УЗИ, МРТ при энцефаломаляции, порэнцефалии у плода
Добавил пользователь Владимир З. Обновлено: 11.12.2025
Оценка состояния плода улучшилась за эти годы благодаря развитию инструментальных методов диагностики. Столкнувшись с более сложными диагнозами, МРТ стала широко использоваться в качестве дополнения к пренатальному УЗИ.
Поскольку показания к МРТ головного мозга плода в основном основаны на, вызывающих подозрение, результатах УЗИ, МРТ плода обычно проводится во второй половине беременности, от 18 до 20 недель.
Наиболее распространенные показания для визуализации головного мозга плода кратко обсуждаются ниже и включают анэнцефалию, вентрикуломегалию, агенезию мозолистого тела, голопрозэнцефалию, гидранэнцефалию, микроцефалию, порок Киари, инэнцефалию, порок развития Денди-Уокера и другие.
Дефекты мозга и ЦНС
Анэнцефалия
Анэнцефалия относится к дефектам заращения передней нервной трубки, с общей частотой приблизительно 1 на 1000 рождений и летальным прогнозом. Анэнцефалия характеризуется отсутствием свода черепа, что приводит к обнажению нервной ткани. Ранний диагноз может быть легко поставлен с помощью УЗИ в первом триместре (Рис. 1).
Рисунок 1: Плод в 13 недель с экзэнцефалией.
А . Сагиттальное УЗИ показывает плоскую головку (стрелка). B, C . Корональные (слева) и сагиттальные (справа) T2-взвешенные изображения (B) и 3-мерные изображения реконструкции магнитно-резонансной томографии показывают дисморфную мозговую ткань в амниотической полости (стрелки).
Вентрикуломегалия
Вентрикуломегалия является одним из наиболее частых патологических изменений головного мозга. Она связана с дисбалансом между продукцией и реабсорбцией спинномозговой жидкости, что приводит к избытку последней. В результате боковые желудочки могут демонстрировать различные степени увеличения, которые могут быть или не быть связаны с дилатацией третьего и четвертого желудочков. Термин вентрикуломегалия используется только тогда, когда ширина одного или обоих желудочков, измеренная на уровне гломуса, составляет ≥10 мм на любой стадии беременности.
В случаях обнаружения при УЗИ вентрикуломегалии, МРТ полезна для оценки паренхимы головного мозга, а также для оценки связанных пороков развития (Рис. 2).
Связи с другими аномалиями встречаются примерно в 70-85% случаев, включая миеломенингоцеле (30%) и травмы головного мозга, такие как агенезия мозолистого тела, пороки развития коры, перивентрикулярная гетеротопия, пороки развития мозжечка, перивентрикулярное повреждение белого вещества и др. Кроме того, могут наблюдаться дефекты, затрагивающие сердце, грудную клетку, почки, брюшную стенку, лицо и конечности. Тем не менее, в некоторых случаях вентрикуломегалия является единственной патологической находкой, которая называется изолированной вентрикуломегалией. В таких случаях риск развития анеуплоидии может быть выше, и необходим более конкретный анализ (Рис. 3).
Рисунок 2: Плод с дилатацией левого желудочка в 35 недель.
А-С . Осевое УЗИ (A), аксиальная T2-взвешенная (B) и корональная T2-взвешенная (C) магнитно-резонансная томограммы показывают дилатацию левого желудочка (звездочки). В левом полушарии, близко к левому желудочку присутствует гетерогенный сигнал (C, стрелка). E . Сагиттальный T2-взвешенный снимок показывает сужение ствола мозга (стрелка). F . Взвешенное по аксиальной диффузии изображение (слева) и соответствующая карта видимых коэффициентов диффузии (справа) показывают гематому вблизи левого желудочка (стрелки).
Рисунок 3: Плод с вентрикуломегалией в 34 недели.
Сагиттальные Т2-взвешенные (слева) и 3-мерные реконструкции (справа) изображения демонстрируют увеличенный задний рог в боковых желудочках (звездочки).
ПРАВИЛЬНО ЛИ ВЫ УХАЖИВАЕТЕ ЗА УЗ-АППАРАТОМ?
Скачайте руководство по уходу прямо сейчас
Агенезия мозолистого тела
Мозолистое тело - важная комиссура, соединяющая полушария головного мозга. Оно формируется от передней к задней комиссуры, за исключением рострума. Агенезия мозолистого тела может быть диагностирована с помощью УЗИ. Диагноз может быть подтвержден на основании косвенных признаков, таких как параллельность боковых желудочков, подъем третьего желудочка, дилатация затылочного рога боковых желудочков, отсутствие извилин и наличие комиссуры Пробста, которая не достигает контралатерального полушария и впоследствии изгибает, вызывая вмятины на передне-медиальной стенке лобного рога (Рис. 4). МРТ плода также может выявить другие аномалии данной системы, включая частичный агенез, дисгенез и гипоплазию. Кроме того, часто встречаются ассоциированные пороки развития с участием супратенториальных и инфратенториальных структур (в 80% случаев), и могут возникать связанные аномалии вне ЦНС, включая врожденные пороки сердца, скелетные дефекты и дефекты мочеполовой системы (в 60% случаев)
Рисунок 4: Плод с агенезией мозолистого тела в 35 недель.
A . Аксиальное УЗИ (слева) и МРТ (справа) показывают увеличенный задний рог бокового желудочка (звездочки). B . Корональная шкала серого (слева) и силовая допплерография (справа) показывают отсутствие поясной извилины и радиального расположения извилины (стрелка). C . Сагиттальная Т2-взвешенная магнитно-резонансная томография также показывает те же особенности, что и при УЗИ. D . Осевая трактография показывает комиссуры Пробста (стрелки).
Голопрозэнцефалия
Голопрозэнцефалия - это заболевание раннего происхождения, наблюдаемое даже во время органогенеза головного мозга и являющееся результатом нарушения расщепления переднего мозга. В зависимости от степени тяжести она классифицируется как алобарная, полулобарная и долобарная, с конкретными данными визуализации для каждой формы. Заболеваемость составляет примерно 1 на 10000 рождений, а прогноз алобарной и полулобарной форм - неблагоприятный.
Выживание при легких формах обычно связано с умственной отсталостью. Развитие лица связано с формированием мозга; следовательно, могут возникнуть дефекты лица, начиная от легкого гипотелоризма до циклопии. УЗИ - очень эффективный метод диагностики алобарной и полулобарной голопрозэнцефалии.
Рисунок 5: Плод в 11 недель с голопрозэнцефалией алобарной формы.
A . Аксиальное УЗИ (слева) демонстрирует слияние таламуса и желудочков (звездочка), что также показано в режиме трехмерного рендеринга (справа) с хоботком (стрелка). B . На передних изображениях трехмерного УЗИ в режимах рендеринга (слева) и HDLive (справа) лица показан хоботок (стрелка). C . Вид профиля трехмерного УЗИ в режимах рендеринга (слева) и HDLive (справа) плода показывает хоботок (стрелка). D . Серийные изображения 3D УЗИ (режим томографической ультразвуковой визуализации) показывают слияние желудочков (стрелка). Аксиальные (слева), корональные (в центре) и сагиттальные (справа) МРТ изображения, взвешенные по Т2, показывают моновентрикулу (звездочки) и слитые полушария головного мозга.
Гидроанэнцефалия
Гидранэнцефалия состоит из полного или почти полного разрушения коры головного мозга и базальных ганглиев. Этиология этого повреждения неоднозначна, и повреждение головного мозга может быть вызвано сосудистыми изменениями (полная и двусторонняя обструкция внутренних сонных артерий) или врожденными инфекциями (цитомегаловирус и токсоплазмоз). Система позвоночной артерии относительно интактна при гидранэнцефалии, что приводит к значительному сохранению структур задней ямки, а также нижней и задней частей височной и затылочной долей. На МРТ, несмотря на отсутствие полушарий головного мозга, ствол мозга, таламус и мозжечок присутствуют. Присутствует также и серп мозга, хотя иногда и уменьшенный, с большим количеством жидкости и некротического мусора над незрелыми таламусом и мозжечком (Рис. 6). При подозрении на гидранэнцефалию дифференциальный диагноз должен включать гидроцефалию и алобарную и полулобарную голопрозэнцефалию.
Рисунок 6: Плод с гидранэнцефалией в 22 недели.
A, B . Осевое УЗИ (A) и 3-мерное УЗИ в режиме рендеринга (B) демонстрируют гидранэнцефалию (звездочки). C . Сагиттальная Т2-взвешенная магнитно-резонансная томография показывает, что паренхима головного мозга образует тонкую полоску с гидранэнцефалией (звездочки).
Микроцефалия
Микроцефалия определяется как значительное уменьшение окружности головы ниже пятого процентиля или на два стандартных отклонения ниже среднего. Обычно она выявляется на 24 неделе, поскольку на этом сроке легче проводить дальнейшую диагностику благодаря контрасту между размером головы и телом плода. Основными причинами являются аутосомно-рецессивные или доминантные расстройства, инфекции (цитомегаловирус, токсоплазмоз, краснуха и вирус Зика), радиация, наркотики, алкоголь и гипоксия.
Рисунок 7: Микроцефалия на 35 неделе после внутриутробной инфекции вирусом Зика.
A . Аксиальное УЗИ показывает паренхиматозные кальцификации (стрелка) и дилатацию бокового желудочка (звездочка). Обратите внимание, что оценка мозга ограничена артефактом затенения окостеневшего черепа. B . Осевая Т2-взвешенная магнитно-резонансная томография показывает гладкую и тонкую кортикальную ленту (стрелка) и увеличенную желудочковую систему (звездочки). C . Сагиттальная Т2-взвешенная магнитно-резонансная томография показывает расширение желудочка (звездочка) и относительную гладкость поверхности мозга, атрофию головного мозга и неоднородную кору (стрелка).
Порок Киари
Пороки развития Киари - это врожденные аномалии заднего мозга, обычно связанные с гидроцефалией. Типы порока I и II являются наиболее частыми. Киари I включает смещение миндалин мозжечка в верхнюю часть шеи, тогда как Киари II - это грыжа червя мозжечка и четвертого желудочка. Киари II встречается в 65% -100% случаев тяжелой расщелины позвоночника. По этой причине, когда подозревается порок развития Киари II, необходимо оценить возможное присутствие ассоциированного менингомиелоцеле. Результаты исследования Киари II при УЗИ включают небольшую заднюю ямку, гипопластические полушария мозжечка и дилатацию желудочков.
Рисунок 8: Плод с пороком Киари II в 26 недель.
A . Аксиальное УЗИ показывает признак грыжи мозжечка (стрелка). Осевое УЗИ показывает признак двусторонней депрессии лобной части черепа и расширение желудочков (звездочки). C, D . Сагиттальные (C) и аксиальные (D) сонографические изображения демонстрируют менингоцеле (стрелки). E . Менингоцеле (стрелка) следует отметить при 3-мерном УЗИ в режиме рендеринга. F. Корональная Т2-взвешенная магнитно-резонансная томография показывает небольшую заднюю ямку, вентрикуломегалию (звездочки) и облитерацию большой цистерны (стрелка). G . Осевая Т2-взвешенная магнитно-резонансная томография показывает расширение желудочка (звездочки). H. Сагиттальная Т2-взвешенная магнитно-резонансная томография показывает расширение желудочка (звездочка) и грыжу мозжечка (стрелка). I. На аксиальном (слева) и сагиттальном (справа) снимках Т2-взвешенной магнитно-резонансной томографии показано менингоцеле (стрелки). J . Трехмерная реконструкция из магнитно-резонансной томографии показывает менингоцеле (стрелка).
Существует еще одна тяжелая форма мальформации Киари, известная как тип III. Эта форма встречается редко и состоит из энцефалоцеле с грыжей содержимого задней ямки (Рис. 9) и иногда затылочной доли. Грыжа ткани всегда аномальна, с областями некроза, глиоза и фиброза.
Рисунок 9.
Инэнцефалия
Инэнцефалия - это редкий порок развития нервной трубки, возникающий в начале эмбрионального развития плода (около третьей недели). Он характеризуется выраженной ретрофлексией головы из-за дефекта в затылочной области с вовлечением поражения позвонков. Изменения позвонков описываются с точки зрения неспособности визуализировать задние дуги из-за слияния с передним аспектом тела позвонка. Лицо обращено вверх, кожа покрывает области нижней челюсти и грудной клетки. Связанные аномалии присутствуют в 84% пораженных плодов, включая гидроцефалию, порок развития Денди-Уокера, энцефалоцеле, менингоцеле, диафрагмальную грыжу, омфалоцеле и аномалии сердечной и аортальной дуги. Данные, полученные при УЗИ, могут указывать на диагноз, но обычно трудно визуализировать весь позвоночник в продольной плоскости, используя эту методику, и детали мозга плода и спинного мозга могут не наблюдаться удовлетворительно. МРТ может очертить внутричерепные и интраспинальные аномалии более подробно (Рис. 10).
Рисунок 10. Плод с инэнцефалией в 28 недель.
A, B . Сагиттальное УЗИ (слева) и трехмерное УЗИ в режиме рендеринга (справа) (A) и сагиттальная Т2-взвешенная магнитно-резонансная томография (B) демонстрируют короткий шейный отдел позвоночника с выраженной ретрофлексией. Следует отметить гидроцефалию (звездочка) и дизрафизм (стрелка).
Синдром Дэнди-Уокера
Порок развития Денди-Уокера - это аномалия развития задней ямки с частотой 1 на 25 000-35 000 живорождений и небольшим преобладанием у женщин. Он характеризуется полным или частичным агенезом червей мозжечка, кистозной дилатацией четвертого желудочка и расширением задней ямки, с превосходящим смещением тенториума и слиянием венозных пазух. Из-за позднего эмбриологического развития мозжечка диагноз агенезии или частичной агенезии червей не может быть предложен до конца 19-й недели, когда черви мозжечка должны быть полностью развиты. Часто встречаются пороки развития, в том числе агенезия мозолистого тела (25%), липома мозолистого тела, порок развития извилины мозга, голопрозэнцефалия (25%), гетеротопия мозжечка (25%). Кроме того, высока частота кариотипических нарушений, в основном трисомии 18 и 13, а также триплоидии (до 40% случаев).
Рисунок 11. Плод с пороком развития Денди-Уокера в 28 недель.
A . Аксиальное УЗИ (слева) и Т2-взвешенная магнитно-резонансная томография (справа) демонстрируют увеличение задней ямки (звездочки). B . Сагиттальная Т2-взвешенная магнитно-резонансная томография показывает кисту задней ямки (звездочка).
Заключение
Диагноз аномалии головного мозга плода является критическим стрессом для родителей, и эффективное консультирование зависит от точного пренатального диагноза. Кроме того, точный диагноз антенатальных состояний важен не только для ведения затронутой беременности, но также и для будущих беременностей, чтобы помочь в выявлении наследственных заболеваний и предоставить информацию для точного дородового консультирования.
Порэнцефалическая киста
Порэнцефалическая киста — это формирование в головном мозге патологических полостей разной формы и размера, заполненных жидкостью. Заболевание возникает первично во внутриутробном периоде под воздействием генетических, тератогенных или гипоксических влияний, а также вторично — на фоне энцефалитов, церебральных кровоизлияний. Порэнцефалия проявляется эпилептическими приступами, снижением двигательных функций, отставанием в интеллектуальном развитии. Диагностика болезни требует выполнения МРТ, КТ, нейросонографии и ЭЭГ. Лечение проводится консервативным (антиконвульсанты, дегидратанты, ноотропы) или хирургическим способом.
МКБ-10
Общие сведения
Впервые термин «порэнцефалия» употреблен 1859 г. при описании дефекта мозговых полушарий у новорожденных. Истинная врожденная порэнцефалия более известна под названием шизэнцефалия. Тяжелая степень патологии называется поликистозом головного мозга. Частота встречаемости составляет около 2-3 случая на 100000 населения, половых различий в заболеваемости нет. Порэнцефалические кистозные образования не теряют своей актуальности в детской неврологии, что связано с отсутствием эффективных методов терапии, риском необратимого неврологического дефицита.
Причины
Первичная (истинная) порэнцефалическая киста формируется во время внутриутробного развития ребенка под действием генетических мутаций (COL4A1, EMX2), гипоксии плода, тератогенных факторов (химические токсины, нейроинфекции, некоторые медикаменты) и обычно манифестирует у новорожденных. Точные причины врожденного порока пока не установлены. Этиологическая структура вторичной порэнцефалии более изучена и включает следующие факторы:
- Воспалительные процессы. Формирование порэнцефалии возможно у пациентов с менингитами, энцефалитами, вентрикулитами, которые имеют затяжное или хроническое течение. Патологические изменения вызваны разрастанием соединительной ткани, заполнением ликвором образовавшейся полости.
- Внутримозговые кровоизлияния. Возникновение порэнцефалических кист возможно при резорбции и организации больших очагов, появившихся после ЧМТ, геморрагического инсульта. Нередко это встречается у новорожденных, перенесших гипоксию или родовую травму головы.
- Оперативные вмешательства. К ятрогенным факторам развития кистозной полости относят осложнения после пункции церебральных желудочков, в том числе при плохом функционировании шунта, продолжающемся гипертензионно-гидроцефальном синдроме.
Патогенез
Порэнцефалия возникает в период внутриутробного развития в результате нарушений морфогенеза церебральных нервных тканей либо при разнообразных расстройствах церебрального кровообращения. В патогенезе играют роль генетически обусловленные нарушения структуры сосудов (при наличии патологических цепей коллагена), тератогенные влияния. У новорожденных важным звеном механизма формирования кистозных образований является гипоксически-ишемическая энцефалопатия.
Размеры патологических полостей широко варьируют, в тяжелых случаях они занимают все мозговое полушарие. Изнутри новообразования имеют гладкую поверхность, покрытую эпендимоподобной оболочкой. Микроскопически определяются участки гетеротопированной коры головного мозга. Порэнцефалические кисты могут быть заполнены ликвором либо кистозной жидкостью, которая имеет желтый цвет, содержит много белковых включений.
Симптомы порэнцефалической кисты
Клиническая симптоматика весьма разнообразна, что зависит от размеров, количества, локализации объемных образований. Крупные кистозные полости манифестируют в период новорожденности или на первом году жизни ребенка. Первыми признаками обычно становятся различные виды судорожных приступов: генерализованные тонико-клонические, простые и сложные фокальные припадки, фокальные пароксизмы со вторичной генерализацией.
Уже в первые месяцы жизни определяется патологическая спастичность мышц, из-за чего у новорожденного или младенца отмечается скованность движений с уменьшенной амплитудой, становление моторных навыков отстает от возрастных норм. Постепенно двигательные нарушения прогрессируют: развиваются парезы и параличи мускулатуры, в процесс вовлекаются мышцы бульбарной группы, что проявляется расстройствами глотания, гуления, произношения первых слов.
Неврологические признаки во многом определяются расположением порэнцефалической кисты. Зачастую поражается зрительный анализатор: снижается острота зрения, сужаются зрительные полей, появляются фотопсии. Поражение височной доли головного мозга чревато ощущением шума в голове, вестибулярными нарушениями, затруднениями речевого развития. При повреждении мозжечка жалобы дополняются тремором рук, неустойчивостью позы и походки.
По мере взросления ребенка когнитивный дефицит становится более заметным. Больные с большими порэнцефалическими кистами значительно отстают в речевом развитии, часто вообще не говорят или изъясняются отдельными словами. Дети страдают различной степенью умственной отсталости, не могут обучаться в обычных классах. Также нередки случаи психических отклонений, прежде всего — расстройств аутистического спектра.
Осложнения
При крупных церебральных полостях у новорожденных первых дней жизни наступают тяжелые нарушения витальных функций, которые заканчиваются смертью в неонатальном периоде. Если ребенка удается спасти, у него выявляется глубокий неврологический дефицит, отсутствует психомоторное развитие, требуется медицинская помощь в отделении интенсивной терапии. Такие пациенты погибают в раннем возрасте.
При формировании синехий в кистозной полости скапливается избыточное количество ликвора, что является предиктором развития гидроцефалии. В таких случаях у новорожденных наблюдается увеличение размеров и деформация головы, учащение судорожных припадков, нарушения сознания. При комбинации порэнцефалии с агенезией мозолистого тела происходит усугубление двигательных нарушений, повышается риск возникновения фармакорезистентной эпилепсии.
Диагностика
При клиническом осмотре новорожденного неонатологом, детей другого возраста ‒ педиатром, а затем детским неврологом определяются разнообразные очаговые признаки: односторонний гемипарез, бульбарный синдром, гипорефлексия, симптомы когнитивного дефицита. К обследованию привлекается детский офтальмолог для оценки состояния глазного дна. Чтобы подтвердить наличие порэнцефалических кист, проводятся следующие диагностические исследования:
- Нейросонография. УЗИ головного мозга — информативный метод обследования новорожденных, с помощью которого визуализируются заполненные жидкостью церебральные полости, определяется их размер и локализация. По показаниям исследование дополняют УЗДГ церебральных сосудов.
- МРТ головного мозга. Самый точный метод верификации диагноза, который показывает все структурные изменения нервной ткани, используется для дифференциальной диагностики истинных кистозных полостей (выстланы диспластическим серым веществом коры) и вторичной порэнцефалии (образования изнутри покрыты белым веществом мозга). Допускается для обследования новорожденных и грудных детей.
- КТ головного мозга. Компьютерная томография выполняется у детей старшего возраста, у взрослых. Новорожденным и младшим детям производится в исключительных случаях по назначению врача. По данным снимков удается обнаружить объемное полое новообразование, которое не имеет солидного компонента, не поглощает рентген-контрастное вещество. Характерная особенность — отсутствие масс-эффекта даже при большом размере порэнцефалической кисты.
- ЭЭГ. Всем больным с судорожным синдромом, включая новорожденных, рекомендуется электроэнцефалография для исследования электрической активности мозга. По ее результатам обнаруживаются участки спонтанной эпилептиформной активности, как правило, сопровождающиеся вторичной билатеральной синхронизацией.
В современной неврологии истинная порэнцефалия в большинстве случаев диагностируется антенатально в ходе планового ультразвукового скрининга беременности. Информация о наличии аномалии необходима акушерам-гинекологам для рационального выбора тактики родоразрешения, планирования экстренной помощи новорожденным в течение первых часов жизни.
Лечение порэнцефалических кист
Специфическая помощь пациентам с порэнцефалическими кистами не разработана, поэтому лечение сводится к поддерживающей терапии. Больные находятся под диспансерным наблюдением детского невролога, в программу обследования входят регулярное проведение нейровизуализации для контроля размеров кисты. В индивидуальный план лечения при порэнцефалии, составленный в соответствии с клиническими проявлениями болезни у пациента, могут включаться:
- Противосудорожная терапия. Для купирования эпилептических приступов подбираются индивидуальные комбинации антиконвульсантов разного типа действия. Требуется постоянный контроль их эффективности, учитывая частые случаи фармакорезистентных судорог при порэнцефалических кистах.
- Симптоматическая терапия. Чтобы активизировать кровоснабжение и трофику церебральных тканей, показаны нейрометаболические препараты, ноотропы, средства, улучшающие микроциркуляцию. При повышении внутричерепного давления применяются осмодиуретики, салуретики.
- Нейрохирургическое лечение. Если возможен оперативный доступ к кистозной полости, осуществляется ее вскрытие, аспирация жидкого содержимого, иссечение сосудистого сплетения. При осложненном течении заболевания необходимо вентрикулоперитонеальное или вентрикулоатриальное шунтирование.
- Реабилитация. Для улучшения координации движений и мышечной силы назначается кинезиотерапия, механотерапия, массаж. Детям необходимы занятия с логопедом, дефектологом, нейропсихологом.
Прогноз и профилактика
При некрупных порэнцефалических кистах прогноз благоприятный, если отсутствует грубый неврологический дефицит. Большие образования, занимающие значительную часть головного мозга несовместимы с жизнью: наблюдается внутриутробная гибель плода либо смерть новорожденного. Профилактика истинной порэнцефалии предполагает правильное ведение беременности и подготовку к родам, вторичной — своевременное лечение воспалительных и сосудистых патологий ЦНС.
1. МРТ-паттерны гипоксически-ишемического поражения головного мозга у доношенных новорожденных/ Т.В. Мелашенко, А.В. Поздняков, В.С. Львов, Д.О. Иванов// Педиатр. — 2017. — №6.
2. Порэнцефалия: случай из практики/ Х.Н. Максудова, Л.М. Шашкина, Д.К. Расулова// Вестник КазНМУ. — 2015. — №2.
УЗИ, МРТ при энцефаломаляции, порэнцефалии у плода
Звоните нам по телефону 8 (812) 241-10-46 с 7:00 до 00:00 или оставьте заявку на сайте в любое удобное время
Ваша заявка принята!
Благодарим за обращение.
В ближайшее время с вами свяжется наш специалист.
Мультикистозная энцефаломаляция: причины, симптомы, диагностика
Множественные кистозные полости в разных частях головного мозга у новорожденных встречаются часто. Большинство видов не представляет опасности, так как проходят самостоятельно к году. Крупные мультикисты вызывают энцефаломаляцию из-за захвата большой части мозговой паренхимы, полушарий.
Характер повреждений ткани определяется способом лучевой нейровизуализации - МРТ головного мозга. Другие синонимы патологии:
- Поликистозная трансформация;
- Мультикистозная энцефалопатия;
- Кистозная энцефаломаляция;
- Мультикистоз головного мозга.
Частое возникновения нозологии у новорожденных объясняется перинатальной патологией, гипоксическими состояниями во время родов, травмами при прохождении по родовым путям. Последствия патологии опасные некрозами, множественными кровоизлияниями внутрь мозговой паренхимы. Болезнь сопровождается сопутствующим разрастанием нейроглии, формированием нефункциональных участков церебральной паренхимы.
Морфологическая структура мультикистозной энцефаломаляции у детей
Разрез головного мозга у погибшего ребенка отмечает ряд морфологических особенностей:
- Уменьшение размеров;
- Множественные кисты, разделенные глиальными перегородками;
- Тонкие прослойки внутри полости (трабекулы);
- Атрофия корковых структур, белого вещества;
- Избыточное скопление жидкости.
Микроскопическое обследование головного мозга позволяет выявить участки скопления кальция внутри кистозных полостей. Вокруг дефектов наблюдаются зоны обызвествления нейронов. Гистологи выявляют астроциты, базофильные волокна, макрофаги, скопление базофильных глыбок внутри аксонов.

Энцефаломаляция у новорожденного МРТ
Причины возникновения церебрального мультикистоза у новорожденных
Основной этиологический фактор - перинатальное поражение ЦНС при инфицировании матери, наличии сопутствующих заболеваний, крупном плоде, рождении ребенка недоношенным. Статистика показывает высокую частоту возникновения перивентрикулярной лейкомаляции у малышей с массой до двух килограмм.
Приобретенная форма мультикистозной лейкомаляции не наблюдается. Основные причины нозологии:
- Употребление наркотиков во время вынашивания ребенка;
- Инфицирование бактериями;
- Воспалительный процесс пуповины (funisitis);
- Микробное заражение плодных оболочек (хориоамнионита);
- Заражение амниотической жидкости;
- Дородовые, вагинальные кровоизлияния беременных;
- Образование плацентарных сосудистых анастомозов.
У новорожденных детей симптомы мультикистоза возникают не сразу, особенности при небольших размерах полостей.
Основные стадии мультикистозной энцефалопатии
Морфологические изменения позволяют предположить степень заболевания:
- Первая - погибают нервные клетки, формируются рубцовая ткань на месте дефекта;
- Вторая - нарушения кровообращения поврежденных участков провоцируют ишемические состояния. Появляются очаги некроза;
- Третья - множественные кисты с перифокальным воспалением обуславливают разрушение белого вещества полушарий, корковых структур. Возникают клинические симптомы.
Выраженная форма заболевания приводит к множественным последствиям гипоксического поражения ЦНС.
Патогенез энцефаломаляции головного мозга
Формирование кист занимает неделю. Под влиянием провоцирующих факторов развивает некроз белого вещества, уничтожаются нейроны. Дефекты растворяются макрофагами, фагоцитами. В местах разрушения образуются кисты. По периферии появляются разрастания нейроглии. Завершающая стадия - развитие рубцовой ткани. Если процесс продолжается, атрофические изменения церебральной ткани развиваются через три-четыре месяца.
Перивентрикулярная лейкомаляция может формироваться внутриутробно, но чаще развивается в первые часы после рождения ребенка. Высокая вероятность мультикистозной перестройки полушарий у новорожденных, матери которых имели сильные токсикозы, болели гепатитом, пиелонефритом.
Врачи родильного отделения диагностируют атипичное состояние малыша:
- Возникает судорожный синдром;
- Атипичные рефлексы;
- Увеличение мышечного тонуса.
Синдром гипервозбудимости прослеживается у 50% детей.
Формы с наличием стадии «мнимого благополучия» характеризуются появлением клинических симптомов на четвертом-восьмом месяце. Проявления обусловлены церебральной недостаточностью, нарушением глотания, повышением давления, снижением количества дыхательных движений.
Последующее прогрессирование нозологии обуславливает стойкое расходящееся косоглазие у шестидесяти процентов детей, церебрального паралича - у 90%.
Основные клинические симптомы мультикистозной лейкомаляции
Признаки заболевания определяются размерами образования. Небольшой очаг провоцирует слабую симптоматику. Локализация крупной мультикисты в лобной доле приводит к самым выраженным проявлениям:
- Сильные боли головы;
- Падение слуха, зрения, тактильной чувствительности;
- Гипертонические сокращения многих мышц конечностей;
- Появление посторонних звуков (слуховые галлюцинации);
- Паралич, парезы конечностей;
- Рвотный рефлекс;
- Повышенное психоэмоциональное состояние;
- Судорожные припадки;
- Пульсация сосудов головного мозга.
Основная симптоматика зависит от расположения поврежденной зоны мозга. Каждый сегмент мозга выполняет определенные функции.
Последствия мультикистоза у новорожденных и грудных детей
Самое опасное осложнение - лейкомаляция перивентрикулярная. Врачи на практике определили зависимости между малым весом малыша и повышенной частотой появления состояния. Особо часто встречается нозология у новорожденных с массой до двух килограмм.
Гипоксическо-ишемические повреждения центральной нервной системы у грудных детей обуславливают опасные для жизни последствия:
- Обширные кровоизлияния;
- Поражение дыхательного и сердечнососудистого центра;
- Инфаркт мозга из дистрофии, размягчения белого вещества.
Обострение состояние прослеживается весной и зимой. Этиологическим фактором патологии является метеорологическая зависимость сосудов женщины.
Причиной смертности могут быть пневмонии, дисстрес-синдромы. Без искусственной вентиляции легких такие дети погибают.
Риск существуют и при нормальной массе новорожденного. Причиной энцефаломаляции являются гипоксические состояния во время внутриутробного развития. Нехватка кислорода приводит к гибели церебральных структур, которые быстро уничтожаются.
Кислородное голодание становится этиологическим фактором последующего запуска целого каскада биохимических, метаболических нарушений. Постепенное прогрессирование заболевания способствует образованию тромбов, возникновению кровоизлияний.
Прогноз для жизни и здоровья зависит от степени мультикистоза, размеров, локализации образований. Локализации кист в области жизненно важных структур сокращает продолжительность жизни малыша. Летальность формируют прогрессирующие множественные кисты полушарий, стволовых структур, корковых структур.
Диагностика лейкомаляции
Определить нозологию сразу после рождения помогает клиническая картина. Выявление любого признака требует подтверждения методами нейровизуализации. Компьютерная, магнитно-резонансная томография (КТ и МРТ) помогают обнаружить все изменения церебральной паренхимы. Нарушение кровоснабжения верифицируются контрастными обследованиями - ангиография.
Энцефаломаляция на КТ визуализируется при наличии средних и крупных кист с рубцовой стенкой. Дифференциальная диагностика с помощью МР-ангиографии позволяет верифицировать первичную мультикистозную энцефаломаляцию головного мозга от эхинококковых и альвеококковых полостей.
У новорожденных роднички представлены хрящевой тканью. До полного зарастания изучать церебральные структуры ребенка позволяет УЗИ или МРТ головного мозга.
Анэнцефалия
Анэнцефалия — это порок развития нервной системы, при котором у плода отсутствуют большие полушария мозга, недоразвиты кости свода черепа, мягкие ткани головы. Аномалия возникает под действием химических, биологических или физических тератогенных факторов. Большинство плодов с анэнцефалией погибают во внутриутробном периоде, и даже при живорождении срок жизни ребенка не превышает нескольких часов. Диагностика выполняется пренатально с помощью УЗИ, МРТ, амниоцентеза, биохимического скрининга. В такой ситуации показано прерывание беременности, при отказе родителей от аборта — оказание паллиативной помощи ребенку.
По данным ВОЗ, пороки развития ЦНС занимают первое место среди врожденных аномалий у плода (25%). Анэнцефалов стоит отличать от ацефалов (акефалов), у которых вовсе отсутствует головной мозг. Анэнцефалия встречается в США и России с частотой 1 на 10000 новорожденных, в Великобритании — 5:10000, в Китае — 8:10000. Заболевание чаще наблюдается у плодов женского пола. Риск повторения анэнцефалии при следующей беременности составляет до 5%, а при рождении женщиной двух детей с этим пороком ЦНС — возрастает до 10%. Вероятность аномалии у кровных родственников составляет не более 3%.
Порок формируется при нарушениях внутриутробной закладки нейроструктур в эмбриональном периоде формирования плода. Он считается мультифакториальным, точные причины такого состояния окончательно не установлены. Ученые предполагают, что появление анэнцефалии связано с воздействиями негативных факторов на ранних этапах беременности. Типичными тератогенными влияниями считаются:
К предрасполагающим факторам со стороны родителей относят генетические — наличие различных генных мутаций, частые случаи родственных браков и кровосмешения. Риск аномалий развития ЦНС у ребенка повышается, если в организме матери низкий уровень йода, фолатов и других витаминов группы В. Вероятность анэнцефалии повышается при тяжелом течении гестации, наличии у беременной женщины экстрагенитальных патологий: сахарного диабета, сердечной недостаточности, гипотиреоза.
Патоморфологически головной мозг плода с анэнцефалией представляет собой геморрагическую массу, в основном выполненную в виде недоразвитой сосудистой ткани, с элементами глии, единичных нервных клеток. Гистологически определяются аномальные сосуды, хориоидальные сплетения, беспорядочно расположенные фибробласты, кистозные полости с медуллярным эпителием. Ствол мозга и спинной мозг обычно имеют патологические структурные изменения, однако они выражены не так интенсивно.
Симптомы анэнцефалии
У живорожденных младенцев с анэнцефалией резко уменьшена мозговая часть черепа, отсутствуют плоские кости, недоразвиты мягкие ткани. На месте головного мозга находится аномальная сосудистая ткань, которая может быть покрыта кожей.
Такие дети пребывают в бессознательном состоянии, они слепые и глухие, не реагируют ни на какие внешние стимулы. Зачастую есть сопутствующие пороки: спинномозговые грыжи, патологии надпочечников, расщелины неба.
Хотя большинство живорожденных пациентов погибает практически сразу, в медицине описано по крайней мере три случая, когда дети смогли прожить более 2-х лет. Долгожителем среди анэнцефалов считается девочка Стефани Кин (более известная по прозвищу Бэби Кей), которая прожила 2,5 года и умерла от остановки сердца. У нее были проблемы с дыханием, которые требовали проведения ИВЛ. Двухлетний рубеж также преодолели Джексон Буэлл из Бостона, Виктория де Кристо из Бразилии.
Однако продление срока жизни анэнцефалов возможно только при постоянной кардиореспираторной поддержке, восполнении нутритивных потребностей. Ввиду отсутствия большей части мозга состояние младенцев остается стабильно тяжелым вплоть до смерти. Объем и необходимость паллиативной помощи для таких новорожденных поднимает важные вопросы биомедицинской этики.
Анэнцефалия признана 100% летальным пороком. В 75% случаев гибель плода происходит пренатально, что чревато замершей беременностью. Если это состояние не будет вовремя обнаружено, существует риск септических осложнений у женщины. К казуистическим на сегодня последствиям внутриутробной гибели плода относят литопедион, мумификацию плода. В остальных 25% случаев смерть младенца наблюдается в течение первых дней после родов из-за несовместимых с жизнью нарушений.
Аномалия обнаруживается антенатально во время плановых ультразвуковых скринингов беременности. Такой диагноз является абсолютным показанием к прерыванию беременности независимо от возраста плода, поэтому на акушеров-гинекологов ложится большая ответственность — необходимо как можно раньше установить диагноз, чтобы снизить риски для женщины. Для обнаружения порока применяются следующие методы:
- Пренатальное УЗИ. Ультразвуковое сканирование — основной способ диагностики, который при анэнцефалии демонстрирует неправильную форму головы, недоразвитие костно-мышечных структур черепа, отсутствие больших полушарий. Однако остальные структуры тела обычно развиты нормально. УЗИ позволяет выявить патологию с 11-12 недели гестационного срока.
- МРТ плода. Магнитно-резонансная томография — безопасный и наиболее информативный метод уточнения анатомических особенностей ЦНС, если результаты УЗИ дают сомнительную картину. Исследование проводится с 14-15 недель беременности.
- Амниоцентез. Инвазивная диагностика с забором околоплодных вод необходима, чтобы определить биохимические показатели, выполнить дифференциальную диагностику с врожденными синдромальными заболеваниями, вызванными генными или хромосомными мутациями.
- Биохимический скрининг. Заподозрить патологию удается по повышению уровня хорионического гонадотропина и альфа-фетопротеина, снижению количества протеина-А в первом триместре беременности.
Женщинам, которые планируют прервать беременность при выявленной анэнцефалии плода, требуется расширенная диагностика. Назначается стандартное гинекологическое исследование, а также набор анализов: клиническое исследование крови, анализы на вирусные гепатиты, ВИЧ-инфекцию. Впоследствии пациенткам рекомендовано медико-генетическое консультирование, чтобы оценить риски врожденных пороков при последующих беременностях.
Лечение анэнцефалии
Решение о прерывании беременности должны принимать родители. Единственным исключением является мертвый плод, когда женщине требуется экстренное хирургическое вмешательство. Живорожденным детям с анэнцефалией можно оказать только паллиативную помощь. Около 66% таких детей живут несколько часов после рождения, остальные погибают в первые минуты. Основные направления медицинской помощи при анэнцефалии:
- Респираторная поддержка. У детей случаются кризы в работе дыхательной системы, требующие назначения ИВЛ для адекватной оксигенации тканей организма.
- Нутритивная поддержка. Применяется парентеральное питание с использованием растворов глюкозы, специальных аминокислотных смесей для новорожденных.
Важной составляющей является психологическая помощь родителям на всех этапах от момента диагностики аномалии у плода, поскольку это становится тяжелым испытанием для семьи, у женщин зачастую возникают депрессии, апатии, суицидальные мысли. Помощь оказывают психологи, психиатры (в случае серьезных нарушений психоэмоционального состояния), верующим людям можно порекомендовать обратиться к представителям религии.
Прогноз неблагоприятный, поскольку анэнцефалия заканчивается внутриутробной смертью плода или летальным исходом вскоре после того, как родился живой ребенок. Современные возможности медицины позволяют обеспечить такому младенцу достойный уход из жизни, если родители приняли решение не прерывать беременность.
Учитывая разнообразие предрасполагающих факторов, эффективные меры профилактики этого состояния пока не разработаны. Положительным для предупреждения тяжелых аномалий плода является прием беременной по назначению гинеколога витаминных добавок с солями фолиевой кислоты, дополнение рациона зелеными листовыми овощами, фасолью, апельсиновым соком, содержащими фолаты.
1. Особенности врожденных пороков головы и шеи/ В. А. Белая// Актуальная медицина: материалы I Студенческой научно-теоретической конференции, посвященной 120-летию со дня рождения С. И. Георгиевского. - 2018.
2. Эпидемиология анэнцефалии в крымском регионе/ Н. Н. Каладзе и др./ Таврический медико-биологический вестник. - 2018. - №1.
3. Анэнцефалия/ А.С. Николаева, И.С. Коршиков// VII Всероссийская (81-й Итоговая) студенческая научная конференция

Заболевания
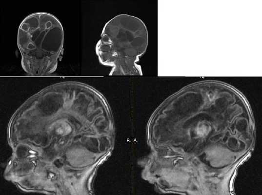
Порэнцефалия
Морфология: Порэнцефалия - это ликворосодержащая полость, связанная с субарахноидальным пространством или желудочками мозга. Порэнцефалия может быть истинной и ложной, которые отличаются наличием или отсутствием серого вещества по краю расщелины.
Истинная порэнцефалия (шизэнцефалия) всегда носит врожденный характер и предполагает существование расщелин в веществе мозга, которые соединяют желудочек и субарахноидальное пространство.
Вторичная порэнцефалия является последствием травмы, воспалительных процессов (менингита, энцефалита, вентрикулита), цереброваскулярных поражений (внутримозгового кровоизлияния), оперативного вмешательства (в том числе после пункции желудочка, а также возникает вследствие плохого функционирования шунта).
Радиографические признаки:
При УЗ-исследовании в антенатальный период могут визуализироваться одна/несколько внутричерепных кист, которые сообщаются с желудочковой системой и/или субарахноидальным пространством. Также может наблюдаться асимметрия боковых желудочков - смещение срединного эха.
Порэнцефалические кисты проявляются в виде интракраниальных кист с кхорошо очерченными краями и центральной плотностью, соответствующей таковой для ЦСЖ. Не наблюдается масс-эффекта на прилежащую паренхиму, хотя кисты большого размера могут оказывать локальное воздействие. Порэнцефалические кисты не имеют солидного компонента и не накапливают контрастное вещество.
Как и на КТ, порэнцефалические кисты хорошо визуализируются при МРТ, и часто их локализация соответствует сосудистой территории. Кисты ограничены белым веществом головного мозга, в котором может наблюдаться глиоз (как говорилось выше, это зависит от период, в котором произошел инсульт; чаще наблюдается в семейных случаях). Еще раз стоить отметить, что поверхность кисты не выстилается серым веществом, что характерно для арахноидальных кист и шизэнцефалии. Обычно кисты сообщаются с желудочковой системой и/или субарахноидальным пространством.
Читайте также:
- ЭКГ при трансмуральном инфаркте. ЭКГ при инфаркте переднеперегородочной области
- Примеры локализованной фиброзной опухоли плевры (ЛФОП) на рентгене, КТ, МРТ
- Гемофилия
- Этапы и техника пластики барабанной перепонки (тимпанопластики)
- Лейомиома сосудистой оболочки глаза: признаки, гистология, лечение, прогноз
