Гематома мягких тканей рентген
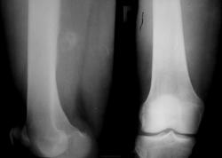
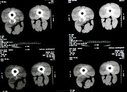
Молодая женщина 25 лет. Жалобы на боли по задней поверхности бедра. Травма была. но этой зимой. По некоторым мнениям - обызествленная гематома.
Материалы представленые. Оригинала КТ нет.
![]()
 ![]()
 ![]()
![]()
 ![]()
![]()
![]()
![]()
Что скажете, коллеги?








![]()
Действительно, по R-грамме производит впечатление обызвествлённой гематомы. Я не занимаюсь КТ, но на представленных сканах это образование по плотности как кость ( оссифицирующий миозит?). Не знаю, возможно ли это в ваших услових, но можно рекомендовать УЗИ области бедра.
![]()
По вот этому срезу у меня складывается впечатление, что этот участок связан с костью - экхондрома? параоссальная хондрома? образование мягких тканей (фиброма)? Мне кажетс, что для того, чтобы обызвествилась гематома травма должна быть давненько, поэтому для меня обызвествленная гематома под большим вопросом.
![]()
![]()
. для того, чтобы обызвествилась гематома травма должна быть давненько, поэтому для меня обызвествленная гематома под большим вопросом.
Абсолютно с Вами согласен, уважаемая Фаина. для меня она тоже - под большим вопросом. потому и прошу помощи. честно говоря большого собственного опыта работы с опухолями костей у меня нет. не та специфика учереждения.
![]()
Действительно, по R-грамме производит впечатление обызвествлённой гематомы. Я не занимаюсь КТ, но на представленных сканах это образование по плотности как кость ( оссифицирующий миозит?). Не знаю, возможно ли это в ваших услових, но можно рекомендовать УЗИ области бедра.
1. УЗИ сегодня должны были делать. и пункционную биопсию одновременно. о результатах доложу.
2.Если это обызествленная гематома то. к чему реакция периоста, да еще и ТАКАЯ. да и мягкотканный компонент присутствует вокруг.

Гематома мягких тканей – это полость, образовавшаяся в результате травмы и заполненная кровью или сгустками. Возникает при излитии крови в ткани из поврежденного сосуда. Представляет собой плотное или флуктуирующее опухолевидное образование, болезненное при пальпации, сопровождающееся отеком и изменением цвета кожи. При глубоком расположении проявляется нарушением формы и локальным увеличением объема пораженного участка. Патология диагностируется на основании жалоб, данных анамнеза и внешнего осмотра. В сомнительных случаях назначается ультрасонография. Лечение – местные консервативные мероприятия, в тяжелых случаях показано вскрытие, дренирование.
МКБ-10


- Причины
 - Патогенез
 - Классификация
 - Симптомы
 - Осложнения
 - Диагностика
 - Лечение гематомы мягких тканей
 - Прогноз и профилактика
 - Цены на лечение
 
Общие сведения
Гематома мягких тканей – распространенное патологическое состояние в современной травматологии. Может выявляться в области конечностей, лица или туловища, быть небольшой или обширной, располагаться подкожно, внутримышечно, подфасциально, под слизистой оболочкой. Мелкие поверхностные гематомы чаще обнаруживаются в области пальцев рук, обширные скопления крови – в зоне нижних конечностей (голени и бедра). Небольшие образования нередко рассасываются самостоятельно. При попадании инфекции наблюдается нагноение. Патология диагностируется у всех групп населения, отмечается некоторое преобладание людей с высоким уровнем физической активности (детей, молодых мужчин).
Причины
Гематомы могут обнаруживаться при любых видах травматических повреждений (автодорожных, производственных, падениях с высоты и пр.), но наиболее распространенной причиной их образования является бытовая травма. Патология обычно возникает после прямого удара при ушибе, может формироваться вследствие интенсивного сдавления, разрыва сосуда при переломах, вывихах и других повреждениях. Предрасполагающими факторами, увеличивающими вероятность развития данного состояния, являются заболевания, сопровождающиеся нарушениями со стороны свертывающей системы крови и повышенной хрупкостью сосудистой стенки.
Патогенез
Часть крови пропитывает ткани, поэтому в дальнейшем наблюдаются цикличные изменения цвета кожных покровов, обусловленные распадом эритроцитов с образованием гематоидина и гематосидерина. Вначале место повреждения становится багровым или багрово-синюшным, позже приобретает зеленоватый, а затем желтоватый оттенок. При глубоких гематомах цвет кожи может оставаться неизмененным.
В последующем гематома либо рассасывается, либо длительно сохраняется, претерпевая ряд последовательных изменений, завершающихся рубцеванием. При вскрытии свежих образований кровь алая, вязкая, густая, иногда желеобразная, что объясняется активностью факторов свертывания. Позже в полости обнаруживаются либо старые сгустки, либо темная жидкая лизированная кровь. При опорожнении застарелых гематом сгустки могут быть твердыми, образовывать цельную массу, плохо отделяться от окружающих тканей, что связано с начавшимся процессом рубцевания и перерождения в фиброзную ткань. Инфицированные полости заполнены серозным или гнойным содержимым.
Классификация
Систематизация осуществляется по нескольким признакам. Целью деления на группы является оценка тяжести патологии, выбор лечебной тактики, определение необходимости проведения хирургического вмешательства и наиболее вероятного прогноза. В клинической практике различают следующие виды гематом:

Симптомы
Первыми проявлениями патологии становятся боль и местный отек. Характерным отличием гематомы от других травм мягких тканей на ранней стадии является более выраженная ограниченность припухлости, отсутствие постепенного перехода от отечных структур к неизмененным. В последующие часы отек начинает распространяться. Болезненность усиливается, движения ограничиваются из-за боли. Пациенты предъявляют жалобы на ощущение давления или напряжения в пораженной зоне. При поверхностном расположении гематомы кожа становится синюшно-багровой. При глубокой локализации полости может выявляться локальная гиперемия кожных покровов, иногда цвет кожи не изменяется.
При пальпации на начальном этапе флуктуация обычно отсутствует, определяется уплотнение и резкая болезненность. После формирования ограниченной полости, содержащей жидкую кровь, выявляется положительный симптом зыбления. Вначале пораженная область при ощупывании напряженная, после спадания отека плотность тканей может снижаться. При благоприятном течении припухлость постепенно уменьшается в размере и исчезает, при неблагоприятном – сохраняется в течение длительного времени, вызывает болезненность при движениях.
Осложнения
Основным возможным негативным последствием гематомы мягких тканей является ее нагноение с образованием абсцесса. Осложнение чаще обнаруживается при сопутствующих повреждениях кожных покровов. При попадании инфекционных агентов в полость образования болевой синдром усиливается, отмечается локальная гиперемия и гипертермия, присоединяются симптомы общей интоксикации. В отдельных случаях возможно распространение гнойного процесса с формированием флегмоны или развитием сепсиса.
Диагностика
Диагностика осуществляется врачом-травматологом. При отсутствии признаков поражения костей и суставов дополнительные исследования обычно не требуются, диагноз выставляется с учетом данных анамнеза (наличие свежей травмы с характерным механизмом), жалоб больного и результатов физикального обследования. При глубоко расположенных гематомах для оценки тяжести повреждения и дифференцировки с ушибом может назначаться УЗИ мягких тканей. При сопутствующем поражении твердых структур выполняется рентгенография соответствующего сегмента. Кроме ушиба дифференциальную диагностику иногда приходится проводить с переломами, надрывами связок и мышц, реже – с синдромом позиционного сдавления, острым миозитом, ишемией при тромбозе сосуда мелкого или среднего калибра и некоторыми другими состояниями, сопровождающимися плотным локальным отеком.

Лечение гематомы мягких тканей
Лечение обычно осуществляется амбулаторно, тактика определяется тяжестью процесса и временем с момента травмы. При свежих повреждениях конечности придают возвышенное положение, прикладывают холод (грелку с холодной водой, пакеты со льдом, завернутые в полотенце), накладывают давящую повязку для уменьшения кровотечения. После организации небольших образований назначают УВЧ, применяют теплые грелки для ускорения рассасывания. Небольшие поверхностно расположенные гематомы вскрывают в условиях травмпункта. При крупных и глубоких полостях, появлении признаков инфицирования показана госпитализация в травматологическое отделение, вскрытие и дренирование на фоне антибиотикотерапии. При неинфицированных гематомах после вскрытия рекомендовано тугое бинтование для устранения полости и ускорения заживления.
Прогноз и профилактика
Прогноз обычно благоприятный. Большинство гематом рассасывается самостоятельно в течение 2-3 недель. Средний срок нетрудоспособности после вскрытия полости составляет около 2 недель, исходом становится полное выздоровление. При отсутствии лечебных мероприятий возможно образование массива фиброзной ткани (рубца) с формированием внешнего дефекта. При наличии инфекции сроки лечения и прогноз могут колебаться, зависят от тяжести процесса. Профилактика включает предотвращение травм и раннее обращение за медицинской помощью при получении повреждений.
Ушиб – типичный вид повреждения мягкой ткани, который образуется вследствие механического воздействия на тело человека. Хотя особого изменения кожного покрова не наблюдается, происходит определенная трансформация тканей. В результате ушиба лимфатические и кровеносные сосуды дают ответную реакцию, происходит кровоизлияние, а далее непосредственно в месте ушиба появляется гематома.

Каковы признаки и лечение гематомы мягких тканей, в каких случаях можно обойтись домашними методами, а когда нужно обязательно обратиться к врачу?
Гематома и ее виды
Итак, гематома – это возникшее в результате травмы скопление свернувшейся или жидкой крови, находящиеся в мягких тканях. Гематомы могут быть различных размеров, все зависит от объема излившейся под кожу крови. Как правило, небольшого размера гематомы рассасываются самостоятельно, но главным последствием приобретенного ушиба будет нарушение привычной целостности крупных сосудов. Это, в свою очередь, может стать причиной сильного кровотечения, порой и внутреннего кровотечения с появлением тромба, что приведет к опасному ухудшению состояния организма человека.
Существует несколько разновидностей гематом:
- По расположению: подкожные, подслизистые, межмышечные гематомы, отдельно выделяют области образования гематом во внутренних органах и полости черепа.
 - Непульсирующие и пульсирующие.
 - По состоянию крови: свернувшиеся, несвернувшиеся, инфицированные и нагноившиеся.
 - С учетом клинических особенностей: диффузные, ограниченные и осумкованные гематомы.
 
Причины и симптомы гематомы мягких тканей
Ушибы мягких тканей появляются вследствие повреждений механического характера, то есть в результате ушиба, удара, защемления, которое влечет за собой проявление посттравматического внутреннего кровотечения. Исключением из общего правила может быть субарахноидальное кровоизлияние, которое возникает не столько из-за травмы, а в результате нетравматического повреждения неизмененного сосуда. Небольшие гематомы могут развиваться и в результате заболевания внутренних органов человека.
Итак, ушиб - основная причина. И лечение гематомы мягких тканей, и диагностика, кстати, в зависимости от тяжести практически не различаются.

К числу факторов, которые сказываются на частоте развития и объеме гематомы также можно отнести: нарушение проницаемости сосудов, значительную хрупкость сосудистой стенки, а также ухудшение свертываемости крови. Вероятность нагноения гематомы будет увеличиваться, если иммунная система пациента не в порядке, то есть вследствие истощения или хронических заболеваний организма.
Симптомы гематомы мягких тканей следующие:
- В любом случае ушиб будет сопровождаться резкими, ноющими болевыми ощущениями. Дело в том, что при ушибе затрагиваются нервные окончания и под сильным воздействием развивается отек.
 - Постепенно в месте получения травмы будет образовываться опухоль и начнется покраснение.
 - Далее в самой области полученного ушиба начинает появляться довольно выраженный отек, при этом происходят и подкожные кровоизлияния.
 - Если произошел ушиб мягких тканей головной области, подкожное кровотечение прекратится, как правило, через 2-5 минут. Сосуды в этой области достаточно мелкие, но в наиболее опасных случаях без медицинской помощи можно и не обойтись, кровотечение будет продолжаться целые сутки.
 - Сам оттенок гематомы зависит от срока получения ушиба или травмы. В багровый оттенок окрашиваются новые, свежие повреждения. Должно пройти трое суток, после чего место удара будет приобретать желтый цвет.
 
Степень тяжести гематомы
Гематому мягких тканей очень часто на первый взгляд принимают за обычный синяк. Ярко-красным цветом отличается артериальный ушиб, а венозная гематома имеет фиолетовый оттенок. На практике же чаще всего встречаются смешанного типа ушибы, в гематоме содержится артериальная и венозная кровь.
Существуют различные степени тяжести заболевания:
- Легкая степень гематомы мягких тканей. Сформировывается в течении дня после получения ушиба. В области травмы ощущаются не очень сильные болевые ощущения. Как правило, такая гематома рассасывается в течение нескольких суток самостоятельно, не нарушая функций организма.
 - Средняя степень гематомы мягких тканей. В таком случае гематома образовывается в течение нескольких часов после получения травмы. При этом образовывается припухлость, повреждение сопровождается умеренными болевыми ощущениями. Частично нарушается работоспособность конечностей организма. Для лечения заболевания и разработки курса реабилитации необходимо немедленно обратиться к травматологу.
 - Тяжелая степень гематомы мягких тканей. Гематома сформируется через час после получения травмы. Наблюдается нарушение функций конечностей и сильные болевые ощущения в области полученной травмы. Необходимо немедленно обратиться в медицинское учреждение для составления курса лечения и назначения симптоматической терапии.
 
Оттенок кожи после ушиба
При любой степени тяжести заболевание сопровождается появлением плотной и болезненной припухлости. Вначале кожа в районе повреждения имеет багровый оттенок, затем приобретает синие очертания. Через пару дней кожа становится желтого цвета, а через 5-6 – зеленоватой. Такое изменение цветовой гаммы характеризуется распадом гемоглобина в организме человека. На начальном этапе также гематома может немного смещаться вниз под действием силы тяжести.
Диагностика гематомы мягких тканей
Диагностика в медицинских учреждениях гематомы мягких тканей не вызывает труда. Дополнительные меры, например, рентген, могут понадобиться при обнаружении более серьезного вида травмы, болезненных симптомов. Лечение гематомы мягких тканей в таком случае назначит врач.
Заняться самолечением или обратиться к специалисту для лечения гематомы мягких тканей?
Привлечение врачей необходимо в том случае, если вы получили тяжелые травмы мягких тканей с сильным кровоизлиянием и оттеком кожных покровов, что приводит к нарушению двигательных функций организма. Помните, что даже, казалось бы, простой ушиб может привести к скоплению крови и образованию сгустков в суставах, поэтому нужно обращаться в медицинское учреждение немедленно. Медики определят степень тяжести повреждения и назначат лечение ушибов и гематом мягких тканей.

Однако очень часто вследствие ушиба образуется гематома легкой степени, которая позволяет справиться с недомоганием и в домашних условиях. Без помощи медиков можно обойтись в следующих случаях:
- если образуется небольшая опухоль, которая не мешает движениям;
 - ощущаются несильные болевые ощущения, которые дают о себе знать лишь при прикосновении к травмированному участку;
 - при сохранении привычного оттенка кожи;
 - если в течение недели гематома уменьшается в размерах, болевые ощущения прекращаются.
 
В большинстве случаев при получении ушибов мягких тканей необходимости обращаться к специалистам в медицинское учреждение не требуется. В первую неделю после получения травмы пострадавшему необходимо время от времени прикладывать холод к поврежденному участку тела. Можно использовать мазь или гель.
Лечение гематомы мягких тканей в домашних условиях
Через пару дней после выявления легкой степени заболевания можно начинать первые реабилитационные мероприятия. Когда гематома окончательно сформировалась, нужно начинать проводить комплекс лечебных процедур:
Для домашнего лечения также подойдет гепариновая мазь либо другая, например, с бодягой или гирудином. Необходимо наносить мазь три раза в течение суток для ускорения рассасывания гематомы.

Самое эффективное народное средство от синяков – это компресс из бодяги. Для его приготовления нужно смешать две столовые ложки порошка из бодяги с четырьмя столовыми ложками воды.
Подкожные и внутримышечные синяки вполне можно ликвидировать без помощи специалистов. Основное, что нужно помнить при первой помощь при ушибах – прикладывать лед стоит не более чем на десять минут. Неоднократное повторение этого действия поможет сузить сосуды, предотвратить отек и уменьшить объем кровоизлияния. Если были повреждены мягкие ткани конечностей, то стоит наложить временную тугую повязку.
Стоит заметить, что если в течение недели болевые ощущения в травмированном участке только усиливаются, кожа около ушиба интенсивно изменяет свой оттенок, а температура тела поднимается, то необходимо обратиться в больницу, скорее всего под кожу попала инфекция. Специалист в медицинской клинике вскроет и очистит гематому. Врач также назначит лечение гематомы мягких тканей и суставов.
Также возможны нарушения движений, развитие некроза, что является результатом сдавливания нервов. Тогда нужно немедленно обратиться в неврологический либо хирургический стационар. Очень внимательно следите за тем, чтобы данная процедура прошла профессионально и стерильно.
Первая помощь при гематоме
Первая помощь при ушибах предполагает наложение холодного компресса на травмированную область. Что это дает? Низкая температура не только поможет уменьшить боль в травмированном участке кожи, но и позволяет уменьшить кровоизлияние.

На пораженную часть кожи можно приложить небольшой кусочек ткани, вымоченный в холодной воде, охлажденный металлический предмет или же маленькие кусочки льда.
Спустя несколько часов после получения травмы следует наложить давящую повязку на поврежденный участок мягкой ткани. Лечение гематомы мягких тканей после ушиба предполагает, что давящая повязка не должна быть сильно затянута. Носить ее нужно в течение нескольких суток после наложения.
Лечение тяжелой степени гематомы мягких тканей
Для ускоренного выздоровления и профилактики опасных осложнений гематомы нужно вскрывать. Порой такие операции необходимо проводить и при небольших размерах гематом. Только лечащий врач может определить степень запущенности болезни и назначить вскрытие при помощи хирургического вмешательства. Как правило, эффективное лечение неинфицированных гематом входит в компетенцию травматологов. А хирурги помогают при инфицированных гематомах мягких тканей.
Гематомы небольших размеров специалисты могут вскрыть в амбулаторных условиях. При повреждении мягких тканей большей степени сложности необходима госпитализация больного. Операция в медицинском учреждении проходит, конечно, под действием сильного обезболивающего.
Врач делает разрез гематомы, удаляет из организма кровяные сгустки или жидкие участки крови, и промывает поврежденную полость. При неинфицированной гематоме мягких тканей рану после операции зашивают, саму рану осушают от жидкости с помощью резиновой трубки и туго перебинтовывают. Швы снимают через 10 дней со дня операции. При инфицированной же гематоме рану тоже дренируют, но швы при такой операции не накладываются.

В послеоперационный период при инфицированной и неинфицированной гематоме мягких тканей назначаются антибиотики. Лечение гематомы после ударения мягких тканей с заражением предполагает также массажи и специальные процедуры. Лекарственная терапия не понадобится при удалении маленьких неинфицированных гематом мягких тканей.
Массаж – отличное средство для профилактики и лечения
Почему медики рекомендуют такое средство? Ежедневный массаж после полученных травм помогает ликвидировать ушиб мягких тканей. Очень индивидуальны сроки, когда можно прибегать к данному средству, зависит все от глубины поражения тканей и обширности гематомы.
При недавнем повреждении рекомендуют делать только легкие воздействия на участки около поврежденной области. Лучше, если лечение гематомы, ушибов мягких тканей и суставов массажем, будет контролировать специалист. Такой способ позволяет сократить срок восстановления организма и быстро вернуть конечностям обычные функции, снизить болезненные ощущения и ускорить рассасывание гематомы.
В качестве основного приема массажа при гематоме мягких тканей следует использовать легкие поглаживания в зоне ушиба. Выполнять их советуют пару раз в день по пять-восемь минут. Для большей эффективности желательно выполнять это действие совместно с растиранием кожи вокруг травмированной зоны. По мере того как область опухоли будет уменьшаться, нужно производить указанные действия как можно ближе к ушибленной части тела.
При снижении болевых ощущений, повышении температуры и прочих негативных факторов, следует после 5-6 дня массажа переходить уже на травмированную часть. Помимо уже изученных приемов стоит добавить разминание участков выше места формирования отека и гематомы.

Интенсивность и силу воздействия на ткани нужно увеличивать от сеанса к сеансу. После недели стоит добавлять в массаж тепловые мероприятиями, то есть накладывать на болезненные участки горячий парафин или прогревать водяными ванночками.
Фактически во всех случаях ушиб мягких тканей не рассматривается как тяжелая травма, но исключение из правил могут составлять те случаи, когда происходит продолжительное сдавливание нервов и мелких сосудов организма.
Современная наука не стоит на месте и совершенно очевидно, что появились более точные и безопасные методы выявления заболеваний. Но, несмотря на это рентгенологическое исследование, по-прежнему занимает почетное место в области диагностики. Особенно часто такую процедуру используют при травмах, при обследовании молочных желез и дыхательных органов.
Как правило, рентгеновские лучи плохо проходят через мягкие ткани, но существуют ситуации, когда с помощью рентгена необходимо обследовать мягкие ткани: лицо, шею, ребра, бедра или ноги.
Когда необходима рентгенография мягких тканей лица
Если нет возможности использовать более точные методы диагностирования, как УЗИ или МРТ, врачи часто назначают провести рентген мягких тканей лица. С помощью такого исследования выявляются воспалительные процессы в окружающих череп тканях, обнаруживаются кисты и новообразования.
Часто рентген лица или щек назначается при подозрении на наличие стоматологических проблем. В современных клиниках используют портативные рентгенологические аппараты, которые позволяют делать снимки прямо в стоматологическом кресле.
На основе рентген-снимка лечащий врач может точно поставить диагноз, основываясь на характерных конкретному заболеванию затемнений, полос или пятен.

рентгенография мягких тканей лица
Особенности проведения рентгена мягких тканей шеи
Шея – самый подвижный, но наиболее подвержен к травмам, отдел позвоночника. Артриты, артрозы, остеохондрозы, грыжи – это малый список заболеваний, которые могут осложнять жизнь пациентам.
Рентгенография шеи проводиться по всей ее поверхности. Несмотря на то, что рентген- излучение лучше задерживается в твердых тканях, чем в мягких врач-рентгенолог может выявить патологические процессы повсеместно. На снимке кости и хрящи отображаются светлым оттенком, а окружающие ткани – темным.

рентген мягких тканей шеи
Несмотря на простоту и доступность рентгенологического метода, необходимо помнить о лучевой нагрузке и существующих сложностях обследования и интерпретации состояния мягких тканей.
Рентген мягких тканей ребер: проведение и расшифровка
Рентген-диагностика ребер чаще всего требуется при травмах, ушибах и переломах. Для получения достоверного результата повреждений рекомендуется проводить обзорную рентгенограмму. Такая проекция позволяет сосчитать точное количество сломанных ребер, места переломов и оценить состояние окружающих мягких тканей.

Помимо оценки состояния ребер на рентген-снимке визуализируются все органы грудной клетки. Не редки ситуации, когда подтверждается норма рентгена мягких тканей ребра, а в соседних органах выявляется какая-либо патология.

Рентген мягких тканей ребер
Что показывает рентген-снимок мягких тканей ноги
Очень часто при обследовании нижних конечностей выявляются серьезные изменения в мягких тканях ног. Не только кости и суставы могут быть причиной болей и плохого самочувствия, но и мышцы, сосуды, сухожилия и связки.

рентген-снимок мягких тканей ноги
Рентген мягких тканей ноги позволяет обнаружить инородные тела, которые мешают полному функционированию конечностей. На снимках отлично определяются оститы бедер, обызвесткованиебедренных мышц, кальцинозы сосудов стопы, гематомы мягких тканей коленных суставов и так далее.
Рентгенографическое исследование позволяет комплексно обследовать беспокоящую пациента область. На рентген-снимке визуализируются воспалительные процессы, новообразования, гематомы в окружающих кости и хрящи мягких тканях.
Читайте также:



