Варианты нормы плечевого сустава на рентгенограмме, МРТ
Добавил пользователь Владимир З. Обновлено: 21.01.2026
МРТ плечевого сустава - метод диагностики болезней крупных суставов, который обладает множеством преимуществ. Он не требует проведения болезненных процедур, необходимых при эндоскопическом исследовании или анализе внутрисуставной жидкости. МРТ - очень безопасная процедура, из-за отсутствия облучения, которая может применяться даже во время беременности и у детей. В основе магнитно-резонансной томографии - использование магнитных полей и радиоволн, взаимодействие которых позволяет получать подробные снимки исследуемой области. По ним врачи легко определяют, какое заболевание беспокоит пациента.
Строение и анатомия плечевого сустава
Плечевой сустав - самое подвижное сочленение у человека, образованное головкой плечевой кости и лопаткой. Отсутствие у него мощных связок компенсируется мышцами плечевого пояса и верхних конечностей, окружающих плечо наподобие корсета. С одной стороны это обеспечивает большую подвижность, с другой — объясняет, почему плечевой сустав легко вывихнуть.
По периферии сустав окружен короткими связками, образующих суставную капсулу. Она объединяет сустав в одно целое и удерживает суставные поверхности головки плечевой кости и лопатки в оптимальном положении. Внутренняя поверхность суставной капсулы покрыта синовиальной оболочкой, продуцирующей жидкость в полость сустава, играющей роль смазки и питающей хрящ.
На МРТ плечевых суставов хорошо видны все анатомические структуры, образующие сочленение. Метод позволяет оценить состояние мягких тканей и хрящей плеча, связок, суставной капсулы, полости сустава, сухожилий и мышц.
Какие бывают заболевания плечевого сустава
Все болезни плечевого сустава можно поделить на несколько групп:
- травмы (вывихи, переломы, разрывы связок и сухожилий) и их последствия (нестабильность плечевого сустава, привычный вывих плеча);
- дегенеративно-дистрофические патологии (остеоартрозы);
- воспалительные заболевания (артриты, бурситы, тендиниты, синовиты);
- новообразования.
МРТ плечевого сустава используется для диагностики всех возможных заболеваний, возникающих в данной области.

Травмы плечевого сустава
Травмы плеча - одна из самых частых причин для обращения к травматологу. Как указывалось выше, особенности плечевого сустава способствуют частым вывихам, разрывам связок и сухожилий, из-за чего возникают такие состояния как привычный вывих и нестабильность плечевого сустава. При прямом физическом воздействии могут диагностироваться внутрисуставные переломы головки плечевой кости и суставной впадины лопатки.
Дегенеративно-дистрофические патологии плечевого сустава
Остеоартроз или деформирующий остеоартроз - патология, возникающая при нарушении питания суставных хрящей. Непосредственной причиной болезни может быть травма, воспаление, нарушения обмена веществ, врожденная предрасположенность, асептический некроз головки плечевой кости. В результате происходит замедление естественного процесса обновления хрящевых тканей, которые постепенно истончаются и замещаются грубой соединительной и костной тканью. Человек испытывает боль, ограничение подвижности сустава, нарушение функции верхних конечностей.
Воспалительные заболевания плечевого сустава
Воспаление суставной сумки (артрит) и окружающих плечевой сустав мягких тканей (бурситы, синовиты, тендиниты) может возникать как следствие основного заболевания (ревматизм, ревматоидный артрит), так и в результате попадания инфекции, вследствие хронической или острой травмы. В 15% случаев установить причину данной группы болезней невозможно.
Новообразования
Плечевой сустав может поражаться как первичными опухолями мягких тканей и костей, так и при метастазировании из отдаленных очагов. Не редкость и доброкачественные новообразования.
Симптомы, при которых стоит сделать МРТ плеча
Магнитно-резонансная томография плечевых суставов показана при наличии следующих жалоб пациента:
- боли в плечевом суставе, часто усиливающиеся при движении в плече;
- ограничение подвижности, нарушение функции верхних конечностей на больной стороне;
- отёк, покраснение кожи в области плечевого сустава;
- хруст, щелчки, дискомфорт, возникающие при движениях в плече и/или в определенном положении руки;
- новообразования, узлы и шишки, определяющиеся в области плеча невооруженным взглядом или при прощупывании.
В каких случаях МРТ делать запрещено
МР-томография - безопасный метод диагностики, однако это справедливо при соблюдении правил предосторожности и отсутствии противопоказаний. В противном случае исследование может нанести вред здоровью. МРТ запрещается проводить, если:
- у пациента имеется кардиостимулятор, дефибриллятор, кохлеарный имплант или любое другое медицинское устройство, имплантированное в организм;
- вес пациента превышает 130 кг, окружность тела больше 150 см (человек такой комплекции физически не может поместиться в аппарат);
- пациент - ребенок до 5 лет (дети младше не могут сохранять неподвижность во время всего исследования, из-за чего МРТ должно проводиться в специализированном детском лечебном учреждении под наркозом);
- пациент - беременная в I триместре беременности (исследование не рекомендуется “на всякий случай”, несмотря на то что за много лет применения МРТ ни разу не стало источником проблем со здоровьем у женщины или плода);
- в теле пациента имеются металлические инородные тела - мелкая металлическая стружка в глазах, не извлеченные пули, осколки (это особенно важно для пациентов, перенесших операции на головном мозгу и сосудах - в таких случаях врачи часто используют металлические клипсы, которые устанавливаются на артерии для остановки кровотечения).
МРТ плечевого сустава - подготовка
МР-томография плечевых суставов проводится в любое удобное для пациента время, исследование не требует предварительной подготовки. Нет необходимости в диете, разрешается есть и пить, но комфортнее проходить обследование после легкого, а не плотного приема пищи.

Так как при проведении исследования оборудование генерирует мощные магнитные поля, пациентам для их же безопасности запрещается иметь любые посторонние предметы из металла, а также электронные устройства. При приближении к аппарату для проведения томографии металл может с силой притянуться к магниту установки и нанести травму, или стать причиной ожога, а сотовый телефон или другой гаджет выйти из строя или даже загореться.
МРТ плечевого сустава с контрастом
МР-томография может проводиться с контрастом - специальным препаратом, который вводят внутривенно во время исследования для повышения точности диагностики. Заболевания могут иметь схожий вид на снимках - введение контраста поможет точно определить, что это - опухоль или киста (стоимость контраста оплачивается отдельно и зависит от объёма введенного препарата).
Как проходит МРТ плечевого сустава
Исследование проводится в отдельном помещении, где установлен томограф - аппарат для МР-томографии, имеющий вид большого цилиндра с цилиндрическим отверстием в центре. Данное отверстие или канал томографа оборудовано подвижным столом. В начале процедуры на него укладывается пациент в положении лежа на спине. На область плеча устанавливают дополнительные катушки - они помогают сделать изображение четче. На уши пациента надевают наушники - во время работы аппарат сильно шумит, и это может испугать чувствительного человека. Через наушники также можно общаться с оператором и слушать музыку - некоторые наши пациенты берут с собой на флешке любимые композиции, чтобы расслабиться во время процедуры. После завершения укладки стол перемещается в туннель аппарата, для начала обследования.

Все, что нужно от пациента - сохранять неподвижность и выполнять все указания оператора. После завершения исследования стол выезжает наружу, после чего необходимо подождать 15-30 минут до завершения расшифровки снимков.
МРТ плечевого сустава, сколько делают по времени
МРТ-сканирование плеча занимает 30 минут. Если во время обследования возникла необходимость в контрасте, это займет дополнительные 15 минут.
Что показывает МРТ плечевого сустава
Пациентам всегда интересуются, что же показывает МРТ плечевого сустава. Зная это, мы решили, что просто сделать заключение и отдать снимки недостаточно - каждый посетитель нашего центра получает личную консультацию врача МРТ диагностики после обследования. Мы обязательно подробно расскажем вам, если МРТ плечевого сустава покажет признаки заболевания. Вы сможете посмотреть снимки с пояснениями врача-специалиста, узнать, какой болезни соответствуют обнаруженные изменения, к какому врачу следует обратиться для дальнейшего лечения.

МРТ или КТ плечевого сустава, что лучше
Компьютерная томография или КТ - ещё один метод диагностики, внешне похожий, но совершенно отличающийся от МРТ. В отличие от МР-томографии КТ использует рентгеновское излучение, из-за чего это исследование лучше подходит для диагностики заболеваний костей, образующих плечевой сустав. Хрящ, мышцы, связки на КТ-снимках практически не видны. Можно сделать вывод - МРТ идеально подходит для диагностики заболеваний самого сустава и его мягких тканей, в то время как КТ назначается в основном при переломах головки плечевой кости и лопатки.
Плечевой сустав анатомия при МРТ исследовании
Плечевой сутав обладает наибольшей амплитудой движений чем любые другие суставы тела человека. Небольшой размер суставной впадины лопатки и относительно слабое натяжение суставной капсулы создают условия для относительной нестабильности и склонности к подвывихам и вывихам. МРТ исследование является лучшей модальностью для обследования пациентов при болевом синдроме и несатибльности плечевого сустава. В первой части статьи мы остановимся на нормальной анатомии плечевого сустава и анатомических вариантах которые могут симулировать патологию. Во второй части мы обсудим нестабильность плечевого сустава. В тетьей части мы рассмотрим импинджмент синдром и повреждение манжеты вращателей.
перевод статьи Robin Smithuis and Henk Jan van der Woude на Radiology Assistant
Radiology department of the Rijnland hospital, Leiderdorp and the Onze Lieve Vrouwe Gasthuis, Amsterdam, the Netherlands
Введение

Удерживающий аппарат плечевого сустава состоит из следующих структур:
- верхние
- клювовидно-акромиальная дуга
- клювовидно-акромиальная связка
- сухожилие длинной головки двуглавой мышцы плеча
- сухожилие надостной мышцы
- передние
- передние отделы суставной губы
- плече-лопаточные связки (glenohumeral ligaments, или суставно-плечевые связки) - верхняя, средняя и передний пучок нижней связки
- сухожилие подлопаточной мышцы
- задние
- задние отделы суставной губы
- задний пучок нижней плече-лопаточной связки
- сухожилия подостной и малой круглой мышц

Изображение передних отделов плечевого сустава.
Сухожилие подлопаточной мышцы прикрепляется как к малому бугорку, так и к большому бугорку, давая поддержку длинной головке двуглавой мышцы в борозде двуглавой мышцы. Вывих длинной головки двуглавой мышцы плеча неизбежно приведет к разрыву части подлопаточной сухожилия. Манжета вращателей плеча состоит из сухожилий подлопаточной, надостной, подостная и малой круглой мышц.

Изображение задних отделов плечевого сустава.
Отображены надостная, подостная и малая круглая мышцы и их сухожилия. Все они прикрепляются к большому бугорку плечевой кости. Сухожилия и мышцы манжеты вращателей участвуют в стабилизации плечевого сустава во время движения. Без манжеты вращателей головка плечевой кости частично сместилась бы из суставной впадины, уменьшив силу отведения дельтовидной мышцы (мышцы вращательной манжеты координирует усилия дельтовидной мышцы). Повреждение манжеты вращателей может привести к смещению головки плечевой кости кверху, в результате вызвая высокое стояние головки плечевой кости.
Нормальная анатомия
Нормальная анатомия плечевого сустава в аксиальных изображениях и контрольный список.








- поищите os acromiale, акромиальную кость (добавочная кость, расположенная у акромиона)
- обратите внимание что ход сухожилия надостной мышцы параллелен оси мышцы (это не всегда так)
- обратите внимание что ход сухожилия длинной головки двуглавой мышцы в области прикрепления направлен на 12 часов. Область прикрепления может быть различной ширины.
- обратите внимание на верхние отделы суставной губы и прикрепление верхней плече-лопаточной связки. На данном уровне ищется SLAP-повреждение (Superior Labrum Anterior to Posterior) и варианты строения в виде отверстия под сутавной губой (sublabral foramen - подгубное отверстие). На этом же уровне по задне-боковой поверхности головки плечевой кости визуализируются повреждение Хилл-Сакса.
- волокна сухожилия подлопаточной мышцы, создавая бицепитальную борозду, удерживают сухожилие длинной головки двуглавой мышцы. Изучите хрящи.
- уровень средней плече-лопаточной связки и передних отделов суставной губы. Поищите комплекс Буффорда. Изучите хрящи.
- вогнутость заднебокового края головки плечевой кости не следует путать с повреждением Хилл-Сакса, поскольку это нормальная форма для данного уровня. Повреждение Хилл-Сакса визуализируется только на уровне клювовидного отростка. В предних отделах мы сейчас на урвоне 3-6 часов. Здесь визуализируются повреждение Банкарта и его варианты.
- обратите внимание на волокна нижней плече-лопаточной связки. На данном уровне так же ищется повреждение Банкарта.
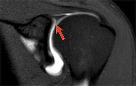
Ось сухожилия надостной мышцы

Подвергаясь тендинопатие и повреждению, сухожилие надостной мышцы является важнейшей частью манжеты вращателей. Повреждения сухожилия надостной мышцы лучше видны в косой корональной плоскости и в положении отведения и поворота плеча кнаружи (ABER - abduction external rotation). В большинстве случаев ось сухожилия надостной мышцы (головки стрелок) отклонена кпереди от оси мышцы (желтая стрелка). При планировании косой корональной проекции лучше ориентироватьия на ось сухожилия надостной мышцы.
Нормальная корональная анатомия плечевого сустава и контрольный список


















- обратите внимание на клюво-ключичную связку (coracoclavicular ligament) и короткую головку двуглавой мышцы (short head of the biceps).
- обратите внимание на клювоакромиальную связку (coracoacromial ligament).
- -
- -
- обратите внимание на надлопаточный нерв и сосуды (suprascapular nerve and vessels)
- поищите импинджмент надостной мышцы за счет остеофитов в акромиально ключичном суставе или из-за утолщения клювовидноакромиальной связки.
- изучите верхний комплекс двуглавой мышцы и суставной губы, поищите подгубный карман илм SLAP-повреждение
- поищите скопление жидкости в подакромиальной сумке и повреждение сухожидия надостной мышцы
- -
- -
- поищите частичный разрыв сухожилия надостной мышцы в месте его прикрепления в виде кольцевидного повышения сигнала
- изучите область прикрепления нижней плече-лопаточной связки. Изучите нижний комплекс суставной губы и связок. Поищите HAGL-повреждение (humeral avulsion of the glenohumeral ligament).
- поищите повреждение сухожилия подостной мышцы
- обратите внимание на небольшое повреждение Хилл-Сакса
- -
- -
- -
Нормальная сагиттальная анатомия и контрольный список







- обратите внимание на мышцы манжеты вращателей и поищите их атрофию
- обратите внимание на среднюю плече-лопаточную связку, которая имеет косое направление в полости сустава, и изучите отношение к сухожилию подлопаточной мышцы
- на данном уровне иногда видны повреждения суставной губы в направлении на 3-6 часов
- изучите место прикрепления длинной головки двуглавой мышцы плеча к суставной губе (biceps anchor)
- обратите внимание на форму акромиона
- поищите импинджмент за счет акромиально ключичного сустава. Обратите внимание на интервал между мажетой вращателей и клювовидно-плечевой связкой (coracohumeral ligament).
- поищите повреждение подостной мышцы
Вид в положении отведения и поворота плеча кнаружи (ABER)

Повреждения суставной губы
Изображения в положении отведения и поворота плеча кнаружи является наилучшим для оценки передненижних отделов суставной губы в положении 3-6 часов, где локализуется большинство ее повреждений. В положении отведения и поворота плеча кнаружи суставно-плечевая связка растягивается напрягая передне-нижние отделы суставной губы, позволяя внутрисутавному контрасту попасть между повреждением губы и суставной впадиной.
Повреждение манжеты вращателей
Изображения в положении отведения и поворота плеча кнаружи так-же очень полезны для кизуализации как частичных так и полных повреждений манжеты вращателей. Отведение и поворот конечности кнаружи высвобождает натянутую манжету больше чем при обычных косых корональных изображений в положении приведения конечности. В результате небольшие частичные поврждения волокон суставной поверхности манжеты не прилегают ни к интактным пучкам, ни к головке плечевой кости, и внутрисуставной контраст улучшает визуализацию повреждений (3).

Изображения в положении отведения и поворота плеча кнаружи получаются в аксиальной плоскости путем отклонения на 45 градусов от коротальной плоскости (см. иллюстрацию).
В этом положении область на 3-6 часов ориентирована перпендикулярно.
Обратите внимание на красную стрелку указывающую на небольшое повреждение Пертеса, которо не визуализировалось при стандартной аксиальной ориентации.
Анатомия в положении отведения и поворота плеча кнаружи





- Обратите внимание на прикрепление длинного сухожилия двуглавой мышцы. Нижний край сухожилия надостной мышцы должен быть ровным.
- Ищите неоднородность сухожилия надостной мышцы.
- Изучите суставную губу в области на 3-6 часов. Из-за натяжения передних пучков в нижних отделах суставной губы повреждения будет легче обнаружить.
- Обратите внимание на ровный нижний край сухожилия надостной мышцы
- Обратите внимание на ровный нижний край сухожилия надостной мышцы
Варианты строения суставной губы

Существует много вариантов строения суставной губы.
Эти вариатны нормы локализуются в области 11-3 часов.

Важно уметь распознавать эти варианты поскольку они могут симулировать SLAP-повреждения.
За повреждение Банкарта, эти варианты нормы обычно не принимают, поскольку оно локализуется в позиции 3-6 часов, где анатомические варианты не встречаются.
Однако повреждение суставной губы может возникать в области 3-6 часов и распространяться на верхние отделы.
Подгубное углубление

Есть 3 типа прикрепления верхних отделов суставной губы в области 12 часов, в месте прикрепления сухожилия длинной головки двуглавой мышцы плеча.
I тип - между суставным хрящем суставной впадины лопатки и суставной губой нет углубления
II тип - есть маленькое углубление
III типа - есть крупное углубление
Это подгубное углубление тяжело отличить от SLAP повреджения или подгубного отверстия.

Эта иллюстрация показывает различие между подгубным углублением и SLAP-повреждением.
Углубление больше 3-5 мм всегда не нормально и должно трактоваться как SLAP-повреждение.

Это изображение показывает типичные изменения при сублабральном углублении.
Подгубное отверстие

Подгубное отверстие - отсутствие прикрепления передневерхних отделов суставной губы в области 1-3 часов.
Определяется у 11% населения.
При МР-артрографии подгубное отверстие не должно приниматься за подгубное углубление или SLAP-поврежедение, которые также локализуются в данной области.
Подгубное углубление расположено в области прикрепления сухожилия двуглавой мышцы плеча на 12 часов и не распространяется на область 1-3 часов.
SLAP-повреждение может распространятся на область 1-3 часов, но всегда должно быть вовлечено прикрепление сухожилия двуглавой мышцы.



Пролистывайте изображения и обратите внимание суставная губа не прикреплена в области 12-3 часа, в области подгубного отверстия.
Обратите внимание гладкие края, в отличии от SLAP-повреждения.
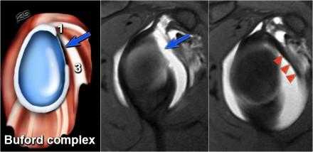
Комплекс Буфорда

Комплекс Буфорда это врожденный вариант строения суставной губы в виде отсутствия ее передневерхних отделов в области на 1-3 часа и утолщение средней плече-лопаточной связки.
Определяется в 1,5 % случаев.

На аксиальных изображениях слева может быть виден комплекс Буфорда.
Отсутствуют переднеие отделы суставной губы в области на 1-3 часв, утолщена средняя плече-лопаточная связка.
Утолщенная средняя плече-лопаточная связка не должна обшибочно приниматься за смещенную суставную губу.
Всегда по возможности необходимо прослеживать ход средней плече-лопаточная связки сверху вниз от фиброзно-хрящевой губы гленоида к плечевой кости.
Акромиальная кость

Нарушение одного их центров окостенения акромиона приводит к образованию акромиальной кости.
Определяется в 5 % случаев.
Обычно является сулучайной находкой и относится к нормальным вариантам анатомии.
Однако она может вызывать импинджмент, при нестабильности она може смещатся вниз при отведении дельтовидной мышцы, которая прикрепляется в данной области.

На МРТ изображениях акромиальная кость лучше всего видна на верхних аксиальных изображениях.
Она должна быть отмечена в описательной части, поскольку у пациентов направляемых на подклювовидную декомпрессию резекция акромиона дистальнее синхондроза может в еще больше дестабилизировать синхондроз и привести к гипермобильности после хирургического вмешательства и даже усилить сдавление.
На аксиальном МРТ изображении показана акромиальная кость с дегенеративными изменениями, такими как субхондральные кисты и остеофиты (стрелка).
Рентген-исследование плечевого сустава: диагностические возможности, методика и показания
Для проведения диагностики заболеваний плечевого сустава используют различные методы. Врач опрашивает пациента, просит рассказать, ощущает ли он боль в плече и когда это происходит, при движении или в состоянии покоя. Также проводится визуальный осмотр, пальпация, пациентом выполняется несколько простых тестов, способных продемонстрировать функционирование плечевого сустава.
Если все вышеописанные приёмы не позволяют врачу полностью оценить картину заболевания, обычно переходят к следующей стадии диагностики - рентгену.
Рентген представляет собой способ рассмотрения внутреннего строения костей плечевого сустава пациента с помощью лучей определённого диапазона.
Что показывает рентген плечевого сустава?
Вывих головки плечевой кости
При такой патологической ситуации, как вывих головки плечевой кости, её поверхности полностью утрачивают контакт с поверхностями лопаточной кости. При этом под действием сместившихся костей может отмечаться разрыв суставной сумки и связочного аппарата в соответствующей области.
Рентген в двух проекциях (прямой и осевой) довольно чётко может показать отклонение текущего состояния плечевого сустава от нормы. На снимках можно увидеть, насколько смещена головка плечевой кости, каково направление её смещения, а также наличие переломов костей (если они есть). С помощью рентгена можно определить тип вывиха и предположить развитие возможных осложнений. Не допускается вправлять вывих без предварительного проведения рентгена.
Подвывих
Проведя рентгенографию костей плеча, можно обнаружить подвывих. Это состояние схожее с вывихом, но контакт между поверхностями лопаточной и плечевой кости утрачивается не полностью, а частично.
Перелом шейки плечевой кости, боковой части лопатки или ключицы
Все кости на рентгене отображаются в виде плотных белых образований. Переломы костей, а также трещины на них выглядят на снимках как тёмные полосы, расположенные в различных направлениях и имеющие различную локализацию и размер. Фото-рентген плечевого сустава позволяет обнаружить наличие переломов плечевой кости, ключицы и лопатки. Снимок нужен для того, чтобы определить сложность перелома, увидеть, как расположены осколки костей (если имеет место раздробление).
Неопластический процесс сустава или околосуставных структур
Неопластический процесс, протекающий в плечевых или других суставах, а также в околосуставных структурах - один из самых сложных и опасных. Другими словами, это новообразование, опухоль.
Существует определённая группировка таких опухолей, которая осуществляется на основании их принадлежности к синовиальной ткани (внутрисуставной).
Диагностика неопластических патологий достаточно сложна и может включать не только рентген, но и более сложные процедуры (например, МРТ, КТ, забор материала сустава на биопсию и так далее).
Дегенеративные заболевания суставов
Плечевой сустав наиболее подвержен дегенеративным заболеваниям, таким как артрит или артроз. Преждевременное истирание и разрушение межсуставных хрящей, образование костных шипов, сужение межсуставной щели - все эти и другие симптомы дегенеративных заболеваний приносят человеку дискомфорт, боль в плече при движении и в состоянии покоя. При отсутствии должной терапии артрозы или артриты способны значительно ограничить степень подвижности плечевого сустава, свести на нет работоспособность человека.
Сближение костей плечевого сустава - это первое, что показывает рентген. Межсуставная щель сужается вследствие истирания хрящей, а значит в дальнейшем при активных движениях процесс истирания будет переходить уже непосредственно на костную ткань.
Артриты, артрозы, а также другие дегенеративно-дистрофические заболевания на первых стадиях их проявления могут поддаваться терапии, поэтому важно вовремя провести диагностику и начать лечение.
Подготовка и проведение процедуры
Плечевой сустав, рентген которого нужно произвести, перед процедурой освобождается от одежды. Также рекомендовано снять кольца, цепочки, часы или другие металлические предметы. Пациента укладывают на стол рентгеновского аппарата на живот, на спину или на бок (в зависимости от того, какая проекция снимка необходима). Во время сканирования пациент должен сохранять неподвижность. Это важное условие для получения качественного снимка.
Рентгенография длится несколько секунд. После изготовления снимка его проявляют и делают описание.
Противопоказания к диагностике
Беременным женщинам
Большинство диагностических исследований, за исключением УЗИ, беременным женщинам противопоказано. Рентген проводить нежелательно, так как его ионизирующее излучение может негативно повлиять на развитие плода и вызвать у него серьёзные патологии. В исключительных случаях рентген плечевого сустава может быть назначен беременной, если это жизненные показания. Облучению подвергается только область плеча пациентки, а всё остальное тело тщательно закрывается специальным жилетом или фартуком.
Детям до трех месяцев
Неокрепший детский организм гораздо больше подвержен негативному рентгеновскому излучению, чем организм взрослого. Главная опасность - это возможное злокачественное перерождение клеток тканей, которые попадают в область облучения. Так же, как и в предыдущем случае, рентгенографию плечевого сустава назначают только при крайней необходимости. Разрешается делать рентген детям после 14 лет.
При прохождении в тот же день других рентгенологических исследований
Рентген нельзя делать часто. Повторять данную процедуру дважды в день запрещено.
При наличии инородных металлических тел в области сустава
Металлические элементы могут отражать рентгеновские лучи и препятствовать их прохождению к плёнке, на которой формируется снимок. Пациенты, в суставах которых имеются фиксирующие болты или у которых установлены металлические протезы, на рентген не направляются, так как информативность полученного снимка будет минимальной.
Плюсы и минусы процедуры
Рентген плечевого сустава (плеча), что показывает многолетняя практика, имеет достаточно достоинств, чтобы оставаться одной из самых востребованных диагностических процедур:
Как сделать и что можно обнаружить на МРТ плечевого сустава?
Плечевой сустав человека - пожалуй, один из самых сложных и потому самый подвижный. Однако задумываться об этом приходится зачастую в определенных случаях, а именно при утрате его нормальных функций. Поэтому крайне важно не позволять неприятным симптомам развиваться и своевременно проходить диагностику. Показать полную и достоверную картину состояния плечевого сустава поможет МРТ . МРТ - это современный и эффективный метод диагностики, позволяющий получить не просто фото, как при рентгене, но подробно исследовать все составляющие плечевого сустава: сухожилия, связки, кости, мышцы.
Показания для проведения МРТ
Главными показаниями являются: нестерпимая боль, малоподвижность, припухлость мягких тканей плеча. Они могут быть следствием причин, о которых мы расскажем далее.
Заболевания мышечных волокон, связок плеча
В основном проявляются воспалительным процессом в мягких тканях плеча. Могут появиться как вследствие нагрузки, переохлаждения, так и инфекции. МРТ плечевого сустава точно определяет структуру тканей и характер повреждения.
Травмы плечевого сустава в результате занятия спортом
Происходят в основном из-за чрезмерной нагрузки или падения. Чаще встречаются в виде вывиха, реже - перелома. Перелом плечевого сустава - один из самых сложных и почти всегда требует оперативного вмешательства. Исследование плечевого сустава при помощи МРТ позволяет точно определить степень повреждения.
Разрывы мышечной ткани/связок/сухожилий
Могут быть получены как самостоятельно при потере эластичности сустава и резком движении, так и стать следствием вывиха или перелома. Во времяМРТ плечевого сустава можно обнаружить как полный, так и частичный разрыв связок или сухожилий, что сложно сделать с помощью иных процедур.
Зажим нервных волокон в плечевом суставе
Происходит как при травмах, так и при длительном нахождении в неудобной позе. Проявляется локальной болью во время движения. Может привести к невралгиям и невритам - воспалению нерва. Любое из данных проявлений требует дополнительного обследования. МРТ плечевого сустава показывает любые изменения в тканях, что необходимо для постановки правильного диагноза.
Какие заболевания диагностирует процедура?
Бурсит
Это воспаление околосуставной сумки с возможным накоплением жидкости, гноя, солей, камней, белка. По характеру накоплений различают несколько видов бурсита и прибегают к тому или иному лечению. МРТ плечевого сустава может обнаружить не только само воспаление, но и то, что стало его причиной. Бурсит возникает из-за травмы, инфекции, при постоянной, монотонной нагрузке на сустав (во время занятия спортом или трудовой деятельности). Имеет как острую, так и хроническую форму.
Артрит плечевого сустава
Это тоже воспаление, но уже самого суставного хряща или соединительных тканей. Возникает чаще всего вследствие травмы, нервных заболеваний, аллергических реакций и даже кишечных или желудочных инфекций. Также может носить наследственный характер. Без должного внимания и лечения может привести к полной неподвижности и, как следствие, атрофии конечности.
Остеопороз
Является поражением костной ткани и ее истощением. Ведет к разрушению плечевого сустава и обездвиживанию. Прежде чем проводить лечение, важно понять причины возникновения заболевания, а они могут быть различны: от инфекционных заболеваний, перенесенных ранее, до почечной недостаточности и неправильного образа жизни. МРТ плечевого сустава поможет выявить полную картину недуга.
Болезнь Хасса
Очень редкая болезнь. Представляет собой отмирание головки кости плечевого сустава. Причины возникновения точно не установлены, однако существует мнение, что происходит это из-за плохого снабжения сустава кровью. Без должной диагностики сложно точно выявить конкретный недуг, ведь все заболевания в этой области проявляются одинаково: болью, покраснением и припухлостью мягких тканей, нарушением функции плеча. Полную картину состояния плечевого сустава выявляет именно МРТ.
Как подготовиться к процедуре?
Особенной подготовки МРТ плечевого сустава не требует. Важно надеть свободную одежду и предупредить специалиста о возможном наличии металлических имплантатов и аллергии.Также рекомендуется отказаться от принятия пищи за несколько часов, если процедура проводится с контрастом. Связано это с возможной реакцией организма в виде тошноты и рвоты. Это бывает редко, однако случается. Обычно пациенты переносят процедуру хорошо.
Как проходит магнитное сканирование плеча?
В более сложных случаях - до получаса. Технология обследования заключается в фиксации плечевого суставапри помощи ремней и валиков и введении человека в «колбу» аппарата МРТ. Так как необходима полная неподвижность, детям, если это необходимо, процедуру делают под наркозом.
Сколько длится МРТ плечевого сустава?
МРТ плечевого сустава длится примерно 15-20 минут. В более сложных случаях - до получаса.
Противопоказания для МРТ плечевого сустава
Несмотря на доказанную безвредность, в отличие от рентгена, все-таки для проведения МРТ плечевого сустава существует ряд противопоказаний:
• наличие металлических инородных предметов;
• клаустрофобия;
• беременность (первый триместр) и кормление грудью (при проведении МРТ с контрастом);
• вес, превышающий 120 кг.
МРТ плечевого сустава сейчас делают как в закрытом, так и открытом аппарате. Второй вариант оптимален при клаустрофобии. Однако открытые томографы встречаются редко.
Эту информацию мы предоставляем как справочную. Вследствие сложной анатомии пл е чевого сустава, МРТ является одним из наиболее эффективных и безопасных методов диагностики заболеваний этого органа. В нашем центре мы проводим МРТ различных систем организма, в том числе и плечевого сустава.

Наши медицинские центры
- Взрослое отделение
- Диагностика
- Консультации
- Центр лечения боли
- Центр здоровья сердца
- Центр здоровья женщины
- Центр эндокринологии
- Детское отделение
- Массаж
- Нефрология
- Оториноларингология
- Офтальмология
- Эндокринология
Запись по ОМС на МРТ и КТ
Включить версию для слабовидящих?
Настоящим я даю своё согласие ООО «Диагностический центр «Энерго» (далее - Общество) (ИНН: 7810812758, юридический адрес - 196084, город Санкт-Петербург, ул. Киевская, д. 5 к. 4, помещ. 20-н), далее - «Оператор», и третьим лицам, осуществляющим обработку моих персональных данных по поручению Оператора, на обработку указанных сведений обо мне, в целях содействия в трудоустройстве.
Я соглашаюсь на сбор, запись, систематизацию, накопление, хранение, уточнение (обновление, изменение), извлечение, использование, передачу (предоставление, доступ), блокирование, удаление, уничтожение моих персональных данных, а также на осуществление любых других действий, предусмотренных действующим законодательством Российской Федерации, совершаемых с использованием средств автоматизации или без использования таких средств.
Настоящее согласие дано мною лично и добровольно. Настоящее согласие действует до момента его отзыва при отсутствии у Оператора других законных оснований для обработки персональных данных и может быть отозвано мной в любой момент в письменной форме путем направления уведомления Оператору по адресу, указанному выше.
Мы используем cookie-файлы, IP-адреса и данные об устройствах для аналитики, чтобы Ваше посещение сайта было удобным и персонализированным. Вы можете отключить cookie-файлы в настройках вашего браузера. Продолжая пользоваться нашим сайтом, Вы даете согласие на обработку перечисленных данных и принимаете условия Политики обработки и обеспечения безопасности ПДн.
Рентген плечевой кости: когда назначают, подготовка, нормальные показатели

Рентген костей плечевого отдела - это информативный и быстрый способ выявления патологий костных и мягких тканей. Он основан на способности разных по плотности и структуре тканей по-разному пропускать ионизирующие лучи. Результатом рентгенографии становится отчётливый и информативный снимок, который помогает выявлять патологии костей и точно ставить диагнозы (либо их опровергать).
Показания для рентгенографии плечевой кости
Хотя рентген плечевой кости и является относительно безопасным способом диагностики, делать его можно только по назначению врача. Показаниями могут стать:
- болевые ощущения в области плеча как при движении, так и в состоянии покоя;
- покраснение кожных покровов в области плеча;
- деформация плечевого сустава, опущение одного плеча;
- хруст в плече при движении рукой;
- травма, ушибы плеча.
Что позволяет выявить рентген плеча?
Когда случается перелом плечевой кости, рентген нужно сделать обязательно, чтобы своевременно выявить:
- локализацию перелома;
- вид перелома (открытый, закрытый, оскольчатый, со смещением и т.д.);
- состояние и расположение смежных костей.
Кроме переломов, рентген плеча может показать наличие следующих патологий:
- вывихи и подвывихи;
- трещины плечевой кости, лопатки, ключицы;
- остеопороз;
- артрит плечевого сустава;
- новообразования различного характера (доброкачественные, злокачественные);
- неопластический процесс в суставе или околосуставных структурах;
- дегенеративные заболевания суставов.
Подготовка к процедуре
Особой подготовки для проведения рентгена плеча не требуется. Нужно прийти на процедуру, заранее сняв с себя все украшения и аксессуары, которые могут попасть в зону исследования. Если у пациента в плечевом суставе или в смежных костях есть инородные тела (например, медицинские фиксирующие болты), об этом нужно обязательно сказать специалисту-рентгенологу.
Чтобы защитить те части тела, которые не участвуют в обследовании от рентгеновского излучения, используются специальные свинцовые фартуки.
Как проводится исследование?
Для проведения рентгеновской диагностики пациенту необходимо раздеться до пояса. Затем для съёмки в прямой проекции он садится боком к экрану рентгеновского аппарата. Рука с исследуемой стороны отводится в сторону и выпрямляется в локте. После этого она укладывается на рабочий стол аппарата ладонью вверх. Данная позиция позволяет получить панорамное изображение костей плечевого пояса.
Для диагностики вывиха плеча могут проводить съёмку в аксиальной проекции. Такой снимок даст возможность определить направление смещения головки плечевой кости при вывихе в плечевом суставе, а также характер смещения отломков при переломах проксимального отдела плечевой кости. Для получения такого снимка пациент садится возле края стола. Его рука отводится в сторону по возможности до горизонтальной плоскости, сгибается в локте, укладывается на стол (либо на подставку) и, согнутая в локтевом суставе, находится в положении пронации (когда кисть обращена вниз).
Расшифровка результатов

В норме на рентгене должна чётко визуализироваться плечевая кость, её контуры не должны прерываться. Также на кости не должно быть затемнений, отростков, новообразований. Головка плечевой кости должна полностью входить в сустав с сохранением нормальной межсуставной щели.
При расшифровке рентгенолог различает потемнения на снимке, тени, структуру сустава, изменения в нем. Также он выявляет рентген-признаки наличия очагов заболеваний, таких как остеопороз, остеомиелит, рак плечевой кости и др. На основании просмотра снимка рентгенолог пишет заключение.
К рентгенологическому исследованию плеча абсолютных противопоказаний нет. Однако есть ряд ограничений, которые следует учитывать. Например, с осторожностью нужно назначать рентген беременным женщинам, кормящим матерям и детям до 15 лет. Данная процедура допускается только в тех случаях, когда потенциальный вред от неправильно поставленного диагноза и отсутствия лечения намного превышает вероятность развития побочных эффектов. По возможности для данных категорий пациентов выбирают другие способы диагностики - УЗИ, МРТ.
Пациентам, находящимся в тяжелом состоянии, также нежелательно делать рентген, поскольку малейшие передвижения могут усугубить и без того сложную ситуацию. В этом случае рентгенографию можно перенести на некоторое время, когда кризис минует.
Насколько вреден рентген?
Есть вероятность того, что рентген негативно повлияет на состояние здоровья человека (особенно ребенка). Ионизирующие лучи, проходя сквозь тело, могут ненадолго менять структуру белка, состав крови, а также вызывать злокачественное перерождение клеток. При этом практически выявленных случаев, когда достоверно можно сказать, что на развитие какой-либо патологии повлиял именно рентген, довольно мало. Для минимизации лучевой нагрузки при выполнении рентгена отдельной части тела остальные части закрываются свинцовым фартуком или жилетом. Если же рентген проводится на современном цифровом оборудовании, лучевая нагрузка и вовсе становится мизерной.
Читайте также:
- Техника амбулаторных операций на глотке, гортани. Аденотомия, тонзиллотомия
- Киста третьей жаберной щели
- Внесосудистая и внутрисосудистая пурпуры у ребенка
- Диагностика инвагинации кишечника. Дифференциация инвагинации кишечника у детей
- Частота денивелировки ортостатического давления. Астеновегетативный синдром
