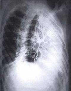
Выбор метода бронхографии. Направленная бронхография
Добавил пользователь Евгений Кузнецов Обновлено: 21.01.2026
Бронхография - это рентгенологическое исследование трахеобронхиального дерева, осуществляемое вслед за введением в просвет трахеи и бронхов йодсодержащего рентгеноконтрастного вещества. После обволакивания им стенок бронхиального дерева возможна визуализация анатомических изменений. Фиб-рооптическим бронхоскопом контрастное вещество можно ввести в нужную часть легкого и получить ее снимок. В связи с развитием компьютерной томографии к бронхографии в настоящее время прибегают реже. Ее могут производить под местной анестезией с введением анестетика через катетер, подведенный через бронхоскоп; у детей и при необходимости выполнения бронхоскопии может потребоваться наркоз.
- Выявить бронхоэктазы и определить их локализацию для выполнения последующей резекции.
- Выявить бронхиальную обструкцию, опухоли, кисты и полости в легких, которые могут служить причиной кровохарканья.
- Получить изображение патологических изменений на рентгеновских снимках.
- Получить информацию, которая может облегчить проведение бронхоскопии.
Подготовка
- Следует объяснить пациенту, что исследование позволяет выявить патологические изменения бронхов.
- Пациент должен воздержаться от приема пищи по меньшей мере в течение 2 ч до исследования.
- Следует предупредить пациента о необходимости тщательной гигиены рта накануне и утром в день исследования.
- Пациента информируют о времени и месте исследования и называют специалиста, который будет его проводить.
- Необходимо проследить за тем, чтобы пациент или его родные дали письменное согласие на исследование.
- Следует выяснить, нет ли у пациента аллергии к анестетикам, йоду или рентгенокон-трастным препаратам.
- При наличии у пациента продуктивного кашля на 1-3 дня перед исследованием назначают подходящее отхаркивающее средство и постуральный дренаж.
- Если планируется проведение процедуры под местной анестезией, пациента следует проинформировать о том, что перед ее началом он получит седативный препарат, который поможет расслабиться и подавит кашлевой и глоточный рефлексы. Следует подготовить пациента к неприятному вкусу спрея анестетика и к возможному затруднению дыхания во время процедуры, заверив, что дыхательные пути будут полностью проходимы и он будет получать достаточное количество кислорода. Следует упомянуть, что катетер или бронхоскоп легче провести в бронхиальное дерево, если пациент расслаблен.
- Перед исследованием пациент должен вынуть зубные протезы и помочиться.
Оборудование
Рентгеновский аппарат, функциональный стол, седативное средство, катетер или бронхоскоп, жиро- или водорастворимое рентгеноконтрастное вещество, набор для проведения реанимационных мероприятий.
Процедура и последующий уход
- После орошения полости рта и глотки местным анестетиком бронхоскоп или катетер проводят в трахею и инстиллируют анестетик и контрастное вещество.
- Для заполнения контрастным веществом различных участков бронхиального дерева положение пациента в течение исследования несколько раз изменяют. По его завершении контрастное вещество удаляют с помощью постурального дренажа или путем выкашливания.
Предостережение. Если интубация трахеи оказалась травматичной, необходимо повышенное внимание к пациенту в связи с опасностью развития ларингоспазма (одышка) или отека гортани (охриплость голоса, одышка, ларингеалъный стридор).
Предостережение. Необходимо незамедлительно сообщить врачу при появлении симптомов аллергической реакции на анестетик или контрастное вещество (зуд, одышка, тахикардия, ощущение сердцебиения, психомоторное возбуждение, артериальная гипо- или гипертензия, эйфория).
- До восстановления глоточных рефлексов (обычно это занимает 2 ч) пациент должен воздержаться от еды и питья из-за опасности аспирации.
- Легкое покашливание и постуральный дренаж ускоряют удаление контрастного вещества из бронхов. Повторные снимки обычно выполняют через 24~48 ч после окончания исследования.
- Необходимо следить за появлением признаков химической или вторичной бактериальной пневмонии (лихорадка, одышка, влажные хрипы или крепитация), развившейся в результате неполной эвакуации контрастного вещества.
- При болях в горле пациента следует заверить, что они имеют временный характер, и после восстановления глоточного рефлекса назначить специальные пастилки или жидкость для полоскания.
- Если исследование проводилось в амбулаторных условиях, пациенту разрешают вернуться к обычному уровню активности через сутки.
Меры предосторожности
- Бронхография противопоказана при беременности, гиперчувствительности к йоду или рентгеноконтрастным веществам и, как правило, при дыхательной недостаточности.
- Особенно внимательно следует отнестись (одышка) к пациентам с бронхиальной астмой и хроническими обструктивными заболеваниями легких в связи с повышенным риском ларингоспазма после инсталляции контрастного вещества.
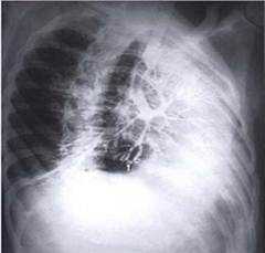
Нормальная картина
По сравнению с левым правый главный бронх короче, шире и расположен более вертикально. По мере увеличения порядка бронхов они уменьшаются в диаметре; обструкция и патологические изменения отсутствуют.
Отклонение от нормы
При бронхографии можно выявить бронхоэктазы или обструкцию бронха опухолью, каверной или инородным телом. Необходимо соотнесение полученных данных с анамнезом, результатами физикального обследования, а также других пульмонологических исследований.
Бронхография - суть метода исследования. Подготовка к бронхографии. Показания, противопоказания и расшифровка результатов. Бронхография у детей и беременных
Сайт предоставляет справочную информацию. Адекватная диагностика и лечение болезни возможны под наблюдением добросовестного врача. У любых препаратов есть противопоказания. Необходима консультация специалиста, а также подробное изучение инструкции!
Бронхография - рентгенологическое исследование бронхиального дерева, которое проводится после введения в бронхи рентгенконтрастного вещества, изготовленного на основе йода. После того, как контраст обволакивает стенки бронхов изнутри, они становятся хорошо заметны на рентгеновских снимках.
Анатомия бронхиального дерева

Бронхи являются нижними дыхательными путями - они проводят воздух непосредственно к альвеолам (дыхательным мешочкам) легких.
По своей сути бронхиальное дерево является вентиляционной системой, состоящей из большого количества полых трубок. Они разветвляются по направлению вниз, от более крупных отходят менее крупные. С уменьшением диаметра уменьшается и плотность их стенки. Самые мелкие бронхи - бронхиолы - переходят в легочные альвеолы (мешочки) - образования, из которых состоят легкие и которые непосредственно осуществляют газообмен между атмосферным воздухом и кровью.
Бронхиальное дерево начинается от трахеи, там, где она раздваивается, образуя два самых крупных главных бронха. Левый главный бронх имеет большую длину, более узкий просвет и занимает более горизонтальное положение. Правый главный бронх более короткий, широкий, проходит вертикально. Это связано с тем, что левое легкое немного смещено находящимся рядом сердцем.
- трахея делится на два главных бронха: правый и левый;
- от главных отходят долевые бронхи, каждый из которых направляется к определенной доле легкого;
- долевые бронхи делятся на сегментарные - они вентилируют сегменты легких, на которые делятся легочные доли;
- сегментарные бронхи распадаются на субсегментарные;
- дольковые бронхи имеют небольшой диаметр и вентилируют маленькие части легкого - дольки;
- бронхиолы - самые мелкие бронхи, которые переходят в легочную ткань - альвеолы
Физиология дыхания

Число дыхательных движений, которое совершает взрослый человек в течение одной минуты - 14 - 16. При определенных условиях частота дыхания может изменяться в пределах 10 - 18 в минуту. У детей она составляет 20 - 30 в минуту, у новорожденных - 40 - 60 в минуту.
Во время вдоха происходит расширение грудной клетки, и воздух устремляется по бронхиальному дереву в легкие. Во время выдоха грудная клетка сжимается, воздух выходит наружу. Сжатие и расширение грудной клетки происходит в результате работы дыхательной мускулатуры.
- Межреберные мышцы. Если в основном работают они, то отмечается грудной тип дыхания. Он характерен для женщин. Во время вдоха межреберные мышцы подтягивают ребра вверх, заставляя грудную клетку расширяться. Во время выдоха - тянут вниз, заставляя сжиматься.
- Диафрагма. Когда в основном работает эта мышца, то отмечается диафрагмальный, или брюшной тип дыхания. Он больше характерен для мужчин. У детей отмечается смешанный тип дыхания, при котором работают и межреберные мышцы, и диафрагма. Диафрагма попеременно то опускается, то поднимается, таким образом, попеременно увеличивается объем брюшной полости и грудной клетки. Считается, что диафрагмальный тип дыхания способствует более полноценной вентиляции нижних отделов легких. .
- Вспомогательные дыхательные мышцы. К ним относят мышцы шеи, плечевого пояса, брюшного пресса. Они начинают работать во время патологии, когда дыхание затруднено, и ткани организма получают недостаточное количество кислорода.
Подпишитесь на Здоровьесберегающий видеоканал

Ценность бронхографии

Основное преимущество бронхографии состоит в том, что она позволяет подробно изучить строение всего бронхиального дерева. В этом плане она часто оказывается эффективнее эндоскопического исследования - бронхоскопии.
В настоящее время бронхография стала применяться реже, так как появились более информативные и безопасные методы компьютерной диагностики.
- исследование нужно проводить при помощи общей или местной анестезии, иначе оно доставит пациенту сильный дискомфорт;
- применение общего наркоза у детей является обязательным;
- анестетики и йодсодержащие препараты, которые применяются во время бронхографии, способны вызывать аллергические реакции;
- бронхография предполагает лучевую нагрузку на организм, поэтому ее нельзя делать часто, у некоторых групп пациентов имеются противопоказания.
Подготовка к исследованию
Общие требования и рекомендации:
- Если бронхография будет проводиться под местной анестезией, то пациент не должен принимать пищу за 2 часа до исследования. Если планируется общий наркоз, то это время удлиняется.
- Накануне и в день проведения бронхографии должна быть выполнена тщательная гигиена ротовой полости.
- Если пациент носит зубные протезы, то перед исследованием он должен их снять.
- Перед проведением бронхографии нужно помочиться.
Обследование и беседа с пациентом:
- накануне проведения бронхографии всегда проводится беседа врача с пациентом, доктор должен взять письменное согласие на проведение процедуры (если бронхография проводится у ребенка - взять согласие с родителей), подробно рассказать пациенту о том, что будет сделано и с какой целью;
- рентгенография грудной клетки в двух проекциях: прямой и боковой;
- электрокардиография для уточнения состояния сердечнососудистой системы;
- спирография - исследование, позволяющее оценить функциональное состояние дыхательной системы;
- общие анализы крови и мочи;
- определение группы крови и резус фактора - так как по своей сути бронхография приравнивается к хирургическому вмешательству.
Обезболивание
Без анестезии
У взрослых пациентов бронхография может проводиться без обезболивания. Но в этом случае исследуемому придется терпеть сильный дискомфорт.
Местная анестезия
У большинства взрослых пациентов бронхография проводится под местной анестезией:
- за 30 минут до начала манипуляции проводится премедикация: пациенту дают медикаментозные препараты, которые помогают расслабиться, подавить кашель, расширить просвет бронхов;
- местная анестезия осуществляется непосредственно перед бронхографией при помощи спрея: при этом в начале может отмечаться некоторое затруднение дыхания, которое затем проходит.
К общему наркозу при проведении бронхографии прибегают у детей младшего возраста. У них исследование можно проводить только при наличии общего обезболивания.
Другие лекарственные вещества
Если пациента беспокоит сильный кашель с выделением большого количества мокроты, то за 3 дня до проведения бронхографии ему назначают сильные отхаркивающие средства или проводят специальную процедуру, направленную на выведение мокроты - постуральный дренаж.
Проведение бронхографии
Бронхография проводится на стоматологическом кресле или на операционном столе, которому можно придать подходящую конфигурацию.
Обязательное оборудование кабинета для проведения бронхографии:
- рентгеновский аппарат;
- катетер или бронхоскоп для введения контраста в легкие;
- рентгеноконтрастное вещество;
- реанимационный набор.
- Пациента укладывают на стоматологическое кресло или операционный стол. Он должен занять максимально удобное и расслабленное положение - это облегчит проведение исследования.
- Если бронхография проводится под общим наркозом. Анестезиолог дает пациенту масочный наркоз. После этого маску снимают с лица, проводят интубацию трахеи.
- Если бронхография проводится под местной анестезией. При помощи спрея осуществляют анестезию ротовой полости. Затем вводят бронхоскоп, через который подают анестетик, а затем рентгеноконтрастное вещество.
- Перед тем, как вводить в бронхи контраст, врач может выполнить бронхоскопию - осмотреть слизистую оболочку при помощи бронхоскопа.
- Контраст должен равномерно заполнить бронхи и распределиться по их стенкам. Для этого пациента несколько раз переворачивают, придавая ему разные положения.
- Затем выполняют серию рентгеновских снимков. После этого исследование закончено.
Показания к бронхографии
Основные цели использования бронхографии:
- Выявление бронхоэктазов и определение показаний к хирургическому лечению.
После бронхографии
Под действием анестетика нервные окончания на слизистой оболочке глотки утрачивают чувствительность, в результате чего нарушается глоточный рефлекс. Глотание становится невозможным или резко затрудненным. Восстановление происходит в течение 2 часов: в это время пациент должен воздерживаться от приема пищи и жидкости.
Для того чтобы быстрее вывести контрастное вещество из бронхов, необходимо выполнять дыхательные упражнения, откашляться. Иногда врач может назначить постуральный дренаж. Пациента укладывают в специальное положение, которое ускоряет очищение бронхиального дерева.
Чаще всего бронхография проводится в стационаре. Если ее выполняют в амбулаторных условиях (в поликлинике), то после нее выдается больничный на сутки.
Оценка результата бронхографии врачом
Что видно в норме?
- бронхиальное дерево имеет правильную конфигурацию;
- правый главный бронх короче, шире и имеет вертикальный ход, а левый - длиннее, уже и проходит более горизонтально;
- все бронхи имеют нормальную ширину;
- ширина бронхов постепенно сужается по мере ветвления;
- не обнаруживается никаких теней или полостей, заполненных контрастом;
- не обнаруживается сужений бронхов.
Как оценивают патологические образования?

При обнаружении на снимках патологического образования, врач руководствуется стандартной схемой его оценки:
- положение по отношению к долям легкого, бронхам, ребрам и позвонкам;
- количество образований;
- форма: округлая, овальная, неправильная;
- размеры: обычно измеряют наибольший и наименьший диаметр (в случае со стенозом - ширину и протяженность);
- интенсивность тени на рентгенограмме позволяет судить о плотности патологического образования;
- рисунок: образование может быть однородным или иметь внутри какую-то структуру;
- контуры: четкие или нечеткие;
- границы: ровные или не ровные;
- смещение: меняет ли образование свое положение в процессе дыхания?
Противопоказания к бронхографии:
- аллергические реакции на йод и йодсодержащие препараты;
- непереносимость лекарств, которые используются для анестезии;
- инфаркт миокарда: если после того, как он был перенесен, прошло не более 6 месяцев;
- острый период мозгового инсульта;
- выраженные нарушения сердечного ритма;
- артериальная гипертония при повышении диастолического («нижнего») артериального давления более 100 мм. рт. ст.;
- обострение бронхиальной астмы, если с момента его окончания прошло менее 3 недель;
- значительное сужение трахеи и гортани;
- нарушения со стороны нервной системы: острый период травмы черепа, эпилептические судорожные припадки и пр.;
- боли в животе;
- тяжелое состояние пациента: иногда бронхография не может повлиять на лечебную тактику и исход заболевания.
- острые респираторные заболевания: грипп, простуда;
- стенокардия;
- вторая половина беременности;
- сахарный диабет с тяжелым течением;
- месячные;
- алкоголизм;
- увеличение размеров щитовидной железы 3 степени (предварительно нужно посетить эндокринолога).
Возможные осложнения при проведении бронхографии
- анафилактический шок;
- тошнота и рвота;
- головокружение;
- обморок;
- учащенное сердцебиение;
- падение артериального давления.
Бронхография в детском возрасте
У детей бронхография проводится только под общим наркозом.
- хроническая пневмония;
- ателектаз (спадение легкого), который существует в течение длительного времени;
- врожденные пороки трахеи и бронхов.
- хронический туберкулез легкого;
- хронический абсцесс (гнойник) легкого;
- затянувшаяся пневмония;
- контроль после операции резекции легкого (удаления части органа).
Бронхография у беременных

В первой половине беременности бронхография строго противопоказана, так она способна привести к гибели плода или тяжелым порокам развития.
Во второй половине беременности проведение бронхографии возможно, но только по серьезным показаниям, по назначению врача. Кроме того, сегодня существуют более безопасные методики, которые позволяют оценить состояние дыхательной системы беременной женщины.
УЭ 1.2.4. Бронхография
Бронхография - рентгенологическое исследование бронхиального дерева, которое проводится после введения в бронхи рентгенконтрастного вещества, изготовленного на основе йода. После того, как контраст обволакивает стенки бронхов изнутри, они становятся хорошо заметны на рентгеновских снимках.

Цель исследования:оценить состояние просвета бронхиального дерева, а также о полостных образованиях, сообщающихся с бронхами.
Показания к бронхографии:
- пороки развития трахеобронхиального древа,
- воспалительные процессы бронхов,
Противопоказания к бронхографии:
- острые инфекционные болезни,
- тяжелые нарушения функций органов дыхания, сердечно-сосудистой системы, печени или почек,
- непереносимость больным рентгеноконтрастных препаратов.
Подготовка пациента к исследованию:
1. Объясните пациенту суть исследования и правила подготовки к нему.
2. Получите согласие пациента на предстоящее исследование.
3. Проинформируйте пациента о точном времени и месте проведения исследования.
4. Необходимо чтобы пациент прошел ряд исследований перед проведением бронхографии:
- рентгенография грудной клетки в двух проекциях: прямой и боковой;
- электрокардиография для уточнения состояния сердечнососудистой системы;
- спирография- исследование, позволяющее оценить функциональное состояние дыхательной системы;
- общие анализы крови имочи;
- определение группы крови и резус фактора - так как по своей сути бронхография приравнивается к хирургическому вмешательству.
5. Попросите пациента повторить ход подготовки к исследованию, особенно в амбулаторных условиях.
6.Выяснить аллергоанамнез, так как исследование проводится с контрастным веществом.
Проведение бронхографии.Бронхографию проводит врач. Бронхография проводится на стоматологическом кресле или на операционном столе, которому можно придать подходящую конфигурацию.
· катетер или бронхоскоп для введения контраста в легкие;
Ход исследования:
· Пациента укладывают на стоматологическое кресло или операционный стол. Он должен занять максимально удобное и расслабленное положение - это облегчит проведение исследования.
· Если бронхография проводится под общим наркозом. Анестезиолог дает пациенту масочный наркоз. После этого маску снимают с лица, проводят интубацию трахеи.
· Если бронхография проводится под местной анестезией. При помощи спрея осуществляют анестезию ротовой полости. Затем вводят бронхоскоп, через который подают анестетик, а затем рентгеноконтрастное вещество.
· Перед тем, как вводить в бронхи контраст, врач может выполнить бронхоскопию - осмотреть слизистую оболочку при помощи бронхоскопа.
· Контраст должен равномерно заполнить бронхи и распределиться по их стенкам. Для этого пациента несколько раз переворачивают, придавая ему разные положения.
· Затем выполняют серию рентгеновских снимков. После этого исследование закончено.
Проведение исследование:Исследование проводит врач. Положение пациента при проведении процедуры - лежа.
Подготовка и проведение бронхографии
Что такое бронхография?
Бронхография представляет собой исследование бронхиального древа, выполняется при помощи контрастного вещества. Оно вводится в просвет бронхов, после чего выполняется ряд рентгеновских снимков. На сегодняшний день это исследование уступает по информативности многим другим методам, поэтому используется достаточно редко. Однако в клиниках, где отсутствует новое оборудование, пациентам все еще назначают рентген бронхов.
Часто процедуру назначают только в том случае, если более современные и щадящие методы исследования не дали достаточного количества информации о состоянии органов. Необходимо ознакомиться с тем, когда назначают бронхографию и о чем может свидетельствовать такое решение врача.
Сбор данных для эндоскопического исследования бронхов
Этот метод диагностики называется также «бронхоскопией». В процессе такого исследования применяется оптический прибор (эндоскоп), который оснащен видеорегистратором. Процедуру проводят сидя или лежа, анестезия является обязательной. Эндоскоп вводится через рот или нос в бронхи и позволяет подробно изучить их структуру и состояние. Как правило, бронхоскопию назначают для уточнения локализации очагов воспаления, новообразований и пр. Поэтому понадобится предварительное проведение рентгена бронхов, по итогам исследования снимков врач решит, целесообразна ли такая процедура.
Длительное воспаление бронхов и легких
Такие заболевания чреваты последствиями, а длительное течение болезни при лечении может указывать на наличие осложнений. Также может понадобиться смена терапии. Врач сможет принять решение после того, как рассмотрит полученные снимки и определит очаги воспалений, а также возможные новообразования, которые усугубляют течение болезни.
Определение целесообразности хирургического вмешательства
Придется узнать о том, как проводится бронхография, что это такое и как готовиться к процедуре, если возник вопрос о необходимости операции. Данная процедура позволяет получить достаточное количество информации о том, насколько целесообразна операция и каким образом планировать ее проведение. В ходе исследования станет понятно, каково состояние слизистых оболочек бронхов, а также многое другое, что является очень важным.
Увеличение количества мокроты, кровохарканье, неадекватно сильная одышка
В такой ситуации врач может заподозрить большое количество заболеваний, однако диагноз без дополнительных исследований установить не получится. Одышка и кашель являются прямыми показаниями к бронхографии, поскольку причина может заключаться в туберкулезе, пневмотораксе, воспалении легких или даже болезнях сердца. Снимки позволяют увидеть общую картину и определить причину возникновения симптомов.
Подготовка к проведению
Подготовка к бронхографии не требует особых действий, но желательно соблюсти несколько рекомендаций. А именно:
- если будет применяться местная анестезия, откажитесь от приема пищи за два часа до процедуры, если планируется общий наркоз, время стоит увеличить до восьми часов;
- тщательно очистите ротовую полость перед исследованием;
- если носите съемные зубные протезы, нужно снять их;
- необходимо опорожнить мочевой пузырь перед диагностикой.
Соблюдение таких рекомендаций позволит пройти обследование без осложнений и неприятных последствий. Также наряду с отказом от пищи лучше всего отказаться и от питья.
Методика проведения
Если вы не знаете, что такое бронхография, как проводится исследование, с ходом процедуры лучше ознакомиться до ее начала. Перед тем как делают рентген бронхов, врач просит пациента сесть в стоматологическое кресло или лечь на операционный стол, которому была придана подходящая конфигурация. Необходимо принять максимально удобное положение, что значительно упростит ход бронхографии.
Если применяется общий наркоз, анестезиолог накладывает на лицо пациента маску. После того как наркоз подействует, проводится интубация трахеи. Подготовка к проведению бронхографии с местной анестезией производится иначе: ротовую полость орошают анестетиком, после чего вводится бронхоскоп, а через него будут подаваться анестетик и контрастное вещество. Контраст должен равномерно распределиться по бронхам, снимки можно делать только после того, как вещество полностью обволакивает стенки. Пациента для этого необходимо перевернуть несколько раз и придать ему разные положения. После этого выполняется серия рентгеновских снимков.
Что оценивает врач на снимках?
После того как вы узнали, как проводится бронхография, стоит ознакомиться с основными факторами, на которые будет обращать внимание врач. В первую очередь доктор будет оценивать конфигурацию бронхиального древа, размеры и расположение левого и правого бронхов, их ширину. В норме не должно наблюдаться никаких сужений, а также полостей или областей, которые заполнены контрастным веществом. Если обнаруживается какое-либо новообразование или очаг воспаления, доктору необходимо будет оценить:
- локализацию образования - учитывается положение относительно позвоночника, ребер, бронхов и долей легких;
- количество таких образований;
- форму - может быть круглой, овальной либо неправильной;
- размеры - часто оценивают самый большой и самый маленький диаметры, в случае выявления стеноза - его протяженность и ширину;
- плотность образования - определяется по интенсивности затемнения на снимках;
- контуры и границы - четкие или нечеткие, ровные или неровные;
- смещение образования - меняет ли оно положение в процессе дыхания.
Благодаря оценке всех этих факторов, врач сможет сказать, что показывает процедура рентгена бронхов и какие патологические процессы выявлены.
Противопоказания
Сама по себе процедура не может считаться безобидной, поэтому существует ряд случаев, когда пройти ее не получится. Лучше всего ознакомиться с тем, что такое бронхография, показания и противопоказания к которой могут вам не подходить.
Абсолютные противопоказания
К абсолютным относятся те противопоказания, при наличии которых процедура не проводится ни в коем случае. К ним относятся перечисленные ниже заболевания.
Инфаркт миокарда, перенесенный в течение последних 6 месяцев
Узнать, как делают процедуру бронхографию, в этом случае не получится. Такое исследование негативно скажется на состоянии пациента, лучше всего подобрать другой метод исследования, к примеру МРТ.
Инсульт
Также относится к абсолютным противопоказаниям. Введение контраста - сильная нагрузка на организм. Если у пациента инсульт, такая нагрузка на кровеносную систему губительна.
Тяжелые аритмии
Точно так же, как и в случае с инсультом и инфарктом, введение контраста и проведение процедуры становятся невозможными. Помочь собрать необходимую информацию о состоянии бронхов может МРТ.
Относительные
Если вы изучаете показания и противопоказания к бронхографии, стоит знать, что существуют также относительные противопоказания. Это значит что проведение процедуры нежелательно, но по решению врача и при острой необходимости это возможно.
Острый фарингит, ларингит, трахеит
Введение контраста при наличии заболеваний дыхательных путей крайне нежелательно, оно может стать причиной усугубления состояния. Однако иногда получить информацию о бронхах жизненно важно.
Пневмония
Узнать, как именно делают рентген бронхов в этом случае, также не получится. Однако иногда необходимо узнать о наличии осложнений, которые могут быть выявлены в процессе бронхографии. Иногда это необходимо, поскольку на рентгеновском снимке были обнаружены неясные находки и нужно собрать больше информации о них, потому что от этого будет зависеть успешность лечения. Лучше всего довериться лечащему врачу и положиться на его опыт.
Обострение хронического воспалительного процесса в легких
В этом случае лучше всего ограничиться рентгенологическим обследованием органов грудной полости. Если же выхода нет, а иные обследования невозможны, придется узнать, что это такое - бронхография, подготовиться к процедуре и пройти ее.
Бронхография

Бронхография относится к рентгенологическим способам обследования состояния легких с применением контрастных веществ. В отличие от проведения обычной рентгенологической процедуры, в данном случае пациенту предварительно вводят специальное контрастирующее вещество в исследуемые органы. Благодаря контрасту, который обволакивает стенки бронхов, их можно очень детально рассмотреть на снимках, и тщательно исследовать бронхиальную структуру. По этой причине результаты бронхографии считаются более точными и ценными, по сравнению с данными эндоскопической процедуры - бронхоскопии. Однако, например, выбирая между назначением компьютерной томографии и бронхографии, врачи, чаще всего, склонны назначать проведение первого варианта обследования, как более легко переносимого пациентами.
Строение бронхов и бронхиального дерева, основания для диагностики
Бронхи являются сегментом нижних дыхательных путей и обеспечивают передачу воздуха непосредственно к альвеолам легких.
Система бронхов представлена множеством полых трубочек, которые разветвляются и постепенно сужаются по направлению к периферии. Чем меньше диаметр трубки, тем тоньше ее стенка. Терминальные разветвления бронхов называются бронхиолами, ими заканчивается бронхиальное дерево. Основная функция бронхиального дерева - это вентиляционная функция, то есть проведение воздуха и продолжение обработки воздуха, попадающего в легкие.
Визуально вся бронхиальная система действительно напоминает дерево с разветвлениями. Его основой (“стволом”) является трахея, из продолжения которой отходят два основных самых крупных легочных бронха. При этом левый бронх представляет собой более длинную трубку, имеет более горизонтальное положение, и меньший диаметр просвета. Правый бронх расположен вертикально, он более короткий и широкий. От этих главных бронхов отходят долевые бронхи, которые делятся на сегментарные, а сегментарные далее на субсегментарные. Наиболее маленькие и тонкие бронхи - дольковые и бронхиолы. В бронхиальных стенках есть мышечные волокна - их количество обратно пропорционально диаметру бронха. Эти волокна способны регулировать размер просвета, таким образом контролируя приток воздуха к легочной ткани. Паренхиму легкого образует альвеолярное дерево. Каждая конечная бронхиола дихотомически делится на дыхательные или респираторные бронхиолы, в стенках которых уже определяются отдельные альвеолы. От каждой дыхательной бронхиолы отходят альвеолярные ходы, заканчивающиеся альвеолярными мешочками, которые образованы альвеолами. Структурно-функциональной единицей паренхимы легких, на уровне которой происходит газообмен, является ацинус. Ацинус - это разветвление одной дыхательной бронхиолы, которое окружено кровеносными капиллярами.
Подробное изучение и исследование бронхиального дерева, в том числе, с помощью бронхографии, позволяет выявить причины появления определенных нарушений в работе легких, определить функциональные патологии развития и природу воспалительных или опухолевых процессов на бронхиальном уровне, а также выявить полостные образования, сообщающиеся с бронхами.
Показания и противопоказания к проведению, недостатки методики
В случаях, когда пациент жалуется на появление нетипичных симптомов, ощущений в дыхательных путях, отделение нетипичного содержимого при кашле, доктор может назначать бронхографию в качестве метода обнаружения:
- бронхоэктазов - расширений сегментарных бронхов, которые проявляются как бронхоэктатическая болезнь в хроническом виде. В участках расширения скапливается бронхиальная жидкость и начинают усиленно размножаться болезнетворные бактерии;
- показаний для хирургического вмешательства - например, для представленной выше патологии, когда медикаментозное лечение не дает результатов;
- причин кровохарканья, увеличения объемов мокроты, появления одышки, иных симптомов поражения легких;
- дополнительных данных о состоянии бронхов, например, в комплексе с бронхоскопией;
- врожденных пороков и патологий;
- причин хронических воспалительных процессов в легких;
- причин уменьшения размеров легкого или патологических процессов, выявленных на обычных рентгеновских снимках;
- полости в легком, размеры которой изменяются с течением времени.
Проведение процедуры рекомендовано для пациентов перед хирургическими операциями на легких, а также после их проведения, для контроля эффективности оперативного вмешательства.

Существуют состояния и объективные факторы, при которых назначение бронхографии для конкретного пациента невозможны. Среди абсолютных противопоказаний:
- наличие аллергии на йод и контрастирующие препараты;
- непереносимость используемых в процессе операции анестетиков;
- период длительностью в 6 месяцев после перенесенного инфаркта миокарда;
- острый период мозгового инсульта;
- значительные нарушения сердечного ритма;
- гипертония в случаях, когда нижнее артериальное давление находится на отметке выше 100 мм рт. ст.;
- сильное сужение трахеи и гортани;
- трехнедельный период после обострения бронхиальной астмы;
- травмы черепа в остром периоде, эпилептические припадки и другие неврологические нарушения;
- болевые ощущения в области живота, а также общее тяжелое состояние пациента.
При наличии относительных противопоказаний, вопрос о возможности проведения бронхографии решает врач с учетом всех особенностей состояния пациента. Такими противопоказаниями является:
- ОРВИ или грипп;
- стенокардия; тяжелого течения;
- вторая половина беременности;
- алкоголизм;
- менструация у женщин;
- прогрессирующий туберкулез легких;
- пневмония;
- легочное кровотечение любой этиологии;
- увеличение щитовидной железы третьей степени (предварительно необходимо посетить эндокринолога).
На сегодняшний день более безвредным и точным методом диагностирования состояния бронхов считается компьютерная томография. По сравнению с ней, бронхографический метод имеет известные недостатки:
- необходимость использования анестезии;
- вероятность появления аллергии на йод и йодсодержащие препараты;
- фактор лучевой нагрузки на организм: некоторым пациентам вообще противопоказано попадать под рентгеновское облучение, но и тем, для кого таких ограничений нет, не рекомендуется делать рентгенографию в любом виде чаще одного раза в шесть месяцев.
Показания к проведению процедуры у больных туберкулезом

Одним из самых распространенных в мире инфекционных заболеваний, поражающее легкие является туберкулез. У него отмечается достаточно высокий процент смертности, однако своевременное обнаружение, а также адекватно подобранная терапия дают высокие шансы на выздоровление.
При поражении этим заболеванием, могут развиваться некоторые нарушения и особенности функционирования органов, которые лечащий врач отслеживает, в том числе с помощью результатов бронхографии.
- при подозрении на наличие бронхоэктазов;
- при подозрении стеноза бронхов;
- для обнаружения каверны (пустоты, образовавшейся в результате отмирания тканей), если иными способами ее не удалось выявить;
- при подозрении на прободение казеозного лимфоузла в просвет прилежащего бронха;
- для изучения культи бронха после резекции легкого;
- для выявления или уточнения наличия бронхиального свища, открывающегося в плевральную или экстраплевральную полость;
- для проведения дифференциальной диагностики, когда необходимо отличить туберкулез от других заболеваний.
Обычно процедуру проводят параллельно с комплексом противотуберкулёзного лечения.
Особенности подготовки к процедуре
Доктор, который назначил проведение обследования, консультирует пациента по поводу всех требований, объясняет ему, как подготовиться к наркозу. Если планируется проведение операции под местным наркозом, пациенту запрещено принимать пищу за 2 часа до этого. Если будет применяться общий наркоз, это время увеличивается. Врач должен выяснить наличие или отсутствие непереносимости каких-либо веществ, аллергии на йод.
Заранее нужно провести тщательные гигиенические мероприятия по очищению ротовой полости. Если больной пользуется зубными протезами, перед началом процедуры их нужно снять.
Также доктор предварительно направляет больного на такие обследования:
- рентгенографию грудной клетки в двух проекциях; ;
- спирографию; ; и крови.
Если пациент жалуется на сильный кашель с обильным отделением мокроты, за 3 дня до проведения бронхографии ему назначают сильнодействующие отхаркивающие препараты, или проводят процедуру постурального дренажа.
Как проводится бронхография
В некоторых случаях, проведение операции у взрослых проходит вообще без анестезии, но пациент при этом ощущает сильный дискомфорт. Чаще всего, для взрослых применяется местная анестезия. За полчаса до начала процедуры ему дают специальные препараты, подавляющие кашель и расширяющие просвет бронхов. Непосредственно перед началом манипуляций проводится местная анестезия с помощью спрея. Для детей младшего возраста обязательно применение общего обезболивания.
Перед началом процесса пациента располагают на операционном столе, при этом он должен занять максимально расслабленное и комфортное положение. Если операция проводится под общим наркозом, исследуемому прикладывают к лицу маску для подачи анестетика. После того, как пациент входит в состояние медикаментозного сна, маска убирается, и проводится интубация трахеи. При местном наркозе, после обработки полости рта пациенту вводится бронхоскоп, через который подается анестетик, а вслед за ним - контрастирующее вещество. Перед их введением врач может, при необходимости, провести и бронхоскопию. В качестве контрастного вещества, чаще всего, используется сульфойодол с сульфадимезином.
Для того, чтобы контраст равномерно распределился по легким, исследуемого несколько раз переворачивают, меняя ему положение. После этого осуществляется рентгенографическая съемка в прямой, боковой и иных проекциях. Такая методика проведения процедуры называется позиционной.
Направленная бронхография используется для исследования нижнедолевого бронха и системы сегментов нижней доли легких, а также средней доли органов. Больной при введении контрастного вещества находится в положении “стоя”.
Возможные осложнения во время и после процедуры
Бронхография, хотя и проводится компетентными профессионалами и с условиями тщательной подготовки, не является абсолютно безопасным способом диагностики. Во время бронхографии у пациента может развиться острая аллергическая реакция на йодсодержащий препарат или анестезию. Возможно развитие анафилактического шока, головокружения, рвоты и тошноты, учащение сердцебиения, падение артериального давления, потеря сознания. Врачи должны быть готовы к вероятности развития носового кровотечения из-за травмирования слизистой оболочки в процессе введения бронхоскопа. Если у исследуемого появляется резкий спазм бронхов, он ощущает нехватку воздуха, удушье и одышку, также у него отмечается посинение кожных покровов. В любом из описанных случаев необходимо остановить проведение процедуры и оказать пациенту необходимую медицинскую помощь.
В первое время после обследования пациент будет чувствовать болевые симптомы и саднящее ощущение в горле. Чтобы избавиться от дискомфорта, достаточно полоскать ротовую полость и горло специальными растворами, например, отваром коры дуба, или рассасывать леденцы от боли в горле.
В результате применения анестезии может временно нарушиться глотательный рефлекс, так как анестетик угнетает работу нервных окончаний на слизистой глотки. Обычно этот симптом проходит в течение 2 часов после окончания процедуры, и до полного восстановления глотания пациенту запрещено пить и есть.
Для ускорения процесса выведения контрастного вещества из бронхов, рекомендуется выполнение дыхательных упражнений, в некоторых случаях - постуральный дренаж.
Бронхографию проводят обычно в условиях стационара, но в тех случаях, когда процедура осуществляется в поликлинике, после нее пациенту на сутки открывается больничный лист.
Интерпретация результатов обследования
Нормальное состояние бронхов означает, что на снимке бронхографии бронхиальное дерево сохраняет правильную форму и текстуру, главные бронхи имеют обычную для них форму, толщину и положение, по мере ветвления толщина всех бронхов постепенно уменьшается, на снимке отсутствуют тени или полости, заполненные контрастом, или нетипичные сужения бронхов.
При обнаружении на снимке патологических образований, врач оценивает их форму, количество, расположение, размеры, контуры, смещение и границы, после чего принимает решение о проведении дальнейших обследований, или назначении лечения.
Бронхография считается достаточно достоверным и точным методом исследования патологий легких, однако не является полностью безопасной. В некоторых случаях вместо процедуры бронхографии рекомендуется проведение компьютерной томографии.
- Соколов Ю. Н. Розенштраух Л. С. Бронхография, 1958, 172 с.
Специальность: инфекционист, гастроэнтеролог, пульмонолог .
Общий стаж: 35 лет .
Образование: 1975-1982, 1ММИ, сан-гиг, высшая квалификация, врач-инфекционист .
Читайте также:
- Регуляция дыхания плода и новорожденного. Механизмы дыхания новорожденного
- Атрезия пищевода у детей. Врожденный стеноз пищевода у детей
- Изучение сердечно-сосудистых заболеваний на животных. Перенос генов в соматические клетки животных
- УЗИ при холангиокарциноме
- Внезапная слепота. Нервно-психические нарушения при внезапной потере зрения


