УЗИ печени при пиогенном абсцессе
Добавил пользователь Евгений Кузнецов Обновлено: 02.11.2025
Вы сможете пройти платно УЗИ печени и желчного пузыря в Красноярске в удобное для Вас время, без направления. Цена на исследование очень приемлема. В Красноярске нередко врачи используют ультразвуковую диагностику для исследования печени и желчного пузыря. Для того, что бы понять зачем нужно делать УЗИ печени, надо просто представить функцию этого органа.
Печень - это самая крупная железа, а также самый крупный одиночный орган нашего организма. Масса печени человека составляет от 1500 до 1800 грамм - это 2-3% от массы тела. Через печень проходит кровь, преимущественно из органов брюшной полости, а также в ней происходит переработка и синтез многих веществ. Печень также вырабатывает желчь и посредством желчного пузыря и протоков выбрасывает его в желудочно-кишечный тракт для лучшего пищеварения. На УЗИ печень и желчный пузырь как правило хорошо лоцируется. Врач УЗИ исследует эхоструктуру печени (усиление или ослабление сигнала от неё), особое внимание уделяется исследованию венозных сосудов и портальной триады (воротная вена, желчный проток и ветви печеночной артерии). При этом осматриваются лимфатические протоки и изменения в них. Эхоструктура паренхимы печени на УЗИ имеет множество индивидуальных особенностей. Оценивают размер, яркость (зернистость), однородность, гомогенность, а также плотность печеночной паренхимы.
Что дает УЗИ печени?

Для того, чтобы правильно посмотреть печень на УЗИ в Красноярске, надо обращаться только к опытным врачам. Например, сама печеночная структура в норме мелкозернистая, умеренной яркости, с однородным распределением отдельных сигналов умеренной эхогенности. Ошибки при интерпретации могут быть связаны с деформацией передней поверхности печени вследствие надавливания датчиком на переднюю брюшную стенку. Стоит отметить, что и ультразвуковые приборы во многих больницах Красноярска ещё не обновлены до современного уровня, отсюда идут ошибки. Патология найденная при обследовании печени и желчного пузыря пациентов Красноярска разнообразна.
- Воспалительные процессы приводят к диффузным изменениям всей поверхности печени, ее контур становиться неровным и волнистыми, в данном случае причиной изменения часто служит хронический гепатит.
- При циррозе печени на УЗИ определяется неровная и узловатая поверхность печени, что хорошо заметно на фоне асцита (жидкости). В Красноярском крае нередко пациентов исследуют после тупых травм живота, на предмет разрыва печени, это крайне опасное состояние, требующая оперативного лечения.
- Объемное образование в печени может приводить к выбуханию ее поверхности и формированию вдавления в расположенных рядом органах. Ограниченное выпячивание на поверхности печени, обусловленное метастазами рака толстой кишки.
- Жировая дистрофия печени легко определяется по увеличению эхогенности при сравнении со здоровой почкой. Жировая дистрофия печени может приводить к различным регионарным, сегментарным и очаговым изменениям паренхимы. При ультразвуковом исследовании они локализуются преимущественно проксимально от бифуркации воротной вены и области ямки желчного пузыря. Жировая дистрофия печени по данным докторов гастроэнтерологов Красноярска часто связаны с сахарным диабетом, алкоголизмом и другими обменными заболеваниями.На понимать, что при УЗИ печени врачи оценивают и другие патологические изменения органов и структур брюшной полости, например желчного пузыря (его толщина стенки, видимые сосуды в стенке пузыря), селезенки (спленомегалия), поджелудочной железы (кисты, панкреатит) и сосудов системы воротной вены (варикозное расширение и коллатерали).
- Также описывается найденная на УЗИ свободная жидкость в брюшной полости (её количество, приблизительный объем и характер).
Четкость ультразвуковых изображений внутренних органов во многом зависит от чувствительности прибора и соотношения «сигнал-шум». Дополнительные образования внутри кисты, обусловленные ложными сигналами (зашумленность), могут привести к неправильной трактовке наличия плотного содержимого, например, в желчном пузыре. В этом случае необходимо провести сканирование других полостных органов, например, мочевого пузыря и убедиться в наличии или исчезновении ранее выявленных «патологических» изменений.
Методические погрешности в процессе исследования на УЗИ внутренних органов в Красноярске чаще всего вызваны слабой профессиональной подготовкой врача и недостаточным знанием основных закономерностей прохождения ультразвуковых волн в органах и тканях, общей и специальной анатомии внутренних органов, неправильной настройкой ультразвуковых аппаратов и выбором датчиков, не тщательным обследованием всего органа или анатомической области независимо от локализации, выявленной патологии.
Неправильная настройка аппарата без тестирования, в первую очередь, режима усиления генерируемых и, отраженных сигналов вызывает избыточное или недостаточное накопление их энергии на различных глубинах исследуемых объектов. Это приводит к неверной визуальной трактовке базового акустического показателя — отражательной способности паренхимы внутренних органов. Разрешающая способность ультразвуковых приборов в большой степени зависит от адекватного выбора динамического диапазона принимаемых эхосигналов, контрастности и яркости изображений на мониторе. При ультразвуковом сканировании паренхиматозных органов с неоднородной структурой и различным отражением ультразвуковых волн диапазон следует расширить, например, до 50-60 Дб, с однородной — уменьшить, например, до 30-40 Дб. Следует помнить, что чрезмерное расширение или суживание динамического диапазона приводит к потере диагностической информации и‚ как следствие, ошибочным заключениям.
Определенная часть диагностических ошибок и неудач обусловлена недостаточной подготовкой больных к исследованию внутренних органов на УЗИ, например, наличием повышенного количества содержимого и газов в желудке и кишечнике, недостаточным заполнением желчного пузыря желчью или его частичным сокращением после приема пищи и др. В этих случаях показано повторное исследование через 1-2 дня, после тщательной подготовки. При выявлении патологических изменений в одном анатомическом регионе необходимо последовательное и тщательное сканирование рядом расположенных областей или органов, т.е. проведение полного ультразвукового исследования, например, при выявлении конкрементов в правой почке необходимо исключить или подтвердить их одновременное наличие в желчном пузыре, при наличии гепатомегалии необходим обязательный осмотр селезенки. Выполнение данного методического подхода особенно важно при обследовании лихорадящих больных, со скудными клиническими данными, находящихся в тяжелом состоянии.
Показаниями к УЗИ печени являются:
- увеличенная печень (гепатомегалия)
- подозрение на абсцесс печени
- желтуха
- травмы живота
- асцит
- подозрения на метастазы в печени
- подозрение на опухоль печени
- боль в правой верхней части живота
- скрининг на эндемический эхинококкоз.
Техника ультразвукового исследования. Оборудование и датчики

Ультразвуковое исследование должно проводиться с использованием максимально возможного частотного датчика, обычно 3,5 МГц или 5,0 МГц. Доплеровские методы необходимы для точного анализа сосудов печени.
Подготовка пациента для проведения УЗИ печени
Пациент ничего не должен принимать внутрь за 5-6 часов до обследования. Если обследуемому необходима жидкость для предотвращения обезвоживания, следует давать только воду. Если симптомы острые, обследование должно быть предпринято немедленно без какой либо подготовки. В случае проведения УЗИ печени младенцам, если позволяет клиническое состояние пациента, им ничего не следует давать внутрь за 3-5 часов до обследования.
Положение пациента на УЗИ печени
Визуализация печени в режиме реального времени выполняется с пациентом в положении лежа на спине, слева и слева, а также в положении лежа на боку.
Сканирование должно проводиться в сагиттальной, поперечной и наклонной плоскостях, включая сканирование через межреберье и подреберье.
Нормальные данные по УЗИ печени. Эхо текстура
Нормальная паренхима печени однородна. Внутри однородной паренхимы лежат тонкостенные печеночные вены, светоотражающие портальные вены, печеночные артерии и желчные протоки. Текстура печени сопоставима с таковой почечной паренхимы. Нормальная паренхима печени должна иметь более мягкую, более однородную структуру, чем плотный мозговой слой и гипоэхогенная кора почки.
Эхогенность печени на УЗИ
Печень может быть такой же или более эхогенной, чем почка, однако она может быть менее эхогенной, чем почка, так как эхогенность коры почки может быть увеличена при некоторых заболеваниях почек. Селезенка имеет примерно такую же эхогенность, а поджелудочная железа - примерно такую же или немного большую эхогенность, чем печень.
Размер печени на УЗИ в норме
Измеряется правая и левая доля печени (кранио-каудальный размер). Как правило, печень имеет размеры менее 15 см, при этом 20 см представляет верхний предел нормы у крупных людей. Гепатомегалия присутствует, когда печень превышает 20 см. Однако существует значительный разброс по полу и анатомических особенностей человека.

Нормальная анатомия на УЗИ
Анатомия печени основана на ее сосудистой сети. Правая, средняя и левая печеночные вены проходят между долями и сегментами, и восемь сегментов различаются в классификации Койно. Средняя печеночная вена отделяет передний сегмент правой доли от медиального сегмента левой доли. Правая печеночная вена делит правую долю на передний и задний сегменты, а левая печеночная вена делит левую долю на медиальный и латеральный сегменты. Восходящий сегмент левой воротной вены и трещина связки также отделяют медиальный сегмент левой доли от бокового сегмента.
Патологические находки печени на УЗИ
Инфекционные заболевания. Гепатит на ультразвуковом исследовании. «Гепатит» является общим термином для воспалительных и инфекционных заболеваний печени, у которых есть много причин. Пациенты с острым и хроническим гепатитом могут первоначально иметь симптомы гриппа и патологию желудочно-кишечного тракта, включая потерю аппетита, тошноту, рвоту и усталость. При остром гепатите паренхима печени может иметь диффузно пониженную эхогенность с усилением яркости портальных триад, известных как «перипортальная манжета». Гепатомегалия и утолщение стенки желчного пузыря являются связанными данными. В большинстве случаев печень выглядит нормальной. В большинстве случаев хронического гепатита печень выглядит нормальной. Паренхима печени может быть грубой, со сниженной эхогенностью портальных триад, но степень ослабления не так велика, как при жировой инфильтрации. Печень часто не увеличивается в размерах.
Цирроз. Сонографическая диагностика цирроза может быть затруднена. Конкретные результаты включают грубую структуру печени, вторичную по отношению к фиброзу и узловатости, может присутствовать повышенное затухание с уменьшением сосудистых структрур. Диффузный стеатоз также может проявляться как повышенное ослабление с уменьшением сосудистых структур. Гепатоспленомегалия может присутствовать с асцитом, окружающим печень на ранних стадиях цирроза, тогда как на поздних стадиях печень часто мала, с увеличением хвостатой, левой доли или обоих по отношению к правой доле. Изоэхогенные или гипоэхогенные регенеративные узлы могут наблюдаться на УЗИ по всей паренхиме печени, большинство из которых имеют диаметр менее 1 см. Диспластические узлы больше, чем регенеративные, и могут иметь различную эхогенность. Поскольку цирроз считается предраковым состоянием, необходимо дополнительное обследование и последующее наблюдение.
Пиогенный абсцесс печени. Сонографическая идентификация гнойного абсцесса зависит от зрелости и внутренней консистенции поражения. Зрелые гнойные абсцессы кажутся кистозными, жидкость варьируется от анэхогенной до высокоэхогенной. Незрелые абсцессы могут казаться сплошными, с измененной эхогенностью и, как правило, гипоэхогенными. Абсцесс может иметь эхогенные очаги, с артефактом задней реверберации, если присутствует газ. Заполненные жидкостью границы раздела, внутренние перегородки и некоторые затеки могут найдены вдоль заднего края. Стенка абсцесса на УЗИ может варьироваться от хорошо выраженной до нерегулярной и толстой.
Грибковые заболевания на УЗИ печени. Кандидоз печени обычно возникает у людей с ослабленным иммунитетом и передается через кровоток. Наиболее распространенные находки - множественные гипоэхогенные узлы с дискретными краями. Другими сонографическими паттернами являются вид «колесо в колесе», множественные небольшие гипоэхогенные поражения с эхогенными центральными очагами, называемыми «бычьим глазом» или «мишенью», или множественные гиперэхогенные узлы с задним затенением. Из них паттерны «колесо в колесе» и «бычий глаз» на УЗИ свидетельствуют о том, что инфекция активна, тогда как другие две паттерны появляются позже в ходе болезни и предполагают, что инфекция стихает.
Амебный абсцесс на УЗИ печени. Амебный абсцесс — это скопление гноя, вызванное инфекцией печени, вызванной паразитом Entamoeba histolytica. Сонографическое проявление амебного абсцесса неспецифично и сходно с таковым пиогенного абсцесса.
Эхинококковые кисты при ультразвуковом исследовании. Эти кисты наиболее распространены в овцеводческих и скотоводческих странах, в том числе и в Красноярском крае. Особенности эхинококковой кисты по УЗИ печени, следующие:
простая киста, не содержащая внутренней архитектуры, кроме взвеси
«знак водяной лилии» — это кисты с отделенной эндоцистой, вторичной по отношению к разрыву
«киста внутри кисты», с матрицей дочерних кист и
плотно кальцинированная масса.
Септации частые изменения по УЗИ и включают в себя соты с жидкостью. Если обнаружен «знак водяной лилии» или «киста внутри кисты», он специфичен для эхинококковой кисты. Существуют две современные классификации гидатидных кист, одна из которых ВОЗ состоит из кистозного эхинококкоза разделенного на 5 типов, а другая - Gharbi H.A..
Туберкулез печени на УЗИ. Поражение печени и селезенки часто встречается у пациентов с милиарным туберкулезом. Ультразвуковое исследование обычно демонстрирует только неспецифическую гепатомегалию; однако поражения слишком малы, чтобы их можно было увидеть сонографически. Иногда над печенью могут появляться небольшие узлы или большое образование, называемая псевдоопухолями или туберкулезом.
Туберкулез часто плохо дифференцируется от других изменений, и его следует отличать от метастазов, абсцесса и первичной опухоли печени. По мере прогрессирования заболевания туберкулез печени может включать кальцификацию. При анализе пациентов с ВИЧ-инфекцией и патологическими результатами УЗИ брюшной полости у 20% был цирроз печени.
Метаболические расстройства. Жировой гепатоз. С помощью ультразвукового сканирования можно определить, что при данной патологии печень имеет повышенную эхогенность и может быть увеличена. Диффузный жировой гепатоз имеет однородно повышенную эхогенность. Сонографические особенности диффузного жирового гепатоза:
- яркая печень, с большей эхогенностью, чем почка
- уменьшена визуализация стенки воротной вены
- плохое проникновение ультразвука в заднюю часть печени и
- гепатомегалия
Очаговые жировые отложения показывают области повышенной эхогенности на фоне нормальной паренхимы печени, в то время как очаговые щадящие жировые отложения появляются в виде гипоэхогенных очагов в плотной, инфильтрированной жиром печени. Частые местоположения включают область ворот печени, около серповидной связки, дорсальной зоны левой доли и хвостатой доли. Эти отложения имеют тенденцию быть географически сконфигурированными, то есть иметь вид карты, но не узловатый или округлый. Печеночные сосуды обычно нормальные и не смещены в этих областях на цветных или энергетических доплеровских изображениях.
Способность специалиста по ультразвуковой диагностике выявить и оценить патологические проблемы брюшной полости зависит не только от используемого современного прибора, но прежде всего от его опыта работы по специальности. Врачи клиники "Альфа-Мед" на Взлетке Красноярска имеют опыт работы по УЗИ более 15-20 лет. Все многократно проходили профессиональную подготовку в лучших клиниках Красноярска и России. После диагностики Вам объяснят найденные патологические проблемы и порекомендуют врачей для консультации по лечению соответствующих заболеваний.
Воспалительные заболевания печени на УЗИ
Образование абсцессов печени при ультразвуковой диагностике
Печеночные абсцессы возникают чаще всего как осложнение болезни желчевыводящих путей, операции или травмы. На УЗИ определяют следующие три основных типа абсцедирования, которые происходит в печени: внутрипеченочный, подпеченочный и поддиафрагмальный. Клинически у больного есть лихорадка, повышенное количество лейкоцитов и боли в правом подреберье. Поиск абсцесса должен быть тщательно проведен на ультразвуковом исследовании, чтобы обнаружить одиночные или множественные очаги в печени или для поиска аномального наличия жидкости в кармане Морисона, в подпеченочном или поддиафрагмальном пространствах. Следующие инфекционные процессы чаще рассматриваются на УЗИ: пиогенный абсцесс печени, кандидоз, хроническая гранулематозная болезнь, амебный абсцесс, а также эхинококковая болезнь.

Пиогенный абсцесс на ультрасонографии
Гнойное воспаление образует абсцесс. Есть много маршрутов для бактерий, чтобы получить доступ к печени. Обычно они осуществляется через желчные протоки, воротную вену или печеночную артерию, посредством прямого распространения от очага инфекции или, редко через травму печени. Источники инфекции включают холангит, аппендицит, дивертикулит, воспалительные заболевания желудочно-кишечного тракта (колит), прямое распространение из другого органа, травма с прямым загрязнением, эмболизация после инфаркта или серповидно-клеточная анемия.
Клинически у больного это проявляется лихорадкой, болью, плевритом, тошнотой, рвотой, поносом. Повышенные показатели функции печени, лейкоцитоз и анемия также присутствуют. В формировании абсцесса у 50% до 67% пациентов наиболее часто встречаются микроорганизмы кишечная палочка и анаэробы.
Результаты ультразвукового исследования печени при абсцессе
Проявление на УЗИ пиогенного абсцесса может быть различным, в зависимости от внутреннего содержимого. Размер варьируется от 1 см до очень больших. Центральная часть правой доли печени является наиболее частой локализацией для развития абсцесса. Нарыв может быть гипоэхогенным круглой или яйцевидной формы, с ровными краями и акустическим усилением. Однако его форма может быть сложной, с несколькими полостями и неровными стенками вдоль заднего края. Внутри образования печени на УЗИ брюшной полости может быть обнаружен уровень жидкости или присутствие газа, он может быть гиперэхогенным за счет неоднородного гнойного содержимого.
Печеночный кандидоз на ультрасонографии
Печеночный кандидоз вызывается одним из видов грибов Кандида. Это заболевание, как правило, возникает у людей с ослабленной иммунной системой. Обычно это пациенты, подвергающиеся химиотерапии, трансплантации органов или лиц с инфицированные вирусом иммунодефицита человека (ВИЧ). Грибки Кандида проникают в кровь и могут повлиять на любой внутренний орган, страдают обычно более перфузируемые системы: почки, мозг и сердце. Клинически у пациента могут проявляться неспецифические симптомы, такие как упорная лихорадка у пациента с нейтропенией, чье количество лейкоцитов нормализуется. Локализованная боль в области печени может также присутствовать.
Результаты УЗИ внутренних органов. Кандидоз в печени может представить в виде нескольких небольших гипоэхогенных образований с эхогенным центральным ядром, который называют «бычий глаз» или «пораженная мишень». Такой симптом имеет гиперэхогенный центр (содержащим воспалительные клетки) и с присутствием гипоэхогенного ободка, когда нейтрофилы возвращаются к нормальному состоянию. Другая сонографическая картина была описана как модель «колесо-в-колесе», или множественных мелких гипоэхогенных очагов. В периферийной части гипоэхогенных зон и центральной части гипоэхогенных зон могут быть найдены очаговые некрозы. Самая частая находка - равномерно гипоэхогенное образование. Когда идет формирование рубца, картина на УЗИ становится более эхогенной. Конкретный диагноз можно поставить только с помощью тонкоигольной аспирацией.
Хроническая гранулематозная болезнь на ультрасонографии
Хроническая гранулематозная болезнь — это наследственное заболевание, при котором фагоциты не способны убивать некоторые виды бактерий и грибки. Она возникает главным образом у детей, с более частым проявлением у мальчиков, потому что это рецессивный признак. Педиатрический пациент может иметь рецидивирующие респираторные инфекции. Что показывают результаты УЗИ внутренних органов? Слабо окаймленные, гипоэхогенные очаги наблюдаются в печени с увеличением размера кзади. Кальцинаты также могут присутствовать, и они обычно создают затенения. Однако необходимы другие исследования, чтобы классифицировать массы, как гранулематозная болезнь.
Амебный абсцесс на УЗИ печени
Амебный абсцесс — это скопление гноя, которое образуется из-за распадающейся ткани печени, вызываемое простейшим паразитом дизентерийной амебой. Эта инфекция в первую очередь связана с заболеванием толстой кишки, но может также распространиться на печень, легкие и мозг. Паразиты достигают паренхимы печени через воротную вену. Заражение амебиазом происходит контрактным путем при проглатывании цист в загрязненной воде и пищевыми продуктами. Амебы, как правило, затрагивают воспалением слепую кишку и остаются в организме в пределах желудочно-кишечного тракта. Если инфекция вторгается в организм через слизистую оболочку толстой кишки, она может распространяться в печень по портальной венозной системе.
У пациентов болезнь может протекать бессимптомно или может проявляться симптомами желудочно-кишечного тракта, болями в животе, поносом, лейкоцитозом, и субфебрильной температурой. Что показывают результаты УЗИ внутренних органов? Ультразвуковые изменения амебного абсцесса на внешний вид являются переменными и неспецифическими. Воспалительный очаг в печени может быть круглой или овальной формы и с отсутствием заметных определенных эхосигналов от стенок. Образование будет гипоэхогенным по сравнению с нормальной паренхимой печени. Внутри могут быть некоторые внутренние сигналы вдоль заднего края от нагноения. Дистальное усиление может быть видно при массивном поражении. Некоторые абсцессы могут прорваться через диафрагму в печеночной капсуле.
Печеночный эхинококкоз на ультрасонографии
Печеночный эхинококкоз — это общее инфекционное заболевание, который чаще встречается в сельской местности. Эхинококк - это ленточный червь, который заражает человека как промежуточного хозяина. Червь живет в тонком кишечнике собак. Цисты от взрослого червя из собачьих фекалий попадают в окружающую среду, где промежуточные хозяева проглатывают яйца. После вхождения в проксимальной части тонкой кишки в организме человека, личинки зарываются и через слизистую оболочку, попадают в портальный кровоток и отправляются в печень.
Эхинококковые кисты состоят из двух слоев: внутренний слой и наружный, последний является слоем воспалительной реакции. Меньшие по размеру, дочерние кисты могут развиваться из внутреннего слоя. Кисты могут увеличиваться и разрываться, а также отрицательно сказываться на сосудах и приводят к сосудистым тромбозом и инфарктом.
Результаты ультразвукового исследования
Несколько вариантов можно зарегистрировать на УЗИ, от простой кисты до сложного образования с акустическим усилением. Форма может быть овальной или шаровидной формы, с ровными стенками. В дальнейшем нередко происходит кальцификация. Кроме того, часто обнаруживаются перегородки, которые создают внешний вид «пчелиной соты» со скоплением жидкости. Может встречаться знак «водяной лилии», на котором изображен скопление дебриса и распад в зародышевом слое, или «киста в кисте». Иногда печень содержит несколько родительских кист в обеих долях печени. Это кисты с толстыми стенами, которые занимают разные части печени. Ткань между кистами, указывает, что это отдельная родительская киста и не дочерняя. Если на УЗИ находят дочернюю кисту, то это довольно характерный признак для эхинококкоза.
Пневмоцистная пневмония на ультрасонографии
Pneumocystic pneumonia является наиболее распространенным заболеванием организма, которые вызывают оппортунистические инфекции у различных пациентов. Однако, чаще пневмоцистная пневмония является распространенной угрожающей жизни инфекции у пациентов с вирусом иммунодефицита человека. Инфекция влияет на больных, перенесших трансплантации костного мозга или других органов, и у больных, получающих химиотерапию. Результаты ультразвукового исследования в режиме реального времени колеблются от диффузных, мелких, без дистальной тени гиперэхогенных очагов, до обширного замещения паренхимы печени различных размеров гиперэхогенными очагами кальцификации.
Абсцесс печени на УЗИ
В Красноярске при проведении УЗИ печени мы иногда обнаруживаем паразитарные абсцессы. При этом бактериальные абсцессы обычно разделяют по пути проникновения инфекции на гематогенные (портальные и артериальные), холангиогенные, контактные, посттравматические (ишемические) и криптогенные, в тех случаях, когда источник инфицирования выявить не удается. В другую группу вторичных абсцессов относят иные случаи нагноения непаразитарных и эхинококковых кист, инфицирования очагов распада доброкачественных и злокачественных опухолей печени, а также (редко) специфических гранулем этого органа - туберкулезных и сифилитических. Эту группу абсцессов обычно относят как осложнения многообразных очаговых поражений печени, не имеющих отношение к первичным нагноительным заболеваниям печени.

- сепарация содержимого полости абсцесса с образованием границы «жидкость-жидкость» с горизонтальным уровнем, где более густая эхогенная часть находится внизу, а более жидкая эхонегативная - вверху;
- возможное появление пузырьков газа в полости абсцесса (вследствие анаэробного воспалительного процесса) в виде гиперэхогенных объемных структур, занимающих положение у верхней стенки и дающих конусообразный эффект реверберации с образным названием «хвост кометы»;
- перемещение всего внутреннего содержимого при изменении положения тела пациента;
- формирование четкого отграничения полости абсцесса от окружающей паренхимы печени в виде несколько неоднородного ободка повышенной эхогенности и различной толщины - от 1 до 15 мм, являющегося пиогенным.
Паразитарные абсцессы имеют различную картину при ультразвуковом исследовании. При попадании амеб в печень в органе возникает воспалительная инфильтрация с дальнейшим образованием очагов некроза. Затем происходит интеграция некротических очагов в один или несколько абсцессов. На ультразвуковом изображении, соответственно, может регистрироваться первоначально умеренная, а затем и выраженная диффузно-очаговая неоднородная паренхима со смешанной и преимущественно пониженной эхогенностью. В последующем на УЗИ печени на этом фоне образуются эхонегативные участки неправильной формы, разнообразных размеров, с неровными и нечеткими контурами. Затем они организуют одну или несколько полостей, почти аналогичных по акустическим признакам бактериальным абсцессам, но, тем не менее, с рядом отличий: контуры обычно неровные, с «карманами», эхогенная оболочка вокруг абсцесса неотчетливо сформулирована, в полости абсцесса нередко наличествует более неоднородное содержимое, вплоть до присутствия секвестров печеночной ткани и значительного количества газа. Важнейшей дополнительной диагностической подсказкой является регистрация признаков сравнительно быстрой модификации ультразвукового изображения в соответствии с проводимым лечением при динамическом исследовании. Из-за того, что пиогенные абсцессы формируются при проникновении инфекционного агента через желчные протоки, достаточно часто они сочетаются с локальным или диффузным холангитом.
Амебный абсцесс печени вызывается амебой Entamoeba histolytica. Несмотря на то, что основные про¬явления амебного абсцесса печени сконцентрированы в брюшной полости, заболевание также может распространяться на печень, легкие или головной мозг. Амебный абсцесс печени является наиболее распространенным внекишечным осложнением инвазивного амебиаза. По неустановленным причинам мужчины в 4 раза чаще чем женщины подвергаются данному заболеванию, причем оно более часто проявляется в возрасте после 30 лет. Заболевание поражает преимущественно правую долю печени. Серологические реакции положительны в более чем 90% случаев заболевания. Осложнения амебного абсцесса печени включают его перфорацию в брюшную полость, диафрагмальную перфорацию, приводящую к абсцессу в плевральной полости и кровоизлиянию. При начальных проявлениях амебные абсцессы могут быть не обнаружены при ультразвуковом исследовании в следствии незначительных макроструктурных изменений в области поражения.
Если зона инфекционного изменения становится видимым на УЗИ, то чаще всего он выглядит как округло-овальной формы образование. Амебный абсцесс имеет меньшую эхогенность, чем паренхима печени. Обычное определение амебного абсцесса на ультрасоногорафии будет правая доля печени, а конкретно субкапсулярная зона. Размеры абсцессов колеблются в больших пределах, в отдельных случаях до таза или же верхней части живота. Обычно амебные абсцессы выявляются в виде одиночных образований, но могут быть обнаружены как множественные, со слабо видимой стенкой. Они могут быть представлены в виде осложненных кистозных структур, с различной степенью выраженной акустической тенью, слабой периферической васкуляризацией при цветном допплеровском исследовании.
Гранулема на УЗИ печени
Гранулема печени на УЗИ выглядит как локальное скопление в печеночной ткани клеток (эпителиоидных, гигантских многоядерных), характерных для хронического воспаления. Механизм формирования печеночных гранулем в настоящее время до конца не выяснен. Причины, которые приводят к формированию гранулем в печени могут быть следующими:
- Прием лекарственных препаратов, например, аллопуринола (аллупол, пуринол), фенилбутазона, квинидина, сульфаниламидов.
- Инфекционные заболевания, вызываемые: бактериями (актиномикоз, бруцеллез, сифилис, туберкулез, туляремия); грибками (бластомикоз, криптококкоз, гистоплазмоз); паразитами (шистосомоз, токсоплазмоз); вирусами (цитомегаловирусная инфекция, инфекционный мононуклеоз, Ку-лихорадка).
- Заболевания печени (первичный билиарный цирроз).
- Системные заболевания (лимфома Ходжкина, ревматическая полимиалгия, саркоидоз).
Диагностика гранулем печени основана главным образом на биопсии органа. В этом случае регистрируют гранулемы, вызванные паразитами (при шистосомозе), бактериями (при туберкулезе), грибками (при гистиоплазмозе). Гранулемы печени на УЗИ, которые возникают во время использования лекарственных препаратов, или образованными в результате инфекций, целиком проходят после лечения этих заболеваний. Гранулемы у пациентов с саркоидозом иногда проходят спонтанно или регистрируются на УЗИ печени годами, обычно без отклонений функции печени. В тоже время может формироваться ухудшающийся фиброз печени и портальная гипертензия (повышение давления в системе воротной вены печени).
Абсцесс печени
Абсцесс печени - это ограниченная полость, расположенная в печени и заполненная гноем. Развивается вследствие других заболеваний либо первичного поражения. Проявляется болями в правом подреберье, повышением температуры, желтушностью кожи. Диагноз ставится путем сбора анамнеза, осмотра, проведения УЗИ печени, применения вспомогательных методов исследований. Лечение может быть консервативным (антибиотикотерапия) или хирургическим (вскрытие абсцесса). Прогноз заболевания при своевременном начале лечения благоприятный.
МКБ-10


Общие сведения
Абсцесс печени - это деструктивное заболевание, при котором в ткани печени формируется полость с гнойным содержимым. На сегодняшний день определено множество причин возникновения абсцессов в печени, но наиболее значимыми из них являются аппендицит, желчнокаменная болезнь и сепсис. Такие абсцессы достаточно сложны в диагностике, поэтому постоянно разрабатываются новейшие методики определения и лечения данного состояния. Применяются более современные методики лечения - все чаще при обнаружении гнойника в печени хирурги прибегают к его лапароскопическому или тонкоигольному дренированию, а расширенные лапаротомические операции постепенно уходят в прошлое.

Причины
Основное условие образования гнойника в печени - снижение общего и местного иммунитета. Формирование абсцесса может быть вызвано различными возбудителями, чаще всего это гемолитический стрептококк, золотистый стафилококк, энтеробактерии, кишечная палочка, клебсиелла, анаэробные микроорганизмы. Нередко при посеве гноя выделяется смешанная флора. Заболеванием чаще страдают мужчины. Амебная этиология преобладает в возрастной группе 20-35 лет, а бактериальная - после 40 лет. Абсцессы печени разделяются по пути распространения инфекции:
- по желчным путям при холецистите, холангите, желчнокаменной болезни, раке желчных путей;
- контактно при возникновении воспалительных процессов в брюшной полости: аппендицит, дивертикулит, неспецифический язвенный колит у лиц с иммунодепрессией;
- по кровеносным сосудам при сепсисе.
Также инфекционный агент может попасть в орган при травмах печени, во время операции на печени, при инфицировании различных кист печени (паразитарных и непаразитарных), из очагов распада опухолей и специфических гранулем. Иногда причину возникновения патологии установить не удается.
Классификация
В абдоминальной хирургии существует несколько классификаций абсцесса печени:
- По количеству: единичный и множественные абсцессы.
- По месту возникновения: поражение левой или правой доли печени.
- По этиологии: бактериальные и паразитарные абсцессы.
По причине развития патология может быть первичной или вторичной. Разные авторы трактуют это разделение по-разному - ряд специалистов говорит о первичном очаге инфекции, другие - о наличии или отсутствии изменений в ткани печени до возникновения абсцесса. Сходятся они в одном: причину возникновения первичного абсцесса обычно определить не удается (такие абсцессы называют криптогенными).
Симптомы абсцесса печени
Формирование абсцесса обычно характеризуется возникновением болей в правом подреберье, которые могут иррадиировать под лопатку или в плечо справа. Пациент отмечает усиление болей в положении на левом боку. Интенсивность боли может снижаться в положении на правом боку с подтянутыми к груди коленями. Боль тупая, ноющая, постоянная. Также отмечается чувство тяжести в правом подреберье. Печень увеличена в размерах, выступает из-под реберной дуги. При пальпации печени или при надавливании на подреберья в проекции абсцесса отмечается значительная болезненность.
Могут беспокоить диспепсические явления: снижение или отсутствие аппетита, тошнота, метеоризм, жидкий стул (диарея). Повышается температура до фебрильных цифр (выше 38°С), возникает озноб с похолоданием ног, появлением на них гусиной кожи. Отмечаются явления тяжелейшей интоксикации, тахикардия, проливные поты.
Потеря веса - зачастую единственная жалоба на первых этапах развития абсцесса, в связи с чем диагностика на ранних стадиях затруднительна. На более поздних стадиях появляется желтушность слизистых и кожи. При компрессии сосудов печени или их тромбировании вследствие воспалительного процесса может появиться асцит (скопление жидкости в брюшной полости).
Главная особенность течения абсцессов печени заключается в том, что клиника часто маскируется основным заболеванием, на фоне которого и развился абсцесс, поэтому от начала формирования патологического процесса до его диагностирования зачастую проходит длительное время.
Осложнения
Абсцесс печени может осложняться прорывом гноя в брюшную или плевральную полости, полость перикарда, соседние органы (кишечник, желудок). При разрушении стенки сосуда возможно сильное кровотечение. Также возможно распространение инфекции с формированием поддиафрагмального абсцесса, развитием сепсиса с образованием абсцессов в других органах (легкие, головной мозг, почки и др.).
Диагностика
Для своевременной диагностики абсцесса печени большое значение имеет правильный и подробный сбор анамнеза. При этом выясняется наличие в организме больного хронических очагов инфекции, а в анамнезе - тяжелых инфекционных заболеваний, опухолей, операций, травм. Следует выяснить, с чем сам пациент связывает возникновение жалоб, когда они появились и как изменился их характер с момента возникновения.
- УЗИ печени. По данным УЗИ гепатобилиарной системы также возможно обнаружение в печени полости, заполненной жидкостью и сгустками гноя, определение ее размеров и топографии. Одновременно под контролем УЗИ возможно проведение тонкоигольной биопсии абсцесса с определением характера выпота, чувствительности флоры к антибиотикам. Эта процедура является лечебно-диагностической, так как одновременно производится дренирование абсцесса печени.
- Рентгенография ОБП. Для уточнения диагноза используются классические и современные методики. При проведении рентгенографии можно обнаружить участок просветления в печени с уровнем жидкости, жидкость в плевральной полости (реактивный плеврит), ограничение подвижности диафрагмы справа.
- Томография. МРТ или МСКТ брюшной полости позволяют определиться с количеством и расположением абсцессов, их размерами, помогают разработать оптимальную тактику лечения и план операции. При сложностях в диагностике или невозможности проведения указанных исследований можно выполнить ангиографию и радиоизотопное сканирование печени - оба этих метода могут выявить дефект кровоснабжения и накопления изотопа в печени, соответствующий расположению и размерам абсцесса.

- Лабораторные исследования. В лабораторных анализах обычно отмечаются изменения, характерные для воспалительных заболеваний (снижение уровня гемоглобина и эритроцитов, увеличение пула лейкоцитов, изменения в лейкоформуле). В биохимическом анализе крови повышаются показатели, свидетельствующие о повреждении ткани печени (АСТ, АЛТ, ЩФ, билирубин).
В самых сложных случаях прибегают к диагностической лапароскопии. При этом в брюшную полость вводится специальный видеоинструментарий, позволяющий рассмотреть органы, определиться с диагнозом, а при возможности провести дренирование абсцесса. Дифференциальная диагностика абсцесса печени проводится с поддиафрагмальным абсцессом, гнойным плевритом, гнойным холециститом.
Лечение абсцесса печени
Тактика лечения в каждом конкретном случае разрабатывается индивидуально. При наличии небольшого единичного или множественных мелких абсцессов тактика будет консервативной.
Консервативное
Назначается антибиотик в соответствии с посевами и чувствительностью микрофлоры (при амебной этиологии абсцесса назначают противопаразитарные препараты). Так как посев гноя позволяет выделить возбудителя только в трети случаев, эмпирически назначаются цефалоспорины третьего поколения, макролиды и аминогликозиды. Если возможно проведение чрескожного дренирования полости, в ней устанавливают дренажные трубки, через которые в полость также вводится антибиотик, антисептические растворы.
Хирургическое
При необходимости хирургического лечения стараются прибегать к малоинвазивным методикам (эндоскопическое дренирование), однако при трудной локализации процесса предпочтение отдается классической лапаротомии с вскрытием абсцесса печени. Всем пациентам с перенесенным абсцессом назначается специальная диета №5, восстановительная терапия. Обязательно проводится соответствующее лечение заболевания, приведшего к образованию гнойника. Больные этого профиля наблюдаются хирургом-гепатологом. При необходимости привлекается инфекционист.
Прогноз и профилактика
Прогноз при своевременно начатом и адекватном лечении одиночного абсцесса печени благоприятный - до 90% пациентов выздоравливают. При множественных мелких гнойника или отсутствии лечения одиночного очага летальный исход весьма вероятен. Профилактикой данного заболевания является предотвращение заражения амебиазом (в первую очередь соблюдение личной гигиены), своевременное выявление и лечение заболеваний, которые могут привести к образованию гнойников в печени.
1. Абсцессы печени / Ахаладзе Г.Г., Церетели И.Ю. // Анналы хирургической гепатологии - 2006 - Т.11, №1
2. Абсцессы печени: выбор метода лечения / Пащина С.Н., Благитко Е.М., Беспалов А.А. // Медицинские и фармацевтические науки - 2014 - №4
3. Современная тактика в лечении бактериальных абсцессов печени / Овчинников В.А., Малов А.А. и др. // Медицинский альманах - 2013 - №5
4. Абсцессы печени: причины, диагностические ошибки и лечение. Автореферат диссертации / Церетели И.Ю. - 2005
Возможности ультразвуковой диагностики абсцесса печени (клиническое наблюдение)

Лидер продаж в высоком классе. Монитор 21,5" высокой четкости, расширенный кардио пакет (Strain+, Stress Echo), экспертные возможности для 3D УЗИ в акушерско-гинекологической практике (STIC, Crystal Vue, 5D Follicle), датчики высокой плотности.
Введение
Абсцесс печени - отграниченное гнойнодеструктивное нагноение ее паренхимы с очагом литического расплавления в центре, возникающее в результате заноса инфекции гематогенным, лимфогенным, холангиогенным или контактным путем, а также инфицирования интрапаренхиматозных и подкапсульных гематом. Впервые абсцесс печени был описан Гиппократом за 400 лет до н.э. Он предположил, что тяжесть течения заболевания может зависеть от характера содержимого абсцесса. В начале ХIХ века R. Bright впервые высказал предположение о возможности формировании абсцессов печени при амебиазе, а в 1890 г. W. Osler первым обнаружил амеб в абсцессе печени и каловых массах одного и того же пациента. P. Dieulafoy и H. Fitz среди различных причин формирования абсцессов печени рассматривали нагноительные болезни органов брюшной полости [1]. В 1926 г. впервые описан пилефлебитический абсцесс печени у больного дивертикулитом. В 1903 г. L. Rogers отметил связь между гнойным холангитом, обструкцией желчных протоков и абсцессами печени. До появления антибактериальных препаратов в 30-х годах прошлого века поздно диагностированный деструктивный аппендицит являлся основной причиной развития пилефлебитических абсцессов печени. В 1938 г. A. Ochsner и M. DeBakey, проанализировав протоколы операций и аутопсийный материал, установили, что в 35% наблюдений причиной формирования абсцессов печени являлся аппендицит [1].
Обычно абсцесс печени - вторичное заболевание, которое развивается на фоне уже имеющихся воспалительных изменений печени. Но встречаются абсцессы, которые являются проявлением первичного заболевания (паразитарной этиологии). Существует несколько классификаций абсцессов печени, единая классификация отсутствует. Наиболее ёмкой, на наш взгляд, является классификация абсцессов печени Б.И. Альперовича [2].
- Первичные абсцессы печени:
- бактериальные (кокковые, бациллярные, смешанные);
- паразитарные (амебные, аскаридные, эхинококковые, описторхозные, лямблиозные и др.).
- нагноения патологических новообразований печени (непаразитарной кисты печени, распадающегося рака, сифилитической или туберкулезной гранулемы);
- посттравматические нагноения печени (раны или гематомы, нагноение вокруг инородного тела печени).
- одиночные;
- множественные.
Эпидемиология абсцессов печени изучена недостаточно. В разных странах показатели заболеваемости могут сильно отличаться, и составляют от 2,3 на 100 тыс. населения в Северной Америке до 275,4 на 100 тыс. на Тайване [3]. До начала эры антибактериальной терапии основной причиной развития абсцессов печени являлся острый аппендицит. Летальность была крайне высокой и составляла около 80%. С внедрением в клиническую практику антибиотиков и хирургических методов лечения этот показатель значительно снизился, оставаясь, однако, на уровне 10-40%. Параллельно изменилась и структура этиологических факторов абсцессов печени. На первый план стали выходить заболевания желчевыводящих путей и печени, злокачественные новообразования и осложнения инвазивных медицинских процедур [4, 5].
Этиология абсцессов печени гетерогенна. В качестве основных причин выделяют инфекционно-воспалительные заболевания, злокачественные новообразования, ятрогенные состояния и тупые травмы печени (см. таблицу). В развитых странах преобладают абсцессы бактериальной этиологии, в то время как в Юго-Восточной Азии и Африке наиболее частой их причиной остается амебиаз [3].
Гематогенные абсцессы (портальные и артериальные) Холангиогенные абсцессы Абсцессы при заболеваниях печени Ятрогенные причины и травмы Сепсис Холангит как следствие холедохолитиаза, стриктур, новообразований желчевыводящих путей, хронического описторхоза Первичные злокачественные образования печени (аденокарцинома и др.) и метастатическое поражение печени Чрескожные инъекции этанола
Химиоэмболизация печеночной артерии
Радиочастотная абляция образований печениВоспалительные заболевания органов брюшной полости, ведущие к пилефлебиту:
- аппендицит;
- острый холецистит;
- панкреатит;
- дивертикулит;
- болезнь Крона;
- язвенный колит;
- перитонитБилиодигестивные анастомозы, свищи Гранулемы печени Оперативные вмешательства и эндоскопические процедуры на желчевыводящих путях и печени:
- стентирование;
- папиллосфинк-теротомия;
- холедоходуоденостомия;
- резекция печени;
- ортотопическая трансплантация печениНарушение целостности кишечной стенки с последующим развитием бактериемии:
- эндоскопическая полипэктомия;
- неметастатический рак толстой кишкиОстрый холецистит (гематогенный или прямой путь распространения инфекции) Гематомы печени Тупые травмы печени Амебиаз Основными факторами риска развития печеночных абсцессов служат сахарный диабет, цирроз печени, иммунодефицитные состояния, пожилой возраст, мужской пол [4].
Несмотря на значительный прогресс медицины, критически важной остается ранняя и точная диагностика абсцессов печени. Трудности при трактовке клинической картины, результатов лабораторных и инструментальных методов исследования могут стать причиной поздней диагностики, несвоевременного начала лечения, развития тяжелых осложнений и, как следствие, неблагоприятного исхода заболевания. Так, по данным T. Pang и соавт., диагноз абсцесса печени удавалось установить в среднем через неделю после появления его первых симптомов [6].
Клинические проявления абсцессов печени неспецифичны и могут зависеть от их размера, количества и локализации. Большинство пациентов предъявляют жалобы на боль в правом подреберье, лихорадку и другие симптомы интоксикации (озноб, миалгию, слабость, потливость, тахикардию, тошноту, анорексию). Боль нередко усиливается при глубоком вдохе, перемене положения тела, может иррадиировать в правое плечо, лопатку, надплечье. При объективном обследовании может быть выявлена гепатомегалия. Иногда имеют место желтуха и асцит. На первый план часто выходит клиническая картина заболевания, приведшего к развитию абсцесса [2, 5-8].
Лабораторные показатели мало специфичны и отражают наличие активного воспалительного процесса. В общем анализе крови отмечаются лейкоцитоз, ускорение СОЭ. При биохимическом исследовании повышен уровень С-реактивного белка, билирубина, АЛТ, АСТ [1, 4].
Основными методами диагностики абсцессов печени являются УЗИ и КТ органов брюшной полости. Чувствительность этих методов составляет 96-100%. В то же время, по данным A. Lin и соавт., при обращении у 25% пациентов результаты УЗИ дают неопределенные результаты, а у 14% - ложноотрицательные [9].
Для определения этиологии абсцессов печени большое значение имеет бактериологическое исследование содержимого абсцесса и крови.
В ультразвуковой картине абсцесса печени имеется ряд особенностей, связанных со временем его существования. В фазе формирования при наличии соответствующих клинико-лабораторных данных в паренхиме печени можно выявить зону сниженной эхогенности с неоднородной структурой и нечеткими, переходящими в нормальную ткань контурами. В центральной части этой зоны сниженной эхогенности (зона интенсивного отека паренхимы) обычно выявляется анэхогенный бесструктурный участок, являющийся участком некроза ткани, пока без жидкостного компонента. Такая картина может наблюдаться непродолжительный отрезок времени (несколько часов). Впоследствии при параллельном нарастании клинических проявлений формируется жидкостьсодержащая анэхогенная полость с внутренним эхогенным содержимым, обусловленная наличием гноя и тканевого детрита. Помимо характерных для жидкостной структуры эхографических признаков (эффект усиления задней стенки, эффект боковых теней, эффект дистального псевдоусиления эхосигнала), наблюдаются некоторые особенные признаки: разделение содержимого полости абсцесса с образование границы "жидкость-жидкость" с горизонтальным уровнем, где более густая часть находится внизу; возможное появление в полости пузырьков воздуха (при наличии газпродуцирующей флоры, например род Klebsiella) в виде гиперэхогенных структур у верхней стенки, дающих эффект реверберации "хвост кометы"; перемещение всего внутреннего содержимого при изменении положения тела пациента; формирование четкого отграничения полости абсцесса от окружающей паренхимы печени в виде несколько неоднородного ободка (пиогенной оболочки) повышенной эхогенности толщиной 0,5-1,5 см [10].
В литературе нам встретилось описание ультразвуковой картины абсцесса печени в зависимости от преобладания инфильтративных или деструктивных изменений [11]. Авторы выделили два типа изображений абс цесса. Абсцессы I типа располагаются, как правило, в задних сегментах правой доли (VI, VII) и представляют собой участки паренхимы повышенной эхогенности различных размеров с нечеткими контурами неоднородной структуры с наличием очагов пониженной эхогенности или жидкостных образований неправильной формы, соответствующих участкам некроза. Такие абсцессы являются следствием воспалительной инфильтрации паренхимы при обострениях описторхозного холангита. Как показал опыт, учитывая преимущественно инфильтративный характер поражения, незначительный деструктивный компонент, эти абсцессы при своевременном обнаружении и адекватной антибактериальной терапии (лучше при внутрипортальном введении) могут быть излечены без оперативного вмешательства.
Абсцессы II типа являются следствием гнойного холангита, представляют собой неравномерно расширенные внутрипеченочные желчные протоки с утолщенными и уплотненными стенками, с наличием в просвете неоднородного эхогенного содержимого (гной, детрит). Для этих абсцессов характерны множественная локализация, небольшие размеры, связь с желчными протоками, стенки которых и являются стенками абсцессов. Абсцессы II типа развиваются из холангиоэктазов при длительной желчной гипертензии, обусловленной обструкцией протоков в результате склеротических изменений, стеноза большого дуоденального сосочка, обтурации описторхозным детритом.
Некоторые отличия может иметь эхографическая картина паразитарного абсцесса при амебиазе [10]. При попадании амеб развивается воспалительная инфильтрация с последующим формированием очагов некроза и лизиса печеночной ткани. При УЗИ вначале наблюдается умеренная, а затем и выраженная диффузно-очаговая неоднородность паренхимы печени со смешанной и преимущественно сниженной эхогенностью. Затем на этом фоне формируются гипоэхогенные участки неправильной формы различных размеров с неровными нечеткими контурами. В дальнейшем они образуют одну или несколько полостей, практически аналогичных по ультразвуковым признакам бактериальным абсцессам, но с рядом отличий: контуры обычно неровные с наличием "карманов", эхогенная оболочка вокруг абсцессов выражена нечетко, в полости абсцесса визуализируется неоднородное содержимое вплоть до наличия секвестров печеночной ткани и большого количества газов.
При прорывах абсцессов в брюшную, а иногда и плевральную полость, в забрюшинное пространство внепеченочно определяются скопления жидкости, аналогичной содержимому гнойника, может быть виден дефект капсулы печени.
Основным методом лечения абсцессов печени является их оперативное или чрескожное дренирование в сочетании с парентеральным введением антибиотиков 14. Терапией первой линии обычно является комбинация цефалоспорина III поколения с метронидазолом. При небольших размерах абсцессов (менее 3 см) может применяться только системная антибиотикотерапия. При амебных абсцессах препаратами выбора являются метронидазол и тинидазол [1, 2, 4].
Ключом к успешному ведению пациентов с абсцессами печени часто являются своевременная диагностика и лечение заболеваний, ставших причиной их развития.
Для иллюстрации приведенного выше краткого обзора представляем клиническое наблюдение.
Клиническое наблюдение
Пациент А., 1971 года рождения, инструктор по лечебной гимнастике. Обратился с жалобами на озноб, жар, слабость, отсутствие аппетита, незначительный неопределенный дискомфорт в правом подреберье.
Заболел за неделю до обращения в поликлинику, когда без видимой причины возникла острая "стреляющая" боль в надплечье и под лопаткой справа, усиливающаяся при дыхании. Пациент расценил боль как "мышечную". Провел сеанс лечебной гимнастики. Боль стихла. На следующий день возникла ноющая и колющая боль в правом подреберье с иррадиацией под правую лопатку, усиливающаяся при дыхании и движении. Температура тела повысилась до 37,8 °C.
На 3-й день после появления первых симптомов пациент обратился в поликлинику по месту жительства. При УЗИ органов брюшной полости выявлены признаки умеренной гепатомегалии, преимущественно правой доли печени, а в общем анализе крови отмечены лейкоцитоз до 14,6 • 109 /л и ускорение СОЭ до 59 мм/ч.
В последующие 4 дня боли в животе не возникали, однако нарастали слабость, анорексия, часто беспокоили жар и озноб. Сохранялась субфебрильная лихорадка. Принимал парацетамол. Обратился в нашу поликлинику.
Из анамнеза жизни известно, что пациент ведет здоровый образ жизни, не имеет вредных привычек. Три месяца назад выезжал в Японию, а около трех лет назад посещал Индию. Во время поездок и после них ничем не болел.
На момент обращения состояние средней тяжести. Температура тела 38,4 °C. Кожные покровы бледно-розового цвета. Подкожножировая клетчатка развита умеренно. Отеков нет. Периферические лимфатические узлы не пальпируются. В легких дыхание везикулярное, ослаблено справа в нижних отделах, хрипов нет. Тоны сердца ритмичные, ясные. АД 120/75 мм рт.ст. Пульс 102 уд/мин.
Живот не увеличен, участвует в акте дыхания, при поверхностной пальпации мягкий, безболезненный. Нижний край печени перкуторно у края реберной дуги. При пальпации печень мягкоэластической консистенции, безболезненная. Симптомы Ортнера и Мерфи отрицательные. Однако при глубокой пальпации в правом подреберье возникала колющая боль в правом надплечье. Френикус-симптом отрицательный с обеих сторон.
Стул один раз в день, оформленный, коричневого цвета, без патологических примесей. Мочеиспускание свободное, безболезненное.
Для уточнения диагноза пациенту было выполнено УЗИ органов гепатобилиарной зоны с ультразвуковой ангиографией:
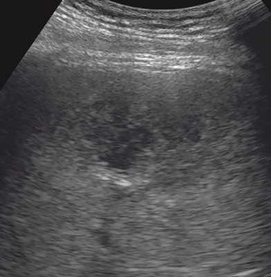
Печень увеличена в размерах: переднезадний размер правой доли 14,3 см (N до 12,5 см), вертикальный размер правой доли 19,0 см (N до 15,0 см), переднезадний размер левой доли 9,3 см (N до 7,0 см). Диафрагмальный край ровный. Структура паренхимы печени неоднородная с наличием в правой доле в проекции V сегмента образования сниженной эхогенности, с несколько нечеткими контурами, размерами до 6,5 х 4,6 х 4,8 см, выраженно неоднородной структуры с наличием в центральных отделах участка умеренно повышенной эхогенности неоднородной структуры размерами 5,8 х 4,8 х 4,2 см, аваскулярного (рис. 1). По периферии образования - деформация сосудистого рисунка (рис. 2). Эхогенность печени обычная. Внутри- и внепеченочные желчные протоки не расширены, стенки их уплотнены. Диаметр воротной вены 1,2 см.
![УЗИ печени (В-режим): в правой доле печени в проекции V сегмента визуализируется образование сниженной эхогенности с нечеткими контурами выраженно неоднородной структуры с наличием в центральных отделах участка умеренно повышенной эхогенности неоднородной структуры]()
Рис. 1. В-режим. В правой доле печени в проекции V сегмента визуализируется образование сниженной эхогенности с нечеткими контурами выраженно неоднородной структуры с наличием в центральных отделах участка умеренно повышенной эхогенности неоднородной структуры.
![УЗИ печени (режим ЦДК): описываемое образование аваскулярное, по его периферии - деформация сосудистого рисунка]()
Рис. 2. Режим ЦДК. Описываемое образование аваскулярное. По его периферии - деформация сосудистого рисунка.
Желчный пузырь типично расположен, размерами 7,0 х 1,7 см, с перегибом ближе к шейке. Контуры четкие, ровные. Стенка толщиной 0,3-0,4 см, эхогенность умеренно повышена. Содержимое пузыря гомогенное. Холедох визуализируется нечетко, диаметр проксимальной части 0,5 см.
Поджелудочная железа: вуализация поджелудочной железы удовлетворительная, в размерах не увеличена: головка 2,5 см, тело 0,9 см, хвост визуализируется нечетко - 2,7 см. Контуры головки и тела ровные, четкие; контуры хвоста несколько нечеткие. Структура паренхимы несколько неоднородная. Эхогенность умеренно повышена. Вирсунгов проток не визуализируется.
Селезенка в размерах не увеличена - 11,6 х 4,4 см, площадь 47,66 см² (N до 50,0 см²). Контуры ровные, четкие. Структура паренхимы диффузно неоднородная. Эхогенность средняя. Селезеночная вена диаметром до 0,6 см. Забрюшинные и парааортальные лимфатические узлы четко не визуализируются. Свободной жидкости в брюшной полости не выявлено. Заключение: подозрение на абсцесс правой доли печени. Гепатомегалия. Умеренные диффузные изменения селезенки.
Учитывая полученные данные, был установлен предварительный диагноз: "абсцесс печени". Пациент был экстренно госпитализирован в НИИ СП им. Н.В. Склифосовского. В стационаре при КТ органов брюшной полости диагноз был подтвержден.
Было выполнено чрескожное дренирование абсцесса. При посеве содержимого абсцесса рост патогенной флоры получен не был.
Проводились антибактериальная терапия и промывание полости абсцесса антисептиками. Явления интоксикации были полностью купированы, размеры полости абсцесса значительно уменьшились. Пациент в удовлетворительном состоянии выписан под наблюдение хирурга поликлиники.
Заключение
Представленное клиническое наблюдение иллюстрирует случай острого с формирующейся капсулой криптогенного абсцесса печени у молодого мужчины, не имеющего значимых факторов риска развития этой патологии. В клинической картине обращает на себя внимание нетипичное начало заболевания, манифестировавшего болями в грудной клетке, и самопроизвольное исчезновение боли при нарастании явлений интоксикации.
Трудности при трактовке клинической картины у данного пациента также были связаны с отсутствием значимой патологии печени и желчного пузыря по данным ранее проведенного УЗИ. Однако особенности болевого синдрома, наличие интоксикации, данные объективного обследования позволили предполагать острое воспалительное заболевание печени или желчного пузыря. Повторно проведенное УЗИ позволило быстро и точно установить диагноз на амбулаторном этапе, что обеспечило своевременное начало лечения и благоприятный клинический прогноз.
Литература
УЗИ аппарат HS40
Читайте также:


