Витреоретинопатии с сосудистыми аномалиями сетчатки у ребенка
Добавил пользователь Евгений Кузнецов Обновлено: 24.12.2025
Изучить отдаленные клинико-функциональные исходы ретинопатии у глубоко недоношенных детей.
МАТЕРИАЛ И МЕТОДЫ
В исследование вошли 42 пациента (84 глаза) с ретинопатией недоношенных (РН) в возрасте 9—18 лет. Всем больным проведено комплексное офтальмологическое обследование, включая морфометрические (оптическая когерентная томография), функциональные (электроретинограмма) и психофизические (компьютерная периметрия) методы исследования.
РЕЗУЛЬТАТЫ
Выявлена высокая частота слабовидения в школьном и юношеском возрасте (67%) у глубоко недоношенных детей с РН, что обусловлено тяжестью течения активной РН и формированием выраженных остаточных изменений на глазном дне в рубцовой фазе заболевания, высокой частотой аномалий рефракции (92%), в том числе миопии высокой степени (46%), поздними осложнениями, развивающимися при РН любой степени (68%), нарушением электрогенеза сетчатки вследствие как РН, так и глубокой морфофункциональной незрелости сетчатки.
Заключение. Пациенты с любой степенью рубцовой РН, родившиеся на ранних сроках гестации и с экстремально низкой массой тела, нуждаются в регулярном комплексном офтальмологическом обследовании и пожизненном динамическом наблюдении.
ФГБУ «Национальный медицинский исследовательский центр глазных болезней имени Гельмгольца» Минздрава России
Дата принятия в печать:
Введение
Несмотря на успехи в организации офтальмологической помощи недоношенным детям, в совершенствовании методов диагностики и лечения, ретинопатия недоношенных (РН) остается ведущей причиной снижения зрения в детском возрасте. Несомненные достижения в организации скрининговых осмотров недоношенных детей и изучении клинических проявлений активной РН, а также разработанные показания и методы лечения прогрессирующих форм РН позволили значительно сократить число неблагоприятных анатомо-функциональных результатов и тяжелых исходов РН, приводящих к инвалидности по зрению с детства.
Однако в связи с возрастанием числа выживших недоношенных младенцев с ранним гестационным возрастом, экстремально низкой массой тела при рождении и большой соматической отягощенностью растет частота тяжелых и атипичных форм заболевания, резистентных к традиционной терапии [1—7]. Именно у данного контингента пациентов анализ особенностей клинического течения, результатов лечения, отдаленных клинико-функциональных исходов РН и прогнозирование зрительных функций являтся важной и актуальной задачей.
Цель исследования — изучить клинико-функциональное состояние глаз у детей с РН, рожденных на раннем сроке гестации и с низкой массой тела, в подростковом и юношеском возрасте.
Материал и методы
Обследовано 42 пациента (84 глаза) в возрасте 9—18 лет (в среднем 13,9 года); все дети наблюдались нами с момента окончания активной фазы РН (4—6 мес жизни), из них 11 человек — до 18 лет. Все дети родились от преждевременных родов в гестационном возрасте 22—27 нед (в среднем 25,9 нед), с массой тела 510—1200 г. (в среднем 820 г). Коагуляция сетчатки (крио- и лазеркоагуляция) в активной фазе РН произведена на 53 (63,1%) глазах. Группу сравнения составили 128 пациентов с рубцовой РН различной степени в возрасте 9—17 лет, родившихся в гестационном возрасте 28—33 нед (в среднем 29,6 нед) и с массой тела 1050—1860 г (в среднем 1430 г).
Кроме стандартных методов (визометрия, тонометрия, рефрактометрия под мидриазом, биомикроскопия, офтальмоскопия глазного дна) обследование включало фоторегистрацию структур глазного яблока с помощью фундус-камеры Topcon FX-50 (Topcon Corporation, Япония), Smartscope 5M (Optomed Ltd, Финляндия). Оптическую когерентную томографию (ОКТ) выполняли, используя прибор Spectralis HRA+OCT (Heidelberg, Германия), оценивали толщину сетчатки в фовеа, толщину нейроэпителия в височной (Т1) и носовой (Т2) парафовеолярной зонах, макулярный объем, сохранность фовеолярной депрессии и состояние слоев нейроэпителия.
Для оценки функциональной активности сетчатки регистрировали общую электроретинограмму (ЭРГ), ритмическую ЭРГ (РЭРГ), хроматическую макулярную ЭРГ (МЭРГ) с помощью электроретинографа научно-медицинской фирмы «МБН-6» (Россия). Компьютерную статическую периметрию проводили, используя прибор Perimat-206 (Германия).
Результаты
В исследуемой группе пациентов после окончания активной фазы РН в результате самопроизвольного или индуцированного регресса (после коагуляции сетчатки) сформировались остаточные изменения различной степени, характеризующие рубцовую фазу заболевания [8]. Распределение глаз в зависимости от степени остаточных изменений на глазном дне после перенесенной РН представлено на рис. 1.

Рис. 1. Распределение глаз, включенных в исследование, по степени рубцовой РН.
Благоприятные исходы РН с формированием остаточных изменений I—III степени выявлены на 54 (64,3%) глазах, неблагоприятные (РН IV—V степени) — на 30 (35,7%) глазах, из них на 16 (52%) глазах прогрессирование РН произошло, несмотря на проведенную коагуляцию сетчатки. У 8 (19%) пациентов IV—V степень РН сформировалась на обоих глазах. Асимметричное поражение (I—III степень РН на «лучшем» глазу/IV—V степень — на парном глазу) выявлено у 11 (26,2%) обследуемых.
Частота сопутствующей неврологической и общесоматической патологии у пациентов с ранним гестационным возрастом при рождении составила 33% (14 человек), что значительно выше, чем у детей контрольной группы (17%; 22 из 128 человек; p<0,05). Структура сопутствующей патологии в исследуемой группе была следующей: детский церебральный паралич (n=5), отставание в умственном развитии (n=4), аутизм (n=2), тугоухость IV—V степени (n=2), постгипоксическая энцефалопатия, органическое поражение ЦНС (n=4). В ряде случаев сопутствующие патологические состояния сочетались между собой.
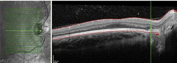
При анализе клинического состояния глаз у глубоко недоношенных пациентов выявлены некоторые особенности. На 10 (18,5%) из 54 глаз с благоприятными исходами РН, на которых в активной фазе РН локализовалась в I или II зоне, наблюдались смещение ретинальных сосудов и тракция сетчатки в носовую сторону. Данный факт свидетельствует о более ранней манифестации заболевания в назальном отделе сетчатки, что характерно для детей, рожденных на ранних сроках гестации (рис. 2) [4, 9].

Рис. 2. Смещение ретинальных сосудов и эктопия макулы в носовую сторону (данные ОКТ).
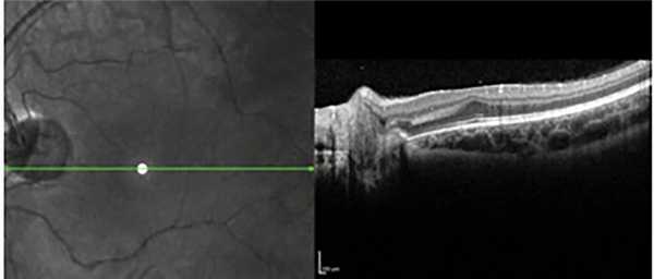
Кроме того, при самопроизвольном регрессе на 12 глазах с I—III степенью рубцовой РН в отдаленном периоде наблюдения сохранялись остаточные аваскулярные зоны на периферии сетчатки, а также анастомозы и сосудистые «щетки» на границе с аваскулярной сетчаткой, что косвенно подтверждает «незрелость» сетчатки на момент рождения. При этом, несмотря на локализацию патологического процесса в активной фазе РН в I или II зоне глазного дна, остаточные аваскулярные зоны определялись только на височной периферии, что свидетельствует о возможности продолженного васкулогенеза сетчатки уже после завершения активной фазы РН (рис. 3).

Рис. 3. Остаточные аваскулярные зоны и сосудистые анастомозы у ребенка 10 лет на глазу с рубцовой РН.
Особенностью неблагоприятного течения РН в исследуемой группе было стремительное развитие отслойки сетчатки на 6 глазах через 1,5—3 нед после выявления первых признаков экстраретинальной пролиферации, несмотря на проведенную коагуляцию сетчатки. Отслойка сетчатки носила тракционно-экссудативный характер с геморрагическим компонентом, выраженной пролиферацией и рубцеванием в стекловидном теле, что приводило к раннему развитию синдрома мелкой передней камеры (6—10 мес жизни), иридо-корнеального контакта и вторичной глаукомы, что, по-видимому, явилось следствием течения заболевания по типу задней агрессивной РН.
На момент исследования в возрасте 9—18 лет острота зрения у пациентов исследуемой группы широко варьировала. На 27 (32,2%) глазах острота зрения составляла 0,3 и более, а на 57 (67,8%) глазах — менее 0,3, что значительно превосходило частоту низкого зрения в контрольной группе (32,3%; p<0,05). Слепота и слабовидение определялись на 27 глазах с IV—V степенью рубцовой РН и на 30 глазах с благоприятными исходами РН, что потребовало детального изучения причин снижения зрения.
Одним из факторов снижения зрения были аномалии рефракции, выявленные на 50 (92,6%) из 54 глаз с РН I—III степени, что превышает частоту аномалий рефракции в контрольной группе (84%). При этом преобладающим видом нарушений рефракции была миопия — 47 (87%) из 50 глаз, из них миопия высокой степени определялась на 25 (46,3%) глазах (частота миопии высокой степени у детей в контрольной группе — 14,9%; p<0,05), миопия средней степени — на 8 (14,8%) глазах, миопия слабой степени и астигматизм — на 14 (25,9%) глазах. Только на трех глазах (5,6%) выявлена гиперметропия. В большинстве случаев в процессе динамического наблюдения миопия носила стационарный характер, а на 9 (18%) из 50 глаз она прогрессировала в возрастной период от 5 до 14 лет.
Важной причиной снижения зрения у глубоко недоношенных детей в отдаленном периоде наблюдения послужили поздние осложнения, развившиеся на 57 (67,9%) из 84 глаз. Виды осложнений при рубцовой РН разной степени и сроки их развития представлены в табл. 1.
Таблица 1. Осложнения при рубцовой РН разной степени
Степень рубцовой РН
Срок развития осложнений (средний возраст)
Периферические ретинальные дистрофии
Вялотекущий увеит и субатрофия глазного яблока
При благоприятных исходах РН основным видом осложнений было развитие и прогрессирование периферических ретинальных дистрофий (26 глаз) по типу «решетки», «следа улитки», разрывов сетчатки, ретиношизиса (рис. 4). В большинстве случаев развитие этого вида осложнений произошло на глазах с РН II степени (19 из 26 глаз; 73%).

Рис. 4. Периферическая ретинальная дистрофия по типу «следа улитки» на глазу со II степенью рубцовой РН.
Развитие и прогрессирование ретинальных дистрофий привело к возникновению отслойки сетчатки на 13 глазах с II—IV степенью РН у детей в возрасте от 9 до 17 лет (в среднем в 14,1 года). При II степени РН отслойка сетчатки носила регматогенный характер (5 глаз), а при III и IV степени — регматогенный и тракционно-регматогенный характер (8 глаз), что потребовало комбинированных хирургических вмешательств (рис. 5).

Рис. 5. Поздняя субтотальная отслойка сетчатки регматогенного характера на глазу с РН II степени и частичной атрофией зрительного нерва.
При неблагоприятных исходах РН также возможно развитие поздних осложнений, что приводит к потере остаточного зрения, косметическим дефектам и ухудшению качества жизни пациентов. Так, на 8 глазах с IV—V степенью РН развилась осложненная катаракта. Начальные помутнения появлялись в задней капсуле хрусталика в зоне фиксации витреальных тяжей и пленок, затем распространялись на все слои хрусталика с включением кальцификатов. При потере остаточного зрения, а также во избежание развития иридо-корнеального контакта целесообразно проведение ленсвитрэктомии, несмотря на плохой функциональный прогноз.
Вторичная глаукома возникла на 4 глазах с V степенью РН у детей в возрасте от 10 мес до 11 лет (в среднем 7,5 года). Глаукома при V степени рубцовой РН является результатом стойких органических изменений переднего сегмента глаза вследствие массивного рубцевания в ретрохрусталиковом пространстве, образования прехрусталиковых пленок, сращения и заращения зрачка. В этих случаях наблюдалось формирование мелкой передней камеры с иридо-роговичным контактом, распространенным зрачковым и витреальным блоками, что препятствует циркуляции внутриглазной жидкости.
Лечение вторичной глаукомы — должно быть хирургическим, включая реконструкцию передней камеры, формирование зрачка, рассечение ретрохрусталиковой пролиферативной мембраны, ленсэктомию, витрэктомию. Целесообразно проводить хирургическое вмешательство еще до повышения уровня внутриглазного давления при угрозе формирования иридо-корнеального контакта. При отсутствии предметного зрения и плохом прогнозе, а также при декомпенсации глаукомного процесса на афакичном глазу и восстановленной передней камере возможно проведение циклодиодфотокоагуляции.
Прогрессирующая субатрофия глаза зафиксирована на 4 глазах с V степенью РН, начиная с 10 мес жизни ребенка она сопровождалась вялотекущим увеитом, постепенным уменьшением переднезадней оси глаза и утолщением оболочек по данным эхографии.
Коатсоподобные хориоретинальные очаги выявлены на двух глазах с IV степенью РН у пациентов 12 и 17 лет. Развитие этих изменений произошло в зонах интра- и преретинального фиброза и характеризовалось появлением субретинального экссудата желтоватого цвета, сосудистых мальформаций с новообразованными сосудами (рис. 6). Причины таких изменений окончательно неизвестны, возможно, их развитие связано с длительной ишемией.

Рис. 6. Коатсоподобные хориоретинальные изменения на глазу с рубцовой РН III степени.
Учитывая, что одним из определяющих факторов развития остроты зрения является состояние макулы, мы провели морфофункциональные исследования центральных отделов сетчатки [10—12].
Результаты проведенной ОКТ показали, что у глубоко недоношенных детей с благоприятными исходами РН на 33 (61%) из 54 глаз отмечалось нарушение анатомического контура макулы. На 12 глазах с остаточными изменениями I—II степени сглаженность фовеолярного контура в совокупности с сохранностью эмбрионального строения макулы (слоев нейроэпителия в фовеа) свидетельствовала о нарушении дифференцировки макулы вследствие недоношенности, и лишь на трех глазах она сопровождалась снижением остроты зрения ниже 0,3. На 10 глазах со II степенью РН сглаженность фовеолярного контура сопровождалась наличием структурных изменений (кистовидный отек и тракционная деформация нейроэпителия), невидимых при офтальмоскопии, что и объясняло некорригируемое снижение остроты зрения. При III степени РН сформированный фовеолярный контур и сохранность слоев нейроэпителия в макуле выявлены только на двух глазах. В остальных случаях фовеолярный контур был сглажен или отсутствовал вследствие тракционной деформации макулы после перенесенной РН и коррелировал со сниженной остротой зрения (рис. 7).

Рис. 7. Сглаженный фовеолярный контур и тракционная деформация сетчатки на глазу с рубцовой РН III степени.
При сравнении морфометрических показателей центральной зоны сетчатки в исследуемой (26 глаз) и контрольной (58 глаз с благоприятными исходами РН) группах выявлены достоверные различия (табл. 2).
Таблица 2. Морфометрические показатели макулы
Ретинопатия недоношенных
Ретинопатия недоношенных - вазопролиферативное поражение сетчатки, обусловленное незрелостью структур глаза у детей, рожденных раньше срока. Ретинопатия недоношенных характеризуется нарушением нормального васкулогенеза и нередко самопроизвольно регрессирует; в остальных случаях сопровождается помутнением стекловидного тела, миопией, астигматизмом, косоглазием, катарактой, глаукомой, тракционной отслойкой сетчатки. Ретинопатия диагностируется в ходе осмотра недоношенного ребенка детским офтальмологом с помощью офтальмоскопии, УЗИ глаза, электроретинографии, зрительных ВП. Лечение ретинопатии недоношенных может включать крио- или лазеркоагуляцию сетчатки, витрэктомию, склеропломбирование.
Общие сведения
Ретинопатия недоношенных - нарушение процессов васкуляризации сетчатки у детей, имеющих низкий гестационный возраст. Частота ретинопатии недоношенных в неонатологии и детской офтальмологии тесно коррелирует со степенью зрелости организма ребенка: так, у детей с массой тела менее 1500 г патология сетчатки развивается в 40-50% случаев; менее 1000 г - в 52-73%; а у глубоко недоношенных детей с массой тела менее 750 г - в 81-95% случаев. Парадоксальность ситуации заключается в том, что совершенствование условий выхаживания детей с экстремально низкой массой тела приводит к увеличению случаев ретинопатии недоношенных, которая в развитых странах становится ведущей причиной слепоты у детей.
Причины ретинопатии недоношенных
Нормальный васкулогенез (рост сосудов) сетчатки у плода начинается с 16 недели внутриутробного развития и завершается к 40 неделям гестации. Т. о., чем меньше гестационный возраст ребенка, тем больше в его сетчатке содержится аваскулярных зон. Наиболее подвержены возникновению ретинопатии недоношенных дети, рожденные от преждевременных родов ранее 34-ой недели гестации с массой тела менее 2000 г.
Развитие сосудов сетчатки регулируется различными медиаторами - факторами роста, из которых наиболее значимы и изучены фактор роста сосудистого эндотелия, фактор роста фибробластов и инсулиноподобный фактор. Нарушению регуляции нормального ангиогенеза и развитию ретинопатии у недоношенных способствуют условия, вызывающие изменение парциального давления кислорода и углекислого газа в крови. Дело в том, что метаболические процессы в сетчатке осуществляются посредством гликолиза, т. е. расщепления глюкозы, протекающего без участия кислорода. Поэтому длительное пребывание ребенка на ИВЛ, кислородотерапия, колебания в режиме назначения сурфактантов и т. п. способствуют развитию ретинопатии недоношенных.
Дополнительными факторами риска, влияющими на возникновение ретинопатии недоношенных, служат гипоксия плода, внутриутробные инфекции, синдром дыхательных расстройств, внутричерепные родовые травмы, сепсис, анемия новорожденных и др. Одним из вероятных триггеров развития ретинопатии является воздействие на незрелую сетчатку недоношенного избыточной освещенности, тогда как в норме ангиогенез сетчатки протекает внутриутробно в отсутствии светового воздействия.
Патогенез ретинопатии недоношенных связан как с нарушением образования новых сосудов сетчатки, так и с изменением уже сформировавшихся сосудистых трактов. При ретинопатии недоношенных образование сосудов в аваскулярных зонах периферии сетчатки прекращается, а новообразованные сосуды начинают прорастать в стекловидное тело, что в дальнейшем приводит к кровоизлияниям, новообразованию глиальной ткани, натяжению и тракционной отслойке сетчатки.
Классификация ретинопатии недоношенных
Принятая в мировой практике классификация ретинопатии недоношенных выделяет в течении заболевания активную и рубцовую (регрессивную) фазы. Активная фаза ретинопатии недоношенных, в зависимости от локализации и выраженности сосудистых изменений, подразделяется на 5 стадий:
- I стадия - образование демаркационной линии - узкой границы, отделяющей васкулярную (сосудистую) часть сетчатки от аваскулярной (бессосудистой).
- II стадия - формирование на месте демаркационной линии возвышения - демаркационного вала (гребня). Сосуды врастают в вал и могут образовывать небольшие участки неоваскуляризации.
- III стадия - в области вала появляется экстраретинальная фиброваскулярная пролиферация. Соединительная ткань и сосуды разрастаются по поверхности сетчатки и проникают в стекловидное тело.
- IV стадия - соответствует частичной отслойке сетчатки, обусловленной экссудативно-тракционным механизмом. Данная стадия ретинопатии недоношенных подразделяется на подстадии: IVa - без отслойки макулы и IVб — с вовлечением в отслойку макулярной зоны.
- V стадия - тотальное отслоение сетчатки воронкообразной формы (с узким, широким или закрытым профилем воронки).
В 70-80% случаев I и II стадии ретинопатии недоношенных самопроизвольно регрессируют, оставляя минимальные остаточные изменения на глазном дне. III стадия является «пороговой» и служит основанием для проведения профилактической коагуляции сетчатки. IV и V стадии ретинопатии недоношенных расцениваются как терминальные из-за неблагоприятного прогноза в отношении зрительных функций.
В большинстве случаев при ретинопатии недоношенных наблюдается последовательное, постадийное развитие изменений, однако возможен молниеносный вариант («плюс»-болезнь), характеризующийся злокачественным, быстрым течением.
Продолжительность активной стадии ретинопатии недоношенных составляет 3-6 месяцев. Если в течение этого времени не произошло спонтанного регресса изменений, наступает фаза рубцевания с развитием остаточных явлений. В этой стадии у ребенка могут развиваться микрофтальм, близорукость, косоглазие и амблиопия, поздняя отслойка сетчатки, фиброз стекловидного тела, осложненная катаракта, вторичная глаукома, субатрофия глазного яблока.
Объективные офтальмологические данные являются единственными проявлениями ретинопатии недоношенных, особенно в ее активной фазе, поэтому одновременно могут расцениваться как симптомы заболевания.
Диагностика ретинопатии недоношенных
Для выявления ретинопатии обследованию детского офтальмолога подлежат все недоношенные через 3-4 недели после рождения. В более раннем возрасте признаки ретинопатии недоношенных еще не проявляются, однако при офтальмологическом осмотре может быть выявлена другая врожденная патология глаза: глаукома, катаракта, увеит, ретинобластома.
Дальнейшая тактика предполагает динамическое наблюдение недоношенного ребенка офтальмологом каждые 2 недели (при незавершенной васкуляризации сетчатки) либо еженедельно (при первых признаках ретинопатии), либо 1 раз в 2-3 дня (при «плюс»-болезни). Осмотры недоношенных детей проводятся в присутствии неонатолога и анестезиолога-реаниматолога.
Основным методом выявления ретинопатии недоношенных служит непрямая офтальмоскопия, осуществляемая после предварительного расширения зрачка (мидриаза). С помощью УЗИ глаза дополнительно выявляются экстраретинальные признаки ретинопатии недоношенных в III-IV стадиях. С целью дифференциальной диагностики ретинопатии недоношенных и патологии ЗН (аномалий развития или атрофии зрительного нерва) выполняется исследование зрительных ВП, электроретинография ребенку. Для исключения ретинобластомы информативны УЗИ и диафаноскопия.
Для оценки степени отслойки сетчатки предлагается использовать оптическую когерентную томографию.
Лечение ретинопатии недоношенных
В I-II стадии ретинопатии недоношенных лечение не показано. В III стадии с целью предупреждения прогрессирования ретинопатии недоношенных до терминальных стадий проводится профилактическая лазеркоагуляция либо криокоагуляция аваскулярной зоны сетчатки (не позднее 72 часов от момента выявления экстраретинальной пролиферации).
Эффективность профилактического коагуляционного лечения при ретинопатии недоношенных составляет 60-98%. Среди местных осложнений хирургических процедур встречаются ожоги глаз, гифема, преретинальные мембраны, иридоциклиты, окклюзия центральной артерии сетчатки. Общесоматические осложнения могут включать апноэ, цианоз, брадикардию или тахикардию.
Оценка результативности коагуляционного лечения ретинопатии недоношенных проводится спустя 10-14 дней. При стабилизации или регрессе процесса лечение расценивается как эффективное; в случае продолжающейся эктраретинальной пролиферации возможно повторение крио- или лазеркоагуляции.
В регрессивном и послеоперационном периоде назначаются инстилляции лекарственных препаратов (дизинфицирующих, антиоксидантных, противовоспалительных), физиотерапевтическое воздействие (электрофорез, магнитостимуляция, электроокулостимуляция).
В случае дальнейшего прогрессирования ретинопатии недоношенных до IV-V стадий возникает необходимость проведения витрэктомии (ленсвитрэктомии) или циркулярного пломбирования склеры (экстрасклерального пломбирования).
Прогноз и профилактика ретинопатии недоношенных
У большинства детей ретинопатия недоношенных не прогрессирует дальше I-II стадии, изменения сетчатки подвергаются обратному развитию; при этом сохраняется достаточно высокая острота зрения. Тем не менее, у половины из них к 6-10 годам выявляются аномалии рефракции (близорукость, дальнозоркость, астигматизм), глазодвигательные нарушения (косоглазие, нистагм). При прогрессировании ретинопатии недоношенных до IV-V стадии или молниеносной форме заболевания прогноз на сохранение зрительной функции неблагоприятный.
Профилактика ретинопатии недоношенных - это, прежде всего, профилактика преждевременных родов; проведение терапии, направленной на пролонгирование беременности; правильное выхаживание недоношенных, их динамическое наблюдение детским офтальмологом. Дети, перенесшие ретинопатию недоношенных, в старшем возрасте должны проходить регулярное офтальмологическое обследование, включающее визометрию, рефрактометрию, электрофизиологические исследования, компьютерную периметрию и др.
Ретинопатия
Ретинопатия - поражение ретинальных сосудов, приводящее к нарушению кровоснабжения сетчатки, ее дистрофии, атрофии зрительного нерва и слепоте. Ретинопатия протекает безболезненно: при этом отмечается появление перед глазами плавающих пятен (скотом) и пелены, прогрессирующее снижение зрения. Диагностика ретинопатии требует проведения консультаций специалистов (офтальмолога, невролога, кардиолога, эндокринолога), исследования остроты и полей зрения, выполнения офтальмоскопии, биомикроскопии, флуоресцентной ангиографии глазного дна, электрофизиологических исследований, УЗИ глаза. При ретинопатии необходимо достижение компенсации сопутствующих заболеваний, назначение вазодилататоров, витаминов, антикоагулянтов, проведение гипербарической оксигенации, лазеркоагуляции сетчатки.
Понятием «ретинопатии» в офтальмологии обозначаются различные по происхождению патологические изменения сетчатки, не связанные с воспалением (ретинопатии первичные), а также поражения сетчатки, развивающиеся вследствие других заболеваний (ретинопатии вторичные). Среди первичных ретинопатий выделяют центральную серозную, острую заднюю многофокусную и наружную экссудативную ретинопатию. К вторичным ретинопатиям относят диабетическую, гипертоническую, травматическую, а также ретинопатию при заболеваниях крови. В отдельную форму, которая изучается не только офтальмологией, но и педиатрией, выделяется ретинопатия недоношенных.
Первичные ретинопатии
Центральная серозная ретинопатия
Этиология первичных ретинопатий остается неизвестной, поэтому их относят к идиопатическим. Центральная серозная ретинопатия (центральный серозный ретинит, идиопатическая отслойка желтого пятна) чаще выявляется у мужчин 20-40 лет, не имеющих соматических заболеваний. В анамнезе пациенты указывают на перенесенные эмоциональные стрессы, частые головные боли по типу мигрени. При центральной серозной ретинопатии поражение сетчатки обычно одностороннее.
Симптомы центральной серозной ретинопатии включают микропсию (уменьшение размеров видимых предметов), появление скотом, снижение остроты и сужение полей зрения. Важным дифференциально-диагностическим признаком является улучшение зрения при использовании слабо положительных линз.
Патоморфологическая картина при центральной серозной ретинопатии характеризуется серозной отслойкой пигментного эпителия в макулярной области, что определяется в процессе офтальмоскопии как ограниченное овальное или круглое выбухание более темного цвета, чем окружающие ткани сетчатки. Типично отсутствие фовеального рефлекса (световой полоски вокруг центральной ямки сетчатки), наличие желтоватых или сероватых преципитатов.
В лечении центральной серозной ретинопатии используется лазерная коагуляция сетчатки. Проводится терапия, направленная на укрепление сосудистой стенки, улучшение микроциркуляции, уменьшение отека сетчатки; назначается оксигенобаротерапия. В 80% случаев, при своевременной активной терапии серозной ретинопатии удается остановить отслойку сетчатки и восстановить зрение до исходного уровня.
Острая задняя многофокусная пигментная эпителиопатия
Данная форма ретинопатии может быть одно- или двусторонней. При острой задней многофокусной пигментной эпителиопатии образуются множественные плоские субретинальные очаги серовато-белого цвета, при обратном развитии которых формируются участки депигментации. При осмотре глазного дна определяются периваскулярный отек периферических сосудов сетчатки, извитость и расширение вен, отек ДЗН.
У значительной части больных происходит помутнение стекловидного тела, развивается эписклерит и иридоциклит. Рано нарушается центральное зрение, в поле зрения появляются центральные или парацентральные скотомы.
Лечение задней многофокусной пигментной эпителиопатии проводится консервативно; включает назначение витаминотерапии, сосудорасширяющих препаратов (винпоцетина, пентоксифиллина и др.), ангиопротекторов (солкосерила), ретробульбарных инъекций кортикостероидов, гипербарической оксигенации. Прогноз при данной форме первичной ретинопатии, как правило, благоприятный.
Наружная экссудативная ретинопатия
Развитие наружной экссудативной ретинопатии (болезни Коутса, наружного экссудативного ретинита) преимущественно отмечается у молодых мужчин. Поражение сетчатки чаще одностороннее. При данной форме ретинопатии под сосудами сетчатки скапливается экссудат, геморрагии, кристаллы холестерина. Изменения, как правило, локализуются на периферии глазного дна; поражение макулярной зоны происходит редко. Нередко при ангиографии сетчатки выявляются множественные микроаневризмы, артериовенозные шунты.
Течение наружной экссудативной ретинопатии медленное, прогрессирующее. Лечение проводится путем лазеркоагуляции сетчатки и гипербарической оксигенации. Прогноз отягощается отслойкой сетчатки, требующей неотложного вмешательства, развитием иридоциклита и глаукомы.
Вторичные ретинопатии
Гипертоническая ретинопатия
Патогенетически гипертоническая ретинопатия связана с артериальной гипертензией, почечной недостаточностью, токсикозом беременных. При этой форме ретинопатии отмечается спазм артериол глазного дна с последующим эластофиброзом или гиалинозом их стенок. Тяжесть поражения определяется степенью гипертензии и длительностью течения гипертонической болезни.
В развитии гипертонической ретинопатии выделяют 4 стадии. Стадия гипертонической ангиопатии сетчатки характеризуется обратимыми функциональными изменениями, затрагивающими артериолы и венулы сетчатки.
В стадии гипертонического ангиосклероза поражение ретинальных сосудов носит органический характер и связано со склеротическим уплотнением сосудистых стенок, снижением их прозрачности.
Стадия гипертонической ретинопатии характеризуется наличием очаговых изменений в ткани сетчатки (геморрагий, плазморрагий, отложений липидов, белкового экссудата, зон ишемического инфаркта), частичного гемофтальма. У пациентов с гипертонической ретинопатией отмечается снижение остроты зрения, появляются скотомы (плавающие пятна) перед глазами. Обычно на фоне антигипертензивной терапии данные изменения регрессируют, а симптомы исчезают.
В стадии гипертонической нейроретинопатии к ангиопатии, ангиосклерозу и собственно ретинопатии, присоединяются явления отека ДЗН, экссудации, очаги отслойки сетчатки. Данные изменения более характерны для злокачественной гипертонии и гипертензии почечного генеза. Стадия гипертонической нейроретинопатии может закончиться атрофией зрительного нерва и необратимой потерей зрения.
Диагностика гипертонической ретинопатии включает консультацию офтальмолога и кардиолога, проведение офтальмоскопии и флюоресцентной ангиографии. Офтальмоскопическая картина характеризуется изменением калибра сосудов сетчатки, их частичной или тотальной облитерацией, симптомом Салюса — Гунна (смещением вены в глубокие ретинальные слои вследствие давления на нее напряженной и уплотненной артерии в зоне их перекреста), субретинальной экссудацией и др.
При гипертонической ретинопатии проводится коррекция артериальной гипертония, назначаются антикоагулянты, витамины, проводится оксигенобаротерапия и лазерная коагуляция сетчатки. Осложнениями гипертонической ретинопатии являются рецидивирующий гемофтальм и тромбозы вен сетчатки. Прогноз гипертонической ретинопатии серьезный: не исключается значительное снижение зрения и даже развитие слепоты. Ретинопатия отягощает течение основной патологии и беременности, поэтому может стать медицинским основанием для искусственного прерывания беременности.
Атеросклеротическая ретинопатия
Причиной развития атеросклеротической ретинопатии служит системный атеросклероз. Изменения, происходящие в сетчатке в стадиях ангиопатии и ангиосклероза, аналогичны таковым при гипертонической ретинопатии; в стадии нейроретинопатии появляются мелкие капиллярные геморрагии, отложения кристаллического экссудата по ходу вен, побледнение ДЗН.
Основными методами офтальмологической диагностики атеросклеротической ретинопатии служит прямая и непрямая офтальмоскопия, ангиография сосудов сетчатки. Специальное лечение атеросклеротической ретинопатии не проводится. Наибольшее значение имеет терапия основного заболевания - назначение дезагрегантов, антисклеротических, сосудорасширяющих препаратов, ангиопротекторов, мочегонных средств. При развитии нейроретинопатии показаны курсы электрофореза с протеолитическими ферментами. Осложнениями атеросклеротической ретинопатии часто становятся окклюзия артерий сетчатки, атрофия зрительного нерва.
Диабетическая ретинопатия
Патогенез диабетической ретинопатии обусловлен наличием сахарного диабета 1 или 2 типа. Основными факторами риска развития ретинопатии являются длительность течения диабета, выраженная гипергликемия, нефропатия, артериальная гипертензия, ожирение, гиперлипидемия, анемия. Диабетическая ретинопатия является наиболее частыми и серьезным осложнением диабета и служит главной причиной слабовидения и слепоты.
В развитии данной формы заболевания выделяют стадии диабетической ангиопатии, диабетической ретинопатии и пролиферирующей диабетической ретинопатии. Первые две стадии (ангиопатии и простой ретинопатии) протекают с теми же изменениями, что и аналогичные стадии гипертонической и атеросклеротической ретинопатии. В ранней стадии пролиферирующей диабетической ретинопатии развивается неоваскуляризация сетчатки, в поздней стадии происходит врастание вновь образованных сосудов и рецидивирующие кровоизлияния в стекловидное тело, разрастание глиальной ткани. Натяжение волокон и деформация стекловидного тела обусловливают развитие тракционной отслойки сетчатки, которая и является причиной неизлечимой слепоты при диабетической ретинопатии.
В начальных стадиях диабетическая ретинопатия проявляется устойчивым снижением остроты зрения, появлением перед глазами пелены и плавающих пятен, которые периодически исчезают. Затруднено чтение и выполнение мелкой работы. В поздней пролиферирующей стадии наступает полная потеря зрения.
Проведение офтальмоскопии под мидриазом позволяет детально осмотреть глазное дно и выявить характерные для диабетической ретинопатии изменения. Функциональное состояние сетчатки периферических зон исследуется с помощью периметрии. С помощью УЗИ глаза определяются участки уплотнений, кровоизлияний, рубцов в толще глазного яблока. Электроретинография проводится с целью определения электрического потенциала и оценки жизнеспособности сетчатки. Для уточнения состояния сетчатки применяется лазерная сканирующая томография и ретинальная ангиография.
Дополнительные сведения в комплексе офтальмологического обследования пациентов с диабетической ретинопатией получают с помощью определения остроты зрения, биомикроскопии, диафаноскопии глаза, определения критической частоты слияния мельканий (КЧСМ) и т. д.
Лечение диабетической ретинопатии должно проходить под контролем офтальмолога и эндокринолога (диабетолога). Необходим тщательный контроль уровня глюкозы в крови, своевременный прием противодиабетических препаратов, витаминов, антиагрегантов, ангиопротекторов, антиоксидантов, средств, улучшающих микроциркуляцию. При отслоении сетчатки применяют лазеркоагуляцию. В случае выраженных изменений в стекловидном теле и образовании рубцов показано проведение витрэктомии, витреоретинальной операции.
Осложнениями диабетической ретинопатии служат катаракта, гемофтальм, помутнение и рубцовые изменения стекловидного тела, отслойка сетчатки, слепота.
Ретинопатия при заболеваниях крови
Ретинопатии могут развиваться при различной патологии системы крови - анемиях, полицитемии, лейкозах, миеломной болезни, макроглобулинемии Вальденстрема и др.
Каждая из форм характеризуется специфической офтальмоскопической картиной. Так, при ретинопатии, обусловленной полицитемией, вены сетчатки приобретают темно-красный цвет, а глазное дно - цианотичный оттенок. Нередко развиваются тромбоз вен сетчатки и отек ДЗН.
При анемиях глазное дно, напротив, бледное, сосуды сетчатки расширены, окраска и калибр артерий и вен одинаковы. Ретинопатия при анемиях может сопровождаться субретинальными и экстраретинальными кровоизлияниями (гемофтальмом), экссудативной отслойкой сетчатки.
При лейкозах со стороны глазного дна наблюдается извитость вен, диффузный отек сетчатки и ДЗН, кровоизлияния, скопление зон экссудата.
При миеломной болезни и макроглобулинемии Вальденстрема в результате диспротеинемии, парапротеинемии, сгущения крови расширяются ретинальные вены и артерии, развиваются микроаневризмы, тромботические окклюзии вен, геморрагии в сетчатку.
Лечение ретинопатий, связанных с патологией системы крови, требует терапии основного заболевания, проведения лазеркоагуляции сетчатки. В отношении зрительной функции прогноз серьезный.
Травматическая ретинопатия
Развитие травматической ретинопатии связано с внезапным и резким сдавлением грудной клетки, при котором происходит спазм артериол, наступает гипоксия сетчатки с выходом в нее транссудата. В ближайшем периоде после травмы развиваются кровоизлияния и органические изменения сетчатки. Травматическая ретинопатия может привести к атрофии зрительного нерва.
Последствиями контузии глазного яблока служат изменения, получившие название Берлиновское помутнение сетчатки. Данная форма травматической ретинопатии связана с субхориоидальным кровоизлиянием и отеком глубоких ретинальных слоев, выходом транссудата в пространство между сетчаткой и сосудистой оболочкой.
Для лечения травматической ретинопатии назначается витаминотерапии, проводится борьба с тканевой гипоксией, гипербарическая оксигенация.
Перечисленные выше формы ретинопатии, преимущественно встречаются у взрослых. Особую форму заболевания представляет ретинопатия недоношенных, связанная с недоразвитием сетчатки у детей, родившихся от преждевременных родов. Для завершения формирования и созревания всех структур глаза недоношенные дети нуждаются в зрительном покое и бескислородном местном тканевом дыхании (гликолизе). С другой стороны, для выхаживания недоношенных и стимуляции метаболических процессов в жизненно важных органах требуется дополнительная оксигенация, что приводит к угнетению гликолиза в сетчатой и сосудистой оболочках глаза.
Наибольшему риску развития ретинопатии недоношенных подвержены дети, рожденные на сроке гестации менее 31 недели, с массой при рождении менее 1500 гр, нестабильным общим состоянием, получающие длительную кислородотерапию, перенесшие переливание крови.
Новорожденные группы риска по развитию ретинопатии обследуются офтальмологом спустя 3-4 недели после рождения. Офтальмологическое обследование повторяют каждые 2 недели до завершения формирования сетчатки. К поздним осложнениям ретинопатии недоношенных относят близорукость, косоглазие, амблиопию, глаукому, отслойку сетчатки, слабовидение.
В начальных стадиях ретинопатии недоношенных может произойти самопроизвольное излечение, поэтому применяется наблюдательная тактика. В остальных случаях показано проведение лазерной коагуляции или криоретинопексии, а при неэффективности - склеропломбировки, витрэктомии.
Профилактика
С целью предупреждения развития ретинопатии необходимо диспансерное наблюдение офтальмологом пациентов с гипертонической болезнь, сахарным диабетом, атеросклерозом, заболеванием почек, заболеваниями крови, травмами, беременных с нефропатией и др.
Профилактика ретинопатии недоношенных требует внимательного ведения беременности у женщин группы риска по преждевременным родам, совершенствования условий выхаживания недоношенных. Дети, перенесшие ретинопатию в период новорожденности, должны обследоваться детским офтальмологом ежегодно до 18 лет.
Важную роль в профилактике ретинопатий играет согласованность действий специалистов различных профилей: офтальмологов, эндокринологов, кардиологов, неврологов, акушеров-гинекологов, педиатров, травматологов и др.
Периферическая дистрофия сетчатки
Периферическая дистрофия сетчатки - заболевание, характеризующееся истончением внутренней оболочки глаза в периферических отделах. Длительное время патология имеет бессимптомное течение. При выраженном поражении сетчатой оболочки появляются «мушки» перед глазами, нарушается функция периферического зрения. Диагностика включает в себя офтальмоскопию, периметрию, УЗИ глаза, визометрию и рефрактометрию. При начальных проявлениях дистрофии показана консервативная терапия (ангиопротекторы, антиагреганты, антигипоксанты). Выраженные дегенеративные изменения требуют хирургической тактики (лазерной коагуляции в зонах поражения сетчатки).
Периферическая дистрофия сетчатки - распространенная патология в современной офтальмологии. В промежуток времени с 1991 по 2010 год число пациентов возросло на 18,2%. В 50-55% случаев заболевание развивается у людей с аномалиями рефракции, среди них 40% - больные миопией. Вероятность дистрофических изменений при нормальной остроте зрения составляет 2-5%. Первые симптомы патологии могут возникать в любом возрасте. Нозология с одинаковой частотой встречается среди лиц мужского и женского пола, однако к решетчатой дистрофии наиболее предрасположены мужчины, что обусловлено генетическими особенностями наследования.
Причины периферической дистрофии сетчатки
Патология может развиваться у лиц с миопическим или гиперметропическим типом рефракции, реже - при отсутствии нарушений зрительных функций. Более подвержены риску больные миопией. Этиология заболевания до конца не изучена. Решетчатая дистрофия наследуется по Х-сцепленному типу. Другие основные причины дистрофии сетчатки:
- Воспалительные заболевания глаз. Локальные поражения сетчатки, вызванные продолжительным течением ретинита или хориоретинита, лежат в основе дегенеративно-дистрофических изменений периферических отделов оболочки.
- Нарушение местного кровоснабжения. Региональные изменения кровотока приводят к трофическим расстройствам и истончению внутренней оболочки глазного яблока. Предрасполагающими факторами выступают артериальная гипертензия, атеросклеротическое поражение сосудов.
- Травматические повреждения. К периферической дистрофии приводит тяжелая черепно-мозговая травма и поражение костных стенок глазницы.
- Ятрогенное влияние. Изменения внутренней оболочки развиваются после витреоретинальных операций или превышения мощности воздействия при лазерной коагуляции сетчатой оболочки.
Патогенез
Пусковой фактор развития периферической дистрофии - расстройства локальной гемодинамики. Наиболее чувствительны к недостатку кислорода периферические отделы оболочки. При длительном нарушении трофики сетчатка истончается по периферии, что часто незаметно при осмотре глазного дна. Первые проявления возникают на фоне перенесенных инфекционных заболеваний, интоксикации или диабета в стадии декомпенсации. Потенцирует прогрессирование дистрофии миопический тип рефракции. Это связано с тем, что при увеличении продольной оси глазного яблока внутренняя оболочка глаза также поддается незначительному растяжению, что приводит к еще большему истончению по периферии. Определенную роль в механизме развития заболевания отводят дегенеративным изменениям стекловидного тела, при котором возникают тракции и вторичное повреждение сетчатки.
Классификация
В зависимости от морфологической картины патологию классифицируют на решетчатый, инееподобный и кистевидный типы. Отдельные варианты дистрофических изменений по внешнему виду напоминают «след улитки» и «булыжную мостовую». С клинической точки зрения выделяют следующие формы заболевания:
- Периферическая хориоретинальная дистрофия (ПХРД). При данном варианте нозологии в патологический процесс вовлечена сетчатка и хориоидеа.
- Периферическая витреохориоретинальная дистрофия (ПВХРД). Характеризуется поражением стекловидного тела, сетчатой и сосудистой оболочки.
Классификация витреохориоретинальных дистрофий по локализации:
- Экваториальные. Это наиболее распространенная зона поражения сетчатки, т. к. область истончения расположена по окружности глаза во фронтальной плоскости.
- Параоральные. При данном типе дистрофические изменения локализируются у зубчатой линии.
- Смешанные. Форма ассоциирована с наибольшим риском разрыва из-за наличия диффузных изменений по всей поверхности сетчатой оболочки.
Симптомы периферической дистрофии сетчатки
Длительное время поражение сетчатой оболочки протекает без клинических проявлений. Для патологии характерно снижение периферического зрения, что ведет к затрудненной ориентации в пространстве. Из-за того, что поле зрения сужается по концентрическому типу, больные могут выполнять только определенные виды зрительной работы (читать, рисовать). Функция центрального зрения при условии отсутствия аномалий рефракции не страдает. В редких случаях пациенты предъявляют жалобы на появление плавающих мушек перед глазами или дефектов зрительного поля в виде скотом. Такие симптомы, как «молнии» или вспышки яркого света свидетельствуют о разрыве сетчатки и требуют немедленного вмешательства. Для периферической дистрофии характерно одностороннее течение, но при решетчатом варианте в большинстве случае поражаются оба глаза.
Осложнения
Наиболее распространенное осложнение периферической дистрофии - разрыв сетчатки. Повреждение внутренней оболочки возникает в участках наибольшего истончения при воздействии таких факторов, как вибрация, погружение под воду, интенсивные физические нагрузки. Стекловидное тело часто фиксировано к краю дистрофии, что ведет к дополнительному возникновению тракции. У пациентов с изменениями периферии сетчатой оболочки также наблюдается высокий риск отслойки сетчатки. Больные более склонны к кровоизлияниям в полость стекловидного тела, реже - в переднюю камеру глаза.
Диагностика
В силу того, что для данной патологии часто характерно бессимптомное течение, тщательное обследованное пациента играет ведущую роль в постановке диагноза. Для визуализации дистрофии по периферии сетчатки необходимо проведение следующих офтальмологических исследований:
- Офтальмоскопия. Зона поражения при решетчатой форме и дистрофии по типу «следа улитки» локализируется в верхне-наружном квадранте у экватора глаза. Из-за зон облитерации сосудов на сетчатке образуются темные и светлые пятна, напоминающие решетку, или перерванные линии, которые называют «следами улитки». Инееподобная дистрофия имеет вид желто-белых включений, расположенных над поверхностью сетчатой оболочки.
- Периметрия. Методика позволяет выявить концентрическое сужение полей зрения. При подозрении на то, что у пациента имеются начальные проявления болезни, рекомендовано применять квантитативный способ периметрии.
- Визометрия. Исследование дает возможность диагностировать нормальное центральное зрение на фоне снижения периферического. Острота зрения снижается в случае возникновения патологии на фоне миопии.
- Рефрактометрия. Методика применяется для изучения клинической рефракции с целью выявления пациентов из группы риска.
- УЗИ глаза. Позволяет визуализировать начальные проявления патологии. При мелкокистозной дистрофии определяются множественные округлые образования разного диаметра. УЗИ используют для диагностики изменений стекловидного тела, выявления спаек и тракций, оценки размеров продольной оси глаза.
Лечение периферической дистрофии сетчатки
Выбор терапевтической тактики зависит от характера течения патологии. Перед началом лечения глазное дно осматривают в условиях максимального мидриаза. Для устранения проявлений периферической дистрофии применяют:
- Консервативную терапию. Используется только при диагностике минимальных проявлений болезни. Пациентам показан пероральный прием лекарственных средств из группы антиагрегантов, ангиопротекторов и антигипоксантов. В качестве вспомогательных препаратов применяются биоактивные добавки, витамины группы С, В.
- Хирургическое вмешательство. Оперативное лечение периферической формы заболевания сводится к проведению лазерной коагуляции сосудов в зонах наибольшего истончения. Цель вмешательства - профилактика возможных разрывов. Операция проводится в амбулаторных условиях. В послеоперационном периоде необходима консервативная терапия, включающая метаболические средства, антигипоксанты и ангиопротекторы.
Прогноз и профилактика
Прогноз для жизни и в отношении зрительных функций благоприятный. Пациентам из группы риска необходимо 1-2 раза в год, а также при появлении новых симптомов патологии проходить обследование у офтальмолога. Неспецифические превентивные меры сводятся к контролю уровня глюкозы крови, артериального и внутриглазного давления. При миопической рефракции необходима коррекция остроты зрения при помощи очков или контактных линз. Выявление у больного объективных признаков дистрофии требует исключения экстремальных видов спорта, тяжелых физических нагрузок.
Ангиопатия сетчатки глаза у детей

Ангиопатия - это органическое заболевание, сопровождающееся поражением сосудов глазного дна. Оно является всегда вторичным, то есть протекающим на фоне другой патологии.
Особенно часто этой патологией страдают груднички. Без лечения ангиопатии может развиться слепота.
Причины
Выделяют такие причины, провоцирующие развитие ангиопатии у детей:
- отклонения в иннервации кровеносных сосудов, приводящие к снижению их тонуса;
- аутоиммунные патологии;
- диабет;
- черепно-мозговая травма, приводящая к нарушению кровообращения головного мозга;
- повышение или понижение артериального давления;
- системные патологии органов кроветворения;
- недостаточность сердечно-сосудистой системы;
- наследственные факторы строения крупных и мелких кровеносных сосудов;
- кислородное голодание плода на поздних сроках гестации или во время родов;
- врожденные пороки развития малыша;
- травма шейного отдела позвоночника во время родов;
- механическое повреждение глаз;
- ухудшение экологической обстановки;
- повышение значений внутричерепного давления.
Механизм развития патологии
Заболевание формируется в результате нарушения нормальной иннервации глазного дна. Оно провоцируется некоторыми системными заболеваниями, которые поражают различные сосуды.
Иммунная система грудного ребенка еще формируется. Его организм больше расположен к возникновению патологий, вызванных внешними либо внутренними причинами. Некоторые детские заболевания могут пройти бесследно, а могут вызвать неизлечимые органические дефекты. Один из них - ангиопатия.
У новорожденных ангиопатия может развиваться из-за избыточного полнокровия вен . Оно обнаруживается во время офтальмологического осмотра. Повышение внутричерепного давления тоже приводит к тому, что кровоснабжение сетчатки работает с перегрузкой.
Группа риска
В группе риска прежде всего находятся часто болеющие дети . Их организм плохо адаптируется к нестабильным внешним условиям. У детей, у которых ослаблен иммунитет, даже самое незначительное заражение может вызвать бурную ответную реакцию и отрицательно сказаться на состоянии органа зрения.
В зависимости от факторов выделяют такие разновидности ангиопатии сетчатки:
- Диабетическая . Она присуща детям, страдающим сахарным диабетом первого типа. Лечение болезни достаточно сложное из-за прогрессирования поражения сетчатки.
- Травматическая . Такая ангиопатия является следствием травм во время родов, ушибов грудной клетки, головы, живота. У детей эта форма патологии является наиболее распространенной.
- Гипертоническая . Эта форма ангиопатии встречается из-за гипертонической болезни. У детей она протекает чаще всего в злокачественной форме и вызывает стойкое нарушение кровообращения глаза. Венозные сосуды становятся более извитыми, их просвет увеличивается. Артериальные же сосуды становятся более тонкими и хрупкими. Из-за гипертонии повышается риск кровоизлияния в сетчатку.
- Гипотоническая . Ангиопатия развивается в результате стойкого понижения артериального давления. Тонус сосудов становится пониженным, их просвет расширяется.
- Юношеская, или синдром Илза . При этом заболевании вены в глазном дне воспаляются. Заболевание опасно тем, что сетчатка и стекловидное тело постепенно замещается фиброзной тканью. Это наиболее опасный вид поражения сетчатки. В старшем возрасте синдром Илза вызывает глаукому - стойкое повышение внутриглазного давление, катаракту (помутнение хрусталика). Этиология и патогенез синдрома Илза окончательно не изучены.

Симптомы
Общие признаки детской ангиопатии такие:
- малозаметные кровоизлияния в глазах;
- снижение остроты зрения, особенно вдаль;
- утрата зрения в одном или обоих глазах;
- носовое кровотечение;
- появление крови в моче;
- болевые ощущения в области нижних конечностей;
- зуд в глазах;
- появление пелены перед глазами;
- все окружающие предметы кажутся размытыми;
- возникают вспышки яркого света перед глазами.
При ангиопатиях, связанных с изменением артериального давления, у старших детей возможно появление таких симптомов:
- выраженное беспокойство;
- усталость во время просмотра телепередач или чтения книг;
- у ребенка возникает желание тереть глаза;
- появление красных пятен (они свидетельствуют о том, что мелкие сосуды лопнули);
- появление пятен на глазных яблоках;
- ребенок предъявляет жалобы на молнии, «мушки» перед глазами и прочие явления;
- кровотечение из носа.
Иногда ангиопатию можно заподозрить по особенностям поведения ребенка: он пытается сесть ближе к экрану монитора или же поместить игрушки поближе к глазам. Малыши неправильно определяют форму предметов и их цвет.
Диагностировать в первую очередь нужно заболевание, приведшее к развитию ангиопатии сетчатки. Основной метод обследования - это офтальмоскопия . При этом изучается поверхностная структура глаза с помощью офтальмоскопа.
При флюоресцентной ангиографии глазного дна в кровеносные сосуды вводится светящее рентгеноконтрастное вещество, полностью безопасное для организма.
Электроретинография - метод, позволяющий обнаружить малейшие изменения биоэлектрической активности сетчатки на фоне ухудшения ее кровопитания. Дополнительным методом обследования является периметрия - диагностическое обследование, замеряющее поле зрения пациента.
Если отсутствует причина заболевания, то могут потребоваться консультации узких специалистов.
Лечение
Эффективность терапии ангиопатии зависит от своевременности и адекватности лечебных мер, направленных на коррекцию диабета, устранение последствий травм, избавление от гипертонии и прочих патологий.
Обычно врач назначает медикаменты, положительно влияющие на местное кровообращение. В ряде случаев показаны средства для предотвращения склеивания тромбоцитов. Указанные средства запрещено использовать для лечения грудных детей. Самолечение с помощью народных средств может быть опасным для жизни.
При ангиопатии врач может назначить витаминные и минеральные комплексы. Они оказывают оздоравливающее воздействие на организм, обмен веществ в тканях глаза.
Назначают такие физиотерапевтические процедуры:
- магнитотерапию (с целью восстановления нормальной циркуляции крови);
- иглоукалывание (помогает при ангиопатии, вызванной повышенным артериальным давлением);
- облучение лучами лазера (процедура восстанавливает нормальное кровообращение, укрепляет стенки артерий и вен глазного дна);
- хромотерапию;
- волновой пневмомассаж.
Рекомендуется диета с исключением жирных, соленых, сладких блюд.
Если консервативное лечение не дает результатов, то прибегают к оперативному вмешательству.
Ангиопатия у ребенка может осложняться такими заболеваниями:
Если ангиопатию сетчатки не лечить, то может произойти кровоизлияние в сетчатку глаза. Зрение при этом быстро снижается. Оно тем быстрее падает, чем ближе к зрительному центру находится область поражения.
Прогноз

Прогнозировать течение ангиопатии можно при условии своевременного и правильно назначенного лечения. Иногда кровеносные сосуды восстанавливаются самостоятельно. Практически все патологические процессы в сетчатой оболочке обратимы.
Прогноз ухудшается при ангиопатии, развивающейся на фоне сахарного диабета.
Ангиопатию можно предотвратить . Для этого ребенок должен вести активный образ жизни. Он должен достаточно гулять, качественно питаться. Даже при отсутствии жалоб нужно посещать окулиста.
Если малыш страдает патологиями кровеносной системы, их нужно своевременно лечить. Нужно позаботиться и о безопасности малыша, избегать травм или отравлений.
Полезное видео
Больше информации можно узнать по таким ссылкам:
Глаза являются уникальным органом, требующим пристального внимания. Наличие ангиопатии еще не означает утрату зрения. Внимание родителей к своим детям - залог их здоровья.
Читайте также:
- Двигательные вызванные потенциалы: двигательное обучение
- УЗ-признаки аденокистозного рака околоушной железы
- Послеоперационный уход после хондропластики и микрофрактуринга коленного сустава
- Анализ контрастов в зрительном образе. Функции зрительной коры
- Теории возникновения заикания и посттравматическая ее форма
