Варианты нормы таза, тазобедренного сустава на рентгенограмме, МРТ
Добавил пользователь Евгений Кузнецов Обновлено: 22.01.2026

Магнитно-резонансная томография - метод диагностики, позволяющий получить подробное представление о характере патологических изменений в любой области человеческого тела.

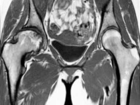
МР-скан коксофеморальных сочленений, вариант нормы
В ортопедической практике МРТ тазобедренного сустава чаще проводят для уточнения причин коксалгии - болевого синдрома в сочленении. Способ исследования не подразумевает использования ионизирующего излучения, что особенно актуально для детей и беременных женщин. Процесс создания четких снимков, которые можно увеличивать, рассматривать в объемном виде, базируется на использовании магнитного резонанса и компьютерных технологий. Для улучшения возможностей визуализации применяют контрастирование. Диагностическая ценность фото, полученных после введения гадолиния, сопоставима с результатами артроскопии - инвазивного исследования с проникновением в полость сочленения хирургических инструментов.
Как делают МРТ тазобедренного сустава? Сканирование проводят на аппаратах с разной напряженностью магнитного поля. Врач может самостоятельно выбирать программы в зависимости от клинических задач. Это актуально, если первоначально неясно, что вызывает болевой синдром: патология органов малого таза или сустава. В стандартных ситуациях используют мультипараметрические последовательности.
Заболевания тазобедренного сустава на МРТ

Импиджмент синдром на МР-фото
Магнитно-резонансное сканирование проводят для диагностики ряда патологических состояний. Что показывает МРТ тазобедренного сустава? На снимках визуализируются:
К механическому конфликту между бедренной головкой/шейкой и краем вертлужной впадины приводят одно- или двусторонние дефекты костей врожденного или приобретенного генеза. Видоизмененные компоненты сочленения вызывают дисфункцию конечности за счет соударения во время движения. Патологическое трение костей способствует разрастанию остеофитов на фоне постоянной травматизации вертлужной губы. Если своевременно не диагностировать заболевание и не начать лечение, последняя с течением времени разорвется., Хрящевая ткань сочленяющих костей будет разрушена. Подобный механический конфликт часто способствует формированию коксартроза и сопровождается прогрессирующим болевым синдромом.

МРТ: выраженный эпифизеолиз слева - дистрофическое состояние зоны роста, симптом соскальзывания головки в области шейки бедренной кости
МРТ тазобедренного сустава при феморо-ацетабулярном импинджмет-синдроме показывает возможные причины заболевания:
врожденные пороки развития;
осложнения после травм и оперативных вмешательств;
сопутствующий аваскулярный некроз головки бедра;
воспалительные процессы в синовиальной сумке;
остеохондропатию (болезнь Пертерса);
эпифизеолиз (перелом Салтера-Харриса);
атрофированные мышцы вокруг сочленения и пр.
При тяжелой форме сахарного диабета с нарушением кровообращения, регулярных физических перегрузках, сопутствующих заболеваниях опорно-двигательного аппарата и соединительной ткани (артриты, подагра, системная красная волчанка и пр.) обнаруживают деструкцию костных и хрящевых структур.
Остеоартроз. Длительно существующий патологический процесс приводит к полной утрате функции тазобедренного сочленения за счет разрушения всех компонентов сустава. Изменения в костной ткани, связках, кровеносных сосудах, хрящах и окружающих мышцах можно увидеть на МРТ с контрастированием. Вовлечение нервных пучков вызывает стойкую боль в бедре. К предрасполагающим факторам относят:
занятия тяжелыми видами спорта;
сопутствующий артрит, артроз и пр.
У болезни выделяют три степени тяжести. МРТ тазобедренного сустава показывает изменения на ранней стадии, когда предотвратить/замедлить прогрессирование патологии можно с помощью медикаментозной терапии.
Аваскулярный некроз головки бедра.

Вид указанной патологии на МРТ, изменения соответствуют 2 стадии
К развитию аваскулярного некроза приводит длительное нарушение питания тазобедренного сустава на фоне загустевания крови, тромбообразования, сдавления, скручивания сосудов. В костной ткани при ишемии создаются пустоты, приводящие к деформации, отслойке хряща. Клинические проявления неспецифичны, что вызывает трудности в постановке диагноза. Провоцирующих факторов множество:
воздействие ионизирующего облучения и пр.
Ранние изменения не видны при рентгенографии, ультразвуковом исследовании. МРТ тазобедренного сустава - один из эффективных способов определить болезнь на начальной стадии.

Подострый остеомиелит на МР-скане и обычной рентгенограмме: отслойка надкостницы (наконечник), гнойный очаг (стрелки)
Ревматоидный, септический, псориатический, реактивный, юношеский артриты, остеомиелит приводят к видоизменению тазобедренного сустава и синовиальной оболочки (синовиту). Определение генеза, кроме процедур МРТ и КТ, подразумевает выполнение лабораторных тестов для оценки:
уровня мочевой кислоты;
HLA B27 антигена;
антител к циклическому цитруллинированному пептиду и пр.
Артрит тазобедренного сочленения (коксит) может быть проявлением болезни Бехтерева, костно-суставного туберкулеза, ряда обменных нарушений в организме человека. Выделяют четыре стадии прогрессирования болезни:
I - стирание сухожилий, уменьшение пространства между костями, незначительное депонирование жидкости, усиление боли при нагрузке;
II - развитие эрозий и мышечной атрофии;
III - образование остеофитов, нарастание отека, деструкция хряща;
IV - видоизменение всех структур сочленения.
Синовиальные поражения. Болезни внутреннего слоя суставной сумки или костно-фиброзного канала регистрируют редко. Пигментно-нодуллярный синовит - опухолеподобная патология сочленения с неизвестным генезом. Для болезни характерны гиперплазия (избыточное разрастание) оболочки и отложение гемосидерина. По фото МРТ видны сформированные во внутреннем слое капсулы хрящевые тела при синовиальном хондроматозе.

МРТ: метастаз в шейку бедра с формированием стресс-перелома (обведено)
В тазобедренном суставе могут развиваться добро- и злокачественные новообразования. Фото МРТ показывает предположительный характер опухоли. Верификация диагноза требует биопсии. Боль отмечают при сдавливании нервных окончаний, пограничных тканей, сосудов, что бывает при любой опухоли, поэтому отсутствие симптома не должно откладывать проведение магнитно-резонансной томографии. Первичные новообразования костей лучше диагностировать с помощью КТ, для демонстрации изменений мягких тканей больше подходит МРТ.
Дисплазия тазобедренного сустава. Для определения врожденного недоразвития сочленения, сопровождающегося подвывихом, ультразвуковой сонографии часто недостаточно. МРТ можно делать маленьким детям без вреда для здоровья, начиная с месячного возраста.

Стресс-перелом шейки бедра на МРТ
Патологию чаще диагностируют у пожилых людей, что связано с возрастными нарушениями минерального обмена. При опухоли и инфекции возникает так называемый патологический перелом костной ткани. Фото МРТ показывает:
вывихи, растяжения и разрывы (полные и частичные) связок;
ушибы с внутренним кровоизлиянием;
МРТ тазобедренного сустава: показания и противопоказания

Эндопротез может вызвать дефекты на изображениях, поэтому предпочтительнее рентгеновские способы диагностики
МР-томографию выполняют при неоднозначных результатах компьютерного сканирования, рентгенографии, УЗИ. Способ подходит для динамического наблюдения: по медицинским показаниям нет ограничений по количеству в проведении МРТ. Клинические проявления при ряде патологических процессов схожи, и для точного определения генеза симптомов необходима расширенная диагностика. Показания к МРТ тазобедренного сустава включают:
длительный болевой синдром, необъяснимую хромоту, дискомфорт во время ходьбы и/или в покое, ограничение амплитуды движений в сочленении;
отсутствие эффекта/краткосрочное улучшение на фоне терапии;
оценку посттравматических осложнений - в экстренной ситуации поиск начинают с КТ;
первичное выявление заболевания - воспаления, деструкции, опухолевой патологии, врожденных аномалий развития, инфекционного поражения, дегенеративно-дистрофических процессов и пр.;
обследование перед операцией и после хирургического вмешательства - эндопротезирования и др.;
При болях, связанных с невралгией, МРТ тазобедренных суставов показывает норму, исследование выполняют для дифференциации процессов.
Противопоказания к МР-сканированию:
наличие в теле имплантированных устройств - мио-, нейро-, кардиостимулятора, дефибриллятора, инсулиновой помпы, постоянного слухового протеза, сосудистых клипс из металла с парамагнетическими свойствами, аппарата Илизарова и пр.;
беременность в первом триместре;
детский возраст до месяца;
ожирение с массой тела выше 120 кг (для сканеров с закрытым контуром);
тяжелое самочувствие пациента, обусловленное острым состоянием: болевым синдромом на фоне травмы, инфарктом, инсультом и пр.;
невозможность длительного нахождения в положении на спине;
некоторые психические и неврологические патологии - алкогольный делирий, эпилепсия, клаустрофобия, болезнь Паркинсона, Альцгеймера (МРТ сделают в условиях стационара под седативными препаратами).
Исследование с контрастом недоступно для пациентов с аллергической реакцией на гадолиний в анамнезе, почечной недостаточностью терминальной стадии, беременным на любом сроке. Постоянные зубные конструкции - виниры, штифты, брекеты, эндопротезы из титана не препятствуют выполнению магнитно-резонансного сканирования
Как делают МРТ тазобедренного сустава?

Для улучшения соотношения сигнал-шум нужно, чтобы проблемная область находилась как можно ближе к центру стола
Магнитно-резонансное сканирование указанного сочленения выполняют на разных аппаратах. Снимки, полученные на оборудовании с замкнутым контуром, более информативны. Оптимальный вариант - сделать МРТ на закрытом сканере с напряженностью магнитного поля от 1.5 Тесла. Маломощные установки используют для скрининговой диагностики спортсменов, в отсутствие жалоб.
За 20 минут до исследования пациент прибывает в клинику. После оформления документов и сдачи на хранение предметов, содержащих металл, рентгенолаборант укладывает больного на стол томографа.
Во время диагностической процедуры можно посмотреть один или два тазобедренных сустава, что зависит от показаний: системные заболевания подразумевают комплексное исследование нескольких зон.
Пациента укладывают на спину, большие пальцы ступней сводят вместе для обеспечения ротации тазобедренных суставов. Для предотвращения случайных движений используют подколенный валик и мягкую фиксацию конечностей ремнями. Над областью интереса располагают катушку. При запланированном контрастировании в локтевую вену устанавливают катетер и подсоединяют автоматический инъектор: в заданное время в организм будет поступать препарат-усилитель.
После оценки прицельных снимков рентгенолог выбирает нужные последовательности МРТ. За ходом диагностики медперсонал наблюдает через окно из соседнего помещения, общение осуществляют по громкой связи. При ухудшении самочувствия больного сканирование может быть приостановлено, под рукой у пациента есть специальная кнопка. После завершения сканирования стандартно на руки выдают заключение, диск с записью диагностической процедуры. Видео можно открыть с помощью программы, поддерживающей формат dicom.
Как подготовиться к МРТ тазобедренного сустава?

Перед записью на процедуру все вопросы можно обсудить с лечащим врачом
Особых мер не требуется, достаточно убрать металлические предметы (ключи, монеты и др.), платежные карты, снять украшения, часы, надеть свободную одежду без молний и заклепок. Возьмите с собой пакет документов: паспорт, описания результатов предыдущей диагностики, направление врача, медицинский полис (если оплата будет проходить через страховую компанию).
Для женщин в период лактации подготовка к МРТ тазобедренного сустава с контрастированием подразумевает запас молока на несколько кормлений. Усиленный питьевой режим после диагностической процедуры будет способствовать более быстрому избавлению от хелатов гадолиния.
Как проводится МРТ тазобедренных суставов, если нужно посмотреть еще и внутренние органы? При подозрении на возможную патологию матки, придатков, простаты, семенных пузырьков, поддерживающих болевой синдром, подготовка к исследованию подразумевает очистку кишечника и устранение метеоризма. Мочевой пузырь оценивают в наполненном состоянии.
Расшифровка МРТ тазобедренных суставов
Интерпретацией изображений занимается врач-рентгенолог. В норме на серии томограмм травматических изменений не определяется:
структура костной ткани однородна, без дистрофических признаков;
субхондрального склероза суставных поверхностей нет;
капсула сочленений не утолщена, в полости присутствует небольшое количество синовиальной жидкости с однородным МР-сигналом;
костные крыши вертлужных впадин сформированы правильно, суставные щели равномерные, конгруэнтность (сопоставимость, согласованность) поверхностей сохранена;
целостность связочного аппарата не нарушена;
сигнал хрящевого компонента без особенностей, областей истончения нет;
краевые заострения суставных поверхностей вертлужных впадин отсутствуют;
окружающие мягкие ткани без видимой патологии;
бедренные и тазовые кости в зоне сканирования без очаговых изменений.
Анатомия тазобедренного сустава

Обеспечение указанным сочленением обширного объема движений в нескольких плоскостях и значительные физические нагрузки приводят к развитию различных заболеваний
Коксофеморальный сустав сформирован проксимальным концом (головкой) бедренной кости и вертлужной впадиной. Последняя состоит из подвздошной, седалищной и лобковой костей, имеет округлую форму. В вертлужной впадине различают суставную поверхность, ацетабулярную ямку или углубление. Капсулу сочленения формируют множественные связки. Головка бедренной кости, как и вертлужная впадина, частично покрыта гиалиновым хрящом, остальное приходится на синовиальную оболочку, вырабатывающую жидкость для уменьшения трения. Связки и суставная капсула служат для ограничения амплитуды движений (предотвращения вывихов, переразгибаний конечности).
Сколько длится МРТ тазобедренного сустава?
Продолжительность диагностической процедуры связана с мощностью аппаратуры, типом исследования (нативное или с усилением). Длительность МРТ тазобедренного сустава примерно 25-35 минут, результат можно забрать через полчаса. При заказе услуги “Второе мнение” сроки готовности заключения оговаривают отдельно. С учетом заполнения медицинской документации, проведения инструктажа, укладки пациента и сканирования временные затраты займут около часа.
Что лучше: КТ, МРТ или рентген тазобедренного сустава?

Эпифизеолиз бедер на МРТ
Магнитно-резонансная томография и компьютерное сканирование являются дополняющими способами диагностики, так как часто необходимо оценить и мягкотканные структуры и кости, формирующие сустав. В экстренных ситуациях преимущество у КТ, позволяющей получить результат в течение нескольких минут. Отдаленные последствия травм, опухоли, аваскулярный некроз лучше демонстрирует МРТ. Рентгенографию в современной травматологии используют для поиска грубых повреждений или запущенных процессов, исходящих из костной ткани, при возможности выбора лучше сделать мультиспиральное компьютерное сканирование. Из перечисленных способов визуализации наиболее безопасна МР-томография, так как рентгеновская диагностика подразумевает лучевое воздействие на организм.
МРТ костей таза что показывает

Таз - часть скелета человека, обеспечивает прикрепление к туловищу нижних конечностей, является опорой и вместилищем для органов. Симптомы патологических процессов в указанной зоне, вне зависимости от природы, схожи. МРТ костей таза - ведущее исследование для выявления причины заболеваний костно-мышечной системы.

Магнитно-резонансная томография демонстрирует подвздошную, лобковую, седалищную кости, симфиз (спереди) и копчик (сзади), тазобедренные суставы, внутренние органы (мочевой пузырь, простату, матку, часть кишечника и пр.)
Сначала чаще используют компьютерную томографию. При сохранении необъяснимой боли в течение недели без видимых рентгенологических признаков показано выполнение магнитно-резонансного сканирования. Процедура важна для диагностики угрожающих состояний: аваскулярного некроза, злокачественного опухолевого процесса и пр. МР-томография демонстрирует максимально подробные изображения мягкотканных структур: мышц, связок, сухожилий, нервно-сосудистых пучков, что необходимо для определения правильного диагноза и дифференциации ряда суставных синдромов.

МРТ: симфизит, стрелка указывает на утолщение капсулы, неровность контуров
В основе исследования лежит принцип магнитного резонанса - фиксации перемещения ионов водорода под влиянием создаваемого аппаратом поля и электрических импульсов с последующей визуализацией данных с помощью компьютерной программы. Рентгеновского излучения, способного нанести вред человеческому организму, нет. Диагностическая процедура подходит для обследования беременных со второго триместра гестации и новорожденных в возрасте от 1 месяца. Для получения более контрастных снимков используют внутривенное введение препарата с парамагнетическими свойствами на основе хелатов редкоземельного металла гадолиния.
Заболевания костей малого таза

МРТ-признаки остеомиелита лонных костей: расширение сочленения и скопление жидкости с формированием параартикулярных затеков (длинные стрелки), разрастание грануляционной ткани (короткие стрелки), Т2-ВИ, аксиальная (а) и коронарная (в) плоскости
Магнитно-резонансное сканирование нашло применение в травматологической, ортопедической, ревматологической, онкологической практиках, так как генез патологических процессов многообразен. Исследования проводят для диагностики причин острой и хронической боли.
Что покажет МРТ костей таза:
- отек, присутствие инородного тела, крови, больших скоплений жидкости;
- повреждения крупных мышц и сухожилий при травматизации, перелом костей таза, в том числе, с разрывом кольца;
- дегенеративные изменения в суставах с разрушением хрящевой ткани (остеопороз) и аваскулярный некроз тазобедренных сочленений (видны на бесконтрастной МРТ);
- расхождение лонных костей (симфизиолиз), гипоплазию таза (недоразвитие, врожденный синостоз), дисплазию бедра или врожденный вывих и пр.;
- атрофию мышц, окружающих сустав;
- синдром отека костного мозга;
- туберкулезное, сифилитическое поражение (окончательная диагностика требует проведения специальных тестов);
- защемление нервных окончаний;
- остеохондропатию головки бедренной кости (болезнь Пертеса);
- наличие обширных участков воспаления, дегенеративные процессы в сухожилиях (тендинит), синовиальной сумке (бурсит), суставах (артрит, артроз, спондилез) и пр.;
- неопластические процессы: остео-, хондро-, фибросаркому, гистиоцитому, костные метастазы, поражение лимфатических узлов;
- повреждения апофиза, стрессовые переломы таза, шейки, диафиза бедренной кости и пр.;
- анкилозирующий спондилит крестцово-подвздошных сочленений (болезнь Бехтерева);
- внутрисуставные разрывы губ (диагностируют с помощью магнитно-резонансной артрограммы, подразумевающей введение контраста в тазобедренный сустав под контролем ультразвука) и др.;
- неполноценную конфигурацию вертлужной впадины;
- плексит пояснично-крестцового сочленения;
В экстренных ситуациях при острой травме с повреждением костей малого таза первоначально проводят КТ (из-за быстроты получения результатов). Магнитно-резонансную томографию могут назначить после стабилизации состояния.
МРТ костей малого таза: подготовка

Длительность сканирования - 25-30 минут, во время процедуры необходима максимальная неподвижность
Особенных мероприятий для исследования данной анатомической области не требуется: необходимо оставить все предметы, содержащие металл, за пределами диагностической комнаты и выбрать удобную просторную одежду без молний, заклепок, украшений и пр.
Боль в малом тазу может быть вызвана патологическим процессом внутренних структур (иррадиация в кости или суставы). Поэтому для возможности оценки отделов репродуктивного, мочевыводящего и кишечного тракта в зоне интереса за 2-3 дня до сканирования следует исключить из рациона питания газообразующие продукты и напитки: горох, фасоль, капусту, черный хлеб, молоко, квас, пиво и др. На обследование следует прийти после 4-6 часового голода.
Для предотвращения вегетативных реакций на введение препарата за 20-30 минут до диагностики с контрастом рекомендуют неплотно перекусить. Пища в небольшом количестве перед процедурой не нарушит визуализации.
МРТ костей таза и жизненно важных органов данной анатомической области технически проводят по-разному: для изучения конкретной структуры используют вариативные последовательности и режимы, выжидают определенный промежуток времени для достижения контраста и пр. Врач при предварительной оценке изображений и явном подозрении на заболевание какого-либо органа может изменить алгоритм диагностики. Правильная подготовка к МРТ позволит получить более качественные снимки. Все выявленные изменения будут описаны в заключении.
Возьмите с собой результаты предыдущей диагностики: рентгено- и ультрасонографии, КТ, МРТ, ПЭТ, выписки из больницы. Для проведения исследования необходимы паспорт, направление, полис ОМС/ДМС (если МРТ оплачивает страховая компания).
МРТ костей таза с контрастом

МРТ костей таза показывает множественные очаги, что говорит о метастатическом поражении
Магнитно-резонансное сканирование с контрастированием улучшает возможности визуализации. Исследование с усилением проводят для диагностики опухолевого процесса, включая обнаружение метастазов в костях таза, раннего выявления рецидива новообразования после лечения, уточнения степени выраженности воспалительного процесса, деструкции и пр. Контраст на основе гадолиния обладает высоким профилем безопасности и не требует предварительной оценки функции почек. Побочные эффекты на введение парамагнетика регистрируют крайне редко. В 99,9 % случаев исследование проходит без осложнений. Противопоказания к контрастированию:
- аллергическая реакция на гадолиний в анамнезе (при предыдущем МР-сканировании);
- получение заместительной очистительной терапии по поводу терминальной стадии почечной недостаточности;
- период вынашивания малыша;
- ранний детский возраст.
Общие противопоказания к МРТ:
- имплантированные кардио-, нейростимуляторы, слуховые аппараты, инъекторы для подачи лекарств, протезированные суставы, сосудистые клипсы и пр.;
- объем бедер больше диаметра барабана;
- острое состояние, подразумевающее реанимационную помощь;
- психические и неврологические заболевания с неконтролируемой двигательной активностью.
Расшифровка снимков МРТ костей таза

МРТ крестцово-подвздошных суставов - типичный воспалительный сакроилеит при аксиальном спондилоартрите (стрелки)
Выявлением изменений на снимках и расшифровкой результатов занимается рентгенолог. Заключение МРТ не является окончательным диагнозом и требует интерпретации врача, направившего на исследование, с учетом всех данных: симптомов, лабораторных тестов, результатов биопсии и пр.
В норме крестцово-подвздошные сочленения обычной конфигурации, симметричны с обеих сторон, ширина не изменена. Костно-суставные взаимоотношения не нарушены, периартикулярные и пресакральные ткани без видимых изменений. Краевых остеофитов, отека, деформации нет. Пояснично-крестцовый переход и видимые крылья подвздошных костей без особенностей. Позвоночные сакральные отверстия симметричны, не расширены.
При обнаружении объемного образования врач указывает локализацию, размер, контуры, взаимоотношение с окружающими тканями, интенсивность МР-сигнала в разных режимах и соответствие последнего той или иной ткани.
Пациент получает запись с ходом диагностической процедуры и заключение на руки. В начале документе указаны:
- тип томографа, напряженность магнитного поля;
- плоскости сканирования;
- толщина среза;
- импульсные последовательности;
- проведение/отсутствие контрастного усиления.

МРТ: двусторонний склероз подвздошной кости с сужением суставной щели (стрелка)
В диагностическом центре “Магнит” в СПб исследования проводят на современном томографе экспертного класса с напряженностью поля 1,5 Тесла, что позволяет получить диагностически ценные изображения. В ночные часы предусмотрена 30% скидка на МРТ костей таза. Приходите - мы Вас ждем!
Рентгенодиагностика коксартроза: самые распространенные ошибки
Болезни суставов нужно не только правильно лечить; сначала их нужно правильно диагностировать. К сожалению, с рентгенодиагностикой коксартроза дело обстоит неважно. И даже качественные рентгеновские снимки не являются гарантией того, что пациенту:
а) поставят правильный диагноз;
б) правильно определят стадию артроза.
Ниже мы рассмотрим самые распространенные диагностические ошибки.
Снимок 1. На этом рентгеновском снимке изображен здоровый тазобедренный сустав. Мы можем здесь увидеть:
- правильную округлую форму головки бедренной кости;
- нормальных размеров суставную щель, т. е. достаточное расстояние между головкой бедренной кости и сочленяющейся с ней вертлужной впадиной.

Здоровый тазобедренный сустав. Фотография из архива доктора Евдокименко
Тем не менее этому пациенту почему-то поставили диагноз «коксартроз второй стадии» и приговорили к операции по замене сустава.
На самом деле никакого коксартроза у пациента не было и в помине. Да, он жаловался на боли в бедре, но эти боли были вызваны грыжей межпозвоночного диска и защемлением бедренного нерва (что впоследствии подтвердила томограмма позвоночника). Соответственно, операция по замене сустава пациенту была не нужна, а боли в бедре прошли после успешного лечения грыжи диска.
Возникает резонный вопрос: почему врач, проводивший описание рентгеновских снимков, так сильно оплошал и поставил диагноз «коксартроз второй стадии»?
Для меня ответ очевиден: рентгенолог поликлиники не имел достаточной квалификации в диагностике артрозов (может быть, потому, что артрология, т. е. наука о болезнях суставов, до сих пор очень плохо преподается в институтах). И видимо, рентгенолог рассуждал так: раз уж пациента направили на рентген тазобедренных суставов, значит, он чем-то болен.
А поскольку, по мнению этого рентгенолога, самая частая болезнь тазобедренных суставов — артроз, значит, так и запишем: у пациента коксартроз, для верности добавим: второй стадии. То, что таким образом он приговаривает пациента к операции по замене сустава, рентгенолога едва ли волновало.
Чудовищно, но, к сожалению, с такими ошибками рентгенологов мне приходится сталкиваться постоянно: чуть ли не ежедневно ко мне на прием приходят люди, которым поставили диагноз «коксартроз», а у них нет даже намека на «болезнь» и боли вызваны либо синдромом грушевидной мышцы, либо трохантеритом, либо грыжей межпозвоночного диска.
Но бывают диагностические ошибки и «в другую сторону», когда пациента лечат от несуществующей болезни позвоночника, предполагая, что боли в ноге вызваны защемлением нерва, и не видят прогрессирующий артроз тазобедренного сустава. Такой случай представлен ниже.
Снимок 2. Пациент обратился к врачу по поводу боли в правом паху и правом бедре, возникающей только при ходьбе или вставании со стула.

Коксартроз 2-й стадии. Фотография из архива доктора Евдокименко
Врач, осматривающий пациента, подошел к своему делу весьма формально: он осмотрел только спину больного, а ноги смотреть не стал. И хотя спина пациента была в полном порядке, вердикт медика был таким: «остеохондроз позвоночника».
В результате пациента 2 года (!) лечили от несуществующего остеохондроза. Но поскольку пациенту становилось только хуже, его, наконец, отправили на обследование. И провели, помимо прочего, рентген тазобедренных суставов. После получения рентгеновских снимков врачи наконец смогли (спустя 2 года) поставить правильный диагноз: «коксартроз».
Вот что мы видим на снимке пациента:
- головка бедренной кости «подтянулась» к вертлужной впадине, расстояние между костями совсем небольшое (уменьшение размеров суставной щели). Это говорит о том, что суставной хрящ, покрывающий сочленяющиеся части костей, стал гораздо тоньше (как вы помните, на рентгене сам хрящ не виден);
- оставшись без «хрящевого амортизатора», головка бедренной кости стала деформироваться, частично расплющиваться. Она теперь не такая идеально-круглая, как должна быть.
Такие рентгенологические изменения соответствуют коксартрозу второй стадии.
Снимок 3. Здесь представлен снимок пациентки, которой диагноз «коксартроз» поставили вовремя, еще на первой стадии болезни. Но, несмотря на своевременно поставленный серьезный диагноз, сама пациентка очень безалаберно отнеслась к своему здоровью и 5 лет игнорировала назначенное врачами правильное лечение. Вот что представлял ее сустав через 5 лет:
- суставной хрящ разрушен почти полностью (нет расстояния между костями, головка бедренной кости почти полностью «вклинилась» в вертлужную впадину);
- головка бедренной кости сильно деформирована, цвет верхней части головки на рентгене выглядит светлее (признак микроперелома костных балок из-за повышенного давления на верхнюю часть головки).

Коксартроз 3-й стадии. Фотография из архива доктора Евдокименко
Все эти рентгенологические признаки соответствуют коксартрозу третьей стадии. Третья стадия коксартроза была также подтверждена во время осмотра пациентки. К сожалению, из-за того, что пациентка халатно отнеслась к своему здоровью и не стала лечиться вовремя, ей пришлось идти на операцию по замене тазобедренного сустава.
Статья доктора Евдокименко© для книги «Боль в ногах», опубликована в 2004 году.
Отредактирована в 2012 г. Все права защищены.
Когда что лучше - УЗИ, МРТ, КТ, рентген тазобедренного сустава

Современные способы визуализации патологических отклонений тазобедренного сустава поражают воображение - томография, ультразвук, рентген. Учитывая их количество, возникает вопрос, чем руководствуются врачи, выбирая, что лучше: УЗИ, МРТ, КТ или рентген в качестве метода диагностики. Какое из обследований стоит пройти, чтобы оценить реальную картину происходящего, и как это влияет на здоровье и способ лечения заболеваний тазобедренного сустава.
Что лучше МРТ или рентген тазобедренного сустава

Давно и успешно используемый, но при этом простой, быстрый и дешевый способ исследования с помощью малой дозы рентгеновских лучей. Рентген тазобедренного сустава проводится в качестве первичной диагностики и позволяет увидеть переломы, в том числе - шейки бедра, вывихи, деформации кости, аномальный рост кости или костные изменения, а также проследить наличие посторонних предметов в мягких тканях, окружающих кость.
Рентген тазобедренного сустава назначают при четкой симптоматике, указывающей на перелом или вывих костей тазобедренного сустава, таких, как очень сильная боль с частичной или полной потерей подвижности, хромота. Рентген широко используется в качестве контроля срастания костей после перелома и перед ортопедическими операциями, связанными с протезированием.
К сожалению, возможности рентгена ограничены лишь оценкой ущерба, нанесенного костям. Для диагностического исследования мягкой ткани и связок требуется дополнительное введение контрастного вещества, и результаты менее информативны, чем при МРТ тазобедренных суставов. Помимо этого двухмерные рентгеновские снимки грешат статичностью, оставляя слепые зоны, что не позволяет врачу четко оценить функциональное состояние тазобедренного сустава. Далеко не всегда рентген эффективен как способ диагностического исследования остеопороза, поскольку определяет его, когда потери костной ткани уже превышают 20%. В качестве диагностического обследования врач не назначит рентген беременных женщинам, чтобы не причинить вред плоду.
Что лучше - МРТ или КТ тазобедренного сустава
КТ тазобедренного сустава можно назвать усовершенствованной рентгенографией, поскольку сканирование проводится с помощью не одного, а нескольких пучков рентгена, которые влияют на тело с разных ракурсов. Благодаря специализированной рентгеновской установке КТ и сложным компьютерным программам врачам удается получить объемные послойные изображения тазобедренного сустава в поперечной плоскости. Снимки при КТ тазобедренного сустава выглядят, как если бы вы разрезали сустав на множество тонких поперечных плоскостей. Такие изображения более информативны и позволяют обнаружить заболевания суставов или патологические изменения в них, пропущенные рентгеном.
Поскольку рентген не эффективен в отношении мягкой ткани, для визуализации мышц, связок и сосудов при КТ используют контрастное вещество на основании йода, которое, при введении, позволяет увидеть раннее затемненные участки. Диапазон возможностей КТ-томографии охватывает как исследования сложных переломов, так и диагностику врожденных аномалий, некроза, остеомиелита, опухолей, дисплазии и травматического поражения костной и мягких тканей. Еще одним плюсом диагностики является скорость, с которой получают снимки. В среднем процедура занимает не более 10 минут, из-за чего медики предпочитают её использовать в случае чрезвычайных ситуаций, когда необходимо срочное хирургическое вмешательство.

Тем не менее, недостатков в КТ не меньше, чем достоинств. В первую очередь, это рентгеновское облучение, затем следует контрастное вещество, которое противопоказано вводить людям, страдающим почечными заболеваниями и тем, кто плохо реагирует на йод. Даже те пациенты, кто не страдает аллергией на йод, могут чувствовать недомогания после проведения процедуры или давать неожиданные аллергические реакции. А без контраста при КТ томографии недоступна диагностика состояния связок тазобедренного сустава, нервных окончаний, сосудов и мышц, окружающих сустав.
Когда МРТ тазобедренных суставов лучше, чем рентген и КТ
МРТ тазобедренного сустава по эффективности соперничает с КТ, а в некоторых аспектах и опережает компьютерную томографию. Используя магнитное поле и радиочастотные волны, она, без помощи контрастного вещества, способна исследовать как кости, так и мягкие ткани - связки, сухожилия, нервы и сосуды. Дело в том, что боль, сопровождающая заболевания тазобедренного сустава, не всегда прямо указывает на патологический процесс именно в этой области, и требуется дифференциальная диагностика, на которую способна МРТ.
Часто патология тазобедренного сустава не связана напрямую с нарушением костной ткани, а зависит от мышечных деформаций, недостатков сосудистой деятельности, ущемления нервов, растяжений или несостоятельности связок и сухожилий.
То, что не под силу другим методам диагностики, с успехом делает МРТ.
МР-томографию часто используют для дифференциальной диагностики осложнений и контроля лечебного процесса.
Процедура занимает от 20 минут до часа, не вызывает неприятных ощущений, абсолютно безопасна для здоровья и не вызывает осложнений. Противопоказанием является наличие в теле пациентов имплантов из металла, а именно: сердечные клапаны, имплантируемые дефибрилляторы и сердечные стимуляторы, металлические протезы, штифты, ушные импланты и электронные устройства.
Что покажет компьютерная томография тазобедренных суставов

Компьютерная томография тазобедренного сустава позволяет провести полную диагностику не только двух тазобедренных суставов, но и окружающих тканей, подвздошной кости и верхней части костей бедра. Высокое разрешение снимков МСКТ позволяет обнаружить минимальные изменения в строении костей, инородные тела и осколочные части после травм. КТ позволяет точно определить наличие опухолевых патологий костных тканей на этапе их развития. МСКТ может применяться в экстренных ситуациях для выявления травм в области тазобедренных суставов. За счёт особенностей современных мультиспиральных томографов сканирование проходит в течение нескольких минут с минимальным уровнем лучевой нагрузки (3-5 мЗв).
Что такое мультиспиральная компьютерная томография тазобедренных суставов
Компьютерная томография тазобедренных суставов - это послойный метод рентгенографического сканирования. Принцип получения изображений строится на способности рентгеновских лучей с разной скоростью проходить через ткани различной плотности. На основе этих данных компьютер томографа способен создать трехмерные изображения суставной области. Высокое качество снимков и мелкий шаг сканирования, доходящий до 0.5 мм, способствуют обнаружению костных патологий на этапе их возникновения. Чаще всего в диагностических центрах Санкт-Петербурга проводится МСКТ (мультиспиральная томография) тазобедренных суставах, которая характеризуется максимальной точностью, высокой скоростью выполнения и минимизацией лучевой нагрузки.
В мультиспиральном аппарате больше настроек, а датчики располагаются по кругу. Принципиальное отличие МСКТ томографов от компьютерных томографов предыдущих поколений в том, что внутри кольца гентри расположены не один, а два и более ряда детекторов. У такого томографа смотровой стол заезжает внутрь тоннеля, но не остаётся неподвижным, а перемещается с различной скоростью. В то же время трубка рентгена движется по спирали, собирая данные и передавая их детекторам. Это позволяет в разы увеличить количество снимков и точность трехмерных реконструкций, а также сократить дозу облучения, получаемую пациентом в ходе скрининга. Диагностическая сила МСКТ зависит от срезовых способностей аппарата. На данный момент в клинках Санкт-Петербурга установлены мультиспиральные установки 32-340 срезов.
Показания
КТ пары тазобедренных суставов часто проводится при наличии:
- травматических повреждений связок, мышц, суставных костей;
- остеонекроза и остеомиелита;
- распространения костных метастазов в зоне таза;
- крови и гноя в суставах;
- трещин в костях;
- инородных тел внутри в тканевой и суставной части;
- переломов шейки бедра.
Проведение КТ также целесообразно на этапе подготовки пациента к хирургическому вмешательству по эндопротезированию тазобедренного сустава.
Читайте также:
