Узловой фасциит века глаза: признаки, гистология, лечение, прогноз
Добавил пользователь Владимир З. Обновлено: 14.12.2025
Ихн Х., Департамент Дерматологии и Пластической хирургии, Факультет наук о Жизни, Университет Куматото, Куматото, Япония
Введение
В 1974 году Шульман предложил новое заболевание, названное «диффузный фасциит с эозинофилией» в докладе представленных 2 случаях со склеродермией - уплотнением кожи на конечностях, гипергаммаглобулинемией, эозинофилией в периферической крови, и диффузным фасциитом в гистологии.1
В обоих случаях были взрослые мужчины с двусторонней, симметричной, диффузной склеродермией - как уплотнение кожи на конечностях, сопровождаемой контрактурой суставов, которые появились после тяжелой физической нагрузки. Они имели не признаки болезни Рейно или поражения внутренних органов и положительно ответили на терапию кортикостероидами перорально. В докладе упомянута периферическая эозинофилия, но не эозинофильная инфильтрация тканей.
В 1975, Роднан (Rodnan) доложил о похожих случаях, предложив название «эозинофильный фасциит», потому что присутствовали периферическая эозинофилия и эозинофильная инфильтрация гипертрофированной фасции.2 Это название обычно использовалось, и в настоящее время считается связанным со склеродермией, потому что характеризуются склеротическими поражениями. В зависимости от стадии или локализации, это состояние не всегда представлено эозинофилией или эозионофильной инфильтрацией тканей.
По этой причине, в последнее время Американская коллегия ревматологов использовала название «диффузный фасциит с или без эозинофилии» для состояний, которые представлены склеротическими поражениями фасции, в дополнении характерной клинической картины.
В то время, как некоторые полагают, что следует использовать название «Синдром Шульмана» или «диффузный фасциит», «эозинофильный фасциит» является самым распространенным. Некоторые случаи диагностируются как системный склероз, ревматоидный артрит, запястный туннельный синдром (карпальный туннельный синдром), или неклассифицированное заболевание коллагена. Тщательное обследование кожи и проведение гистологии очень важны.
Эпидемиология
Хотя это состояние считается относительно редким, только в Японии сообщено около 100 случаев, многие случаи неизвестны, что ведет к отсутствию точных данных о распространенности. Часто встречается у взрослых в возрастной категории 20-60 лет, но также встречается и у детей и более старшего возраста людей. Чаще болеют мужчины, соотношение мужчины-женщины 1,5:1.
Этиология и патогенез (патофизиология)
Причина данного состояния неясна, хотя предполагается аутоиммунный механизм. В некоторых случаях это связано с наличием гипергаммаглобулинемии и похожих осложнений, наблюдаемых при аутоиммунных заболеваниях; ответом на стероиды (гормоны); и наличием ревматоидного фактора, антинуклеарного фактора, и иммунных комплексов.3,4 Это вызвано чрезмерной физической нагрузкой или работой, которые возможно провоцируют нацеленный аутоиммунный ответ поврежденной фасции.
Дермальные фибробласты при эозинофильном фасциите проявляют большую экспрессию коллагена 1 типа и фибронектина, чем здоровые дермальные фибробласты.5 К тому же фиброз образуется при повышенной продукции (выработке) тканями ингибитора металлопротииназы-1 (TIMP-1), ингибитор внеклеточного матрикса разрушая энзим матрикс металлопротеиназ-1 (MMP-1, коллагеназа).6
Высокие уровни эозинофильного катионного белка и сывороточного инерлейкина-5 (IL-5),7 и увеличенная способность эозинофильной миграции,8 которые связаны с повышенным количеством эозинофилов, предполагается, что эозинофилы вовлечены в механизм начала данного заболевания. Участие тучных клеток также является индикатором с повышенным количеством гистамина в плазме.9
В том отношении также сообщается о повышенной продукции IL-2, интерферон-ɣ (IFN-ɣ), и фактор ингибирования лейкозных клеток (LIF) периферическими мононуклеарными клетками в крови10; избыточная экспрессия лигандами СD 40,11 и повышенный уровень супероксид дисмутаз (SOD).12 Сообщалось, что увеличивается процент клеток Th17+ при этом заболевании.13
Однако, очаговое отсутствие окрашенных CD34 видны в фасции у пациентов с эозинофильным фасциитом.14 Эти данные свидетельствуют о вовлечении в патологию цитокинов и других субстанций.
Также сообщается о повышенной экспрессии трансформирующего фактора роста-β1 mRNA в фибробластах, полученные из фасции,15 и повышенной экспрессии генов фактора роста в фибробластах в фасции, поврежденных зон.16 Предполагают, что фиброз, связанные цитокины вносят свой вклад в патофизиологию.
Клинические симптомы
В типичных случаях, имеется история с чрезмерной физической нагрузкой или работой в течение нескольких дней за 1-2 недели до начала. В 50% случаев заболевание начинается внезапно, в некоторых случаях постепенное начало.
Основными симптомами являются симметричность, плотный отек с четкими границами и участок уплотнения на дистальных конечностях. Это сопровождается покраснением и болью на ранних стадиях, часто с проявлениями общих (системных) симптомов таких, как лихорадка или общая слабость. Поражения наблюдались и в проксимальных отделах, но никогда на лице и пальцах.
Пораженные участки кожи выглядят неровными, с глубоким фиброзом, выступающими волосяными фолликулами, которые выглядят как кожа апельсина (апельсиновая корка). Только кровеносные сосуды остаются мягкими на участках твердой кожи, которые создают борозды (симптом канавки).
Имеется ограничение в движение суставами, и пациенты становятся неспособными сидеть на полу ягодицами на их пятках (сейдза стиль). Пальцы не скованы, хотя скованность предплечий может быть причиной сгибательной контрактуры пальцев. Карпальный тунннельный синдром часто встречается в связи сдавлением на срединный нерв.
«Диагностические критерии, общая классификация и методические рекомендации для эозинофильного фасциита» были опубликованы в 2016 году17 как часть проекта исследований трудноизлечимых заболеваний 2014 года, финансируемая Министерством Здравоохранения, Труда и Благосостояния Японии.
Темой исследования была «Диагностические критерии, общая классификация и методические рекомендации для склеродермии и фиброзных заболеваний кожи» (главный исследователь Проф. Hironobu Ihn).17-20 Сейчас эти методические рекомендации служат в качестве диагностических критериев и оценки тяжести (таблица 1, 2).
Таблица 1. Диагностические критерии эозинофильного фасциита.
Малый критерий 1
При гистология биоптата кожи с фасцией видны фиброз подкожно-соединительной ткани, с утолщением фасции и клеточной инфильтрацией эозинофилов и моноцитов.
Малый критерий 2
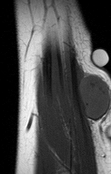
При магнитно-резонансной томографии видны утолщения фасции.
Диагноз выставляется в случае, когда у пациента имеется большой критерий и один малый или большой критерий и два малых.
Таблица 2. Классификация тяжести эозинофильного фасциита
Контрактура сустава (нижняя конечность): 1 балл
Ограничение движения (нижняя конечность): 1 балл
Распространение и ухудшение кожных высыпаний (прогрессирование симптомов): 1 балл
Сумма 2 и более баллов оценивается как тяжелое.
Гистопатологические результаты
Выполнение биопсии кожи с фасцией важно. Во время выполнения биопсии иногда подтверждается явным фасциальным утолщением. Гипертрофированная фасция в первую очередь показывает воспалительная инфильтрация клеток из лимфоцитов и плазмоцитов. Эозинофильная инфильтрация полезна для диагностики, о видна только на ранних стадиях заболевания.
Эозинофильная инфильтрация фасции видна в 50% случаев, которые были исследованы. При поражении в этом состоянии главным образом вовлечена фасция, хотя фиброз может достигать дермы, который может сопровождаться отеком и пролиферацией дермальных коллагеновых волокон и незначительной инфильтрацией воспалительных клеток, в основном лимфоцитами.
Лабораторная и инструментальная диагностика
Наблюдаются эозинофилия, высокая скорость оседания эритроцитов и гипергаммалобулинемия, хотя эозинофилия часто полностью исчезает в течение заболевания или временно появляется на ранних стадиях и затем исчезает. Высокая скорость оседания эритроцитов и гипергаммаглобулинемия наблюдаются в 60% случаев.
В некоторых случаях имеется повышенный уровень сывороточной альдолазы, которая, как известно, отражает активность заболевания.21
Уровень сывороточного пептид-проколлагена 3 типа (PIIIP) также отражает активность заболевания, что является достаточно точным и полезным маркером для этого состояния.22 В 10% случаев положительны антинуклеарные антитела и ревматоидный фактор.
МРТ, как неинвазивный метод исследования, полезен для определения локализации для биопсии, мониторинга течения и оценки результатов лечения.23
Дифференциальная диагностика
Очень часто сложно дифференцировать эозинофильный фасциит и локализованную склеродермию по гистологии; следовательно, важна клиническая дифференциация.
Локализованная склеродермия проявляется фиброзом, в основном, в дерме, в то время как при эозинофильном фасциите главное в фасции. Однако, при прогрессировании поражений локализованной склеродермии, фиброз может быть виден не только в дерме и подкожных слоях, но также и в расположенной под фасцией мышце и кости. Более того, при прогрессировании эозинофильного фасциита фиброз может распространяться из фасции в дерму. Наконец, эозинофильная инфильтрация тканей не наблюдается в некоторых случаях при эозинофильном фасциите.
Эти факторы затрудняют гистологическую дифференциацию.
Эозинофильный фасциит представлен двусторонним, диффузным отеком конечностей, в то время как локализованная склеродермия может быть односторонней и двусторонней, хотя преимущественно одностороннее с четкими границами. Это облегчает дифференциальную диагностику, хотя атипичные случаи эозинофильного фасциита может быть сложно дифференцируемой от линейной склеродермии или от некоторых случаев подкожной локализованной склеродермии (склеродермия морфеа - morphea profunda).
Терапия, течение, прогноз
«Диагностические критерии, общая классификация и методические рекомендации для эозинофильного фасциита» 2016 года17 упомянутые выше, также содержат подробные описания лечения, которые могут быть использованы как рекомендация (эталон).
Системная глюкокортикостероидная терапия - это первая линия выбора, начинают с 20-30 мг/сут. Улучшение в твердости кожи и инфильтрации, диапазона движений и других клинических симптомов, совместно в различных исследованиях, описанных выше, могут быть использованы как маркеры для постепенного снижения дозы.
Если течение благоприятное, терапия может быть прекращена через 1-2 года. Системная гормональная терапия эффективна более, чем в 90% случаев. Прогноз для выживания хороший, но возможно останутся признаки склеродермии или контрактура сустава, если лечение будет поздно назначено. Очень важно начать терапию сразу после определения диагноза.
Пациентов, которые не отвечают на глюкокортикостероидную терапию, можно проверить, возможно они ответят на циклоспорин,24 циклофосфамид25 или метотрексат.26 Терапия псораленом или ультрафиолетовыми лучами типа A (PUVA) или другими ультрафиолетовыми лучами также оказались эффективными.27
Осложнения
Эозинофильный фасциит осложнен локализованной склеродермией в 20-30% случаев.28 Также описано несколько других аутоиммуных осложнений, включая системную красную волчанку,29 ревматоидный артрит,30 синдром Шегрена31 и аутоиммунный тиреоидит.32
Другие описанные осложнения включают апластическую анемию,33 аутоиммунную гемолитическую анемию,34 идиопатическую тромбоцитопеническую пурпуру,35 лейкемию, злокачественную лимфому36 и миелодиспластический синдром.37 Некоторые пациенты, которые резистентны к гормональной терапии, могут иметь осложненные неопластические заболевания.
Подошвенный фасциит
Резкая боль в области пятки - достаточно распространенное явление, ограничивающее двигательную активность, и вызывающее существенный дискомфорт. Очень часто причина болевого синдрома заключается в развитии подошвенного фасциита - заболевания, провоцирующего образование костного нароста. Чтобы избежать этой проблемы, важно своевременно обратиться к врачу и пройти диагностическое обследование.
Что такое подошвенный фасциит
Подошвенный фасциит - воспаление подошвенной фасции, выполняющей функции соединительной ткани для поддержания свода стопы. Патология носит небактериальный характер и возникает в результате частой чрезмерной нагрузки на фасцию. Болевой синдром локализируется в пятке и нижней части стопы, усиливаясь при первых шагах после продолжительного отдыха. В большинстве случаев подошвенный фасциит образуется на задней или нижней поверхности пяточной кости, что делает его схожим со шпорой. Наиболее часто это заболевание встречается у людей в возрасте от 40 лет, причем женщины предрасположены к нему больше, чем мужчины.
Подошвенный фасциит подразделяется на 2 типа:
- плантарный - обусловлен воспалительно-дегенеративными изменениями подошвенной фасции;
- некротический - гнойное воспаление фасций и подкожной клетчатки, вызванное бактериальной инфекцией.
Причины возникновения
Единственная доказанная причина воспаления подошвенной фасции - это ее периодическая микротравматизация, вызываемая неосторожными движениями стопы. Увеличить вероятность дистрофических изменений в плантарной зоне могут несколько факторов:

- избыточный вес;
- принадлежность к женскому полу;
- ежедневная продолжительная ходьба по твердой поверхности либо работа в положении стоя;
- ношение обуви, в которой отсутствует подъем (сланцы, чешки);
- застой кровообращения в нижних конечностях;
- плоскостопие;
- частое ношение тяжестей.
Подошвенный фасциит часто диагностируется у танцоров, профессиональных спортсменов и бегунов.
Симптомы и признаки
Заболевание проявляется при существенном нарушении амортизационной способности стопы и выражается следующими симптомами:
- боль в пятке, варьирующаяся от острой, не позволяющей ступить на ногу, до тупой и постоянной;
- усиление болевых ощущений при возникновении нагрузки;
- появление болевого синдрома в пятке после длительного сидения или пребывания в горизонтальном положении;
- затруднения при подъеме по лестнице.
Методы диагностики
Для выявления подошвенного фасциита пациент проходит диагностическое обследование, в которое входит:
- сбор анамнеза;
- визуальный осмотр и прощупывание стопы;
- рентгенография с целью обнаружения костных изменений;
- анализ крови (для выявления бактерий, провоцирующих развитие некротического фасциита);
- МРТ стопы (назначается при подозрении на разрыв подошвенной фасции).
Пройти комплексное исследование лучше всего в современном многофункциональном центре, оснащенным оборудованием нового поколения. К примеру, «Клиника Здоровья» располагает собственной диагностической базой (УЗИ, КТ, МРТ) и штатом опытных высококвалифицированных специалистов. Пациент имеет возможность, не выходя из клиники пройти все диагностические процедуры и записаться к нужному врачу для разработки комплексного лечения.
Какой врач лечит
Диагностикой и лечением пяточной шпоры занимается травматолог-ортопед.
Методы лечения
Терапия подошвенного фасциита предполагает применение нескольких методик:
- консервативная:
- медикаментозная терапия - использование противовоспалительных и обезболивающих препаратов;
- лечебная физкультура;
- ударно-волновая терапия;
- анестетические блокады;
- кинезиотейпирование - применение специальных липких лент (кинезиотейпов);
- хирургическая - удаление костного нароста со стопы с помощью скальпеля.
Результаты
Своевременная диагностика и комплексное лечение - залог благоприятного прогноза. Подошвенный фасциит хорошо поддается консервативной терапии. В то же время, игнорирование этой проблемы непременно приведет к ее усугублению.
Реабилитация и восстановление образа жизни
Основные реабилитационные и профилактические меры включают:

- снижение веса;
- массаж стопы;
- физиотерапевтические процедуры;
- ношение правильной обуви с хорошей амортизацией;
- использование ортопедических стелек;
- грязевые и минеральные ванны.
Образ жизни при подошвенном фасциите
Не допустить обострения заболевания, поможет соблюдение нескольких рекомендаций:
- снижение нагрузки на подошвенный апоневроз;
- обеспечение стопам периодического отдыха;
- выполнение упражнений ЛФК в перерыве между работой.
Узелковый фасциит
Узелковый фасциит диагностируется чаще всего у людей до 40 лет. У мужчин это заболевание встречается чаще, чем у женщин. Поскольку гистологически и клинически узел достаточно сильно похож на саркому, но при этом является доброкачественной образованием, необходима тщательная диагностика.
Что такое узелковый фасциит?
Узелковый фасциит — это доброкачественное поражение мягких тканей, в большинстве случаев наблюдается поверхностная фасция. Как правило, поражение касается туловища и верхних конечностей. Зачатую развитию патологии предшествует травма.
Макроскопически узловой фасциит представляет собой ограниченный узел диаметром 1-5 см, рецидивирует в редких случаях, не малигнизруется.
В зависимости от локализации узла выделяют:

- краниальный фасциит;
- внутрисосудистый фасции;
- родственные формы фасциитов и миозитов.
Синонимами этой патологии являются:
- нодулярный фасциит;
- инфильтративный фасциит;
- псевдосаркоматозный фиброматоз;
- нодозный фасциит;
- пролиферирующий фасциит;
- псевдосаркоматозная дерматофиброма.
Узелковый фасциит возникает при выпячивании жировой ткани через глубокую фасцию. До недавнего времени патология расценивалась как реактивный процесс неясной этиологии. Но последние данные исследований показывают, что это клональный неопластический процесс, который склонен к самоограничению.
Клиника узлового фасциита:
- подкожный рост за короткий период времени — 3-6 недель;
- самостоятельная регрессия;
- поражение чаще всего достигает размера в 3 см.
Если узелковый фасциит развивается в ягодицах, возможна некоторая напряженность тканей.
Какой врач лечит?
С узелковым фасциитом необходимо обращаться к травматологу, неврологу или к хирургу. В нашей клинике работают квалифицированные специалисты, стаж работы которых превышает 10 лет. У нас собственная диагностическая база, основанная на самом современном оборудовании. Пациенты могут пройти диагностику и, не покидая стен клиники, проконсультироваться с узким специалистом. Врачи нашей клиники поставят правильный диагноз и назначат адекватное ситуации лечение.
Врач сначала осматривает пораженную область, определяет нет ли у пациента болевых ощущений. Затем для уточнения диагноза пациент направляется на УЗИ, МРТ, КТ, рентгенографию.
Очень важно отличить узловой фасциит от саркомы. Непродолжительный клинический анамнез, небольшой размер образования, однородные ядерные особенности и некоторые другие признаки указывают на узловой фасциит. При этом именно доброкачественное новообразование имеет более высокую скорость митоза, но среди клеток нет атипичных.

В большинстве случаев патология регрессирует самостоятельно. Но если она причиняет больному дискомфорт или болевые ощущения, а также, если она мешает вести привычный образ жизни, узелковый фасциит иссекают хирургическим путем. В некоторых случаях целесообразно использовать внутри очага поражения стероиды, чтобы индуцировать регресс.
Прогноз патологии благоприятный. Рецидивы после хирургического лечения практически исключены, даже если узел был иссечен не полностью. Образование не склонно к перерождению в злокачественное.
Если же после хирургического удаления узла произошел рецидив, следует пересмотреть правильность первоначального диагноза.
После удаления узла, пациент практически сразу может возвращаться к привычному образу жизни. В некоторых случаях ему может быть рекомендовано пройти курс физиотерапии.
Опухоли век
Опухоли век - группа доброкачественных и злокачественных новообразований, а также опухолей с местным агрессивным ростом, но без способности к отдаленному метастазированию. Проявляются косметическим дефектом различной степени выраженности. На веке обнаруживаются бляшки, узлы и язвенные поверхности. Злокачественные и местнодеструирующие опухоли век могут прорастать близлежащие ткани. Диагноз устанавливается с учетом клинических признаков, данных гистологического и цитологического исследований и результатов инструментальных обследований. Лечение - операции, криодеструкция, лучевая терапия.
Общие сведения
Опухоли век - доброкачественные, злокачественные и местнодеструирующие новообразования, расположенные в области верхнего или нижнего века. Составляют около 80% от общего количества опухолей глаза и придаточного аппарата. В большинстве случаев имеют доброкачественное течение. Самым распространенным злокачественным поражением является рак века, который составляет чуть более 30% от общего количества опухолей данной зоны и чуть более 5% от общего количества случаев рака кожи. В числе факторов риска развития злокачественных опухолей век - хронические блефариты, длительно существующие язвы, продолжительная инсоляция, пигментная ксеродерма и пигментные невусы. Вероятность возникновения большинства новообразований увеличивается с возрастом. Лечение осуществляют специалисты в области онкологии и офтальмологии.
Доброкачественные опухоли век
Характерно медленное прогрессирование, отсутствие инфильтрирующего роста и способности к отдаленному метастазированию. Обычно протекают благоприятно, причиной обращения к врачу становится косметический дефект. Более 60% от общего числа опухолей век имеют эпителиальное происхождение (папиллома, старческая бородавка), около 25% происходят из мягких тканей (липома, фиброма), 12% относятся к категории пигментных новообразований (доброкачественный невус).
Папиллома (папиллярная и плоская акантоэпителиома) век представляет собой узел, связанный с веком тонкой ножкой либо широким основанием. Может быть одиночной или множественной. Обычно располагается на крае века. По внешнему виду папиллома век может напоминать ягоду малины или соцветие цветной капусты. Характерно многолетнее бессимптомное течение. В отдельных случаях может озлокачествляться. Иногда опухоль века даже при отсутствии признаков малигнизации распространяется за пределы кожи на слезоотводящие пути, слизистую оболочку века и даже придаточные пазухи.
Старческая бородавка (себорейный кератоз, базальноклеточная папиллома) - опухоль век, по внешнему виду сходная с папилломатозным невусом. Представляет собой экзофитно растущий узел коричневого, сероватого или желтоватого цвета. Обычно располагается на нижнем веке. Безболезненная, плотная на ощупь. Может быть жирной или сухой. Опухоль века развивается в течение многих лет, обычно не проявляет склонности к малигнизации. Наблюдается более интенсивное ороговение по сравнению с папилломой.
Кератоакантома - плотная опухоль век диаметром 1-3 см с углублением в центре. Наряду с веками может поражать ушные раковины, область щек и спинки носа. Провоцирующими факторами являются травмы, вирусные инфекции и продолжительный контакт с некоторыми токсическими веществами. Склонна к самостоятельному заживлению с образованием деформирующего втянутого рубца. Продолжительность заболевания - 9-12 недель. В течение первых 3-5 недель опухоль века растет, затем наступает стадия изъязвления и заживления. Обычно не рецидивирует.
Трихоэпителиома - опухоль век, возникающая из волосяных фолликулов. Обычно развивается в детском или подростковом возрасте. Представляет собой плотный узелок размером 1-3 мм. В отдельных случаях может вырастать до 1 см. Бывает одиночной или множественной, нередко у одного больного выявляется более 10 опухолей век. Может озлокачествляться, трансформируясь в базальноклеточный рак. Лечение - прижигание или эксцизия узелков.
Сирингоаденома - редкая опухоль век, происходящая из эпителиальной выстилки потовых желез. Представляет собой плотное опухолевидное образование, состоящее из множества полостей. Отличается очень медленным ростом.
Доброкачественный невус - группа пигментных опухолей век. Выглядит, как плоское пятно, узелок или папилломатозное образование, обычно располагающееся в интрамаргинальном пространстве. Цвет опухоли века может быть желтоватым, светло-коричневым, насыщенным коричневым или почти черным. В детском возрасте наблюдается доброкачественное течение. У взрослых отмечается склонность к злокачественному перерождению.
Фиброма - опухоль век мезодермального происхождения. Представляет собой гладкий узел на основании или узкой ножке. Диаметр новообразования может достигать нескольких сантиметров. Характерен очень медленный рост. Малигнизация наблюдается крайне редко. Лечение оперативное.
Липома - еще одна мезодермальная опухоль век. Обычно выявляется у молодых женщин. Как правило, располагается в области верхнего века. Мягкая, эластичная, желтоватая при просвечивании. Может быть односторонней или двухсторонней. Иногда сочетается с липомами других локализаций (в области груди, спины, верхних конечностей). Лечение оперативное.
Опухоли век с местнодеструирующим ростом
Базалиома - достаточно распространенная опухоль век. Является самой распространенной формой рака век, составляет 75-80% от общего количества случаев заболевания. Обычно возникает после 50 лет, реже встречается у пациентов молодого возраста. Базальноклеточные опухоли обычно локализуются в наружном углу глаза, реже - на нижнем и верхнем веке или во внутреннем углу глаза. Для новообразований нижнего века характерен более медленный и менее агрессивный рост по сравнению с поражениями внутреннего угла глаза.
Базалиома представляет собой узелок, окруженный валиком. Опухоль века медленно прогрессирует, постепенно прорастая окружающие ткани и разрушая близлежащие анатомические образования. В запущенных случаях может разрушать глазное яблоко, орбиту и придаточные пазухи. Может давать лимфогенные метастазы, отдаленное метастазирование выявляется исключительно редко. Существует четыре формы этой опухоли век: узловая, поверхностно-склеротическая, разрушающая и язвенная.
Узловая форма опухоли века представляет собой безболезненный светлый плотный узелок на широком основании. При язвенной форме в области века появляется безболезненная язвочка с приподнятыми краями. Со временем язвочка увеличивается в размере, на ее поверхности образуются кровянистые корочки. Разрушающая форма опухоли век отличается быстрым агрессивным ростом. Становится причиной грубых косметических дефектов, в короткие сроки прорастает в окружающие ткани.
На начальной стадии склеротической формы в области века появляются чешуйки. Под чешуйками возникает мокнущий участок, окруженный валиком. В последующем в центре пораженного участка формируется очаг рубцевания, по краям опухоль века продолжает расти. Лечение - хирургическое иссечение базалиомы. При возникновении дефекта проводят реконструктивные операции. При отказе больного от хирургического вмешательства и небольших опухолях век, расположенных в области внутреннего угла глаза, применяют лучевую терапию. Прогноз благоприятный. Устойчивая длительная ремиссия наблюдается у 95-97% больных.
Прогрессирующий невус - пигментная опухоль век. Является врожденной либо развивается в возрасте до 20 лет. Рост новообразования может быть обусловлен как озлокачествлением, так и гормональными изменениями в период пубертата. О малигнизации свидетельствуют изменение цвета, появление ореола или неравномерной окраски, зона гиперемии вокруг опухоли века, шелушение, образование корочек и изъязвление. Лечение - традиционные оперативные вмешательства, лазерная хирургия, радиохирургия, возможно в сочетании с радиотерапией.
Злокачественные опухоли век
Рак века - злокачественное новообразование века. Обычно развивается на фоне предраковых заболеваний кожи века. В группу онкологических поражений века со склонностью к отдаленному метастазированию относят плоскоклеточный рак и метатипический рак. Плоскоклеточная опухоль века на начальных стадиях представляет собой небольшой очаг легкой эритемы. В последующем в пораженной области возникает зона уплотнения, превращающаяся в язву с плотными углубленными краями. Опухоль может давать как лимфогенные, так и гематогенные метастазы. Метатипический рак по своему гистологическому строению является промежуточной формой между плоскоклеточной и базальноклеточной опухолью век. Склонен к быстрому росту и раннему метастазированию.
Лечение может быть оперативным либо консервативным. Выполняют хирургическое удаление или диатермоэксцизию новообразования с окружающими неизмененными тканями. Широко применяют близкофокусную рентгенотерапию. При небольших опухолях век иногда используют химиотерапию. В запущенных случаях осуществляют экзентерацию глазницы в сочетании с предоперационной радиотерапией. Прогноз достаточно благоприятный, пятилетняя выживаемость составляет 88%.
Рак мейбомиевых желез - редкая опухоль век высокой степени злокачественности. Обычно располагается на верхнем веке. Внешне напоминает базалиому. Быстро прогрессирует и метастазирует. Лечение - радиотерапия. Даже при проведении своевременного адекватного лечения у 90% больных рецидивы выявляются в течение двух лет после окончания терапии. Пятилетняя выживаемость составляет 35-50%. Летальный исход наступает в результате метастазирования.
Меланома века - самая злокачественная опухоль век. Диагностируется нечасто. Обычно меланома локализуется в области нижнего века, наружного или внутреннего угла глаза. Чаще представляет собой плоское пятно с неровными расплывчатыми контурами, реже - узел со склонностью к кровотечениям. Цвет - от желтоватого до почти черного. Опухоль века окружена зоной гиперемии и усиленной пигментации. Плоские новообразования преимущественно растут по поверхности, узловые формы быстро проникают вглубь тканей.
При меланомах размером менее 10 мм осуществляют хирургическое иссечение с использованием микрохирургических техник. При опухолях век размером более 15 мм применяют лучевую терапию. Прогноз зависит от толщины новообразования. При меланомах толщиной менее 0,75 мм средняя пятилетняя выживаемость составляет около 100%, при узлах толщиной более 1,5 мм - 50%. Причиной гибели становится отдаленное метастазирование.
Узловой фасциит века глаза: признаки, гистология, лечение, прогноз
У онкологических больных при сниженном иммунитете, на фоне специфического противоопухолевого лечения могут развиваться различные воспалительные заболевания век. Многие опухоли также могут протекать под видом воспалительных заболеваний век. В статье описываются клинические симптомы основных воспалительных заболеваний век в свете дифференциальной диагностики с опухолями век.
В пользу опухоли говорят нетипичная картина воспалительного заболевания, отсутствие болевого синдрома, неэффективность противовоспалительного лечения. Диагноз опухоли окончательно устанавливается после морфологического исследования биоптата.
При отсутствии уверенности в диагнозе воспалительного заболевания век целесообразно воздерживаться от назначения тепловых процедур, физиотерапии или инъекций глюкокортикоидов. Все подозрительные на опухоль образования должны подвергаться биопсии с обязательным морфологическим исследованием биоптата.
Ключевые слова: абсцесс век, флегмона век, Т-клеточная лимфома кожи век, халязион, аденокарцинома мейбомиевой железы, ячмень, саркома Капоши ве, блефарит, базальноклеточный рак, карцинома in situ.
Inflammatory eyelid diseases from an ophthalmic oncologist's perspective
Grishina E.E.
M.F. Vladimirsrky Moscow Regional Clinical and Research Institute
In cancer patients with reduced immunity, various inflammatory diseases of the eyelids can develop against the background of specific antitumor treatment. But many tumors can also occur as inflammatory diseases of the eyelids.
The article describes the clinical symptoms of the main inflammatory diseases of the eyelids in the light of differential diagnosis with tumors of the eyelids. The clinical picture of tumors of the eyelids, masked under inflammatory diseases, is highlighted. Particular attention is paid to the description of T-cell lymphoma of the skin of the eyelids, adenocarcinoma of the meibomian gland, Kaposi’s sarcoma, skin cancer with spread to the rib edge of the eyelid, and precancerous skin diseases.
An atypical picture of an inflammatory disease, a lack of pain syndrome, an ineffectiveness of anti-inflammatory treatment, "out-of-eye" manifestations of the disease (lymphoma, Kaposi's sarcoma) are the signs of the tumor. The diagnosis of the tumor is finally established after the morphological examination of the biopsy specimen.
Key words: abscess of the eyelids, phlegmon of the eyelids, T-cell lymphoma of the skin of the eyelids; chalyazion, adenocarcinoma of the meibomian gland; stye, Kaposi's sarcoma; blepharitis, basal cell carcinoma, carcinoma in situ.
For citation: Grishina E.E. Inflammatory eyelid diseases from an ophthalmic oncologist's perspective // RMJ. Clinical ophthalmology. 2017. № 3. P. 190-193.
Рассмотрены воспалительные заболевания век с позиции офтальмоонколога

Воспалительные заболевания век многообразны. В зависимости от этиологического фактора различают инфекционные и неинфекционные блефариты, мейбомииты, дерматиты и т. д. По течению заболевания они делятся на острые и хронические. По локализации процесса выделяют поражение всех тканей века, воспаление края век, воспаление желез века. Возможно изолированное воспаление кожи век - дерматит, чаще аллергического генеза.
Острое воспаление может распространяться на все ткани века и быть ограниченным или разлитым. Ограниченное острое гнойное воспаление века - абсцесс. Если острое гнойное воспаление приобретает разлитой характер, развивается флегмона. Острое гнойное воспаление возникает после различных повреждений кожи, укусов насекомых, эпиляции бровей, выдавливания ячменя. Острое гнойное воспаление век у маленьких детей нередко развивается при синуситах.
Веки богаты железами, имеющими различное строение и выполняющими разные функции. В толще хрящевой пластинки расположены многочисленные железы альвеолярного строения с длинными выводными протоками, идущими параллельно друг другу, - мейбомиевые железы. Через тарзальную конъюнктиву они просвечивают в виде желтоватых вертикальных полос. Устья выводных протоков видны у «серой линии» края века в виде мелких точек. Мейбомиевы железы представляют собой разновидность сальных желез. Основная функция мейбомиевых желез - формирование липидного слоя прекорнеальной пленки.
Для мейбомиевых желез характерен голокриновый тип секреции, т. е. продукция липидов мейбомиевыми железами сопровождается разрушением клеток железы. При закупорке выводного протока железы липиды попадают в хрящевую пластинку, вызывая хроническое гранулематозное воспаление с гигантоклеточной реакцией - халязион.
У ресниц располагаются сальные железы Цейса по две у каждого волосяного фолликула. Секрет желез Цейса выделяется в волосяной фолликул. При хроническом продуктивном воспалении железы Цейса развивается так называемый краевой халязион.
Острое гнойное воспаление сальных или потовых желез с формированием локального абсцесса называется наружным ячменем. Острое гнойное воспаление мейбомиевой железы приводит к развитию внутреннего ячменя.
Двустороннее воспаление краев век или блефарит, как правило, имеет хроническое течение. Стафилококковый блефарит сопровождается изъязвлением краев век, трихиазом и выпадением ресниц.
Хорошо известно, что под видом халязиона может скрываться рак мейбомиевой железы, однако и другие опухоли могут маскироваться под воспалительные заболевания век. На основании анализа диагностических ошибок позволим себе их описать и прокомментировать.
Как правило, диагноз рака мейбомиевой железы устанавливается после оперативного лечения «халязиона» и гистологического исследования удаленного материала. Если гистологическое исследование не проводится, то это приводит к многократному удалению «рецидивирующего халязиона» и позднему выявлению аденокарциномы мейбомиевой железы. Так, в нашем институте проходила лечение больная, которой в лечебном учреждении по месту жительства 4 раза проводили операции по поводу «халязиона» верхнего века правого глаза. Гистологическое исследование удаленного материала не проводилось! При поступлении больная предъявляла жалобы на боли в правом глазу, его легкое покраснение, уплотнение в толще верхнего века. При осмотре правого глаза обращали на себя внимание уплотнение в средней трети верхнего века без четких границ с деформацией утолщенного реберного края, трихиаз. Эрозии в верхней половине роговицы обусловили роговичный синдром: светобоязнь, слезотечение, боль. На конъюнктиве верхнего века в средней трети были видны рубцы. Пальпация и УЗИ периферических лимфатических узлов не выявили их увеличение. Была проведена биопсия образования верхнего века. Гистологическое исследование биоптата «халязиона» подтвердило предположение о раке мейбомиевой железы. Больная была направлена на локальную дистанционную лучевую терапию опухоли верхнего века правого глаза.
Аденокарцинома сальной железы встречается преимущественно на веках и чрезвычайно редко развивается на коже других областей. В основном страдают лица пожилого возраста, чаще женщины. Преобладают опухоли из мейбомиевых желез, реже развиваются опухоли из эпителия сальных желез Цейса и еще реже - из сальных желез слезного мясца и брови. Высокая степень злокачественности аденокарциномы мейбомиевой железы определяется быстрым метастазированием в регионарные лимфоузлы и отдаленные органы [1]. На ранних стадиях опухоль напоминает халязион. Это обстоятельство диктует необходимость обязательного гистологического исследования тканей при оперативном лечении любого халязиона, но особенно это важно в случаях его рецидивирующего течения. По мере роста аденокарциномы мейбомиевой железы, в отличие от халязиона, возникает не только уплотнение, но и деформация хряща. Отмечаются втянутость в межреберном пространстве века и трихиаз (рис. 1).
В межреберном пространстве появляются плотные массы желтоватого цвета. Иногда опухоль прорастает хрящ век с формированием на конъюнктиве серовато-красноватых кровоточащих разрастаний [2]. В большинстве случаев аденокарцинома мейбомиевой железы сопровождается односторонним конъюнктивитом, блефаритом, мейбомиитом и выраженным синдромом «сухого глаза». Возможны случаи мультицентрического роста опухоли. Основным методом лечения аденокарциномы мейбомиевой железы является дистанционная лучевая терапия [3].
Особого внимания требует установление диагноза халязиона у больных различными злокачественными опухолями в генерализованной стадии заболевания. У больных с ослабленным иммунитетом во время химиотерапии нередко развиваются дисфункция мейбомиевых желез, мейбомииты и блефариты, что способствует появлению халязиона. Однако нельзя исключить возможность метастатического поражения век. На ранних этапах метастаз в веко может выглядеть как обычный халязион. Опухоль быстро увеличивается в размерах, прорастает пальпебральную конъюнктиву с образованием сероватых, легко кровоточащих при прикосновении псевдогрануляций.
Клинические проявления метастатических опухолей придаточного аппарата глаза встречаются редко и изучены плохо. Чаще всего в веки метастазируют рак молочной железы, рак легкого, опухоли желудочно-кишечного такта, меланомы. Метастатическое поражение придаточного аппарата глаз часто сочетается с другими метастазами в глаз или орбиту, но, главное, всегда возникает на фоне поражения других органов, что определяет плохой прогноз для жизни. Если общее состояние больного позволяет провести хирургическое лечение халязиона, удаленный материал обязательно должен подвергаться гистологическому исследованию [4].
В последнее время участились ошибки в диагностике другой опухоли - саркомы Капоши. Для этой опухоли наиболее типичным является поражение кожи. Излюбленная локализация кожных опухолей: ноги, лицо и гениталии. На коже появляются безболезненные пятна или папулы разнообразных оттенков — от нежно-розового до ярко-красного цвета. Приблизительно у 20% больных саркомой Капоши в процесс вовлекаются веки и конъюнктива [5]. Такие изменения кожи век нередко диагностируют как ячмень (рис. 2, 3).
Так, мужчина, 30 лет, был направлен на консультацию в наш институт с диагнозом «ячмень верхнего века, резистентный к противовоспалительной терапии». Получал сухое тепло, 5 сеансов УВЧ-терапии. При осмотре на верхнем веке правого глаза диагностировано безболезненное образование кожи ярко-красного цвета около 1,5 см в диаметре. Образование появилось 1 нед. назад и быстро увеличилось в размерах. Три дня назад аналогичное образование возникло на правой щеке. При детальном расспросе больного выяснилось, что он ВИЧ-инфицирован и состоит на учете в противо-СПИДовом центре по месту жительства. Последние 4 мес. на прием не являлся. Лечения не получал. Было высказано предположение о саркоме Капоши. Диагноз опухоли подтвержден морфологически. Больной направлен на лечение основного заболевания к инфекционисту.
Изменения конъюнктивы при саркоме Капоши обычно локализуются в сводах и имеют вид мелких красноватых узелков. Реже развивается большой безболезненный узел мягкой консистенции, который ошибочно принимают за грануляционный полип при халязионе. Иногда появляется плоская опухоль конъюнктивы ярко-красного цвета, которая симулирует субконъюнктивальное кровоизлияние.
Саркома Капоши - редкое заболевание, которое, как правило, возникает на фоне иммунодефицита. Возраст больных — 30-40 лет. ВИЧ-инфицированные лица заболевают саркомой Капоши в 300 раз чаще, чем основное население [6]. К группе риска развития саркомы Капоши относят также больных, получающих иммуносупрессоры после пересадки органов.
Хочется подчеркнуть, что при появлении безболезненных кожных пятен и папул красного цвета у больных с иммунодефицитом необходимо прежде всего исключить саркому Капоши. Такие изменения кожи век редко бывают изолированными и сочетаются с поражением кожи на других участках тела [7].
Согласно современным представлениям о патогенезе саркомы Капоши, пусковым механизмом развития заболевания являются нарушение иммунного статуса и возникающая при этом повышенная продукция клетками многих цитокинов: ИЛ-6, ИЛ-1, ФНО и др. В отличие от нормальных мезенхимальных клеток, опухолевые клетки саркомы Капоши особенно чувствительны к воздействию клеточных ростовых факторов. Высокая продукция цитокинов вызывает экспрессию гена tat, который играет ключевую роль в патогенезе опухоли - обеспечивает миграцию опухолевых клеток. Кроме того, он стимулирует ангиогенез опухоли - эндотелиальные клетки начинают формировать новую капиллярную сеть.
Саркома Капоши у лиц, не страдающих ВИЧ-инфекцией, обычно имеет торпидное течение и не требует системной терапии. Саркома Капоши у ВИЧ-инфицированных больных развивается быстро и часто сопровождается поражением внутренних органов. Такие больные нуждаются прежде всего в лечении основного заболевания - ВИЧ-инфекции.
Большие сложности у офтальмологов вызывает диагностика Т-клеточной лимфомы век. Опухоль сопровождается такими изменениями, как отек и уплотнение века, гиперемия кожи. Такое состояние принимают за абсцесс века. Так, больному 47 лет с жалобами на отечность и несколько болезненное уплотнение обоих век правого глаза без флюктуации, резкую нечетко отграниченную гиперемию кожи век с поверхностным изъязвлением на отдельных участках провели вскрытие «абсцесса». Выделилось небольшое количество сукровичного отделяемого. В связи с неэффективностью местной и общей противовоспалительной терапии был направлен на консультацию к офтальмоонкологу. При первичном осмотре привлекало внимание несоответствие выраженности клинических симптомов, болевого синдрома и отсутствие общей реакции организма в виде повышенной температуры тела, лейкоцитоза и изменения лейкоцитарной формулы. Из анамнеза известно, что он страдает Т-клеточной кожной неходжкинской лимфомой. Несколько месяцев назад в области правого предплечья появились изменения кожи, аналогичные описанным выше. Начат курс противоопухолевого лечения Т-клеточной лимфомы. Была проведена биопсия новообразования кожи век правого глаза. Диагноз Т-клеточной кожной лимфомы века подтвержден морфологически.
В коже преобладают Т-лимфоциты, поэтому кожная лимфома часто бывает Т-клеточной. Для этого вида опухоли характерна инфильтрация дермы опухолевыми Т-лимфоцитами. На границе эпидермиса и дермы развиваются множественные микроабсцессы, которые обусловливают появление очагов болезненной гиперемии кожи и ее поверхностное изъязвление. Установление правильного диагноза у данного пациента стало возможным благодаря грамотно собранному анамнезу, осмотру «внеглазных» проявлений заболевания, оценке клинических симптомов заболевания века (рис. 4, 5). Считается, что поражение век при грибовидном микозе (варианте Т-клеточной лимфомы) ассоциируется с плохим витальным прогнозом [8].
Особый интерес представляет дифференциальная диагностика воспалительных заболеваний края век (блефарита и мейбомиита) и злокачественной опухоли кожи век с преимущественным ростом вдоль реберного края века. Такой рост опухоли встречается при базальноклеточном раке кожи (рис. 6), плоскоклеточном раке кожи и предраковых заболеваниях (болезни Боуэна). Морфологически эпителиома Боуэна имеет все признаки рака. Атипичные кератоциты объединяются в сосочкоподобные структуры. Возникают очаги паракератоза. Появляются клеточный полиморфизм, атипичные митозы, многоядерные клетки. Но процесс не распространяется глубже базальной мембраны эпидермиса. При отсутствии своевременного лечения опухоль трансформируется в плоскоклеточный рак [9].
Стафилококковый блефарит нередко проявляется изъязвлением кожи и неправильным ростом ресниц. Язвенный блефарит - двусторонний процесс, хотя выраженность симптомов может быть неодинаковой на разных участках век.
При локализации злокачественной опухоли кожи у края века обращает на себя внимание нарушение роста ресниц. Реберный край представляется утолщенным, наблюдается локальная гиперемия пальпебральной конъюнктивы. Нередко поверхность опухоли изъязвляется.
Карцинома in situ, или эпителиома Боуэна, на коже век встречается крайне редко. Клинически имеет вид бляшек небольших размеров (несколько мм в диаметре) темно-красного цвета с чешуйками на поверхности (рис. 7).
После снятия чешуек обнажается мокнущая бугристая поверхность опухоли. При локализации новообразования у ресничного края нарушается рост ресниц [10].
Таким образом, при локальном поражении одного века в виде изъязвления реберного края и локального выпадения ресниц, при отсутствии эффекта от противовоспалительного лечения необходимо исключить новообразование кожи века.
В заключение считаем важным отметить, что у онкологических больных при сниженном иммунитете, на фоне специфического противоопухолевого лечения могут развиваться различные воспалительные заболевания век. Но и многие опухоли могут протекать под видом воспалительных заболеваний век. Это так называемый «маскарадный синдром». В пользу опухоли говорят нетипичная картина воспалительного заболевания, отсутствие болевого синдрома, неэффективность противовоспалительного лечения. Диагноз опухоли окончательно устанавливается после морфологического исследования биоптата. При удалении халязиона гистологическое исследование удаленного материала является залогом успешного лечения.
При отсутствии уверенности в диагнозе воспалительного заболевания век целесообразно воздерживаться от назначения тепловых процедур, физиотерапии или инъекций глюкокортикоидов. Все подозрительные на опухоль образования должны подвергаться биопсии с обязательным морфологическим исследованием биоптата.
Список литературы Свернуть Развернуть
Контент доступен под лицензией Creative Commons «Attribution» («Атрибуция») 4.0 Всемирная.
Читайте также:
- Гепатома (первичный гепатоцеллюлярный рак)
- Советы при травме спинного мозга и позвоночника у пациента
- Биохимические свойства холеры. Биовары холеры. Антигены холеры. Антигенная структура холеры. Схемы Хайберга. Серогруппы холеры.
- Дисбактериозы ( дисбиозы ) при антибиотикотерапии. Аллергизирующее действие антибиотиков. Иммунодепрессивные эффекты антибиотиков.
- Оборудование для оценки маточно-плацентарного кровообращения. Методика оценки маточно-планцентарного кровообращения
