Врожденная ВИЧ-инфекция на КТ, МРТ головного мозга
Добавил пользователь Дмитрий К. Обновлено: 13.01.2026
Центральный НИИ эпидемиологии Роспотребнадзора, Москва
ГКУЗ ИКБ №2, Москва
Локализация очагов при токсоплазмозе головного мозга у больных ВИЧ-инфекцией
Журнал: Терапевтический архив. 2014;86(11): 24‑28
Ермак Т.Н., Перегудова А.Б. Локализация очагов при токсоплазмозе головного мозга у больных ВИЧ-инфекцией. Терапевтический архив. 2014;86(11):24‑28.
Ermak TN, Peregudova AB. Location of foci in cerebral toxoplasmosis in HIV-infected patients. Terapevticheskii Arkhiv. 2014;86(11):24‑28. (In Russ.).
Токсоплазмоз головного мозга (ТГМ; церебральный токсоплазмоз) - основная причина поражения центральной нервной системы (ЦНС) у больных инфекцией, вызванной вирусом иммунодефицита человека (ВИЧ). ТГМ отличается высоким уровнем летальных исходов, что обычно связано с трудностями клинической диагностики. В последние годы растет число поздно выявленных больных ВИЧ-инфекцией, которые, не зная о своем заражении ВИЧ, доживают до развития тяжелых вторичных/оппортунистических поражений. Такие больные попадают в различные стационары, где они могут находиться достаточно долго без адекватного лечения, и только после установления ВИЧ-статуса их переводят в специализированные отделения. Как правило, предположить то или иное вторичное заболевание, не зная особенностей его течения при ВИЧ-инфекции, бывает трудно. Это относится к большинству вторичных поражений, в частности, к ТГМ, который является основной причиной поражения ЦНС у больных на поздних стадиях ВИЧ-инфекции. В настоящее время достаточно четко установлены критерии лабораторного подтверждения этого диагноза у больных ВИЧ-инфекцией, которые включают обнаружение высоких титров IgG к Toxoplasma gondii в сыворотке крови, ДНК токсоплазмы в цереброспинальной жидкости (ЦСЖ). Большое значение для диагностики этого процесса имеет также обнаружение очагов поражения в ЦНС при проведении магнитно-резонансной томографии (МРТ).
Материалы и методы
МРТ головного мозга проведена 115 (55,5%) пациентам в центре МРТ-диагностики ГКБ №36 Москвы на низкопольном магнитно-резонансном томографе «Образ-1» (Россия) с напряжением магнитного поля 0,12 Т. В динамике на фоне лечения это исследование проведено 74 (65%) больным.
Результаты и обсуждение
Клиническое течение болезни у этих пациентов нами достаточно полно описано ранее [1]. Добавим лишь несколько важных деталей. Известно, что у большинства больных это поражение развивается постепенно с нарастанием симптоматики в течение нескольких недель и даже месяцев. В нашем исследовании это «классическое» начало болезни имелось у 163 (78,7%) больных, а острое начало, буквально на фоне «полного здоровья» (по словам самих больных и их родственников) - у 44 (21,3%), что в 2 раза чаще, чем в единичных зарубежных наблюдениях [2]. Такие больные вначале часто попадали в отделения неврологии или реанимации с диагнозами: «острое нарушение мозгового кровообращения», «отек мозга», «опухоль мозга». При этом 30% больных до госпитализации не знали, что инфицированы ВИЧ, а примерно 50% никогда не обращались к медикам, хотя некоторые из них состояли на учете в центре СПИДа.
Клиницистам важно знать, что такой важный признак поражения ЦНС, как головная боль, имелся только у 55% больных, подъем температуры тела до высоких цифр (выше 38 °С) также регистрировали только 50% пациентов. У 93% больных отмечены низкие параметры иммунитета - число лимфоцитов CD4 у 66,2% менее 50 в 1 мкл, еще у 26,8% больных - от 50 до 200 в 1 мкл. В то же время у 14 (7%) больных число лимфоцитов CD4 превышало 200 в 1 мкл, а у 1 из них составило 720 в 1 мкл. Причина развития ТГМ у больного ВИЧ-инфекцией с нормальным количеством лимфоцитов CD4, возможно, связана с функциональной недостаточностью Т-лимфоцитов-хелперов. Известны случаи развития ТГМ и у лиц без ВИЧ-инфекции, с нормальными показателями иммунитета [3]. Следует отметить, что у 9,2% больных ТГМ протекал в виде генерализованного процесса, сочетаясь с поражением других органов (чаще сердца, печени, глаз, легких), а у 54% больных имелись и другие вторичные инфекции (ЦМВ-инфекция, кандидоз пищевода, пневмоцистная пневмония, туберкулез легких и генерализованный, бактериальная пневмония и пр.).
При проведении МРТ головного мозга у 113 (98,3%) больных при госпитализации выявлены патологические изменения. Чаще всего на томограммах выявляли полиморфные очаги повышенного МР-сигнала в режимах Т2-взвешанного и FLAR и пониженного в режиме Т1 с поражением преимущественно белого или на границе белого и серого вещества головного мозга. Вокруг очагов часто регистрировали образование перифокального отека. При использовании внутривенного контрастирования препаратами гадолиния эти очаги накапливали контрастное вещество по периферии по типу мишеней. Следует отметить, что формирование очагового поражения ЦНС является самым характерным признаком токсоплазмозного поражения, хотя у некоторых больных выявляют не очаговый, а диффузный энцефалит; считается, что у таких пациентов болезнь быстро прогрессирует до летального исхода [4]. Мы наблюдали диффузное поражение вещества головного мозга у 3 (2,7%) больных; действительно, один из них умер на ранних сроках госпитализации, но два других после успешного лечения выписаны. У 86 (76,1%) больных выявлены множественные очаги (3 и более) поражения.
Приводим клинический пример.
Больной С., 34 года, поступил с жалобами на слабость, лихорадку до субфебрильной, шаткость походки, нарушение речи. В течение 2 мес похудел на 15 кг, лихорадка до 37,5 °С, появились и нарастали «вязкость» речи, пошатывание при ходьбе. При госпитализации впервые выявлены антитела к ВИЧ. При проведении МРТ выявлены множественные очаги (в больших полушариях, полушариях и черве мозжечка, ножках мозга; рис. 1). Рисунок 1. Данные МРТ головного мозга при поступлении больного С. Множественные очаги в большом полушарии, в правом полушарии мозжечка, левой средней ножке мозжечка воспалительного характера размером от 8 до 22 мм с перифокальным отеком. Анализ ЦМЖ без патологии. В сыворотке крови выявлены IgG к T.gondii в высоком титре. Несмотря на лечение (бисептол, дексаметазон), в первые 2 нед наблюдалась отрицательная динамика - больной был вялым, заторможенным; отвечал односложно на простые вопросы. Была выражена дизартрия, быстро истощался, перестал вставать и принимать самостоятельно пищу. Развились птоз правого века, гиперкинезы в левых конечностях. В иммунном статусе число клеток CD4 28 в 1 мкл, РНК ВИЧ в крови более 3 млн копий/мл. В дальнейшем в связи с выявлением манифестной ЦМВ-инфекции к лечению добавлен цимевен и назначена антиретровирусная терапия. На протяжении 1,5 мес происходило медленное клиническое улучшение, на 52-й день госпитализации больной выписан с положительной динамикой и на МРТ головного мозга (рис. 2). Рисунок 2. МРТ головного мозга больного С. через 4 нед лечения. Отмечается уменьшение числа и размеров очагов, отсутствие зоны отека вокруг них.
У 24 (21,2%) больных выявлены единичные (1-2) очаги повышенного сигнала (рис. 3). Рисунок 3. МРТ головного мозга больного ВИЧ-инфекцией и ТГМ. Очаг в левой височно-теменной области с выраженным перифокальным отеком и сдавлением левого желудочка.
У 2 (1,7%) пациентов на МРТ головного мозга при первом исследовании патологических изменений не выявлено. Впоследствии один из них умер, и ТГМ установлен при аутопсии, а у второго пациента при повторном исследовании на фоне этиотропного лечения обнаружены кисты в веществе головного мозга (выявлены специфические IgG в сыворотке крови и ЦМЖ, а также ДНК к токсоплазме в ЦМЖ).
Очаги поражения наиболее часто располагались в обоих полушариях - у 71,7% больных. Одностороннее поражение имелось у 28,3% больных. Контуры очагов были четкими (40,7%) или нечеткими (59,3%). Отек вокруг очагов наблюдался у 69% больных.
Наиболее часто очаги локализовались в лобных и теменных долях (70,8 и 61,1% соответственно). В таблице представлена локализация очагов на картине МРТ при госпитализации пациентов. У 44,2% больных кроме белого вещества были поражены и подкорковые ядра. Мозолистое тело страдало редко, очаги выявлены в нем лишь у 8 (7,1%) больных. Перивентрикулярно очаги располагались почти у ¼ больных.
Единичные очаги чаще располагались в лобных (у 6 больных), теменных (у 5), затылочных (у 6) долях и таламусе (у 5).
При попытке обнаружения связи между количеством очагов на МРТ и давностью процесса статистически значимой зависимости этих переменных друг от друга мы не получили.
При остром начале болезни очаги поражения располагались в одном из полушарий в 45% случаев, тогда как при постепенном начале - только в 24,7%. Таким образом, поражение обоих полушарий чаще наблюдалось при постепенном начале (75,3%), а при остром - в 55%. Кроме того, при остром начале болезни в 30% случаев определяли единичный очаг поражения, тогда как при постепенном начале единичные очаги встречались у 19% больных. Но эти различия также оказались статистически незначимыми.
Одинаково часто при остром и постепенном начале поражаются лобная, теменная, затылочная доли, мост, мозолистое тело и ножки мозга.
Несколько реже при остром начале болезни были поражены таламус (25 и 34,4%), височные доли (30 и 41,9%) и мозжечок (15 и 23,7%). При остром начале болезни значительно реже поражались ядра (30%) и перивентрикулярные зоны (10%) в отличие от таковых при постепенном начале - 47,3 и 28% соответственно. Однако отек вокруг очагов чаще имелся при остром начале заболевания (80%), чем при постепенном (66,7%). Это обусловило более тяжелое течение болезни и большую частоту летальных исходов - 47,7% при остром начале болезни в отличие от 30,1% при постепенном.
На фоне лечения (через 4-6 нед) МРТ головного мозга проведена 74 больным. У 64 (86,5%) больных наблюдали значительную положительную динамику: уменьшение количества и размеров очагов, зоны отека вокруг них, а у 29 больных очаги воспаления преобразовывались в кисты как благоприятный исход некротического энцефалита. Полное рассасывание очагов произошло только у 7% пациентов. У 4% больных улучшения при проведении контрольного исследования не выявлено. У 1 из них в течение 1-го месяца после выписки развился ранний рецидив, и пациент умер. У 2 других больных клинически отмечена положительная динамика в виде уменьшения неврологической симптоматики. У 2 пациентов на контрольной МРТ отмечена отрицательная динамика. Одному из них проведено нейрохирургическое вмешательство в связи с подозрением на опухоль мозга, и впоследствии пациент умер в отсутствие этиотропного лечения; второй пациент также умер, несмотря на лечение.
Картина МРТ у ряда больных, которые были обследованы еще через несколько месяцев после выписки, отражала глиозные и рубцово-атрофические изменения в веществе головного мозга, что свидетельствует о положительной динамике на фоне лечения.
Заключение
Подводя итог этому исследованию, следует подчеркнуть, что визуализация патологического процесса при ТГМ, несомненно, имеет большое диагностическое значение, особенно при проведении дифференциального диагноза с другими поражениями ЦНС или невозможности проведения адекватных лабораторных исследований (или при их неопределенных результатах). Важно помнить, что для этого процесса характерно одновременное выявление нескольких очагов поражения. Однако при остром начале болезни чаще наблюдаются единичные очаги и односторонний процесс, при этом чаще развивается и отек вокруг очагов, что обусловливает более тяжелое течение болезни и большую частоту летальных исходов. Проведение исследования в динамике важно для контроля лечения и исходов. Большое значение МРТ имеет в отделениях реанимации, неврологии или нейрохирургии, куда особенно часто госпитализируют больных с ТГМ (особенно при остром начале болезни), который «скрывается» под маской острого нарушения мозгового кровообращения или опухоли мозга.
МРТ диагностика при СПИДе
У 40% пациентов со СПИДом имеются неврологические проявления. Задачей МРТ головного мозга является уточнение тяжести поражения и выявление оппортунистической инфекции.
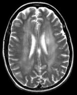
МРТ проявлениями первичного симптомокомплекса является диффузная атрофия с расширением желудочков, что приводит к прогрессирующей деменции и смерти.

МРТ головного мозга. Аксиальная Т2-взвешенная МРТ. Расширение борозд и диффузные очаги.
Прогрессирование атрофии при прослеживании МРТ головного мозга в динамике происходит очень быстро.
МРТ головного мозга. Т2-взвешенные аксиальные МРТ типа FLAIR. Динамика очагов за полгода.
При СПИДе на фоне иммунодефицита появляются также объемные образования:
- опухоли - лимфома, саркома Капоши, глиомы, метастазы;
- инфекции - токсоплазмоз, туберкулез, криптококкоз, кандидиаз и бактериальные абсцессы
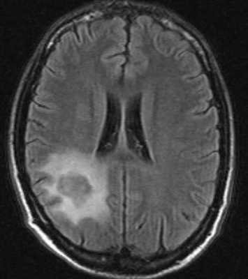
Инфекции быстро прогрессируют, особенно токсоплазмоз. При МРТ виден выраженный отек вокруг очага. Контрастируется при МРТ токсоплазмоз обычно по кольцевому типу.
МРТ головного мозга. Т2-взвешенная аксиальная МРТ. Токсоплазмоз.
Лимфома также контрастируется на МРТ по кольцевому типу, но гипоинтенсивна на Т2-взвешенных МРТ головного мозга. По локализации лимфома чаще располагается перивентрикулярно, в то время как очаги токсоплазмоза в области базальных ганглиев и сопровождаются значительным отеком.

МРТ головного мозга. Т2-взвешенная аксиальная МРТ. Лимфома.
При нейроцистицеркозе на МРТ головного мозга наблюдается гидроцефалия и “разбросанные” мелкие очаги, часто с кальцификацией.

МРТ головного мозга. Т1-взвешенная аксиальная МРТ. Нейроцистицеркоз.
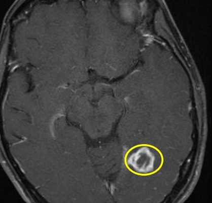
Туберкулемы имеют вид “мишеней” с кальцификацией в центре. При МРТ с контрастированием хорошо усиливаются по периферии.

МРТ головного мозга с контрастированием. Туберкулема.
МРТ в СПб при СПИДе выполняется редко, так как развернутая форма заболевания концентрируется только в специализированных центрах. Мы сталкивались с единичными случаями поражения мозга при СПИДе
НейроСПИД
Неврологические проявления ВИЧ-инфекции (нейроСПИД) — обобщенное клиническое понятие, включающее многообразные первичные и вторичные синдромы и заболевания нервной системы, обусловленные ВИЧ. Проявлениями нейроСПИДа могут выступать менингоэнцефалит, полиневропатия, энцефало- и миелопатия, оппортунистические нейроинфекции, опухоли ЦНС, церебральные сосудистые нарушения и т. п. Диагностируется нейроСПИД при сопоставлении результатов анализов на ВИЧ, данных неврологического осмотра, нейропсихологического тестирования, ликворологических и томографических исследований, ЭФИ нервно-мышечного аппарата. Лечение нейроСПИДа осуществляется в рамках терапии ВИЧ-инфекции с назначением специфической и симптоматической терапии имеющихся неврологических проявлений.
Общие сведения
Общеизвестно, что при развитии СПИДа патологические изменения в той или иной степени затрагивают практически все жизненно важные органы и системы. В связи с этим СПИД признан мультидисциплинарной патологией. Однако основной «удар» приходится на иммунную и нервную системы. Клинические неврологические проявления ВИЧ-инфекции наблюдаются у 30-40% пациентов со СПИДом, а на аутопсии те или иные изменения в нервной системе выявляются в 90-100% случаев. По различным данным, от 20% до 30% случаев СПИДа манифестируют различными неврологическими симптомами. При этом нейроСПИД имеет весьма вариабельные клинические проявления, что существенно затрудняет его диагностику специалистами в области неврологии, особенно в случаях, когда неврологические расстройства являются первым проявлением заболевания. Если нейроСПИД возникает при установленном диагнозе ВИЧ-инфекции, его диагностика зачастую осложняется тем, что пациенты предпочитают скрывать свой ВИЧ-статус.
Причины возникновения нейроСПИДа
Несмотря на общепризнанность нейротропности ВИЧ, конкретные патогенетические механизмы его воздействия на нервную систему (НС) до конца не ясны. Предполагается, что нейроСПИД обусловлен как прямым, так опосредованным воздействием вируса на НС. Прямое влияние связывают с тропностью ВИЧ к CD4-рецепторам, которые имеются не только в мембране лимфоцитов, но и в глиальных клетках мозговой ткани.
Проникновение вируса через гематоэнцефалический барьер (ГЭБ) объясняют повышением проницаемости последнего на фоне вирусной инфекции и наличием в клетках эндотелия ГЭБ тех же CD4-рецепторов. Согласно другой гипотезе, вирус может переноситься в мозговые ткани вместе с макрофагами, которые беспрепятственно проходят ГЭБ. Известно, что при нейроСПИДе поражаются только глиальные клетки; нейроны, не имеющие CD4-рецепторов, остаются интактны. Однако, поскольку клетки глии выполняют роль «обслуживания» нейронов, при их поражении нормальное функционирование последних также нарушается.
Опосредованное воздействие ВИЧ реализуется несколькими путями. Во-первых, это развитие оппортунистических инфекций и опухолевых процессов за счет резкого снижения иммунного статуса организма. Во-вторых, предполагают наличие аутоиммунных механизмов (например, в развитии асептического менингита и полиневропатии при нейроСПИДе), связанных с синтезом антител к нервным клеткам, имеющим встроенный ВИЧ-антиген. Существует также гипотеза о нейротоксическом действии продуцируемых ВИЧ химических веществ. Кроме того, развитие нейроСПИДа возможно вследствие повреждения эндотелия мозговых сосудов провоспалительными цитокинами, приводящего к расстройству микроциркуляции и гипоксии, обуславливающей гибель нейронов.
Следует отметить, что отсутствие полной ясности в этиопатогенезе ВИЧ-инфекции и нейроСПИДа в частности, наличие существенного количества ложноположительных реакций на ВИЧ при его лабораторной диагностике, а также сложности с выделением вируса привели к появлению среди медиков и специалистов в области иммунологии лиц, считающих неправомочным само понятие ВИЧ-инфекция. При этом сторонники ВИЧ-отрицания признают существование синдрома иммунодефицита как такового, но опасаются, что с введением понятий ВИЧ-инфекция и нейроСПИД под эти диагнозы массово попадают пациенты с различными другими заболеваниями.
Классификация
В соответствии с прямым или опосредованным воздействием ВИЧ на нервную систему принято различать первичный и вторичный нейроСПИД. К базовым клиническим формам, которые включает первичный нейроСПИД, относят: острый асептический менингит, ВИЧ-энцефалопатию (СПИД-деменцию), ВИЧ-миелопатию (вакуолярную миелопатию), васкулярный нейроСПИД, поражения периферической НС (дистальная симметричная невропатия, синдром Гийена-Барре, множественная мононевропатия, хроническая воспалительная демиелинизирующая полинейропатия, синдром конского хвоста), поражение мышц (миопатии).
Вторичный нейроСПИД включает оппортунистические нейроинфекции и опухоли. Первые отличаются большим многообразием: церебральный токсоплазмоз, криптококковый менингит, герпесвирусная нейроинфекция (опоясывающий герпес, цитомегаловирусный и герпесвирусный энцефалиты, цитомегаловирусная полирадикулопатия, герпесвирусный миелит и ганглионевриты), прогрессирующая мультифокальная лейкоэнцефалопатия, туберкулезные поражения НС, нейросифилис. Наиболее часто встречающимися опухолями центральной НС при нейроСПИДе являются: первичная лимфома головного мозга, лимфома Беркитта, глионейробластома, диссеминированная саркома Капоши.
Симптомы нейроСПИДа
Первичный нейроСПИД зачастую имеет бессимптомное субклиническое течение. В 10-20% случаев неврологические симптомы дебютируют в первые 2-6 недель от заражения ВИЧ (период сероконверсии). В этот период на фоне фебрилитета, лимфаденопатии и кожных высыпаний у части пациентов манифестируют признаки асептического менингита и острой радикулоневропатии. Другие клинические формы первичного нейроСПИДа (ВИЧ-энцефалопатия, ВИЧ-миелопатия) возникают преимущественно в развернутой стадии ВИЧ-инфекции на фоне системных проявлений и выраженной иммуносупрессии. Вторичный нейроСПИД развивается в фазе симптомной хронической ВИЧ-инфекции (стадия вторичных заболеваний), которая наступает в период от 2 до 15 лет с момента первых клинических проявлений. Отдельные неврологические симптомы (головная боль, полиневропатия, нарушения сна, астения, депрессия, миопатия) могут быть вызваны токсичной антиретровирусной терапией.
Острая радикулоневропатия связана с острой воспалительной демиелинизацией корешков спинномозговых и черепных нервов. Характерны вялый тетрапарез, полиневритический тип нарушений чувствительности, корешковый синдром, поражение лицевого (реже глазодвигательного) нервов, бульбарные расстройства. Фаза нарастания симптомов может длиться от нескольких дней до месяца, затем после 2-4 недель стабильного состояния начинается регресс симптоматики. У 70% пациентов с этой формой нейроСПИДа отмечается полное восстановление, у 15% - выраженные остаточные парезы.
ВИЧ-энцефалопатия является самым частым проявлением первичного нейроСПИДа. Включает когнитивные, поведенческие и двигательные расстройства. Последние бывают представлены мозжечковой атаксией, тремором, пирамидной недостаточностью, вторичным паркинсонизмом, гиперкинезами. Отдельные симптомы и умеренный когнитивный дефицит отмечаются примерно у 75% пациентов со СПИДом. У 3-5% больных энцефалопатия выступает начальным синдромом нейроСПИДа. Морфологическим субстратом является мультифокальный гигантоклеточный энцефалит с поражением преимущественно лобных и височных долей, подкорковых структур, моста и мозжечка.
ВИЧ-миелопатия проявляется нижним спастическим парапарезом и тазовыми расстройствами. Отличается медленным течением и вариативностью тяжести клинических симптомов от легкого пареза до грубой плегии с недержанием мочи и кала. Это проявление нейроСПИДа отмечается у 20% пациентов с ВИЧ. Морфологически выявляется вакуолизация белого спинномозгового вещества, наиболее выраженная в грудных сегментах. Однако на МРТ позвоночника изменения зачастую не фиксируются.
Васкулярный нейроСПИД обусловлен васкулитом церебральных сосудов и зачастую приводит к развитию ишемического инсульта, отличительной чертой которого является волнообразное течение и частая трансформация в геморрагический инсульт. Характерны предшествующие инсульту ТИА, а также повторные инсульты, вследствие мультифокального поражения сосудов.
Диагностика нейроСПИДа
Учитывая частую встречаемость нейроСПИДа, консультация невролога рекомендована всем больным ВИЧ-инфекцией. В связи с тем, что первыми симптомами ВИЧ-энцефалопатии зачастую выступают когнитивные нарушения, исследование неврологического статуса целесообразно дополнять нейропсихологическим обследованием. Среди практических неврологов должна существовать определенная настороженность в отношении впервые обратившихся пациентов из групп риска, поскольку неврологические проявления у них могут являться симптомами первичного нейроСПИДа. В таких случаях следует обращать внимание на наличие у больного признаков иммуносупрессии и системных симптомов (снижения массы тела, лимфаденопатии, выпадения волос и т. п.).
Наряду с обязательными в диагностике ВИЧ-инфекции исследованиями крови путем ИФА, иммуноблоттинга и определения вирусной нагрузки при помощи ПЦР, в диагностике нейроСПИДа широко используются электрофизиологические, томографические и ликворологические методы. При необходимости проводятся консультации психиатра, нейрохирурга и др. специалистов. Диагностика и анализ результатов лечения поражений периферической НС при нейроСПИДе осуществляются преимущественно с помощью ЭФИ нервно-мышечной системы (ЭМГ, ЭНМГ, исследование ВП).
С целью диагностики поражений центральной НС при нейроСПИДе, для анализа их течения и эффективности проводимой терапии широко используются методы компьютерной томографии и магнитно-резонансной томографии. КТ головного мозга особенно информативна в диагностике вторичных объемных процессов церебральной локализации. МРТ головного мозга более эффективно визуализирует диффузные и мелкоочаговые изменения (участки атрофии и демиелинизации), расположенные в глубинных отделах мозга патологические очаги. Однако результаты аутопсии показывают, что современные методы нейровизуализации способны отображать не все морфологические изменения, происходящие в мозговой ткани при нейроСПИДе.
Немаловажное значение в диагностике нейроСПИДа имеет исследование цереброспинальной жидкости, полученной при люмбальной пункции. У серопозитивных пациентов даже при отсутствии неврологической симптоматики в ликворе зачастую наблюдается умеренный лимфоцитоз, повышение уровня белка и снижение концентрации глюкозы. При наличии неврологических проявлении эти изменения, наряду со снижением уровня CD4-лимфоцитов, говорят о возможном развитии нейроСПИДа. Иммунологические исследования ликвора, как правило, выявляют повышенное содержание IgG.
Лечение нейроСПИДа
Основу терапии и профилактики развития нейроСПИДа составляет лечение ВИЧ-инфекции. Эффективная антиретровирусная терапия (АРТ) фармпрепаратами, способными проходить через ГЭБ, позволяет блокировать репликацию ВИЧ, остановить нарастание иммунодефицита и таким образом уменьшить тяжесть клинических проявлений нейроСПИДа, снизить риск возникновения оппортунистических нейроинфекций и повысить эффективность их терапии. К наиболее апробированным средствам, применяемым при нейроСПИДе, относятся зидовудин, ставудин, абакавир. Учитывая токсичность большинства антиретровирусных препаратов, АРТ назначается по индивидуально подобранной схеме только при наличии показаний и с согласия пациента.
Параллельно с АРТ осуществляется специфическая и симптоматическая терапия возникшей клинической формы нейроСПИДа. Так, при ВИЧ-энцефалопатии применяют холина альфосцерат и мягкие ноотропы (мебикар, цитиколин, пирацетам, фенибут), при инсульте — антикоагулянты и пентоксифиллин, при полиневропатии — цитиколин, комбинированные препараты витаминов группы В, при острых психических нарушениях — антипсихотические средства (клозапин). При поражениях периферической НС отмечена эффективность плазмафереза. В лечении миопатий используют плазмаферез и кортикостероидную терапию.
При оппортунистических нейроинфекциях применяют этиотропные препараты: при криптококовых менингитах — фторцитозин с амфотерицином, токсоплазменных энцефалитах — кларитромицин, азитромицин, спирамицин, при герпетических поражениях — ацикловир, валацикловир, ганцикловир, абакавир, саквинавир. Лечение опухолей, возникающих как проявление вторичного нейроСПИДа, может потребовать хирургического вмешательства. Вопрос о необходимости операции рассматривается совместно с нейрохирургом.
Врожденная ВИЧ-инфекция: клиника, диагностика, лечение
В настоящее время ВИЧ-инфекция у детей является одной из актуальнейших проблем во всем мире.
В настоящее время ВИЧ-инфекция у детей является одной из актуальнейших проблем во всем мире. Первоначально в нашей стране она была обусловлена внутрибольничной заболеваемостью, а в последние годы — рождением детей ВИЧ-инфицированными женщинами. Более 90% детской ВИЧ-инфекции является результатом именно перинатальной трансмиссии вируса.
Больные ВИЧ-инфекцией дети и их близкие нуждаются в профессиональной лечебно-реабилитационной поддержке их социального функционирования и оптимального качества жизни. Эта работа должна быть прежде всего направлена на «обновление взглядов» как на больных детей, так и их родителей. Очень важно не оставлять их в социальной изоляции, ведь порой вторичные проблемы негативно действуют на больного и его родственников не меньше, чем само заболевание.
По данным МГЦ СПИД за последние 10 лет произошло уменьшение числа детей с врожденной ВИЧ-инфекцией. Так, если в 2001 году, когда химиопрофилактика вертикальной трансмиссии ВИЧ-инфекции только начинала проводиться, число ВИЧ-инфицированных детей составляло 8%, то в 2006 году — всего 1,5%. Таких результатов удалось добиться благодаря введению в практику схемы профилактики согласно протоколу от 1996 г. PACTG 076 (Pediatric AIDS Clinical Trial Group), который основан на назначении беременной женщине Азидотимидина — антиретровирусного препарата из группы нуклеозидных ингибиторов обратной транскриптазы.
Однако даже своевременное проведение химиопрофилактики не исключает полностью возможность перинатальной передачи ВИЧ-инфекции от матери плоду.
К факторам, повышающим риск передачи ВИЧ от матери к ребенку, относятся:
родоразрешение через естественные родовые пути (при вирусной нагрузке более 1000 копий/мл перед родами);
При отсутствии профилактики перинатальной передачи ВИЧ, риск заражения составляет 30-40% [3].
Причинами отсутствия химиопрофилактики во время беременности и родов могут быть: диагностика ВИЧ-инфекции только во время родов, употребление наркотических веществ во время беременности, добровольный отказ от профилактики, в т. ч. по религиозным убеждениям, беременность до внедрения в практику профилактики вертикальной передачи ВИЧ и домашние роды.
Особенности клинических проявлений ВИЧ-инфекции у детей определяются стадией онтогенеза, на которой произошло инфицирование плода ВИЧ в организм (внутриутробно или интранатально) и от возраста ребенка в случае постнатального заражения.
При заражении плода в позднем перинатальном периоде или ребенка после рождения течение ВИЧ-инфекции почти не отличается от взрослых.
Целью данной работы является оценка эффективности общей и высокоактивной антиретровирусной терапии (ВААРТ) у детей с врожденной ВИЧ-инфекцией.
Задачи
Нами проанализированы 60 случаев врожденной ВИЧ-инфекции у детей в возрасте от 1 месяца до 7 лет, в т. ч.: 30 амбулаторных карт детей, состоящих на диспансерном учете в московском городском центре СПИД (МГЦ СПИД); 30 историй болезни детей, находящихся на стационарном лечении в МГЦ СПИД.
По результатам анализа амбулаторных карт и историй болезни нами были выявлены следующие наиболее часто встречающиеся клинические проявления врожденной ВИЧ-инфекции у детей: поражение ЦНС, лимфаденопатия, гепатолиенальный синдром, интерстициальные изменения в легких, анемия, гипотрофия, недоношенность.
Поражение ЦНС в нашем исследовании наблюдалось у 75% детей. Установлено, что ВИЧ является не только иммунотропным, но и нейротропным вирусом и проникает через гематоэнцефалический барьер на ранних этапах инфекционного процесса в организме, поражая олигодендроциты и астроциты, нейроциты, микроглию, макрофаги, клетки эндотелия кровеносных сосудов, фибробластоподобные клетки мозга. Указанные клетки имеют рецептор CD4 и считаются прямыми клетками-мишенями для ВИЧ. Патоморфологические изменения головного мозга при ВИЧ-инфекции могут быть охарактеризованы как альтернативно-дистрофические, с периваскулярным отеком, дистрофией нейронов, очаговой демиелинизацией и циркуляторными нарушениями.
У обследованных нами ВИЧ-инфицированных детей наблюдался полиморфизм клинических неврологических проявлений.
В начале заболевания отмечались астеноневротический и цереброастенический синдромы. Для этой стадии СПИДа характерной была ВИЧ-энцефалопатия. Также было установлено, что тяжесть поражения нервной системы более выражена у детей первого года жизни.
ВИЧ-энцефалопатия — тяжелое заболевание, затрагивающее все функции ЦНС. При подострой прогрессирующей энцефалопатии утрачиваются ранее приобретенные умения и навыки. Вялотекущая прогрессирующая энцефалопатия замедляет или прекращает формирование новых навыков, не затрагивая при этом старых. Обе формы прогрессирующей энцефалопатии резко замедляют психомоторное развитие. Дети с непрогрессирующей энцефалопатией продолжают приобретать новые навыки, но медленнее, чем здоровые сверстники.
Одновременно поражение ЦНС проявлялось грубой задержкой психомоторного развития, синдромом гипервозбудимости и гидроцефальным синдромом.
Клиническая манифестация ВИЧ-инфекции у детей разнообразна и зачастую неспецифична. Нами установлено, что лимфаденопатия, ассоциированная с гепатоспленомегалией, является одним из наиболее ранних признаков врожденной ВИЧ-инфекции. Так, персистирующая генерализованная лимфаденопатия выявлена в 64% случаев, а гепатолиенальный синдром — в 38% случаев. Сочетание обоих синдромов наблюдалось у 36% детей.
Интерстициальные изменения в легких были у 25% детей, они развивались в результате многократно перенесенных ранее пневмоний различной этиологии.
Из гематологических проявлений чаще всего отмечалась анемия (24% больных), что было связано с приемом антиретровирусного препарата из группы нуклеозидных ингибиторов обратной транскриптазы ВИЧ — «Зидовудина».
Гипотрофия (от I до III степени) была выявлена у 18% больных, недоношенность отмечалась в 14% случаев.
Из сопутствующих заболеваний чаще встречались хронический вирусный гепатит С и туберкулез, а из оппортунистических заболеваний — грибковые поражения кожи и слизистых, пневмоцистная пневмония, герпетическая инфекция, цитомегаловирусная инфекция.
Грибковые поражения кожи и слизистых отмечались у 38% детей.
Наиболее частая этиология — грибы рода Candida.
Чаще всего наблюдался оральный кандидоз, которому сопутствовал ангулярный хейлит, когда в углах рта возникали мацерации, эрозии, трещины. По краям трещин иногда отмечался гиперкератоз. Для детей, больных ВИЧ/СПИДом, характерно рецидивирующее течение орофарингеального кандидоза. В зависимости от степени иммунодефицита (определяется по количеству CD4-лимфоциов), было отмечено возникновение рецидивов через несколько месяцев, недель, а иногда и дней после отмены антимикотической терапии. Продолжительность периодов ремиссии была индивидуальна у каждого больного.
Наиболее опасная оппортунистическая инфекция, пневмоцистная пневмония, наблюдалась у 26% детей. Пневмоцистная пневмония может развиться в любом возрасте, но у наблюдавшихся нами больных почти в половине случаев приходилась на первые 6 месяцев жизни.
Обычно она развивалась остро, проявляясь одышкой и кашлем. Однако в некоторых случаях сначала появлялся кашель, и в течение нескольких дней к нему присоединялось постепенно нарастающее тахипноэ. Вначале появлялось навязчивое покашливание, затем кашель становился коклюшеподобным, особенно в ночное время. У ребенка отмечалась прогрессирующая слабость, снижение аппетита, бледность кожного покрова, цианоз носогубного треугольника. Температура тела в начале заболевания была нормальной или субфебрильной [1, 5].
При физикальном исследовании выявлялись тахипноэ, одышка, влажные и сухие хрипы. При прогрессировании пневмонии, возможно, возникала легочно-сердечная недостаточность.
Рентгенологические изменения, характерные для пневмоцистной пневмонии в виде снижения прозрачности легких, появления симметричных теней в виде крыльев бабочки, «ватных легких», определялись менее чем у половины больных.
Диагноз пневмоцистной пневмонии был основан на обнаружении возбудителя в мокроте, в материале, полученном при бронхоальвеолярном лаваже или биопсии легкого. У большинства детей пневмоцистная пневмония сочеталась с другими оппортунистическими заболеваниями.
Для лечения применялся Бисептол (сульфаметоксазол + триметоприм), который назначался при первом подозрении на пневмоцистную пневмонию до получения результатов микробиологического исследования. Профилактика пневмоцистной пневмонии проводилась тем же препаратом всем детям, рожденным ВИЧ-инфицированными женщинами в возрасте от 6 недель до 4 месяцев до исключения диагноза «ВИЧ-инфекция». ВИЧ-инфицированным детям первичная профилактика пневмоцистной пневмонии проводилась в течение первого года жизни. Дальнейшее проведение профилактики рекомендуется детям при уровне CD4-лимфоцитов < 15%. У детей, перенесших пневмоцистную пневмонию, рекомендуется пожизненная профилактика [5].
У ВИЧ-инфицированных детей могут наблюдаться различные поражения кожи.
В 8% случаев была выявлена инфекция кожного покрова, обусловленная вирусом Varicella-Zoster. На фоне иммунодефицита наблюдалось тяжелое генерализованное течение инфекции с полиорганными поражениями.
Цитомегаловирусная инфекция отмечалась у 7% детей. Клинически манифестация заболевания сопровождалась разнообразной симптоматикой — от сиалоаденита и лимфаденита до тяжелых диссеминированных форм.
Хронический вирусный гепатит С был выявлен у 16% детей и обусловлен вертикальной трансмиссией вируса от матери плоду.
Туберкулез отмечался в 5% случаев. Случаи заболевания были обусловлены трансплацентарным путем инфицирования.
Диагностика врожденной ВИЧ-инфекции
Диагноз ВИЧ-инфекции у ребенка может быть установлен при получении двух положительных результатов ПЦР в двух образцах крови, взятых в разные дни. ПЦР-диагностика проводится: в первые 48 часов жизни, в 14 дней жизни, в 1-2 месяца, в 3-6 месяцев [5].
ВИЧ-инфекцию можно исключить: при 2 и более отрицательных результатах ПЦР на ВИЧ (один в возрасте до 1 месяца, один — старше 4 месяцев); при 2 и более отрицательных серологических тестах на антитела к ВИЧ в возрасте старше 6 месяцев при отсутствии грудного вскармливания.
На основании приказа Минздрава РФ № 606 от 19.12.2003 г., ребенок может быть снят с диспансерного учета по ВИЧ-инфекции в возрасте 18 месяцев при отрицательном результате исследования на антитела к ВИЧ методом ИФА, отсутствии гипогаммаглобулинемии, отсутствии клинических проявлений ВИЧ-инфекции.
Лечение
Основным компонентом лечения больных ВИЧ-инфекцией является антиретровирусная терапия, с помощью которой можно добиться контролируемого течения заболевания, то есть состояния, при котором удается остановить прогрессирование болезни. Антиретровирусная терапия должна проводиться пожизненно, непрерывно. В процессе лечения проводятся обследования, цель которых — контроль его эффективности и безопасности. В плановом порядке эти обследования проводятся через 4 и 12 недель после начала лечения, впоследствии — каждые 12 недель.
Лекарственная терапия ВИЧ-инфекции включает в себя базисную терапию (которая определяется стадией заболевания и уровнем CD4-лимфоцитов), а также терапию вторичных и сопутствующих заболеваний [2].
В настоящее время придерживаются рекомендаций, разработанных Рабочей группой по антиретровирусной терапии и лечению ВИЧ-инфекции у детей (создана Национальным центром ресурсов Центра Франсуа-Ксавье Банью, Медицинским и стоматологическим университетом Нью-Джерси (UMDNJ), Управлением ресурсов и служб здравоохранения (HRSA) и Национальным институтом здравоохранения (NIH) США), согласно которым всех ВИЧ-инфицированных детей разделяют на 3 возрастных группы (до 12 месяцев, от 1 года до 5 лет и 5 лет и старше) [5].
Детям до 12 месяцев рекомендуется начинать антиретровирусную терапию, независимо от клинических проявлений, количества CD4-лимфоцитов и уровня вирусной нагрузки.
Детям от 1 года до 5 лет и старше 5 лет проведение антиретровирусной терапии рекомендуется:
при наличии СПИДа или наличии симптомов, соответствующих стадии С и большей части симптомов стадии B (по классификации CDC, 1994 г.), независимо от количества CD4-лимфоцитов и уровня вирусной нагрузки;
детям в возрасте 1 год и старше, которые находятся на стадиях N, A или имеют следующие симптомы стадии В: единственный эпизод тяжелой бактериальной инфекции или лимфоидную интерстициальную пневмонию при уровне CD4-лимфоцитов ≥ 25% у детей от 1 года до 5 лет или уровне CD4-лимфоцитов ≥ 350 клеток/мм3 у детей > 5 лет и уровне вирусной нагрузки ≥ 100 000 копий/мл.
Антиретровирусную терапию можно временно не назначать детям, у которых нет клинических проявлений ВИЧ-инфекции или они слабо выражены, при уровне CD4-лимфоцитов ≥ 25% у детей от 1 года до 5 лет или уровне CD4-лимфоцитов ≥ 350 клеток/мм3 у детей > 5 лет и уровне вирусной нагрузки < 100 000 копий/мл.
ВААРТ назначается ребенку пожизненно.
Терапия проводится не менее чем тремя препаратами с режимом приема 2-3 раза в день.
Применяются следующие группы антиретровирусных препаратов:
Препараты, блокирующие процесс обратной транскрипции (синтез вирусной ДНК на матрице вирусной РНК), — ингибиторы обратной транскриптазы. Среди них выделяют две группы препаратов:
нуклеозидные ингибиторы обратной транскриптазы (НИОТ) (измененные молекулы нуклеозидов), встраивающиеся в синтезируемую цепочку ДНК и прекращающие ее дальнейшую сборку: зидовудин (Азидотимидин)**, фосфазид*, ставудин*, диданозин**, зальцитабин*, ламивудин**, абакавир*, Комбивир (ламивудин + зидовудин);
ненуклеозидные ингибиторы обратной транскриптазы (ННИОТ), блокирующие необходимый для осуществления обратной транскрипции вирусный фермент — обратную транскриптазу: эфавиренз*, невирапин**.
Препараты, блокирующие процесс формирования полноценных протеинов ВИЧ и, в конечном итоге, сборку новых вирусов — ингибиторы протеазы (ИП) ВИЧ: саквинавир, индинавир, нелфинавир**, ритонавир*, лопинавир/ритонавир**.
Препараты, воздействующие на рецепторы, используемые вирусом для проникновения ВИЧ в клетку хозяина, — ингибиторы слияния.
При выборе оптимальной схемы терапии для конкретного больного принимается во внимание: эффективность и токсичность препаратов, возможность их сочетания между собой, переносимость препаратов пациентом, удобство приема препаратов — кратность приема, сочетание антиретровирусных препаратов с препаратами, которые применяются (или, возможно, будут применяться) для лечения имеющихся у пациента вторичных и сопутствующих заболеваний.
Комбинация из двух препаратов НИОТ является основой различных схем антиретровирусной терапии.
Для детей рекомендуются схемы терапии, включающие 2 НИОТ и 1 ИП или 2 НИОТ и 1 ННИОТ.
В дальнейшем, при эффективной ВААРТ, уровень вирусной нагрузки должен быть ниже уровня определения, но возможны подъемы, не превышающие 1000 копий/мл (рис. 1).
В результате проведенного анализа амбулаторных карт и историй болезни детей с врожденной ВИЧ-инфекцией, получающих антиретровирусную терапию, было установлено, что в среднем уже через 3 месяца от начала лечения наблюдалось снижение уровня вирусной нагрузки ниже уровня определения (ниже 400 копий в мл), а количество CD4-лимфоцитов повышалось (рис. 2).
Эффективность специфической терапии определялась:
Если ВААРТ является неэффективной и это не связано с нарушением режима приема препарата, приемом лекарств антагонистов и т. п., рекомендуется проведение теста на резистентность вируса к лекарственным препаратам и назначение новой схемы терапии с учетом результатов этого теста.
На 2007 г. из 169 детей, состоящих на учете в МГЦ СПИД, 100 детей получают ВААРТ. Отсутствие приверженности, т. е. неготовность семьи к проведению ВААРТ, несоблюдение режима приема препаратов было в 1-м случае, что привело к летальному исходу.
Положительный тест на резистентность к ВААРТ был у 5 детей (13%). Схема лечения была пересмотрена.
Клинический пример. М. А., 2 года 11 месяцев. Дата рождения: 18.03.05 г. Находилась в детском отделении с 31.03.05 г. по 3.03.06 г. с диагнозом: ВИЧ-инфекция, стадия вторичных заболеваний IIIВ: генерализованная цитомегаловирусная инфекция, рецидивирующая пневмония, распространенная грибковая инфекция, анемия, энцефалопатия смешанного генеза, грубая задержка психомоторного и физического развития, истощение IV ст., гидроцефальный синдром, глубокая недоношенность, лимфаденопатия, гепатолиенальный синдром.
Ребенок от ВИЧ-инфицированной матери 25 лет, 7 беременностей (5 медицинских абортов), 2 преждевременных родов в домашних условиях, в женской консультации не наблюдалась. Профилактику во время беременности не получала. Вес при рождении 1280 г, рост 42 см. Состояние при поступлении тяжелое за счет острой дыхательной недостаточности, обусловленной пневмонией с ателектазами.
За время нахождения в стационаре многократно болела ОРЗ и пневмониями с обструктивным синдромом. С сентября 2005 г. полисегметарная пневмония рецидивирующего течения, плевропневмония, в ноябре 2005 г. деструктивная правосторонняя пневмония. С января 2006 г. интерстициальные изменения в легких, плевральные спайки.
Иммунный статус на 18.06.05 г.: CD4 - 920 (19%), вирусная нагрузка 6 000 000 копий/мл. С мая 2005 г. проводилась специфическая терапия: Вирасепт + Эпивир ТриТиСи + Калетра. Иммунный статус на 3.03.06 г.: CD4 - 1480 (20%), вирусная нагрузка 7300 копий/мл. На фоне лечения состояние стабилизировалось, ребенок выписан в удовлетворительном состоянии под амбулаторное наблюдение.
Выводы:
Чаще всего врожденная ВИЧ-инфекция проявляется симптомами поражения ЦНС, лимфаденопатией, гепатоспленомегалией.
Из оппортунистических инфекций ведущими являются грибковые поражения кожи и слизистых, пневмоцистная пневмония, а из сопутствующих заболеваний — хронический вирусный гепатит С.
На фоне приема ВААРТ отмечалась положительная клиническая динамика и улучшение специфических лабораторных показателей: на 12-24 неделе лечения количество CD4-лимфоцитов повысилось в среднем на 5% от исходного уровня, в то время как уровень вирусной нагрузки снизился до неопределяемого (< 400 копий/мл).
Отмечался постепенный регресс вторичных заболеваний в результате проводимой специфической терапии в сочетании с ВААРТ.
— отсутствие приверженности;
— развитие резистентности к проводимой терапии (отмечалось в 13% случаев).
Литература
Покровский В. В., Ермак Т. Н., Беляева В. В., Юрин О. Г. ВИЧ-инфекция: клиника, диагностика и лечение. 2000.
Покровский В. В., Ладная Н. Н., Соколова Е. В., Буравцова Е. В., Кравченко А. В. ВИЧ-инфекция. Информационный бюллетень № 30. 2007.
Peter Havens, Russell Van Dyke, Geoffrey Weinberg. Guidelines for the Use of Antiretroviral Agents inPediatric HIV Infection. 2008.
Н. О. Голохвастова, студентка 6 курса МГМСУ, Москва
Можно ли диагностировать ВИЧ с помощью МРТ?
Отвечает Черкасова С.А.:
врач-рентгенолог высшей категории
Диагностировать ВИЧ с помощью МРТ нельзя, это прерогатива лабораторной диагностики, которая базируется на трех направлениях:
- индикация ВИЧ и его компонентов;
- выявление анти-ВИЧ;
- определение изменений в иммунной системе.
Среди существующих методов лабораторной диагностики наиболее распространены серологические — выявление антител к антигенам вируса.
С помощью МРТ диагностируются лишь осложнения ВИЧ-инфекции, например, ВИЧ-энцефалопатия, диагностика которой на ранней стадии возможна только при МРТ спектроскопии, при которой статистически достоверным считается повышение Cho/Cr и снижение Naa/Сho, отражающих глиальную активацию. Для ВИЧ-энцефалопатии характерно снижение Naa/Cr, однако не достигающее уровня статистически достоверного на ранних стадиях заболевания. Стандартная МРТ головного мозга, в том числе дополненная внутривенным контрастированием, обладает низкой чувствительностью в диагностике ранних проявлений ВИЧ-энцефалопатии у пациентов с ВИЧ-инфекцией и не позволяет выявлять ранние воспалительные изменения в веществе головного мозга.
Опытные врачи

Врач высшей категории

Пашкова Анна Александровна
Кандидат медицинских наук



Александров Тимофей Александрович

Томограф экспертного класса

- Напряженность магнитного
поля — 1,5 Тл (высокопольный) - Высокое качество изображения
- Тонкие срезы
- Все виды МРТ-исследований
Как проходит процедура МРТ-исследования
Запись исследования на ваш выбор*| на диск | на пленку | на флешку |
Частые вопросы о МРТ-исследованиях

Артефакты (от лат. artefactum) - это погрешности, допущенные человеком, в процессе исследования. Артефакты значительно ухудшают качество изображения. Существует обширная группа физиологических (другими словами, относящихся к поведению человека) артефактов: двигательные, дыхательные, артефакты от глотания, моргания, случайных неуправляемых движений (тремор, гипертонус). Все артефакты, связанные с человеческим фактором, легко преодолеваются, если человек в процессе исследования полностью расслаблен, дышит ровно и свободно, без глубоких глотательных движений и частых морганий. Однако в медицинской практике нередки случаи использования легкого наркоза.
Магнитно-резонансная томография не имеет возрастных ограничений, поэтому ее можно проводить детям с самого рождения. Но ввиду того, что во время процедуры МРТ необходимо соблюдать неподвижность, обследование маленьких детей проводится в условиях анестезиологического пособия (поверхностного наркоза). В нашем центре исследование под наркозом не осуществляется, поэтому мы обследуем детей исключительно с семилетнего возраста.
Все противопоказания к проведению МРТ можно разделить на абсолютные и относительные.
Абсолютными противопоказаниями к проведению МРТ являются следующие особенности пациента: наличие у него кардиостимулятора (водителя ритма сердца) и других вживляемых электронных устройств, присутствие ферримагнитных (железосодержащих) и электрических протезов стремечка (после реконструктивных операций на среднем ухе), гемостатических клипс после операций на сосудах головного мозга, брюшной полости или легких, металлических осколков в области глазницы, крупных осколков, дроби или пуль вблизи сосудисто-нервных пучков и жизненно важных органов, а также беременность до трех месяцев.
К относительным противопоказаниям относятся: клаустрофобия (боязнь замкнутого пространства), наличие в теле пациента массивных не ферримагнитных металлических конструкций и протезов, наличие ВМС (внутриматочной спирали). Кроме того, все пациенты с магнитосовместимыми (не ферримагнитными) металлическими конструкциями могут обследоваться только по прошествии месяца после проведенного оперативного вмешательства.
Направление врача - необязательное условие посещения центра МРТ. Нам важна Ваша забота о своем здоровье, согласие на проведение обследования, а также отсутствие противопоказаний для проведения МРТ.
Любому человеку знакома головная боль, но если она повторяется подозрительно часто, безусловно, это нельзя оставить без внимания. Мы рекомендуем пациенту с сильными головными болями пройти МРТ головного мозга и его сосудов. В отдельных случаях этого может быть недостаточно, потому как не всегда причина головных болей связана именно с патологией головного мозга. Головные боли могут быть следствием шейного остеохондроза, поэтому наши специалисты дополнительно советуют пройти МРТ шейного отдела позвоночника и сосудов шеи.
Средняя продолжительность одного исследования в нашем центре составляет от 10 до 20 минут, однако, все зависит от выявленных изменений: иногда для уточнения заболевания врач-рентгенолог может расширить протокол исследования и прибегнуть к использованию контрастного усиления. В таких случаях время исследования увеличивается.
Магнитно-резонансная томография - это полностью безвредный и безопасный метод лучевой диагностики. В основе получения изображения МРТ отсутствует ионизирующие излучение, свойственное методу компьютерной томографии (КТ). Но существуют противопоказания, с которыми необходимо ознакомиться, перед тем как записаться на обследование.
Абсолютным противопоказанием к МРТ является беременность до трех месяцев. При подозрении на ургентные (угрожающие жизни) заболевания женщины решение о проведении МРТ в ранние сроки беременности принимает врач-гинеколог.
В нашем центре можно пройти МРТ во время беременности во втором и третьем триместре - для этого необходимо предоставить направление от лечащего врача, назначившего МРТ, а также справку от акушера-гинеколога о том, что проведение магнитно-резонансной томографии разрешено.
Читайте также:
