Выбор цемента для цементировки коронок зубов. Рекомендации
Добавил пользователь Евгений Кузнецов Обновлено: 21.11.2025
Прямые реставрации занимают примерно 96 % нашего рынка. Большинство дантистов свою деятельность, так или иначе, связывают с прямым восстановлением зубов — наиболее распространенное вмешательство. В то же время непрямые реставрации создают гораздо большие возможности и лучшую эстетику для наших пациентов.
Фарфоровые и стеклокерамические коронки и мосты постоянно совершенствуются. Это уже не только металлокерамические конструкции, а изделия, созданные на циркониевой основе, на основе окиси алюминия, дисиликата лития, композита и др. Некоторые из них изготовляются путем послойного нанесения материала на основу, другие представляют собой цельную конструкцию, полученную на станке с программным управлением (CAD/CAM).
Укрепление несъемных конструкций имеет особое значение: мы стремимся к долговечности наших реставраций, особенно если речь идет об активной реабилитации полости рта. По мере увеличения прочности керамики ее укрепление играет особую роль в силу определенных сложностей подготовки субстрата и его бондинга с зубом. Коронки, облицовки, вкладки и т. д. требуют нашего особого внимания, когда их надо долговечно укрепить.
Так же как и при использовании других реставрационных материалов, мы ожидаем определенных свойств и от наших цементов:
Сочетаемость со всеми материалами.
Сила связки. Особое значение имеет начальная сила связки. Следует учесть, что цементы на основе стеклоиономеров применять для керамических реставраций не рекомендуется: стеклоиономер имеет тенденцию впитывать влагу и расширяться, приводя к трещинам и переломам реставрации.
Прочность на сжатие, на изгиб.
Характер отверждения (LC/SC-фазы). Это особенно важно для самопротравливающих цементов. У многих производителей первая фаза — светоотверждение — проходит нормально, но вторая фаза — самоотверждение внутри коронки — не реализуется, конверсия не проходит до оптимальных значений, и укрепление, конечно, неполноценно. Один дантист рассказывал, что как-то после светополимеризации с последующим выжиданием мостовидный протез отделился при попытке удалить излишки цемента по краям. Хотя это может произойти и позже — то, что мы называем расцементировкой.
Простота применения. Нет нужды в активаторе. Как и во всех композитных материалах, в частности адгезивах, для самоотверждения или сочетания с материалами двойного или самоотверждения необходим дополнительный активатор. Некоторые производители идут на хитрость и вводят катализатор непосредственно в цемент. Но нам нужна возможность использовать цемент, который мы хотим, и тогда, когда хотим, а не то, что нам «подсовывает» производитель.
Универсальность — способность к полимеризации и достижению максимальной прочности с различными адгезивами, а не только с теми, которые выборочно предлагает производитель.
Толщина слоя имеет особое значение для точной посадки непрямой реставрации. Так как многие непрямые реставрации, в частности коронки, сегодня имеют значительную точность в прилегании, я рекомендую вам наносить цемент не внутрь реставрации, как мы привыкли делать, а на препаровку. Затем установить реставрацию, очистить края, нанести по краям вазелин и закрыть все фольгой. Это предохранит края реставрации от вымывания цемента вначале, когда воздействие слюны наибольшее.
Долговечность. Прочность бондинга имеет тенденцию снижаться. Поэтому необходимо воспользоваться материалом с наивысшей степенью конверсии. Таким материалом, например, является DuoLink Universal. Исследования показали, что степень конверсии этого цемента наивысшая, особенно если он употребляется с AllBond Universal . Интересно, что в этом случае, даже если по забывчивости не светополимеризовать материал изначально (в случае опаковой основы: металл или цирконий), он полностью полимеризуется внутри.
DuoLink Universal, BISCO (США)
Стабильность при хранении. Мы хотим максимально использовать все возможности материала в пределах срока его годности. Для того чтобы лучше понять особенности применения различных цементов в определенных ситуациях, надо представить себе, когда и что мы выбираем для разнообразных реставраций и почему:
Обычный фарфор — наиболее слабый материал для изолированных реставраций — облицовки и коронки. Он обладает хорошей эстетикой. Цемент наилучшим образом подходит для укрепления таких реставраций — Choice2 . Он не содержит аминов, влияющих со временем на изменение оттенка облицовок.
Choice2, BISCO (США)
Цирконий — самый прочный материал, но он не пропускает свет, что необходимо для светополимеризации облицовок. Для укрепления реставраций на основе циркония необходимо воспользоваться праймером Z-Prime Plus , создающим химический бонд между субстратом и цементом. Наилучшим цементом будет DuoLink Universal в двух оттенках: универсальный и молочно-белый. Важно отметить один часто упускаемый факт, а именно: AllBond Universal — это универсальный адгезив, как мы знаем, но в то же время это и праймер, схожий с Z-Prime. Его также можно нанести на внутреннюю поверхность субстрата, кроме eMax, но, в отличие от Z-Prime, его надо светополимеризовать.
Z-Prime Plus, BISCO
Дисиликат лития (eMax) — стеклокерамика, распространенный современный материал, обладающий прочностью и прозрачностью, что важно для облицовок. eCement содержит в наборе как светоотверждающий, так и цемент двойного отверждения, на случай если облицовка толще 1 мм. Цемент выпускается в А1, полупрозрачный и ярко-молочные цвета покрывают все необходимые клинические ситуации. Реставрации eMax требуют использования 4%-ной фарфоровой протравки (плавиковая кислота) и силана. Как eCEMENT, так и DuoLink Universal дают возможность очень легкой очистки краев от излишков цемента после укрепления реставрации.
eCement, BISCO (США)
Так же как многие из вас, я часто пользуюсь самопротравливающим цементом BisCem . Удобный и быстрый способ укрепления реставраций и штифтов. В отличие от продуктов других производителей, он не нуждается в адгезиве, превышает прочность аналогичных цементов и, как все разработки Bisco, конечно, сочетаем со всеми субстратами и реставрационными материалами.
BisCem, BISCO (США)
Если у вас возникает необходимость достигнуть наибольшей прочности, как, например, при укреплении реставрации на коротком абатменте имплантата или короткой культе, можно воспользоваться текучим композитом BISFIL-2B . Этот материал не относится к группе цементов, но его консистенция и текучесть отличает его от других. Его толщина пленки меньше, чем у самоотверждаемого цемента C&B, прочность очень высокая, так как это, по существу, очень прочный гибридный самоотверждаемый композит.
Цемент для зубных коронок
Для восстановления сильно разрушенного зуба необходима коронка. Это ортопедическая конструкция в виде колпачка, которая крепится на зубе при помощи специального цемента. Она защищает зуб от повреждений и сохраняет его функциональность. Однако из-за неправильной гигиены или непрофессионализма врача коронка может слететь. Что делать, если выпала зубная коронка? Можно ли прикрепить ее самостоятельно? Или лучше обратиться за помощью к врачу?
Причины выпадения коронки
Спровоцировать неприятную ситуацию, связанную с зубными коронками, могут несколько факторов. Они зависят как от действий врача, так и от действий пациента.
- Низкое качество материалов и цемента.
- Нарушение техники изготовления ортопедической конструкции.
- Ошибки на этапе подготовки к протезированию.
- Развитие воспалительного процесса под коронкой.
- Завершение срока службы конструкции.
- Механическая травма.

Постоянная коронка фиксируется при помощи стоматологического цемента и держится в течение нескольких лет. Если на этапе подготовки врач все сделал правильно, то конструкция сохраняет герметичность и прочность надолго, выпасть она не должна. Такое может случиться из-за развития кариеса, который появляется при нерегулярной или неправильной гигиене полости рта. Поэтому так важно не пропускать чистку зубов и пользоваться дополнительными средствами гигиены. А еще проходить профессиональную гигиену полости рта в стоматологической клинике раз в полгода.
Что делать, если выпала зубная коронка
- В первую очередь необходимо сохранить выпавшую конструкцию и постараться записаться к стоматологу в ближайшее время. Например, к нашим специалистам по телефону: 220-86-30.
- Помнить о том, что зуб, который был под коронкой, остался без защиты, поэтому с ним нужно обращаться как можно бережнее. Пережевывать пищу необходимо на противоположной стороне, стараться минимизировать нагрузку на зуб, чтобы избежать надлома.
- При возникновении болевых ощущений принять обезболивающее.
- Если нет возможности обратиться к врачу в ближайшее время, то попробуйте аккуратно поставить конструкцию на место, перед этим ее необходимо тщательно промыть и просушить. Это поможет сохранить препарированный зуб до визита к стоматологу.
Следующий способ является временным! Во избежание осложнений в течение трех дней необходимо обратиться к стоматологу-ортопеду.
- Купите стоматологический цемент (продается в аптеке).
- Тщательно очистите коронку при помощи зубной пасты. Насухо вытрите ее стерильным кусочком ткани.
- Очистите зуб от остатков еды, используя зубную щетку с мягкой щетиной.
- Нанесите цемент на коронку, установите коронку на зуб и придерживайте ее в течение одной минуты. Затем сомкните обе челюсти и оставайтесь в такой положении около двух минут.
- Удалите остатки цемента при помощи марли.
Ни в коем случае не пытайтесь приклеить коронку при помощи суперклея. Клей очень токсичен, и контакт со слюной может привести к печальным последствиям!

Теперь поговорим о том, каким бывает стоматологический цемент, с помощью которого врач фиксирует коронку на зуб. Мало кто знает, но он бывает разных видов. Какой вариант подойдет именно вам, всегда решает стоматолог, исходя из клинических показаний.
Выделяют пять видов стоматологического цемента:
- композиты;
- цинк-фосфаты;
- стеклоиономеры;
- поликарбоксилаты;
- полимер модифицированные стеклоиономеры.
Все они имеют свои преимущества и недостатки, поэтому сказать, какой из них самый лучший, будет некорректно.
При выборе того или иного вида цемента для фиксации коронки врач смотрит на следующие показатели.
Временные коронки как этап протезирования зубов керамическими конструкциями
В ортопедической стоматологии широко используются конструкции, изготавливаемые из керамики: чаще всего это коронки, восполняющие значительное разрушение зубов. Фарфоровые коронки отличаются эстетичностью, сохраняют форму и цвет, надежно фиксируются на зубах [1, 7].
Показаниями к их использованию являются дефекты обширных размеров (кариозного или некариозного происхождения), преимущественно на передних зубах [3, 4].
В связи с тем, что керамические конструкции приобретают достаточную прочность, свето- и термостойкость при значительной толщине их стенок, требуется не только препарирование эмали, но также истончение дентина. Результатом воздействия становится развитие повышенной чувствительности зуба к внешним раздражителям. Другим немаловажным фактором является эстетический дефект, возникающий после препарирования зубов. Данная ситуация является показанием к использованию временной коронки (до изготовления постоянной керамической).
Выбор оттенков цвета керамических масс осуществляется в соответствии с требованиями к конкретному материалу [1, 5].
Адекватное препарирование зуба должно обеспечить форму усеченного конуса [2, 7]. При этом все поверхности сошлифовываются на 0,8—1,5 мм: меньше — у шейки, с увеличением по направлению к режущему краю. Кроме того, формируется уступ в области клинической шейки. Ширина уступа в зубодесневой борозде — от 0,8 до 1,0 мм. Между окклюзионной поверхностью антагониста и отпрепарированной плоскостью должен оставаться «зазор», равный толщине коронки. Поэтому режущий край формируют, укорачивая коронку зуба оптимально [2]. Значительная высота искусственной коронки будет завышать прикус, малая — снижать ее прочность к механическому воздействию.
Поскольку изготовление керамических коронок предусматривает зуботехнический этап работы, пациент на несколько дней остается с отпрепарированными зубами. Результатом может быть гиперестезия — повышенная чувствительность твердых тканей к температурным и химическим раздражителям. Отрицательным моментом являются также эстетические дефекты зубных рядов. Во избежание названных недостатков, как правило, на период изготовления постоянных коронок устанавливаются временные конструкции, которые предназначены для краткосрочного изолирования (от 1—3 дней до 2—3 недель, иногда время более длительное — до 3—6 месяцев) сформированной и обработанной поверхности с целью предупреждения гиперестезии зуба и обеспечения эстетики [4, 6].
Целью настоящего исследования явилось повышение качества изготовления временных коронок путем применения современных стоматологических средств и методов.
В качестве материала для временной конструкции служила самоотверждаемая система «паста-паста» на основе многофункциональных эфиров метакриловой кислоты Structur 3 (VOCO), которая характеризуется положительными свойствами современных стоматологических материалов — легко вводится в полость благодаря текучей консистенции и системе картриджей. Она сохраняет герметизм на весь период нахождения в зубе; индифферентна по отношению к окружающим тканям; позволяет восстанавливать анатомическую форму зуба; достаточно легко удаляется по истечении срока службы. Материал выпускается в восьми оттенках для достижения натурального цвета зуба, обладает естественной флуоресценцией. Характеризуется высокими устойчивостью к внешним воздействиям, прочностью на изгиб и излом.
Structur 3 показан для изготовления временных конструкций (коронок, частичных коронок, мостовидных протезов, вкладок, накладок и виниров), предназначенных для защиты отпрепарированных зубов вплоть до изготовления постоянных керамических конструкций. Они могут применяться также на более длительный срок.
Для получения временной коронки картридж со Structur 3 устанавливается в смеситель (тип 2) фирмы VOCO или аналогичный ему пистолет-смеситель. Перед первым применением возможна технически обусловленная незначительная разница в уровне заполнения обеих полостей картриджа. В связи с этим следует снять с него заглушку и выдавливать материал до тех пор, пока его выход из двух отверстий не будет равномерным. После этого канюля для смешивания (тип 6) устанавливается на картридж и фиксируется поворотом на 90 o . Материал выдавливается при нажатии на рукоятку смесителя и автоматически смешивается в правильном соотношении. После использования канюлю для смешивания нужно оставить на картридже. Непосредственно перед следующим применением материала канюля меняется на новую. При замене канюли требуется проверить выпускные отверстия картриджа на свободное поступление материала.
Временные реставрации моделируются в клинике непосредственно в полости рта или в лаборатории на гипсовых моделях, оттисках. Такие конструкции накладываются в виде коронок на отпрепарированные зубы, обеспечивая покрытие всех подготовленных поверхностей. К временным коронкам предъявляются строгие требования в отношении их прочности и внешнего вида: воссоздание анатомических форм зуба, в том числе контактного пункта, обязательно.
Поскольку предполагается, что временные коронки должны обеспечивать полноценное функционирование зубных рядов, включая не только жевание, но также эстетику, соблюдаются правила работы с композитами. А именно, определяется оттенок материала, причем выбор цвета осуществляется в оптимальных условиях естественного освещения, обеспечивается отсутствие контрастных тонов или цветных теней.
Планирование реставрации не производится, поскольку оттиск зубных рядов отображает основную форму, размеры, рельеф естественных коронок. При наличии на зубах дефектов, сколов и т. д. до снятия оттиска коррекцию объемных параметров можно выполнить любыми пломбировочными материалами (рис. 1а,б) .
Рис 1а. Предварительная коррекция формы зубов не требуется.
Рис. 1б. Предварительная коррекция формы зубов необходима.
В обязательном порядке стоматолог-терапевт осуществляет санацию полости рта и профессиональную гигиену: удаляет над- и поддесневые зубные отложения, назначает противовоспалительную терапию. Проводится мотивация и обучение индивидуальной гигиене полости рта: подбираются зубная щетка и средства для качественной обработки придесневой области искусственной коронки (рис. 2) . Механические средства гигиены полости рта представлены зубными щетками, нитями, ершиками, зубочистками, стимуляторами, ирригаторами. Выпускаемые в настоящее время электрические зубные щетки соединяют в себе свойства механического очищения зубов и массажа десен.
Рис. 2. Использование зубной нити в межзубном промежутке.
Профилактическое и лечебное воздействие на органы полости рта оказывают зубные пасты, гели, жидкие гигиенические средства. К жидким гигиеническим средствам относятся ополаскиватели, эликсиры, бальзамы, вода для рта, освежители полости рта в виде аэрозолей и дезодорантов, растворы, настои, пасты-ополаскиватели, жидкие пасты.
Этапы изготовления временных коронок
До препарирования твердых тканей зубов снимают анатомический оттиск силиконовой массой без корригирующего слоя (рис. 3, 4) . Оттиск в последующем используется для моделирования в нем временных коронок (рис. 5) . Слепок нужно подготовить путем сглаживания поднутрений и вырезания отводных каналов. Если предполагается слишком незначительная толщина стенок временной конструкции, оттиск следует расширить, удалив прежде всего перегородки в проксимальных пространствах. Затем слепок нужно очистить и просушить воздухом.
Рис. 3. Слепочная масса в оттискной ложке.
Рис. 4. Получение оттиска в полости рта.
Рис. 5. Полученный с зубного ряда оттиск.
Временные коронки можно также получать при помощи шаблона. Для этого в лаборатории на модели в вакуумной камере из эластичной массы изготавливают шину на весь зубной ряд. Эта шина-шаблон в последующем используется для моделирования в ней временной коронки (рис. 6а, б) .
Рис. 6а. Изготовленная в лаборатории шина: шаблон.
Рис. 6б. Изготовленная в лаборатории шина: на модели.
После получения оттиска в клинике производят препарирование зубов под керамические коронки (рис. 7а,б) .
Рис. 7а. Отпрепарированные зубы на модели.
Рис. 7б. Отпрепарированные зубы в полости рта.
В соответствии с требованиями к качеству работы с керамикой, снимаются реплики для изготовления постоянных коронок. Может быть снят дополнительный слепок, если планируется формировать временные коронки в зубопротезной лаборатории на модели. Оттиски передаются зубному технику для выполнения требуемых этапов работы.
В клинике врач-стоматолог приступает к изготовлению временных коронок. На отпрепарированные зубы тонким слоем наносят глицерин для предотвращения прилипания материала к зубу. Внутренняя поверхность оттиска (или шаблона) должна быть также изолирована перед внесением самоотверждаемого композита.
В силиконовый оттиск или изготовленный в лаборатории шаблон будет помещаться материал для формирования временных коронок.
Для смешивания паст и дозирования количества используют специальный пистолет и соответствующую канюлю (рис. 8) . Последняя фиксируется на картридже поворотом крышки по часовой стрелке до упора. При воздействии на поршень пистолета не требуется применения значительной силы: материал выдавливается равномерно благодаря текучей консистенции. Перемещение состава останавливается сразу после прекращения давления на поршень.
Рис. 8. Устройство и материал для изготовления временных коронок.
Врачебные манипуляции выполняются следующим образом. Чтобы апплицировать Structur 3 непосредственно в слепок, канюля смесителя вводится внутрь оттиска в области размещения коронки (рис. 9) . Перемещением поршня в шприце Structur 3 выдавливается и начиная со дна занимает пространство, предназначенное для формирования коронки. Таким образом, сначала материал следует внести на окклюзионные поверхности и затем заполнить отпечатки зубов вплоть до десневого края. Во избежание образования пузырьков воздуха носик канюли для смешивания во время аппликации удерживают погруженным в материал. Все действия выполняются быстро и четко, поскольку слепок должен помещаться в полость рта не позднее 30 секунд от начала смешивания.
Рис. 9. Заполнение временным материалом оттиска.
Подготовленную таким образом форму (оттиск, шаблон) вносят в полость рта и сопоставляют с отпрепарированными зубами, используя небольшое давление в течение 30—40 секунд. Материал сохраняет эластическую консистенцию в течение 1—2 мин. после начала смешивания. Временную конструкцию следует удалять из полости рта во время эластичной фазы, то есть в течение 1—2 мин. с начала смешивания. Через указанное время оттиск извлекается вместе с искусственными коронками. Состояние коронок проверяется зондом: следует убедиться в отверждении материала.
Через 4 мин. временные конструкции извлекают из слепка и протирают спиртом (например, этиловым), чтобы полностью удалить тонкий слой, ингибированный кислородом.
Затем требуется тщательно отшлифовать излишки и шероховатости того участка, который будет располагаться в области десны. При необходимости временную конструкцию можно обработать твердосплавной фрезой со скрещенными зубцами и отполировать ручным способом (например, резиновым полиром, шлифовальным диском с мелкой зернистостью или щеточкой).
В тех случаях, когда искусственные коронки изготавливаются в лаборатории, манипуляции осуществляются на модели с отпрепарированными под керамические коронки зубами при помощи полученного ранее, до препарирования зубов, оттиска или силиконового шаблона (рис. 10) . Аналогично работе, выполняемой в клинике, канюлю смесителя вводят внутрь шаблона и заполняют пространство от режущего края до шейки зуба. Шаблон надевается на зубные ряды под адекватным давлением и удаляется в соответствии с интервалами времени, указанными в инструкции (зависит от температуры окружающей среды). Временные коронки припасовываются и обрабатываются на модели (рис. 11) . Затем снимаются и передаются в клинику.
Рис. 10. Введение материала внутрь шаблона.
Рис. 11. Временные коронки припасованы на модели.
В полости рта отпрепарированные зубы и окружающие ткани аккуратно очищаются марлевым тампоном, промываются водой. Тщательно устраняются остатки оттискного и временного материала в зубодесневой бороздке, на поверхности зубов. Затем продолжается работа с временными коронками. После полного отверждения композита удаляется слой, ингибированный кислородом. Благодаря специфическим свойствам материала блеск достигается без воздействия твердосплавными полирами и полировочными средствами. Коронки припасовываются на зубах в полости рта.
Для укрепления временных конструкций используется временный лютинг-цемент Provicol (VOCO), не содержащий эвгенола, поскольку в последующем планируется использовать для постоянной фиксации композитный материал. После цементирования коронок следует аккуратно проверить зубодесневые бороздки и окружающие области, удалить возможные остатки временного материала и фиксирующего цемента. Выверяются окклюзионные контакты.
Применение временных конструкций позволяет обеспечить удобство для пациента на период изготовления постоянных керамических коронок, исключив дискомфорт или развитие гиперестезии зубов. Кроме того, у пациента появляется возможность привыкания к ношению искусственных протезов (рис. 12) .
Рис. 12. Керамические коронки в полости рта.
Спустя оптимальный для зубопротезного этапа период времени, необходимый для изготовления керамических коронок, временные конструкции снимаются. Их заменяют на постоянные керамические коронки.
Заключение
Для протезирования фронтальных зубов широкие показания имеют керамические коронки. Поскольку препарирование твердых тканей зубов может приводить к повышению чувствительности и нарушению эстетики, а изготовление постоянных конструкций требует определенного времени, на этот период используются временные коронки. Материалы для таких реставраций должны соответствовать требованиям эстетичности, прочности, устойчивости к воздействиям факторов окружающей среды. Они исключают развитие гиперестезии, обеспечивая определенный комфорт для пациента, и облегчают привыкание к ношению искусственных протезов. Обязательным этапом лечения являются санация полости рта, профессиональная гигиена и обучение пациента рациональному уходу за зубами.
Цементация и бондинг: практический подход к пониманию процесса

Клиническая стоматология представляет собой ряд процессов и решений, от которых зависит качество оказываемой помощи. Не исключением является и цементация непрямых реставраций, т. к. в этой области существует несколько опций. Данная статья поможет врачам принять правильное решение при выборе способа фиксации непрямых реставраций.
Модифицированные СИЦ
Самоадгезивные композитные цементы
Адгезивные композитные цементы
Meron Plus, Voco
RelyX Luting Plus, 3M
RelyX Unicem, 3M
RelyX Ultimate, 3M
Nexus RMGI, Kerr
SpeedCem Plus, Ivoclar Vivadent
Multilink Automix, Ivoclar Vivadent
Maxcem Elite, Kerr
Введение
Стоматологическая цементация претерпела значительные изменения, с тех пор как в 1850 году был представлен цинк-оксид-эвгенольный цемент. Производители постоянно вносят незначительные изменения в состав, что приводит к огромному разнообразию цементов и усложняет процесс выбора материала. С каждым поколением приходят новые показания, рекомендации, рабочие характеристики и технологии.
Как и фиксирующие материалы, значительного развития и разнообразия достигли и сами непрямые реставрации. Ортопедическая стоматология достигла таких высот, которых пионеры этой области не могли даже представить. Тем не менее, неудачи могут случаться, если реставрация неправильно сработана или зацементирована. Даже тип реставрации - вкладка, коронка, винир - может оказывать существенное влияние на выбор фиксирующего цемента.
Данная статья рассматривает наиболее часто используемые цементы с позиции фиксации наиболее популярных реставраций. Основная цель - упростить процесс выбора способа фиксации и фиксирующего материала для практикующих врачей. Осознанный выбор материалов позволяет достигать предсказуемо хороших результатов.
Реставрация
Цемент
Препарирование зуба
Препарирование реставрации
Цемент: только хорошая ретенция
Обеспечить чистоту культи (пемза или щетка)
Обработать реставрацию пескоструйным аппаратом (50-60 мкм оксид алюминия,
Бонд: самоадгезивный композитный цемент
Обеспечить чистоту культи
Бонд: адгезивный композитный цемент
Обеспечить чистоту культи, протравить и/или нанести бонд в соответствие с рекомендациями производителя
Силикат или дисиликат лития
Протравить реставрацию 5 % плавиковой кислотой в течение 20 секунд, нанести праймер, нанести самоадгезивный композитный цемент
Протравить реставрацию 5 % плавиковой кислотой в течение 20 секунд, нанести праймер, нанести бонд, нанести адгезивный композитный цемент
Керамика усиленная лейцитом
Протравить реставрацию 9,6 % плавиковой кислотой в течение 1 минуты, нанести праймер, нанести бонд, нанести адгезивный композитный цемент
Обработать реставрацию пескоструйным аппаратом (25-50 мкм оксид алюминия, 1.5-2 бар), нанести праймер на 60 секунд, нанести бонд и адгезивный композитный цемент (следуйте инструкциям производителя)
Цементы
В огромном номенклатурном разнообразии выделяют три основные вида цементов, наиболее широко распространённых в практике и признанных среди стоматологов: химические, адгезивные и самоадгезивные цементы. Каждый из этих видов, имеет не только свои показания, но и индивидуальный протокол для достижения успеха.
Следует особенно подчеркнуть, что не существует универсального цемента, удовлетворяющего всем требованиям любой клинической ситуации, поэтому знания в области материаловедения необходимы.
Химические цементы
Химические цементы просто создают связующую прослойку между зубом и реставрацией. Связь обеспечивается за счет физических факторов, химические связи (бондинг) при этом не образуются.
Модифицированные СИЦ
Традиционные СИЦ используются в стоматологии вот уже более 40 лет. Но в 1990 впервые были представлены модифицированные композитом СИЦ. Модифицированные СИЦ показали лучшие свойства в сравнении с традиционными, за счет добавления в состав мономеров метакрилата. Они имеют лучшую прочность на изгиб, биосовместимость, а также, являясь химическими цементами, обеспечивают более прочную фиксацию.
Модифицированные СИЦ имеют ряд привлекательных для врачей свойств: они высвобождает фторид-ион, не требуют нанесения адгезива и препятствуют возникновению постоперационной чувствительности. Они показаны для многих типов реставраций, хотя существуют сведения о переломах лейцитной и полевошпатной керамики, зацементированной МСИЦ. Для успешной фиксации протезов с помощью МСИЦ, необходимо обеспечить правильную ретенцию и устойчивость.
Композитные цементы
Композитные цементы - это большая группа материалов, включающая множество подкатегорий. Приведенная ниже классификация - наиболее распространена в современной стоматологии. Две основные категории композитных цементов - это адгезивные и самоадгезивные композитные цементы.
Адгезивные композитные цементы
Адгезивные композитные цементы появились раньше самоадгезивных. Они имеют множество показаний к использованию и должны быть тщательно изучены перед применением. Существуют варианты химического, двойного и светового отверждения. Для обеспечения успеха существует детальный протокол бондинга, включающий в себя предварительную обработку зуба и внутренней поверхности реставрации.
Кроме того, в зависимости от типа адгезива, может понадобиться дополнительный силановый связующий агент для связи с поверхностью реставрации. Доступно множество оттенков, а также пробники (зависит от производителя).
Самоадгезивные композитные цементы
САКЦ часто называют «универсальными цементами». Имея начальный уровень рН 2,1-2,3, они в состоянии протравить зуб, в то время как мономеры, входящие в их состав обеспечивают связь с зубом без нанесения отдельного праймера или бонда (не рекомендуется большинством производителей). Большинство этих материалов - двойного отверждения, и хотя сила сцепки не такая как у адгезивных цементов, при световой активации схватывания эти показатели улучшаются. Показания к применению обширные: коронки, мосты, вкладки из любых материалов. Тем не менее, виниры не рекомендуется фиксировать с помощью САКЦ, т. к. в последствие возможно изменение цвета.
Реставрации
Согласно данным лаборатории Glidewell, на первом месте по популярности стоят циркониевые реставрации (цельные или послойные). На втором месте с большим отрывом реставрации из силиката или дисиликата лития. На третьем месте коронки на основе драгоценных и полудрагоценных металлов. Каждый тип имеет индивидуальные особенности цементации.
Керамика и стеклокерамика
Многие врачи ошибочно считают, что керамика и стеклокерамика это одно и то же. Важно понимать, что керамика подразделяется на три основные категории: собственно стеклокерамика, частично-наполненная стеклокерамика и поликристаллическая керамика. Все эти материалы имеют специфические свойства и требуют индивидуального подхода.
Собственно стеклокерамика
Этот тип керамики состоит из полевошпатных минералов и оксида алюминия. Обычно такую керамику называют полевошпатной керамикой. Стеклокерамика обладает высокой эстетичностью и может быть использована для коронок, виниров, вкладок и др.
Из-за повышенной хрупкости, реставрации из стеклокерамики рекомендуется фиксировать с помощью адгезивных композитных цементов. Для успешного бондинга внутреннюю поверхность реставрации рекомендуется протравить 9,6 % плавиковой кислотой в течение минимум 1 минуты (максимум 2,5 минуты), затем нанести МДФ праймер на одну минуту и раздуть воздухом.
Частично-наполненная стеклокерамика
ЧНС состоит из разных типов и количеств частиц, заполняющих стеклянную матрицу. Прочность этих материалов обусловлена большим количеством встроенных в матрицу частиц и меньшим количеством стеклянного матрикса. Выделяют три наиболее известных вида: усиленные лейцитом, дисиликат лития и стеклоинфильтрированный оксид алюминия. Прочность данных видов керамики возрастает от первого к третьему, и зависит от наполнителя стеклянного матрикса. Данные материалы показаны для изготовления коронок, виниров, вкладок.
Все три вида материалов фиксируются по-разному:
- Для лейцитной керамики - протравливание 5 % плавиковой кислотой в течение одной минуты, адгезивное цементирование
- Для дисиликата лития - протравливание 5 % плавиковой кислотой в течение 20 секунд
- Для керамики на основе оксида алюминия - пескоструйная обработка оксидом алюминия или оксидом кремния.
На мой взгляд, дисиликат лития и стеклоинфильтрированный алюминий - идеальные варианты для адгезивной цементации (адгезивными и самоадгезивными цементами). Возможно цементирование таких реставраций и модифицированными СИЦ, использование силанового праймера не показано.
Поликристаллическая керамика
Поликристаллическая керамика - это плотно спеченный оксид алюминия или оксид циркония. Согласно данным лаборатории Glidewell, оксид циркония является самым популярным материалом среди стоматологов. Реставрации из этого материала имеют множество показаний в стоматологии, включая полные коронки. И оксид алюминия, и оксид циркония -безкремниевые и безметалловые материалы, следовательно, требуют отличного от обычной керамики обращения.
Ретенционные элементы культи играют немаловажную роль в выборе цемента. Реставрации могут быть зацементированы обычным цементом (модифицированные СИЦ), если культя имеет хорошие ретенционные характеристики. Бондинг возможен при соблюдении технологии. Доктор Marcus Blatz предложил единый концепт бондинга циркониевых реставраций. Внутренняя поверхность должна быть обработана пескоструйным аппаратом с использованием оксида алюминия 50-60 мкм, под давлением 2 бар. Затем поверхность обрабатывается праймером для циркония или алюминия. Заключительный этап - нанесение композитного цемента двойного или химического отверждения. Важно не использовать цемент светового отверждения, т. к. он полностью не полимеризуется.
Гибридная керамика
Гибридная керамика, впервые представленная в 2012 году, это новейший материал для изготовления непрямых реставраций. Существует несколько материалов данного вида. Все они состоят из керамических частиц, встроенных в композитную матрицу, до 80 % наполненности. Каждый производитель перечисляет разные показания, но все материалы этой группы подходят для изготовления коронок, виниров, вкладок и коронок на имплантаты.
Эти материалы привлекательны для пользователей CAD/CAM, т. к. быстро изготавливаются и не требуют обжига. Каждый материал имеет уникальный протокол бондинга. Его соблюдение чрезвычайно важно для надежной адгезии. Из-за вариаций в составе необходимо чётко соблюдать все рекомендации производителя для достижения отличного результата.
Для фиксации я рекомендую использовать адгезивный композитный цемент двойного отверждения, так как данные цементы хорошо сочетаются с гибридной керамикой. Пескоструйная обработка необходима, а вот плавиковая кислота противопоказана для большинства реставраций данного вида.
Реставрации на основе металлов
Реставрации на основе металлов утратили свою популярность в современной стоматологии (Glidewell Dental Laboratories, 2018). Несмотря на наличие некоторых вариаций в металлических конструкциях, они могут быть зацементированы по аналогии с реставрациями на основе алюминия или циркония. С одинаковым успехом можно использовать модифицированные СИЦ или композитные цементы двойного или химического отверждения. При использовании композитного цемента, необходимость применения праймера для металла является спорной, но неблагоприятного эффекта от его применения замечено не было.
Клинический случай
Принято решение заменить старую металлокерамическую коронку зуба 25 на реставрацию из IPS E.max press - частично-наполненная стеклокерамика на основе дисиликата лития.
Реставрация может быть зацементирована с помощью МСИЦ, самоадгезивного или адгезивного композитного цемента. Реставрации на основе дисиликата лития я предпочитаю фиксировать с использованием адгезивных цеменов в отличие от реставраций на основе оксида циркония. Это связано с меньшей прочностью данных реставраций.

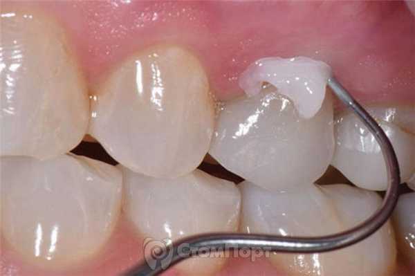
Реставрация была протравлена 5 % плавиковой кислотой в течение 20 секунд, так как это не было сделано в лаборатории. Затем внутренняя поверхность реставрации была обработана спиртом. Нанесен керамический бонд от Voco, экспозиция 60 секунд. Перед нанесением цемента, бонд был раздут пустером для равномерности (Рис. 1).


Проведено обезболивание зуба для уменьшения чувствительности в процессе цементации. После наступления анестезии культя зуба обработана 2 % хлоргексидином от Ultradent (Рис. 2). Этот этап необязателен, но хлоргексидин - хороший антисептик и не снижает силу сцепления. Затем был нанесен Futurabond U от Voco на 20 секунд и аккуратно раздут в течение 5 секунд (Рис. 3).





После подготовки реставрации и зуба был нанесен цемент Bifix QM от Voco, и реставрация аккуратно зафиксирована на зуб под небольшим давлением (Рис. 4). После установки реставрация была засвечена в течение 2 секунд (Рис. 5). Излишки цемента без труда удалены с помощью гладилки (Рис. 6), реставрация окончательно отполирована (Рис. 7-8).
Заключение
Цементация реставраций представляет врачу множество вариантов. В практике выбор материала часто зависит от предпочтений врача. Чтобы сделать правильный выбор, врач должен предварительно оценить зуб и реставрацию. Знания и умение ориентироваться в огромном разнообразии имеющихся материалов помогут выбрать наилучший вариант для каждого конкретного случая.
Об авторе
Д-р Чад Дуплантис получил ученую степень (DDS) в Университете Техаса в 1999 году. Ведет частную практику с 2000 года в Форт-Уэрте, Техас. Специализируется на эстетической стоматологии. Д-р Дуплантис всегда интересовался высокими технологиями в стоматологии и пользуется CAD/CAM в своей практике с 2004 года. Является клиническим консультантом Glidewell Laboratories.
Выбор цемента для цементировки коронок зубов. Рекомендации
В настоящее время в стоматологии выделяют различные виды цементов, они классифицируются по химическому составу, способу твердения, времени твердения, назначению и времени использования (временные и постоянные). Cовершенствование цементов неразрывно связано с развитием ортопедической стоматологии и несъемных конструкций зубных протезов, а так же терапевтической стоматологии. Стоматологический цементы имеют различные свойства, от этих свойств и характеристик мы и отталкиваемся выбирая материал для различных процедур, что бы получить максимальный эффект лечения. В каждой области стоматологии цементы обладают уникальными качествами, которые не могут повторять материалы из другой области, по этому стоматологические материалы так же классифицируются по направлению стоматологии. Мы рассмотрим свойства самых распространённых из них и сравним их.
1. Гумилевский Б.Ю., Жидовинов А.В., Денисенко Л.Н., Деревянченко С.П., Колесова Т.В. Взаимосвязь иммунного воспаления и клинических проявлений гальваноза полости рта // Фундаментальные исследования. - 2014. - № 7-2. - С. 278-281.
2. Данилина Т.Ф., Жидовинов А.В. Гальваноз как фактор возникновения и развития предраковых заболеваний слизистой оболочки полости рта // Волгоградский научно-медицинский журнал. - 2012. - № 3. - С. 37-39.
3. Данилина Т.Ф., Наумова В.Н., Жидовинов А.В. Литье в ортопедической стоматологии. Монография. - Волгоград, 2011. - С. 89-95.
4. Данилина Т.Ф., Жидовинов А.В., Порошин А.В., Хвостов С.Н. Профилактика гальваноза полости рта у пациентов с металлическими зубными протезами // Вестник новых медицинских технологий. - 2012. - Т. 19, № 3. - С. 121-122.
5. Данилина Т.Ф., Жидовинов А.В., Порошин А.В., Хвостов С.Н., Майборода А.Ю. Диагностические возможности гальваноза полости рта у пациентов с металлическими ортопедическими конструкциями // Современные наукоемкие технологии. - 2012. - № 2. - С. 49-51.
6. Данилина Т.Ф., Михальченко Д.В., Жидовинов А.В., Порошин А.В., Хвостов С.Н., Вирабян В. А. Способ диагностики непереносимости ортопедических конструкций в полости рта // Современные наукоемкие технологии. - 2013. - № 1. - С. 46-48.
7. Данилина Т.Ф., Михальченко Д.В., Жидовинов А.В., Порошин А.В., Хвостов С.Н., Вирабян В.А. Расширение функциональных возможностей потенциалометров при диагностике гальваноза полости рта // Вестник новых медицинских технологий. Электронное издание. - 2013. - № 1. - С. 260.
8. Данилина Т.Ф., Михальченко Д.В., Наумова В.Н., Жидовинов А.В. Литье в ортопедической стоматологии. Клинические аспекты. - Волгоград: Изд-во ВолгГМУ, 2014. - С. 184.
9. Данилина Т.Ф., Михальченко Д.В., Порошин А.В., Жидовинов А.В., Хвостов С.Н. Коронка для дифференциальной диагностики гальваноза // Патент на полезную модель РФ № 119601, заявл. 23.12.2011, опубл. 27.08.2012. Бюл. 24. - 2012.
10. Данилина Т.Ф., Наумова В.Н., Жидовинов А.В., Порошин А.В., Хвостов С.Н. Качество жизни пациентов с гальванозом полости рта//Здоровье и образование в XXI веке. - 2012. - Т. 14. № 2. - С. 134.
11. Данилина Т.Ф., Порошин А.В., Михальченко Д.В., Жидовинов А.В. Хвостов С.Н. Способ профилактики гальваноза в полости рта // Патент на изобретение РФ №2484767, заявл. 23.12.2011, опубл. 20.06.2013. -Бюл. 17. - 2013.
12. Данилина Т.Ф., Сафронов В.Е., Жидовинов А.В., Гумилевский Б.Ю. Клинико-лабораторная оценка эффективности комплексного лечения пациентов с дефектами зубных рядов // Здоровье и образование в XXI веке. - 2008. - Т. 10, № 4. - С. 607-609.
13. Жидовинов А.В. Обоснование применения клинико-лабораторных методов диагностики и профилактики гальваноза полости рта у пациентов с металлическими зубными протезами / Жидовинов А.В. // Диссертация. - ГБОУ ВПО «Волгоградский государственный медицинский университет». - Волгоград, 2013.
14. Жидовинов А.В. Обоснование применения клинико-лабораторных методов диагностики и профилактики гальваноза полости рта у пациентов с металлическими зубными протезами: автореф. дис. мед. наук. - Волгоград,. - 2013. - 23 с.
15. Жидовинов А.В., Головченко С.Г., Денисенко Л.Н., Матвеев С.В., Арутюнов Г.Р. Проблема выбора метода очистки провизорных конструкций на этапах ортопедического лечения // Современные проблемы науки и образования. - 2015. - № 3. - С. 232.
16. Жидовинов А.В., Павлов И.В. Изменение твердого неба при лечении зубочелюстных аномалий с использованием эджуайз-техники. В сборнике: Сборник научных работ молодых ученых стоматологического факультета ВолгГМУ Материалы 66-й итоговой научной конференции студентов и молодых ученых. Редакционная коллегия: С.В. Дмитриенко (отв. редактор), М.В. Кирпичников, А.Г. Петрухин (отв. секретарь). - 2008. - С. 8-10.
17. Мануйлова Э.В., Михальченко В.Ф., Михальченко Д.В., Жидовинов А.В., Филюк Е.А. Использование дополнительных методов исследования для оценки динамики лечения хронического верхушечного периодонтита // Современные проблемы науки и образования. - 2014. - № 6. - С. 1020.
18. Медведева Е.А., Федотова Ю.М., Жидовинов А.В. Мероприятия по профилактике заболеваний твёрдых тканей зубов у лиц, проживающих в районах радиоактивного загрязнения // Международный журнал прикладных и фундаментальных исследований. - 2015. - № 12-1. - С. 79-82.
19. Михальченко Д.В., Слётов А.А., Жидовинов А.В. Мониторинг локальных адаптационных реакций при лечении пациентов с дефектами краниофациальной локализации съемными протезами // Современные проблемы науки и образования. - 2015. - № 4. - С. 407.
20. Михальченко Д.В., Гумилевский Б.Ю., Наумова В.Н., Вирабян В.А., Жидовинов А.В., Головченко С.Г. Динамика иммунологических показателей в процессе адаптации к несьёмным ортопедическим конструкциям//Современные проблемы науки и образования. - 2015. - № 4. - С. 381.
21. Михальченко Д.В., Порошин А.В., Шемонаев В.И., Величко А.С., Жидовинов А.В. Эффективность применения боров фирмы «Рус-атлант» при препарировании зубов под металлокерамические коронки // Волгоградский научномедицинский журнал. Ежеквартальный научнопрактический журнал. - 2013. - № 1. - С. 45-46.
22. Михальченко Д.В., Филюк Е.А., Жидовинов А.В., Федотова Ю.М. Социальные проблемы профилактики стоматологических заболеваний у студентов // Современные проблемы науки и образования. - 2014. - № 5. - С. 474.
23. Поройский С.В., Михальченко Д.В., Ярыгина Е.Н., Хвостов С.Н., Жидовинов А.В. К вопросу об остеоинтеграции дентальных имплантатов и способах ее стимуляции / Вестник Волгогр. гос. мед. ун-та. - 2015. - № 3 (55). - С. 6-9.
24. Шемонаев В.И., Михальченко Д.В., Порошин А.В., Жидовинов А.В., Величко А.С., Майборода А.Ю. Способ временного протезирования на период остеоинтеграции дентального имплантата//Современные наукоемкие технологии. - 2013. - № 1. - С. 55-58.
25. Mashkov A.V., Sirak S.V., Mikhalchenko D.V., Zhidovinov A.V. Variability index of activity of masticatory muscles in healthy individuals within the circadian rhythm. International Journal Of Applied And Fundamental Research. - 2016. - № 5.
26. Matveev S.V., Sirak S.V., Mikhalchenko D.V., Zhidovinov A.V. Rehabilitation diet patients using the dental and maxillofacial prostheses. International Journal Of Applied And Fundamental Research. - 2016. - № 5.
27. Matveev S.V., Sirak S.V., Mikhalchenko D.V., Zhidovinov A.V. Selection criteria fixing materials for fixed prosthesis. International Journal Of Applied And Fundamental Research. - 2016. - № 5.
28. Mikhalchenko D.V., Sirak S.V., Yarigina E.N., Khvostov S.N., Zhidovinov A.V. The issue of a method of stimulating osteoitegratsii dental implants. International Journal Of Applied And Fundamental Research. - 2016. - № 5.
29. Mikhalchenko D.V., Sirak S.V., Zhidovinov A.V., Matveev S.V. Reasons for breach of fixing non-removable dentures. International Journal Of Applied And Fundamental Research. - 2016. - № 5.
30. Mikhalchenko D.V., Siryk S.V., Zhidovinov A.V., Orehov S.N. Improving the efficiency of the development of educational material medical students through problem-based learning method in conjunction with the business game.. International Journal Of Applied And Fundamental Research. - 2016. - № 4.
31. Mikhalchenko D.V., Siryk S.V., Zhidovinov A.V., Orekhov S.N. Optimization of the selection of provisional structures in the period of osseointegration in dental implants.. International Journal Of Applied And Fundamental Research. - 2016. - № 4.
32. Mikhalchenko D.V., Zhidovinov A.V., Mikhalchenko A.V., Danilina T.F. Тhe local immunity of dental patients with oral galvanosis // Research Journal of Pharmaceutical, Biological and Chemical Sciences. - 2014. - Vol. 5, № 5. - P. 712-717.
33. Sletov A.A., Sirak S.V., Mikhalchenko D.V., Zhidovinov A.V. Treatment of patients with surround defects mandible. International Journal Of Applied And Fundamental Research. - 2016. - № 5.
34. Virabyan V.A., Sirak S.V., Mikhalchenko D.V., Zhidovinov A.V. Dynamics of immune processes during the period adaptation to non-removable prosthesis. International Journal Of Applied And Fundamental Research. - 2016. - № 5.
35. Zhidovinov A.V., Sirak S.V., Sletov A.A., Mikhalchenko D.V. Research of local adaptation reactions of radiotherapy patients with defects of maxillofacial prosthetic with removable. International Journal Of Applied And Fundamental Research. - 2016. - № 5.
В течение длительного времени популярными материалами в стоматологии для цементирования несъемных конструкций протезов продолжают оставаться цинк-фосфатные и стеклоиономерные цементы. Кроме них, широкое распространение получили стеклоиономерные цементы модифицированные полимерами, которые сохраняют преимущества традиционных стеклоиономерных цементов, а именно выделение фтора и химическую адгезию с тканями зуба, обладая при этом при этом более высокой прочностью, низкой растворимостью в жидкости и меньшим микроподтеканием 2.
Цель: Проанализировать свойства современных стоматологических цементов.
Цинк-фосфатные цементы основаны на реакции взаимодействия порошка оксидов металлов (основной компонент - оксид цинка) и водного раствора фосфорной кислоты, который может содержать ионы металлов. Эти цементы применяют для фиксации зубных протезов и аппаратов, а также для подкладок под пломбы при восстановлении зубов и для временного пломбирования 14.
Цинк-фосфатный цемент является старейшим цементом для фиксации. Часто он служит стандартом, с которым сравнивают более новые разработки. Основными причинами широкого использования этих материалов в повседневной клинической практике являются их хорошие манипуляционные свойства, способность фосфатных цементов твердеть в течение короткого времени 6.
Отрицательные свойства. Цинк-фосфатный цемент оказывает токсическое воздействие на пульпу зуба. В таких случаях либо используют другой вид цемента, либо на дно вначале кладут гидроксид кальция, и только потом ЦФЦ. Цинк-фосфатный цемент очень чувствителен к влаге, поэтому полость зуба обязательно должна оставаться сухой [15, 16].
Стеклоиономерные цементы представляют собой систему «порошок/жидкость». Состав: порошок - кальций - алюмосиликатное стекло с добавлением фторидов (до 23 %). Жидкость - раствор поликарбоновых кислот: полиакриловой, полиитаконовой и полималеиновой.
Сочетают в себе низкую токсичность, высокую прочность и удовлетворительные эстетические характеристики, а также проявляют противо- кариозную активность. СИЦ могут применяться при наложении как базовых, так и тонкослойных (лайнерных) изолирующих прокладок, постоянных пломб, а также для фиксации несъемных ортопедических конструкций. Отрицательные свойства стеклоиономерного цемента:
1. Окончательное застывание происходит через 24 часа
2. Чувствительность к избытку или недостатку влаги в процессе отверждения
3. Чувствительность к внешним механическим воздействиям в процессе «созревания». Установлено, что механические воздействия, особенно вибрация при обработке борами и абразивными инструментами, может нарушать образование химической связи между цементом и структурами зуба. Это приводит к нарушению герметичности 17.
В настоящее время отмечается определенная тенденция к более широкому и активному применению композиционных цементов. Основная причина данной тенденции заключается в том, что цементы этой группы превосходят другие цементы по целому ряду характеристик.
Композитные цементы делятся на 2 большие группы:
1. Композитные цементы с этапом адгезивной подготовки;
2. Композитные цементы без этапа адгезивной подготовки (самоадгезивные).
применение традиционных или классических композитных цементов связано с протравливанием ортофосфорной кислотой и с адгезивной подготовкой поверхности зубов перед их использованием. Этот этап обеспечивает надежную герметичность и изоляцию зубов после цементирования непрямых реставраций. Сложности связанные с необходимостью предварительной адгезивной подготовкой, а именно дополнительные временные затраты, чувствительность к аппликационным ошибкам, случаи возникновения послеоперационной чувствительности ограничивали их более широкое использование в стоматологии [20, 21, 22].
Самоадгезивные композитные цементы появились чуть позже в следствие дальнейших разработок композитных цементов. Эти цементы не требует предварительного протравливания ортофосфорной кислотой твердых тканей зуба. Связь возникает за счет низких значений рН таких цементов сразу после замешивания. По данным исследования, значение рН меняется от 1 до 6 в течение полимеризации. Цемент на начальном этапе деминерализует, а затем проникает в поверхностный слой твердых тканей зуба, соединяясь при этом с тканями зуба. Особенность заключается в том, что смазанный слой на поверхности культи зуба не удаляется, а частично модифицируется. Механизм полностью не изучен, но предполагается, что связь происходит за счет реакции комплексообразования ионов кальция на поверхности дентина зуба и фосфорной кислоты метакрилатов в цементе.
Основные положительные свойства этого цемента это:
2. Низкая растворимость.
3. Прочная связь с тканями зуба и отсутствие микроподтекания.
4. Низкая величина толщины цементной плёнка.
Самоадгезивные композитные цементы (СКЦ) появились позднее всех видов цементов. Ряд научных исследований подтверждают высокую клиническую эффективность данной группы материалов. Первые СКЦ имели ряд недостатков и по многим параметрам уступали аналогичным материалам. Современные СКЦ имеют улучшенные характеристики, что свидетельствует о целесообразности их использования с целью высокой клинической эффективности при протезировании несъемными конструкциями зубных протезов.
В настоящее время один из самых распространенных пломбировочных материалов является filtek z550 от компании 3М ESPE (США), его можно использовать в ежедневной стоматологической практике. Взяв за основу уже зарекомендовавший себя композитный материал Filtek Z250, производители добавили уникальную технологию нанонаполнителя. Получилось значительно улучшить манипуляционные свойства нового композита, его прочностные, а также эстетические характеристики. Работать новым материалом Филтек (Filtek) Z550 легко и удобно, так как он: 26.
- Не липнет к инструментам
- Очень легко адаптируется к стенкам полости
- Легко моделируется вне зависимости от дизайна реставрации
- Держит форму до полимеризации
Наногибридная формула обеспечивает материалу отличные прочностные характеристики и высокую износоустойчивость, поэтому, реставрируя с помощью наногибридного композита Filtek Z550, Вы можете быть уверены в долгосрочном результате. Легко использовать для реставраций по любому классу. Наногибридный композит Filtek Z550 идеально подходит для восстановления зубов боковой и фронтальной групп. Цветовая гамма материала включает 12 самых популярных оттенков, идеально соответствующих шкале Vita. Материал легко полируется, что обеспечивает реставрациям естественную, природную эстетику 28.
Временные стоматологические цементы. Временные стоматологические цементы используются, чтобы улучшиться потребительские качества уже постоянного протеза. Он ускоряет адаптацию десны и подготовку к дальнейшему протезированию. При этом снижается риск развития воспалительных процессов под постоянными конструкциями. Так же пациент может определиться с ощущениями. В случае дискомфорта протез легко снимается 33.
Однако стоит помнить, что временные цементы не такие прочные как постоянные, Поэтому для того чтобы преждевременно не сорвать временный протез, стоит избегать употребление твердой пищи, жевания на стороне с установленными временными коронками.
Одним из таких материалов является RelyX Temp NE от компании 3М ESPE (США) представляет собой безэвгенольный самополимеризующийся цемент, предназначенный для временной фиксации ортопедических конструкций. Благодаря безэвгенлоьной формуле RelyX Temp NE не влияет на последующую полимеризацию пломбировочных материалов и цементов для фиксации. Предназначен специально для пациентов, плохо переносящих эвгенол.
- Фиксация временных конструкций.
- Временная фиксация коронок, мостовидных протезов, накладок и вкладок.
- Высокая степень адгезии и хорошее качество краевого прилегания
- Минимальный риск возникновения постоперативной чувствительности
- Нет этапа протравливания, прайминга, бондинга
- Толерантность к влаге
- Простота использования и гигиеничность
- Материала в кликере достаточно для фиксации 40 единиц коронок
- Инновационная упаковка «Кликер», форма паста/паста обеспечивает удобство в работе.
Недостатки [34, 35]:
- Паста катализатора содержит вещества, которые при контакте с кожей могут вызывать аллергические различные реакции у некоторых людей
- Вблизи пульпы надо использовать традиционные прокладки для её защиты.
Читайте также:
