УЗИ при скоплении жидкости вокруг трансплантата почки
Добавил пользователь Валентин П. Обновлено: 01.11.2025
М.Г. ТУХБАТУЛЛИН 1,2 , Р.Х. ГАЛЕЕВ 2 , Л.И. ГАРИФУЛЛИНА 1 , Ш.Р. ГАЛЕЕВ 1
1 Казанская государственная медицинская академия , 420012, г. Казань, ул. Бутлерова, д. 36
2 Республиканская клиническая больница МЗ РТ, 420064, г. Казань, Оренбургский тракт, д. 138
В статье представлены результаты 205 ультразвуковых исследований почечных трансплантатов у 85 больных за период с 02.11.2015 г. по 25.04.2016 г. Установлена диагностическая значимость ультразвуковой эластографии сдвиговой волны в оценке состояния трансплантированной почки в ранние и отдаленные сроки наблюдения.
Ключевые слова: ультразвуковое исследование, компресссионная эластография, эластография сдвиговой волны, допплерографическое исследование.
M.G. TUKHBATULLIN 1,2 , R.Kh. GALEEV 2 , L.I. GARIFULLINA 1 , Sh.R. GALEEV 1
1 Kazan State Medical Academy, 36 Butlerov Str., Kazan, Russian Federation, 420012
2 Republican Clinical Hospital of the MH of RT, 138 Orenburgskiy Trakt, Kazan, Russian Federation, 420064
Modern ultrasound diagnostics in the assessment of renal transplant
The article presents the results of 205 ultrasound examinations of kidney transplants in 85 patients from 02.11.2015 till 25.04.2016. The diagnostic value of the shear wave ultrasound elastography is discussed for the evaluation of the transplanted kidney at various stages after transplantation.
Key words: ultrasound examination, compression elastography, shear wave elastography, Doppler examination.
В настоящее время ультразвуковая эластография ― метод качественного и количественного анализа упругих свойств тканей, приобретает все большее клиническое значение. Термин «эластография» (от лат. еlasticus ― «упругий») впервые предложили в 1991 г. врачи-исследователи из Хьюстона (США). Физической составляющей эластографии является модуль упругости Юнга, который характеризует свойства мягких тканей сопротивляться растяжению/сжатию при упругой деформации. В зависимости от способа расчета модуля упругости Юнга эластографию подразделяют на компрессионную и эластографию сдвиговой волны [1, 2].
Компрессионная эластография (real time elastography-RTE) ― метод качественной оценки упругих свойств тканей, основанный на уравнении Е=σ/ɛ, где Е ― модуль упругости Юнга, σ ― величина компрессии, ɛ ― относительная деформация столбика ткани (стрейн-напряжение). Данный метод используется для исследования поверхностно и глубоко расположенных органов, таких как молочные железы, щитовидная железа, предстательная железа, матка, мочевой пузырь и т.д. [1]. Более упругий, твердый объект (например, опухоль) уменьшается в объеме меньше, чем здоровая ткань. Компрессионная эластография дает возможность сравнить упругости различных участков ткани. Отношение показателей упругости называется относительным показателем или коэффициентым деформации SR (strain ratio). Относительно новым является применение компрессионной эластографии в определении эластических свойств глубоко расположенных органов ― печени, почек, поджелудочной железы [3].
Ультразвуковая эластография сдвиговой волны (УЭСВ). С точки зрения физики, сдвиговая волна ― упругая поперечная волна (в отличие от продольной ультразвуковой), которая вызывает смещение частиц среды перепендикулярно направлению распространения волны. Методика базируется на уравнении Е=3*р*С 2 , где Е ― модуль упругости Юнга (Ра), С ― скорость сдвиговой волны (м/сек.), р ― плотность вещества (кг/м 3 ). Скоростные показатели прямо пропорциональны показателям упругости (жесткости) ткани. Следовательно, чем выше жесткость, тем выше скорость [4]. Жесткость тканей определяется в килопаскалях (кПА).
Электронный способ генерации волн используется в ультразвуковых сканерах производителей Aixplorer (SuperSonic Imaging S.A., Aixen-Provens, Франция), Ultima PA Expert (Радмир, Украина) и Acuson S3000 (Siemens, Германия). Причем генерация волн электронным способом также различна. В ультразвуковых сканерах Acuson S3000 (Siemens, Германия) для создания сдвиговой волны используется мощный ульразвуковой импульс, который приобретает максимальную величину в определенной точке-источнике сдвиговых волн, распространяющихся в перпендикулярном направлении. В ультразвуковых системах Aixplorer (SuperSonic Imagine, Франция) и Ultima (Радмир, Украина) с определенной временной задержкой создается не одна, а несколько точек давления по глубине с последующим формированием фронта сдвиговых волн [1, 4].
В таблице приведены экспериментально полученные количественные данные оценки модуля Юнга и, следовательно, жесткости различных тканей [Sarvazyan A.P., 2001] 6. Полученные результаты выражаются в килопаскалях (kPa).
Таблица.
Данные оценки модуля Юнга (экспериментальные данные)
Нормальная гранулированная (normal grandular)
Фиброзная ткань (fibroustissue)
Нормальная ткань задней поверхности (normal posterior)
Доброкачественная гиперплазия предстательной железы (BPH)
Клиническое применение ультразвуковой эластографии:
― диагностика и классификация злокачественных образований молочной железы, печени, простаты, щитовидной железы и др.;
― интервенционный ультразвук: контроль за правильностью наведения биопсийной иглы; терапевтических процедур типа радиочастотной абляции и высокоинтенсивного сфокусированного ультразвука (high intensity focusing ultrasound ― HIFU);
― мониторинг изменений при лечении злокачественных образований;
― трансплантология (мониторинг возможного отторжения трансплантированной почки);
― кардиология (Myocardial Elastography ― ME);
― ангиология ― в частности, исследование характера и жесткости бляшек (Endovascular elastography ― EVE) 6.
Роль трансплантации почки (ТП) на сегодняшний день трудно переоценить. Данный метод относится к наиболее радикальным способам лечения терминальных заболеваний почек. Являясь одним из видов заместительной почечной терапии, трансплантация позволяет не только обеспечить высокий уровень качества жизни, снизить стоимость лечения, уменьшить риски кардиоваскулярной летальности, но и достоверно увеличить продолжительность жизни данной категории пациентов. Допплерографическое исследование и ультразвуковая эластография сдвиговой волны в комплексе, оказались весьма перспективными методами для исследования почечного трансплантата, определения осложнений и морфологических изменений.
Цель исследования ― изучить диагностическую значимость ультразвуковой эластографии сдвиговой волны (УЭСВ) в оценке состоянии почечного трансплантата на разных сроках.
Материал и методы
За период с 02.11.2015 г. по 25.04.2016 г. было выполнено 205 УЗИ почечных трансплантатов у 85 пациентов, средний возраст которых составил 38,2±2,1 года. Сроки проведения УЗИ от 0 суток до 10 лет после трансплантации почки. УЗИ проводилось на аппарате Aixplorer (SuperSonic Imagine S.A., Aixen-Provence, Франция), с применением конвексного датчика 1-6 МГц. Исследование проводилось в РКБ МЗ РТ. При оценке состояния трансплантата нами определялись контуры почки, однородность и эхогенность паренхимы, состояние почечного синуса, чашечно-лоханочной системы и мочеточника. При топометрии устанавливались размеры (длина, ширина и толщина) почечного трансплантата. Оценка состояния околопочечного пространства сводилась к поиску свободной жидкости вокруг трансплантата, которая может наблюдаться при образовании гематом, урином и лимфоцеле. В режимах цветовой и спектральной допплерографии был оценен кровоток в сосудах почечного трансплантата, включая сосудистый анастомоз. Определялись систолическая, диастолическая скорости кровотока и индексы резистентности в сегментарных, дуговых и междольковых артериях. При режиме УЭСВ оценивалась жесткость паренхимы на верхнем, нижнем полюсе, латеральном и медиальном крае почечного трансплантата. Для сравнительного анализа, все результаты исследования были разделены на две группы: первая группа ― пациенты на сроках от 0-30 суток после пересадки почки, вторая ― пациенты на сроках более 30 суток после операции. Основной причиной, приведшей к хронической почечной недостаточности (ХПН), у пациентов, перенесших трансплантацию почки, являлся хронический гломерулонефрит.
Результаты и обсуждение
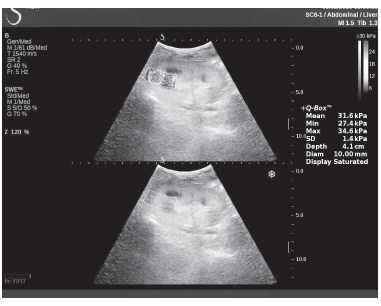
Клинический пример из первой группы. Пациент М., с хронической почечной недостаточностью. Трансплантация почки произведена от живого родственного донора. Трансплантат находится в правой подвздошной области. При нормальном функциональном состоянии трансплантата, показатели цветовой и спектральной допплерографии оценивались как удовлетворительные, с индексом резистентности не более 0,60 (рис. 1); показатели жесткости паренхимы почечного трансплантата при УЭСВ на различных участках составили от 20,05 до 29,18 кПа (рис. 2-4).

Рисунок 1. Ультразвуковое исследование в режиме цветовой и спектральной допплерографии в междольковых и сегментарных артериях у пациента М. Показатели кровотока в данном случае не изменены

Рисунок 2. Исследование в режиме ультразвуковой эластографии сдвиговой волны у пациента М.: жесткость паренхимы в зоне медиального края трансплантата 19,8 кПа
Рисунок 3. Исследование в режиме ультразвуковой эластографии сдвиговой волны у пациента М.: жесткость паренхимы в зоне верхнего полюса почечного трансплантата 21,4 кПа

Рисунок 4. Исследование в режиме ультразвуковой эластографии сдвиговой волны у пациента М.: жесткость паренхимы в зоне нижнего полюса почечного трансплантата 16,8 кПа
У пациентов второй группы, при нормальных показателях клинико-лабораторных и допплерографических исследований, показатели жесткости почечного трансплантата составили 17,00-26,06 кПа.
Клинический пример из второй группы. Пациент К. перенес операцию пересадки почки от живого родственного донора. Трансплантат в левой подвздошной области. Индекс резистентности в междольковых артериях составил 0,70 (рис. 5). В сегментарных артериях индекс резистентности составил 0,66 (рис. 6). Показатели жесткости паренхимы почечного трансплантата при режиме УЭСВ составили от 31,6 до 36,9 кПа (рис. 7-9).

Рисунок 5. Исследование у пациента К. в режиме цветовой и спектральной допплерографии. Индекс резистентности в междольковых артериях почечного трансплантата составил 0,70

Рисунок 6. Эхограмма пациента К. Кровоток в сегментарных артериях неизменен

Рисунок 7. Исследование в режиме ультразвуковой эластографии сдвиговой волны у пациента К.: жесткость паренхимы в зоне медиального края почечного трансплантата 36,9 кПа

Рисунок 8. Исследование в режиме ультразвуковой эластографии сдвиговой волны у пациента К.: жесткость паренхимы в зоне нижнего полюса почечного трансплантата 34,7 кПа

Рисунок 9. Исследование в режиме ультразвуковой эластографии сдвиговой волны у пациента К.: жесткость паренхимы у верхнего полюса почечного трансплантата 31,6 кПа
Заключение
При снижении скорости кровотока и повышении индекса резистентности до 0,70 и более, как в первой, так и во второй группах, показатели УЭСВ составили от 28,00 до 39,45 кПа. Повышение жесткости паренхимы почечного трансплантата, на наш взгляд, связано с начавшимися изменениями (фиброза) в паренхиме почки. При повышении индекса резистентности более 0,70 показатели жесткости паренхимы при УЭСВ является дополнительным критерием, позволяющим оценить функциональное состояние почечного трансплантата. Ультразвуковая эластография ― новая развивающаяся методика, чувствительность, специфичность и точность которой увеличиваются при комплексном использовании с другими методами исследования. Анализ результатов проведенных исследований выявил значительные клинические возможности и перспективы применения метода ультразвуковой эластографии сдвиговой волны в оценке состояния почечного трансплантата. Полученные данные о диагностической точности метода позволяют использовать результаты в целях принятия решения о дальнейшем ведении пациента и тактике лечения [4].
1. Зыкин Б.И., Постнова Н.А., Медведев М.Е. Эластография: анатомия метода // Променева диагностика, променева терапия. ― 2012. ― 2-3.
2. Зубарев А.Р., Федорова В.Н., Демидова А.К. и соавт. Ультразвуковая эластография как новая ступень в дифференциальной диагностике узловых образований щитовидной железы: обзор литературы и предварительные клинические данные // Медицинская визуализация. ― 2010. ― №1. ― С. 11-16.
3. Тухбатуллин М.Г., Алиева И.М. Современные ультразвуковые технологии в клинической практике // Практическая медицина. ― 2012. ― №5.
4. Тухбатуллин М.Г., Галеева З.М., Бастракова А.Е. Ультразвуковая эластография // Эхография в диагностике заболеваний внутренних и поверхностно расположенных органов. ― Казань: Медицинская книга, 2016. ― С. 119-130.
5. Bamber J. et al. EFSUMB* Guidiness and recommendations on the clinical use of ultrasoundelastography. Part 1: Basic principles and technology // Ultrashall in Med. ― 2013. ― 34. ― P. 164-168.
6. Bamber J. et al. EFSUMB* Guidelines and Recommendations on the Clinical Use of Ultrasound Elastography. Part 2: Basic Principles and Technology // Ultrashall in Med. ― 2013. ― 34. ― P. 169-184.
7. Осипов Л.В. Ультразвуковые диагностические приборы: Режимы, методы и технологии —М.: Изомед, 2011. ― 312 с.
8. Ophir J. et al. Elastography: Imaging the Elastic Properties of Soft Tissues with Ultrasound // J. Med. Ultrasonics. ― 2002. ― P. 155-171.
9. Ophir J., Cespedes I., Ponnekanti H., Yazdi Y., Li X. Elastography: a quantita-tive method for imaging the elasticity of biological tissues // Ultrason Imaging. ― 1991. ― Vol. 13. ― P. 111-134.
1. Zykin B.I., Postnova N.A., Medvedev M.E. Elastografiya: anatomiya metoda [Elastography: anatomy method]. Promeneva diagnostika, promeneva terapiya, 2012, 2-3.
2. Zubarev A.R., Fedorova V.N., Demidova A.K. et al. Ultrasound elastography as a new stage in the differential diagnosis of thyroid nodules: a literature review and preliminary clinical data. Meditsinskaya vizualizatsiya, 2010, no. 1, pp. 11-16 (in Russ.).
3. Tukhbatullin M.G., Alieva I.M. Modern ultrasound technology in clinical practice. Prakticheskaya meditsina, 2012, no. 5 (in Russ.).
4. Tukhbatullin M.G., Galeeva Z.M., Bastrakova A.E. Ul’trazvukovaya elastografiya [Ultrasound elastography]. Ekhografiya v diagnostike zabolevaniy vnutrennikh i poverkhnostno raspolozhennykh organov. Kazan: Meditsinskaya kniga, 2016. Pp. 119-130.
5. Bamber J. et al. EFSUMB* Guidiness and recommendations on the clinical use of ultrasoundelastography. Part 1: Basic principles and technology. Ultrashall in Med, 2013, 34, pp. 164-168.
6. Bamber J. et al. EFSUMB* Guidelines and Recommendations on the Clinical Use of Ultrasound Elastography. Part 2: Basic Principles and Technology. Ultrashall in Med, 2013, 34, pp. 169-184.
7. Osipov L.V. Ul’trazvukovye diagnosticheskie pribory: Rezhimy, metody i tekhnologii [Ultrasonic diagnostic equipment: Modes, methods and technologies]. Moscow: Izomed, 2011. 312 p.
8. Ophir J. et al. Elastography: Imaging the Elastic Properties of Soft Tissues with Ultrasound. J. Med. Ultrasonics, 2002, pp. 155-171.
9. Ophir J., Cespedes I., Ponnekanti H., Yazdi Y., Li X. Elastography: a quantita-tive method for imaging the elasticity of biological tissues. Ultrason Imaging, 1991, vol. 13, pp. 111-134.
УЗИ почки трансплантата (лекция на Диагностере)
Статья находится в разработке.
УЗИ трансплантата почки проводили методом УЭСВ, а также использовали стандартные режимы сканирования:
1) серошкальное сканирование: оценка состояния и топометрия трансплантата (размеры трансплантата, толщина коркового слоя, величина чашечно-лоханочной системы и т.д.), оценка состояния околопочечного пространства;
2) цветовое доплеровское картирование скорости и энергии кровотока;
3) спектральное доплеровское исследование.
При пересадке почки методом УЗИ оценивают возможные осложнения в пересаженной почке.
Обычно первое УЗИ проводят через 24-48 часов после трансплантации.
Часто выполняемый с помощью радионуклидной визуализации (йод-131 ортойодогиппурат, Tc-99m MAG3).
Важно знание хирургической техники, отчета об операции часто улучшает интерпретацию исследования.
Трансплантированная почка обычно располагается забрюшинно в подвздошной ямке, чаще справа.
При трансплантации трупной почки основную почечную артерию забирают с прикрепленной частью донорской аорты.
Затем анастомозируется из стороны в сторону к наружной подвздошной артерии реципиента.
Трансплантация живых доноров включает прямой сквозной трансплантат почечной артерии к наружной подвздошной артерии или сквозной анастомоз с внутренней подвздошной артерией.
Основная почечная вена почти всегда пересаживается реципиентной наружной подвздошной вене сквозным образом.
Мочевой дренаж обычно восстанавливается путем имплантации донорского мочеточника в купол мочевого пузыря (уретеронеоцистостомия).
Хотя он также может быть имплантирован в нативный мочеточник или почечную лоханку.
Структурная оценка
Общая структурная оценка включает: эхогенность, кортикомедуллярная дифференциация должна быть сохранена, размер почек.
Увеличение может указывать на отек, который неспецифичен, но изменение размера между исследованиями является признаком основного заболевания.
Хирургические осложнения: Обструктивная уропатия, гидронефроз,проксимальный гидроуретер
Коллекции жидкостей
Характер сбора жидкости после трансплантации не может быть надежно определен только по внешнему виду ультразвука, так как большинство из них безэховые с различными внутренними акустическими характеристиками.
Лучше всего это делать на основе шкалы времени, поскольку разные сборы жидкости имеют тенденцию представлять в разное время в послеоперационном периоде:
сразу после операции: гематома
1-2 недели после операции: уринома
3-4 недели после операции: перинефритический абсцесс
2-й месяц и далее: лимфоцеле
Оценка сосудов
тромбоз почечной вены или стеноз
изменение диастолического кровотока в почечной артерии
тромбоз почечной артерии или стеноз
высокие скорости потока в месте стеноза
пиковая систолическая скорость ≥2 м / с
разница скоростей между пре- и постстенотическими сегментами 2:1
постстенотическое расширение спектра
Форма волны Парвуса и Тардуса дистальнее стеноза
обычно развивается через месяцы или недели
псевдоаневризма: обычно после биопсии или другой почечной пункции
внутрипочечный артериовенозный свищ
Медицинские осложнения
Существует ряд медицинских причин дисфункции или отказа почечного трансплантата:
острый тубулярный некроз
отказ
сверхострый: сразу после операции
острый: 1-3 недели после пересадки
хронический:> 3 месяца после пересадки
лекарственная нефротоксичность
рецидивирующее заболевание, например рецидивирующая IgA нефропатия
пиелонефрит
встречается у 80% получателей в первый год
Ультразвуковое исследование при медицинских осложнениях трансплантата неспецифично и может включать:
повышенный резистивный индекс (RI)> 0,8
очаговый или диффузный паренхиматозный отек
В конечном счете, пациенты с подозреваемыми медицинскими причинами дисфункции трансплантата подвергаются биопсии для окончательного диагноза.
Главная » Методы диагностики заболеваний » Ультразвуковая диагностика »
Дергачев А.И., Котляров П.М., Абдоминальная эхография .Справочник, 2003
« предыдущая
к содержанию
следущая »
Трансплантация почки Ультразвуковое исследование трансплантированной почки
Трансплантированная почка обычно располагается вдоль поверхности подвздошнопоясничной мышцы, ее эхогенность совпадает с эхо- генностью обычной почки. Эхографические признаки отторжения трансплантата включают: патологическое увеличение размеров почки, гидронефроз, паранефральное скопление жидкости, гематомы, абсцессы и экстраренальные накопления мочи. При допплерографии почечного кровотока обычно определяется увеличение сосудистого сопротивления или полное прекращение кровотока в главной почечной артерии, междолевых артериях, дугообразных артериях (для исключения отторжения), почечной вене (для исключения перегиба почечной вены).
Способ диагностики острого отторжения пересаженной почки
Способ диагностики острого отторжения пересаженной почки путем определения в послеоперационном периоде индекса периферического сопротивления сосудистого русла трансплантата при допплеросонографии и, дополнительно, эхосканировании, определяют объем трансплантата, толщину его паренхимы, индекс примамид мозгового вещества,а индекс периферического сопротивления сосудистого русла пересаженной почки определяют по отношению разницы максимального пикового систолического допплеровского частотного сдвига в конце диастолы к максимальному пиковому систолическому допплеровскому частотному сдвигу и при индексе периферического сопротивления сосудистого русла пересаженной почки более 0,79, или объеме почки более 300 см3, или толщине паренхимы более 2 см и индексе пирамид мозгового вещества более 2,1, или толщине паренхимы меньше или равной 2,0 см и индексе пирамид мозгового вещества более 2,8 диагностируют острое отторжение пересаженной почки (Арутюнян С. М. и соавт., 1990).
УЗИ при почечной недостаточности (лекция на Диагностере)
Почечная недостаточность — это неспособность почек удалять отходы из крови. Начальные признаки — боли в пояснице или животе, тошнота, рвота, анемия, головные боли. Позже нарушается мочеотделение — полиурия, олигурия или анурия. В моче могут появиться лейкоциты, бактерии, гной, кровь, белок. В крови повышены калий, мочевина и креатинин.
При острой почечной недостаточности резко снижается функция почек. Главные причины ОПН: острое нарушение гемодинамики; резкое снижение почечного кровотока; остро возникшая двусторонняя обструкция мочевыводящих путей; токсическое воздействие, реже - острый воспалительный процесс в почках. Прогноз при ОПН зависит от того, как быстро был восстановлен нормальный почечный кровоток. При ОПН почка может быть нормального размера или увеличена, эхогенность паренхимы часто повышена.
Хроническая почечная недостаточность нарастает медленно и необратимо. Частые причины ХПН: инфекции, диабет, гипертоническая болезнь, сосудистые, врожденные и наследственные болезни, токсическая нефропатия, обструктивная нефропатия. На ранних стадия ХПН протекает без видимых симптомов. Позже появляется недомогание, усталость, пониженный аппетит, тошнота, артериальная гипертензия. В анализах крови повышен калий, мочевина и креатинин. Из-за низкой продукции эритропоэтина больными почками нарастает анемия. При ХПН изначально обе почки увеличены, но позже значительно уменьшаются.
При подозрении на почечную недостаточность с помощью УЗИ нужно оценить размеры и эхоструктуру почек. Подробнее смотри Нормальная почка. Следует искать признаки непроходимости, опухоли, камни, анатомические нарушения, инфекции. Чтобы проверить проходимость почечных сосудов используйте доплер. Подозрительные доплер-сигналы: высокий систолический пик скорости, низкий уровень или отсутствие диастолического потока, турбулентность и tardus-parvus эффект. Подробнее смотри Доплер сосудов почки.
Важно. Высокий риск развития почечной недостаточности при гидронефрозе, остром гломерулонефрите, папиллярном некрозе, стенозе почечной артерии, остром тубулярном некрозе, почечной и других инфекциях.
Острый и хронический гломерулонефрит на УЗИ
Острый гломерулонефрит — это двустороннее воспаление почечных клубочков. Воспаление и склероз клубочков нарушает функции почек и в конечном итоге может привести к почечной недостаточности. Гломерулонефрит возникает как позднее осложнение инфекции глотки. Чаще встречается у детей, чем у взрослых.
Могут быть жалобы на недавнюю температуру, боль в горле и суставах, отеки лица и лодыжек, мутная моча, олигурия, повышенное давление. В крови анемия, высокие мочевина и креатинин. В моче эритроциты, белок, снижение скорости клубочковой фильтрации.
Острый гломерулонефрит часто переходит в хронический гломерулонефрит. Медленно идет необратимый последовательный фиброз клубочков, снижется скорость клубочковой фильтрации, в крови накапливается мочевина и креатинин, наступает интоксикация. Спустя 20-30 лет хронический гломерулонефрит приводит к хронической почечной недостаточности и в конечном итоге к смерти.
Острый гломерулонефрит не имеет никаких специальных узи-признаков. Можно заметить небольшое двустороннее увеличение почек, почечные пирамиды хорошо визуализируются, эхогенность корковой зоны несколько повышена. При хроническом гломерулонефрите на УЗИ небольшие, ровные, гиперэхогенные почки.
Некроз почечных сосочков на УЗИ
Сосочки — это конусовидные верхушки пирамид почек. Они обращены к синусу и состоят из собирательных трубочек нефронов. Строение почки смотри здесь. Частые причины некроза почечных сосочков
- Нарушение кровоснабжения почечного сосочка вследствие отёка, воспаления и склеротических изменений в почке;
- Нарушение оттока мочи — моча скапливается в лоханке, растягивает её и сдавливает почечную ткань;
- Гнойно-воспалительные процессы в мозговом веществе почки;
- Воздействие токсинов на почечную паренхиму;
- Нарушение текучести крови.
Некроз сосочков обычно двусторонний. Существует две формы заболевания: папиллярная и медуллярная форма некроза сосочков пирамид. Пациенты с сахарным диабетом, серповидноклеточной анемией более подвержены некрозу сосочков почечных пирамид. Женщины страдают заболеванием в 5 раз чаще, чем мужчины.
Жалобы при некрозе сосочков неспецифичны: температура, боли в пояснице или животе, высокое давление (от ишемии почек), нарушение мочеиспускания. В ОАМ протеинурия, пиурия, бактериурия, гематурия, низкий удельный вес мочи. У 10% больных с мочой выделяются некротические массы — серые, мягкой консистенции, слоистого строения, нередко содержат комочки солей извести. Это указывает на значительный деструктивный процесс в мозговом веществе почки. Нередко отвалившиеся сосочки закупоривают чашечки или мочеточники, что приводит к непроходимости и развитию гидронефроза.
При своевременном лечении прогноз благоприятный. После отхождения некротических масс раневая поверхность эпителизируется, функции почек восстанавливаются. В почечных пирамидах на месте исчезнувших сосочков формируются округлые или треугольные кисты. Если некротические массы отходят не полностью, то идет их кальцификация, и вокруг почечного синуса в области сосочков появляется гиперэхогенные включения. В некоторых случаях папиллярный некроз может привести к смерти вследствие острой почечной недостаточности.
Осложнения трансплантации почки
Осложнения трансплантации почки — это расстройства, этиологически связанные с пересадкой нефротрансплантата. В раннем периоде проявляются гипертермией, олигоанурией, артериальной гипертензией, болью в области трансплантата. Поздние осложнения длительно протекают бессимптомно, в последующем превалируют признаки почечной недостаточности и нарушений в работе других органов. Патология диагностируется с помощью исследований крови и мочи, УЗИ, УЗДГ, МРТ почек, пункционной биопсии. Для лечения применяют иммуносупрессоры, антибиотики, антиагреганты, антикоагулянты, проводят хирургическую ревизию раны, оперативные вмешательства на мочеточниках, нефротрансплантатэктомию.
МКБ-10
Общие сведения
Выживаемость пациентов, перенесших трансплантацию почки, на протяжении первого послеоперационного года достигает 94-98%, однако развитие осложнений существенно влияет на функциональность пересаженного органа и качество жизни реципиентов. В раннем и позднем посттрансплантационном периоде могут возникать как урологические заболевания, так и повреждения других органов, способные спровоцировать гибель пациента.
По результатам наблюдений, 33,2% смертей после трансплантации почек вызваны кардиальными причинами, из них 11,3% — острым инфарктом миокарда, 17,8% — инфекционными заболеваниями, 11,9% — опухолевым процессом, 6,9% — нарушением мозгового кровообращения, 30,3% — другими факторами. В течение первых 12 месяцев после вмешательства отторгается от 6 до 12% нефротрансплантатов, что требует возобновления заместительной почечной терапии и проведения повторной пересадки. До 36% реципиентов переносят инфекционные заболевания мочевыделительных органов и оппортунистические инфекции.
Причины
Несмотря на накопленный опыт и внедрение эффективных стандартов проведения операции, техническая сложность ее выполнения и использование аллотрансплантата повышают риск осложненного течения послеоперационного периода. Специалисты в сфере современной урологии, нефрологии и трансплантологии выделяют следующие группы причин, провоцирующих возникновение осложнений после нефротрансплантации:
- Возраст и состояние здоровья реципиента. Кроме абсолютных противопоказаний, при которых проведение трансплантации в большинстве случаев завершается неблагоприятным исходом, существуют относительные, существенно повышающие вероятность осложнений. В группу риска входят пациенты старше 65-70 лет, а также страдающие рядом сопутствующих заболеваний — активным гепатитом, циррозом печени, СКВ, васкулитом, гемолитико-уремическим синдромом, системными заболеваниями в активной фазе, сахарным диабетом, острыми инфекционными процессами, ХСН IIБ ст.
- Особенности трансплантируемой почки. Осложнения чаще возникают при AB0 и HLA-несовместимости тканей, пресенсибилизации реципиента. Приживление органа ухудшается при длительной (более 24 ч) холодовой ишемии почки, по результатам некоторых наблюдений этот фактор оказывается более значимым, чем гистосовместимость. Функциональность трупной почки зависит от причин смерти донора, электролитных нарушений, степени и длительности гипотонии, других особенностей агонального периода. На течение посттрансплантационного периода также влияет техника забора органа.
- Медицинские факторы. Исход трансплантации зависит от полноты предоперационного обследования реципиента и прижизненного донора, правильности оценки выявленных противопоказаний, проведения предтрансплантационной подготовки при обнаружении гистологической несовместимости тканей. На качество приживления почки оказывают влияние техническая точность пересадки, соблюдение требований асептики и антисептики, профилактика ишемического повреждения органа, качество наблюдения за пациентом, выбор оптимального режима иммуносупрессии (ИСТ).
- Иммунодефицит. Ряд постнефротрансплантационных осложнений связан с медикаментозным угнетением иммунитета реципиента. Назначение иммуносупрессивных препаратов — важное условие профилактики отторжения трансплантата. Однако на фоне иммунодефицита повышается вероятность возникновения ранних и отдаленных инфекционных заболеваний. Кроме того, иммуносупрессия является фактором риска онкогенеза. У части пациентов нарушения гуморального и клеточного иммунитета стимулируют возникновение аллергических и аутоиммунных реакций.
Патогенез
Механизм развития осложнений трансплантации почек зависит от этиологических факторов, спровоцировавших патологическое состояние. Зачастую в основе расстройства лежит иммунное или инфекционное воспаление. В первом случае наблюдается отторжение нефротрансплантата вследствие Т-клеточного ответа или гуморальной реакции типа антиген-антитело. При попадании в рану инфекционных агентов воспалительная деструкция тканей происходит под действием бактериальных эндо- и экзотоксинов.
Ситуация часто усугубляется ишемическими нарушениями, возникшими на фоне расстройств микроциркуляции, артериальной окклюзии, венозного тромбоза. Отдельную роль в патогенезе постнефротрансплантационных осложнений играет иммуносупрессия, снижающая или извращающая нормальную защитную реакцию организма на действие повреждающих факторов. В отдаленные сроки преобладают процессы склерозирования почечной паренхимы.
Классификация
Систематизация вариантов осложнений после трансплантации почки создана с учетом времени возникновения, причин, механизма развития и клинической симптоматики расстройства. Такой подход соответствует принципам своевременной диагностики и адекватной этиопатогенетической терапии постнефротрансплантационных нарушений. Осложнения при нефротрансплантации могут быть ранними, возникшими остро в ходе операции или в первые месяцы после пересадки, и поздними, с постепенным нарастанием симптомов. Различают следующие формы патологии:
Симптомы
Ранние острые нарушения обычно отличаются бурной клинической картиной. Вскоре после трансплантации у пациента возникает ярко выраженный интоксикационный синдром с высокой температурой, ознобом, суставными и мышечными болями, тошнотой, рвотой, кожным зудом, резкой слабостью. При внутреннем кровотечении наблюдается головокружение, бледность кожных покровов, возможна потеря сознания.
У большинства реципиентов о появлении осложнений свидетельствует значительное уменьшение мочеотделения вплоть до его полного прекращения в сочетании с высоким артериальным давлением. В области трансплантированной почки может пальпироваться болезненное уплотнение. Распространенным признаком инфекционного воспаления является наличие обильного раневого отделяемого. При вовлечении в воспалительный процесс брюшины и развитии перитонита возникает резкая боль в брюшной полости, живот становится напряженным, доскообразным, отмечается учащение пульса, резкое падение АД, часто отсутствует стул.
Проявлением поздних осложнений обычно становится прогрессирующее снижение фильтрационной способности почек. Клиническая симптоматика длительное время отсутствует. В последующем пациент начинает предъявлять жалобы на быструю утомляемость, снижение работоспособности. Уменьшается суточный диурез. Утром на лице преимущественно в области век появляются отеки, которые по мере развития почечной недостаточности сохраняются в течение дня и распространяются на другие части тела. Часто повышается артериальное давление.
Возникают и нарастают симптомы уремии — заторможенность, апатичность, бледность и сероватый оттенок кожи, интенсивный кожный зуд, жажда, нарушения сна, низкая температура тела, отсутствие аппетита, тошнота, рвота, диарея. При сочетанном поражении других органов и систем отмечается соответствующая симптоматика. Из-за угнетения иммунитета реципиенты часто болеют ОРВИ, у них развиваются тяжелые длительные бронхиты, пневмонии. Возможны различные формы пиодермий.
Нарушение всасывания кальция приводит к остеопорозу, гиперплазии паращитовидных желез. Из-за недостаточного синтеза эритропоэтинов часто формируется анемия. У пациентов, длительно принимающих иммуносупрессоры, могут диагностироваться онкологические заболевания. При этом преобладают новообразования предположительно вирусного происхождения — плоскоклеточная (сквамозная) и базальноклеточная карциномы, лимфопролиферативная болезнь (преимущественно В-клеточная неходжкинская лимфома), аногенитальные неоплазии, в том числе рак шейки матки, саркома Капоши.
Диагностика
Диагностический поиск при подозрении на осложнение трансплантации почки направлен на уточнение характера расстройства, оценку жизнеспособности и функциональной состоятельности почечного трансплантата, выявление критических органных и метаболических нарушений, угрожающих жизни реципиента. Наиболее информативными методами обследования являются:
- Общий анализ крови. Вероятное развитие острых осложнений подтверждается значительным повышением уровня лейкоцитов, падением содержания тромбоцитов, ускорением СОЭ. В отдаленном периоде часто наблюдается снижение концентрации эритроцитов, гемоглобина, на фоне иммуносупрессии возможно возникновение лейкопении.
- УЗИ почечного трансплантата. Эхография почки является безопасным скрининговым методом, позволяющим выявить изменение размеров пересаженного органа, деструкцию паренхимы, наличие патологических изменений в паранефральном пространстве. Исследование дополняют УЗДГ почечных сосудов для комплексной оценки состояния кровотока.
- Биохимический анализ крови. О нарушении фильтрационной функции клубочков свидетельствует нарастание уровней креатинина, остаточного азота, мочевины, калия. Поражение гломерулярного аппарата подтверждается данными пробы Реберга, нефрологического комплекса. Характерен высокий уровень ЛДГ, С-реактивного белка.
В зависимости от типа осложнения в общем анализе мочи может обнаруживаться повышение или снижение удельной плотности, наличие эритроцитов, лейкоцитов, цилиндров, бактерий. Для исключения отторжения нефротрансплантата рекомендовано проведение расширенного комплексного иммунологического исследования, пункционной биопсии с последующим гистологическим анализом полученного материала. Исследования с введением рентгеновского контраста (экскреторная урография, КТ, МСКТ почек) производятся с осторожностью из-за возможного усугубления клинической ситуации за счет развития контраст-индуцированной нефропатии.
В качестве дополнительных методов может назначаться МРТ для выявления возможных структурных нарушений в тканях трансплантата и нефросцинтиграфия, позволяющая уточнить функциональность пересаженной почки. Для мониторинга состояния пациента в раннем посттрансплантационном периоде оценивают волемический статус (гемогидробаланс, уровень ЦВД), электролитное состояние (уровни калия, натрия, кислотно-щелочного равновесия), коагулограмму, обеспечивают контроль диуреза, суточное мониторирование АД, регулярно выполняют ЭКГ.
Дифференциальную диагностику обычно проводят между различными видами осложнений. При поздних урологических последствиях трансплантации исключают развитие возвратного гломерулонефрита, рецидивирующей волчаночной нефропатии, пиелонефрита, гидронефроза. По назначению врача-нефролога или уролога пациента консультирует трансплантолог, анестезиолог-реаниматолог, абдоминальный хирург, инфекционист, ревматолог, иммунолог, онколог.
Лечение осложнений трансплантации почки
Основными врачебными задачами являются скорейшая коррекция возникших расстройств и поддержание основных жизненных функций реципиента. При отсутствии острых хирургических осложнений лечение обычно представлено комплексной медикаментозной терапией. С учетом выявленных нарушений пациентам, перенесшим трансплантацию почки, назначаются:
- Коррекция иммуносупрессорной терапии. Применение пульс-методов, изменение дозировки ингибиторов кальциневрина, антиметаболитов, глюкокортикоидов, ингибиторов интерлейкинов, биологических антилимфоцитарных агентов, замена одних препаратов другими зачастую позволяет купировать эпизод отторжения. Коррекция назначений также может потребоваться при связи осложнений с принимаемыми иммунодепрессантами.
- Лечение ишемии пересаженной почки. При возникновении сосудистых и тромботических нарушений используются дезагреганты, антикоагулянты, антигипоксанты, цитопротекторы, синтетические простагландины. С их помощью удается эффективно улучшить почечный кровоток, микроциркуляцию, перфузию тканей. Для увеличения кислородной емкости крови может назначаться гипербарическая оксигенация.
- Антибактериальные препараты. Показанием к проведению активной антибиотикотерапии служит наличие инфекционно-воспалительных осложнений. Предпочтительны противобактериальные средства с минимальным риском нефротоксического эффекта — хинолоны, комбинации диаминопиримидинов с синтетическими сульфаниламидами. При лечении оппортунистических инфекций учитывается чувствительность микроорганизмов.
Инфузионная терапия под контролем диуреза проводится при возникновении острых, угрожающих жизни состояний, метаболических расстройств. С учетом клинической картины реципиенту почки могут вливаться коллоидные и кристаллоидные растворы, отдельные электролиты, цельная кровь и ее компоненты. При нарастании признаков почечной недостаточности возобновляется заместительная терапия (гемодиализ, перитонеальный диализ, гемофильтрация, гемодиафильтрация). Лечение заболеваний, спровоцированных трансплантацией почки, осуществляется согласно протоколам для соответствующей патологии.
Оперативные методы лечения требуются при выявлении хирургических осложнений, деструкции мочеточника или почечного трансплантата. Объем вмешательств зависит от особенностей осложнения. Может выполняться ревизия и дренирование раны, ушивание поврежденных сосудов, лапароскопическая марсупиализация лимфоцеле. При повреждении мочеточника возможно проведение эндоскопического рассечения уретероцеле, уретеропластики, уретерокутанеостомии, наложение неоуретероцистоанастомоза. Необратимая деструкция трансплантированной почки служит показанием для нефротрансплантатэктомии с последующим назначением ЗПТ и возможной повторной пересадкой органа.
Прогноз и профилактика
Возникновение осложнений ощутимо ухудшает показатели выживаемости пациентов, однако своевременное выявление и грамотная коррекция расстройств делают прогноз более благоприятным. Профилактика возможных осложнений начинается с комплексного обследования больного перед операцией для определения всех абсолютных и относительных противопоказаний, оценки гистосовместимости с донором. При предстоящей AB0-несовместимой трансплантации требуется проведение предоперационной десенсибилизации. По показаниям на предтрансплантационном этапе может назначаться превентивная антибиотикотерапия.
С учетом вероятной компрометации заживления раны на фоне иммуносупрессивной терапии важна прецизионная хирургическая техника, повышенное внимание к деталям, строгое соблюдение правил асептики, тщательный гемостаз. После трансплантации ключевую роль играет правильный выбор индукционной и поддерживающей ИСТ, послеоперационный мониторинг состояния реципиента.
2. Инфекции после трансплантации почки (Обзор литературы)/ Кабулбаев К.А.// Нефрология и диализ. - 2009 - Т.11, №4.
3. Инфекционные осложнения раннего послеоперационного периода у пациентов после трансплантации почки/ Барканова О.Н., Перлин Д.В., Шепелева Ю.Б., Реброва Е.В., Ильченко О.В. // Вестник Волгоградского государственного медицинского университета. - 2016.
4. Этиология возбудителей инфекционных осложнений после трансплантации печени и почек и их резистентность к антибиотикам/ Габриэлян Н.И.// Российский медицинский журнал. - 2016.
Отторжение почечного трансплантата ( Отторжение пересаженной почки )
Отторжение почечного трансплантата — это иммунная реакция организма реципиента на чужеродные антигены донорской почки. При остром течении проявляется гриппоподобным синдромом, олигоанурией, уплотнением и болезненностью пересаженного органа, артериальной гипертензией. Хроническое отторжение до появления ХПН обычно определяется только лабораторно. Патология диагностируется при помощи лабораторных анализов, УЗИ, УЗДГ, пункционной биопсии трансплантата. В ходе лечения применяют пульс-курсы кортикостероидов, противотимоцитарные глобулины, плазмаферез, плазмообмен. В тяжелых случаях требуется нефротрансплантатэктомия, ЗПТ, повторная трансплантация почки.
Пересадка почки — самая распространенная трансплантологическая операция, в проведении которой нуждается не менее 40 пациентов с ХПН на 1 млн. населения, однако дефицит донорских органов не позволяет удовлетворить эту потребность. Ситуация усугубляется риском потери пересаженного органа из-за различия антигенных структур реципиента и донора.
В основе патологического процесса лежит иммунный ответ организма на антигены донорского органа. Поскольку абсолютная антигенная совместимость тканей существует только у однояйцевых близнецов, во всех остальных случаях аллотрансплантации наблюдается повреждение элементов пересаженной почки факторами иммунитета. В современной урологии, нефрологии, трансплантологии определены следующие причины отторжения нефротрансплантата:
- Несовместимость тканей донора и реципиента. Еще до проведения трансплантации в организме реципиента могут присутствовать антитела к тканям донора. Индикаторами риска отторжения являются AB0-несовместимость, тканевая несовместимость, определяемая методом HLA-типирования, пресенсибилизация реципиента: титр предсуществующих антител (PRA) выше 30, наличие донор-специфических антител (DSA), повторная трансплантация.
- Повышенная иммуногенность трансплантата. Вероятность отторжения увеличивается при наличии изменений из-за неправильной консервации или длительной транспортировки донорской почки, полученной от трупа. Фактором риска считается период холодовой ишемии дольше 24 часов. Повышение иммуногенности связано с деструкцией тканей и высвобождением антигенов. Зачастую в таких случаях отмечается отсроченная реакция пересаженного органа.
- Некорректная иммуносупрессорная терапия. Важным условием приживления трансплантированной почки является превентивная иммуносупрессия при выявлении несовместимости тканей и прием иммунодепрессивных препаратов после операции. Кризы отторжения чаще возникают при ведении пациента без назначения индукционного агента, использовании циклоспорин-азатиопринового протокола (вместо такролимус-мофетилового) или протокола без стероидов.
Факторами риска считаются пожилой возраст донора почки, молодой возраст реципиента и его принадлежность к этническим афроамериканцам, отсроченное функционирование почечного трансплантата. Возникновение первого эпизода отторжения повышает вероятность повторных кризисов. Предпосылками к гиперергическому иммунному эффекту являются наличие аутоиммунной и атопической патологии, склонность к аллергическим реакциям.
Механизм отторжения почечного трансплантата основан на развитии реакций гуморального и клеточного иммунитета. При сверхострых и ускоренных кризах чужеродные антигенные структуры подвергаются атаке уже существующих антител, которые путем комплимент-зависимого лизиса повреждают капиллярный эндотелий нефронов пересаженной почки. Возможно быстрое развитие иммунокомплексного воспаления с осаждением в тканях почечного трансплантата комплексов антиген-антитело и активацией системы комплимента. Результатом ответа становятся гемокоагуляционные нарушения с тромбированием сосудов почечного аллотрансплантата, прекращением кровотока и отмиранием тканей вследствие ишемии.
Ключевую роль в развитии острой трансплантационной иммунной реакции играет Т-клеточный ответ. После распознавания донорских HLA-антигенов лимфоцитами реципиента возникает прямой быстрый эффект в виде созревания специфических Т-киллеров, разрушающих чужеродные клетки, и более поздняя дифференциация B-лимфоцитов в плазматические клетки, секретирующие иммуноглобулины. Вначале происходит очаговая клеточная инфильтрация почечного трансплантата лимфоцитами и плазмоцитами, в последующем пересаженный орган тотально инфильтрируется зрелыми лимфоцитарными клетками, на завершающем этапе отторжения в воспалительном процессе участвуют сегментоядерные клетки и макрофаги.
Патогенез хронического отторжения представлен гуморальной иммунной реакцией, при которой циркулирующие антитела реципиента связываются с HLA-антигенами донорских тканей. В воспалительный процесс вовлекаются преимущественно артерии, артериолы, капилляры клубочков и канальцев трансплантата, эндотелий которых подвергается альтерации с последующей постепенной облитерацией просвета. Возникающая ишемия приводит к отмиранию функциональной ткани почки, ее замещению соединительнотканными фиброзными волокнами, прогрессированию почечной недостаточности.
Критериями для систематизации вариантов отторжения почки-трансплантата служат сроки возникновения и патогенетические особенности иммунного ответа. По скорости развития отторжение бывает сверхострым (происходящим на операционном столе или в первые часы после пересадки), ускоренным (спустя 12-72 часа после начала кровотока в пересаженном органе), острым (от 3 дней до 3 месяцев после операции), хроническим (развившимся по окончании острого периода). В международной морфологической классификации Banff-2007 нормальное приживление трансплантата определяется как реакция I типа, выделяются следующие сомнительные и патологические состояния:
- ТипII — антитело-опосредованные изменения. При отсутствии признаков активного отторжения сопровождается отложением Т-хелперов, наличием в сыворотке DSA. Иммунный ответ может проявляться острым канальцевым некрозом, поражением гломерулярных и перитубулярных капилляров, артериитом и фибриноидным некрозом.
- ТипIII— пограничные изменения. Служат маркером возможной Т-клеточной реакции отторжения. В биоптате почки отсутствуют признаки сосудистого поражения. У 7% пациентов выявляется тубулит без воспалительных изменений в интерстиции либо интерстициальное воспаление без значительного повреждения канальцев.
- ТипIV— Т-клеточно-опосредованное отторжение. Умеренное (1А) или тяжелое (1Б) тубулоинтерстициальное воспаление определяется у 51-52% реципиентов с отторжением трансплантата. В 10-11% случаев обнаруживается слабый, умеренный (2А) или тяжелый (2Б) артериит, в 1-2% — трансмуральный артериит, фибриноидный некроз.
II-IV типы реакций соответствуют сверхострым и острым расстройствам. Хроническое отторжение с атрофией канальцев и интерстициальным фиброзом отнесено к типу V. Тип VI включает другие изменения, возникающие при кризах отторжения почечного аллотрансплантата. Использование классификации Banff позволяет подобрать эффективную патогенетическую терапию иммунной реакции.
Клиника зависит от времени возникновения криза. При ускоренных и острых формах отторжения общее состояние ухудшается резко: нарастает слабость, общее недомогание, нарушается сон, возникают мышечные и суставные боли, при тяжелом течении обнаруживается кашель, тошнота, рвота, кожный зуд. Температура повышается до 38° С и более, отмечаются ознобы. Существенно, вплоть до полного прекращения мочевыделения, сокращается диурез.
В области почечного трансплантата определяется болезненное припухание или уплотнение. Повышается артериальное давление. Реакция позднего отторжения длительное время протекает бессимптомно и устанавливается преимущественно лабораторно. При значительном склерозировании паренхимы трансплантата могут наблюдаться быстрая утомляемость, снижение работоспособности, появление утренних отеков на лице, артериальная гипертензия, уменьшение объема суточной мочи.
Осложнения
Острая воспалительная деструкция или постепенное склерозирование паренхимы завершаются развитием почечной недостаточности и нарастанием признаков уремии. Интоксикация организма продуктами разрушения тканей трансплантата в сочетании с нарушением ренин-ангиотензиновой регуляции давления и коагулопатическими расстройствами может спровоцировать возникновение интоксикационного шока, ДВС-синдрома, тромбозов крупных сосудов (тромбоэмболии легочной артерии и др.), сердечной недостаточности с отеком легких, асцитом.
На фоне проводимой иммуносупрессорной терапии возможно усугубление иммунной реакции инфекционно-воспалительным процессом. Основными последствиями позднего синдрома отторжения являются стойкая артериальная гипертензия, анемия, остеопороз.
Диагностический поиск у пациентов с подозрением на отторжение почечного трансплантата направлен на верификацию иммуновоспалительного процесса. Проще диагностируются острые варианты трансплантологического кризиса, возникающие сразу либо в первые месяцы после операции. При хроническом синдроме отторжения в связи с отсутствием выраженной симптоматики требуется высокая диагностическая настороженность при оценке динамики лабораторных показателей. Рекомендованными методами обследования являются:
- Биохимический анализ крови. Признаками синдрома отторжения служат нарастание уровня креатинина, высокие концентрации мочевины, калия. Обычно увеличивается содержание лактатдегидрогеназы, С-реактивного белка. В пробе Реберга выявляется снижение скорости клубочковой фильтрации. Результаты исследования крови дополняют данными нефрологического комплекса.
- УЗИ трансплантата. При остром процессе пересаженная почка увеличена в размерах, чашечно-лоханочная система и мочеточник расширены. В паранефрии определяется выпот. Паренхима гипоэхогенна, характерен симптом «выделяющихся пирамид». Хроническое отторжение проявляется уменьшением размера почечного аллотрансплантата, гиперэхогенностью вследствие склероза.
- УЗДГ почечных сосудов. У пациента с острой реакцией снижается линейная скорость кровотока или обнаруживается его полное отсутствие. Индекс сопротивления превышает 0,7, выявляются аваскулярные зоны размерами более 0,3 см. Артериальный диастолический кровоток существенно уменьшен или отсутствует. При тяжелом отторжении возможен реверсивный кровоток в диастоле.
- Расширенное комплексное иммунологическое исследование. Позволяет определить отдельные субпопуляции лимфоцитов, их активность, содержание циркулирующих иммунных комплексов, иммуноглобулинов. Дополняется исследованием уровня комплемента и общим анализом крови, в котором отмечается лейкоцитоз (реже — лейкопения), эозинофилия, тромбоцитопения, ускорение СОЭ.
- Пункционная биопсия почечного трансплантата. Наиболее достоверный метод диагностики кризиса отторжения - биопсия почки. В полученном материале при остром воспалении обнаруживается инфильтрация лимфоцитами, плазматическими клетками, признаки поражения интимы сосудов. При позднем процессе выявляется тубулоинтерстициальный нефрит, фибропролиферативный эндартериит, гломерулосклероз.
Дополнительное проведение нефросцинтиграфии почечного трансплантата позволяет оценить функциональный резерв органа. Начавшийся эпизод ускоренного или острого отторжения дифференцируют с сохраняющейся отстроченной функцией нефротрансплантата, тромботической микроангиопатией, мочевым затеком, острым тубулонекрозом, другими хирургическими, сосудистыми, урологическими причинами дисфункции пересаженной почки. После исключения других видов почечной патологии проводят дифференциацию между острыми гуморальным и клеточным отторжениями.
При хроническом течении исключают возвратный гломерулонефрит, волчаночную нефропатию, пиелонефрит, полиомавирусное поражение почек, нефротоксичное действие ингибиторов кальциневрина. По назначению трансплантолога, врача-нефролога или уролога пациента консультирует анестезиолог-реаниматолог, гематолог, инфекционист, иммунолог, ревматолог.
Лечение отторжения почечного трансплантата
Врачебная тактика определяется клинико-морфологической формой трансплантационного криза. Диагноз сверхострого отторжения является основанием для проведения нефротрансплантатэктомии. При подозрении на ускоренную либо острую реакцию обеспечивается динамический мониторинг жизненных показателей, кислотно-щелочного состояния, водно-электролитного баланса, функциональной состоятельности почек. С учетом патогенеза патологического процесса назначают:
- При ускоренном отторжении. Требуется экстренная многокомпонентная антикризовая терапия. Для подавления иммунной реакции применяются кортикостероиды, антитимоцитарный глобулин, осуществляется плазмаферез. При отсутствии эффекта пораженный почечный трансплантат удаляется.
- При остром клеточном отторжении. Рекомендовано усиление или конверсия базовых иммуносупрессорных препаратов, пульс-терапия кортикостероидами, проведение 1-3 процедур плазмафереза или плазмообмена. При стероидной резистентности вводятся антитимоцитарные глобулины.
- При остром гуморальном отторжении. Назначается до 3-5 процедур плазмообмена или плазмафереза. После укороченной стероидной пульс-терапии и при гормональной резистентности показаны повторные курсы истощающих моноклональных и поликлональных антилимфоцитарных антител.
- При хроническом отторжении. Корректируется дозировка иммунодепрессивных средств, применяется пульс-терапия глюкокортикостероидами коротким курсом. Для снижения повышенного АД используются гипотензивные препараты. При нарастании ХПН возобновляется ЗПТ, возможна повторная трансплантация.
Исход зависит от своевременности и адекватности терапии. Прогноз всегда считается серьезным. С помощью высокодозной пульс-терапии ГКС удается купировать до 75-80% эпизодов отторжения. Эффективное применение противотимоцитарных антител возможно при 5 и более первых трансплантационных кризах. Проведение повторных курсов истощающих антител обеспечивает сохранение почечного трансплантата у 40-50% реципиентов с острым гуморальным отторжением.
Для профилактики необходимо тщательное обследование реципиента на гистосовместимость с донором, выполнение предоперационной десенсибилизации при выявлении AB0-несовместимости, соблюдение правил забора органа, выбор подходящего режима индукционной и поддерживающей иммуносупрессорной терапии с периодическим биопсийным контролем состояния почечного трансплантата.
1. Причины дисфункции почечного трансплантата по данным нефробиопсии/ Дмитриев М.М.// 70-я Международная научно-практическая конференция студентов и молодых ученых «Актуальные проблемы современной медицины и фармации - 2016».
2. Подходы к лечению позднего острого и активного хронического отторжения почечного трансплантата: Диссертация/ Артюхина Л.Ю. - 2016.
4. Диагностика острой реакции отторжения почечного трансплантата на фоне отсутствия начальной функции: Автореферат диссертации/ Арзуманов С.В. - 2005.
Читайте также:
