УЗИ при тиреоидите Хашимото
Добавил пользователь Валентин П. Обновлено: 28.11.2025
Аутоиммунный тиреоидит (АИТ, тиреоидит Хашимото, зоб Хашимото, болезнь Хашимото) - это воспаление ткани щитовидной железы, вызванное аутоиммунными причинами, очень часто встречающееся в России. Болезнь эта была открыта ровно 100 лет назад японским ученым по фамилии Хашимото, и с тех пор носит его имя (тиреоидит Хашимото). В 2012 году мировая эндокринологическая общественность широко отмечала юбилей открытия данного заболевания, поскольку с этого момента у эндокринологов появилась возможность эффективно помогать миллионам пациентов по всей планете.
Аутоиммунный тиреоидит - причины
Причина аутоиммунного тиреоидита кроется в неправильной работе иммунной системы пациента. При аутоиммунном тиреоидите, встречающемся чаще всего у женщин, иммунная система, в норме обеспечивающая «полицейские» функции в организме и занимающаяся уничтожением чужеродных клеток и организмов, начинает проявлять агрессию по отношению к собственному органу - щитовидной железе. Ткань щитовидной железы пропитывается лейкоцитами, деятельность которых приводит к развитию воспаления железы - тиреоидит (его называют аутоиммунным тиреоидитом, чтобы подчеркнуть, что причиной заболевания является сбой в работе собственной иммунной системы организма). Со временем из-за воспаления часть клеток щитовидной железы погибает, а оставшихся в живых начинает не хватать для выработки необходимого количества гормонов. Развивается гормональная недостаточность - гипотиреоз.
Симптомы аутоиммунного тиреоидита (АИТ)
Симптомы аутоиммунного тиреоидита легко спутать с повседневным состоянием очень многих наших соотечественников: пациента беспокоит слабость, сонливость, быстрая утомляемость, депрессия, ухудшение настроения, иногда - отеки. Образно говоря, жизнь начинает терять свои краски. Многих пациентов с аутоиммунным тиреоидитом беспокоит и замедление мыслительной деятельности («не собраться с мыслями»), часто активно выпадают волосы.
Диагностика АИТ
Диагноз аутоиммунного тиреоидита (его название часто сокращают до трех букв - АИТ) устанавливается при наличии у пациента трех так называемых «больших» признаков: характерных изменений структуры ткани щитовидной железы при проведении ультразвукового исследования, повышения в крови титра антител к ткани щитовидной железы (антител к тиреопероксидазе, антител к тиреоглобулину), а также повышения уровня гормона ТТГ и снижения уровня гормонов Т4 и Т3 в крови. Важно отметить, что диагноз «Аутоиммунный тиреоидит» не должен устанавливаться в случаях, когда уровень гормонов находится в пределах нормы. Если нет повышения уровня ТТГ крови (как минимум) или повышения уровня ТТГ в сочетании с понижением уровня Т3, Т4 (в наиболее тяжелых случаях) - нельзя и ставить диагноз аутоиммунного тиреоидита (АИТ). Встречающиеся достаточно часто заключения «Аутоиммунный тиреоидит, эутиреоз» неверны, поскольку запутывают врачей и нередко приводят к необоснованному назначению пациенту препаратов гормонов щитовидной железы.
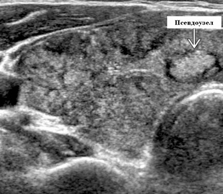
Аутоиммунный тиреоидит на УЗИ щитовидной железы
При ультразвуковом исследовании при АИТ обычно отмечается понижение эхогенности железы и появление выраженных диффузных изменений. Переводя на «человеческий» язык, можно сказать, что при аутоиммунном тиреоидите щитовидная железа выглядит на экране УЗИ-аппарата темной и имеет очень неоднородную структуру - в одних местах ткань более светлая, в других - более темная. Нередко врачи ультразвуковой диагностики обнаруживают при болезни Хашимото в ткани щитовидной железы и узлы. Следует отметить, что зачастую эти уплотнения настоящими узлами не являются и представляют собой просто очаги с резко выраженным воспалительным процессом, их еще называют «псевдоузлами». Чаще всего квалифицированный врач ультразвуковой диагностики может отличить псевдоузел при аутоиммунном тиреоидите от узла, однако в некоторых случаях сделать это непросто. Именно поэтому врачи нередко пишут заключение примерно так: «Признаки АИТ. Узлы (псевдоузлы?) щитовидной железы», чтобы подчеркнуть свою неуверенность в оценке характера изменений. При выявлении в ткани щитовидной железы на фоне аутоиммунного тиреоидита образований диаметром 1 см и более пациенту рекомендуется проведение биопсии для уточнения их природы. В ряде случаев после получения результатов исследования становится понятно, что исследованный узел является псевдоузлом на фоне АИТ (ответ цитолога обычно в таких случаях краток: «Аутоиммунный тиреоидит» или «Тиреоидит Хашимото»). Вместе с тем, на фоне аутоиммунного тиреоидита возможно выявление и узлов коллоидного (доброкачественного) строения, и злокачественных новообразований.
Лечение аутоиммунного тиреоидита
Лечение причины аутоиммунного тиреоидита - неправильной работы иммунной системы - в настоящее время невозможно, поскольку подавление работы иммунной системы приводит к снижению защищенности организма от вирусов и бактерий, что может быть опасно. Именно поэтому врачам приходится лечить не причину аутоиммунного тиреоидита, а его следствие - нехватку гормонов, вернее одного гормона - тироксина, который вырабатывается щитовидной железой из йода, поступающего с пищей. Революция в лечении АИТ свершилась, когда врачи получили возможность использовать гормоны щитовидной железы свободно. На наше счастье, фармацевтами была синтезирована точная копия человеческого гормона тироксина, совершенно не отличающаяся от оригинала. При выявлении АИТ и связанного с этим недостатка гормонов врач-эндокринолог назначает пациенту искусственный тироксин, который позволяет привести уровень гормонов в норму. При правильном назначении тироксин не вызывает никаких побочных эффектов. Единственное неудобство такого лечения - его следует продолжать в течение всей жизни пациента, поскольку раз начавшись, аутоиммунный тиреоидит (АИТ) никогда не проходит, и лекарственная поддержка требуется пациенту постоянно.
Гнойный тиреодит
Гнойный тиреоидит - бактериальное воспалительное заболевание щитовидной железы
Тиреоидит Риделя
Тиреоидит Риделя - редчайшее заболевание, характеризующееся замещением паренхиматозной ткани щитовидной железы соединительной тканью с развитием симптомов сдавления органов шеи
Гипофизарный нанизм (карликовость)
Гипофизарный нанизм или карликовость - синдром, который характеризуется резким отставанием в росте и физическом развитии, связанном с абсолютной или относительной недостаточностью соматотропного гормона
Подострый тиреоидит (тиреоидит де Кервена)
Подострый тиреоидит является воспалительным заболеванием щитовидной железы, возникающим после перенесенной вирусной инфекции и протекающий с разрушением клеток щитовидной железы. Наиболее часто подострый тиреоидит возникает у женщин. Мужчины болеют подострым тиреоидитом значительно реже женщин - примерно в 5 раз.
Аутоиммунный полигландулярный синдром
Аутоиммунный полигландулярный синдром - группа эндокринопатий, которая характеризуется вовлечением в патологический процесс нескольких эндокринных желез в результате их аутоиммунного поражения
Пангипопитуитаризм
Пангипопитуитаризм - это клинический синдром, который развивается вследствие деструктивных процессов в аденогипофизе, сопровождающихся снижением выработки тропных гормонов, что влечет за собой нарушение функционирования большинства желез внутренней секреции
Хроническая надпочечниковая недостаточность
Надпочечниковая недостаточность (недостаточность коры надпочечников) является одним из наиболее тяжелых заболеваний эндокринной системы, которое характеризуется снижением выработки гормонов корой надпочечников (глюкокортикоидов и минералокортикоидов)
Классы аппаратов для выполнения УЗИ щитовидной железы
Описание различных классов УЗИ-оборудования, применяемого для проведения УЗИ щитовидной железы
Гормон Т3
Гормон Т3 (трийодтиронин) - это один из двух основных гормонов щитовидной железы и наиболее активный из них. В статье рассказывается о строении молекулы гормона Т3, анализе крови на гормон Т3, видах лабораторных показателей (свободный и общий гормон Т3), интерпретации результатов анализов, а также о том, где лучше сдавать гормоны щитовидной железы
Гормон Т4
Гормон Т4 (тироксин, тетрайодтиронин) - вся информация о том, где вырабатывается гормон Т4, какое действие оказывает, какие анализы крови делаются для определения уровня гормона Т4, какие симптомы встречаются при понижении и повышении уровня гормона Т4
Эндокринная офтальмопатия (офтальмопатия Грейвса)
Эндокринная офтальмопатия (офтальмопатия Грейвса) - заболевание позадиглазных тканей и мышц глазного яблока аутоиммунной природы, которое возникает на фоне патологии щитовидной железы и приводит к развитию экзофтальма, или пучеглазия, и комплекса глазных симптомов
Диффузный эутиреоидный зоб
Диффузный эутиреоидный зоб - это видимое невооруженным глазом или выявляемое при пальпации общее диффузное увеличение щитовидной железы, характеризующееся сохранением её функции
Гипотиреоз
Гипотиреозом называется состояние, отличающееся недостатком гормонов щитовидной железы. При длительном существовании нелеченного гипотиреоза возможно развитие микседемы («слизистого отека»), при котором развивается отечность тканей пациента в сочетании с основными признаками недостаточности гормонов щитовидной железы.
Заболевания щитовидной железы
В настоящее время изучению заболеваний щитовидной железы уделяется настолько серьезное внимание, что был выделен особый раздел эндокринологии - тиреоидология, т.е. наука о щитовидной железе. Врачей, занимающихся диагностикой и лечением заболеваний щитовидной железы, называют тиреоидологами.
Гормоны щитовидной железы
Гормоны щитовидной железы делятся на два различных класса: йодитиронины (тироксин, трийодтиронин) и кальцитонин. Из двух этих классов гормонов щитовидной железы тироксин и трийодтиронин регулируют основной обмен организма (тот уровень энергозатрат, который необходим для поддержания жизнедеятельности организма в состоянии полного покоя), а кальцитонин участвует в регуляции обмена кальция и развития костной ткани.
Псевдогипопаратиреоз
Псевдогипопаратиреоз или болезнь Олбрайта - редкое наследственное заболевание, характеризующееся поражением костной системы вследствие нарушения фосфорно-кальциевого метаболизма, возникающего из-за резистентности тканей к паратгормону, вырабатываемому паращитовидными железами
Анализы в СПб
Одним из важнейших этапов диагностического процесса является выполнение лабораторных анализов. Чаще всего пациентам приходится выполнять анализ крови и анализ мочи, однако нередко объектом лабораторного исследования являются и другие биологические материалы.
Анализ на гормоны щитовидной железы
Анализ крови на гормоны щитовидной железы - один из наиболее важных в практике работы Северо-Западного центра эндокринологии. В статье Вы найдете всю информацию, с которой необходимо ознакомиться пациентам, собирающимся сдать кровь на гормоны щитовидной железы
Консультация эндокринолога онлайн
Если вам необходимо получить консультацию эндокринолога, но возможности очно посетить специалиста нет, то оптимальным решением станет оформление дистанционной консультации.
Консультация эндокринолога
Специалисты Северо-Западного центра эндокринологии проводят диагностику и лечение заболеваний органов эндокринной системы. Эндокринологи центра в своей работе базируются на рекомендациях Европейской ассоциации эндокринологов и Американской ассоциации клинических эндокринологов. Современные диагностические и лечебные технологии обеспечивают оптимальный результат лечения.
Экспертное УЗИ щитовидной железы
УЗИ щитовидной железы является главным методом, позволяющим оценить строение этого органа. Благодаря своему поверхностному расположению, щитовидная железа легко доступна для проведения УЗИ. Современные ультразвуковые аппараты позволяют осматривать все отделы щитовидной железы, за исключением расположенных за грудиной или трахеей.
УЗИ шеи
Информация об УЗИ шеи - входящие в него исследования, их особенности
Консультация детского эндокринолога
Очень часто на прием к специалистам Северо-Западного центра эндокринологии обращаются пациенты, не достигшие 18 лет. Для них в центре работают специальные врачи - детские эндокринологи
Диагностика и лечение гинекологических заболеваний, консультирование семейных пар по вопросам лечения бесплодия ЭндокринологДиагностика и лечение сахарного диабета, ожирения, остеопороза Хирург-эндокринологДиагностика и лечение заболеваний щитовидной железы, околощитовидных желез, надпочечников Диетолог-эндокринологЛечение ожирения, диагностика эндокринных причин ожирения, комплексные программы снижения веса Андролог Помощь в решении мужских проблем: бесплодия, нарушения потенции, воспалительных заболеваний Детский эндокринологДиагностика и лечение эндокринных заболеваний у детей до 18 лет МаммологДиагностика и лечение заболеваний молочных желез
Отзывы
Истории пациентов
Видеоотзывы: опыт обращения в Северо-Западный центр эндокринологии
Услуги
Экспертное УЗИ щитовидной железы
УЗИ щитовидной железы выполняется хирургами-эндокринологами с использованием аппаратов экспертного класса
Денситометрия: ультразвуковая
Денситометрия (определение плотности костной ткани) - без облучения, выполняется эндокринологом
Гормоны щитовидной железы
Всё о сдаче анализа на гормоны щитовидной железы: какие гормоны существуют, как сдавать гормоны, где сдавать анализ на гормоны
Удаление щитовидной железы
Информация об удалении щитовидной железы в Северо-Западном центре эндокринологии
Сотрудничество с центром
Возможности сотрудничества
Варианты и обсуждение вопросов сотрудничества с Северо-Западным центром эндокринологии
Специалисты Центра эндокринологии регулярно участвуют в международных конгрессах, стажировках, обучающих семинарах. За 3 года специалистами центра получено 15 патентов РФ на изобретения
Новое в диагностике и лечении АИТ
Эндокринология - наука ультрасовременная!! Она появилась только в 20 веке. Подходы в диагностике и лечении многих эндокринных заболеваний постоянно меняются по мере появления новых исследований о причинах, вызвавших ту или иную патологию, человек продолжает изучать гормонально-эндокринные, и не только, тайны своего организма ;)
В ближайших темах блога я представлю:
- новый подход в лечении АИТ
- новый взгляд на лечение ожирения и обновлённое меню
- новый взгляд на проблему лечения сахарного диабета 2 типа и прогрессирования осложнений. В основе теории лежит деление сахарного диабета 2 типа на подруппы по наличию аутоиммунной реакции на инсулин, что позволит спрогнозировать различные варианты течения сахарного диабета 2 типа и появление осложнений.
Но сегодня рассказ про такой загадочный аутоиммунный тиреоидит . В настоящее время в целом отмечается рост аутоиммунных заболеваний. Но именно аутоиммунные заболевания щитовидной железы стоят особняком от других иммунных патологий. Из всей тиреоидной патологии на долю АИТ приходится 20-50% случаев. Чаще болеют женщины старше 60 лет, особенно жители мегаполисов.
В клинической картине АИТ можно выделить жалобы, проебладающие в зависимости от возраста. С ними люди, как правило, и обращаются на приём к врачу:
Для молодых с АИТ характерны жалобы на выпадение волос, прибавку веса, запоры (констипация), ломкость ногтей, сухость кожи.
В среднем возрасте - преобладают жалобы на симптомы артроза и остеохондроза, депрессии, артериальной гипертонии.
за 50 лет из жалоб преобладают неврологические и сердечно-сосудистые.
АИТ (аутоимунный тиреоидит) - это иммуно-воспалительный процесс замедленного типа, выражающийся аутоагрессией иммунных клеток к собственным клеткам щитовидной железы в виде деструктивного процесса и инфильтрации ткани железы клетками воспаления: нейтрофилами, макрофагами и др. с выработкой антител к тироглобулину и микросомальным белковым структурам щитовидной железы.
Сами антитела не способны разрушать клетки и фолликулы щитовидной железы. Воспаление - деструкцию (разрушение ткани) вызывают именно иммунные клетки.
Теорий о причинах появления АИТ множество. Вот основные из них:
- вирусная, это провокация воспалительного процесса вирусами Коксаки и герпеса (6 типа и др);
- генетическая теория предпосылки к иммунным заболеваниям (так же как и бронхиальная астма, ревматоидный артрит, и др);
- повышенное потребление йода в виде медикаментов провоцирует и усиливает активность аутоиммунного процесса в щитовидной железе. Академик РАЕН Велданова М.В. в своей монографии «Уроки тиреодологии» (базовый учебник эндокринологов по щитовидной железе ) объясняет механизмы развития этого процесса;
- частое и бесконтрольное применение противовирусных препаратов - интерферона, циклоферона, амиксина, моноклональных антител и других, способствует развитию или обострению уже существующих аутоиммунных заболеваний, в том числе и аутоиммунного тиреоидита. На что указывает ведущий тиреоидолог в нашей стране Балаболкин М.И. в своей монографии «Фундаментальная и клиническая тиреодология».
Но, относительно недавно, появилась новая теория развития АИТ.
НОУ-ХАУ теории 2014 г (профессора, д.м.н. Рустамбековой С.А.) состоит в том, что в одну из причин развития АИТ- положена теория дисполимикр(макро)элементоза.
Дисполимикр(макро)элементоз - это нарушение гомеостатического равновесия макро-микроэлементного обеспечения организма, что также провоцирует и инициирует иммунное воспаление, оксидативный стресс и другие, повреждающие ткань щитовидной железы, патологические процессы.
Эта теория подтверждается ещё и тем, что клинические проявления (симптомы) аутоиммунного тиреоидита не характерны для истинного воспаления, встречающегося при попадании в железу инфекции.
Теория дисмикроэлемнотозов сейчас популярна и в акушерстве
(гипомагниемия, гипокальцимия), в кардиологии уже давно, при аритмии, нарушениях ритма.
Объясняю: наш организм для нормального функционирования имеет определённый набор микро(макро) элементов: макроэлементы -это калий, кальций, магний и др. Микроэлементы: селен, цинк, йод, железо и т.д.
Если вспомнить школьно-студенческие знания, то эти микро(макро)элементы есть во всех клетках организма - они участвуют во всех обменных процессах и в составе многих ферментов организма, в том числе участвующих в образовании гормонов щитовидной железы и иммунных клетках.
Избыток или нехватка некоторых микро(макро)элементов - смертельно опасны, например, гиперкалиемия (избыток калия, вследствие почечной недостаточности - вызывает жизнеугрожаемые аритмии). Другие микро(макро)элементозы не так опасны, но нарушают работу многих органов, в нашем случае - щитовидной железы.
В результате многолетних исследований, учёные Москвы пришли к выводу, что щитовидной железе для работы необходимы не только так популяризированный йод, но и селен, цинк магний, и другие, не менее важные микроэлементы.
И очень мешают работе щитовидной железе выбрасываемые в атмосферу в результате работы промышленных предприятий, транспорта, и по другим причинам: кадмий и свинец!
Экологическая обстановка в городе или регионе, где проживает человек, как оказалось, напрямую влияет на развитие АИТ, вследствие переизбытка токсичных элементов: свинца, кадмия, алюминия, ртути и др. в воздухе, воде, почве.
Вот почему сейчас АИТ называют экологически зависимым заболеванием.
Кадмий, например, является прямым антагонистом полезных селена и цинка.
Поэтому, для построения правильной тактики лечения при АИТ, необходимо сдать микро(макро)элементный состав крови или волос, куда обязательно должны войти: йод, кальций, железо, фосфор, калий, магний, селен, цинк, медь, марганец, кадмий, свинец и ртуть. На основе этого анализа решается, как надо правильно откорректировать имеющиеся изменения. Это и есть индивидуализированный подход к лечению пациента.
Если при этом есть нарушении функции железы: гипо- или гипертиреоз - они подлежат корректировке принятыми для этого по стандарту лекарствами - Тирозол (Мерказолил) или Л-тироксин (Эутирокс).
В монографическом исследовании дисмикроэлементозов проф. Рустамбековой С.А. показано на клинических примерах, что корректировка макро(микро)элементной дисфункции организма приводит:
- к уменьшению титра антител к ТПО и ТГ
- уменьшению воспалительного процесса
- исчезновению узлов, а вернее сказать, псевдоузлов на фоне АИТ
- более быстрой нормализации уровня ТТГ и Т4 свободного
- исчезновению симптомов, характерных для гипотиреоза, что не всегда компенсируется даже приёмом Л-тироксина
- более быстрому уменьшению одутловатости - отёчности лица, сухости кожи, слабости и других симптомов.
Но для достаточной эффективности курс лечения микро-макроэлементами не должен быть меньше 3 месяцев.
Наиболее эффективными препаратами являются:
- препараты селена (дозы первые месяцы лечения не менее 200мкг), - - препараты магния (можно без В6, при аллергии на витамины гр В) , - препараты цинка,
- препараты йода !очень строго по потребности! и др.
И этот подход оправдывает себя, а в некоторых случаях, я думаю, сможет помочь длительной ремиссии АИТ (без лечения гормонами) или излечению в его начальных стадиях заболевания.
Многоликий АИТ (часть 1)
Эта заметка скорее попытка для врачей описать варианты течения такого остающегося до сих пор загадочным заболеванием как АИТ. Это не руководство к действию для пациентов.
Сколько я не пыталась найти, ни в одном учебнике или монографии нет полного, подробного описания вариантов течения АИТ. Поэтому не все ещё понятно и раскрыто в этом процессе. Нет единой, общепринятой классификации АИТ. Патогенетическая терапия не разработана, а симптоматическая не имеет доказательной базы.
Проведу анализ вариантов течения АИТ, на основе наиболее известных классификаций и клинических наблюдений.
1. АИТ «классическая», критерии который были приняты ВОЗ в 2000 году, ранее была единственным определением АИТ: критерием диагноза АИТ могла быть только совокупность данных симптомов (отсутствие же одного из них делала диагноз АИТ предположительным.
Это - наличие зоба (увеличения щитовидной железы) + гипотиреоз + носительство антител к ТПО и/или а/тел к ТГ, превышающее в 2 раза норму + УЗИ картина АИТ.
УЗИ картина АИТ предполагает:
- Увеличение размеров железы, передне-заднего размера, ширины доли;
- при атрофическом варианте, размеры могут уменьшаться или оставаться в пределах нормы;
- снижение эхогенности ткани;
- диффузная неоднородность ткани от мелко- до крупно-зернистой, иногда сливного характера;
- появление включений повышенной эхогенности;
- диффузная гиперваскуляризация при ЦДК или гиповаскуляризация гипоэхогенных очагов!
Косвенным признаком АИТ является увеличение лимфатических узлов у нижних полюсов обеих долей щитовидной железы.
Но, как показали годы наблюдений, в «чёткие» рамки только этой характеристики АИТ не укладывается, картина его течения оказалась более разнообразной.
2. По классификации национального руководства по эндокринологии под редакцией Дедова И.И.
Наиболее часто встречающиеся формы тиреоидита:
- Гипертрофический тиреоидит (с увеличением щитовидной железы) = тиреоидит Хашимото, причём чаще встречается узловая (правильнее сказать «псевдоузловая форма» *), размеры железы могут достигать более 80-100 мл в объёме.
Псевдоузлы при АИТ - это очаги с выраженным воспалительным процессом. - Атрофический тиреоидит (с уменьшением железы менее 4.5 мл в объёме - это сумма объёма обеих долей), который надо дифференцировать с врождённой гипоплазией щитовидной железы
- Послеродовый тиреоидит - по названию понятен срок его возникновения и причины вызвавшие, классически имеет волнообразное течение: первые 3-6 месяцев выражаются тиреотоксической фазой, следующие 6-12 месяцев - гипотиреоидной фазой, затем наступает спонтанное восстановление в эутиреоз). Может быть и другое течение послеродового тиреоидита: только гипотиреоидная фаза первые 3-6 месяцев, иногда и без восстановления в эутиреоз, с сохранением стойкого гипотиреоза. Интенсивность тиреоидной дисфункции при обеих фазах может быть разной (я говорю, в данном случае, о степени выраженности гипо- или гипертиреоза, от латентного течения до клинически ярко выраженного).
Сроки наступления/чередования фаз тоже могут быть разными. Например, начало послеродового тиреоидита может быть через полгода или даже через год после родов. а не через 3 месяца.
3. Более редкие формы АИТ:
Есть ещё классификация Davies T. 1993 года, по которой были попытки «состыковать» структурные аномалии и функцию щитовидной железы, которая более подробно отражает варианты течения АИТ.
- АИТ 1 типа с эутиреозом (нормальным гормональным фоном).
1 А - с зобом
1 В - без зоба - АИТ 2 типа с гипотиреозом.
2 А - с зобом (Хашимото)
2 В - атрофический
2 С - с Хаши - токсикозом, то есть начинается всё с тиреотоксикоза и затем исход в гипотиреоз (или исход в эутиреоз).
Вот на последнем варианте хочу остановиться ещё подробнее. Есть варианты течения АИТ 2 типа 2 С, когда фазы тиреотоксикоз/эутиреоз или тиреотоксикоз гипотиреоз - чередуются между собой, несколько раз в течение жизни. Периодичность их чередования предсказать сложно), длительность каждой фазы по нескольку месяцев, я видела чередование до 5 раз! Естественно, что это редкий вариант течения АИТ. Суть в том - это не надо лечить! (если только речь не идёт о планировании беременности!), этот процесс саморазрешающийся! Что провоцирует такое течение АИТ пока остаётся не ясным.
Есть ещё УЗ- классификация АИТ по В.П. Харченко (1999 года) при которой АИТ бывает 4-х УЗИ - типов:
- диффузная форма,
- очаговая форма,
- диффузно-очаговая форма,
- сочетанная с узловыми образованиями разной эхогенности и структуры.
Достаточно нередкий вариант для Санкт-Петербурга это одновременное протекание ДТЗ и АИТ, что усложняет процесс лечения ДТЗ! Суть в том, что при использовании классических схем лечения ДТЗ на фоне АИТ (по «убывающей схеме») пациент «быстро впадает» в гипотиреоз, а при снижении дозы - снова в тиреотоксикоз, и так продолжается несколько раз, до окончательного подбора дозы, удлиняется период до достижения ремиссии.
АИТ часто сопровождает «обычный» коллоидный узловой зоб, суть в том, что если при «изолированном» коллоидном зобе после оперативного удаления одной доли щитовидной железы функция оставшейся доли сохраняется и лечение гормонами не требуется, то сочетании с АИТ - вторая доля «не тянет» функцию удалённой доли и требуется, как правило, пожизненное лечение гормонами.
Реже встречается, гипотиреоз после таких операций транзиторный (преходящий), с последующим восстановлением в эутиреоз функции оставшейся доли без гормонозаместительной терапии (ГЗТ).
Не исключено сочетание АИТ с раком щитовидной железы, поэтому проведение пункции узлов (ТАБ = аспирационной тонкоигольной биопсии), так же необходимо при узлах более 1 см, как и при коллоидном зобе.
Причины появления АИТ до сих пор до конца не ясны, есть предположения о наследственной предрасположенности, особенно по женской линии, вирусной теории, теории переизбытка йода в окружающей среде, сочетании с другими иммунными заболеваниями, проблемами с экологией и т.д.
УЗИ щитовидной железы при патологии (тиреоидиты)
Нередко данная патология может выявляться на УЗИ щитовидной железы в Красноярске. Причина заболевания - микробная инфекция, возбудителями его обычно являются стафилококк‚ стрептококк‚ пневмококк, кишечная палочка. Микробы попадают в щитовидную железу гематогенным или лимфогенным путем‚ чаще при воспалении миндалин, а также при пневмонии, сепсисе, тифе.

По нашему опыту исследования пациентов на УЗИ щитовидной железы начало заболевания достаточно острое, когда появляется резкая боль в области передней поверхности шеи, усиливающаяся при глотании и поворотах головы, иррадиирущая в затылок, уши, челюсти, температура тела повышается до 38—40 °С; больных беспокоят озноб. общая слабость, нарушение сна. На УЗИ щитовидная железа увеличена в размерах, консистенция ее плотноэластическая, при пальпации и давлении датчиком железа резко болезненна.
Кожа над щитовидной железой может быть гиперемированной, теплой или горячей на ощупь‚ особенно в случае образования абсцесса железы. В этом случае при ультразвуковом сканировании можно обнаружить размягченный гипоэхогенный участок и флюктуацию. Регионарные лимфатические узлы часто увеличены. При несвоевременном противовоспалительном лечении возможно самопроизвольное вскрытие абсцесса и образование на передней поверхности шеи свища.
При общем анализе крови у больных острым гнойным тиреоидитом (струмитом) выявляются нейтрофильный лейкоцитоз, увеличение СОЭ, лимфопения, эозинопения. Функциональная активность щитовидной железы, как правило, не нарушена, что подтверждается и результатами лабораторных исследований. Показатели основного обмена, поглощения радиоактивного йода щитовидной железой‚ уровни в крови тиреоидных гормонов и тиротропина находятся в пределах нормальных колебаний. Заболевание обычно заканчивается выздоровлением, переход его в гипотиреоз, даже в случае проведения хирургического вскрытия обширных абсцессов, наблюдается чрезвычайно редко.
Ультразвуковое исследование при остром гнойном тиреоидите (струмите) используется в целях получения данных для дифференциальной диагностики с другими формами тиреоидитов (струмитов), выявления абсцессов, а также для контроля за эффективностью противовоспалительной терапии.
По нашему большому опыту проведения УЗИ в Красноярске щитовидная железа при остром гнойном тиреоидите (струмите) обычно увеличена в объеме, эхогенность ткани может быть умеренно снижена за счет явлений отека, воспалительные очаги имеют вид гидрофильных участков неправильной формы, без четких границ.
Абсцесс щитовидной железы мало отличается от абсцессов другой органной локализации. Для него характерно появление эхонегативного участка округлой или овоидной формы, с плотной капсулой и эхопозитивными включениями во внутренней области. На УЗИ щитовидной железы острый тиреоидит можно легко отдифференцировать от подострого тиреоидита де Кервена, однако могут возникнуть трудности при дифференциальной диагностике данного заболевания со злокачественным новообразованием щитовидной железы, особенно с анапластической карциномой.
ФИБРОЗНЫЙ ТИРЕОИДИТ (ЗОБ РИДЕЛЯ) НА УЛЬТРАЗВУКОВОМ СКАНИРОВАНИИ
Фиброзный тиреоидит - редкое заболевание, этиология которого неизвестна. Хронический воспалительный процесс сопровождается разрастанием соединительной ткани, которая постепенно замещает нормальную ткань щитовидной железы, увеличивает ее размеры и прорастает в капсулу, а также близлежащие мышцы, сосуды и нервы. При проведении УЗИ видно, как щитовидная железа оказывается спаянной с капсулой и соседними органами. Если воспалительный процесс с разрастанием соединительной ткани захватывает часть железы, у больных сохраняется эутиреоидное состояние, если поражена вся железа, развивается гипотиреоз. Щитовидная железа инфильтрирована плазматическими клетками и полиморфноядерными лейкоцитами, однако характерные для аутоиммунного тиреоидита клетки Ашкенази отсутствуют.
Заболевание развивается медленно, больные предъявляют жалобы на ощущение давления в области передней поверхности шеи, ощущение кома в горле, затруднение при глотании. По мере развития спаечного процесса больных начинают беспокоить нарушение дыхания, осиплость голоса, затем афония вследствие вызванного сдавлением нижнегортанных нервов пареза голосовых связок.
Щитовидная железа на ультразвуковом сканировании увеличена диффузно или за счет одной из боковых долей, при глотании не смещается, безболезненна при пальпации, каменистой плотности, поверхность ее гладкая или слегка бугристая. Регионарные лимфатические ‘узлы не увеличены, температура тела не повышается.
Проводя УЗИ щитовидной железы в Красноярске нам приходиться дифференцировать данное состояние с острым и подострым тиреоидитом, имеющим характерные отличия от фиброзного как по ультразвуковой, так и в клинической картине, сделать это несложно. С другой стороны, проводить дифференциальную диагностику с аутоиммунным тиреоидитом и особенно с раком щитовидной железы представляет значительные трудности, так как при фиброзном тиреоидите может быть повышен в крови уровень антител к тиреоидным антигенам и имеются сходные особенности консистенции железы на УЗИ. В этих случаях ведущую роль приобретает тонкоигольная аспирационная пункционная биопсия щитовидной железы под ультразвуковым контролем.
Для ультразвуковой картины фиброзного тиреоидита характерно выраженное увеличение объемов долей щитовидной железы, значительное снижение акустической плотности ткани и появление массивных участков фиброза, соединительнотканных прослоек‚ придающих железе дольчатую структуру. Аналогичный вид на УЗИ щитовидки в Красноярске может наблюдаться при аутоиммунном тиреоидите.
Тиреоидит Хашимото на УЗИ

Результаты КТ. Обычная компьютерная томограмма. Неспецифические данные: типичное симметричное увеличение щитовидной железы, диффузное снижение плотности. Некроз или кальцификация очевидны при проведении этого исследования
МРТ данные. Неспецифические находки с неоднородной интенсивностью сигнала. На T2WI, паренхиматозный сигнал может диффузно увеличиваться с более низкой интенсивностью фиброзных полос
Результаты ядерной медицины. ПЭТ. Нормальная щитовидная железа может иметь умеренное диффузное поглощение ФДГ. Тиреоидит Хашимото может показать поглощение щитовидной железы, а Tc-99m pertechnetate и I-123 наиболее часто используемые агенты. Раннее: диффузное, равномерное накопление фармпрепарата, повышенная активность, имитирующая болезнь Грейвса. Позже, грубый, пятнистый рисунок, имитирующий активность многоузловой зоб
Рекомендации по ультразвуковой визуализации тиреоидита Хашимото
Лучший инструмент на первом этапе - проведение УЗИ. Диагноз ТХ ставится по клиническим и биохимическим тестам функции щитовидной железы, в дальнейшем визуализация не нужна для диагностики. Повышенный риск неходжкинской лимфомы (НХЛ) и папиллярного рака при данной патологии. УЗИ - идеальный метод визуализации для мониторинга железы и раннего выявления НХЛ и папиллярного рака, метод также оценивает щитовидную железу и смежные лимфоузлы шеи и легко комбинируется с ТАБ для подтверждения диагноза
Протокол ультразвукового исследования. При сканировании пациентов с ТХ всегда оценивают щитовидную железу (± ТАБ) рассматриваемой на предмет развития НХЛ и папиллярной карциномы. Нередко определяется очаговая выпуклость в контуре железы, кальцификация в узле, связанная с тиреоидитом Хашимото. Кальцификация в любом узле с ТХ имеет 50% риск злокачественного образования (по сравнению с 4,7% в некальцифицированном узле). Также требуют внимания развитие областей с плохо определенной гипоэхогенностью, очаговой или диффузной структурой, ± эффект массы, в сочетании с лимфоматозными / злокачественными узлами шеи
Дифференциальная диагностика на ультрасонографии
- Неходжкинская лимфома щитовидной железы. Фокальная / диффузная гипоэхогенная картина паренхиматозной эхоструктуры, ± распространение вне щитовидной железы, ± лимфоматозная аденопатия. Большинство пациентов с первичной лимфомой щитовидной железы имеют антецедентный анамнез
- Болезнь Грейвса. Диффузный, гипоэхогенный, пятнистый рисунок, гетерогенная паренхиматозная эхоструктура с повышенной васкуляризацией
- Тиреоидит де Кервена. Фокальная, плохо определенная гипоэхогенная область в щитовидной железе ± повышенная васкуляризация прогрессивная при контрольных исследованиях. У пациента может быть повышенная температура, повышенное количество лейкоцитов и болезненный комок щитовидной железы, ± тиреотоксикоз
- Тиреоидит Риделя (инвазивный фиброзирующий тиреоидит). Доброкачественный фиброз части или всей щитовидной железы, ее диффузное увеличение и расширение на окружающие ткани
- Анапластическая карцинома щитовидной железы. Гетерогенная, плохо выраженная, гипоэхогенная инфильтративная опухоль на фоне многоузлового зоба с ассоциированными некротическими узлами

Патология. Основные характеристики
Этиология. Антитреоидные аутоантитела продуцируют антитироглобулин, антитиропероксидазу, анти-TSH-рецептор-антимитохондриальное антитело. Происходит дефект функциональной организации железы.
Генетика. Семейная предрасположенность: ≤ 50% родственники 1-й степени имеют повышенные аутоантитела к щитовидной железе
Связанные аномалии. Неходжкинская лимфома щитовидной железы. Пациенты с ТХ имеют риск развития НХЛ щитовидной железы в 70-80 раз. > 85% пациентов с первичной лимфомой щитовидной железы имеют сосуществующий тиреоидит Хашимото и энцефалопатию Хашимото. Редкая ассоциация, хорошо реагирует на кортикостероиды. Подострая энцефалопатия с судорогами или нарушениями движения в сочетании с интратекальными антитиреоидными антителами. Ювенильный тип тиреоидита Хашимото связан с диабетом типа 1 и другими аутоиммунными эндокринными заболеваниями, а также с синдромами Дауна и Тернера
Общие патологические и хирургические особенности
- Солидная, симметрично увеличенная железа
- Желто-коричневая паренхима; лимфоцитарная инфильтрация создает текстуру «рыбьей плоти»
- Фиброз может подчеркнуть лобулярную архитектуру щитовидной железы
Микроскопические особенности. Классическая диагностика ТХ требует наличия 4 признаков. Диффузная инфильтрация стромы между фолликулами с лимфоцитами и плазматическими клетками. Клеточная метаплазия Гюртле может образовывать узлы - атрофические, маленькие фолликулы щитовидной железы без коллоида с фиброзом
Фиброзирующий вариант ТХ наблюдается у 10% пациентов пожилого возраста, как правило, мужчины страдают чаще, чем женщины. Атрофическая щитовидная железа с плотным келоидным фиброзом
Ювенильная форма ТХ. Выдающийся лимфоцитарный инфильтрат без выраженных клеток Гюртле или железистой атрофии. Гиперплазия часто присутствует; может иметь гипертиреоз
Клинические проблемы и проявления. Наиболее распространенные признаки / симптомы. Постепенное, безболезненное увеличение щитовидной железы. Пациенты чаще всего страдают эутиреозом с нормальными гормонами Т3 и Т4 (субклиническая форма тиреоидита Хашимото). Другие признаки / симптомы. 20% больных страдают гипотиреозом, 5% - ранний хашитоксикоз
Клинический профиль. Женщина ≥ 40 лет с постепенным умеренным увеличением щитовидной железы
Демография. Возраст. Пик заболеваемости: 40-50 лет. Ювенильная форма преимущественно у подростков
Пол. Отношение Мужчины: Женщины = 1: 9. Ювенильная форма М: Ж = 1: 2
Эпидемиология. Наиболее распространенная причина зобного гипотиреоза в Красноярске. 10% населения имеют обнаруживаемые антитиреоидные аутоантитела. 3-4% имеют степень аутоиммунного тиреоидита
Естественная история и прогноз. Медленное продвижение к состоянию гипотиреоза на уровне около 5% в год. Наиболее важным осложнением является увеличение частоты злокачественных новообразований щитовидной железы. НХЛ - наиболее распространенный тип лимфоидной ткани (MALT), ассоциированный со слизистой оболочкой. Также папиллярные и Гюртле клеточные опухоли, лейкоз и плазмоцитома
Лечение
Читайте также:
