Дренаж при лобэктомии. Длительность дренирования плевральной полости после лобэктомии
Добавил пользователь Валентин П. Обновлено: 21.11.2025
По данным зарубежной статистики (Швейцария), с послеоперационными осложнениями сталкиваются 3 человека из 10.
Оперативное вмешательство по поводу рака легкого может проводиться в разных объемах:
- удаление доли легкого, лобэктомия,
- удаление всего легкого, пульмонэктомия.
В раннем послеоперационном периоде как после открытого оперативного вмешательства, так и после малоинвазивного торакоскопического вмешательства, могут возникнуть осложнения.
1. Утечка воздуха из легкого в плевральную полость, в норме герметичную и воздуха не содержащую — естественное и закономерное явление, после операций на легких с ним сталкивается каждый второй пациент, и оно прекращается самопроизвольно через несколько часов или дней. Лишь у семи-восьми человек из ста она сохраняется дольше 5 дней и только в этом случае расценивается как осложнение.
Изначальным проявлением сброса воздуха после лобэктомии является бурление в дренажной банке, которая соединена с послеоперационной дренажной системой
Сброс воздуха замечают по бурлению проходящих сквозь жидкость пузырьков воздуха в банке, соединенной с установленной после операции системой дренажа плевральной полости.
2. Пневмоторакс — присутствие воздуха в полости грудной клетки. Пока стоит дренажная система, воздух, поступающий в плевральную полость из поврежденного оперативным вмешательством легкого, выходит по ней. Это открытый пневмоторакс. Если же дренаж удаляют до прекращения утечки воздуха из легкого, пневмоторакс становится закрытым. Воздух, попав в плевральную полость, не находит выхода, скапливается и сдавливает легкое.
В отличии от простой утечки воздуха, закрытый пневмоторакс проявляется внезапно возникающей и усиливающейся одышкой в покое. Когда воздух попадает под кожу, появляется вздутие, при нажатии на него слышен хруст, потрескивание.
3. Ателектаз — спадение отдельных участков или всего легкого. Ткань легкого «сдувается», теряет воздушность и способность выполнять функцию газообмена. Чаще всего это происходит в первые несколько суток после операции. Может быть связано как с закрытым пневмотораксом, так и со скоплением мокроты в бронхах. Ателектаз может протекать как бессимптомно, так и с одышкой, в зависимости от того, какая часть легкого находится в «спавшемся» состоянии.
5. Пневмония (воспаление легких). С инфекционным поражением легких сталкивается шесть человек из ста. Пневмония проявляется повышением температуры, постепенно нарастающей одышкой, слабостью, кашлем, сухим или с отхождением мокроты. Иногда протекает бессимптомно. Требует от медицинского персонала своевременного реагирования.
6. Нарушения сердечного ритма (наиболее часто в виде фибрилляции предсердий) бывают у двух человек из десяти после удаления доли легкого (лобэктомии) и трех-четырех человек из десяти после удаления всего легкого (пульмонэктомии). Опасность большинства вариантов нарушения сердечного ритма кроется в нарушении кровоснабжения органов и тканей, что утяжеляет послеоперационный период. В некоторых случаях нарушения ритма способны привести к инсульту.
- ощущение перебоев в работе сердца,
- предобморочные и обморочные (синкопальные) состояния,
- слабость,
- одышку при движениях,
- головокружения.
7. Кровотечение в области оперативного вмешательства — возникает в одном-трех случаях из ста. В тяжелых случаях кровь скапливается в грудной полости и сдавливает легкое (гемоторакс).
При развитии кровотечения:
- постепенно снижается артериальное давление,
- учащается пульс,
- нарастает слабость,
- появляется головокружение, усиливающееся, когда пациент встает с постели.
При присоединении гемоторакса происходит усугубление тяжести всех симптомов, появляется одышка. Одышка нарастает по мере нарастания гемоторакса.
8. Тромбоэмболические осложнения, наиболее часто тромбоэмболия легочной артерии (ТЭЛА). Настигают до пяти пациентов из ста при лобэктомии и семь человек из ста после пульмонэктомии. Для каждого второго пациента ТЭЛА может закончиться летальным исходом.
При ТЭЛА тромбами закупориваются и блокируются сосуды легких.
- При массивной ТЭЛА, закупорке многих или крупных сосудов, могут возникать боль в грудной клетке и одышка, появляющаяся внезапно и быстро нарастающая, иногда потеря сознания.
- В менее тяжелых случаях, при закупорке отдельных мелких ветвей легочной артерии, возможны дискомфорт в грудной клетке, кашель, в том числе с кровохарканьем.
При поражении сосуда малого калибра симптомов может не быть, лишь через какое-то время возникает так называемая инфаркт-пневмония.
9. По данным зарубежной статистики, для одного-трех человек из ста операция на легких может закончиться смертью в силу вышеописанных причин. Это может быть как при открытом, так и при малоинвазивном, торакоскопическом вмешательстве.
Можно ли предотвратить ранние послеоперационные осложнения?
Утечка воздуха (пневмоторакс) и ателектаз — профилактика заключается в совершенствовании техники операции и восстановлении целостности тканей (формировании швов). Применение дренажной трубки позволяет уже к третьему дню после операции добиться прекращения утечки воздуха у семи пациентов из десяти. Дренажная система — первый, важный элемент лечения пневмоторакса и ателектаза легкого.
Лечение при утечке воздуха и пневмотораксе осуществляется по принципу «от простого к сложному»
- Вначале обеспечивают дренирование плевральной полости. Повторно устанавливают дренажную трубку, если она была удалена. Либо оставляют установленную после операции дренажную систему на длительный срок.
- Следующим этапом при неэффективности дренирования может быть плевродез. Чтобы закрыть дефект в легком и прекратить утечку воздуха, провоцируют рубцевание в плевральной полости. Обычно вводят химические вещества, вызывающие воспаление. Воспаленные листки плевры слипаются, легкое «приклеивается» к стенке грудной клетки. На месте плевральной щели образуется рубец.
- Для лечения упорного сброса воздуха и пневмоторакса могут быть использованы эндоскопические методики или повторное оперативное вмешательство.
Ателектаз. Профилактика и лечение в послеоперационном периоде сводятся к выполнению:
- дыхательной гимнастики — более подробно описанной тут,
- расширения двигательного режима,
- ингаляции препаратов для расширения дыхательных путей, улучшения отхождения мокроты и вентиляции легких,
- удаления мокроты с помощью бронхоскопа, в наиболее сложных случаях.
Пневмония
- Адекватное обезболивание после операции позволяет свободнее дышать, что улучшает вентиляцию легких и снижает риск пневмонии.
- Откашливание и постукивание по грудной клетки — постуральный дренаж, а также ранняя активизация пациента после операции улучшают отхождение мокроты из дыхательных путей.
- Антибиотики для профилактики пневмонии применяют непосредственно перед операцией, в ходе операции и в первые часы после операции (до 3 введений антибиотика с интервалом в 8 часов).
Польза более длительной профилактической антибактериальной терапии не доказана: крупных исследований, подтверждающих пользу их профилактического применения после операции нет.
Риск тромбоэмболических осложнений, в том числе ТЭЛА, уменьшают антикоагулянты, препараты, снижающие свертываемость крови и вероятность образования кровяных сгустков — тромбов. При отсутствии противопоказаний их назначают всем пациентам после операции на лёгких.
Нарушения сердечного ритма наиболее эффективно предотвращают препараты, восстанавливающие нормальный ритм сердца. Удаление легкого — один из факторов риска развития аритмии, нарушения ритма сокращений сердца.
Как лечат осложнения, возникающие сразу после операции?
Пневмония требует антибактериальной терапии, в соответствии с чувствительностью вызвавших ее бактерий.
При появлении признаков пневмонии:
- повышении температуры,
- усилении кашля,
- появлении мокроты,
- обнаружении инфильтративных изменений на рентгенографии/компьютерной томографии грудной клетки,
- выявлении изменений в анализах крови,
берут кровь, мокроту, жидкости из плевральной полости (дренажной системы) на бактериологическое исследование, чтобы выяснить, к каким антибиотикам чувствителен вызвавший воспаление микроорганизм.
После забора материала на бактериологическое исследование врач назначает антибиотик широкого спектра действия. По результатам бактериологического исследования, обычно через 3 — 4 дня, антибактериальную терапию корректируют.
ТЭЛА
Антикоагулянты, препараты, уменьшающие свертываемость крови, могут быть назначены, если удалось достичь устойчивой остановки кровотечения.
Тромбоэкстракция (тромбэктомия) — удаление тромба из сосуда с помощью катетера, введенного через крупные вены. Выполняется под рентгеноскопическим контролем.
Осуществлялись попытки хирургического лечения, однако, для пациентов с ТЭЛА после операции, хирургическое лечение ТЭЛА чревато высоким риском осложнений.
Дренаж при лобэктомии. Длительность дренирования плевральной полости после лобэктомии
Развитие недостаточности аэростаза остается частым осложнением в торакальной хирургии и встречается в 5,6-18% наблюдений [2, 4, 8, 16]. При полном расправлении легкого, адекватном дренировании плевральной полости сброс воздуха, как правило, прекращается самостоятельно в течение 1-4 сут после операции, значимо не влияя на течение послеоперационного периода [15]. В то же время нарушение герметичности шва легкого, образование альвеолярных фистул, неполное расправление легкого с формированием остаточной плевральной полости значительно увеличивают риск длительной недостаточности аэростаза, когда поступление воздуха по плевральным дренажам после операции продолжается 5 сут и более [11, 17].
Изучение факторов риска недостаточности аэростаза имеет большое значение при разработке мер профилактики этого осложнения, поиске альтернативных методов герметизации шва легкого и планировании операций.
Цель исследования - изучение влияния отдельных факторов на риск недостаточности аэростаза у больных после различных резекций легкого с использованием традиционных сшивающих аппаратов.
Материал и методы
Исследование проведено в Институте хирургии им. А.В. Вишневского с января 2009 г. по декабрь 2010 г. В ретроспективный обсервационный анализ включены результаты хирургического лечения 141 больного. Возраст больных от 18 до 77 лет с медианой 52 (36; 60) года. Мужчин было 77 (54,6%), женщин - 64 (45,4%). Распределение больных в зависимости от объема операции: краевая резекция легкого - 109 (77,3%), лобэктомия - 28 (19,9%), хирургическая редукция объема легкого (ХРОЛ) - 4 (2,8%).
При выполнении краевых резекций легкого и разделении междолевой борозды во время лобэктомии использовали линейные сшивающие аппараты ТА 30 и 55 (Covidien), GIA DST Series. Торакоскопическим методом выполнена 41 (37,6%) краевая резекция (из 109) и 1 (из 4) ХРОЛ. При торакоскопических операциях использовали эндоскопические сшивающие аппараты Endo GIA Universal с длиной сшивающих кассет 30 и 45 мм. Всегда использовали синие кассеты с высотой скрепок 3,5 мм.
Из 141 больного 28 (19,9%) оперированы по поводу эмфиземы легкого, 23 (16,2%) - по поводу первичных злокачественных опухолей, 25 (17,9%) - вторичных злокачественных новообразований. Доброкачественные опухоли удалены у 30 (21,3%) больных, туберкуломы - у 14 (9,9%). Остальные больные оперированы по поводу мелкоочаговой диссеминации легких - 10 (7,1%), АКТГ-эктопического синдрома - 2 (1,4%) и кистозной гипоплазии легкого - 5 (3,5%). Эмфизема легких была показанием к операции у 28 (19,9%) больных (из 141). Однако как основное или сопутствующее заболевание эмфизема была диагностирована у 42 (29,8%) из 141 больного.
В послеоперационном периоде независимо от вида резекции легкого и количества дренажей в плевральной полости создавали отрицательное давление, равное 20 см вод. ст. При сбросе воздуха по плевральным дренажам, продолжающемся менее суток, считали, что аэростаз достигнут в течение первых суток после операции. При сохраняющемся поступлении воздуха из плевральной полости более суток регистрировали недостаточность аэростаза. Дренажи из плевральной полости удаляли в течение 1-2 сут после достижения аэростаза и при продукции менее 200 мл жидкости в сутки [6].
В ходе исследования определено влияние следующих факторов на риск развития недостаточности аэростаза: возраст, пол, тип телосложения, индекс массы тела (ИМТ), основное заболевание, курение, эмфизема легкого и характер ее распределения, сахарный диабет (СД), дыхательная недостаточность (ДН), функция внешнего дыхания (ФВД), анемия (
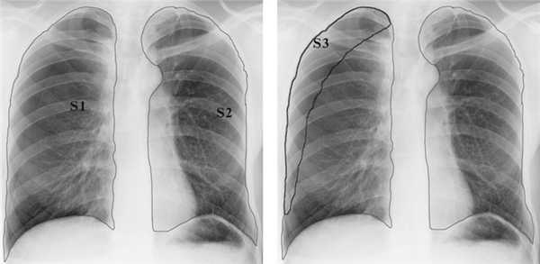
Всем больным выполняли контрольную обзорную рентгенограмму органов грудной клетки в течение 2 ч после экстубации трахеи, непосредственно перед и после удаления плевральных дренажей, а при сохранении недостаточности аэростаза - каждые 2-3 сут в зависимости от клинической ситуации. МСКТ органов грудной клетки в раннем послеоперационном периоде выполнена 3 больным с длительной недостаточностью аэростаза, поэтому интерпретация результатов этого метода в настоящем исследовании не представлена. При формировании остаточной плевральной полости индекс остаточной плевральной полости (ИОПП) рассчитывали по формуле: ,

где S 1 - площадь правой плевральной полости, S 2 - площадь левой плевральной полости, S 3 - площадь остаточной плевральной полости. Перечисленные показатели измеряли по прямой рентгенограмме (рис. 1), используя программу MultiVox 2.0.3701 («Альда Универсал», 2009-2009), так как именно это исследование выполняли всем больным в динамике после операции. Рисунок 1. Расчет индекса остаточной плевральной полости у больного после операции на правом легком.
Результаты
Длительность дренирования плевральной полости не всегда является единственным фактором в послеоперационном периоде, определяющим необходимость продолжения стационарного лечения больного. Тем не менее мы обнаружили статистически значимую корреляционную связь между продолжительностью дренирования плевральной полости и длительностью послеоперационного пребывания в стационаре (r=0,57; р<0,05), что делает дренирование плевральной полости значимым лимитирующим фактором продолжительности стационарного лечения. Исходя из этого и основываясь на данных литературы, при продолжении сброса воздуха по дренажам 5 сут и более мы считаем недостаточность аэростаза длительной.
При рассмотрении взаимосвязи герметичности сформированного шва легкого и пола выявлено, что у мужчин недостаточность аэростаза развивается достоверно чаще - в 17,73% наблюдений (95% ДИ 12,3-24,9%), чем у женщин, - в 7,1% (95% ДИ 3,9-12,6%; р<0,05).
Такие факторы, как возраст, ИМТ, тип телосложения, СД, степень предоперационной анемии и гипопротеинемии, статистически значимо не влияли на развитие недостаточности аэростаза (р>0,05).

В зависимости от исходного заболевания наиболее часто больные оперированы по поводу эмфиземы, первичных и вторичных злокачественных новообразований, доброкачественных опухолей (табл. 1).
В табл. 1 видно, что из перечисленных заболеваний только эмфизема легкого как самостоятельное заболевание оказывает статистически значимое влияние на риск нарушения герметичности шва легкого (р<0,05).
После краевой резекции легкого при наличии эмфиземы поступление воздуха по дренажам отмечено в 14 (43,8%) наблюдениях из 32 (95% ДИ 28,2-60,7%). При неизмененной паренхиме легкого шов легкого не был герметичен у 4 (5,2%) из 77 (95% ДИ 2,0-12,6%) больных (р<0,01). В табл. 2 показана зависимость недостаточности аэростаза от эмфиземы легкого у больных после краевой резекции легкого и лобэктомии.
Из табл. 2 видно, что эмфизема легких повышает риск недостаточности аэростаза независимо от предполагаемого объема резекции.
При развитии недостаточности аэростаза в большинстве наблюдений сброс воздуха прекращался самостоятельно в течение 2-3 сут на фоне консервативного лечения. В связи с этим выделена группа больных, у которых отмечалось длительное (5 сут и более) поступление воздуха по дренажам, так как при выборе тактики лечения в этой группе возникают наибольшие трудности 18.
Так, после краевой резекции легкого длительная недостаточность аэростаза была у 4 (3,7%) из 109 больных (95% ДИ 1,4-10,1%), после лобэктомии - у 4 (14,3%) из 28 больных (95% ДИ 5,7-31,5%). При наличии эмфиземы легкого длительная недостаточность аэростаза также возникала статистически значимо чаще, чем у пациентов с неизмененной тканью легкого (9,38 и 1,43% соответственно; р=0,05).
В зависимости от типа распределения эмфиземы больные были разделены на две группы: с гетерогенным - 28 (66,6%) и гомогенным - 14 (33,4%) типом. Тип распределения эмфиземы в нашем исследовании не оказал статистически значимого влияния на риск развития длительной недостаточности аэростаза (р>0,05). В то же время по мере нарастания степени дыхательной недостаточности по шкале MRC увеличивается риск непродолжительной (р=0,0008) и длительной недостаточности аэростаза (р=0,01).
При оценке ФВД выявлено, что поступление воздуха по дренажам чаще регистрировали при индексе Тиффно (ОФВ1/ФЖЕЛ) ниже 70% - у 6 (75%) из 8 больных (95% ДИ 40,93-92,85%), чем у больных с индексом Тиффно выше 70% - у 29 (21,8%) из 133 (95% ДИ 15,6-29,6%) (р=0,0007). В группе больных с индексом Тиффно ниже 70% также чаще недостаточность аэростаза была длительной (37,5% против 5,3%; р<0,05). Риск недостаточности аэростаза у больных с индексом Тиффно менее 70% мы объясняем тем, что значительное снижение объемов форсированного дыхания закономерно для больных хронической обструктивной болезнью легких (ХОБЛ) и эмфиземой, что только подтверждает высокий риск нарушения герметичности шва легкого у больных этой группы.
Локализация резекции в настоящем исследовании не оказала значимого влияния на риск длительной или непродолжительной недостаточности аэростаза (р>0,05).
При несоответствии объема оставшегося легкого размеру плевральной полости у 7 больных из 141 сформировалась остаточная плевральная полость: у 3 - после лобэктомии, у 3 - после краевых резекций легкого и у 1 - после ХРОЛ. Эмфизема легкого была у 3 из 7 этих больных. В 6 наблюдениях из 7 выполнена резекция верхней доли легкого.
У всех больных при наличии сформировавшейся остаточной плевральной полости была недостаточность аэростаза, при этом у 6 поступление воздуха по дренажам продолжалось более 5 сут. Таким образом, формирование остаточной плевральной полости после резекции легкого можно считать независимым фактором риска недостаточности аэростаза.
Исходя из предположения, что размер остаточной полости может влиять на длительность периода поступления воздуха по дренажам, проанализировали динамику уменьшения остаточной полости у всех больных до момента наступления аэростаза. Для этого рассчитывали ИОПП, который позволяет оценить в динамике изменение относительной площади остаточной плевральной полости, имея только рентгенограмму в прямой проекции. Включение в расчет площади контралатеральной плевральной полости дает возможность нивелировать погрешность метода при изменении положения тела или смещении средостения относительно лучевой трубки между разными исследованиями.

Для оценки влияния размера остаточной плевральной полости на длительность недостаточности аэростаза построена кривая Каплана-Мейера, отражающая период существования остаточной плевральной полости до момента наступления аэростаза. На рис. 2 видно, что у 50% больных аэростаз достигнут к 12-м суткам после операции. Рисунок 2. Кривая Каплана-Мейера, отражающая период существования остаточной плевральной полости до наступления аэростаза (Complete+Censored).
Профилактика недостаточности аэростаза и выбор тактики лечения тесно связаны с определением факторов риска.
По данным разных авторов, среди наиболее значимых выделяют такие состояния, как эмфизема легкого и ХОБЛ, курение, снижение форсированных объемов дыхания, наличие СД и др. [1, 2, 6, 11]. На наш взгляд, эту проблему нужно рассматривать не только с позиции нозологического заболевания, но и с учетом объема резекции, исходного статуса больного и технических особенностей самой операции.
В ретроспективном исследовании проанализирован риск развития недостаточности аэростаза у больных после резекций легкого различного объема. Объем выборки был определен по номограмме Альтмана из расчета мощности исследования 80% и чувствительности 95%. В исследовании раздельно проанализированы результаты краевых резекций и лобэктомий.
Частота недостаточности аэростаза в общей группе составила 24,8%, при этом длительное нарушение герметичности шва легкого было у 7,1% больных. Полученные результаты не противоречат данным, опубликованным другими авторами [7, 12-14]. В нашем исследовании после краевой резекции легкого длительная недостаточность аэростаза развивалась в 3,7%, после лобэктомии - в 14,3% наблюдений. На основании этих данных можно сделать вывод, что расширение объема резекции закономерно влечет за собой увеличение риска недостаточности аэростаза независимо от иных факторов.
К наиболее значимому фактору риска на основании проведенного исследования нужно отнести ХОБЛ с развитием эмфиземы легких. Этот фактор выделен всеми исследователями, занимающимися проблемой недостаточности аэростаза [1, 3, 9, 16, 15].
Такие факторы, как курение, снижение ФВД и развитие пневмосклероза в зоне резекции, оказывают отрицательное прогностическое влияние на риск нарушения герметичности шва легкого. Однако необходимо сделать акцент на том, что у каждого из этих факторов в отдельности корреляционная связь с недостаточностью аэростаза слабая или умеренная, и, по-видимому, оценка их в отдельности от конкретной клинической ситуации может не иметь существенного значения.
Интересен, с нашей точки зрения, тот факт, что характер распределения эмфиземы легкого не оказал значимого влияния на риск развития недостаточности аэростаза. Это косвенно свидетельствует о том, что даже при гетерогенной форме эмфиземы дистрофические изменения происходят во всей паренхиме легкого, влияя на прочность сформированного соединения. Эти выводы требуют проверки в более тщательном экспериментальном исследовании.
Показатели ФВД, такие как объем OФВ 1 и индекс Тиффно, можно рассматривать как предикторы повышенного риска недостаточности аэростаза при комплексной оценке остальных факторов. Это соответствует данным других исследований, выделяющих эти показатели в самостоятельные факторы риска [5, 7, 10, 13]. В связи с тем, что объемы форсированного дыхания могут косвенно отражать эластические свойства паренхимы легкого, мы считаем, что именно в этой группе больных целесообразно проводить дальнейшие исследования по улучшению качества шва легкого.
Анализ наших данных показал, что несоответствие оставшейся после резекции части легкого объему плевральной полости с формированием остаточной плевральной полости повышает риск негерметичности шва легкого. Размер сформировавшейся полости достоверно не влияет на длительность поступления воздуха по дренажам. При консервативном лечении (наблюдении) аэростаз в течение 12 сут после операции наступил более чем у половины больных. Это, с одной стороны, оправдывает консервативное лечение больных с недостаточностью аэростаза при отсутствии массивного сброса воздуха и значимого прогрессирования дыхательной недостаточности, с другой - при отсутствии аэростаза в течение указанного периода целесообразно рассматривать вопрос о повторной операции с целью герметизации шва легкого. Малое количество наблюдений (7) не позволяет в настоящее время перенести наши заключения на популяцию, однако выявленные тенденции имеют важное клиническое значение и дальнейшие исследования в этой области помогут разработать статистически обоснованные клинические рекомендации.
Таким образом, среди факторов риска недостаточности аэростаза после резекции легкого наибольшее значение имеют различные формы эмфиземы, снижение объемов форсированного дыхания (ОФВ 1 , индекса Тиффно) и обширные резекции при несоответствии объема остающегося легкого размеру остаточной плевральной полости. Последний достоверно не влияет на длительность недостаточности аэростаза. При сохранении недостаточности аэростаза более 12 сут после первичной операции целесообразно рассматривать вопрос о повторной операции.
ПРОСАЧИВАНИЕ ВОЗДУХА ПОСЛЕ РЕЗЕКЦИИ ЛЕГКИХ
Цель - провести анализ причин послеоперационного просачивания воздуха и предложить лечебно-диагностический алгоритм при этом осложнении. Материал и методы. В исследовании проведены анализ причин длительного просачивания воздуха после различных резекций легких, группировка причин по их принадлежности, предложены определения основных понятий. Результаты. Наиболее частыми причинами длительного просачивания воздуха являются несостоятельность линии резекции легкого, невыявленная (неустраненная) причина пневмоторакса, неадекватное функционирование дренажной системы. Описаны различные тактические подходы при данной проблеме. В зависимости от эффективности вспомогательных методик определены показания к повторным операциям. Выводы. Знание причин послеоперационного продленного и патологического просачивания воздуха является основой для оптимизации тактики ведения пациентов после резекции легких.
Ключевые слова
Полный текст
Оценка эффективности малоинвазивных методов в торакальной хирургии
Видео-ассистированная торакоскопия (ВАТС) является современным методом диагностики и хирургического лечения заболеваний органов грудной клетки. В данной статье мы сравнили выполнение лобэктомии с помощью торакотомии и ВАТС.
Ключевые слова: видео-ассистированная торакоскопия, торакотомия, рак легких, туберкулез.
На сегодняшний день разработка и внедрение в практику малоинвазивных методов выполнения хирургических операций является важным направлением развития хирургии. Одним из таких методов, который в последние годы получает все большее распространение, является видео-ассистированная торакоскопия. Применение данного метода при диагностике и хирургическом лечении туберкулеза, рака легких на ранних стадиях позволяет добиться неплохих результатов [2] [4], однако может потребоваться коррекция анестезиологического обеспечения и ведения пациента в послеоперационном периоде [3].
Основная часть. Материалы и методы. Исследование проводилось на базе отделения анестезиологии и реанимации ГУ «Республиканский научно-практический центр пульмонологии и фтизиатрии» г. Минска. Объектом исследования стали стационарные карты пациентов (n=20), которым в 2018 году была выполнена лобэктомия торакотомическим доступом, а также при помощи ВАТС.
Результаты и их обсуждение. Пациенты были разделены на 2 группы. В первую группу вошло 10 пациентов, которым была выполнена лобэктомия торактомическим доступом. Медиана возраста в этой группе составила 63,5 года (41;89), соотношение полов представлено на рисунке 1.

Рис. 1. Соотношение полов в группе 1
Во вторую группу вошло 10 пациентов, которым была выполнена лобэктомия при помощи ВАТС. Медиана возраста в этой группе составила 42,5 года (17;73), соотношение полов представлено на рисунке 2.

Рис. 2. Соотношение полов в группе 2
Причины, по которым выполнялись операции, представлены на рисунке 3.

Рис. 3. Структура заболеваний в выборке
Для сравнения двух групп использовались следующие показатели: длительность операции, объём кровопотери, длительность пребывания в отделении интенсивной терапии (ОИТ), способ и продолжительность послеоперационного обезболивания, продолжительность дренирования плевральной полости.
Длительность операции в первой группе составила 285 (180;350) минут, а во второй 285 (230;445) минут. Объем кровопотери в первой группе составил 325 (100;700) мл, а во второй — 300 (100;600) мл. Длительность пребывания пациентов первой группы в ОИТ составила 40,5 (18;122) часов, в то время как во второй группе составила 18,5 (16;47) часов. Оценка послеоперационного обезболивания проводилась по количеству инъекций опиоидного анальгетика. В первой группе медиана количества инъекций опиоидного анальгетика составила 9 (5;15) инъекций. 100 % пациентов проводилась интраоперационная эпидуральная анальгезия, 70 % пациентов требовалась послеоперационная эпидуральная анальгезия, продолжительность которой была соизмерима с длительностью пребывания в ОИТ. Во второй группе медиана количества инъекций опиоидного анальгетика составила 2.5 (1;8) инъекции. Интраоперационная и послеоперационная эпидуральная аналгезия не требовалась. Продолжительность дренирования плевральной полости в первой группе составила 300 (192;648) часов, а во второй 156 (36;288) часов.
Послеоперационные осложнения и летальность 0 % в обеих группах.
Выводы. Выполнение лобэктомии при помощи ВАТС по сравнению с операциями открытым торакотомическим доступом не сокращает длительность операции; достоверно не снижает объем интраоперационной кровопотери, однако сокращает пребывание пациентов в ОИТ в 2,2 раза (U=15; p≤0.01); сокращает продолжительность послеоперационного обезболивания в 2,5 раза (U=2,5; p≤0.01); уменьшает количество инъекций опиоидного аналгетика в 3.6 раз (U=5; p≤0.01), исключает необходимость эпидуральной аналгезии в послеоперационном периоде, а также позволяет сократить длительность дренирования плевральной полости в 1,9 раз (U=2,5; p≤0.01).
Основные термины (генерируются автоматически): группа, соотношение полов, длительность операции, плевральная полость, послеоперационное обезболивание, выполнение лобэктомии, длительность пребывания, медиана возраста, послеоперационный период, продолжительность дренирования.
Лобэктомия
Заведующая онкологическим отделением в клинике Ихилов.
Как пройти дистанционное лечение рака в Израиле во время эпидемии коронавируса?
Лобэктомия - это частичное удаление легкого. Легкие - это два крупных органа, расположенных в грудной полости. Работа легких заключается в обеспечении движения и фильтрации кислорода и в обогащении кислородом крови. Кроме того, легкие защищают организм от дыма и других загрязняющих веществ, бактерий и вирусов. Они захватывают и частично уничтожают вредные вещества и микробов в слизи, которую сами же и вырабатывают. После этого слизь выводится из организма через кашель и/или глотание.
Каждое легкое состоит из нескольких долей: левое - из двух, правое - из трех. Правое легкое крупнее левого.
Лобэктомию (удаление доли легкого) могут назначить в рамках лечения следующих патологий:
- ;
- туберкулез;
- абсцесс легкого;
- грибковая инфекция;
- эмфизема;
- доброкачественная опухоль.
Существуют два способа проведения лобэктомии:
- Торакотомия. Хирург делает разрез между двух ребер, начиная с груди и заканчивая спиной. Долю удаляют через этот разрез.
- Видео-ассистированная торакоскопическая хирургия (ВАТХ). Хирург делает несколько маленьких разрезов и вводит внутрь грудной клетки торакоскоп (трубку с присоединенной к ней камерой). Торакоскоп обеспечивает визуализацию органов грудной клетки. Это менее инвазивная процедура по сравнению с торакотомией.
Какие риски связаны с лобэктомией?

Лобэктомия сопряжена с определенными рисками и побочными эффектами. К таким рискам и побочным эффектам относятся:
- реакция на анестетик (анестетик - это препарат, благодаря которому пациент спит во время операции и впоследствии не помнит процедуру. Общая анестезия - это один из способов обезболивания. Применение анестетика может привести к таким нежелательным реакциям, как свистящее дыхание, сыпь, отеки и низкое артериальное давление);
- кровотечение;
- инфекция;
- повреждение соседних структур, включая сердце, легкие, кровеносные сосуды и нервы;
- утечка воздуха из легкого, ведущая к пневмотораксу (коллапс легкого);
- эмпиема (скопление гноя);
- затяжной, хронический болевой синдром;
- бронхоплевральный свищ (патологическое соединение бронха и плевральной полости), из-за которого в грудной клетке может скопиться жидкость;
- воздух или газ в грудной полости.
Как мне подготовиться к лобэктомии?
Лечащий врач в онкоцентре объяснит всю процедуру. Задавайте ему любые вопросы, которые у вас возникнут. Подумайте о том, чтобы прилететь с членом семьи или другом, чтобы делать заметки, и убедитесь, что на все ваши вопросы даны ответы.
Вас могут попросить подписать форму согласия, дающую разрешение на проведение процедуры. Внимательно прочитайте форму. Прежде чем подписать, задайте вопросы, если что-то не ясно.
Сообщите своему лечащему врачу, если вы:
- беременны или думаете, что можете быть беременны
- аллергия на контрастный краситель или йод
- чувствительны или аллергичны к любым лекарствам, латексу или анестетикам
- принимаете любые лекарства, включая отпускаемые по рецепту или без рецепта лекарства, витамины, травы и добавки
- у вас было нарушение свертываемости крови
- принимаете разжижающие кровь лекарства, аспирин или другие лекарства, влияющие на свертываемость крови.
- Прекратите прием определенных лекарств перед процедурой, если это предписано лечащим врачом
- следуйте всем указаниям, которые будут даны, чтобы не есть и не пить перед процедурой
- бросьте курить
- запланируйте, чтобы кто-нибудь отвез Вас домой из больницы (если никого не будет - сотрудник онкоцентра Ихилов сделает это).
Перед процедурой у вас могут быть анализы крови или другие анализы или экзамены. Онкохирург в Ихилов расскажет все подробнее.
Что происходит во время лобэктомии?

Онкоцентр Ихилов (Израиль, Тель-Авив)
Процедура почти всегда требует стационарного пребывания. Это означает, что Вам потребуется провести в больнице более 1 ночи. Время пребывания зависит от вашего состояния и методов лечащего врача. В большинстве случаев процедура будет следовать такому процессу:
В онкоцентре Ихилов работают опытные онкологи, хирурги, радиологи и т.д. Оставьте заявку ниже, чтобы получить точную стоимость процедур и резюме ведущих торакальных хирургов медицинского центра.
Как проходит выздоровление?
Выздоровление после лобэктомии зависит от масштаба и вида хирургического вмешательства. Некоторые пациенты остаются в стационаре на 5-10 дней. Многим в грудную клетку устанавливают временные трубки, предназначенные для выведения лишней жидкости и/или воздуха.
Перед выпиской вам расскажут, как ухаживать за операционными ранами/дренажными трубками. Если вы нуждаетесь в дополнительном кислороде, вам расскажут, как обеспечить его подачу.
Специалисты также обсудят с вами назначенные препараты, включая обезболивающие средства и лекарства для профилактики тромбозов, инфекций, запоров и/или других нарушений.
Врач уточнит, каких ограничений следует придерживаться после процедуры. В целом, пациентам, перенесшим лобэктомию, дают следующие рекомендации:
- Принимайте лекарства согласно указаниям врача. Обязательно проконсультируйтесь со специалистом, прежде чем начать прием препарата, увеличивающего риск кровотечений (например, аспирина).
- Держите операционные раны в чистоте и сухости. Ухаживайте за ними согласно рекомендациям специалистов.
- Уточните у членов вашей мультидисциплинарной бригады, как правильно принимать душ или ванну. Обычно пациентам рекомендуют избегать натирания швов при купании и сушить область операционной раны, похлопывая по коже сухим полотенцем.
- Выполняйте дыхательные упражнения, рекомендованные врачом.
- Временно откажитесь от поднятия тяжестей - врачи сообщат вам, когда это занятие станет безопасным. Вам также скажут, какой вес вам можно поднимать.
- Старайтесь не общаться напрямую с людьми, страдающими гриппом, простудой или иными респираторными инфекциями. Избегайте пассивного курения и вдыхания химических газов и/или загрязняющих веществ.
- Откажитесь от курения и пассивного курения. Если вам требуется помощь, проконсультируйтесь с врачом.
- Используйте дополнительный кислород в соответствии с указаниями врача.
Что должно быть в доме?
- Термометр для проверки температуры. Высокая температура - это потенциальный признак инфекции.
- Принадлежности для ухода за операционной раной, дополнительные дренажные трубки и/или кислород, поставляемый больницей, хирургическим кабинетом или компанией, специализирующейся на оказании медицинских услуг на дому.

В каких обстоятельствах нужно звонить врачу:
- Лихорадка. Специалисты уточнят, при какой температуре нужно будет с ними связаться.
- Озноб и любые другие признаки инфекции.
- Боль, покраснение, опухание, выделения или кровотечение из операционной раны.
- Одышка, кашель с отделением зеленой, желтой или кровавой мокроты (либо без таковой), затрудненное или болезненное дыхание.
- Боль в груди (новая или стойкая).
- Тошнота и/или рвота.
Обратитесь за неотложной медицинской помощью, если у вас:
- Кровавый кашель (с объемом отделяемого более одной чайной ложки) или большой объем коричневой/кровавой мокроты.
- Головокружение, предобморочное состояние или обморок.
- Неровное сердцебиение.
- Послеоперационная повязка насквозь пропиталась кровью. Либо операционная рана открылась заново, опухла, покраснела или начала выделять гной.
- Боль в груди.
- Опухание, покраснение, ощущение тепла, чувствительность и/или боль в ноге или голени.
Бесплатный Онкотест Онкоцентра Ихилов
Как обеспечить послеоперационный уход?
Нужно, чтобы родственник или друг помогал вам с выполнением повседневных обязанностей до тех пор, пока вам не станет лучше. Возможно, пройдет немало времени, прежде чем врачи разрешат вам окончательно вернуться к привычной жизни.
Обязательно принимайте назначенные лекарства для профилактики боли, инфекции и/или запоров. Если симптомы ухудшились или дополнились новыми проблемами, звоните врачу или медсестре.
Существует несколько способов борьбы с запорами после операции. Можно изменить рацион, пить больше жидкости, принимать безрецептурные препараты. Перед тем, как начать прием любого из лекарств против запоров, проконсультируйтесь с врачом.
Дышите глубоко и отдыхайте - так вы справитесь с болью, сохраните здоровье легких после анестезии и поспособствуете быстрому оттоку лимфы. В первую неделю старайтесь практиковать глубокое дыхание и релаксацию по несколько раз в день либо каждый раз, как почувствуете чрезмерное напряжение.
Пример упражнения для релаксации
Сядьте, закройте глаза и сделайте 5-10 медленных глубоких вдохов. Расслабьте мышцы. Медленно повращайте головой и плечами.
Информация подготовлена врачами онкоцентра Ихилов (Израиль, Тель-Авив).
Как начать лечение рака лёгких?
Вскоре вы получите план лечения рака лёгких в Израиле с предварительной ценой. Составление данного документа не обязует вас ни к каким действиям и является полностью бесплатным. К тому же нами гарантируется конфиденциальность всей предоставленной информации и соблюдение врачебного этикета.
Читайте также:
- КТ, МРТ при пигментном ворсинчато-узелковом синовите височно-нижнечелюстного сустава (ВНЧС)
- Аспирационно-обтурационный синдром. Неотложная помощь при аспирационно-обтурационном синдроме.
- УЗИ при хроническом холецистите
- Как предупредить болезни молочной железы? Рак молочной железы
- Пример установки радиоактивного аппликатора для лечения меланомы радужки
