КТ, МРТ при медиальном канальном фиброзе
Добавил пользователь Евгений Кузнецов Обновлено: 21.01.2026
Легочная ткань обладает белковыми рецепторами ACE2, к которым прикрепляется вирион, благодаря прочным белковым шипам, по аналогии с пневмовирусом SARS-CoV-1, впервые обнаруженным у летучих мышей.
Помимо удушья и острого респираторного дистресс-синдрома (ОРДС), высокий риск смертности от COVID-19 сопряжен и с другими, нелегочными осложнениями: миокардитом, тромбозом внутренних органов, ДВС-синдромом. Однако по данным Уханьского технологического университета, у 92 из 100 китайских пациентов, госпитализированных по поводу коронавируса, компьютерная томография выявляет повреждение легких. Большую опасность для жизни и здоровья представляет острый респираторный дистресс-синдром (ОРДС) — это обширный двусторонний воспалительный процесс с полисегментарный очагами инфильтрации, который приводит к отеку легких и острой дыхательной недостаточности.
Коронавирус проникает в организм человека через носовую полость, слизистую глаз или рот и, когда достигает легких, провоцирует у большинства больных обширный воспалительный процесс — альвеолы (воздушные пузырьки легочной ткани) заполняются жидким экссудатом или соединительной тканью. Эти пораженные участки легких, более не участвующие в дыхательном процессе, врачи видят на посрезовой КТ легких в виде «матовых стекол», симптома «булыжной мостовой». Также коронавирус часто сопровождается плевральным выпотом.
По результатам томографии также оценивают тяжесть заболевания, то есть степень поражения легких: КТ-0, КТ-1, КТ-2, КТ-3, КТ-4. Подробнее о «рисунке» коронавирусной пневмонии и диагностических возможностях компьютерной томографии — в этой статье.
Когда необходимо сделать КТ легких при коронавирусе?
Обычно при подозрении на вирусную пневмонию КТ легких назначается лечащим врачом — терапевтом или инфекционистом. Больным пациентам нет необходимости ждать результатов ПЦР до 14 дней — томография покажет даже минимальное поражение легких (до 5%), при этом паттерн пневмонии, вызванной коронавирусом, виден довольно ясно. КТ легких рекомендовано делать на 5-7 день проявления симптомов острого респираторного заболевания.
Ключевое отличие компьютерной томографии от рентгена состоит в том, что КТ показывает первую степень поражения легких (до 25%), а по результатам обследования возможна дифференциальная постановка диагноза, то есть по специфическому клиническому рисунку на КТ можно отличить коронавирусную пневмонию от бактериальной и какой-либо другой без лабораторной диагностики. Однако не у всех пациентов, зараженных коронавирусом, развивается поражение легких с характерной симптоматикой.
КТ легких рекомендуется делать при наличии следующих симптомов:
- Высокая температура (более 37,5°);
- Затрудненное дыхание, одышка;
- Кашель;
- Ощущение сдавливания в грудной клетке;
- Низкий уровень сатурации крови кислородом (менее 95%) по результатам пульсоксиметрии;
- Повышенная утомляемость, слабость.
Пациентам с выраженными симптомами и подозрением на коронавирус нет необходимости ждать результатов ПЦР-диагностики. Компьютерная томография покажет очаги воспаления и инфильтрации легких, фиброз, степень их распространенности. Таким образом пациент сможет не теряя времени приступить к лечению под контролем лечащего врача. Поражение легких более 50% по результатам КТ может быть показанием к госпитализации.
Важно! При наличии вышеуказанных симптомов нет необходимости ждать результатов теста на коронавирус, чтобы проверить легкие на КТ. Преимущество компьютерной томографии легких перед рентгеном и флюорографий заключается в том, что диагностика покажет воспалительные процессы даже когда они только начались (на 5-7 день с момента проявления симптомов ОРЗ).
Поражение легких при коронавирусе
В 2020 году была разработана эмпирическая шкала визуальной оценки легких, в которой КТ-0, КТ-1, КТ-2, КТ-3 и КТ-4 соответствуют стадии заболевания и, соответственно, степени поражения легких.
Врач изучает каждую долю легкого (всего 5) на посрезовых сканах в поперечной и фронтальных плоскостях и оценивает объем поражения каждой по пятибалльной шкале. Если признаки воспаления отсутствуют, рентгенолог присваивает значение 0 и так далее. Если воспалительные очаги и инфильтраты присутствуют в нескольких сегментах, такую пневмонию называют полисегментарной. При коронавирусе пациентам чаще всего диагностируют двустороннюю полисегментарную пневмонию. При своевременном обращении за медицинской помощью распространение инфекции в легких можно остановить.
Степени поражения легких при коронавирусе на КТ
В заключении КТ легких пациенты видят аббревиатуры: КТ-0, КТ-1, КТ-2, КТ-3 и КТ-4 Что они обозначают?
- КТ-0 —очаги воспаления и инфильтраты не выявлены, легкие «чистые»;
- КТ-1 —поражение легких до 25%;
- КТ-2 —поражение легких 25-50%;
- КТ-3 —поражение легких 50-75%;
- КТ-4 —поражение легких > 75%.
По данным исследования «Time Course of Lung Changes at Chest CT during Recovery from Coronavirus Disease 2019 (COVID-19)», опубликованного в июле 2020 года в международном журнале Radiology, максимальное поражение легких (пик пневмонии) у большинства пациентов наблюдается на 10 день заболевания. В выборку не вошли пациенты со специфическими осложнениями, такими как ОРДС, кардиогенный отек легкого, тромбоз, тяжелые последствия которых носят непредсказуемый характер.
Как коронавирус выглядит на КТ?
При коронавирусе на КТ отчетливо и ясно визуализируются инфильтраты в легких — участки, заполненные экссудатом (жидкостью, кровью, гноем), вследствие чего дыхание затруднено.
Особенно наглядно они представлены на 3D-реконструкции дыхательных путей. Такое изображение получается после компьютерной обработки сканов. Эти данные тоже записываются на диск, и пациент может посмотреть визуализацию его собственных легких.
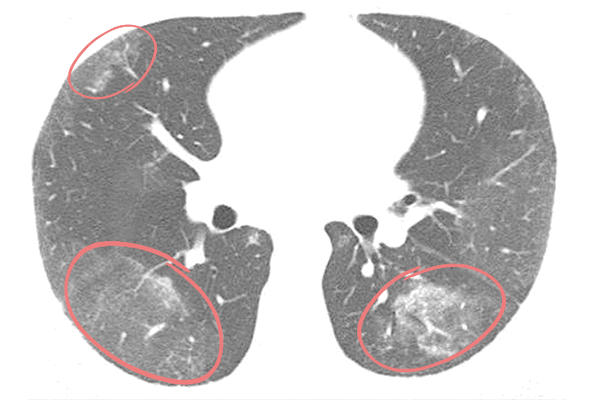
По данным актуальных исследований, публикуемых в журнале Radiology, вирусная пневмония, вызванная COVID-19, чаще всего проявляется на КТ изображениях в виде двухсторонних затемнений по типу «матового стекла» и уплотнений легочной ткани, например, утолщения альвеолярных перегородок. На томограммах это, напротив, более светлые участки, поскольку они свидетельствуют о повышенной плотности легочной ткани, а она хуже пропускает рентгеновские лучи.
Наличие одиночного очага поражения по типу «матового стекла» в правой нижней доле легкого может быть интерпретировано как начальное, самое первое проявление вирусной пневмонии.
Отметим, что «матовые стекла» не являются специфическим признаком пневмонии при коронавирусе. Этот признак характерен для опухолей, кровоизлияний и других инфекций. По результатам КТ легких возможна лишь первичная дифференциальная диагностика пневмоний (бактериальной, вызванной пневмококком, грибками и др.). «Рисунок» этих заболеваний может лишь незначительно различаться. Чтобы врачи могли правильно поставить диагноз, пациенту следует пройти дополнительное обследование, например, сделать ПЦР. Лабораторная диагностика поможет выявить специфического возбудителя воспаления легких.
Когда заболевание переходит в более позднюю стадию, рисунок становится более специфическим. Коронавирусную пневмонию на КТ легких определяют по следующим признакам.
Матовое стекло при коронавирусе
«Матовые стекла» считаются основным признаком поражения легких при пневмонии. Так называют участки легочной ткани, в которых альвеолы заполнены жидкостью — это инфильтраты. Название отсылает непосредственно к визуализации этого признака при лучевой диагностике. Уплотнения по типу «матового стекла» напоминают беловатый налет, легочная ткань — светлая.

«Матовые стекла» при коронавирусе обычно локализуются с обеих сторон (двусторонняя пневмония) в нижних и боковых отделах, ближе к плевре либо сконцентрированы вокруг бронхов. При этом сохраняется видимость сосудов, бронхов и их стенок. По количеству и размерам инфильтратов определяют степень поражения легких.
Консолидация матовых стекол
Признак, который чаще всего наблюдается при среднетяжелом поражении легких. Матовых стекол уже достаточно много, и на некоторых участках можно наблюдать их объединение. Видимость воздушных просветов бронхов сохраняется, но сосуды и стенки бронхов в зоне уплотнения не видны.
Симптом булыжной мостовой
Симптом «булыжной мостовой» также называют «лоскутным одеялом». Легочная ткань на томограммах визуализируется в виде ячеек и приобретает сходство с брусчаткой. Такой рисунок наблюдается при утолщении межальвеолярных перегородок. Обширное воспаление затрагивает интерстиций, вследствие чего он уплотняется, нарушаются обменные процессы в тканях: в альвеолах накапливаются белки и липиды, сокращается воздушное пространство.
Симптом «булыжной мостовой» в сочетании с «матовыми стеклами» указывает на тяжелую, пиковую стадию пневмонии. Наблюдается на 10-12 день заболевания. При благоприятном разрешении проходит на 14-30 день.
Симптом воздушной бронхограммы
Воздушная бронхограмма — рентгенологический термин, который означает, что на фоне плотной и безвоздушной ткани легких с инфильтратами («матовых стекол» с консолидацией), сохраняется воздушное пространство в просвете бронхов. Этот отдел дыхательных путей полностью или частично визуализируются на КТ.
С одной стороны, воздушная бронхограмма говорит о проходимости проксимальных дыхательных путей, с другой — указывает на масштабную обструкцию легких, при которой практически отсутствует альвеолярный воздух.
Фиброз легких
Фиброз — это патологическое разрастание соединительной ткани, которое приводит к уменьшению размера альвеолярных пузырьков, то есть воздушного пространства. У некоторых пациентов организм таким образом реагирует на инфекционное воспаление или механическую травму. Фиброз легких напоминает рубцы и требует самостоятельного лечения. Последствия такого осложнения пневмонии могут быть необратимыми.
Симптом обратного гало
Симптом «обратного ободка» или «гало» представляет собой уплотнение легочной ткани вокруг очага воспаления. Свидетельствует о прогрессирующей пневмонии. На томограммах визуализируется светлым кольцом или ободком, опоясывающим «матовое стекло» в форме практически правильного круга или эллипса.
Симптом плеврального выпота
Плевральный выпот — это скопление жидкого экссудата в плевральной полости. Плевра представляет собой серозную оболочку, которая покрывает поверхность легких и внутреннюю часть грудной клетки. Патологическая жидкость скапливается в пространстве между легкими и грудной клеткой. В норме здесь содержится немного жидкости, около 3-5 мл, — она необходима для амортизации и уменьшения трения дыхательного органа о ребра. Дополнительная жидкость затрудняет дыхание и вызывает сдавление легких.
Важно! Интерпретировать результаты КТ легких может только врач-рентгенолог. Компьютерная томография показывает поражение легких при вирусной пневмонии. Чтобы достоверно определить тип инфекционного возбудителя воспаления легких, пациенту следует сделать ПЦР.
Галина: Здравствуйте! Сегодня восьмой день, как заболела мама и сегодня мы сделали КТ. Вот наше заключение. Пожалуйста,разъясните, мне, что мы имеем.Заключение:изменения лёгких обусловлены воспалительным процессом вирусной этиологии с вовлечением до 28%обьема лёгочной паренхимы-КТ2. Спасибо огромное, очень вам благодарна. еще.
Здравствуйте, Галина, благодарим за вопрос! Период с 7 по 10 день болезни новой коронавирусной инфекцией обычно самые сложные. Важно вызвать терапевта на дом или прийти на амбулаторный прием в специализированное медицинское учреждение в Вашем населенном пункте, где ведется прием пациентов с COVID-19. Если врач-рентгенолог указал в заключении, что воспаление легких вызвано вирусной инфекцией, то скорее всего это коронавирус.
Не тревожьтесь, 28% воспаления не опасны, маловероятно, что при условии правильного лечения уже будет значительно больше. Но мы бы рекомендовали на всякий случай также дома измерять сатурацию (норма 95 и выше, если нет хронических заболеваний дыхательных путей в анамнезе) и артериальное давление. При отклонениях от нормы следует звонить в скорую.
Также мы бы рекомендовали контрольное КТ через месяц, чтобы исключить фиброзные изменения и иные патологии легких после болезни. Особенно в том случае, если будут какие-либо жалобы (одышка, сокращение глубины вдоха и др).
Желаем Вам и вашим близким крепкого здоровья!
Здравствуйте! Сегодня восьмой день, как заболела мама и сегодня мы сделали КТ. Вот наше заключение. Пожалуйста,разъясните, мне, что мы имеем.Заключение:изменения лёгких обусловлены воспалительным процессом вирусной этиологии с вовлечением до 28%обьема лёгочной паренхимы-КТ2. Спасибо огромное, очень вам благодарна.
МРТ и КТ при нейрофиброматозе - что покажет

МРТ головного мозга, КТ головного мозга являются аппаратными методами диагностики нейрофиброматоза. Исходя из первичных симптомов, истории болезни, противопоказаний и диагностических целей, врач невролог назначает необходимые способы обследования. В большинстве случаев, МРТ головного мозга выбирается как первичный метод диагностики. Если результаты исследования носят тревожный или неясный характер, дополнительно назначается КТ головного мозга.
Что такое нейрофиброматоз
Нейрофиброматозы — это группа генетических расстройств, которые вызывают образование опухолей в нервной ткани. Эти опухоли могут развиваться в любой точке нервной системы, включая мозг, спинной мозг и нервы. Существует три типа нейрофиброматоза: нейрофиброматоз 1 типа, нейрофиброматоз 2 типа и шванноматоз. Тип 1 обычно диагностируется в детстве, в то время как тип 2 и шванноматоз обычно диагностируются в раннем взрослом возрасте. Опухоли при этих расстройствах обычно нераковые (доброкачественные), но в некоторых случаях могут стать злокачественными. Симптомы часто легкие. Однако осложнения нейрофиброматоза могут включать в себя потерю слуха, психоэмоциональные проблемы, проблемы с сердцем и кровеносными сосудами, потерю зрения и сильную боль.Лечение нейрофиброматоза направлено на стимуляцию здорового роста и развития детей, страдающих расстройством, и на раннее выявление осложнений. В том случае, когда нейрофиброматоз вызывает крупные опухоли или опухоли, которые давят на нерв, операция может уменьшить симптомы. Для некоторых пациентов назначаются специализированные методы лечения, такие как стереотаксическая радиохирургия или прием медикаментозных препаратов для борьбы с болью.
Симптомы нейрофиброматоза
Существует три типа нейрофиброматоза, каждый из которых имеет разные признаки и симптомы.
Симптомы нейрофиброматоза 1 типа
Нейрофиброматоз 1 типа обычно диагностируется в детстве. Признаки часто заметны при рождении или вскоре после него, и почти всегда к 10 годам. Симптомы варьируются по степени тяжести и включают в себя:
плоские светло-коричневые пятна на коже. Эти безобидные пятна распространены у многих пациентов. Наличие более шести пораженных областей предполагает заболеваний. Обычно они присутствуют при рождении или появляются в первые годы жизни. Во взрослом возрасте новые пятна перестают появляться
- веснушки в подмышках или в области паха. Веснушки обычно появляется в возрасте от 3 до 5 лет
- крошечные узелки на радужной оболочке глаза (узелки Лиша). Образование узелков не влияет на зрение
- мягкие шишки размером с горох на коже. Эти доброкачественные опухоли обычно развиваются в коже или под кожей, но также могут расти внутри тела. Новообразование включает в себя много нервов (оргсиформная нейрофиброма). Плексиформные нейрофибромы, расположенные на лице, могут привести к значительному ухудшению внешности и серьезному поражению кожи лица. С возрастом состояние может ухудшаться
- деформации костей. Аномальное развитие и дефицит минеральной плотности костей могут вызвать деформации, такие как изогнутый позвоночник (сколиоз) или изогнутая голень
- опухоль на зрительном нерве (глиома зрительного нерва). Эти опухоли обычно появляются в возрасте 3 лет, редко в позднем детстве и подростковом возрасте и крайне редко у взрослых пациентов
- нарушения в обучении. Нарушение навыков мышления распространено у детей. Часто развивается специфическая неспособность к обучению. Также распространены синдром дефицита внимания/гиперактивности (СДВГ) и задержка речи
- увеличенный размер головы. Дети с нейрофиброматозом 1, как правило, имеют увеличенный размер головы из-за увеличения объема мозга
- замедленный рост и развитие.
Симптомы нейрофиброматоза 2 типа
Нейрофиброматоз 2 типа встречается гораздо реже. Симптомы обычно являются результатом развития доброкачественных, медленно растущих опухолей в обоих ушах (акустические неврозы), которые могут привести к потере слуха. Также известные как вестибулярные шванномы, эти опухоли поражают нерв, который несет звуковую и балансовую информацию от внутреннего уха до мозга. Симптомы обычно появляются в позднем подростковом и раннем взрослом возрасте и могут варьироваться по степени тяжести:
- постепенная потеря слуха
- звон в ушах
- плохой баланс
- головные боли.
Иногда нейрофиброматоз 2 может привести к росту шванном в других нервах, включая черепные, спинальные, зрительные (оптические) и периферические нервы. У пациентов также могут развиться другие доброкачественные опухоли. Симптомы при появлении дополнительных опухолей:
- онемение и слабость в руках или ногах
- трудности баланса
- отек лица
- проблемы со зрением или катаракта
- судороги
- головная боль.
Симптомы шванноматоза
Этот редкий тип нейрофиброматоза обычно поражает пациентов после 20 лет. Симптомы обычно появляются в возрасте от 25 до 30 лет. Шванноматоз вызывает развитие опухолей на черепных, спинномозговых и периферических нервах, но редко на нерве, который передает звуковую и балансовую информацию от внутреннего уха к головному мозга. Опухоли обычно не растут на обоих слуховых нервах, поэтому пациенты с шванноматозом не испытывают такой же потери слуха, как при нейрофиброматозе 2 типа. Симптомы шванноматоза:
- хроническая боль, которая может возникнуть в любом месте тела
- онемение или слабость в различных частях тела
- мышечная атрофия.
Причины нейрофиброматоза
Нейрофиброматоз вызван генетическими дефектами (мутациями), которые либо наследуются, либо происходят спонтанно при зачатии. Конкретные типы нейрофиброматоза зависят от ряда генов:
- нейрофиброматоз 1 типа. Аномальный ген располагается расположен на 17-й хромосоме. Этот ген производит белок под названием нейрофибромин, который помогает регулировать рост клеток. Мутировавший ген вызывает потерю нейрофибромина, что позволяет клеткам расти бесконтрольно
- нейрофиброматоз 2 типа. Пораженный ген расположен на хромосоме 22 и производит белок под названием мерлин (также называемый шванномин), который подавляет образование и рост опухолей. Мутировавший ген вызывает потерю мерлина, что приводит к неконтролируемому росту клеток
- шванноматоз. Мутации генов SMARCB1 и LZTR1, которые подавляют опухоли, связаны с этим типом нейрофиброматоза.
Факторы риска
Самым большим фактором риска нейрофиброматоза является соответствующая наследственность. Около половины пациентов, у которых есть заболевание 1 и 2 типа, унаследовали болезнь от пострадавшего родителя.
Нейрофиброматоз 1 и 2 являются аутосомно-доминантными расстройствами, что означает 50-процентную вероятность наследования аномальных генов.
Модель наследования шванноматоза менее ясна. По оценкам исследователей, риск наследования шванноматоза от пострадавшего родителя составляет около 15%.
Осложнения
Осложнения нейрофиброматоза варьируются даже в одном и том же семействе. Как правило, осложнения возникают из-за опухолей, которые влияют на нервную ткань или оказывают давление на внутренние органы.
Осложнения нейрофиброматоза 1 типа
Основные осложнения включают в себя:
- неврологические проблемы. Трудности в обучении и мышлении являются наиболее распространенными неврологическими проблемами, связанными с нейрофиброматозом. Необычные осложнения включают в себя эпилепсию и накопление избыточной жидкости в мозге
- проблемы с внешностью. Видимые признаки нейрофиброматоза, такие как обширные темные пятна, многие нейрофибромы в области лица, могут вызвать беспокойство и эмоциональный стресс, даже если они не являются серьезными с медицинской точки зрения
- проблемы со скелетом. У некоторых детей аномально сформированные кости, что может привести к переломам, которые иногда не заживают. Нейрофиброматоз 1 может вызвать кривизну позвоночника (сколиоз), требующую хирургического вмешательства. Заболевание также связано со снижением минеральной плотности костной ткани, что увеличивает риск остеопороза
- проблемы со зрением. У пациентов может развиться глиома зрительного нерва
- гормональные сбои. Гормональные изменения, связанные с половым созреванием или беременностью, могут привести к увеличению нейрофибром. Большинство женщин, страдающих нейрофиброматозом, имеют здоровую беременность, но, вероятно, нуждаются в мониторинге со стороны акушера
- сердечно-сосудистые проблемы. Пациенты имеют повышенный риск высокого артериального давления, кроме того могут развиться аномалии кровеносных сосудов
- проблемы с дыханием. Редко оргсиформные нейрофибромы могут оказывать давление на дыхательные пути
- рак. По оценкам, у 3%-5% пациентов с нейрофиброматозом развиваются раковые опухоли. Обычно они возникают из-за нейрофибром под кожей или из плексиформных нейрофибром. Пациенты с нейрофиброматозом 1 также имеют более высокий риск других форм рака, таких как рак молочной железы, лейкемия, колоректальный рак, опухоли головного мозга и некоторые виды рака мягких тканей. Женщинам рекомендуется ранний скрининг на рак молочной железы
- опухоль надпочечников (феохромоцитома). Эта доброкачественная опухоль выделяет гормоны, которые повышают артериальное давление. Для удаления фиохромоцитомы назначается специальная операция.
Осложнения нейрофиброматоза 2 типа
- частичная или полная глухота
- повреждение лицевого нерва
- проблемы со зрением
- небольшие доброкачественные опухоли кожи (шванномы)
- слабость или онемение в конечностях
- множественные доброкачественные опухоли головного мозга или опухоли позвоночника (менингиомы), требующие частых операций.
Осложнения шванноматоза
Боль, вызванная шванноматозом, может быть изнурительной. Зачастую пациентам требуется хирургическое вмешательство.
МРТ и КТ в диагностике нейрофиброматоза
Обследование начинается с обзора личной и семейной истории болезни и физического осмотра пациента. Также врач обследует кожу на наличие пятен и иных поражений. Дополнительно для диагностики нейрофиброматоза обоих типов или шванноматоза назначаются следующие процедуры:
- осмотр глаз. Офтальмолог может обнаружить узелки Лиша, катаракту и потерю зрения
- исследование слуха и равновесия. Пациенту назначается аудиометрия и электронистагмография - обследование, при котором используются специальные электроды для записи движений глаз. Кроме того, измеряются электрические сигналы, которые передают звук от внутреннего уха к мозгу (звуковой сигнал ствола мозга)
- Компьютерная томография или МРТ позволяют выявление аномалии костей, опухоли головного или спинного мозга и другие очень мелкие опухоли. МРТ головного мозга может быть использована для диагностики глиомы зрительного нерва. Данные процедуры также часто используются для мониторинга нейрофиброматоза и шванноматоза
- генетические исследования. Данные исследования могут быть выполнены во время беременности до рождения ребенка. Генетические тесты не всегда идентифицируют шванноматоз, потому что другие неизвестные гены могут быть связаны с расстройством. Тем не менее, некоторые женщины выбирают генетическое тестирование SMARCB1 и LZTR1 перед рождением детей.
Для диагностики у пациента должно быть по крайней мере два признака состояния. Если в наличии только один признак и нет семейного анамнеза нейрофиброматоза, то пациенту назначается регулярное наблюдение для выявления каких-либо дополнительных признаков. Диагноз нейрофиброматоза 1 обычно ставится к 4 годам.
Разница между МРТ и КТ
Компьютерная томография и магнитно-резонансная томография используются для получения изображений органов и тканей в трехмерной проекции. Разница в томографии заключается в том, что при МРТ используются радиоволны, а при КТ - рентгеновские лучи для получения изображения. Хотя оба томографических метода имеют высокую информативность, есть диагностические различия, которые могут сделать каждый из них более подходящим вариантом в зависимости от обстоятельств.
КТ-сканирование более быстрая форма диагностики, чем магнитно-резонансная томография, и обычно используется для экстренного обследования. При использовании как КТ, так и МРТ существуют определенные риски. Они зависят от типа визуализации, а также от способа ее проведения. К рискам КТ относятся: вред для внутриутробного ребенка при беременности и доза радиации. Риски МРТ включают реакции на металлические импланты в теле из-за сильного магнитного поля, громкий шум от аппарата, повышенная, клаустрофобические риски.
Если врачу нужны более детальные изображения мягких тканей, связок или органов высоким состоянием воды, обычно назначается магнитно-резонансная томография. Если необходимо получить хорошие изображение костных структур и полых органов, обычно рекомендуется компьютерная томография.
Ретроперитонеальный фиброз (болезнь Ормонда)
Ретроперитонеальный фиброз или болезнь Ормонда — хроническое неспецифическое негнойное воспаление фиброзно-жировой ткани забрюшинного пространства неясной этиологии, вызывающее постепенную компрессию и нарушение проходимости тубулярных структур ретроперитонеального пространства (чаще всего мочеточников).
Заболевание представляет собой одно из проявлений широко распространённого понятия, определяемого как «системный идиопатический фиброз». Идиопатический медиастинальный фиброз, струму Риделя (Riedel), склерозирующий холангит, панникулит, болезнь Пейрони (Peyronie) и десмоидную опухоль относят к другим фиброматозам, которые представляют локализованные формы системного идиопатического фиброза.
Эпидемиология
Болезнь Ормонда встречается редко (1,38 на 100000). Мужчины болеют в 2 раза чаще, чем женщины. Смертность зависит от активности обструктивного процесса и осложнений, связанных с ним (сдавление мочеточников, ХПН, почечная артериальная гипертензия, сдавление нижней полой вены, аорты и подвздошных артерий).
Классификация
Различают первичный (идиопатический) и вторичный ретроперитонеальный фиброз. В развитии идиопатического РПФ ведущую роль отводят аутоиммунным механизмам. Вторичный РПФ — следствие разнообразных патологических состояний и болезней.
Патология
Этиология
- идиопатическая: болезнь Ормонд (70% доброкачественная).
- лучевая
- медикаменты (гидралазин, бетаблокаторы, метилдофа, эрготамил
- воспалительный процесс: панкреатит, пиелонефрит
- злокачественный процесс: десмопластическая реакция, лимфома
- длительное воздействие асбестом
- забрюшинные кровотечения (в том числе после травмы и медицинских процедур).
Радиологические находки
Общие положения:
Болезнь Ормонда способствует постепенной компрессии и нарушению проходимости тубулярных структур ретроперитонеального пространства.
Обычно ретроперитонеальный фиброз начинается в забрюшинной клетчатке, окружающей подвздошные сосуды, у места их перекрёста с мочеточником (уровень L4-L5). Постепенно фиброз распространяется к мысу крестца и области ворот почки. В 30% случаев процесс двусторонний.
Фиброзная ткань, расположена вдоль периаортальных лимфатических узлов. В 30% случаев РПФ является двусторонним процессом. Окружающие лимфатические узлы ткани вовлечены в процесс и стянуты, но структуры, расположенные в забрюшинном пространстве, не поражены.. Сосуды и мочеточники вовлекаются в процесс настолько интимно, что не удаётся определить грань между адвентицией и фиброзной тканью.
Быстрее всего в ходе заболевания происходит сдавление мочеточников, затем в процесс вовлекаются нижняя полая вена, аорта и её главные артерии. Нарушение пассажа мочи по мочеточникам приводит к развитию гидронефроза, пиелонефрита, а в конечном итоге к ХПН и сморщиванию почки. Редко при ретроперитонеальном фиброзе возникает кишечная непроходимость, обструкция венозных сосудов, ещё реже артериальная и печёночная обструкция.
Экскреторная урограмма
Триада, указывающая на наличие болезни Ормонда, включает:
- гидронефроз с расширенным извилистым верхним сегментом мочеточника;
- медиальную девиацию мочеточника;
- наружную компрессию мочеточника.
КТ
РПФ визуализируется, как мягкотканное образование с четкими, неровными контурами, локализующаяся в области брюшной части аорты и подвздошных артерий. В классике развитие заболевании на уровне бифуркации аорты и распространение в сторону почечных артерий. Данные изменения способствуют сдавления мочеточников и других сосудов.
В ранний период заболевания и в период обострения при выполнении КТ с контрастом фиброз может контрастно усиливаться, а в период ремиссии не усиливаться.
МРТ
МРТ является методом выбора. Более высокая чувствительность по сравнению с КТ, обусловлено тем, что у МРТ выше мягкотканный контраст.
Фиброзная ткань гипоинтенсивная на Т1 и T2, при условии, что нет активного воспаления. В острую фазу заболевания сигнал на Т2 изображениях повышается.
Метод КТ-диагностики для выявления фиброза легких
Когда заживление протекает неправильно, могут возникать рубцовые изменения, приводящие к тому, что орган не может функционировать в полном объеме.
Соответственно, фиброз легких представляет собой рубцовые изменения ткани легких. Количество клеток, способных насыщать кровь кислородом, уменьшается. Следовательно, снижается дыхательная эффективность — развивается дыхательная недостаточность, приводящая к интоксикации, сначала при нагрузке, при усугублении течения заболевания — в покое, а далее — даже во сне. Рубцовая ткань в легких не только обладает пониженными функциональными свойствами, но и служит прекрасной средой для развития присоединенных инфекций, например, таких как бактериальная (пневмококковая или стафилококковая) пневмония.
Фиброз легких — это исход воспаления тканей во время интерстициального (то есть с поражением межклеточной соединительной ткани) заболевания легких. К причинам развития подобного заболевания могут относиться травмы легких, высокая загрязненность окружающей среды, курение, вдыхание наркотических веществ, плесени, органической, асбестовой, кварцевой и угольной пыли, инфекционные, аутоиммунные, вирусные заболевания и их осложнения — бронхит, туберкулез, пневмония, COVID-19 и многое другое.
Еще недавно синонимом самих интерстициальных заболеваний был пневмофиброз, но, к счастью, было установлено, что не все варианты таких заболеваний легких являются фиброзирующими.
Самый сложный и практически не поддающийся лечению — первичный, или идиопатический фиброз легких — быстро прогрессирующее фиброзирующее заболевание легких, причина которого неизвестна.
Симптомы фиброза легких
Легочный фиброз характеризуется симптомами одышки и сухого кашля (редко продуктивного — с мокротой) при физической нагрузке, непрекращающейся болью в области грудной клетки, быстрой утомляемостью на фоне затрудненного дыхания, похудением без изменения диеты. При аускультации легких (выслушивании с помощью фонендоскопа) выявляются ранние (в фазе вдоха) инспираторные, то есть дыхательные хрипы, чаще всего локализующиеся в нижних задних зонах легких.
Фиброз может развиваться как в одном легком, так и в двух одновременно. Также возможны очаговая и тотальная формы фиброза. При тотальной форме зачастую требуется оперативное вмешательство, так как поражена большая часть легких. При очаговой форме изменения носят локальный характер.
КТ-диагностика фиброза легких
Золотой стандарт диагностики фиброза легких — компьютерная томография высокого разрешения. КТ-диагностика легочного фиброза позволяет достоверно выявить степень поражения легких, определить локализацию рубцовой ткани. Этот метод диагностики признан одним из самых чувствительных неинвазивных методов выявления легочного фиброза. Так, проведенные сравнительные исследования уже в 1990 году показали, что фиброз легких с помощью компьютерной томографии в режиме высокого разрешения (КТВР) был обнаружен в 91% случаев и только в 39% — с использованием рентгенографии органов грудной клетки.
При наличии фиброза легких в серьезной стадии на КТ виден паттерн (термин, принятый для обозначения патологических признаков в медицине) так называемого «сотового» легкого — это состояние видно на сканах как однотипные, расположенные в несколько рядов кисты, содержащие воздух, в пораженных частях одного или обоих легких. На ранних стадиях легочного фиброза подобная картина не наблюдается, поэтому потребовался поиск признаков на КТ, позволяющих выявить болезнь в ее начале. Одним из таких признаков оказалось наличие на снимках картины «матового стекла» — очагов незначительного уплотнения легочной ткани. Также специфические признаки фиброза у пациента можно обнаружить при проведении КТ легких с функциональными пробами. Так, один из признаков — субплевральное усиление периферического легочного интерстиция — ранее считался признаком отсутствия патологии. Подобные изменения практически невозможно отследить при помощи других методов аппаратной диагностики.
На данный момент точность методов КТ-диагностики растет благодаря введению новых протоколов исследований и тщательного изучения результатов многочисленных исследований. При этом ведущая роль в диагностическом процессе отводится врачу-рентгенологу, который трактует видимые изменения как легочный фиброз или его отсутствие. Поиск ранних лучевых признаков фиброзирующей болезни легких — ключевой момент для своевременного назначения противофибротической терапии.
Также именно мультисрезовая КТ при поставленном диагнозе используется для оценки скорости прогрессирования заболевания, выявления благоприятного и неблагоприятного типов фиброзных изменений, успеха лечения и правильности подбора терапевтический препаратов.
КТ и МРТ при легочном фиброзе - что покажет

КТ органов грудной клетки и МРТ легких являются аппаратными методами диагностики фиброза легких. Исходя из первичных симптомов, истории болезни, противопоказаний и диагностических целей пульмонолог назначает необходимые способы обследования. В большинстве случаев, КТ органов грудной клетки выбирается как первичный метод диагностики. Если результаты исследования носят тревожный или неясный характер, дополнительно назначается МРТ легких
Фиброз легких — это заболевание, при котором ткани легких покрываются рубцами и отвердевают. В итоге работа легких затрудняется, по мере ухудшения легочного фиброза пациент начинает испытывать острую одышку. В конечном итоге это приводит к дыхательной недостаточности, сердечной недостаточности или другим осложнениям. Ключевую роль в развитии легочного фиброза играет сочетание воздействия раздражителей легких, таких как определенные химические вещества, курение и инфекции, а также генетика и активность иммунной системы.
Симптомы легочного фиброза
В течение некоторого времени фиброз легких может протекать без каких-либо симптомов. Одышка обычно является первым признаком, который развивается. Другие симптомы включают:
- сухой продолжительный кашель
- слабость
- искривление ногтей
- потеря веса
- дискомфорт в груди.
Поскольку это заболевание обычно поражает пожилых пациентов, ранние симптомы часто ошибочно связывают с возрастом или отсутствием физических упражнений. Сначала симптомы кажутся незначительными, но со временем они прогрессируют.
Причины
Причины легочного фиброза можно разделить на несколько категорий:
- аутоиммунные заболевания
- инфекции
- влияние окружающей среды
- лекарства
- идиопатический
- генетика
Аутоиммунные заболевания и легочный фиброз
При аутоиммунных заболеваниях иммунная система организма атакует сама себя. К ним относятся:
- ревматоидный артрит
- красная волчанка
- склеродермия
- полимиозит
- дерматомиозит
- васкулит.
Инфекции и легочный фиброз
Следующие типы инфекций вызывают легочный фиброз:
- бактериальные инфекции
- вирусные инфекции, вызванные гепатитом С, аденовирусом, вирусом герпеса и другими вирусами.
Воздействие окружающей среды и легочный фиброз
Воздействие объектов окружающей среды или рабочего места также способствует развитию фиброза легких. К другим факторам, которые повреждают легкие, относятся:
- асбест
- зерновая пыль
- кварцевая пыль
- некоторые газы
- радиация.
Лекарственные препараты и легочный фиброз
Некоторые лекарства также повышают риск развития фиброза легких.
Идиопатическая и легочный фиброз
Во многих случаях точная причина легочного фиброза неизвестна. В этих случаях заболевание называется идиопатическим легочным фиброзом (ИЛФ).
Генетика и легочный фиброз
До 20 % процентов пациентов с ИЛФ имеют еще одного члена семьи с легочным фиброзом. В этих случаях заболевание известно как семейный легочный фиброз или семейная интерстициальная пневмония.
Вероятность развития фиброза легких, выше при следующих факторах:
- мужчины
- возраст от 40 до 70 лет
- курение
- семейная история заболевания
- наличие аутоиммунных заболеваний
- прием определенных лекарств
- лечение рака, особенно облучение грудной клетки
- работа в профессиях с высоким риском.
Диагностика легочного фиброза
Для диагностирования фиброза легких проводится подробный осмотр у пульмонолога, выявляются все сопутствующие симптомы и актуальные факторы риска. Кроме того, назначаются специализированные обследования для подтверждения фиброза и исключения иных заболеваний:
- Рентген грудной клетки может показать рубцовую ткань, типичную для фиброза легких, кроме того, возможно осуществление мониторинга течения заболевания и лечения
- компьютерная томография легких. Компьютерная томография с высоким разрешением может быть особенно полезна при определении степени повреждения легких, вызванного фиброзом
- УЗИ легких. При обследовании используются звуковые волны для визуализации тканей сердца. Кроме того, УЗИ используется для обследования сердца.
Функциональные тесты легких:
обследование функции легких. Проводится спирометрия для исследования силы легких, а также измерение объема легких и диффузной способности
пульсовая оксиметрия. Небольшое устройство размещается на пальце пациента для измерения насыщенности крови кислородом. Оксиметрия может служить способом мониторинга течения заболевания
стресс-тест. Исследуется реакция легких на физическую нагрузку, которую получает пациент
анализ артериальных газов. Исследуется образец крови из артерии на запястье - измеряются уровни кислорода и углекислого газа в образце.
Если перечисленные варианты обследования не диагностировали состояние, то выполняется отбор небольшого количества легочной ткани (биопсии). Затем биопсия исследуется в лаборатории для диагностики фиброза легких или исключения других состояний. Образец ткани можно получить одним из следующих способов:
- бронхоскопия. Врач удаляет очень маленькие образцы тканей с помощью бронхоскопа, который вводится в легкие через нот или рот. Риски бронхоскопии, как правило, незначительны и могут включать временную боль в горле или дискомфорт в носу от движения бронхоскопа. Крайне редкие серьезные осложнения могут включать кровотечение или сдувание легких. Во время бронхоскопии врач может провести дополнительную процедуру, называемую бронхоальвеолярным промыванием. Через бронхоскоп в часть легкого вводится небольшие количество солевого раствора, а затем раствор немедленно отсасывается. Изъятый раствор содержит клетки из воздушных мешков, которые исследуются в лаборатории
- хирургическая биопсия. Хотя хирургическая биопсия более инвазивна и имеет потенциальные осложнения, данное обследование может быть единственным способом получить достаточно большой образец ткани для постановки точного диагноза. Эта процедура может быть выполнена посредством видео-торакоскопической хирургии или открытой хирургии (торакотомия). Во время обследования хирург вводит хирургические инструменты и небольшую камеру через два или три небольших разреза между ребрами. Камера позволяет хирургу видеть легкие на видеомониторе, контролируя отбор образца тканей. Процедура проводится под общей анестезией.
Дополнительно могут быть назначены анализы крови для оценки функции печени и почек, а также для диагностирования и исключения других состояний.
КТ или МРТ при фиброзе легких - что лучше выбрать?
Фиброз - диагноз, указывающий на образование рубцов в легких. Первичным методом диагностики этого заболевания является рентгенография. Однако из-за слабой разрешающей способности рентгенограмм, она способна выявить заболевание на поздних стадиях развития. Два основных вида экспертного обследования органов грудной клетке при фиброзе - МРТ легких и КТ легких. Они имеют существенные различия в принципе получения изображения:
- электромагнитные волны в случае магнитно-резонансной томографии;
- рентгеновские лучи в случае компьютерной томографии.
При исследовании фиброза пульмонологи обычно отдают предпочтение методу компьютерной томографии как более приспособленному для визуализации структур легких. Она позволяет достоверно выявить:
- степень поражения легких
- четко определить локализацию рубцовой ткани
- дает возможность увидеть рубцы размером менее 5 мм
- провести комплексное изучение всех соседних органов грудной полости.
Признаками фиброза на КТ снимках будет наличие:
- «сотового» легкого — однотипные, расположенные в несколько рядов кисты содержащие воздух, в пораженных частях одного или обоих легких
- картины «матового стекла» — очагов незначительного уплотнения легочной ткани
- субплевральное усиление периферического легочного интерстиция.
МРТ легких при фиброзе обычно используется как дополнительный метод диагностики. Дело в том, что магнитно-резонансная томография хуже способна визуализировать органы с низким содержанием атомов водорода в тканях. Также МРТ более чувствительна к подвижности исследуемого объекта. Качественная магнитно-резонансная томография легких потребует высокоточного оборудования - сверхвысокопольного МРТ аппарата мощностью 3 Тесла.
Читайте также:
