Верхнее средостение. Границы верхнего средостения. Органы верхнего средостения.
Добавил пользователь Дмитрий К. Обновлено: 22.01.2026
Цель настоящего учебного пособия - изложить взаиморасположение органов грудной полости, выделить топографические особенности , представляющие интерес для постановки клинического диагноза, а также дать понятие об основных хирургических вмешательствах на органах средостения.
СРЕДОСТЕНИЕ - часть грудной полости, расположенная между грудными позвонками сзади, грудиной спереди и двумя листками медиастинальной плевры латерально. Сверху средостение ограничено верхней апертурой грудной клетки, снизу - диафрагмой. Объем и форма этого пространства изменяются при дыхании и за счет сокращения сердца.
, С целью облегчения описания взаиморасположения отдельных органов в различных отделах средостения его принято разделять на части. Причем, в связи с тем, что отсутствуют объективные анатомические и физиологические границы между этими частями, в различных литературных источниках это делается по разному.
В отдельных учебниках по системной и топографической анатомии выделяются два средостения: переднее и заднее. Границей между ними является фронтальная плоскость, проведенная через корень легкого.
В учебниках по хирургии можно встретить деление средостения на правое и левое. При этом подчеркивается, что к правой медиастинальной плевре прилежат, преимущественно, венозные сосуды, а к левой - артериальные.
В последнее время в анатомической и клинической литературе чаще всего встречается описание органов грудной полости во взаимосвязи с верхним и нижним средостением; последнее, в. свою очередь, подразделяется на переднее, среднее и заднее. Такое деление находится в соответствии с международной анатомической номенклатурой последнего пересмотра и положено в основу изложения материала в данном методическом пособии.
ВЕРХНЕЕ СГЕДОСТЕНИЕ (mediastinum superior) - пространство, расположенное между двумя листками медиастинальной плевры и ограниченное сверху - верхней апертурой грудной клетки, снизу - плоскостью, проведенной между углом грудины и нижним краем четвертого грудного позвонка.
Ключевая структура верхнего'средостения - дуга аорты (arcus aonae). Она начинается на уровне второго правого грудино-реберного сочленения, поднимается вверх, примерно на I см, дугообразно изгибается в левую сторону и спускается до уровня Четвертого грудного позвонка, где продолжается в нисходящую часть аорты. От выпуклой стороны дуги аорты начинаются три крупных сосуда (рис. 1,2).
1. Плечеголовной ствол (truncus brachiocephalicus) - отходит на уровне верхнего края хряща второго ребра и поднимается до правого грудино-ключичного сочленения, где разделяется на правые общую сонную и подключичную артерии.
2. Левая общая сонная артерия (a.carotis communis sinistra) - берет начало слева от плечеголовного ствола, направляется к левому грудино-ключичному сочленению и далее продолжается на шею.
3. Левая подключичная артерия (a.subclavia sinistra) - от места своего начала через верхнюю апертуру грудкой клетки выходит на шею.
Спереди и справа от дуги аорты располагаются следующие структуры:
- вилочковая.железа (tymus), которая состоит из двух долей и отделяется от рукоятки грудины загрудинной фасцией. Максимальных 'размеров желёза достигает у детей, а затем подвергается инволюции. В ряде случаев верхняя граница тимуса может проходить на шее, нижняя - в переднем средостении;
- плечеголовные вены (vv. brachiocephalicae) - лежат позади вилочковой железы. Эти сосуды формируются в нижнем отделе шеи в результате слияния внутренних яремных и подключичных вен. Левая плечеголовная вена в три раза длиннее правой и пересекает верхнее средостение сверху вниз, слева направо. У правого края грудины, на уровне хряща первого ребра плечеголовные вены сливаются, в результате чего формируется верхняя полая вена;
- верхняя полая вена (v. cava superior) - спускается вдоль правого края грудины до второго межреберья, где вступает в полость перикарда;
- правый диафрагмальный нерв (n. phrenicus dexter) - заходит в верхнее средостение между правыми подключичными веной и артерией, спускается вдоль латеральной поверхности плечеголовной и верхней полой вен, а затем ложится спереди корня легкого;
- плечеголовные лимфатические узлы (nodi lymphatici brachiocephalici) -расположены спереди от одноименных вен, собирают лимфу от вилочковой и щитовидной желез, перикарда.
Спереди и слева от дуги аорты располагаются:
- левая верхняя межреберная вена (v. intercostalis superior sinistra), собирают кровь от верхних трех межреберий и впадают в левую плечеголовную вену;
- левый диафрагмальный нерв (n. phrenicus sinister) - заходит в верхнее средостение в промежутке между, левыми общей сонной и подключичной артериями, пересекает сзади левую плечеголовную вену, а затем ложится спереди корня легкого;
- левый блуждающий нерв (n.vagus sinister) - прилежит к дуге аорты и пересекается с диафрагмальным нервом, располагаясь сзади от него.
Сзади от дуги аорты располагаются: - трахея (trachea) - проходит в вертикальном направлении, отклоняясь несколько вправо от средней линии. На уровне четвертого грудного позвонка трахея разделяется на два главных бронха;
- пищевод (oesophageus) находится в прямом контакте с правой медиастинальной плеврой, располагаясь сзади от трахеи и cnepeди от тел позвонков, от которых его отделяют предпозвоночная клеи чатка и i внутригрудная фасция;
- правый блуждающий нерв (n. vagus dexter) - заходит в верхнее средостение спереди от подключичной артерии, у нижнего края которого от i-его берет начало правый возвратный гортанный нерв. Затем n.vagus позади плечеголевной вены подходит к латеральной стенке трахеи, вдоль которой напрасляетсл к корню легкого;
- левый возвратный гортанный нерв (п. laryngeus recarrens sinister) - начинается от блуждающего нерва, сначала огибает снизу дугу аорты, а затем в борозде между трахеей и пищеводом поднимается на шею. Раздражение гортанного нерва при аневризме дуги аорты или при сифилитическом поражении ее стенки объясняется наличие у таких больных осиплости голоса и длительно не прекращающегося сухого кашля. Подобные симптомы могут отмечаться также при раке легкого в связи с раздражением нерва увеличенными в размере лимфоузлами.
- грудной проток (ductus thoracius) - проходит слева oт пищевода и в области шеи впадает в левый венозный угол (место соединения внутренней яремной и подключичной вен);
- паратрахеалъные лимфатические узлы (nodi lymphatici paratracheales) - расположены вокруг трахеи и собирают лимфу от верхних и нижних трахеобронхиальных лимфоузлов.

ПЕРЕДНЕЕ СРЕДОСТЕНИЕ (mediastinum anterior) - расположено кпереди от перикарда и ограничено сверху - плоскостью, соединяющее угол грудины с нижним краем тела четвертого грудного позвонка, снизу - диафрагмой, спереди - грудиной. Кроме рыхлой клетчатки содержит в своем составе:
- околорудинные лимфоузлы (nodi lymphatici parasternales) - расположенные по ходу a. thoracica interna и собирающие лимфу от молочной железы (медиального нижнего квадранта), верхней трети переднебоковой стенки живота, глубоких структур передней грудной стенки и верхней поверхности печени;

- верхние диафрагмальные лимфоузлы (nodi lymphatici superiores) - находятся у основания мечевидного отростка и собирают лимфу от верхней поверхности печени и переднего отдела диафрагмы.

СРЕДНЕЕ СРЕДОСТЕНИЕ (mediastinum medium) - включает в свой состав перикард, правый и левый диафрагмальные нервы, перикардодиафрагмальные артерии и вены.
Перикард (pericardium) - состоит из двух листок: наружного - фиброзного (pericardium fibrosum) и внутреннего - серозного ( pericardium serosum). В свою очередь серозный перикард разделяется на две пластинки: париетальную, выстилающую изнутри фиброзный перикард и висцеральную - покрывающую сосуды и сердце (эпикард). Свободное пространство между двумя пластинками pericardium serosum называется перикардиальной полостью и в норме заполнено небольшим количеством серозной жидкости.
В составе перикарда находятся перечисленные ниже структуры.
Сердце (cor), которое проецируется на переднюю поверхность груди между четырьмя точками, расположенными: первая - на уровне хряща правого третьего ребра в 1 - 1,5 сантиметрах от края грудины; вторая - на уровне хряща левого третьего ребра в 2 - 2,5 сантиметрах от края грудины; третья - на уровне правого шестого грудино-реберного сочленения и четвертая - в пятом межреберье на расстоянии 1 - 1,5 сантиметра кнутри от левой среднеключичной линии.
Восходящая часть аорты (pars ascendens aortae) - начинается от левого желудочка на уровне хряща третьего ребра слева от грудины, поднимается вверх до хряща второго ребра, где после выхода из полости перикарда продолжается в дугу аорты (рис.3).
Нижний сегмент верхней полой вены, которая после вступления, в перикард на уровне 2-го межреберья заканчивается в правом предсердии.
Легочный ствол (truncus pulmonalis) - начинается из правого желудочка и направляется справа налево, спереди назад. При этом ствол находится сначала вентрально, а затем несколько слева от восходящей части аорты. За пределами перикарда, книзу от дуги аорты находится бифуркация легочного ствола (bifurcatio trunci pulmonalis). Начинающиеся в этом месте легочные артерии направляются к воротам легкого. При этом левая легочная артерия проходит спереди от нисходящей части аорты, правая - сзади от верхней полой вены и восходящей части аорты. Бифуркация легочного ствола соединяется с нижней поверхностью дуги аорты при помощи артериальной связки, которая у плода представляет собой функционирующий сосуд - артериальный (боталов) проток.
Легочные вены (vv. pulmonales) - заходят в полость перикарда вскоре после выхода из ворот легкого и заканчиваются в левом предсердии. При этом две правые легочные вены проходят кзади от верхней полой вены, две левые - вентрально нисходящей части аорты.
Диафрагмальные нервы в среднем средостении проходят соответственно между правой и левой медиостинальной плеврой с одной стороны и перикардом - с другой. Нервы сопровождают перикардодиафрагмальные сосуды. Артерии -являются ветвями внутренних грудных артерий, вены - притоками w. ihoracicae , internae. В соответствии с международной анатомической номенклатурой в перикардиальной полости выделяются две пазухи:
- поперечная (sinus transversus), ограниченная спереди аортой и легочным стволом, сзади - левым предсердием, правой легочной артерией и верхней полой веной (рис. 4);
- косая (sinus obliquus), ограниченная спереди левым предсердием, сзади -париетальной пластинкой серозного перикарда, сверху и слева - левыми легочными венами, снизу и справа - нижней полой веной (рис.5).
В клинической литературе описывается третья пазуха перикарда, расположенная в месте перехода его передней стенки в нижнюю.
ЗАДНЕЕ СРЕДОСТЕНИЕ (mediastinum posierius) - ограничено сзади телами пятого-двенадцатого грудных позвонков, спереди - перикардом, латерально - медиастинальной плеврой, снизу - диафрагмой, сверху - плоскостью, соединяющей угол грудины с нижним краем четвертого грудного позвонка. Ключевой структурой заднего средостения является нисходящая часть аорты (pars desdendens aortae), которая лежит сначала с левой стороны от тел позвонков, а затем смещается к средней линии (рис.6). От нисходящей части аорты отходят следующие сосуды:
- перикардиальные ветви (rr. pericardiaci) - кровоснабжают заднюю часть перикарда;
- бронхиальные артерии (аа. bronchioles) - кровоснабжают стенку бронхов и легочную ткань;
- пищеводные артерии (aa.oesophageales) - кровоснабжают стенку грудного отдела пищевода;
- медиастинальные ветви (rr. mediastinales) - кровоснабжают лимфатические узлы и соединительную ткань средостения;
- задние межреберные-артерии (аа. inrercosiales posreriores) - проходят в межреберьях, кровоснабжают кожу и мышцы спины, спинной мозг, анастомо-зируют с передними межреберными артериями;
- верхняя диафрагмальная артерия (a. phrenica superior) - разветвляется на верхней поверхности диафрагмы.
Вокруг нисходящей части аорты располагаются следующие структуры.
Правый и левый главный бронхи (bronchus principalis dexter et sinister) - начинаются от бифуркации трахеи на уровне нижнего края четвертого грудного позвонка. Левый главный бронх отходит под углом 45° по отношению срединной плоскости и направляется Позади дуги аорты к воротам легкого. Правый главный бронх отходит от трахеи под углом 25° по отношению к срединной плоскости. Он короче левого главного бронха и больше его по диаметру. Этим обстоятельством объясняется значительно более частое попадание инородных тел в правый бронх в сравнении с левым.
Пищевод (oesophageus) - лежит сначала позади левого предсердия и справа от нисходящей части аорты. В нижней трети средостостения пищевод пересекает аорту спереди, перемещается от нее в левую сторону и определяется в пределах пищеводного треугольника, границами которого являются: спереди перикард, сзади - нисходящая часть аорты, снизу - диафрагма. На передней и задней поверхностях пищевода находится пищеводное сплетение (plexus oesophagealis), в формировании которого принимают участие два блуждающих нерва, а также ветви грудных узлов симпатического ствола.
При рентгенологическом и эндоскопическом исследованиях выявляется ряд сужений грудного отдела пищевода, связанных с тесным взаимодействием его стенки с соседними органами. Одно из них соответствует дуге аорты, другое - месту пересечения пищевода левым главным бронхом. Расширение левого предсердия также может вызывать изменение просвета пищевода при его заполнении рентгеноконтрастным веществом.
Непарная вена (v. azygos) - начинается в брюшной полости, проходит в заднем средостении справа от тел позвонков до уровня Th4, огибает правый главный бронх и впадает в верхнюю полую вену вне полости перикарда. Ее притоками являются все задние межреберные вены правой стороны, а также бронхиальные, пищеводные и медиастинальные вены.
Добавочная полунепарная вена (V hemiazygos accessoria) - спускается с левой стороны позвоночного столба. В нее впадают первые 5-6 задних (левых) межреберных вен.
Грудной проток (ductus thoracicus) - начинается в забрюшинном пространстве. В заднем средостении проходит между непарной веной и нисходящей частью аорты до уровня шестого - четвертого грудного позвонка, где отклоняется в левую сторону, пересекает сзади пищевод и продолжается в верхнее средостение.
Операции на органах средостения выполняются по следующим показаниям:
1. Опухоли вилочковой, щитовидной и паращитовидной желез, а также опухоли нейрогенной природы.
Опухоли тимуса чаще всего располагаются спереди дуги аорты и основания сердца. Очень рано наблюдается инвазия этих опухолей в стенку верхней полой вены, плевру и перикард. Сдавление левой плечеголовной и верхней полой вен тимомой по частоте занимает второе место после обструкции этих сосудов метастазами при раке легкого.
При загрудинном зобе железистая ткань щитовидной железы чаще всего располагается в промежутке, органиченном снизу правым главным бронхом, латерально - медиастинальной плеврой, спереди - верхней полой веной, медиально - правым блуждающим нервом, трахеей и восходящей частью аорты.
Опухоли нейрогенной природы - самые частые первичные опухоли средостения. Почти все они связаны с задним средостением и формируются из симпатического ствола или межреберных нервов. В ряде случаев, эти опухоли появляются на шее, а затем спускаются в верхнее средостение. В связи с тем, что опухоли формируются вблизи межпозвоночных отверстий они могут заходить в спинномозговой канал, вызывая сдавление спинного мозга.
В качестве оперативного доступа при удалении опухоли средостения используются:
- нижний шейный разрез;
2. Медиастиниты. Формируются, как правило, в результате распространения инфекции из клетчаточных пространств шеи или при перфорации пищевода.
Вскрытие и дренирование гнойников верхнего средостения осуществляется через дугообразный разрез кожи на шее над рукояткой грудины (надгрудинная медиастинотомия) путем создания канала за грудиной. Разрез может проводится вдоль переднего края грудино-ключично-сосцевидной мышцы с последующим вскрытием влагалища сосудисто-нервного пучка или околопищеводного клетчаточного пространства.
Дренирование переднего средостения осуществляется через разрез по средней линии переднебоковой стенки живота. Вскрытие гнойника осуществляется после рассечения диафрагмы, без нарушения целостности брюшины.
Вскрытие гнойников заднего средостения осуществляется со стороны брюшной полости (трансабдоминальная медиастинотомия) или после выполнения боковой торокотомии в VII левом межреберье (трансплевральная медиастинотомия).
3. Перикардиты. Характеризуются воспалением висцеральной и париетальной пластинок серозного перикарда, возникающее как следствие бактериальной или вирусной инфекции, ревматизма или уремии. Перикардиты могут приводить к тампонаде сердца. С целью удаления жидкости и предотвращения тампонады используется пункция перикарда (способ Ларрея).
Больному в полусидячем положении длинную иглу вкалывают в угол между основанием мечевидного отростка и хрящом УП ребра. Причем, игла ориентирована перпендикулярно поверхности переднебоковой стенке живота После прохождения иглой на глубину 1,5 см ее опускают и под углом 45° к поверхности тела продвигают вверх параллельно задней поверхности грудины до проникновения в передненижнюю пазуху перикарда.
4. Ранения сердца. Ушивание раны производится узловыми (линейная рана) или П-образными (рваная рана) шелковыми швами, минуя эндокард и коронарные сосуды. Края перикарда соединяются редкими швами, плевральная полость дренируется.
5. Кроме перечисленных случаев, операции на органах средостения выполняются:
- для остановки кровотечения, вызванного травмой или с целью коррекции сосудистых дефектов (стеноз, аневризма);
- при опухоли, травме или врожденных пороках развития пищевода;
- по поводу врожденных и приобретенных пороков сердца, а также при острой и хронической коронарной недостаточности.
Лимфатические узлы средостения

Лимфатические узлы 3 группы не примыкают к трахее в отличии от лимфатических узлов 2 группы. Они подразделюятся на: 3А кпереди от сосудов 3Р позади пищевода/превертебрально Они не доступны при медиастиноскопии. 3Р группа может быть доступна при чреспищеводной эхокардиографии.

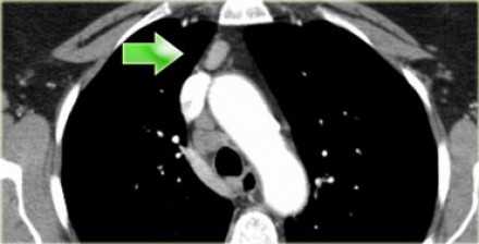
На изображении слева 3А узел в преваскулярном пространстве. Обратите внимание так же на ниже расположенные паратрахеальные узлы справа относящиеся к 4R группе.

4R. Правые нижние паратрахеальные лимфатические узлы
- Верхняя граница: пересечение нижнего края левой плечеголовной вены с трахеей.
- Нижняя граница: нижний края непарной вены. 4R узлы распространяются до левого края трахеи.

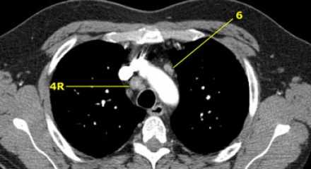
На изображении слева мы видим 4R паратрахеальные узлы. Кроме того здесь представлен узел кнаружи от дуги аорты, то есть 6 группы.

4L. Левые нижние паратрахеальные лимфатические узлы
4L узлы расположенные слева от левой стенки трахеи, между горизонтальными линиями проведенными касательно верхней стенке дуги аорты и линией проходящей через левый главный бронх на уровне верхнего края верхнедолевого бронха. Они включают паратрахеальные узлы расположенные кнутри от артериальной связки.
Узлы 5 группы (аортопульмонального окна) расположены кнаружи от артериальной связки.
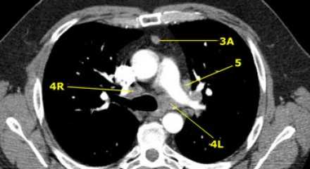
На левом изображении над уровнем легочного ствола представлены нижние паратрахеальные узлы слева и справа, так же здесь представлены узлы 3 и 5 групп.

Изображение слева выше уровня карины. Слева от трахеи 4L узлы. Обратите внимание что они расположены между легочным стволом и аортой, но не в аортопульмональном окне, потому что они лежат медиальнее артериальной связки. Лимфатические узлы латеральнее легочного ствола относятся к 5 группе.

- 5. Субаортальные лимфатические узлы
- Субаортальное или аортопульмональное окно расположено кнаружи от артериальной связки и проксимальнее первой ветви левой легочной артерии и лежит в пределах медиастинальной плевры.
- Парааортальные лимфатические узлы лежат кпереди и кнаружи от восходящего отдела аорты и между верхним и нижним краями дуги аорты.
![11]()
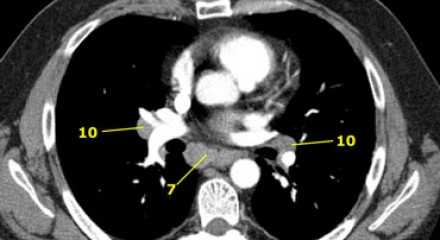
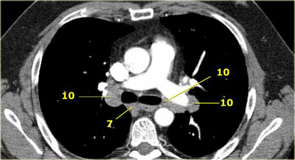
7. Подкаринальные лимфатические узлы
Эти лимфатические узлы расположены ниже уровня бифуркации трахеи (карины), но не относятся к нижнедолевым бронху и артерии. Справа они располагаются каудальнее нижней стенки промежуточного бронха. Слева они располагаются каудальнее верхней стенки нижнедолевого бронха. Слева лимфатический узел 7 группы справа от пищевода.
![12]()
8. Параэзофагеальные лимфатические узлы
Эти лимфатические узлы ниже подкаринальных лимфатических узлов и распространяются каудальнее до диафрагмы. На изображении слева ниже уровня карины справа от пищевода обозначен лимфатический узел 8 группы.
![13]()
На ПЭТ изображении слева показано накопление 18Р-дезоксиглюкозы в узле 8 группы. На соответствующем КТ изображении видно что данный лимфатический узел (голубая стрелка) не увеличен. Вероятность того что в имеется метастатическое поражение данного узла чрезвычайно высока, поскольку специфичность ПЭТ выше чем измерение размеров лимфатических узлов.
![14]()
9. лимфатические узлы легочной связки
Данные лимфатические узлы лежат в пределах легочной связки, в том числе и по ходу нижней легочной вены. Легочная связка представлена дупликатурой медиастинальной плевры охватывающей корень легкого.
![15]()
10. лимфатические узлы корня легкого
Лимфатические узлы корня расположены проксимальнее долевых узлов, но дистальнее медиастинальной дупликатуры и узлов промежуточного бронха справа.
Все лимфатические узлы 10-14 групп являются N1 узлами, так как они находятся вне средостения.
1. лимфатические узлы вырезки грудины видны только на этом уровне и выше него
2. верхние паратрахеальные лимфатические узлы: ниже ключиц , справа над пересечением нижнего края левого плечеголовного ствола и трахеи, а слева над дугой аорты
3. Преваскулярные и ретротрахеальные: кпереди от сосудов (3А) и превертебральные (3Р)
4. Нижние паратрахеальные: ниже верхнего края дуги аорты до уровня главного бронха
5. Субаортальные (аортопульмональное окно): лимфатические узлы кнаружи от артериальной связки или кнаружи от аорты или левой легочной артерии.
6. Парааортальные: узлы лежащие кпереди и кнаружи от восходящего отдела аорты и дуги аорты под верхним краем дуги аорты.
7. Субкаринальные лимфатические узлы.
8. Параэзофагеальные лимфатические узлы (ниже карины).
9. Лимфатические узлы легочной связки: лежат в пределах легочной связки.
10-14 лимфатические узлы N1![медианоскопия]()
Медиастиноскопия и чреспищеводное УЗИ
Лимфатические узлы доступные для биопсии при медиастиноскопиии: верхнием паратрахеальные узлы 2L И 2R групп, правые и левые нижние паратрахеальные лимфатические узлы 4R и 4L групп, подкаринальные лимфатические узлы 7 группы. 1 группа расположена выше надгрудинной вырезки и не доступна при рутинной медиастиноскопии.
![2]()
Расширенная медиастиноскопия
Опухоли левой верхней доли могут метастазировать в субаортальные (5 группа) и парааортальные лимфатические узлы (6 группа). Эти узлы недоступны для биопсии при рутинной медиастиноскопии. Расширенная медиастиноскопия является альтернативой для парастернально медиастинотомии. Эта процедура используется реже в связи с более высоким риском осложнений.
![1]()
Тонкоигольная аспирационная биопсия под контролем УЗИ
Может применятся для всех лимфатических узлов доступных УЗИ визуализации из пищевода. В частности обеспечивается доступ к лимфатическим узлам нижнего средостения (7-9 группы). Кроме того при данной виде исследования для визуализации доступны левая доля печени и левый надпочечник.
Источники:
by Paul De Leyn and Toni Lerut.
in the Multimedia Manual of Cardiothoracic Surgeryby Christian Lloyd, MD, and Gerard A.Silvestri, MD, FCCP Christian Lloyd, MD, and Gerard A.Silvestri, MD, FCCP
Cancer Control, July/August 2001,Vol.8, No.4 Cancer Control 311by Reginald F. Munden, MD, DMD, Stephen S. Swisher, MD, Craig W. Stevens, MD, PhD and David J. Stewart, MD
Radiology 2005; 237:803-818Кисты средостения
Кисты средостения - многочисленная группа полостных образований медиастинального пространства врожденного и приобретенного характера. Кисты средостения могут иметь бессимптомное течение или сопровождаться признаками компрессии окружающих органов (бронхов, пищевода, предсердий, артерий), нарушая их функцию. Диагностика кист средостения подразумевает проведение полипозиционной рентгеноскопии и рентгенографии грудной клетки, пищевода, сердца; томографии; бронхоскопии, пневмомедиастинографии, медиастиноскопии, тонкоигольной аспирационной биопсии, УЗИ средостения, парастернальной медиастинотомии. Лечение кист средостения может включать их открытое или торакоскопическое удаление, трансторакальную пункцию кисты с дренированием и склерозированием и др.
МКБ-10
![Кисты средостения]()
![КТ ОГК. Киста в переднем нижнем средостении (киста перикарда).]()
Общие сведения
Кисты средостения составляют от 14 до 18,5% всей медиастинальной патологии. К кистами средостения относят полостные образования различного генеза, происходящие из разнородных тканей и объединенные анатомо-топографическими особенностями расположения. Преимущественно обнаруживаются у пациентов в возрасте 20-50 лет, при этом с одинаковой частотой у женщин и мужчин.
Кроме кист, в средостении могут развиваться истинные доброкачественные и злокачественные опухоли: тимомы, тератомы, липомы, нейрогенные опухоли, лимфомы, саркомы, лимфогенные метастазы злокачественных опухолей различных органов и др. Проблема диагностики и лечения кист средостения относится к числу наиболее сложных и актуальных разделов пульмонологии и торакальной хирургии.
Анатомия средостения
Под средостением (mediastinum) понимают сложное в анатомическом отношении пространство, расположенное в грудной полости. Спереди границами средостения служат грудина, позадигрудинная фасция и реберные хрящи; сзади - предпозвоночная фасция, передняя поверхность грудного отдела позвоночника и шейки ребер; по бокам - листки медиастинальной плевры; снизу - диафрагма; сверху - условная горизонтальная плоскость, проходящая по верхнему краю рукоятки грудины. Т.о., в медиастинальном пространстве выделяют 3 отдела (переднее, среднее и заднее средостение) и 3 этажа (верхнее, среднее и нижнее средостение).
В средостении сосредоточены жизненно важные органы и анатомические образования (крупные сосуды, нервные стволы и сплетения, лимфатические протоки, бифуркация трахеи и главные бронхи, пищевод, перикард и др.). Поэтому компрессия или инвазия этих структур может сопровождаться различными по проявлениям и нередко угрожающими жизни симптомокомплексами. Кисты средостения могут выявляться в любых отделах и этажах медиастинального пространства.
Классификация кист средостения
Кисты средостения классифицируются по происхождению и локализации. Среди множества кист средостения различают истинные (врожденные, первичные), вторичные (приобретенные).
Врожденные кисты средостения развиваются из мезодермальных образований - целома или передней кишки. К ним относятся целомические, энтерогенные, бронхогенные, дермоидные кисты, кисты тимуса и др. Приобретенные кисты средостения происходят из лимфатических сосудов, различных органов средостения и пограничных областей. В число приобретенных кист средостения входят лимфатические, тимусные, паразитарные (эхинококковые), менингеальные.
Целомические кисты и дивертикулы перикарда
Являются своеобразным врожденным пороком развития и составляют 3,3-14,2% всех медиастинальных новообразований. Наиболее часто кисты перикарда (60%) развиваются в правом кардиодиафрагмальном углу, реже (30%) - в левом кардиодиафрагмальном углу и других отделах средостения (10%). Такие кисты средостения являются полыми тонкостенными образованиями, сходными по строению с тканями перикарда, имеют гладкую поверхность серо-желтого или серого цвета.
Кисты перикарда содержат прозрачную серозную или серозно-геморрагическую жидкость. Целомические кисты перикарда могут достигать диаметра от 3 до 20 и более см. Целомические кисты средостения могут быть однокамерными или многокамерными, сообщаться с полостью перикарда, быть связанными с перикардом посредством ножки или плоскостного сращения. Приобретенные кисты перикарда встречаются редко; обычно имеют воспалительное и травматическое происхождение. Также описаны паразитарные (эхинококковые) кисты перикарда.
Бронхогенные кисты средостения
Встречаются в 30-35% наблюдений. Они также являются пороками эмбрионального развития и формируются из участков дистопированного бронхиального эпителия. Макроскопически представляют тонкостенные образования, заполненные прозрачной, реже бурой жидкостью. При гистологическом исследовании в них обнаруживается хрящевая ткань, соединительнотканные и гладкомышечные волокна слизистые железы.
Полость бронхогенной кисты средостения изнутри выстлана эпителием цилиндрического или реснитчатого типа. Внутри кисты содержится прозрачная или мутноватая желатинообразная, вязкая масса, которая, при наличии связи кисты с бронхиальным деревом, может нагнаиваться. Бронхогенные кисты средостения обычно располагаются позади бифуркации трахеи и тесно соприкасаются с трахеей или главными бронхами, иногда - пищеводом. Обычно они имеют однокамерное строение и достигают размеров 7-10 см в диаметре.
Гастроэнтерогенные кисты средостения
Энтерокистомы являются эмбриональными производными из первичной кишки. С учетом микроскопического сходства их структуры с отделами ЖКТ, выделяют пищеводные, желудочные и кишечные кисты. Гастроэнтерогенные кисты средостения встречаются в 0,7-5% случаев. Они представляют собой однокамерные округлые или овоидные образования, с толстыми стенками и ножкой; локализуются преимущественно в заднем средостении. Гастроэнтерогенные кисты средостения содержат мутноватую слизевидную массу. Желудочные кисты могут продуцировать соляную кислоту, что приводит к изъязвлению стенок, кровотечению, язвам и перфорации стенок кисты средостения. В редких случаях в стенке кисты может развиваться рак.
Дермоидные кисты средостения
Кистозные тератомы содержат в своей структуре элементы эктодермы и возникают в процессе нарушения эмбриогенеза. В медицине встречаются дермоидные кисты яичников, брюшной стенки, кожи, забрюшинной клетчатки, печени, почек и др. органов и тканей. Дермоидные кисты обычно расположены в передневерхнем отделе средостения. Величина дермоидных кист средостения может достигать 15-25 см. Форма кистозных тератом обычно неправильная овальная; консистенция эластическая или мягкая. Стенки кисты могут содержать хрящевые и известковые включения. Внутри кисты заключена густая кашицеобразная жирная масса с множеством различных включений (волос, чешуек эпидермиса, кристаллов холестерина, аморфных жиров, зубов).
Кисты вилочковой железы
Могут иметь врожденное и приобретенное (воспалительное, опухолевое) происхождение. Они преимущественно выявляются у детей и людей молодого возраста.
Симптомы кист средостения
Особенности клинических проявлений кисты средостения обусловлены типом и расположением образования, его величиной и скоростью роста. В большинстве случаев симптоматика развивается на том этапе, когда увеличение кисты средостения вызывает компрессию других органов и неизбежное нарушение их функций.
Течение кист перикарда в большинстве случае бессимптомное, гладкое. Нередко они являются находкой при прохождении профилактической флюорографии. Иногда наблюдаются сердцебиение, одышка, сухой кашель, возникающие при перемене положения туловища и физической нагрузке. При осложненном течении целомических кист средостения может иметь место провыв содержимого кисты перикарда в бронх, нагноение и разрывы кисты.
Развитие бронхогенных кист средостения нередко сопровождается надсадным кашлем, одышкой, дисфагией, тупой болью в грудной клетке. При сдавлении кистой дыхательных путей развивается стридорозное дыхание. В случае прорыва бронхогенной кисты средостения в бронх может появиться кровохарканье. При одновременном прорыве кисты в плевральную полость и в бронх, развивается гидропневмоторакс и бронхоплевральный свищ.
Гастроэнтерогенные кисты средостения проявляют себя кашлем, одышкой, тахикардией, дисфагией, болью в груди. Энтерокистомы могут прорываться в трахею, бронхи, плевральную полость, средостение, вызывая развитие кровохарканья, эмпиемы плевры, частых пневмоний, лихорадки неясного генеза, бронхоэктазов, медиастинита.
Более чем в половине случаев дермоидная киста средостения сопровождается различными сердечно-сосудистыми нарушениями: приступами стенокардии, болью в области сердца, тахикардией. У 30% больных признаком дермоидной кисты средостения служит появление продуктивного кашля с выделением кашицеобразной массы, содержащей примесь волос и жира, что наблюдается при прорыве кисты в бронх. У части пациентов отмечается выпячивание грудной стенки в проекции расположения опухоли.
Симптоматика кист вилочковой железы может быть разнообразной - от бессимптомного течения до осложненного. Достигнув известных размеров, кисты могут вызывать медиастинальный «компрессионный» синдром. В некоторых случаях на первый план выходит миастенический синдром. Опасность кист вилочковой железы заключается в риске нагноения, прорыва в плевру, кровотечения.
Осложнения
Наиболее грозным осложнением кист средостения служит так называемый синдром медиастинальной компрессии, частота которого колеблется от 27 до 39%. Сюда может входить компрессия дыхательных путей, синдром верхней полой вены (СВПВ), сдавление пищевода, сердца, возвратного нерва.
При компрессии дыхательных путей развивается стридорозное дыхание, одышка, дыхательная недостаточность. Синдром ВПВ проявляется цианозом кожи лица, видимых слизистых оболочек, шеи, верхних конечностей и грудной клетки; отечностью мягких тканей этой зоны; расширением и напряжением вен шеи; повышением давления в системе ВПВ. Сдавление кистами различных структур средостения может сопровождаться дисфагией, дисфункцией надгортанника, дисфонией, компрессией и дислокацией сердца.
К прочим осложнениям кист средостения относятся их прорывы в полости плевры, бронхи и легкое, кровотечения в средостение и плевральную полость (гемоторакс). Осложненное течение кист средостения несет в себе потенциальную угрозу жизни пациента.
Диагностика
Методы выявления кист средостения включают рентгенологическую, ультразвуковую, томографическую, эндоскопическую, морфологическую диагностику.
- Рентгенологические исследования. Полипозиционная рентгеноскопия и рентгенография грудной клетки, рентгенография пищевода и сердца, пневмомедиастинография позволяют определить локализацию, форму и размеры кисты, ее связь с соседними органами, изменение положения при дыхательных движениях.
- Томографическая диагностика. Для более детальной оценки структуры, толщины стенок кисты, характера содержимого и взаимоотношения с соседними анатомическими образованиями, производится КТ и МРТ средостения.
- Эхография. При медиастинальных новообразованиях в диагностической практике широко используется УЗИ средостения. В диагностике кист перикарда существенно помогает ЭхоКГ, позволяющая дифференцировать кисту средостения от кист легкого, дермоидных кист средостения, аневризмы аорты.
- Бронхологическое обследование. При кистах средостения, демонстрирующих интимную связь с трахеей или бронхами, прибегают к выполнению бронхоскопии и бронхографии.
![КТ ОГК. Киста в переднем нижнем средостении (киста перикарда).]()
Если названные методы диагностики не позволяют определиться с нозологией образования, целесообразен переход к инвазивным диагностическим исследованиям:
- Биопсия. Проведение аспирационной тонкоигольной биопсии кисты средостения позволяет осуществить цитологическое исследование полученного пунктата и верифицировать морфологию образования в 80-90% случаев. Тонкоигольная биопсия может выполняться чрескожным, чрестрахеальным, чрезбронхиальным, чреспищеводным доступом.
- Диагностические операции. С целью визуализации и открытой эксцизионной биопсии опухоли средостения может быть предпринята медиастиноскопия, диагностическая торакоскопия, парастернальная медиастинотомия.
Лечение кист средостения
Лечебная тактика в отношении кист средостения сводится к их хирургическому удалению в возможно ранние сроки. Такой подход является профилактикой развития компрессионного синдрома, разрыва и малигнизации кист средостения.
- Открытое удаление кисты средостения может проводиться путем продольной стернотомии (при расположении кисты в переднем средостении), с помощью переднебоковой торакотомии на стороне поражения (при боковом расположении образования), боковой торакотомии (при локализации опухоли в среднем средостении), заднебоковой торакотомии (при расположении кисты в заднем средостении). Открытые операции обеспечивают возможность наибольшей свободы действий и полноценной интраоперационной ревизии раны. При развитии осложнений может потребоваться проведение медиастинотомии.
- Торакоскопическое удаление кист средостения также широко и успешно применяется не только для диагностики, но и для удаления медиастинальных образований. В некоторых случаях используется миниторакотомия с видеоподдержкой.
- Пункционная аспирация. У соматически отягощенных пациентов с низкими функциональными резервами методом выбора служит трансторакальная пункция с дренированием и склерозированием кисты средостения. В качестве склерозантов обычно используется раствор спирта с йодом, глюкозы.
1. Опухоли и кисты средостения (включая патологию вилочковой железы)/ Овнатанян К.Т. Кравец В.М. - 1971.
2. Новообразования средостения: принципы дифференциальной диагностики и хирургического лечения: Автореферат диссертации/ Пищак В.Г. - 2008.
3. Клинические рекомендации по диагностике и лечению больных опухолями средостения и вилочковой желез/ Борисова Т.Н., Бредер В.В., Горбунова В.А., Иванов С.М., Лактионов К.К., Михина З.П., Реутова Е.В., Полоцкий Б.Е., Тюляндин С.А. - 2014.
Медиастинит
Медиастинит - это асептический или микробный воспалительный процесс в клетчатке средостения с острым либо хроническим течением. Развитие острого медиастинита характеризуется болью за грудиной, лихорадкой, ознобами, тахикардией, тяжелой эндогенной интоксикацией. При хроническом медиастините на первый план выходят симптомы компрессии органов средостения (кашель, одышка, дисфагия). Диагностика медиастинита проводится с учетом данных рентгеновского обследования, КТ, УЗИ, эзофагоскопии, бронхоскопии, медиастиноскопии. Лечебная тактика при медиастините - активная, требует устранения причины воспаления и проведения медиастинотомии с адекватным дренированием гнойного очага.
Медиастинит является угрожающим жизни состоянием и в случае запоздалой диагностики или неадекватного лечения сопровождается высокими показателями летальности. Практика показывает, что только 15-20% случаев медиастинита выявляется прижизненно, что связано с быстро прогрессирующим течением заболевания и недостаточно патогномоничными проявлениями на фоне общей тяжелой инфекции.
Медиастинитом может осложняться значительное число патологических состояний легких, плевры, трахеи, шеи, полости рта, гортани, глотки, пищевода, сердца и т. д. С учетом многогранности причин возникновения, медиастинит представляет клинический интерес не только для пульмонологии и торакальной хирургии, но также для отоларингологии, гастроэнтерологии, кардиологии, стоматологии.
Средостение - пространство в грудной полости, центрально расположенное по отношению к легким. Спереди средостение ограничено грудиной, сзади - позвоночным столбом, по бокам - медиастинальной плеврой, снизу - диафрагмой; вверху без четких границ средостение переходит в область шеи. В средостении выделяют верхний и нижний этажи с условной границей в области IV грудного позвонка. В верхнем средостении выделяют передний и задний отделы; в нижнем - передний, средний и задний отделы.
В переднем отделе верхнего средостения расположены вилочковая железа, дуга аорты, верхняя полая вена, легочная артерия. Переднюю часть заднего средостения занимают сердце и перикард; среднюю - бифуркация трахеи, лимфоузлы, ствол и ветви легочной артерии, восходящая часть аорты. В заднем средостении переднего и нижнего этажей проходят пищевод, грудной лимфатический проток, пограничный симпатический ствол, нисходящая часть аорты, нижняя полая вена, непарная и парная вены.
Все этажи и отделы средостения представляют собой единое, топографо-анатомически связанное пространство без четких границ, поэтому гнойное воспаление при медиастините может распространяться с одной части средостения на другую. В определенной степени этому способствует постоянное движение органов средостения: сердечные толчки, пульсация сосудов, смещение трахеи при разговоре и кашле, перистальтика пищевода и т.д.
Классификация медиастинита
В соответствии с этиопатогенетическими механизмами выделяют первичные (травматические) медиастиниты при ранениях органов средостения и вторичные медиастиниты, обусловленные контактным и метастатическим проникновением инфекции из других областей. По клиническому течению медиастиниты могут быть молниеносными, острыми и хроническими; по характеру воспаления - серозными, гнойными, анаэробными, гнилостными, гангренозными, туберкулезными.
Хронические медиастиниты бывают асептическими и микробными. Среди асептических медиастинитов выделяют идиопатические, ревматические, постгеморрагические адипозосклеротические и др.; среди микробных - специфические (туберкулезные, сифилитические, микотические) и неспецифические. Острые медиастиниты, как правило, носят инфекционный характер.
С учетом тенденции к распространению различают лимфадениты с вовлечением клетчатки средостения, абсцессы и флегмоны средостения, которые могут быть склонными к ограничению или прогрессирующими.
По топографии и анатомической заинтересованности структур средостения медиастиниты подразделяются на:
- передневерхние (выше уровня III межреберья)
- передненижние (ниже уровня III межреберья)
- разлитые передние (с вовлечением верхнего и нижнего отделов)
- задневерхние (выше уровня V грудного позвонка)
- задненижние (ниже уровня V грудного позвонка)
- заднесредние
- разлитые задние (с вовлечением верхнего, среднего и нижнего отделов)
- тотальные (с распространением на переднее и заднее средостение).
Причины медиастинита
Первичные травматические медиастиниты возникают вследствие экзогенного инфицирования. Чаще всего это происходит при открытых, в том числе огнестрельных, травмах органов средостения. Второй по частоте причиной первичного медиастинита выступают травмы пищевода при инструментальных манипуляциях (бужировании пищевода, кардиодилатации, эзофагоскопии, интубации трахеи, трахеостомии, желудочном зондировании). Нередко повреждения пищевода обусловлены инородными телами, спонтанным разрывом пищевода, ожогами, перфорацией дивертикула, изъязвлением опухолей и др.
К числу первичных медиастинитов также относят послеоперационные воспаления клетчатки средостения, обусловленные нарушением герметичности пищеводно-желудочных анастомозов (после выполнения резекции и пластики пищевода, резекции желудка), осложнениями кардиохирургических вмешательств (маммарокоронарного шунтирования, аортокоронарного шунтирования, протезирования митрального клапана и аортального клапана).
Вторичные медиастиниты являются осложнением какого-либо гнойного или деструктивного процесса и развиваются при непосредственном переходе воспаления на клетчатку средостения или метастазировании возбудителей из установленных или неустановленных инфекционных очагов. Контактный медиастинит может развиваться на фоне ран и флегмон шеи, гнойного тиреоидита, пневмонии, ранений легкого и плевры, абсцесса и гангрены легких, туберкулеза, эмпиемы плевры, бронхоэктатической болезни, пищеводно-плевральных свищей, перикардита, остеомиелита ребер, грудины и грудного отдела позвоночника.
Первичным источником инфекции при метастатических медиастинитах могут являться флегмоны верхних и нижних конечностей, отморожения, периостит, остеомиелит нижней челюсти, заглоточный абсцесс при тонзиллите, флегмонозный паротит, ангина, язвенный колит, дизентерия, рожа, лимфаденит, сепсис и мн. др.
Микробиологическая основа медиастинита представлена, в основном, смешанной флорой. Актуальными патогенами при медиастините выступают анаэробы (бактероиды, пептострептококки, превотеллы, порфиромонады, фузобактерии) и аэробы (стафилококки, стрептококки, клебсиелла), грибки. Особенность смешанной микрофлоры заключается в синергизме анаэробов и аэробов в ассоциациях, что предопределяет злокачественность течения медиастинита и высокую летальность.
Симптомы медиастинита
Острый медиастинит обычно развивается внезапно, манифестируя с загрудинных болей, потрясающих ознобов, высокой лихорадки (до 39-40 С°), профузного потоотделения, одышки. При наличии в организме гнойного процесса иной локализации, с присоединением медиастинита резко ухудшается общее состояние, нарастают явления гнойной интоксикации. Беспокойство и двигательное возбуждение, характерные для начального периода медиастинита, вскоре сменяются адинамией, иногда - спутанностью сознания.
Ведущим местным симптомом медиастинита служит интенсивная боль в грудной клетке, которая усиливается во время глотания и запрокидывания головы назад. При переднем медиастините боль локализуется за грудиной, при заднем - в надчревной области или межлопаточном пространстве. Пациенты, стремятся принять вынужденное положение - полусидя со склоненной к груди головой, облегчая, таким образом, дыхание и уменьшая боль. Возникает отек лица, шеи и верхней половины туловища, подкожная эмфизема, расширение поверхностных вен, цианоз кожи.
Тяжелая интоксикация при медиастините обусловливает расстройства сердечной деятельности: выраженную тахикардию (до110-120 уд. в мин.), аритмию, снижение АД и нарастание ЦВД. Сдавление отечной клетчаткой средостения нервов, сосудов, трахеи и пищевода сопровождается развитием удушья, упорного кашля, дисфонии, дисфагии.
Молниеносная форма острого медиастинита приводит к гибели больных в течение первых 2-х суток. Она характеризуется скудными местными проявлениями и тяжелой общей интоксикацией. При хронических асептических медиастинитах симптоматика связана с развитием склероза и рубцевания медиастинальной клетчатки, компрессией органов средостения. Клинически это может выражаться в возникновении астмоидных приступов и осиплости голоса, развитии синдрома верхней полой вены или синдрома Горнера.
Хронический микробный медиастинит возникает при наличии в средостении инкапсулированного гнойника, вокруг которого впоследствии развивается реактивный рубцовый процесс. При этом отмечается длительный субфебрилитет с периодами повышения и снижения температуры, потливость, слабость, умеренные боли в грудной клетке. При развитии компрессионного синдрома присоединяются кашель, одышка, нарушения голоса, дисфагия.
Диагностика медиастинита
Раннее распознавание медиастинита представляет большие трудности. Необходимо детальное изучение анамнеза и проведение тщательного анализа клинической картины. При осмотре больного на медиастинит может указывать наличие объективных симптомов: усиление болей при поколачивании по грудине, надавливании на остистые отростки позвонков, наклоне головы; пастозность в области грудины и грудных позвонков; припухлость и крепитация в яремной впадине и над ключицей; синдром сдавления ВПВ и др.
Проводится тщательное рентгенологическое обследование (рентгенография грудной клетки, томография, рентгенография пищевода, пневмомедиастинография). Рентгенологически при медиастините может выявляться расширение тени шеи и средостения, эмфизема средостения, пневмоторакс, гидроторакс, уровень жидкости в средостении, пищеводные свищи.
При подозрении на перфорацию пищевода показано проведение эзофагоскопии (ЭГДС); при вероятности травмы трахеи и бронхов - бронхоскопии. Наличие плеврального и перикардиального выпота позволяет обнаружить УЗИ плевральной полости и перикарда. В последние годы для диагностики медиастинита используют трансэзофагеальное УЗИ.
Из инвазивных методов обследования прибегают к диагностической тонкоигольной пункции средостения с последующим микробиологическим исследованием пунктата, медиастиноскопии, диагностической торакоскопии. В первые сутки от момента развития медиастинит следует дифференцировать от пневмонии, перикардита, плеврита, острого живота.
Лечение медиастинита
Базовыми принципами лечения медиастинита является назначение ранней массивной антибиотикотерапии, осуществление адекватного дренирования гнойных очагов, радикальное хирургическое устранение причины медиастинита. В целях борьбы с интоксикацией проводится активная инфузионная терапия, коррекция водно-электролитного и белкового баланса, симптоматическая терапия, экстракорпоральная детоксикация, гипербарическая оксигенация, внутривенное, внутриартериальное, эндолимфатическое введение антибиотиков.
В ситуациях острого гнойного и травматического медиастинита показана медиастинотомия и санация средостения. При верхнем переднем медиастините выполняется шейная медиастинотомия; нижнем переднем - внебрюшинная передняя медиастинотомия; при переднем разлитом используется комбинация над- и подгрудинного подходов.
Дренирование верхнего заднего медиастинита осуществляется шейным доступом; нижнего заднего - чрездиафрагмальным (внеплевральным) доступом; диффузного заднего - чрезплевральным доступом (боковая торакотомия). При перфорации пищевода одномоментно с медиастинотомией выполняется гастростомия или эзофагостомия. Для санации средостения осуществляют активную аспирацию, промывание средостения антисептиками, введение антибиотиков и протеолитических ферментов.
В ранние сроки (от 12 до 24 ч от момента развития медиастинита) производится ушивание дефектов в стенке бронхов или пищевода, дренирование плевральной полости и средостения. В более позднем периоде перфоративные отверстия не ушиваются. При послеоперационных медиастинитах, встречающихся в кардиохирургии, производится резекция грудины, удаление некротических тканей, медиастинопластика лоскутами из больших грудных мышц, сальника или прямой мышцы живота.
При осумкованных гнойниках средостения прибегают к трансторакальной пункции и промыванию полости абсцесса либо вскрытию абсцесса и его ведению открытым способом. Необходимо устранение причин, вызывающих компрессию средостения и поддерживающих воспалительный процесс. При хронических медиастинитах специфической этиологии показано активное лечение сифилиса, туберкулеза, микозов.
Прогноз и профилактика медиастинита
Прогноз медиастинита всегда очень серьезен. На исход заболевания влияет характер основного заболевания или травмы, своевременность распознавания медиастинита, адекватность хирургического вмешательства и правильность ведения послеоперационного периода. При остром гнойном медиастините летальность достигает 70%.
Пути профилактики медиастинита заключаются, главным образом, в предупреждении ятрогенных повреждений и интраоперационных ранений органов средостения, своевременной диагностике и рациональном лечении заболеваний, приводящих к медиастиниту.
2. Медиастинит: этиология, патогенез, клиника, диагностика и лечение/ Зорькин А.А., Ларионов М.Ю., Тулупов В.А., Муконин А.А.
3. Хирургическое лечение больных с острым медиастинитом/ Доброквашин С.В., Сысоев П.Н., Демьянов С.Л.//Практическая медицина. - 2014 - №5.
Читайте также:










