УЗИ печени при кавернозной гемангиоме
Добавил пользователь Евгений Кузнецов Обновлено: 21.01.2026
Это наиболее частые первичные опухоли печени, которые встречаются нами при проведении УЗИ печени. До появления ультразвуковой диагностики и КТ, сосудистые опухоли печени считались редкими. Тем не менее, гемангиомы являются случайным обнаружением при 2-7% вскрытия. При обследовании печени они обнаруживаются при повседневном УЗИ достаточно часто. Капиллярные гемангиомы присутствуют как хорошо развитые гиперэхогенные узелки, единичные или множественные, обычно они расположены на периферии печени.
Кавернозные гемангиомы, которые могут развиваться из капиллярных ангиом, содержат как локальные гипоэхогенные зоны и, таким образом, имеют неоднородный внешний вид, а их форма может быть неправильной. Снаружи они хорошо очерчены. Редко, кавернозная гемангиома может стать откровенно анэхогенной, и в таких случаях пункция будет отрицательной с получением только крови из образования. Некоторые сосудистые образования печени на УЗИ бывают просто гигантскими. Поверхностные гемангиомы склонны к внутрибрюшинному кровотечению.

Ультразвуковая допплерография, которая выявляет редкие внутридолевые сосудистые образования, в основном венозные, неспецифична. Если артериальные сигналы отображаются при ЦДК, то сдвиг частоты при импульсноволновой допплерографии является умеренным. Последующее наблюдение показывает, что гемангиомы не являются летательными образованиями. Поскольку ультразвуковое исследование с высоким разрешением выявляет так много бессимптомных гемангиом, в то время как их гиперэхогенный паттерн довольно неспецифичен, может потребоваться мультипроцедурная характеристика данных образований. Пункция используется редко, а вот меченая эритроцитарная сцинтиграфия очень специфична. Большинство случаев в настоящее время решается с помощью МРТ, которая показывает интенсивный гиперсигнал и характерное потребление гадолиния (используется при необходимости). Это напоминает схему усиления КТ после болюсной инъекции йода, которая характерна для более чем 50% случаев. Обычно наблюдается раннее периферическое наполнение, которое прогрессирует до центра очага поражения и сохраняется в течение нескольких минут. Этот вывод не только конкретный, но и очень чувствительный. Тем не менее, некоторые ангиомы имеют атипичную ангиографическую характеристику на КТ, тогда как гепатокарциномы могут исключительно задерживать периферическое окрашивание. Все это обсуждение приводит к обзору диагностической стратегии у пациентов с поражениями, которые кажутся сосудистыми.
Во-первых, когда есть изменение на УЗИ печени, которое выглядит как изображение ангиомы, поражение имеет диаметр менее 3 см, а пациент протекает бессимптомно, повторное обследование должно быть выполнено примерно через 4 месяца. Если все в порядке, то продолжение наблюдения прекращается. Если поражение увеличивается или у пациента имеются симптоматическое проявления заболевания, следует провести МРТ (а не КТ). Несколько типов поражений могут иметь одинаковый вид: аденома, узловая гиперплазия, гематома, липома, первичные или вторичные злокачественные узелки, старые гидатидные кисты и т. д.
Во-вторых, у пациентов с симптомами или с узлами более 3 см в диаметре всегда следует проводить МРТ (а не КТ). Диффузный ангиоматоз приводит к большим гиперэхогенным участкам, подобным тем, которые наблюдаются в диффузных метастатических отложениях, а также в частичном стеатозе. Опять же, после УЗИ печени, КТ-сканирование очень полезно, потому что диффузный ангиоматоз и стеатоз имеют специфический вид КТ: медленное потребление контрастного вещества и длительное задержка контраста при ангиоматозе и снижение поглощения рентгеновского излучения жиром при стеатозе.
Мы изучили серию из 19 ангиом с УЗИ и контрастной компьютерной томографией. Две ангиомы диаметром менее 3 см имели типичное «пятно от свечи» во время ультразвуковой диагностики, но не могли быть определены с помощью КТ. После этого корреляционного исследования один из пациентов в серии дал нам грубый шок. Эта женщина, 60 лет, была обследована из-за частых эпизодов острой боли в животе. Ультрасонография легко обнаружила плотную ангиому с пятнами свечей с некоторой неоднородностью и была подтверждена КТ. Из-за боли, которая не могла быть объяснена какими-либо другими поражениями печени или желчевыводящих путей, была предусмотрена операция, и артериография была выполнена до операции. Артериография показала вторую ангиому диаметром 4 см, которая не была обнаружена с помощью ультразвуковой диагностики или КТ. Однако на более новых УЗИ, КТ-машинах и МРТ такие ошибочные диагнозы не должны происходить сегодня.
Особые диагностические трудности не должны маскировать реальность, ведь большинство бессимптомных гемангиом диагностируется с помощью ультразвука, единственной дополнительной процедурой является последующее обследование. С другой стороны, верно, что в большинстве первичных опухолей печени нет специфических признаков и использование нескольких процедур в сочетании друг с другом является распространенным диагностическим процессом: ультразвуковое исследование и пункция, УЗИ и КТ, УЗИ и МРТ, ангиография, или любая другая комбинация. Я хотел бы еще раз подчеркнуть, что интраоперационное УЗИ часто является наиболее чувствительной и наиболее специфической процедурой, особенно если операция рассматривается в любом случае, а в какой-то момент повторное выполнение неокончательных предоперационных процедур должно быть остановлено. Псевдотуморальные изображения, возникающие из-за паразитарных поражений, жировой инфильтрации и т. д., могут сделать диагностику еще более сложной.
Ультразвуковая диагностика заболеваний органов пищеварения
Женщина 50 лет, госпитализирована с болями в верхнем правом квадранте живота. Ультразвуковое исследование органов брюшной полости было проведено в день поступления (рис. 1а, б).


Рис. 1. УЗИ печени.
a) На эхограмме в правой доле печени видны два гиперэхогенных образования с четкими контурами (3,0x1,5 см, 2,5x1,5 см).


б) На эхограмме в левой доле печени видно большое гетерогенное образование (5.0x4.0 см), имеющее дольчатое строение.
Диагноз - множественная гемангиома печени
Гемангиомы - наиболее часто встречающиеся доброкачественные опухоли печени. Среди всех поражений печени гемангиомы занимают второе место, уступая только метастатическим поражениям [1]. Хотя гемангиомы могут обнаруживаться в любых участках паренхимы печени, наиболее часто они встречаются в правой доле, располагаясь субкапсулярно или тесно прилегая к печеночным сосудам. У взрослых гемангиомы обнаруживаются в 0,4-20%, чаще у женщин [2,3]. Гемангиома может быть одиночной и множественной, расположенной внутри паренхимы, либо на ножке, размером от нескольких миллиметров до 20 см и более [2,4].
Боли в животе, как правило, наблюдаются при обширных образованиях в результате роста опухоли и развития тромбоза, либо из-за сдавления прилежащих органов.
Редко встречающимися осложнениями являются тромбоцитопения, гиперфибриногенемия и спонтанный разрыв гемангиомы [5,6]. Ряд продолжительных наблюдений показал, что в большинстве случаев гемангиомы остаются неизменными, хотя иногда их размеры могут увеличиваться или уменьшаться [6,7]. Было замечено влияние гормонов на рост некоторых гемангиом: увеличение их во время беременности и инволюция под действием кортикостероидной терапии [2,8].
Гемангиомы печени часто оказываются случайной находкой при ультразвуковом обследовании. Им свойственна характерная эхогенность, четкие признаки. Обычно диагноз может быть заподозрен при первом обследовании. Гемангиома имеет широкий спектр признаков при УЗ-обследовании. Наиболее общими, признаваемыми "типичными" признаками являются - маленький размер (диаметр не более 4 см), равномерное повышение эхогенности внутренней структуры, четкие контуры, субкапсулярное расположение в правой доле печени [9,10]. Нередко за гемангиомой наблюдается усиление звука [11]. Последующее наблюдение редко выявляет изменения в размере [7].
Небольшие гемангиомы обычно состоят из больших наполненных кровью кавернозных полостей, ограниченных слоем плоскоклеточного эпителия и разделенных фиброзными перегородками [12]. При микроскопии образование имеет ячеистую структуру. Множественные перегородки внутри гемангиомы создают характерную гиперэхогенность структуры [7]. Однако по мере роста гемангиомы могут произойти различные изменения: внутреннее кровотечение с некрозом, миксоматозные изменения, тромбоз, фиброз, кальцификация [13]. Эти изменения при эхографии могут проявляться гипоэхогенными, смешанной эхогенности и анэхогенными участками. Более того, исследование гемангиом размером более 4 см в диаметре показало, что некоторые из них имеют дольчатый контур, который соотвествует капсуле, определяемой при гистологическом исследовании и являющейся стенкой опухоли [5].
При наличии диффузной жировой инфильтрации гемангиому сложнее обнаружить при ультразвуковом исследовании [14]. Возросшая эхогенность печеночной паренхимы, инфильтрированной жиром, маскирует гемангиому. В случаях минимально выраженной жировой инфильтрации повреждения эхо-структуры могут быть минимальными, либо отсутствовать. В более выраженных случаях определяется зона повышенной эхогенности. Ультразвуковая картина гемангиомы печени при жировой инфильтрации будет меняться следующим образом - от гиперэхогенной вначале до изоэхогеннои и далее гипоэхогеннои по сравнению с инфильтрированной печенью.
Если ультразвуковые признаки достаточно типичны, пациенты с асимптоматичной гемангиомой и отсутствием риска малигнизации могут проходить повторные обследования с интервалом в 3-6 месяцев. У пациентов с риском малигнизации ситуация более сложная. В частности, гипоэхогенный ореол вокруг повреждения более соответствует метастазам, чем гемангиоме [15]. У большинства гемангиом имеется гиперэхогенный ободок по периферии, но нет периферического ореола или боковой тени. Так как гепатоцеллюлярная карцинома и метастазы рака толстой кишки, опухоли островковых клеток, карциноида, хориокарциномы могут манифестировать ультразвуковыми признаками, идентичными таковым при гемангиоме, ультразвуковое исследование не может быть единственным достоверным методом дифференциальной диагностики гемангиомы и рака. Поэтому для более точной диагностики необходимо проведение компьютерной томографии с контрастированием, радионуклидные исследования с мечеными эритроцитами, либо ядерно-магнитный резонанс.
В связи с тем, что неосложненные гемангиомы состоят из заполненных кровью сосудистых полостей, при стандартной компьютерной томографии они определяются как хорошо очерченные гомогенные образования, идентичные по плотности внутрипеченочным сосудам, и пониженной плотности по отношению к печеночной паренхиме [16]. Очаги пониженной по сравнению с кровью плотности могут быть видны внутри гемангиомы и представлять собой участок внутреннего фиброза. В печени с жировой инфильтрацией гемангиомы при компьютерной томографии выглядят гиперэхогенными, затрудняя тем самым точную оценку их структуры.
Компьютерные томограммы гемангиом после введения внутривенного контраста зависят от кровотока внутри образования и времени визуализации печеночного кровотока. Характерно, что кровь внутри гемангиомы медленно центростремительно течет от периферических синусоидов к центральным. Поэтому динамическая усиленная компьютерная томография с внутривенным контрастированием показывает центростремительное увеличение гемангиомы, плотность которой одинакова с плотностью прилежащих сосудов на том же уровне визуализации.
Общая интенсивность повреждения будет наибольшей по периферии на ранних стадиях введения контраста и уменьшается по мере снижения концентрации йода в кровотоке. Визуализация через 30 минут после введения контраста показывает изоэхогенность гемангиомы и окружающей печеночной паренхимы. Визуализация во время печеночной артериальной фазы внутривенного контрастирования (25-50 с после введения контраста) дает ярко выраженные пристеночные очаги по периферии гемангиомы. Эти узлы, считающиеся питающим сосудистым центром гемангиомы, характерны в диагностическом плане для гемангиом [18,19].
В нашем случае при ультразвуковом исследовании брюшной полости выявлено атипичное строение гемангиомы, динамическая компьютерная томография указывает на типичную гемангиому (рис. 2а, б). При этом важно знать, что только приблизительно в 54% случаев у больных с гемангиомами имеет место характерная перфузия с центростремительным усилением и поздним заполнением [20]. Однако в связи с тем, что этот тип усиления встречается только у 1,6% первичных и вторичных злокачественных опухолей печени, определение структуры данного усиления позволяет уверенно дифференцировать гемангиомы от злокачественных печеночных опухолей [20].

Рис. 2. КТ печени.
а) До контрастирования - в левой доле печени видно большое образование округлой формы.
Гемангиомы печени: причины, симптомы, лечение
Гемангиома печени - это доброкачественное сосудистое новообразование, локализирующееся в паренхиме печени. Данная опухоль в 6 раз чаще встречается у женщин, чем у мужчин, что обусловлено влиянием женского полового гормона эстрогена на ее рост и развитие.
Гемангиома печени - это опухоль, не перерождающаяся в злокачественную, и в редких случаях требующая лечения или резекции. Очень часто данное заболевание обнаруживается у беременных женщин или недавно родивших, что также вызвано повышением во время вынашивания плода уровня женского полового гормона.
Причины возникновения
На сегодняшний день точные причины возникновения гемангиомы неизвестны. Многие специалисты и вовсе считают данную сосудистую опухоль маленьких размеров (до 5 см) индивидуальным строением печени, а не проблемой, требующей лечения. Однако существует ряд факторов, способствующих росту и развитию данной сосудистой опухоли, что в будущем может влиять на общее состояние здоровья:
- генетическая предрасположенность. Доказано, что в семье, где у кровных родственников были случаи развития гемангиомы, вероятность ее развития у последующих поколений повышается. Также в истории были зафиксированы случаи возникновения этого новообразования у ребенка еще в утробе матери, что подтверждает теорию о наследственности данного заболевания;
- вторая группа крови. У людей с этой группой крови вероятность развития заболевания гораздо выше, чем у других;
- гормональный сбой. Основным фактором, влияющим на формирование гемангиомы, является повышенный уровень эстрогена в крови. Подобный гормональный дисбаланс может быть вызван беременностью, приемом гормональных контрацептивов или гормонозамещающей терапией;
- травматизация печени. Механические повреждения во время падений или ударов может в будущем стать причиной появления гемангиом.
Наши доктора, основываясь на многолетнем опыте работы, назначат корректное лечение, если в этом будет необходимость, а также проинструктируют касательно периодичности прохождения контрольных диагностических обследований в будущем.
На данный момент точно не выяснены причины появления гемангиомы - некоторые специалисты считают, что в маленьких размерах она совершенно безвредна для человеческого организма и не требует лечения, поскольку является скорее индивидуальной особенностью строения печени, чем болезнью. Однако существует ряд факторов, провоцирующих ее рост:
- гормональный дисбаланс. Половые женские гормоны эстрогены оказывают положительное влияние на рост и развитие гемангиомы, поэтому риск возникновения данного новообразования выше у когда-либо беременевших женщин, либо у тех, кто принимает гормональные контрацептивы или проходит гормонозамещающую терапию;
- наследственная предрасположенность. Бывали случаи, когда гемангиома начинала развиваться у ребенка еще в утробе матери. В этом случае гемангиома считается генетическим нарушением;
- вторая группа крови. Доказано, что люди со второй группой кровью более подвержены развитию данного сосудистого новообразования;
- механическое повреждение печени. Нередко гемангиомы появлялись вследствие сильного удара брюшной полости, а также вследствие неудачного оперативного вмешательства на печень.
Симптомы
Признаки гемангиомы печени не отличаются специфичностью и являются схожими с проявлениями других заболеваний печени, что существенно затрудняет диагностирование гемангиомы на ранних стадиях. К основным проявлениям данной сосудистой опухоли относят:
- общую слабость, утомляемость, вялость;
- боли в животе в области правого подреберья;
- тошноту, рвоту;
- повышение температуры тела;
- головокружения;
- желтуху, цианоз.
Типичность симптоматики с другими видами печеночных опухолей делает консультацию у гастроэнтеролога без предварительных обследований практически нецелесообразной. Однако если гемангиома печени тянет и болит, если человек чувствует тяжесть после еды или другие вышеперечисленные симптомы, это повод обратиться к врачу.

Виды сосудистых опухолей
Доброкачественная опухоль печени (гемангиома) представляет собой узел, состоящий из кровеносных сосудов и полостей, заполненных кровью. Такое новообразование может быть как одиночное, так и множественное. В основном данная опухоль формируется в правой доле печени, гемангиома левой доли печени встречается реже.
Гистология гемангиомы печени делится на три основных вида:
- капиллярная гемангиома печени. Это скопление маленьких сосудистых полостей, заполненных артериальной или венозной кровью. Данные новообразования, как правило, не вырастают большем чем 10 см в диаметре. Питание в капиллярных гемангиомах печени происходит за счет одного сосуда;
- кавернозная гемангиома печени. Данный узел состоит из соединений сосудистых полостей, находящихся на небольшом расстоянии друг от друга. Кавернозная гемангиома может вырастать до 25 см в диаметре и причинять человеку большой дискомфорт и болевые ощущения;
- атипичная гемангиома печени. В этом случае новообразование имеет нестандартную сосудистую структуру, покрытую ороговевшим слоем мягких тканей.
Чем опасна опухоль?
Сама по себе гемангиома не представляет никакой опасности по причине своей доброкачественности и маленьких размеров. Однако если не отслеживать динамику роста данного новообразования и никак не лечить большие узлы, гемангиома может быть чревата следующими осложнениями:
- разрывом опухоли и массивным внутренним кровотечением, что является самой большой опасностью, которую представляет собой гемангиома печени;
- сдавливанием соседних внутренних органов из-за большого размера новообразования. Огромные узлы (до 25 см в диаметре) могут вызывать сильные болевые ощущения по причины механического давления на органы малого таза, ЖКТ и др.;
- тромбозом и уплотнением опухоли.
Главной задачей гастроэнтеролога в данном случае является подбор наиболее эффективной методики лечения гемангиомы соответственно показателям пациента и особенностям его организма.
Результаты МРТ, УЗИ и компьютерной томографии
В данном случае консультация гастроэнтеролога без предварительной диагностики является малорезультативной, поскольку в большинстве случаев гемангиома не имеет видимых признаков и может быть выявлена лишь во время различного рода диагностических мероприятий. Обследованиями, позволяющими увидеть гемангиому и определить ее диаметр, являются:
- ультразвуковое исследование. Гемангиома печени на УЗИ зачастую заметна в паренхиме печени в виде округлого образования с неоднородным содержимым и четкими контурами;
- МСКТ брюшной полости;
- гепатосцинтиграфия - это метод, позволяющий исследовать мягкие ткани на предмет злокачественности. Биопсия при данном диагнозе запрещена, поскольку повреждение опухоли может вызвать массивное внутреннее кровотечение, так как само новообразование состоит из сосудов;
- МРТ и КТ печени и желчевыводящих путей. Данные исследования позволяют увидеть новообразование более точно с разных сторон. Перед этими обследованиями пациенту обязательно вводят в вену специальный препарат - контраст, поскольку гемангиома печени на КТ с контрастом очерчивается заметнее, и шанс спутать ее с иным новообразованием существенно уменьшается.
Наши врачи грамотно и внимательно относятся к составлению плана лечения каждого пациента, ведь только индивидуальный подход к выздоровлению дает ожидаемые результаты.

Накапливает ли гемангиома печени контраст при КТ?
Сложность компьютерной томографии в данном случае состоит в том, что небольшую гемангиому на обследовании легко спутать с такими патологиями, как:
- метастазы в печени. При условии выявления множественных опухолей в печени, врач может предположить, что они могут являться как гемангиомами, так и вторичными опухолевыми узлами (метастазами). Для более четкой картинки вводится контрастирующее вещество. Гемангиома печени контраст накапливает глыбками, в итоге получается изображение, характерное для гемангиомы, или напротив, подтверждающее теорию о метастазах в печени. Также в случае подозрения на метастазы рекомендуется проводить трехфазную КТ;
- печеночноклеточный рак. Большие сосудистые опухоли по структуре характеризуются неоднородной структурой, что может обозначать фиброз, наличие кальцинатов, а также некроз. Контрастирование происходит по признакам раковой опухоли. Доброкачественная опухоль констатируется по периферии к центру, что в некоторых случаях помогает рентгенологу определить характер опухоли.
Лечение
Лечение гемангиомы печени может быть как оперативным, так и консервативным - в зависимости от состояния и размера опухоли. К наиболее эффективным и распространённым методам относятся:
- прием препаратов, нормализирующих гормональный фон;
- прием препаратов с бета-блокаторами;
- удаление гемангиомы печени оперативным путем (резекция доли печени (лобэктомия), сегментарная резекция печени);
- эмболизация артерий, снабжающих новообразование. Данный способ является малоинвазивным и применяется для закупоривания кровеносных сосудов опухоли. В результате гемангиома печени уменьшается, а в последствии и вовсе пропадает, не беспокоя человека болевыми синдромами. Используется эмболизация для удаления как капиллярных, так и кавернозных гемангиом паренхимы печени;
- электрокоагуляция сосудов опухоли;
- лазерное облучение;
- склерозирование;
- радиолучевая терапия.
Однако не каждую гемангиому необходимо удалять. Существуют определенные показатели, наличие которых определяет необходимость удаления опухоли и способ, которым оно будет выполнено:
- если опухоль стремительно растет (более 50% объема за год);
- если человека беспокоят болевые или дискомфортные ощущения;
- если новообразование мешает функционированию внутренних органов;
- если диаметр гемангиомы превышает 7 см;
- если человека мучают симптомы, свидетельствующие о разрыве гемангиомы: резкая боль в области правого подреберья, головокружение, слабость, рвота, повышение температуры тела;
- если у врача есть подозрения на злокачественный характер новообразования в печени.
Для определения большинства показаний предварительно проводят диагностику, подтверждающую или опровергающую опасения врачей. Обследованиями для обнаружения гемангиомы печени являются:
- УЗИ печени;
- компьютерная томография;
- МРТ брюшной полости;
- статическая сцинтиграфия печени, которая позволяет определить доброкачественное новообразование или злокачественное.
Пункционная биопсия гемангиомы печени противопоказана, поскольку отщипывание образца мягких тканей может привести к серьезному внутреннему кровотечению.

Диета
Любое заболевание ЖКТ требует специальной диеты вне зависимости от выбранного курса лечения. Несоблюдение правил питания грозит увеличением опухоли или развитием побочных осложнений. Меню при гемангиоме печени должно преимущественно состоять из:
- сезонных овощей, фруктов, богатых клетчаткой и витамином В12;
- морской и речной рыбы;
- печени животных и птиц;
- нежирного мяса;
- продуктов молочного производства (кефир, творог, нежирный сыр);
- жидких блюд.
При гемангиоме печени противопоказаны следующие продукты:
- жирная острая пища;
- газированные напитки и крепкий кофе;
- консервированные продукты;
- соленья и другие продукты с большим содержанием соли;
- сахар и продукты с его содержанием;
- копченая пища.
Придерживаясь диеты и соблюдая все рекомендации врача, можно избавиться от гемангиомы в краткие сроки.
Прогнозы
Прогнозы при гемангиоме печени благоприятные, поскольку это доброкачественное заболевание, не перерождающееся в злокачественное. Важно соблюдать все указания врача для получения ожидаемого результата.
Специалисты Юсуповской больницы помогают пациентам избавляться от гемангиом самыми современными и действенными методами. Условия в стационаре позволят пациенту чувствовать себя комфортно, а приветливый и квалифицированный медицинский персонал сделает все, чтобы пребывание в нашей клинике было максимально комфортным и приятным.
Гемангиома печени
Гемангиома печени - это доброкачественная сосудистая опухоль, поражающая одну или обе доли печени. Чаще всего ее размер не превышает 5 см, а стертая симптоматика появляется только при значительных размерах образования. Первичная диагностика обычно является случайной и происходит при обследовании по поводу другой патологии. Заподозрить неоплазию позволят УЗИ, КТ или МРТ гепатобилиарной системы. Уточняют диагноз с помощью статической сцинтиграфии печени - метод позволяет доказать доброкачественный характер новообразования. Лечение только оперативное - при достижении опухолью больших размеров, сдавлении сосудов и соседних органов, кровотечении показано удаление части печени.


Общие сведения
Гемангиома печени - сосудистое новообразование, локализующееся в паренхиме печени, не склонное к малигнизации. О происхождении гемангиом до сих пор ведутся споры, однако большинство ученых склоняются к врожденному генезу данного вида новообразований. Вероятнее всего, формирование гемангиоматозного узла в печени происходит в первом триместре беременности, в период закладки кровеносных сосудов плода, вследствие патологического воздействия на организм беременной.
Гемангиома печени встречается у 7% населения. Несмотря на бытующее мнение о редкости данного вида новообразований, неоплазия занимает второе место среди всех опухолей печени. До 80% сосудистых новообразований, обнаруженных в первые три месяца жизни, в последующем подвергаются спонтанному регрессу. Заболевание чаще выявляют у молодых женщин - это связывают со стимулирующим влиянием эстрогенов на рост сосудистых опухолей. Опасность данного образования в том, что первым его проявлением может быть массивное кровотечение с вероятным летальным исходом. Следует отметить, что распространенность патологии среди населения в последние годы неуклонно растет.

Причины
Считается, что гемангиома печени начинает формироваться еще внутриутробно из эмбриональной ткани, как дефект закладки сосудов венозного русла. Многочисленные исследования морфологического субстрата сосудистых опухолей ставят гемангиомы на промежуточную ступень между пороками развития и эмбриональными бластомами. Среди всех гемангиом внутренних органов самая частая локализация - в печени, при этом в 7-10% случаев диагностируются гигантские опухоли (более 5 см). В практической гастроэнтерологии гемангиома лидирует среди всех доброкачественных опухолей печени.
Несмотря на множество исследований, посвященных сосудистым опухолям, до сих пор не принято единого решения - является ли гемангиома истинной опухолью или же это аномалия развития сосудов. В пользу опухолевой теории говорит инвазивный рост, гормонозависимость, рецидивирование после удаления. На сторону порока развития склоняет частое возникновение множественных гемангиом, что нехарактерно для опухолей. Нередок и гемангиоматоз печени, когда практически вся паренхима поражена мелкими (от нескольких миллиметров до 2 см) гемангиомами. Иногда тотальный гемангиоматоз приводит к тяжелой печеночной недостаточности и циррозу.
Ученые связывают рост новообразования не только с размножением клеток, а также с кровоизлияниями, тромбозом и расширением опухолевых сосудов. Наибольшая из известных доброкачественных сосудистых опухолей весила более пяти килограммов, хотя средний диапазон веса составляет 300-1500 г. Обычно новообразования растут очень медленно, к зрелому возрасту достигая размеров не более нескольких сантиметров. Кавернозные гемангиомы обычно растут быстрее капиллярных. У женщин рост сосудистых опухолей более интенсивный из-за высокого уровня эстрогенов, которые стимулируют деление клеток гемангиомы.
Классификация
Само понятие "гемангиома печени" является собирательным, многие авторы сюда относят разнообразные доброкачественные сосудистые новообразования печени: доброкачественную гемангиоэндотелиому, кавернозную, гроздевидную, венозную ангиомы. Гемангиома может быть кавернозной или капиллярной. Кавернозная гемангиома состоит из полостей больших размеров, которые объединяются в одну. Многие авторы в понятие каверномы включают не только опухоль, но и пороки развития, телеангиэктазии. Капиллярная гемангиома печени состоит из множества мелких полостей, каждая из которых содержит сосуд.
Симптомы гемангиомы печени
В 70% случаев выявленная неоплазия не превышает в размерах пяти сантиметров. Такие маленькие сосудистые опухоли никак не проявляются ни клинически, ни лабораторно. При достижении больших размеров (иногда до 20 см) может появиться стертая симптоматика: увеличение печени, боли в правом подреберье, тошнота. Чаще всего проявления гемангиомы бывают связаны со сдавлением крупных сосудов и соседних органов.
Иногда первым проявлением гемангиомы печени может быть массивное внутреннее кровотечение. Вызвать разрыв сосудов гемангиомы и кровопотерю могут разнообразные факторы: резкие движения, травмы живота (даже незначительные), высокие нагрузки. Кровотечение может быть столь массивным, что приводит к смерти пациента. Именно поэтому при возникновении резких болей в животе, после травмы брюшной полости пациентам с данной неоплазией следует незамедлительно обратиться к врачу.
Диагностика
Консультация врача-гепатолога редко позволяет своевременно выявить гемангиому печени, поскольку она практически никак не проявляет себя. Обычно доброкачественная сосудистая опухоль печени обнаруживается как случайная находка во время обследования по поводу другой патологии. УЗИ печени и желчного пузыря может обнаружить в паренхиме округлое образование с четкими контурами, неоднородным содержимым. Те же данные, но гораздо более точные, получают и при МРТ печени и желчевыводящих путей, МСКТ брюшной полости.

КТ ОБП С+. Гиперваскулярное объемное образование в правой доле печени, соответствующее плотности пула крови во всех фазах - гемангиома
Убедиться, что выявленная опухоль является гемангиомой печени, позволят ангиография чревного ствола (целиакография), статическая сцинтиграфия печени. Гепатосцинтиграфия используется для дифференцировки злокачественных и доброкачественных новообразований. Биохимические пробы печени (печеночные пробы) при гемангиоматозе обычно не изменены, если у пациента нет другой сопутствующей патологии (например, цирроза печени, гепатита). Клинические анализы также остаются в пределах нормы. Пункционная биопсия печени для диагностики сосудистой опухоли не используется, так как может привести к массивному кровотечению.
Большое внимание уделяется изучению генетических маркеров заболевания. Так, доказана связь А (II) группы крови с повышенным риском развития гемангиомы печени. Ученые предполагают, что развитие опухолевого процесса может иметь наследственную природу. Если исследования в данном направлении увенчаются успехом, то в будущем станет возможным выявлять группу риска по данной патологии, проводить диспансеризацию таких пациентов и диагностировать патологию еще на субклиническом этапе развития новообразования. Дифференцировать гемангиому печени следует с другими доброкачественными и злокачественными опухолями, кистами паразитарной и неинфекционной этиологии.
Лечение гемангиомы печени
От того, какого размера опухоль будет выявлена при обследовании, зависит дальнейшая тактика ведения и лечения данного пациента. Так как опухолевидное образование не всегда имеет шаровидную форму, принята единая методика измерения усредненного размера - фиксируется диаметр гемангиомы в трех взаимно перпендикулярных плоскостях ее наибольшего сечения. Неоплазии небольших размеров (до 5 сантиметров) не требуют каких-либо лечебных мероприятий. При первичном выявлении небольшой гемангиомы рекомендуют повторить УЗИ печени через 3 месяца для оценки динамики роста опухоли и общего состояния больного. В дальнейшем следует проводить ультразвуковое обследование каждые 6-12 месяцев, чтобы при повторной консультации гастроэнтеролога вовремя выявить показания к оперативному вмешательству.
Показания к удалению гемангиомы печени постоянно пересматриваются и дополняются. Специалисты сходятся во мнении, что необходимость операции должна оцениваться в каждом случае индивидуально. При этом учитываются размеры, локализация и количество новообразований, общее состояние пациента, сопутствующая патология. Главным критерием при определении показаний является сопоставление эффективности и риска операции. На сегодняшний день в пользу оперативного вмешательства свидетельствуют:
- Размеры опухоли более 50 мм.
- Быстрый рост опухоли - более чем на 50% ежегодно.
- Разрыв тканей опухоли с кровотечением.
- Тяжелая симптоматика, вызванная сдавлением опухолью сосудов или соседних органов.
- Сомнения в доброкачественности новообразования.
Однако существуют и противопоказания к проведению оперативного вмешательства - это прорастание основных венозных сосудов печени, цирроз печени, множественные гемангиомы в обеих долях печени.
При оперативном удалении неоплазий могут использоваться различные хирургические методики, в зависимости от размеров и локализации узла: сегментарная резекция печени, резекция доли печени (лобэктомия), гемигепатэктомия. Достаточно эффективными являются склерозирование и эмболизация. Указанные методы интервенционной радиологии могут использоваться и при множественных гемангиоматозных узлах, когда радикальная операция невозможна. В качестве подготовки к операции может применяться гормонотерапия - она позволяет уменьшить сосудистый узел в размерах, что в дальнейшем сводит объем операции и риск послеоперационных осложнений к минимуму.
В настоящее время разрабатывается множество современных неинвазивных методик лечения доброкачественных опухолей печени. Один из таких способов экспериментальной терапии заключается во введении в ткани гемангиомы ферромагнитных частиц с последующим созданием высокочастотного электромагнитного поля. При этом локальная температура в области опухолевого узла значительно повышается, вызывая асептический некроз, а затем - лизис поврежденных тканей.
Прогноз и профилактика
Прогноз при гемангиоме небольших размеров благоприятный. Так как данное новообразование закладывается еще внутриутробно, то единственным методом профилактики является тщательная подготовка к беременности, соблюдение здорового образа жизни и правильное питание, особенно в первом триместре. Методы профилактики возникновения неоплазия после завершения беременности не разработаны. Женщинам с данной патологией следует сообщить о своем диагнозе гинекологу, поскольку назначение данным специалистом эстрогенов может привести к росту опухоли и кровотечению.
Сложности в диагностике гигантской кавернозной гемангиомы печени, клинический пример

Содержит актуальную клиническую информацию по ультрасонографии и ориентирован на врачей ультразвуковой диагностики, выходит с 1996 года.
Гемангиомы печени впервые описали Dupuytren и Gruveilhier в 1816 г. [1, 2]. По материалам аутопсии, частота гемангиом печени колеблется от 0,4 до 7,3%, по данным клинических исследований, гемангиомы диагностируют у 2-4% взрослого населения, а во время операций по поводу очаговых образований печени их выявляют у 10-28% пациентов [1, 3, 4]. Различают три гистологических типа гемангиом: капиллярную (узкие сосудистые просветы, сильно развитая строма), скиррозную (расширенные блокированные сосуды, выраженная фиброзированная строма), кавернозную (крупные сосудистые лакуны, разделенные узкими фиброзными прослойками) [1, 5, 6]. Хотя анатомическим субстратом развития гемангиом являются венозные сосуды печени, их главными источниками питания признаны печеночная артерия и ее ветви [3].
Клиническая картина гемангиом разнообрана и зависит от величины и локализации опухоли. Жалобы появляются при достижении опухолью размеров свыше 5 см 9. От степени растяжения глиссоновой капсулы зависит выраженность болевого синдрома, который встречается у 50-75% пациентов, от состояния гемодинамики в воротной вене - наличия синдрома портальной гипертензии, от сдавления опухолью желчных протоков в воротах печени - наличия желтухи и нарушения венозного оттока от печени [1, 2, 7-9].
Наиболее грозным осложнением, встречающимся в 10% случаев при больших гемангиомах, является спонтанный или травматический ее разрыв, сопровождающийся массивным кровотечением в брюшную полость и приводящий к летальному исходу в 63-80% случаев [1-3, 8, 10]. Отмечены единичные случаи малигнизации гемангиом [2]. Вероятны и другие осложнения: тромбоз опухоли с возможным инфицированием тромба и последующим абсцедированием; перекручивание ножки опухоли с появлением симптомов "острого живота", сращение с сальником или петлями кишечника и развитие кишечной непроходимости; гемангиоматозная дегенерация печени с развитием печеночно-клеточной недостаточности; гемобилия; нарушение свертываемости крови (синдром КазабахаМерритта) [1, 2, 8].
Комплексное обследование пациентов с гемангиомами печени позволяет установить точный диагноз в 82,5-100% случаев [1, 11, 12].
В диагностике гемангиом печени используют ультразвуковое исследование (УЗИ), компьютерную томографию (КТ), магнитно-резонансную томографию (МРТ), ангиографию.
Инструментальное обследование пациента с гемангиомой начинают с УЗИ печени, учитывая неинвазивность, экономичность, простоту и доступность этого исследования. Однако данный метод, несмотря на большую информативность, не всегда позволяет однозначно высказаться в пользу гемангиомы.
В связи с этим представляем следующее клиническое наблюдение.
Клиническое случай
Больная К., 48 лет, предъявляет жалобы на боли в правом подреберье.
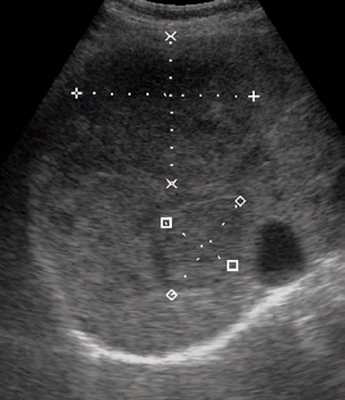
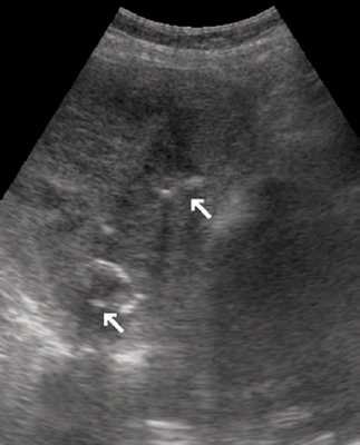
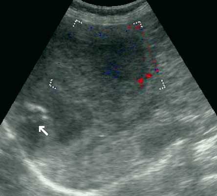
УЗИ брюшной полости. Печень увеличена в размерах, контуры ровные, структура неоднородная, средней эхогенности, признаков портальной и билиарной гипертензии нет. В правой доле печени визуализируется образование размером 142x95 мм, гиперэхогенное, выраженно неоднородное по эхоструктуре, с неровными контурами, наличием мелких эхонегативных зон, имеющее ободок пониженной эхогенности по периферии, с кальцинатами внутри. Образование гиповаскулярное. Желчный пузырь спавшийся. Поджелудочная железа без особенностей. Селезенка нормального размера, структурно не изменена.
Заключение: объемное образование правой доли печени (рис. 1).

а) B-режим. В правой доле печени визуализируется образование размером 142х95 мм, гиперэхогенное, неоднородное по эхоструктуре, с неровными контурами, наличием мелких эхонегативных зон, имеющее гипоэхогенный ободок по периферии.

б) Кальцинаты внутри (стрелки) образования.

в) Режим ЦДК. Образование гиповаскулярное. Стрелкой обозначены кальцинаты.
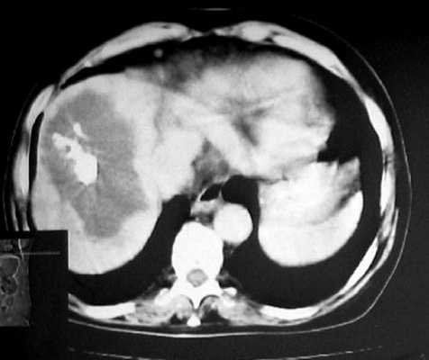
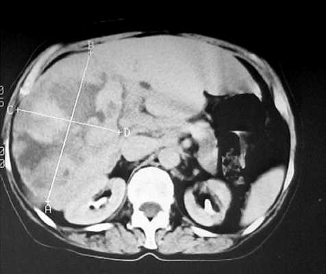
КТ брюшной полости. Печень увеличена в размерах, неоднородная по эхоструктуре, признаков портальной и билиарной гипертензии нет. В правой доле печени, занимая практически всю долю, определяется дополнительное объемное образование, неоднородно пониженной плотности, с неровными четкими контурами, размером 143х93 мм. После введения контрастного вещества образование неравномерно накапливает его от периферии к центру, в виде языков пламени. В центре образования определяется участок равномерно низкой плотности, продолговато-ветвистой формы, с четкими контурами (гиалиновая щель). В центре образования видны участки кальцификации. В отсроченной фазе образование продолжает неравномерно накапливать контрастное вещество, максимальное его накопление отмечено в центре. Поджелудочная железа без особенностей. Селезенка нормального размера, структурно не изменена.
Заключение: гигантская кавернозная гемангиома правой доли печени (рис. 2).

а) Паренхиматозная фаза.

б) Паренхиматозная фаза.

в) Отсроченная фаза.
Пациентке проведено оперативное лечение (рис. 3).

Опухоль неправильной формы, темно-красного цвета, губчатого вида, напоминает пчелиные соты.

Ультразвуковая картина гемангиомы определяется ее видом: капиллярная или кавернозная.
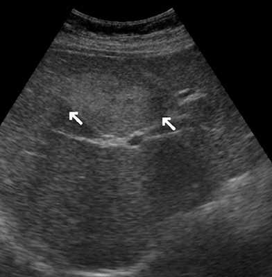
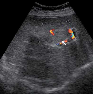
Типичными эхографическими признаками капиллярной гемангиомы (рис. 4) являются: небольшой размер (от 20 до 40 мм) образования, однородные, гомогенные гиперэхогенные, с четкими ровными (иногда неровными волнистыми, бугристыми в виде "штрихов") контурами, имеющие вид "спущенного шара"; хорошо отграничены от окружающей ткани; без затухания, иногда с усилением эхосигнала позади образования [1, 5, 12-14]. Типичные эхографические признаки кавернозной гемангиомы: образования больших размеров, с четкими бугристыми контурами; хорошей очерченностью от окружающей их неизмененной ткани печени; характеризуются высокой эхогенностью и неоднородностью структуры, которая обусловлена наличием кавернозных полостей, определяемых при УЗИ в виде эхонегативных зон различных форм и размеров [5, 9, 12]. При цветовом допплеровском картировании (ЦДК) кровоток в самой гемангиоме в 86,9% случаев, как правило, не определяется (образование аваскулярное или гиповаскулярное); в 75% случаев хорошо виден подходящий к гемангиоме питающий сосуд с признаками артериального, ламинарного кровотока. При оценке количественных показателей кровотока в артериях средняя систолическая линейная скорость кровотока, по данным разных исследователей, в гемангиомах составляет от 37,56±17,68 до 15,0±16,0 см/с; линейная скорость венозного кровотока в среднем достигает 20,61±9,8 см/с; PI в гемангиоме в среднем равен 0,91±0,14, RI - 0,5 [1, 5, 13-17]. Индекс допплеровской перфузии при гемангиомах - 0,22, что значительно меньше, чем при злокачественных образованиях (0,62±0,1) [1].

а) В-режим. В печени визуализируется образование небольшого диаметра, однородное, гомогенное гиперэхогенное, с четкими ровными контурами, хорошо отграниченное от окружающей ткани, с усилением эхосигнала позади образования (стрелки).

б) Режим ЦДК. Образование аваскулярное, вокруг образования визуализируются огибающие сосуды (стрелка).
По данным литературы [1, 13, 17], чувствительность УЗИ с ЦДК в диагностике гемангиом составляет 80%, специфичность - 86,5%, точность - 69-85%, положительная прогнозирующая ценность - 41%, отрицательная прогнозирущая ценность - 97%.
Однако анализ эхограмм при УЗИ показывает, что с увеличением размеров гемангиомы утрачивают типичные признаки. От 20 до 42% (а по данным некоторых авторов, до 75%) гемангиом имеют атипичную эхоструктуру. Это проявляется наличием у 5% гемангиом гипоэхогенного ободока, в 36% случаев гемангиомы имеют тенденцию к повышению негомогенности, в 4-24% они проявляются как гипо- или изоэхогенные образования по отношению к нормальной паренхиме печени, контуры образования становятся неровными и нечеткими у 85% больных, в 16% случаев имеет место нетипичный сосудистый рисунок [1, 6, 11, 13, 15].
Длительное время ангиографическое исследование считалось "золотым стандартом" в диагностике гемангиом печени. Однако в настоящее время КТ и МРТ с контрастным "усилением" обеспечивают надежную диагностику гемангиом печени, позволяя не прибегать к инвазивному ангиографическому исследованию. КТ-картина зависит от гистологического типа гемангиомы и имеет ряд характерных особенностей, позволяющих точно установить генез образования, а также провести дифференциальную диагностику с другими опухолями.
Капиллярная гемангиома при нативном исследовании описывается как образование малого размера, округлой формы, с четкими ровными контурами, четко отграниченное от окружающей ткани, плотность 24-54 ед. Н, гиподенсная или равная по плотности окружающей печеночной паренхиме. Кавернозная гемангиома - как образование более 6 см в диаметре, с четким контуром, но более бугристое по сравнению с капиллярной гемангиомой, четко отграниченное от окружающей ткани. Плотность кавернозной гемангиомы 32-38 ед. Н (гиподенсная). Кроме того, на КТ-срезе в паренхиме гемангиомы появляются мелкие участки в виде отдельных точек диаметром 1-3 мм или полосок размером 1x3 мм, пониженной плотности, которые разбросаны по всему срезу гемангиомы или сгруппированы в центре, но практически отсутствуют на периферии. С увеличением размеров гемангиомы более 8 см на КТ-срезах выявляется специфичный для гемангиом симптом "гиалиновой щели". Он в том заключается, что в центре гемангиомы определяется участок равномерной низкой плотности (15-30 ед. Н), звездчатой или продолговатоветвистой формы, с четкими контурами. В отличие от симптома "гиалиновой щели" участок низкой плотности, встречающийся при распаде злокачественной опухоли, имеет более округлую форму, нечеткие границы, неравномерную плотность [3].
После внутривенного болюсного введения контрастного препарата в первой, артериальной фазе (20-40 с) контрастирования печеночной паренхимы капиллярная гемангиома накапливает контрастное вещество от периферии к центру, поэтому обычно наблюдается симптом краевого или периферического накопления контрастного вещества в опухоли, так называемый симптом "ободка"; кавернозная гемангиома накапливает контрастное вещество в лакунах в виде "языков", распространяющихся от периферии к центру и постепенно сливающихся между собой, причем плотность лакун приближается к плотности контрастируемых в этот момент артерий. Визуализация гемангиомы за счет ярких скоплений контрастного вещества улучшается. В артериальной фазе появляются ветви печеночной артерии, кровоснабжающие гемангиому, именно эти ветви служат основой появления на периферии гемангиомы гиперконтрастных точек. Чем выраженнее артериальная фаза, тем ярче точка контрастирования артерии.
В венозной фазе (40-70 с) капиллярная гемангиома остается гиподенсной по отношению к паренхиме печени, продолжая накапливать контрастное вещество от периферии к центру; кавернозная гемангиома продолжает накапливать контрастное вещество, равномерно распределяющееся по всей гемангиоме, при этом "гиалиновая щель" контрастное вещество не накапливает. В артериальную и венозную фазы контрастного усиления время появления контрастного вещества и скорость накопления его в паренхиме печени значительно опережают эти величины в ткани гемангиомы (за исключением зон "гиперденсных точек-лакунязыков пламени").
В паренхиматозной фазе (90-150 с) в паренхиме печени контрастное вещество достигает своей наивысшей концентрации, после чего плотность паренхимы печени снижается. В гемангиоме же, наоборот, накопление контрастного вещества с 3-й минуты увеличивается, распространяется в центре образования и может продолжаться даже на протяжении 30 мин. При визуальной оценке примерно на 10-й минуте плотность гемангиомы выравнивается с плотностью печени, т.е. гемангиома становится "изоденсной", вследствие чего она плохо видна или ее изображение "исчезает".
Отсроченная фаза (через 7-30 мин после контрастирования, поздняя, паренхиматозная). Временной интервал удлиняется прямо пропорционально увеличению размеров гемангиомы. В эту фазу однозначно можно высказаться в пользу гемангиомы. На томограммах, сделанных через 20-30 мин после контрастного "усиления", гемангиомы выглядят уже как гиперденсные образования (денситометрические показатели гемангиом превышают денситометрические показатели плотности печени), так как контрастное вещество еще сохраняется в интерстициальном пространстве опухоли. Это типичный признак гемангиом печени, поэтому следует выполнять и поздние (отсроченные) компьютерные томограммы.
При проведении МРТ на Т2-взвешенных изображениях МР-томограмм даже мелкие гемангиомы печени (диаметр менее 1 см) достаточно надежно диагностируются по сильному сигналу, интенсивность которого значительно превосходит интенсивность сигнала от неизмененной паренхимы печени или метастазов [9, 13, 18, 19]. Полученные некоторыми авторами данные коррелировали с результатами подсчета Т2-релаксационного времени для гемангиом, гепатом и метастазов. Так, для гемангиомы этот показатель составил 288±20 мс, для гепатом - 83,7±12 мс, для метастазов - 78±10 мс [13, 18]. При МРТ печени так же широко, как и при КТ, используется болюсное контрастное "усиление" паренхимы печени, принципы которого идентичны болюсному контрастированию при КТ [18]. В отличие от метастазов и первичного рака печени гемангиомы при МРТ с контрастированием контрастируются только в паренхиматозную или отсроченную фазу с длительным сохранением усиления интенсивности сигнала, неравномерным очаговым накоплением контрастного вещества по периферии опухоли и отсутствием эффекта вымывания (при первичном раке и метастазах отличается эффект вымывания) [18].
К тактике лечения гемангиом необходим дифференцированный подход. При небольших размерах гемангиом (до 5 см), протекающих бессимптомно, показано динамическое наблюдение с проведением динамического УЗИ [1, 2, 6]. Методы инвазивного лечения гемангиом можно разделить на 2 группы. К радикальным относятся резекции печени, которые в свою очередь подразделяются на анатомическую (лобэктомия, гемигепатэктомия, расширенная гемигепатэктомия) или атипичную (резекция-вылущивание, краевые, клиновидные, поперечные резекции); экстирпация или энуклеация опухоли. Паллиативные методы включают резекцию опухоли; прошивание опухоли; перевязку или рентгеноэндоваскулярную окклюзию сосудов, питающих опухоль; криовоздействие на опухоль; склерозирование опухоли 96% спиртом; лучевую терапию [1, 2, 8, 20-22].
Выводы
Таким образом, эффективность УЗИ при гемангиомах печени находится в зависимости от размера образования: более эффективно при образованиях небольшого диаметра и менее эффективно при больших и гигантских образованиях. В свою очередь КТ/МРТ с болюсным контрастированием позволяет однозначно дигностировать крупные кавернозные гемангиомы печени.
Литература
Журнал "SonoAce Ultrasound"
Читайте также:
