Зубная бляшка. Структура зубной бляшки. Состав зубной бляшки.
Добавил пользователь Владимир З. Обновлено: 22.11.2025
Понять врачебную терминологию обычному пациенту не так-то просто: порой названия тех или иных заболеваний вызывают не только волнение, но и страх, а на самом деле оказываются всем знакомым кариесом или воспалением десен. Так же и с зубными бляшками, ведь по сути это тот же зубной налет светло-серого оттенка, только под другим названием и с другим составом. Бляшки начинают формироваться уже в первые 2 часа после чистки зубного ряда, и представляют собой скопление различных бактерий, которые плотно крепятся к внешней поверхности зубов.
Подобное явление встречается как на одном зубе, так и на целом ряду, и чаще всего образуется в различных углублениях на зубах, гладких поверхностях, а также фиссурах. Поскольку бляшка постепенно развивается, вместе с ней меняется и ее состав. Все зависит от того, что мы едим и в каких количествах. Как правило, среди бактерий, находящихся в бляшке, можно встретить стрептококки, нейссерии и прочие микроорганизмы. Большинство из них - кислотообразующие. Чтобы зубная бляшка полностью сформировалась, требуется от 1 до 1,5 недели.
Причины образования зубных бляшек
- Пренебрежение гигиеной полости рта
- Вредные привычки (курение, употребление спиртных напитков)
Современная стоматология выделяет 4 вида зубных бляшек: поддесневые, наддесневые, а также бляшки на зубах и в межзубных щелях. Чтобы определить у пациента наличие подобного явления, а также поставить точный диагноз, стоматолог Минск проводит лабораторную диагностику (микробиологические и биохимические исследования) и осмотр ротовой полости. Лишь после составления индивидуального плана лечения, начинают проводиться все необходимые процедуры.
Как избавиться от зубной бляшки
Зубная бляшка может привести к развитию серьезных стоматологических заболеваний (кариес, гингивит, пародонтит), поэтому избавляться от нее следует вовремя. Чтобы защитить Ваши зубки от подобного явления, стоматологи проводят такую процедуру как профессиональная чистка зубов, в ходе которой с поверхности зубного ряда удаляют все отложения. Провести подобную процедуру можно в Центре Семейной Стоматологии в Минске. Благодаря современному оборудованию, высокой квалификации врачей и применяемой медикаментозной седации, удалить зубной камень и налет без боли и дискомфорта стало реальностью.
Если налет на зубах еще достаточно молодой, избавиться от него путем полоскания рта специальными растворами удастся легко, а вот, когда отложения на зубах перерастают в твердые образования - здесь уже только помощь специалистов.
Профилактика
В первую очередь необходимо регулярно посещать врача и соблюдать все правила гигиены полости рта. При выборе зубной пасты отдавайте предпочтение продукции, в составе которой присутствуют фтор или триклозан, а приобретая зубную щетку, не стоит выбирать мягкую или же жесткую щетину, лучше, если щетка будет средней степени жесткости или вовсе электрическая. Если почистить зубы сразу после приема пищи не удается, прополощите рот водой или же съешьте морковь, яблоко (твердые продукты способствуют очищению эмали). Любителям покушать перед сном, следует отказаться от столь пагубной для зубного ряда привычки. Берегите здоровье своих зубов, и Ваша улыбка сможет радовать своей белизной и красотой долгие годы.
Воздействие зубной бляшки и зубного камня на твердые ткани зуба и пародонт
Согласно современным представлениям, важнейшую роль в возникновении и развитии кариеса играет инфекционный фактор. Кариесогенное действие микроорганизмов связывают с образованием ими зубной бляшки. По данным Bowden (1985), зубная бляшка содержит следующие виды микроорганизмов: факультативные стрептококки — 27 %, факультативные дифтероиды — 23 %, анаэробные дифтероиды — 18 %, пентостреп-тококки — 13 %, вейлонеллы — 6 %, бактероиды — 4 %, фузобактерии — 4 %, нейссерии — 3 %, вибрионы — 2 %. Из стрептококков преобладают Str. mutans, Str. sanguis, Str. mitis.
Установлено, что кариесогенные микробы избирательно накапливаются на поверхностях зубов, наиболее часто поражающихся кариесом (области фиссур и межзубные поверхности). Особено много Str. mutans у лиц, подверженных кариесу, и при множественном кариесе.
Зубная бляшка представляет собой структурированное образование, состоящее из микроорганизмов, расположенных на полисахаридной основе, плотно прикрепленное к поверхности зуба. В состав зубной бляшки, кроме микроорганизмов, входят лейкоциты, эпителиальные клетки, макрофаги. Она растет за счет постепенного наслоения новых бактерий. Кариесогенность зубной бляшки во многом зависит от степени ее накопления и давности.
В течение 1-2-х суток образования бляшки в ней преобладает Str. mutans, кариесогенность которого определяется выработкой им больших количеств молочной кислоты в присутствии углеводов. Это приводит к повышению проницаемости эмали, происходит кислотное растворение в наименее устойчивых участках эмали с последующим проникновением кислот в подповерхностный слой эмали и ее деминерализацией. Дальнейшее образование органических кислот на поверхности эмали усиливает процессы деминерализации, что приводит к образованию микрополостей в эмали, заполненных микроорганизмами и продуктами их метаболизма.
Определено, что чем выше скорость образования зубной бляшки, тем более выражено ее кариесогенное действие. У детей, имеющих повышенный индекс зубной бляшки, прирост интенсивности кариеса происходит в три раза быстрее, чем у детей с низким индексом. Помимо этого, кариес у детей развивается в тех случаях, если в микрофлоре зубной бляшки преобладает Str. mutans.
Однако на кариесогенность зубной бляшки влияют многочисленные факторы, в частности, микрофлора полости рта, количество употребляемых углеводов, количественный и качественный состав слюны, ее физико-химические свойства, содержание в ней минеральных компонентов: чем выше уровень кальция и фосфора, тем меньше кариесогенный потенциал бляшки.
В механизме влияния зубной бляшки на эмаль большая роль принадлежит ферментам микроорганизмов. Ферментативная деятельность этих бактерий приводит к повышенной проницаемости эмали. Известно также, что кариесогенные штаммы микроорганизмов зубной бляшки могут влиять на органическую фракцию эмали зуба. Их действие может особенно проявляться после растворения неорганической фазы эмали.
В то же время зубная бляшка на поверхности зуба механически изолирует подлежащую эмаль от воздействия слюны, являющейся немаловажным минерализующим и защитным фактором.
Определенное влияние на активность зубной бляшки оказывает фтор. Под действием фтора частично теряется способность микроорганизмов вырабатывать кислоту.
Зубная бляшка играет важную роль в развитии болезней пародонта. В возникновении воспалительного процесса в тканях пародонта участвуют микроорганизмы бляшки.
Характер влияния микроорганизмов зубной бляшки на пародонт разносторонний. Микробные ферменты способны повышать проницаемость капилляров, вызывать нарушение проницаемости эпителиальной мембраны и проникать в подэпителиальную соединительнотканную основу слизистой оболочки десны.
Конечно, на состояние зубной бляшки значительное влияние оказывают факторы окружающей среды. К ним относятся иммунобиологическая система жидкости десневой борозды, гидролитические ферменты секретов слюнных желез и ротовой жидкости, секреторные иммуноглобулины, бактериофаги, кислоты, углеводы. Эти биологические факторы находятся в сложном взаимодействии с микрофлорой полости рта и способны ослаблять или усиливать ее патогенный потенциал. Важную роль в поддержании биологического равновесия между бактериальным симбиозом и тканями полости рта играют общие факторы, регулирующие метаболизм тканей полости рта и от которых зависит соответствующая реакция на различные патологические воздействия.
Зубной камень образуется в результате отложения в зубном налете неорганических веществ: в коллоидной основе налета откладываются минеральные соли. При этом изменяется соотношение между микроорганизмами, спущенным эпителием, мукопротеидами и происходит импрегнация зубного налета кристаллами фосфата кальция. Обычно начало минерализации зубного налета происходит через 1-2 дня после его образования.
Механизм влияния зубного камня на пародонт разносторонний. Ввиду плотной консистенции зубной камень оказывает механическое давление, создает условия микротравмы эпителия десны и маргинальных волокон периодонта. Следует также учитывать химическое воздействие зубного камня на пародонт вследствие наличия в нем некоторых токсических элементов. Последние образуют в камне оксиды металлов (пентаксид ванадия, оксид свинца, меди, железа и др.).
Состав пелликулы зуба, бляшки и камня, классификация и методы выявления и удаления зубных отложений
Зубные отложения - плотные образования, возникающие вследствие скопления бактерий. Зубной налет и камень являются естественными явлениями и возникают даже при тщательном уходе за зубами. С ними связывают появление таких заболеваний, как гингивит и пародонтит. Чтобы предупредить разрушение эмали и воспаление десен, нужно своевременно удалять отложения.
Виды зубных отложений
При классификации отложений в зависимости от природы возникновения выделяют физиологические и патологические образования. Появление первых обусловлено особенностями строения ротовой полости и не вызывает воспалительных процессов. Вторые возникают вследствие скопления в межзубных промежутках и на слизистой бактерий, которые на начальном этапе принимают форму мягкого налета, а далее преобразуются в камни.
Физиологические (кутикула и пелликула)
Физиологические зубные отложения защищают эмаль от действия патогенной флоры. Только что прорезавшиеся зубы покрывает кутикула - тонкая пленка толщиной не более 1,5 мкм. Она состоит из 2-х слоев - первичного (внутреннего) и вторичного (наружного). Быстро стирается в процессе жевания, частично сохраняясь в пришеечной области.
После стирания кутикулы эмаль покрывается пелликулой, повторяющей состав слизистой полости рта. Несмотря на абсорбцию остатков микроорганизмов, она не содержит активной флоры и не провоцирует развитие патологических процессов. Аналогично кутикуле пелликула представляет собой прозрачную тонкую структуру, незаметную, но восстанавливающуюся в течение нескольких часов после чистки зубов.
Регулируя реминерализацию и зубов, пелликула зуба одновременно является предрасполагающим фактором для возникновения налета. Защищая эмаль от кислот, пелликула способствует прикреплению к ней бактерий и появлению патологических образований. Кроме этого, она подвергается действию пищевых красителей.
Патологические (налет, бляшка, камень)
В норме эмаль представляет собой шероховатую поверхность, покрытую микротрещинами. Увеличиваясь под действием внешних факторов, они накапливают бактерии, тем самым провоцируя разрушение поверхностного слоя, а затем и остальных пластов зубов. В зависимости от плотности и степени прикрепления к эмали выделяют неминерализованные и минерализованные зубные отложения.
Неминерализованные зубные отложения составляют зубной налет и бляшки. Зубной налет - липкая пленка из остатков пищи и бактерий. Это образование не смывается слюной и частично удаляется при пережевывании твердой еды. Зубной налет бесцветен и при регулярной чистке зубов, как правило, не пигментируется. Изменение цвета указывает на соматические заболевания и недостаточную гигиену полости рта.
Классификация зубных отложений в зависимости от их тона:

- Белый. Такой налет встречается чаще всего и не является патологией. Характеризуется жидкой структурой, но скапливаясь, способствует образованию зубного камня.
- Серый. Патологические образования такого цвета часто встречаются у детей и связаны с гипоплазией эмали. Требуют комплексного лечения, сочетающего отбеливание и устранение причин недостаточного развития поверхностного слоя.
- Желтый. Данный тип налета возникает вследствие злоупотребления красящими напитками и пищей с углеводами. Пациенты с таким образованием чаще других жалуются на повышенную чувствительность, кровоточивость и воспаление десен.
- Зеленый. Этот налет возникает при разрушении пелликулы и контакте патогенной флоры непосредственно с костной тканью. Чаще всего возникает у дошкольников и связан со снижением иммунитета, недостаточной гигиеной полости рта и заболеваниями ЖКТ.
- Коричневый. Такой налет указывает на, что пациент - заядлый курильщик. Смолистые компоненты, выделяемые в процессе курения, невозможно удалить с помощью ежедневного очищения.
- Черный. Возникновение этих отложений связано с дисбактериозом, заболеваниями печени и желчного пузыря. Для их устранения требуются совместные усилия гастроэнтеролога и стоматолога.
Скопление зубного налета провоцирует появление зубных бляшек - образований, плотно прикрепляющихся к зубам и локализующихся в труднодоступных местах: между зубами или под деснами. Зубная бляшка повышает рН слюны и способствует выработке органических кислот, разрушающих эмаль.
В отличие от налета, состоящего из слюны и остатков пищи, бляшки преимущественно состоят из бактерий.
Вследствие отложения бляшками солей кальция и фосфора на поверхности зубов образуется структура из плотных кристаллических образований - зубной камень (смотрите на фото). Изначально он локализуется на видимых участках зубов, но постепенно, увеличиваясь, «спускается» под десну. Если вовремя не удалить зубной камень, впоследствии он приведет к расшатыванию и выпадению зубов.
Удаление мягких и твердых отложений
Механическое
Для полного удаления зубных отложений недостаточно очищения в домашних условиях. Чтобы убрать налет, используют методы ручной чистки. Ранее для очистки эмали от патологических образований применяли крючки и экскаваторы, буквально отрывающие отложения от поверхностного слоя. Сегодня эти методы снятия налета заменили устройства с вращающимися щетками и механизмами, подающими очищающие компоненты под давлением.
Химическое
Если пациенту противопоказано механическое удаление образований, используют химический метод чистки эмали. Данный способ показан при шаткости зубов, наличии пломб и имплантов. Заключается в воздействии на поверхность составом с хлористоводородной кислотой, йодом и хлороформом, размягчающим самые твердые зубные бляшки и камни.
К достоинствам химического метода снятия отложений относят безболезненность и доступную стоимость. Кислота не только удаляет зубной камень, но и осветляет зубы на 2-3 тона. Выбирая этот метод, нужно помнить, что его использование сопровождается вымыванием кальция и фтора из поверхностного слоя. По этой причине его используют для удаления только твердых образований.
Ультразвуковое и лазерное
Ультразвуковые и лазерные методы снятия отложений являются оптимальными вариантами удаления минерализованных образований. Не расшатывая и не нарушая структуры зубов, данные способы позволяют удалять видимые и невидимые отложения, образовавшиеся под десной. Противопоказаниями к аппаратной чистке являются заболевания пародонта и сердечно-сосудистой системы, многочисленные пломбы и импланты.
Выбор того или иного способа чистки осуществляют после выявления типа зубного отложения и степени поражения эмали. Наддесневые образования видны невооруженным глазом: они пигментированы, шероховаты и плотно прилегают к зубам. Чтобы определить участки наибольшего скопления патогенной флоры, используют красители. Поддесневые образования обнаруживают с помощью зондирования и рентгена.
Вне зависимости от используемого метода очищения после снятия отложений проводят процедуры по укреплению эмали и профилактике образования зубного камня. Чтобы в микротрещинах зубов не скапливались микроорганизмы, нужно отполировать поверхность. Выбор насадок и полирующих частиц осуществляют исходя из состояния костной ткани. После шлифовки эмаль покрывают реминерализующими составами и фторлаком.
Профилактика образования зубных отложений
Соблюдая рекомендации по профилактике образования зубных отложений, невозможно полностью защитить эмаль от поражения. Чтобы сохранить красивую улыбку, требуется периодически делать стоматологическую чистку. Чтобы снизить вероятность возникновения зубного камня, пациенту следует придерживаться следующих правил ухода за зубами:
- Соблюдение техники. Чистку зубов проводят вертикальными движениями, направляясь от корней к краям зубов. Для очищения используют щетки средней жесткости, которые нужно менять каждые 2-3 месяца.
- Использование щадящих средств. Не рекомендовано злоупотреблять отбеливающими пастами с абразивными частицами. Эти вещества царапают эмаль, открывая доступ патогенной флоре. По этой же причине для очищения зубов не используют зубной порошок.
- Применение гигиенических устройств. Флоссы и ирригаторы хорошо очищают участки, недоступные щетке. Струя воды, попадающая в полость рта, не только вымывает болезнетворные бактерии, но и улучшает кровоток в десне. Чтобы защитить зубы от налета, а мягкие ткани от пародонтита, нужно использовать ирригатор не менее 3-х раз в неделю.
- Очищение языка и щек. На слизистой рта скапливается наибольшее количество бактерий. Язык и щеки очищают щеткой или специальной ложкой. После механической чистки нужно прополоскать рот антисептическим раствором.
Сбалансированное питание также позволяет снизить вероятность возникновения зубных отложений. Пережевывая твердые овощи и фрукты, пациент очищает эмаль от налета, не давая ему превратиться в зубной камень. Для защиты зубов нужно исключить из меню газированные напитки, хрустящие снеки, царапающие поверхностный слой. Следует ограничить употребление сладостей, кофе и чая.
6.5.1. Зубная бляшка и ее роль в возникновении кариеса
• Зубная бляшка — скопление микроорганизмов различных типов, которые плотно фиксированы на матрице, расположенной на поверхности зуба.
Концентрация бактерий в единице объема зубной бляшки и их соотношение имеют значительные индивидуальные колебания, однако считают, что более 70 % колоний составляют стрептококки, 15 % — вейлонеллы и нейссерии и 15 % вся остальная микрофлора.
В зубной бляшке большинство бактерий кислотообразующие, хотя имеются протеолитические бактерии, грибы (в первую очередь Candida albicans), дифтероиды, в том числе анаэробные бактероиды, фузобактерии и др.
Зубная бляшка начинает накапливаться уже через 2 ч после чистки зубов. В течение суток в налете преобладает кокковая флора, а затем она меняется. Первоначально образованный налет содержит анаэробные микроорганизмы, более зрелый — аэробные и анаэробные.
Установлено, что в механизме образования зубного налета и его фиксации на поверхности эмали важная роль принадлежит сахарам — моно- и дисахаридам, и микроорганизмам, в первую очередь Str. mutans, которые активно формируют зубной налет на гладких поверхностях зуба. Распространение зубного налета по поверхности зуба происходит от межзубных промежутков и десневых желобков.
На интенсивность развития зубного налета, кроме микроорганизмов полости рта и углеводов, влияют вязкость слюны, десквамация эпителия слизистой оболочки рта. наличие очагов воспаления в полости рта, характер самоочищения.
? Зубная бляшка устойчива к полосканию рта, не смывается слюной, так как ее поверхность покрыта полупроницаемым мукоидным слоем, который в значительной степени препятствует нейтрализации очага снижения pH, образующегося по поверхности эмали. Она снимается при тщательной механической обработке зубной щеткой.
Содержание микроэлементов в зубной бляшке изменчиво. Однако установлено, что в поверхностном слое эмали наиболее высокие концентрации тех элементов, которые в значительном количестве содержатся в зубном налете: железо, цинк, фтор.
Особого внимания заслуживает фтор, противокариесное действие которого является бесспорным. Установлено, что содержание фтора в зубной бляшке может быть в десятки и даже сотни раз больше, чем в слюне. Важно, что концентрация фтора в зубном налете в значительной степени зависит от его содержания в питьевой воде.
Не вызывает сомнения, что зубная бляшка способствует возникновению кариеса. В эпидемиологических исследованиях установлена высокая зависимость между большим количеством зубного налета и развитием кариеса. Однако имеются факты, когда у отдельных лиц и этнических групп налета много, а кариеса нет. Клинические исследования показали, что кариесогенность углеводов уменьшается при длительном пережевывании пищи, что объясняют увеличением слюноотделения и нейтрализации образующихся кислот. Указывают также на зависимость кариесогенности зубной бляшки от содержания в ней минеральных компонентов: чем больше в ней кальция и фосфора, тем меньше ее кариесогенный потенциал. Не исключено также противокариозное действие фтора зубного налета, ингибирующего процесс кислотообразования бактериями.
6.5.1.1. Образование и развитие зубной бляшки
Сразу после прорезывания зуб покрыт кутикулой и клеточными компонентами редуцированного эмалевого эпителия. Затем эмаль покрывается бесструктурными образованиями. Различают следующие образования: первичную эмалевую кутикулу (подповерхностная и поверхностная) и пелликулу.
Пелликула — производное слюны, состоит из аминокислот и сахаров, из которых образуются полисахариды. Существует мнение, что пелликула образуется на кристаллах гидроксиапатитов. Роль пелликулы неоднозначна: с одной стороны, она выполняет защитную функцию, предохраняя кристаллы эмали от действия кислот, поступающих в полость рта, с другой — способствует прикреплению микроорганизмов и образованию их колоний — зубной бляшки.
Образование налета происходит в определенной последовательности: 1) прикрепление бактерий к пелликуле; 2) образование внеклеточной структуры (матрикса); 3) рост бактерий и образование зубной бляшки.
Существуют различные механизмы прикрепления бактерий в пелликуле. Этому процессу уделяют большое внимание, так как уменьшение фиксации бактерий позволяет снизить кариесогенный потенциал налета на поверхности зуба.
Silvesione указывает на наличие следующих этапов в процессе прикрепления бактерий к пелликуле:
? химическое прикрепление мобильных бактерий;
? обратимая фиксация бактерий на поверхности;
? необратимая их фиксация;
? развитие вторичной микрофлоры.
Образование внеклеточной структуры (матрикса) обусловлено деятельностью микроорганизмов. Матрикс состоит из двух компонентов: белков (преимущественно производных гликопротеинов слюны) и бактериальных экстрацеллюлярных полисахаридов (в основном полимеры углеводов). Белковый компонент образуется за счет осаждения из слюны сиаловых кислот под воздействием ферментов, вырабатываемых микроорганизмами.
При изучении углеводного состава зубной бляшки установлено, что растворимая фракция сухой части налета содержит 6,9 %, а нерастворимая — 11,3 % углеводов.
Налет быстро образуется при употреблении мягкой пиши, особенно при наличии в пище сахарозы.
Клеточные элементы налета вместе с внеклеточными образованиями создают пористую структуру, что обеспечивает проникновение внутрь слюны и жидких компонентов пищи. Однако накопление в налете конечных продуктов жизнедеятельности микроорганизмов замедляет диффузию, особенно при обильном поступлении углеводов с пищей, так как закрываются межклеточные пространства в нем. В результате этого и происходит накопление органических кислот (молочная, пировиноградная и др.) на ограниченном участке поверхности зуба.
В зубном налете содержатся бактерии — стрептококки, в частности Str. mutans, Str. sanguis и Str. salivarius, для которых характерно анаэробное брожение. В этом процессе субстратом для бактерий в основном являются углеводы, а для отдельных штаммов — аминокислоты. Сахароза — дисахарид, состоящий из фруктозы и глюкозы, которому принадлежит ведущая роль в возникновении кариеса.
Процессы брожения в зубном налете и их активность зависят от количества вовлекаемых углеводов. Наиболее быстро pH снижается при брожении сахаров (от 6 до 4 в течение нескольких минут), а возвращение к прежнему значению pH (кривая Стефана) происходит медленно. В зубном налете, кроме молочной кислоты, содержатся муравьиная, масляная, пропионовая и другие органические кислоты.
При рассмотрении возможности локального изменения pH на поверхности эмали под зубной бляшкой всегда возникает вопрос о роли буферной емкости слюны. Почему слюна, обладая карбонатной, фосфорной и белковой буферными системами, не оказывает нейтрализующего влияния? Недостаточная нейтрализация образующейся в налете кислоты объясняется Ограничением диффузии нейтрализующих соединений, например кальция, в налет и ограничением диффузии кислотных продуктов из него.
Бактерии, как и другие клетки, содержат биополимеры (нуклеиновые кислоты, белки, полисахариды, липиды и др.), необходимые для их жизни.
Как уже отмечалось, в зубной бляшке преобладают анаэробные бактерии, которые вырабатывают значительное количество ферментов анаэробного гликолиза. В процессе своего роста большинство молочнокислых бактерий, сбраживающих сахара, продуцирует до 90 % молочной кислоты. Другие микроорганизмы продуцируют молочной кислоты меньше. Особенно интенсивно происходит процесс гликолиза в присутствии углеводов в период уменьшенного слюноотделения (во время сна). Установлено, что наличие и активность брожения в налете во многом зависят от количества доступных углеводов. Как указывалось ранее, в присутствии углеводов в зубном налете быстро и значительно снижается pH, затем его значение медленно восстанавливается до нормального уровня.
Низкомолекулярные вещества (сорбит, маннит, ксилит) проникают в зубную бляшку, однако вследствие малой активности фермента, превращающего их во фруктозу, молочная кислота образуется в небольшом количестве. Поэтому не происходит выраженного снижения pH. Крахмал также является «некариесогенным» углеводом, так как молекулы крахмала не способны проникать в зубной налет. Но главное заключается в том, что процессу брожения в этом случае должен предшествовать процесс гидролиза крахмала с образованием глюкозы или мальтозы.
Бактерии зубной бляшки обладают способностью производить внутриклеточные полимеры и накапливать их. Накопление происходит при избытке энергии (в форме углеводов), а расщепление и утилизация резервных веществ в клетках — при недостаточности экзогенных источников для поддержания жизнедеятельности и роста.
Важная роль в развитии кариеса зубов принадлежит образованию микроорганизмами внеклеточных гетерополисахаридов — биополимеров, содержащих различные углеводы (гликаны, леваны, декстраны). Гликаны, обеспечивая слипание бактерий друг с другом и с поверхностью зуба, активно влияют на возникновение кариеса. Установлено, что снижение содержания гликанов ведет к уменьшению кариеса. Продуцирование гликана обусловливает рост (утолщение) зубного налета. Декстран, образующийся из сахарозы при участии декстраназы, является резервным полисахаридом. В процессе расщепления и утилизации декстрана микроорганизмами образуются органические кислоты, которые и оказывают деминерализующее влияние на эмаль зуба. Леван — биополимер, образующийся из сахарозы при участии левансахаразы. При расщеплении левана также образуются органические кислоты, однако леван в большей степени используется микроорганизмами зубной бляшки в качестве источника энергии.
Микрофлора полости рта изменяется на всех стадиях развития кариозного процесса. Отмечается увеличение высеваемости кислотообразующих штаммов. Особенно большое количество микроорганизмов обнаруживается в зубном налете: Str. mitis, Str. sanguis, Str. mutans, лактобактерий, фузобактерий и др. Заслуживает внимания и тот факт, что у лиц с множественным кариесом установлено повышение биохимической активности стрептококков и лактобактерий, расположенных на поверхности зубов. Избирательная локализация Str.mutans на эмали и высокая адгезивность полисахаридов типа декстрана, левана и др., а также высокая ферментативная активность микроорганизмов расцениваются рядом авторов как состояние кариесовосприимчивости.
В настоящее время имеются данные, что при кариесе изменяются иммунологические показатели. В биологических жидкостях у лиц с пораженными кариесом зубами (кариесиммунные) уровень иммуноглобулинов класса А значительно выше, чем в норме. У лиц с множественным кариесом в слюне и сыворотке крови снижаются показатели неспецифической резистентности (уровень лизоцима, ?-лизинов и др.).
Клинико-экспериментальные наблюдения позволили выявить закономерную связь между частотой поражения зубов кариесом и количеством микроорганизмов и их ферментативной активностью. Это позволило разработать ряд тестов, определяющих предрасположенность к кариесу:
лактобациллен-тест, основанный на микробиологическом подсчете лактобацилл в пробах слюны;
тест Снайдера, основанный на определении времени наступления и величины зоны изменения окраски питательной среды вокруг колоний бактерий.
6.5.1.2. Роль микроорганизмов в развитии кариеса зубов
Результаты исследований последних лет показали, что под воздействием микроорганизмов, находящихся на поверхности зуба, в эмали возникают такие же изменения, как и при кариесе. Использование модели «искусственный рост» позволило установить, что ряд микроорганизмов и в первую очередь стрептококки обусловливают процесс деминерализации в условиях эксперимента.
В настоящее время установлено, что без микроорганизмов кариес не возникает. Выше говорилось об опытах Orlander и соавт. в 50-х годах, когда у молодых крыс, содержащихся на кариесогенном рационе, но в стерильных условиях, кариес не возникал, тогда как у животных контрольной группы зубы были поражены. В литературе имеются данные экспериментальных исследований, согласно которым применение антибиотиков значительно снижает поражаемость зубов кариесом. Установлено также, что у детей, длительное время применяющих антибиотики по каким-либо медицинским показаниям, снижается интенсивность поражения кариесом. Этот факт, однако, нельзя трактовать как показание к применению антибиотиков с профилактической целью, так как эти препараты вызывают ряд нежелательных побочных эффектов.
Лактобациллы. Грамположительные микроорганизмы, продуцирующие кислоту, характеризуются устойчивостью к ней. Установлено, что у лиц с множественным кариесом в слюне содержится большое количество лактобацилл, которое уменьшается при пломбировании кариозных полостей. Наряду с этим отмечается их малое количество в зубном налете. На основании изложенных фактов был сделан вывод, что лактобациллы не играют ведущей роли в возникновении кариеса, но становятся более активными при наличии кариозной полости.
Стрептококки. Это грамположительные кокки. К кариесогенным видам относят Str. sanguis, Str. salivarius. В возникновении кариеса ведущая роль принадлежит Str. mutans. По данным некоторых авторов, в зубном налете 80-90 % общего количества микроорганизмов составляют Str. mutans. Указано на прямую связь между интенсивностью кариеса и количеством микроорганизмов. Считают, что значительный рост числа представителей вида Str. mutans на определенных участках способствует прогрессирующей деструкции эмали.
В результате многочисленных исследований установлено, что в возникновении кариеса важную роль играют следующие свойства микроорганизмов: образование органических кислот и в первую очередь молочной как конечного продукта ферментации углеводов, продуцирование внеклеточного полимера глюкозы (гликана) из сахарозы; способность фиксации и роста микроорганизмов на твердых поверхностях (зуб, стекло, металлическая пластинка).
Указанными свойствами обладает Str. mutans и Str. sanguis, которым отводится наибольшая роль в возникновении кариеса.
12. Роль воды в возникновении заболеваний человека
12. Роль воды в возникновении заболеваний человека Давно отмечена связь между заболеваемостью населения и характером водопотребления. Уже в древности были известны некоторые признаки воды, опасной для здоровья. Однако лишь в середине XIX в. эпидемиологические наблюдения
Профилактика кариеса зубов
Профилактика кариеса зубов В целях предупреждения кариеса зубов рекомендуется дважды в год проводить профилактику, используя яичную скорлупу. Куриные яйца предварительно помыть теплой водой с мылом, тщательно ополоснуть кипяченой водой. В большинстве случаев скорлупа
6.2. КЛАССИФИКАЦИЯ КАРИЕСА ЗУБОВ
6.2. КЛАССИФИКАЦИЯ КАРИЕСА ЗУБОВ Клинические признаки кариеса зубов хорошо изучены. В соответствии с изменениями в тканях зуба и клиническим проявлением создано несколько классификаций, в основу которых положены различные признаки.В классификации ВОЗ (9-й пересмотр)
6.3. КЛИНИЧЕСКАЯ КАРТИНА КАРИЕСА ЗУБОВ
6.3. КЛИНИЧЕСКАЯ КАРТИНА КАРИЕСА ЗУБОВ Стадия пятна (macula cariosa), или кариозная деминерализация. Деминерализация эмали при осмотре проявляется изменением ее нормального цвета на ограниченном участке и появлением матового, белого, светло-коричневого, темно-коричневого пятен
6.4. ПАТОЛОГИЧЕСКАЯ АНАТОМИЯ КАРИЕСА ЗУБОВ
6.4. ПАТОЛОГИЧЕСКАЯ АНАТОМИЯ КАРИЕСА ЗУБОВ В клиническом течении кариеса различают два этапа: первый характеризуется изменением цвета и, видимо, неповрежденной поверхности эмали, второй — образованием дефекта тканей (кариозной полости).Второй этап нашел довольно полное
6.5. ТЕОРИИ ПРОИСХОЖДЕНИЯ КАРИЕСА ЗУБОВ
6.5. ТЕОРИИ ПРОИСХОЖДЕНИЯ КАРИЕСА ЗУБОВ Тот факт, что до настоящего времени дискутируются некоторые механизмы кариозного процесса при наличии огромного количества научных исследований, указывает на его сложность. Высокая специфичность эмали зуба, не имеющей в своем
6.6. ЛЕЧЕНИЕ КАРИЕСА ЗУБОВ
6.6. ЛЕЧЕНИЕ КАРИЕСА ЗУБОВ Как следует из вышеизложенного материала, изменения в твердых тканях зубов при кариесе могут выражаться в очаговой деминерализации или в деструкции ткани, приводящей к появлению кариозной полости. Характер изменений в тканях и определяет выбор
3.13.1. Роль минералов в возникновении и устранении диабета
3.13.1. Роль минералов в возникновении и устранении диабета Дефицит минералов «уличен» в еще большем количестве «преступлений» против жертв сахарного диабета. Речь идет не столько о самой болезни, сколько о ее последствиях, связанных со скелетно-костным аппаратом: артрит,
При возникновении затрудненного дыхания
При возникновении затрудненного дыхания 1. Успокойте ребенка и не паникуйте сами, так как ваше беспокойство усилит аллергическую реакцию и ухудшит состояние ребенка.2. Откройте форточки и окна, чтобы в комнату поступал свежий воздух.3. Быстро увлажните воздух в комнате.
О возникновении артериосклероза
О возникновении артериосклероза В последнее время накоплено значительное количество данных, которые могут привести к пересмотру теории возникновения артериосклероза как следствия закупорки и разрушения сосудов холестерином.«Враг обнаружен!» — писал в 1997 году
Глава XIV. РОЛЬ ПИТАНИЯ В ВОЗНИКНОВЕНИИ И ЛЕЧЕНИИ РАКА
Глава XIV. РОЛЬ ПИТАНИЯ В ВОЗНИКНОВЕНИИ И ЛЕЧЕНИИ РАКА В разладе с природой Даже сильные духом люди бледнеют, едва услышат диагноз — рак. Это слово воспринимается как смертный приговор, не подлежащий обжалованию. Рак называют болезнью XX века, по числу смертельных исходов
ЧТО ДЕЛАТЬ ПРИ ВОЗНИКНОВЕНИИ АЛЛЕРГИЧЕСКОГО НАСМОРКА
ЧТО ДЕЛАТЬ ПРИ ВОЗНИКНОВЕНИИ АЛЛЕРГИЧЕСКОГО НАСМОРКА 1. Прежде всего, прервите контакт с виновным аллергеном. Так, если насморк появился, например, в цирке, то немедленно выведите ребенка на улицу. Насморк может возникнуть, если вы занимаетесь вязанием или шитьем.
Как защититься от кариеса?
Как защититься от кариеса? Кариес — это проблема не только детей, но и взрослых. Кого-то природа наградила сильными и здоровыми зубами, а кто-то постоянно мучается от зубной боли и обращается к стоматологу. Кариес возникает в результате плохой гигиены полости рта и
Холестериновая бляшка и аминокислота гомоцистеин
Холестериновая бляшка и аминокислота гомоцистеин Считается, что, проникнув в стенки сосудов, липопротеиды низкой плотности, несущие холестерин, образуют холестериновые бляшки. Вначале холестериновая бляшка мягкая, но затем в ней начинает накапливаться кальций, и она
Зубной камень - симптомы и лечение
Что такое зубной камень? Причины возникновения, диагностику и методы лечения разберем в статье доктора Сафроновой Евгении Леонидовны, стоматолога со стажем в 6 лет.
Над статьей доктора Сафроновой Евгении Леонидовны работали литературный редактор Юлия Липовская , научный редактор Сергей Федосов и шеф-редактор Лада Родчанина
Определение болезни. Причины заболевания
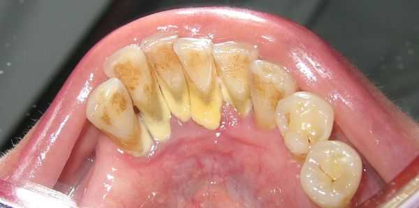
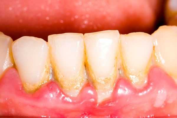
Зубной камень — это отвердевший зубной налёт, минерализованная бактериальная бляшка (биоплёнка). Она образуется на поверхности зубов из остатков пищи, погибших микроорганизмов, солей кальция, фосфора и железа.
Этот вид зубных отложений обнаруживается при осмотре примерно у 80-90 % пациентов [14] [15] . Чаще всего зубной камень образуется на нижних резцах. Эти отложения имеют жёлтый или коричневый оттенок.
Если зубной камень расположен над десной, пациент может увидеть его самостоятельно невооружённым глазом. Камень, расположенный внутри десны, сможет обнаружить только врач-стоматолог при помощи специальных инструментов.

Главная причина образования зубного камня — плохая гигиена полости рта. Во время еды на зубах образуется мягкий зубной налёт, скапливаются остатки пищи, которые создают почву для развития бактерий. Лучше всего бактерии "растут" на легко усваиваемых углеводах, которые содержатся в мучных и сладких продуктах.
Мягкий зубной налёт (зубная бляшка, или микробная биоплёнка) интенсивнее всего скапливается там, где зубы не самоочищаются от пищи в процессе жевания. Зубной налёт со временем пропитывается минеральными компонентами и затвердевает.
Зубной налёт начинается активно образовываться после каждого приёма пищи. Микроорганизмы прикрепляются к поверхности зуба и создают довольно стабильную зубную бляшку. Бактерии размножаются, зубная бляшка растёт и опускается всё ниже в десневую бороздку. Со временем бляшка уплотняется и приобретает желтоватый цвет. По мере затвердевания доступ кислорода внутрь отложений прекращается, что способствует ещё большему размножению анаэробных бактерий.
Зубной налёт может появится на любом зубе, но более стойкие формы он приобретает рядом с большими слюнными железами, которые расположены у центральной группы нижних зубов под языком. Слюна содержит минеральные вещества, которые воздействуют на налёт. Постепенно он темнеет, становится более плотным и трансформируется в зубной камень, который уже невозможно очистить зубной щёткой.
У появления зубного налёта несколько причин:
- нерегулярная или недостаточно тщательная чистка зубов;
- обилие мягкой пищи в рационе;
- нарушение обмена веществ и солевого баланса в организме;
- неправильное положение зубов;
- наличие пломб, брекетов.
Причины образования зубных камней у детей
Образование зубного камня на молочных зубах встречается очень редко. Появлению зубного камня у детей и подростков могут способствовать хронические заболевания почек и анатомические особенности строения зубочелюстной системы [17] [18] .
При обнаружении схожих симптомов проконсультируйтесь у врача. Не занимайтесь самолечением - это опасно для вашего здоровья!
Симптомы зубного камня
Симптомы при наличии зубного камня связаны с процессом воспаления дёсен. Сами по себе отложения не вызывают болезненных ощущений, но когда зубной камень формируется в больших количествах и начинает травмировать дёсны, у пациента появляются жалобы.
Наличие зубного камня можно определить по следующим признакам:
- Неприятный запах изо рта из-за жизнедеятельности микроорганизмов, скапливающихся на зубах, — они производят летучие соединения серы с характерным запахом.
- Гиперемия и отёчность дёсен. Десны ярко-красного цвета, зубодёсневые сосочки увеличены в размерах и могут закрывать часть коронки зуба.
- Кровоточивость, которая чаще всего возникает при чистке зубов или когда пациент использует зубную нить. В более тяжёлых случаях дёсны начинают кровоточить при приёме пищи. Этот симптом иногда сопровождается болью в дёснах.
- Повышенная чувствительность отдельных зубов, связанная с процессом рецессии десны зубов. Из-за уменьшения тканей десны зубной корень оголяется, и зуб становится более восприимчивым к воздействиям и разной температуре пищи.
- Неудовлетворительная эстетика, наличие плотных тёмно-коричневых и желтоватых отложений. Наличие зубного камня значительно сказывается на виде улыбки и белизне зубов [3] .
Патогенез зубного камня
Зубная бляшка формируется, когда микроорганизмы прикрепляются к поверхности зуба. На зубах через несколько минут после приёма пищи начинается формирование плёнки (пелликулы), которая состоит из гликопротеинов слюны.
Через 4 часа в состав пелликулы добавляются бактерии стрептококки (Spreptococcus mitis, S.sanguis, S.anguis). Далее прикрепляются актиномицеты. На 2-4 день снижается количество стрептококков, увеличивается количество анаэробных бактерий. Через неделю присоединяются спирохеты и подвижные палочки.
Зубная бляшка завтердевает за счёт минералов, которые содержатся в слюне или десневой жидкости. Скорость минерализации зубной бляшки отличается у разных людей. У кого-то зубной камень образуется быстро, у кого-то с умеренной скоростью. У незначительного количества людей зубной камень не формируется вообще.
Также появлению зубного камня способствуют ортодонтические проблемы, такие как скученность зубов или поворот зубов по своей оси. Такие особенности создают благоприятные условия для минерализации — из-за неправильного расположения зубы тяжелее очищать от мягкого налёта [5] [8] [11] .
Классификация и стадии развития зубного камня
Зубной камень образуется из неорганического и органического компонента. В минеральную составляющую входит фосфат кальция, карбонат кальция, фосфат магния и другие металлы. Органический компонент содержит смесь белково-полисахаридный комплекса, эпителий, лейкоциты и микроорганизмы.
Зубной камень по локализации делится:
- наддесневой: расположен выше уровня десны. Чаще всего образуется в области передних нижних зубов, а также верхних первых моляров;
- поддесневой: расположен ниже уровня десны в пародонтальном кармане на поверхности корня зуба;
- каменный мост: твёрдый налёт охватывает поверхность нескольких зубов, расположенных рядом.
Зубной камень формируется в несколько стадий:
- Накопление минеральных компонентов и начальный рост кристаллов.
- Рост и совершенствование кристаллов.
- Насыщение кристаллов.
Зубные отложения на начальной стадии представляют собой мягкий зубной налёт, а на второй и третьей — зубной камень. На формирование твёрдого зубного камня уходит от нескольких месяцев до полугода.
Выделяют четыре вида прикрепления зубного камня к поверхности зуба:
- при помощи органической пелликулы на цементе (на специфической костной ткани, покрывающей корень и шейку зуба);
- при помощи органической пелликулы на эмали;
- фиксация на неровных поверхностях, например, на кариозном поражении или на месте разрушения костной ткани (лакунарной резорбции);
- тесная адаптация нижней поверхности камня к впадинам или выступам неповрежденной поверхности цемента и проникновения бактериального налёта в цемент [2][6] .
Осложнения зубного камня
Активное нарастание зубных камней в будущем обязательно приводит к воспалительным заболеваниям пародонта — сначала к гингивиту, а потом к пародонтиту.
Гингивит — это заболевание дёсен, которому сопутствует воспаление, отёчность и кровоточивость дёсен. Пациенты жалуются на неприятный запах изо рта, наличие зубных камней, налёт, появление крови при чистке зубов и во время приёма пищи. Гингивит образуется за счёт ферментатов и токсинов, выделяемых патогенными бактериями зубного налёта. При обследовании обнаруживаются зубные отложения, десна отёчные, кровоточат при зондировании, патологический зубодесневой карман отсутствует.

Прогрессирование гингивита в конечном счёте приводит к пародонтиту. При пародонтите в процесс воспаления вовлекается не только десна, но и костная ткань вокруг зуба. К типичным симптомам гингивита добавляются поддесневые зубные отложения, формирование патологических зубодесневых карманов глубиной 3-7 мм. На рентгенологическом исследовании обнаруживается уменьшение костной ткани в области межзубных перегородок.
При отсутствии лечения пародонтит может привезти к потере не только костной ткани, но и самих зубов.
Микробная биоплёнка, длительно существующая в полости рта, оказывает влияние не только на пародонт, но и на внутренние органы. В одном из исследований в Швеции, которое проводилось с 1985 по 2011 годы выяснилось, что риск возникновения сердечно-сосудистых заболеваний (в данном случае внимание заострялось на инфаркте миокарда) повышается при наличии зубного камня у больных [12] .
Зубной камень способствует развитию заболеваний дёсен, но не вызывает кариес и его осложнения. Как показывают клинические наблюдения, в тех местах, где располагается минерализованный налёт, как правило, нет кариеса [7] [12] .

Диагностика зубного камня
Диагностика зубного камня обычно не требует специфических видов исследования. Он обнаруживается в полости рта при осмотре и инструментальном обследовании.
При наличии зубного камня у пациентов во время осмотра обнаруживаются пять признаков воспаления пародонта:
- покраснение десны;
- отёчность десны;
- повышенная температура в области воспаленных тканей;
- боль при агрессивных процессах, например при язвенно-некротическом гингивите;
- подвижность зуба.
Наддесневой зубной камень располагается над десневым краем и хорошо визуализируется в полости рта при осмотре. Это белое или бело-жёлтое образование твёрдой глиноподобной консистенции. При зондировании достаточно легко отделяется от поверхности зуба.
Наддесневой зубной камень часто образуется в щёчных поверхностях верхних моляров и язычных поверхностях нижних передних зубов, потому как именно здесь скапливается больше всего слюны.
Поддесневой зубной камень располагается ниже уровня десневого края и может быть незаметен при обычном осмотре. Наличие таких зубных отложений определяют при помощи пародонтологического зонда. Также камень можно увидеть на рентгенологическом снимке ротовой полости. Поддесневой зубной камень имеет чёрный или тёмно-коричневый цвет, чаще всего он плотно прикреплён к поверхности зуба. Поддесневой камень опасен своим расположением — его наличие говорит о том, что десна уже начала отходить от зуба, и появился патологический зубодесневой карман.
Помимо обнаружения десневого камня при диагностике осматривается зубодесневое прикрепление. Если его нет, стоматолог определяет глубину патологического кармана.
При зондировании десневой борозды чаще всего появляется кровоточивость дёсен, что указывает на влияние наддесневых зубных отложений [6] .
Лечение зубного камня
Лечение зубного камня в зависимости от сложности случая может включать в себя несколько действий:
- полное снятие зубного камня во время гигиены полости рта в кабинете стоматолога;
- замена пломб, которые находятся в неудовлетворительном состоянии;
- ортодонтическое лечение для устранения дополнительных участков, на которых регулярно образовывался зубной камень из-за неправильного расположения зубов;
- лечение зубного камня и снятие налёта состоит из следующих этапов: удаления зубного камня с зуба, обработки полости рта антисептиком и полировки поверхности зуба.
Чистка зубов от камня может осуществляться ручным способом или при помощи специального аппарата — звукового или ультразвукового скалера.
Ручной, или механический, метод удаления зубного камня
К ручным инструментам относятся: ручные скалеры, экскаваторы, рашпили и долота, кюреты.
- скалеры — используются для снятия наддесневого зубного камня, бывают прямыми и изогнутыми;
- экскаваторы — используют для снятия камней большого размера;
- долота — применяют для разбивания «мостов» из зубного камня на фронтальных зубах;
- кюреты — это зоноспецифические инструменты для снятия поддесневого зубного камня;
- рашпили — используются для соскабливания отложений с поверхности зуба.

Чистка зубов ультразвуком
Звуковые и ультразвуковые скалеры помогают стоматологу быстро и легко удалить зубные отложения во время профессиональной чистки зубов.
При работе скалера наблюдается эффект кавитации (образуются и схлопываются пузырьки воздуха в потоке жидкости, что сопровождается гидравлическими ударами), инструмент вибрирует при контакте с зубом, что обеспечивает создание энергии, достаточной для снятия отложений. Важно, что при правильном использовании аппарата не происходит повреждения мягких и твёрдых тканей.
Перед ультразвуковой чисткой каменных мостов в том случае, если они плотно сцеплены с эмалью, используется химическое протравливание твердых зубных отложений. Это покрытие зубов щелочными и кислотными растворами, которые делают камень мягким.
Антисептическая обработка заключается в орошении полости рта 0,05 % раствором хлоргексидина. Некоторые виды скалеров позволяют снимать зубной камень сразу с подачей хлоргексидина. В обычных скалерах через наконечник подается вода.
После удаления зубного камня поверхность зубов полируется, чтобы создать неблагоприятные условия для закрепления мягкого налёта. Полировка осуществляется при помощи резиновых чашечек и щёточек с добавлением низкоабразивной пасты [4] [5] [9] .
Когда нельзя чистить зубы ультразвуком
Абсолютных противопоказаний к ультразвуковой чистке зубов нет, могут быть некоторые ограничения, которые врач учитывает после осмотра полости рта.
Метод пескоструйной обработки (Air Flow)
Метод Air Flow позволяет бережно избавиться от любого налёта на зубах. Процедура выполняется с помощью устройства, которое подаёт плотную струю из смеси воздуха, воды и веществ, очищающих поверхность зубов и десневые карманы.
Химический способ удаления зубного камня
Химический метод заключается в применении специального геля, размягчающего зубные камни. Эффективность этого метода ниже, чем у чистки ультразвуком.
Лазерная чистка
Лазер для снятия зубных отложений не используется.
Комбинированный метод
Комбинированный метод может сочетать Air Flow, ультразвук и химический методы.
Для чего необходима профессиональная чистка зубов
Профессиональная чистка нужна для удаления зубных отложений. Зубной камень идеально удерживает мягкий зубной налёт, поэтому без профессиональной чистки он увеличивается в размерах и может спровоцировать развитие болезней десён [8] [10] [11] .
Можно ли произвести удаление зубного камня самостоятельно
Зубной камень в домашних условиях удалить невозможно. Народные методы удаления зубного камня неэффективны, их применение может привести к необратимым последствиям.
Прогноз. Профилактика
После удаления зубной налёт может образоваться снова, если пациент не делает никаких изменений в уходе за зубами. Поэтому профилактика зубного камня и сопутствующих ему заболеваний десён прежде всего заключается в правильной личной гигиене полости рта.
Чистка зубов помогает ежедневно удалять микробную бляшку и предотвращать её разрастание на поверхности зубов. Без личной гигиены адекватное лечение заболеваний пародонта будет просто невозможно. Как упоминалось ранее, зубная бляшка является основной причиной развития заболеваний пародонта, и именно из неё формируется зубной камень.
Как выбрать щётку для чистки зубов
Прежде всего пациенту необходимо подобрать качественную зубную щётку, основной инструмент гигиены полости рта. На рынке представлен огромный выбор зубных щёток, различных по форме, размерам и дизайну. Рекомендуется использование щётки средней жёсткости с щетинками из нейлона с закруглёнными концами для меньшего травмирования дёсен. Рукоятку пациент выбирает на свой вкус. Американская стоматологическая ассоциация рекомендует менять зубную щётку раз в 3-4 месяца.
Пациентам, которые склонны к быстрому образованию камней, следует назначать специальные профилактические зубные пасты. Этот вид зубных паст содержит в своём составе пирофосфаты, которые уменьшают осаждение нового зубного камня на зубах.
Рекомендуется научиться чистке зубов в технике Bass, при которой особое внимание уделяется очистке зоны десневой борозды от мягкого зубного налёта. Это техника позволяет эффективно и нетравматично снять наддесневой налёт и получить доступ к поддесневому [16] .
Чистку в технике Bass стоит выполнять так:
- расположите щётку параллельно зубам, так, чтоб щетинки смотрели в сторону дёсен;
- наклоните щётку на 45 градусов и без нажима двигайте щетинками так, чтоб они попадали в десневую бороздку;
- лёгкими движениями направляйте щетинки под десневую ткань, по кругу или быстро двигая щёткой вперёд-назад 15-20 раз, после переходите к следующим зубам. Щётка должна покрывать 2-3 зуба одновременно;
- после того, как почистите всю переднюю поверхность зубов, продолжайте в той же технике чистить область со стороны языка;
- чтобы почистить внутренние поверхности передних зубов, поверните щётку щетинками вертикально;
- почистите жевательную поверхность моляров.

Помимо зубной щётки и зубной пасты следует назначать дополнительные средства гигиены полости рта. К ним относится следующее:
- Флосс для эффективного удаления налета на апроксимальных поверхностях зубов (поверхностях, контактирующих с соседними зубами своего ряда).
- Межзубные ёршики для межзубной чистки. Они также эффективно помогают избавиться от зубной бляшки.
- Ирригатор — устройство, которое помогает вымывать мягкий зубной налёт из труднодоступных мест, тем самым предупреждая минерализацию налёта. Помимо удаления налёта данный аппарат осуществляет гидромассаж дёсен.
Кроме личной гигиены полости рта рекомендовано проведение профессиональной чистки зубов раз в полгода у стоматолога.
Чем дольше существует зубной налёт и чем быстрее он развивается, тем выше вероятность появления осложнений, требующих серьёзного стоматологического вмешательства. Поэтому прогноз во многом зависит от того, как быстро пациент обратится к врачу для удаления зубного налёта и насколько ответственно будет поддерживать гигиену полости рта в дальнейшем. Помимо регулярной профессиональной чистки задача стоматолога в данном случае — это правильная мотивация пациента и рекомендации [1] .
Читайте также:
- Гастростомия. История гастростомии в хирургии.
- Объем мертвого пространства. Мертвое пространство дыхательного аппарата
- Как избавиться от желтизны ногтей? Причины желтого оттенка ногтей
- Блокада левой задней ветви по ЭКГ. Блокада левой ножки пучка Гиса
- Развитие яичек эмбриона. Формирование мужских половых органов у плода
