УЗИ, МРТ при объемном образовании над почкой у плода
Добавил пользователь Владимир З. Обновлено: 21.11.2025

Эталон новых стандартов! Беспрецедентная четкость, разрешение, сверхбыстрая обработка данных, а также исчерпывающий набор современных ультразвуковых технологий для решения самых сложных задач диагностики.
Введение
Обычно поражение изолированное, с вовлечением одного надпочечника, двустороннее поражение встречается редко [5]. Иногда антенатально появляются метастазы в печень, кожу, костный мозг и редко в ворсинки плаценты [6]. В этом случае плацента выглядит объемной, но метастатические очаги могут не определяться макроскопически, а диагностируются лишь при гистологическом исследовании. Сосуды ворсинок плаценты содержат скопления клеток нейробластомы, но инвазия стромы наблюдается исключительно редко [7]. Описаны случаи метастазирования в пуповину с последующей гибелью плода [8]. Нейробластомы преимущественно состоят из нейробластов. Макроскопически очаги опухоли хорошо очерчены, но могут инфильтрировать окружающие ткани, капсула отсутствует.
Известно сочетание нейробластом с различными состояниями, в частности с болезнью Гиршпрунга, фетальным алкогольным синдромом, синдромом ДиДжорджа, болезнью Вон Реклинхаузена, синдромом Беквита - Видеманна.
В литературе описан ранний случай диагностики нейробластомы в 19 нед беременности, однако обычно пренатальный диагноз устанавливается при ультразвуковом исследовании в промежутке от 26 до 39 нед гестации [8].
Смещение нижней полой вены визуализирующимся образованием кпереди следует расценивать как признак забрюшинного происхождения этого образования [13]. Кроме того, при больших размерах опухоль надпочечника может смещать окружающие органы.
Цветовое допплеровское картирование помогает идентифицировать питающий опухоль сосуд, отходящий непосредственно от аорты, однако такой единственный сосуд может и не визуализироваться [13].
Как правило, антенатальная диагностика метастазов возможна исключительно редко, так как специфических поражений плаценты при ультразвуковом исследовании не отмечается, описано лишь неспецифическое ее утолщение [14]. В диагностике метастазов может быть информативной МРТ плода.
Геморрагические опухоли надпочечников могут осложняться анемией плода, неиммунной водянкой плода или массивной инвазией печени [10]. Предложены различные объяснения этиологии развития водянки плода: избыточная продукция катехоламинов, приводящая к гипертензии и сердечной недостаточности у плода; вовлечение в патологический процесс печени, вызывающее нарушение венозного возврата и развитие гипопротеинемии [14]; инвазия эритропоэтической ткани клетками опухоли, приводящая к развитию тяжелой анемии или даже гиперсекреции альдостерона корой надпочечников. Кроме того, описано возникновение водянки плода вторично к появлению метастазов в плаценту. Отек плаценты вследствие механического эффекта большого образования может развиваться в некоторых случаях нейробластомы без метастазирования в плаценту [6].
Кроме того, опухоли надпочечников больших размеров могут приводить к дистоции во время родов [8].
Следует помнить и о материнских осложнениях. Очень редко гиперпродукция катехоламинов опухолью надпочечников плода может вызывать избыточное потоотделение, развитие гипертензии и преэклампсии у матери, материнского миррор-синдрома при поражении плаценты [12, 14, 15]. Кроме того, развитие таких материнских осложнений, как правило, связано с высоким уровнем неонатальной смертности, достигающим 70% [1].
Прогноз при нейробластоме зависит от времени диагностики, локализации первичного очага и стадии заболевания. Прогноз лучше у детей до 1 года жизни при низких стадиях опухоли (выживает около 90%) [16]. При нейробластоме, диагностированной пренатально, прогноз, как правило, благоприятный, выживает 90-96% детей [1]. Однако при поражении плаценты прогноз неблагоприятный, часто происходит антенатальная гибель плода или смерть ребенка вскоре после рождения [12, 14].
Обнаружение кальцификатов в опухоли при ультразвуковом исследовании сочетается с лучшим прогнозом, вероятно, вследствие того, что кальцификаты являются свидетельством произошедшего некроза опухоли [12].
Нейробластома in situ может не проявлять себя клинически и даже подвергаться спонтанной регрессии [17, 18].
Течение заболевания у пациентов с нейробластомой, диагностированной пренатально, обычно благоприятное, особенно при изолированном поражении надпочечников [8]. Методом лечения (с хорошими результатами) является хирургическое удаление опухоли непосредственно после рождения [19], химиотерапия показана только в случаях существенного прогрессирования заболевания [20]. Пациенты с "благоприятными" признаками заболевания (небольшие размеры опухоли, ее кистозная структура, отсутствие прогрессирования) должны тщательно наблюдаться и подвергаться хирургическому лечению только при отсутствии регресса образования [11].
Материалы и методы
В качестве иллюстрации приводим одно из наших клинических наблюдений.
Клиническое наблюдение
Пациентка Т., 40 лет, обратилась для проведения планового скринингового ультразвукового исследования в 32 нед. В ходе предыдущих исследований в 13 и 19 нед патологии не было выявлено.
Супруги здоровы, профессиональных вредностей не имеют. Наследственность не отягощена. Настоящая беременность пятая. В анамнезе двое нормальных родов, два медаборта. На учете в женской консультации пациентка состояла с 6 нед. Беременность протекала без существенных осложнений. Лишь в срок 6-7 нед была диагностирована угроза невынашивания.
Ультразвуковое обследование проводилось на УЗ-сканере SonoAce-X8 (Medison).
Результаты
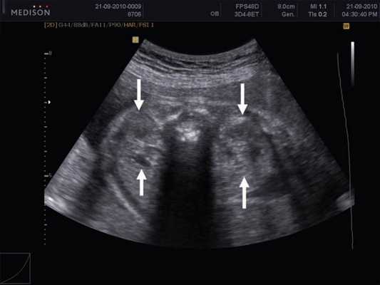
При ультразвуковом исследовании обнаружен один живой плод мужского пола. Гестационный срок составил 31 нед 4 дня. Фетометрические показатели соответствовали данному сроку, за исключением окружности живота, превышающей 95-й процентиль за счет гепатомегалии. Нарушений фето-плацентарного кровотока не было выявлено. Патологических изменений плаценты и околоплодных вод не отмечено.
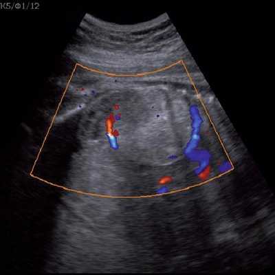
Под диафрагмой справа визуализировалось гиперэхогенное опухолевидное образование несколько неоднородной солидной структуры, с четкими ровными контурами, размером 50x38x35 мм. К нижнему полюсу данного образования прилежала правая почка, имеющая нормальные размеры, форму и структуру. Нижняя полая вена была смещена кпереди и влево. Обращала на себя внимание выраженная гепатомегалия, причем структура печени не была однородной. Она содержала множественные гиперэхогенные включения размерами до 17 мм, окруженные тонким гипоэхогенным периферическим ободком. Цветовое допплеровское картирование(ЦДК) демонстрировало интенсивную периферическую васкуляризацию опухоли (рис. 1-3).

Рис. 1. Нейробластома правого надпочечника плода. Беременность 31 нед 4 дня.

Рис. 2. Кровоток в нейробластоме плода. Цветовое допплеровское картирование. Отчетливо виден питающий сосуд, огибающий образование по его периферии. К нижнему полюсу образования прилежит интактная почка плода.

Рис. 3. Метастазы в печени плода. Поперечное сечение брюшной полости плода. Гепатомегалия. В структуре печени плода определяются округлые включения несколько повышенной эхогенности (стрелки), с гипоэхогенным ободком - метастазы.
Был поставлен диагноз: беременность 31 нед 4 дня. Опухоль правого надпочечника плода с метастазами в печень. Рекомендовано динамическое ультразвуковое наблюдение за темпами роста новообразования и возникновением возможных осложнений.
В срок 32 нед 4 дня была диагностирована антенатальная гибель плода. Родился мертвый ребенок, мужского пола весом 2480 г, длиной 45 см.
В представленном наблюдении картина нейробластомы надпочечника была не совсем классической. То, что это супраренальное образование - очевидно, так как оно прилежало к почке, имеющей нормальную форму, размеры и структуру. Опухоль имела капсулу, однородную гиперэхогенную структуру, что не характерно для нейробластомы надпочечника. Поэтому дифференциальную диагностику проводили с кровоизлиянием в надпочечники, опухолью Вильмса, экстралобарным легочным секвестром, ретроперитонеальной тератомой.
Кровоизлияние в надпочечники, как правило, выглядит эхогенным или неоднородной структуры образованием, иногда может быть полностью анэхогенным и характеризуется изменением ультразвуковой картины при динамическом исследовании, постепенно превращаясь в анэхогенное кистозное образование, в котором с течением времени отмечается утолщение его стенки [13] и образуются кальцификаты. Энергетический допплер демонстрирует полную аваскулярность такого образования. В нашем случае образование имело повышенную эхогенность, несколько неоднородную структуру. При ЦДК в опухоли регистрировался преимущественно периферический кровоток.
Опухоль Вильмса поражает почку (чаще правую), которая в представленном случае была интактна.
Экстралобарная легочная секвестрация является преимущественно левосторонним супраренальным образованием с четким наружным контуром, как правило, гиперэхогенной однородной структурой неправильной формы. Выявляется эта патология уже во II триместре беременности, при ЦДК определяется питающий сосуд.
Тератомы (в том числе и забрюшинной локализации) всегда представлены образованиями неоднородной солиднокистозной структуры вследствие их гистологического строения.
Таким образом, обнаруженное нами образование было отнесено к опухоли надпочечника даже при отсутствии классической картины нейробластомы. Обращали на себя внимание большой размер опухоли и отсутствие выраженных осложнений в виде многоводия, застойной сердечной недостаточности, нарушения фето-плацентарного кровотока. При этом относительно ранняя манифестация (выявление данного комплекса изменений уже в 31 нед), не совсем типичная ультразвуковая морфология опухоли, наличие выраженной гепатомегалии и множественных метастазов позволяли сделать вывод о злокачественном течении заболевания, что, видимо, и обусловило антенатальную гибель плода. В итоге диагноз был подтвержден патоморфологическим исследованием. У недоношенного плода мужского пола живот увеличен в объеме. Справа в забрюшинном пространстве определяется округлое образование (опухоль) размером 50?35?30 мм, эластичной консистенции. Спереди и снизу к опухоли прилежит почка, плотно с ней спаянная. Опухоль исходит из правого надпочечника, который находится на ее верхнем полюсе в виде "шапочки". На разрезе опухоль однородная, желтовато-серая. Левые надпочечники и почка обычного вида. Печень значительно увеличена, занимает около 1/2 объема брюшной полости, доли четко не дифференцируются. Поверхность печени коричневато-красная. На разрезах определяются множественные плотные эластичные узлы диаметром до 15 мм бледно-желтого цвета (рис. 4, 5).

Рис. 4. Органокомплекс, вид спереди.
1 - печень;
2 - опухоль с правым надпочечником;
3 - сердце.
Пренатальная диагностика мезобластической нефромы у плода в III триместре беременности с использованием новых ультразвуковых технологий

Идеальный инструмент для пренатальных исследований. Уникальное качество изображения и весь спектр диагностических программ для экспертной оценки здоровья женщины.
Материал и методы
Пациентка С., 31 года, была направлена в центр пренатальной диагностики врачом женской консультации в III триместре беременности для консультации и проведения эхокардиографии плода в связи с наличием у первого ребенка порока сердца. До III триместра в центр не обращалась.
Беременность четвертая, роды вторые. В анамнезе выкидыш в 6 недель, неразвивающаяся беременность при сроке 8 недель и срочные роды без осложнений. У ребенка имелась недостаточность аортального клапана I-II степени.
В женской консультации пациентке был проведен комплекс пренатального обследования на врожденные и наследственные заболевания у плода. По данным биохимического скрининга в I и II триместрах, риск рождения ребенка с хромосомной патологией расценен как низкий (1/2500, 1/850). Ультразвуковые исследования проведены в 9, 11 и 18 недель беременности в женской консультации и в 22 недели в перинатальном центре по месту жительства. Патологии у плода не было выявлено.
В центре пренатальной диагностики первое ультразвуковое исследование в 32 недели и последующий динамический контроль в 36 недель проведены на аппаратах SonoAce-Х8 (Медисон, Ю. Корея) c использованием конвексных датчиков AX C3-7 EP-A2 и SD C4-8 ET-A1, а также Voluson Е8 с использованием конвексных мультичастотных датчиков AB 2-7D, RAB 4-8D. Объемная информация о структурах плода сохранена и в последующем обработана с использованием программ 3D XI (Medison) и 4D.
Результаты и обсуждение
В центре пренатальной диагностики в срок III скрининга (32 недели) эхография была проведена по стандартной методике с заполнением утвержденного протокола скринингового ультразвукового исследования во II и III триместрах.
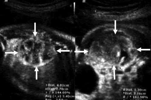
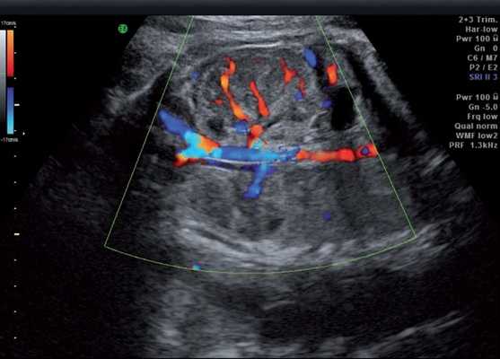
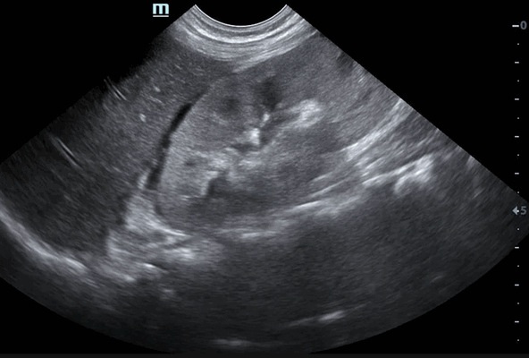
Результаты исследования: размеры плода пропорциональные, соответствуют менструальному сроку беременности. При эхокардиографии особенностей строения сердца у плода не выявлено. При оценке органов мочевыделительной системы обнаружено следующее: правая почка плода нормальных размеров и структуры. Левая почка увеличена до размеров 53х38х46 мм при 95-м процентиле нормативных для срока значений 43х24х23 мм [4] (рис. 1). В структуре почки, преимущественно в верхнем и среднем сегментах, определяется округлое образование без четких контуров, средней эхогенности, приблизительные размеры его 50х35х35 мм. При цветовом допплеровском картировании в образовании визуализируется обширная сосудистая сеть. При допплерометрии индексы сосудистой резистентности (рис. 2) в разных участках образования варьируют в широких пределах (от 0,49 до 0,77).

Рис. 1. Почки плода в режиме 2D. Видна разница в эхографической структуре. Границы почек обозначены стрелками.

Рис. 2. Режим цветового допплеровского картирования. Хорошо видны различия в характере васкуляризации нормальной почки и контрлатеральной пораженной почки.
Плацента по структуре и степени зрелости соответствует сроку беременности. Многоводие (индекс амниотической жидкости 22 см при норме 10-20 см).
При допплерометрии показатели кровотока в маточно-плодово-плацентарной системе в пределах нормативных значений.
Заключение. Беременность 32 недели. Новообразование левой почки плода (мезобластическая нефрома?).
- Динамический ультразвуковой контроль через 3-4 недели.
- Пренатальная консультация хирурга.
- Обследование новорожденного.
После получения данных ультразвукового исследования был уточнен анамнез. Выяснилось, что в семье пациентки у ближайших родственников имели место заболевания мочевыделительной системы, в частности злокачественные опухоли почек.
При динамическом ультразвуковом контроле в 36 недель дополнительных изменений у плода не было обнаружено. Размеры образования в почке незначительно увеличились.
В срок 38 недель произошли срочные роды. Родилась девочка, вес 3230 г, длина 50 см, оценка по шкале Апгар 8/9 баллов. В родильном доме почки ребенка не были обследованы. Девочка выписана домой на 4-е сутки.
На 2-й неделе жизни она консультирована хирургом и онкологом. Поставлен диагноз: нефробластома левой почки, рекомендовано оперативное лечение.
Через 2 мес после рождения произведена лапароскопическая нефрэктомия. Послеоперационный период протекал без осложнений. Гистологическое исследование: мезобластическая нефрома левой почки.
До настоящего времени ребенок находится под наблюдением онколога, развивается соответственно возрасту. Химиотерапия и другие виды специфического лечения не проводились.
Данное клиническое наблюдение, по нашему мнению, представляет определенный интерес для практикующих врачей, занимающихся ультразвуковой пренатальной диагностикой врожденных и наследственных заболеваний, поскольку это еще один случай выявления редко встречающейся патологии. При анализе данных литературы, в частности журнала "Ultrasound in Obstetrics and Gynecology" - официального журнала Международной Ассоциации врачей ультразвуковой диагностики в акушерстве и гинекологии (ISUOG), нам удалось выяснить, что в настоящее время в мире опубликовано не более 25 случаев дородовой диагностики этого заболевания. В нашей стране - это вторая публикация.
В пренатальном периоде опухоли почек, как правило, представлены двумя нозологическими формами: мезобластической нефромой (синоним - мезенхимальная гамартома, ренальная гамартома плода) и нефробластомой (опухоль Вильмса).
Мезобластическая нефрома - это односторонняя округлая солидная опухоль без капсулы, однородной структуры, иногда содержащая кистозные включения, образующиеся за счет кровоизлияний или очагов некроза. Микроскопически опухоль представлена мезенхимальными клетками, к которым относятся гладкие мышечные волокна и незрелые фибробласты. Кроме того, она может содержать клеточные элементы почечных клубочков и трубочек. Эта опухоль не имеет капсулы и способна к инфильтрирующему росту. Опухоль хорошо васкуляризирована и имеет развитую сосудистую сеть [4].
Мезобластическая нефрома может быть как доброкачественным, так и злокачественным новообразованием. В литературе есть данные о связи степени злокачественности опухоли и срока ее обнаружения. Чем раньше у новорожденного диагностируется это заболевание, тем менее злокачественный характер оно имеет. Считается, что этот вид опухоли чаще встречается у мальчиков 7.
При ультразвуковом исследовании в пренатальном периоде опухоль определяется как округлое образование, как правило, больших размеров, без четких контуров. Разница в акустической плотности интактной почечной паренхимы и опухолевой ткани может создавать эффект границы, которая глазом будет восприниматься как капсула. В большинстве случаев при беременности, осложненной возникновением мезобластической нефромы, регистрируется многоводие. Сочетанные изменения в других органах и системах плода встречаются редко.
Нефробластома, или опухоль Вильмса - это еще более редкая опухоль, описанная у плодов и новорожденных. Как и мезобластическая нефрома, она чаще бывает спорадической, но описаны и наследственные случаи. Считается, что двусторонняя локализация этой опухоли более характерна для наследственной формы. У мальчиков и девочек нефробластома регистрируется с одинаковой частотой.
Опухоль Вильмса в отличие от мезобластической нефромы - как правило, злокачественное новообразование почки, возникающее из аномально пролиферирующей метанефрогенной бластемы. Эта опухоль представляет собой солидное образование без капсулы с экзо- или эндофитным ростом. При поражении почки здоровая паренхима достаточно быстро замещается опухолевой тканью [8].
При ультразвуковом исследовании опухоль Вильмса также выглядит как округлое, хорошо отграниченное образование средней эхогенности. При цветовом допплеровском картировании выраженной сосудистой сети обычно обнаружить не удается. Экстраренальные сочетанные аномалии развития при нефробластоме встречаются редко [9, 10].
Дифференциальный диагноз при подозрении на опухоль почки у плода необходимо проводить с другими патологическими изменениями почек, например мультикистозом. Основное отличие мультикистоза от опухолей любого генеза - это обязательное наличие множественных анэхогенных включений разного диаметра и практически полное отсутствие сосудистой сети при цветовом допплеровском картировании. Изолированные кисты почек принципиально отличаются от опухолей четкой границей, анэхогенным содержимым и сохранением почечного сосудистого рисунка.
Образование, исходящее из надпочечника (опухоль, киста, кровоизлияние), может симулировать опухоль почки, однако в этом случае при более детальном исследовании всегда можно обнаружить почку типичного строения с характерным сосудистым рисунком при цветовом допплеровском картировании.
Другие аномалии развития, такие как экстралобарная легочная секвестрация, лимфангиомы и тератомы брюшной полости и забрюшинного пространства, кисты и тератомы яичников у плодов женского пола, на первый взгляд, могут быть сходны с новообразованиями почек, однако самый главный отличительный признак в этих случаях - наличие двух анатомически нормальных почек, расположенных в обычном месте.
Важно подчеркнуть, что все перечисленные аномалии развития можно диагностировать во II триместре беременности, тогда как опухоли почки, по данным литературы, в основном выявляются в III триместре. Случай наиболее ранней диагностики описан при сроке беременности 26 недель [2].
В представленном клиническом наблюдении диагноз опухоли почки был поставлен нами практически сразу и не вызывал сомнения, поскольку стандартный протокол ультразвукового скринингового исследования во II и III триместрах беременности требует описания почек и мочевого пузыря. Почки оцениваются в поперечном и продольном сечениях с использованием при необходимости цветового допплеровского картирования (рис. 3, а, б). В данном случае почки плода располагались в типичном месте, но обращали на себя внимание значительная разница в размерах и необычная структура одной из почек (см. рис. 1). В 2D режиме границы опухоли четко не визуализировались, но при использовании технологии VCI (объемное контрастное изображение) можно было более точно определить ее контуры (рис. 4).

Рис. 3. Исследование почек.
а) Поперечное сканирование. Переднезадний размер почек обозначен стрелками.
Эхография в комплексной диагностике нефробластомы у детей

Точная и уверенная диагностика. Многофункциональная ультразвуковая система для проведения исследований с экспертной диагностической точностью.
Нефробластома - трёхкомпонентная эмбриональная опухоль, содержащая эпителиальный, бластный и стромальный элементы (аденомиосаркома). На неё приходится около 8% всех опухолей детского возраста. Наиболее часто (75%) встречается у детей в возрасте от 1 до 5 лет, составляя 97% всех опухолей почек в этом возрасте. В подавляющем большинстве случаев неоплазма обнаруживается спорадически, но в 1% случаев носит семейный характер [1]. В 5% случаев опухоль поражает обе почки, а у 15% больных сочетается с хромосомной патологией, церебральным гигантизмом, гемигипертрофией, спорадической несемейной анириидией, синдромом Видемана-Беквита, гамартомами, нейрофиброматозом и другими аномалиями [2, 3, 4]. Опухоль длительное время растёт бессимптомно. Хотя описаны случаи острого развития опухоли после минимальных травм [5]. Диагностика новообразований забрюшинного пространства затруднена для традиционных методов, что связано с анатомо-топографическими особенностями, длительным отсутствием клинических проявлений, либо отсутствием специфических признаков. Поэтому к моменту пальпаторно обнаруживаемого образования, болей в животе, лихорадки, анорексии, артериальной гипертензии и/или гематурии у 80% детей имеются отдалённые метастазы.
Ведущим в постановке правильного диагноза является визуализация. Основными методами диагностики остаются эхография, традиционная рентгенография (в т.ч. и экскреторная урография), рентгеновская компьютерная томография (РКТ), магниторезонансная томография (МРТ) и ангиография. Единой тактики в применении различных диагностических методик нет [6]. В связи с этим мы поставили целью изучить визуальную семиотику нефробластом.
Проанализированы результаты обследования 49 детей, поступивших в Российскую детскую клиническую больницу с подозрением на опухоль почки. В 42 случаях диагноз подтверждён гистологически. Наряду с экскреторной урографией, эхографией, РКТ, МРТ и ангиографией выполнены пункционная биопсия опухоли и изменённых лимфоузлов, оперативные вмешательства. В 7 случаях предполагаемый диагноз нефробластомы не подтвердился. Именно эти случаи вызвали наибольшие сложности в диагностике, что потребовало применения ангиографии. В качестве группы сопоставления для определения информативности и диагностической ценности различных методик, с целью разработки дифференциально-диагностических критериев обследовали 87 детей с нейробластомами.
При обследовании детей с нефробластомами в обсуждаемой группе экскреторная урограмма была изменена у 79,6% больных. Это выглядело как нарушение формы, размеров и расположения почек, изменение чашечно-лоханочной системы и мочеточников. Исключение составляла т.н. "немая почка". Феномен свидетельствовал либо о поражении средних сегментов почки со сдавлением мочеточника или почечной вены, либо прорастанием сосудистой ножки внеорганной забрюшинной нейробластомой. Эти случаи снижали значимость экскреторной урографии в дифференциальной диагностике нефробластом.
Эхография и РКТ позволяет значительно точнее определить анатомо-топографические и, в какой-то степени, морфологические характеристики нефробластомы (Рис. 1, 2). У всех наших пациентов опухоль была представлена объёмным образованием в виде солитарных масс преимущественно неправильной формы (95,2%). В области опухолевого узла контур почки был выпуклым (14,3%). В 50% обнаруживалась экзофитная зона с фрагментарно выраженной капсулой (71,4%). Эхографическая картина и изображение поражённой почки на РКТ были весьма схожи. Опухоль выглядела как негомогенная структура с преобладанием гиподенситивных очагов (90,5%). Эхографически кальцинаты при нефробластоме выглядят как редкие небольшие высокоинтенсивные сигналы и обнаруживались редко.

Рис. 1. Рентгеновская компьютерная томограмма опухоли почки. Чётко видно, как часть почки замещена опухолевой массой.

Рис. 2. Ультразвуковое сканирование опухоли почки (нефробластома) с очагами распада.
При в/в "контрастном усилении" (проведено у 33% больных) во всех случаях негомогенность усиливалась. Фокальные участки пониженной плотности ограничивались более резко выраженной линией демаркации, отделявшей опухоль от нормальной резидуальной почечной ткани. Капсула была выражена у 21,4% больных, что в совокупности с отсутствием метастазов позволило диагностировать I стадию заболевания всего в 4,8% случаев.
Бугристость контуров почки свидетельствовала о выходе опухоли за пределы органа. Но чёткость контуров говорила в пользу сохранности капсулы, что при отсутствии метастазов указывало на II-ую стадию заболевания у 14,3% больных.
Таким образом, более 4/5 наших больных на момент 1-ого обследования в клинике имели III-IV стадии опухолевого процесса. Это выражалось нечёткостью контуров почки (81,1%), бугристостью (50%), т.е. прорастанием собственной капсулы. Наряду с этим обнаруживалась инфильтрация околопочечной клетчатки в виде её уплотнения (81,1%), прорастанием в прилежащие органы (33,3%). Опухоль прорастала в надпочечники (21,4%) и поджелудочную железу (4,8%). По 2,4% (по 1 случаю) приходится на прорастание в селезёнку, печень, диафрагму, стенку кишки. В 4,8% выявлено поражение нижней полой вены (прорастание и метастатический тромбоз), что клинически проявлялось выраженной гематурией и отёками ног.
Наиболее часто при нефробластоме поражались регионарные лимфоузлы (81,1%). Поражение лимфоузлов брыжейки было в 16,7% случаев, а забрюшинного пространства - в 14,2%. Метастатическое поражение печени было у 21,4% детей, лёгких - у 14,3%. Одновременное поражение печени и лёгких диагностировано у 11% больных, метастатическое поражение надпочечника - у 21,4% (9 детей), а костей - у 4,8%.
Проведена оценка значимости отдельных методов лучевой диагностики.
Анализ полученных данных показал, что по-прежнему целесообразно применение экскреторной урографии. Её точность составила 79,6%, что несколько выше точности эхографии (77,6%), но существенно уступает РКТ (91,9%) и, тем более, ангиографии (97,6%). Точность РКТ в случае обнаружения исходной локализации опухоли составила в наших исследованиях 91,8% при чувствительности в 97,6%. Это несколько ниже диагностической ценности ангиографии, но существенно выше эхографии. Иначе говоря, экскреторная рентгенография, наряду с эхографией, может использоваться как скрининг-метод. При дифференциальной диагностике выявленных объёмных поражений на опухолевые и неопухолевые результативность экскреторной урографии составила 65,3%, что приближается к диагностической ценности эхографии (69,4%), но существенно ниже таковой у РКТ (87,8%) или ангиографии (95,1%). Соответственно, и точность диагностики при ангиографии (97,6%) приближается к 100%, вполне коррелируя с гистоморфологическими данными. Точность РКТ несущественно уступает ангиографии, составляя 95,9% (p>0,05). Эхография уступает этим двум методикам. При оценке местной распространённости процесса ведущая роль принадлежит РКТ, точность которой достигает 91,8%. Метод ангиографии несколько уступает (82,9%) рентгеновской компьютерной томографии, незначительно превосходя эхографию (79,9%).
В диагностике метастазов в лёгкие оправдано использование рентгенографии, точность которой, по нашим данным, составляет 88,1%, а чувствительность - 96%. РКТ целесообразно использовать только для уточнения диагноза, что обусловлено большей разрешающей способностью аппаратуры.
Проведённые сопоставительные исследования позволили выстроить диагностический ряд радиологических методик. Обзорная рентгенография - метод трагически поздней диагностики. Опухоль становится видна только при достижении ею больших размеров или при появлении кальцинатов.
Кальцинаты при нефробластоме редки. Они значительно чаще обнаруживаются при нейробластоме. Кальцинаты при нейробластоме на обзорных рентгенограммах обнаружены всего у 3 пациентов (3,5%) и выглядели как хлопьевидные включения в проекции тени опухоли. На экскреторных рентгенограммах выявить их не удалось. Значительно чаще (12 детей - 13,8%) они обнаруживались эхографически и выглядели более интенсивными и множественными, чем при нефробластоме. При КТ кальцинаты отмечены у 87 человек (100%).
Дополнительными неспецифическими признаками нефробластомы являются однородная тень средней интенсивности в области проекции почки с неясными включениями, оттеснение тени поясничной мышцы и петель тонкой и ободочной кишки. Опухоль, исходящая из левой почки, оттесняет желудок вверх и латерально, что определяется по смещению газового пузыря [6].
При экскреторной урографии обнаруживаются деформация чашечно-лоханочной системы при её "растянутости". Опухоль большого объёма сдавливает и оттесняет мочеточник. Это может вызвать сложности при дифференциальной диагностике опухоли Вильмса и забрюшинных неорганных опухолей, а также нефробластомы и метастазов в забрюшинные лимфоузлы. "Немая почка", обнаруженная нами у 20,4% больных, свидетельствует о прорастании опухоли в мочеточник и/или поражении средних сегментов почки. Т.к. феномен может наблюдаться и при иных опухолях или сосудистой патологии, то требуются более информативные методики.
При эхографии опухоль выглядит как внутрипочечное эхогенное образование с достаточно чёткими контурами. Плотность образования выше, чем плотность паренхимы почек или даже печени. Оно более однородное и менее плотное, чем нейробластома, хотя и внутри опухоли Вильмса могут обнаруживаться неправильных очертаний гипоэхогенные очаги кровоизлияний, некрозов или расширенные чашечки.
Осмотр сосудов почечной ножки проводится в продольном, поперечном и наклонном направлении. Тромбоз считается достоверным, если выявлен фокус уплотнения в пределах нижней полой или почечной вены. Аналогичные изменения могут обнаруживаться в правых отделах сердца. Большую помощь в диагностике оказывает цветное картирование потока крови. Тем не менее, смещение и сдавление сосудов, тень опухоли затрудняют получение достоверной информации при эхографии. Поэтому перед оперативным вмешательством требуются более объективные методики.
Солидные внутрипочечные образования у детей старше 1 года, обнаруженные эхографически, можно достаточно уверенно трактовать как опухоль Вильмса [7].
В целом, экскреторная урография и эхография позволяют сразу при минимальных затратах и неинвазивно получить большой объём информации. Поэтому экскреторная урография и, особенно, эхография должны стоять в самом начале дифференциальной диагностике поиска и рассматриваться как скрининговые методики [8], а эхография ещё и как наиболее оптимальная методика для динамического наблюдения.
РКТ позволяет расшифровать ложноположительные и ложноотрицательные результаты, полученные при традиционной ретгенографии и эхографии, уточнить топику опухоли, её соотношение с сосудами, с высокой степенью достоверности выяснить наличие или отсутствие метастазов в лимфоузлах, кости и, по показаниям, в лёгкие.
МРТ с высокой степенью достоверности выявляет почечное происхождение опухоли, её границы и распространение по органу. Опухоль Вильмса характеризуется удлинением времени Т1 и Т2 релаксации. Интенсивность сигнала может варьировать за счёт очагов кровоизлияния или некроза в опухоли. Преимуществом МРТ по сравнению с РКТ и эхографией является лучшая визуализация сосудов и, соответственно, диагностика вероятного прорастания опухоли в почечную вену [9]. Во всех остальных случаях диагностическая ценность эхографии, РКТ и МРТ отличаются несущественно.
Ангиография имеет особое значение у пациентов с единственной почкой, двухсторонним поражением, при планировании геминефрэктомии, при диагностике выхода опухоли за пределы капсулы почки, поражения печени, селезёнки, диафрагмы, брыжейки, брюшины, нижней полой вены (диагностическая ценность приближается к 100%), а также при дифференциальной диагностике опухоли Вильмса и нейробластомы (последняя - менее однородна) или неопухолевых состояний.
Всё это склоняет нас в пользу диагностического алгоритма, где отправной методикой поставлена эхография.
Для визуализации объёмного процесса оправдано применение эхографии и экскреторной урографии. Их целесообразно проводить на догоспитальном этапе, не дублируя в клинике. Такая схема позволит исключить высокие повторные лучевые нагрузки и избежать лишних стрессовых ситуаций. Эхография в условиях стационара показана для динамического контроля. С целью дифференциальной диагностики выявленных изменений как опухолевых или неопухолевых, и, в определённой степени, морфо-гистологической принадлежности, целесообразна РКТ. Именно с этой методики должно начинаться обследование в клинике ребёнка при подозрении на наличие у него опухоли Вильмса. РКТ бесспорно показана для выявления метастазов. Несмотря на высокую диагностическую ценность ангиографии, применять её следует строго избирательно, т.к. методика связана с высокой лучевой нагрузкой и является инвазивной. Абсолютным показанием к проведению ангиографии является двухсторонний процесс или поражение единственной почки. У детей первого года жизни рентгеновская компьютерная томография отодвигается на задний план. Несмотря на технические сложности на первое место выдвигаются ангиография, магниторезонансная томография. Это связано с тем, что РКТ у детей грудного возраста чревата опасностью получения множественных артефактов. Последние возникают от спонтанных дыхательных движений, крайне скудной межорганной жировой клетчатки.
Таким образом, при обнаружении объёмного образования почки, требующего и дифференциальной диагностики с нефробластомой, мы рекомендуем определённую последовательность методик, которая определяется и возрастом ребёнка.
Литература
- Risler T., Mueller G.A., Rosendahl W. Nephrologie. Muenchen, 1993. - s. 165.
- Leiber B., Olbrich G. Die klinischen Syndrome. Muenchen, 1993. - Bdd.1.
- Fleming S. Genetics of kidney tumors. // Forum-Genova, 1998. - v. 8. - N 2. - pp. 176 - 184.
- Rahmen N., Abidi F., Ford D., Arbour L., e.a. Confirmation of FWT1 as a Wilms Characteristics of Wilms tumor attributable to FWT1. // Human genetic., 1998. - 103. - N 5. - pp. 547 - 556.
- Ferrosi F., Folegnani F., Bacchini E. Acute onset of Wilms tumor after minor injury. Assessment with computerized tomography and magnetic resonance. // Radiol. Med. Torino., 1998. - v. 96. - N 3. - pp. 272 - 274.
- Босин В.Ю., Филипкин М.А. Болезни мочевой системы. В кн.: "Рентгенодиагностика в педиатрии" под ред. В.Ю. Босина, К.В. Ватолина и др., М., Медицина, 1988. - т.2. - сс. 84 - 86.
- DeCampo J.F. Ultrasound of Willms tumor. //Pediatr. Radiol., 1989. - v.16. - pp. 21-32.
- Siegel M., Ishwaran H., Fletcher B., e.a. Staging of Neuroblastoma at imaging: report of the Radiology diagnostic oncology group. // Radiology, 2002. - v. 223. - 1. - pp. 168 - 175.
- Ho V., Scott F., Hood M., e.a. Renal masses: quantitative assessment of enchancement with dynamic MR Imaging. // Radiology, 2002. - v. 224. - 3. - pp. 695 - 700.
УЗИ сканер HS70
Патологии почек у плода: что и когда показывает экспертное УЗИ при беременности

Почечная система плода формируется из нервной трубки на 22-й день беременности и завершает закладку к 28 неделе. Не все женщины знают на ранних сроках о своём интересном положении и продолжают вести обычный образ жизни: занимаются спортом, ездят на отдых, переносят тяжести, принимают лекарства. В результате почечная система может пострадать, и патология не во всех случаях будет совместима с жизнью.

Причины аномального развития почек у плода
Гипоплазия или недоразвитость почки — это внутриутробная аномалия, при которой почка имеет маленькие размеры и неправильно функционирует. Отклонение встречается менее чем в 0,2% всех беременностей.
Развитию гипоплазии почки способствуют следующие факторы:
- поездки в тёплые страны на ранних сроках, нахождение на солнцепёке, перегрев;
- удары в живот, падения;
- влияние алкоголя и табакокурения;
- воспаления матки;
- обострение пиелонефрита, инфицирование плода;
- негативное влияние лекарственных препаратов;
- пищевое отравление, вызвавшее интоксикацию организма;
- маловодие;
- ТОРЧ-инфекции у матери;
- тромбоз почечной вены у плода;
- воздействие ионизирующего облучения.
На УЗИ гипоплазия легко заметна, почки визуализируются с 14 недели беременности. В этом поможет высокоточный 3D аппарат. Почка отображается на экране монитора как овальное или бобовидное образование в продольном сканировании и округлое в поперечном.
Почка — это парный орган, расположенный по обе стороны от позвоночника. Основой органа является почечная лоханка, состоящая из сливающихся друг с другом почечных чашек. Лоханка плавно сужается и переходит в мочеточник, который ведёт в мочевой пузырь. Сам мочеточник у здорового плода не визуализируется на УЗИ.
У здорового органа диаметр почечной лоханки составляет 4-5 мм на 2 триместре и 7 мм на 3 триместре. Структурно-функциональной единицей почки является нефрон, который осуществляет фильтрацию. На 1 скрининге можно убедиться в наличии или отсутствии почек, в односторонней или двухсторонней недоразвитости (гипоплазии), удвоении почки, а также в нормальном или аномальном расположении. Но о функциональности органа станет ясно на 2 скрининге.
Какие патологии почек у плода можно выявить на 2 скрининге
2-й скрининг проводится на сроке 20-24 недели беременности. На нём выявляют различные пороки почки у плода:
- Агенезию (отсутствие одной или обеих почек). При односторонней агенезии на УЗИ с одной стороны почка не визуализируется вовсе, а с другой стороны она увеличена по сравнению с нормой. При двусторонней агенезии органа нет вообще, поэтому плод обычно погибает на определённом сроке беременности. Односторонняя агенезия не является показанием для аборта, потому что человек может жить и с одной почкой.
- Дистопию (нетипичное положение органа). Место расположения почки — это почечная ямка. Иногда почка не поднимается в ямку, а располагается в любой области таза. На УЗИ в этом случае дистопированная почка не будет видна, поэтому неопытный врач может принять дистопию за агенезию.
- Увеличенный или уменьшенный в размерах орган;
- Расширение почечной лоханки свыше 2 мм от нормы;
- Пиелоэктазия — расширение почечной лоханки без сопутствующих патологий органа;
- Пиелоуретероэктазия — расширение почечной лоханки с расширением мочеточника;
- Пиелокаликоэктазия — одновременное расширение и почечной лоханки, и чашки.
- Гидронефроз — скопление мочи в лоханке, приводящее к увеличение чашек и лоханок в размерах. Моча скапливается у основания мочеточника, за счёт чего он расширяется. Патология не является заболеванием, но свидетельствует о патологии лоханки и чашки почки. Диагностируется в 80% беременностей. Если к моменту рождения почечная лоханка будет увеличена более чем на 10 мм, малышу понадобится срочная операция.
- Кисты почек. Мультикистозная дисплазия является одним из самых опасных заболеваний почек. Выражается в перерождении нефронов в кисты, которые закупоривают протоки и затрудняют отток мочи. Они содержат жидкость внутри и достигают размера 3-4 см. При двустороннем мультикистозе почки врачи рекомендуют прервать беременность, а при односторонней патологии — удалить поражённую почку сразу после рождения малыша.
- Поликистоз почки в наличии на органе нескольких кист размером 1-2 мм. На УЗИ аппарате они не видны, но об их наличии свидетельствуют маловодие у беременной и двустороннее увеличение почек в размерах. Эхогенность почек будет повышена, а контур — иметь белый цвет. В этом случае женщину отправляют на аборт, потому что плод погибает ещё в утробе.
- Обструкция лоханочно-мочеточникового соустья. На УЗИ визуализируется расширение почечной лоханки при сохранении нормальной ширины мочеточника и почечной чашки. Количество околоплодных вод остаётся в норме, недоразвитости почки также не наблюдается. На фоне обструкции лоханочно-мочеточникового соустья возникает гидронефроз (застой мочи в почке).
Патология опасна тем, что на её фоне развивается почечная дисплазия — поражение почечной ткани кистами с нарушением функциональности органа. На УЗИ почка становится гиперэхогенной, в ней появляются кисты.
Выводы
Патология органов выделения составляет 1/4 часть всех пренатальных пороков развития. Ошибки возможны только в случае маловодия у женщины, когда органы плохо визуализируются.
Опухоли почек: первое обследование — УЗИ

Опухоль почки - это патологическое разрастание ее тканей. В зависимости от типа клеток, составляющих опухоль, новообразования делятся на доброкачественные и злокачественные (раковые).
Прием уролога — 1000 руб. Комплексное УЗИ почек — 1000 руб. Прием по результатам анализов — 500 руб. (по желанию)
Новообразования почек встречаются в любом возрасте, диагностируясь даже у детей. Доброкачественные формы развиваются в два раза реже злокачественных, поэтому при подозрении на новообразование нужно срочно посетить врача, сделать УЗИ почек и пройти дополнительные обследования.

Причины опухолей почки
Точные причины возникновения опухолей почек не изучены, но известно, что их провоцируют:
- неблагоприятная наследственность;
- воспалительные процессы;
- конкременты (камни и песок);
- курение и алкоголизм;
- радиационное облучение;
- вредные условия труда, при которых происходит контакт с веществами-канцерогенами;
- сбои в иммунной системе;
- хронические инфекции.
Симптомы опухолей почек
Новообразования долгое время могут не давать симптомов. Проявляются они только при разрастании опухоли до приличных размеров. Крупное образование растягивает капсулу почки, мешает оттоку мочи и пережимает сосуды. Больные жалуются на усиливающуюся боль в пояснице, отдающую в промежность , и бедро. Доброкачественные образования небольшого размера могут вообще не заявлять о себе, выявляясь случайно на УЗИ или МРТ.
В почечной ткани обнаруживаются различные доброкачественные опухоли:
- Кисты — полости, наполненные жидкостью. При множественных кистозных поражениях говорят о поликистозе.
- Аденомы — медленно растущие образования не вызывающие болей и не перерождающиеся в рак.
- Липомы - новообразования из жировой ткани, которые при быстром росте затрудняют работу почек. Не озлокачествляются.
- Фибромы - медленно растущие опухоли, состоящие из фиброзной ткани. Симптомы нарушения почечной функции они вызывают, только разрастаясь до больших размеров.
Злокачественные новообразования (рак и саркома) имеют различную симптоматику, но первым признаком любой почечной онкопатологии является появление крови в моче (гематурия). В дальнейшем у больного развиваются:
- слабость, усталость, утомляемость;
- лихорадка;
- тошнота, рвота, похудение;
- плохоустраняемое повышенное АД;
- задержка мочи;
- боль в пояснице.
Эти симптомы вызваны отравлением организма продуктами обмена опухолевых клеток, разрушением почек и переходом процесса на соседние органы (мочеточники, спинной мозг).
Некоторые опухоли вырабатывают гормон эритропоэтин. У больного развивается полицитемия. Организм вырабатывает огромное количество красных кровяных телец — эритроцитов, вызывающих чрезмерное полнокровие. Наблюдается расширение кожных сосудов, вызванное увеличением и замедлением кровотока. Язык и губы приобретают синеватый оттенок, конъюнктива глаз становится красноватой, а в кончиках пальцев рук возникает сильное жжение, вызванное кровяным застоем.
Симптомы при прогрессировании опухолей почек
Симптомы развития рака почек можно охарактеризовать в подробностях так:
- Больные жалуются на кожный зуд, боль в животе , костях, суставах, приливы к голове, слабость, утомляемость, ухудшение общего состояния. Нарушение работы почек приводит к стойкому повышению АД, неснижаемому стандартными препаратами.
- Распад опухоли почки приводит к появлению крови в моче (гематурии). Урина приобретает кровяной или гнилостный запах. Сгустки крови, закрывая пути оттока мочи, вызывают почечную колику — резкие боли в пояснице, вызванные перерастяжением почечных структур скопившейся мочой.
- Сдавление опухолью вен у мужчин вызывает расширение вен семенного канатика — варикоцеле . Если при отсутствии почечной патологии эта болезнь появляется слева, то при почечных опухолях варикоцеле образуется на стороне пораженной почки, или с обоих. Поэтому поражение вен семенного канатика справа - повод срочно проверить почки на наличие опухолей.
Нарушение почечной функции, вызванное опухолевым процессом, приводит к отекам лица, наиболее выраженным в утреннее время.
Диагностика опухолей почек
Для диагностики применяются УЗИ почек и надпочечников — самый безопасный, дешевый и безболезненный способ, МРТ и нефросцинтиграфия. Эти исследования позволяют выявить новообразования на ранних стадиях. С помощью ангиографии или УЗ-допплерографии определяется злокачественность опухоли и ее размер.
Не всегда опухоль на УЗИ выглядит типично. Чтобы не пропустить онкологический процесс, больным назначают:
- . Обнаружение крови — гематурия - частый симптом рака почек. Нарушение работы органа и присоединение инфекции вызывает появление в моче лейкоцитов и белка; . Увеличение паратгормона, вырабатываемого паращитовидными железами — своеобразный маркер злокачественных опухолей почки. В крови повышается уровень креатинина, мочевины, альфа-2-глобулинов, ЛДГ4, щелочной фосфатазы, кальция. Увеличение печёночных ферментов указывает на метастазирование опухоли в печень. Анализ на онкомаркеры — обязательное обследование и при других опухолях в организме.
- Анализ периферической крови (из пальца) меняется при возникновении опухоли, вырабатывающей гормоны, стимулирующие выработку эритроцитов. В крови обнаруживается большое количество красных кровяных телец. При злокачественных опухолях увеличивается СОЭ.
В спорных случаях берется фрагмент тканей на биопсию. Подтверждение злокачественности или доброкачественности новообразования помогает врачам определиться с тактикой операции.
Если опухоль злокачественная, проводится рентген легких, позвоночника и УЗИ брюшной полости для выявления метастаз.
Нормы УЗИ почек
Норма УЗИ почек - усредненные показатели, подтверждающие, что эти органы здоровы. Отклонения от стандартных цифр и терминов, указанных в протоколе исследования, повод для постановки неблагоприятного диагноза и дальнейшего обследования.
На УЗИ почек устанавливают нормы расположения, формы, структуры и размеров обеих почек.
Передне-задние размеры - до 1,5 см
При аномалиях почек, узист опишет найдены ли аплазия, киста, гипоплазия, губчатая почка, объемные образования, конкременты. Описывается их количество, расположение, диаметр, эхогенность, эхоструктура, наличие акустической тени.
Как выглядят опухоли почек на УЗИ
- Аденокарцинома - раковая опухоль почки, выглядящая на УЗИ, как темное пятно округлой формы, иногда разделённое светлыми перегородками. Стенка новообразования неровная и тонкая. Внутри часто видны светлые участки-кальцинаты, образованные солями кальция. Опухоль быстро растет, что хорошо видно на повторном УЗИ. Поскольку новообразование быстро дает метастазы, больным нужно обследовать и другие органы, в первую очередь — печень и легкие.
- Переходно-клеточная карцинома - рак лоханки почки. В отличие от камня или кровяного сгустка, с которыми его иногда путают, новообразование не смещается при перемене тела больного. Быстро вызывает появление крови в моче. Разрастаясь, приводит к застою урины в почке, сопровождающемуся коликами.
- Нефробластома (эмбриональная аденомиосаркома, опухоль Вильмса) выявляется у детей в возрасте до 8 лет. На УЗИ выглядит, как крупное темное пятно. Быстро растет, увеличиваясь в размерах и давая метастазы. Причины болезни не выяснены, не исключено влияние наследственности. Считается, что зачатки нефробластомы закладываются внутриутробно. При ее обнаружении нужно обследовать весь организм ребенка на возможность метастаз.
- Ангиолипомы и липомы — доброкачественные опухоли почки, состоящие из жировых, сосудистых и мышечных клеток. Это плотное образование небольшого размера на УЗИ выглядит светлым. Растет очень медленно и не даёт симптомов. Однако во время беременности опухоли могут разрастаться, мешая оттоку мочи и сдавливая сосуды.
- Онкоцитома — доброкачественная опухоль, встречающаяся у мужчин пожилого возраста. Из-за невысокой плотности на УЗИ выглядит темной. Опухоль часто перерождается в рак, поэтому от нее рекомендуют избавляться.
- Кисты — опухолевидные образования в почках выглядящие как полости с жидким содержимым. Имеют равномерную плотную оболочку и четкие контуры, отличаясь от раковых опухолей отсутствием перегородок. Могут быть множественными. В этом случае говорят о поликистозе.

Лечение опухолей почек
Чем раньше обнаружено новообразование, особенно злокачественное, тем лучше прогноз и выше выживаемость. Поэтому при первых симптомах поражения почек нужно обращаться к врачу — урологу, который даст направление на УЗИ. Если патология опухоль окажется злокачественной, лечение продолжит онколог.
При выявлении мелких одиночных доброкачественных опухолей, не мешающих работе почек, операцию делают не всегда. Часто больным назначают наблюдение с регулярным прохождением УЗИ и сдачей анализов. Если доброкачественное образование мешает выделению мочи или вызывает боль, производят его резекцию (удаление). Почку стараются сохранить.
При обнаружении крупных или злокачественных новообразований проводится их удаление с максимальным сохранением тканей органа. При раке дополнительно назначается лучевая и химиотерапия.
В запущенных случаях проводится нефрэктомия (орган удаляется полностью). При диагностике метастаз проводят лучевую и химиотерапию.
УЗ-обследование показано больным, когда-то перенесшим рак почек и излечившимся от него. Онкологические патологии могут возвращаться (рецидивировать) через много лет, поэтому больным нужно тщательно следить за своим здоровьем.

Где выявить опухоль почки и пройти лечение у уролога и онколога в СПБ
Лечить опухоль почки любого типа нужно строго обязательно, так как такая патология опасна для жизни. Обратиться по поводу диагностики и лечения опухоли почки можно в частную клинику Диана в Санкт-Петербурге.
Здесь есть новый экспертный аппарат УЗИ с доплером и другое современное медицинское оборудование . Стоимость УЗИ почек и надпочечников — 1000 руб. В клинике можно сдать все все анализы . Прием ведут опытные урологи и онкологи . Стоимость приема врача — 1000 руб. Повторный прием — 500 руб.
Читайте также:
- Витрэктомия при кровоизлиянии в стекловидное тело при диабетической ретинопатии. Показания
- Период роста в оогенезе. Рост фолликулов
- Обследование детей в дневном стационаре. Оперирование детей в дневном стационаре
- Послеоперационный уход после артроскопического артролиза коленного сустава
- Активация и функция при воспалении в легких.
