Выявление воротникового пространства. Техника измерения воротникового пространства
Добавил пользователь Евгений Кузнецов Обновлено: 21.11.2025
Один из важнейших параметров, измеряемых на первом плановом УЗИ во время беременности - толщина воротникового пространства, обозначаемая ТВП. Давайте разберемся, что это такое.
Что такое толщина воротникового пространства?
Это скопление подкожной жидкости на задней поверхности шеи ребенка. Оно может быть измерено во время ультразвукового исследования, которое проводится на сроке 11-13 недель плюс 6 дней. Некоторое количество жидкости присутствует у всех детей, но у многих детей с синдромом Дауна ее количество значительно превышает норму.
Определение толщины воротникового пространства (ТВП при УЗИ) - это ультразвуковое исследование, которое позволяет выявить вероятность рождения ребенка с синдромом Дауна. Точный диагноз можно поставить только в результате таких исследований, как биопсия ворсин хориона или амниоцентез. При проведении этих обследований существует небольшой риск выкидыша.
Определение толщины воротникового пространства не дает точного ответа, родится ли ребенок с пороком развития или нет. Но этот тест может помочь вам решить, проходить ли диагностический тест.
Нормы ТВП
Показателем нормы на 11 неделе беременности можно считать толщину воротникового пространства в 1-2 мм, а вот на 13 неделе - 2,8 мм. В случае если этот показатель выше установленной нормы беременной женщине назначаются дополнительные обследования, которые могут опровергнуть или подтвердить риски рождения ребенка с синдромом Дауна. Высокий показатель толщины воротникового пространства не всегда указывает на наличие проблемы. У некоторых детей, не предрасположенных к синдрому Дауна, содержание подкожной жидкости тоже бывает выше нормы.
Более того, только у 7% плодов наблюдаются хромосомные аномалии при толщине воротникового пространства в 3 мм, у 27% - при ТПВ в 4 мм и у 53% при ТВП в 5 мм. К примеру, девять из десяти детей с показателем 2,5-3,5 мм рождаются абсолютно нормальными.
Как проводится тест на определение толщины воротникового пространства?
Ультразвуковое исследование должно проводиться на сроке беременности от 11 до 13 недель плюс 6 дней. Раньше 11 недель тест сложно проводить технически, так как плод слишком мал, а после 14 недель излишки жидкости поглощаются развивающейся лимфатической системой ребенка.
Как правило, проводится обычное УЗИ. Впрочем, иногда необходимо вагинальное УЗИ. Такое исследование безопасно для вас и малыша и не должно вызывать у вас неприятные ощущения.
Для того, чтобы точно определить срок беременности, врач УЗИ, измеряет плод от макушки до копчика (это называется копчико-теменной размер КТР). Затем измеряется толщина воротникового пространства. При этом кожа выглядит на мониторе белой линией, а подкожная жидкость — черной.
Во время исследования вы сможете увидеть голову и позвоночник ребенка, его ручки и ножки. Существенные отклонения могут быть выявлены во время этого сканирования, но все же рекомендуется сделать анатомическое УЗИ плода на сроке около 20 недель.
Насколько точно исследование на определение ТВП?
У 75 % детей, страдающих синдромом Дауна, отклонения были выявлены во время исследования для определения толщины воротникового пространства.
Иногда это УЗИ показывает вероятность наличия порока у здоровых детей. Такой результат называется ложноположительным. Ложноположительными бывают 5 % результатов. Это значит, что у одной из 20 женщин ошибочно определяется высокая степень риска рождения ребенка с отклонениями.
Наиболее точный результат можно получить при совмещении результатов теста на определение толщины воротникового пространства и анализа крови. Последний выявляет уровень свободного бета-ХГЧ и концентрацию протеина PAPP-A.
Толщина воротникового пространства (ТВП)
Воротниковое пространство - это скопление жидкости в области шеи плода. В нашей стране воротниковое пространство у плода исследуют в первом триместре беременности при скрининговом ультразвуковом обследовании в 10-14 недель беременности. Толщина воротникового пространства (ТВП) это область между внутренней поверхностью кожи плода и наружной поверхностью мягких тканей, покрывающих шейный отдел позвоночника.
Толщина воротникового пространства (ТВП)
Изображение воротникового пространства можно оценивать как с помощью трансабдоминального, так и трансвагинального сканирования. Оценка ТВП у плода проводится при значениях копчико-теменного размера (КТР плода) от 45 до 84 мм и позволяет заподозрить хромосомные аномалии, особенно трисомию 21-й хромосомы (синдром Дауна) и сформировать среди беременных группу риска по рождению детей с врожденной и наследственной патологией.
Толщина воротникового пространства (ТВП) на УЗИ
Толщина воротникового пространства. Норма
Толщина воротникового пространства в норме составляет от 0,7 до 2,7 мм в зависимости от срока беременности. Риск рождения ребенка с хромосомными аномалиями заметно увеличивается с утолщением воротникового пространства и возрастом матери. Поэтому всегда, когда толщина воротникового пространства составляет 3 мм или более, врач назначает проведение инвазивного кариотипирования (исследования, которое позволяет на клеточном уровне выявить возможность рождения малыша с генетическим синдромом, таким как синдром Дауна, Эдвардса, Патау и др), с использованием биопсии ворсин хориона (на анализ берется кусочек ткани плаценты) или раннего амниоцентеза (с целью получения образца амниотической жидкости).
Молодым женщинам (до 35 лет), не имеющим факторов повышенного риска хромосомных аномалий, может быть рекомендовано неинвазивное скрининговое УЗИ и сдача крови на биохимические маркеры (PPAP-А, ХГЧ, АФП).
Одновременный учет возраста матери, ТВП эмбриона и результатов определения в сыворотке крови матери свободного β-ХГЧ и РАРР-А позволяет более точно подтвердить или опровергнуть возможность рождения ребенка с хромосомными аномалиями, а также сократить количество инвазивных вмешательств.
Несмотря на наличие прямой зависимости между частотой хромосомных дефектов, врожденных пороков развития и расширением воротникового пространства у плода в ранние сроки беременности, ТВП нельзя полностью отождествлять с необходимостью прерывания беременности, так как более чем в 80% случаев рождаются здоровые дети. Расширенное воротниковое пространство является только показанием к более детальному и расширенному обследованию, в частности для своевременной диагностики врожденных пороков развития, которые могут проявиться позже обнаружения и исчезновения ТВП.
Выявление воротникового пространства. Техника измерения воротникового пространства
Таблица норм ТВП плода по неделям (с пояснениями)

Таблица норм ТВП плода по неделям (с пояснениями)
Что же значит известная многим беременным женщинам аббревиатура ТВП? Эту аббревиатуру расшифровывают как “толщина воротникового пространства”. Будущим мамочкам будет полезно знать, что значат эти загадочные слова, а также для чего проводят оценку ТВП с помощью УЗИ. Кроме того, знание нормативов данного параметра также не повредит любому ответственному родителю.
Итак, у каждого плода имеется щелевидный участок между кожей и мышцами и связками, который покрывает позвоночник человеческого зародыша. Этот щелевидный участок располагается на задней части шеи эмбриона. Проверка воротникового пространства происходит в первом триместре беременности во время УЗИ.
Именно этот эхографический маркер плода стал «золотым стандартом» на сроке 11—14 недель. С помощью этого маркера рассчитывают индивидуальный риск рождения плода с хромосомными заболеваниями.
После 14 недели беременности это пространство начинает уменьшаться и в скором времени совсем исчезает. В очень редких случаях жидкость не всасывается лимфатической системой плода, а переходит в отек шеи или гигрому.
УЗИ зоны ТВП проводится для того, чтобы врачи, ведущие беременность могли точно оценить риски образования аномалий у будущего малыша.
Как проводят обследование ТВП?
Измерение зоны ТВП проводят во время обычного УЗИ, когда женщина лежит на кушетке, а врач устанавливает датчик ей на живот и выводит на экране изображения плода. В некоторых случаях, если на сроке 11,12,13,14 недель ребеночек еще не очень хорошо виден при трансабдоминальном УЗИ, врач проводит измерения используя влагалищный датчик. Это ультразвуковое исследование проводят, как правило, на аппаратуре экспертного класса.
Перед измерением ТВП врач измеряет длину плода, то есть его КТР. Это крайне необходимо, потому что толщина воротникового пространства меняется в зависимости от срока беременности. Потом эхографист выводит на экран верхнюю часть туловища и головку плода строго в боковой проекции, при этом в одном срезе должны быть одновременно кости и кожа спинки носа, полости 4 желудочка и кость верхней челюсти. Используя масштабирование увеличивает область шеи. Затем измеряет наибольшую толщину скопления жидкости по задней поверхности шеи под кожей. Жидкость изображается на экране черным цветом, а кожа и мягкие ткани белыми. После проведенных измерений врач сравнивает полученный результат с нормативной таблицей.
Стоит отметить, что во время проведения измерения головка ребенка должна находиться в нейтральном положении. Если она будет слишком запрокинута назад, то можно получить завышенные измерения, или наоборот, если подбородок сильно поджат к груди, то измерения будут ниже реального значения. Для того чтобы измерение было выполнено правильным образом, возможно, необходимо будет подождать, пока плод расположится правильно при спонтанном его движении, либо поспособствовать его движениям посредством легких надавливаний на брюшную полость матери или предложить пациентке покашлять.

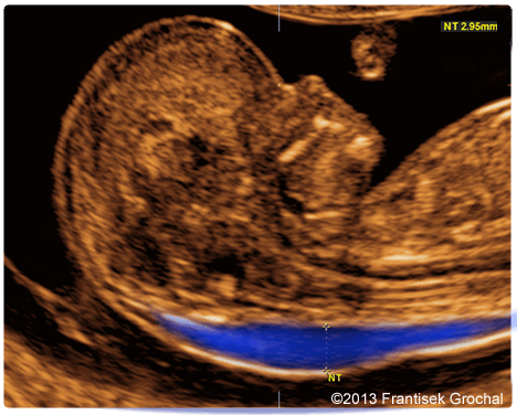
Синим цветом на фотографии УЗИ выделено воротниковое пространство, толщина которого является важным параметром.
Кому показано данное обследование?
В настоящее время первый ультразвуковой скрининг в обязательном порядке включает в себя измерение ТВП (толщины воротникового пространства) на сроке 11,12, 13 недель 6 дней. При этом таблица нормальных значений разработана для сроков, когда копчико-теменной размер плода составляет минимум 45 мм, а максимум 84 мм.
Почему у плода могут появляться отклонения ТВП от нормы?
Причин, которые ведут к увеличению количества жидкости в шейной области и расширению зоны воротникового пространства у плода.. К этому могут приводить:
- анемия,
- нарушения работы сердца,
- патологии развития соединительной ткани,
- скопление крови и застойные явления крови в верхних отделах туловища,
- нарушения оттока лимфатической жидкости,
- морфологические (касающиеся строения) аномалии лимфатической системы,
- гипопротеинемия,
- инфекции
- нарушения строения скелета.
Эти патологические механизмы встречаются при различных генетических аномалиях, но больше всего расширение ТВП ассоциируют с синдромом Дауна (трисомией по 21 хромосоме), Эдвардса (трисомией по 18 хромосоме), Патау (трисомия по 13 хромосоме), синдромом Тернера (отсутствием одной из Х хромосом). Трисомия - это наличие дополнительной хромосомы в кариотипе человека, которое приводит к различным отклонениям в развитии.
Кроме того, расширение ТВП бывает более чем при 50 различных пороках развития плода и при внутриутробной гибели плода. Тем не менее, большое число случаев с увеличенной толщиной воротниковой зоны заканчивается появлением на свет здоровых малышей.
Если во время исследования выявляется увеличение ТВП, то женщине назначают дополнительное УЗИ через 1-2 недели, а также рекомендуют сдать анализ крови на определение рисков хромосомных аномалий. Для этого проводят анализ двух веществ, вырабатываемых плацентой (PAPP-A и свободный бета-ХГЧ), которые у плодов, пораженных хромосомными аномалиями, имеют показатели, отличающиеся от тех, что обнаруживаются у плодов с нормальным хромосомным набором. Именно такое совокупное обследование позволяет максимально точно установить индивидуальный риск наличия хромосомной патологии у плода. При этом еще обязательно учитывают и возраст беременной женщины.
Нормальные значения толщины воротникового пространства
Норма ТВП, разработанная для каждого срока беременности, представлена в таблице 1.
| Срок беременности | Норма значения ТВП, мм |
| 10 недель 0 дней - 10 недель 6 дней | 0,8 - 2,2 |
| 11 недель 0 дней - 11 недель 6 дней | 0,8 - 2,4 |
| 12 недель 0 дней - 12 недель 6 дней | 0,7 - 2,5 |
| 13 недель 0 дней - 13 недель 6 дней | 0,7 - 2,7 |
Если у вашего будущего ребенка во время УЗИ выявлено ТВП больше нормы, не стоит сразу впадать в панику, так как выше мы уже описали, что этому может быть много причин, в том числе и совершенно здоровое его состояние.
Но всё-таки плоды с ТВП более 3,0 мм в сроке 11-14 недель имеют высокий риск хромосомных аномалий.
Также измеряется ТВП для прогноза возможных рисков беременности. У плодов с нормальным кариотипом и увеличением ТВП возрастает риск преждевременных родов, пороков сердца и других аномалий плода.
Значения ТВП на 12 неделе беременности
Итак, исходя из данных, приведенных в нашей таблица можно сделать вывод, что если женщина находится на 12 неделе беременности, то размер ТВП будет 1,6 мм (норма в среднем). Норма минимума для ТВП на данном сроке - 0,7 мм, а максимальная граница нормального значения - 2,5 мм. Что означает увеличение показателей ТВП выше нормы на 12 неделе беременности? В таком случае риск того, что у зародыша будут выявлены генетические (хромосомные) аномалии и врожденные пороки органов, сильно увеличивается.

Сравнение нормальной и ненормальной толщины воротникового пространства
Зародыш с синдромом Дауна в 95% случаев обнаруживает показатель ТВП больше 3,4 мм. Размер ТВП более 5,5 мм на сроке 12 недель в 70% случаев означает синдром Эдварса.
Значения ТВП на 13 неделе беременности
Нормальные показатели толщины воротникового пространства в 13 недель составляют в среднем 1,7 мм.
Минимально определяемое значение ТВП равно 0,7 мм, а верхняя граница нормы - 2,7 мм. При значении ТВП больше 2,7 мм у плода в сроке 13 нед возрастает риск развития хромосомных заболеваний или врожденных пороков развития.
При трисомиях по 21, 18 и 13 хромосомам эхографические изменения выражаются в увеличении ТВП примерно на 2,5 мм по сравнению с средним значением для данного срока беременности. При синдроме Тернера значение ТВП примерно на 8 мм больше среднего нормального значения ТВП для здоровых плодов.
Также выявлена закономерность, что при ТВП от 3 до 4 мм риск синдрома Дауна составляет лишь 7 %, от 4 до 5 мм - 27 %, от 5 до 6 мм - 53 %, от 6 до 7 мм - 49%, от 7 до 8 мм - 83 %, от 8 до 9 - 70%, а при 9 мм и более, риск уже равен 78 %.
Но помимо толщины воротникового пространства необходимо учитывать результаты биохимического скрининга. Если же и они повышены, то женщине предлагается провести забор крови из пуповины плода или исследовать околоплодные воды для достоверной оценки количества хромосом у плода. Но такое исследование рекомендуется проводить только после 16 недели беременности. Если набор хромосом оказывается нормальным, то беременность ведется дальше в обычном режиме. Но если же всё-таки у плода выявляют изменения набора хромосом, несовместимые с жизнью, женщине рекомендуют прервать беременность по медицинским показаниям.
Значения ТВП на 14 неделе беременности и позже
В норме после 14 недели беременности зона воротникового пространства начинает постепенно уменьшаться.
Если увеличение ТВП продолжает регистрироваться и при исследовании в 14 неделю и позже или скопление жидкости переходит в отек шеи или в генерализованный отек плода, то это указывает на высокую вероятность инфекционного заражения малыша или наличия у него генной патологии. При этом следует исследовать крови беременной женщины в первую очередь на наличие токсоплазмоза, цитомегаловируса и парвовируса В 19. Также в этой ситуации показаны регулярные повторные УЗИ каждые четыре недели для выявления динамики отека.
Таким образом, УЗИ, а в частности измерение ТВП в 11,12,13,14 недель беременности, помогают установить и в некоторых случаях предупредить рождение детей с хромосомными патологиями. Поэтому женщинам крайне не рекомендуется избегать прохождения 1-го скрининга.
Полуавтоматическое измерение воротникового пространства
Коллеги, здравствуйте. Наткнулся в youtube на учебный ролик, поясняющий как проводить полуавтоматическое измерение воротникового пространства SonoNT на УЗ аппаратах GE Voluson. Ниже перевод, возможно кому-то пригодится.
"Здравствуйте. Меня зовут Роланд Маттерн, специалист GE Healthcare по клиническому применению УЗ аппаратов серии Voluson. SonoNT - это новое полуавтоматическое измерение воротникового пространства (Nuchal Translucency - NT), оно было разработано совместно с FMF (Лондон).
Первый шаг - получить нужное изображение в соответствии с принятыми требованиями. Измерение воротникового пространства выполняется на «замороженном» двумерном изображении. Для выполнения измерения нажимаем кнопку Calc (специализированные расчеты) и выбираем Early Pregnancy (ранние сроки), затем измерение NT. Теперь у нас есть выбор: провести мануальное измерение или SonoNT. Обратите внимание на предупреждение (красный шрифт), отображенное на экране, показывающее, что увеличение В-режима недостаточное.
Итак, мы увеличиваем изображение. Сначала мы проведем ручное измерение. Мы размещаем оба курсора и затем подтверждаем их положение (Accept, Принять). Это первое ручное измерение затем заносится в отчет. Теперь мы проводим измерение во второй раз, теперь используем SonoNT. Опять мы можем использовать два метода измерения: от внутренней до внутренней части (i-i) или от внутренней до средней части мембраны (i-m). Мы начинаем c измерения от внутренней до внутренней части.
Мы размещаем рамку (зону интереса), помещая внутрь ее воротниковое пространство. Теперь эта зона подвергается анализу. После нашего подтверждения отображается только результат измерения воротникового пространства, таким образом измерение закончено. Мы можем провести третье измерение, используя метод от внутренней до средней части, и здесь мы используем аналогичную процедуру.
Мы позиционируем рамку и подтверждаем принятие измерения. Теперь мы переходим в отчет. Здесь имеются три измерения. Как я упоминал ранее, первым отображается ручное измерение (без пометки); с пометкой 1 - от внутренней до внутренней части, и с пометкой 2 - от внутренней до средней части. Удачи и до скорой встречи!"
Определение толщины воротникового пространства
Ультразвуковое исследование, которое позволяет определить вероятность рождения ребенка с синдромом Дауна. Речь идет о скоплении подкожной жидкости на задней поверхности шеи плода, которое измеряют на сроке 11-13 недель. Некоторое количество жидкости присутствует в каждом случае, но у многих детей с синдромом Дауна ее количество сильно превышает норму. Точный диагноз можно поставить только на основании дополнительных исследований: биопсии хориона или амниоцентеза. Однако, их проведение чревато небольшим риском прерывания беременности.

Определение толщины воротникового пространства не дает точного представления о состоянии ребенка, но помогает определить, требуется ли назначение более глубокого диагностического теста.
Определение толщины должно проводиться на этапе от 11 до 13 недель плюс 6 дней. Раньше этого срока выполнить его будет сложно, ведь ребенок еще слишком мал, а позже излишки жидкости поглощаются его лимфатической системой. Как правило, измерения проводятся обычным способом, лишь иногда требуется сделать вагинальное УЗИ.
Для того, чтобы точно определить срок беременности, врач УЗИ, измеряет плод от макушки до копчика (это называется копчико-теменной размер КТР). Затем доктор устанавливает толщину воротникового пространства. При этом кожа выглядит на мониторе белой линией, а подкожная жидкость — черной.
На 11-й неделе беременности нормой является ширина в 1-2 мм, а на сроке 13 недель и 6 дней - 2,8 мм. Толщина воротникового пространства растет пропорционально росту ребенка. Высокий показатель не всегда указывает на наличие проблемы. У некоторых детей, не предрасположенных к синдрому Дауна, содержание подкожной жидкости иногда бывает выше нормы. Девять из десяти детей с показателем 2,5-3,5 мм рождаются абсолютно нормальными.
Чем выше показатель толщины воротникового пространства, тем выше риск развития синдрома Дауна и других хромосомных нарушений.
Вероятность рождения такого ребенка существует у каждой женщины, и с возрастом она увеличивается. Для определения степени риска учитывается возраст будущей мамы и результат теста на определение толщины воротникового пространства. Специальная программа помогает определить эту вероятность для женщины определенного возраста - ее называют фоновым показателем. Личные показатели используют для определения степени риска в каждом конкретном случае. Эта степень может быть выше или ниже фонового показателя.
Большинство женщин с высокой степенью риска рожают здоровых детей. Ребенок с синдромом Дауна появляется в одном из 150 случаев присутствия высокого риска или даже реже. В ситуации, когда риск настолько высок, что составляет 1 из 5, стоит помнить, что сохраняется шанс четыре против одного, что ребенок родится здоровым. Единственная возможность точной диагностики вероятности появления хромосомных отклонений - диагностический тест, такой как биопсия хориона или амниоцентез.
Одним из преимуществ теста на определение толщины воротникового пространства является то, что его делают на ранних сроках беременности. Поэтому биопсия ворсин хориона (БВХ) также может быть сделана в первом триместре.
У 75% детей, страдающих синдромом Дауна, отклонения были выявлены во время исследования толщины воротникового пространства.
Иногда измерения демонстрируют вероятность наличия порока у здоровых детей. Такой результат называется ложноположительным, это 5% от общего числа. Таким образом, у одной из 20 женщин ошибочно определяется высокая степень риска рождения ребенка с отклонениями. Наиболее точный результат можно получить при совмещении показателей теста на определение толщины воротникового пространства и анализа крови. Последний выявляет уровень свободного бета-ХГЧ и концентрацию протеина PAPP-A (ассоциированного с беременностью плазменного белка А). У детей с синдромом Дауна обычно наблюдается высокий уровень свободных бета-ХГЧ и низкая концентрация протеина PAPP-A. УЗИ для определения толщины воротникового пространства в сочетании с анализом крови в 90% случаев дает точный результат. Это исследование называется двойным тестом.
Читайте также:
- Отек гортани
- Транзиторные иммунодефициты. Механизм развития транзиторных иммунодефицитов. Иммунотерапия. Иммунопрофилактика. Иммунобиологические препараты.
- Нефрогенный несахарный диабет
- Раннее выявление краснухи. Скрининг женщин на краснуху.
- Дренаж при лобэктомии. Длительность дренирования плевральной полости после лобэктомии
