УЗИ, МРТ при мезенхимальной гамартоме у плода
Добавил пользователь Владимир З. Обновлено: 18.12.2025
1.Диагностика илечение гемангиом печени: взгляд на проблему на рубеже XXI века/ А.М. Гранов [и др.]// Актуальные вопросы хирургической гепатологии: Материалы IX конференции хирургов-гепатологов России истран СНГ, Санкт-Петербург, 16-18мая 2002.- Анналы хир. гепатологии.- 2002.- Т. 7, №1.- С.252.
2.Международная статистическая классификация болезней ипроблем, связанных со здоровьем.- 10-й пересмотр, 1-4том/ Всемирная организация здравоохранения.- Женева, 1998.- М:. Медицина, 1998.
3.Hepatic hemangiomas: subtype classification and development of aclinical practice algorithm and registry/ E.R. Christison-Lagay [et al.]// J. Pediatr. Surg.- 2007.- Vol. 42, №1.- P. 62-67.
Актуальность: Доброкачественные новообразования печени у детей встречаются достаточно часто, однако, ввиду отсутствия выраженной клиники выявляются в основном случайно, при обследовании по поводу других заболеваний. В зависимости от морфологической структуры принято выделять эпителиальные, мезенхимальные, герминогенные доброкачественные опухоли и опухолеподобные процессы печени у детей, согласно Международной классификации ВОЗ [2]. К доброкачественным мезенхимальным новообразованиям печени относятся: инфантильная гемангиоэндотелиома, мезенхимальная гамартома, кавернозные гемангиомы и воспалительная псевдоопухоль. Кавернозные гемангиомы печени у детей чаще всего выявляются случайно, имеют небольшие размеры, отличаются стабильностью и не требуют проведения оперативного лечения [1, 4]. Принято выделять фокальный, мультифокальный и диффузный характер поражения [3]. Таким образом, в литературе нет общепринятых подходов к диагностике и хирургическому лечению гемангиом печени у детей [1, 4].
Цель: определение хирургической тактики лечения гемангиом печени у детей.
Материалы и методы. В клинике детской хирургии ГБ № 20 им. И.С. Берзона г. Красноярска с 1990 по 2012 г. наблюдались, обследовались и прошли лечение 46 пациентов с гемангиоматозом печени. Среди наблюдавшихся больных мальчиков было 19, девочек - 27. Соотношение по полу составляло 1:1,4. Возраст пациентов варьировал от 3 до 18 лет, в среднем составляя 10,5 года. По характеру изменений в печени и с учетом необходимости дифференцированного подхода в выборе объема и последовательности хирургического пособия, мы посчитали целесообразным выделить 4 формы гемангиоматоза печени. Солитарная форма была представлена 31 (67,4 %) случаями одиночных гемангиом печени. Множественно-очаговая встретилась в 12 (26,2 %) случаях, когда количество определяемых опухолевых узлов было не менее 2. Диффузно-распространенная форма представляла собой тотальное поражение органа, морфологически соответствующее капиллярному гемангиоматозу, с диффузным или узелковым (диаметром менее 10 мм) характером распределения этих изменений в паренхиме (1 наблюдение 2,1 %). При диффузно-очаговой форме, встретившейся у 2 (4,3 %) пациентов, вышеперечисленные изменения сочетались с наличием одного или более узлов опухоли (диаметром свыше 10 мм) капиллярного и кавернозного типа. При одиночных гемангиомах диаметр опухолей варьировал от 2,0 до 12,0 см (в среднем 5,0 см). Опухоль занимала один сегмент печени в 14 (45,2 %) наблюдениях, два сегмента - в 9 (29,0 %), три - в 5 (16,1 %), четыре - в 2 (6,4 %) и пять сегментов - в 1 (3,3 %) наблюдениях. Размеры опухолей у пациентов при множественных узлах в печени варьировали от 1,0 см до 16,0 см (средний - 3,2 см). Количество опухолевых узлов при множественных гемангиомах варьировало от 2 до 10, при этом две опухоли были выявлены у 6 (50,0 %) больных, три - у 3 (25,0 %), четыре - у 2 (16,6 %) и свыше четырех опухолей - у 1 (8,4 %) больных. Функциональное состояние печени оценивали с помощью биохимических методов исследования крови. Оценка показателей свертывающей системы крови. Среди методов лучевой диагностики важное место отводилось ультрасонографии, МРТ, КТ, ангиографии. Гистоморфологические исследования удаленных во время операции опухолей производились в 37 случаях. Все полученные результаты исследований, обработаны с помощью общепринятых методов вариационной статистики по стандартным программам вычисления средних величин и среднеквадратичных отклонений. Достоверность различных показателей определяли с помощью t-критерия Фишера-Стъюдента.
Результаты исследования: Клинические проявления заболевания у пациентов с гемангиоматозом печени не имели специфического характера. Основные жалобы больных характеризовались следующими синдромами: болевой, диспепсический, общего недомогания. Под диспепсическим синдромом подразумевалось наличие у пациентов изжоги, отрыжки, горечи во рту, тошноты, снижения аппетита, вздутия живота, нарушений стула. При синдроме общего недомогания больные испытывали слабость, потливость, повышенную утомляемость, снижение работоспособности. Нередко отмечалось сочетание указанных синдромов у одних и тех же больных. Доминирующим клиническим синдромом являлся болевой, который присутствовал у половины пациентов. Диспепсический синдром наблюдался у каждого пятого больного. Кроме того, снижение веса отмечалось в 15 (32,6 %) случаях, повышение температуры тела в 7 (15,2 %), одышка в 2 (4,3 %), желтуха в 2 (4,3 %) случаях. Среди осложнений портальная гипертензия встретилась в 5 (10,8 %) наблюдениях (в том числе с выраженной спленомегалией в 2, желтуха в 2, внутриопухолевые кровоизлияния в 2. Исследование клинических проявлений гемангиоматоза печени в связи с размерами, локализацией опухолей и объема поражения органа показало, что болевой синдром чаще встречался при множественных гемангиомах печени. Наиболее раньше проявлялись с большей частотой симптомы заболевания проявлялись при краевом расположении очаговых образований с локализацией во II, III и IV сегментах, что, могло быть обусловлено сдавлением рядом расположенных полых органов и нарушением их резервуарной и моторно-эвакуаторной функций.
В качестве оперативного доступа при резекции печени верхне-срединная лапаротомия использовалась в 17 (45,9 %) случае, правосторонняя подреберная лапаротомия по Кохеру-Федорову - в 20 (54,1 %). С учетом доброкачественной природы заболевания и относительно редким развитием осложнений при спонтанном его течении, показания к оперативному вмешательству при гемангиомах печени, по нашему мнению, целесообразно разделять на абсолютные и относительные. К абсолютным показаниям относятся разрыв опухоли с внутрибрюшным кровотечением, гемобилия, тромбоз опухоли с септическими осложнениями, обтурационная желтуха. По относительным показаниям оперировались больные имевшие стойкие признаки заболевания (боли в верхних отделах живота, пищевой дискомфорт, общее недомогание), опухоли размеры которых превышали 5,0 см, располагавшиеся в отдалении от портальных и глиссоновых ворот печени (II, III, V, VI, VII сегменты). Субкапсулярно-паренхиматозное расположение - выступавшие более чем на 1/2-2/3 своего объема за контуры печени и вызывавшие морфо-функциональные нарушения со стороны близлежащих органов (желудок, двенадцатиперстная кишка, ободочная кишка, желчный пузырь, правая почка и т.п.), затруднявшие портальный кровоток.
Резекции печени выполнили 28 (75,7 %; 28/37) пациентам: бисегментэктомия 2,3 (n=13), правосторонняя гемигепатэктомия (n=1), расширенная правосторонняя гемигепатэктомия (n=1), левосторонняя гемигепатэктомия (n=1), атипичная резекция 1 - 2 сегментов (n=12). В 9 случаях (24,3 %; 9/37) произвели энуклеацию гемангиомы печени. Статистически значимых различий по локализации опухоли, размерам образований, продолжительности операции, между энуклеациями и резекциями печени не выявлено. Ни в одном наблюдении после удаления опухоли не отмечено рецидива. В 4 (25 %) случаях после удаления центральной опухоли, более мелкие (менее 0,5 -1,5см) опухоли исчезли (перестали определяться при УЗИ и МРТ). Осложнения хирургического лечения пациентов с гемангиомами печени отмечено в 1 случае (2,1 %) желчный свищ, ликвидирован консервативно.
У 5 больных оперативное лечение не проводилось ввиду отсутствия жалоб и малых размеров образования менее 2см и интрапаренхиматозное ее расположения. Больные находятся на диспансерном наблюдение и консервативном лечение. 4 - больным выполнено рентгенэндоваскулярное лечение расположение гемангиомы было интрапаренхиматозно в проекции I -IV и II-I сегментов. Осложнений не отмечалось.
Таким образом, считаем по возможности избегать инвазивных диагностических манипуляций (пункционная биопсия, ангиография), так как они сопряжены с серьезными осложнениями. Выраженная симптоматика, неуверенность в диагнозе и рост гемангиомы являются основными показаниями к ее удалению. Гигантский размер опухоли не является показанием к операции сам по себе. При наличии гигантской (10см) бессимптомной гемангиомы необходимо учитывать и такие факторы, как локализация опухоли, возраст и физическая активность пациента, наличие сопутствующих заболеваний и конечно опыт хирургического отделения.
Выводы: Клиническая картина гемангиом печени неспецифична. Современные методы лучевой диагностики, прежде всего КТ и МРТ, обладают высокой точностью в выявлении гемангиом печени, что позволяет практически полностью отказаться от инвазивных исследований. Основными показаниями к хирургическому лечению являются выраженные жалобы, увеличение размеров опухоли и неуверенность в диагнозе. Противопоказанием к резекции печени является вовлечение в процесс нижней полой вены, особенно в зоне впадения печеночных вен, и ствола воротной вены. Важным моментом, заставляющим отказаться от резекции печени, является цирроз. Гигантские гемангиомы, располагающиеся в обеих долях печени, также противопоказаны для удаления. Ближайшие и отдаленные результаты хирургического лечения гемангиом печени в исследуемой группе у детей хорошие. Симптомы исчезают у большинства пациентов (88,5 %), рецидивов в группе прооперированных детей не отмечались.
Пренатальная диагностика мезобластической нефромы у плода в III триместре беременности с использованием новых ультразвуковых технологий

Эталон новых стандартов! Беспрецедентная четкость, разрешение, сверхбыстрая обработка данных, а также исчерпывающий набор современных ультразвуковых технологий для решения самых сложных задач диагностики.
Введение
Материал и методы
Пациентка С., 31 года, была направлена в центр пренатальной диагностики врачом женской консультации в III триместре беременности для консультации и проведения эхокардиографии плода в связи с наличием у первого ребенка порока сердца. До III триместра в центр не обращалась.
Беременность четвертая, роды вторые. В анамнезе выкидыш в 6 недель, неразвивающаяся беременность при сроке 8 недель и срочные роды без осложнений. У ребенка имелась недостаточность аортального клапана I-II степени.
В женской консультации пациентке был проведен комплекс пренатального обследования на врожденные и наследственные заболевания у плода. По данным биохимического скрининга в I и II триместрах, риск рождения ребенка с хромосомной патологией расценен как низкий (1/2500, 1/850). Ультразвуковые исследования проведены в 9, 11 и 18 недель беременности в женской консультации и в 22 недели в перинатальном центре по месту жительства. Патологии у плода не было выявлено.
В центре пренатальной диагностики первое ультразвуковое исследование в 32 недели и последующий динамический контроль в 36 недель проведены на аппаратах SonoAce-Х8 (Медисон, Ю. Корея) c использованием конвексных датчиков AX C3-7 EP-A2 и SD C4-8 ET-A1, а также Voluson Е8 с использованием конвексных мультичастотных датчиков AB 2-7D, RAB 4-8D. Объемная информация о структурах плода сохранена и в последующем обработана с использованием программ 3D XI (Medison) и 4D.
Результаты и обсуждение
В центре пренатальной диагностики в срок III скрининга (32 недели) эхография была проведена по стандартной методике с заполнением утвержденного протокола скринингового ультразвукового исследования во II и III триместрах.
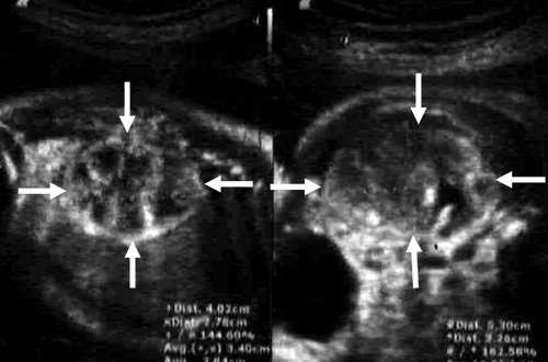
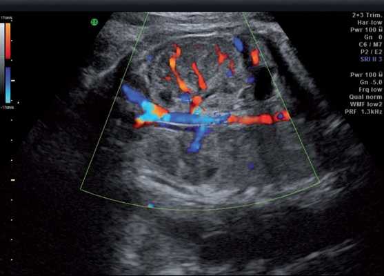
Результаты исследования: размеры плода пропорциональные, соответствуют менструальному сроку беременности. При эхокардиографии особенностей строения сердца у плода не выявлено. При оценке органов мочевыделительной системы обнаружено следующее: правая почка плода нормальных размеров и структуры. Левая почка увеличена до размеров 53х38х46 мм при 95-м процентиле нормативных для срока значений 43х24х23 мм [4] (рис. 1). В структуре почки, преимущественно в верхнем и среднем сегментах, определяется округлое образование без четких контуров, средней эхогенности, приблизительные размеры его 50х35х35 мм. При цветовом допплеровском картировании в образовании визуализируется обширная сосудистая сеть. При допплерометрии индексы сосудистой резистентности (рис. 2) в разных участках образования варьируют в широких пределах (от 0,49 до 0,77).

Рис. 1. Почки плода в режиме 2D. Видна разница в эхографической структуре. Границы почек обозначены стрелками.

Рис. 2. Режим цветового допплеровского картирования. Хорошо видны различия в характере васкуляризации нормальной почки и контрлатеральной пораженной почки.
Плацента по структуре и степени зрелости соответствует сроку беременности. Многоводие (индекс амниотической жидкости 22 см при норме 10-20 см).
При допплерометрии показатели кровотока в маточно-плодово-плацентарной системе в пределах нормативных значений.
Заключение. Беременность 32 недели. Новообразование левой почки плода (мезобластическая нефрома?).
- Динамический ультразвуковой контроль через 3-4 недели.
- Пренатальная консультация хирурга.
- Обследование новорожденного.
После получения данных ультразвукового исследования был уточнен анамнез. Выяснилось, что в семье пациентки у ближайших родственников имели место заболевания мочевыделительной системы, в частности злокачественные опухоли почек.
При динамическом ультразвуковом контроле в 36 недель дополнительных изменений у плода не было обнаружено. Размеры образования в почке незначительно увеличились.
В срок 38 недель произошли срочные роды. Родилась девочка, вес 3230 г, длина 50 см, оценка по шкале Апгар 8/9 баллов. В родильном доме почки ребенка не были обследованы. Девочка выписана домой на 4-е сутки.
На 2-й неделе жизни она консультирована хирургом и онкологом. Поставлен диагноз: нефробластома левой почки, рекомендовано оперативное лечение.
Через 2 мес после рождения произведена лапароскопическая нефрэктомия. Послеоперационный период протекал без осложнений. Гистологическое исследование: мезобластическая нефрома левой почки.
До настоящего времени ребенок находится под наблюдением онколога, развивается соответственно возрасту. Химиотерапия и другие виды специфического лечения не проводились.
Данное клиническое наблюдение, по нашему мнению, представляет определенный интерес для практикующих врачей, занимающихся ультразвуковой пренатальной диагностикой врожденных и наследственных заболеваний, поскольку это еще один случай выявления редко встречающейся патологии. При анализе данных литературы, в частности журнала "Ultrasound in Obstetrics and Gynecology" - официального журнала Международной Ассоциации врачей ультразвуковой диагностики в акушерстве и гинекологии (ISUOG), нам удалось выяснить, что в настоящее время в мире опубликовано не более 25 случаев дородовой диагностики этого заболевания. В нашей стране - это вторая публикация.
В пренатальном периоде опухоли почек, как правило, представлены двумя нозологическими формами: мезобластической нефромой (синоним - мезенхимальная гамартома, ренальная гамартома плода) и нефробластомой (опухоль Вильмса).
Мезобластическая нефрома - это односторонняя округлая солидная опухоль без капсулы, однородной структуры, иногда содержащая кистозные включения, образующиеся за счет кровоизлияний или очагов некроза. Микроскопически опухоль представлена мезенхимальными клетками, к которым относятся гладкие мышечные волокна и незрелые фибробласты. Кроме того, она может содержать клеточные элементы почечных клубочков и трубочек. Эта опухоль не имеет капсулы и способна к инфильтрирующему росту. Опухоль хорошо васкуляризирована и имеет развитую сосудистую сеть [4].
Мезобластическая нефрома может быть как доброкачественным, так и злокачественным новообразованием. В литературе есть данные о связи степени злокачественности опухоли и срока ее обнаружения. Чем раньше у новорожденного диагностируется это заболевание, тем менее злокачественный характер оно имеет. Считается, что этот вид опухоли чаще встречается у мальчиков 5.
При ультразвуковом исследовании в пренатальном периоде опухоль определяется как округлое образование, как правило, больших размеров, без четких контуров. Разница в акустической плотности интактной почечной паренхимы и опухолевой ткани может создавать эффект границы, которая глазом будет восприниматься как капсула. В большинстве случаев при беременности, осложненной возникновением мезобластической нефромы, регистрируется многоводие. Сочетанные изменения в других органах и системах плода встречаются редко.
Нефробластома, или опухоль Вильмса - это еще более редкая опухоль, описанная у плодов и новорожденных. Как и мезобластическая нефрома, она чаще бывает спорадической, но описаны и наследственные случаи. Считается, что двусторонняя локализация этой опухоли более характерна для наследственной формы. У мальчиков и девочек нефробластома регистрируется с одинаковой частотой.
Опухоль Вильмса в отличие от мезобластической нефромы - как правило, злокачественное новообразование почки, возникающее из аномально пролиферирующей метанефрогенной бластемы. Эта опухоль представляет собой солидное образование без капсулы с экзо- или эндофитным ростом. При поражении почки здоровая паренхима достаточно быстро замещается опухолевой тканью [8].
При ультразвуковом исследовании опухоль Вильмса также выглядит как округлое, хорошо отграниченное образование средней эхогенности. При цветовом допплеровском картировании выраженной сосудистой сети обычно обнаружить не удается. Экстраренальные сочетанные аномалии развития при нефробластоме встречаются редко [9, 10].
Дифференциальный диагноз при подозрении на опухоль почки у плода необходимо проводить с другими патологическими изменениями почек, например мультикистозом. Основное отличие мультикистоза от опухолей любого генеза - это обязательное наличие множественных анэхогенных включений разного диаметра и практически полное отсутствие сосудистой сети при цветовом допплеровском картировании. Изолированные кисты почек принципиально отличаются от опухолей четкой границей, анэхогенным содержимым и сохранением почечного сосудистого рисунка.
Образование, исходящее из надпочечника (опухоль, киста, кровоизлияние), может симулировать опухоль почки, однако в этом случае при более детальном исследовании всегда можно обнаружить почку типичного строения с характерным сосудистым рисунком при цветовом допплеровском картировании.
Другие аномалии развития, такие как экстралобарная легочная секвестрация, лимфангиомы и тератомы брюшной полости и забрюшинного пространства, кисты и тератомы яичников у плодов женского пола, на первый взгляд, могут быть сходны с новообразованиями почек, однако самый главный отличительный признак в этих случаях - наличие двух анатомически нормальных почек, расположенных в обычном месте.
Важно подчеркнуть, что все перечисленные аномалии развития можно диагностировать во II триместре беременности, тогда как опухоли почки, по данным литературы, в основном выявляются в III триместре. Случай наиболее ранней диагностики описан при сроке беременности 26 недель [2].
В представленном клиническом наблюдении диагноз опухоли почки был поставлен нами практически сразу и не вызывал сомнения, поскольку стандартный протокол ультразвукового скринингового исследования во II и III триместрах беременности требует описания почек и мочевого пузыря. Почки оцениваются в поперечном и продольном сечениях с использованием при необходимости цветового допплеровского картирования (рис. 3, а, б). В данном случае почки плода располагались в типичном месте, но обращали на себя внимание значительная разница в размерах и необычная структура одной из почек (см. рис. 1). В 2D режиме границы опухоли четко не визуализировались, но при использовании технологии VCI (объемное контрастное изображение) можно было более точно определить ее контуры (рис. 4).

Рис. 3. Исследование почек.
а) Поперечное сканирование. Переднезадний размер почек обозначен стрелками.
Ультразвуковые исследования печени в педиатрии
1 НМИЦ детской гематологии, онкологии и иммунологии им. Дмитрия Рогачева МЗ РФ, Москва.
2 Тульская областная детская клиническая больница, Тула.
Заболевания печени нередко проявляются неспецифическими жалобами и в ряде случаев выявляются случайно. Это относится, прежде всего, к детям, у которых доля врожденной патологии выше, чем у взрослых. Резервные возможности печени высоки, поэтому задача врача - выявить патологию, прежде чем она станет клинически значимой.
Клиническая анатомия печени
Известно высказывание, сравнивающее ультразвуковые исследования (УЗИ) с волшебным фонариком, позволяющим заглянуть в темную комнату и рассмотреть ее содержимое. УЗИ представляют нам "живую анатомию" органа, позволяя поставить топический диагноз при очаговом поражении печени или объективно охарактеризовать динамику диффузного процесса.
Правая и левая доли печени отделены бороздой, идущей от дна желчного пузыря к нижней полой вене. В каждой доле печени 4 сегмента: в левой доле первые четыре, в правой - с V по VIII. Сегменты выделяются на основе веточки воротной вены в их центре и печеночной вены на периферии. I сегмент (рис. 1) известен как хвостатая доля (доля Шпигеля).

а) Вид с диафрагмальной поверхности.

б) Вид с абдоминальной поверхности.
Ветви воротной вены отходят в форме, напоминающей две лежащие на боку буквы "Н", одна из которых снабжает левую долю (сегменты I-IV), другая - правую (сегменты V-VIII). "Н" левой доли лучше всего визуализируется при косом субксифоидальном доступе (рис. 2). К этой лежащей на боку "Н" прикрепляются серповидная и венозная (малый сальник = печеночно-желудочная связка) связки. Венозная связка - фиброзный остаток венозного протока, по которому у плода осуществляется сброс крови из левой пупочной в нижнюю полую вену. Венозная связка отграничивает I сегмент от II, серповидная - III от IV. I сегмент (хвостатая доля печени) располагается позади от нижней полой вены, сбоку от венозной связки и впереди левой ветви воротной вены. Особенность I сегмента - кровоснабжение правой и левой ветвями воротной вены (из-за малого диаметра плохо визуализируются при УЗИ) и дренаж непосредственно в нижнюю полую вену, минуя 3 основные большие печеночные вены. Портальная вена, снабжающая II сегмент - непосредственное продолжение левой ветви воротной вены, образует нижнюю "палочку" горизонтально расположенной "Н". Другую горизонтальную линию образуют ветви к сегментам III и IV. Сегменты II и III располагаются слева от венозной и серповидной связок. Сегмент IV, квадратная доля, располагается справа от серповидной связки и отделен от I сегмента левой ветвью воротной вены [1].

а) Левая доля печени.

б) Правая доля печени.
Правая часть воротной вены и ее ветвление к сегментам визуализируются при сагиттальном или косом среднеаксиллярном межреберном доступе. У детей и грацильных субъектов возможен субкостальный доступ. Правая ветвь воротной вены располагается косо вперед или вертикально. Ветви правой доли воротной вены, направляющиеся к сегментам, также формируют фигуру расположенной на боку буквы "Н" (рис. 2). Перемычку между ножками буквы "Н" образует правая ветвь воротной вены, ветви к сегментам V и VIII - верхнюю ножку, ветви к VI и VII сегментам расположены косо. Поэтому для визуализации VI сегмента датчик надо направлять в сторону правой почки. Средняя печеночная вена отграничивает V и VIII сегменты от IV, правая - V и VIII сегменты от VI и VII. V сегмент располагается медиальней от желчного пузыря. Правая ветвь воротной вены служит границей между V и VIII сегментами. Сегмент VIII отделен от VII правой печеной веной, от IV - средней печеночной веной. VI и VII сегменты отделяются от V и VIII правой печеночной веной. VI сегмент непосредственно прилежит к почке, его латеральной границей является грудная клетка. VII сегмент отделен от VIII правой печеночной веной, примыкая латерально к ребрам, каудально - к куполу диафрагмы.
Печеночные вены при косом субксифоидальном коронарном доступе напоминают букву "W", располагающуюся своим основанием на нижней полой вене. Левая печеночная вена является границей между II и III сегментами, средняя отграничивает IV сегмент от V и VIII, правая - V и VIII сегменты от VI и VII. При косом субксифоидальном доступе хорошо визуализируется правая печеночная вена, что позволяет отграничить поверхностный V сегмент от глубокого VIII.
Полноценное УЗИ подразумевает неукоснительную визуализацию ветвей воротной вены, их сегментарных ветвей, печеночных вен. Это позволяет диагностировать не только очаговые поражения печени, но и обнаружить тромбозы, сдавление сосудов объемным образованием или прорастанием опухоли в сосуд. Допплеровское исследование завершает диагностическую процедуру, определяя наличие и направление кровотока в сосудах. Рядом с сосудистым пучком (печеночная артерия и воротные вены) располагаются желчные ходы. Они становятся видны при блокаде оттока желчи [2].
Клинические проблемы
Желтухи новорожденных могут быть результатом паренхиматозных процессов (гепатоцеллюлярные) обструктивного характера, гемолитического и септического происхождения.
Диагноз должен быть установлен на самых ранних сроках. Если лечение обструкции желчевыведения или метаболических нарушений не начнется в течение ближайших 2 мес жизни, развивается фатальный цирроз печени. Эхография - важнейший метод диагностики причин гипербилирубинемий новорожденных. Методика позволяет ускорить дифференциальную диагностику внутри- и внепеченочной обструкции желчных протоков, включая кисты холедоха, спонтанную перфорацию желчного протока, атрезию внутрипеченочных ходов. Другие причины обструкции желчевыводящей системы (камни, опухоли, врожденный стеноз общего желчного протока) в периоде новорожденности встречаются редко. Внутрипеченочные нарушения могут быть при внутрипеченочной атрезии желчных ходов, редко - при развитии фиброзной ткани вокруг желчных ходов за счет гомозиготной мутации гена циррина CIRH1A на хромосоме 16q22. Кроме того, желтуха новорожденного может быть гепатоцеллюлярной (гепатиты вирусные, бактериальные, грибковые, паразитарные) или метаболической (непереносимость фруктозы, дефицит α1-антитрипсина, муковисцидоз). С холестазом протекают гемолиз, сердечная недостаточность, шок, сепсис, волчанка новорожденных [3, 4].

УЗИ сканер WS80
Идеальный инструмент для пренатальных исследований. Уникальное качество изображения и весь спектр диагностических программ для экспертной оценки здоровья женщины.
Клиническая трактовка результатов ультразвуковых исследований печени

Точная и уверенная диагностика. Многофункциональная ультразвуковая система для проведения исследований с экспертной диагностической точностью.
Ультразвуковые исследования (УЗИ) - часто первые в ряду диагностических поисков при подозрении на патологию печени, определяя выбор других методик. Совершенствование ультразвуковых диагностических технологий привело к тому, что в ряде случаев стало возможным отказаться от других радиологических исследований. Но это же повышает ответственность специалиста, требует клинически интерпретировать полученные результаты, не сводя описание к фиксации "эхопозитивных" и "эхонегативных" образований. Основная доля УЗИ в поликлинических условиях приходится на органы брюшной полости. И печень - первое, что в этом случае пытается визуализировать специалист. Заболевания печени могут быть заподозрены по предъявляемым жалобам, клинической картине, лабораторным данным, но нередко они выявляются случайно. Последнее относится, прежде всего, к детям, у которых доля врожденной патологии выше, чем у взрослых. Резервные возможности печени невероятны, поэтому задача врача - выявить патологию, прежде чем она станет клинически значимой.
Общие положения
Эмбриогенез печени и ее сосудов, анатомия. В раннем онтогенезе печень, желчный пузырь и желчный проток возникают как единый вырост (печеночный дивертикул) в каудальном отделе переднего отдела протокишки. Это образование растет вентрально в septum transversum, представляющую собой мезодерму между развивающимся сердцем и средним отделом кишки. Зачаток печени растет очень быстро, в первые 10 нед занимая бoльшую часть брюшной полости. В этот период размеры правой и левой долей печени одинаковые, но за счет оксигенированной крови из печеночной вены правая доля быстро обгоняет в размерах и массе левую. С 6-й недели печень является органом кроветворения, а с 12-й недели синтезирует желчь. Маленький каудально расположенный отросток на печеночном дивертикуле дает начало желчному пузырю, а его ножка - пузырному протоку. Из тяжика, идущего от печеночного и пузырного протока к двенадцатиперстной кишке, формируется общий желчный проток. В эмбриональный период кровь поступает в печень по пупочной вене, проходящей по свободному краю ligamentum falciforum в левую ветвь воротной вены. Эта часть v. portae соединяется с печеночной веной через ductus venosus, далее кровь поступает в правое предсердие. Таким образом, ductus venosus представляет собой большой венозный шунт в обход печени, благодаря которому основная часть крови из плаценты поступает непосредственно в сердце. Это единственный путь, по которому может быть проведен катетер. Если катетер при зондировании пупочной вены попадает в правую ветвь воротной вены, развиваются тромбоз, облитерация и портальная гипертензия. После рождения ребенка пупочная вена облитерируется и превращается в круглую связку печени (ligamentum teres). Ductus venosus трансформируется в ligamentum venosum. В первые часы после рождения эти структуры можно визуализировать как каналикулярные. Позднее ligamentum teres видна как плотная структура, распространяющаяся от левой части воротной вены. Если возрастает внутрипеченочное давление (при циррозе), круглая связка печени реканализируется. Портальная кровь начинает оттекать от печени к пупку, в результате чего варикозно расширяются околопупочные вены (caput medusae). Возможны аномалии нижней полой вены, но они крайне редки. Среди этих редких пороков чаще встречается леворасположенная нижняя полая вена, самостоятельно впадающая в правое предсердие через коронарный синус. Возможно недоразвитие печеночного сегмента нижней полой вены с дренажом крови через систему vv. azygos et hemiazygos. Печеночная вена самостоятельно дренируется в правое предсердие. Возможно удвоение нижней полой вены, при этом левая вена значительно меньше по диаметру, чем правая. Знание этих особенностей особенно важно в детской практике, так как существенная часть педиатрической патологии является врожденной.
Особенности локации (автор выражает благодарность компании Medison за предоставленную аппаратуру. Рис. 2-4 также предоставлены этой компанией). Начиная рабочий день, проверьте состояние аппаратуры. Убедитесь, что набор датчиков позволяет вам выполнить все исследования. Добейтесь, чтобы в направлении были приведены показания к проведению исследования, сформулированы цель и задачи, представлены основные клинические, лабораторные и инструментальные результаты. В беседе с родителями и ребенком (если он может формулировать свои проблемы) уточните все неясные моменты. Посмотрите на пациента как врач, а не как исполнитель при аппарате. Критически оцените прежние данные, сформулируйте свои показания. Имейте четкий план работы: период, в течение которого ребенок спокоен и позволяет выполнять процедуры, недолог.
Для УЗИ печени, селезенки, верхней части живота наиболее приемлем конвексный датчик. Угол обзора при этом большой, а деформация ближнего поля минимальная. Линейный датчик применим для визуализации мелких структур. Допплерография необходима при подозрении на сосудистые аномалии, гемангиомы.
Сканирование лучше проводить в положении ребенка на спине при максимальном вдохе или выдохе (в зависимости от особенностей ребенка). При вдохе легкие оттесняют печень, желчный пузырь и селезенку ниже реберной дуги, смещают толстую кишку, увеличивая акустическое окно. У детей старшего возраста иногда требуется осмотр через межреберные промежутки или в боковой проекции. Межкостальный доступ является оптимальным при расположении печени глубоко в подреберье. Чтобы избежать ложных заключений при нестандартных доступах, исследователь должен помнить об изменяющейся топографии органа, нарушениях обычного соотношения с ним почек, нижней полой вены, кишечника. Если в процессе осмотра печени возникли сомнения относительно состояния желчного пузыря или желчевыводящих путей, а ребенок подготовлен недостаточно, лучше закончить исследование и повторить его после подготовки. Важнейшее преимущество УЗИ перед другими методами неинвазивной визуализации (рентгенография, магнитнорезонансная - МРТ или компьютерная томография - КТ, ретроградная холангиопанкреатография - РХПГ) состоит в возможности повторять исследование так часто, как это диктуется клиникой.
Эхографическая картина нормальной печени. В норме печень ребенка гомогенна. Характер обработки сигнала выбирают в зависимости от цели исследования (рис. 1а, 1б). Капсула печени тонкая, эхогенная. Эхогенность паренхимы печени выше, чем паренхимы коры почек. Медуллярная ткань почек темнее паренхимы печени. Вентральный край печени тонкий, острый. При увеличении размеров печени он закругляется. Частым показанием к проведению УЗИ является подозрение на увеличение размеров печени. Существует много формул для расчета размеров печени, в том числе волюметрические. Последние используются в основном в научных целях или в специализированных клиниках. Размеры и конфигурация печени достаточно вариабельны. При рутинных исследованиях размеры печени можно оценивать качественно. Правая доля печени распространяется до нижнего полюса почки, но если существует риделевская долька (вариант нормы), то несколько ниже. У детей 1 года жизни левая доля при поперечном сканировании распространяется за срединную линию, у старших детей - до аорты. При гепатомегалии левая доля простирается вплоть до селезенки, сдвигая ее вниз. Смещение селезенки может служить причиной ошибочного заключения о спленомегалии. Таким образом, печень состоит из правой и левой долей. Кроме того, имеется и хвостатая доля. Доли печени делятся на сегменты. Упрощенно - правая доля имеет передний и задний сегменты (граница - правая печеночная вена). Левая доля состоит из медиального и латерального сегментов (граница - левая печеночная вена). Каждый сегмент имеет свое кровоснабжение. Поэтому при синдроме Бадда-Хиари (обструкция печеночных вен) сегменты увеличиваются в размерах, их эхогенность возрастает. Знание сегментов печени важно и для точной локализации объемных образований.

а) Эхограмма печени 12-летнего подростка в обычном режиме. Обратите внимание, что даже в 12-летнем возрасте круглая связка печени (стрелка), отходящая от левой части воротной вены, имеет каналикулярный вид (просвет внутри).
Антенатальное исследование плода (МРТ плода)
Что представляют собой ВПР (врожденные пороки развития)? Врожденные пороки развития - это одна из основных причин перинатальной смертности и инвалидности детского населения. Среди аномалий развития особую значимость имеют пороки развития, затрагивающие центральную нервную систему плода.
Поэтому важнейшей задачей настоящего времени является максимально раннее выявление врожденных пороков развития. Своевременное диагностирование патологий развития плода позволяет контролировать процесс уже на ранних этапах беременности, выбирать необходимую тактику ее ведения, уточнять сроки и способ родоразрешения, при необходимости проводить хирургическую или терапевтическую коррекцию, а в тяжелых случаях решать вопрос о прерывании беременности.
Что выбрать: УЗИ или МРТ плода? Основным методом диагностики врожденных пороков развития в современном акушерстве является УЗИ - диагностика.
Зачем и как проводится гинекологическое УЗИ? Рассказывает врач ультразвуковой диагностики «Клиника Эксперт Оренбург» Поскребышева Анна Викторовна
Проведение скрининговых исследований играет важнейшую роль в выявлении аномалий развития. Однако в тех случаях, когда возможности сонографии ограничены (ожирение матери, олигогидрамнион, ягодичное предлежание плода, редкая патология плода и др.), дополнительным методом исследования состояния плода является МРТ-исследование.
Зачем делают МРТ беременным? Читать далее
Метод МРТ: обладает высокой разрешающей способностью в визуализации структур головного мозга, позволяет получить мультипланарные изображения с большим полем обзора, не связан с ионизирующим излучением - безвреден; МРТ плода позволяет не только уточнять характер аномалий, заподозренных на УЗИ, но и выявлять ту патологию, определение которой находится за пределами возможностей сонографии.
В каких случаях МРТ противопоказано? Рассказывает исполнительный директор «Клиника Эксперт Оренбург» Подлевских Юрий Андреевич
Рассмотрим несколько примеров МРТ-исследования плода.
На рисунке - тазовое предлежание плода, 26 недель. Нормальная анатомия головного мозга
На рисунке - плод, 38 недель. Структурные изменения головного мозга плода не выявлены. Определяется однократное обвитие пуповиной
На рисунке - плод, 39 недель. Двукратное обвитие пуповиной
На рисунке - плод, 34 недели. Головное предлежание, гипоплазия мозжечка
Диагностика мальформаций мозолистого тела по данным УЗИ часто представляет сложности. При этом результаты МРТ-исследования уже на 20 неделе гестации сравнимы с данными МРТ в постнатальный период.
На рисунке - плод, 29 недель. Агенезия мозолистого тела. Асимметричная гидроцефалия
МРТ плода позволяет диагностировать такие нарушения нейрональной миграции, как лисэнцефалия, гетеротопия, шизэнцефалия, мало доступные для диагностики при других методах исследования.
На рисунке - плод, 32 недели; поперечное положение плода. Шизэнцефалия
Методом УЗИ-скрининга также возможно выявление черепно-мозговых грыж плода. Но при этом точно определить содержимое грыжевого мешка возможно только при МРТ-исследовании.
На рисунке - плод, 23 недели. Теменно-затылочное энцефалоцеле, заполненное спинномозговой жидкостью без признаков вовлечения мозговой ткани
Метод МРТ имеет большое значение в выявлении не только пороков развития ЦНС, но и при заболеваниях и аномалиях паренхиматозных органов брюшной полости и малого таза плода, его опорно-двигательного аппарата, крупных сосудов и др.
На рисунке - плод, 22 недели. Энтерогенная киста
На рисунке - врожденная диафрагмальная грыжа
На рисунке - мультикистоз почки
На рисунке - плод, 28 недель. Атрезия пищевода
На рисунке - пупочная грыжа
Таким образом, МРТ является дополнительным способом визуализации структур головного мозга плода. Он дополняет ультразвуковое исследование в тех случаях, когда применение сонографии технически ограничено, либо ее результаты сомнительны и противоречивы.
Читайте также:
