Вестибулярные проводящие пути. Головокружение при поражении вестибулярных проводящих путей
Добавил пользователь Владимир З. Обновлено: 13.12.2025
Кафедра неврологии ГБОУ "Российская медицинская академия последипломного образования", Москва;
Центр экстрапирамидных заболеваний, Москва
Российская медицинская академия последипломного образования
Вестибулярное головокружение при полушарных инсультах
Журнал: Журнал неврологии и психиатрии им. С.С. Корсакова. Спецвыпуски. 2017;117(8‑2): 27‑31
В статье приводится краткий обзор описанных в литературе случаев инсультов полушарной локализации, ведущим или единственным проявлением которых являлось вестибулярное головокружение. Описана история болезни 56-летнего пациента, обратившегося на консультацию в связи с тремя приступами обратимого спонтанного вестибулярного головокружения. При углубленном инструментальном обследовании был выявлен ишемический инсульт в левом полу-шарии головного мозга с поражением теменно-затылочной области. Обсуждаются возможные механизмы развития вестибулярного головокружения при поражении полушария головного мозга.
Вестибулярное головокружение — частый симптом инсульта в вертебрально-базилярной системе. В этом случае головокружение обусловлено повреждением вестибулярных ядер и их многочисленных связей с другими структурами ствола головного мозга или мозжечка. Характер вестибулярных нарушений, их особенности в зависимости от локализации повреждения, методы диагностики и дифференциальной диагностики стволовых и мозжечковых инсультов с периферическим вестибулопатиями хорошо изучены и подробно описаны. Значительно реже головокружение встречается при инсультах полушарной локализации, а причины и механизмы вестибулярных симптомов в этих случаях менее известны.
Между тем вестибулярные центры ствола головного мозга имеют многочисленные связи не только с глазодвигательными ядрами и мозжечком. Описаны многочисленные пути, соединяющие стволовые вестибулярные центры с корой головного мозга. Направляясь к коре мозга, вестибуло-кортикальные связи проходят через различные субкортикальные образования (в том числе, таламус, гипоталамус, мамиллярные тела), что делает вполне вероятным развитие вестибулярного головокружения при их поражении в результате ишемического или геморрагического инсульта.
В качестве примера вестибулярного головокружения при инсульте полушарной локализации приводим следующее клиническое наблюдение.
Больной А., 56 лет, обратился на амбулаторный прием к неврологу в связи с тремя приступами вестибулярного головокружения. Первый приступ произошел за 2 мес до обращения к врачу. Головокружение возникло остро, без предвестников, продолжалось около часа, сопровождалось тошнотой, однократной рвотой, выраженной неустойчивостью. Оно не имело позиционного характера, т. е. продолжалось и в покое, однако усиливалось при движениях. После приступа легкая неустойчивость сохранялась еще в течение нескольких часов, затем состояние больного полностью нормализовалось. Спустя 3 нед развился новый приступ головокружения, напоминающий первый. Головокружение также возникло днем, на фоне активной деятельности, не имело явных провоцирующих обстоятельств, продолжалось чуть менее часа и имело отчетливый вращательный характер. После головокружения еще около 2—3 ч сохранялась небольшая неустойчивость. Оба раза пациент во время головокружения и после приступов не обращался к врачу. Пойти к неврологу пациента заставил третий приступ, который произошел спустя еще месяц. Он был продолжительнее и сильнее предыдущих. Головокружение начиналось постепенно в течение 10—15 мин. Приступ длился около 4 ч. Головокружение имело отчетливый вращательный характер, сопровождалось выраженной тошнотой, многократной рвотой, неустойчивостью. Каких-либо других неврологических нарушений (расстройства речи, зрения, нарушения чувствительности или парезы и др.) пациент во время приступа не отмечал. После приступа в течение 4—5 дней сохранялось ощущение небольшой неустойчивости без заметных нарушений равновесия.
В течение последних 5—7 лет пациент периодически отмечал повышение АД до 150—160/90 мм рт.ст. По поводу повышения АД к врачу не обращался и антигипертензивных средств не принимал.
При исследовании неврологического статуса в момент обращения очаговой симптоматики выявлено не было. При нейровестибулярном исследовании с видеоокулографией спонтанный и позиционный нистагм отсутствовал. Тест Хальмаги и проба с встряхиванием головы (проба на скрытый нистагм) были отрицательными. Позиционные пробы также были отрицательными. Нарушений плавных следящих движений глаз, зрительных саккад и оптокинетического нистагма выявлено не было. Проба Ромберга (обычная и усложненная), маршевая проба Фукуда отрицательные. Нарушений походки также выявлено не было.
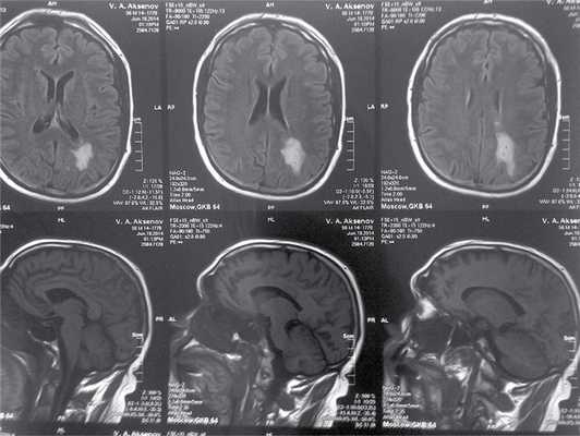
При ультразвуковом дуплексном сканировании брахиоцефальных артерий был выявлен нестенозирующий атеросклероз. Результаты тональной пороговой аудиометрии соответствовали физиологической норме. При магнитно-резонансной томографии (МРТ), выполненной в том числе в режиме DWI и проведенной спустя 10 дней после третьего приступа головокружения, были выявлены изменения, соответствующие недавно перенесенному ишемическому инсульту в области теменно-затылочных отделов левого полушария мозга (см. рисунок).

Магнитно-резонансная томограмма пациента А. Ишемический инфаркт в теменно-затылочной области левого полушария головного мозга.
Проведенные после получения результатов МРТ дополнительные исследования с целью уточнения причин инсульта (трансторакальная эхокардиография, компьютерная томографическая ангиография церебральных артерий, исследование свертывающей системы крови, липидного спектра, глюкозы) отклонений от нормы не выявили.
Принимая во внимание анамнестические данные и результаты МРТ головного мозга, можно предположить связь между выявленными при МРТ изменениями и приступами головокружений. Таким образом, причиной инсульта может быть атеротромбоз задней ветви левой средней мозговой артерии, первоначально проявлявшийся двумя однотипными эпизодами транзиторных ишемических атак, а впоследствии, по мере прогрессирования, приведший к формированию инфаркта головного мозга.
В литературе имеются немногочисленные описания вестибулярного головокружения при инсультах полушарной локализации. Так, в обзорной статье M. von Breverv и соавт. [1] приводится описание 10 случаев инсульта, сопровождающегося вестибулярным головокружением. Вместе с собственным наблюдением, описанным в той же работе, авторы говорят о 10 случаях, когда приступы вестибулярного головокружения были достоверно связаны с полушарным инсультом. Причем 9 из 10 случаев были связаны с инфарктом мозга, а один — с кровоизлиянием в мозг. Причинами инсульта были: кардиоартериальная тромбоэмболия — в 1 случае, диссекция внутренней сонной артерии — в 1, стеноз внутренней сонной артерии — в 2 случаях. В остальных 6 случаях инсульт был расценен как криптогенный. Головокружение у всех пациентов было основным проявлением заболевания. Однако при неврологическом обследовании у больных обнаруживались и другие нарушения: негрубые расстройства чувствительности, минимальный гемипарез, дизартрия, дисфазия, диспраксия, синдром Горнера, негрубая гемианопсия. Среди изменений при нейровестибулярном исследовании преобладал спонтанный нистагм (чаще контралатеральный стороне поражения, лишь в 1 случае — ипсилатеральный), отклонение субъективной зрительной вертикали в контралатеральную или, реже, ипсилатеральную сторону. Калорический тест проводился 3 пациентам и всегда был отрицательным.
У 6 больных поражение локализовалось в правой гемисфере, у 4 — в левой. Чаще всего очаг распространялся на задние отделы островковой доли (в 7 случаях) и ретроинсулярно (в 4 случаях). В остальных случаях повреждалась надкраевая извилина, скорлупа и область средней височной извилины [1].
Большинство описанных в статье M. von Brevern больных (6 из 10), так же как и обсуждаемый в настоящей статье больной А, были младше 60 лет.
Вестибулярные ядра ствола мозга имеют многочисленные связи с корой головного мозга. На сегодняшний день известны четыре пути, по которым информация от периферического отдела вестибулярного анализатора поступает в корковые зоны: 1) вестибуло-таламо-кортикальный; 2) соединяющий ядра дорсальных отделов покрышки варолиева моста с латеральными мамиллярными телами, переднедорсальными ядрами таламуса и энторинальной корой; 3) через ретикулярные ядра оральных отделов варолиева моста, супрамамиллярные ядра заднего отдела гипоталамуса, медиальные отделы септальной области к гиппокампу; 4) через мозжечок, вентролатеральные ядра таламуса к коре теменной области [2, 3].
Корковое представительство вестибулярного анализатора не имеет определенного единого центра. Кора в области теменно-височного стыка (верхняя височная извилина, задняя часть островковой доли, нижняя часть теменной доли) считается наиболее важной частью коркового представительства вестибулярного анализатора [4]. Считается, что в этих областях происходит интеграция вестибулярных и проприоцептивных сигналов для поддержания равновесия.
В соматосенсорной коре в области передних отделов теменной доли происходит интеграция вестибулярной и проприоцептивной информации от проприорецепторов головы, шеи и верхних конечностей. Полагают [5], что здесь происходит дифференциация собственных движений от движений окружающих предметов.
Задние отделы коры теменной доли и медиальные отделы верхней височной извилины задействованы в обеспечении пространственной ориентации, регистрации собственного движения и ускорений [4, 6].
Учитывая ту роль, которую играют вышеописанные отделы коркового представительства вестибулярного анализатора, их повреждение может сопровождаться головокружением. Другие участки коркового представительства вестибулярного анализатора принимают участие в обеспечении более сложных когнитивных функций, так что их повреждение вряд ли будет сопровождаться головокружением. Скорее, оно приведет к расстройствам пространственной памяти и нарушению навигационных способностей.
Так, поясная извилина и ретроспленальная ее часть у человека принимают участие в навигации, аллоцентрическом и эгоцентрическом восприятии пространства [7]. Кора гиппокампа и парагиппокампальной области, по-видимому, играет ключевую роль в составлении «карты» окружающего пространства, пространственной памяти и участвует в составлении плана перемещения в пространстве и навигации [8].
Обращает на себя внимание частое повреждение островковой доли у описанных выше пациентов с полушарным инсультом, проявляющимся головокружением. Это обстоятельство, по-видимому, объясняется той ролью, которую играет островковая доля. Есть мнение, что она обеспечивает мультимодальную интеграцию многочисленных афферентных сигналов от различных внутренних органов и систем. Здесь также могут перерабатываться и афферентные сигналы от вестибулярного анализатора. Участие островковой доли в проведении и переработке информации от вестибулярного анализатора подтверждается также исследованиями вестибулярной эпилепсии [9].
Дифференциальная диагностика головокружений, вызванных полушарным инсультом, от периферических вестибулярных расстройств основывается на анализе анамнестических данных и факторов риска цереброваскулярных заболеваний, исследовании неврологического статуса, проведении тщательного нейровестибулярного обследования, результатов МРТ головного мозга. Среди анамнестических данных, повышающих вероятность инсульта, в качестве причины изолированного вестибулярного головокружения выделяют возраст старше 50 лет, мужской пол, артериальную гипертонию, гиперхолестеринемию и другие факторы риска сердечно-сосудистых заболеваний. В большинстве случаев головокружение при полушарном инсульте сопровождалось другими очаговыми неврологическим симптомами, которые, впрочем, зачастую были минимально выражены и выявлялись лишь при тщательном анализе неврологического статуса.
Важную роль в дифференциальной диагностике центральной и периферической вестибулопатии играет нейровестибулярное исследование. Так, выявление спонтанного нистагма у больного с острым, впервые возникшим вестибулярным головокружением при отрицательной пробе Хальмаги (указывает на сохранность вестибулоокулярного рефлекса), почти всегда свидетельствует об инсульте [10]. При проведении пробы Хальмаги больному предлагают зафиксировать взор на переносице расположившегося перед ним врача и быстро поворачивают его голову поочередно в одну и другую сторону примерно на 15° от средней линии. Неспособность больного удерживать взор в одной точке при быстром повороте головы проявляется возникновением произвольной коррекционной саккады, возвращающей взор на переносицу врача уже после поворота головы. Эта саккада обычно хорошо видна невооруженным глазом и свидетельствует о повреждении вестибулоокулярного рефлекса, что характерно для периферических вестибулопатий или повреждения вестибулярных ядер ствола головного мозга. При головокружении, вызванном полушарным инсультом, вестибулоокулярный рефлекс не страдает, а значит коррекционная саккада будет отсутствовать (отрицательная проба Хальмаги).
Несомненное дифференциально-диагностическое значение имеет и МРТ головного мозга. Показанием к МРТ даже в отсутствие других очаговых неврологических симптомов может быть впервые возникшее головокружение у пациента с факторами риска цереброваскулярных заболеваний и без признаков периферического вестибулярного расстройства, таких как нарушенный вестибулоокулярный рефлекс (положительная проба Хальмаги).
В приведенном выше клиническом наблюдении обращало на себя внимание отсутствие при нейровестибулярном исследовании признаков периферической вестибулярной дисфункции (отрицательная проба Хальмаги), несмотря на ощущаемую пациентом небольшую неустойчивость. Кроме того, не было выявлено слуховых нарушений, что делало маловероятным дебют синдрома Меньера. Отсутствие анамнестических указаний на рецидивирующие приступообразные головные боли исключало мигрень-ассоциированный характер головокружения. Эти обстоятельства, а также наличие факторов риска цереброваскулярных заболеваний (артериальная гипертония, мужской пол, возраст) делают необходимым проведение нейровизуализации. Выявленные при МРТ изменения свидетельствуют об ишемическом инсульте, механизм которого остается не до конца ясным, несмотря на проведенные впоследствии исследования.
Основываясь на имеющихся на сегодняшний день данных о вестибулокортикальных связях, в качестве причины развития вестибулярных симптомов у вышеописанного пациента можно предположить повреждение пути, связывающего вестибулярные ядра через мозжечок, вентролатеральные ядра таламуса с корой теменной области.
Таким образом, полушарные инсульты в некоторых случаях могут сопровождаться вестибулярным головокружением, причиной возникновения которого, по-видимому, становится одностороннее повреждение вестибуло-кортикальных связей или вестибулярных центров коры головного мозга. Чаще других причиной головокружения при поражении полушарий мозга становится повреждение островковой доли и участков теменной коры. Диагностика полушарного инсульта как причины вестибулярного головокружения основывается на тщательном анализе анамнестических данных и факторов риска цереброваскулярных заболеваний, а также результатах клинического неврологического и нейровестибулярного исследования.
Головокружение периферическое. Клинические рекомендации.
Головокружение — ощущение неуверенности в определении своего положения в пространстве, кажущееся вращение окружающих предметов или собственного тела, ощущение неустойчивости, потеря равновесия, уход почвы из-под ног.
Вестибулометрия — комплекс тестов, проводимых с целью выяснения функционального состояние и уровня поражения вестибулярного анализатора.
Вестибулярная реабилитация - специально разработанный комплекс мероприятий, направленных на скорейшее восстановление нормальной работы вестибулярного аппарата, на улучшение устойчивости и равновесия, предотвращение падений, уменьшение субъективных ощущений головокружения и чрезмерной зависимости от зрительных и соматосенсорных стимулов, восстановление координации движений, а также снижение тревоги, обусловленной заболеванием вестибулярной системы.
Вестибулярный нейронит - избирательное поражение преддверного ганглия (ганглий Скарпы) (вестибулярного нерва), предположительно имеющее воспалительный генез и проявляющееся острым эпизодом интенсивного головокружения, длящегося от 2-3 ч до нескольких дней, сопровождающимся расстройством равновесия при сохранном слухе.
Доброкачественное пароксизмальное позиционное головокружение (ДППГ) - заболевание, характеризующееся приступами головокружения, возникающего при перемене положения головы, и обусловленное, вероятно, проникновением отолитовых частиц в полукружные канала внутреннего уха
Постурография - общий термин для методик оценки способности человека управлять позой тела.
1. Краткая информация
1.1 Определение
1.2 Этиология и патогенез
Головокружение развивается в результате дисбаланса сенсорной информации, поступающей от основных афферентных систем, обеспечивающих пространственную ориентацию - вестибулярной, зрительной и проприоцептивной. Большое значение имеют также нарушения центральной обработки информации и эфферентного звена двигательного акта. Считается, что приступ головокружения в основном обусловлен изменением функциональных взаимосвязей между симпатической и парасимпатической нервной системами в сторону преобладания функции парасимпатической системы. Эти изменения сопровождаются сосудодвигательными нарушениями во внутреннем ухе с повышением проницаемости стенок сосудов и последующим увеличением количества эндолимфы в вестибулярном аппарате. Известно, что системное (вестибулярное, истинное) головокружение связано с раздражением определенных участков вестибулярного анализатора и в зависимости от уровня поражения бывает периферическим и центральным. Периферическое вестибулярное головокружение (vertigo) возникает при поражении сенсорных элементов ампулярного аппарата и преддверия, вестибулярного ганглия и нервных проводников ствола мозга. Периферическое вестибулярное головокружение - это головокружение приступообразного характера различной интенсивности (от слабых до бурных атак). При остром начале пациенты ощущают движение предметов в сторону больного уха, в эту же сторону направлен и нистагм, в стадии угнетения - в противоположную сторону. Продолжительность приступов может колебаться от минут до нескольких часов, недель, месяцев. Периферическое головокружение всегда сопровождается спонтанным нистагмом - клоническим, горизонтальным или горизонтально-ротаторным, разной интенсивности, степени, ассоциированным с гармоничным отклонением туловища и рук в сторону медленного компонента. Отмечается положительное влияние поворота головы (в сторону медленного компонента нистагма). Как правило, периферическое вестибулярное головокружение - процесс односторонний и сопровождается нарушением слуховой функции на пораженной стороне.
Наиболее известна классификация, предложенная G. R. Holt и J. R. Thomas в 1980. Согласно данной классификации, к этиологическим факторам относятся:
1) заболевания среднего и внутреннего уха воспалительного и невоспалительного характера;
2) заболевания центральной нервной системы;
3) поражения органов шеи, в том числе дегенеративно-дистрофические изменения шейного отдела позвоночника;
4) метаболические и гематологические причины;
5) нарушения, вызванные лекарственными веществами;
6) инфекционные поражения;
7) кардиогенные расстройства;
8) прочие причины.
1.3 Эпидемиология
Около трети пациентов, обращающихся к оториноларингологам, отмечают различные типы головокружения. Среди причин обращения к врачам разных специальностей головокружение составляет 3-4%. В Российской Федерации число больных с кохлеовестибулярными нарушениями составляет 13—14 человек на 10 тыс. населения [7]. По данным Yardley L., при опросе более 20 тыс. человек в возрасте от 18 до 64 лет, проведенном в 1998 г., выяснилось, что за последний месяц более 20% испытали головокружение, из них свыше 30% страдают головокружением на протяжении более 5 лет [21]. При опросе 1000 человек старше 65 лет о наличии головокружения сообщили 30% респондентов [15].
1.4 Кодирование по МКБ-10
Нарушения вестибулярной функции (H81):
Н81.0 - Болезнь Меньера:
Н81.1 - Доброкачественное пароксизмальное головокружение;
Н81.2 - Вестибулярный нейронит;
Н81.3 - Другие периферические головокружения (Синдром Лермуайе Головокружение: ушное, отогенное, периферическое БДУ)
Периферический вестибулярный синдром
К периферическому вестибулярному синдрому относятся спонтанные патологические реакции (сенсорные, моторные и вегетативные), качественно специфичные для органа равновесия, возникающие при отсутствии внешних раздражителей и обусловленные нарушением функционирования лабиринта, ампулярного аппарата, преддверия, ганглия, корешка VIII пары черепно-мозговых нервов. Наиболее часто пациенты с периферическим вестибулярным синдромом предъявляют жалобы на головокружение, нарушение равновесия, сужение полей зрения, тошноту, рвоту и другие симптомы.
Современное состояние вопроса

Головокружением называют иллюзорное ощущение движения тела или окружающего пространства. Оно может сочетаться с другими симптомами, такими как тошнота, рвота, атаксия. Различают центральное и периферическое головокружение. Периферическое связано с поражением лабиринта внутреннего уха или вестибулярной части преддверно-улиткового нерва. Центральное головокружение может быть обусловлено поражением вестибулярных ядер ствола головного мозга, мозжечка, проводящих путей, коры больших полушарий головного мозга (см. табл. 1).
В соответствии с последними научными публикациями приступ головокружения в основном обусловлен изменением функциональных взаимосвязей между симпатической и парасимпатической нервной системой в сторону преобладания функции парасимпатической системы. Эти изменения сопровождаются сосудодвигательными нарушениями во внутреннем ухе с повышением проницаемости стенок сосудов и последующим увеличением количества эндолимфы в вестибулярном аппарате.
При остром начале приступа периферического головокружения пациенты ощущают движение предметов в сторону больного уха, в эту же сторону направлен и нистагм, в стадии угнетения — в противоположную сторону. Продолжительность приступов может колебаться от минут до нескольких часов, недель и даже месяцев.
Периферическое головокружение всегда сопровождается спонтанным нистагмом — клоническим, горизонтальным или горизонтально-ротаторным, разной интенсивности, степени, ассоциированным с гармоничным отклонением туловища и рук в сторону медленного компонента. Зачастую периферическое вестибулярное головокружение является односторонним процессом и может сопровождаться нарушением слуха с вовлеченной стороны.
Согласно литературным источникам, головокружение может быть вызвано большим количеством этиологических факторов, таких как нарушение обмена веществ, заболевания сердечно-сосудистой системы, новообразования различного генеза и др. Около трети пациентов, обращающихся к оториноларингологам, отмечают различные типы головокружения.
Среди причин обращения к врачам разных специальностей головокружение составляет 3-4 %. По данным Yardley L. (1998), при опросе более 20 тысяч человек в возрасте от 18 до 64 лет выяснилось, что за последний месяц более 20 % испытали головокружение, из них свыше 30 % страдали головокружением на протяжении более 5 лет. При опросе тысячи человек старше 65 лет о наличии головокружения сообщили 30 % респондентов.
Таблица 1. Основные различия между центральным и периферическим вестибулярным головокружением.

Классификация
Головокружение
1. Невестибулярное (центрального генеза).
2. Вестибулярное (центрального генеза, периферического генеза):
2.1 cо слуховыми нарушениями;
2.2 без слуховых нарушений;
4. Несистемное (см. табл. 2).

Таблица 2. Классификация головокружения, основанная на субъективном восприятии пациентом окружающей среды.
Кодирование по МКБ-10
Нарушения вестибулярной функции (H 81):
- Н81.0 — болезнь Меньера;
- Н81.1 — доброкачественное пароксизмальное позиционное головокружение (ДППГ);
- Н81.2 — вестибулярный нейронит;
- Н81.3 — другие периферические головокружения (синдром Лермуайе; головокружение: ушное, отогенное, периферическое БДУ, двусторонняя периферическая вестибулопатия, вестибулярная пароксизмия, синдром дегисценции переднего полукружного канала);
- H 83.0 — лабиринтит;
- H 83.1 — фистула лабиринта.
Диагностика
Вестибулярный аппарат имеет многочисленные анатомические и функциональные связи, поэтому при раздражении его возникают различные рефлексы: сочетанное отклонение глаз, нистагм, компенсаторная остановка глаз, головокружение, тошнота, рвота, нарушение равновесия. Исследование вестибулярной функции начинается с визуальной оценки направления и степени выраженности спонтанного нистагма.
Нистагм (nystagmus) — непроизвольное, быстрое, ритмичное колебательное движение глаз с наличием хотя бы одной медленной фазы. Патологические формы нистагма имеют много причин, но обычно являются результатом заболеваний, влияющих на периферический вестибулярный аппарат, ствол мозга, мозжечок и реже передние проводящие зрительные пути или центральные гемисферы.
Нистагм может быть продолжительным или эпизодическим. Эпизоды нистагма могут возникать спонтанно только при определенных положениях взгляда или в определенных условиях просмотра либо могут быть вызваны особыми маневрами.
Нистагм характеризуется многочисленными феноменологическими признаками, большинство которых связано с конкретными лежащими в основе патологическими механизмами. Специфические формы нистагма имеют специальные названия, основанные на комбинации этих атрибутов.
Алгоритм оценки нистагма
1. Начальная точка положения взгляда, начальная точка положения головы, начальная точка отсчета относительно полукружных каналов.
2. Бинокулярность: моноокулярный, бинокулярный.
3. Конъюгация (содружественность): содружественное движение глаз, неконъюгированное движение глаз, дизъюнктивное движение глаз (когда два глаза спонтанно одновременно двигаются в разных направлениях).
4. Скорость: частота, амплитуда, оценивается фаза медленного компонента.
5. Форма волны.
6. Частота.
7. Амплитуда.
8. Интенсивность.
9. Временный профиль (временные характеристики).
10. Возраст первого проявления (см. рисунок).

Источник: T. Шахин, Р. Йилмаз, М.К.Акбостанчи. Саккадические и плавные расстройства преследования при эссенциальном треморе: Видеоокулографическое исследование [аннотация]. Mov Disord. 2020; 35 ( дополнение 1 ). Дата обращения 12 ноября 2021 года.
В соответствии с International Classification of Vestibular Disorders (Международная классификация вестибулярных расстройств) выделяют:
- физиологический нистагм;
- патологический нистагм;
- нистагмоподобные движения.
Для диагностики периферического вестибулярного синдрома рекомендованы следующие тесты:
1. Оценка вестибулоокулярного рефлекса.
2. Хит-тест. Диагностика проводится при закрытых глазах и интенсивных встряхиваниях головы после 20 секунд интенсивных вращений. При возникновении более 4 саккад за 10 секунд — поражение периферического отдела вестибулярного анализатора.
3. Проба Хальмаги. Пациент фиксирует взор на переносице расположившегося перед ним врача и поворачивает голову в одну и другую сторону (15° от средней линии). В норме фиксированные глаза не поворачиваются вслед за головой. При периферической вестибулопатии — коррекционные саккады. При центральной вестибулярной дисфункции с изолированными системными головокружениями — тест отрицателен.
4. Тест де Клейна. Пациент поворачивает голову с закрытыми глазами на 90° в левую сторону. Оценивается нистагм. Повтор в противоположную сторону. Для диагностики унковертебрального артроза, синдрома позвоночной артерии.
5. Тест Дикса — Холлпайка. Пациент в положении сидя поворачивает голову в сторону пораженного лабиринта. Врач резко укладывает его в горизонтальное положение. При каналолитиазе заднего полукружного канала — нистагм с латентным периодом до 15 секунд, направленный к нижележащему уху с ротаторным компонентом (длительность до 40-50 секунд).
6. Калорические пробы. В норме через 25-30 секунд возникает горизонтально-ротаторный нистагм. При вливании холодной жидкости — направление нистагма в противоположную исследуемому уху сторону (ампулофугальный ток эндолимфы), теплой — в сторону исследуемого уха (ампулопетальный ток эндолимфы).
7. Прессорная проба.
8. Фланговая походка.
9. Оценка устойчивости в позе Ромберга.
10. Электронистагмография.
11. Видеонистагмография.
При оформлении медицинской документации допустима следующая запись в медицинской карте амбулаторного либо стационарного больного: «При проведении функциональных вестибулярных тестов спонтанный и провокационный нистагм не выявлен. Калорический нистагм в пределах нормы (25-30 секунд). В позе Ромберга устойчив. Пальценосовую пробу выполняет без интенции. Фланговая походка по средней линии.
Заключение: на момент осмотра вестибулярная функция не изменена».
Терапия
Лечение приступа головокружения осуществляется в зависимости от этиологического фактора.
Купирование острого приступа осуществляется врачом-оториноларингологом, неврологом при обращении пациента на амбулаторном и стационарном этапах.
- Метоклопрамид 20-40 мг внутрь 2-4 раза в день в течение 3 дней.
- Дименгидринат 50-100 мг 2-3 раза в день внутрь.
- Дифенгидрамин 25-50 мг внутрь 3-4 раза в день или 10-50 мг внутримышечно.
- Диазепам 10 мг внутримышечно для купирования нарушения равновесия.
При невозможности купирования на амбулаторном этапе оказания медицинской помощи приступа периферического головокружения показана госпитализация в оториноларингологическое отделение, при центральном головокружении показано стационарное лечение в отделении неврологии.
Патогенетическое лечение:
- при наличии нарушений слуха рекомендован бетагистин 24 мг по 1 таблетке 2 раза в день внутрь в течение 2-3 месяцев;
- для лечения вестибулярного нейронита показано внутривенное введение 8 мг дексаметазона в течение 3 дней;
- в случае верификации гидропса лабиринта методом контрастирования при проведении МРТ рекомендовано шунтирование барабанной полости с эндотимпанальным введением дексаметазона.
Хирургическое лечение показано при фистуле лабиринта и дегисценции переднего полукружного канала в зависимости от степени выраженности, частоты, длительности приступа головокружения; а также при наличии нейроваскулярной активности у пациентов с вестибулярной пароксизмией.
Доброкачественное позиционное пароксизмальное головокружение
Головокружение — одна из самых часто встречающихся жалоб на приеме у врача. Перечень потенциальных причин достаточно широк и зависит от типа вестибулярного синдрома: острого, эпизодического, хронического. Пациенты с жалобами на головокружение обращаются к врачам различных специальностей, и от правильно собранного анамнеза и интерпретации клинических проявлений зависит диагностический поиск и, соответственно, эффективность лечения.
История заболевания

В классической монографии Томаса Брандта, Марианны Дитерих и Майкла Штруппа «Головокружение» сказано: «Если анамнез собран правильно и клиническое исследование проведено со всей тщательностью, роль инструментальных исследований часто второстепенна…
Для диагностики большинства форм головокружения бывает достаточно анамнеза и физикального исследования».
За последние 20 лет представления о головокружении кардинально изменились — были выделены новые заболевания (при этом поддающиеся терапии), о которых раньше медицинская наука либо не имела представления, либо оценивала их проявления как следствие совершенно иных болезней и состояний.
И если в литературе конца 20-го века в разделах, посвященных головокружению, часто встречались определения «сосудистый генез», «остеохондроз», «синдром позвоночной артерии», то согласно современным представлениям эти заболевания либо являются крайне редкими, либо их вклад в головокружение ставится под сомнение.
Классическим примером является ДППГ, проявления которого раньше интерпретировали как симптомы остеохондроза шейного отдела позвоночника или сосудистые изменения, а пациента подвергали многочисленным обследованиям и длительному лечению.
Само заболевание известно с 1921 года, но эффективные методы терапии были разработаны лишь в последнее десятилетие 20-го века. При этом примерно в половине случаев при ДППГ может наступать самопроизвольная ремиссия, имитирующая успех лечения. В настоящее время наиболее частой причиной головокружения, связанного с патологией внутреннего уха, считается ДППГ.
Симптоматика
Женщины болеют чаще, чем мужчины, люди старше 35 лет входят в группу риска. доброкачественное позиционное пароксизмальное головокружение (ДППГ), по данным литературы, составляет около 35 % всех периферических вестибулярных расстройств. В настоящее время диагностика и лечение ДППГ доступны на амбулаторном приеме, в значительном проценте случаев занимают около 15 минут, не требуют дорогостоящих методов диагностики, медикаментозной помощи. Классической аналогией можно назвать вправление вывиха.
Доброкачественное позиционное пароксизмальное головокружение — заболевание внутреннего уха, при котором из преддверия в полукружный канал вестибулярного аппарата попадают кристаллы карбоната кальция (отолиты), способные перемещаться под действием силы тяжести, что вызывает ярко выраженное ощущение вращения, часто сопровождаемое тошнотой и рвотой. При этом вследствие головокружения может подниматься артериальное давление, возникать тревога, тахикардия.
Нистагм, возникающий во время приступа ДППГ, относится к периферическому, а значит может уменьшаться при фиксации взора. Для визуализации нистагма лучше использовать очки Френзеля, которые позволяют устранить фиксацию взгляда и помогают врачу лучше видеть нистагм, в т. ч. скрытый.
В настоящее время на амбулаторном приеме удобнее всего применять «классические» очки в виде маски с подсветкой глаз и с увеличивающими линзами +16-20 диоптрий и так называемый видеофрензель (см. рис. 1) в виде маски с инфракрасной подсветкой и камерами, которые выводят изображения глаз на монитор с возможностью записи и обработки изображения.
Рисунок 1. Очки Френзеля (А) и видеофрензель (Б).

Увеличивающие линзы и непрозрачная маска не дают пациенту возможности сфокусировать взор, подсветка позволяет хорошо рассмотреть глаза и фиксировать нистагм.
В МКБ-10 доброкачественное позиционное пароксизмальное головокружение имеет код Н81.1 и относится к заболеваниям внутреннего уха, входящих в компетенцию оториноларинголога.
Клиническая картина
Включает короткие (от нескольких секунд до нескольких минут) приступы системного головокружения, возникающие при перемене положения головы и тела (лежа при поворотах, вставании, запрокидывании головы или при наклонах). При этом есть латентный период в несколько секунд (головокружение возникает не в тот же момент, а спустя несколько секунд после смены положения тела), быстрая адаптация (если не двигаться, приступ проходит); сам эпизод головокружения длится несколько секунд, редко больше минуты.
В момент головокружения выявляется нистагм. Нистагм ротаторный или горизонтальный, его направление и продолжительность зависят от того, какой полукружный канал вовлечен в процесс. После приступа некоторое время может сохраняться легкая неустойчивость. Приступы могут повторяться от 1 до 20 раз на протяжении дня или ночи. Через несколько месяцев частота может уменьшаться, а спустя несколько лет — возобновляться. Вне приступа состояние нормальное либо неустойчивое. Не характерны изменения слуха и шум в ушах, онемение, нарушения речи и движений, потеря сознания.
Диагноз устанавливается на основании сочетания анамнеза и положительных диагностических проб — на приеме провоцируется приступ головокружения и оценивается возникающий нистагм. И диагностические пробы, и лечение основаны на том, что врач может разместить голову пациента таким образом, чтобы сила тяжести действовала вдоль оси полукружного канала. Тогда отолиты под действием гравитации перемещаются, вызывая головокружение.
Исходя из того, в каком положении головы возник приступ, и на основании типа и направления нистагма врач делает вывод о том, какой из 6 полукружных каналов поврежден (задний, горизонтальный, вертикальный — справа и слева). После этого становится возможно переместить отолиты из полукружного канала в преддверие лабиринта, где они не будут вызывать симптомы. При этом нужно помнить, что возможны два варианта течения ДППГ. При каналолитиазе отолиты свободно перемещаются в полукружном канале, при купулолитиазе — фиксированы на ампулярном рецепторе. Таким образом, возможны 12 вариантов ДППГ.
Клиническая картина зависит от того, какой из полукружных каналов пострадал и какой тип (канало- или купулолитиаз) ДППГ имеет место. Для дифференциального диагноза применяются так называемые позиционные пробы. Для выявления поражения заднего полукружного канала применяется проба Дикса — Холлпайка (см. рис. 2) или маневр Семонта, горизонтального полукружного канала — проба МакКлюра — Пагнини, переднего полукружного канала — проба Дикса — Холлпайка с глубоким запрокидыванием головы. Цель пробы — спровоцировать типичный приступ головокружения с возможностью анализа наличия и характера нистагма. На основании характеристик нистагма (направление, продолжительность, наличие латентного периода, адаптация и др.) выставляется клинический диагноз.

Рисунок 2. Выполнение диагностического маневра Дикса — Холлпайка для выявления канало-и/или купулолитиаза горизонтального полукружного канала правого лабиринта.
Голову сидящего пациента поворачивают в сторону исследуемого уха на 45 градусов, затем человека резко укладывают на спину с запрокинутой на 20-30 градусов головой. Перемещение отолитов под действием силы тяжести вызывает приступ головокружения с типичным нистагмом.
Диагностические критерии
Согласно моим наблюдениям, в преобладающем большинстве случаев по поводу подозрения на ДППГ диагноз подтверждается. В структуре заболевания преобладает (примерно в 80 %) каналолитиаз заднего полукружного канала, что совпадает с данными литературы.
При каналолитиазе заднего полукружного канала:
- Периодические атаки позиционного головокружения, возникающие при переворачивании на спину, запрокидывании головы, наклонах головы вперед (например, при завязывании шнурков или мытье волос).
- Продолжительность головокружения менее 1 минуты.
- Позиционный нистагм с латентным периодом от одной до нескольких секунд при выполнении маневра Дикса — Холлпайка или маневра Семонта.
- Нистагм вертикально-ротаторный, геотропный (направлен вниз, к земле), продолжительностью менее 1 минуты.
- Другие причины головокружения и нистагма исключены.
Для диагностики поражения горизонтального полукружного канала при ДППГ наиболее показателен вращательный тест МакКлюра — Пагнини. Пациент лежит на спине, врач резко поворачивает его голову на 90 градусов сначала в одну сторону, затем в другую (см. рис. 3). Поражение горизонтального полукружного канала в нашей практике встречалось в 13,3 % случаев, чаще каналолитиаз.

Рисунок 3.Проба МакКлюра — Пагнини в видеофрензеле.При каналолитиазе горизонтального полукружного канала:
- Периодические атаки позиционного головокружения, вызванные при укладывании на спину или при поворотах головы в стороны в положении лежа на спине.
- Продолжительность атак менее 1 минуты.
- Позиционный нистагм, появляющийся после короткого латентного периода или без него, направлен горизонтально к нижнему уху (геотропный нистагм) после поворота головы в обе стороны (нистагм с изменением геотропного направления) и длительностью менее 1 минуты. Нистагм более выражен при повороте головы в сторону пораженного уха.
- Другие причины головокружения и нистагма исключены.
Если с помощью позиционных проб удается спровоцировать головокружение и типичный позиционный нистагм, есть соответствие клинической картины и нет иных причин головокружения, никаких других обследований (МРТ, УЗИ, анализов крови и т. д.) не требуется.
Лечение
Медикаментозная терапия при ДППГ может применяться только с целью облегчения приступа или ускорения реабилитации. Никакие лекарственные препараты не способны излечить пациента, но некоторые могут уменьшить неприятные ощущения.
Лечение начинается непосредственно после диагностики, применяются так называемые лечебные (репозиционные) маневры, при которых голова пациента должна двигаться в определенной последовательности и с определенной скоростью. Цель маневра — при помощи гравитации переместить отолиты из полукружного канал в преддверие лабиринта, где они не вызывают головокружения и через какое-то время вновь фиксируются на отолитовой мембране.
Для каждого типа ДППГ, для каждого канала существует свой маневр/маневры, в связи с этим недопустимо без топического диагноза (на основании диагностических маневров) рекомендовать пациенту самостоятельное их выполнение, особенно без предварительного обучения.
Российские оториноларингологи проанализировали обучающие видео на Youtube и выяснили, что около 60 % всех роликов содержат ошибки, которые не только снизят вероятность получения эффективного лечения, но и могут привести к отрицательным изменениям (например, перевод каналолитиаза с благоприятным прогнозом в более сложно поддающийся лечению купулолитиаз или дополнительный заброс отолитов в другие полукружные каналы).
Ошибочно считать лечебные маневры чем-то вроде физических упражнений. Чаще всего лечебные маневры сравнивают с вправлением вывиха, где каждому типу вывиха соответствует своя методика.
Самым известным репозиционным маневром является маневр Эпли (см. рис. 4), применяемый при каналолитиазе заднего полукружного канала. При выполнении всех маневров имеют принципиальное значение отношение (угол) лабиринта (т. е. головы пациента) по направлению к вектору гравитации, скорость выполнения маневра и длительность нахождения в каждом положении. Правильность выполнения контролируется при помощи наблюдения за нистагмом.

Рисунок 4. Выполнение лечебного маневра Эпли для правого уха.Голова сидящего пациента поворачивается в сторону исследуемого уха на 45 градусов, затем он резко укладывается на спину с запрокинутой на 30 градусов головой (1, 2). С интервалом в 1 минуту голова поворачивается двукратно на 90 градусов в сторону здорового уха (3, 4), после чего пациент усаживается (5).
Успешное излечение при каналолитиазе заднего полукружного канала с помощью репозиционных маневров достигает, по данным ряда источников, 84-96 %. Итоговое излечение достижимо у 98 % пациентов. Адекватная диагностика без диагностических маневров невозможна, в связи с чем они должны выполняться всем пациентам с рецидивирующим характером головокружения, а при подтверждении ДППГ необходимо также проведение репозиционных маневров. С позиций доказательной медицины уровень доказательности изложенного материала максимальный — А, сила рекомендаций 1А.

Виктория Лисоцкая, заведующая отделением слухопротезирования РНПЦ оториноларингологии. 10.11.2021 Фото носит иллюстративный характер. Из открытых источников.
Читайте также:
- Инородное тело пищевода: причины, симптомы и лечение
- Допплерография стеноза выходного тракта правого желудочка. Беременность при стенозе легочной артерии
- Красивые и здоровые волосы. Как этого добиться?
- Цели коррекции окклюзии при протезировании зубов коронками и мостовидными протезами. Особенности
- Гипертензия и ее виды. Мишени антигипертензивных средств
