УЗИ, МРТ при аневризме вены Галена (АВГ) у плода
Добавил пользователь Владимир З. Обновлено: 11.12.2025
Аневризма сонной артерии - в общем-то не редкое и очень опасное заболевание сердечно-сосудистой системы, часто заканчивающееся летально. Это аномальная и необратимая деформация слабого участка артериальной стенки, обусловленная постоянным потоком циркулирующей крови. Развивается патология в большинстве случаев у взрослых, но может затронуть и ребенка.
Сонные артерии — это крупные сосудистые стволы, кровоснабжающие органы шеи и доставляющие кровь к головному мозгу. Под воздействием негативных внутренних и внешних факторов участок артерии начинает расширяться. Стенки сосуда становятся хрупкими, растягиваются и увеличиваются в диаметре. Образуется характерное выпячивание, внешне напоминающее мешок.
Аневризматический мешок формируется в результате разрастания соединительнотканных волокон и отложения на них нитей фибрина. Его полость заполнена кровью или тромботическими массами. Форма мешка и его взаимоотношение с сосудом зависят как от характера повреждения артерии, так и от вида аневризмы. Со временем перерастянутая сосудистая стенка истончается и становится легкоранимой. При колебании артериального давления она не выдерживает и лопается.
Аневризма сонной артерии — особая деформация, которая не происходит бесследно. Рано или поздно у больных возникают характерные клинические симптомы. Патология может проявляться многократно и рецидивировать. При этом возникают множественные нарушения мозгового кровоснабжения, обусловленные гипоксией и дефицитом необходимых питательных веществ.
Причины
Выделяют факторы, способствующие развитию аневризмы: повышенное артериальное давление, атеросклеротические и тромботические процессы, генетическая предрасположенность, травмы шеи, ненормированные физические нагрузки, операции на сонной артерии.
Заболевания, способствующие формированию аневризмы артерии:

пример расслоение артерии и формирования аневризмы из-за накопления атеросклеротических отложений и тромботических масс
- Атеросклероз,
- Гипертония,
- Инсульт,
- Эмболия,
- Узловой периартериит,
- Туберкулезное поражение,
- Сифилис,
- Системные аутоиммунные заболевания,
- Ишемическая болезнь сердца, инфаркт миокарда, пороки сердца,
- Паразитическая инвазия,
- Инфекционные патологии уха, горла, носа.
При отсутствии адекватного и своевременного лечения развивается тромбофлебит, который усложняет течение основной патологии и удлиняет процесс реабилитации. Заболевание, протекающее долгое время бессимптомно, приводит к смерти пациента от внутреннего кровотечения.
Классификация
Существует несколько классификаций данного заболевания.

- По форме аневризмы бывают мешотчатыми, веретенообразными, фузиформными. Мешотчатая аневризма сонной артерии - полое образование, которое соединяется с помощью узкой «ножки» или широкого основания с просветом сосуда. Это наиболее распространенная форма патологии, встречающаяся преимущественно у взрослых. Веретенообразная аневризма — выпячивание всех стенок артерии с ровными контурами, фузиформная - образование без четких границ, изменяющееся свою форму.
- По размеру — миллиарные, обычные, крупные и гигантские.
- По структуре — одно- и многокамерные аневризмы.
- По локализации — аневризма наружной и внутренней сонной артерии. Последние подразделяются на аневризмы кавернозного синуса, аневризмы супраклиноидного отдела, аневризмы бифуркации сонной артерии.
- По распространенности - диффузные и мигрирующие патологии.
- По течению — острая и хроническая. Острая форма отличается стремительным течением и тяжелыми последствиями. Она часто заканчивается смертельным исходом. Хроническая форма генетически обусловлена и не прогрессирует всю жизнь.
- Формы аневризмы — опухолеподобная и апоплексическая.
Симптоматика
Аневризма сонной артерии клинически может не проявляться очень долго. Если аневризма имеет небольшой размер, то внешние признаки поражения сосуда часто отсутствуют. Без специальных диагностических процедур аневризму не обнаружить.

Крупные аневризмы представляют собой пульсирующие опухоли, над которыми выслушивается прерывистый систолический шум. В таких случаях кожный покров на шее изменяется, появляется патологическая припухлость. Если аневризматический мешок наполнен жидкой кровью, консистенция его напряженно-эластичная, а если кровяными сгустками — твердая.
Первыми симптомами заболевания являются довольно типичные состояния:
- Хроническая усталость,
- Беспричинные головные боли,
- Бессонница,
- Головокружение,
- Шум в ушах.
По мере увеличения размеров аневризмы головные боли учащаются и усиливаются, появляются болезненные и неприятные ощущения в области сердца, одышка, снижается острота зрения, изменяются его поля, зрачки расширяются, возникает боль в глазах, онемение, охриплость голоса, нарушение равновесия, ощущение пульсирования кровеносных сосудов, которое отдает в голову.
При сдавливании проходящих по соседству нервов возникают болезненные ощущения в шее, затылке, плече. Большая аневризма часто давит на горло, трахею, пищевод, вызывает их функциональные расстройства, что клинически проявляется осиплостью голоса, дисфонией, диспноэ, носовыми кровотечениями. Аневризматическая опухоль, распространяясь вглубь, оказывает давление на яремную вену, вызывая ее расширение и посинение лица больного. Сдавление соседних нервных стволов приводит к появлению острой боли, развитию параличей и парезов.
- Аневризма левой сонной артерии проявляется моторной афазией, парестезией, гемианопсией, эпилептиформными припадками.
- Аневризма правой сонной артерии проявляется общемозговыми признаками: головной болью, диспепсией, нарушением сознания, психомоторным возбуждением, головокружением, иногда обмороками, судорогами в здоровых конечностях.
Если произошел разрыв тканей, головная боль становится резкой, в глазах двоится, больных тошнит и мутит, появляется рвота, ригидность затылочных мышц, судороги, паралич всего тела или отдельных частей, нарушение речевого аппарата, спутанность сознания, потемнение шеи. У пациентов изменяется психического состояния, они становятся тревожными, теряют сознание и даже впадают в кому.
Диагностика
Диагностика аневризмы аорты начинается с общего осмотра больного, выслушивания его жалоб, сбора анамнеза жизни и болезни, изучения клинической картины патологии. Во время осмотра врач может заметить пульсирующее образование на шее, что позволяет заподозрить аневризму.
С помощью инструментальных методов исследования специалисты могут поставить точный диагноз и назначить правильное лечение. Наиболее информативные среди них:
- УЗИ сонной артерии дает полную информацию о строении сосудистой стенки, состоянии просвета артерии и скорости кровотока. Допплерографическое обследование позволяет выявить имеющиеся заболевания сосудов.
- Дуплексное сканирование сонных артерий — исследование, во время которого врач оценивает состояние сосудов в двухмерной проекции, а триплексное — в трехмерной.
- Ангиография — метод исследования сосудов путем внутривенного введения контрастного вещества и выполнения серии рентгеновских снимков. Точное изображение пораженных сосудов дает полную информацию об их состоянии и имеющихся изменениях, а также позволяет оценить состояние стенки сосуда в области аневризмы. Ангиографическое обследование проводится с целью определения места локализации аневризматического расширения.
- МРТ позволяет установить диагноз, определить форму и стадию недуга, выбрать лечебную тактику. На томограмме специалисты обнаруживают характерные признаки нарушенного кровоснабжения мозга и органов шеи. КТ обладает более высокой точностью.
- Электроэнцефалография — дополнительный метод выявления сосудистых проблем в головном мозге.
аневризма сонной артерии на снимке
Лечение
Самоизлечение аневризмы невозможно. В большинстве случаев патологическое образование увеличивается в объеме, стенки сосуда истончаются. При отсутствии лечения аневризматический мешок разрывается, начинается кровотечение, нередко приводящее к смерти больного.
Лечением аневризматической деформации сонной артерии занимаются сосудистые хирурги. Единственный эффективный способ лечения патологии - оперативное вмешательство, в процессе которого «выключают» пораженный участок из кровотока.
Вид операции определяется возрастом пациента, его состоянием, наличием сопутствующих заболеваний и течением основной патологии.

- Полное удаление аневризмы и замещение пораженного участка протезом из пластмассы или участком кровеносного сосуда из другой части тела. В результате проходимость сонной артерии полностью восстанавливается. Во время операции выделяют приводящий и отводящий концы артерии, пережимают их резиновыми трубками, вскрывают аневризматический мешок, удаляют пораженные стенки сосуда, а образовавшийся дефект замещают протезом. При этом целостность вен сохраняется. Если размер аневризмы превышает 5 см, удаляют весь пораженный сегмент артерии, а вместо него имплантируют резиновые шланги.
- Частичная резекция аневризматического мешка проводится в тех случаях, когда удалить образование полностью не получается. При этом иссекают его часть, ушивают все коллатерали и полость мешка, восстанавливают кровоток с помощью протеза. Если выполнить подобное вмешательство не представляется возможным, вшивают обходные анастомозы - специальные шунты, по которым будет циркулировать кровь.
- Эндоваскулярные методики применяются при небольших аневризмах, расположенных в труднодоступных местах. Операция проводится внутри сосуда с помощью специального катетера. Это малоинвазивная методика, требующая выполнения лишь одного небольшого разреза на шее, через который в сосуд вводят катетер. С помощью ангиохирургической оптики удаляют пораженный участок артерии и протезируют его.
При разрыве аневризмы прогноз часто бывает неблагоприятным: около 30% больных погибают. Для оказания неотложной помощи, проведения операции и дальнейшей реабилитации больных госпитализируют. Им обеспечивают строгий постельный режим, контролируют уровень кровяного давления, назначают лекарственные препараты:
- Седативные средства - «Валокордин», «Белласпон», «Персен»,
- Противоболевые средства - «Кетонал», «Ибуклин», «Брустан»,
- Препараты, улучшающие мозговое кровообращение - «Винпоцетин», «Кавинтон», «Церебролизин»,
- Сосудорасширяющие средства - «Папаверин», «Пентоксифиллин», «Циннаризин»,
- Медикаменты, улучшающие реологические свойства крови - «Никотиновая кислота», «Компламин», «Трентал»,
- Антиагреганты - «Аспирин», «Курантил», «Кардиомагнил»,
- Антигипоксанты - «Актовегин», витамины - «Нейромультивит».
Консервативное лечение направлено на стабилизацию процесса и укрепление стенок сосудов.
Лечение народными средствами должно проводиться только после консультации со специалистом. Настойка укропа и боярышника, отвар шиповника и черноплодной рябины повышают сосудистый тонус. Настойка прополиса — эффективное тонизирующее средство.
Осложнениями и неблагоприятными последствиями патологии являются:
- Разрыв аневризматического расширения,
- Внутреннее кровотечение,
- Геморрагический шок,
- Тромбозы,
- Абсцесс головного мозга.
Если своевременно заняться этой проблемой, можно предотвратить катастрофу.
Профилактика
Профилактические мероприятия направлены на предупреждение сосудистой дисфункции и поддержание тонуса артерий и вен. Специалисты рекомендуют соблюдать элементарные правила, позволяющие сохранить сосуды здоровыми:

- Отказ от табакокурения и употребления алкогольных напитков.
- Исключение из рациона жирных блюд, копченостей, красного мяса.
- Соблюдение режима питания.
- Адекватная физическая активность.
- Нормализация массы тела.
- Полноценный отдых.
- Оптимальный режим труда.
- Спокойная жизнь без стрессов и конфликтов.
- Периодические медосмотры с проведением необходимых исследований, в частности, дуплексного сканирования сосудов шеи.
- При необходимости профилактический прием препаратов, разжижающих кровь и препятствующих тромбообразованию.
- Регулярное обследование у врача и выполнение его рекомендаций.
Аневризма сонной артерии — смертельно опасная патология, требующая проведения полноценной диагностики и назначения грамотной терапии. Специалисты рекомендуют не терпеть головную боль, а своевременно искать ее причину, обращаясь к квалифицированным врачам, а не обезболивающим лекарствам.
Аневризма вены Галена
Аневризма вены Галена - это группа аномалий развития большой мозговой вены, образующихся в результате персистенции эмбриональных сосудов с формированием артериовенозного шунтирования. Проявляются сердечной недостаточностью, гидроцефалией, отставанием в физическом и умственном развитии. Характерна неврологическая симптоматика, возможен разрыв аневризмы с внутричерепным кровоизлиянием. Диагностика аневризмы вены Галена проводится во время пренатального УЗИ-скрининга с допплерографией. У новорожденных диагноз подтверждается при помощи КТ, МРТ, ангиографии. Лечение оперативное, осуществляется эмболизация сосудов, питающих вену.
МКБ-10

Общие сведения
Аневризма вены Галена объединяет в себе множество сосудистых аномалий, связанных с нарушением эмбрионального развития большой мозговой вены. Патология встречается крайне редко, частота всех артериовенозных мальформаций головного мозга не превышает 1% среди населения всех возрастов. Патология в два раза чаще встречается у мальчиков. Актуальность проблемы в современной педиатрии связана с высоким уровнем смертности, который лишь незначительно снизился в последние годы (до 50-70%), несмотря на огромный прогресс сосудистой нейрохирургии. Кроме того, из-за редкой встречаемости аневризмы вены Галена большинство специалистов оказываются неподготовленными к подобным случаям. По этой причине все операции проводятся в крупных федеральных центрах.

Питание тканей головного мозга изначально осуществляется посредством эмбриональных сосудов, стенки которых по своей структуре отличаются от нормальной сосудистой стенки. В течение 4-8 недель внутриутробной жизни эти сосуды заменяются полноценными артериями и венами. Под воздействием различных повреждающих факторов данный процесс нарушается, эмбриональные сосуды персистируют. Таким образом, образование всех артериовенозных мальформаций, в том числе аневризмы вены Галена, происходит в первом триместре беременности. Высокой тропностью к нервной и сосудистой ткани обладают многие бактерии и вирусы. Патологии развития мозговых сосудов также могут сформироваться под влиянием лекарственных препаратов, радиации и других факторов.
Патогенез
Аневризма вены Галена может быть представлена собственно патологическим расширением сосуда, но чаще всего речь идет о наличии множественных артериовенозных шунтов эмбрионального строения. Шунтирование приводит к сбросу артериальной крови и, соответственно, анемизации тканей головного мозга. Кроме того, повышается нагрузка на венозное русло. Как уже было сказано, строение эмбриональных сосудов отличается от обычных. В частности, они не имеют привычного мышечного слоя, именно с этим связан высокий риск разрыва шунтов. Переполненность венозного русла приводит к растяжению, вследствие чего возможно механическое сдавление сильвиева водопровода с формированием гидроцефалии.
Артериовенозная мальформация располагается в передней черепной ямке, сверху и сзади от зрительных бугров, в так называемой цистерне вены Галена. Структурно выделяют три типа аневризмы вены Галена.
- Интрамуральная форма характеризуется открытием артериального ствола непосредственно в большую мозговую вену.
- При хориоидальной форме сосудистой аномалии артериовенозные шунты располагаются в хориоидальной щели и впадают либо в большую вену, либо в патологические эмбриональные вены.
- Паренхиматозная форма аневризмы вены Галена отличается расположением многочисленных шунтов в паренхиме головного мозга.
Симптомы
Патология проявляется с рождения у 50% пациентов. Ведущим симптомом является сердечная недостаточность, развивающаяся в результате высокого венозного возврата крови от головного мозга и, соответственно, возрастающей нагрузки на левые отделы сердца. Поскольку аневризма вены Галена формируется еще внутриутробно, уже к рождению сердечная недостаточность отличается высоким риском декомпенсации. Клинически это выражается в усталости при кормлении, генерализованных отеках, одышке вследствие интерстициального отека легких. В дальнейшем сердечная недостаточность становится одной из причин отставания в физическом развитии.
Гидроцефалия является неблагоприятным прогностическим признаком, поскольку свидетельствует об окклюзии сильвиева водопровода или значительном объеме сброса крови в венозное русло. Голова ребенка увеличена с рождения, на ее поверхности заметны расширенные вены. Может отмечаться рвота, экзофтальм, очаговая неврологическая симптоматика в виде птоза, косоглазия. Повышение внутричерепного давления иногда сопровождается судорогами. В дальнейшем характерно отставание в умственном развитии, связанное также с недостаточным питанием тканей мозга. Реже аневризма вены Галена проявляется симптомами внутричерепного кровоизлияния: потерей сознания, судорогами и т. д.
Первичная диагностика становится возможной при плановом УЗИ-скрининге в III триместре беременности. Аневризма вены Галена визуализируется как анэхогенное образование в центре головы. Для подтверждения используется цветовое допплеровское картирование. Метод отличается высокой степенью достоверности. В отсутствие дородовой диагностики установить наличие сосудистой аномалии после родов бывает проблематично. Во-первых, заболевание встречается крайне редко, поэтому становится для педиатра исключением среди множества других причин сердечной недостаточности и гидроцефалии. Во-вторых, аневризма вены Галена не всегда клинически проявляется с момента рождения.
Компьютерная томография и МРТ также широко используются в диагностических целях. На снимках можно визуализировать патологические клубки эмбриональных сосудов. Для дальнейшего планирования тактики лечения необходимо проведение ангиографии, которая позволяет установить топографические отношения с нормальными сосудами и обнаружить другие возможные сосудистые аномалии. Заподозрить тромбоз можно по результатам ангиографии, поэтому контрастное рентгенологическое исследование сосудов остается основным в диагностике аневризмы вены Галена. Именно данный метод позволяет сосудистым хирургам планировать тактику оперативного вмешательства.
Лечение аневризмы вены Галена
Основным методом терапии в настоящее время остается эндоваскулярная эмболизация сосудов, питающих аневризму. Рекомендованный возраст ребенка для проведения операции - 2-6 месяцев. На этапе предоперационной подготовки используются антикоагулянты для профилактики тромбоза сосудов, а также кардиотоники с целью компенсации сердечной недостаточности. При наличии признаков выраженной гидроцефалии показано наложение шунта для нормализации внутричерепного давления. Обычно проводится вентрикулоперитонеальное шунтирование. Открытые хирургические операции в лечении аневризмы вены Галена практически не применяются.
Прогноз
Прогноз заболевания чаще неблагоприятный. Развитие современных методов нейрохирургии позволило снизить смертность до 50-70%. Тем не менее, выжившие после операции дети отстают в умственном развитии, сохраняется неврологическая симптоматика. Первичная профилактика проводится пренатально. При обнаружении аневризмы вены Галена на УЗИ врачи и родители определяют тактику дальнейшего ведения беременности. Большинство специалистов рекомендуют оперативное родоразрешение путем кесарева сечения с последующей терапией, описанной выше. В настоящее время смертность в таких случаях достигает 80%.
1. Аневризма вены Галена: случай из практики/ Авраменко Т.В., Шевченко А.А., Мироняк Л.А.// Международный журнал педиатрии, акушерства и гинекологии. - 2013. - Т3, №2.
2. Аневризма вены Галена у новорожненного: посмертная КТ с контрастным усиление при патологоанатомическим исследованием/ Туманова У.Н., Ляпин В.М., Козлова А.В., Быченко В.Г., Щеголев А.И.// REJR. - 2019. - 9(2).
3. Первый опыт использования бозентана в комплексном лечении сердечной недостаточности у ребенка с аневризмой вены Галена/ Трунина И.И., Шарыкин А.С., Лившиц М.И., Лаврова Т.Р., Османов И.М.// Российский кардиологический журнал. - 2017.
МРТ и МРА при аневризмах вены Галена
Аневризма вены Галена (АВГ) представляет собой комбинацию аномалий. Составляет всего 1-2% от солсудистых аномалий, но до 30% сосудистых аномалий у детей. Аневризма большой мозговой вены (Галена) возникает вследствие повышения давления в системе глубоких вен мозга - внутренних венах и основных венах (Розенталя). То есть она формируется по типу артериовенозной фистулы. Уже на 3 триместре беременности ее можно увидеть при УЗИ плода. Неонатальный тип АВГ протекает наиболее тяжело, в вену Галена впадает множество хориоидальный и околомозолистых артерий (хориоидальный вариант АВГ) с большим шунтированием и нарушением венозного оттока. В конечном итоге это приводит к нарушению сердечного выброса.
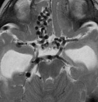
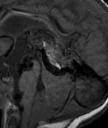
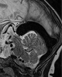
При МРТ головного мозга на аксиальных МРТ любого типа выявляется округлое образование с отсутствием сигнала в области пластины четверохолмия. На сагиттальных МРТ головного мозга отчетливо видно расширение и отсутствин сигнала от расширенной медианной прозэнцефалической вены, а также часто от прямого синуса и синуса намета. При МРА видна расширенная артерия. Тромбированные участки мальформации дают повышенный сигнал на МРТ головного мозга любого типа. На КТ видно скопление контраста в расширенной вене. Ангиография позволяет разделить АВГ на 4 типа в зависимости от питающей артерии.

МРТ головного мозга, Т2-взвешенная аксиальная МРТ. Расширенные ветви ПМА и ЗМА.

МРТ головного мозга. Т1-взвешенная сагиттальная МРТ. Аневризма вены Галена.

МРТ головного мозга. Т2-взвешенная сагиттальная МРТ. Аневризма вены Галена.

Схема венозного русла при аневризме вены Галена.
При МРТ в СПб мы иногда наблюдаем аневризму вены Галена у детей при МРТ головного мозга, после чего подтверждаем ее структуру ДСА.
Артериовенозные мальформации головного мозга ( Церебральные АВМ )
Артериовенозные мальформации головного мозга — врожденные аномалии церебральных сосудов, характеризующиеся образованием локального сосудистого конгломерата, в котором отсутствуют капиллярные сосуды, а артерии напрямую переходят в вены. Артериовенозные мальформации головного мозга проявляются упорными головными болями, эпилептическим синдромом, интракраниальным кровотечением при разрыве сосудов мальформации. Диагностика осуществляется при помощи КТ и МРТ сосудов головного мозга. Лечение хирургическое: транскраниальное иссечение, радиохирургическое вмешательство, эндоваскулярная эмболизация или комбинация этих методик.


Артериовенозные мальформации головного мозга (церебральные АВМ) — измененные участки церебральной сосудистой сети, на которых вместо капилляров имеются многочисленные разветвления извитых артерий и вен, формирующих единый сосудистый конгломерат, или клубок. АВМ относятся к сосудистым аномалиям развития головного мозга. Встречаются у 2 человек из 100 тыс. населения. В большинстве случаев клинически дебютируют в период от 20 до 40 лет, в отдельных случаях — у лиц старше 50 лет. Артерии, формирующие АВМ, имеют истонченные стенки с недоразвитым мышечным слоем. Это обуславливает главную опасность сосудистых мальформаций — возможность их разрыва.
При наличии АВМ головного мозга риск ее разрыва оценивается примерно 2-4% в год. Если кровоизлияние уже имело место, то вероятность его повтора составляет 6-18%. Смертность при внутричерепном кровоизлиянии из АВМ наблюдается в 10% случаев, а стойкая инвалидизация отмечается у половины пациентов. Из-за истончения артериальной стенки на участке АВМ может сформироваться выпячивание сосуда — аневризма. Летальность при разрыве аневризмы сосудов головного мозга намного выше, чем при АВМ, и составляет около 50%. Поскольку АВМ опасны внутричерепным кровоизлиянием в молодом возрасте с последующей летальностью или инвалидизацией, их своевременная диагностика и лечение являются актуальными проблемами современной нейрохирургии и неврологии.

Причины АВМ головного мозга
Артериовенозные мальформации головного мозга возникают в результате внутриутробных локальных нарушений формирования церебральной сосудистой сети. Причинами таких нарушений являются различные вредоносные факторы, влияющие на плод в течение антенатального периода: повышенный радиоактивный фон, внутриутробные инфекции, заболевания беременной (сахарный диабет, хронический гломерулонефрит, бронхиальная астма и др.), интоксикации, вредные привычки беременной (наркомания, курение, алкоголизм), прием во время беременности фармпрепаратов, имеющих тератогенный эффект.
Церебральные артериовенозные мальформации могут располагаться в любом месте головного мозга: как на его поверхности, так и в глубине. В месте локализации АВМ отсутствует капиллярная сеть, циркулирование крови происходит из артерий в вены напрямую, что обуславливает повышенное давление и расширение вен. При этом сброс крови в обход капиллярной сети может повлечь за собой ухудшение кровоснабжения церебральных тканей в месте расположения АВМ, приводя к хронической локальной ишемии мозга.
Классификация АВМ головного мозга
По своему типу мальформации церебральных сосудов классифицируются на артериовенозные, артериальные и венозные. Артериовенозные мальформации состоят из приводящей артерии, дренирующей вены и расположенного между ними конгломерата измененных сосудов. Выделяют фистулезную АВМ, рацинозную АВМ и микромальформацию. Около 75% случаев занимают рацинозные АВМ. Изолированные артериальные или венозные мальформации, при которых наблюдается извитость соответственно только артерии или только вены, встречаются достаточно редко.
По размеру церебральные АВМ подразделяются на малые (диаметром менее 3 см), средние (от 3 до 6 см) и большие (свыше 6 см). По характеру дренирования АВМ классифицируют на имеющие и не имеющие глубокие дренирующие вены, т. е. вены, впадающие в прямой синус или систему большой церебральной вены. Различают также АВМ, локализующиеся в или за пределами функционально значимых областей. К последним относят сенсомоторную кору, мозговой ствол, таламус, глубинные зоны височной доли, сенсорную речевую область (зону Ве́рнике), центр Брока, затылочные доли.
В нейрохирургической практике для определения риска оперативного вмешательства по поводу церебральных сосудистых мальформаций используется градация АВМ в зависимости от совокупности баллов. Каждому из признаков (размер, тип дренирования и локализация по отношению к функциональным зонам) присуждается определенное количество баллов от 0 до 3. В зависимости от набранных балов АВМ классифицируется от имеющей незначительный операционный риск (1 балл) до связанной с высоким операционным риском из-за технической сложности ее ликвидации, большого риска смертельного исхода и инвалидности (5 баллов).
Симптомы АВМ головного мозга
В клинике церебральных АВМ выделяют геморрагический и торпидный варианты течения. По различным сведениям, геморрагический вариант составляет от 50% до 70% случаев АВМ. Он типичен для АВМ небольшого размера, имеющих дренирующие вены, а также для АВМ, располагающихся в задней черепной ямки. Как правило, в таких случаях у пациентов наблюдается артериальная гипертензия. В зависимости от локализации АВМ возможно субарахноидальное кровоизлияние, которое занимает около 52% от всех случаев разрыва АВМ. Остальные 48% приходится на осложненные кровоизлияния: паренхиматозные с формированием внутримозговой гематомы, оболочечные с образованием субдуральной гематомы и смешанные. В ряде случаев осложненные кровоизлияния сопровождаются кровоизлиянием в желудочки головного мозга.
Клиника разрыва АВМ зависит от ее локализации и скорости истечения крови. В большинстве случаев наблюдается резкое ухудшение состояния, нарастающая головная боль, расстройство сознания (от спутанности до комы). Паренхиматозные и смешанные кровоизлияния наряду с этим проявляются очаговой неврологической симптоматикой: нарушениями слуха, зрительными расстройствами, парезами и параличами, выпадением чувствительности, моторной афазией или дизартрией.
Торпидный вариант течения более типичен для церебральных АВМ среднего и большого размера, располагающихся в мозговой коре. Для него характерны кластерные цефалгии — следующие друг за другом пароксизмы головной боли, длящиеся не дольше 3 часов. Цефалгия не носит такого интенсивного характера как при разрыве АВМ, но является регулярной. На фоне цефалгий у ряда пациентов возникают судорожные приступы, которые зачастую имеют генерализованный характер. В других случаях торпидная церебральная АВМ может имитировать симптомы внутримозговой опухоли или другого объемного образования. В таком случае наблюдается появление и постепенное нарастание очагового неврологического дефицита.
В детском возрасте встречается отдельный вид церебральной сосудистой мальформации — АВМ вены Галена. Патология является врожденной и заключается в наличии АВМ в области большой вены мозга. АВМ вены Галена занимают около трети всех случаев сосудистых церебральных мальформаций, встречающихся в педиатрии. Характеризуются высокой летальностью (до 90%). Наиболее эффективным считается хирургическое лечение, проведенное на первом году жизни.
Диагностика АВМ головного мозга
Поводом для обращения к неврологу до разрыва АВМ могут быть упорные головные боли, впервые возникший эпиприступ, появление очаговой симптоматики. Пациенту проводится плановое обследование, включающее ЭЭГ, Эхо-ЭГ и РЭГ. При разрыве АВМ диагностика осуществляется в экстренном порядке. Наиболее информативны в диагностике сосудистых мальформаций томографические методы. Компьютерная томография и магнитно-резонансная томография могут быть использованы как для визуализации тканей мозга, так и для исследования сосудов. В случае разрыва АВМ МРТ головного мозга более информативно, чем КТ. Она дает возможность выявить локализацию и размер кровоизлияния, отдифференцировать его от других объемных интракраниальных образований (хронической гематомы, опухоли, абсцесса головного мозга, церебральной кисты).

При торпидном течении АВМ МРТ и КТ головного мозга могут оставаться в норме. Обнаружить сосудистую мальформацию в таких случаях позволяет лишь церебральная ангиография и ее современные аналоги — КТ сосудов и МР-ангиография. Исследования церебральных сосудов проводятся с использованием контрастных веществ. Диагностика осуществляется нейрохирургом, который также оценивает операционный риск и целесообразность хирургического лечения АВМ. При этом следует учитывать, что при разрыве, в связи с компрессией сосудов в условиях гематомы и отека мозга, томографический размер АВМ может быть существенно меньше реального.
Лечение АВМ головного мозга
Артериовенозные мальформации головного мозга при их разрыве или при опасности такого осложнения подлежат удалению. Предпочтительно плановое оперативное лечение АВМ. В случае разрыва оно проводится после ликвидации острого периода кровоизлияния и рассасывания гематомы. В остром периоде по показаниям возможно хирургическое удаление образовавшейся гематомы. Одновременная ликвидация и гематомы, и АВМ проводится лишь при лобарной локализации сосудистой мальформации и ее небольшом диаметре. При кровоизлиянии в желудочки в первую очередь показано наружное вентрикулярное дренирование.
Классическое хирургическое удаление АВМ осуществляется путем трепанации черепа. Производится коагуляция приводящих сосудов, выделение АВМ, перевязка отходящих от мальформации сосудов и иссечение АВМ. Такое радикальное транскраниальное удаление АВМ осуществимо при ее объеме не более 100 мл и расположении вне функционально значимых зон. При большом размере АВМ зачастую прибегают к комбинированному лечению.
Когда транскраниальное удаление АВМ затруднительно из-за ее расположения в функционально значимых областях мозга и глубинных структурах, проводится радиохирургическое удаление АВМ. Однако этот метод эффективен лишь для мальформаций размером не более 3 см. Если размер АВМ не превышает 1 см, то ее полная облитерация происходит в 90% случаев, а при размерах свыше 3 см — в 30%. К недостатком метода относится длительный период (от 1 до 3 лет), необходимый для полной облитерации АВМ. В ряде случаев требуется поэтапное облучение мальформации в течение ряда лет.
К способам ликвидации церебральных АВМ относится также рентгеноэндоваскулярная эмболизация приводящих к АВМ артерий. Ее проведение возможно, когда имеются доступные для катетеризации приводящие сосуды. Эмболизация проводится поэтапно, и ее объем зависит от сосудистого строения АВМ. Полной эмболизации удается достигнуть только у 30% пациентов. Субтотальная эмболизация получается еще у 30%. В остальных случаях эмболизация удается лишь частично.
Комбинированное этапное лечение АВМ заключается в стадийном использовании нескольких перечисленных выше методов. Например, при неполной эмболизации АВМ следующим этапом проводится транскраниальное иссечение ее оставшейся части. В случаях, когда не удается полное удаление АВМ, дополнительно применяется радиохирургическое лечение. Такой мультимодальный подход к лечению церебральных сосудистых мальформаций показал себя как наиболее эффективный и оправданный в отношении АВМ большого размера.
Аневризмы сосудов головного мозга ( Церебральная аневризма )
Аневризмы сосудов головного мозга — это патологические локальные выпячивания стенок артериальных сосудов мозга. При опухолеподобном течении аневризма сосудов головного мозга имитирует клинику объемного образования с поражением зрительного, тройничного и глазодвигательных нервов. При апоплексическом течении аневризма сосудов головного мозга проявляется симптомами субарахноидального или внутримозгового кровоизлияния, внезапно возникающими в результате ее разрыва. Аневризма сосудов головного мозга диагностируется на основании данных анамнеза, неврологического осмотра, рентгенографии черепа, исследования цереброспинальной жидкости, КТ, МРТ и МРА головного мозга. При наличии показаний аневризма сосудов головного мозга подлежит хирургическому лечению: эндоваскулярной окклюзии или клипированию.



По некоторым данным, аневризма сосудов головного мозга имеется у 5% населения. Однако зачастую она протекает бессимптомно. Увеличение аневризматического расширения сопровождается истончением его стенок и может привести к разрыву аневризмы и геморрагическому инсульту. Аневризма имеет шейку, тело и купол. Шейка подобно стенке сосуда характеризуется трехслойным строением. Купол состоит только из интимы и является наиболее слабым местом, в котором аневризма сосудов головного мозга может разорваться. Наиболее часто разрыв наблюдается у пациентов в возрасте 30-50 лет. По данным статистики именно разорвавшаяся аневризма обуславливает до 85% нетравматических субарахноидальных кровоизлияний (САК).

Причины аневризмы
Врожденное выпячивание сосудов головного мозга является следствием аномалий развития, приводящих к нарушению нормального анатомического строения их стенки. Оно часто сочетается с другой врожденной патологией: поликистозом почек, коарктацией аорты, дисплазией соединительной ткани, артериовенозной мальформацией головного мозга и т. п.
Приобретенная аневризма сосудов головного мозга может развиться в результате изменений, происходящих в стенке сосуда после перенесенной черепно-мозговой травмы, на фоне гипертонической болезни, при атеросклерозе и гиалинозе сосудов. В отдельных случаях она бывает вызвана заносом в мозговые артерии инфекционных эмболов. Такая аневризма в современной неврологии носит название микотической. Формированию патологии способствуют такие гемодинамические факторы, как неравномерность кровотока и артериальная гипертензия.
Аневризма сосудов головного мозга является следствием изменения в строении сосудистой стенки, которая в норме имеет 3 слоя: внутренний — интиму, мышечный слой и наружный — адвентицию. Дегенеративные изменения, недоразвитие или повреждение одного или нескольких слоев сосудистой стенки приводят к истончению и потере эластичности пораженного участка стенки сосуда. В результате в ослабленном месте под давлением тока крови происходит выпячивание сосудистой стенки, образуется аневризма. Наиболее часто выпячивание локализуется в местах разветвления артерий, поскольку там оказываемое на стенку сосуда давление наиболее высоко.
По своей форме аневризма сосудов головного мозга бывает мешотчатая и веретенообразная. Причем первые встречаются намного чаще, в соотношении примерно 50:1. В свою очередь мешотчатая форма может быть одно- или многокамерной. По локализации выделяют аневризму передней мозговой артерии, средней мозговой артерии, внутренней сонной артерии и вертебро-базилярной системы. В 13% случаях наблюдаются множественные аневризмы, располагающиеся на нескольких артериях. Существует также классификация по величине. Согласно ей выделяют аневризмы :
- милиарные - размером до 3 мм
- малые — до 10 мм
- средние — 11-15 мм
- большие — 16-25 мм
- гигантские — более 25 мм.

Симптомы церебральной аневризмы
По своим клиническим проявлениям патология может иметь опухолеподобное или апоплексическое течение. При опухолеподобном варианте аневризма сосудов головного мозга прогрессивно увеличивается и, достигая значительных размеров, начинает сдавливать расположенные рядом с ней анатомические образования головного мозга, что приводит к появлению соответствующих клинических симптомов. Опухолеподобная форма характеризуется клинической картиной внутричерепной опухоли. Наиболее часто выявляется в области зрительного перекреста (хиазмы) и в кавернозном синусе.
Аномалия сосудов хиазмальной области сопровождается нарушениями остроты и полей зрения; при длительном существовании может привести к атрофии зрительного нерва. Аневризма сосудов головного мозга, располагающаяся в кавернозном синусе, может сопровождаться одним из трех синдромов кавернозного синуса, представляющих собой сочетание пареза III, IV и VI пары ЧМН с поражением различных ветвей тройничного нерва. Парез III, IV и VI пары клинически проявляется глазодвигательными нарушениями (ослаблением или невозможностью конвергенции, развитием косоглазия); поражение тройничного нерва — симптомами тройничной невралгии. Длительно существующая может сопровождаться деструкцией костей черепа, выявляемой при проведении рентгенографии.
Зачастую заболевание имеет апоплексическое течение с внезапным появлением клинических симптомов в результате разрыва аневризмы. Лишь изредка разрыву аневризмы предшествуют головные боли в лобно-глазничной области.
Разрыв аневризмы
Первым симптомом разрыва является внезапная очень интенсивная головная боль. Вначале она может носить локальный характер, соответствующий месту расположения аневризмы, затем становится диффузной. Головная боль сопровождается тошнотой и многократно повторяющейся рвотой. Возникают менингеальные симптомы: гиперестезия, ригидность затылочных мышц, симптомы Брудзинского и Кернига. Затем происходит потеря сознания, которая может длиться различный период времени. Могут наблюдаться эпилептиформные приступы и психические расстройства от небольшой спутанности сознания до психозов. Субарахноидальное кровоизлияние, возникающее при разрыве аневризматического расширения, сопровождается длительным спазмом расположенных вблизи аневризмы артерий. Примерно в 65% случаев этот сосудистый спазм приводит к поражению вещества головного мозга по типу ишемического инсульта.
Помимо субарахноидального кровоизлияния разорвавшаяся аневризма сосудов головного мозга может вызвать кровоизлияние в вещество или желудочки головного мозга. Внутримозговая гематома наблюдается в 22% случаев разрыва. Кроме общемозговой симптоматики она проявляется нарастающей очаговой симптоматикой, зависящей от локализации гематомы. В 14% случаев разорвавшаяся аневризма становиться причиной кровоизлияния в желудочки. Это наиболее тяжелый вариант развития заболевания, часто приводящий к летальному исходу.
Возникающая при разрыве очаговая симптоматика может носить разнообразный характер и зависит от места локализации аневризмы. При расположеннаи в области бифуркации сонной артерии возникают расстройства зрительной функции. Поражение передней мозговой артерии сопровождается парезами нижних конечностей и психическими нарушениями, средней мозговой — гемипарезом на противоположной стороне и нарушениями речи. Локализующаяся в вертебро-базилярной системе аневризма при разрыве характеризуется дисфагией, дизартрией, нистагмом, атаксией, альтернирующими синдромами, центральным парезом лицевого нерва и поражением тройничного нерва. Выпячивание сосудов головного мозга, расположенное в кавернозном синусе, находится за пределами твердой мозговой оболочки и поэтому ее разрыв не сопровождается кровоизлиянием в полость черепа.
Достаточно часто заболевание характеризуется бессимптомным течением и может быть выявлена случайным образом при обследовании пациента в связи с совершенно другой патологией. При развитии клинических симптомов диагностика осуществляется неврологом на основании данных анамнеза, неврологического осмотра пациента, рентгенологических и томографических обследований, исследования цереброспинальной жидкости.
Неврологический осмотр позволяет выявить менингеальные и очаговые симптомы, на основании которых можно поставить топический диагноз, т. е. определить место локализации патологического процесса. Интсрументальная диагностика включает:
- Рентгенографию. Рентгенография черепа помогает обнаружить петрифицированные аневризмы и деструкцию костей основания черепа. Более точную диагностику дает проведение КТ и МРТ головного мозга.
- Ангиографию. Церебральная ангиография позволяет установить расположение, форму и размеры аневризмы. В отличие от рентгенологической ангиографии магнитно-резонансная (МРА) не требует введения контрастных веществ и может проводиться даже в остром периоде разрыва аневризмы сосудов головного мозга. Она дает двухмерное изображение поперечного сечения сосудов или их объемное трехмерное изображение.

КТ-ангиография головного мозга (3D-реконструкция). Аневризматическое расширение левой средней мозговой артерии
- Люмбальную пункцию. При отсутствии более информативных способов диагностики разорвавшаяся аневризма сосудов головного мозга может быть диагностирована путем проведения люмбальной пункции. Обнаружение крови в полученной цереброспинальной жидкости свидетельствует о наличие субарахноидального или внутримозгового кровоизлияния.
В ходе диагностики опухолеподобная аневризма сосудов головного мозга должна быть дифференцирована от опухоли, кисты и абсцесса головного мозга. Апоплексическая аневризма сосудов головного мозга требует дифференцировки от эпилептического приступа, транзиторной ишемической атаки, ишемического инсульта, менингита.
Лечение церебральной аневризмы
Пациенты, у которых аневризма сосудов головного мозга имеет небольшие размеры, должны постоянно наблюдаются у невролога или оперирующего нейрохирурга, поскольку такая аневризма не является показанием для хирургического лечения, но нуждается в контроле за ее размерами и течением. Консервативные терапевтические мероприятия при этом направлены на предупреждение увеличения размеров аневризмы. Они могут включать нормализацию артериального давления или сердечного ритма, коррекцию уровня холестерина крови, лечение последствий ЧМТ или имеющихся инфекционных заболеваний.
Оперативное лечение направлено на предотвращение разрыва аневризмы. Его основными методами являются клипирование шейки аневризмы и эндоваскулярная окклюзия. Может применяться стереотаксическая электрокоагуляция и искусственное тромбирование аневризмы при помощи коагулянтов. В отношении сосудистых мальформаций производят радиохирургическое или транскраниальное удаление АВМ.
Разорвавшаяся аневризма сосудов головного мозга является неотложным состоянием и требует консервативного лечения аналогичного лечению геморрагического инсульта. По показаниям проводят хирургическое лечение: удаление гематомы, ее эндоскопическую эвакуацию или стереотаксическую аспирацию. Если аневризма сосудов головного мозга сопровождается кровоизлиянием в желудочки производят вентрикулярное дренирование.
Прогноз заболевания зависит от места, где располагается сосудистое выпячивание, от его размеров, а также от наличия патологии, ведущей к дегенеративным изменениям сосудистой стенки или гемодинамическим нарушениям. Не увеличивающаяся в размерах церебральная аневризма может существовать в течение всей жизни пациента не вызывая каких-либо клинических изменений. В случае разрыва 30-50% пациентов погибают, у 25-35% остаются стойкие инвалидизирующие последствия. Повторное кровоизлияние наблюдается у 20-25% пациентов, летальность после него составляет достигает 70%.
Читайте также:
