолей и часто используется для точной локализации опухоли. Гастриномы у различных пациентов. Интраоперационное сканирование. А.В - мелкие (до 5 мм) гипоэхогенные солидные образования. С - жидкость в просвете ДПК (L) и внутристеночное образование
- Нефункционирующая НЭОп
- Поперечное сканирование на уровне ПЖ: крупное образование (М) и крупный тромб (Т) в области воротно-селезеночного конфлюэнса
- В - опухолевый тромб в селезеночной вене. ЭД демонстрирует отчетливую васкуляризацию опухоли
- В - выраженная гиперваскуляризация при ЦДК
- С - контраст-усиленное КТ у того же пациента
- Метастазы обнаруживаются на аутопсиях в 2-5% всех злокачественных опухолей ПЖ. Наиболее часто в ПЖ метастазирует рак легких и почечно-клеточный рак. Эхографически это солидные гипоэхогенные образования. Отличительными особенностями являются множественность поражения. Выявление образования в ПЖ у пациента с анамнезом экстрапанкреатической локализации злокачественного процесса должно вызывать подозрение на метастатическую болезнь
- Метастаз рака легких в поджелудочную железу. Гипоэхогенное образование в хвосте ПЖ
- Метастаз рака почки в поджелудочной железы
- А-КТ с контрастированием: образование в теле поджелудочной железы
- В - Серошкальное изображение при интраоперационном УЗИ
- С - гиперваскуляризация образования при интраоперационном УЗИ
- Кистозные образования поджелудочной железы
- Классификация кистозных образований поджелудочной железы
- Псевдокисты / Кистозные некроз
- Кистозные неоплазии (5% опухолей ПЖ):
- Муцинозная кистозная неоплазия
- Серозная цистаденома (микрокистозная аденома)
УЗИ поджелудочной железы
Поджелудочная железа очень важна в системе пищеварения. Одним из эффективных способов проверки поджелудочной железы является ультразвуковая диагностика (УЗИ).
![]()
Когда назначают УЗИ поджелудочной железы:
Поджелудочную железу необходимо проверить путем УЗИ-диагностики, если пациент:
- Жалуется на болевые ощущения в области левых ребер, при этом врач не может определить причину путем пальпации;
- Резко худеет.
При наличии патологии в лабораторных исследованиях в обязательном порядке назначается ультразвуковая диагностика поджелудочной. Помимо этого, диагностика железы назначается после перенесения таких заболеваний как: гепатит A, С, B.
Иные ситуации, в которых требуется проведение УЗИ поджелудочной железы:
- Ощущение вздутия;
- Привкус горечи во рту;
- Желтый оттенок кожи;
- Проблемы со стулом;
- Травма брюшной полости;
- Выявление опухолей.
![]()
В рамках исследования поджелудочной осуществляется полная диагностика брюшной полости. Исследование позволяет выявить патологии на самой начальной стадии.
Ультразвуковое исследование поджелудочной железы рекомендуется проходить один раз в год всем людям старше 25 лет.
Что входит в подготовку к УЗИ.
Для получения достоверного результата во время диагностики, следует соблюдать все правила подготовки к ней. При пренебрежении правилами, возможно искажение результатов исследования или возникновение трудностей во время УЗИ. В первую очередь, следует полностью очистить кишечник путем клизмы или приема слабительных средств. За два дня до исследования разрешено принимать сорбенты, способствующие снижению образования газов.
За двое суток до УЗИ следует полностью убрать из рациона:
- алкогольные напитки и газировку;
- свежие фрукты/овощи;
- молочные продукты;
- мясо;
- яйца;
- хлеб черный.
Можно употреблять крупы, фрукты, которые прошли термическую обработку, мед.
Прием пищи позднее чем за 12 часов до исследования недопустим.
Лучше спланировать обследование на первую половину дня, потому как есть и пить до обследования в этот день не разрешается. Запрещено также жевание жвачки и курение. Если вы принимаете лекарственные препараты, обязательно узнайте у врача, как их следует принимать до УЗИ.
Что нужно иметь ввиду, если нужно проверить поджелудочную железу:
В некоторых случаях специальная диета назначается только доктором, это зависит от индивидуальных особенностей организма;
При наличии лишнего веса, клизму следует сделать 2 раза: накануне процедуры и в день проведения исследования.
При несоблюдении всех рекомендаций, результат УЗИ потеряет свою информативность на 50%.
Как проходит УЗИ поджелудочной
Поджелудочную железу посредством ультразвука диагностируют в течение 30-60 минут. Процедура проводится лежа на спине. На живот наносится специальный гель. Затем врач узи при помощи специального датчика начинает проводить исследование. При необходимости доктор может попросить пациента втянуть или надуть живот.
В ходе УЗИ пациенту нужно будет лечь сначала на правый, а потом на левый бок, в некоторых случаях врач просит встать пациента на ноги. Это требуется для того, чтобы как можно тщательнее исследовать поджелудочную железу.
Какие показатели считаются нормой?
УЗИ поджелудочной позволяет дать оценку состоянию здоровья органа. Ниже приведены нормальные показатели поджелудочной у взрослых пациентов:
Нормальные показатели взрослого человека отличаются от показателей, присущим ребенку.
Еще раз хотим отметить, что диагностика поджелудочной железы осуществляется в рамках комплексной УЗИ-диагностики брюшной полости. Это связано с тем, что довольно сложно при помощи УЗИ выявить болезни поджелудочной, но зато можно диагностировать болезни органов, граничащих с ним, что позволяет дать оценку общего состояния брюшной полости. При выявлении отклонений во время УЗИ врач назначает дополнительные исследования.
Диагностика поджелудочной железы в клинике «Академия VIP» выполняется врачами, имеющим опыт более 15 лет. В клинике имеется два высокотехнологичных аппарата УЗИ, которые позволяют максимально точно оценить состояние поджелудочной железы и расположенных рядом органов.
УЗИ поджелудочной железы: 2 метода обследования
![УЗИ поджелудочной железы: 2 метода обследования]()
Поджелудочная железа имеет особое анатомическое расположение, поэтому исследовать её пальпацией (прощупыванием вручную) проблематично. Общепринятый метод исследования этого органа в Европе — УЗИ поджелудочной железы. УЗ-исследование — простая и информативная процедура, которая позволяет исследовать форму, контуры, размеры и структуры органа. Обследование на хорошем оборудовании и правильная подготовка к нему обеспечит достоверные результаты диагностики.
УЗИ ПОДЖЕЛУДОЧНОЙ ЖЕЛЕЗЫ ВХОДИТ В ОБСЛЕДОВАНИЕ ОРГАНОВ БРЮШНОЙ ПОЛОСТИ. ПОЛНАЯ СТОИМОСТЬ ОБСЛЕДОВАНИЯ — 1000 руб.
Основные показания к УЗИ поджелудочной
Поджелудочная железа — орган, относяшийся к пищеварительной системе. Эта самая крупная железа выполняет две важнейшие функции: выделяет панкреатический сок с пищеварительными ферментами плюс производит гормоны, регулирующие углеводный, жировой и белковый обмен.
![УЗИ поджелудочной железы]()
Существует ряд факторов, при которых нужно пройти УЗИ поджелудочной железы в обязательном порядке:
- Боли : длительные или периодические боли в области эпигастрия (район над пупком) или левого подреберья, ноющие опоясывающие боли, болезненные ощущения при прощупывании эпигастральной области.
- Нарушения со стороны ЖКТ : тошнота, рвота, связанные с голодом или приемом пищи, диарея неизвестного генеза (происхождения), запоры, жидкий стул, увеличение объема живота, метеоризм.
- Внешние проявления : желтый оттенок кожи и слизистых тканей, беспричинное резкое снижение веса.
- Ухудшение самочувствия : высокая температура тела (поднимается при обострении) без простуды и очевидных инфекционных заболеваний.
- Изменения в анализах, показателях диагностики : повышенный уровень сахара или диагностированный сахарный диабет, выявленная на УЗИ брюшной полости деформация задней стенки желудка, искажение его контуров или двенадцатиперстной кишки, увеличение поджелудочной железы, жидкость в брюшной полости.
- Предположительные диагнозы : подозрение на доброкачественное либо злокачественное новообразование, осложнения острого панкреатита (некрозы, гематомы, абсцессы и т.д.).
- Обязательное обследование : до- и после операции, травма брюшной полости, панкреатит (острый и хронический), нарушения работы почек и желчного пузыря (это зависимые органы).
Какие патологии выявляет ультразвук
При помощи этой процедуры можно оценить изменение размеров и контуров органа, состояние протоков, а также диагностировать ряд опасных патологий:
- острый, хронический панкреатит;
- врожденные аномалии поджелудочной;
- киста, злокачественные (рак) и доброкачественные новообразования;
- разные воспаления, абсцесс (гнойное воспаление);
- сахарный диабет, изменения тканей, вызванные сахарным диабетом , липоматоз поджелудочной железы.
![кисты поджелудочной]()
Как подготовиться к УЗИ поджелудочной железы
В экстренной ситуации УЗИ поджелудочной проводится без предварительной подготовки. Несмотря на возможные искаженные результаты, опытный специалист сможет выявить патологию, требующую неотложной медицинской помощи.
Для более качественной диагностики, дающей точные результаты исследования необходима подготовка. Начать подготовительные мероприятия, необходимо за 2 дня до процедуры:
- соблюдение облегченной безбелковой диеты;
- не употреблять пищу за 10-12 часов (накануне утренней процедуры достаточно легкого ужина);
- исключение продуктов, провоцирующих газообразование (дрожжевая и молочная продукция, свежие овощи, фрукты, бобы, газированные напитки и т.д.);
- отказ от курения, алкоголя, использования жевательной резинки;
- пауза в приеме лекарств и лекарственных трав (исключение - обязательная терапия при хронических заболеваниях: сахарный диабет, гипертония и т.д.);
- за день пациентам, склонным к метеоризму, принять адсорбенты (эспумизан, активированный уголь и т.д.);
- накануне процедуры очистить кишечник (при необходимости использовать слабительное средство или клизму).
Несоблюдение правил подготовки снижает информативность УЗИ практически на 70%. Также искажению результатов будет способствовать обследования с контрастным веществом и эндоскопические манипуляции, проводимые накануне УЗИ поджелудочной железы.
Как проводится исследование
УЗИ поджелудочной проводится двумя методами — классическим и эндоскопическим. Первая методика является стандартом и назначается в первую очередь. Эндоскопическое УЗИ требуется для подтверждения сомнительного диагноза и в сложных случаях.
Классическое обследование поджелудочной железы
Методика проведения УЗИ поджелудочной железы проходит обычно - через брюшную стенку с помощью специального наружного датчика. Пациент ложится в одежде (без обуви) на кушетку спиной, оголяет живот. Врач наносит гипоаллергенный гель для УЗИ, обеспечивающий максимальный контакт с прибором, а затем, медленно перемещая датчик от центральной части живота к левому подреберью, исследует поджелудочную железу. Во время визуализации пациенту необходимо глубоко вдохнуть. Врач предложит задержать дыхание (надуть живот), чтобы кишечник сместился и осмотру поджелудочной ничего не препятствовало.
Для уточнения сомнительных результатов врач может попросить пациента сменить положение тела (лечь на бок или на живот, встать) и провести повторное исследование. Возможно получение ошибочных результатов из-за скопления газов в кишечнике. Для устранения этой проблемы пациенту необходимо выпить 2-3 стакана воды. Жидкость будет выполнять роль «окна» и позволит осмотреть органы.
Процедура абсолютно безболезненная, пациент не испытывает неприятные ощущения или дискомфорт. Длительность составляет не более 10-15 минут.
Эндоскопическое УЗИ
В некоторых случаях для осмотра недоступных мест и снижения погрешностей используют эндоскопическое УЗ исследование поджелудочной железы. Этот вариант инвазивный и не очень приятный по ощущениям. Визуализация выполняется с помощью тонкого гибкого эндоскопа (прибор) с видеокамерой и ультразвуковым датчиком.
Зонд аккуратно вводится через пищевод в желудок и через него в двенадцатиперстную кишку. Чтобы облегчить нервное состояние пациента, за 30-60 минут до процедуры ему вводят внутримышечно инъекцию успокоительного препарата. ЭндоУЗИ проводится с анестезией (местно).
Норма показателей, видимых на УЗИ поджелудочной железы
Орган в норме находится в области эпигастрия. Здоровая железа имеет следующие признаки:
Колбасовидная, гантелевидная, S-образная или в виде головастика
ровный, четкий, видимое ограничение от окружающих тканей
Эхогенность (отзывчивость ультразвуковых волн)
Эхо структура (видимая на снимке картина)
однородная (гомогенная), может быть мелкозернистой или крупнозернистой
узкий, без расширений (диаметр 1,5 - 2,5 мм)
Размеры поджелудочной у взрослых и детей
Размеры поджелудочной железы в пределах нормы у детей и взрослых отличаются, поскольку на показатели влияет рост ребенка:
Показатели
У взрослого
У ребенка
Патологические показатели: отклонения от нормы, видимые на УЗИ
Патология, временное изменения, заболевание
Признаки на УЗИ
Поджелудочная железа больше нормы (или увеличены отдельные ее части);
размытый, неровный контур;
неоднородная структура (преимущественно - гипоэхогенная);
вирсунгов проток расширен;
скопление жидкости вокруг органа.
неровный, размытый контур железы;
неоднородная, усиленная структура (гиперэхогенная);
вирсунгов проток расширен (более 2 мм);
возможны камни - округлые гиперэхогенные образования с эхогенной дорожкой позади.
Киста или абсцесс
Эхонегативное (черное на снимках) образование с четкими, ровными гиперэхогенными краями
та часть, в которой находится опухоль, увеличена;
структура неоднородная (гипоэхогенная, гиперэхогенная или смешанная);
расширенный панкреатический и желчный проток.
Сахарный диабет или липоматоз поджелудочной железы
усиленная эхогенная структура;
нечеткий, размытый, неровный контур органа.
Удвоение поджелудочной железы
2 панкреатических протока;
изоэхогенная структура выглядит неравномерно.
Кольцевидная поджелудочная железа
Окружающий двенадцатиперстную кишку сегмент, увеличен
одно или несколько округлых, гипоэхогенных (не отзывчивых к УЗ-волнам) образований
Противопоказания
В основном ультразвуковое исследование не имеет противопоказаний, но существуют факторы, при наличии которых проведение процедуры затруднено или нецелесообразно.
УЗИ поджелудочной железы не проводится при:
- аллергической реакции на гель;
- общем тяжелом состоянии пациента;
- ожирении высокой степени — орган сложно осмотреть из-за толщи жира;
- повреждениях кожного покрова брюшной полости (раны, инфекционно-воспалительные патологии, свищи, поражения кожи при системных заболеваниях).
Противопоказания к проведению эндоскопического УЗИ:
- нарушения свертываемости крови;
- слабая проходимость полых органов;
- некоторые заболевания дыхательной, сердечно-сосудистой систем (острый инфаркт миокарда, инсульта, бронхиальная астма и т.д.);
- шоковое состояние пациента;
- ожоги пищевода;
- острые нарушения кровообращения;
- острая прободная язва;
- узловой зоб в 4-й стадии;
- травма верхнего шейного отдела позвоночника.
В каждом случае при определенных патологиях врач определяет возможность проведения УЗИ в индивидуальном порядке.
Альтернативы исследования, преимущества УЗИ перед другими методиками
Существует несколько методов исследования поджелудочной железы:
- рентгенологические (рентгенография, эндоскопическая ретроградная холангиопанкреатография, компьютерная томография);
- оптоволоконные методы диагностики.
УЗИ поджелудочной железы - золотой стандарт. Оно выгодно выделяется на фоне прочих методов, поскольку не оказывает лучевой нагрузки на пациента по сравнению с рентгеном, экономичнее финансово, чем КТ (компьютерная томография), более точное и значительно более информативное в сравнении с холангиопанкреатографией, а также является простой, быстрой и абсолютно безболезненной процедурой.
Исследование не имеет возрастных ограничений и может проводиться даже во время беременности. Специалист не ограничивается УЗИ и назначает комплексное обследование, если обнаруживает патологию, требующую подтверждения диагноза.
Где сделать УЗИ поджелудочной железы в СПБ
Такое обследование проводится в клинике Диана. Наш адрес в Санкт-Петербурге: Заневский пр-т, 10 (рядом с метро Площадь Александра Невского, Ладожская, Новочеркасская). Обследование проводится с помощью нового аппарата УЗИ экспертного класса.
Читайте также:
- Составляют от 1 до 5 % опухолей ПЖ. Они возникают из плюрипотентных клеток протокового эпителия. НЭОп часто ассоциированы с нейрофиброматозом 1 типа, болезнью von Hippel Lindau и туберозным склерозом. В зависимости от продуцируемого гормона подразделяются на:





