УЗИ при метастазах в почки
Добавил пользователь Дмитрий К. Обновлено: 03.11.2025
Почки представляют собой жизненно важный парный орган, расположенный на задней стенке брюшной полости по обе стороны позвоночника. Главная их функция - очистка организма от шлаков, регулярно образующихся в процессе обмена веществ. Многие лекарственные средства и вещества, проникающие в кровь из окружающей среды, также выводятся только с помощью этого органа. Благодаря постоянной концентрированной работе почек содержание токсинов в моче в десятки раз превышает их концентрацию в кровеносной системе. Нарушение функционирования данного органа выделительной системы может привести к отравлению организма продуктами обмена. К сожалению, почки подвержены множеству заболеваний, в том числе опухолям. Своевременно выявить новообразование можно в процессе ультразвукового исследования.
Где пройти диагностику
Пройти УЗИ различных органов, в том числе почек, можно в урологическом центре филиала № 1 ФГКУ «ГВКГ им. академика Н.Н. Бурденко». К преимуществам нашего многопрофильного стационара относятся:
- значительный опыт в сфере диагностики и лечения заболеваний урологической природы (стационар стал самостоятельной структурной единицей еще в 1974 году);
 - профессиональный штат специалистов (все диагностические и лечебные процедуры проводят врачи высшей категории);
 - полный спектр услуг в области урологии − от тщательной диагностики до консервативного лечения и удаления опухоли почек;
 - техническое оснащение, соответствующее современным критериям (оборудование стационара позволяет осуществлять высокоточную диагностику и проводить малоинвазивные вмешательства, улучшающие качество жизни пациентов);
 - удобные палаты, оснащенные всем необходимым (в них пациент может с комфортом восстанавливаться после лечения).
 
Опухоли почки и причины их развития
Под опухолью почки понимают патологический процесс, характеризующийся разрастанием ткани, состоящей из качественно измененных клеток. В зависимости от характера роста выделяют доброкачественные и злокачественные новообразования. Последние встречаются чаще и составляют около 94-95 % всех обнаруженных опухолей. Средний возраст выявления новообразований в почках - 70 лет. Согласно данным статистики у мужчин опухоли возникают в 2 раза чаще, чем у женщин. У детей они выявляются с частотой, независимой от половой принадлежности. К факторам, способствующим развитию опухолей в почках, относят:
- наследственные причины;
 - вредные привычки (курение, употребление алкоголя);
 - действие радиации или канцерогенных веществ;
 - сбои в иммунной системе;
 - наличие в организме или в почках хронических очагов инфекции.
 
Симптомы, свидетельствующие о возможном наличии злокачественного новообразования
Лечение злокачественных опухолей в почках наиболее эффективно на начальных стадиях. Но в этот период новообразование обычно никак себя не проявляет. Врач может случайно обнаружить на плановом УЗИ опухоль почки даже при полном отсутствии клинических признаков заболевания. По мере роста новообразования появляются симптомы, свидетельствующие об ухудшении общего состояния больного: тошнота, слабость, ухудшение аппетита, резкая потеря веса. Кровь в моче, жалобы на болевые ощущения в области поясницы, припухлость в боковых отделах живота, почечная колика с большей вероятностью могут свидетельствовать о том, что опухоль почки достигла запущенной стадии.
Показания к УЗИ
Ультразвуковое исследование почек рекомендуется периодически проводить людям любого возраста даже при отсутствии признаков недомогания. Оно показано и тем, кто не страдает заболеваниями мочевыделительной системы. Кроме того, процедура рекомендована при появлении таких симптомов, как:
- отклонения от нормы в анализах мочи;
 - прощупывание опухоли в почке во время врачебного осмотра;
 - регулярные ноющие или резкие боли в области поясницы;
 - частые повышения артериального давления;
 - почечные колики;
 - регулярные головные боли (если их происхождение не определено в ходе обследования);
 - выраженные отеки нижних конечностей или лица;
 - травмы или ушибы в области почек;
 - наличие хронических и острых воспалительных заболеваний неспецифического и специфического типа.
 
Какие опухоли можно выявить на УЗИ
Ультразвуковое исследование почек позволяет выявить вторичный рак (метастазы) злокачественных опухолей легких, кишечника, матки и др. Также с помощью данной процедуры можно обнаружить ряд первичных новообразований, в число которых входят следующие.
- Опухолипаренхимы. К доброкачественным новообразованиям данной категории относятся миома, аденома, гемангиома, фиброма, липома, дермоид, миксома и др., к злокачественным - миоангиосаркома, липоангиосаркома, фиброангиосаркома и почечно-клеточный рак. Помимо них, специалисты включают в данную категорию и опухоль Вильямса. Это заболевание чаще всего регистрируется у детей дошкольного возраста, но может быть выявлено и у взрослых.
 - Опухолилоханки. К этой группе относятся доброкачественные новообразования, такие как ангиома, папиллома и лейомиома, и злокачественные: плоскоклеточный рак, саркома лоханки, слизисто-железистый и переходно-клеточный рак.
 
Дифференциация новообразований при ультразвуковом исследовании
Доброкачественные опухоли почек. Такие новообразования имеют вид круглых эхогенных объемных образований, как правило, небольшого размера.
Злокачественные опухоли почек. Общим признаком, свидетельствующим об их наличии, является обнаружение объемных образований с высокой эхогенностью. В отличие от кист они не имеют капсулы, а края их всегда неровные. Иногда возможна визуализация псевдокапсулы гипоэхогенного типа, сформированной сдавленной вокруг опухоли паренхимой почек. В ряде случаев (10-20 % от общего числа) в новообразованиях выявляются кальцификаты (в виде крайне эхогенных центральных или периферических участков). Иногда в опухоли имеются некротические участки или кровоизлияния. Они визуализируются в виде гипоэхогенных областей на гиперэхогенном фоне. При разрастании опухоли ее контуры на УЗИ выходят за пределы контура почки.
Метастазы. Эти злокачественные новообразования обычно выявляются в области коры. Метастазы могут быть обнаружены как в одной, так и в обеих почках. Такие опухоли имеют вид гипоэхогенных объемных образований различного размера и формы.
Задачи ультразвукового исследования
Основными целями ультразвукового обследования при подозрении на опухоль в почке являются:
- выявление образования и уточнение его локализации;
 - определение размера опухоли и уровня ее проникновения в ткани почки;
 - мониторинг регрессии новообразования в случае консервативного лечения;
 - послеоперационный мониторинг с целью исключения рецидивов в случае хирургической резекции опухоли в почке;
 - визуальный контроль при проведении пункционной биопсии новообразования;
 - выявление метастазов в почках при прочих видах злокачественных опухолей (меланоме, раке легких, молочной железы и т. д.), а также определение их распространенности и количества.
 
Подготовка к УЗИ
Ультразвуковое исследование почек - манипуляция, требующая минимальной подготовки. Основные рекомендации для пациентов сводятся к следующему:
- в течение трех дней перед обследованием почек следует соблюдать диету: пища должна быть хорошо усвояемой и легкой. Продукты, вызывающие вздутие живота или повышенное газообразование (черный хлеб, квашеная капуста, газированные напитки, фруктовые соки, сырые фрукты, цельное молоко и др.), необходимо исключить;
 - последний прием пищи должен быть не позднее, чем за 8 часов до обследования почек;
 - для процедуры необходим полный мочевой пузырь, поэтому за час до УЗИ рекомендовано выпить несколько стаканов воды без газа;
 - перед ультразвуковым обследованием почек не следует принимать мочегонные препараты;
 - за 4 часа до процедуры необходимо воздержаться от курения: вызванные никотином изменения в сосудистой системе могут смазать картину, помешать выявлению опухоли и точной постановке диагноза;
 - при наличии постоянных проблем с кишечником, не корректирующихся диетой, пациенту рекомендуется перед обследованием принять препараты, понижающие газообразование.
 
Алгоритм проведения
Сущность процедуры. В процессе обследования почек используется преобразователь, при помощи которого к исследуемому органу посылаются высокочастотные звуковые волны. Они, подобно эху, отражаются от исследуемого органа. Отраженные волны преобразуются аппаратурой в электронное изображение на мониторе. Чтобы обеспечить плавное скольжение датчика и лучшую «проводимость» ультразвука, используется специальный гель. Его наносят на кожу в области исследования.
Особенности процедуры. Ультразвуковое обследование почек абсолютно безболезненно, занимает примерно 20 минут и не вызывает никаких осложнений. Допускается даже обследование детей младших возрастных групп и беременных женщин. После завершения процедуры пациент может сразу же вернуться к привычному образу жизни и режиму питания.
Положения при обследовании. В большинстве случаев обследование почек осуществляют в положении лежа: на животе, на спине или на боку. Визуализация проводится как со стороны живота, так и со стороны спины и во фронтальной плоскости. При этом пациент лежит на правом и левом боку поочередно.
Порядок осмотра. Врач начинает обследование с мочевого пузыря, затем переходит к мочеточникам, а от них - к почкам. По ходу исследования может быть сделано несколько непродолжительных перерывов для проведения измерений.
Дополнительные манипуляции. В процессе ультразвукового исследования возможно проведение ряда дополнительных манипуляций: установка дренажной трубки или иглы для взятия тканей опухоли на биопсию и др.
Прогноз при обнаружении опухолей злокачественной природы наиболее благоприятен в тех случаях, когда болезнь выявлена на ранней стадии. Поэтому регулярный профилактический мониторинг при помощи УЗИ особенно важен для своевременной диагностики. Чтобы пройти обследование в нашем стационаре, можно обратиться к нам по телефону: 8 (499) 390-37-39. Также можно воспользоваться формой обратной связи или заказать обратный звонок.
Опухоли почек: первое обследование — УЗИ

Опухоль почки - это патологическое разрастание ее тканей. В зависимости от типа клеток, составляющих опухоль, новообразования делятся на доброкачественные и злокачественные (раковые).
Прием уролога — 1000 руб. Комплексное УЗИ почек — 1000 руб. Прием по результатам анализов — 500 руб. (по желанию)
Новообразования почек встречаются в любом возрасте, диагностируясь даже у детей. Доброкачественные формы развиваются в два раза реже злокачественных, поэтому при подозрении на новообразование нужно срочно посетить врача, сделать УЗИ почек и пройти дополнительные обследования.

Причины опухолей почки
Точные причины возникновения опухолей почек не изучены, но известно, что их провоцируют: 
- неблагоприятная наследственность;
 - воспалительные процессы;
 - конкременты (камни и песок);
 - курение и алкоголизм;
 - радиационное облучение;
 - вредные условия труда, при которых происходит контакт с веществами-канцерогенами;
 - сбои в иммунной системе;
 - хронические инфекции.
 
Симптомы опухолей почек
Новообразования долгое время могут не давать симптомов. Проявляются они только при разрастании опухоли до приличных размеров. Крупное образование растягивает капсулу почки, мешает оттоку мочи и пережимает сосуды. Больные жалуются на усиливающуюся боль в пояснице, отдающую в промежность , и бедро. Доброкачественные образования небольшого размера могут вообще не заявлять о себе, выявляясь случайно на УЗИ или МРТ.
В почечной ткани обнаруживаются различные доброкачественные опухоли: 
- Кисты — полости, наполненные жидкостью. При множественных кистозных поражениях говорят о поликистозе.
 - Аденомы — медленно растущие образования не вызывающие болей и не перерождающиеся в рак.
 - Липомы - новообразования из жировой ткани, которые при быстром росте затрудняют работу почек. Не озлокачествляются.
 - Фибромы - медленно растущие опухоли, состоящие из фиброзной ткани. Симптомы нарушения почечной функции они вызывают, только разрастаясь до больших размеров. 
 
Злокачественные новообразования (рак и саркома) имеют различную симптоматику, но первым признаком любой почечной онкопатологии является появление крови в моче (гематурия). В дальнейшем у больного развиваются:
- слабость, усталость, утомляемость;
 - лихорадка;
 - тошнота, рвота, похудение;
 - плохоустраняемое повышенное АД;
 - задержка мочи;
 - боль в пояснице. 
 
Эти симптомы вызваны отравлением организма продуктами обмена опухолевых клеток, разрушением почек и переходом процесса на соседние органы (мочеточники, спинной мозг).
Некоторые опухоли вырабатывают гормон эритропоэтин. У больного развивается полицитемия. Организм вырабатывает огромное количество красных кровяных телец — эритроцитов, вызывающих чрезмерное полнокровие. Наблюдается расширение кожных сосудов, вызванное увеличением и замедлением кровотока. Язык и губы приобретают синеватый оттенок, конъюнктива глаз становится красноватой, а в кончиках пальцев рук возникает сильное жжение, вызванное кровяным застоем.
Симптомы при прогрессировании опухолей почек
Симптомы развития рака почек можно охарактеризовать в подробностях так:
- Больные жалуются на кожный зуд, боль в животе , костях, суставах, приливы к голове, слабость, утомляемость, ухудшение общего состояния. Нарушение работы почек приводит к стойкому повышению АД, неснижаемому стандартными препаратами.
 - Распад опухоли почки приводит к появлению крови в моче (гематурии). Урина приобретает кровяной или гнилостный запах. Сгустки крови, закрывая пути оттока мочи, вызывают почечную колику — резкие боли в пояснице, вызванные перерастяжением почечных структур скопившейся мочой.
 - Сдавление опухолью вен у мужчин вызывает расширение вен семенного канатика — варикоцеле . Если при отсутствии почечной патологии эта болезнь появляется слева, то при почечных опухолях варикоцеле образуется на стороне пораженной почки, или с обоих. Поэтому поражение вен семенного канатика справа - повод срочно проверить почки на наличие опухолей.
 
Нарушение почечной функции, вызванное опухолевым процессом, приводит к отекам лица, наиболее выраженным в утреннее время.
Диагностика опухолей почек
Для диагностики применяются УЗИ почек и надпочечников — самый безопасный, дешевый и безболезненный способ, МРТ и нефросцинтиграфия. Эти исследования позволяют выявить новообразования на ранних стадиях. С помощью ангиографии или УЗ-допплерографии определяется злокачественность опухоли и ее размер.
Не всегда опухоль на УЗИ выглядит типично. Чтобы не пропустить онкологический процесс, больным назначают:
- . Обнаружение крови — гематурия - частый симптом рака почек. Нарушение работы органа и присоединение инфекции вызывает появление в моче лейкоцитов и белка; . Увеличение паратгормона, вырабатываемого паращитовидными железами — своеобразный маркер злокачественных опухолей почки. В крови повышается уровень креатинина, мочевины, альфа-2-глобулинов, ЛДГ4, щелочной фосфатазы, кальция. Увеличение печёночных ферментов указывает на метастазирование опухоли в печень. Анализ на онкомаркеры — обязательное обследование и при других опухолях в организме.  
 - Анализ периферической крови (из пальца) меняется при возникновении опухоли, вырабатывающей гормоны, стимулирующие выработку эритроцитов. В крови обнаруживается большое количество красных кровяных телец. При злокачественных опухолях увеличивается СОЭ.
 
В спорных случаях берется фрагмент тканей на биопсию. Подтверждение злокачественности или доброкачественности новообразования помогает врачам определиться с тактикой операции.
Если опухоль злокачественная, проводится рентген легких, позвоночника и УЗИ брюшной полости для выявления метастаз.
Нормы УЗИ почек
 
 Норма УЗИ почек - усредненные показатели, подтверждающие, что эти органы здоровы. Отклонения от стандартных цифр и терминов, указанных в протоколе исследования, повод для постановки неблагоприятного диагноза и дальнейшего обследования.
На УЗИ почек устанавливают нормы расположения, формы, структуры и размеров обеих почек.
Передне-задние размеры - до 1,5 см
При аномалиях почек, узист опишет найдены ли аплазия, киста, гипоплазия, губчатая почка, объемные образования, конкременты. Описывается их количество, расположение, диаметр, эхогенность, эхоструктура, наличие акустической тени.
Как выглядят опухоли почек на УЗИ
- Аденокарцинома - раковая опухоль почки, выглядящая на УЗИ, как темное пятно округлой формы, иногда разделённое светлыми перегородками. Стенка новообразования неровная и тонкая. Внутри часто видны светлые участки-кальцинаты, образованные солями кальция. Опухоль быстро растет, что хорошо видно на повторном УЗИ. Поскольку новообразование быстро дает метастазы, больным нужно обследовать и другие органы, в первую очередь — печень и легкие.
 - Переходно-клеточная карцинома - рак лоханки почки. В отличие от камня или кровяного сгустка, с которыми его иногда путают, новообразование не смещается при перемене тела больного. Быстро вызывает появление крови в моче. Разрастаясь, приводит к застою урины в почке, сопровождающемуся коликами.
 - Нефробластома (эмбриональная аденомиосаркома, опухоль Вильмса) выявляется у детей в возрасте до 8 лет. На УЗИ выглядит, как крупное темное пятно. Быстро растет, увеличиваясь в размерах и давая метастазы. Причины болезни не выяснены, не исключено влияние наследственности. Считается, что зачатки нефробластомы закладываются внутриутробно. При ее обнаружении нужно обследовать весь организм ребенка на возможность метастаз.
 - Ангиолипомы и липомы — доброкачественные опухоли почки, состоящие из жировых, сосудистых и мышечных клеток. Это плотное образование небольшого размера на УЗИ выглядит светлым. Растет очень медленно и не даёт симптомов. Однако во время беременности опухоли могут разрастаться, мешая оттоку мочи и сдавливая сосуды.
 - Онкоцитома — доброкачественная опухоль, встречающаяся у мужчин пожилого возраста. Из-за невысокой плотности на УЗИ выглядит темной. Опухоль часто перерождается в рак, поэтому от нее рекомендуют избавляться.
 - Кисты — опухолевидные образования в почках выглядящие как полости с жидким содержимым. Имеют равномерную плотную оболочку и четкие контуры, отличаясь от раковых опухолей отсутствием перегородок. Могут быть множественными. В этом случае говорят о поликистозе.
 

Лечение опухолей почек
Чем раньше обнаружено новообразование, особенно злокачественное, тем лучше прогноз и выше выживаемость. Поэтому при первых симптомах поражения почек нужно обращаться к врачу — урологу, который даст направление на УЗИ. Если патология опухоль окажется злокачественной, лечение продолжит онколог.
При выявлении мелких одиночных доброкачественных опухолей, не мешающих работе почек, операцию делают не всегда. Часто больным назначают наблюдение с регулярным прохождением УЗИ и сдачей анализов. Если доброкачественное образование мешает выделению мочи или вызывает боль, производят его резекцию (удаление). Почку стараются сохранить.
При обнаружении крупных или злокачественных новообразований проводится их удаление с максимальным сохранением тканей органа. При раке дополнительно назначается лучевая и химиотерапия.
В запущенных случаях проводится нефрэктомия (орган удаляется полностью). При диагностике метастаз проводят лучевую и химиотерапию.
УЗ-обследование показано больным, когда-то перенесшим рак почек и излечившимся от него. Онкологические патологии могут возвращаться (рецидивировать) через много лет, поэтому больным нужно тщательно следить за своим здоровьем.

Где выявить опухоль почки и пройти лечение у уролога и онколога в СПБ 
Лечить опухоль почки любого типа нужно строго обязательно, так как такая патология опасна для жизни. Обратиться по поводу диагностики и лечения опухоли почки можно в частную клинику Диана в Санкт-Петербурге.
Здесь есть новый экспертный аппарат УЗИ с доплером и другое современное медицинское оборудование . Стоимость УЗИ почек и надпочечников — 1000 руб. В клинике можно сдать все все анализы . Прием ведут опытные урологи и онкологи . Стоимость приема врача — 1000 руб. Повторный прием — 500 руб.
Метастазирование в почки
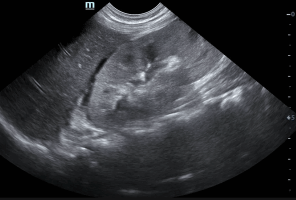
Следующие первичные опухоли наиболее часто метастазируют в почки: опухоли легких, молочных желёз, ЖКТ и меланома. В почки метастазируют обычно выше перечисленные опухоли на поздних стадиях. Нередко метастазирование в почки визуализируется, как единичное образование, которое трудно отличить от почечно-клеточной карциномы. На помощь в данных случаях приходит чрескожная биопсия.

Почечные метастазы обычно двусторонние мультифокальные поражения небольшего размера, с инфильтративным характером роста. Образования умеренно усиливаются при контрастировании, намногим больше, чем нормальная почечная паренхима. Метастазы также могут быть «гиперваскулярными» при меланоме, а иногда при раке молочной железы.
На изображении пациента визуализируется несколько почечных метастазов.

Обратите внимание на опухолевый тромб в левой почечной вене.
Представлен пациент с раком легких.
Метастазирование в левую почку и множественное метастазирование в лимфоузлы (стрелки).
Если бы не было анамнеза то, было бы трудно отличить от почечно-клеточного рака с метастазами в лимфоузлы.
Метастазы
В настоящее время врачи ведущих клиник мира применяют инновационные методы лечения рака, которые повышают выживаемость пациентов с метастазами. Успехов в лечении метастатического рака достигли онкологи Юсуповской больницы. В больнице применяются современные методики терапии и диагностики, благодаря чему количество больных, которым удалось продлить жизнь и повысить её качество, за последние годы увеличилось. Врачи Юсуповской больницы применяют комплексное лечение, учитывая общее состояние пациента, локализацию опухоли и активность ее метастазирования.
Проблема метастатического рака
В настоящее время в России большинству пациентов ставится первичный диагноз «рак III-IV стадии». Это значит, что у пациента есть отдаленные метастазы. Им необходимо лечение, которое позволит улучшить состояние и увеличит продолжительность жизни. В Юсуповской больнице лечат пациентов с метастазами, тем самым увеличивая продолжительность жизни.
Что собой представляют метастазы рака
Рак бывает первичным, когда опухоль образуется в органе, и метастатическим (Metastasis по гречески означает перемещение), когда опухолевые клетки поражают другие органы. Независимо от размеров первичной опухоли, наличие отдаленных метастазов говорит о IV стадии рака.
Довольно часто врачи впервые определяют метастазы, не диагностировав первичную опухоль. Это случается в случае таких видов онкологической патологии:
- рак молочной железы;
 - меланома кожи;
 - рак шейки матки;
 - рак простаты
 - рак желудка
 - рак предстательной железы
 - рак поджелудочной железы
 
Как атипичные клетки, из которых состоит раковая опухоль, попадают из одного органа в другой? Известны 3 пути метастазирования рака: лимфогенный, с током лимфы, гематогенный, с кровью и имплантационный.
Попадая в кровь или лимфу, раковые клетки разносятся по всему организму, оседая в различных органах. Там они начинают быстро делиться и образуют метастазы. Эпителиальный рак преимущественно метастазирует по лимфатическим сосудам. Для меланомы и различного вида сарком характерный гематогенный путь метастазирования. Метастазы при раке желудка выявляют по путям оттока лимфы.
На процесс распространения метастаз влияют иммунные и биологические процессы. Одни из них способствуют распространению атипичных клеток, а другие блокируют их. В связи с этим процесс метастазирования может быть или активным, или замедленным. Это во многом зависит от степени злокачественности опухолевых клеток.
Скорость распространения метастаз зависит от многих факторов:
- кровоснабжения органа;
 - путей лимфооттока;
 - степени злокачественности атипичных клеток;
 - состояние иммунной системы.
 - Возраст пациента
 
На интенсивность метастазирования также влияют вирусные инфекции, интоксикация, употребление алкоголя, неправильное питание. Противораковый иммунитет ослабляет хронический нервный стресс и нарушение кровоснабжения (облитерация периферических сосудов).
Метастазируют опухоли независимо от локализации в любой орган. Наиболее часто поражаются метастазами:
- печень;
 - почки;
 - лёгкие;
 - центральная нервная система;
 - костная система (позвоночник, рёбра, кости черепа, таза и конечностей, грудина);
 - яичники
 
Симптомы метастатического рака
При наличии метастаз речь идёт о запущенной стадии заболевания. Она проявляется такими общими признаками:
- нарушение сна;
 - снижение массы тела;
 - ухудшение аппетита;
 - головные боли;
 - выраженная или общая слабость;
 - анемия;
 - повышение температуры тела.
 - Лихорадка, озноб
 - диарея, запоры
 - тошнота, рвота
 
Как выглядят метастазы? Местные симптомы зависят от локализации метастаз. При наличии метастатических очагов в лёгких пациентов беспокоит кашель, боль в грудной клетке и одышка. Метастазы в мягких тканях выявляют при меланоме. Когда диагностированы метастазы в печени, симптомы будут следующие:
- боль в правом подреберье;
 - увеличение живота в объеме;
 - желтушность кожных покровов и сслизистых
 - горечь во рту
 - зуд кожи
 
В печень может метастазировать рак кишечника, желудка, молочной железы и другие. Метастазы Крукенберга - это злокачественные клетки, которые «оседают» в яичниках и формируют вторичную опухоль. При метастазах в костях человек чувствует постоянные боли, не купирующиеся анальгетиками, появляются патологические переломы.
Могут быть метастазы в поджелудочной железе. Когда имеется рак почки, метастазы выявляют в печени, лёгких, головном мозге. Головные боли, головокружение, периодическая рвота, приступы судорог, расстройства чувствительности, памяти, речи, слуха и зрения - это признаки метастазов в головной мозг.
Особо коварные метастазы в позвоночник. Сначала они имеют симптомы, сходные с признаками остеохондроза, не вызывая у больного опасения. Люди не знают, как отличить остеохондроз от метастазов. И только после того, как появляется слабость мышц конечностей, возникают парезы и параличи, врачи обнаруживают значительные изменения в позвонках и признаки сдавления спинного мозга.
Метастазы. Диагностика
В Юсуповской больнице врачи диагностируют метастатический рак, применяя современные методы исследования:
- томографические (МРТ, КТ, ПЭТ-КТ);
 - сцинтиграфию костей скелета;
 - Ультразвуковое исследование;
 - различные диагностические пункции под визуальным контролем томографа;
 - полное лабораторное исследование, в том числе определение уровня онкомаркеров в биологических жидкостях, иммунологическое и молекулярно-генетическое;
 - эндоскопическую (гастроскопию, бронхоскопию, колоноскопию) диагностику с биопсией;
 
Лечение метастаз
При лечении метастазов сегодня применяются новейшие достижения молекулярной биологии. Созданы медикаменты, замедляющие рост и уничтожающие клетки метастаз. Врачи Юсуповской больницы применяют комплексное лечение, учитывающее общее состояние здоровья пациента, локализацию основной, вторичной опухоли и их активность метастазирования.
Онкологи Юсуповской больницы применяют индивидуальный подход в лечении пациентов: разрабатывают схему лечения, подбирают максимально подходящие препараты, в зависимости от стадии развития патологического процесса и места расположения злокачественных образований, а также степени поражения здоровых тканей и органов.
В Юсуповской больнице применяются новейшие методики лечения метастаз. Звоните по телефону или запишитесь на прием через форму обратной связи на сайте. Врач-координатор ответит на все ваши вопросы.
Опухоль Вильмса (нефробластома, эмбриональный рак почки, аденосаркома почки, эмбриональная нефрома, смешанная опухоль почки)

Опухоль Вильмса (нефробластома, эмбриональный рак почки, аденосаркома почки, эмбриональная нефрома, смешанная опухоль почки) - это наиболее частое злокачественное эмбриональное новообразование почки у детей, занимающее второе место среди злокачественных опухолей забрюшинного пространства.
Первое описание нефробластомы часто связывают с именами T. Рейна и M. Вильмс. Однако опубликованная М. Вильмсом монография «Смешанные опухоли почки» окончательно закрепила за автором приоритетное право на открытие этого заболевания, поэтому термин «опухоль Вильмса» обычно употребляется в качестве основного названия нефробластомы.
Наиболее частая опухоль почки у детей и составляет 10-12% всех злокачественных процессов у детей. Пиковый возраст - 2-4 года. Частота 1:100 000. Половая предрасположенность отсутствует.
В норме участки метанефрогенной бластемы, формирующие секреторный аппарат почки (клубочки, извитые канальцы), должны исчезать после 36-й нед беременности, однако у 1% детей при рождении остается функционирующей часть бластемы. Эти фокусы бластемы описываются как нефрогенные остатки, которые определяются как участки с повышенным риском развития опухоли Вильмса. Судьба нефрогенных остатков двояка: они могут регрессировать или давать малигнизацию, постепенно трансформируясь в нефробластому.
Опухоль исходит из недифференцированной метанефрогенной эмбриональной ткани. Патология чаще односторонняя, реже двусторонняя в 5-10% случаев. Более 15% случаев сочетаются с другими врожденными мальформациями: гемигипертрофией, спорадической аниридией, гигантизмом центрального генеза, синдромом Беквита-Видемана, псевдогермафродитизмом, нейрофиброматозом, пороками почек, такими как подковообразная почка или удвоение почки.
Читайте также:
- Диагностика лепры. Принципы микробиологической диагностики проказы. Лечение лепры. Методы лечения проказы.
 - Как мыть голову, чтобы волосы не выпадали. Уход за волосами
 - Синдром Труссо (Trousseau)
 - К чему снятся змеи? Что говорят сонники о змеях во сне?
 - Сочетанные аномалии и прогноз при плодах паразитах. Гетеротопическая беременность
 
