УЗИ при уретероцеле у плода
Добавил пользователь Владимир З. Обновлено: 22.01.2026
По данным различных авторов, уретероцеле* встречается у 0,5-1,5% детей с урологическими заболеваниями [24].
Приведем описание редчайшей формы - уретероцеле рудиментарного мочеточника при аплазии почки с соответствующей стороны.
Клинический случай. Ребенок А., 13 лет, поступил в Детскую областную больницу г. Калининграда с предварительным диагнозом - аплазия левой почки, киста культи мочеточника слева? Из анамнеза известно, что 3 года назад при ультразвуковом исследовании (УЗИ) у пациента выявлена аплазия левой почки; при цистоскопии устье левого мочеточника не обнаружено; на его месте найдено слепо заканчивающееся пупковидное втяжение.
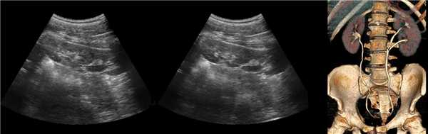
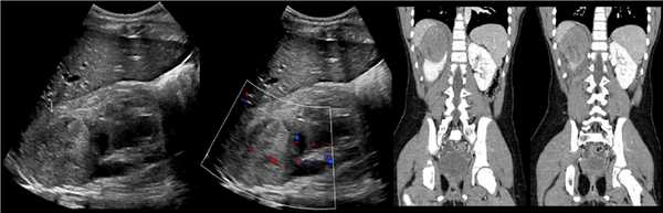
В марте 2002 г. в связи с эпизодом лейкоцитурии лечился у нефролога; при контрольном УЗИ впервые диагностированы изменения в мочевом пузыре и паравезикально слева. При повторном УЗИ выявлено (рис. 1а): правая почка увеличена в размерах (длина 12,7см; толщина паренхимы 1,6 см); чашечно-лоханочная система не расширена. Левая почка отсутствует. Стенки мочевого пузыря не изменены; в просвете слева определяется округлое образование 3,5 x 4,6 x 5,0 см с неоднородным содержимым (объем около 40 мл). Заключение: аплазия левой почки; уретероцеле слева.

а) Эхограмма.

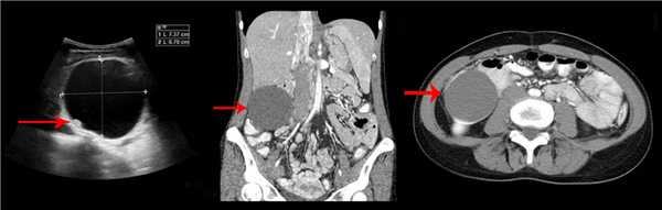
б) Компьютерная томограмма.

в) Схема КТ.
При экскреторной урографии - правая почка компенсаторно увеличена (длина 13 см), без нарушения уродинамики. Слева почка не контрастируется. Заключение: аплазия левой почки.
Компьютерная томография (КТ): в проекции устья левого мочеточника и на фоне мочевого пузыря слева определяется дополнительная тень 3,1 x 4,0 x 4,0 см с четкими контурами и плотной стенкой. Мочеточник выше устья расширен до 1 см. Заключение: КТ-картина уретероцеле слева, уретерэктазия слева (рис. 1 б, в).
При цистоскопии: правое устье мочеточника серповидной формы; на заднебоковой стенке слева, в пришеечной части в проекции левого мочеточника имеется образование 3,5 x 4,0 см, выбухающее в просвет пузыря; слизистая над ним в буллезном отеке, вы полнена ее биопсия. Устье левого мочеточника не обнаружено. Заключение: признаки экстравезикального образования с давлением на левую стенку мочевого пузыря. Убедительных данных за уретероцеле слева не найдено.
Заключение по цистоскопической биопсии: слизистая мочевого пузыря с неравномерно выраженной гипертрофией переходного эпителия и очаговой плоскоклеточной и железистой гиперплазией.
Клинический и биохимический анализы крови без патологических изменений. В клинических анализах мочи - эпизоды лейкоцитурии (до 40-60 клеток в поле зрения).
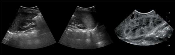
Выполнено оперативное вмешательство, во время которого обнаружено: 1) левый мочеточник длиной около 15 см проксимально заканчивается слепо, расширен до 1,0 см в диаметре, с жидким желеобразным содержимым; 2) пролабирующий в полость мочевого пузыря интрамуральный отдел и нижняя треть мочеточника кистозно изменены, округло расширены (4,0 х 3,0 х 4,0 см); 3) стенка мочевого пузыря истончена. Полностью иссечено рудиментарное образование из стенки мочевого пузыря.
Препарат: кистевидно расширенный в нижней трети мочеточник, слепо заканчивающийся проксимально.
Гистологическое заключение: полостное образование, представленное всеми структурными элементами мочеточника, с дегенеративными изменениями слизистой и участками фиброза, гипертрофии мышечных слоев. Элементов почки и неопластических очагов в препарате не выявлено.
Послеоперационный период протекал без осложнений. По результатам клинико-лабораторного обследования и эхографии ребенок выписан домой на 12-е сутки после операции.
Известно, что уроэпителиальные клетки постоянно секретируют мукополисахаридную субстанцию, выполняющую защитную функцию [5].
Вероятно, очередной эпизод цистита спровоцировал облитерацию терминального отдела левого мочеточника. Это привело к накоплению экскрета уротелия с последующей кистозной дилатацией интрамурального, позже юкставезикального, отделов рудиментарного левого мочеточника. Позднее появление у ребенка этих изменений при динамическом УЗИ органов забрюшинного пространства и наличие предшествующей лейкоцитурии подтверждают данную гипотезу.
Следует отметить, что ни рентгенологическим, ни томографическим, ни цистоскопическим методами достаточно точно интерпретировать обнаруженные изменения в мочевом пузыре и паравезикально не удалось. Более того, цистоскопия увела от правильного диагноза. Известно, что во время цистоскопии при повышении внутрипузырного давления уретероцеле может уменьшаться в размерах, вплоть до полного спадения, что затрудняет диагностику [1].
Эхография стала единственным самым ранним, наиболее щадящим и информативным методом диагностики этого редчайше го осложнения рудиментарного мочеточника. Эхография позволила совершенно однозначно идентифицировать уретероцеле рудиментарного мочеточника.
Тем не менее следует помнить, что эктопически расположенное уретероцеле (в шейке мочевого пузыря, в задней уретре и т.д.) не всегда может быть обнаружено при УЗИ [1].
Выводы
Уретероцеле может быть осложнением рудиментарного мочеточника.
Эхография - наиболее щадящий, самый ранний и информативный метод диагностики уретероцеле рудиментарного мочеточника.
Пациенты с аплазией почки как потенциальные обладатели рудиментарного мочеточника должны пожизненно регулярно проходить УЗИ мочевыделительной системы и при выявлении уретероцеле своевременно подвергаться оперативному лечению.
* В литературе уретероцеле всегда упоминается как компонент развития (заболевания) мочеточника, дренирующего почку.
Литература
- Уренков С.Б., Рослов А.Л. Ультразвуковая диагностика уретероцеле // Урология и нефрология. 1989. N1. С.31-34.
- Деревянко И.М., Деревянко Т.И. Аномалии устьев мочеточников, симулирующие заболевания органов брюшной полости // Вестник хирургии им. И.И. Грекова. 1987. N5. С.107-110.
- Уренков С.Б., Алпатов В.И. Клиника, диагностика и лечение уретероцеле // Урология и нефрология. 1985. N4. С.37-41.
- Ческис А.Л., Виноградов В.И., Тульцев А.И. Оперативное лечение уретероцеле неудвоенно го мочеточника у детей // Урология и нефрология. 1983. N4. С.33-38.
- Ашкрафт К.У., Холдер Т.М. Детская хирургия. Том II: Пер. с англ. Спб.: Изд-во СП "Пит-Тал", 1997. С.311.

УЗИ сканер WS80
Идеальный инструмент для пренатальных исследований. Уникальное качество изображения и весь спектр диагностических программ для экспертной оценки здоровья женщины.
Уретероцеле на УЗИ (лекция на Диагностере)
Уретероцеле представляет собой шаровидное расширение всех слоев внутрипузырной части мочеточника. Уретероцеле состоит из слизистой мочеточника и слизистой мочевого пузыря, а между ними прослойка из соединительнотканных волокон, но практически нет мышечных волокон обязательных для внутрипузырной части мочеточника. Двустороннее уретероцеле встречаются в 10% случаев.
В зависимости от положения устья мочеточника выделяют ортотопическое и эктопическое уретероцеле.
Ортотопическое уретероцеле (~25%) возникает при типичном положении устья в углу мочепузырного треугольника. Здесь слизистая плотно сращена с мышцами, поэтому ортотопическое уретероцеле всегда небольших размеров, хорошо сокращается и, как правило, не нарушает пассаж мочи. Мочеточник может быть расширенным, но обструкция чаще отсутствует и функция почек не страдает.
Эктопическое уретероцеле (~75%) возникает при расположении устья ближе к выходу из мочевого пузыря — в области внутреннего сфинктера, в задней уретре, а так же в простате, семенных пузырьках или семявыносящем протоке у мужчин. Эктопическое уретероцеле всегда больших размеров и вызывает обструкцию; в 80% случаев сочетается с удвоением почки, где устье мочеточника верхнего сегмента расположено ниже типичного места, верхний полюс почки обычно функционирует плохо или вообще не функционирует.
Нажимайте на картинки, чтобы увеличить.
Рисунок. При полном удвоение почки каждая из половин имеет самостоятельную лоханку и мочеточник, который открывается в мочевом пузыре самостоятельным устьем. При этом они дважды между собой перекрещиваются: на уровне нижнего полюса почки и в малом тазу. Устье мочеточника нижней половины в мочевом пузыре располагается выше устья мочеточника верхней половины (закон Вейгерта-Мейера). Уретероцеле, мегауретер и гидронефроз верхнего сегмента полноудвоенной почки; нижний сегмент почки не страдает.

Принято считать, что уретероцеле формируется во внутриутробном периоде при неполной перфорации мембраны, отделяющей мочевой пузырь от мочеполового синуса. Эта теория подходит для внутрипузырных стенотических уретероцеле, но развитие эктопических уретероцеле не объясняет.
Вероятно, не все уретероцеле врожденные. Воспаление или травма, которые сужают отверстие мочеточника, могут привести к выпачиванию мочеточника в просвет мочевого пузыря.
Уретероцеле на УЗИ
Исследование проводят при наполненном мочевом пузыре. Используют конвексный датчик 3,5-5 МГц. Смотри УЗИ мочевого пузыря (лекция на Диагностере).
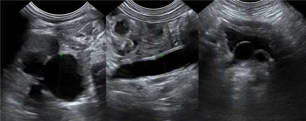
На УЗИ в мочевом пузыре или в уретре определяется анэхогенное образование, округлой формы, с четким и ровным контуром; соответствующий мочеточник обычно заметно расширен; может присутствовать гидронефроз верхней части удвоенной почки. Уретероцеле определяют как внутрипузырные (полностью внутри мочевого пузыря) или внепузырные (некоторая часть постоянно расположена в шейке мочевого пузыря или в уретре).
Рисунок. Внутрипузырный (1) и внепузырный (2) уретероцеле.

Уретероцеле может варьировать в размерах от крошечной кистозной полости до большого баллона, который заполняет мочевой пузырь. Прогноз связан со степенью обструкции и рефлюкса. Важно измерить толщину и эхогенность почечной паренхимы, чтобы оценить степень повреждения почек.
- Степень 1: небольшое уретероцеле с незначительными изменениями верхних мочевых путей — чаще затронут только верхний полюс удвоенной почки;
- Степень 2: крупное уретероцеле со значительными изменениями верхних мочевых путей — пострадали оба сегмента удвоенной одной почки;
- Степень 3: страдают обе почки — двусторонний уретерогидронефроз.
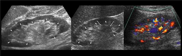
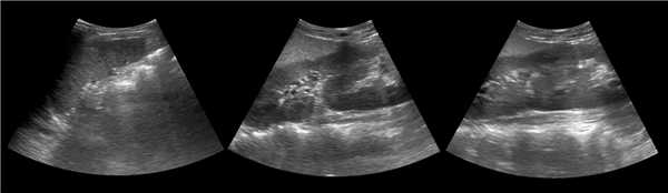
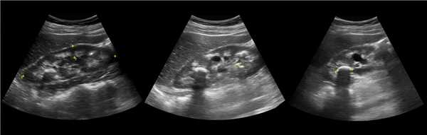
Рисунок. У новорожденного на УЗИ почек определяется гидронефроз (1) и расширенный мочеточник (2) справа. В мочевом пузыре двустороннее уретероцеле (3). При исследовании левой почки структурных изменений не выявлено.

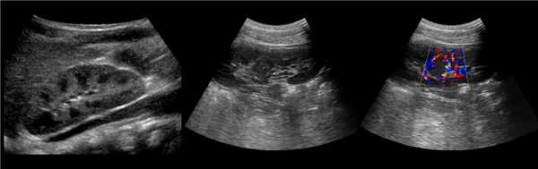
Рисунок. На УЗИ определяется удвоенная чашечно-лоханочная система, расширена лоханка верхнего сегмента (1) и мочеточник на всем протяжение (2, 3), в мочевом пузыре уретроцеле (4). Полное или неполное удвоение чашечно-лоханочной системы возможно увидеть с помощью КТ-урографии.

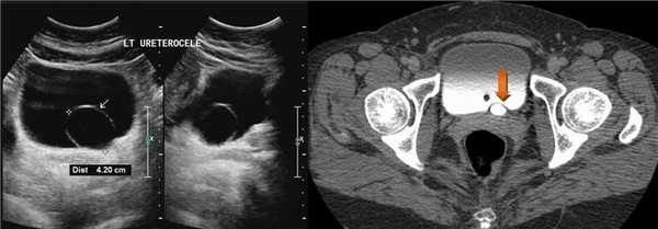
Рисунок. КТ-урография (1) показывает неполное удвоение ЧЛС слева: два мочеточника соединяются на входе в таз и единым мочеточником вступают в мочевой пузырь; внутрипузырная часть мочеточника расширена (красная стрелка) — уретероцеле. Уретероцеле хорошо видно на рентгенограммах (2) при экскреторной урографии: правый мочеточник расширен на всем протяжении, дистальный отдел кистозно расширен — «голова кобры».

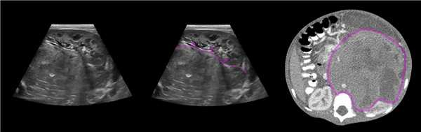
Рисунок. Уретероцеле (стрелка) на УЗИ и КТ.

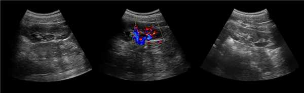
Рисунок. Дистальный отдел мочеточника расширен, в мочевом пузыре анэхогенное образование с тонким и ровным контуром — уретероцеле.

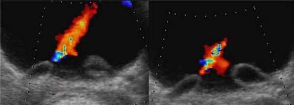
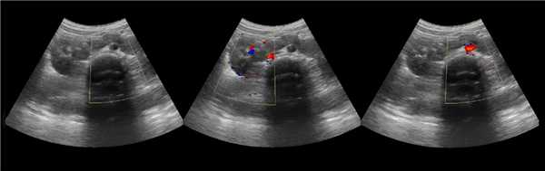
Рисунок. Двустороннее уретероцеле на УЗИ: в режиме ЦДК из верхушек уретероцеле определяется выброс мочи.

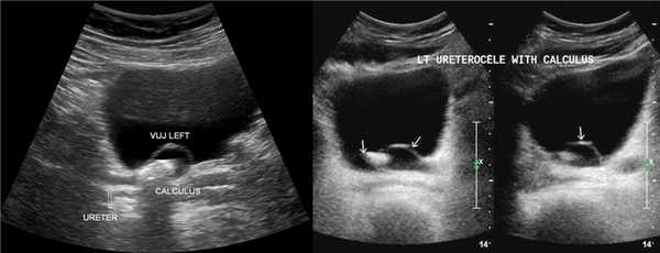
Рисунок. На УЗИ в уретероцеле определяется гиперэхогенная структура с акустической тенью — камень. Уретероцеле может являться одним из факторов, способствующих камнеообразованию.

«Бог в мелочах»
Если обнаружили гидронефроз верхнего сегмента удвоенной почки, должно поискать расширенный мочеточник и уретероцеле.
Иногда расширенный мочеточник или гипоэхогенная матка приподнимают задне-нижнюю стенку мочевого пузыря, тогда ошибочно диагностируют уретероцеле. Обратите внимание, уретероцеле отделено от просвета мочевого пузыря тонкой мембраной, а псевдоуретероцеле — толстой стенкой.
УЗИ почек для начинающих (лекция на Диагностере)
Почки расположены забрюшинно в поясничной области на уровне двух последних грудных и двух первых поясничных позвонков. Правая почка, как правило, на 1-2 см ниже левой.
Паренхима почки состоит из коркового слоя и пирамид. Почечные столбы (колонны Бертини) между пирамидами состоят из коркового вещества. Пирамида и покрывающее ее корковое вещество образуют почечную дольку. На вершине пирамиды открываются отверстия сосочковых канальцев.
Почечный синус содержит чашечно-лоханочный комплекс (ЧЛК), сосуды, нервы, соединительную ткань и жир. Маленькая чашечка садится на вершину пирамиды как молокоотсос на сосок. Моча активно поступает в маленькие и большие чашечки → почечную лоханку → мочеточник → мочевой пузырь → уретру.

УЗИ почек
Используют конвексный датчик 2,5-7,5 МГц. При подозрении на патологию исследование проводят с наполненным мочевым пузырем при появлении позыва на мочеиспускание. После мочеиспускания почки осматривают повторно.
Нас интересует расположение, размер, эхогенность, эхоструктура почек, а так же проходимость мочевыводящих путей. Как оценить размер почек у детей и взрослых подробнее смотри здесь.
Мочевой пузырь и дистальный отдел мочеточника на УЗИ
В положении пациента лежа на спине в надлобковой области выводим мочевой пузырь. Оцените наполнение мочевого пузыря и дистальный отдел мочеточников. В норме дистальный отдел мочеточника не видно. Мочеточник более 7 мм в диаметре — мегауретер.
Рисунок. На УЗИ расширенный дистальный отдел мочеточника (1, 2, 3). Про уретероцеле (3) подробнее смотри здесь.

Эхогенность почек
В положении пациента на спине по среднеключичной и переднеподмышечной линии выводим правую почку в соседстве с печенью, а левую почку вблизи селезенки. Оцените эхогенность почек. Корковый слой почки в норме изо- или гипоэхогенный по отношению к печени и гипоэхогенный по отношению к селезенке.
Рисунок. Эхогенность органов сравнивают на одном срезе. На УЗИ нормальная почка по соседству с печенью (1) и селезенкой (2). У детей до 6 месяцев паренхима почек в норме может быть гиперэхогенной по сравнению с печенью (3).

Форма почек на УЗИ
Чтобы увидеть верхний полюс почки, попросите пациента сделать глубокий вдох. Форма почки бобовидная — выпуклая с латеральной и вогнутая с медиальной стороны. Как вариант нормы расценивают эмбрионально-дольчатую почку, а так же горбатую левую почку.
Рисунок. На УЗИ (1) и КТ (2, 3) контур почек волнистый. У эмбриона почка развивается из отдельных долек, которые сливаются по мере их роста. Дольчатое строение почек хорошо видно у плода и новорожденных, в единичных случаях сохраняется у взрослых.

Рисунок. Можно встретить горбатую левую почку — выпуклый неровный наружный контур из-за гипертрофии паренхимы в средней трети почки. Считают, что «горб» формируется у плода под давлением нижнего края селезенки.

Рисунок. Сканирование со стороны передней брюшной стенки позволяет не пропустить перешеек между почками. Перешеек спереди от позвоночника является доказательством сращения почек — подковообразная почка. Варианты анатомии подковообразных почек смотри здесь.

Видео. На УЗИ подковообразная почка
Эхоструктура почек
В нормальной почке пирамиды гипоэхогенные, корковое вещество и колонны Бертини изоэхогенны друг другу. В синусе располагается в норме невидимый ЧЛК, гиперэхогенная соединительная и жировая ткань, гипоэхогенные сосуды и вершины пирамид.
Когда различают пирамиды, корковое вещество, почечные колонны, то эхоструктура паренхимы почки не изменена. Если их не видно, то эхоструктура изменена за счет отсутствия четкой корково-мозговой дифференциации.
Рисунок. На УЗИ почка с неизмененной эхоструктурой: гипоэхогенный по отношению печени корковый слой и колонны Бертини, почти анэхогенные пирамиды, гиперэхогенный синус.

Рисунок. У 37% здоровых новорожденных в первые сутки жизни на УЗИ определяются симптом «белых пирамидок». Преципитация белка Тамма-Хорсфалла и мочевой кислоты вызывает обратимую обструкцию канальцев. К 6 неделям жизни проходит без лечения.

Рисунок. На УЗИ здоровая почка: вдоль основания пирамид (кортикомедуллярный переход) определяются линейные гиперэхогенные структуры с гипоэхогенной дорожкой в центре. Это дугообразные артерии, которые ошибочно расценивать как нефрокальциноз или камни.

Видео. Дугообразные артерии почки на УЗИ
Рисунок. На УЗИ нижний полюс почки отделяет гиперэхогенная фиброзная перемычка; лоханка нижнего сегмента 7 мм. Это вариант нормального строения почки. Почка может быть деформирована, поэтому ее размер и длина немного меньше противоположной. Небольшое расширение лоханки под перемычкой сохраняется пожизненно.

Видео. На УЗИ фиброзная перемычка в почке (вариант строения)
Бывает колонна Бертини врезается в центральную часть почки, разделяя ее полно или неполно на две части. Такая паренхиматозная перемычка — это паренхима полюса одной из эмбриональных долек, которые сливаясь образуют почку; состоит из коры, пирамид, колонн Бертини — все элементы без признаков гипертрофии или дисплазии. Термин гипертрофия колонны Бертини не отражает морфологию структуры, точнее считать данное образование паренхиматозной перемычкой.
Рисунок. На УЗИ округлое образование разделяет почечный синус на два сегмента с общей лоханкой; междолевые артерии огибают образование; эхогенность и интенсивность сосудистого рисунка внутри близка корковой зоне. Заключение: Гипертрофия колонны Бертини или неполная паренхиматозная перемычка. Это вариант нормального строения почки. Термин «неполное удвоение ЧЛК» неверный, т.к. неполная паренхиматозная перемычка не является признаком удвоения ЧЛК.

Рисунок. На УЗИ синус почки разделяет полная паренхиматозная перемычка (1, 2). В таких случаях разграничить удвоение почки от гипертрофии колонны Бертини поможет экскреторная урография. Удвоенная почка покрыта общей фиброзной капсулой. Полное удвоение предполагает наличие двух лоханок, двух мочеточников и двух сосудистых пучков. Неполноудвоенная почка (3) питается одним сосудистым пучком, мочеточник может быть удвоен вверху и впадать в мочевой пузырь одним или двумя устьями. Удвоение ЧЛК и мочеточников — фактор риска развития патологии (пиелонефрита, гидронефроза и др.).

Рисунок. На УЗИ синус почек широкий, неоднородной эхоструктуры (1, 2). На фоне гиперэхогенного жира гипоэхогенный очаг округлой формы (2), при ЦДК междолевые сосуды проходят через гипоэхогенную зону без смещения (3) — это гипоэхогенный жир. При ожирении липоматоз синуса можно ошибочно принять за атрофию паренхимы.

Мочеточник, малые и большие чашечки в норме не видно на УЗИ. Существует три типа расположения лоханок: интра-, экстраренальный и смешанный (частично внутри почки, частично вне ее). При интраренальном строение просвет лоханки в раннем возрасте до 3 мм, в 4-5 лет — до 5 мм, в пубертате и у взрослых — до 7 мм. При экстраренальном и смешанном типе строения — 6, 10 и 14 мм, соответственно. При переполненном мочевом пузыре лоханка может увеличиваться до 18 мм, но через 30 минут после мочеиспускания сокращается.
Рисунок. Независимо от наполнения мочевого пузыря на УЗИ видно лоханку смешанного (1, 2) и экстраренального (3) расположения.

Рисунок. У детей до 1 года на УЗИ синус почки определяется слабо, анэхогенные пирамиды можно ошибочно принять за расширенный ЧЛК (1). На УЗИ в воротах почки линейная гипоэхогенная структура похожа на расширенную лоханку (2); при ЦДК видно, что это сосуды (3).

Аномалии расположения почек на УЗИ
Аномалии расположения почек возникают при нарушении перемещения первичной почки из таза в поясничную область. Почти всегда форма почки изменена, а ворота открыты вперед.
При грудной дистопии почка обычно входит в состав диафрагмальной грыжи. При поясничной дистопии лоханка находится на уровне L4, при подвздошной — L5-S1. Тазовая почка находится позади или чуть выше мочевого пузыря. При перекрестной дистопии мочеточник впадает в мочевой пузырь в обычном месте, а почка смещена контрлатерально.
Рисунок. Дистопия почек по отношению к скелету: грудная справа (1), двусторонняя поясничная (2), тазовая слева (3), поясничная справа и тазовая слева (4), поясничная удвоенной левой почки (5), перекрестная (6).

Рисунок. Дистопия почек по отношению друг к другу и их сращение между собой: сращение верхних концов (1), нижних концов и удвоение левой почки (2), средних частей тазово-дистопированных почек (3), боковых частей тазово-дистопированных почек (4), разных концов (5), под углом (6).

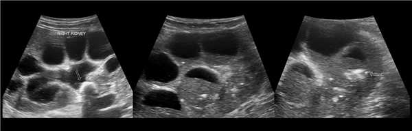
Рисунок. На УЗИ почечное ложе слева пустое (1). Обе почки расположены справа, срастаются полюсами (2, 3). Заключение: Аномалия взаиморасположения почек — I-образная удвоенная правая почка.

Рисунок. На УЗИ в малом тазу (мочевой пузырь — акустическое окно) определяются почки связанные узким перешейком (1, 3); дифференцировка паренхимы сохранена, кровоток прослеживается до капсулы (2, 3). Заключение: Аномалия взаиморасположения почек — сращение нижних полюсов тазово-дистопированных почек.

Подвижность почек на УЗИ
Отметим на коже уровень верхнего полюса почки в положении пациента лежа на животе и стоя. Перед повторным измерением попросите пациента попрыгать.
Как на УЗИ отличить нефроптоз от дистопии? В норме ПА отходит от аорты сразу ниже ВБА, при поясничной дистопии — вблизи бифуркации аорты, при тазовой дистопии — от подвздошной артерии.
Рисунок. При тазовой дистопии на внутривенной урографии в положении лежа мочеточник короткий, почка в тазу (1, 2). При нефроптозе на внутривенной урографии в положении лежа почка определяется в типичном месте (3), в положении стоя почка значительно приспускается (4).
УЗИ почек — патология (лекция на Диагностере)
Мочевой пузырь и дистальный отдел мочеточника на УЗИ
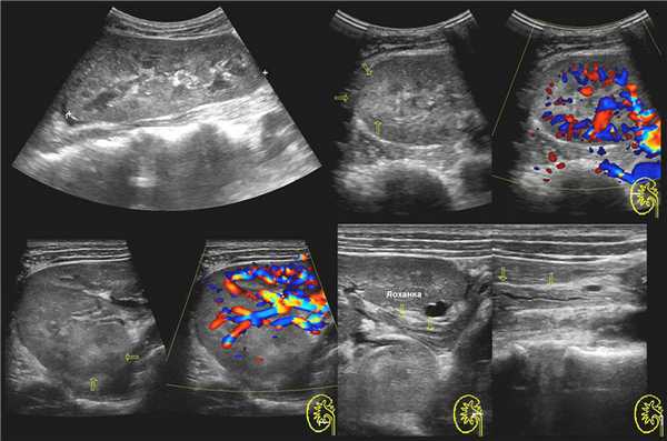
Рисунок. Пациент с острой почечной коликой. На УЗИ слева в дистальном отделе мочеточника гиперэхогенное округлое образование с акустической тенью (1), мочеточник расширен на всем протяжении (2), лоханка и большие чашечки умеренно расширены (3, 4). Заключение: Камень в дистальном отделе мочеточника. Вторичный мегоуретер и гидронефроз 2 степени.

Гидронефроз на УЗИ
Мочеточник, малые и большие чашечки в норме не видно на УЗИ. Существует три типа расположения лоханок: интраренальный, экстраренальный и смешанный тип. При интраренальном строение просвет лоханки в раннем возрасте до 3 мм, в 4-5 лет — до 5 мм, в пубертате и у взрослых — до 7 мм. При экстраренальном и смешанном типе строения — 6, 10 и 14 мм, соответственно. При переполненном мочевом пузыре лоханка может увеличиваться до 18 мм, но через 30 минут после мочеиспускания сокращается.
При нарушении оттока мочи лоханка и мочеточник выше места обструкции расширяются. Если расширена лоханка — это пиелоэктазия; вместе с лоханкой расширены чашечки — гидронефроз; в добавок расширен мочеточник — уретеропиелоэктазия или уретерогидронефроз. Исход гидронефроза — всегда гибель нефронов и атрофия паренхимы почки.
У мужчин гидронефроз развивается при опухолях простаты, у женщин чаще связан с беременностью и опухолями малого таза. Частые причины гидронефроза у детей — врожденный стеноз или сегментарная дисплазия мочеточника, подковообразная почка, неправильное отхождение мочеточника или добавочный сосуд. Гидронефроз может развиваться из-за пузырно-мочеточникового рефлюкса или при усиленном диурезе после приема мочегонных.
Выделяют 4 степени гидронефроза
Степень 1 — расширена только лоханка;
Степень 2 — расширенные чашечки вогнутой формы, почка не увеличена, паренхима не изменена;
Степень 3 — расширенные чашечки с плоскими сводами, почка увеличена, первые признаки атрофии паренхимы;
Степень 4 — чашечки округлой формы, почка сильно увеличена, значительное истончение паренхимы.

Рисунок. На УЗИ в правой почке расширена лоханка, большие и малые чашечки, мочеточник неизменен. Левая почка и мочевой пузырь без патологических изменений. Заключение: Обструкция лоханочно-мочеточникового соединения справа. Гидронефроз справа, 3 степень.

Рисунок. Мальчик в возрасте 5-ти месяцев с инфекцией мочевыводящих путей. На УЗИ двусторонний гидронефроз 3-4 степени (1, 4), двусторонний мегауретер (2, 5). В просвете мочевого пузыря, мочеточников и ЧЛК определяется гиперэхогенная взвесь. При цистографии расширена предстательная часть мочеиспускательного канала, что указывает на клапан задней уретры. При трансперинеальном УЗИ возможно видеть задний клапан уретры. Подробнее смотри здесь.

Рисунок. Пациент с высокой температурой и болью в спине. На УЗИ в правой почке чашечки округлой формы, 15х16 мм, с гиперэхогенным содержимым и уровнями, местами небольшие гиперэхогенные включения без тени; толщина паренхимы менее 2 мм, имеется кровоток; в лоханочно-мочеточниковом сегменте гиперэхогенное образование с акустической тенью (1). Заключение: Обструкция в лоханочно-мочеточникового сегмента (камень). Пионефроз. При нефростомии получен гной.

Рисунок. На УЗИ в месте синуса почки определяются анэхогенные неправильно овоидные образования, которые не сообщаются между собой. Заключение: Множественные парапельвикальные кисты синуса. Кисты синуса часто ошибочно принимают за расширенный ЧЛК. Кисты синуса представляют собой лимфатические затёки и могут самоликвидироваться. Крупные парапельвикальные кисты деформирует лоханку и нарушают отток мочи.

Камни в почках на УЗИ
Рисунок. На УЗИ нормальная почка. В нижнем полюсе небольшое гиперэхогенное включение без акустической тени (1, 3); ЦДК мерцающий артефакт (2). Заключение: Мелкий конкремент в малой чашечке нижнего полюса левой почки. Подтвержден на КТ.

Рисунок. Пациент с жалобами на дискомфорт при мочеиспускании. На УЗИ правая почка расположена в малом тазу, сосудистый пучок от подвздошных сосудов (1); в лоханке гиперэхогенное включение с акустической тенью позади, размер 10х10 мм (3, 4). Заключение: Тазовая дистопия правой почки. Эхо-признаки конкремент в лоханке справа. На рентгене (4) по средней линии над S1 позвонком округлое рентгенконтрастное включение.

Рисунок. Пациент с мочекаменной болезнью поступил с острой болью в пояснице слева. На рентгене (1) границы правой почки увеличены, рентгеноконтрастные камни в обеих почках (треугольники). На УЗИ (2, 3) в правой почке чечевицевидное аваскулярное гипоэхогенное образование с неоднородной эхоструктурой сдавливает паренхиму; в зоне ЧЛК гиперэхогенный очаг с дорзальной тенью (треугольник), при ЦДК артефакт мерцания. Заключение: Субкапсулярная гематома правой почки. Конкремент в ЧЛК справа, без признаков обструкции. На КТ в правой почке субкапсулярная гематома и конкремент в лоханке; в левой почке конкремент в мочеточнике и вторичный гидронефроз 2-3 степени.

Рисунок. Когда почечная лоханка и чашечки заполнены плотной кальцинированной массой, камень по форме напоминает коралл. На УЗИ (1) в почке коралловый камень с массивной акустической тенью позади, одна из верхних чашечек расширена.

Рисунок. На УЗИ (1) в правой почке определяется округлая полость анэхогенным и гиперэхогенным компонентом, которые меняют форму при поворотах пациента. На рентгене в положении лежа (2) в верхнем полюсе правой почки округлое рентгенконтрастное образование; в положении стоя (3) видно рентгенконтрастный уровень. Заключение: Киста почки с кальциевым молочком. Чаще всего кальциевое молоко скапливается в простых кистах паренхимы или дивертикулах чашечки. Если киста заполнена полностью, постановка диагноза проблематична.

Рисунок. У 37% здоровых новорожденных в первые сутки жизни на УЗИ определяются гиперэхогенные пирамидки без акустической тени. Преципитация белка Тамма-Хорсфалла и мочевой кислоты вызывает обратимую обструкцию канальцев. К 6 неделям жизни проходит без лечения.
Рисунок. Пациентка с жалобами на боли в пояснице. На УЗИ в обеих почках гиперэхогенные пирамидки без дорзальной акустической тени; в верхнем полюсе правой почки гиперэхогенное округлое образование с акустической тенью, размер 20 мм. Заключение: Медуллярный нефрокальциноз. Конкремент в верхней чашечки правой почки. Акустическая тень позади гиперэхогенных пирамидок определяется в крайних случаях медуллярного гиперкальциноза. Причины медуллярного нефрокальциноза: паратиреоз — 40% случаев, тубулярный канальцевый ацидоз (дистальный тип 1) — 20%, медуллярная губчатая почка — 20%.

Инфекция мочевыводящих путей на УЗИ
Инфекция мочевыводящих путей чаще восходящая: через уретру в мочевой пузырь (цистит) → по мочеточникам в ЧЛК (пиелит) и почки (пиелонефрит). При гематогенном распространении возможно изолированное поражение паренхимы почки — пиелонефрит.
Рисунок. Пациент с высокой температурой и лейкоцитурией до 120 в поле зрения. На УЗИ в правой (1, 2) и левой (3, 4) почках стенка ЧЛК утолщена до 3 мм, подобные изменения в дистальном отделе мочеточников. Заключение: УЗИ-картина может соответствовать инфекции мочевыводящих путей (пиелит).

Рисунок. Пациент с высокой температурой и лейкоцитурией. На УЗИ у верхнего полюса правой почки небольшой ободок жидкости (1); на поперечном срезе в среднем (2, 3) и нижнем (4, 5) отделе почки неоднородные гипер- и гипоэхогенные участки с нечетким контуром, без кровотока; стенка лоханки утолщена (6, 7). Заключение: УЗИ-признаки инфекции мочевыводящих путей (пиелонефрит справа).

Рисунок. Ребенок с высокой температурой и лейкоцитурией. На УЗИ в мочевом пузыре большое количество гиперэхогенной взвеси; левая почка без особенностей; у верхнего полюса правой почки определяется гипоэхогенная зона с ослабленным кровотоком. Заключение: УЗИ-картина может соответствовать инфекции мочевыводящих путей (цистит, пиелонефрит справа).

Хронические болезни почек на УЗИ
С помощью УЗИ диагностируют и наблюдают пациентов с хроническими заболеваниями почек. При гломерулосклерозе, атрофии канальцев, интерстициальном воспаление или фиброзе на УЗИ корковый слой почек гиперэхогенный, кортикомедуллярная дифференцировка сглажена. При прогрессировании болезни паренхима истончается и уменьшается размер почек.
Рисунок. На УЗИ хронический пиелонефрит (1): почка уменьшена до 74 мм, контур неровный за счет локального уменьшения толщины коркового слоя. На УЗИ хронический гломерулонефрит (2): размер почки 90 мм, кортикомедуллярная дифференцировка паренхимы сглажена, тонкий корковый слой повышенной эхогенности. На УЗИ нефротический синдром (2): гиперэхогенная почка без четкой дифференциации на корковое и мозговое вещество.


Рисунок. На УЗИ пациент с ХПН (1, 2, 3): почки уменьшены в размерах до 70х40 мм, толщина паренхимы 7 мм, кортикомедуллярная дифференцировка сглажена. На УЗИ терминальная стадия ХПН: почка очень маленькая — 36 мм, эхогенность значительно повышенна, различить паренхиму и синус не представляется возможным.
Кисты почки на УЗИ
Простые кисты почки на УЗИ — анэхогенные бессосудистые округлые образования с гладкой тонкой капсулой и усилением сигнала позади. У 50% людей старше 50 лет есть простая киста в почках.
Сложные кисты часто неправильной формы, с внутренними перегородками и кальцинатами. Если киста имеет неровный и даже бугристый контур, толстые перегородки, тканевой компонент, то риск злокачественных новообразований 85%-100%.
Рисунок. Классификация кист почек по Bosniak. Кисты тип 1 и 2 доброкачественные и не требуют дальнейшей оценки. Кисты тип 2F, 3 и 4 требуют дополнительных исследований.

Рисунок. На УЗИ простая (1, 2) и сложная (3) кисты почки. При отсутствии выхода мочи паренхима симметрично раздвигается во все стороны, образуя округлые паренхиматозные кисты. Паренхиматозные кисты никуда не исчезнут, могут только разорваться.

Рисунок. На УЗИ (1) в правой почке анэхогенное округлое образование, с четким и ровным контуром, в стенке гиперэхогенное тканевое включение. Заключение: Киста почки 2F тип по Bosniak. По результатам биопсии почечно-клеточная карцинома.

При поликистозе почек множественные кисты различного размера заполняют практически всю почку. На поздних стадиях заболевания, почки увеличены и отсутствует кортикомедулярная дифференцировка. Подробнее смотри Поликистоз почек на УЗИ.
Рисунок. На УЗИ (1, 2) и КТ (2) множественные кисты в обеих почках. Это аутосомно-доминантный поликистоз почек.

Опухоли почки на УЗИ
С помощью УЗИ трудно отличить доброкачественные и злокачественные опухоли почки, следует дополнительно использовать КТ и биопсию.
Доброкачественные опухоли почки — онкоцитома и ангиомиофиброма. Онкоцитома на УЗИ не имеет четких отличительных признаков, может иметь центральный рубчик и кальцификаты. Ангиомиофибромы состоят из жира, гладких мышц и сосудов. Когда преобладает жир, то опухоль гиперэхогенная. В 20% случаев ангиомиофибромы являются одним из проявлений туберозного склероза, синдрома Гиппеля-Линдау или нейрофиброматоза 1 типа.
Рисунок. На УЗИ (1, 2) в левой почке округлая изоэхогенная масса с четким и ровным контуром, хорошо видно центральный гипоэхогенный звездчатый рубчик. Это типичная УЗИ-картина онкоцитомы почки.

Рисунок. На УЗИ в корковом слое почки определяется гиперэхогенная неоднородная структура округлой формы, небольшой кровоток по периферии. УЗИ-картина может соответствовать ангиомиолипоме почки.

Рисунок. На УЗИ (1, 2) в нижнем полюсе левой почки лоцируется гиперэхогенное округлое образование, размер 26 мм. УЗИ-картина может соответствовать ангиомиолипоме почки.

Рисунок. На УЗИ в паренхиме почки множественные гиперэхогенные включения без акустической тени различных размеров. Это ангиомиолипомы почек у пациентов с туберозным склерозом.

Почечно-клеточный рак составляет 86% злокачественных опухолей почек. На УЗИ почечно-клеточный рак — это изоэхогенное образование неправильной формы расположенное на периферии паренхимы, но встречаются гипо- и гиперэхогенные опухоли в мозговом веществе и синусе почки. Папиллярный, переходно-клеточный и плоскоклеточный рак возникает из уротелия и находится в почечной пазухе. Аденокарцинома, лимфома и метастазы могут находится в любом месте почке.
Рисунок. На УЗИ (1, 2) из нижнего полюса левой почки исходит неправильной формы масса, размер 50х100 мм; паренхима изоэхогенная неоднородная за счет кистозных полостей; активный внутренний кровоток. Это типичная УЗИ-картина почечно-клеточного рака.

Рисунок. На УЗИ (1) у верхнего полюса правой почки исходит гиперэхогенная неоднородная масса с кистозными полостями, контур бугристый, размер 70х120 мм. Необходимо дифференцировать опухоль почки и надпочечника. Заключение по результатам биопсии: Почечно-клеточный рак правой почки.

Рисунок. На УЗИ (1, 2) в брюшной полости определяется огромная неоднородная масса. На КТ (3) видно, что опухоль исходит из забрюшинного пространства слева. Левая почка придавлена, паренхима почки не изменена. Заключение по результатам биопсии: Нейробластома. Эта опухоль симпатической нервной системы в 35% случаев происходит из надпочечников, в 30-35% — из забрюшинных ганглиев, в 20% — из заднего средостения, 1-5% — на шее и 2-3% — в тазу.

Рисунок. На УЗИ (1) в правой почке гиперэхогенная неоднородная масса округлой формы, размер 25х25 мм. Заключение по результатам биопсии: Папиллярный рак правой почки.

Рисунок. На УЗИ (1, 2) в центральной части левой почки определяется аваскулярная изоэхогенная неоднородная масса с экзофитным ростом, размер 40х40 мм. Заключение по результатам биопсии: Плоскоклеточный рак левой почки.

Рисунок. На УЗИ в левой почке изоэхогенная неоднородная масса, длинник 26 мм (1). Условно опухоль можно разделить на две зоны: аваскулярное округлое образование с тонкой капсулой (2, 3) и аваскулярная зона с мелкими кистозными полостями и микрокальцификатами (2, 4). Заключение по результатам биопсии: Опухоль Вильмса. Опухоль Вильмса возникает из мезодермальных предшественников почечной ткани — метанефроса. Эта самая злокачественная опухоль почки у детей.

Задача. Девочка 6-ти лет проснулась посреди ночи с острой болью в животе; доставлена в больницу с диагнозом аппендицит. На УЗИ в проекции надпочечника неоднородная масса деформирует верхний полюс почки; жидкость вокруг почки в забрюшинном пространстве справа — острое кровотечение. Заключение по результатам биопсии: Опухоль Вильмса.

Задача. На УЗИ из верхнего полюсе правой почки исходит округлое изоэхогенное образование неоднородной эхоструктуры, активный внутренний кровоток. Заключение по результатам биопсии: Почечноклеточный рак.

Задача. Девочка 12-ти лет в течение года наблюдается с резистентной формой гипертонической болезни. В суточной моче повышена концентрация катехоламинов. На УЗИ в проекции левого надпочечника округлое образование неоднородной эхоструктуры с кистозными полостями; определяется внутренний кровоток. Заключение по результатам биопсии: Феохромацитома.
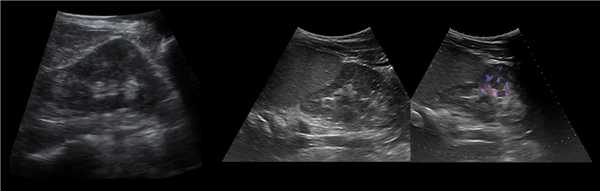
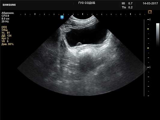
Мочевой пузырь - уретероцеле, B-режим

[EN] Эхограмма №728: «Пульсирующее» уретероцеле справа у мальчика 6 лет. Микроконвексный датчик 4-9 МГц (неонатальный), B-режим.
Автор: Суханов С.А., Саратов.
Изображение получено с помощью УЗ сканера H60 (снят с производства).
Публикации по теме
УЗИ мониторинг лечения обострения хронического простатита с развитием везикулита. Простатит является одним из наиболее часто встречающихся воспалительных заболеваний уронефрологии. Практически каждый третий мужчина, а по некоторым данным, почти половина мужчин в возрасте от 20 до 50 лет страдают хроническим простатитом. Целью данной работы явилось изучение возможностей ТРУЗИ с УЗ-ангиографией в оценке эффективности лечения обострения хронического простатита с развитием везикулита.
Интраоперационное трансректальное УЗИ при трансуретральной электрорезекции гиперплазии простаты. Согласно эпидемиологическим исследованиям, гиперплазия предстательной железы является весьма распространенным заболеванием у мужчин среднего, пожилого и старческого возраста. Используемые сегодня различные виды хирургического вмешательства обеспечивают большую вероятность уменьшения симптоматики и уродинамических нарушений, связанных с гиперплазией простаты. При этом для трансуретральной резекции простаты характерна высокая эффективность, при меньшем, по сравнению с открытыми вмешательствами, количестве и тяжести осложнений. С целью улучшения визуализации простаты и результатов трансуретральной резекции при ее гиперплазии мы использовали интраоперационное ТРУЗИ. При исследовании определяли топографо-анатомические особенности простаты и внутриорганное взаимоотношение аденоматозных узлов и хирургической капсулы предстательной железы.
Читайте также:
