Закрытие венозного протока. Питание и дыхание новорожденного
Добавил пользователь Евгений Кузнецов Обновлено: 01.11.2025
Одной из патологий, усугубляющих тяжесть состояния недоношенных детей, является функционирование открытого артериального протока (ОАП) с шунтированием крови из аорты в легочную артерию, сопровождающееся переполнением сосудов малого круга кровообращения и обеднением большого круга. Частота встречаемости гемодинамически значимого ОАП находится в обратной зависимости от гестационного возраста. Частота ОАП у новорожденных с ОНМТ составляет от 50% до 70% [1].
Функционирование артериального протока является основным компонентом фетального кровообращения, осуществляющим связь между легочной артерией и аортой в условиях, когда легкие ребенка не функционируют, а органом газообмена является плацента. Направление тока крови по протоку определяется высоким сопротивлением сосудов легких и низким сопротивлением сосудов плаценты. Кровь направляется справа налево - из легочной артерии в аорту.
После рождения, после перевязки пуповины и первого вдоха, происходит падение давления в легочных сосудах и увеличение системного сосудистого сопротивления, в результате чего меняется направление тока крови по протоку на обратное - слева направо - из аорты в легочную артерию.
При этом артериальный проток под действием кислорода спазмируется, но его немедленного закрытия не происходит. У большинства новорожденных артериальный проток функционирует в течение 12-72 часов с преимущественно лево-правым сбросом, но гемодинамического значения это не имеет. Целый ряд механизмов, к которым в том числе относятся утолщение интимы и спазмирование сосуда, приводят к функциональному его закрытию. В дальнейшем в связи с прекращением тока крови по протоку закрываются сосуды, кровоснабжающие мышечную стенку, ишемия приводит к апоптозу клеток гладкомышечной оболочки сосуда. Процесс анатомического закрытия и превращения протока в артериальную связку занимает несколько месяцев.
Обычно закрытие протока происходит в течение первых 24-48 часов жизни вне зависимости от гестационного возраста. В тоже время у новорожденных с очень низкой и, особенно у детей с экстремально низкой массой тела, часто наблюдается нарушение механизмов закрытия артериального протока. Даже в случае, если после рождения происходит функциональное закрытие сосуда, у этой категории детей редко достигается этап глубокой ишемии мышечной стенки протока, что создает предпосылки для его повторных открытий.
Случаи, при которых функционирование артериального протока сопровождается значительными (подтвержденными эхокардиографически) нарушениями гемодинамического статуса обозначаются как гемодинамически значимый открытый артериальный проток.
Транзиторное тахипноэ новорожденных ( Влажное легкое )
Транзиторное тахипноэ новорожденных — это форма дыхательной недостаточности у младенцев, которая возникает вследствие задержки резорбции легочной фетальной жидкости. Состояние чаще встречается у детей, рожденных путем кесарева сечения. Болезнь проявляется учащенным и шумным дыханием, цианозом, втяжением податливых мест грудной клетки. Для диагностики заболевания проводят рентгенографию ОГК, пульсоксиметрию, общеклинические и микробиологические исследования крови. Лечение предполагает кратковременную кислородотерапию, которая по показаниям может выполняться в режиме СИПАП.
МКБ-10

Общие сведения
Транзиторное тахипноэ («влажное легкое») — распространенное состояние в неонатологии, которое встречается с частотой 5,7 случаев на 1000 беременностей, завершенных кесаревым сечением. При естественном родоразрешении вероятность развития синдрома намного ниже. Транзиторное дыхательное расстройство чаще выявляется у новорожденных мальчиков. Патологическое тахипноэ по клиническим признакам напоминает респираторный дистресс-синдром (РДС) и неонатальную пневмонию, о чем врач-неонатолог всегда должен помнить при постановке диагноза.
Причины
Основной этиологический фактор заболевания — проведение планового кесарева сечения, в ходе которого женщина минует процесс схваток, который важен для снижения количества легочной жидкости у плода. Риск развития транзиторного тахипноэ повышается при макросомии, врожденных пороках дыхательной системы, снижении гестационного возраста новорожденных. Факторы риска со стороны матери — наличие сахарного диабета, бронхиальной астмы и особенно их сочетание.
Патогенез
В норме у плода присутствует фетальная легочная жидкость, синтезируемая эпителиальными клетками нижних дыхательных путей. При рождении ребенка и его переходе на самостоятельное дыхание эта жидкость уже не нужна, поэтому начинается ее активное всасывание. Максимальная резорбция происходит во время схваток, когда повышается уровень катехоламинов и простагландинов.
При нарушении этого процесса в легких ребенка после кесарева сечения остается жидкость, которая мешает их нормальному расправлению и нарушает функцию дыхания. Снижаются показатели вентиляции и перфузии, в кровь поступает меньшее количество кислорода, нарастают явления гипоксии и гипоксемии, вследствие чего рефлекторно стимулируется дыхательный центр продолговатого мозга новорожденных и формируется транзиторная дыхательная недостаточность.
Симптомы
Транзиторное тахипноэ проявляется сразу после рождения ребенка. Основной признак — учащение дыхательных движений более 60 в минуту. Также младенец может издавать кряхтящие, хрипящие и стонущие звуки. При дыхании у новорожденных сильно раздуваются крылья носа, втягиваются межреберные промежутки и надключичные ямки. При выраженной гипоксии заметен синюшный оттенок кожи.
Осложнения
Иногда на фоне заболевания возникает пневмоторакс, который обусловлен чрезмерным растяжением тонкой альвеолярной стенки. При этом симптомы дыхательных расстройств усиливаются. При тяжелом транзиторном тахипноэ и наличии нескольких факторов риска у новорожденных может сформироваться персистирующая легочная гипертензия. Для нее характерно сужение легочных артериол и шунтирование крови справа налево.
Диагностика
Неонатолог получает ценную информацию при осмотре ребенка, подсчете частоты дыхания. Для объективной оценки степени дыхательных нарушений используются шкалы Сильвермана и Даунса. Врач принимает во внимание анамнез беременности, тип родоразрешения. По клиническим проявлениям транзиторное нарушение дыхание напоминает РДС, сепсис, врожденную пневмонию, поэтому показаны дополнительные методы исследования:
- Рентгенография ОГК. Патогномоничные признаки заболевания — расширение легких, тень жидкости в их периферических отделах и плевральных синусах, усиление бронхо-сосудистого рисунка. В отличие от РДС, транзиторное тахипноэ характеризуется отсутствием симптома «белых легких» и быстрым регрессом всех изменений.
- Пульсоксиметрия. Исследование сатурации артериальной крови необходимо, чтобы оценить выраженность расстройств дыхания у новорожденных детей. О патологии говорит показатель 93% и ниже, а при уменьшении сатурации менее 90% требуется неотложное проведение кислородной поддержки.
- Анализы крови. Показатели клинического и биохимического исследований обычно не выходят за пределы нормы, маркеры воспалительного процесса отсутствуют. Если у неонатолога возникают диагностические трудности, он назначает бактериологический посев, чтобы исключить септические состояния.
Лечение транзиторного тахипноэ новорожденных
При транзиторных расстройствах ребенку рекомендуется поддерживающее лечение в виде кислородотерапии. В большинстве случаев достаточно применения кислородной маски, но при серьезном нарушении дыхательной функции показана вентиляция с постоянным положительным давлением (СИПАП). В крайне редких случаях младенцам требуется подключение к ИВЛ. При сомнительных лабораторно-инструментальных данных дополнительно назначаются антибиотики для предупреждения инфекции.
Прогноз и профилактика
Транзиторное учащение дыхания характеризуется быстрым обратным развитием симптоматики при предоставлении кислородной поддержки. Спустя 2-3 дня состояние новорожденного приходит в норму. Осложнения патологии встречаются крайне редко, поэтому прогноз благоприятный. Профилактика состояния включает рациональную тактику ведения беременности у женщин с факторами риска, отказ от процедуры кесарева сечения, если для ее проведения отсутствуют абсолютные медицинские показания.
2. Перинатальный опыт адаптации к внеутробной жизни/ Н.П. Шабалов// Актовая речь (Санкт-Петербург, 10 января 2019 г.).
4. Плановое кесарево сечение и риск дыхательных расстройств у доношенных новорожденных детей/ Н.А. Маслянюк, И.И. Евсюкова// Журнал акушерства и женских болезней. — 2015.
Открытый артериальный проток
Открытый артериальный (Боталлов) проток - незаращение добавочного сосуда, соединяющего аорту и легочную артерию, который продолжает функционировать после истечения срока его облитерации. Артериальный проток (dustus arteriosus) является необходимой анатомической структурой в системе эмбрионального кровообращения. Однако после рождения, в связи с появлением легочного дыхания, необходимость в артериальном протоке исчезает, он перестает функционировать и постепенно закрывается. В норме функционирование протока прекращается в первые 15-20 часов после рождения, полное анатомическое закрытие продолжается от 2 до 8 недель.
В кардиологии открытый артериальный проток составляет 9,8% среди всех врожденных пороков сердца и в 2 раза чаще диагностируется у женщин. Открытый артериальный проток встречается как в изолированной форме, так и в сочетании с другими аномалиями сердца и сосудов (5-10%):
- стенозом устья аорты;
- стенозом и атрезией легочных артерий;
- открытым атриовентирикулярным каналом;
- ДМЖП, ДМПП и др.
При пороках сердца с дуктус-зависимым кровообращением (транспозиции магистральных артерий, крайней форме тетрады Фалло, перерыве дуги аорты, критическом легочном или аортальном стенозе, синдроме гипоплазии левого желудочка) открытый артериальный проток является жизненно необходимой сопутствующей коммуникацией.
Открытый артериальный проток обычно встречается у недоношенных детей и крайне редко у детей, рожденных в срок. У недоношенных новорожденных с массой менее 1750 г частота открытого артериального протока составляет 30-40 %, у детей, чья масса при рождении не превышает 1000г, - 80%. Нередко у таких детей обнаруживаются врожденные аномалии развития ЖКТ и мочеполовой системы. Незаращение фетальной коммуникации у недоношенных в постнатальном периоде связано с синдромом дыхательных расстройств, асфиксией в родах, стойким метаболическим ацидозом, длительной оксигенотерапией высокими концентрациями кислорода, избыточной инфузионной терапией.
У доношенных детей открытый артериальный проток намного чаще встречается в высокогорных районах. В некоторых случаях его незаращение вызвано патологией самого протока. Довольно часто открытый артериальный проток является наследуемой сердечной аномалией. Артериальный проток может оставаться открытым у детей, чьи матери перенесли краснуху в I триместре беременности.
Таким образом, факторами риска открытого артериального протока являются преждевременные роды и недоношенность, семейный анамнез, наличие других ВПС, инфекционные и соматические заболевания беременной.
Особенности гемодинамики при открытом артериальном протоке
Открытый артериальный проток расположен в верхнем этаже переднего средостения; он берет начало от дуги аорты на уровне левой подключичной артерии и впадает в легочный ствол в месте его бифуркации и частично в левую легочную артерию; иногда встречается правосторонний или двусторонний артериальный проток. Боталлов проток может иметь цилиндрическую, конусовидную, окончатую, аневризматическую форму; его длина составляет 3-25 мм, ширина - 3-15 мм.
Артериальный проток и открытое овальное окно - необходимые физиологические компоненты фетального кровообращения. У плода кровь из правого желудочка поступает в легочную артерию, а оттуда (поскольку легкие не функционируют) через артериальный проток - в нисходящую аорту. Сразу после рождения, с первым самостоятельным вдохом новорожденного, легочное сопротивление падает, а давление в аорте поднимается, приводя к развитию сброса крови из аорты в легочную артерию. Включение легочного дыхания способствует спазму протока за счет сокращения его гладкомышечной стенки. Функциональное закрытие артериального протока у доношенных детей происходит в течение 15-20 ч после рождения. Однако полная анатомическая облитерация Боталлова протока наступает к 2-8 неделе внеутробной жизни.
Об открытом артериальном протоке говорят в том случае, если его функционирование не прекращается спустя 2 недели после рождения. Открытый артериальный проток относится к порокам бледного типа, поскольку при нем происходит сброс оксигенированной крови из аорты в легочную артерию. Артерио-венозный сброс обусловливает поступление дополнительных объемов крови в легкие, переполнение легочного сосудистого русла и развитие легочной гипертензии. Повышенная объемная нагрузка на левые отделы сердца приводит к их гипертрофии и дилатации.
Классификация открытого артериального протока
С учетом уровня давления в легочной артерии выделяют 4 степени порока:
- Давление в ЛА в систолу не превышает 40% от артериального;
- Умеренная легочная гипертензия; давление в ЛА составляет 40-75% от артериального;
- Выраженная легочная гипертензия; давление в ЛА более 75% от артериального; лево-правый сброс крови сохраняется;
- Тяжелая степень легочной гипертензии; давление в ЛА равняется или превышает системное, что приводит к возникновению право-левого сброса крови.
В естественном течении открытого артериального протока прослеживаются 3 стадии:
- I - стадия первичной адаптации (первые 2-3 года жизни ребенка). Характеризуется клинической манифестацией открытого артериального протока; нередко сопровождается развитием критических состояний, которые в 20% случаев заканчиваются летальным исходом без своевременной кардиохирургической помощи.
- II - стадия относительной компенсации (от 2-3 лет до 20 лет). Характеризуется развитием и длительным существованием гиперволемии малого круга, относительного стеноза левого атрио-вентрикулярного отверстия, систолической перегрузки правого желудочка.
- III - стадия склеротических изменений легочных сосудов. Дальнейшее естественное течение открытого артериального протока сопровождается перестройкой легочных капилляров и артериол с развитием в них необратимых склеротических изменений. На этой стадии клинические проявления открытого артериального протока постепенно вытесняются симптомами легочной гипертензии.
Симптомы открытого артериального протока
Клиническое течение открытого артериального протока варьирует от бессимптомного до крайне тяжелого. Открытый артериальный проток малого диаметра, не приводящий к нарушению гемодинамики, может длительное время оставаться нераспознанным. И, напротив, наличие широкого артериального протока обусловливает бурное развитие симптоматики уже в первые дни и месяцы жизни ребенка.
Первыми признаками порока могут служить постоянная бледность кожных покровов, преходящий цианоз при сосании, крике, натуживании; дефицит массы тела, отставание в моторном развитии. Дети с открытым артериальным протоком склонны к частым заболеваниям бронхитами, пневмониями. При физической активности развивается одышка, утомляемость, тахикардия, неритмичность сердцебиения.
Прогрессирование порока и ухудшение самочувствия может происходить в пубертатный период, после родов, в связи со значительными физическими перегрузками. При этом цианоз становится постоянным, что свидетельствует о развитии веноартериального сброса и нарастании сердечной недостаточности.
Осложнениями открытого артериального протока могут служить бактериальный эндокардит, аневризма протока и ее разрыв. Средняя продолжительность жизни при естественном течении протока составляет 25 лет. Спонтанная облитерация и закрытие открытого артериального протока происходит крайне редко.
Диагностика открытого артериального протока
При осмотре пациента с открытым артериальным протоком нередко выявляется деформация грудной клетки (сердечный горб), усиленная пульсация в проекции верхушки сердца. Основным аускультативным признаком открытого артериального протока служит грубый систоло-диастолический шум с «машинным» компонентом во II межреберье слева.
Обязательный минимум исследований при открытом артериальном протоке включает рентгенографию грудной клетки, ЭКГ, фонокардиографию, УЗИ сердца. Рентгенологически выявляется кардиомегалия за счет увеличения размеров левого желудочка, выбухание дуги легочной артерии, усиление легочного рисунка, пульсация корней легких. ЭКГ-признаки открытого артериального протока включают указания на гипертрофию и перегрузку левого желудочка; при легочной гипертензии - на гипертрофию и перегрузку правого желудочка. С помощью ЭхоКГ определяются косвенные признаки порока, производится непосредственная визуализация открытого артериального протока, измеряются его размеры.
К проведению аортографии, зондирования правых отделов сердца, МСКТ и МРТ сердца прибегают при высокой легочной гипертензии и сочетании открытого артериального порока с другими аномалиями сердца. Дифференциальную диагностику открытого артериального протока следует проводить с дефектом аортолегочной перегородки, общим артериальным стволом, аневризмой синуса Вальсальвы, аортальной недостаточностью и артериовенозным свищом.
Лечение открытого артериального протока
У недоношенных детей применяется консервативное ведение открытого артериального протока. Оно предполагает введение ингибиторов синтеза простагландина (индометацина) с целью стимуляции самостоятельной облитерации протока. При отсутствии эффекта от 3-кратного повторения медикаментозного курса у детей старше 3-х недель показано хирургическое закрытие протока.
В детской кардиохирургии при открытом артериальном протоке используются открытые и эндоваскулярные операции. Открытые вмешательства могут включать перевязку открытого артериального протока, его клипирование сосудистыми клипсами, пересечение протока с ушиванием легочного и аортального концов. Альтернативными методами закрытия открытого артериального протока являются его клипирование в процессе торакоскопии и катетерная эндоваскулярная окклюзия (эмболизация) специальными спиралями.
Прогноз и профилактика открытого артериального протока
Открытый артериальный проток даже небольших размеров сопряжен с повышенным риском преждевременной смерти, поскольку ведет к снижению компенсаторных резервов миокарда и легочных сосудов, присоединением серьезных осложнений. Больные, перенесшие хирургическое закрытие протока, имеют лучшие показатели гемодинамики и большую продолжительность жизни. Послеоперационная летальность низка.
Для уменьшения вероятности рождения ребенка с открытым артериальным протоком необходимо исключить все возможные риск-факторы: курение, алкоголь, прием лекарственных препаратов, стрессы, контакты с инфекционными больными и пр. При наличии ВПС у близких родственников на этапе планирования беременности необходима консультация генетика.
Врач поставил Вашему ребенку диагноз - врожденный порок сердца
Если вашему ребенку поставили диагноз врожденный порок сердца, не стоит опускать руки, нужно узнать все способы поддержания здоровья таких детей, а также причины развития данного заболевания, пройти необходимое обследование, чтобы врач назначил соответствующее лечение.
Сердце человека состоит из четырех камер: правое предсердие (ПП) и правый желудочек (ПЖ), левое предсердие (ЛП) и левый желудочек (ЛЖ). Правые и левые отделы сердца между собой никак не сообщаются. В этом нет необходимости, так как они обеспечивают движение крови каждый по своему кругу. Левые отделы сердца отвечают за движение крови по большому кругу кровообращения. Из левого предсердия через левый желудочек в аорту (Ао) поступает артериальная кровь, богатая кислородом. Из аорты по многочисленным артериям, а потом и по капиллярам она разносится по всему организму, доставляя клеткам кислород. В свою очередь, «отработанная» организмом венозная кровь собирается в мелкие вены, которые сливаются в более крупные венозные сосуды - верхнюю и нижнюю полые вены (ВПВ и НПВ). Конечная точка путешествия венозной крови - правое предсердие. Оттуда через правый желудочек кровь попадает в легочную артерию (ЛА). Малый круг кровообращения проходит через легкие, где венозная кровь обогащается кислородом и вновь становится артериальной. Отток обновленной крови осуществляется по легочным венам (ЛВ), впадающим, в свою очередь, в левое предсердие.

Особенности кровообращения у плода и новорожденного
«Синие» и «бледные» пороки сердца
Аномалии могут быть очень разнообразными, наиболее часто встречающиеся имеют названия и объединяются в группы. Например, пороки разделяют на «синие» (при которых кожные покровы ребенка синюшные, «цианотичные») и «бледные» (кожные покровы бледные). Для жизни и развития ребенка более опасны «синие» пороки, при которых насыщение крови кислородом очень низкое. К «синим» порокам относятся Тетрада Фалло, транспозиция магистральных сосудов, атрезия легочной артерии. К «бледным» порокам относятся дефекты перегородок - межпредсердной, межжелудочковой. В некоторых случаях порок может частично компенсироваться за счет открытого артериального протока (в норме он закрывается, как только легкие ребенка расправляются с первым криком). Также у ребенка может недоразвиться клапан сердца - сформируется клапанный порок (наиболее часто, аортальный клапан или клапан легочной артерии).
Причины развития врожденного порока сердца
У плода формирование структур сердца происходит в первом триместре, на 2-8 неделе беременности. В этот период развиваются пороки, которые являются следствием наследственных генетических причин или воздействия неблагоприятных внешних факторов (например, инфекция или отравления). Иногда у ребенка имеется несколько пороков развития, в том числе и порок сердца. Риск рождения ребенка с врожденным пороком сердца очень высок, если:
- ранее у женщины были выкидыши или мертворожденные
- возраст женщины более 35 лет
- женщина во время беременности принимает алкоголь, психоактивные вещества (наркотики), курит
- в семье женщины есть история рождения детей с пороками или мертворождения
- женщина живет в экологически неблагоприятной местности (радиация, отравляющие вещества)
или работает на экологически неблагоприятном производстве
- во время беременности (особенно первые 2 месяца) женщина перенесла инфекционные, вирусные заболевания
- женщина принимала во время беременности лекарственные препараты
с тератогенным эффектом (приводящие к развитию уродств у плода) или
эндокринные препараты для сохранения беременности (гормоны).
Можно ли поставить диагноз ВПС у плода?
Возможность выявить у плода врожденный порок сердца существует, хотя ее нельзя назвать абсолютно информативной. Это зависит от многих причин, основные их которых - наличие высококлассной аппаратуры и квалифицированного специалиста, имеющего опыт перинатальной диагностики. Диагностика возможна начиная с 14-й недели беременности. Если при обследовании у плода выявляется аномалия развития, родителям сообщают о тяжести патологических изменений, возможностях лечения и о том, насколько будет ребенок жизнеспособен. Женщина может принять решение о прерывании беременности. Если есть надежда на успешные роды и лечение, женщина наблюдается у специалиста, роды принимают в специализированном роддоме (чаще всего женщине предлагают кесарево сечение).
Врожденный порок сердца у новорожденных
При рождении ребенка или в первые дни его жизни врачи могут заподозрить врожденный порок сердца.
На чем они основывают свои предположения?
- Шум в сердце. В первые несколько дней жизни ребенка шум в сердце нельзя расценивать как достоверный симптом врожденного порока сердца. Такого ребенка наблюдают, при сохранении шумов более 4-5 суток - обследуют. Само появление сердечного шума объясняется нарушением тока крови через сосуды и полости сердца (например, при наличии аномальных сужений, отверстий, резкой смены направления кровотока).
- синюшность кожных покровов (цианоз). В норме артериальная кровь богата кислородом и придает коже розовую окраску. Когда к артериальной крови примешивается бедная кислородом венозная кровь (в норме не происходит), кожа приобретает синюшный оттенок. В зависимости от типа порока цианоз может быть разной степени выраженности. Однако, врачам приходится уточнять причины цианоза, так как он может быть симптомом болезней органов дыхания и центральной нервной системы.
- проявления сердечной недостаточности. Сердце перекачивает кровь, работая как насос. Когда снижается насосная способность сердца, кровь начинает застаиваться в венозном русле, питание органов артериальной кровью снижается. Учащаются сердечные сокращения и дыхание, появляется увеличение печени и отечность, быстрая утомляемость и одышка. К сожалению, эти признаки очень трудно распознать у новорожденных. Высокая частота сердечных сокращений и дыхания наблюдается у маленьких детей в нормальном состоянии. Только при значительных отклонениях можно с достаточной уверенностью говорить о развитии у малыша сердечной недостаточности. Часто следствием развития сердечной недостаточности является спазм периферических сосудов, что проявляется похолоданием конечностей и кончика носа, их побледнением. Эти признаки помогают косвенно судить о недостаточности сердца.
- нарушения электрической функции сердца (сердечного ритма и проводимости), проявляющиеся аритмиями и, иногда, потерей сознания. Врач может услышать неровное сердцебиение при аускультации (выслушивании фонендоскопом) или увидеть на записи электрокардиограммы.
Как сами родители могут заподозрить у ребенка врожденный порок сердца?
Если порок сердца приводит к серьезным нарушениям гемодинамики (кровотока), как правило, его диагностируют уже в роддоме. При отсутствии выраженных проявлений ребенка могут выписать домой. Родители могут заметить, что малыш вялый, плохо сосет и часто срыгивает, во время кормления и при крике - синеет. Может проявиться выраженная тахикардия (частота сердечных сокращений выше 150 ударов в минуту). В этом случае нужно обязательно сообщить о жалобах педиатру и пройти специальные обследования.
Подтверждение диагноза врожденного порока сердца
В настоящее время наиболее доступным, простым, безболезненным для ребенка и высокоинформативным методом диагностики пороков сердца является эхокардиография. Во время исследования с помощью ультразвукового датчика врач видит толщину стенок, размеры камер сердца, состояние клапанной системы и расположение крупных сосудов. Допплеровский датчик позволяет увидеть направления кровотока и измерить его скорость. Во время исследования можно выполнить снимки, подтверждающие заключение специалиста. Также ребенку обязательно запишут электрокардиограмму. При необходимости более точного исследования (как правило, для определения тактики хирургического лечения порока) врач порекомендует зондирование сердца. Это инвазивная методика, для выполнения которой ребенок госпитализируется в стационар. Зондирование проводится врачем-рентгенхирургом в рентгеноперационной, в присутствии врача-анестезиолога, под внутривенным наркозом. Через прокол в вене или артерии специальные катетеры вводятся в сердце и магистральные сосуды, позволяя точно измерить давление в полостях сердца, аорте, легочной артерии. Введение специального рентген-контрастного препарата позволяет получить точное изображение внутреннего строения сердца и крупных сосудов (см. рисунок).

Диагноз - не приговор. Лечение ВПС (врожденного порока сердца)
Современная медицина позволяет не только своевременно диагностировать, но и лечить врожденные пороки сердца. Лечением ВПС занимаются кардиохирурги. При выявлении порока, сопровождающегося серьезным нарушением гемодинамики, влияющего на развитие ребенка и угрожающего жизни малыша, операция проводиться как можно раньше, иногда в первые дни жизни ребенка. При пороках, которые не влияют значительно на рост и развитие ребенка, операция может проводиться позже. Выбор сроков операции определяется хирургом. Если ребенку рекомендовали хирургическое вмешательство и его не удалось выполнить своевременно (часто из-за отказа родителей, непонимания серьезности проблемы), у ребенка может начаться патологическое изменение гемодинамики, приводящее к развитию и прогрессированию сердечной недостаточности. На определенном этапе изменения становятся необратимыми, операция уже не поможет. Отнеситесь внимательно к советам и рекомендациям врачей, не лишайте своего ребенка возможности расти и развиваться, не быть инвалидом на всю жизнь!
Операция при врожденных пороках сердца
Многие годы операции при врожденных пороках сердца выполнялись только на открытом сердце, с использованием аппарата искусственного кровообращения (АИК), который берет на себя функции сердца во время его остановки. Сегодня при некоторых пороках такой операции существует альтернатива - устранение дефекта структур сердца с помощью системы AMPLATZER. Такие операции значительно безопаснее, не требуют раскрытия грудной клетки, не отличаясь по эффективности от «большой» хирургии. Если операция выполнена своевременно и успешно, ребенок полноценно развивается и растет, и часто - навсегда забывает о существовании порока. После операции обязательным является наблюдение педиатра, контрольные эхокардиографические исследования. Дети с врожденными пороками сердца часто болеют простудными заболеваниями из-за снижения иммунитета, поэтому в послеоперационном периоде проводится общеукрепляющее лечение и ограничиваются физические нагрузки. В дальнейшем у многих детей эти ограничения снимают и даже разрешают посещать спортивные секции.
Если Вы считаете, что у Вашего ребенка есть проблемы с сердцем, то Вы можете пройти эхокардиографическое исследование и обратиться за консультацией к детскому кардиологу.
Антенатальный диагноз преждевременного закрытия овального окна

Идеальный инструмент для пренатальных исследований. Уникальное качество изображения и весь спектр диагностических программ для экспертной оценки здоровья женщины.
Введение
В антенатальном периоде в норме через овальное окно венозная кровь поступает в сердце, проходя из правого предсердия в левое, обеспечивая вместе с артериальным протоком кровообращение левых отделов сердца. С началом дыхания и уменьшения давления и сопротивления легочных сосудов повышается величина левопредсердного давления, и градиент давления между предсердиями уменьшается. Эти изменения приводят к тому, что клапанный лоскут отверстия (сrista dividens) приближается к краю межпредсердной перегородки и закрывает овальное окно. Функциональное закрытие осуществляется в течение нескольких часов. При малейшей нагрузке (плач, кормление), способствующей повышению давления в правых отделах сердца, овальное окно начинает функционировать. Клинически, по данным А. Nadas и D. Fyler [1], у 50% детей до 1 года овальное окно продолжает функционировать. Анатомическое закрытие наступает к 1-2 годам жизни. В старшем возрасте при состояниях, повышающих право-предсердное давление, возможно открытие овального окна, в частности, при беременности, тяжелой легочной недостаточности и эмболии легочной артерии.
Внутриутробное преждевременное закрытие овального окна - редкая патология. Имеются немногочисленные публикации, в которых дается описание единичных случаев данной патологии. При антенатальном закрытии овального окна развивается правожелудочковая сердечная недостаточность, и ребенок рождается обычно мертвым либо погибает вскоре после рождения [2]. Диагностика основана на интактной межпредсердной перегородке и отсутствии со общения между предсердиями. Патология очень редкая и, к сожалению, приводит к 100% гибели новорожденных.
Результаты
Предмет этой статьи - 4 наблюдения антенатального преждевременного закрытия овального окна, составивших 0,04% по отношению к общему числу выявленной кардиальной патологии. Патология определена в сроки гестации 30-37 недель. В 3 наблюдениях беременность закончилась своевременными родами и рождением детей с нормальными массо-ростовыми показателями, по шкале Апгар - 4-5 баллов, в 1 - беременность была прервана. Трое новорожденных погибли в первые часы жизни.
Первое наблюдение. У пациентки, 19 лет, на 22-й неделе беременности при ультразвуковом исследовании в полости левого желудочка плода выявлено плотное эхопозитивное светлое образование на фоне темной крови, синхронно движущееся с миокардом задней стенки левого желудочка на протяжении сердечного цикла. Использование цветного картирования потока показало отсутствие цветного потока или стойкий дефект наполнения (соответственно терминологии ангиографии) с ровными контурами, обтекаемый потоком. Поставлен диагноз: рабдомиома левого желудочка. На рис. 1 визуализируется плотное эхопозитивное образование размером 2,7 х 2 см, локализующееся и полностью занимающее полость левого желудочка. Опухоль представлена слоистым, подвижным образованием. Отказ пациентки от прерывания беременности позволил провести наблюдение за естественным ростом опухоли.

Рис. 1. Четырехкамерное сечение сердца плода в 30 недель гестации. Опухоль сердца прорастает миокард задней стенки левого желудочка, межжелудочковую перегородку. Межпредсердная перегородка уплотнена, овальное окно не функционирует (стрелка).
LA - левое предсердие, RA - правое предсердие, VS - межжелудочковая перегородка.
В 29 недель беременности отмечен значительный рост опухоли, распространенность процесса затронула стенки аорты, створки митрального клапана и межпредсердную перегородку. К моменту рождения опухоль вызвала формирование аортального и митрального стенозов, проросла в межпредсердную перегородку, вызвав преждевременное закрытие овального окна (рис. 2).
Выраженность нарушений гемодинамики, обусловленная распространенностью опухолевого процесса, привела к летальному исходу через 8 ч после рождения. Гистологический диагноз рабдомиома.
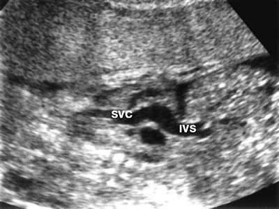
Второе наблюдение. Беременность 37 недель. У плода имеется выраженный выпот в перикарде и плевральной полости. Отмечено нарушение ритма пароксизмальная тахикардия. Анатомически сердце сформировано правильно. Эхокардиографически выявляется дилатация нижней и верхней полых вен (рис. 3) из-за нарушения венозного возврата крови.

Рис. 3. Дилатация нижней (IVC) и верхней (SVC) полых вен при антенатальном закрытии овального окна.
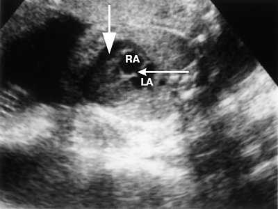
Межпредсердная перегородка значительно утолщена, наиболее это выражено в области овального окна (рис. 4), клапан которого закрыт (рис. 5). Поток крови через межпредсердную перегородку отсутствует.

Рис. 4. Четырехкамерное сечение сердца. Увеличение предсердий. Межпредсердная перегородка уплотена, овальное окно закрыто. Отмечено наличие выпота в брюшной полости.
LA - левое предсердие, RA - правое предсердие (стрелкой указана область овального окна, плотная по структуре).

Рис. 5. Сканирование поперечного сечения корня аорты.
АО - аорта, LA - левое предсердие, RA - правое предсердие, AS - межпредсердная перегородка.
Из анамнеза удалось выяснить, что беременная страдает герпетической инфекцией, обострение процесса наблюдалось во время беременности. По всей вероятности, инфекционный процесс послужил причиной преждеврменного закрытия овального окна.
Третье наблюдение. Беременность 31 неделя. На фоне нормально сформированного сердца отмечено значительное увеличение правого предсердия и признаки трикуспидальной недостаточности, связанные с расширением клапанного кольца. Имеются признаки сердечной недостаточности: гепатомегалия, выпот в перикардиальной и брюшной полостях, регистрируется пароксизмальная тахикардия. Овальное окно не функционирует. Беременность прервана.
Четвертое наблюдение. Беременность 34 недели. При ультразвуковом исследовании у плода диагностирована фиброэластическая форма кардиомиопатии. Левый желудочек представлен шарообразной конфигураций с плотным светящимся эндокардом (рис. 6).

Рис. 6. Четырехкамерное сечение сердца плода. Фиброэластическая форма кардиомиопатии. Полость левого желудочка (LV) увеличена и имеет округлую форму, стенки уплотнены. Овальное окно не функционирует (стрелка), RV - правый желудочек.
Имеются признаки сердечной недостаточности: гепатомегалия и выпот в перикарде. Фиброэластический процесс распространился на межпредсердную перегородку, вызвав преждевременное закрытие овально го окна.
В период внутриутробной жизни преждевременное закрытие овального окна возникает вследствие прилипания клапана к межпредсердной перегородке [3]. Патология редкая - за многие годы в отделении диагностировано 4 наблюдения. В литературных источниках также приводятся описания лишь единичных случаев патологии 5. Есть данные о преждевременном закрытии овального окна вследствие нарушения кровообращения через митральный и(или) через аортальный клапаны [4,5,8] при синдроме гипоплазии левых отделов сердца. В таких случаях кровь из левого желудочка через аномальный венозный канал поступает в системную вену, как, например, через левую атриокардиальную вену, через бронхиальную вену или через синусоиды миокарда к коронарным артериям и далее через свищ в коронарный синус и правое предсердие. Можно предположить, что механизм прежде временного антенатального закрытия овального окна в данной ситуации аналогичен его функциональному закрытию после рождения: повышение давления в левом предсердии вызывает прилипание клапана овального окна к межпредсердной перегородке.
Считается, что аномальный характер кинетики клапана овального окна при ультразвуковом исследовании, проявляющийся изгибом клапана в сторону левого предсердия, и расположение клапана овального окна при М-сканировании поперек предсердия с a и b пиками являются предвестниками преждевременного закрытия овального окна [5]. Авторы связали такой характер движения клапана овального окна у 16 плодов с наличием неиммунного выпота и пароксизмальной тахикардией. В одном из наблюдений имелось спонтанное закрытие фетальной коммуникации в 23 недели гестации. Авторы, анализируя нормальный характер движения клапана овального окна в 81 наблюдении, предположили возможность преждевременного спонтанного закрытия овального окна в случае измененного характера движения клапана при наличии выпота и нарушении ритма сердечных сокращений.
Не только левые отделы могут воздействовать на функцию овального окна. Увеличение сократимости правого желудочка, увеличение правого предсердия и кольца трикуспидального клапана также могут явиться, по мнению некоторых авторов [4], причиной преждевременного закрытия овального окна. Механизм преждевременного закрытия овального окна в этих случаях аналогичен изменениям гемодинамики при синдроме гипоплазии левого желудочка и вызван венозным застоем и увеличением сопротивления выбросу, что приводит также к увеличению величины левопредсердного давления.
К причинам, оказывающим патологическое воздействие на функцию клапана овального окна, относятся опухоли сердца. В литературе приводятся данные о прорастании опухоли в межпредсердную перегородку с последующим закрытием овального окна [7,9,10].
Преждевременное закрытие овального окна может быть вызвано перенесенной внутриутробной инфекцией, что вызывает экссудативный перикардит и нарушение ритма сердечных сокращений, как это имело место в третьем и втором наблюдениях. В большинстве публикаций 6 прежде временное закрытие овального окна авторы связывают с неиммуннным выпотом и нарушением ритма сердечных сокращений, при чем эти проявления они считают первичны ми. Трудно определить, что первично в данной ситуации: выпот и нарушение ритма или же спонтанное закрытие овального окна, которое приводит к гемодинамическим на рушениям. В пользу последней версии свидетельствуют многочисленные наблюдения отделения функциональной диагностики плодов с наличием выпота и пароксизмальной тахикардией и функционирующим при этом овальным окном (рис. 7). В отделении также имелись наблюдения самоизлечения на протяжении беременности, когда полностью восстанавливался ритм сердечных сокращений, и выпот в полостях к моменту рождения не визуализировался.

Рис. 7. Четырехкамерное сечение сердца. Увеличение правого предсердия. Отмечено наличие выпота в перикарде (толстая стрелка) и в брюшной полости. Овальное окно функционирует (тонкая стрелка).
LA - левое предсердие, RA - правое предсердие.
Как следует из четвертого наблюдения, причиной преждевременного закрытия овального окна, может явиться фиброэластоз. Критическая ситуация может возникнуть в раннем неонатальном периоде при цианотических пороках сердца при спонтанном закрытии овального окна [11]. В таких ситуациях проводят экстренную операцию.
Таким образом, суммируя собственные результаты и данные литературы, можно от метить следующие патологические состояния у плода, которые могут явиться причиной преждевременного закрытия овального окна: синдром гипоплазии левых отделов сердца, дилатация правых отделов сердца и расширение клапанного кольца трикуспидального клапана, фиброэластоз, активная фаза инфекционного процесса во время беременности, опухоли сердца.
Литература
УЗИ сканер WS80
Читайте также:
- Рецепты эффективных масок для волос от перхоти. Лечение себореи
- Выбор метода торакопластики. Эффективность торакопластики
- Функциональное состояние сердца. Нарушения тонической функции сердца
- Дифференциальный диагноз при нарушениях памяти. Диагностика при нарушениях памяти.
- УЗИ при дефиците проксимального отдела бедра у плода
