УЗИ, КТ при ксантогранулематозном холецистите
Добавил пользователь Евгений Кузнецов Обновлено: 11.12.2025
Если глубоко «копнуть» проблему диагностики заболеваний желчного пузыря, то можно понять - вопросом её совершенствования занимались серьёзные люди, ибо в терминологии, описывающей патологию этого органа, фигурируют и «жемчужное ожерелье» и «фарфоровый» пузырь.
Покажет ли УЗИ холецистит?
Люди знали толк в ценных вещах и отождествляли их с не менее ценным органом - резервуаром желчи, которой можно воспользоваться экстренно, а можно и копить «про запас». Орган, с одной стороны, маленький, а с другой - очень ответственный. В идеале он должен работать как амортизатор. Много жидкости - расширился, мало - сократился. Соответственно, и стенки должны быть очень эластичными, подвижными. А если стенка утолщается, то мы уже в заключении пишем - хронический холецистит. Чаще - если пациент пришёл на УЗИ брюшной полости, однако и при проведении КТ и МРТ могут написать это же.
Как правильно диагностировать холецистит?
На самом деле - надо все же изучать резервуарную (накопительную) и эвакуаторную функцию (способность к сокращению и выбросу порции желчи при пищевой нагрузке). Поэтому не следует «разбрасываться» этим диагнозом, а уж если очень «хочется» его поставить, то нужно выполнить контрастное усиление - в отсроченную фазу соединительная ткань накопит контрастное вещество и стенка будет контрастироваться равномерно по всему периметру.
Признаки холецистита на УЗИ, КТ и МРТ
Равномерность толщины стенки - важнейший признак, на котором базируется почти вся диагностика заболеваний желчного пузыря. Вторым признаком является изменение структуры желчи и отражение этих изменений во время ультразвуковой диагностики, компьютерной и магнитно-резонансной томографии.
Часто при УЗИ говорят о «песке» (но кому приятно, что в нем есть песок?). Более гуманно звучит таинственный иностранный термин - «сладж». Такое себе нарушение структуры раствора, когда есть и жидкие фракции и более плотные, и даже микрокристаллы (тот самый «песочек»). Это уже предвестник. Если он стабилен и часто виден - это верный путь к камнеобразованию.
Чем грозят камни в желчном пузыре?
Мелкие камни мало воздействуют на стенку пузыря, но под давлением могут проскакивать в пузырный проток (вызывая окклюзию шейки), если их диаметр побольше - тогда видим симптоматику синдрома Мириззи, а если уж совсем мелкие камушки - то летят они в общий желчный проток. Если он проходим для камня такого диаметра, то могут проскочить или ущемиться в ампуле фатерова соска, а если побольше - то и перекрыть общий желчный проток. А в результате - или окклюзия желчных протоков и механическая желтуха, а если пониже блок и вовлечен главный панкреатический проток - то это может стать пусковым фактором для развития острого панкреатита на фоне внезапно развившегося окклюзионного синдрома.
Уточнить диагноз помогут УЗИ, КТ и МРТ
Во всех случаях помогут УЗИ-диагностика, компьютерная томография и МРТ - расширенный проток и его обрыв на определённом уровне будут видны. А вот причина (то есть, сам камень) видна не всегда - при УЗИ плотный камень даст акустическую дорожку, на КТ - будет виден, если он кальций-билирубиновый, ну, а при МРТ мы можем лишь судить о контуре препятствия, вызвавшего нарушения оттока желчи или панкреатического сока.
Камни в желчном пузыре: нужна ли операция?
Вернемся к желчному пузырю. Большой камень никуда не денется, но, считается, что длительное камненосительство - путь к раку желчного пузыря из-за постоянного воздействия камня на стенку при его фиксированном положении в деформированном пузыре при хроническом холецистите.
Как на МРТ выглядит «жемчужное ожерелье»?
Благодаря МРТ можно найти то самое «ожерелье», когда, по типу дивертикулов в толстой кишке, выстилка пузыря выпячивается наружу, за пределы мышечного слоя. Эти выстроенные в ряд расширенные, с ущемленной шейкой синусы Ашоффа-Рокитанского действительно напоминают ожерелье.
А в остальном возможности методов схожи - некроз стенки и формирование паравезикальных скоплений видят все, только при томографии с контрастным усилением сомнений нет, а значит и знаков вопроса в заключении - тоже.
Рак желчного пузыря может локализоваться везде. Если в области тела или дна - опухоль может расти долго, пока не проявится симптомом раздражения брюшины - прорастанием капсулы печени. А раки шейки растут в область общего печеночного протока. Пациент желтеет и только тогда его начинают обследовать.
Кто внимательно читал, не нашел ничего про… фарфор.
Фарфоровый желчный пузырь. Что это такое?
Он бывает, когда стенка пузыря кальцинируется при хроническом воспалении и действительно напоминает яичную скорлупу (почти как яйцо Фаберже). Но есть одно псевдоопухолевое состояние, которое очень напоминает опухоль внешне, но по сути - хроническое воспаление. Это ксантогранулематозный холецистит. Он страшно выглядит, но не смертелен. И здесь важна архивная база. С такими внешними проявлениями, или постепенно усиливающимися признаками, пациенты живут годами. Сравнив данные с результатами предыдущего исследования, можно понять его морфологию. Но чаще эту патологию устанавливают после холецистэктомии, по результатам морфологического исследования.
Холелитиаз
Предрасполагающими факторами являются повышенное содержание в желчи холестерина, нарушение содержания солей и фосфолипидов, застой и инфекция.
- Гемолитические заболевания: серповидноклеточная анемия, талассемия, наследственный сфероцитоз
- Холестаз: киста холедоха, болезнь Кароли, полное парентеральное питание, цирроз
- Нарушения метаболизма: ожирение, муковисцидоз, диабет, гиперлипидемия, беременность
- Кишечная мальабсорбция: болезнь Крона, бариатрическая хирургия, резекция подвздошной кишки
Генетика
- Семейная заболеваемость среди некоторых этнических групп: американские индейцы навахо, пима, чиппева.
Эпидемиология
- Наибольшая распространенность среди женщин с ожирением на пятом десятилетии жизни.
- У новорожденных редко, за исключением случаев предрасположенности, таких, как врожденная обструкция желчных протоков, обезвоживание, инфекция, гемолитическая анемия.
- У детей более старшего возраста сопутствует серповидноклеточной анемии, муковисцидозу, гемолитической анемии, болезни Крона.
Возраст
- Пик заболеваемости: пятое—шестое десятилетие жизни, увеличивается с возрастом
Пол

Патология
Макроскопические особенности
- 80% холестериновые камни, по определению содержащие > 50% холестерина
- 20% пигментированные камни, содержащие холестерин и кальция карбонат/билирубинат
- Пигментированные конкременты черного цвета встречаются при гемолитических расстройствах и циррозе
- Пигментированные конкременты коричневого цвета формируются при хронических бактериальных или паразитарных инфекциях, чаще в желчных протоках, чем в желчном пузыре
Микроскопические особенности
- Признаки острого/хронического воспаления стенки желчного пузыря различной степени выраженности.
Клинические проявления
Боли или дискомфорт в правом верхнем квадранте живота после приема жирной пищи.
Бессимптомная случайная находка при лучевом исследовании. Осложнения включают в себя острый или хронический холецистит, холедохолитиаз, холангит, панкреатит, желчнокаменную кишечную непроходимость и рак желчного пузыря.
Радиологические находки:
Ультразвуковое исследование (УЗИ):
- Высокоэхогенные структуры в просвете желчного пузыря дают интенсивную однородную акустическую тень.
- Подвижны, смещаются под действием гравитации.
- Ложноотрицательные результаты ультразвукового исследования: маленький сократившийся желчный пузырь, заполненный конкрементами, мелкие конкременты, эктопия/атипичное расположение желчного пузыря, пациент с ожирением/ неконтактный
Варианты УЗ‐картины
Скопление в ямке желчного пузыря ярких эхосигналов с акустической тенью, представляющих собой заполненный конкрементами желчный пузырь, может быть ошибочно принято за луковицу двенадцатиперстной кишки. Симптом двойной дуговой тени или симптом «стенка‐эхо‐ тень»: две эхогенных изогнутых линии, разделенные эхо‐прозрачной полосой (передняя стенка желчного пузыря, желчь, эхосигнал в виде изогнутой линии от конкремента, и тень позади него. Не отбрасывающие тени конкременты желчного пузыря (конкременты < 5 мм). Неподвижный фиксированный конкремент или неподвижный конкремент в шейке желчного пузыря.
Ксантогранулематозный холецистит
Редкое воспалительное заболевание желчного пузыря, Появляющееся фокальным или диффузным деструктивно-воспалительньщ процессом, обусловленное активностью макрофагов, содержащих избыточное количество липидов.
Патогенез (что происходит?) во время Ксантогранулематозного холецистита:
При микроскопии в стенке желчного пузыря определяются желтые образования Стенки пузыря, как правило, утолщены. В его просвете имеются холестериновые или смешанные конкременты.
Патогенез ксаитогранулематозного холецистита изучен недостаточно. Есть мнение, что воспаление является реакцией на экстравазацию компонентов желчи при разрыве синусоидов Рокитанского-Ашоффа. Образования желтого цвета, как правило, прорастают в соседние органы с формированием наружных или холецистодуоденальных свищей.
Симптомы Ксантогранулематозного холецистита:
Особенности клинических проявлений. Заболевание обычно проявляется приступами острого холецистита, после чего наблюдается клиника, характерная для хронического процесса: болевой синдром в правом подреберье с иррадиацией в правую лопатку, плечо. Болевой синдром сопровождается отрыжкой, тошнотой, рвотой, появлением горечи во рту. Нередко больных беспокоит преходящая или стойкая субфебрильная температура, сопровождающаяся познабливанием или выраженным ознобом.
При пальпации обнаруживается выраженная болезненность в правом подреберье и особенно в области проекции желчного пузыря. Иногда удается пропальпировать ридлеровскую долю печени. Часто оказываются положительными симптомы Ортнера, Кера, отмечаегся болезненность в зоне Шоффара. В ряде случаев удается пропальпировать увеличенный желчный пузырь.
Диагностика Ксантогранулематозного холецистита:
Особенности диагностики. Диагностика ксаитогранулематозного холецистита сложна Клинические проявления заболевания малоинформативны. Используют холангиографию, УЗИ, КТ, диагностическую лапароскопию. Часто характер процесса устанавливается лишь по данным морфологического исследования во время оперативного вмешательства. При наличии холецистодуоденальных свищей в диагностике может быть использована ФГДС.
Лечение Ксантогранулематозного холецистита:
Особенности лечения. При присоединении осложнений проводится оперативное лечение. Операцией выбора является холецистэктомия. При прорастании в соседние органы объем оперативного вмешательства существенно расширяется. Показано использование препаратов желчных кислот (УДХК), симптоматическое лечение.
Прогноз. Прогноз определяется выраженностью процесса. При распространении патологического процесса за пределы желчного пузыря прогноз серьезен.
К каким докторам следует обращаться если у Вас Ксантогранулематозный холецистит:
Вас что-то беспокоит? Вы хотите узнать более детальную информацию о Ксантогранулематозного холецистита, ее причинах, симптомах, методах лечения и профилактики, ходе течения болезни и соблюдении диеты после нее? Или же Вам необходим осмотр? Вы можете записаться на прием к доктору .
Во внутри- и внепеченочных желчных протоках первично встречаются коричневые пигментные камни, являющиеся в большинстве случаев следствием инвазивпых методов исследования и хирургического вмешательства на желчных путях. Камни, мигрирующие из желчного пузыря в холедох, как правило, холестериновые. Конкременты, образовавшиеся первично в желчных протоках, - чаще пигментные, включающие из билирубината кальция. Кроме того, холестериновые и черные камни желчного пузыря могут мигрировать в желчные протоки, вследствие чего у ряда пациентов (15 %) камни одновременно оказываются и в желчном пузыре, и в желчных протоках.
Распространенность. В 70-80 % случаев в желчных протоках обнаруживаются мигрировавшие холестериновые конкременты. В последние годы наблюдается рост заболеваемости холепитиазом на 40 %.
Симптомы Холелитиаза:
Особенности клинических проявлений. Важнейшим клиническим симптомом холелитиаза является желтуха, обусловленная обструкцией желчных протоков. Конкременты могут самопроизвольно поступать в кишечник, выделяясь с каловыми массами. Диаметр камня во многом обусловливает его миграцию: так, конкременты диаметром 0,7 см Способны выйти в пузырный проток, до 2,5 см - достичь подвздошной ищки. Расположение конкремента дистальнее вирсунгова протока провоцирует развитие билиарного панкреатита. Камни диаметром до 5 см способны обтурировать просвет подвздошной кишки. Часто наличие конкрементов желчных протоков не дает клинических проявлений в течение многих лет Характеристика болевого синдрома при наличии камней в желчных протоках аналогична таковой при ЖКБ Триада Шарко (перемежающаяся билиарная лихорадка Шарко), при которой отмечаются боли в правом верхнем квадранте живота и эпигаст-рии, появление механической желтухи после болевого синдрома гектической лихорадки (часто с температурными "свечами", ознобами обильным потоотделением), является классическим синдромом и наблюдается в 70 % случаев. Холангит при холедохолитиазе возникает чаще, чем при злокачественной обструкции желчных протоков.
К осложнениям данного состояния относятся закупорка желчного протока, холестаз, вторичный билиарный цирроз, холангит, сепсис, абсцессы печени, острый панкреатит, разрывы желчного протока и формирование свищей, гемобилия, кишечная непроходимость, обусловленная желчным конкрементом, холангиокарцинома. Обструктивная желтуха вследствие холедохолитиаза, как правило, сопровождается болевым синдромом. Желтуха, обусловленная опухолевым процессом в желчных протоках, чаще безболезненна. Клиническая картина холедохолитиаза может проявляться симптомами инфекции. У больных с холан-гиогенным сепсисом наблюдаются лихорадка, лейкоцитоз, ознобы.
Диагностика Холелитиаза:
Особенности диагностики. Диагностика холедохолитиаза достаточно сложна. В случае "немых" конкрементов желчных протоков лабораторные показатели практически не изменяются, в отличие от ситуаций, характеризующихся закупоркой желчных протоков с развитием восходящего холангита. При этом наблюдается повышение активности сывороточных аминотрансфераз (АлАТ, АсАТ) и ферментов холестаза (щелочная фосфатаза, у-глутамилтранспептидаза). При наличии признаков воспаления необходим посев крови. Наиболее частые этиопатогенетические факторы - энтерококки, кишечные грамотрицательные бактерии. УЗИ желчных протоков информативно лишь в 20-50 % случаев, что может быть обусловлено плотным прилеганием конкрементов к стенке желчного пузыря и их несмещаемостью. К1 имеет большую разрешающую способность визуализации камней холедоха, чем УЗИ. При использовании КТ следует избегать первоначального применения пероральных контрастных веществ, поскольК) они могут замаскировать камни в дистальном отделе протока Конкре менты внутрипеченочных желчных протоков визуализируются лучш по сравнению с конкрементами внепеченочных желчных протоко Кальцификаты паренхимы печени могут лоцироваться в любом участвке: камни размером от 1-2 мм до 1,5 см могут образовывать скопления повышенной эхогенности с нечеткими контурами, часто оставляющие акустическую тень. Рядом с камнем видны эхонегативная дорожка й расширенный участок протока. Иногда вследствие перифокального воспаления вокруг камня или их скопления лоцируется эхонегативныи ореол, который в процессе лечения может исчезать.
Информативными методами диагностики являются пероральная и внутривенная холеграфия, а также чрескожная чреспеченочная холангиография. Магнитно-резонансная холангиопанкреатикография (МРХПГ) считается одним из наиболее информативных методов, так как камни желчных протоков визуализируются в 100 % случаев, однако данное исследование уступает эндоскопической ретроградной холангиопанкреатографии (ЭРХПГ), которую можно проводить не только с диагностической, но и с лечебной целью. Эндоскопическое УЗИ (ЭУЗИ) по диагностической значимости при холедохолитиазе сопоставимо с ЭРХПГ, УЗИ и КТ, как правило, выявляют расширение желчных протоков, но отсутствие этого признака не исключает наличие холедохолитиаза. Основное ограничение УЗИ - недостаточная визуализация дистального отдела холедоха. Указанные методы обеспечивают нужную визуализацию при расширенном холедохе. Магнитно-резонансное гепатобилиарное сканирование в данной ситуации обладает большей разрешающей способностью.
Лечение Холелитиаза:
Лечение холелитиаза:
В лечении заболевания применяются ЭРХПГ с последующей механической литотрипсией и удалением камня (при конкрементах внепеченочных протоков); чрескожная экстракция камней (при конкрементах внутрипеченочных протоков); экстракорпоральная ударно-волновая литотрипсия (ЭУВЛТ) при наличии ущемленных камней; электрогидравлическая, лазерная, ультразвуковая литотрипсия (при больших размерах конкрементов и ущемленных камнях), литолиз (в случае массивного внутрипеченочного поражения), хирургическое лечение (при неэффективности вышеуказанных методов лечения). Эндоскопическая сфинктеротомия по сравнению с холе-Цистэктомией имеет ряд преимуществ, к которым можно отнести более короткий послеоперационный период, меньшую травматичность, меньшее число осложнений и летальных исходов. Эндоскопическая сфинктеротомия и удаление камней дают возможность освободить желчные протоки от конкрементов у 90 % больных. Осложнениями ЭРХПГ и сфинктеротомии являются панкреатит, кровотечения, перфорация, Инфекция. При удалении крупных конкрементов из холедоха чаще используются механическая, ударно-волновая, электрогидравлическая и лазерная литотрипсия. Существует мнение, что пероральная литолитическая терапия с применением препаратов желчных кислот малоэффективна у больных с холедохолитиазом без сфинктеротомии и наложения стента. В настоящее время установлено, что ЭРХПГ показана больным с высокой вероятностью холедохолитиаза (изменение печеночных функциональных тестов, расширение холедоха по данным УЗИ или КТ, наличие конкрементов в холедохе). В качестве дополнительных мероприятий, сопутствующих основному лечению, назначают анальгетики, антибактериальную терапию и дренирование желчных протоков.
Прогноз. При небольших размерах камней и при своевременном оперативном лечении прогноз благоприятный.
К каким докторам следует обращаться если у Вас Холелитиаз:
Вас что-то беспокоит? Вы хотите узнать более детальную информацию о Холелитиаза, ее причинах, симптомах, методах лечения и профилактики, ходе течения болезни и соблюдении диеты после нее? Или же Вам необходим осмотр? Вы можете записаться на прием к доктору .
Желчный пузырь
Утолщение стенки желчного пузыря является диагностическим признаком, который встречается максимально часто при диагностике болезней желчного пузыря. Исторически так сложилось, что при утолщении стенки желчного пузыря врачи в первую очередь врачи думают о первичном заболевания желчного пузыря, а именно остром холецистите. В данной статье хотелось бы разобрать, какие патологические состояния приводят к утолщению стенки желчного пузыря так, как помимо воспалительных заболеваний желчного пузыря существует другие патологии, приводящие к тому же патоморфологическому признаку, как утолщение стенки желчного пузыря.

Схематичная патология. На данном рисунке продемонстрирован растянутый и гиперемичный желчный пузырь. Данные изменения встречаются при калькулезном холецистите, обусловленные обструкцией камнем желчного протока или шейки желчного пузыря.
УЗИ признаки калькулезного холецистита.
При помощи УЗИ, МРТ и КТ всегда возможно различить нормальную стенку желчного пузыря от утолщенной. Традиционно, УЗИ используется в качестве первого метода исследования при заболеваниях желчного пузыря так, как данный метод обладает высокой чувствительностью и специфичностью при обнаружении камней желчного пузыря. Также к достоинствам УЗИ относится:
- возможность оценки в реальном времени.
- дешевый метод.
- быстрый в выполнении.
- нет лучевой нагрузки.
Однако, компьютерная томография стала популярным методом при диагностике пациентов с симптомами острого живота. При остром животе КТ является первым методом исследования желчного пузыря во многих хирургических клиниках. Также КТ используют, как дополнительный метод исследования, если на УЗИ не выявили патологию или возникли какие-либо сомнения.
У МРТ также высокая диагностическая ценность при визуализации патологии желчного пузыря, но в связи с дороговизной метода и долгим временем выполнения диагностики, используют редко.
В норме стенки желчного пузыря на УЗИ визуализируется следующим образом:
- слизистой слой — гиперэхогенный.
- мышечный слой — гипоэхогенный.
- наружный или серозный слой — гиперэхогенный.
Толщина стенки желчного пузыря зависит от того насколько растянут желчный пузырь. Также толщина желчного пузыря увеличивается при следующих патологиях:
- холецистит.
- цирроз печени.
- асцит.
- острый вирусный гепатит.
- гипопротеинемия.
- злокачественное новообразование.
- правожелудочковая недостаточность.

Сверху: УЗИ желчного пузыря стенка норма в виде «карандаша». Справа УЗИ картина псевдо-утолщения стенки желчного пузыря.
На КТ желчный пузырь в норме визуализируется, как образование с плотностью присущей мягким тканям. Указано стрелкой.
Утолщение стенки желчного пузыря — это частая диагностическая находка. Утолщением является размер стенки более 3 мм. При УЗИ утолщенная стенка имеет слоистый внешний вид, а на КТ выявляется гиподенсный слой, что соответствует субсерозному отеку.

Слева — УЗИ — желчного пузыря у 59 летней женщины с острым холециститом. Субсерозный отек так, как гипоэхогенное утолщение между гиперэхогенными слоями (мышечным и слизистым). Справа — КТ брюшной полости с контрастным усилением. Также визуализируется субсерозный отек так, как наружный слой гиподенсный.

Острый холецистит стоит на четвертом месте среди заболеваний брюшной полости, требующих немедленной госпитализации. Если на УЗИ у пациентов, поступивших с острым животом, визуализируется утолщение стенки желчного пузыря, то первое о чем думают радиологи — это острый холецистит. Для постановки диагноза холецистита должны присутствовать также следующие признаки, как на УЗИ, так и на КТ:
- Дилатация желчного пузыря.
- Камни.
- Положительный симптом Мерфи при надавливании ультразвуковым датчиком в область желчного пузыря.
- Гиперемия стенки желчного пузыря в режиме Допплер.
- Воспалительный процесс в жировой клетчатке, окружающая желчный пузырь.

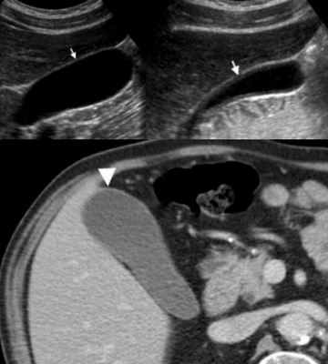
Острый калькулезный холецистит. После контрастного усиления визуализируется растянутый желчный пузырь (белые наконечники) со слегка утолщенной стенкой. Визуализируется камень в шейки желчного пузыря (белая стрелка).

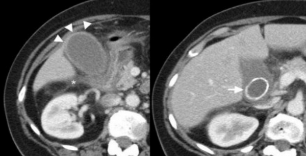
Сверху изображения пациента 62 лет с калькулезным холециститом. На УЗИ визуализируется стенки желчного пузыря растянутые, с субсерозным отеком (указано белыми стрелками) и в просвете желчного пузыря камень и взвесь. На КТ визуализируется переход воспалительного процесса с желчного пузыря на соседние ткани (перихолецистит).
УЗИ некалькулезный холецистит.
Острый бескаменный холецистит возникает у пациентов во время поста, а также у пациентов, которые принимают лекарства, вызывающие холестаз. К признакам некалькулезного холецистита относятся все признаки острого калькулезного холецистита кроме наличия камней в просвете желчного пузыря, но при этом взвесь обычно присутствует.

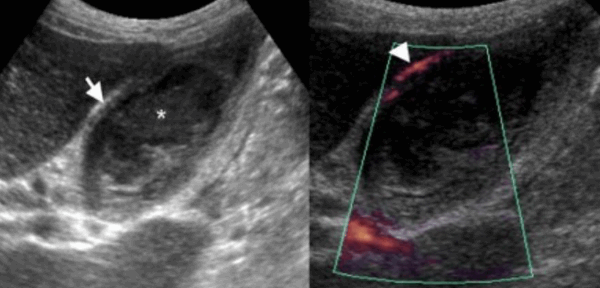
74 — летнему мужчине выполнено УЗИ желчного пузыря. Диагноз: острый некалькулезный холецистит. На левой сонограмме стрелкой указано утолщение стенок желчного пузыря. В просвете желчного пузыря взвесь. На правой сонограмме у того же пациента при исследовании в доплеровском режиме выявлен еще один признак воспаления — гиперемия.
УЗИ хронических холецистит
Термин хронического холецистита используют для обозначения вялотекущего воспалительного процесса с фиброзированием стенки желчного пузыря и образованием в просвете камней.

Представлен больной с хроническими болями в правом подреберье, который ежедневно воздерживался от еды с вечера. Утолщение слабо выраженное и не является физиологическим. Также визуализируются обструкция и камень. После УЗИ данному больному был поставлен диагноз — хронический холецистит.
Ксантогранулематозный холецистит.
Ксантогранулематозный холецистит — это воспалительное заболевание, характеризующаяся тем, что в стенке желчного пузыря образуются ксантомы и гранулемы. При исследовании выявляют утолщение стенки желчного пузыря, уменьшение органа в размере, а также интрамуральные узелки, которые визуализируются, как гипоэхогенные включения на УЗИ и гиподенсные на компьютерной томограмме. Данные включения схожи с включениями при карциноме желчного пузыря.

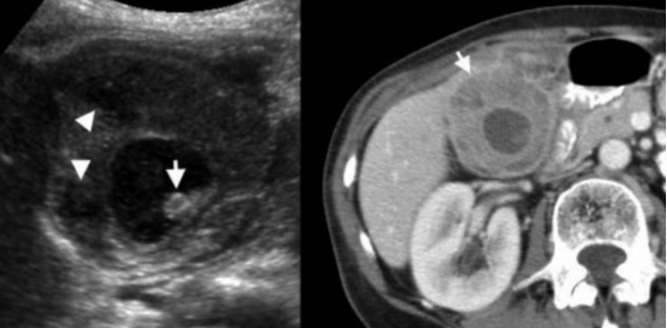
УЗИ и КТ желчного пузыря. Ксантогранулематозный холецистит. Слева на УЗИ визуализируется (помечено стрелками) утолщение стенки желчного пузыря с интрамуральным включением и с камнем в просвете органа. Справа на КТ выявляется утолщение стенки с гиподенсными включениями.

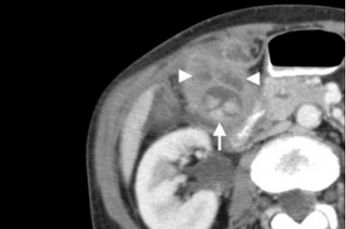
Выше представлено КТ пациента 71 года с ксантогранулематозным холециститом. Постконтрастное КТ. Визуализируется утолщение стенки желчного пузыря с включениями, которые соответствуют абсцессу или фокусам воспаления.
КТ желчного пузыря/Рак желчного пузыря
Наиболее часто встречаемый рак желчного пузыря является карцинома. Карцинома желчного пузыря занимает пятое место по частоте встречаемости среди раков желудочно-кишечного тракта. Чаще его обнаруживают случайно (в 2% случаях) при гистологической проверке после холецистэктомии. Карцинома желчного пузыря выявляется на последних стадиях заболевания так, как себя не проявляет клинически на ранних. Специфических признаков при карциноме желчного пузыря также нет. Рак может поражать желчный пузырь диффузно, целиком стенку или пристеночно. Карцинома желчного пузыря имеет схожую картину с ксантогрануломатозным холециститом, но при постановке диагноза радиологу помогают такие находки:
- Прорастание в соседние органы.
- Вторичная дилатация желчных протоков.
- Метастазирование в печень или лимфатические узлы.

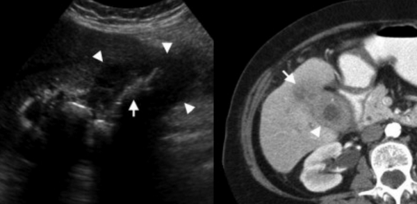
УЗИ (слева) и КТ (справа) желчного пузыря. На УЗИ ярко выраженное утолщение стенки желчного пузыря (указаны белыми стрелками). Множественные камни в просвете желчного пузыря (указано стрелкой). Компьютерная томография с контрастным усилением. На КТ визуализируются утолщение стенки с внутристеночными гиподенсными включениями. На КТ также выявлено, что процесс распространился на печень (указано стрелкой).
Читайте также:
- Этапы и техника операции при нагноении ногтевого валика (паронихии)
- Регуляция функции желез пищеварительного тракта. Нервная регуляция секреции желез
- Рекомендации по анализу рентгенограммы таза в ПЗ проекции в позе лягушки (модифицированный метод Кливза)
- Лучевые признаки лимфангиолейомиоматоза легких
- Диагностика ангиоцентрической глиомы по КТ, МРТ
