УЗИ, МРТ при хориангиоме плаценты
Добавил пользователь Cypher Обновлено: 03.11.2025
Плацента формируется из базальной части децидуальной оболочки и разросшихся ворсин ветвистого хориона. Большинство ворсин «плавают» в крови матери, циркулирующей в межворсинчатом пространстве. Поверхность ворсин покрыта синцитиотрофобластом, поверхность которого имеет микроворсинки для резорбции. Цитотрофобласт образует сплошной слой в первой половине беременности, во второй половине беременности ворсины утрачивают цитотрофобласт.
Материнская часть плаценты представляет собой утолщенную часть децидуальной оболочки. В ней образуются углубления, в которых циркулирует материнская кровь и в которые погружаются ворсины. Между углублениями образуются выступы (перегородки), в которых проходят спиральные маточные артерии и к которым прикрепляются якорные ворсины. Клиническая картина многих осложнений беременности, развивающихся во II—III триместрах беременности, часто служит проявлением патологического процесса, сформировавшегося еще в период плацентации.
В современной литературе относительно возможностей оценки структуры и функции плаценты существуют совершенно полярные точки зрения — от традиционной приверженности к оценке ее структуры до полного отрицания данной оценки. В разные годы проводились попытки при помощи структуры плаценты уточнить степень зрелости внутриутробного плода, выявить течение внутриутробной инфекции. Большинство из предложенных критериев имеет ограниченное значение в диагностике антенатальной патологии и может быть интерпретировано только в совокупности данных, полученных при УЗИ. Во многих ситуациях выявляемые при эхографии нарушения структуры плаценты бесспорны и играют важную роль в оценке и прогнозировании течения гестации.
Аномалии локализации. Низкое расположение плаценты: край плаценты определяется менее чем на 6 см от уровня внутреннего зева во II и III триместрах беременности. Предлежание плаценты определяют в случае, если ткань плаценты перекрывает внутренний зев шейки матки. Виды предлежания: полное, частичное, краевое [2, 3].
Особенности структуры. Старение плаценты — инволютивно-дистрофические процессы, которые происходят с увеличением срока беременности, имеют эхографические признаки. По классификации P. Grannum, при неосложненном течении беременности плацента последовательно проходит степени созревания от 0 до III. Степень обнаруживается в сроке до 30 нед; I степень в 27—36 нед; II степень в 34—39 нед; III степень после 36 нед. Ультразвуковые признаки преждевременного созревания плаценты: обнаружение II степени до 32 нед; III — до 36 нед (цит. по [4]). Если нет задержки роста и нарушений гемодинамики плода, кальциноз плаценты следует рассматривать как фактор риска снижения функциональной активности плаценты.
Приращение (врастание) плаценты. По данным литературы [5—10], placenta creta является редкой формой плацентарных аномалий — около 15% случаев среди всех наблюдений приросшей плаценты. Заболеваемость возросла в 10 раз за последние 50 лет, что отражает быстро растущее число кесаревых сечений. Врастание плаценты является результатом частичного или полного отсутствия губчатого слоя децидуальной оболочки вследствие атрофических процессов в эндометрии. Различают три варианта инвазии плаценты: pl. accreta, pl. increta, pl. percreta. Эта классификация условная, поэтому в настоящее время рекомендуют употреблять термин creta [11].
Ультразвуковые признаки аномального прикрепления плаценты: расположение плаценты в зоне рубца на матке; истончение или отсутствие миометрия на отдельных участках в зоне расположения плаценты; лакуны в структуре, диффузное утолщение плаценты; диффузный или локальный интраплацентарно-лакунарный кровоток с высокоскоростным турбулентным потоком венозного типа; типичный хориальный кровоток в атипичном месте; патологическое сосудистое соединение плаценты с мочевым пузырем с низкорезистентным артериальным плацентарным кровотоком; расширение периферических субплацентарных васкулярных каналов с венозным пульсационным потоком над шейкой матки [5—10].
Ретрохориальные гематомы, отслойки плаценты. Отслойка плаценты возникает вследствие нарушения ее прикрепления к стенке матки, что приводит к кровотечению из сосудов децидуальной оболочки.
Частота преждевременной отслойки нормально расположенной плаценты (ПОНРП) колеблется от 20,0 до 45,1% [12—14].
Среди причин ПОНРП называют гипертоническую дисфункцию миометрия [15], гипертоническую болезнь, травмы живота, курение, отслойки и субхориальные гематомы в анамнезе [16—18]; восходящий амниохорионит, многократные аборты, привычное невынашивание, преэклампсию, аутоиммунные заболевания [13, 19], а также аденомиоз плацентарного ложа и хронический эндометрит [15].
Современная гипотеза ПОНРП [16, 17] предполагает участие в отслойке в условиях дефицита протеина C и протромбина гемореологических и генетических факторов в сочетании с доминированием генетических дефектов гемостаза — мутации фактора V Лейдена. Утверждают, что первичные гемореологические нарушения в плаценте обусловлены структурными изменениями микроворсинок или щеточной каемки синцитиотрофобласта (СЦТБ), с нарушением их целостности, высоты и регулярности распределения на поверхности клеток в условиях нарушенного гемостаза [20]. Деструкция микроворсин сочетается с недостаточностью первой, второй волны инвазии цитотрофобласта и децидуализации, а также склерозом базального эндометрия, возникающего в исходе эндометрита [20, 21]. Развившийся дисбаланс между гиперкоагуляционными возможностями материнской крови и противосвертывающей системой микроворсинок сопровождается нарушениями маточного и плацентарного кровообращения. Изменения гемостаза — причина и следствие ПОНРП. В развитии ПОНРП большое значение придают антифосфолипидному синдрому (АФС), генетическим дефектам гемостаза (мутация фактора V Лейдена, дефицит ангиотензина-II, дефицит протеина C и пр.), предрасполагающим к тромбозам. Тромбофилия, развивающаяся вследствие этих нарушений, препятствует полноценной инвазии трофобласта, способствуя дефектам плацентации, ПОНРП [20].
Выявлено 4 взаимосвязанных механизма развития ПОНРП. Первые 2 предусматривают расстройства гемодинамики в маточно-плацентарной области в период нидации, имплантации и плацентации, сочетающиеся с нарушением инвазии цитотрофобласта и, следовательно, незавершенным ремоделированием спиральных артерий. Последующие механизмы ПОНРП включают нарушение целостности СЦТБ ворсин с локальным снижением активности антикоагуляционных механизмов, а также приобретенные и врожденные тромбофилии. Указанные механизмы приводят к морфологическим нарушениям в последе и нарушениям кровообращения в межворсинчатом пространстве [22].
В ранние сроки беременности при отслойке амниотических оболочек прогноз более благоприятный, чем при отслойке ворсистого хориона. Если площадь отслойки плодного яйца занимает менее ¼ площади — прогноз благоприятный; при гематомах, отслаивающих 1/3 площади хориона и более, может наступить внутриутробная гибель эмбриона [23].
Типы отслойки плаценты. По отношению к амниотическим оболочкам:
— ретроплацентарный — между плацентой и миометрием;
— субхориальный — между плацентой и амниотической оболочкой (не имеет клинической симптоматики).
По месту формирования гематомы:
— центральная отслойка плаценты;
— краевая отслойка, чаще встречается при низком расположении, предлежании плаценты;
— субамниотические гематомы, которые формируются вследствие разрыва хориальных сосудов около корня пуповины.
Утолщение плаценты чаще всего происходит при иммунных конфликтах, инфекционных процессах, сахарном диабете, тромбофилических состояниях.
Расширение межворсинчатого пространства — один из самых частых ультразвуковых симптомов при структурных изменениях плаценты. При УЗИ выявляются множественные гипоэхогенные включения в плаценте различной локализации, неправильной формы, с ламинарным током крови в них. Расширение межворсинчатого пространства может быть проявлением патологии свертывающей системы крови, плацентарной недостаточности [22].
Добавочная доля плаценты (placenta bilobata). Диагностируется на основании выявления участков плацентарной ткани, между которыми имеется свободная зона. В послеродовом периоде может осложниться отрывом добавочной дольки, ее задержкой в полости матки и послеродовым кровотечением [23].
Кольцевидная плацента (placenta membranacea). Развивается вследствие нарушения дифференциации на ворсинчатый и гладкий хорион. Характеризуется большой площадью прикрепления, в том числе в области внутреннего зева, притом ее толщина даже в конце беременности не превышает 10 мм. Может сочетаться с патологическим прикреплением, задержкой роста плода (ЗРП), преждевременными родами, антенатальной гибелью плода [24].
Плацента, окруженная валиком (placenta circumvallata). Относится к экстрахориальному типу плацентации, при котором плодовый край плаценты поднят, завернут, а амниальные оболочки отходят не от края плаценты, а от ее внутренней (материнской) поверхности. При эхографии чаще всего визуализируется перетяжка между полюсами плаценты, так называемая плацентарная полка, состоящая из амниальных оболочек. Данный ультразвуковой признак визуализируется во II триместре и не визуализируется в III триместре беременности. Оптимальный срок для выявления — 13—14 нед, первое скрининговое УЗИ. При данной патологии несколько чаще встречаются ЗРП, гипоксия плода, дородовое излитие околоплодных вод, преждевременные роды, кровотечение в родах [25].
Субамниотические кисты плаценты. Анэхогенные однокамерные образования над плодовой поверхностью плаценты. Размеры от 5 до 7—8 см, чаще всего являются следствием субамниотических гематом, возникающих в конце I или начале II триместра.
Хорионангиома плаценты. Доброкачественная опухоль плаценты, размеры которой могут варьировать от нескольких миллиметров до 7—8 см, как правило, одиночная, но может быть представлена несколькими мелкими узлами. Обычно она располагается на плодовой поверхности плаценты.
При УЗИ представляет собой образование с четкими контурами, неоднородной эхоструктурой с кистозным и солидным компонентом. Иногда хорионангиомы бывают гомогенными с множественными перегородками или пониженной эхогенности с неоднородной структурой. В ряде случаев хорионангиома имеет эхографическое сходство с миоматозными узлами, гематомами в стадии организации, липомой плаценты. При цветовом допплеровском картировании (ЦДК) внутри опухоли визуализируются сосуды разного калибра. Осложнения хорионангиомы зависят от ее размеров [26].
Пузырный занос — это перерождение ворсин хориона в пузырьки с жидкостью, разрастание эпителия ворсин, особенно синцития.
Полный пузырный занос (ППЗ) — генетически обусловленное тотальное поражение трофобласта, хромосомный набор чаще диплоидный, 46ХХ, обе хромосомы — отцовские. В 3—13% встречается комбинация 46ХУ, где все хромосомы — отцовские. ППЗ характеризуется отсутствием признаков зародышевого и эмбрионального развития. Злокачественная трансформация возникает в 20% наблюдений, при 46ХУ чаще развивается метастатическая опухоль.
Неполный пузырный занос — частичное перерождение плаценты, при котором эмбрион продолжает развиваться, всегда триплоидный, с 1 материнской хромосомой (чаще — 69ХХУ, 69ХХХ, реже — 69ХУУ), имеются фрагменты нормальной плаценты и плода [27]. Эхографические критерии полного пузырного заноса: увеличение размеров матки, несоответствие сроку беременности, эмбриона и его частей в полости матки нет, содержимое полости — бесформенные гиперэхогенные структуры с множеством кистозных образований, граница опухоли и миометрия отчетливая, ровная, возможна визуализация расширенных сосудов миометрия.
Мезенхимальная дисплазия плаценты (МДП) — редкое нарушение, связанное с необычной аномалией стволовых ворсинок плаценты, характеризуется плацентомегалией, кистозной дилатацией и образованием везикул, сосудистыми аномалиями [28].
Ультразвуковая картина МДП достаточно характерна и заключается в диффузном утолщении плаценты, множественных кистозных полостях, занимающих часть плаценты или всю ее площадь. Кистозные полости при МДП имеют существенные отличия от частичного пузырного заноса: размеры кист позволяют дифференцировать их в виде отдельных округлых анэхогенных структур с ровными четкими контурами, гладкой внутренней поверхностью. Архитектоника сосудистой сети не нарушена, топография плацентарных сосудов соответствует строению нормальной сосудистой сети плаценты. Извитые, расширенные сосуды стволовых ворсин могут четко определяться при ЦДК.
Вирусные инфекции. Изучение плаценты при вирусной инфекции проводится уже несколько десятилетий. Впервые еще в 1965 г. [29] отмечен ряд изменений морфологической картины плаценты при ее инфицировании вирусами простого герпеса: неровные контуры ядра с неравномерно распределенным хроматином; крупные, гиперхромные, бесструктурные ядра, цитоплазма амниоцитов оксифильная либо слегка базофильная, ацидофильный некроз значительных участков амниона, отечность стромы [30, 31]. В хориальной пластинке и ворсинчатой строме обнаруживаются группы клеток с гиперхромными ядрами, скопления лимфоидных клеток [31]. Поражение сосудов ворсинчатого хориона разного калибра проявляется отеком, утолщением стенок, очаговыми или диффузными инфильтратами стенок, сужением или даже облитерацией сосудов. В межворсинчатом пространстве — небольшие скопления лимфоидных клеток и плазмоцитов, отложения фибрина и реже кровоизлияния. В части ворсин обнаруживались мелкие пылевидные или более крупные глыбки кальция. Характерно также наличие кальциноза, фиброза, образования кист. В оболочках плаценты изменения были такого же рода. Они характеризовались прогрессирующим поражением плаценты с наличием в инфильтратах плазмоцитов, периваскулярным или диффузным фиброзом стромы ворсин. В сосудах отмечался тромбоз с облитерацией просветов и кальцинозом. Число капилляров в ворсинах резко снижено. При герпесе в ткани плаценты возникают характерные структурные изменения всех слоев с поражением как эпителиальных структур, так и сосудистого русла [31, 32].
При УЗИ плаценты при инфекционных заболеваниях картина неспецифична: в структуре плаценты определяются мелкие расширения межворсинчатых пространств, утолщение плаценты, преждевременное старение и кальциноз [32].
Вирусный гепатит. Среди всех известных нозологических форм наиболее актуальными являются гепатиты В и С [33]. В литературе описаны следующие морфологические изменения в плаценте: гипоплазия плаценты — в 24% наблюдений, нарушение созревания ворсин — в 32%, диссоциированное созревание, инфаркты, псевдоинфаркты — в 30%, аномалии развития сосудов пуповины — в 8%, плацентит — в 17%, хориоамнионит — в 52% [28]. Ультразвуковые признаки также неспецифичны и характерны для плацентарной недостаточности: увеличение или уменьшение толщины плаценты (диффузное или локальное утолщение плаценты, «тощая» плацента); изменение индекса амниотической жидкости (многоводие или маловодие); преждевременное старение и кальциноз плаценты [34].
Такие же изменения характерны и для других инфекционных заболеваний, таких как цитомегаловирусная инфекция [32].
Сахарный диабет. Для последов родильниц с сахарным диабетом (СД) характерной морфологической картиной является незрелость ворсинчатого дерева с отложением фибpинoидa мeжду вopcинками. При этом частота диссоциированного и преждевременного созревания ворсин (6,5% против 6,4%) одинакова при наличии или в отсутствие диабетической фетопатии. Состояние сосудистого дерева плацент у беременных с СД характеризуется наличием облитерационной ангиопатии, которая чаще встречается при СД 1-го типа (52,4%), реже при гестационном СД (38,1%) и СД 2-го типа (9,5%). При эхографии отмечаются утолщение плаценты и расширение межворсинчатых пространств без специфических структурных изменений [35—37].
Тромбофилии. Беременность всегда сопровождается состоянием гиперкоагуляции, что связано с повышением уровня фибриногена, протромбина, развивается так называемая гравидарная тромбинемия, значительно — на 50—80% — возрастает уровень FVIII, FIX, FX факторов свертывания крови. Одновременно снижается активность системы фибринолиза и физиологических антикоагулянтов: повышается активность ингибитора активатора плазминогена с одновременным повышением уровня активаторов плазминогена — t-PA, u-PA, FXII [38—41]. На фоне тромбофилии происходят также изменения в плаценте: нестойкость баланса гемостаза в системе мать—плацента возникает в течение осложненной беременности, когда под влиянием ряда факторов появляются многочисленные повреждения эпителиального покрова ворсин плаценты, приводящие к нарушению щеточной каймы, оголению базального слоя и даже стромы ворсин и высвобождению дополнительных плацентарных коагулирующих агентов. Последнее сопровождается активацией внешней системы свертывания, а в дальнейшем запускает внутренний путь коагуляции материнской крови в межворсинчатом пространстве.
Морфологические исследования последа при тромбофилии у матери выявили многочисленные структурные изменения, связанные с гиперкоагуляцией: в интервиллезном пространстве — очаги отложения фибриноида с замуровыванием ворсин; псевдоинфаркты, тромбы, кровоизлияния в децидуальной базальной пластине; увеличение объемной плотности межворсинчатого фибриноида в 5—10 раз; уменьшение объемной плотности терминальных ворсин в 2—3 раза; уменьшение объемной плотности базальной пластины в 1,4—1,2 раза, что может способствовать развитию преждевременной отслойки плаценты.
При наследственной тромбофилии в плаценте была выявлена незрелость ворсин (варианты промежуточных дифференцированных ворсин и диссоциированного созревания котиледонов) [42—44].
В настоящее время ультразвуковая картина плаценты при тромбофилии не описана, хотя логично предполагать, что эти патологические процессы будут отражаться в структурных особенностях плаценты при эхографии. Клиническую целесообразность данных исследований подтверждают слова А.Н. Дробинской и соавт. [44]: «Возможность клинико-морфологической диагностики наследственной тромбофилии позволяет определить причину осложнений и прогноз беременности, а при своевременной коррекции гемореологических нарушений у беременных с тромбофилией они имеют шанс выносить беременность. Знание морфологических основ плацентарной недостаточности при наследственной тромбофилии необходимо для совершенствования методов своевременной коррекции гемореологических нарушений».
Заключение
Таким образом, структурные изменения в плаценте при УЗИ во многих ситуациях играют важную роль в оценке и прогнозировании течения беременности, например при аномалиях локализации и прикрепления, гематомах, отслойках и кистах плаценты, трофобластических заболеваниях. Однако большинство эхографических критериев встречаются при самых различных патологических состояниях и могут быть интерпретированы только при анализе совокупности данных, полученных при УЗИ. Кроме того, представляет научный интерес и имеет большое практическое значение изучение особенностей изменений в плаценте при наследственной тромбофилии, которые могут быть выявлены при ультразвуковом (допплерометрическом) исследовании.
Сведения об авторах
Хориоангиома плаценты ( Гамартома плаценты , Гемангиома плаценты )
Хориоангиома плаценты — это сосудистая плацентарная опухоль, происходящая из тканей зародыша. Обычно протекает бессимптомно. Может проявляться многоводием, признаками фетальной гипоксии. Диагностируется с помощью УЗИ, допплерографии маточного кровотока. Рекомендован мониторинг состояния плода с использованием фетометрии, КТГ, фонокардиографии, эхокардиографии. Для лечения применяют производные индолилуксусной кислоты, токолитики, ангиопротекторы, мембраностабилизаторы, противогипоксические средства, разгрузочный амниоцентез, внутриматочную внутриутробную гемотрансфузию, методы деваскуляризации опухоли. При наличии больших хориоангиом плаценты показано кесарево сечение.
МКБ-10
Общие сведения
Хориоангиома (гемангиома, гамартома) плаценты — наиболее распространенная доброкачественная неоплазия плацентарной ткани, которая встречается с частотой 0,2-139 случаев на 10 000 родов. Однако при более тщательном морфологическом исследовании последа характерные патогистологические изменения обнаруживают не менее чем в 1% материалов.
Хориоангиомы плаценты представляют собой нетрофобластические опухоли, которые состоят из множества капилляров, образованных на 2-3 неделе гестационного срока из примитивной хориальной мезенхимы. Обычно плацентарные гемангиомы выявляют на 19-36 неделях беременности. Актуальность своевременной диагностики заболевания обусловлена высоким риском гипотрофии плода и его антенатальной гибели при гиперваскуляризированных опухолях размерами больше 50 мм.
Причины
Этиология формирования гамартом плацентарной ткани на сегодняшний день окончательно не установлена, что связано с небольшим количеством клинических случаев заболевания. На основании тщательного анализа статистических данных специалисты в сфере акушерства и гинекологии выделили три возможные причины, с которыми чаще ассоциируется хориоангиоматоз:
- Хромосомные аномалии. Подтверждением роли генетических факторов и врожденных пороков развития служит увеличение частоты патологии в 4-6 раз при наличии единственной артерии пуповины, гемангиом кожи плода. Хориоангиомы часто сочетаются с болезнью Эдвардса, врожденными пороками сердца, сосудистыми аномалиями, гидроцефалией.
 - Осложнения беременности. Вероятной причиной образования гамартомы плаценты может служить изосерологическая несовместимость крови матери и ребенка. В пользу этой теории свидетельствует более частое выявление разрастания сосудов при Rh-конфликтах. Факторами риска также служат многоплодная беременность, внутриутробное инфицирование плода.
 - Экстрагенитальная патология. Пациентки с диагностированной хориоангиомой чаще других беременных страдают сахарным диабетом. Опухолевый процесс, вероятно, вызывается характерными для эндокринопатии микроциркуляторными нарушениями. Повреждение сосудов никотином может провоцировать образование плацентарных гемангиом у женщин с никотиновой зависимостью.
 
Патогенез
Хориоангиома плаценты образована капиллярами плода, разросшимися внутри хорионических ворсинок. Пусковой фактор усиленного ангиогенеза пока неизвестен. Патогенез расстройств, выявляемых при крупных сосудистых опухолях, обусловлен особенностями распределения кровотока в разветвленном капиллярном русле гемангиомы. Депонирование крови хориоангиомой приводит к недостаточному получению питательных веществ и кислорода плодом. «Вихревой» кровоток в извитых сосудах крови может спровоцировать возникновение дефицита ряда свертывающих факторов и нарушения в системе гемостаза. Образование артериовенозных шунтов в больших плацентарных гемангиомах сопровождается увеличением венозного возврата к сердцу ребенка и усилением сердечного выброса. В ряде случаев гемодинамические нарушения потенцируют фетальную анемию. Течение опухолевого процесса доброкачественное. Гамартомы плаценты не метастазируют в другие органы.
Классификация
Систематизация вариантов хориоангиом плаценты основана на учете особенностей их гистологического строения, соотношения стромы и сосудистых элементов. Хотя зачастую состав опухоли является смешанным, на основе ведущего компонента оправдано выделять три гистологических типа плацентарных гемангиом, которые отличаются вероятностью развития опасных для ребенка осложнений и степенью выраженности симптомов:
- Низкодифференцированные солидные образования. В структуре неоплазии преобладают клеточные элементы с низкой степенью дифференциации. Степень развитости сосудистого компонента может быть разной. Клиническая симптоматика обычно отсутствует.
 - Ангиобластические хориоангиомы. Опухоли с преобладанием ангиоматоза - наиболее распространенные и опасные. Для них характерна разветвленная сосудистая сеть и артериовенозные шунты. Фетальные потери при таких гемангиомах достигают 30%.
 - Дегенеративные опухоли. Новообразование обычно является солидным и отличается низкой степенью васкуляризации. За счет дегенеративных изменений внутри хориоангиомы и по ее периферии формируются бессосудистые полости. Протекает бессимптомно.
 
Симптомы хориоангиомы плаценты
При небольших новообразованиях нарушения в работе фетоплацентарного комплекса минимальны или отсутствуют. Беременная обычно не предъявляет каких-либо жалоб на субъективное ухудшение состояния. Выраженность клинической симптоматики при плацентарных хориоангиомах напрямую связана с размером сосудистой неоплазии. По данным исследований, в 14-33% случаях заболевания отмечается многоводие, которое внешне проявляется увеличением объема живота больше гестационного срока. При возникновении осложнений со стороны плода женщина может отмечать сначала учащение его шевелений, а затем урежение вплоть до замирания.
Осложнения
Осложненное течение хориоангиоматоза обычно отмечается при сосудистых образованиях ангиобластического типа размерами более 50,0 мм. Артериовенозное шунтирование приводит к развитию фетальной анемии, тромбоцитопении, гипопротеинемии, кардиомегалии, сердечной и печеночной недостаточности. При выраженных метаболических нарушениях возможна задержка развития плода, а в тяжелых случаях — его антенатальная гибель. У беременных с хориоангиомой плаценты повышен риск невынашивания беременности, возникновения гипотонических и коагулопатических кровотечений после родов. В четыре раза чаще, чем в целом по популяции, отмечается преждевременная отслойка плаценты и преэклампсия.
Диагностика
В большинстве случаев низкодифференцированные и дегенеративные плацентарные гемангиомы небольших размеров становятся находкой во время планового УЗИ-скрининга беременности. Диагностический поиск при подозрении на хориоангиому плаценты направлен на обнаружение опухоли и оценку состояния ребенка. Наиболее информативными для постановки диагноза являются:
- УЗИ плаценты. На плодовой поверхности плацентарной ткани возле места отхождения пуповины выявляются единичные кистозные или солидные образования с четкими границами (хорошо выраженной капсулой либо псевдокапсулой). Иногда хориоангиомы бывают множественными, размещаются на плодных оболочках, сосудистой ножке, в толще плаценты.
 - Допплерография маточно-плацентарного кровотока. Исследование назначают для определения степени васкуляризации и моделирования структуры сосудистого русла хориоангиомы. С его помощью можно обнаружить связь кровоснабжения опухоли с сосудами пуповины. Для большей информативности метод дополняют цветовым допплеровским картированием.
 - Дополнительные методы диагностики. В качестве методов, позволяющих объективно оценить состояние ребенка, рекомендованы кардиотокография, фетометрия, фонокардиография плода. При проведении фетальной эхокардиографии можно выявить возможную кардиомегалию. В послеродовом периоде диагноз хориоангиомы подтверждается гистологически.
 
Дифференциальная диагностика
Для разграничения хориоангиом и других патологий назначают консультации онколога, маммолога, гематолога. Заболевание дифференцируют с:
- тератомами плаценты;
 - метастазами в плацентарную ткань злокачественных опухолей матери (меланом, лимфом, сарком, рака молочных желез, новообразований яичников) и ребенка (нейробластомы, гигантского пигментного невуса);
 - частичным пузырным заносом;
 - хориокарциномой;
 - субмукозными миомами матки;
 - ретроплацентарными гематомами.
 
Лечение хориоангиомы плаценты
Выбор тактики ведения беременности и метода родоразрешения при выявлении в плаценте гамартомы зависит от размеров новообразования, его локализации, выраженности патологических симптомов, наличия осложнений. При обнаружении небольшой плацентарной гемангиомы, которая никак не проявляется клинически, рекомендован УЗИ-контроль в динамике для наблюдения за скоростью роста опухоли.
Консервативная терапия
Пациенткам с ангиобластическими хориоангиомами и наличием клинических признаков заболевания показана медикаментозная и инвазивная терапия, основными задачами которых являются:
- Уменьшение многоводия. По наблюдениям акушеров-гинекологов, назначение индометацина оказывает положительный эффект при значительном увеличении объема околоплодных вод, способном спровоцировать преждевременные роды. В некоторых случаях для пролонгации беременности до безопасного для ребенка срока применяют серийный разгрузочный амниоцентез.
 - Лечение последствий фетоплацентарной недостаточности. При отсутствии показаний для срочного родоразрешения для улучшения питания ребенка используют ангиопротекторы и токолитики, улучшающие маточно-плацентарный кровоток. Устойчивость тканей плода к гипоксии повышают противогипоксические препараты и мембраностабилизаторы.
 - Коррекция тяжелой фетальной анемии. Чтобы улучшить гематологические показатели ребенка при их значительном снижении, применяют современные методики внутриутробного переливания крови. При этом выполняют прокол передней стенки живота беременной и матки, в пунктированную пуповинную вену вводят отмытые донорские эритроциты.
 
Хирургическое лечение
Быстрый рост хориоангиомы во II и начале III триместра беременности останавливают с помощью введения в опухолевую ткань чистого этилового спирта или эмболизации ее сосудов под УЗ-контролем. Внутриопухолевый кровоток можно уменьшить или полностью прекратить в ходе фетоскопической электро- или лазерной коагуляции сосудов.
Родоразрешение
Вопрос о родоразрешении при неосложненном течении заболевания решается на 36-37 неделе. Большинству пациенток показаны естественные роды. При обнаружении большой плацентарной хориоангиомы, формировании множественных жидкостных образований на поверхности плаценты, значительной васкуляризации и наличии артериовенозного шунта показано досрочное кесарево сечение. Нарастание признаков гипотрофии плода, отслойка плаценты, появление других угрожающих ребенку осложнений служит показанием для экстренного родоразрешения.
Прогноз и профилактика
При небольших солидных и дегенеративных плацентарных гемангиомах прогноз благоприятный. Своевременная диагностика, адекватное сопровождение беременности и родов при ангиобластических хориоангиомах плаценты позволяет снизить риск перинатальной заболеваемости и смертности. Первичная профилактика заболевания не предложена. План мероприятий по вторичной профилактике включает раннюю постановку на учет в женской консультации и соблюдение сроков проведения УЗИ-мониторинга беременности, особенно при наличии предрасполагающих факторов (сахарного диабета, курения, многоплодной беременности в анамнезе).
Хориоангиома плаценты
Хориоангиома плаценты является доброкачественной опухолью, развивающейся из капилляров плода, входящих в состав ворсин хориона.
Размеры хориоангиомы могут варьировать от нескольких миллиметров до 7-8 см. В большинстве наблюдений хориоангиома остается бессимптомный и может стать случайной находкой при осмотре последа. Достаточно часто эта опухоль сочетается с многоводием (т.е. повышенным количеством околоплодных вод) и пороками развития у плода (особенно - врожденными пороками сердца). 
При большой хориоангиоме возможна преждевременная отслойка плаценты. 
Патогенез (что происходит?) во время Хориоангиомы плаценты:
Хориоангиома является, как правило, одиночной опухолью, но может быть представлена несколькими мелкими узлами. Обычно она располагается на плодовой поверхности плаценты. Реже хориоангиома может локализоваться на материнской поверхности плаценты, на амниальных оболочках, прикрепляясь к плаценте сосудистой ножкой, а также на корне пуповины.
По ее происхождению из зародышевых тканей эта опухоль носит также название гамартомы. Хориоангиома относится к доброкачественным опухолям, никогда не дает метастазов в другие органы. Потенциальное вредное воздействие на плод может быть обусловлено большим размером опухоли. Имея разветвленную сеть собственных сосудов, хориоангиома может выступить как депо-ловушка для крови, протекающей через плаценту, и тем самым постоянно «обкрадывать» плод, что зачастую приводит к задержке его развития, реже - к серьезным патологическим состояниям вплоть до внутриутробной смерти.
Из-за неспокойного, «вихревого» характера кровотока в извитых и запутанных сосудах хориоангиомы могут нерационально расходоваться ценные вещества, необходимые для свертывания крови. Это, в свою очередь, может привести к сниженной свертывающей способности плацентарной крови, ломкости сосудов и кровопотерям.
Иногда в плаценте встречается особое патологическое состояние, которое называется хорангиоз (ангиоматоз сосудов плаценты). По своей сути - это ненормально увеличенное количество кровяных капилляров (самых мелких по диаметру сосудов) в ворсинах ограниченной области плаценты. Чаще всего самостоятельного значения это явление не имеет, но нередко сочетается с врожденными пороками развития у плода.
Хориоангиомы больших размеров могут приводить к формированию артериовенозных шунтов. Это создает реальную угрозу адекватному развитию плода за счет увеличения венозного возврата к сердцу плода и усиления сердечного выброса. Следствием таких изменений является тахикардия, гиперволемия и кардиомегалия, а также отеки и антенатальная гибель. В некоторых случаях гемодинамические нарушения приводят к фетальной анемии, которая в свою очередь способствует возникновению ЗВРП. В случае, если опухоль непосредственно не вовлечена в фетальный кровоток, в артерии пуповины плода регистрируется обычные типы кривых скоростей кровотока. При формировании артериовенозного шунта в сосудах опухоли и в артерии пуповины обычно регистрируется нулевой или отрицательный диастолический кровоток, однако, по мнению Ю.В. Войковой и соавт., компенсаторно-приспособительные механизмы в плаценте могут нивелировать отрицательное воздействие хориоангиомы на развитие плода.
В настоящее время нет доказательных данных о достоверной связи хориоангиом с врожденными пороками плода. Однако прослеживается взаимосвязь между опухолью и единственной артерией пуповины (2,7% по сравнению с 0,7% в группе контроля), а также между гемангиомами кожи плода и хориоангиомой (12,2% против 2,1% в контроле). В работах З.М. Дубоссарскои и соавт. и А.Е. Волкова и соавт. отмечено, что хориоангиома часто сочетается с пороками развития плода, в частности с сердечно-сосудистыми аномалия ми. По данным P.P. Ибрагимова, хориоангиома может сочетаться с гидроцефалией.
По мнению ряда авторов, имеется определенная ассоциация междухориоангиомой и хромосомными аномалиями. 
Симптомы Хориоангиомы плаценты:
Диагностика Хориоангиомы плаценты:
В ряде случаев узлы хориоангиомы имеют большое эхографическое сходство с миоматозными узлами, гематомами в стадии организации, гидатидомольной трансформацией плаценты, липомой плаценты. В отличие отхориоангиом миоматозные узлы локализованы под материнской поверхностью плаценты, а не на ее плодовой поверхности. Гематомы любой локализации имеют изменяющуюся во времени эхоструктуру. Дифференциальный диагноз между хориоангиомой и гидатидомольной трансформацией плаценты весьма проблематичен в связи с высоким эхографическим сходством.
Реальную помощь в верификации хориоангиомы может оказать ЦДК. Поданным H.Schulman и соавт. и И.И. Рябова и соавт., при допплерографии в хориоангиоме регистрируются кривые скоростей кровотока, подобные кривым в артерии пуповины. При исследовании в режиме ЦДК внутри опухоли визуализируются сосуды разного калибра. Сосудистая сеть опухоли может иметь непосредственную связь с сосудами плаценты и пуповины. 
К каким докторам следует обращаться если у Вас Хориоангиома плаценты:
Вас что-то беспокоит? Вы хотите узнать более детальную информацию о Хориоангиомы плаценты, ее причинах, симптомах, методах лечения и профилактики, ходе течения болезни и соблюдении диеты после нее? Или же Вам необходим осмотр? Вы можете записаться на прием к доктору .
Гормонально-неактивные опухоли надпочечников (инциденталомы)
Что такое Гормонально-неактивные опухоли надпочечников (инциденталомы) -
Диагностика Гормонально-неактивных опухолей надпочечников (инциденталом):
При выявлении инциденталомы дальнейшую дифференциальную диагностику проводят среди следующих основных групп заболеваний:
Важно помнить о возможности патологических изменений в эктопированной надпочечниковой ткани.
Среди заболеваний надпочечников наиболее часто выявляют аденомы коркового вещества (около 30%), аденоматоз или диффузно-узелковую гиперплазию коры надпочечника, феохромоцитому (10%), намного реже встречаются кисты (ретенционные, паразитарные) и псевдокисты надпочечников (менее 0,08%), липомы, миелолипомы (менее 0,2%), лимфомы, сосудистые опухоли надпочечников и др. Ежегодная частота рака коры надпочечников обычно не превышает 2 наблюдений на 1 млн населения (0,02-0,04% всех злокачественных опухолей).
В топической диагностике наибольшее значение придают полипозиционному УЗИ (при необходимости в сочетании с тонкоигольной аспирационной биопсией), КТ, МРТ, селективной ангиографии (артериографии, флебографии). Реже используют радионуклидную сцинтиграфию ( 111 I либо 123 I-метайодбензилгуанидин, избирательно накапливающийся в хромаффинной ткани, радиофармпрепарат NP-59 или 131 I-19-йодхолестерол, накапливаемый гиперфункционирующей корковой тканью).
Комплексное применение методов топической диагностики (УЗИ, КТ, МРТ) позволяет выявить опухолевые изменения надпочечников размером 5 мм.
Для дифференциальной диагностики злокачественных кортикостером используют иммуногистохимические реакции: положительную реакцию с Р-53 и отсутствие моноклональных антител к кератинам. Одним из онкомаркеров считают дегидроэпиандростерона сульфат (ДГЭАС), уровень которого при раке коры надпочечников обычно повышен. Следует отметить, что в ряде случаев случайно выявленные гормонально-неактивные опухоли надпочечников на самом деле проявляют некоторую гормональную активность, которая, однако, не приводит к появлению заметных клинических симптомов (так называемый преклинический синдром Кушинга, альдостеромы, феохромоцитомы и др.). Для оценки функциональной активности выявленной опухоли определяют содержание свободного кортизола, катехоламинов, альдостерона, ванилилминдальной кислоты и гомованилиновой кислоты в суточной моче, применяют малую дексаметазоновую пробу. Даже при отсутствии клинических признаков эндогенного гиперкортицизма и нормальном уровне кортизола в суточной моче и крови, но отсутствии суточного ритма его секреции и подавлении секреции дексаметазоном следует предположить преклинический синдром Кушинга. В сложных диагностических случаях функциональную активность опухоли оценивают по результатам селективной надпочечниковой флебографии с определением уровня гормонов в оттекающей венозной крови (важно помнить о возможности развития криза при наличии феохромоцитомы и исключить ее до исследования).
Лечение Гормонально-неактивных опухолей надпочечников (инциденталом):
Выявление гормональной активности опухоли является показанием к операции. Подлежат хирургическому удалению и образования, превышающие 3 см в диаметре при отсутствии гормональной активности. Опухоли меньшего размера, но имеющие признаки злокачественного роста (быстрый рост, неоднородность ткани, неровность и нечеткость контуров, наличие микрокальцинатов, обильная васкуляризация, атипичные клетки при тонкоигольной аспирационной биопсии и др.), также подлежат оперативному лечению в специализированном стационаре. Динамическое наблюдение за больным со случайно выявленными опухолями надпочечников оправдано при небольших размерах образований (менее 3 см), отсутствии признаков злокачественного роста и гормональной активности.
Таким образом, термины "инциденталома" или "адреналома" являются собирательными понятиями и указывают на то, что выявленная (чаще случайно) опухоль не привела к развитию типичной клинической картины эндогенного гиперкортицизма, первичного гиперальдостеронизма, феохромо-цитомы, феминизирующей или вирилизирующей опухоли. Этот диагноз должен рассматриваться лишь как предварительный (рабочий) и нацеливать врача на применение определенного алгоритма исследований с целью установления клинического диагноза и принятия оптимального решения о тактике ведения больного (операция, наблюдение).
Вас что-то беспокоит? Вы хотите узнать более детальную информацию о Гормонально-неактивных опухолей надпочечников (инциденталом), ее причинах, симптомах, методах лечения и профилактики, ходе течения болезни и соблюдении диеты после нее? Или же Вам необходим осмотр? Вы можете записаться на прием к доктору .
Возможности ультразвуковой диагностики и ведения беременности в рубце на матке

Эталон новых стандартов! Беспрецедентная четкость, разрешение, сверхбыстрая обработка данных, а также исчерпывающий набор современных ультразвуковых технологий для решения самых сложных задач диагностики.
Беременность в рубце после кесарева сечения (КС) рассматривается как вид эктопической беременности и ассоциируется с высокой материнской и детской заболеваемостью и смертностью [1]. Данное состояние сопряжено с высоким риском разрыва матки при прогрессировании беременности и массивным кровотечением [2]. Смертность при данной патологии составляет 191,2/100 тыс. случаев, что в 12 раз превышает смертность при трубной беременности (данные государственного фонда, изучающего проблемы материнства, CEMACH (Confidential Enquiry Into Maternal And Child Health, 2011 г.) [3].
Наиболее популярная теория возникновения данного состояния заключается в том, что плодное яйцо проникает в миометрий через микроскопическое расхождение краев рубца (рис. 1).

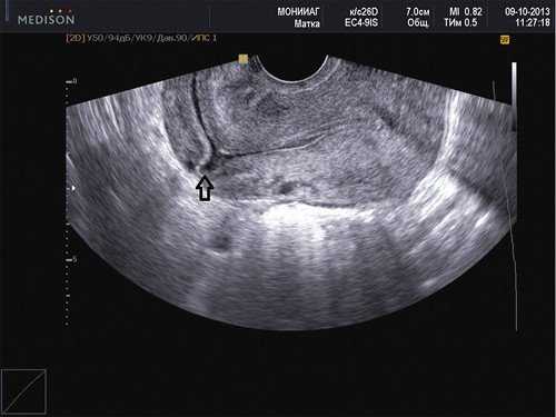
Рис. 1. Несостоятельный рубец на матке. Стрелкой помечена ниша со стороны полости в области рубца после кесарева сечения.
Предрасполагающими факторами являются:
- два и более КС в анамнезе, которые способствуют увеличению поверхности рубцовой ткани (рис. 2);
 - эндометрит после КС;
 - КС до начала родовой деятельности;
 - КС после длительного безводного промежутка;
 - инвазивные внутриматочные манипуляции (расширение цервикального канала, выскабливание стенок полости матки и т. д.) при КС в анамнезе [7].
 

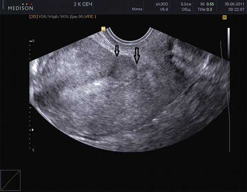
Рис. 2. Два рубца на матке. Стрелками помечены два рубца после двух кесаревых сечений.
Риск данной патологии может возрастать при использовании вспомогательных репродуктивных технологий [1].
При имплантации плодного яйца в область рубца возможно 2 варианта развития событий:
- 1-й - прогрессирование беременности до сроков, при которых плод становится жизнеспособным, преимущественно рост плодного яйца в полость матки. Этот вариант сопряжен с крайне высоким риском приращения плаценты (placenta percreta).
 - 2-й вариант - прогрессирование сопровождается прерыванием беременности и/или разрывом матки и кровотечением на раннем сроке беременности.
 
Основная роль в диагностике беременности в рубце принадлежит ультразвуковому методу [1, 8, 9].
Эхографические критерии данного состояния:
- Отсутствие плодного яйца в полости матки и цервикальном канале.
 - Развитие плодного яйца в передней стенке матки, в области перешейка или в нише в проекции рубца.
 - Прерывистость передней стенки матки в сагиттальной плоскости.
 - Отсутствие или уменьшение толщины здорового миометрия между плодным яйцом и мочевым пузырем.
 - При использовании допплерометрии регистрация высокоскоростного кровотока (пиковая скорость >20 см/с) с низким сосудистым сопротивлением (пульсационный индекс « предыдущая статья
 
Читайте также:
- Передняя поверхность коленного сустава. Границы передней поверхности коленного сустава. Внешние ориентиры передней поверхности коленного сустава.
 - Синдром Хортона (Horton)
 - КТ, МРТ при медиальном канальном фиброзе
 - Методика назотрахеальной интубации у новорожденных детей
 - Различные хирургические неотложные состояния у новорожденных
 
