Диагностика ангиоцентрической глиомы по КТ, МРТ
Добавил пользователь Евгений Кузнецов Обновлено: 02.11.2025
Менингиомы являются наиболее часто обнаруживаемыми внутричерепными опухолями. Они представляют собой примерно 38% всех внутричерепных опухолей у женщин и 20% — у мужчин. Они чаще встречаются у женщин, чем у мужчин, и обычно диагностируются у лиц старше 30 лет.
Развитие методов визуализации, таких как компьютерная томография (КТ) и магнитно-резонансная томография (МРТ) улучшило возможности предварительной оценки успеха операционного лечения, то есть полного удаления опухоли. Методы визуализации позволяют получить информацию о месте прикрепления опухоли к твердой мозговой оболочке, локализации и тяжести отека, смещении жизненно важных нейро-сосудистых структур, что требуется для планирования оперативного лечения, а также определяет исход лечения.
Сделать МРТ головного мозга в Санкт-Петербурге
Всемирная организация здравоохранения (ВОЗ) подразделяет менингиомы на 3 большие категории, включающие 15 подтипов:
Нейрорадиологи и нейрохирурги должны быть готовы к тому, что иногда выглядят на КТ и МРТ нетипичным образом, что может быть связано с различными гистологическими подтипами опухоли.
Атипичные и злокачественные гистологические типы опухолей, а также опухоли с гетерогенным характером контрастирования на КТ отличаются большей вероятностью рецидивирования. Развиваются из паутинной мозговой оболочки, в частности, из менинготелиальных клеток. Большинство растут в сторону мозговой ткани и представляют собой отграниченные образования округлой или дольчатой формы, четкого контура и с основанием на твердой мозговой оболочке. Плоские опухоли, т.н. en plaque , инфильтрируют твердую мозговую оболочку и растут в виде тонкого листа или бляшки на протяжении твердой мозговой оболочки свода черепа, серпа или намета мозжечка. Место прикрепления к твердой мозговой оболочке может выглядеть в виде относительно тонкой ножки или, наоборот, широкого основания. Поскольку мягкая и паутинная мозговые оболочки формируют мембранный барьер между опухолью и тканью головного мозга, некоторые растут в сторону подпаутинного пространства, но инвазивный рост в ткань головного мозга наблюдается нечасто.
Диагностика менингиомы
МРТ считается предпочтительным методом исследования для диагностики менингиом и их последующего наблюдения. МРТ позволяет с большой точностью обнаружить менингиомы типа en plaque или задней черепной ямки, которые легко пропустить при КТ. Исторически у КТ есть ряд ограничений в осуществлении снимков в любых других проекциях, кроме аксиальной. Тем не менее, современная спиральная КТ, или мультидетекторная КТ (МДКТ/МСКТ), позволяют значительно улучшить качество сагиттальных и корональных изображений, получаемых на основании аксиального снимка. По сравнению с МРТ, на КТ труднее различить различные варианты строения мягких тканей.

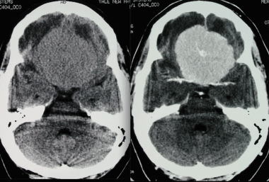
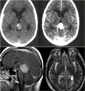
Менингиома лобной доли: КТ-картина. После введения контрастного вещества виден характерный вид «колеса со спицами» в структуре слабо контрастируемой опухоли. Несмотря на то, что данный паттерн чаще наблюдается при ангиографии, он также отмечается на томографических изображениях.

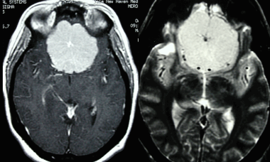
МРТ того же пациента, выполненная после предыдущей КТ: аксиальное Т1-взвешенное изображение после введения гадолиния и аксиальное Т2-взвешенное изображение. Видна крупная менингиома лобной области, расположенная срединно, со специфическим паттерном «колеса со спицами».
Дифференциальный диагноз в случае менингиомы головного мозга проводится с метастазами в твердую мозговую оболочку (чаще всего первичными очагами опухоли являются рак груди или простаты), гемангиоперицитомой, гранулематозными заболеваниями (в т.ч. саркоидозом и туберкулезом), идиопатическим гипертрофическим пахименингитом, экстрамедуллярным гемопоэзом, гемангиомой, а также венозными синусами или синусами твердой мозговой оболочки. Иногда различить указанные состояния сложно, в таких случаях рекомендуется повторный профессиональный анализ КТ или МРТ. При специфической анатомической локализации опухоли во внимание следует принимать и другие возможные диагнозы, включающие вестибулярную шванному для опухолей мозжечково-мостового угла, макроаденому гипофиза и краниофарингиому для опухолей параселлярной области, хордому/хордосаркому для объемных образований в области ската.
Рентгенография при менингиоме
В большинстве случаев обзорная рентгенография черепа не обладает диагностической ценностью, поскольку не позволяет получить никаких данных, которые могли бы указывать на наличие менингиомы. Иногда могут отмечаться кальцифицированные участки или зоны реактивного гиперостоза. В редких случаях могут быть видны участки остеолиза.

8. На рентгеновском снимке во фронтальной плоскости хорошо заметно кальцифицированное образование в области лобной пазухи. На снимке в латеральной проекции образование визуализируется кверху от решетчатой пластинки. Несмотря на то, что по результатам исследования можно заподозрить, обнаруженные признаки неспецифичны, и поэтому обнаруженное внутричерепное образование требует дообследования при помощи КТ.
Большинство рентгеновских снимков не отображают признаков наличия заболевания. Менингиомы типа en plaque характеризуются диффузным гиперостозом, чаще в области крыла клиновидной кости и птериона. Такие результаты исследования с большой долей вероятности свидетельствуют о наличии
болезни.
Кальцинаты внутри опухоли являются значительно более редким рентгенографическим проявлением менингиомы; это зачастую приводит к ложно-отрицательным результатам. Большинству пациентов не проводится рентгенографическое исследование, поскольку диагноз был подтвержден при помощи КТ или МРТ.
КТ при менингиоме
Компьютерная томография (КТ) часто используется для оценки опухолей мозга. Обычно на изображении без контрастного усиления она представлена в виде четко очерченного внемозгового (экстрааксиального) образования с ровными краями, прилегающего к твердой мозговой оболочке. Примерно 70-75% обладают повышенной плотностью по сравнению с окружающей их паренхимой головного мозга, а около 25% — изоденсивны. Редкая группа опухолей (липобластный подтип) содержат включения жира и, таким образом, характеризуются пониженной рентгеновской плотностью.
Сделать КТ головного мозга в Санкт-Петербурге
Кальцинаты являются другой частой находкой; их обнаруживают в 20-25% случаев. Кальцинаты на КТ могут быть узловыми, точечными или сплошными плотными. Часто наблюдается вазогенный паренхиматозный отек окружающей мозговойо ткани, визуализирующийся на снимке как участок паренхимы пониженной плотности. В некоторых случаях отек настолько выражен, что, ввиду преимущественного поражения белого вещества, может выглядеть в виде пальцевидных зон низкой плотности. Впрочем, отек отсутствует примерно в 50% случаев вследствие медленного роста опухоли.

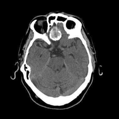
Псаммоматозная менингиома. КТ-исследование кальцифицированного объемного образования, обнаруженного на рентгеновском снимке. На томограмме, полученной на уровне верхней границы орбит, видна опухоль в области решетчатой пластинки (в области ольфакторной ямки).
Преимуществом КТ над МРТ является лучшая визуализация костной ткани. Гиперостоз подлежащей кости отмечается у 15-20% пациентов. Также можно обнаружить бо́льшую выраженность сосудистых борозд и нерегулярность строения компактного вещества коркового слоя кости. Реже в образовании отмечаются кровоизлияния, образование кист и участки некроза. Кисты как компонент менингиомы могут возникать внутри опухоли или между опухолью и подлежащей тканью головного мозга (с препятствием оттоку спинно-мозговой жидкости).

Менингиома теменно-затылочной области: объемная 3D-реконструкция.
Внутривенное введение контраста помогает в оценке менингиомы: в более 90% случаев наблюдается интенсивное равномерное повышение плотности после введения контраста.
Неоднородный характер контрастирования может быть следствием некроза или, реже, кровоизлияния.

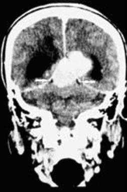
З адняя тенториальная менингиома на корональном КТ-изображении с контрастным усилением. К намету мозжечка прилежит объемное образование повышенной плотности с четкими краями. Визуализируются застой спинно-мозговой жидкости, легкий отек прилежащих тканей, гомогенный характер контрастирования, а также расширение желудочков.
Примерно 90% менингиом видны на КТ-изображениях. Основная роль КТ, по сравнению с МРТ, заключается в отображении изменений в подлежащих костях и наличия кальцинатов в опухоли.
Нетипичная КТ-картина является основной причиной ошибок в предоперационной постановке диагноза. Так, могут быть пропущены менингиомы задней черепной ямки . Кроме этого, КТ не в состоянии отобразить наличие кист во внутричерепных менингиомах. Ложно-отрицательные результаты могут быть получены при наличии кистозных образований в менингиомах головного мозга. К ложно-положительным результатам могут приводить обширные зоны отложения кальция в твердой мозговой оболочке, которые могут имитировать заболевание. Снизить число ошибок, обусловленных человеческим фактором, помогает второе мнение.

Анапластическая менингиома лобной доли. Н а КТ-изображении в режиме мозгового окна и костного окна Хаунсфильда видна крупная внутрикостная менингиома. Обнаруживаемые КТ-феномены неспецифичны и могут включать различные изменения от остеолиза до остеосклероза. Внутрикостные менингиомы составляют менее 1% опухолей костной ткани.
МРТ при менингиомах
МРТ с использованием гадолиния является наилучшим способом визуальной оценки менингиом. Важными преимуществами МРТ в диагностике менингиом являются хорошая визуализация разных типов мягкой ткани, возможность получения изображений в разных плоскостях, а также реконструкции объемного (3 D ) изображения.
МРТ также хорошо демонстрирует васкуляризацию опухоли, прорастание артерий и инвазию опухоли в венозные синусы, а также взаимное расположение опухоли и подлежащих структур. Особенно полезной МРТ с гадолинием оказывается для отображения структур параселлярного пространства, задней черепной ямки, и, в редких случаях, опухолевых отсевов по путям оттока спинномозговой жидкости. Возможность получения изображений в разных плоскостях позволяет наилучшим образом визуализировать зону контакта менингиомы с мозговыми оболочками, капсулу опухоли, а также выявить особенности контрастирования мозговых оболочек в участках, непосредственно прилежащих к опухоли.

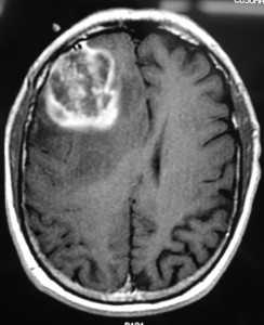
Фалькс-менингиома на МРТ.
А: на Т1-взвешенном МР-изображении отмечается солидное образование, характеризующееся изоинтенсивностью по отношению к твердой мозговой оболочке, инвазией в кость и сдавлением теменных зон коры.
В: На Т1-взвешенном МР-изображении с контрастным усилением видна частично контрастируемая опухоль.
С: На корональном Т2-взвешенном изображении видно изоинтенсивное образование, что соответствует плотной ткани. Такая картина характерна для фибробластных менингиом.
D : На Т1-взвешенном МР-изображении с контрастным усилением визуализируется гиперинтенсивное образование внутри мозгового вещества кости.
На Т2-взвешенных изображениях, полученных без контрастного усиления, интенсивность сигнала в большинстве случаев не отличается от таковой серого вещества коры. Фиброматозные менингиомы могут иметь более гипоинтенсивный сигнал по сравнению с корой головного мозга. Т1-взвешенные изображения могут использоваться для оценки наличия некроза и кист, а также следов кровоизлияний в опухоль. На Т2-взвешенных изображениях интенсивность сигнала варьируется. Т2-взвешенные изображения тоже могут быть использованы для обнаружения последствий кровоизлияний в опухоль и визуализации кистозных образований. Кроме этого, Т2-взвешенная ИП используется для определения наличия кармана между опухолью и паренхимой головного мозга с затеканием СМЖ, что свидетельствует об экстрааксиальном расположении образования.
Гиперинтенсивность сигнала на Т2-взвешенных изображениях указывает на мягкотканую структуру опухоли и ее обильную капиллярную васкуляризацию. Это более характерно для агрессивных ангиобластных или менинготелиальных опухолей. Интенсивность сигнала на Т2-взвешенных изображениях хорошо коррелирует как с гистологическим строением, так и с консистенцией менингиомы. В целом, участки пониженной интенсивности в опухоли соответствуют более плотной, фиброзной, структуре образования (например, в случае фибробластных менингиом), в то время как гиперинтенсивные участки указывают на более мягкотканую структуру опухоли (например, в случае ангиобластной менингиомы).
А: на МР-ангиограмме в латеральной проекции отмечается окклюзия верхнего сагиттального синуса вследствие опухолевой инвазии.
В: МРТ-реконструкция изображения визуализирует окклюзию сагиттального венозного синуса и объемный характер опухоли.
Последовательность FLAIR (режим инверсия-восстановление с подавлением сигнала от воды) удобно использовать для визуализации сопутствующего отека, а также т.н. «дурального хвоста». Дуральный хвост представляет собой линейный участок контрастного усиления, соответствующей непосредственно прилежащей к опухоли твердой мозговой оболочке. Дуральный хвост наблюдается примерно в 65%, а также в 15% случаев при других опухолях. Несмотря на то, что данный признак не является специфичным, при его наличии такой диагноз становится одним из наиболее вероятных.
Как при МРТ, так и при КТ одинаково отвечают на введение контрастного вещества. Интенсивное контрастирование гадолинием наблюдается в более 85% случаев. Кольцевое распределение контраста может соответствовать капсуле образования. Использование гадолиния также улучшает визуализацию плоских менингиом типа en plaque , которые могут быть не видны на изображениях без контрастного усиления.

Парасагиттальная менингиома на МРТ с контрастным усилением. Видно гомогенное округлое образование, активно накапливающее контрастное вещество.

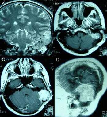
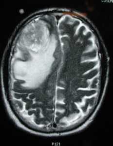
Менингиома височной области. На серии последовательных МР-изображений видно крупное образование правой височной области с паттерном контрастирования по типу «колеса со спицами», местным объемным воздействием, отеком окружающих тканей и гиперостозом подлежащей кости.

Атипичная с деструкцией пирамиды височной кости. На корональном Т2-взвешенном и контрастированном Т1-взвешенном МР-изображении виден быстрый рост конвекситального объемного образования в сторону намета мозжечка и пирамиды височной кости.

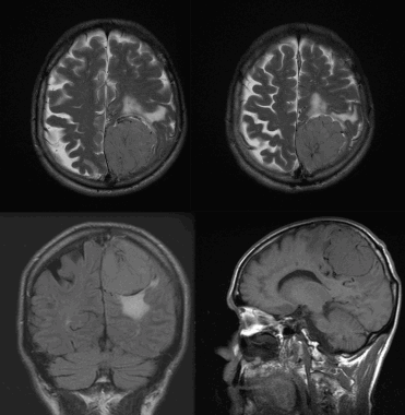
Менингиома теменной области. МР-изображения, полученные с использованием следующих последовательностей: аксиальное Т2-взвешенное, аксиальное Т2-взвешенное, корональное FLAIR -изображение и сагиттальное Т1-изображение. Крупная левосторонняя менингиома выглядит в виде экстрааксиального образования с паттерном «колеса со спицами» и отеком окружающих тканей.
ДОПОЛНИТЕЛЬНЫЕ ТЕХНИКИ КТ И МРТ
Разные гистологические подтипы по-разному выглядят на МРТ, но лишь на основании данных МРТ нельзя поставить морфологический диагноз.
Большинство легко диагностировать при помощи стандартной МРТ. Впрочем, атипичная МР-картина может вызывать сомнения в диагнозе.
Проводились исследования роли МР-спектроскопии и других имитирующих состояний. Исследования показали стабильно повышенные уровни аланина, холина, глутамат-глутаминового комплекса и пониженные уровни N -ацетиласпартата и креатина. В особенности обращало на себя внимание повышение величины химического сдвига: в случае глутамина до 3,8 и аланина до 1,48. Диагностическая ценность уровня липидов и лактата, хоть они и соответствовали таковым при злокачественных глиомах или метастазах, в случае менингиом остается противоречивой. Также было показано, что для менингиом характерен низкий уровень миоинозитола и креатина.
МР-спектроскопия с использованием фосфора-31 демонстрирует характерную щелочную среду и низкие уровни фосфокреатина и фосфодиэстераз.
Были сделаны различные выводы касательно роли диффузионно-взвешенной МРТ. Измеряемый коэффициент диффузии (ИКД) для высокодифференцированных опухолей обычно оказывался ниже по сравнению с окружающей тканью головного мозга. Некоторые исследования показали схожую тенденцию в случае менингиом, но по данным других исследований значения ИКД для 1-й и 2-й степеней злокачественности статистически достоверно не различались.

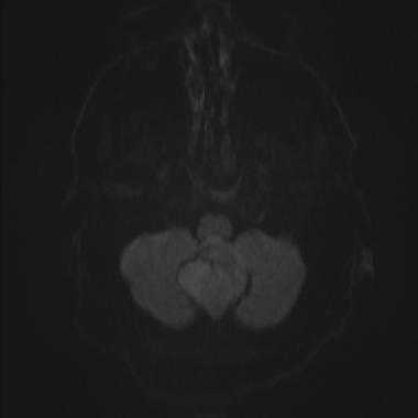
Менингиома задней черепной ямки: диффузионно-взвешенное МР-изображение (DWI). Сигнал умеренно повышен, что соответствует умеренному ограничению диффузии.
По результатам изучения роли перфузионно-взвешенной МРТ также был сделан ряд выводов. Гиперваскуляризированным менингиомам обычно характерен повышенный уровень перфузии. Также была оценено значение перфузионно-взвешенной МРТ в определении подтипа менингиомы и в постоперационном динамическом наблюдении.
Использование контрастных веществ на основе гадолиния сопряжено с развитием нефрогенного системного фиброза (НСФ) или нефрогенной фиброзирующей дермопатии (НФД). Заболевание развивалось у пациентов с хронической болезнью почек в стадиях от умеренной до терминальной после введения контрастного вещества на основе гадолиния для проведения МРТ или МРА.
Было показано, что значение измеряемого коэффициента диффузии (ИКД), равное 0,85, при использовании диффузионно-взвешенной МРТ позволяет отдифференцировать менингиому 1-й степени злокачественности от опухолей 2-й и 3-й степеней злокачественности. В исследовании на 389 пациентах 1-я степень злокачественности по ВОЗ была диагностирована в 271 случае (69,7%), 2-я степень - в 103 случаях (26,5%), 3-я степень - у 15 больных (3,9%).
В целом, чувствительность и специфичность МРТ в случае менингиом довольно высоки. Доказано, что МРТ лучше отображает саму опухоль и ее расположение относительно окружающих структур. Впрочем, использование МРТ не позволяет достоверно определить наличие кальцинатов в опухоли; также затруднительным представляется визуализация свежего кровозлияния.
Также должна учитываться возможность ложно-отрицательных данных о кальцинатах в опухоли. Трудности отображения свежих кровоизлияний в опухоль являются недостатком МРТ и могут привести к ошибочным результатам исследования.
Глиома головного мозга
Глиома головного мозга — наиболее распространенная опухоль головного мозга, берущая свое начало из различных клеток глии. Клинические проявления глиомы зависят от ее расположения и могут включать головную боль, тошноту, вестибулярную атаксию, расстройство зрения, парезы и параличи, дизартрию, нарушения чувствительности, судорожные приступы и пр. Глиома головного мозга диагностируется по результатам МРТ головного мозга и морфологического исследования опухолевых тканей. Вспомогательное значение имеет проведение Эхо-ЭГ, ЭЭГ, ангиографии сосудов головного мозга, ЭЭГ, офтальмоскопии, исследования цереброспинальной жидкости, ПЭТ и сцинтиграфии. Общепринятыми способами лечения в отношении глиомы головного мозга являются хирургическое удаление, лучевая терапия, стереотаксическая радиохирургия и химиотерапия.
МКБ-10

Общие сведения
Глиома головного мозга встречается в 60% случаев опухолей головного мозга. Название «глиома» связано с тем, что опухоль развивается из глиальной ткани, окружающей нейроны головного мозга и обеспечивающей их нормальное функционирование. Глиома головного мозга представляет собой в основном первичную внутримозговую опухоль полушарий мозга. Она имеет вид розоватого, серовато-белого, реже темно-красного узла с нечеткими очертаниями. Глиома головного мозга может локализоваться в стенке желудочка мозга или в области хиазмы (глиома хиазмы). В более редких случаях глиома располагается в нервных стволах (например, глиома зрительного нерва). Прорастание глиомы головного мозга в мозговые оболочки или кости черепа наблюдается лишь в исключительных случаях.
Глиома головного мозга часто имеет округлую или веретенообразную форму, ее размер колеблется от 2-3 мм в диаметре до величины крупного яблока. В подавляющем большинстве случаев глиома головного мозга отличается медленным ростом и отсутствием метастазирования. Однако при этом она характеризуется настолько выраженным инфильтративным ростом, что границу опухоли и здоровых тканей не всегда удается найти даже при помощи микроскопа. Как правило, глиома головного мозга сопровождается дегенерацией окружающих ее нервных тканей, что зачастую приводит к несоответствию выраженности неврологического дефицита размерам опухоли.
Классификация
В соответствии с классификацией ВОЗ выделяют 4 степени злокачественности глиом головного мозга.
- К I степени относится доброкачественная медленно растущая глиома (ювенильная астроцитома, плеоморфная ксантоастроцитома, гигантоклеточная астроцитома).
- Глиома II степени злокачественности считается «пограничной». Она отличаются медленным ростом и имеет только 1 признак злокачественности, в основном клеточную атипию. Однако такая глиома может трансформироваться в глиому III и IV степени злокачественности.
- При III степени злокачественности глиома головного мозга имеет 2 из трех признаков: фигуры митозов, ядерную атипию или микропролиферацию эндотелия.
- Глиома IV степени злокачественности отличается наличием области некроза (мультиформная глиобластома).
По месту расположения глиомы классифицируются на супратенториальные и субтенториальные, т. е. находящиеся выше и ниже намета мозжечка.
Симптомы глиомы головного мозга
Подобно другим объемным образованиям глиома головного мозга может иметь разнообразные клинические проявления, зависящие от ее расположения. Чаще всего у пациентов наблюдается общемозговая симптоматика: некупируемые обычными средствами головные боли, сопровождающиеся ощущением тяжести в глазных яблоках, тошнотой и рвотой, иногда судорожными приступами. Наибольшей выраженности эти проявления достигают, если глиома головного мозга прорастает в желудочки и ликворные пути. При этом она нарушает циркуляцию цереброспинальной жидкости и ее отток, приводя к развитию гидроцефалии с повышением внутричерепного давления.
Среди очаговых симптомов глиомы головного мозга могут наблюдаться нарушения зрения, вестибулярная атаксия (системное головокружение, шаткость при ходьбе), расстройство речи, понижение мышечной силы с развитием парезов и параличей, снижение глубоких и поверхностных видов чувствительности, психические отклонения (нарушения поведения, расстройство мышления и различных видов памяти).
Диагностика
Процесс диагностики начинается с опроса пациента по поводу его жалоб и последовательности их возникновения. Неврологический осмотр при глиоме головного мозга позволяет выявить существующие нарушения чувствительности и расстройства координации, оценить мышечную силу и тонус, проверить состояние рефлексов и т. п. Отдельное внимание уделяют анализу состояния мнестической и психической сферы пациента.
Провести оценку состояния нервно-мышечного аппарата неврологу помогают такие инструментальные методы исследования как электронейрография и электромиография. Для выявления гидроцефалии и смещения серединных мозговых структур может применяться эхоэнцефалография. Если глиома головного мозга сопровождается зрительными нарушениями, то показана консультация офтальмолога и комплексное офтальмологическое обследование, включающее визиометрию, периметрию, офтальмоскопию и исследование конвергенции. При наличии судорожного синдрома проводится ЭЭГ.
Наиболее приемлемым способом диагностики глиомы головного мозга на сегодняшний день является МРТ головного мозга. При невозможности ее проведения может применяться МСКТ или КТ головного мозга, контрастная ангиография мозговых сосудов, сцинтиграфия. ПЭТ головного мозга дает сведения о метаболических процессах, по которым можно судить о скорости роста и агрессивности опухоли. Кроме того, с диагностической целью возможно проведение люмбальной пункции. При глиоме головного мозга анализ полученной цереброспинальной жидкости выявляет наличие атипичных (опухолевых) клеток.
Вышеперечисленные неинвазивные методы исследования позволяют диагностировать опухоль, однако точный диагноз глиомы головного мозга с определением ее вида и степени злокачественности можно поставить только по результатам микроскопического исследования тканей опухолевого узла, полученных при проведении оперативного вмешательства или стереотаксической биопсии.
Лечение глиомы головного мозга
Полное удаление глиомы головного мозга представляет собой практически невыполнимую задачу для нейрохирурга и возможно только в случае ее доброкачественности (I степени злокачественности по классификации ВОЗ). Это связано со свойством глиомы головного мозга значительно инфильтрировать и прорастать окружающие ее ткани. Разработка и применение в ходе нейрохирургических операций новых технологий (микрохирургии, интраоперационного картирования головного мозга, МРТ-сканирования) немного улучшило ситуацию. Однако до сих пор хирургическое лечение глиомы в большинстве случаев по сути является операцией по резекции опухоли.
Противопоказаниями к осуществлению хирургического метода лечения является нестабильное состояние здоровья пациента, наличие других злокачественных новообразований, распространение глиомы головного мозга в оба полушария или ее неоперабельная локализация.
Глиома головного мозга относится к радио- и химиочувствительным опухолям. Поэтому химио- и радиотерапия активно применяются как в случае неоперабельности глиомы, так и в качестве пред- и постоперационной терапии. Предоперационная лучевая и химиотерапия может быть проведена только после подтверждения диагноза результатами биопсии. Наряду с традиционными методами радиотерапии возможно применение стереотаксической радиохирургии, позволяющей воздействовать на опухоль при минимальном облучении окружающих тканей. Следует отметить, что лучевая и химиотерапия не могут служить заменой хирургического лечения, поскольку в центральной части глиомы головного мозга зачастую располагается участок, плохо поддающийся воздействию облучения и химиопрепаратов.
Прогноз
Глиомы головного мозга имеют преимущественно неблагоприятный прогноз. Неполное удаление опухоли приводит к ее быстрому рецидивированию и лишь продлевает жизнь пациента. Если глиома головного мозга имеет высокую степень злокачественности, то в половине случаев больные погибают в течение 1 года и только четверть из них живет дольше 2 лет. Более благоприятный прогноз имеет глиома головного мозга I степени злокачественности. В случаях, когда удается произвести ее полное удаление с минимальным послеоперационным неврологическим дефицитом, более 80% прооперированных живут дольше 5 лет.
МРТ при глиоме головного мозга - что покажет

Опухоли головного мозга бывают доброкачественными и злокачественными. Злокачественные опухоли делятся на первичные, которые начали расти в головном мозге, и вторичные, образовавшиеся от метастазов рака других органов. Глиомы или нейроэпителиальные опухоли головного мозга - это первичные новообразования, которые происходят из клеток глии. Они могут возникать в различных частях головного и спинного мозга. Глиома может серьезно влиять на функцию мозга и быть опасной для жизни в зависимости от ее местоположения и темпов роста. Глиомы являются одним из наиболее распространенных типов первичных опухолей головного мозга. В целом, варианты лечения глиомы включают хирургию, лучевую терапию, химиотерапию, таргетированную терапию и экспериментальные клинические испытания.
Три типа глиальных клеток могут вызывать опухоли. Глиомы классифицируются в соответствии с типом глиальных клеток, а также генетическими особенностями опухоли, которые позволяют прогнозировать поведение опухоли и подбирать максимально эффективные методы лечения.
Типы глиомы
- астроцитомы, включая астроцитому, анапластическую астроцитому и глиобластому
- эпендиомы, включая анапластическую эпендимому, миксопапиллярную эпендимому и субэпендимому
- олигодендроглиомы, включая олигодендроглиому, анапластическую олигодендроглиому и анапластическую олигоастроцитому.
Глиома может иметь различную степень злокачественности - от первой степени, когда глиома доброкачественная, до четвертой степени, когда она уже является злокачественным новообразованием (глиобластома). Глиобластома - одна из самых агрессивных форм опухоли, которая может быть у человека. Она растет с большой скоростью, активно метастазирует и сложно поддается лечению. Если взять все онкозаболевания, по статистике глиома - это довольно редкое заболевание. Но это самая частая форма опухоли в голове, а нейроэпителиальные опухоли головного мозга составляет 60% всех опухолевых новообразований головы.
Симптомы глиомы
Главной особенностью всех опухолей головного мозга является тот факт, что они на ранней стадии не дают никакой симптоматики. Нейроневрологи называют “условно молчащими” лобные и височные области, где глиома может расти бессимптомно. Новообразования, развивающиеся ближе к коре головного мозга, чаще и раньше начинают давать знать о себе, но и здесь, зачастую, они проявляют себя общими симптомами, которые можно отнести к 1000 других заболеваний, - например, головокружение, усталость, перепады в настроении. По статистике нейроэпителиальные опухоли у взрослых располагается преимущественно супратенториально, реже встречается глиома ствола мозга. Для детского возраста более типичны поражения задней черепной ямки. Глиома у ребенка может проявляться:
- головной болью
- судорогами
- нарушением зрения, ощущением вспышек света в глазах.
Появление глиомы вызвано каким-то дефектом генетического характера, который произошел в глиальных клетках. Эти дефектные клетки начинают быстро размножаться и разрушать окружающие клетки мозга.
Диагностика глиомы
Диагностику глиомы проводят с помощью МРТ головного мозга с контрастированием на томографе мощностью не менее 1,5 Тесла. Магнитно-резонансная томография является оптимальным способом обследования всех тканей головы. В неврологической практике этот метод получил широкое распространение благодаря возможности одновременно визуализировать воспалительные, опухолевые и дегенеративные процессы в структурах головного мозга.
При подозрении на глиому очень важно сделать МРТ головы именно с контрастом. По тому, как клетки мозга будут накапливать контрастное вещество, рентгенолог может сразу сказать, где локализация новообразования, есть ли метастазы, является ли опухоль злокачественной или доброкачественной, есть ли признаки диффузной глиомы или некроза. Магнитно-резонансное исследование, будучи неионизирующим видом диагностики, в отличие от рентгена и КТ, не может никаким образом спровоцировать рост раковых клеток. Магнитное поле томографа не оказывает никакого излучения или вредного воздействия на организм человека. Поэтому МРТ головного мозга признано безвредным методом обследования, и данной диагностике отдается предпочтение при исследовании детей, беременных, а также при необходимости многократных повторных обследований.
Признаки глиомы на МРТ
| Глиобластома на МРТ | Глиома на МРТ | Глиобластома на МРТ |
![]() |
Как проходит МРТ головного мозга при опухоли
МРТ работает по принципу сканера, проводя детальный скрининг исследуемой области. Делает она это за счет магнитно-резонансного эффекта. В структуре тканей человека есть молекулы воды с атомами водорода. Атомы водорода, попадая в магнитное поле томографа, излучают электросигналы, которые фиксируют датчики МРТ аппарата и передают их на компьютер. Компьютерная установка обрабатывает все данные и выстраивает трехмерное изображение отсканированной области в черно-белом формате. Далее врач-рентгенолог начинает оценивать и описывать полученные томограммы, отмечая в своем заключении все выявленные патологии и аномалии. Поскольку содержание атомов водорода в структурах мозга очень высоко, с помощью МРТ головного мозга можно прекрасным образом визуализировать белое и серое вещество, оценить состояние борозд, извилин, гипофиза, сосудистой системы, нервной и костной ткани.
Чтобы МРТ снимки получились качественными и результативными, в течение томографической процедуры пациент должен лежать неподвижно. Любое движение обследуемого может смазать изображения, а чем четче они будут, тем точнее будет сама диагностика. Тогда врач по томографическим снимкам с уверенностью сможет дифференцировать глиому от других опухолей и заболеваний головного мозга и определить её добро или злокачественность.
Результаты МРТ головы - это серия послойных сканов головного мозга, расшифровка их профессиональным врачом-диагностом и письменное диагностическое заключение. В этих данных разобраться пациенту самостоятельно, ещё и без медицинского образования, будет сложно. Правильно читать и интерпретировать томограммы сможет только доктор. Поэтому, после МРТ исследования головного мозга человек обязательно должен записаться на прием к своему лечащему врачу и обсудить итоги томографии.
Глиобластома головного мозга
Мультиформная глиобластома (злокачественная глиома) является одной из самых распространённых злокачественных новообразований у взрослых. 20% от всех первичных новообразований головного мозга являются мультиформными глиобластомами.
Прогноз жизни при глиобластоме крайне неблагоприятный в связи с высокой степенью злокачественности.Смертность, связанная с МФГ превышает 90% в течение 5 лет со средней выживаемостью 12,6 месяцев.

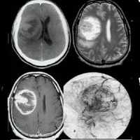
Глиобластома: симптомы, выявляемые с помощью МРТ. Аксиальный срез в режиме Т1 после контрастирования препаратом гадолиния демонстрирует распространенную опухоль правой лобной доли. Изображение предоставлено доктором George Jallo.

МРТ того же пациента. Т2-взвешенное изображение демонстрирует то же поражение, что и на предыдущем рисунке с заметным отеком и смещением срединных структур. Эти находки соответствуют высокой степени злокачественности опухоли.
Методы диагностики глиобластомы
Компьютерная томография (КТ) выявляет опухоль и связанные с ней изменения. Однако при выполнении КТ может пропустить опухоли небольшого размера. Небольшая глиома низкой степени злокачественности, пропущенная на скрининговом обследовании, может в конечном счете развиться в мультиформную глиобластому. К тому же, на компьютерных томограммах могут быть не видны многоочаговые варианты опухоли. Распространение глиобластомы с током спинномозговой жидкости, особенно раннее распространение, также может быть затруднительным для диагностики при помощи КТ.
Магнитно-резонансная томография (МРТ) — это значительно более чувствительный метод для обнаружения опухоли, а также для выявления связанных с ней изменений, включая перифокальный (перитуморозный) отек. Поэтому МРТ является методом выбора для пациентов с предполагаемой или подтвержденной мультиформной глиобластомой. Так как данная опухоль обладает агрессивным инфильтративным ростом, опухолевые клетки часто находятся за пределами зоны измененной интенсивности сигнала на МРТ. Часто возникают метастазы в центральную нервную систему, но экстрацеребральные метастазы (расположенные за пределами мозга) довольно редки.
После хирургической операции выявление различий между рецидивирующей опухолью и рубцовой тканью только лишь на основании данных МРТ может быть затруднительным. В этом случае более подходящим методом исследования будет позитронно-эмиссионная томография (ПЭТ).
В связи с большим разнообразием проявлений опухоли в некоторых случаях она может имитировать другие состояния, такие как инфаркт, абсцесс или даже опухолеподобную бляшку при рассеянном склерозе, и таким образом, задержать постановку правильного диагноза. Кроме этого, другие патологические процессы головного мозга также иногда принимаются за глиобластому. В таких случаях необходимо получить консультацию опытного нейрорадиолога с целью уточнения истинной природы образования. Повторная расшифровка МРТ в специализированном медицинском центре повышает точность диагноза.
Если говорить о признаках, которыми на магнитно-резонаных томограммах характеризуются опухоли в спектре от астроцитомы низкой степени злокачественности до мультиформной глиобластомы, можно сделать следующее обобщение (хотя возможны и исключения):
- Частота возникновения участков кальцификации в опухоли снижается в спектре от астроцитомы низкой степени злокачественности до мультиформной глиобластомы
- Частота возникновения контрастного усиления опухоли повышается в спектре от астроцитомы низкой степени злокачественности (сдерживается гематоэнцефалическим барьером, имеет низкую частоту контрастного усиления) до мультиформной глиобластомы (проникает через гематоэнцефалический барьер)
- Частота случаев геморрагии, некроза, масс-эффекта и отека также повышается от астроцитомы низкой степени злокачественности до мультиформной глиобластомы
- В том случае, если геморрагические изменения отсутствуют, большинство опухолей гипоинтенсивны на Т1-взвешенных изображениях и гиперинтенсивны на Т2-взвешенных изображениях
- Усиление сигнала на КТ изображениях аналогично таковому на МРТ изображениях
Существуют различные варианты мультиформной глиобластомы. Гигантоклеточная (монстроцеллюлярная) глиобластома является одной из разновидностей мультиформной глиобластомы, но имеет те же особенности на МРТ.
Рентгенография при глиобластоме
Рентгенография не применяется для оценки первичных опухолей. Однако, в случаях, когда опухоль поражает свод черепа, рентгенологические исследования могут выявить патологию в пораженных костях черепа. Кроме того, рентгенография скелета может обнаружить изменения в случае метастатического поражения костей в нетипичных случаях.
Компьютерная томография (КТ) при глиобластоме
Результаты компьютерной томографии позволяют с достаточно высокой степенью уверенности говорить о диагнозе мультиформной глиобластомы. Однако, другие объемные образования могут имитировать мультиформную глиобластому, например, абсцессы мозга, инфаркт с геморрагической трансформацией и новообразования более низкой степени злокачественности. Кроме того, некоторые виды демиелинизирующих поражений (такте как гигантские бляшки при рассеянном склерозе) могут выглядеть, как мультиформная глиобластома. Также многоочаговая форма мультиформной глиобластомы может быть неотличима от диффузного рассеянного склероза. Все эти случаи требуют внимательного отношения врачей с возможным получением второго мнения.
При глиоматозе головного мозга КТ-картина может быть нормальной, либо изображения могут показать распространенные очаги с низкой плотностью без объемного эффекта и усиления сигнала.

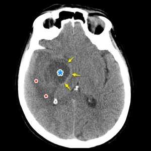
Опухоль головного мозга — глиобластома. Компьютерная томография (КТ). Синяя звездочка в центре обозначает зону центрального некроза опухоли, заполненную жидкостью. Желтые стрелки — окружающий мягкотканный компонент опухоли. Красные звездочки — перифокальный отек мозга. Наблюдается смещение срединных структур и угроза нисходящего транстенториального вклинения мозга.
Проявления опухоли на КТ-сканах без контрастного усиления включают неоднородное образование с нечеткими краями; внутренние области низкой или жидкостной плотности являются очагами некроза (представлены более, чем в 95% МФГ); внутренние области высокой плотности, являющиеся очагами геморрагии или, реже, кальцификациями (они более характерны в тех случаях, когда МФГ является результатом трансформации из астроцитомы низкой степени злокачественности); и значительный масс-эффект и отек (возогенная природа отека).
Исследование КТ с контрастным усилением значительно увеличивает выявление таких признаков, как неровные контуры образрвания, неоднородность, возможное кольцевидное контрастное усиление в периферических отделах патологической зоны.
Магнитно-резонансная томография (мрт) при глиобластоме
МРТ позволяет с высокой степенью уверенности говорить о диагнозе мультиформной глиобластомы и широко используется для определения местоположения и размера опухолей мозга. Фактически, этот метод имеет наивысшую степень достоверности среди других лучевых методов. Некоторые другие процессы, в основном объёмные образования с геморрагическим компонентом, могут имитировать мультиформную глиобластому на МРТ, включая абсцессы мозга и инфаркты. В случае неясной или спорной МРТ-картины может быть полезной экспертная оценка МРТ специализированными радиологами.
Стандартная методика МРТ ограничена в способности определять тип и степень злокачественной трансформации опухолей мозга, но более продвинутые протоколы МРТ, такие как перфузионно-взвешенная томография, могут оценить этот показатель с большей степенью достоперности, так как способны предоставлять более «физиологическую» информацию.
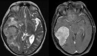
Как выглядит глиобластома на МРТ? Как правило, образование на томограммах представляет собой зону, имеющую в основном пониженный сигнал на Т1-взвешенных изображниях и повышенный сигнал на Т2- взвешенных изображениях. Могут присутствовать внутренние кистозные участки, участки потери сигнала, обусловленные крупными сосудами, внутренние зоны повышенной интенсивности сигнала на Т1-ВИ (геморрагические очаги), новообразованные сосуды, очаги некроза, обширный перитуморозный вазогенный отеком и значительный масс-эффект. Также может выявляться неравномерное, но интенсивное накопление контрастного вещества на основе гадолиния (та же картина наблюдается на КТ после введения йодсодержащего контраста), как в основной опухоли, так и в метастатических очагах, характерных для МФГ. МРТ более чувствительна к этим изменениям, чем КТ.
Глиоматоз головного мозга выглядит как диффузное изменение сигнала от белого вещества, сочетающееся с признаками повышения внутричерепного давления, такими как сдавление мозговых желудочков и сужение субарахноидального пространства.
Глиосаркома обычно представляет собой четко ограниченную опухоль, при этом саркоматозные или инфильтрационные глиоматозные элементы часто имеют сходство с менингиомами. Прочие МРТ-признаки схожи с теми, что характерны для мультиформной глиобластомы.
Позитронно-эмиссионная томография (ПЭТ) при глиобластоме
Ангиография
Ангиографическая картина при мультиформной глиобластоме включают в себя следующие признаки: гиперваскулярное объемное образование с опухолевым «свечением»; значительное кровонаполнение сосудов, артерио-венозные шунты (что может имитировать артерио-венозную мальформацию); аберрантные сосуды, сосудистое депонирование и застой (достаточно часто встречается); масс-эффект, который вызывает смещение сосудов.
Ангиография имеет низкую специфичность при диагностике мультиформной глиобластомы. Хотя снимки могут показать смещение сосудов, вызванное масс-эффектом опухоли, но в действительности любое другое объемное образование мозга может иметь схожие признаки. Кроме того, гиперваскуляризация мультиформной глиобластомы может имитировать сосудистую мальформацию. Таким образом, любое объемное образование или сосудистая мальформация может привести к ложноположительному результату. Небольшие опухоли и опухоли без выраженного смещения сосудов могут быть причиной ложноотрицательного результата.
Дифференциальная диагностика опухолей головного мозга при МРТ

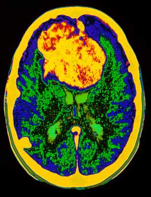
МРТ головного мозга. Аксиальная Т2-взвешенная МРТ. Цветовая обработка изображения. Опухоль мозга.
При дифференциальной диагностике опухолей головного мозга надо учитывать многие факторы включая эпидемиологические и диагностические. Золотым стандартом их выявления служит МРТ головного мозга. Многие центры МРТ СПб берутся за эту задачу, но мы рекомендуем Вам обследоваться именно у нас. При МРТ в СПб в дифференциальной диагностике опухолей в высоком поле и на открытом МРТ мы учитываем многие признаки, включая следующие:
Частота:
- 1/3 глильные (50% астроцитарного ряда)
- 1/3 метастатические
- 1/3 прочие
Возраст:
- Дети - лейкозы, лимфомы, анапластические опухоли, опухоли сосудистого сплетения, тератомы, краниофарингиомы, эпендимомы, медуллобластомы
- Взрослые - глиобластомы, астроцитомы, внеосевые -менингиомы, шванномы, ЗЧЯ - гемангиобоастома
- Пожилые - метастазы, глиобластома
Локализация:
- Супратенториальная (выше намета мозжечка - полушария мозга)
- Инфратенториальная (ниже намета мозжечка - стволовые структуры, задняя черепная ямка) - эпендимома, субэпендимома, папиллома сосудистого сплетения, центральная нейроцитома, менингиома, коллоидная киста (неопухолевое заболевание)
- Особые типы - селлярно-параселлярная (турецкое седло и вокруг него), мосто-мозжечковый угол, шишковидная железа.
МРТ головного мозга. Сагиттальная и аксиальная Т1-взвешенные МРТ, аксиальная Т2-взвешенная МРТ и аксиальные КТ и Т1-взвешенная МРТ с контрастированием. Гигантоклеточная астроцитома с кальцификацией - внутрижелудочковая опухоль.

КТ и МРТ головного мозга. Аксиальные КТ до и после контрастировали, сагиттальная МРТ с контрастировавшем, аксиальная Т2-взвешенная МРТ головного мозга. Герминома (КТ и МРТ)- опухоль области шишковидной железы
МРТ головного мозга. Аксиалные Т2-взвешенная МРТ и Т1-взвешенная МРТ с контрастированием.Шваннома (невринома), кистозная форма, правого ММУ.
Краниофарингеома (КТ) - опухоль области турецкого седла.
Тип распространения:
- На противоположное полушарие - глиобластома, низкодифференцированнная астроцитома
- По ликворным путям - олигодендроглиома, эпендимома, лимфома, примитивные нейроэктодермальные опухоли (у детей), медуллобластома, пинеобластома
- Вовлечение коры - олигодендроглиома, ганглиоглиома, дисэмбриопластическая нейроэпителиома

КТ и МРТ головного мозга. Аксиальные КТ, Т2-взвешенные МРТ и МРТ головного мозга с контрастировавшем. Вовлечение коры при олигодендроглиоме.
Множественность:
При МРТ головного мозга множественность очагов типична для метастазов (30-50%), глиобластом (5%), опухолей при факоматозах.
МРТ головного мозга. Аксиальные Т1-взвешенные МРТ с контрастировавшем. Множественные метастазы и двухстроронние шванномы при нейрофиброматозе тип 2.
Внутренняя структура:
- Кальцификация видимая при КТ и хуже МРТ головного мозга - олигодендроглиомы (90%), краниофарингеома (90%), астроцитомы (20%), эпендимома (50%), папиллома сосудистого сплетения (25%), ганглиоглиома (40%), менингиома (20%), редко - метастазы, хордомы, хондросаркомы
МРТ и КТ головного мозга. Кальцинаты в олигодендроглиоме
- Неоднородная структура на МРТ головного мозга может быть за счет - некроза : метастазы, глиобластомы; кровоизлияния: метастазы, апоплексия аденомы гипофиза
Контрастирование:
Почти всегда наблюдается при МРТ головного мозга, кроме микроаденом гипофиза и доброкачественных астроцитом. Неоднородность при МРТ головного мозга с контрастировавшем происходит за счет некроза, кистозной дегенерации, кальцинатов.

МРТ головного мозга с контрастированием. Кистозная астроцитома.
Диффузия:
Яркие очаги на диффузионное-взвешенных МРТ изображениях характерны для абсцессов, эпидермоидных кист, и острого инсульта. Опухоли имеют низкий сигнал на ДВИ МРТ головного мозга.

МРТ головного мозга. Аксиальные Т2-взвешенные МРТ, Т1-взвешенные МРТ с контрастировавшем и ДВИ МРТ.
Читайте также:

