УЗИ при солидном образовании брюшной полости
Добавил пользователь Валентин П. Обновлено: 12.01.2026
Термин «солидное образование» (рак) встречается в онкологии довольно часто. Так называют опухолевое образование, формирующееся из собственных элементов или иных клеток и имеющее четкие формы и границы. Их яркая особенность -четкая локализация и разделение на две категории: доброкачественные и злокачественные.
Особенности кистозно-солидных образований
- Солидное образование (рак) - это самое опасное состояние, при котором шансы излечиться от недуга минимальны; оно имеет твердую оболочку и заполнено тканью.
- В отличие от него, кистозное новообразование легко поддается лечению, оно мягкое, может расти и уменьшаться.
- Кистозно-солидное образование является промежуточным звеном между ними. Оно может появиться в любом органе, меняться в размерах или оставаться неизменным, а также содержать в себе как ткань, так и жидкую субстанцию.
Классификация солидных образований
Любое солидное образование (онкология) относится к одной из следующих категорий: доброкачественное или злокачественное.
Доброкачественная опухоль
Медленно растет, может самостоятельно уменьшаться без дополнительного вмешательства. Отсутствуют метастазы.
Основная проблема, которую несет данное солидное образование (рак) - это сдавливание собой соседних органов или тканей.
Злокачественная опухоль
Состоит из неустанно делящихся клеток, изменивших свой вид и структуру, может дорасти до немалых размеров.
Явление проявляет себя крайне агрессивным образом, распространяет метастазы даже на самых ранних стадиях недуга.
Основные причины возникновения солидных образований при раке
Солидное образование - это рак, который может появиться практически в любой системе организма. Однако существует ряд причин, которые, по заявлениям специалистов, являются своеобразными провокаторами и стимулируют появление и распространение метастазов.
Солидное образование (рак) может возникнуть вследствие следующих явлений:
- неблагоприятная экологическая обстановка, в особенности, в густонаселенных мегаполисах и городах с крупными заводами и фабриками;
- обилие стрессов и чрезмерная психологическая нагрузка;
- алкоголизм и табакокурение;
- плохая наследственность;
- слабая иммунная система;
- частые переломы и иные травмы.
Порядок диагностики солидных образований
Диагностируется любое солидное образование (рак) посредством нескольких методов. Они могут быть задействованы как в комплексе, так и по отдельности.
- УЗИ внутренних органов - дает возможность определить точную локализацию, размеру, структуру и форму образования. Сообщает о разновидности опухоли, что позволяет подбирать схему лечения.
- Биопсия - осуществляется с помощью тонкой иглы, вводимой в область образования и использующей его частички. Определяет степень злокачественности и уровень агрессии опухоли.
- Общий анализ и биохимия крови - рассказывают о наличии воспалительных процессов, сбоев в работе гормонов и патологий в организме.
- Компьютерная томография - самый востребованный вид диагностики. Солидное образование - это рак, лечение которого подбирается индивидуально, в зависимости от ряда показателей. КТ дает возможность выявить точное расположение опухоли и сообщить предельно точные данные о ней.
Лечение солидного онкологического заболевания
Солидное образование - это рак, крайне серьезный недуг, требующий основательного подхода и высочайшего уровня квалификации. Только действительно опытные специалисты в состоянии осуществить точную диагностику и подобрать наиболее подходящее лечение, которое зависит от локализации, размеров и иных особенностей конкретной опухоли.
Специалисты онкологического центра «София» - это врачи, на протяжении многих лет занимающиеся выявлением и лечением рака на разных стадиях. Если у вас возникли подозрения относительно своего здоровья, записывайтесь на консультацию. Помните, что на начальном этапе преодолеть болезнь проще, быстрее и безболезненней.
Если вы находитесь на нашем сайте, возможно Вы или ваши близкие столкнулись с подозрением на онкологическое заболевание. Просим Вас пройти небольшой опрос и ответить на несколько вопросов, чтобы мы смогли дополнить страницу полезной информацей.
Образования в брюшной полости причины, симптомы, методы лечения и профилактики
Образования в брюшной полости — кисты, то есть полости с жидкостью, и объемные образования с разрастанием тканей, которые развиваются на фоне закупорки лимфотока, патологий развития кишечника, травм и по ряду других причин.

Виды, причины и симптомы образований в брюшной полости
- Киста большого сальника. Может быть доброкачественной и перерождаться в злокачественное новообразование. Появляется из-за закупорки путей лимфотока и дает о себе знать рядом симптомов, которые зависят от размера образования.
- Брыжеечное образование. Аномалия локализуется между листками брыжейки кисты, ограничена тонкими стенками без мышц и эпителия. Сразу после появления, новообразование не даёт о себе знать, а по мере роста и сращивания с органами брюшной полости проявляется острой болью, проблемами с пищеварением, увеличением живота.
- Киста кишечника. Из-за неправильного строения кишечника, нарастания слоя эпителия и его расслоения происходит удвоение органа. Патология относится к врождённым и проявляется у новорожденных кишечной непроходимостью, перитонитом и болью внизу живота.
- Киста яичника. Развивается внутри яичников по невыясненным причинам, может быть как одиночной, так и множественной. Проявляется болью, похожей на приступ острого аппендицита.
- Объёмные образования в брюшной полости. Это патологии, при которых увеличивается объем и вес тканей, появляется лишний вес, постоянный дискомфорт и вздутие. Объемные образования могут быть обусловлены травмами, перенесенными болезнями и ростом опухолей.
Статью проверил
Дата публикации: 24 Марта 2021 года
Дата проверки: 24 Марта 2021 года
Дата обновления: 24 Октября 2022 года
Содержание статьи
Методы диагностики
Специалисты диагностируют новообразования в брюшной полости в ходе осмотра и аппаратных обследований: МРТ, УЗИ.
МРТ (магнитно-резонансная томография)
УЗИ (ультразвуковое исследование)
К какому врачу обратиться
Если вас беспокоят болезненные ощущения или тяжесть в животе, обратитесь к гастроэнтерологу. При необходимости врач привлечет другого профильного специалиста, например, хирурга.
Как лечить образования в брюшной полости
В зависимости от характера, локализации и размера новообразования, врачи подбирают эффективный метод лечения.
Последствия
Течение болезни и наличие осложнений зависят от вида новообразования, его расположения. Например, киста может разорваться и привести к перитониту, онкологические новообразования чреваты ростом метастазов и летальным исходом.
Профилактика
Не пропускайте плановые осмотры у врача и отправляйтесь к терапевту при первых тревожных симптомах.
Скрининговая ультразвуковая диагностика рака ободочной кишки

Содержит актуальную клиническую информацию по ультрасонографии и ориентирован на врачей ультразвуковой диагностики, выходит с 1996 года.
Введение
В последнее время во всех высокоразвитых странах отмечается быстрый рост заболеваемости раком ободочной кишки 6. Многочисленными исследованиями доказано, что прогноз заболевания в значительной степени зависит от своевременности постановки диагноза опухоли, т.е. ранняя диагностика имеет важнейшее значение. К сожалению, у 60-80% больных с впервые установленным диагнозом определяется III-IV стадии заболевания 10. Своевременная диагностика рака ободочной кишки обычно возможна на доклинической стадии, что требует проведения специальных лабораторно-инструментальных скрининговых исследований. Существует ряд требований, предъявляемых к скрининговым методикам: безопасность для пациента, неинвазивность, высокая чувствительность и специфичность, низкая стоимость и др. В настоящее время в США и развитых странах Западной Европы внедряются скрининговые программы, основанные на определении скрытой крови в кале, однако они недостаточно специфичны, а количество ложноотрицательных результатов составляет от 30 до 70% 7.
Ультразвуковое исследование (УЗИ) является одним из нетрадиционных, неинвазивных и широко распространенных методов диагностики, причем большая часть населения позитивно настроена к данной методике. Ранее считалось, что провести УЗИ органов, содержащих газ, нельзя, поскольку они полностью отражают ультразвуковые волны. В последнее время наблюдается значительный прогресс трансабдоминальной ультразвуковой диагностики заболеваний полых органов, в частности, толстой кишки.
Материалы и методы
Работа осуществлялась на базе 7 лечебно-профилактических учреждений областного, городского и районного уровней. Предварительно для врачей проводился двухдневный обучающий семинар по ультразвуковой диагностике онкологической патологии желудочно-кишечного тракта на базе областной клинической больницы и областного онкологического диспансера. Проанализирован 1-3-летний катамнез у 9000 больных, прошедших скрининговое УЗИ ободочной кишки. При оценке катамнеза использовались данные областного онкорегистра. Обследовано 29 467 больных с разнообразной патологией. Возраст пациентов составлял 23-89 лет. Никому из обследованных больных не был выставлен диагноз рака ободочной кишки до УЗИ.
Для ультразвуковой диагностики рака ободочной кишки можно применять любую современную ультразвуковую диагностическую аппаратуру, работающую в режиме real-time. Оптимальным выбором являются линейные, трапециевидные или конвексные датчики частотой 3,5-5 МГц, которые нами использовались. В некоторых случаях для более детального изучения структуры стенок кишки применяли датчик частотой 7,5 МГц, однако у пациентов с избыточным развитием подкожно-жировой клетчатки возможности использования такого датчика ограничены.
Скрининговое УЗИ ободочной кишки начинали в положении больного лежа на спине. Методика основана на обнаружении неспецифического симптома "пораженного полого органа". Осуществляли обзорное сканирование брюшной полости, как показано на рис. 1а (датчик располагают поперечно) для выявления патологических изменений стенки ободочной кишки и оценки ее положения. Затем методично осматривали ободочную кишку соответственно ее обычному расположению. Для этого ультразвуковой датчик устанавливали в правой подвздошной области перпендикулярно длиннику кишки (рис. 1б). Проводили последовательное сканирование по часовой стрелке вдоль проекции ободочной кишки, начиная с купола слепой кишки и перемещая датчик по ходу восходящего, поперечного и нисходящего отделов ободочной кишки, при этом осматривали печеночный и селезеночный изгибы толстой кишки. Заключительным этапом являлось сканирование сигмовидной кишки.
Затем датчик располагали продольно, по ходу ободочной кишки, и повторяли сканирование в той же последовательности, что и на втором этапе (рис. 1в). Для обнаружения патологии в латеральных и задних сегментах стенки ободочной кишки проводили сканирование с боковых поверхностей брюшной стенки.
Ультразвуковая диагностика образований поджелудочной железы. Профессор В. А. Изранов. Лекция для врачей

- Солидные гипоэхогенные образования поджелудочной железы
- Рак поджелудочной железы
- Очаговый панкреатит
- Лимфома
- Метастазы
- Нейроэндокринные опухоли
- Островково-клеточная опухоль
- Тромбированная аневризма
- Рак ПЖ представляет собой аденокарциному, происходящую из протокового эпителия
- Составляет более 90% всех опухолей ПЖ
- Составляет 5% случаев всей онкологической смертности и занимает 4-е место после рака легких, рака МЖ и колоректального рака
- 1-летняя выживаемость около 10%
- Чаще всего в возрастной группе 60-80 лет
- До 40 лет встречается редко. 60% - 70% опухолей развиваются в головке ПЖ
- Типичная симптоматика - желтуха без болевого синдрома. 10% - 20% опухолей развиваются в области тела и 5-10% в области хвоста
- Для этих локализаций характерны неспецифические симптомы, в частности потеря веса
- Диффузное поражение отмечается в 5% случаев
- Опухоли головки могут быть обнаружены на ранних стадиях из-за симптомов желтухи и могут быть потенциально резектабельными
- Напротив, опухоли в области тела и хвоста обнаруживаются уже крупных размеров. Редко являются резектабельными
- В большинстве случаев РПЖ представлен гипоэхогенным образованием (в сравнении с прилежащей паренхимой ПЖ)
- Изменение контура ПЖ зависит от размера и локализации опухоли
- Обструкция ОЖП является частым симптомом
- Обычно расширенный проток прослеживается дистально и обрывается на уровне образования
- Обструкция панкреатического протока также является частым симптомом. Одновременное расширение ОЖП и панкреатического протока (симптом двух протоков) всегда является подсказкой наличия рака ПЖ. В целом, расширение панкреатического протока имеет меньшую извитость и неровность контуров в сравнении с хроническим панкреатитом
- Может иметь форма без расширения протока. В таких случаях развивается атрофия ПЖ левее опухоли
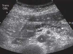
- Поперечное сканирование в эпигастральной области. Образование в головке (Mass), приводящее обструкции панкреатического протока. Четкообразное неравномерное расширение протока (стрелка). А - аорта, IVC - нижняя полая вена
- Косое сканирование в эпигастральной области. Гипоэхогенное образование в хвосте поджелудочной железы (ПЖ)
- Косое сканирование в эпигастральной области. Гипоэхогенное образование в хвосте поджелудочной железы
- Образование в головке ПЖ (белая стрелка) неоднородной структуры преимущественно повышенной эхогенности (типичными примерами являются гипоэхогенные образования). Отмечается симптом «двух протоков»:
- панкреатический проток (PD) неравномерно расширен
- в левой доле печени лоцируются расширения внутрипеченочных протоков (желтые стрелки).
- Рак поджелудочной железы. Пример
- Косое сканирование через общий желчный проток (CBD). Образование (М) приводит к выраженной дилатации ОЖП (диаметр ОЖП вдвое превышает диаметр воротной вены). D - верхняя часть двенадцатиперстной кишки. НПВ-нижняя полая вена.
- Дифференциальный диагноз
- Дифференциальный диагноз гипоэхогенных образований ПЖ первоначально включает РПЖ и локальный панкреатит. Локальный панкреатит исключается при обнаружении метастазов и вовлечении сосудов. Напротив, выявление разбросанных кальцинатов является симптомом панкреатита
- Расширение панкреатического протока с внутренними кальцификатами при локальной форме панкреатита.
Подтверждающее изображение КТ
- Диагностическая тактика при раке поджелудочной железы
- Хотя УЗИ может быть методом выявления РПЖ сопоставимым с КТ по способности выявления РПЖ в хорошо доступных для визуализации отделах (головка и тело), оно не позволяет визуализировать всю ПЖ целиком, поэтому КТ является предпочтительным методом визуализации
- ЭРХПГ и эндоскопическое УЗИ являются довольно чувствительными методами, но являются инвазивными дорогостоящими процедурами и могут провоцировать панкреатит. Их следует резервировать для случаев, когда УЗИ и КТ являются недиагностическими или у пациентов, требующих биопсии или постановки билиарного стента
- КТ и МРТ играют основную роль в определение резектабельности РПЖ
- Для врача УЗИ важно знать критерии резектабельности
- Критерии нерезектабельности:
- обнаружение печеночных, перитонеальных или других отдаленных метастазов
- вовлечение перипанкреатических артерий и вен
- инвазия в прилежащие органы (за исключением ДПК)
- наличие асцита
В - инфильтрированные мягкие ткани (указаны стрелками), окружающие чревный ствол (С)
С- продольное сечение на уровне чревного ствола (С). Стрелка демонстрирует инфильтрацию мягких тканей
- Сосудистая инвазия при РПЖ II
- А - поперечное сканирование на уровне тела ПЖ: солидное гипоэхогенное образование
- В - ЦДК демонстрирует чревный ствол с инвазией в область основания селезеночной артерии.
- Лимфома
- Лимфома ПЖ обычно является вторичной и неходжкинской. Первичная лимфома ПЖ является редкой (не более 2% экстранодальных лимфом и 1% всех опухолей ПЖ). Наиболее часто имеет место у пациентов с иммунодефицитом. Обычно представлена очаговыми единичными или множественными гипоэхогенными образованиями с нечеткими контурами. Часто инфильтрирует прилежащие ткани
- А - Гипоэхогенные образования (L) в теле и хвосте ПЖ
- В - КТ у того же пациента. Результаты биопсии: лимфома Беркитта
- Нейроэндокринные опухоли (НЭОп)
- Составляют от 1 до 5 % опухолей ПЖ. Они возникают из плюрипотентных клеток протокового эпителия. НЭОп часто ассоциированы с нейрофиброматозом 1 типа, болезнью von Hippel Lindau и туберозным склерозом. В зависимости от продуцируемого гормона подразделяются на:
- 1. Инсулинома
- 2. Гастринома
- 3. Глюкагонома, VIPoma, соматостатинома
- 4. Нефункционирующие НЭОп
- Локализация НЭОп до операции требует сочетанного применения КТ, МРТ и эндоскопического УЗИ
- Инсулиномы. Мелкие (10 мм) гипоэхогенные солидные образования, гиперваскулярные при ЦДК
- Гастриномы составляют до 20% НЭОп. В сравнении в инсулиномами большинство гастрином злокачественные. До 60% пациентов на момент постановки диагноза имеют отдаленные метастазы. Симптомы обусловлены избыточной секреций гастрина и включают тяжелые пептические язвы и секреторную диарею. Гастриномы являются мелкими опухолями и дооперационное выявление их при УЗИ ограничено. Эндоскопическое УЗИ очень чувствительно к выявлению как внутриорганных, так и внеорганных поражений, которые чаще всего обнаруживаются в стенке ДПК. Интраоперационное УЗИ чувствительно к выявлению интрапанкреатических опухолей и часто используется для точной локализации опухоли. Гастриномы у различных пациентов. Интраоперационное сканирование. А.В - мелкие (до 5 мм) гипоэхогенные солидные образования. С - жидкость в просвете ДПК (L) и внутристеночное образование
- Нефункционирующая НЭОп
- Поперечное сканирование на уровне ПЖ: крупное образование (М) и крупный тромб (Т) в области воротно-селезеночного конфлюэнса
- В - опухолевый тромб в селезеночной вене. ЭД демонстрирует отчетливую васкуляризацию опухоли
- В - выраженная гиперваскуляризация при ЦДК
- С - контраст-усиленное КТ у того же пациента
- Метастазы обнаруживаются на аутопсиях в 2-5% всех злокачественных опухолей ПЖ. Наиболее часто в ПЖ метастазирует рак легких и почечно-клеточный рак. Эхографически это солидные гипоэхогенные образования. Отличительными особенностями являются множественность поражения. Выявление образования в ПЖ у пациента с анамнезом экстрапанкреатической локализации злокачественного процесса должно вызывать подозрение на метастатическую болезнь
- Метастаз рака легких в поджелудочную железу. Гипоэхогенное образование в хвосте ПЖ
- Метастаз рака почки в поджелудочной железы
- А-КТ с контрастированием: образование в теле поджелудочной железы
- В - Серошкальное изображение при интраоперационном УЗИ
- С - гиперваскуляризация образования при интраоперационном УЗИ
- Кистозные образования поджелудочной железы
- Классификация кистозных образований поджелудочной железы
- Псевдокисты / Кистозные некроз
- Кистозные неоплазии (5% опухолей ПЖ):
- Муцинозная кистозная неоплазия
- Серозная цистаденома (микрокистозная аденома)
Гигантская киста брюшной полости
Женщину 21 года госпитализировали после двух лет регулярных жалоб на вздутие живота и связанный с этим дискомфорт. Никаких других симптомов не было, так что основной целью госпитализации стали диагностика и выбор лечебной тактики.
![]()
При осмотре в брюшной полости пальпируется подвижное безболезненное и относительно плотное образование. Данные лабораторных анализов — без отклонений, опухолевые маркеры в пределах нормы. Рентгенография брюшной полости показала нормальное распределение газов в кишечнике. Ультразвуковое исследование выявило анэхогенное кистозное образование, занимающее полностью переднюю и правую часть брюшной полости. Каких‑либо патологических изменений кишечника, а также свободной и локализованной жидкости в брюшной полости не обнаружено. КТ брюшной полости и МРТ выявили образование больших размеров — 35×20×10 см, располагавшееся в брюшной полости и полости малого таза, не связанное с какими‑либо органами (рисунок 1).
![]()
Во время срединной лапаротомии обнаружена гигантская киста, устье которой было связано с брыжейкой поперечной ободочной кишки (рисунок 2). Образование полностью удалено, органы брюшной полости не пострадали. Макроскопически киста брюшной полости однокамерная, содержит около 5000 мл серозной жидкости. Гистологический анализ показал, что это была простая мезотелиальная киста, фиброзная стенка которой выстлана мезотелиальными клетками правильной формы без атипии и митозов (рисунок 3). Послеоперационный период прошел без осложнений — все показатели пациентки оставались в норме, и она была выписана на следующий день. Шесть месяцев спустя самочувствие пациентки оставалось хорошим, рецидива не было.
Согласно классификации, предложенной Perrot (2000 год), простые мезотелиальные кисты брюшной полости (ПМКБП), а также доброкачественные и злокачественные кистозные мезотелиомы — это брыжеечные кисты мезотелиального происхождения [1].
![]()
ПМКБП встречаются крайне редко, всего в литературе описано около 900 случаев [2, 3]. Размер кист — до 40 сантиметров [2, 4, 5]. Обычно небольшая киста брюшной полости никак не проявляет себя, изредка пациенты могут жаловаться на неспецифичные симптомы. Отсутствие выраженной клинической картины и малая распространенность затрудняют диагностику ПМКБП.
Возникновение таких кист, скорее всего, связано с врожденным неполным сращением листков брюшины. По этой причине ПМКБП могут возникать в области тонкой кишки, брыжейки ободочной кишки и сальника [6, 7].
Симптомы кисты брюшной полости
Чаще всего кисту брюшной полости обнаруживают у детей и молодых людей [6]. Если ПМКБП увеличивается в размерах, появляются симптомы сдавления кишечника: боль в животе, вздутие, метеоризм, запоры и рвота [2, 8, 9]. При пальпации можно обнаружить безболезненное, сжимаемое мягкое образование, смещаемое в поперечном направлении [2, 9].Гигантская киста может симулировать асцит или опухоль яичников.
ПМКБП может осложниться острым животом из‑за своего разрыва, внутреннего кровотечения, воспаления или заворота, а также из‑за обструкции кишечника, реже возникает асцит [2, 3, 9]. Разнообразные неспецифичные, «вялые» симптомы более характерны для взрослых, а клиника острого живота — для детей [2].
По своему строению ПМКБП — тонкостенная, однокамерная киста брюшной полости, обычно с серозным содержимым [7]. Внутренняя поверхность полости выстлана плоскими, кубическими или цилиндрическими мезотелиальными клетками, стенка — фиброзная, без каких‑либо мышечных или лимфатических структур [2, 7]. Цитологический анализ ПМКБП показывает, что у клеток правильное круглое ядро, одно ядрышко и большое количество цитоплазмы [2].
Обзорная рентгенограмма и контрастная рентгенография с барием часто дают нормальные результаты или показывают наличие какого‑то образования, смещающего кишечник [6, 9]. УЗИ брюшной полости, КТ и МРТ более информативны [7, 10]. Они могут показать кистозный характер образования, его размеры, расположение и связь с прилежащими органами, а также характер содержимого и стенок кисты [2, 6].
При УЗИ кисте брюшной полости выглядит как анэхогенное образование с акустическим усилением [6, 7, 9]. КТ и МРТ выявляют образование, наполненное жидкостью, с сигналом слабой интенсивности на Т-взвешенных изображениях, без различимых стенок и внутренних перегородок [7, 9]. Данные лабораторных исследований — неспецифичны. Обычно дополнительные диагностические мероприятия (тонкоигольная аспирационная биопсия с цитологическим анализом или обзорная лапароскопия) не проводятся [2].
Лечение кисты брюшной полости: операция
Методом выбора является полное иссечение кисты [2, 8-10]. Чтобы исключить малигнизацию и предотвратить осложнения, иногда необходимо провести резекцию прилежащих органов [2, 3, 8]. У некоторых пациентов это возможно осуществить как с помощью лапароскопии, так и с помощью лапаротомии [3, 8-10]. На выбор метода влияют размер и расположение кисты, а также опыт хирурга [10]. Пунктирование кисты, дренаж и марсупиализация при ПМКБП неэффективны, а риск осложнений очень высок [3, 8, 9]. В описанном случае лапароскопия была невозможна из‑за огромного размера образования.
ПМКБП — доброкачественное образование и прогноз при этом заболевании благоприятный [9]. Полная эксцизия редко приводит к осложнениям, риск смертности и рецидива низок [2, 3, 9].
ПМКБП — крайне редкая опухоль брюшной полости, однако ее всегда надо включать в круг дифференциальной диагностики абдоминальных образований.
Пациентка дала письменное согласие на публикацию своего случая. Копия письменного согласия находится у главного редактора журнала (JOURNAL OF MEDICAL CASE REPORTS).
De Perrot M, Brudler M, Totsch M, Mentha G, Morel P: Mesenteric cyst. Toward less confusion? Dig Surg 2000, 17: 323-328.
Miljković D, Gmijović D, Radojković M, Gligorijević J, Radovanović Z: Mesenteric cysts. Arch Oncol 2007, 15: 91-93.
Sahin DA, Akbulut G, Saykol V, San O, Tokyol C, Dilek ON: Laparoscopic enucleation of mesenteric cyst: a case report. Mt Sinai J Med 2006, 73: 1019-1020.
Huis M, Balija M, Lez C, Szerda F,Štulhofer M: Mesenteric cysts. Acta Med Croatica 2002, 56: 119-124.
Tan JJ, Tan KK, Chew SP: Mesenteric cysts: an institution experience over 14 years and review of literature. World J Surg 2009, 33: 1961-1965.
Ros PR, Olmsted WW, Moser RP Jr, Dachman AH, Hjermstad BH, Sohin SH: Mesenteric and omental cysts: histologic classification with imaging correlation. Radiology 1987, 164: 327-332.
Stoupis C, Ros PR, Abbitt PL, Burton SS, Gauger J: Bubbles in the belly: imaging of cystic mesenteric or omental masses. Radiographics 1994, 14: 729-737.
Patel A, Lefemine V, Ramanand BS: A rare case of a peritoneal cyst arising from the falciform ligament. Cases J 2009, 2: 134.
Fernandez Ramos J, Vazquez Rueda F, Azpilicueta Idarreta M, Diaz Aguilar C: Mesothelial giant cyst of great omentum. An Pediatr (Barc) 2009, 71: 180-181.
Theodoridis TD, Zepiridis L, Athanatos D, Tzevelekis F, Kellartzis D, Bontis JN: Laparoscopic management of mesenteric cyst: a case report. Cases J 2009, 2: 132.
Читайте также:
- Составляют от 1 до 5 % опухолей ПЖ. Они возникают из плюрипотентных клеток протокового эпителия. НЭОп часто ассоциированы с нейрофиброматозом 1 типа, болезнью von Hippel Lindau и туберозным склерозом. В зависимости от продуцируемого гормона подразделяются на:



