Выбор доступа для микрохирургического удаления вестибулярной шванномы
Добавил пользователь Евгений Кузнецов Обновлено: 11.12.2025
1 ФГБУ «Новосибирский научно-исследовательский институт травматологии и ортопедии им. Я.Л. Цивьяна» Минздрава России
За последние 15 лет в клинике оперировано 4325 больных с опухолями центральной нервной системы. Из них 149 (3,4 %) больных имели невриномы слуховых нервов большого и гигантского размеров. При этом среди всех пациентов с опухолями вестибулярного нерва у 145 (97,3 %) диагностированы новообразования с одной, у 4 (2,7 %) - с двух сторон. В общей сложности диагностировано 153 невриномы. Среди них женщин было 112 (73,2 %), мужчин - 41 (26,8 %). Средний возраст составил 44 года. Из 153 неврином слухового нерва 88 (57,5 %) классифицированы как большие (один из размеров более 2 см); 65 (42,5 %) - гигантские (один из размеров более 4 см). Оперативные вмешательства выполнялись с использованием мониторирования акустических стволовых вызванных потенциалов. Тотальное удаление опухоли выполнено у 138 (92,6 %). В 11 (7,4 %) случаях невриномы слухового нерва удалены субтотально из-за тесной связи ее капсулы со стволом головного мозга или наличием гигантского новообразования и исходной тяжестью состояния больного. Для резекции неврином слухового нерва использован стандартный ретросигмовидный субокципитальный доступ. Анатомическая сохранность лицевого нерва достигнута в 55,2 % случаев, функциональная - в 27 %. Общая послеоперационная летальность составила 2,7 %.
1. Тастанбеков М.М. Вестибулярные шванномы гигантских размеров: особенности диагностики, клиники и хирургического лечения: автореф. дис. … д-ра мед. наук. - СПб., 2012. - 42 с.
2. Современный взгляд на диагностику и лечение неврином слухового нерва / Н.Г. Никонова, Д.Н. Капитанов, А.В. Голанов [и др.] // Вестник оториноларингологии. - 2009. - № 1. - С. 61-66.
3. Samii M., Gerganov V.M., Samii A. Functional outcome after complete surgical removal of giant vestibular schwannomas // Journal of Neurosurgery. - 2010. - Vol. 112, № 4. - P. 860-867.
4. Земскова О.В. Роль радиохирургии в комбинированном лечении вестибулярных шванном больших размеров /О.В. Земскова // Украинский нейрохирургический журнал. - 2015. - № 2. - 64-69.
7. Conservative management of acoustic neuromas / D.A. Schessel, A. Pfleiderer, E.E. Kassel [et al.] // Neurosurgery Clinics of North America. - 2008. - Vol. 19. - P. 207-209.
8. Microsurgery of cerebellopontine angle tumors / W.T. Koos, R.F. Spetzler, F.W. Böck, S. Salah // Clinical microneurosurgery. - Stuttgart, 1976. - P. 91-112.
9. Treatment of large and giant residual and recurrent vestibular schwannomas / R. Ramina, M. Coelho Neto, K.C. Bordignon [et al.] // Skull Base. - 2007. - Vol. 17, № 2. - P. 109-117.
10. Bennett M., Haynes D. Surgical approaches and complications in the removal of vestibular schwannomas // Neurosurgery Clinics of North America. - 2008. - Vol. 19. - P. 331-343.
11. Samii M., Matthies C. Management of 1000 vestibular schwannomas (acoustic neuromas): surgical management and results with an emphasis on complications and how to avoid them // Neurosurgery. - 1997. - Vol. 40, № 1. - P. 11- 23.
12. House W.F., Brackmann D.E. Facial nerve grading system // Otolaryngology - Head and Neck Surgery. - 1985. - Vol. 93. - P. 184-193.
Среди новообразований задней черепной ямки опухоли мосто-мозжечкового угла занимают значительное место, составляя 23-24 % всех субтенториальных опухолей 1. Патологоанатомические исследования опухолей боковой цистерны моста показали, что в большинстве случаев они являются невриномами слухового нерва (акустическая шваннома, вестибулярная шваннома, акустическая невринома). В мировой литературе используется в основном термин «вестибулярная шваннома», а в отечественной - традиционно «невринома слухового (VIII) нерва» [5].
Невринома слухового нерва представляет собой, как правило, медленно растущее доброкачественное новообразование, с частотой возникновения 1 случай на 10 0000 населения [2,6]. По данным разных авторов невриномы VIII пары черепно-мозговых нервов встречаются в 6 %-12 % всех первичных опухолей внутричерепной локализации и около четверти всех опухолей задней черепной ямки [1,2,7]. Среди опухолей мосто-мозжечкового угла невриномы составляют 85-94 % [1,2]. Невриномы слухового нерва у женщин встречаются в 2 раза чаще, чем у мужчин. Возраст больных в большинстве случаев колеблется в пределах 25-50 лет, хотя имеется и ряд исключений [2].
Как правило, невриномы - это односторонние опухоли. Двухсторонние новообразования чаще являются локальным проявлением множественного нейрофиброматоза и очень редко (максимум 3 %) могут встречаться как самостоятельное заболевание, чаще у молодых, и часто носит семейный характер [2,7,8]. Описаны случаи двухсторонних неврином у 14 членов рода в 4 поколениях [2].
Невриномы не обладают инфильтративным ростом. Увеличиваясь в размерах, опухоль смещает, раздвигает, сдавливает окружающие ее нервы, ткани, порой образует для себя довольно глубокое ложе в стволе мозга. Рост невриномы приводит к поражению расположенных в непосредственной близости к слуховому нерву VII и XIII пар черепно-мозговых нервов и расширению слухового канала. Дальнейший ее рост ведет к поражению полушария и ножек мозжечка, к сдавливанию корешков и ретроградному перерождению клеток ядер черепно-мозговых нервов. Во многих случаях обнаруживается интимная связь опухоли с мозговым стволом, посредством фиброзной мембраны. Развивающаяся в последующем дислокация ствола и сдавление ликворопроводящих путей приводят к развитию внутренней водянки. В запущенных случаях смерть наступает от нарушений сердечной и дыхательной функций в результате сдавления ствола. Все эти анатомические изменения имеют четкое и последовательное отражение в клинике и предопределяют технические сложности тотального удаления данных новообразований. В связи с этим проблема хирургии обсуждаемой патологии по-прежнему сохраняет свою актуальность в современной нейрохирургии [1]. Особенно это относится к большим и гигантским невриномам слухового нерва (от 2 см и более) [1,9].
Современная хирургия больших и гигантских неврином слухового нерва направлена не только на максимально тотальное их удаление, но и на сохранение высокого уровня качества жизни, с сохранением функции нервов мосто-мозжечкового угла [1,2,4,6,10,11].
Но, несмотря на использование современных методов микрохирургии, контроля функции ствола мозга и черепно-мозговых нервов, проблемы резекции данного вида новообразования до конца не решены. Во-первых, сохраняется высокая летальность, достигающая по данным ведущих клиник мира, 2-4 % [1,6,11]. Во-вторых, имеются высокие риски развития интраоперационных и послеоперационных осложнений, связанных с дисфункцией ствола головного мозга и черепно-мозговых нервов, ведущие к низкому качеству жизни оперируемых [1,11,12]. Именно в этой группе сохраняются высокие значения рецидивов заболевания: 3-5 % - в случаях радикального удаления и 17-67 % - в случаях субтотального или парциального удаления [1,3,6,11,12].
Цель исследования. Изучить результаты микрохирургического удаления больших и гигантских неврином слухового нерва у больных, оперированных в клинике нейрохирургии Новосибирского НИИТО.
Материалы и методы. За последние 15 лет в клинике оперировано 4325 больных с опухолями центральной нервной системы. Из них 149 (3,4 %) больных имели невриномы слуховых нервов большого и гигантского размеров. При этом среди всех больных с опухолями вестибулярного нерва 145 (97,3 %) имели новообразования с одной, 4 (2,7 %) - с двух сторон. В общей сложности у больных диагностировано 153 невриномы. Среди них женщин было 112 (73,2 %), мужчин - 41 (26,8 %). Средний возраст составил 44 года.
В клинической практике нами использовались наиболее универсальные классификации неврином, предложенные Koos [8] и Samii [3]. Из 153 неврином слухового нерва 88 (57,5 %) классифицированы как большие (один из размеров более 2 см), 65 (42,5 %) - гигантские (один из размеров более 4 см). 61 (69,3 %) человек, имеющие большие невриномы (2,0-3,0 см) согласно классификации Koos [8], находился в III стадии заболевания, 27 (30,7 %) с размером более 3,0 см - в IV стадии. Среди гигантских опухолей (максимальный размер - более 4,0 см) все 65 оперированных (100 %) относились к IV стадии.
По классификации Samii [3] распределение пациентов было следующим: в группе больших неврином (размер опухоли составлял 2,0-3,9 см), случаев относящихся к T1 и T2 стадии не было. Стадия T3a диагностирована у 9 (10,3 %) человек; T3b - у 52 (59,1%); T4a - у 23 (26,1 %), и в наиболее запущенной стадии T4b находились 4 (4,5 %) пациентов. В группе гигантских неврином (размером более 4,0 см) в стадии T4a было 17 человек, что составило 26,2 % и в T4b - 48 (73,8 %) оперированных.
В зависимости от направления роста новообразования пациенты были распределены следующим образом: типичный рост выявлен у 88 человек (57,5 % больных), медиальный рост - у 25 (16,3 %), латеральный рост - у 13 (8,5 %), оральный - у 16 (10,5 %) и каудальное направление роста было у 11 (7,2 %) больных. Опухоли с наличием кист составили 12 % от общего их числа.
Функция лицевого нерва оценивалась на основании шкалы Хауса - Бракмана [12]: 1 балл - нормальная функция, 6 баллов - полный паралич нерва.
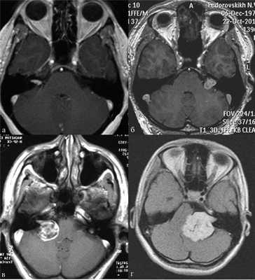
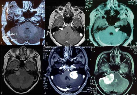
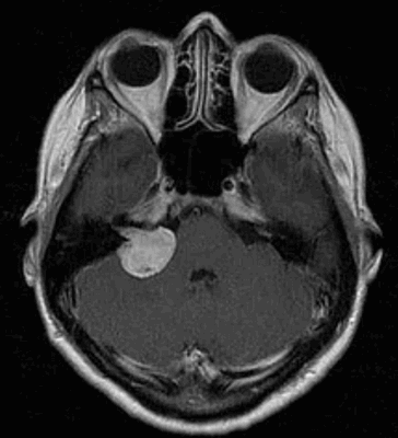
Основными методами диагностики неврином явились как нативные МСКТ, МРТ, так и с контрастированием. Проведение МРТ значительно облегчало распознавание неврином слухового нерва, а также благодаря трехмерному изображению помогало более точно локализовать опухоль, оценить ее отношение к стволу головного мозга и определить наличие и степень гидроцефалии. В 85 % случаев по данным МРТ выявлена внутренняя гидроцефалия различной степени выраженности, причем наиболее значительная она была у пациентов с гигантскими невриномами.
Данные МСКТ позволяли судить о костных структурах основания черепа, размере внутреннего слухового прохода и диагностировать новообразование во внутреннем слуховом проходе, что также являлось чрезвычайно ценным дополнением для диагностики.
В клинической картине больших неврином наряду с очаговой неврологической симптоматикой (отсутствие слуха на стороне опухоли, парез лицевого нерва, мозжечковые и бульбарные нарушения) достаточно хорошо был выражен гипертензионный синдром. При гигантских невриномах состояние пациентов нередко было на грани декомпенсации. Наряду с выраженными головными болями у них выявлялись грубые очаговые симптомы, указывающие на поражение ствола мозга, мозжечка и черепно-мозговых нервов мосто-мозжечкового угла.
В зависимости от характера течения опухолевого процесса 88 (59,0 %) пациентов было в стадии компенсации, в стадии субкомпенсации - 58 (39,0 %) и в стадии декомпенсации поступило 3 (2,0 %) больных. Соответственно до операции качество жизни, оцененное по шкале Карновского, в первой группе составило 72 балла, во второй - 49 и в третьей - 37 баллов. Исходно функция лицевого нерва по классификации Haus-Brackmann (HBS) 1-3 балла, была диагностирована у 134 пациентов, что составило 90 % больных, у 15 (10 %) она соответствовала 4-6 баллам.
По гистоструктуре все опухоли были классифицированы как типические невриномы.
Все больные оперированы с использованием микрохирургической техники и контроля функции ствола головного мозга и черепно-мозговых нервов. Во время операции проводилось мониторирование функционального состояния ствола головного мозга путем регистрации стволовых слуховых вызванных потенциалов, а также биполярная или коаксиальная диагностическая электростимуляция лицевого нерва с регистрацией вызванных потенциалов для верификации лицевого нерва на капсуле опухоли (аппарат ISIS IOM INOMED).
Все 149 больных были подвергнуты оперативному вмешательству. Всего им было выполнено 167 операций. Выбор тактики и объем оперативного вмешательства определялся состоянием больного, наличием и степенью гипертензионно-гидроцефального синдрома, размером и характером роста опухоли.
Из 149 больных с невриномами слухового нерва у 138 (92,6 %), несмотря на размеры опухолевого узла и ее характер роста, было произведено одноэтапное удаление опухоли. У 11 пациентов, что составило 7,7 %, новообразование удалялось в два этапа. У этой части больных, у 4 человек с двусторонней локализацией опухоли, первым удалялся узел большего объема. У оставшихся 7 в связи с декомпенсированным состоянием, вызванным наличием гигантских опухолей, выраженным гипертензионным синдромом, обусловленным нарушением ликвороциркуляции и гидроцефалией, первым этапом производилась внутренняя декомпрессия опухоли и мобилизация, путем отсечения ее от внутреннего слухового прохода. Второй этап, направленный на удаление опухолевого узла, проводился через 2-36 недель по мере компенсации состояния больного.
У всех оперированных при резекции опухоли использован классический ретросигмовидный субокципитальный доступ, обеспечивающий достаточный обзор новообразования и всех нейроваскулярных структур. Удаление опухоли всегда проводилось с использованием операционного микроскопа фирмы Карл Цейс (OPMI Vario / NC33), микрохирургического инструментария и ультразвукового аппарата Sonoca 300 фирмы Söring. После вскрытия твердой мозговой оболочки, для уменьшения внутричерепного давления всегда вскрывались базальные цистерны. Это позволяло осуществлять подход к опухоли практически у всех оперируемых без резекции латеральных отделов гемисферы мозжечка. На первом этапе удаления опухоли проводилась ее внутренняя декомпрессия, для этого всегда использовался ультразвуковой аспиратор. Затем, продолжая субкапсулярное удаление опухоли, проходя по арахноидальным щелям, производится поэтапное отделение опухоли от нейроваскулярных структур - бульбарной группы, пятой пары черепно-мозговых нервов и ствола головного мозга. При этом особое внимание уделялось выделению и обязательному сохранению задней нижней мозжечковой артерии, повреждение которой приводит к грубым нарушениям кровообращения в стволе головного мозга.
Особое внимание уделялось также отделению от опухоли лицевого нерва (с целью анатомической сохранности нерва). Для этого, используя большое разрешение хирургического микроскопа (х20), под нейрофизиологическим контролем, производилась идентификация лицевого нерва и его отделение от капсулы опухоли при помощи микрохирургического инструментария. При наличии опухоли во внутреннем слуховом проходе последним этапом под большим увеличением микроскопа (до х20) удалялась интраканикулярная ее часть с сохранением по возможности внутриканальной части слухового, а иногда и вестибулярного нервов. Для этого проводили трепанацию задней стенки внутреннего слухового прохода высокооборотный дрелью Aesculap с набором алмазных боров.
Удаление опухоли всегда заканчивалось тщательным отмыванием сгустков крови из операционной раны и полноценным гемостазом. Для этого использовалась современные средства гемостатики - тахокомб, серджисел.
Полученные результаты. Из всех 149 больных, несмотря на большие и гигантские размеры опухоли, тотальная их резекция достигнута у 138 (92,6 %) человек. В 11 (7,4 %) случаях невриномы слухового нерва удалены субтотально из-за тесной связи ее капсулы со стволом головного мозга или наличием гигантского новообразования и исходной тяжестью состояния больного.
Качество жизни после операции в раннем послеоперационном периоде по шкале Карновского уменьшалось в среднем на 13 баллов по сравнению с дооперационным уровнем. Это было связано с операционной травмой черепно-мозговых нервов, мозжечка, а иногда нарушением кровообращения в стволе головного мозга.
Анатомическая сохранность лицевого нерва была достигнута в 55,2 % случаев, функциональная - в 27 %.
Послеоперационные осложнения. Наиболее частыми осложнениями в остром послеоперационном периоде явились неврологические. Основными причинами нарушений неврологического характера явились тракционное поражение черепно-мозговых нервов и ишемическое поражение мозжечка и ствола головного мозга. Это отражалось, в первую очередь, на появлении новой и усугублении имеющейся неврологии со стороны черепно-мозговых нервов.
Так, например, до операции удовлетворительная функция лицевого нерва Haus-Brackmann (HBS) 1-3 балла была отмечена у 90 % больных, у 10 % она соответствовала 4-6 баллам. После операции число больных с нарушенной функцией лицевого нерва возросло до 37 %. Исходно поражение тройничного нерва отмечено до операции у 43 (28,8 %) человек, бульбарной группы нервов - у 22 (14,7 %), в остром послеоперационном периоде произошло усугубление их функции до 43,6 % (65 человек) и 28,2 % (42 человек) соответственно. Но спустя 10-12 дней перед выпиской больных отмечен отчетливый регресс вышеописанных симптомов. Так, число пациентов со значительным нарушением лицевого нерва (HBS 1-3б) через 1,5-2 недели после операции уменьшилось до 25 %; тройничного нерва - до 45 человек, что составило 30,2 %; бульбарных нарушений - до 27 человек (18,1 %).
Наиболее тяжелыми осложнениями явились нарушения кровообращения в зоне оперативного вмешательства - в стволе головного мозга. Все они носили ишемический характер и из 149 оперированных у 4 (2,7 %) больных явились причиной летального исхода. Все умершие пациенты имели гигантские опухоли.
Инфекционные осложнения в раннем послеоперационном периоде в виде менингита развились у 9 (6 %) человек; послеоперационная ликворея - у 11 (7,4 %) оперированных, из них назальная, потребовавшая пластику ликворного свища или установку ВПШ, - у 4 (2,6 %) пациентов. Кровоизлияния в ложе опухоли было диагностировано у 4 (2,7 %) пациентов.
Общая послеоперационная летальность составила 2,7 %, т.е. умерло 4 из 149 человек. Смерть наступила от возникших ишемических нарушений ствола головного мозга в зоне оперативного вмешательства.
Данные катамнеза (максимальный срок наблюдения - 15 лет) позволяют говорить о том, что рецидив опухоли возник у 8 человек, что соответствует 5,3 %.
Заключение. Использование в клинике нейрохирургии Новосибирского НИИТО современных методов нейроинтроскопии неврином слухового нерва, микрохирургические методы их удаления с применением современных микроскопов и нейромониторинга функции ствола головного мозга и черепно-мозговых нервов, позволяет получать хорошие клинические результаты лечения, соответствующие данным ведущих мировых клиник, занимающихся хирургическим лечением такой тяжелой категории пациентов, страдающих невриномами слуховых нервов больших и гигантских размеров.
Невринома слухового нерва (вестибулярная шваннома)
Невринома слухового нерва или вестибулярная шваннома - опухоль доброкачественного течения, которая поражает 8 пару черепно-мозговых нервов. Болезнь не дает метастазы, но может увеличиваться в размере, сдавливать окружающие ткани, приводить к полной потере слуха и другим неприятным симптомам. Лечение невриномы слухового нерва в клинике Бурденко состоит из ряда диагностических и лечебных мероприятий, позволяющих хирургическим путем удалить опухоль, используя для этого современное оборудование.
Согласно врачебным наблюдениям и статистическим данным, невринома занимает 10 часть от всех онкологических заболеваний головного мозга. Чаще диагностируется у людей среднего возраста, требует грамотной лечебной терапии.
Причины и симптомы невриномы слухового нерва
Несмотря на достижения в современной неврологии и онкологии, точные причины невриномы слухового нерва неизвестны. Спусковым механизмом для развития опухолевидного процесса могут выступать:
- воздействие радиации;
- контакт с ядовитыми и токсическими веществами;
- нейротоксины;
- инфекционные заболевания среднего уха;
- сосудистая дисфункция;
- последствия черепно-мозговая травма;
- наследственность.
Большая доля развития вестибулярной шванномы отводится генетической предрасположенности. Так если один из родителей болеет этим недугом, вероятность того, что он проявиться у ребенка составляет 50%.
В начале развития болезни, когда размер опухоли не превышает 2.5 см, клинические признаки практически отсутствуют. Изредка отмечается тошнота, повышенная усталость, головная боль и головокружение. По мере роста образования, симптоматика становится более выраженной, сопровождается:
- заложенность уха;
- ощущение давления в области внутреннего уха;
- звуковые ощущения в виде шума, писка или звона в ушах;
- головокружение;
- шаткость походки;
- снижение слуха на стороне повреждения.
Когда опухоль достигает 3 - 4 см, оно начинает черепномозговые нервы и сосуды, в результате чего состояние больного ухудшается. На данном этапе болезни проявляются следующие признаки:
- зрительные нарушения;
- паралич и парез мимических мышц;
- тремор подбородка;
- онемение части лица.
Характерным симптомом является острая или ноющая боль, которая напоминает зубную. По мере роста опухоли, болевой синдром проявляется все чаще, отдает в затылок, присоединяется рвота, которая не связанна с приемом пищи. Когда образование оказывает давление на мозжечок, у больного нарушается походка, координация движений, нарушаются вкусовые качества, речь, глотательный рефлекс. На последних стадиях патология приводит к полной потере слуха.
Чтобы не допустить прогрессирование патологии, лечение невриномы головного мозга нужно проводить при первых признаках. Своевременная диагностика с последующим лечением существенно увеличивает шансы на выздоровление.
Методы лечения
Если есть подозрения на опухоль в головном мозге, нужно как можно быстрее обратиться за врачебной помощью. После собранного анамнеза, осмотра, врач назначит ряд диагностических обследований:
- аудиометрия;
- электронистагмография;
- рентгенография височных костей;
- биопсия;
- МРТ или КТ.
Результаты исследований помогут врачу определить локализацию и размер образования, поставить правильный диагноз, назначить необходимое лечение.
Терапия при вестибулярной шванноме справа или слева зависит от размера опухоли. На начальной стадии лечение может проводиться при помощи консервативной терапии, которая будет включать прием нескольких групп лекарственных препаратов, позволяющих уменьшить клинические признаки болезни, замедлить или остановить рост опухоли. В основном врачи назначают препараты следующих фармакологических групп:
- мочегонные;
- противовоспалительные;
- глюкокортикостероиды;
- обезболивающие;
- цитостатики.
Выбор конкретного лекарства, дозы и длительность их применения определяется врачом для каждого пациента.
Категорически запрещено проводить самолечение или использовать народные методы, поскольку они не только не принесут должного результата.
Лечение невриномы мостомозжечкового угла или слухового нерва при небольшом образовании проводят при помощи лучевой терапии, которая также дает хорошие результаты. В случае если опухоль не поддается консервативным методикам или имеет достаточно большие размеры, единственным способом избавиться от болезни будет выступать оперативное лечение невриномы слухового нерва.
К радикальным способам относят удаление невриномы слухового нерва хирургическим путем. Процедура может проводиться тремя способами:
- Транслабиринтный - проводиться через наружную стенку лабиринтной части среднего уха. В процессе операции удаляется небольшой сегмент среднего уха и сама опухоль. Больной полностью утрачивает возможность слышать на одно ухо, также присутствуют большие риск нарушения функций вестибулярного нерва.
- Субокципитальный - доступ к опухоли проводится путем вскрытия черепа под затылком. Используется при больших образованиях. Сохранить слух после удаления невриномы слухового нерва данным методом можно в 45% случаях.
Если размер образования не превышает 2 см в диаметре, удалить его можно через среднюю черепную ямку. Прогноз при таком хирургическом вмешательстве положительный.
Все операции проводятся под общим наркозом с трепанацией черепа. Длительность хирургического вмешательства зависит от многих факторов, может занять от 2-х до 6-ти часов. Восстановительный период после операции - продолжительный. Больной длительное время находиться в стационаре, затем переводится на амбулаторное лечение.
Удаление невриномы слухового нерва в Бурденко
Институт нейрохирургии им. Бурденко в Москве относится к одной из крупных клиник, где проводятся операции по удалению опухолей головного и спинного мозга. Каждый пациент, обратившийся в клинику имеет возможность проконсультироваться у лучших врачей нейрохирургов столицы. Специалисты не только проведут осмотр и назначат необходимое обследование, но и подберут наиболее эффективное лечение.
Удаление невриномы слухового нерва в Бурденко проводится при помощи современного оборудования, которое с высокой точностью позволяет врачу провести иссечение опухоли в структурах головного мозга.
Клиника оснащена собственной клинической лабораторией, стационаром, также пациентам и их родственникам предоставляются комфортные условия для перебивания. За время своего существования, врачи нейрохирурги провели сотни успешных операций по удалению невриномы слухового нерва. Стоимость операции по удалению невриномы слухового нерва в институте нейрохирургии в Москве зависит от сложности операции и самой методики ее проведения.
Возможные риски и осложнения
Негативные последствия после удаления невриномы слухового нерва достаточно высокие. В процессе операции могут быть затронуты сосуды и нервные окончания. К распространенным осложнениям относят:
- нарушение координации;
- невозможность полностью закрыть глаз;
- проблемы с глотанием;
- частичные онемения;
- возникновение рецидива;
- менингит;
- послеоперационные кровоизлияния;
- частые головные боли.
Прогноз после лечения предугадать сложно. Все зависит от возраста больного, сопутствующих заболеваний, а также на каком этапе болезни проводилось лечение. Чем больше опухоль, тем хуже прогноз.
Специфической профилактики для невриномы слухового нерва нет. Вовремя диагностировать болезнь помогут ежегодные медицинские осмотры.
Выбор доступа для микрохирургического удаления вестибулярной шванномы
НИИ нейрохирургии им. акад. Н.Н. Бурденко РАМН, Москва
ФГАУ «НИИ нейрохирургии им. акад. Н.Н. Бурденко» Минздрава России, Москва, Россия
ФГБНУ «НИИ нейрохирургии им. акад. Н.Н. Бурденко», Москва, Россия
Хирургическое лечение неврином слухового нерва (вестибулярных шванном)
Журнал: Журнал «Вопросы нейрохирургии» имени Н.Н. Бурденко. 2017;81(3): 66‑76
Клинические рекомендации — это актуальные систематически разработанные положения, созданные для того, чтобы помочь врачу в принятии решений относительно врачебной тактики в определенных клинических ситуациях, они содержат установки по проведению диагностических и скринирующих тестов, по объему медицинской и хирургической помощи и по другим аспектам клинической практики. Вестибулярные шванномы составляют 8% всех внутричерепных образований, до 30% опухолей задней черепной ямки и 85% опухолей мосто-мозжечкового угла. Заболеваемость невриномами слухового нерва составляет примерно 1 случай на 100 000 населения в год. В работе представлены вопросы классификации, диагностики и лечения неврином слухового нерва. В рекомендациях подробно рассмотрены ключевые аспекты формулировки клинического диагноза, классификационные признаки, определение показаний к хирургическому или лучевому лечению, а также принципы выжидательной тактики при вестибулярных шванномах. Особое внимание уделено хирургическому лечению неврином слухового нерва, приведены критерии выбора хирургического доступа, использования современного операционного оснащения, этапы удаления опухоли. В соответствии с принятой клинической классификацией предложены алгоритмы действий в зависимости от стадии заболевания и динамики развития патологического процесса, возраста пациента и клинических проявлений. Ключевые положения клинических рекомендаций основаны на критериях доказательности. Работа предназначена для практической деятельности специалистов нейрохирургов.
Клинические рекомендации (КР) — это актуальные, систематически разработанные положения, созданные для помощи врачу в принятии решений относительно врачебной тактики в определенных клинических ситуациях. Они содержат установки по проведению диагностических и скринирующих тестов, по объему медицинской и хирургической помощи и по другим аспектам клинической практики [1].
Цель составления КР — попытка стандартизации вопросов диагностики и лечения заболеваний по всем разделам медицины, в том числе и по нейрохирургии.
КР включают описание методов диагностики и лечения профильных заболеваний, уровни доказательности основных положений, указатели лекарственных препаратов по Международным непатентованным названиям, оценку информационных ресурсов, использованных для разработки документа. Все основные разделы КР («Общие сведения», «Диагностика», «Лечение») должны содержать уровни доказательности приводимых в данном разделе положений.
В КР могут использоваться различные шкалы уровней доказательности, например, критерии, основанные на шкале уровней (категорий) доказательности Оксфордского центра доказательной медицины. По рекомендации Ассоциации нейрохирургов России в КР нейрохирургического профиля используется шкала «Стандарты—Рекомендации—Опции», в которой «Стандарт» соответствует уровню доказательности класса А, «Рекомендация» — уровням доказательности класса В—С, «Опция» — уровню доказательности класса С.
Стандарты. Это общепризнанные принципы диагностики и лечения, которые могут рассматриваться в качестве обязательной лечебной тактики. Большей частью — это данные, подтвержденные наиболее доказательными исследованиями (1—2 класс) — мультицентровыми проспективными рандомизированными исследованиями, или же данные, подтвержденные результатами независимых крупных нерандомизированных проспективных или ретроспективных исследований, выводы которых совпадают.
Рекомендации. Лечебные и диагностические мероприятия, рекомендованные к использованию большинством экспертов по этим вопросам, которые могут рассматриваться как варианты выбора лечения в конкретных клинических ситуациях. Эффективность рекомендаций определяется в исследованиях 2-го и реже — 3-го класса доказательности, т. е. в проспективных нерандомизированных исследованиях и крупных ретроспективных исследованиях. Для перехода этих положений в разряд стандартов необходимо их подтверждение в проспективных рандомизированных исследованиях.
Опции. Основаны на небольших исследовательских работах 3-го класса доказательности и представляют, главным образом, мнение отдельных авторитетных по тем или иным направлениям экспертов, или экспертных групп.
Общие сведения. Вестибулярные шванномы составляют 8% от всех внутричерепных образований, до 30% опухолей задней черепной ямки и 85% опухолей мосто-мозжечкового угла [2]. Термины «вестибулярная шваннома» и «невринома слухового нерва» являются синонимами, обозначающими доброкачественные опухоли, которые состоят полностью из шванновских клеток и исходят из вестибулярной порции слуховестибулярного нерва (более часто из верхней части вестибулярной порции) [3, 4]. В мировой литературе в основном используется термин «вестибулярная шваннома», а в отечественной — «невринома слухового (VIII) нерва».
Заболеваемость невриномами слухового нерва составляет примерно 1 случай на 100 000 населения в год [5]. Другими словами, каждый год в Российской Федерации появляется 1500 новых случаев неврином слухового нерва. Учитывая постоянное совершенствование методов нейровизуализации, позволяющих устанавливать диагноз на ранних стадиях заболевания, эта цифра может быть еще выше.
Невриномы слухового нерва в 95% случаев является односторонней опухолью. 5% неврином имеют мультицентрический двусторонний характер роста и являются проявлением нейрофиброматоза типа II (НФ-2) — наследственного, аутосомного заболевания, имеющего доминантный характер наследования. Истинные, спорадические невриномы слухового нерва развиваются наиболее часто на четвертом—пятом десятилетии жизни, имея общий возрастной период от 12 до 88 лет [6]. Более часто невриномы встречаются у женщин, чем у мужчин, примерное соотношение 3:2. Двусторонние невриномы, обусловленные НФ-2, проявляются значительно раньше, во втором—третьем десятилетии жизни [7, 8].
Невриномы слухового нерва являются, как правило, плотным, опухолевым образованием, в редких случаях содержат в своей структуре кисты, имеют хорошо выраженную капсулу, четко отграниченную от мозгового вещества. Они возникают во внутреннем слуховом проходе, в зоне Obersteiner-Redlich между миелин-продуцирующими олигодендроцитами и шванновскими клетками, расположенными в 8—10 мм от пиальной оболочки боковой поверхности моста. Рост опухоли происходит в сторону наименьшего сопротивления по корешку нерва в средней части мостомозжечкового угла. Близлежащая часть нерва может быть изолирована при маленькой опухоли, но с увеличением размера последней включается в ее структуру [9]. При более поздних стадиях заболевания и значительно больших размерах опухолевого узла происходит аналогичное воздействие на близлежащие черепные нервы. По частоте вовлечения в этот процесс на первом месте стоит, естественно, вестибуло-кохлеарный нерв, затем в порядке убывания частоты следуют лицевой и тройничный нервы, языкоглоточный нерв и другие [3, 10].
Классификации стадий развития заболевания
В практической деятельности наиболее универсальными являются классификации, предложенные Koos [11] и Samii [12]. Они основаны на оценке размеров невриномы и ее отношении к окружающим мозговым и костным структурам (рис. 1, 2).

Рис. 1.Иллюстрация классификации неврином слухового нерва по Koos. а — I стадия — опухоль находится в пределах внутреннего слухового прохода, диаметр экстраканальной части составляет 1—10 мм; б — II стадия — опухоль вызывает расширение канала внутреннего слухового прохода и выходит в мостомозжечковый угол, ее диаметр составляет, 11—20 мм; в — III стадия — опухоль распространяется до ствола головного мозга без его компрессии, диаметр составляет 21—30 мм; г — IV стадия — опухоль вызывает компрессию ствола головного мозга, ее диаметр более 30 мм.

Рис. 2.Классификация неврином слухового нерва по M. Samii. а — Т1 — интрамеатальная опухоль (рис. 2, a); б —Т2 — интра-экстрамеатальная опухоль; в — Т3а — опухоль заполняет мостомозжечковую цистерну; г —Т3b — опухоль распространяется до ствола головного мозга; д —Т4а — опухоль вызывает компрессию ствола; е —Т4b — опухоль грубо деформирует ствол мозга и IV желудочек.
В клинической практике обе эти классификации следует равноценно рассматривать в качестве основных принципов оценки клинической стадии заболевания (опция).
По данным анализа большого массива клинических исследований (663 собственных наблюдения), на сегодняшний день средний размер невриномы слухового нерва составляет 32×30×30 мм. Распределение по стадиям заболевания представлено следующим образом:
Телефон регистратуры поликлиники:
Телефон регистратуры лучевой диагностики:
Гамма-нож
![]() |
Вестибулярная шваннома (невринома VIII нерва, акустическая невринома) представляет собой доброкачественное новообразование, возникающее из шванновских клеток вестибулярной порции VIII нерва.
Заболеваемость невриномами слухового нерва составляет примерно 1 случай на 100000 населения в год. Каждый год в Российской Федерации появляется 1500 новых случаев неврином слухового нерва. Среди первичных интракраниальных опухолей вестибулярные шванномы вестибулярные шванномы занимают 4-е место (после глиом, менингиом и аденом гипофиза), составляя до 6-10% всех верифицированных опухолей мозга и поражая преимущественно лиц работоспособного возраста (30-60 лет), на который приходится более 80% случаев. Вестибулярные шванномы составляют около 30% опухолей задней черепной ямки и до 90% новообразований мосто-мозжечкового угла. Несколько чаще встречаются у женщин, чем у мужчин, примерное соотношение 3:2.
Клиническая картина зависит от размеров опухоли. При небольших размерах симптоматики может не быть вовсе. По мере увеличения опухоли в размерах появляется симптоматика, зависящая от того, какие структуры сдавливает опухоль:
- Поражения нервов.
- Нарушение слуховой и вестибулярной функции.
- Расстройства функции вкуса на передней 2/3 языка и слюноотделения (XIII нерв).
- Расстройства функций каудальной группы нервов.
- Расстройства функции мимической мускулатуры.
- Глазодвигательные нарушения.
- Симптомы раздражении/компрессии ствола головного мозга.
- Различные виды нистагма.
- Пирамидная симптоматика.
- Мозжечковая симптоматика.
- Гипертензионно-дислокационный синдром.
Диагностика
Наиболее информативным методом выявления вестибулярных шванном является МРТ головного мозга с контрастным усилением в режиме Т1 и Т2. Это исследование позволяет определить размеры опухоли, наличие перитуморозного отека, наличие признаков окклюзионной гидроцефалии, которая может быть следствием сдавления опухолью IV желудочка. Кроме этого МРТ позволяет провести дифференциальную диагностику с другими опухолями схожей локализации (чаще с менингиомой задней грани пирамиды височной кости). Еще одним стандартом диагностики является КТ в костном режиме. Независимо от снижения слуха стандартом является проведение аппаратной аудиографии.
Классификация KOOS
I стадия: опухоль находится в пределах внутреннего слухового прохода, диаметр экстраканальной части составляет 1-10 мм.
II стадия: опухоль вызывает расширение канала внутреннего слухового прохода, и выходит в мостомозжечковый угол, ее диаметр составляет, 11-20 мм.
III стадия: опухоль распространяется до ствола головного мозга без его компрессии, диаметр составляет 21 - 30 мм.
IV стадия: опухоль вызывает компрессию ствола головного мозга, ее диаметр более 30 мм.
Классификация M. Samii
Т1 - интрамеатальная опухоль.
Т2 - интра-экстрамеатальная опухоль.
Т3а - опухоль заполняет мостомозжечковую цистерну.
Т3b - опухоль распространяется до ствола головного мозга.
Т4а - опухоль вызывает компрессию ствола.
Т4b - опухоль грубо деформирует ствол мозга и IV желудочек.
Тактика лечения
В зависимости от размеров опухоли, клинической симптоматики, возраста больного, тяжести его состояния, наличия сопутствующей патологии возможны 3 варианта тактики лечения:
- динамическое наблюдение;
- хирургическое лечение;
- стереотаксическая радиохирургия.
Динамическое наблюдение
Учитывая, что вестибулярная шваннома является доброкачественной опухолью с невысокими темпами роста, при небольших ее размерах, отсутствии или минимальном неврологическом дефиците возможен выбор выжидательной тактики. Особенно такой подход оправдан у пожилых людей, или у пациентов с выраженной декомпенсированной соматической патологией. Однако, в большинстве случаев, учитывая риски, связанные с возможным ростом опухоли, более оправданным считается выбор активной тактики.
Хирургическое лечение
Наличие у пациента вестибулярной шванномы является показанием к хирургическому лечению. Большие и гигантские размеры опухоли (более 3,5 см.) являются абсолютным показанием к хирургическому лечению. При меньших размерах возможно проведение радиохирургического лечения.
Для удаления вестибулярных шванном в настоящее время используются три основных доступа: транслабиринтный, ретросигмовидный (наиболее часто используемый) и доступ через среднюю черепную ямку. Каждый из них обладает своими преимуществами и своими же недостатками. В последние годы в связи с развитием микрохирургической техники результаты хирургического лечения пациентов значительно улучшились. Летальность после удаления вестибулярных шванном колеблется в пределах (0-3%), рецидивы опухоли наблюдаются в 5-10%.
В настоящее время превалирующим фактором результативности хирургического лечения считается качество жизни пациента, поэтому интраоперационная тактика в большей степени должна быть нацелена на достижение именно этой цели. Такие послеоперационные осложнения как паралич лицевого нерва (до 25%), нарушения глотания, глазодвигательные нарушения, несут существенную угрозу инвалидизации, поэтому проведение таких операций диктуют высокие требования к профессиональной подготовке оперирующего нейрохирурга. Из послеоперационных осложнений также следует отметить ликворею у 2-20% пациентов, которая иногда может потребовать проведение повторной операции для закрытия ликворного свища; кровоизлияние в ложе операции (1-2%); отек мозжечка и ствола мозга; гемипарез; менингит (1,2%); раневую инфекцию (1,2%); парез VI черепного нерва (1-2%) и парезы других, ниже расположенных черепных нервов; подкожную гематому (3%).
Стереотаксическая радиохирургия
Целью радиохирургического метода является контроль роста опухоли. Стабилизация процесса и даже уменьшение размеров наблюдается в 85-94% случаев, что соответствует мировым данным. Другим критерием эффективности лучевой терапии является высокий (до 98%) показатель отсутствия операции после проведения облучения. Важным также является сохранение функции улиткового и других черепных нервов в случаях, когда это возможно, а также улучшение неврологического статуса пациента. Эффективность применения Гамма-ножа при лечении больных с вестибулярными шванномами создало реальную альтернативу хирургическому лечению при опухолях, размеры которых не превышают 3,5 см, при этом метод радиохирургии лишен недостатков хирургического метода лечения.
После облучения опухоли гамма-ножом возможно как уменьшение ее размеров, так и временное их увеличение. Третьим возможным вариантом развития событий может быть продолженный рост опухоли, однако, это происходит нечасто (от 0 до 7% в течение 10 лет).
Версия для слабовидящих Карта сайта
1 Российский научно-исследовательский нейрохирургический институт имени профессора А.Л. Поленова - филиал ФГБУ «Северо-Западный федеральный медицинский исследовательский центр»
Работа основана на результатах лечения 90 пациентов с диагнозом «вестибулярная шваннома». Проведен анализ магнитно-резонансных томограмм, неврологического статуса, хирургических осложнений. Нами использовался стандартный диагностический комплекс: неврологический осмотр, нейроофтальмологический, отоневрологический и нейрофизиологический методы исследования. В своей работе мы использовали нейрофизиологический мониторинг, включающий в себя регистрацию акустических стволовых вызванных потенциалов, электронейромиографию мимической мускулатуры лица, регистрацию потенциала действия слухового нерва (впервые). В нашей работе достигнуты высокие функциональные показатели в отношении акустико-фациальной группы нервов в сочетании с высоким процентом хирургической радикальности опухоли. Обсуждены основные аспекты хирургической тактики, направленные на сохранение функции слухового анализатора, лицевого нерва и значимость применения интраоперационного нейрофизиологического мониторинга. Представлен анализ повреждений вестибуло-кохлеарного нерва в зависимости от размеров, характера роста опухоли.
1. Delgado T.E. Intraoperative monitoring of facial muscle evoked responses obtained by intracranial stimulation of the facial nerve: A more accurate technique for facial nerve dissection / T.E. Delgado, W.A. Bucheit // Neurosurgery. - 1979. - Vol. 4. - P. 418-421.
2. Frerebeau P., Benezech J., Uziel A., Coubes P., Segnarbiex F., Malonga M.: Hearing preservation after acoustic neurinoma operation. Neurosurgery. - 1987. - Vol. 21. - Р. 197-200.
3. Eldridge R. Summary: Vestibular schwannoma Consensus Development Conference / R. Eldridge, D. Parry // Neurosurgery. - 1992. - V. 30. - P. 962-964.
4. Kanzaki J., Ogawa K., Inoue Y., Shiobara R., Toya S.: Quality of hearing preservation in acoustic neuroma surgery. Am J Otol. - 1998. - Vol. 19. - Р. 644-648.
5. Inoue Y., Ogawa K., Kanzaki J.: Quality of life of vestibular schwannoma patients after surgery. Acta Otolaryngol. - 2001. - Vol. 121. - Р. 59-61.
6. What is the real incidence of vestibular schwannoma? / M. Tos, S.E. Stangerup // Arch. Otolaryngol. Head Neck Surg. - 2004. - V. 130, № 2. - P. 216-220.
7. Anderson D.E., Leonetti J., Wind J.J., Cribari D., Fahey K.: Resection of large vestibular schwannomas: facial nerve preservation in the context of surgical approach and patient-assessed outcome. J Neurosurgery. - 2005. Vol. 102. - Р. 643-649.
Вестибулярная шваннома (акустическая невринома, нейролемма) - это медленно растущее доброкачественное новообразование. Как правило, развивается из верхней предверной части вестибуло-кохлеарного нерва в месте перехода «центрального» и «периферического» типов миелина, на расстоянии 8-12 мм от места выхода корешка из ствола головного мозга, вблизи от входа во внутренний слуховой проход, так называемая зона Оберштайнера - Редлиха. В 5 % случаев могут развиваться из кохлеарной части предверно-улиткового нерва [3]. Частота возникновения составляет 1 случай на 100 000 населения [6]. Акустические невриномы составляют до 12 % всех первичных интракраниальных новообразований [3]. Прошло более трех веков, когда профессор E. Sandifort описал первый случай односторонней опухоли слухового нерва. Однако первое успешное удаление вестибулярной шванномы датируется 1894 годом сэром C. Ballance. Дальнейшие попытки хирургического лечения ВШ сопровождались высокой летальностью или глубокой инвалидизацией пациентов. На сегодняшний день благодаря развитию хирургических технологий, а в частности, интраоперационного электронейрофизиологического мониторирования, операционного микроскопа, и адекватному анестезиологическому пособию, достигнуты хорошие результаты в хирургии вестибулярных шванном. Современная хирургия ВШ подразумевает не только тотальное удаление опухоли, но и достижение высоких показателей качества жизни, что невозможно без сохранения функции лицевого и слухового нервов. В начале ХХ века дисфункция лицевого нерва считалась неотъемлемой частью операции по поводу опухолей боковой цистерны моста. Такое мнение существовало до конца 70 годов, когда E. Delgado (1979) внедрил интраоперационную электромиографию для мониторирования лицевого нерва, это нововведение наряду с микрохирургической техникой повысило шансы сохранить функцию лицевого нерва у большинства пациентов [1]. Первая успешная слухосохраняющая операция выполнена в 1987 году Elliott и McKissock с использованием стандартного ретросигмовидного доступа [2]. Основой слухосберегающих операций на тот промежуток времени являлся размер опухоли, считалось что, чем меньше опухоль (не более 15 мм), тем выше шансы сохранить слух полноценным. Однако с 1980 года приводятся клинические примеры, указывающие на возможность сохранения кохлеарного нерва, даже при больших и гигантских вестибулярных шванномах. На сегодняшний день размер опухоли влияет только на выбор хирургического пособия, техники и тактики ведения пациентов. Возможность сохранения слуха формируется в ходе планирования на основе индивидуальной тактики и мультидисциплинарных подходов. Работа основана на анализе результатов проспективного когортного исследования, проводимого в отделении хирургии опухолей головного и спинного мозга № 2 (РНХИ им. Проф. А.Л. Поленова- филиал СЗФМИЦ) с 2013 года, направленного на повышение качества жизни больных с опухолями боковой цистерны моста путем сохранения функции кохлеарного нерва.
Проанализировать результаты обследования и хирургического лечения больных с вестибулярными шванномами больших и гигантских размеров. Отследить особенности техники оперативного вмешательства с применением нейрофизиологического мониторинга. Улучшить функциональные результаты в хирургическом лечении вестибулярных шванном (сохранение слуха).
Материалы и методы исследования
В работе проведен анализ результатов обследования и хирургического лечения 90 пациентов с верифицированными вестибулярными шванномами преимущественно больших размеров, оперированных в РНХИ им. проф. А.Л. Поленова с 2013 г. по 2014 г. Нами заложено два основных направления в нашей работе - это хирургическое и нейрофизиологическое. Первое направление включало изучение топографо-анатомического варианта опухоли, распространенность новообразования и степень ее биологической агрессивности. Любое хирургическое вмешательство тщательно планировалось с использованием современных методов нейровизуализации, позволяющих оценить взаимоотношение опухоли с магистральными сосудами и краниальными нервами. Задачами хирургии является сочетание максимальной радикальности с сохранением функции черепных нервов. При больших и гигантских шванномах использовался стандартный ретросигмовидный доступ, но с укладкой больного в сидячем положении, что обеспечивает на наш взгляд, лучший обзор опухоли, баланс ликвородинамики, меньшую тракцию полушария мозжечка и адекватную декомпрессию ствола головного мозга, непрерывное «промывание» раны как дополнительный метод гемостаза, исключающий скопление крови в ране и окклюзию цистерн. Второе направление сводилось к многофункциональному интраоперационному мониторингу. Все пациенты были разделены нами на две группы: 1-я группа - глухие, 2-я группа- с сохранным слухом. Возраст пациентов варьировал от 24 до 83 лет, средний возраст составил 45,4 ± 3,2 г. Отмечено преобладание женщин - 71 (78,8 %), мужчин - 19 (21,1 %). Преимущественное расположение опухоли было правосторонним - 62 (68,8 %), левосторонним - 28 (31,1 %). Длительность заболевания колебалась от 1 года до 17 лет. Размеры опухоли определялись по данным КТ и/или МРТ. Размеры опухоли варьировались от 25 мм до 42,1 мм. В первую группу (глухие) вошли - 70 (77,8 %) пациентов, во вторую группу (с сохранным слухом) - 20 (22,2 %) пациентов. В нашей работе мы использовали общепринятые классификации вестибулярных шванном (Koos, M. Sammi). У большинства пациентов, поступающих в стационар, выявлены вестибулярные шванномы больших и гигантских размеров (Koos IV). Причины этого явления весьма разнообразны и требуют отдельного целенаправленного исследования. Радикальность удаления опухоли оценивалась по Токийской классификации (1998 г.). Всем пациентам проводился дооперационный диагностический стандартный клинический комплекс, включающий в себя: неврологическое, отоневрологическое, нейроофтальмологическое, нейрофизиологическое обследование. У пациентов с сохранным слухом проводили в дооперационном периоде аудиометрию, подтверждающую и определяющую степень сохранности слуха по шкале Gardner-Robertson [4, 5, 6]. Функцию лицевого нерва при поступлении и в раннем послеоперационном периоде оценивали по шкале House-Brackmann [5, 6, 7]. Тяжесть состояния в момент поступления в отделение и при выписке оценивали по шкале Karnofsky. У 2 (2,2 %) больных состояние оценивалось в 50 %, в 60-70 % у 45 пациентов (женщин - 42 (46,6 %); мужчин - 3 (3,3 %)), в 80-90 % (мужчин - 15 (16,6 %), женщин - 28 (31,1 %)).
В качестве анестезиологического пособия использована тотальная внутривенная анестезия препаратами направленного рецепторного действия. На всех этапах операции использовался многофункциональный интраоперационный нейрофизиологический мониторинг. Использовали регистрацию акустических стволовых вызванных потенциалов (АСВП), мониторинг функционального состояния лицевого нерва путем электромиографии мимической мускулатуры. Для непосредственной стимуляции использовали монополярный электростимулятор с силой тока 1 мА. Для верификации и отслеживания функции слухового нерва использовали потенциал действия слухового нерва. Система регистрации потенциала действия слухового нерва состояла из наушников звуковой стимуляции (рис. 1), кохлеарного плоского регистрирующего электрода (рис. 2), звуковых катушек (рис. 3).
Распределение пациентов в контрольной группе по функциональной оценке слуха (Gardner-Robertson) в дооперационном периоде
Читайте также:
- Гестационный сахарный диабет при беременности: рекомендации, симптомы, причины
- Интенсивная терапия кардиогенного отека легких
- Этапы психотерапии детей и подростков в дневном стационаре
- Алкогольная энцефалопатия: причины, симптомы и лечение
- Послеоперационный уход после восстановления сухожилия четырехглавой мышцы

