Введение в лучевую диагностику травм запястья и кисти
Добавил пользователь Владимир З. Обновлено: 02.11.2025
Все виды повреждения кисти можно разделить на несколько групп.
Начнем с МР-диагностики травматических повреждений кисти и лучезапястного сустава.
При клиническом обследовании больных с ушибами лучезапястного сустава и кисти, как правило, определяются болезненность при пальпации, увеличение объема окружающих мягких тканей, а объективно и рентгенологически изменения отсутствуют. Наиболее часто встречаются ушибы метаэпифиза лучевой и локтевой костей, а также полулунной и ладьевидной костей. Ушибы (контузионные поражения) кисти определяются только при МРТ-исследовании, особенно хорошо видно на программах с подавлением сигнала от жира. Морфологически ушиб кости проявляется нарушением целостности трабекул костной ткани с кровоизлиянием и отеком костного мозга. Однако, несмотря на повреждение трабекул костной ткани, рентгенологические исследования, включая КТ, не позволяют обнаружить патологические изменения.
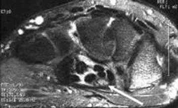
Клинические проявления у пациента: боль и ограничение движений после падения на вытянутую руку 4 месяца назад.
Перелом ладьевидной кости с явлениями асептического некроза проксимального полюса и, связанного с ним, остеоартрита. Ладьевидный перелом обычно происходит из-за падения на вытянутую руку, которое приводит к гиперэкстензии лучезапястного сустава.

Аваскулярный (асептический) некроз нередко сопутствует переломам проксимальной части ладьевидной и переломам полулунной кости, а также неадекватно репонированным и иммобилизированным переломам этих костей. Основная причина - нарушение трофики участка кости при повреждении питающих артерий.
Методом выбора в диагностике и стадировании остеонекроза костей кисти является МРТ.
Скрытые переломы
Этот термин применяется для обозначения переломов, которые первично не были выявлены рентгенологически, а обнаружены только методом МРТ. Только через 5-10 дней после травмы на отсроченных рентгенограммах появляется линия перелома. Через 1,5-2 мес. после травмы ретгенография и СКТ у пациентов со скрытыми переломами позволяют визуализировать незначительные облаковидные остеосклеротические изменения по ходу линии перелома, как проявление репаративного процесса.

Синдром повреждения связочного аппарата
Лучевая диагностика повреждений связочного аппарата лучезапястного сустава и кисти представляет наибольшие трудности в связи со сложностью анатомии и малыми размерами данной области. Возможности рентгенографии и КТ в диагностике повреждений связок ограничены. О них судят по наличию косвенных признаков. Вследствие относительно малых размеров связок, УЗИ затруднительно. Методом выбора при исследовании связочного аппарата является МРТ.
Клинически: Острая боль. В анамнезе нет травмы или чрезмерной нагрузки. Увеличение диаметра и повышение МР-сигнала в проекции сухожилия разгибателя.

МРТ показывает веретенообразное расширение нерва, которое вызвано утолщением нервных пучков и жировой и фиброзной пролиферацией. МРТ характеристики фибролипоматозной гамартомы являются патогномоничным, что исключает необходимость в биопсии для диагностики.

Кистозное образование в проекции тыльных межзапястной и лучезапястной связок; незначительный синовит.
Синдром повреждения сухожилий
Синдром повреждения сухожилий включают частичные и полные их разрывы, проявления теносиновита и посттравматического тендиноза. Основную долю составляют теносиновиты, возникающие изолированно или на фоне повреждения костей и связок. Морфологически теносиновиты характеризуются скоплением синовиальной жидкости под оболочками сухожилия. Рентгенодиагностика в диагностике теносиновитов неинформативна. Наиболее информативны в диагностике теносиновита УЗИ и МРТ.

Теносиновит сухожилий глубокого сгибателя пальцев кисти и длинного сгибателя большого пальца.
Липома сухожилия
Клинически: Отек левой руки, сохраняющийся длительное время, в настоящий момент пациент начал жаловаться на нарушение чувствительности боковых трех пальцев.

Капсулированная масса прикреплена к сухожилиям поверхностного и глубокого сгибателей указательного пальца. Липома из сухожилия (гистологически доказано).
Синдром повреждения суставов
Большинство травм лучезапястного сустава и кисти сопровождается симптомами сопутствующего экссудативного синовита; его выраженность зависит от тяжести травм. На МРТ выявляется суставной выпот. Кроме того, иногда определяется отек костного мозга в субхондральных отделах эпифизов костей, отек периартикулярных мягких тканей.


Ревматоидный артрит. Субхондральные эрозии, гипертрофия синовиальной оболочки.

Ревматоидный артрит. Анкилозирование костей запястья, деструкция эпифизов лучевой и локтевой костей.
Остеомиелит костей

Хронический остеомиелит ладьевидной кости.
Кистевой /карпальный/ туннельный синдром
Этиология
Кистевой туннельный синдром может быть спровоцирован целым рядом причин. Существует два механизма формирования данного синдрома. Первый - уменьшение в размерах самого карпального канала. Сюда относят такие причины, как артроз, травмы, акромегалия, и чрезмерное механическое воздействие. Второй механизм - увеличение в размерах содержимого карпального канала. Например, при ганглиевых кистах, опухолях нерва, отложение веществ (например, амилоида), или синовиальной гипертрофии при ревматоидном артрите. Также некоторые индивидуальные факторы, такие как размер и форма запястья и форма срединного нерва, могут способствовать развитию синдрома запястного канала.
Клиническая картина
Клинически проявляется болью и нарушениями чувствительности. Типичным является брахиалгия, парастезии, или ночные восходящие боли, исходящие из запястья. Кроме того, определяется слабость в руке. Слабость, чаще всего, является поздним симптомом.

На основании всего вышеизложенного, можно сделать вывод, что магнитно-резонансная томография кисти - высокоинформативное исследование, позволяющее оценить изменения самого различного характера и происхождения.
Травмы (переломы) лучевой кости

Лучевая кость руки - это длинная трубчатая неподвижная парная кость в составе предплечья, тело которой имеет трехгранную форму с тремя поверхностями (передней, задней и боковой) и тремя краями (передним, задним и межкостным). Она располагается рядом с локтевой костью, поэтому они зависимы друг от друга и взаимосвязаны. Внизу эти кости соединяются с костями запястья. Так формируется лучезапястный сустав. Также лучевая кость несет ответственность за подвижность предплечья в локте, а плеча - в плечевом суставе. Но по статистике, при почти таких же строении и анатомии, ломается лучевая кость намного чаще локтевой.
Виды повреждений
Перечень заболеваний и травм, связанных с лучевой костью:
- Воспаление надкостницы лучевой кости, в результате может серьезно нарушиться питание костных тканей, что способно повлечь за собой постепенное разрушение кости
- Дегенеративные поражения суставной поверхности - это процесс истончения хрящевой ткани от чрезмерных нагрузок (спорт, тяжелый труд), вследствие чего происходит ухудшение амортизации и скольжения в суставе, возникает все более сильное трение, приводящее к разрушению сустава
- Остеомиелит - заболевание, поражающее все ткани, из которых состоит лучевая кость (надкостница, сама кость и костный мозг)
- Переломы.

- Травматические и паталогические (в зависимости от природы возникновения)
- Закрытые и открытые (в зависимости от нарушения кожных покровов)
- Косые, продольные, поперечные, Т-образные, винтообразные, вколоченные (при которых костные отломки входят («вколачиваются») друг в друга) и оскольчатые (в зависимости от линии разлома)
Любой тип перелома может быть как со смещением костных отломков, так и без смещения. Перелом лучевой кости без смещения чаще всего происходит в виде трещины в костной ткани.
Важно знать, что болезни и травмы лучевой кости зачастую сопровождаются схожими болезнями локтевой кости, поэтому при обнаружении проблем с одной костью следует обследовать и другую.
Симптоматика
Клиническая картина переломов лучевой кости следующая:
- Возникновение сильных болевых ощущений от запястья до локтя
- Отек и припухлость
- Возможна гематома (но не всегда)
- При переломах со смещением может появиться характерный хрустящий звук при пальпации отломков и видимая деформация лучезапястного сустава
- Онемение кончиков пальцев
- Движения в лучезапястном суставе ограничены

К какому врачу обращаться
В случае возникновения серьезной травмы следует незамедлительно доставить пострадавшего в отделение травматологии, где ему будет оказана квалифицированная медицинская помощь.
Специалисты, которые Вам помогут:
Диагностика
Диагностика при травмах лучевой кости включает в себя:
- Опрос пациента об обстоятельствах травмы
- Первоначальный осмотр врача
- Лучевая диагностика:
Варианты лечения
Ключевые методы лечения переломов: консервативные и хирургические.
Консервативное лечение назначается при закрытых переломах без смещения и представляет собой наложение иммобилизующей гипсовой повязки на травмированную область после спадания отека. Вместе с этим врач назначает прием обезболивающих средств, противовоспалительных нестероидных препаратов и при необходимости антибиотиков. Сроки срастания неосложненных переломов варьируются от 4-х до 5-и недель. После снятия гипса доктор назначает восстановительное лечение.
Хирургическая операция необходима при переломах со смещением и оскольчатых переломах. Основная цель всех лечебных мероприятий - восстановление функциональности поврежденной руки (как было до травмы).
Основным методом лечения переломов является репозиция. Суть метода заключается в возвращении смещенных отломков лучевой кости на прежние места и дальнейшей их фиксации. Репозиция бывает закрытой и открытой. Открытая репозиция предполагает осуществление разреза на месте повреждения, сопоставление отломков костей и скрепление их специальными конструкциями (спицами, дистракционными аппаратами (например, аппарат Илизарова), пластинами). Эта операция называется остеосинтезом.

После снятия гипсовой повязки назначается курс реабилитации, индивидуальный для каждого пациента. Реабилитация может включать в себя: физиотерапевтические процедуры (электрофорез, УВЧ, парафинотерапия и др.), массаж рук, лечебная физкультура (со специальным комплексом восстановительных физических упражнений), соблюдение рекомендуемой врачом диеты.
Записаться на прием к профильным специалистам в Москве Вам предлагает клиника ЦКБ РАН.
Травмы лучезапястного сустава
Лучезапястный сустав - это костное сочленение, которое образуют лучевая кость и три кости запястья: полулунная, ладьевидная и трехгранная. Данный сустав соединяет кисть и предплечье. С наружной стороны сустав укрыт прочной оболочкой (суставной сумкой). Суставная сумка с помощью связок прикрепляется с одной стороны к костям кисти, а с другой - к лучевой кости и суставному диску. Лучезапястный сустав - особо подвижное соединение костей верхней конечности: предплечья и кисти человека. Этот сустав является сложным по составу входящих в него костей, отвечает за многообразие действий в руке (вращательную функцию кисти руки, за сгибание, разгибание, отведение и приведение кисти) и принимает на себя различные силовые нагрузки, поэтому данный участок очень уязвим.
К часто встречающимся повреждениям лучезапястного сустава можно отнести следующие виды:
- омы. Особенно часто травмируется лучевая кость. Существует два вида перелома лучевой кости в лучезапястном суставе:
- Перелом Смита (сгибательный перелом). Причиной травмы служит падение на вытянутую руку, на ее тыльную сторону. Кость ломается и при этом происходит смещение костных отломков в сторону ладони.
- Перелом Коллеса (разгибательный перелом). Повреждение случается при падении человека на ладонь, наблюдается смещение костных отломков в сторону большого пальца и тыльной поверхности кисти.
- Воспалительные заболевания. Могут возникать на фоне перенесенных травм, гормональных нарушений, чрезмерного напряжения сустава, инфекций и др.
- -воспалительное поражение сухожилий и окружающих оболочек в области запястья. - воспаление связок, прикрепляющихся к шиловидным отросткам лучевой или локтевой костей. - воспалительное поражение синовиальной оболочки сустава.
- Бурсит - воспалительное заболевание синовиальных сумок с образованием и накоплением в ее полости жидкости.
- Боли в суставе различной интенсивности и локализации
- Отек и припухлость травмированного участка
- Изменение внешнего вида кисти и запястья
- Покраснение кожи в поврежденной области
- Кровоизлияние в месте травмы (резкое ограничение подвижности сустава)
- Повышение общей температуры
- Слабость, недомогание, озноб
- Появление шишек (при гигромах)
- Первоначальный осмотр у специалиста
- Анализы мочи и крови или МРТ
- Направление на консультации к профильным специалистам (с назначением необходимого дополнительного обследования)
- Растяжения связок кисти - это травмирование нервных волокон и сосудов на микроскопическом уровне
- Разрыв связок кисти -это частичное или полное нарушение целостности волокон. Реже встречается полный отрыв связки от кости или с обломком части кости (тогда связочный разрыв осложняется отрывным переломом)
- Воспалительные процессы, возникающие в кистях. Это следующие заболевания: перитендинит (воспаление связок и сухожилий), туннельный (запястный) синдром, артриты и др.
- Возникновение боли различной интенсивности
- Появление отечности и припухлости кисти
- Подвижность данной части руки ограничена
- При движении кистью происходит усиление болевых ощущений
- Возможно появление гематомы на травмированном участке руки, как следствие разрыва кровеносных сосудов
- При разрывах болевой синдром усиливается, характерен звук щелчка, а движения в суставе приобретают необычно большую амплитуду.
- первичный осмотр у врача с составлением полного анамнеза больного .

- . При растяжении происходит повреждение волокон связок в результате их чрезмерного натяжения, ткани при этом остаются целыми, но на определенное время утрачивается работоспособность сустава. . При вывихах в области лучезапястного сустава происходит смещение суставных концов, в результате чего они полностью теряют контакт друг с другом. Вывихи бывают патологическими (вследствие заболеваний костей и суставов) и травматическими (вследствие травмы).

Симптоматика и локация боли
Для каждого вида из вышеперечисленных повреждений существуют характерные симптомы, опираясь на которые квалифицированный специалист установит точный диагноз и назначит необходимое лечение. К основным признакам повреждения лучезапястного сустава можно отнести:
В зависимости от признаков проявляющегося заболевания следует обратиться за помощью и консультацией к следующим специалистам:
- (при переломах, ушибах, вывихах, растяжениях, гигромах, синовитах) , терапевту, дерматологу, урологу (при различных видах артрита, артрозах, бурситах).
Диагностика различных видов заболеваний лучезапястного сустава в основном включает в себя:

Лечение
Лечение зависит от степени серьезности заболевания (возможны два варианта: консервативное или хирургическое). По показаниям лечащего врача назначается необходимый в каждом конкретном случае вариант лечения (восстановление поврежденного сустава с помощью медикаментов, физиотерапии, лечебной физкультуры или проведение хирургической операции). При любом варианте лечения пациенту необходима последующая реабилитация для скорейшего выздоровления и возвращения работоспособности.
Травмы / разрывы связок кисти

Кисть человека является одним из наиболее функциональных элементов тела. Трудно представить полноценную жизнь без рук. Кисть выполняет динамическую, сенсорную и статическую функции. Несмотря на небольшие размеры, она имеет довольно сложное специфическое строение и состоит из костного каркаса, сухожилий, связок, сосудов, нервных волокон и пр. Связки кисти руки представляют собой прочные, эластичные и плотные образования из соединительной ткани, которые позволяют фиксировать и удерживать в определенном положении суставы, при этом обеспечивая им необходимую подвижность в пределах физиологической нормы. А также с помощью связок кости соединяются с мышцами. Связочный аппарат кисти руки обеспечивают упругость и гибкость конечности. Связки способны выдерживать достаточно серьезные нагрузки, но в случаях усиленного физического воздействия возможны различные травмы.
Повреждения связки на руке встречаются как у взрослых, так и у детей. Причины могут быть самыми разнообразными. Это и бытовые травмы (при падении на выставленную руку, которые могут сочетаться с вывихами и подвывихами суставов); спортивные травмы, полученные в результате неправильного выполнения упражнений или чрезмерной нагрузки на кисть. Для детей характерны повреждения связок в случаях, когда взрослые, не рассчитав свои силы, поднимают или резко дергают ребенка, держа его за кисти рук.
Наиболее характерными повреждениями связок кистей рук можно считать:

При растяжениях кистевых связок наблюдаются следующие симптомы:
Симптоматика при повреждениях связок кисти может различаться в зависимости от местонахождения источника боли. Например, возможны повреждения связок запястья руки, повреждения связок пальцев и отдельно связок большого пальца.

При появлении вышеуказанных признаков необходимо срочно обратиться за медицинской помощью к квалифицированному врачу-травматологу. В некоторых случаях может понадобиться консультация хирурга, ревматолога и невропатолога.
Диагностика травм связок
Диагностика растяжений и разрывов связок включает в себя:
Варианты лечения разрывов связок кисти
При незначительных растяжениях и ушибах назначается консервативное лечение. Это комплекс мер, который предполагает: медикаментозное лечение (прием обезболивающих лекарств и противовоспалительных препаратов, применение хондропротекторов, мазей, прием витаминов); физиотерапевтическое лечение (электрофорез, лазерное лечение, магнитотерапия, волновая терапия и другие методы по предписанию врача); назначение массажных процедур; наложение повязки, ограничивающей подвижность травмированной руки и др.
В более серьезных случаях (надрывы и разрывы связок) пациенту в стационаре проводят хирургическую операцию. Хирург определяет оптимальный вариант оперативного вмешательства в каждом конкретном случае, опираясь на данные диагностики пациента. Оно заключается в сшивании порванных связок, либо удалении воспаленных частей связок, фиксации сухожилий и костей. После хирургического вмешательства больному необходимы реабилитационные мероприятия. Для полного восстановления функциональной способности кисти руки назначают физиотерапию, лечебный массаж, ЛФК и др.

При получении таких травм не стоит заниматься самолечением и затягивать обращение к врачу. Чем раньше будет поставлен верный диагноз и назначено необходимое лечение, тем благоприятней будет прогноз полного восстановления подвижности и работоспособности кисти руки. Специалисты отделения микрохирургии кисти медицинского центра ЦКБ РАН всегда готовы оказать Вам квалифицированную помощь.
Реабилитация при переломах лучевой кости в типичном месте
Аннотация
Разработаны клинические рекомендации по проведению реабилитационных мероприятий при переломах луча в типичном месте (дистального метаэпифиза лучевой кости). Описаны основные этапы реабилитации данной категории пациентов. Указаны конкретные сроки назначения физических упражнений. Даны рекомендации по программе реабилитации в амбулаторных и стационарных условиях стационара. Приведены критерии оценки эффективности реабилитационных мероприятий.
Клинические рекомендации (КР) предназначены для врачей травматологов-ортопедов, врачей ЛФК и инструкторов-методистов ЛФК (инструкторов ЛФК), врачей-физиотерапевтов и медицинских сестер по физиотерапии, медицинских сестер по массажу, постовых медицинских сестер.
Уровень использования клинических рекомендаций: федеральный.
ВВЕДЕНИЕ
Перелом лучевой кости в типичном месте (в нижней трети) является наиболее частым повреждением костей предплечья и возникает обычно при падении на вытянутую вперед руку. При данной локализации травмы наблюдается смещение кисти с дистальным отломком лучевой кости в тыльном направлении, возникает деформация предплечья, по форме напоминающая штык. Перелом лучевой кости в типичном месте нередко сопровождается отрывом шиловидного отростка локтевой кости. Правильные анатомические взаимоотношения между проксимальным и дистальным отломком лучевой кости восстанавливаются путем ручной репозиции, после чего накладываются две гипсовых лонгеты. Длительность иммобилизации составляет 3—5 нед. и зависит от характера перелома, устойчивости положения отломков, возраста больного и других факторов.
Переломы дистального метаэпифиза лучевой кости составляют до 30% от всех переломов верхней конечности (Aitken S. et al., 2011). Основным методом лечения этой группы пациентов по-прежнему остается закрытая репозиция отломков под местной анестезией и наложение гипсовой лонгеты (Dandy D., Edwards D., 2003). Однако длительная иммобилизация в нефизиологическом положении кисти и пальцев вызывает у 16% пострадавших функциональные нарушения, негативно влияющие на повседневную активность (Moore C., Leonardi-Bee J., 2008). Частота неправильных сращений после консервативного лечения достигает 50% (Mackenney P. et al., 2006). При коррекции таких переломов в аппарате внешней фиксации кисть находится часто в нефункциональном положении, при котором пальмарные пластинки и коллатеральные связки межфаланговых суставов укорачиваются, что вызывает ограничение подвижности в них (Kuo L. et al., 2013). В связи с этим в последнее время находит все большее распространение открытая репозиция и остеосинтез нестабильных переломов лучевой кости в типичном месте с применением пластин с угловой стабильностью (Orbay J., Fernandez D., 2002; Wall L., et al., 2012). Большое значение для восстановления функции после операции имеет адекватность реабилитационных мероприятий (Handoll H., et al., 2003; Bamford R. and Walker D., 2010; Bruder A. et al., 2011).
Предлагаемые нами клинические рекомендации (КР) разработаны на основе анализа данных литературы, клинического опыта и апробации в ведущих учреждениях России.
Диагностические принципы КР:
- состояние после консервативного и оперативного лечения переломов дистального метаэпифиза лучевой кости (переломы луча в типичном месте).
Показания к применению КР:
Описанные в данных рекомендациях реабилитационные мероприятия показаны всем больным при переломах луча в типичном месте.
Противопоказания к применению КР:
Противопоказанием к применению клинических рекомендаций является тяжелое соматическое состояние пациента угрожающее жизни, острые инфекционные и септические процессы, кома и другие состояния с нарушением сознания, нарушение целости лучевой кости в области перелома или имплантата ведущие к нарушению стабильности.
Степень потенциального риска применения КР:
класс 1 - медицинские технологии с низкой степенью риска
Материально-техническое обеспечение КР:
- перечень используемых для осуществления КР лекарственных средств, изделий медицинского назначения и других средств с указанием номера государственной регистрации или иного разрешающего документа, организации-изготовителя, страны производителя; все задействованные в КР средства должны быть разрешены к применению в медицинской практике на территории РФ в установленном порядке.
При проведении реабилитационных мероприятий у больных с переломами луча в типичном месте используют:
- прикроватные балканские рамы, оборудованные стандартными механотерапевтическими блоками и манжетами,
- аппарат для продолжительной пассивной мобилизации лучезапястного сустава,
- зал ЛФК для групповой и индивидуальной лечебной гимнастики, комплект оборудования для ЛФК, аппараты для блоковой механотерапии, набор предметов для развития мелкой моторики,
- физиотерапевтическое оборудование: для УФО облучения, для низкочастотной терапии переменным магнитным полем, аппарат для низкочастотной электротерапии, для лазеротерапии инфра и красного диапазонов, для местной дарсонвализации, для теплолечения, для криотерапии.
- гидрокинезотерапевтические ванны
- оборудование для ручного, аппаратного и подводного массажа.
Медицинская реабилитация
Целью реабилитации пациентов при переломах луча в типичном мпесте по МКФ (Международной классификации функционирования, 2003) является восстановление:
· функции оперированного сегмента (на уровне повреждения, по МКФ)
· возможности самообслуживания (на уровне активности, по МКФ)
· социальной и профессиональной активности, улучшение качества жизни (на уровне участия, по МКФ)
2. Реабилитация при консервативном лечении переломов луча в типичном месте
Методика лечебной физкультуры, как основного средства реабилитации при подобных переломах различна в период иммобилизации предплечья гипсовой повязкой и после её снятия. Частым осложнением при данном переломе является ограничение подвижности в суставах пальцев и в плечевом суставе в связи с недостаточной двигательной активностью больного. В отдельных случаях наблюдается синдром Зудека (син.- трофоневротический синдром, комплексный региональный болевой синдром).
Для предупреждения этих осложнений, особенно выраженных у лиц, остро реагирующих на болевые ощущения, после наложения гипсовой повязки пациентам рекомендуют активно и с помощью здоровой руки сгибать пальцы до полного соприкосновения с ладонью и несколько раз в день поднимать руку выше горизонтального уровня. Таким образом, основными упражнениями при наличии гипсовой повязки являются активное отведение руки в плечевом суставе, сгибание и разгибание в локтевом суставе и движения в суставах пальцев. Особенностью этих элементарных упражнений является выполнение их в возможно полном объеме (например, полное сгибание пальцев в кулак даже при наличии известной степени отека, а не просто шевеление ими). Подобные упражнения не только предупреждают развитие ограничения подвижности в суставах, но также активизируют крово- и лимфообращение.
Для предупреждения контрактуры в плечевом суставе больному рекомендуется в положении лежа на спине заводить руку за голову. Показано также напряжение мышц предплечья с одновременными активными движениями здоровой рукой (пронация, супинация, движения в лучезапястном суставе и суставах пальцев).
Более важен для восстановления двигательной функции верхней конечности постиммобилизационный период (после удаления гипсовой повязки). В связи с наличием у больного болевых ощущений, отечности и отсутствием прочной консолидации отломков наиболее удобным и правильным исходным положением для выполнения физических упражнений следует считать положение руки на поверхности стола. В этом положении (с тонкой подушечкой под предплечьем) пациент сгибает пальцы и осторожно, при поддержке кисти больной руки, производит движения с небольшой амплитудой в лучезапястном суставе (приведение, отведение, разгибание кисти), делает попытку пронировать и супинировать предплечье. Кроме того, в этот период показаны физические упражнения в теплой воде (температура до 34°С) в виде активных движений кистью и пальцами. Сжимание губки, валика из поролона, мягкого резинового мяча помогает ориентировать направление движений пальцев в воде и добиться их лучшего сгибания. В дальнейшем для увеличения амплитуды движений больному предлагают производить физические упражнения, свесив кисть за край стола (при поддержке ее другой рукой или инструктором).
Наибольшее число специальных упражнений относится к движениям в лучезапястном суставе, так как в нем при данной локализации перелома развивается стойкое ограничение подвижности. Увеличению амплитуды движений кисти в условиях облегчения нагрузки способствуют упражнения для лучезапястных суставов (сгибание — разгибание, отведение — приведение и кружение) при опоре локтевых суставов на стол и взаимном соприкосновении ладоней. Для более интенсивной разработки движений в ранние сроки после прекращения иммобилизации могут использоваться простейшие виды механотерапии с аппаратом типа большой катушки, пресс-папье. Кроме того, могут проводится процедуры с помощью аппаратов для продолжительных пассивных движений. При длительно сохраняющейся отечности кисти показан легкий ручной или вихревой массаж предплечья, криотерапия, магнитотерапия, амплипульстерапия.
Теплолечение в эти сроки (начало сращения перелома) может провоцировать снижение механической прочности костной мозоли и усиление отека мягких тканей в зоне перелома.
Перечисленные упражнения должны сочетаться с движениями в плечевых суставах, динамическими дыхательными упражнениями. Выполняются они вначале в положении сидя, а затем и стоя. Для восстановления нормальной двигательной функции руки имеют особенно большое значение упражнения, выполняемые в ближайший срок после перелома лучевой кости.
В более поздние сроки (2—2,5 мес. после травмы) для дальнейшего увеличения амплитуды движений в суставах и укрепления мышц руки могут быть использованы упражнения со снарядами: серия упражнений в бросании и ловле различными способами малого резинового мяча, перекатывание по столу медицинбола весом 1—2 кг, пронация и супинация предплечья с использованием гимнастической палки. При этом необходимо учитывать, что усилие, развиваемое больным, может зависеть не только от веса, но и от способа удерживания снаряда; например, наиболее легко больной производит пронацию и супинацию предплечья, удерживая палку за середину, труднее — за верхний конец и, особенно, за нижнюю часть. В этот же период могут быть применены движения предплечьем при фиксированной кисти, которые в связи с изменением характера костного рычага оказывают более интенсивное действие на сустав. Специальные упражнения должны сочетаться с общеукрепляющими (движения симметричной верхней конечностью, упражнения, укрепляющие мышцы спины).
Параллельно с лечебной гимнастикой должна использоваться трудотерапия — работа на ручной швейной машине, наматывание ниток на клубок (сопровождающиеся круговым движением в лучезапястном суставе), склеивание конвертов (связанное с пронацией и супинацией предплечья в момент разглаживания бумаги).
Для активизации функции руки в ранние сроки после прекращения иммобилизации можно использовать работу с клавиатурой компьютера или планшетом. При возникновении умеренной боли в зоне перелома, на время занятия можно надевать легкий кистедержатель, что ограничивает движения в кистевом суставе и не препятствует работе пальцев травмированной кисти.
Для укрепления мышц руки включаются трудовые операции, требующие более длительного и интенсивного напряжения мышц, например работа пассатижами, отверткой, резьба по дереву, выжимание и скручивание белья во время стирки. Применение трудотерапии ускоряет восстановление трудоспособности больного. При прочной консолидации отломков и сохранении у больного ограничения подвижности кисти может быть использована в поздние сроки (3—3,5 месяца после перелома) механотерапия в форме упражнений на маятниковом аппарате, ее желательно сочетать с теплолечением и ультразвуковой терапией на область лучезапястного сустава. Длительность процедуры механотерапии 10—20 мин. Ей должна предшествовать ЛГ. После механотерапии кисть кратковременно следует фиксировать в положении максимального сгибания или разгибания в зависимости от характера ограничения подвижности в лучезапястном суставе. При отсутствии осложнений обычно уже к 2 мес. после перелома лучевой кости удается добиться удовлетворительной функции верхней конечности.
3. Особенности реабилитации при оперативном лечении переломов луча в типичном месте
К оперативному лечению в последние годы стали прибегать чаще. Обычно показанием для него является нестабильность перелома, неудачи при закрытой репозиции. Используют различные виды внеочагового остеосинтеза (аппараты внешней фиксации) и накостный остеосинтез пластинками. Иные виды остеосинтеза не дают достаточной стабильности и применяются очень ограничено.
Во всех случаях, если есть такая возможность до оперативного вмешательства, проводится предоперационная подготовка. Она направлена на обучение пациента упражнениям, которые он будет выполнять в ближайшее время после операции. При осложненном переломе луча в типичном месте, который сопровождается болевым синдромом, отеком, контрактурой суставов пальцев кисти проводится комплекс реабилитационных мероприятий направленных на устранение указанных нарушений. На первом месте стоит боль, затем приступают к устранению трофических нарушений (отек) и лишь в последующем стремятся устранить или уменьшить выраженность контрактур суставов.
Для купирования болевых синдромов используют различные физиотерапевтические средства (электроаналгезия, лечение лазером, магнитотерапия), весьма эффективна рефлексотерапия, ее можно сочетать с ручным массажем по рефлекторно-сегментарной методике без воздействия на травмированную область.
Для устранения отека высокоэффективен ручной массаж направленный на деплеторное воздействие (так наз. отсасывающая методика), вихревой массаж в теплой воде (около 30-32 град C).
Характер упражнений зависит от стойкости контрактур корригирующему воздействию. При податливых контрактурах достаточно активных упражнений и упражнений с самопомощью. При менее податливых контрактурах следует выполнять пассивные движения в сочетании с теплолечением, массажем суставов,. Могут также использоваться мягкие суставные техники мануальной терапии. В комплекс реабилитационных мероприятий желательно включать механотерапию на аппаратах маятникового типа или с электроприводом.
Реабилитация в раннем послеоперационном периоде, когда кисть обездвижена повязкой, по сути в значительной степени аналогичен периоду иммобилизации при консервативном лечении, а поздний послеоперационный соответственно постиммобилизационному.
4. Оценка эффективности реабилитации
Для оценки эффективности реабилитации пациентов при переломах луча в типичном месте используют клинические, инструментальные методы исследования, а также шкалы и опросники, измеряющие степень ограничения активности в повседневной жизни и изменения качества жизни. Из клинических методов наиболее информативен анализ динамики болевого синдрома по визуально-аналоговой (ВАШ) или вербальной шкалам, силы мышц кисти и гониометрических показателей. Для оценки динамики активности и послеоперационного качества жизни пациентов применяют DASH (Disabilities of the Arm, Shoulder, and Hand) - анкету. Эта схема включает в себя 30 вопросов, отражающих наиболее важные действия в повседневной жизни пациента, с использованием поврежденной (оперированной) верхней конечности. Сумма баллов в количестве 0 свидетельствует об отсутствии нарушений, а 100 - максимальной степени нарушений функций верхней конечности
По результатам измерений подсчитывают количество баллов. Их общая сумма составляет индекс, характеризующий функциональное состояние кисти. При индексе меньше 55 функцию кисти считают «плохой», от 55 до 69 - «удовлетворительной», от 70 до 89 баллов - «хорошей», от 90 до 100 - «отличной»
Возможные осложнения и способы их устранения:
Осложнений при использовании данных клинических рекомендаций не выявлено.
Эффективность использования КР:
Эффективность использования КР подтверждена хорошими и отличными функциональными результатами, полученными в процессе реабилитации более 1000 пациентов в возрасте от 18 до 90 лет.
Информация
Источники и литература
Информация
С.П. МИРОНОВ (академик РАН, профессор, ФГБУ ЦИТО), М.Б. ЦЫКУНОВ (профессор, ФГБУ ЦИТО) , А.В. НОВИКОВ (д.м.н. профессор ФГБУ ПФИМЦ),, А.В. ЯШКОВ (д.м.н. профессор СамГМУ),
Рецензирование клинических рекомендаций:
экспертная группа по медицинской реабилитации Минздрава России,
экспертная группа по травматологии и ортопедии Минздрава России.
Методология
Методы, используемые для сбора / Выбора доказательств
Поиск в электронных базах данных
Описание методов, используемых для сбора доказательств
Доказательной базой для написания настоящих клинических рекомендаций являются материалы вошедшие в MedLine, базу Cochrane, материалы издательства Elsevier и статьи в авторитетных отечественных журналах по травматологии и ортопедии. Глубина поиска составляет 25 лет.
Методы, использованные для оценки качества и силы доказательств:
• Консенсус экспертов;
• Оценка значимости в соответствии с рейтинговой схемой (схема прилагается).

Рейтинговая схема для оценки силы рекомендаций (Таблица 1)
Методы, использованные для анализа доказательств:
• Обзоры опубликованных мета-анализов;
• Систематические обзоры с таблицами доказательств.
Методы, использованные для формулирования рекомендаций:
• консенсус экспертов.

Рейтинговая схема для оценки силы рекомендаций (Таблица 2)
Читайте также:
