Веснушки (эфелиды) у ребенка
Добавил пользователь Евгений Кузнецов Обновлено: 22.01.2026
БЕСПЛАТНАЯ КОНСУЛЬТАЦИЯ: поможем врачам и владельцам клиник выбрать оборудование для удаления эфелид
Оглавление
Эфелиды (веснушки на лице, конопушки, конопатинки) — это небольшие очаги гиперпигментации на лице и/или теле человека цвета от бледно-желтого до темно-коричневого. Они безболезненные, не выступают над поверхностью кожи и обычно появляются на втором году жизни. Вплоть до 35 лет число веснушек растет, а в дальнейшем начинает постепенно снижаться.
В нашей компании Вы можете приобрести следующее оборудование для лечения эфелид:
Интересный факт: после выхода в 2017 году клипа певицы Селены Гомес «Фетиш», в котором она поет с нарисованными на лице веснушками, они быстро вошли в моду у бьюти-блогеров. Появилось много видео и советов о том, как имитировать эфелиды с помощью косметики или татуировки.
Этиология и патогенез
Основной причиной появления веснушек является генетический фактор — доказано, что склонность к эфелидам передается по наследству. Это связано с полиморфизмом рецептора меланокортина 1 типа (melanocortin 1 receptor, MC1R) — белка, который связывается с меланоцит-стимулирующим гормоном. В результате пигментные клетки в коже людей с веснушками интенсивно производят меланин и обладают длинными отростками, но их количество при этом не увеличивается.
Веснушки могут возникать при повышенной чувствительности кожи к ультрафиолетовому излучению — как правило, у людей с I и II фототипами. Иногда эфелиды появляются после солнечного ожога — в англоязычной литературе их называют sunburn freckles. По сравнению с обычными веснушками, они имеют более темный цвет и прямую связь с ожогом после длительного нахождения под прямыми солнечными лучами.
Большое количество веснушек на лице темноволосого человека может говорить о наличии у него пигментной ксеродермы. Веснушки в подмышечных областях являются знаком Кроу (Crowe’s sign) — это один из симптомов нейрофиброматоза.
Клинические проявления веснушек на лице
Эфелиды возникают преимущественно у людей с нежной белой кожей (I-II фототипы), особенно у рыжих и блондинов. Очаги представляют собой пигментные пятна диаметром от 1 до 5 мм, чаще круглые или овальные, но встречаются и неправильной формы (рис. 1). Они не выступают над поверхностью кожи и могут иметь различные оттенки — бледно-желтый, желто-коричневый, светло- или темно-коричневый. Интенсивность окраски, как правило, равномерная, но может быть и неоднородной.
Веснушки обычно располагаются симметрично на открытых участках тела, подверженных инсоляции — чаще всего это нос, щеки, виски, предплечья и кисти рук. Однако у некоторых людей они могут быть и на закрытых участках верхней половины тела, вплоть до уровня поясницы. Веснушки на ягодицах и ногах являются редкой находкой.
Количество веснушек может быть разным — от нескольких точек до огромного числа пятен, скрывающих за собой естественный цвет кожи. Высыпания бледнеют зимой, причем иногда до такой степени, что становятся почти незаметными. Весной их число растет, а окраска становится более интенсивной — в таком виде они сохраняются до глубокой осени.
Рис. 1. Множественные эфелиды (веснушки) на лице, с преимущественным скоплением в области щек (Danish national service on dermato — venereology)

Принципы лечения: как убрать веснушки с лица
В подавляющем большинстве случаев веснушки не требуют лечения. Исключениями являются случаи, когда эфелиды говорят о наличии какого-либо заболевания — например, пигментной ксеродермы. После подтверждения диагноза следует сконцентрировать усилия именно на лечении основной болезни.
Однако чаще всего поводом для начала терапии является желание пациента убрать веснушки с лица — например, если эфелиды выглядят неэстетично, нарушают гармоничный образ или доставляют психологический дискомфорт. Отношение к веснушкам у людей во многом зависит от культурного контекста. Например, в странах Азии безупречно чистая и белая кожа считается признаком аристократизма, поэтому отбеливающие средства и процедуры здесь очень популярны. В частности, в Корее белый нефрит является символом первой королевской династии, и местные женщины до сих пор мечтают о белоснежной коже. Похожие представления об идеальном цвете лица и тела распространены в других азиатских странах. Можно сказать, что одни из самых передовых осветляющих ингредиентов приходят на мировой рынок именно из Азии.
Для того чтобы убрать веснушки, часто используется арбутин (гидрохинон бета-D-глюкопиранозид). Механизм его действия аналогичен гидрохинону — он блокирует синтез меланина в пигментных клетках кожи (меланоцитах). Однако арбутин безопаснее гидрохинона, хотя и менее эффективен. Поэтому в средствах с арбутином обычно содержатся и другие осветляющие компоненты для усиления общего действия.
Применение экстрактов растений, содержащих арбутин, в лечении веснушек не всегда приносит успех. Судя по исследованиям, наиболее высокой эффективностью обладает экстракт толокнянки. Экстракты черники и брусники также оказывают более или менее выраженное осветляющее действие. Однако некоторые растения с арбутином по каким-то причинам не осветляют кожу.
Появившийся на рынке в 2015 году косметический ингредиент Brightenyl (Брайтенил) использует микробное сообщество (микробиом) кожи для ее осветления. Brightenyl представляет собой альфа-глюкозидное производное тригидроксибензойной кислоты. При нанесении на кожу ингредиент перерабатывается бактериями в тригидроксибензойную кислоту — молекулу, которая осветляет и выравнивает тон кожи.
Поскольку количество веснушек растет в период солнечной активности, эффективным способом борьбы с ними является использование солнцезащитной косметики. Предпочтение следует отдавать средствам, блокирующим UVB и UVA лучи. Их рекомендуется не только постоянно применять перед выходом на улицу, но и обновлять каждые 2-3 часа при нахождении на открытом воздухе. Кроме того, в период между 10:00 и 16:00 лучше находиться в тени, использовать закрытую одежду, шляпы с широкими полями и козырьками, крупные солнцезащитные очки.
Для осветления кожи и устранения веснушек могут применяться топические ретиноиды. Нанесение третиноина рекомендуется начинать с низких концентраций (0,025%), постепенно доводя их до 0,1% при нормальной переносимости пациентом.
Некоторую пользу могут принести химические пилинги, устраняющие роговой слой эпидермиса — например, альфа-гидроксикислоты, резорцин, трихлоруксусная кислота, простой или модифицированный раствор Джесснера. Они подходят не столько для борьбы с веснушками, сколько для последующего выравнивания тона кожи.
Аппаратные методы лечения веснушек не влияют на механизмы их возникновения, поэтому приносят лишь временный результат. Для удаления веснушек и выравнивания цвета кожи используют аппараты, работающие по принципу селективного фототермолиза — лазеры и IPL, а также фракционный фототермолиз.
IPL устройства (например, M22) избирательно разрушают меланин без влияния на окружающие ткани, в этом смысле их действие на веснушки ничем не отличается от действия на пигментные пятна.
Важный момент: у людей с веснушками повышен риск возникновения меланомы. Поэтому если у человека много таких высыпаний и отягощенная наследственность по меланоме (рак кожи у ближайших родственников), его лицо и тело следует ежегодно осматривать на предмет очагов малигнизации.
Даже самый квалифицированный врач способен пропустить небольшую область, которая может трансформироваться в рак. Поэтому лучше доверить анализ кожи системам на основе искусственного интеллекта — например, FotoFinder ATBM bodystudio. Они запоминают каждый миллиметр поверхности тела и сравнивают с предыдущими снимками, досконально фиксируя все различия.
Псориаз
БЕСПЛАТНАЯ КОНСУЛЬТАЦИЯ: поможем врачам и владельцам клиник выбрать оборудование для лечения псориаза
Псориаз — является сложным хроническим многофакторным воспалительным заболеванием, характеризующимся избыточной пролиферацией кератиноцитов эпидермиса и увеличением скорости их оборота. Может начаться в любом возрасте, но чаще в 20-30 или 50-60 лет.
В нашей компании Вы можете приобрести следующее оборудование для диагностики псориаза:
В мире псориазом страдает в среднем 2-3% людей, но регионально заболеваемость сильно варьируется. Например, в США распространенность около 2,2%, а у южноамериканских индейцев — 0%, т.е. не выявлено ни одного случая псориаза при обследовании 26 тысяч человек. Болезнь чаще диагностируется у светлокожих людей (2,5%), чем у темнокожих (1,3%).
По МКБ-11 псориаз входит в группу 14 «Кожные болезни», подгруппа «Папулосквамозные заболевания», раздел EA90 «Псориаз».
Среди причин псориаза можно выделить следующие:
- Генетика — заболевание связано с определенными аллелями человеческого лейкоцитарного антигена (HLA), наиболее «сильной» из которых является HLA-Cw6. Другие ассоциированные аллели: HLA-B27, HLA-B13, HLA-B17 и HLA-DR7.
- Иммунология — за иммунологическую концепцию псориаза говорит высокий уровень кожного и циркулирующего в крови фактора некроза опухоли альфа (TNF-α), а также то, что лечение ингибиторами TNF-α зачастую выводит пациентов в ремиссию. Кроме того отмечено, что после определенных иммунологических событий может возникать каплевидный псориаз — например, после стрептококкового фарингита, прекращения кортикостероидной терапии и др.
- Ожирение — является не до конца изученным фактором. Влияет ли на развитие псориатических бляшек избыточный вес сам по себе, генетическая предрасположенность к ожирению или комбинация этих факторов, точно не известно. Однако замечено, что с увеличением массы тела состояние псориаза ухудшается, равно как и наоборот, при снижении веса течение болезни улучшается.
- Стресс и окружающая среда — психологические переживания могут как спровоцировать развитие псориаза, так и обострить его. Обострения болезни также вызывают травмы, инфекции (стрептококк, стафилококк, вирус иммунодефицита человека), алкоголь, лекарственные средства (аспирин, бета-адреноблокаторы). В одном из исследований зафиксирован рост частоты обострений псориаза у пациентов с хроническим гингивитом. Лечение гингивита позволило выйти в ремиссию, но не повлияло на болезнь в перспективе, что еще раз подчеркивает сложность и многофакторность методов лечения псориаза.
Интересно, что у 2,5% людей с ВИЧ развивается прогрессирующий псориаз на фоне снижения количества CD4 Т-клеток. Это не укладывается в современные представления о болезни (рис. 1), поскольку ведущая гипотеза заявляет о гиперактивности Т-клеток при псориазе, а лечение, направленное на снижение их числа, обычно уменьшает и тяжесть псориаза. Возможно, снижения количества CD4 T-клеток у пациентов с ВИЧ приводит к росту активности CD8 T-клеток, что и вызывает прогрессирование псориаза.
Рис. 1. Общее представление об этиологии и патогенезе псориаза, а также развитии сопутствующих состояний (World Health Organization, WHO)
- Первый сектор (внутренний, закрашен) — генетика, триггеры из окружающей среды.
- Второй сектор — микровоспаление, инсулинорезистентность, ожирение.
Два внутренних сектора включают в себя базовые предрасполагающие факторы и патогенетические составляющие псориаза. Основной клинический признак — воспаление (Inflammation).
- Третий сектор — инфаркт миокарда, атеросклероз, инсульт, метаболический синдром.
- Четвертый сектор — депрессия, тревожные расстройства.
Два средних сектора отражают переход к системным поражениям — от кожного псориаза к псориатическому артриту (Psoriasis — Arthritis) и связанные с этим проблемы. Основные клинические признаки: кардиоваскулярные патологии (CVD), психиатрические осложнения (Psychiatry).
- Пятый сектор — стигматизация пациента, увеличение стоимость и сроков лечения, отсутствие удовлетворенности терапией.
- Шестой сектор (внешний, со стрелкой) — курение, злоупотребление алкоголем, возможно вторичное ожирение, склонность к зависимостям, комплаентность (уровень приверженности к лечению)
Два внешних сектора отражают последствия заболевания (Consequences) и качество жизни пациента (Qol), а также бремя псориаза (BoD), т.е. ухудшение качества жизни человека на фоне болезни.

Патогенез псориаза
Патогенез заболевания до конца не изучен. Отмечено, что в эпидермис проникает большое количество активированных Т-клеток, которые запускают пролиферацию кератиноцитов. Скорость их обновления меняется с привычных 23 дней до 3-5 суток, что приводит к появлению патологически измененных клеток и шелушению кожи. Кератиноциты, которые в норме теряют ядра в зернистом слое эпидермиса, при псориазе сохраняют их, что выливается в нарушение процесса ороговения — паракератоз.
На этом фоне развивается неконтролируемое воспаление с избыточной продукцией цитокинов: фактора некроза опухоли альфа (TNF-α), гамма-интерферона, интерлейкина-12. Отмечено, что всплеск уровня TNF-α соответствует обострениям псориаза.
В пораженной коже отмечается усиленная васкуляризация и расширение поверхностных сосудов. Основные триггеры ангиогенеза при псориазе исходят от эпидермиса — в частности, кератиноциты секретируют фактор роста эндотелия сосудов А (VEGF-A). Источниками ангиогенных факторов также являются макрофаги и фибробласты, а дополнительными участниками — фактор, индуцируемый гипоксией (HIF), фактор некроза опухоли α (TNF-α), интерлейкины (IL)-1, -6, -8 и др. (рис. 2) Но самым важным компонентом является именно VEGF-A — он активирует кровеносные и лимфатические сосуды, напрямую влияя на привлечение воспалительных клеток в псориатический очаг. Уровни VEGF-A в сыворотке крови положительно коррелируют с тяжестью заболевания и отрицательно — с успехом стандартной терапии, что указывает на критическую роль VEGF-A в прогрессировании болезни.
Рис. 2. Роль сосудистого компонента кожи и ангиогенеза в патогенезе псориаза (Heidenreich R., et al. Angiogenesis drives psoriasis pathogenesis. Int J Exp Pathol 2009; 90(3): 232-248)

При участии фактора роста эндотелия сосудов (VEGF) запускается пролиферация кератиноцитов и клеток сосудистого эндотелия, что способствует ангиогенезу. Т-хелперы (Th) продуцируют интерлейкин-17 (IL-17), вследствие чего запускается продукция проангиогенных факторов — это еще больше усиливает ангиогенез. На этом фоне дендритные клетки (DC) эпидермиса воздействуют на популяцию Т-хелперов (Th), которая начинает синтезировать гамма-интерферон (IFN-γ), подавляющую ангиогенез. Но это помогает ненадолго, т.к. подключаются другие проангиогенные факторы: VEGF, bFGF, IL-8, запускающие дальнейший рост мелких сосудов и «раскручивающие» патогенез псориаза.
- VEGF — фактор роста эндотелия сосудов
- IL — интерлейкин
- IFN — интерферон
- TNF — фактор некроза опухоли
- TGF — фактор роста опухоли
- MMP — макриксные металлопротеиназы
- bFGF — базовый фактор роста фибробластов
- ECs — эндотелиальные клетки
- DC — дендритные клетки
- Th — Т-хелперы
- N — нейтрофилы
Клинические проявления
Наиболее распространенными кожными проявлениями псориаза являются эритематозные пятна, папулы, бляшки и шелушение. Обычно пятна появляются первыми, затем они трансформируются в папулы, далее — в хорошо отграниченные серебристые бляшки, покрывающие эритематозную поверхность пораженной кожи.
Для пациентов с псориазом характерно:
- Внезапное появление небольших областей покраснения кожи, покрытых чешуйками.
- Семейная история подобного состояния в анамнезе.
- Недавняя стрептококковая инфекция горла, вирусная инфекция, прием противомалярийного препарата, травма, стресс.
- Постепенное ухудшение состояния эритематозных областей, их укрупнение и слияние друг с другом.
- Болезненность — при эритродермическом псориазе.
- Зуд — при эруптивном или каплевидном псориазе.
- Фебрилитет — при пустулезном или эритродермическом псориазе.
- Возможна дистрофия ногтевых пластин.
- Боль в суставах, в том числе без явных кожных проявлений.
- Офтальмологические поражения — встречаются у 10% пациентов, чаще всего это покраснение и слезотечение вследствие конъюнктивита или блефарита.
Клинические формы псориаза (рис. 3):
- Бляшечный псориаз — проявляется зудящими красными участками на коже, с избыточным чешуйчатым налетом и шелушением. Поражения обычно возникают на разгибательной (внешней) стороне суставов и коже волосистой части головы (рис. 3А). Большинство пациентов стесняются этих бляшек, носят закрытую одежду и избегают обнажать пораженные участки. У 38-76% пациентов отмечается реакция Кебнера — появление новых бляшек на месте травмы через 7-14 дней. В некоторых случаях реакция Кебнера обратима, т.е. поражения исчезают по мере заживления травмированного участка. У 10-20% пациентов регистрируется псориатический артрит с болью в суставах, ригидностью и деформацией.
- Каплевидный псориаз — характеризуется внезапным появлением на теле и проксимальных отделах конечностей розоватых каплевидных папул диаметром 1-10 мм (рис. 3В). Обычно они не прогрессируют, находясь в одной и той же стадии развития, но могут сопровождаться зудом.
- Обратный псориаз — покраснение неправильной формы возникает на сгибательных (внутренних) поверхностях суставов, в паху, подмышках (рис. 3С). Его могут ошибочно принимать за грибковую инфекцию.
- Пустулезный псориаз — характеризуется типичными пустулами на фоне эритематозной кожи, которые появляются на теле, реже на лице, локтевых сгибах, в аногенитальной области (рис. 3D). Также отмечается повышение температуры тела вплоть до жара (фебрилитет), тахикардия, покраснение слизистой ротоглотки, «географический» язык, ониходистрофия (истончение и ломкость ногтей).
- Эритродермический псориаз — проявляется выраженным покраснением и шелушением на обширных участках тела (рис. 3E). Кожа отшелушивается не мелкими чешуйками, как обычно, а крупными пластами. Пациенты испытывают умеренный или сильный зуд и болевые ощущения. Температура тела может резко повышаться и снижаться, особенно в очень жаркие или холодные дни, а также возникает тахикардия.
Рис. 3. Клинические формы псориаза: А — бляшечный, В — каплевидный, С — обратный, D — пустулезный, Е — эритродермический (Danish national service on dermato—venereology)
На сайте надо проставить буквы А-B-C-D-E: бляшки А, точечки В, покраснение в области ануса С, пятка D, скрещенные руки Е




Точная диагностика и верификация степени тяжести псориаза
Степень тяжести псориаза зависит от площади поражения кожи:
- Легкая — до 2% поверхности тела.
- Средняя — от 3 до 10%.
- Тяжелая — более 10% поверхности тела.
Определить степень тяжести псориаза «на глаз» не получится, можно лишь предположить ее, исходя из опыта специалиста и внешних признаков болезни у пациента. Для точной диагностики псориаза следует использовать инструментальные методы — например, FotoFinder PASIvision.
Работа FotoFinder PASIvision основана на технологии автоматического картирования поверхности тела (Automatic Total Body Mapping, ATBM), которая позволяет быстро получить стандартные снимки всего тела пациента. Специальная камера делает 16 цифровых фотографий, в том числе с использованием поляризующего фильтра.
Далее программа автоматически анализирует площадь поражения кожи и тяжесть псориаза согласно PASI — Psoriasis Area and Severity Index (Индекс площади и тяжести псориаза). PASI является важнейшим критерием не только для первичной диагностики, но и для определения эффективности лечения, контроля заболевания и его прогноза.
Для выявления динамики и выбора метода эффективного лечения псориаза врач может открыть сразу два снимка одной и той же области, выполненных в разное время. После выбора желаемого способа сравнения программа автоматически рассчитывает PASI указанных областей — это максимально наглядный и достоверный метод контроля эффективности проведенной терапии.
Врачу доступна удобная сортировка изображений и пациентов, а также ряд отчетов, которые можно распечатать или переслать по электронной почте.
Принципы эффективного лечения псориаза
- Местная терапия:
- Аналоги витамина D
- Топические кортикостероиды (гидрокортизон, бетаметазон)
- Топические ретиноиды
- Фототерапия или ПУВА-терапия
- Системная терапия:
- Метотрексат
- Циклоспорин
- Ацитретин
- Биологические агенты
Самым простым и действенным способом вывода кожных поражений в ремиссию является ежедневное пребывание на открытом солнце, местное увлажнение и общая релаксация для избегания стрессов.
В аптеках можно найти безрецептурные препараты на основе смолы или дегтя, которые подходят для лечения псориатических бляшек. Полезны местные кортикостероиды, антралин, тазаротен, салициловая кислота, кальципотриол (аналог витамина D). В целом комбинированное лечение признано более эффективным по сравнению с монотерапией. Хорошо действует сочетание кальципотриола или местных ретиноидов с топическими кортикостероидами.
Узкополосная UVB-терапия менее эффективна по сравнению с ПУВА, но более мягко воздействует на кожу.
В тяжелых случаях для эффективного лечения псориаза могут применяться системные препараты — ацитретин (ретиноид), метотрексат, циклоспорин, 6-тиогуанин, азатиоприн и др. Сообщалось, что ретиноиды вызывают сухость глаз, блефарит, помутнение роговицы, катаракту и снижение ночного зрения. Среди других нежелательных явлений стоит отметить нарушение работы желудочно-кишечного тракта и повреждение печени (ацитретин, 6-тиогуанин, азатиоприн, метотрексат), подавление активности костного мозга (6-тиогуанин, метотрексат, азатиоприн, гидроксимочевина), повреждение почек (циклоспорин).
При наличии псориатического артрита или персистирующего (часто обостряющегося) псориаза можно использовать биологические агенты — устекинумаб, адалимумаб или секукинумаб.
Глубокие пигментации
БЕСПЛАТНАЯ КОНСУЛЬТАЦИЯ: поможем врачам и владельцам клиник выбрать оборудование для лечения глубоких пигментаций
Глубокие пигментации — это врожденные или приобретенные гипермеланозы, при которых основной объем избыточного пигмента залегает в дермальном слое кожи.
В нашей компании Вы можете приобрести следующее оборудование для удаления глубоких пигментаций:
Врожденный дермальный меланоцитоз (монгольское пятно)
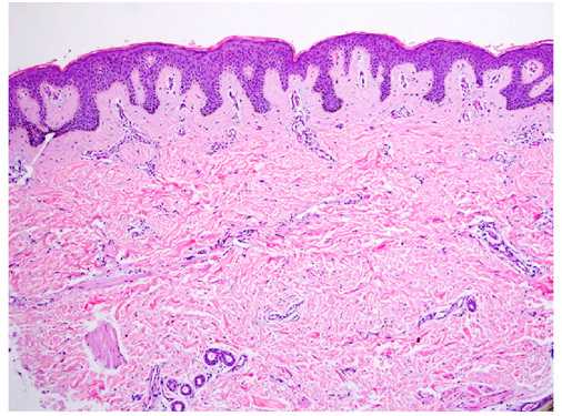
Наследственная гиперпигментация, вызванная активным привлечением меланоцитов в дерму при их миграции из нервного гребня в эпидермис. Этиологию этого заболевания связывают с нарушением структуры G-белков — это протеины-ГТФазы, которые действуют в качестве вторичных посредников при внутриклеточных сигнальных каскадах.
Распространенность монгольских пятен варьируется в различных этнических группах. Чаще всего они встречаются у восточноафриканских детей с темной кожей (до 80%), несколько реже — у латиноамериканских детей (до 46%) и крайне редко — у светлокожих европейцев (1-9%).
При гистологическом исследовании монгольских пятен видны сильно разветвленные меланоциты, которые располагаются в глубокой ретикулярной дерме и несут в себе много пигментированных меланосом (рис. 1). Как правило, меланоциты ориентированы параллельно эпидермису.
Рис. 1. Гистологические изменения в монгольском пятне (Dermpedia)

Меланоз (невус) Беккера
Его этиология и патогенез на сегодняшний день остаются неизученными. Определенную роль играют андрогены, о чем свидетельствует наличие сопутствующего гипертрихоза и преобладание данного гипермеланоза у мужчин. Так, исследование 19 302 мужчин в возрасте 17-26 лет выявило, что распространенность меланоза Беккера составляет 0,52%.
При микроскопии отмечается увеличение количества меланина в базальном слое эпидермиса. В кератиноцитах увеличиваются меланосомы, при этом гигантские меланосомы могут выявляться как в кератиноцитах, так и в меланоцитах. В дерме присутствуют меланофаги — макрофаги, фагоцитировавшие избыточный пигмент (рис. 2).
Рис. 2. Гистологические изменения в невусе Беккера (Parth P., et al. Sebaceus and Becker’s nevus: Overview of their presentation, pathogenesis, associations, and treatment. Am J Clinic Dermatol 2015)

Лентиго
Широко распространенная пигментная патология, обычно связанная с хроническим воздействием солнца на кожу. В США лентигиозные изменения наблюдаются у 90% людей со светлой кожей в возрасте старше 60 лет и у 20% — младше 35 лет. Основной причиной солнечного и старческого лентиго является длительная инсоляция; ПУВА-лентиго возникает после ПУВА-терапии (лечебного воздействия на кожу ультрафиолета спектра А с предварительным приемом фотосенсибилизатора псоралена); радиационное лентиго — после больших доз ионизирующего излучения.
Солнечное лентиго гистологически характеризуется удлинением эпидермальных гребней, увеличением числа меланоцитов, которые производят избыточное количество пигмента, и количества меланофагов — макрофагов, поглотивших пигмент и окрасившихся в темный цвет. Атипичных меланоцитов при солнечном лентиго обычно не выявляется (рис. 3).
При ПУВА-лентиго отмечается увеличение числа гипертрофированных меланоцитов, часто с признаками клеточной атипии. Дополнительно можно увидеть удлиненные эпидермальные гребни и усиленную пигментацию клеток базального слоя эпидермиса. Эти же изменения можно увидеть и при лентиго после множественных посещений солярия (tanning-bed lentigines).
Радиационное лентиго проявляется избыточным отложением гранул меланина в базальных кератиноцитах, клеточной или ядерной атипией, ростом числа меланоцитов и уменьшением количества эпидермальных гребней.
Старческое лентиго характеризуется пролиферацией базальных клеток с образованием тяжей, содержащих избыточное число меланина. Также может выявляться увеличение числа меланоцитов в области дермо-эпидермального соединения. В целом меланоциты при старческом лентиго обладают более высокой активностью и более длинными отростками, чем в норме. При электронной микроскопии в кератиноцитах заметны крупные комплексы меланосом.
Рис. 3. Гистологические изменения при лентиго (Dermpedia)

Мелазма
Рецидивирующая приобретенная дисхромия, обусловленная повышенной активностью эпидермально-меланиновых единиц. Возникает на участках кожи, подверженных выраженной и/или регулярной инсоляции, чаще у женщин репродуктивного возраста.
У пациентов с мелазмой отмечается увеличение объема меланина в эпидермисе, дерме или (чаще всего) в обоих указанных слоях кожи. Эпидермальный меланин выявляется в кератиноцитах базальной и супрабазальной области. Число меланоцитов в большинстве случаев не увеличивается, но имеющиеся пигментные клетки более крупные — они обладают выраженными отростками и гораздо более высокой активностью, чем в норме. Меланин также выявляется в мекрофагах поверхностной и средней дермы, которые часто собираются вокруг небольших расширенных сосудов (рис. 4).
Рис. 4. Гистологические изменения при мелазме (Nooshin B., et al. An overview on melasma. Pigmentary Disorders 2015; 2: 216)

Поствоспалительные гиперпигментации
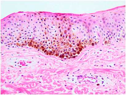
Одно из распространенных дерматологических состояний, которое чаще развивается у людей с темными фототипами (V-VI). Патогенез связан с гиперпродукцией себума сальными железами и наличием избытка сквалена на коже (например, при акне). Солнечный ультрафиолет генерирует синглетный кислород, который окисляет сквален. Последний стимулирует выработку простагландина Е2, запускающего активный меланогенез.
При микроскопии поствоспалительная гиперпигментация может проявляться как эпидермальным, так и дермальным увеличением количества пигмента (рис. 5). В последнем случае отмечается рост числа меланофагов в папиллярной дерме. Дермальная гиперпигментация может существовать много лет или даже оставаться на всю жизнь.
Рис. 5. Гистологические изменения при поствоспалительной гиперпигментации на фоне системной красной волчанки (Dr. Andrew Ryan, pathologist)
Гистологические изменения при поствоспалительной гиперпигментации
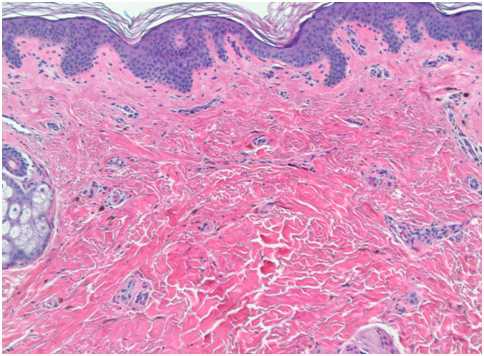
Врожденный дермальный меланоз (монгольское пятно)
Монгольское пятно отличается сине-серой макулярной пигментацией. Характерно изменение цвета пятна и появление голубоватого оттенка под разными углами обзора из-за эффекта Тиндаля — рассеивания света при его прохождении через неоднородную среду.
Поражения могут быть единичными или множественными, занимать площадь от нескольких квадратных сантиметров до поражения обширных участков тела. Чаще всего монгольское пятно локализуется на пояснично-крестцовой области, но может распространяться на ягодицы, спину, плечи и др. (рис. 6) Сообщалось о генерализованных монгольских пятнах, захватывающих всю переднюю и заднюю поверхность тела, включая конечности.
Монгольские пятна часто связаны с заячьей губой, менингеальной опухолью позвоночника, меланомой и пигментоваскулярным факоматозом (врожденным гипермеланозом, включающим в себя меланоцитарные и/или эпидермальные невусы).
Рис. 6. Врожденный дермальный меланоз — множественные монгольские пятна на спине (Danish national service on dermato—venereology)

Ранним проявлением невуса Беккера является бессимптомное светло- или темно-коричневое пятно неравномерной окраски и контура. Чаще оно появляется над плечом, на верхней части груди или на спине. Спустя несколько месяцев или лет в невусе и возле него начинают расти густые волосы коричневого или черного цвета (рис. 7). Центральная область меланоза может утолщаться с развитием акне (acne vulgaris).
Рис. 7. Меланоз Беккера с наличием темных волос (Danish national service on dermato-venereology)

Солнечное лентиго представляет собой плоские или слегка вогнутые округлые пятна различного диаметра, светло-коричневого или темно-коричневого цвета. Обычно они возникают на открытых участках — на лице, тыльных поверхностях рук и кистей, верхней половине туловища (рис. 8). Сразу после появления размеры солнечного лентиго очень маленькие (менее 5 мм), но в дальнейшем очаги становятся больше, темнее и сливаются в крупные пятна. Они могут содержать в себе участки нормальной кожи или разделяться мелкими морщинами.
Лентиго после солярия (tanning-bed lentigines) похоже на солнечное, но выявляется в нетипичных местах на теле пациента, куда обычно не попадает много солнца — внутренняя поверхность рук и бедер, область подмышек и др. Образования имеют диаметр от 2 до 5 мм, цвет коричневый или черный. Они появляются внезапно после интенсивного загара, либо после длительного (от 1 года и более) регулярного посещения солярия. Злокачественный потенциал этих поражений до конца не изучен.
При ПУВА-лентиго пигментные пятна также похожи на солнечное лентиго, но имеют неправильные контуры. После прекращения сеансов фотолечения небольшие очаги сохраняются на коже до 3-6 месяцев, крупные — до 2 лет.
Радиационное лентиго включает в себя дополнительные признаки долговременного радиационного поражения кожи — подкожный фиброз, кератоз, телеангиэктазии.
Рис. 8. Солнечное лентиго (Danish national service on dermato-venereology)

Проявляется в виде одиночного поражения или множественных очагов темно-коричневой или черной гиперпигментации, симметрично расположенных на лице и/или шее (рис. 9). По локализации мелазма может быть центрофациальной (лоб, щеки, нос, над верхней губой и на подбородке), малярной (нос и щеки) и мандибулярной (в области нижней челюсти). В редких случаях мелазма появляется на предплечье, что связано с приемом прогестерона.
Некоторые области лица у пациентов могут оставаться интактными при мелазме, и причина этого в настоящий момент не установлена. Считается, что данная особенность связана с плотностью и активностью сальных желез на коже.
Рис. 9. Мелазма (Danish national service on dermato-venereology)
Поствоспалительная гиперпигментация
Распределение гипермеланозных поражений зависит от локализации исходного дерматоза или места травмы. Их цвет варьируется от светло-коричневого до черного — если пигмент расположен в дерме, то оттенок будет темнее (рис. 10).
Рис. 10. Поствоспалительная гиперпигментация на ноге (AboutKidsHealth)

Принципы лечения
Глубокие пигментации плохо поддаются наружным методам лечения, поскольку пигмент залегает достаточно глубоко в коже — и воздействовать на него снаружи крайне затруднительно. Определенный эффект при некоторых состояниях (например, при мелазме) могут дать отбеливающие средства — гидрохинон, транексамовая или азелаиновая кислоты. Есть данные о пользе химических пилингов, но здесь следует быть крайне осторожным, чтобы не вызвать еще большее усиление пигментации в области воздействия.
Глубокие пигментации успешно лечатся аппаратными методами — интенсивным импульсным светом (IPL) и лазерами. Принцип действия IPL-терапии основан на селективном фототермолизе — поглощении меланином энергии светового излучения с последующим разрушением нежелательного пигмента. Для более точного воздействия и профилактики нагрева окружающей кожи в IPL-модуле аппарата М22 от Lumenis используется комплект светофильтров. Каждый из этих фильтров отсекает диапазон длин волн, наиболее подходящий для определенной глубины залегания пигмента и фототипа.
Если пигмент залегает очень глубоко, интенсивный импульсный свет может оказаться недостаточно эффективным — в этом случае рекомендован неаблятивный фракционный фототермолиз на аппаратах Fraxel и M22 ResurFX. В комплектацию Fraxel входит эрбиевый лазер 1550 нм для работы на уровне дермы в глубине до 1400 мкм (1,4 мм), а также тулиевый лазер 1927 нм для воздействия на уровне эпидермиса до 210 мкм (0,21 мм). ResurFX использует одну длину волны — 1565 нм, но этот модуль может совмещаться в аппарате M22 с модулем IPL и Nd:YAG Q-Switched лазером, благодаря чему можно успешно лечить любые формы пигментаций.
Неаблятивный фракционный фототермолиз основан на создании в коже микротермальных лечебных зон — крошечных очагов термического повреждения, между которыми находятся интактные (нетронутые) области. Это позволяет не только эффективно разрушать нежелательный пигмент, но и ускоряет последующее восстановление кожи, т.к. клетки из интактных областей мигрируют в микрозоны повреждений. Неаблятивный фракционный фототермолиз является методом выбора у пациентов с IV-VI фототипами кожи, которым можно проводить IPL-терапию с ограничениями.
Веснушки: причины, симптомы, диагностика, лечение
Весь контент iLive проверяется медицинскими экспертами, чтобы обеспечить максимально возможную точность и соответствие фактам.
У нас есть строгие правила по выбору источников информации и мы ссылаемся только на авторитетные сайты, академические исследовательские институты и, по возможности, доказанные медицинские исследования. Обратите внимание, что цифры в скобках ([1], [2] и т. д.) являются интерактивными ссылками на такие исследования.
Если вы считаете, что какой-либо из наших материалов является неточным, устаревшим или иным образом сомнительным, выберите его и нажмите Ctrl + Enter.
Веснушки (эфелиды, ephelides) - мелкие коричневатого цвета пятна, возникающие у лиц I-II фототипов на фоне инсоляции, небольшие пигментные пятна на лице и теле. Веснушки чаще наблюдаются у блондинов со светлой кожей и голубыми глазами. Появляются в детском возрасте, существуют постоянно, но в период активной инсоляции количество пигментных пятнышек увеличивается и усиливается интенсивность их окраски. С возрастом их количество уменьшается, и они могут исчезнуть полностью.
Обладателей веснушечек называют солнечными людьми, а сами эфелиды - поцелуем солнца. Давайте рассмотрим, почему они появляются, можно ли от них избавиться и как правильно ухаживать за кожей с пигментными пятнами.
Ephelides могут быть светло-желтого или более насыщенного темно-коричневого цвета. Учеными доказано, что они имеют наследственную предрасположенность. Пигментные пятна могут располагаться на руках, плечах, лице, реже на груди и спине. Зимой они становятся менее заметными, а вот в весенне-летний сезон их становится больше, они ярче и насыщенней. Чаще всего обладателями веснушек становятся светловолосые люди. Эти пигментные пятнышки начинают появляться в возрасте 5-6 лет и с возрастом постепенно исчезают. Они придают лицу особой нежности и прелести. Люди, которые желают вывести пигментные пятна с тела, недооценивают этого подарка природы.
Очень часто веснушечки путают с такими пигментными пятнами, как хлоазмы. Они бывают разной величины и цвета. Зимой они бледнеют, а летом и весной становятся более насыщенными и заметными. Причина появления таких «пигментных пятен» - болезни кишечника, печени, почек или беременность. Чтобы избавиться от такой пигментации необходимо вылечить заболевание, которое вызвало появление ephelides. И только после этого с помощью косметических процедур можно избавиться от пигментации.
Людям, у которых эфелиды от природы и не вызваны заболеваниями также необходимо соблюдать определенные правила ухода за своими солнечными отметинами. Так, в конце зимы, начале весну рекомендуется наносить на кожу солнцезащитные крема. Это позволит коже сохранить свежесть и красоту. Кроме того, регулярный уход, убережет кожу от появления новых ephelides более темного цвета.
День веснушек
День веснушек - это самый солнечный день в году. 30 апреля считается международным днем. Любимчиками солнца становятся люди со светлой кожей и светлыми глазами. Как правило, это рыжеволосые и голубоглазые.
Но появление ephelides связывают не только с наследственностью, но и с гормональными изменениями в организме. Если у вас темные волосы и карие глаза, а пигментные пятнышка неожиданно появились, то стоит задуматься о состоянии здоровья организма. Если вы обладатель эфелид с рождения, то не забывайте, что раз в году у вас настоящий праздник.
Пигментные пятна
Пигментные пятна, где бы они ни проявились, прежде всего, беспокоят человека по причине своей непривлекательности. Однако любая дисхромия (изменение цвета кожи) может свидетельствовать о глубинных патологических процессах, происходящих в организме. Известно, что кожа - это внешний показатель внутреннего состояния органов и систем. Однородный по структуре и цвету, кожный покров сегодня является редкостью, возможно в силу неблагоприятных экологических факторов, возможно и по другим причинам. Прежде, чем бороться с пигментацией и таким состоянием, как пигментные пятна, необходимо выяснит, какую роль играют пигменты, и о чем говорит их увеличение либо уменьшение.
Код по МКБ-10
Причины пигментных пятет
Пигментные пятна, спровоцированные естественными или физиологически нормальными факторами, не являются поводом для беспокойства. К таким видам пигментации относятся следующие:
- Веснушки - в переводе с греческого языка - солнечные пигментные пятна или эфелиды. Обычно эфелиды - это наследственное явление, передающееся из поколения к поколению. Характерны для светлокожих людей со светлым, рыжим, каштановым цветом волос. Веснушки чаще всего проявляются под воздействием ультрафиолета, а в зимний период бледнеют. Появляются эти пигментные пятна сначала на открытых солнцу участках кожи, но могут быть распространены и по всему телу.
- Гиперпигментация в виде хлоазм. Это четко очерченные пигментные пятна, различного окраса. Излюбленное место хлоазм - лицо, реже руки и половые органы. Хлоазмы могут быть вызваны физиологическими причинами - беременностью, возрастными изменениями и не представляют угрозы для здоровья. В летний период хлоазмы становятся более яркими, зимой они бледнеют и порой вовсе исчезают. Хлоазмы пожилых людей называются лентиго, они более плотные по структуре, обширные по размерам.
- Гипопигментация - наследственное свойство кожи, проявляющееся в белых депигментированных участках. Витилиго до сих пор не смогли отнести к определенной категории пигментных нарушений. С одной стороны витилиго не представляет угрозы для здоровья, да и этиология этой дисхромии до сих пор не ясна. С другой стороны излечение некоторых внутренних заболеваний у некоторых людей позволяет добиваться стойкой репигментации и однородного окрашивания кожи.
Пигментные пятна, вызванные патологическими факторами, и являющиеся признаком явного или скрытого заболевания. К ним относятся следующие виды:
- Пигментные пятна, компенсирующие травму кожи или воздействие химического агрессивного вещества. Меланин старается защитить поврежденный участок, окрашивая его с протекторной целью. Так происходит временная защита поврежденного участка от воздействия ультрафиолетового излучения.
- Кератоз, вызванный себорейным заболеванием. Кератоз похож на специфические наросты, часто их путают с обычными бородавками.
- Невусы доброкачественные или родинки. Представляет собой мелкие коричневые пигментные пятна, чаще всего плотнее по структуре и немного возвышающиеся над поверхностью кожи. Сами по себе родинки не являются заболеванием, однако любая даже самая маленькая родинка - это потенциально опасное образование, которое способно трансформироваться под воздействием различных факторов в меланому.
- Хлоазмы печеночные, характерные для патологии желчевыводящих путей и печени. Это пигментные пятна, располагающиеся на щеках, часто распространяющиеся на шею. Их еще часто называют «печеночной бабочкой».
- Рак кожи - лентиго злокачественной этиологии. Чаще всего эти пигментные пятна неровные по контурам, постоянно меняются в размерах и по цвету. Такие пигментные пятна следует немедленно обследовать, чтобы не упустить время.
Патогенез
Тон кожный покровов зависит от количества и соотношения четырех основных кожных пигментов:
- Меланин - окрашивающий пигмент, вырабатывающийся в глубинных слоях кожного покрова. Базальные структуры кожи содержат специфические клетки - меланоциты, которые и продуцируют выработку меланина. Если структура кожи не нарушена в смысле проводимости слоев, то меланоциты довольно быстро выходят из глубины к поверхностному слою кожи. При нарушении проводимости или недостаточной выработке красящего пигмента, верхний слой кожного покрова депигментирован.
- Каротин - пигмент, придающий желтоватый оттенок кожным покровам. Каротин продуцируют кератиноциты, которые расположены в верхних слоях кожи - эпидермисе. Если бы не было каротина, то, очевидно, все люди на земле принадлежали к негроидной расе.
- Красный пигмент - пигмент, содержащий гемоглобин. Он находится в небольших количествах в капиллярах кожных покровов.
- Синий пигмент, слегка осветляющий кожу. За синий пигмент отвечает также гемоглобин, но уже не содержащий кислород, а разрушенный и вновь восстанавливающийся в венах.
Чаще всего пигментация кожи и пигментные пятна зависят от уровня выработки меланина, все остальные пигменты не играют столь важной роли в окраске кожи.
Чрезмерная пигментация кожных покровов в основном возникает в силу мощного ультрафиолетового облучения. Этим объясняется специфический оттенок кожи народов, живущих в жарких странах. Меланин является для них генетически обусловленным защитным фактором. У других людей любое воздействие солнечных людей провоцирует выработку определенной дополнительной порции меланина, так кожа приобретает более темный оттенок - загар. Также меланин может активизироваться и в силу патогенных факторов - заболеваний, отравлений, нарушения обменных процессов.
К кому обратиться?
Лечение пигментных пятет
Первая заповедь для человека, стремящегося нейтрализовать пигментные пятна - это защита от ультрафиолетового излучения.
Второй совет - соблюдение полноценного рациона питания, насыщение организма необходимым количеством витаминов и микроэлементов.
Третий общий совет, который относится к профилактике заболеваний в принципе, а не только к избавлению от внешних дефектов - избавление от вредных, губительных привычек и соблюдение элементарных правил здорового образа жизни, касающихся двигательной активности, нормального сна и стрессоустойчивости.
Косметологические процедуры, которых сейчас великое множество, эффективно справляются с нейтрализацией таких особенностей организма, как пигментные пятна. Проводить процедуры следует только после консультации дерматолога и, как правило, курсами.
Пигментные пятна часто являются сигналом и поводом к комплексному обследованию организма, поскольку кожа - это отражение работы всех органов и систем человека. Именно поэтому, проявляя заботу о внешнем виде кожных покровов, не стоит забывать и внутренних факторах, провоцирующих появление пигментации.
Читайте также:
- Токсичность химиотерапии для печени, легких, сердца
- Баротравма легких при респираторном дистресс-синдроме легких.
- Клиника иерсиниоза. Признаки иерсиниоза. Клинические проявления иерсиниоза. Микробиологическая диагностика при иерсиниозе. Выявление возбудителя иерсиниоза.
- Правила наложения повязки на катетер центральной вены
- Статьи по болезням полости рта и глотки
