Туберкулез поддержка и ответы в контакте

Побочные эффекты от лекарств
(какие, как купировать)
Раздел в разработке :)))

Очень народная медицина

Основные консультации проводит Наталья Кисилёва, психотерапевт Челябинского областного противотуберкулёзного диспансера. А также все участники делятся своими переживаниями и поддерживают друг друга.


Что такое очаг и во что он превращается
Свежий очаг - это ограниченный участок специфического туберкулезного воспаления. Состоит он из туберкулезных гранулем ("бугорков"). "Бугорок" (tuberculum) в свою очередь состоит из участочка казеозного некроза, окруженного плотным "валом" тз клеточных элементов - макрофагов, гигантских клеток Пирогова-Ланхганса и др. Как в казеозном некрозе, так и внутри фагоцитирующих клеток находятся МБТ. Говоря военным языком, это своеобразный "котел", в который попадают МБТ. Так наш организм защищается от распространения ТБ. В процессе лечения МБТ гибнут (большая часть), специфические клеточные элементы замещаются соединительной тканью, казеоз уплотняется и пропитывается солями кальция. Так что, очаг у здорового человека - это по сути рубец. Но даже в таких старых очагах достаточно долго сохраняются "спящие" МБТ. Они при неблагоприятных условиях и способны вызывать рецидивы.

Это одна из форм туберкулезного процесса, при которой в месте туберкулезного очага скапливаются лейкоциты (белые кровяные тельца), плазма и белки крови. Легочная ткань в этом месте как бы "пропитана" (инфильтрирована) этим скоплением. Это не плохо и не хорошо. Просто такой вариант заболевания. Все излечимо.

Очень частый вопрос про слегка повышенную температуру после лечение — 37, 37,2. Часто весьма панический и с формулировкой "А не рецедив ли это??" Как неоднократно отвечали наши врачи — субфернальная температура может быть повышена ещё год, а то и два, особенно после операции.
Но тут этот вопрос в совсем неожиданной формулировке прилетел. По разрешению автора, сохраняем пост и переписку.
Уважаемые доктора и участники группы, здравствуйте! Помогите, пожалуйста, разобраться в том, какое же всё-таки оптимальное время выдержки ртутного термометра в подмышечной впадине? В нескольких источниках нашла разную информацию: не менее 5 минут, 7-8 минут, 10 минут, 15 минут. И вот, собственно, что получилось: при выдержке термометра 5-7 минут температура 36,8 ( моя "рабочая" температура), 10-12 минут 37,0, но на этом я не остановилась и решила выдержать термометр 20 минут и мне удалось "нагреть" до 37, 2, но удалось не только нагреть, но ещё и расстроиться. Внесите, пожалуйста, ясность. Причина моего трепетного отношения к температуре: резекция 1,2 S (туберкулома) 14 месяцев назад, снимки и анализы в норме. Очень жду Ваших комментариев! Спасибо!
От нашего психотерапевта Натальи:
Дорогая Елена, градусник достаточно держать не более 10 минут, температура 37-37,2 - это, скорее всего, температура Вашего страха рецидива. Когда человек испытывает сильный страх, его температура повышается до 0,5-1°. Это нормальная физиологическая реакция. Рабочей температуры не бывает, это динамическая величина. Если это Вас так напугало, может быть купить электронный градусник, он Вам сам сообщит, когда можно оценивать результат, с уважением, Наталья. P.S. не забывайте, что сейчас лето и Вы просто могли перегреться слегка. Представляете, как росла ваша тревога в эти 20 мин.
О ВК+ и о прочих прелестях с этим связанных (динамические наблюдение в течение 2 – х лет).
В последнее время в литературе, в сообщениях отдельных авторов, все чаще и чаще появляются сообщения, в которых высказываются мнения и выводы, статистически подтвержденные следующего характера:
- у некоторых пациентов, с заведомо активным туберкулёзом лёгких, с наличием полостей распада, в ряде случаев, даже при многократном исследовании микобактерии туберкулеза выявлены не были;
- при воспалительных заболеваниях лёгких (пневмонии) также имеют место случаи выявления МБТ.
![]()
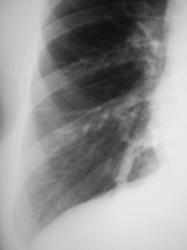
Иллюстрация 1. Рентгенограмма. Справа медио-базально определяется некоторое усиление и обогащение легочного рисунка. Слева определяется снижение прозрачности легочной ткани базально за счет нежного фиброза и участков уплотнения плевры в нижних отделах главной междолевой щели (по левой боковой рентгенограмме). Левый купол диафрагмы частично подтянут и фиксирован за счет плевро-диафрагмальной шварты. Определяется некоторое увеличение дуги conus pulmonalis .
![]()
![]()
Иллюстрации 2, 3. Томограммы – срезы 7 и 9 см.
![]()
![]()
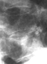
Иллюстрации 4, 5. Фрагмент рентгенограммы правого лёгкого с увеличением. Фрагмент рентгенограммы левого лёгкого с увеличением.
После назначенного и проведенного лечения терапевтом пациентка жалоб не предъявляет.
![]()
Иллюстрация 6. Рентгенограмма в прямой проекции.
![]()
![]()
![]()
![]()
![]()
Иллюстрации 10, 11. Томограммы фиксируют полостное образование медио-базально.

![]()
Иллюстрации 12, 13. Фрагменты томограмм с увеличением. Теневая картина по рентгенограммам в прямой проекции и по томограммам свидетельствует, с большей степенью вероятности, о наличии полостного образования (дренировавшегося, очистившегося абсцесса).
Но обнаруженные МБТ перевесили все доводы по поводу нетипичности картины в общем (полостное образование с довольно толстыми стенками, отсутствие очагов отсева), нетипичности положения (медио-базальный отдел).
![]()
![]()
![]()
![]()
![]()
Иллюстрации 18, 19, 20 фрагменты боковых рентгенограмм с увеличением.
![]()
![]()
После выписки из туб. диспансера, через 5 месяцев теневая картина соответствует, приведенным выше иллюстрациям 1, 2, 3.
Прошу коллег высказать свою точку зрения по поводу представленного случая.
| Вложение | Размер |
|---|---|
| 1. | 34.77 КБ |
| 2. | 17.72 КБ |
| 3. | 19.51 КБ |
| 4. | 21.56 КБ |
| 5. | 25.35 КБ |
| 6. | 24.89 КБ |
| 7. | 24.82 КБ |
| 8. | 24.47 КБ |
| 9. | 20.2 КБ |
| 10. | 17.55 КБ |
| 11. | 20.15 КБ |
| 12. | 16.68 КБ |
| 13. | 18.06 КБ |
| 14. | 24.4 КБ |
| 15. | 32.5 КБ |
| 16. | 24.51 КБ |
| 17. | 25.98 КБ |
| 18. | 28.95 КБ |
| 19. | 28.35 КБ |
| 20. | 29.13 КБ |
![]()
С уважением, Hеlеnmar.
Делай, что должно, и будь, что будет.
![]()
Здравствуйте уважаемый Hеlеnmar! Отвечаю по-порядку: 1.По поводу первично произведенной правой боковой рентгенограммы. Она была произведена, но была "утеряна" пациенткой и только исходя из этого иллюстрация не представлена. 2.Срезы 7 и 9 (первично при производстве контроля) выбраны исходя из того, что ранее пациентка находилась на учете у фтизиатра, хотя произведенные прямая и боковая рентгенограммы никаких сомнений по поводу отсутствия "новой патологии" не вызывали, и были произвежены именно по настоянию нашего фтизиатра. 3.Безусловно, с Вами нельзя не согласиться, что полостная форма Са при проведении дифференциального диагноза должна быть учтена. 4."Какие аргументы кроме МБТ+ у фтизиатров "сыграли" в пользу "их" диагноза?". После очередного "Вот рентгенологи пропустили туберкулёз", я грубо говоря "психанул" и поехал на "разборку" в обл. туб. диспансер, где и был постален диагноз ТВС. Вы наверное, прекрасно понимаете структуру разборки, когда врач-рентгенолог, приехавший из ЦРБ (глубокая периферия) в обл.туб. диспансер, пытается доказать что-то. Тем не менее собрав рентгенолога и зав, отделением, где лежала данная больная, по рентгенограммам, с акцентом не типичности картины, не типичности локализации, не типичности клиники я пытался доказать, что диагноз туберкулёза в данном случае нонсенс. Со мной "вяло согласились", выкинули "козырную карту" ВК+, и вещали "Динамика покажет". Динамика "показала", но диагноз остался. Все рентгенограммы "с динамикой" били произведены в обл. туб. диспансере. 5.Данная пациентка после выписки "попала" к нам через 6 месяцев (направлена нашим фтизиатром) "по рекомендации диспансера". Было произведено все, включая томографию в боковой проекции. В задне-базальном сегменте локалдьный участок склероза.
Термин "медио-базальные отделы" - описание картины по "прямой рентгенограмме".
![]()
Спасибо за исчерпывающий ответ.
Делай, что должно, и будь, что будет.
![]()
Добрый вечер уважаемый Hеlеnmar!
Всегда рад Вашим комментариям и критическим замечаниям.
С уважением В. Катенёв
![]()
Из ранних публикаций, но интересный случай.


Во власти стереотипов
Туберкулез, как отмечают во Всемирной организации здравоохранения, — одна из десяти ведущих причин смертности в мире. Передается заболевание воздушно-капельным путем. Для инфицирования достаточно даже незначительного количества бактерий. Долгое время считалось, что туберкулез грозит разве что бездомным, заключенным и другим категориям людей, чья жизнь связана с многочисленными лишениями, а также тем, кто с ними контактирует. Врачи уверяют, что сегодня картина изменилась. Многие факторы, провоцирующие заболевание, знакомы большинству жителей мегаполиса: неправильное питание, стресс, эмоциональные и физические нагрузки. В сочетании с ослабленной иммунной системой риск возрастает в разы.
Несмотря на то что в целом за последние десять лет эпидемиологическая обстановка в России улучшается, количество заболевших всё еще велико, более того, появляются и новые риски распространения туберкулеза.
— Несмотря на устоявшийся в обществе стереотип — заболевание характерно для всех слоев населения. Одна из основных причин распространения болезни — отказ от прививок. Отказ от вакцинации БЦЖ в 2019 году даже был включен в список глобальных угроз здоровью человечества. Помимо этого, переносчиками туберкулеза и других инфекционных заболеваний зачастую являются эмигранты, каждый пятый из которых ни разу не проходил вакцинацию, — считает Юлия Кочанова, врач-терапевт ФНКЦ ФМБА России.

Несмотря на то что угроза на самом деле вполне реальна, поверить в то, что она может коснуться лично тебя, всегда сложно. Особенно если учесть, что симптомы у туберкулеза ярко не выражены.
Художница Полина Синяткина об этой болезни почти ничего не знала до 2015 года.
— Мне было 25, и я начинала заболевать. Симптомы были вполне обычные: кашель, температура, потливость по ночам, утомляемость. Естественно, я ходила по врачам, мне ставили гайморит, синусит, периодически назначали разные антибиотики. Никто даже подумать не мог, что у меня туберкулез, — вспоминает девушка.

Такие истории — вовсе не редкость. При жалобах пациента на плохое самочувствие непрофильный специалист редко заподозрит именно туберкулез.
— Злую шутку играет всё тот же стереотип. Не всегда врачу приходит в голову провести диагностику на туберкулез, когда он видит пациента, у которого всё благополучно. Я работаю в федеральном центре, и часто люди приходят к нам уже со сложными случаями. Упоминают, что были у разных врачей, но несколько месяцев им не могли поставить диагноз. А если речь идет о недавно родивших женщинах, то им в поликлиниках могут просто отказаться проводить флюорографию, ссылаясь на приказ еще советского времени, в котором говорится, что кормящим женщинам без показаний флюорографию не выполняют. Хотя недавно родившие женщины входят в группу риска, — рассказывает Ольга Бережная.
Помимо недосмотра врачей, осложнить своевременную постановку диагноза могут и сами особенности проведения скрининга.

— Конечно, где-то имеет место халатность, но нужно учитывать и то, что флюорография — самый распространенный, но все-таки не самый эффективный способ выявления туберкулеза. Она может просто не показать это место. Плюс нужно понимать, что ее проводят раз в год. За это время туберкулез вполне может появиться. Но у любого скринингового метода есть свои ограничения, нельзя же делать флюорографию каждый месяц, — объясняет специалист.
Если в государственных учреждениях медосмотры проводятся хотя бы регулярно, то в отношении частных компаний, индивидуальных предпринимателей и фрилансеров нельзя быть уверенным и в этом. Обязать человека пройти флюорографию по закону проблематично, а надеяться на сознательность граждан в условиях полного отсутствия информации о заболевании еще сложнее.
Определенную помощь в выявлении туберкулеза сыграла паника на фоне коронавируса. Часть тех, кто давно откладывал поход ко врачу, наконец-то на это решилась.
— Рост выявляемости связан с тем, что люди с кашлем, болью в грудной клетке и другими проблемами, которые носят уже хронический характер, пошли в больницы и поликлиники. Им выполняют рентгенологическое исследование или КТ (компьютерную томографию. — Ред.) и, если есть изменения, госпитализируют в больницу, где проводят диагностику. Если есть подозрение на туберкулез, то вызывают внештатного фтизиатра. Если он подтвердил туберкулез, то человека в срочном порядке переводят уже в противотуберкулезный диспансер или туберкулезную больницу, — поясняет врач-фтизиатр.

Плюс-минус
Этот принцип одинаково действует во многих странах. Например, так протекало лечение у Кристины Теряевой из Казахстана. О том, что у нее может быть туберкулез, девушка узнала при прохождении планового осмотра. Сейчас позади восемь месяцев лечения, большая часть которого проходила амбулаторно.
Кристина Теряева, Усть-Каменогорск:
Никакой угрозы для окружающих Кристина не представляет, и все в ее окружении это понимают.
— Наверное, мне повезло. Не было никаких проблем, хотя, начитавшись всего в интернете, я боялась, что от меня будут шарахаться, на работе никто не захочет общаться. Но люди отнеслись с пониманием. Когда я прихожу на работу, все улыбаются, обнимают, спрашивают, когда уже выйду, — делится девушка.
Но так везет действительно далеко не всем. Анна Воронцова работала санитаркой в Детской городской больнице Святой Марии Магдалины Санкт-Петербурга. В какой-то момент у нее стала подниматься температура, потом появились слабость и кашель. Первое время и она, и окружающие ее врачи всё списывали на усталость. Подменять коллег Анне приходилось не раз. Но время шло, а ситуация не улучшалась. Когда в очередной раз сделали флюорографию, то возникло подозрение на туберкулез.
Анна Воронцова, Санкт-Петербург:
Это было как гром среди ясного неба. На тот момент у меня нашли что-то вроде опухоли. Поместили в туберкулезную городскую больницу, и с этого момента, 8 марта 2017-го, начался мой ад. Врачи долго не могли определить, что со мной. Стоял вопрос: онкология или туберкулез? Буквально перед операцией пришли анализы — туберкулез. Мне сделали операцию — резекцию верхней правой доли легкого, я перешла на четвертый режим химиотерапии, потому что была устойчивость. Пролежала в больнице практически год и вышла с целым набором осложнений. Почти оглохла на левое ухо, слышу на 30%, у меня до сих пор не проходит кашель и температура, постоянная боль в суставах.

Но медицинские сложности — не единственные, с которыми столкнулась Анна. Болезнь оставила заметный след не только на организме, но и на личной жизни.
— Со мной остались только сын и родная сестра, которые меня не боялись и не боятся. Муж, когда я попала в больницу, сразу подал на развод. Ни о какой поддержке не было и речи. Он белорус, дочь тоже гражданка Белоруссии. Теперь вижу ее один-два раза в год, а так общаемся по WhatsApp. Когда приезжаю в Минск забрать ее, меня даже на порог дома не пускают, родители мужа смотрят на меня, как на ничтожество. Предоставляю мужу справку, что рентген хороший, и снимаю гостиницу до вечера, чтоб дождаться поезда, — рассказывает Анна Воронцова.
Мы, люди, перенесшие туберкулез, — бомба замедленного действия, точно не знаем, когда у нас будет рецидив. Он никак себя не выдает до того момента, как ты в очередной раз не сделаешь снимок. Ведь и слабость, и повышенная температура — мое обычное состояние. Каждый раз, когда дочь находится со мной, нервы напряжены до предела. Она может покашлять из-за простуды, но первая мысль — я заразила.
На самом деле, уверяют врачи, глобально на рецидивы приходится не более 10% случаев, и чаще всего связано это с несоблюдением рекомендаций специалистов. Но часто следовать им у излечившихся просто нет возможности. На период лечения государство предоставляет больным ряд льгот: больничный лист от 9 до 12 месяцев с гарантией сохранения рабочего места, пособие по социальному страхованию, бесплатное лечение, санаторий с оплатой проезда к месту лечения и обратно.
На деле же всё работает не так гладко.
Анна Воронцова, Санкт-Петербург:
«Лекарства действительно мне оплачивали. Путевки получаю с боем, и то билеты в Геленджик я должна купить сама. Устроиться на работу просто невозможно. Ни одно предприятие не берет такого сотрудника. Мне интересно только официальное трудоустройство, потому что нужна гарантия больничного, отпуска, они мне необходимы. Но все видят справки из тубдиспансера и психоневрологического диспансера, где из-за депрессии я тоже стою на учете, и идут отказы. Меня не берут ни уборщицей, ни кассиршей в магазин. Фактически меня, в мои 44 года, содержит сын. Только он вытащил меня из этого ада.

Управу на работодателей найти практически невозможно, поясняет медицинский юрист Андрей Бендер.
— Работодатели вполне могут запрашивать справку из тубдиспансера. Им достаточно внести ее в список пакета документов. Особенно это просто сегодня, в условиях карантинов. Более того, работодатели сегодня стали грамотнее. В официальном отказе такую причину никогда не укажут, это же было бы ущемлением. Мне знаком всего один случай, когда удалось добиться компенсации через суд. У нас в Омске молодой человек, устраиваясь на работу, сообщил, что он — нетрадиционной сексуальной ориентации, и тогда ему отказали. Он выиграл суд, взыскал моральный вред, но это единственный случай за пять лет, — рассуждает эксперт.
Не дыши
Негативные последствия от замалчивания темы ощутят на себе все, уверяют врачи. Кто-то так и не узнает, что он в группе риска, кто-то не проведет своевременную диагностику, а кто-то, оставшись один на один с бедой, не справится с нервным напряжением и не сможет пройти лечение до конца.

— Мне кажется, санитарно-просветительская работа просто необходима. Притом в актуальном виде, а не плакаты, которые видят только посетители поликлиники. Информация должна быть доступна всем гражданам. О важности обследования, о правилах общения с больным. Способы, которые не допустят распространения заболевания в очагах инфекции, в семье, например, есть: от гигиенических процедур до противотуберкулезных препаратов для контактных лиц. Но опять-таки всё это важно объяснять, — уверена Ольга Бережная.
Пока чаще всего такую миссию берут на себя в частном порядке сами больные и врачи. Ольга Бережная, например, создала аккаунт в Instagram, где развенчивает мифы о туберкулезе и отвечает на популярные вопросы. Сами пациенты нередко создают чаты в социальных сетях, чтобы поддерживать друг друга. Но широкого охвата это пока не обеспечивает.
Необходимость внести свой вклад в освещение темы туберкулеза ощутила во время лечения и Полина Синяткина. Информационный вакуум, который образовался тогда вокруг девушки, стал отличной средой для распространения страхов и мифов.

К счастью, рядом с девушкой были близкие люди, которые, несмотря ни на что, ее поддерживали. Но Полина много раз становилась свидетелем проявлений стигмы. Пациенты старались скрыть свой диагноз. Им проще было сказать, что у них воспаление легких и даже рак, но ни в коем случае не туберкулез. По мере того как художница шла на поправку, эта ситуация волновала ее всё больше.
Полина Синяткина, Москва:
Тогда было решено организовать выставку. Это вызвало настоящий информационный взрыв. Как говорит Полина, ее случай — исключение. Ей туберкулез только помог в работе — она наконец-то нашла свое дело. Стала разговаривать о болезни на языке искусства.

Хорошие показатели
Например , в 2018 году было зарегистрировано 1843 больных , в 2019-м — 1600 больных на 2 332 813 здоровых жителей Алтайского края.
Многие не верят в такие цифры. В Алтайском крае профосмотрами охвачен 81% населения , план по стране — 75%. Получается , что мы обследуем больше , а количество больных снижается. Так что это объективно хорошие показатели.
— Это основной скрининговый метод. Он доступен всем. Мы с вами сейчас находимся в туберкулезной поликлинике — очаге инфекции , и звать сюда здоровых людей на профилактические исследования — неправильно. Поэтому профосмотрами занимается общая лечебная сеть , то есть поликлиники по месту жительства.

— Нет , заболеваемость просто можно довести до минимума , но ликвидировать совсем не получится. К тому же показатель смертности остается прежним. Вопрос не в количестве заболевших , а в тяжести и сложности пациентов , в особых формах заболевания.
Нечем лечить
— Дело в том , что у нас становится больше так называемого лекарственно-устойчивого туберкулеза. Микобактерии туберкулеза по своей природе нечувствительны ко многим антибиотикам. Для победы нужен не один и не два антибиотика , а минимум пять разных — такова схема лечения. И бактерия вырабатывает устойчивость.
Например , человек неделю принимает препараты , а потом бросает , потому что стало лучше самочувствие. Или у него вахта началась. Или картошку пора сажать. Или корову покупать. В общем , некогда.
Достаточно прервать лечение на 72 часа , и бактерия начинает производить подобных себе , но на них уже не действуют эти антибиотики.

Посчитаем. На сегодняшний день в арсенале фтизиатров всего 14 различных препаратов. Если туберкулез становится устойчивым , то сразу , как правило , к трем-четырем антибиотикам. Остается 10. На курс лечения надо пять. Если человек опять бросает лечение и бактерии снова приспосабливаются , то к третьему курсу лечить пациента уже просто нечем: его бактерии не боятся ничего.
Конечно , изобретают и новые препараты. Но они пока на стадии клинических исследований. Есть новейшие антибиотики , которые мы используем, — линезолид и бедаквилин. Но их два , а добавлять к двум эффективным три неэффективных недопустимо.
— Сложность в том , что такой человек — носитель бактерии , устойчивой к антибиотикам, — ходячее биологическое оружие. Если он заразит другого человека , у которого никогда не было туберкулеза , то болезнь будет развиваться уже сразу в устойчивом виде. И доля таких больных , изначально устойчивых , высока — 30% от общего числа впервые выявленных.

Вопрос новых технологий и быстрой диагностики той или иной формы туберкулеза — чувствительной или устойчивой — стоит очень остро. Сейчас это можно сделать всего за два часа , но только в Барнауле , где есть аппарат ПЦР-диагностики.

Вот сегодня был пациент из Смоленского района. Надо , чтобы он в Бийске мог сдать такие анализы. Люди едут из Кулунды , из Славгорода в общем транспорте.
Конечно , у нас есть система маршрутизации , когда мы доставляем биоматериал на анализ из районов в краевой центр. Но вы же видели , что в декабре творилось на трассах. Была одна пациентка , ей направление к фтизиатру дали 12 декабря , а выехать из села она смогла только сейчас , в середине января , потому что замело все.
Сегодня разработан план , по которому до 2024 года все ключевые точки на периферии края будут оснащены ПЦР-оборудованием: Бийск , Рубцовск , Славгород.
— Здесь возникает вопрос приоритетов интересов пациента. Если человек живет в деревне один и имеет хозяйство , никто не вправе его насильно забрать в стационар , даже если у него открытая форма. Если он согласен лечиться под контролем по месту жительства , мы не имеем права отказать.

Мы начинаем лечить человека там , где ему удобно , через несколько недель он перестает быть заразным. Есть четыре районные туберкулезные больницы и диспансеры в крупных городах края , так что пациент может лечиться рядом с домом. Это правильнее , чем заставлять его ехать в стационар в Барнаул.
На периферии не нужна высококвалифицированная помощь. Речь идет только об изоляции пациента и выдаче ему препаратов.
Если же мы понимаем , что пациент не лечится и при этом представляет социальную и эпидемиологическую угрозу , то его госпитализируют принудительно через прокуратуру по решению суда.
Ничего не болит
— Туберкулезной микобактерии надо размножаться. Любимая ее температура +37…+38° C. При прогрессировании ткани поражаются некрозом и перестают функционировать. Размножаясь , палочка выделяет токсины и отравляет организм хозяина.

Туда почти не может проникнуть антибиотик , но заболевание остается. В этом случае нужно оперативное вмешательство. Организм — умница , он справился с опасностью , вы себя хорошо чувствуете , а на снимке — пятно. Если не удалить , то туберкулома может лопнуть , это такая пороховая бочка.

— Легкое состоит из долей , доли из сегментов. Этот орган никогда не работает в полную силу. У обычных людей жизненная емкость легких — 3,5 литра , у спортсменов может быть и 6. Значит , скрытые резервы есть всегда. Если мы уберем один сегмент , а у вас их 10 , то , поверьте , вы будете дышать , бегать и прыгать как раньше. В этом нет ничего страшного. Мы убираем то место , которое и так не работает.

И если человек пару лет уже так чахнет , то , скорее всего , он еще в прошлом году всех окружающих перезаразил , а парочку неокрепших организмов и в этом году успел.
Факт
Больная чахоткой девушка в XIX веке признавалась первой красавицей: тонка и изящна , бледна и задумчива , у нее совершенно очаровательный чахоточный румянец и аристократический блеск глаз. Конечно , когда температура держится месяцами , глаза будут блестеть , а румянец пылать.
Своя личная палочка
— Детки все рождаются стерильными в плане иммунитета от любой инфекции. Им ставят прививку БЦЖ ( ваш небольшой шрам на предплечье), искусственно вводя туберкулезную палочку и вырабатывая тем самым иммунитет , чтобы ребенок в первые годы смертельно не заболел.

После трех лет искусственный иммунитет угасает и начинается приобретение своего собственного. В это время ребенок буквально выходит в открытый космос — в торговые центры , на детские площадки , в транспорт , где нужно все срочно облизать и , конечно , дышать при этом полной грудью от счастья.
Это чудесно: дитя приобретает знания. А вместе с ними и микобактерию туберкулеза. Если с иммунитетом все хорошо , ничего не произойдет , и болезнь не разовьется. Но с 10−15% детей это все же происходит. Поэтому важна консультация детского фтизиатра , который назначит профилактику.

— Есть такая страшилка , да. Но это неправда. Правда — это когда вы больше 8 часов на работе сидите рядом с коллегой , у которого открытая форма туберкулеза , в непроветриваемом помещении. Он кашляет , а вы с ним еще и поели из одной мисочки , и попили из одной чашечки.
В общем , должен быть тесный контакт восприимчивого организма с очень сильным микробом.
Сейчас болезнь — это вопрос не столько даже длительности контакта. Бывают семьи , где у одного человека туберкулез в открытой форме и он умирает ( мы еще год и после смерти наблюдаем всех домочадцев), но больше никто не болеет. Это зависит как раз от восприимчивости организма , от иммунитета.

Генная инженерия
— ВИЧ и туберкулез поражают одни и те же клетки — CD4-лимфоциты. Это основные охранники организма. По последним данным , риск заболеть у ВИЧ-инфицированных в 59 раз больше , чем у здоровых людей. И умирают они чаще всего именно от туберкулеза.
Это тяжелые пациенты: у них , как правило , еще и гепатит С , и гепатит В , и кандидозы , и нарушения пищеварительной системы. И самое страшное , что одномоментно поражается несколько систем организма: легкие , лимфоузлы , головной мозг. Фактически это туберкулезный сепсис — микобактерия несется по кровеносному руслу без всяких преград.
— Сегодня из сферы внутривенного употребления наркотиков ВИЧ переходит в половую сферу , именно так он передается чаще всего в последние годы. И больше становится семей , где один из супругов здоров , а второй по пути с работы прихватил ВИЧ. Может , и еще что-нибудь прихватил , но все остальное хотя бы успешно лечится , даже гепатит С.

Факт
— Все , у кого иммунитет еще не сформировался или снижен , даже искусственно. Например , сейчас врачи пользуются новыми препаратами для лечения тяжелых недугов — гормоны , цитостатики. Они резко и сильно снижают иммунитет. У нас даже образовалась новая группа риска — пациенты , принимающие генно-инженерные биопрепараты.
Таким больным нужна ранняя диагностика скрытой туберкулезной инфекции. То есть у человека могут быть чистые легкие , но иммунологический тест показывает , что туберкулез просыпается. И тогда необходима профилактика , чтобы не допустить его развитие. Еще три года назад мы про это не думали и не знали.

За государственный счет
— Лечение стоит от 350 тыс. рублей до 1,3 млн в год на одного пациента. Я говорю только о препаратах. Сюда не входит диагностика , работа врачей , медсестер , лаборантов и прочее. Один день пребывания в стационаре , где придется провести недели , а то и месяцы , обходится в 1500 рублей и выше.
Препараты для пациентов бесплатные , поскольку туберкулез — это одно из так называемых социально значимых заболеваний. О нас заботится Минздрав РФ , одобряя краевые заявки на дорогостоящие препараты , оплаченные из бюджета страны , и региональный минздрав — закупая очень дорогой линезолид для лечения особых форм.
Тут , к сожалению , есть обратная зависимость: чем дороже лечение , тем меньше человек хочет лечиться. Ну , вот если у вас , например , гипертония , терапевт выписывает несколько таблеток , вы идете и тратите огромные деньги в аптеке.

Конечно , вам жалко потраченного и вы будете принимать препараты как надо. А лекарства от туберкулеза вам выдадут бесплатно. Так что вам все равно , что упаковка стоит 6−9 тыс. рублей на 10 дней лечения. Это же не из вашего кошелька.
— Туберкулез у курильщиков развивается в 80 раз чаще. Вот приходит пациент и говорит , что не курит. А бросил только вчера — от страха , когда узнал результаты флюорографии. Надо было сделать это раньше.
Чаще всего заражение происходит воздушным путем. У наших дыхательных путей есть большая и сложная система защитных механизмов , которые противостоят возбудителям инфекции. Мы откашлялись , отсморкались — и пыль вышла.

Я по долгу службы , работая в недалеком прошлом в стационаре , часто присутствовала на вскрытиях туберкулезных пациентов. Так вот я вам скажу , что картинки , которые в качестве антитабачной рекламы распространяют и на пачках сигарет рисуют — сущая ерунда по сравнению с тем , что в легких есть на самом деле. Все гораздо страшнее.
Нам всем необходима эмоциональная стабильность и отсутствие стресса , кажется , в сегодняшней действительности это недостижимые вещи , но все же давайте будем позитивными в восприятии мира и себя в нем.
Читайте также:


