УЗИ при послеоперационных изменениях шеи
Добавил пользователь Валентин П. Обновлено: 21.11.2025
К мягким тканям нашего организма относят кожный покров, подкожно-жировой слой, лимфатические узлы, мышцы и суставы. Они составляют около половины всей массы организма. Метод УЗИ позволяет детально исследовать мягкие ткани, определить их структурные изменения и диагностировать патологию на ранней стадии ее развития.
Что такое УЗИ мягких тканей?
УЗИ (эхография, или сонография) — это неинвазивный метод диагностики органов и мягких тканей организма посредством ультразвуковых волн. Ультразвук распространяется в организме в виде чередующихся волн, которые по-разному отражаются от структур с разной плотностью. Аппарат улавливает эти изменения и преобразует их в картинку.
Для УЗИ мягких тканей, как правило, используют линейные датчики с частотой 5-10 МГц. Глубина распространения волн такой частоты не превышает 10 см, однако полученная картинка обладает высоким разрешением с точностью до миллиметра. Датчики с этой частотой не могут обнаружить патологию, которая образовалась глубже 10 см. В этом случае для диагностики применяют более низкие частоты (2-3,5 МГц). Такие же частоты используют для УЗИ органов брюшной полости.
Сонография позволяет визуализировать внутреннее строение мягких тканей. Процедура обследования занимает 10-20 минут, не требует подготовки и безопасна для организма. Посредством УЗИ можно оперативно оценить полученные повреждения при травмах, поэтому данный метод незаменим в экстренной медицине. Рентгеновский снимок дает представление хирургу только о состоянии поврежденной кости, а УЗИ — о разрывах и гематомах мягких тканей.
Ультразвук безвреден для организма, поэтому процедуру можно проводить в любом возрасте. УЗИ мягких тканей — это быстрый, информативный, точный и доступный способ диагностики, который вы можете найти в любой клинике Москвы.
Виды УЗИ мягких тканей
По локализации исследуемого участка различают УЗИ мягких тканей:
- живота,
- шеи и лица,
- руки,
- бедра,
- голени и стопы.
В рамках УЗИ изучаются суставы, группы мышц и лимфатические узлы на исследуемом участке. Эхографию мягких тканей живота проводят с целью изучения появившихся опухолевидных образований, а также для обследования лимфатических узлов данной области.
УЗИ шеи проводят для изучения воспалительного процесса и степени его распространения. Причиной для процедуры могут стать пальпируемые уплотнения различного характера. В рамках исследования изучаются вены, артерии, щитовидную железу и трахеи. УЗИ мягких тканей лица проводят при появление абсцессов и уплотнений, а также при получении травм, чтобы оценить размеры и состояние образовавшейся гематомы. Исследование мягких тканей лица проводят после пластических операций для уточнения положений нитей и ботокса.
Диагностика мягких тканей руки проводится для изучения различных уплотнений на венах и суставах. УЗИ назначают при получении травм, чтобы оценить целостность мягких тканей, и при хронических болях в суставах руки, чтобы определить их причину.
УЗИ мягких тканей бедра применяют до и после хирургических вмешательств, чтобы исключить послеоперационные осложнения. Ультразвуковую диагностику голени и стопы назначают при различных травмах, в частности разрыве связок. С помощью ультразвука исследуют состояние сухожилий и нервов голеностопа, а также ищут опухолевидные образование соединительной ткани.
Показания и противопоказания для УЗИ мягких тканей
Причинами для проведения УЗИ мягких тканей могут выступать:
- увеличение лимфоузлов,
- боли различного характера,
- образование уплотнений в мягких тканях,
- мышечные грыжи,
- подозрения на опухоли,
- появление гнойных очагов (абсцессы, флегмоны),
- гематомы и разрывы мягких тканей,
- подготовка к операциям,
- контроль за восстановление после лечения.
Сонография позволяет обнаружить опухоль, однако нельзя определить доброкачественная она или злокачественная. Для уточнения диагноза пациентам дополнительно назначают допплерографию или биопсию.
Единственным ограничением для УЗИ мягких тканей является открытая рана в исследуемой области. Других противопоказаний процедура не имеет.
Как проводится УЗИ мягких тканей?
Пациентам не нужно готовиться перед процедурой. Обследование может проходить как сидя, так и лежа. Положение пациента зависит от исследуемого участка. В направлении на УЗИ лечащий врач указывает предположительное положение патологии и первичный диагноз.
Перед началом процедуры пациент должен убрать одежду с исследуемого участка. Далее сонолог наносит гель на датчик УЗИ или кожу пациента. Гель обеспечивает непрерывный контакт датчика с кожей. Если на пути ультразвуковых волн окажутся пузырьки воздуха, это исказит изображение, и полученные результаты будут неточными. Чтобы этого не произошло, используют прослойку из геля. Основу геля составляет глицерин, который не вызывает аллергических реакций. После процедуры его просто убрать салфеткой.
Аппарат УЗИ посылает и принимает ультразвуковые волны, затем преобразует полученные данные в изображение на мониторе. Врач-узист с его помощью определяет патологию мягких тканей. Полученные данные фиксируются в протоколе исследования, который выдают пациенту по окончанию процедуры.
Какие параметры отмечаются в протоколе УЗИ мягких тканей?
Проводя ультразвуковую диагностику обращают внимание на:
- точное местоположение патологии,
- глубину залегания и размеры патологии.
- структуру новообразования и окружающих его тканей,
- кровоснабжение тканей.
Информация о кровоснабжении проблемного участка может указать на характер патологии. Например, на УЗИ можно обнаружить доброкачественную опухоль — липому, которая образуется из жировой ткани. У липомы отсутствует кровоснабжение, этим она отличается от злокачественной опухоли. Для уточнения этого момента пациентам назначают допплерографию сосудов проблемного участка.
Точную локализацию и размеры патологии необходимо знать хирургу перед операцией. В случае глубокого ее расположения, пациентам дополнительно назначают МРТ. При обследовании лимфатических узлов обращают внимание на их размеры, эхогенность и форму. В нормальном состоянии размеры лимфоузлов не должны превышать 1 см. Их увеличение может свидетельствовать о воспалительном процессе в организме или инфекции.
Что можно выявить на УЗИ мягких тканей?
Посредством ультразвуковых волн можно обнаружить доброкачественные опухоли — липому и атерому (киста сальной железы), а также злокачественные новообразования — саркому и меланому. На изображении УЗИ они выглядят, как гипоэхогенные образования (участки с низкой плотностью), они могут иметь однородную или неоднородную структуру. Это уже зависит от вида опухоли. Чтоб уточнить диагноз, пациенту назначают дополнительную диагностику.
Ультразвук позволяет изучить гематому — скопление крови или жидкости, которое образуется из-за разрыва сосудов при травмах. Небольшие гематомы не опасны для организма, со временем они сами рассасываются. Большие гематомы устраняют хирургическим путем. В них происходит нагноение жидкости, что сопровождается болями и повышением температуры тела.
УЗИ шеи и лица проводят для изучения новообразований и воспалительных процессов. Пластический хирург посредством ультразвука может следить за воспалительными и спаечными процессами после подтягивания. УЗИ шеи проводят новорожденным при патологии лимфоузлов и кривошеи — нарушении костно-мышечного аппарата.
УЗИ суставов позволяет определить вывихи, разрывы связок, повреждение нерва и воспалительные процессы. В районе суставов можно обнаружить гигрому (суставная грыжа) — доброкачественное кистозное образование. Оно заполнено серозной жидкостью с примесью слизи или фибрина. На УЗИ проявляется как анэхогенное образование.
УЗИ мягких тканей ноги позволяет обнаружить различные уплотнения, грыжу тазобедренного и подколенного сустава (киста Бейкера), переломы тонких костей стопы и пяточную шпору. Пяточная шпора — это тонкий костный нарост на пятке в виде шипа или клина. Эта патология сопровождается болями при ходьбе и требует лечения.
Ультразвуковая диагностика мягких тканей живота позволяет изучить опухоли и брюшную грыжу — патологию, при которой внутренние органы выходят за пределы занимаемого ими положения. Эта патология бывает врожденной и приобретенной. Для ее изучения может понадобиться не только исследование мягких тканей живота, но и УЗИ всей брюшной полости. Уточните этот момент у лечащего врача, потому перед сонографией брюшной полости требуется определенная подготовка.
Что показывает УЗИ шеи?

Показаниями к ультразвуковому исследованию шеи может быть:
- наличие пальпируемого опухолевого образования, нароста, вздутия, жировика в области шеи;
- воспаление слюнных желез;
- шум в ушах;
- головные боли и головокружения;
- увеличенная щитовидная железа;
- боль при повороте шеи.
Решение о необходимости сделать УЗИ шеи может принять как лечащий врач, так и сам пациент. Это обследование безопасно для здоровья человека и не требует направления медицинского специалиста. Однако, чтобы разобраться, какое УЗИ шеи лучше сделать, начать свой диагностический путь следует с похода к неврологу или терапевту. По результатам первичного осмотра доктор сможет определить, какую форму дообследования следует выбрать в вашем случае.
5 самых частых причин боли в шее
- неправильная позы при работе за компьютером и с гаджетами
- наличие сквозняков
- отсутствие гимнастики, которая позволила бы укрепить мышечные структуры и улучшить питание тканей позвоночника
- остеохондроз
- грыжа межпозвонковых дисков.
Что покажет УЗИ шеи?
УЗИ сосудов шеи
- выявить окклюзионные проблемы с сосудистой системой;
- обнаружить зоны сужения просвета сосуда;
- определить степень стеноза;
- увидеть состояние стенок и их тонус;
- выявить тромбоз или атеросклеротические бляшки, уровень закупорки сосудов;
- визуализировать гематомы;
- установить скорость кровотока.
УЗИ мягких тканей шеи
- мышц шеи;
- подкожно-жировой клетчатки;
- щитовидной железы;
- слюнных желез;
- лимфатических узлов.
- абсцесс шеи;
- лимфаденопатию;
- кисты и гигромы.
- объемные образования;
- некроз тканей.
Комплексная диагностика головная боль или головокружение (МРТ головного мозга, МРТ шейного отдела, УЗДГ брахиоцефальных сосудов, консультация невролога)
Подготовка
Подготовительных мероприятий со стороны пациента ультразвуковое обследование области шеи не требует. На исследование лучше взять данные о текущем диагнозе. Это могут быть: выписка из истории болезни, результаты посещения врача, данные других обследований (лабораторные анализы, рентген, КТ или МРТ шеи). Вся эта информация поможет сонологу сфокусироваться на нужной зоне сканирования и в случае необходимости оценить динамику развития патологического процесса.
Как проходит УЗИ шеи?
Ультразвуковое исследование области шеи занимает не больше 15-20 минут. Проводится в положении лежа на спине. Человека укладывают на кушетку, застеленную одноразовой простыней. Под область плечевого сустава кладется подушечка толщиной 10 см, голова повернута в противоположную сторону относительно врача, чтобы был максимальный доступ к области шеи. Датчик аппарата и область исследования смазываются специальным гелем для более гладкого скольжения и плотного контакта с кожей. Это позволит ультразвуковым волнам проходить беспрепятственно.
В ходе обследования диагност последовательно сканирует зоны, фиксируя данные в протоколе, а также дает комментарии во время и после исследования. Несмотря на разъяснения сонолога, пациент с полученным результатом после УЗИ обязательно направляется к лечащему доктору. Именно лечащий врач ставит окончательный диагноз и назначает лечение.
Заключение и расшифровка
По результатам диагностики врач выдает пациенту на руки протокол обследования. Это письменный документ, в котором он отмечает все анатомические особенности области шеи и перечисляет выявленные аномалии и патологии. Также он дает устные рекомендации о том, к какому врачу по результатам обследования следует обратиться.
Ультразвуковое сканирование шеи - высокоинформативный метод диагностики. И все же полученные данные нельзя принимать за выставленный окончательный диагноз. Только профильный врач, опираясь на заключение диагноста, принимает решение о дальнейших действиях, выставляет диагноз или при необходимости направляет на дополнительные исследования с помощью МРТ или КТ. И уже после того, как все диагностические показатели будут собраны, и диагноз ясен, он назначает необходимую схему лечения.
Противопоказания
Противопоказаний к данному методу исследования нет. Ультразвуковое сканирование шейной области можно проводить любым пациентам в любом возрасте. Чтобы сделать качественное УЗИ, важно, чтобы в зоне исследования на коже не было рубцов и шрамов. Любая бугристость кожного покрова ухудшает контакт датчика с поверхностью сканирования и снижает качество сигнала.
УЗИ сосудов шеи и головы что показывает

Благодаря быстрым темпам развития ультразвуковой диагностики, стало возможным с минимальными временными затратами исследовать сосуды тканей и органов. Прямая визуализация артериовенозной системы головы и шеи позволяет выявить патологические изменения, являющиеся непосредственной причиной нарушения мозгового кровообращения, как острого, так и хронического.
В стандартный объем УЗИ рассматриваемой анатомической области входит сканирование брахиоцефальных артерий (БЦА):
- подключичных;
- общих и внутренних сонных (ОСА и ВСА);
- позвоночных.
Реже в диагностический комплекс включают изучение особенностей кровоснабжения некоторых отделов головного мозга.

В большинстве случаев исследование проводят с целью уточнения наличия или отсутствия атеросклеротических бляшек, уменьшающих диаметр просвета сосудов. Отложения продуктов липидного обмена чаще находят в области деления кровеносных каналов, или бифуркаций, ОСА на внутреннюю и наружную ветви. Высокая степень нестабильности пристеночного образования и стеноз артерии в пораженном сегменте создают угрозу развития инсульта, в том числе транзиторной ишемической атаки.
К окклюзии БЦА также приводят:
- дегенеративно-дистрофические заболевания позвоночника (остеохондроз);
- сдавление опухолями и инородными телами;
- травматические повреждения;
- неспецифический аортоартериит;
- фибромышечная дисплазия;
- аномалии строения;
- тромбы.
УЗИ сосудов шеи назначают врач-невролог, нейрохирург, ангиохирург, кардиолог, терапевт.
Показания к УЗИ сосудов головы и шеи
Несмотря на внедрение в клиническую практику таких методов визуализации, как МРТ и КТ, ультразвуковое сканирование остается ведущим способом диагностики гемодинамических нарушений в БЦА. Данное исследование отличают доступность, простота использования, отсутствие противопоказаний, что позволяет применять сонографию в качестве скрининга у пациентов с высоким сердечно-сосудистым риском.

Показаниями для назначения УЗИ артерий головы и шеи являются:
- головные боли и головокружение;
- шаткость при ходьбе;
- онемение и потеря чувствительности в верхних конечностях;
- снижение зрения;
- шум в ушах;
- дегенеративно-дистрофические заболевания позвоночника;
- осуществление мониторинга у пациентов с перенесенным инфарктом миокарда, острым нарушением мозгового кровообращения;
- наблюдение в послеоперационном периоде (ангиопластика, стентирование, эндартерэктомия, шунтирование);
- профилактика инсульта у лиц, страдающих артериальной гипертензией, сахарным диабетом, ожирением, дислипидемией.
Диагностический поиск направлен на обнаружение гемодинамически значимых изменений в сосудах вследствие деформации, компрессии, закупорки, сужения. Основной причиной затруднения кровотока на шейном уровне является образование атеросклеротических бляшек. Пациентам с критическим стенозом рекомендуют получить консультацию у ангиохирурга для решения вопроса об оперативном лечении. Адекватный объем инвазивного вмешательства значительно снижает риск развития инсульта.

Методы проведения УЗИ сосудов головы и шеи
На сегодняшний день основное место в определении состояния сонных и позвоночных артерий занимает ультразвуковое цветовое дуплексное сканирование (ультразвуковая допплерография или УЗДГ).
Исследование объединяет построение 2D-изображений и анализ целевых сосудов. Принцип регистрации данных УЗ-аппаратом заключается в разнице получения сигналов от статичных и движущихся объектов. Первые видны на мониторе в серой шкале, вторые - как участки красного и синего цветов, показывающие направление кровотока. Скорость последнего позволяет судить о выраженности окклюзии и количестве зон со сниженной перфузией.
Технология не представляет возможности измерить диаметр просвета сосуда в пораженном участке, в связи с чем были разработаны схемы, где результаты УЗДГ соотносят с определенной степенью стеноза, подтвержденной данными ангиографии.
Ультразвуковая допплерография головы и шеи включает две методики:
- исследование БЦА;
- транскраниальное дуплексное сканирование, с помощью которого можно визуализировать артерии головы - передние, средние, задние, базиллярную, внутричерепные сегменты позвоночных. У 10-20 % пациентов выполнить процедуру невозможно в связи с плохой проницаемостью костей черепа для УЗ- волн.

Как делают УЗИ сосудов шеи и головы
Специальной подготовки к УЗИ сосудов шеи не требуется. Перед процедурой следует снять украшения и одежду, препятствующие доступу к шейным сегментам БЦА. Обязательным является измерение артериального давления на обеих руках перед началом УЗДГ. Средняя продолжительность исследования, включая опрос пациента, подготовку медицинской документации и сканирование составляет 30-40 минут. Длительность может быть изменена в большую или меньшую сторону в зависимости от сложности диагностической задачи.

Проведение УЗДГ брахиоцефальных артерий
Расшифровка результатов УЗИ сосудов головы и шеи
По окончании процедуры специалист описывает УЗ-картину состояния артерий и вен в рассматриваемой области. Заключение выдают пациенту вместе с сонограммами, где четко видны обнаруженные изменения.
УЗДГ сосудов головы и шеи показывает признаки:
- отложений липидов с зоной окклюзии различной протяженности;
- неатеросклеротического стенозирующего поражения на фоне васкулитов;
- пристеночных тромбов и эмболов;
- врожденных и приобретенных аномалий строения;
- травматического повреждения с образованием гематом;
- компрессии, вызванной опухолями, метастазами, разрастанием костной ткани в шейном отделе позвоночника (остеофиты).

В ходе выполнения ультрасонографии БЦА основной задачей является уточнение наличия и отсутствия стеноза с определением области сужения, при атеросклеротическом поражении - изучение структуры бляшки.
Последней врач ультразвуковой диагностики дает характеристику по:
- протяженности;
- форме;
- локализации;
- эхогенности и однородности;
- типу поверхности (гладкая, с изъязвлением, с распадом);
- наличию или отсутствию кровоизлияний.
Доктор анализирует полученные результаты и делает заключение о степени окклюзии, стабильности либо нестабильности атеромы.
Каротидную эндартерэктомию рассматривают у пациентов со стенозами более 70%. Данный показатель усреднен. Выбор тактики лечения зависит от ряда дополнительных факторов. Так, эндоваскулярное вмешательство может быть выполнено при окклюзии ВСА от 60%, если атеросклеротическая бляшка нестабильна либо в анамнезе существуют данные о перенесенном остром нарушении мозгового кровообращения в течение последних 6 месяцев.
Решение о проведении оперативного лечения принимает врач-ангиохирург. При получении спорных результатов ультразвукового исследования рекомендуют выполнение компьютерной или магнитно-резонансной ангиографии.
УЗДГ при аномалиях строения сонных артерий
Дуплексное сканирование занимает лидирующее место в диагностике врожденных и приобретенных пороков магистральных сосудов шеи. Метод позволяет не только выявить дефект, но и охарактеризовать особенности кровотока в зоне интереса. Наибольшую угрозу представляет патологическая извитость внутренней сонной артерии с выраженными локальными нарушениями гемодинамики, поскольку такое состояние может стать причиной инсульта и транзиторной ишемической атаки.
Деформации ВСА указанного типа по распространенности уступают только их атеросклеротическому поражению и часто сочетаются с артериальной гипертензией и атеросклерозом.

Патологическая извитость ВСА на УЗ-изображении
Выявление признаков значительного снижения кровотока в области дефекта на УЗИ требует назначения консультации ангиохирурга. При недостаточной информативности ультразвукового исследования, особенно в случае расположения патологических изменений в дистальном сегменте внутренней сонной артерии, используют дополнительные способы визуализации - КТ с контрастированием или МРТ.
Что показывает УЗИ сосудов шеи?

Покажет ли УЗИ сосудов шеи дефицит кровотока?
Дефицит кровотока - это очень распространенная патология в практике врачей-неврологов и вестибулологов. Очень много людей с головными болями, с постоянными головокружениями и периодическими обмороками страдают этим недугом. Он возникает, когда по тем или иным причинам стенки сосуда сужаются в месте, где правая и левая позвоночные артерии внутри черепа сливаются в одну и вместе кровоснабжают три главных центра головного мозга - центр вестибулярного аппарата, центр зрения, центр слуха. Поэтому обычно дефицит кровотока проявляет себя головокружением и шумом в ушах. Показать, какова скорость кровотока в сосудах шеи при разных позициях головы, может УЗИ. Часто неврологам важно получить данные о качестве кровотока в сонных артериях. Эти сосуды в основном кровоснабжают кору головного мозга и подкорковые структуры. Мышление, память, характер, эмоции и мыслительный процесс зависит от того, сколько кислорода принесут сонные артерии в мозг.
Если УЗИ сосудов шеи покажет дефицит кровотока в этих артериях, врач должен принять срочные меры, поскольку такая патология может привести к потере дееспособности. В основном дефицит кровотока во внутренних сонных артериях врачи встречают у постинсультных больных с одним или несколькими инсультами в прошлом, у людей, перенесших инфаркт, тяжелую травму черепа или несколько сотрясений средней тяжести. Здесь регулярные УЗИ сосудов шеи и МРТ головного мозга играют важную роль в оценке прогресса после терапии. По данным МРТ и УЗИ врач может сказать, что и как после лечения изменилось в здоровье пациента, и принять решение о новой форме терапии, если назначенного лечения недостаточно и нужен еще один курс другими препаратами. У постинсультных пациентов УЗИ сосудов шеи покажет, насколько тяжело протекает период после инсульта, а также насколько быстро или медленно идет восстановление.
| Услуга | Цена, руб. | Цена по Акции |
|---|---|---|
| Программа "Здоровые ноги" (дуплексное сканирование вен нижних конечностей с оценкой клапанов и перфорантных вен и дуплексное сканирование артерий нижних конечностей) | 4500 руб. | 3999 руб. |
| Ультразвуковое триплексное сканирование вен н/к с оценкой клапанов и перфорантных вен | 2500 руб. | |
| Ультразвуковое триплексное сканирование вен верхних конечностей | 2000 руб. | |
| Ультразвуковое триплексное сканирование артерий нижних конечностей с измерением плече-лодыжечного индекса (ПЛИ) | 2000 руб. | |
| Ультразвуковое триплексное сканирование артерий верхних конечностей | 2000 руб. | |
| Ультразвуковое дуплексное сканирование артерий аорто-подвздошного сегмента | 1900 руб. | |
| Ультразвуковое дуплексное сканирование брюшной аорты и висцеральных артерий | 1900 руб. | |
| Ультразвуковое дуплексное сканирование нижней полой вены | 1700 руб. | |
| Ультразвуковое дуплексное сканирование подвздошной вены | 1700 руб. | |
| Ультразвуковое дуплексное сканирование почечных артерий | 1700 руб. | |
| Интракраниальный дуплекс сосудов головного мозга | 2500 руб. | |
| УЗИ вен шеи | 2500 руб. | |
| УЗИ брахиоцеребральных артерий (БЦА) | 2500 руб. | |
| УЗИ сердца или Эхокардиография взрослым | 2400 руб. |
Покажет ли УЗИ сосудов шеи компрессию сосудов?
- с поворотами головы;
- с наклоном головы;
- в положении лежа и сидя.
Врожденные аномалии развития сосудов на УЗИ
Гипоплазия, то есть малый диаметр позвоночных артерий, - это достаточно частая находка в практике УЗИ диагностов. Самая типичная форма ее проявления - это гипоплазия одной из позвоночных артерий со снижением кровотока в ее бассейне. Часто встречается высокий вход одной или двух артерий в позвоночный канал, при этом часть пути позвоночная артерия не защищена костным каналом и может сдавливаться при поворотах шеи. Реже встречается отсутствие какой-либо из позвоночных артерий и гипоплазия сонных артерий.
УЗИ сосудов шеи четко покажет наличие гипоплазии, но не всегда сможем сказать, это врожденная аномалия или это приобретенное сужение сосуда на фоне остеохондроза. Эта патология требует консервативного сосудистого лечения с целью усилить общий кровоток организма, чтобы произошла компенсация за счет других артерий. Эффективность проводимого лечения обычно отслеживают с помощью серии контрольных УЗИ сосудов шеи.
Покажет ли УЗИ сосудов шеи опухоль?
При УЗИ сосудов шеи иногда врачи выявляют сдавление сосудов опухолями. В первую очередь это могут быть метастазы лимфоузлов шеи. Особенность тканей метастазов - она жесткая, поэтому она может сдавить сосуд или прорасти в его стенку и образовать опухолевый тромб. Все это хорошо визуализирует комплексное ультразвуковое исследование сосудов шеи и УЗИ мягких тканей шеи.
Первичный прием
НЕВРОЛОГА
ВСЕГО 1800 рублей!
(подробнее о ценах ниже )
Как УЗИ показывает извитости и деформации сосудов?
УЗИ лимфатических узлов что показывает

В современной медицине актуальной остается проблема дифференциальной диагностики лимфаденита (или аденопатии), т.е. патологических изменений в лимфатических узлах (ЛУ), сопровождающихся увеличением последних. Обсуждаемые анатомические структуры выполняют защитную функцию, задерживая микроорганизмы, токсины, чужеродные белки, продукты тканевого распада. Перечисленные элементы в норме подвергаются фагоцитозу без каких-либо клинических проявлений. В случае снижения иммунитета или накопления критической массы биологических и химических соединений в лимфоузлах возникает инфекционно-воспалительный процесс.

Лимфатическая система (схематично)
По топографическому признаку ЛУ делят на две группы:
- поверхностные, расположенные в подкожно-жировой клетчатке;
- глубокие, локализующиеся в мышцах и внутренних органах.
При интерпретации УЗ-снимков врач оценивает особенности визуализации исследуемых структур. Основными объектами изучения выступают соединительнотканная капсула и ворота, где проходят артерии, вены, нервы и лимфатические сосуды. В норме доктор четко дифференцирует указанные анатомические образования в зоне интереса.
Причины лимфаденопатии
Увеличение ЛУ как с нарушением нормального строения, так и без него происходит вследствие:
- повышения продукции иммунных клеток при попадании инфекционных агентов и чужеродных веществ;
- инвазии или метастазирования злокачественной опухоли;
- жировой инфильтрации на фоне дислипидемии;
- разрастания соединительной ткани после перенесенных воспалительных заболеваний.

Увеличение лимфатических узлов при лимфогранулематозе
Признаки лимфаденита чаще наблюдают в области шеи, подмышечных впадин, паха. В большинстве случаев указанное состояние развивается при проникновении в организм вирусов, грибов, бактерий, реже - при новообразованиях.
Первый вариант сопровождается симптомами воспаления и возникает на фоне:
- ОРВИ;
- гриппа;
- тонзиллита;
- периостита;
- ангины и пр.
Помимо перечисленных инфекционных заболеваний, реактивные изменения в ЛУ обнаруживают при туберкулезе, сифилисе, актиномикозе. Аденопатию при данных патологиях выделяют в нозологической классификации как специфическую, характеризующуюся длительным хроническим течением.
Показания к УЗИ лимфатических узлов
Диагностика острого вирусного или бактериального поражения периферических органов лимфатической системы проста. При осмотре, наряду с увеличением и болезненностью ЛУ, врач выявляет специфические признаки инфекции:
- покраснение, гнойную деструкцию миндалин;
- ринорею;
- кашель;
- гипертермию и пр.
После лечения перечисленные симптомы обычно исчезают. Трудности вызывает определение причин хронической аденопатии. Последняя требует назначения лучевых методов диагностики, в ходе которых доктор сможет отличить доброкачественные, в том числе воспалительные, и злокачественные процессы в зоне интереса. Доступным и информативным способом визуализации лимфоузлов является УЗИ.

Метастазы рака молочной железы в поверхностных лимфоузлах
Выполнение ультрасонографии показано при жалобах на:
- появление на теле уплотнений овальной или округлой формы, чувствительных либо безболезненных при пальпации;
- общую слабость;
- повышение температуры тела;
- затруднение при глотании;
- головокружение;
- резкое похудение;
- гиперемию кожных покровов и отек мягких тканей в области лица, шеи, подмышек, паха.
Помимо диагностического поиска причин впервые возникшей аденопатии, ультразвуковое исследование применяют у онкологических больных в качестве скрининга. Выполнять сканирование ЛУ таким пациентам необходимо после оперативного вмешательства и/или химиотерапии не реже одного раза в год.
Ценность эхографии в медицине заключается и в возможности проведения неинвазивной пункции лимфатических узлов. Под УЗ-контролем врач с помощью тонкой иглы получает содержимое анатомического образования (аспирационная биопсия) и направляет материал в лабораторию. По результатам микроскопического анализа определяют характер и природу патологического процесса.
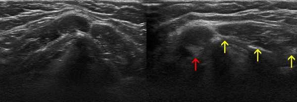
УЗИ подмышечных лимфоузлов

УЗИ аксиллярных лимфоузлов
Подмышечные аденопатии чаще обусловлены активностью смешанной микробной флоры. В развитии изменений ЛУ указанной локализации основное значение имеют возбудители токсоплазмоза, фелиноза, мононуклеоза, цитомегаловирусной инфекции. Реже увеличенные лимфоузлы в обсуждаемой анатомической области обнаруживают при гематологических и аллергических заболеваниях.
Визуализация признаков аденопатии воспалительного характера в подмышке вызывает затруднение в связи с близким расположением потовых желез, особенно при выполнении сканирования на УЗ-аппаратах среднего класса. Около 97% таких больных поступают в стационар с подозрением на острый гнойный гидраденит. Установить причину патологии помогает правильно собранный эпидемиологический анамнез и ультразвуковое исследование на оборудовании с высокой разрешающей способностью.
Диагностический поиск при увеличении ЛУ в подмышечных впадинах направлен и на выявление онкологических заболеваний, преимущественно рака молочной железы.
УЗИ подчелюстных лимфоузлов
Подчелюстные лимфоузлы закладываются в клетчатке одноименного треугольника в количестве 6-10 штук и одними из первых реагируют на инфекционные процессы в зубах, слизистых оболочек рта, полости носа, придаточных пазух, костях лицевого черепа.
Аденопатии указанной локализации чаще наблюдают у детей до 7 лет на фоне тонзиллитов, риносинуситов, стоматитов и пр. Обозначенная особенность в эпидемиологии обусловлена незавершенностью формирования у лиц дошкольного возраста лимфатической системы. Среди взрослых рассматриваемое состояние в большинстве случаев связано с одонтогенными воспалительными заболеваниями и опухолями.

Ультразвуковое исследование лимфатических узлов шеи
УЗ-сканирование при поражении подчелюстных ЛУ обычно проводят в комплексе с визуализацией мягких тканей лица и шеи.
УЗИ лимфоузлов паховой области
Паховая аденопатия преимущественно возникает при патологиях органов малого таза как инфекционного, так и неинфекционного характера.
Основными причинами увеличения лимфоузлов указанной локализации являются:
- заболевания, передающиеся половым путем;
- вульвит, кольпит, эндометрит, абсцесс бартолиниевой железы (у женщин);
- баланит, орхит (у мужчин);
- воспалительные процессы в прямой кишке и перианальной области - осложненный геморрой, парапроктит;
- злокачественные новообразования;
- паразитарные инвазии.

Паховые лимфоузлы на УЗИ
Как проводят УЗИ лимфоузлов
Ультразвуковая диагностика не требует специальной подготовки. Сканирование ЛУ проводят в положении пациента лежа на спине в позе, позволяющей без затруднений увидеть все элементы в исследуемой анатомической зоне. В процессе УЗ-визуализации шейных лимфоузлов необходимо попеременно поворачивать голову в правую и левую стороны для оценки состояния тканей в боковых отделах изучаемой области.
При аденопатии подмышечных впадин в ходе эхографии пациенту потребуется завести руки за затылок. Перед УЗИ нужно убедиться в отсутствии на теле одежды и предметов, создающих препятствие к доступу пъезоэлемента.
В ходе процедуры используют датчик частотой 7,5-10 МГц в В-режиме. Для оценки состояния кровотока в ЛУ и прилежащих структурах применяют функцию, основанную на эффекте Допплера.
Проведение УЗИ при лимфадените занимает около 30-40 минут. По окончании ультразвуковой диагностики доктор выдает заключение, с которым необходимо обратиться к лечащему врачу для сопоставления полученной УЗ-картины с результатами дополнительных обследований (цитологических, иммуногистохимических и пр.).
Что показывает УЗИ лимфоузлов
При расшифровке эхограмм специалист оценивает:
- форму (преимущественно округлая или овальная);
- размер по длинной оси (анатомически не более 1,5 см);
- контуры лимфоузлов.
Важным критерием нормы является наличие визуальной дифференциации обсуждаемых анатомических образований на кору и ворота.

Аденопатия инфекционного генеза на сонограммах характеризуется следующими изменениями в строении ЛУ:
- нечеткостью границ;
- увеличением в диаметре - в среднем до 2-4 см;
- неоднородностью структуры;
- нарушением целостности капсулы - показатель прорыва воспалительной жидкости в соседние ткани.
Осложнения при заболеваниях ЛОР-органов влияют на особенности УЗ-визуализации лимфоузлов шеи - последние на экране ультразвукового сканера могут выглядеть как анэхогенные жидкостные образования либо как участки низкой и высокой эхогенности, чередующиеся друг с другом. Указанные изменения на снимках характерны для гнойного расплавления и формирования аденофлегмоны.
Изменения лимфоузлов на УЗИ при злокачественных новообразованиях
В ходе УЗИ ЛУ можно заподозрить наличие у исследуемого опухоли с агрессивным течением. Выявить прорастание последней или метастазы в лимфоузлы с помощью пальпации невозможно. Благодаря неинвазивности, высокой информативности и доступности, ультразвуковое сканирование является методом скрининга как при первичной диагностике злокачественных процессов в крови, лимфе, внутренних органах, так и у больных после оперативного лечения и/или химиотерапии.

УЗИ с допплерографией у пациентов онкологического профиля показывает следующие нарушения в строении ЛУ:
- увеличение в размерах - обычно до 6-6,5 см;
- шарообразную деформацию или неправильные контуры;
- спаянность в виде конгломератов;
- отсутствие дифференциации на кору и ворота;
- неоднородность структуры с зонами повышенной и пониженной эхогенности;
- жидкостные включения и кальцинаты;
- усиленный кровоток и образование новых сосудов (ангиогенез).
Указанные изменения на снимках чаще обнаруживают при лимфоме.
С помощью ультразвуковой визуализации невозможно оценить морфологию опухоли. После получения заключения доктора УЗДГ следует посетить лечащего врача. Для определения причины увеличения лимфоузлов необходимо выполнение цитологического и гистологического анализов.
Читайте также:
