Холотропное дыхание спазм мышц
Вопросы Мастеру - Холотропное дыхание
Вопрос:
У меня следующий вопрос.
Я посетил 18 сессий холотропного дыхания по 1-1.5 часа и не получил (заметил) ожидаемого результата - каких либо изменений в мировосприятии и мироощущении. У меня заметно снялись (ушли) мышечные зажимы.
Мне интересно ваше мнения (как сертифицированного специалиста) - так и должно быть или это результат неправильно проведенных сессий, или это результат неправильно прожитых сессий, или мои ожидания не соответствуют используемой технике.
Выскажите пожалуйста Ваше мнение.
И еще ,что для холонавта должно быть признаком действительно правильно проходящей сессии. Я понимаю что у всех по разному и причем от сессии к сессии, но все же. для оценки результата нужен какой-то признак. Есть ли что либо такое?
Ответ:
Постараюсь ответить на ваши вопросы, исходя из очень недостаточной информации, предоставленной Вами.
Во-первых, важно, у кого Вы прошли эти 18 сессий дыхания. И на самом ли деле это холотропное дыхание. Возможно, Вы участвовали в сессиях ребёфинга - а это совершенно другая методика.
Я Вам опишу классический формат сессий холотропного дыхания, и если нет какого-либо из элементов, то это не холотропное дыхание, а что-то другое.
Процесс проходит в группе. Для полного эффекта всего процесса холотропного дыхания количество участников должно быть не менее 10 человек.
Сертифицированный ведущий. Если в СНГ, то сертифицирован либо у Владимира Майкова, либо у Ани Цымбалюк, либо у Тани Белявской. Либо самим Грофом, в СНГ других специалистов, сертифицированных самим Грофом пока нет.
Работа в парах. Обязательна очерёдность дыхания в парах холонавт - ситтер, то есть Вы должны быть и в роли холонавта, и в роли ситтера в течение семинара как минимум два раза.
Музыка. Фонотека, которая используется в процессах холотропного дыхания, воспроизводится на аппаратуре класса Hi - Fi с диапазоном воспроизводимых частот 20 - 20 000 Гц. Мощность колонок из расчёта 1Ватт на 1 м.куб. Например, для спотрзала площадью 70 - 100 м.кв. и высотой потолка 4 м. мощность акустики должна быть не менее 200 Ватт на один канал. Фонотека - или разработанная Кайлии Тейлор, или Владимиром Майковым. В СНГ пользуется популярностью и очень удобна для применения фонотека, разработанная Майковым.
Само дыхание. Более глубокое и более быстрое дыхание без пауз (то есть связное). То есть дышать так, чтобы не было пауз между вдохом и выдохом, и выдохом и вдохом. В таком интенсивном формате дышать не менее 40 мин. Ситтер напоминает холонавту продолжать дышать дальше, если холонавт останавливается раньше времени. Даже если необычные переживания или телесные симптомы появились сразу, всё равно продолжайте дышать.
Работа с телом. Иногда в начале сессии дыхания при активации горлового блока (удушье) применяется специальная техника отреагирования. В основном работа с телом холонавта проводится на завершающих стадиях дыхания. В Вашем случае работа с мышечными зажимами нужна была до полного расслабления этих областей в теле. Эта работа может продолжаться от нескольких минут до нескольких часов. Например, на семинаре у Грофа я был свидетелем того, что с одним участником семинара команда работала с телесными блоками в течение нескольких часов. Буквально, мы начали процесс холотропного дыхания в 10 часов утра, а с этим холонавтом команда работала до 16 часов. Хотя само дыхание продолжалось приблизительно два с половиной часа.
После дыхания обязательно рисуются мандалы. Это неотъемлемая часть интеграции необычных состояний сознания. Словами не выразишь то, что можно спроецировать на бумагу в виде рисунка. Рекомендуется эти рисунки сохранять для последующей работы: например, для арт-терапии, для дальнейшего анализа, для медитаций. В некоторых рисунках можно увидеть предстоящие изменения в жизни. То есть не только то, что было во время процесса или в прошлой жизни, а что можно ожидать на предстоящих сессиях холотропного дыхания или в повседневной жизни.
Теперь о характере мышечных зажимов. Вообще любой телесный симптом, активизирующийся во время холотропного дыхания, это и есть активация СКО по Грофу. И на поверхности осознавания как раз телесные симптомы Вашей сознательной проработки во время дыхания. Пока не исчерпается эта накопленная энергия в дыхании, Вы не пройдёте свой сенсорный барьер. Если у Вас были карпопедальные спазмы в руках, то у Вас, возможно, за этим телесным блоком скрывается глубокий психологический конфликт с самим собой из-за сдерживаемой агрессивности или неудовлетворённой сексуальности. При чём, это не обязательно паталогические проявления Вашего характера. Иногда наличие этих спазмов - результат неосуществлённых творческих импульсов. Например, рисование, резьба по дереву или кости, лепка из глины, игра на музыкальных инструментах, писательство. В конце концов это могут быть подавленные таланты стилиста, визажиста, мануального терапевта.
Другая группа психологических затруднений, приведшая к этим спазмам в руках - это следствие перенесённых в прошлом травм или операций. И если травма залечена только анатомически, и не перепрожита эмоционально, она остаётся как незавершённый гештальт. Часто при этом (то есть во время холотропного дыхания) дополнительно к карпопедальным спазмам напрягаются мышцы лица, особенно вокруг рта, напоминающие сосательные движения младенца, или иногда втягивается нижняя губа. При этом холонавту вообще не удаётся ничего сказать. У нас на семинаре был такой дышащий с подобными симптомами, который обратился с просьбой не в рамках семинара проработать свою проблему. Но это уже совершенно другой подход, и требует индивидуально разработанной программы. В его случае (он прошел 16 индивидуальных сессий холотропного дыхания и два семинара) существенно изменилась профессиональная карьера, до этого он пытался выбрать между профессией моряка и занятием психологическим консультированием. В итоге он решил остаться моряком и теперь он ушел в рейс "под флаг" старпомом, хотя ему всего 29 лет!! Но "продышать" ему пришлось "конкретно".
Как мы показали ранее, терапевтические подходы и духовные практики, использующие различные дыхательные техники для вызывания холотропных состояний сознания, представляют собой эффективные методы лечения психосоматических расстройств. Однако они также приносят важные новые прозрения, касающиеся реакции человеческого тела на ускоренный ритм дыхания. В ходе их применения накоплены впечатляющие переживательные доказательства, исправляющие глубокое заблуждение в отношении ускоренного дыхания, которое содержится в традиционных медицинских руководствах по респираторной физиологии.
Взаимосвязь между гипервентиляцией и различными патологическими состояниями
Гипервентиляция у психиатрических пациентов и наблюдения из практики Холотропного Дыхания
Практики Холотропного Дыхания дают уникальную возможность изучать психологические и соматические эффекты быстрого дыхания, поскольку позволяют наблюдать их в чистом виде в момент возникновения. В ходе практических семинаров и тренингов по Холотропному Дыханию лишь небольшая часть участников переживают реакцию, которые руководства по физиологии дыхания описывают как типичную и в некотором смысле обязательную (карпопедальные спазмы, холодность ступней и т. п.). Наблюдения из этой работы показывают, что ускоренное дыхание порождает богатый спектр эмоциональных и психосоматических симптомов, таким образом поддерживая критику Фридом упрощенного понимания синдрома гипервентиляции.
Симптомы, вызываемые быстрым дыханием, могут появляться во всех областях тела и во всех возможных сочетаниях. Систематическое изучение этих реакций показывает, что они представляют собой усиление уже существующих психосоматических симптомов или экстериоризацию различных латентных симптомов. Продолжение ускоренного дыхания дает возможность прослеживать эти симптомы к их источникам в бессознательном – к памяти о травматических биографических событиях, о биологическом рождении, о травмах во время внутриутробного развития и даже к различным трансперсональным темам (например, филогенетической памяти, опыту прошлой жизни и архетипическим мотивам).
Это справедливо даже в отношении некоторых крайних физических явлений, которые иногда можно наблюдать при Холотропном Дыхании, например, судорог, удушья, приступов астмы или различных дерматических кожных реакций. Эти явления представляют собой экстериоризацию исторически обусловленных импринтов, связанных с конкретными событиями, вроде эпизодов утопания, серьезных аварий, хирургических операций, дифтерии или коклюша в детском возрасте, биологического рождения, пренатальных кризисов или переживаний из прошлой жизни. Сколь бы угрожающими они ни казались, они не опасны, если мы работаем с физически здоровыми людьми, способными выносить эмоциональный и физический стресс, связанный с подобными переживаниями. Естественно, необходимо с уважением относиться к противопоказаниям для глубокой переживательной работы и не допускать к ней людей с серьезными проблемами, в особенности, с заболеваниями сердечно-сосудистой системы.
Удивительное, но последовательное наблюдение из практики Холотропного Дыхания состоит в том, что симптомы, вызываемые гипервентиляцией, сначала усиливаются, однако продолжающееся ускоренное дыхание вызывает их разрешение и устойчивое исчезновение. Этот факт прямо противоречит предположению, что психосоматические симптомы – это обязательная физиолого-биохимическая реакция на гипервентиляцию. Устойчивое исчезновение этих симптомов после полного выхода на поверхность бессознательного материала, с которым они связаны, показывает, что они имеют психодинамическую природу, а не являются простыми физиологическими проявлениями. В нашей работе мы видим многих людей, у которых на протяжении нескольких часов интенсивного дыхания не возникает никаких напряжений. Такого рода реакция усиливается с числом холотропных сеансов и, в конце концов, становится правилом, а не исключением.
Даже сужение сосудов, возникающее в различных частях тела в результате ускоренного дыхания, нельзя считать неизменным и обязательным следствием гипервентиляции. Наблюдения из практики Холотропного Дыхания показывают, что сужение сосудов обычно вызывается биоэнергетической блокировкой в определенной области. Происхождение этой блокировки может быть связано с психологической или физической травмой в жизни после рождения, с травмой рождения, с кризисами в ходе внутриутробного развития или с различными трудными трансперсональными переживаниями. Ускоренное дыхание выводит бессознательный материал на поверхность и устраняет эту блокировку после ее временного усиления. Это обычно сопровождается нормализацией кровообращения в затронутой области.
Крайний пример представляет собой болезнь Рейно – серьезное нарушение периферического кровообращения в руках, связанное с ощущением холода и даже с трофическими изменениями кожи (повреждением кожи из-за недостатка кислорода и питания). Нам представилась возможность работать с несколькими людьми, страдавшими болезнью Рейно, которые смогли исцелить это расстройство, занимаясь Холотропным Дыханием. Во время первых холотропных сеансов у них всех наблюдалась сильная и болезненная тетания в кистях и предплечьях. При продолжении гипервентиляции эти спазмы внезапно проходили и заменялись мощным потоком теплой энергии через кисти и ощущением полей силы, окутывающих кисти как гигантские перчатки. После этих переживаний периферическое кровообращение устойчиво оставалось нормальным.
По всей видимости, ускоренное дыхание создает в теле биохимическую ситуацию, облегчающую выход на поверхность старых эмоциональных и физических напряжений, связанных с неразрешенными психологическими и физическими травмами. Тот факт, что при быстром дыхании выходят на поверхность и проявляются симптомы – это вовсе не патологическое явление, как его традиционно понимают; в действительности, эта ситуация дает уникальную возможность для исцеления. При таких обстоятельствах на поверхность выходит бессознательный материал с сильным эмоциональным зарядом, который более всего готов для проработки. Такое понимание симптомов гипервентиляции объясняет чрезвычайную меж– и внутрииндивидуальную вариабельность реакций на гипервентиляцию. Это представляется аналогичным ситуации, касающейся необычайного богатства и разнообразия опытного содержания психоделических сеансов.
В свете наблюдений из практики Холотропного Дыхания, спонтанные эпизоды гипервентиляции, случающиеся у психиатрических пациентов и нормальных людей представляют собой попытки организма исцеляться, и их следует поддерживать, а не подавлять. При правильном понимании и умелом руководстве, проявление симптомов при гипервентиляции может вести к исцелению эмоциональных и психосоматических проблем, положительному личностному преобразованию и эволюции сознания. Напротив, существующую практику подавления симптомов можно рассматривать как нежелательное вмешательство в важный спонтанный целительный процесс, затрагивающий психику и тело.
МЫШЕЧНЫЕ СПАЗМЫ И РАБОТА С НИМИ
1. Мышечные напряжения, спазмы, блоки 
2. Способы работы с мышцами
 
Мышечные напряжения, спазмы, блоки
Работая с мышцами, мы стремимся к тому, чтобы мышечная ткань была ровной и эластичной – равнонапряженной или равнорасслабленной в зависимости от нашей воли. Однако постоянно мы встречаемся с тем, что в различных местах в теле имеются участки (группы мышечных волокон, целые мышцы), в которых напряжение сохраняется и поддерживается независимо от нашего желания. Такие участки могут быть как большими так и совсем маленькими, могут осознаваться в качестве спазма или напряжения, а могут вообще не замечаться сознанием. 
Проиллюстрировать вышесказанное можно следующим упражнением: обратить внимание на свое тело (можно предварительно поменяв позу), найти, какие мышцы напряжены излишне, и снять это напряжение. 
Обнаруженные в результате выполнения данного упражнения излишние мышечные напряжения, как правило, могут быть легко сняты волевым усилием. Однако в теле каждого человека есть также спазмированные участки, которые расслабить гораздо сложнее. 
Чем же плохи мышечные спазмы? 
Первый ответ лежит на поверхности: спазмированная мышца пережимает нервные волокна и кровеносные сосуды, в результате чего нарушается питание и энергоинформационный обмен как в тканях самой мышцы, так и во внутренних органах, питание и иннервация которых осуществляется пережатыми сосудами и нервами. (Пример: блуждающий нерв пережимается в области шеи, импульсы на расслабление не проходят по нему к печени, в результате – хронический спазм желчного пузыря.) 
Второе: спазмированная мышца – это мышца сокращенная, а на поддержание мышцы в состоянии напряжения требуется АТФ – т.е. определенные энергозатраты. Таким образом, на поддержание мышцы в напряженном состоянии тратится собственная энергия организма, при том что это напряжение может приносить организму существенный вред (см. п. 1). Если же учесть, что области мышечных напряжений могут быть довольно обширны, а сами напряжения поддерживаться круглосуточно (даже во сне), то энергозатраты организма на ненужную работу оказываются существенны. 
Есть и 3-е негативное последствие, но о нем мы скажем чуть позже.
Откуда же берутся мышечные спазмы? – Пути их возникновения различны.
Пример: при остеохондрозе по краям межпозвоночных дисков образуются наросты костной ткани с острыми краями – остеоны. Такие наросты при резких движениях, неловких поворотах очень легко травмируют нерв и окружающие ткани, в результате чего возникает боль, и мозг дает команду напрячь окружающие мышцы, чтобы защитить травмированное место. Чем больше боль – тем сильнее мышечное напряжение; в то же время, чем сильнее напрягаются мышцы – тем больнее, и тем сильнее они напрягаются – так называемый триггерный синдром. Отсюда следует 2 вывода: (1) чтобы поставить смещенный позвонок на место, предварительно надо расслабить окружающие мышцы; (2) мышечный спазм – это реакция на боль. 
Еще пример: в детстве у ребенка был перелом. Окружающие мышцы напряглись в ответ на боль. Впоследствии кость срослась, а мышечный спазм на месте перелома остался на всю жизнь, ограничивая подвижность, пережимая сосуды и нервы. 
Таким образом, 1-ая причина образования мышечных спазмов – всевозможные травмы, когда мышца напрягается в ответ на боль и развивается триггерный синдром. Таким путем спазмы могут образоваться с самого рождения в результате родовых травм (роды вообще всегда являются для организма как ребенка, так и матери очень сильным стрессом и могут быть очень травматичны – так, у большинства людей в результате именно родовых травм возникают и сохраняются на всю жизнь, нарушая питание головного мозга, спазмы шейных (особенно подзатылочных) мышц.
 
Способы работы с мышцами
 
Общие принципы работы с мышцами: 
1) мобилизация; 
2) растяжение; 
3) расслабление; 
4) укрепление.
Мобилизация – разминка. Каждый раз перед занятиями мы стараемся провести разминку, чтобы привести мышцы в по-возможности равнонапряженное или равнорасслабленное состояние – в обычном состоянии одна часть мышечных волокон находится в напряжении, другая часть – расслаблена. И если на такую мышцу дать нагрузку, нагрузка распределится неравномерно по мышечным волокнам, следствием чего могут быть разрывы отдельных мышечных волокон, боль, спазм окружающих тканей.
Растяжение – при растяжении мышц тренируются упругие элементы мышечных волокон. Растяжка, чередующаяся с изометрическим напряжением, хорошо ликвидирует спазмированные участки, снимает спазмы отдельных мышечных волокон.
Укрепление – укреплять необходимо все группы мышц; причем тренировать необходимо как медленные, так и быстрые волокна, чтобы одно и то же движение можно было выполнить 2-мя способами (задействуя медленные мышцы, либо используя взрывную силу быстрых). При этом надо знать, что мышца натренировывается на выполнение только той работы, которая производится в процессе тренировок (например, при тренировках прыжков через препятствия высотой 1 метр, мышцы не будут готовы для прыжков через препятствия высотой 1 метр 20 см.)
Расслабление – умение расслабить как отдельные группы мышц, так и мышцы всего тела очень важно. Существуют различные техники расслабления, надо попробовать их несколько и выбрать для себя наиболее подходящие.
1. Расслабление через напряжение – последовательно напрягаются и расслабляются все группы мышц тела начиная с ног и заканчивая мышцами лица и головы. 
1а. При этом возможно подключение дыхания: на выдохе активизируется парасимпатическая нервная система, отвечающая за расслабление, поэтому сочетание расслабления с выдохом усиливает эффект. 
Техника: 
1 этап: на вдохе напряжение, на выдохе – расслабление (4-5 циклов) 
2 этап: вдох без напряжения, выдох – воспроизводим ощущение расслабления. С каждым выдохом расслабление происходит все глубже. 
С использованием этой техники можно расслаблять как все тело, так и отдельные участки.
2. Последовательное расслабление всех частей тела.
Существует 2 стадии общего расслабления. 1 стадия: все мышцы расслаблены, тяжелые, теплые, мягкие; тело ощущается расслабленным. 2 стадия: ощущение тела пропадает вовсе – парение, невесомость. 2-ая стадия достигается за счет использования образа, например: представить свое тело лежащим на морском берегу сделанным из песка; накатывающиеся волны (можно: волна набегает – вдох, отбегает – выдох) постепенно размывают его, начиная с конечностей, потом туловище, голову (в последнюю очередь), границы стираются, размываются, ощущение тела пропадает. Либо: у ног клубится розоватое или сиреневатое или белое непрозрачное облако тумана; оно постепенно начинает наползать на ноги, касается кончиков пальцев – и вы перестаете их чувствовать – они как будто пропадают; облако между тем ползет дальше, постепенно захватывая ступни, голени, колени, бедра и т. д. – и тело исчезает в этом облаке тумана, ощущение невесомости, парения.
Все вышеперечисленные способы работы с мышцами имеют целью улучшение кровообращения, питания мышечной ткани, в результате чего мышцы становятся более эластичными, работают с гораздо большей эффективностью.
Сегодня практики работы с сознанием очень популярны. Они привлекают простотой и результативностью.
Одна из таких практик – Холотропное дыхание, которое сочетает в себе немедикаментозную работу с сознанием и подсознанием, научную обоснованность и многолетний положительный опыт практикующих во всём мире.
Холотропное дыхание – это метод глубинного самопознания, инструмент, позволяющий устранить препятствия на пути саморазвития, разрешить внутренние конфликты, освободиться от влияния негативного опыта, снять физические и ментальные блоки.
Холотропное дыхание используют как один из самых мощных методов современной психотерапии и личностного роста.
В переводе с древне-греческого языка — Холос – целостность, тропизм – направление, движение, способ. Таким образом Холотропное Дыхание – это терапия, приводящая к целостности.
Холотропное дыхание в качестве метода психотерапии официально разрешено Минздравом РФ с 1993 года.

Холотропное дыхание в домашних условиях
Эта техника дыхания разработана для работы в группах. Поэтому даже для индивидуальной практики нужен, как минимум, один опытный ведущий, имеющий большой опыт работы, в идеале помощника должно быть два – мужчина и женщина.
Присутствие опытного сопровождающего необходимо по нескольким причинам.
Во-первых, без помощника будет сложно полностью отдаться и довериться процессу, часть сознания будет стараться контролировать внешнюю реальность, что будет мешать глубокому погружению в процесс.
Во-вторых, задача помощника создать безопасную обстановку и оказывать необходимо помощь – накрыть одеялом, подложить подушку, подать воду или салфетку, проработать телесные блоки, оказать поддержку, когда поднимаются интенсивные эмоциональные или телесные переживания, помочь интегрировать процесс.
Мы не рекомендуем заниматься практикой холотропного дыхания самостоятельно, если у вас совсем нет опыта. Практикуйте только под наблюдением опытного специалиста. Реакции в теле могут быть пугающими. Только специалист будет контролировать процесс и грамотно выведет из холотропного транса. Самостоятельная практика может быть опасна для психического и физического здоровья.
Есть более безопасные техники дыхания для самостоятельной практики. 
Например, ЭНЕРГОДЫХАНИЕ.
Физиология холотропного дыхания
С точки зрения физиологии суть холотропного дыхания заключается в гипервентиляции лёгких за счёт учащённого дыхания, в результате чего из крови вымывается CO2, сосуды мозга на короткое время сужаются, начинается торможение коры головного мозга и активируется подкорка. Сочетание этого процесса с побуждающей переживания музыкой и методами телесной работы позволяет попасть в изменённое состояние сознания. В таком состоянии сознания случаются переживания, вытесненные в подсознание (боль, обида, страх, гнев), что позволяет проработать и снять физические и ментальные блоки и зажимы, которые мешают человеку в самореализации и достижении целей.
Внутренний невербальный опыт
Сессия Холотропного Дыхания – это внутренний невербальный опыт, без вмешательств из вне, за исключением ситуаций, требующих помощи практикующему.
Задача ведущего практики создать безопасное пространство для дышащего, уважать естественное течение опыта и помогать в тех ситуациях, когда это необходимо, быть отзывчивым и ненавязчивым.
Во время практики необходимы безопасные условия, которые будут поддерживать в проживании внутреннего опыта.
Обычно сессия продолжается 2-3 часа, это необходимое время, чтобы процесс достиг естественного завершения.
Научные исследования Холотропного Дыхания показали высокую эффективность метода для:
- Преодоления жизненных кризисов
 - Освобождения от последствий травматичного опыта и стрессовых ситуаций
 - Терапии эмоциональных и психосоматических расстройств
 - Терапии зависимостей
 - Терапии депрессивных состояний
 - Снижения веса
 
Холотропное дыхание – это одна из самых эффективных трансформационных техник в современной психологии, работающая с областью сознания и подсознания. Это метод глубинного самоисследования, обладающий большим психотерапевтическим потенциалом и эффективен для решения психологических и психосоматических проблем.
Холотропное дыхание показало высокую эффективность при работе с депрессиями, невротическими и психосоматическими симптомами, с последствиями острого и хронического стресса, сексуальными нарушениями, сложностями в межличностных отношениях, проживанием кризисных состояний.
Эту технику используют для раскрытия творческих способностей и внутренних ресурсов, развития интуиции, улучшения качества жизни и глубинного самоисследования.
Польза практики
Это безопасный способ решения психологических проблем без медикаментозного вмешательства.
Глубокое погружение в собственное бессознательное позволяет полностью прожить вытесненные негативные эмоции, дать им выход и избавиться от них.
Быстрое решение разнообразных психологических проблем. Негативные ситуации и детские травмы проживаются не каждая отдельно, а целым блоком.
Не вызывает зависимости. При традиционных методах лечения пациент часто привязывается к врачу, становится от него зависимым и не учится самостоятельно решать свои проблемы.
Избавление от негативного опыта. Практикующий проникает в самые глубокие пласты подсознания, что позволяет вытащить давно запрятанное и забытое, приобретённое за всю жизнь.
Снятие стресса и напряжения не поверхностно, работа с корнем проблемы, чтобы в перспективе эти состояния вообще не возникали.
Исцеление хронических заболеваний, причины которых кроются в бессознательном.
Избавление от зависимостей и вредных привычек легко и без волевых усилий. Поскольку причина любых зависимостей, скрывается в нашем подсознании, именно поэтому одной силы воли бывает недостаточно.
Устраняет хроническую усталость и переутомление, возвращает чувство спокойствия и умиротворения, помогает наладить хороший сон и обрести гармонию.
Осознанность, Цель, ЗОЖ, Достижение!
21 ноября 2014 г.

Впервые о термин "холотропное дыхание" и "ребефинг" я услышал посетив Московский эзотерический центр "Путь к Себе". И от своего наставника и друга Галины Николаевны Лепилиной.
Галина Николаевна - это известный и уважаемый деятель Российского Трезвеннического Движения (СБНТ) соратница Владимира Георгиевича Жданова. Галина Николаевна за более чем 20 лет своей деятельности направленной на Духовное Нравственное и Физическое оздоровление общества помогла десяткам тысяч человек. Провела сотни курсов и лекций. В своих курсах она исползовала психоаналитический не медицинский метод Генадия Андреевича Шичко. А так же многие другие природные методы оздоровления. И о многих новых методах направленных на совершенствование духовности и улучшение здоровья Галина Николаевна и ее колеги узнавали в числе первых.


Более подробное научное обоснование и ссылки на научные источники объясняющие вред то каким образом этот метод делает из человека инвалида вы в скоре получите на этой странице вскоре. (читайте далее ниже)
Я считаю своим долгом поделится правдой которую недоговаривают или скрывают пропагандисты холотропа.Большинство людей приходящих в группы холотропного дыхания рискуют не только своим здоровьем но и жизнью!
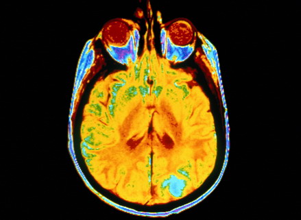
"потеря углекислого газа в течение сессии холотропного дыхания составляет 2—3 литра, что по принятым в настоящее время взглядам считается крайне тяжелой степенью гипокапнии, чреватой возникновением отека мозга и летальным исходом"
Считаю своим долгом предупредить что практика методов холотропного дыхания и ребефинга опасно для вашего физического и ментального здоровья.Я предостерегаю вас от общения с людьми которые пропагандируют и преподают эти методы. Эти люди либо непонимают того насколько это опасно либо понимают но жажда наживы превалирует над их совестью.

В случае холотропного дыхания кривая потери углекислого газа в первой фазе нарастает более круто, а во второй снижается медленнее, т.е. является более пологой. Общие потери углекислоты крови при этом несколько больше - порядка 2.5 литров. Особенностью холотропного дыхания является продолжение потерь углекислого газа и по ходу процесса, т.е. величина общего дисбаланса за весь процесс продолжительностью 1 - 1.5 часа составляет около 3 литров.
О том, что гипокапния оказывает церебральный сосудосуживающий эффект, известно давно. Так, Вольф и Леннокс, изучая реакцию мозговых сосудов у животных при изменении содержания О2 и СО2 в крови, установили, что сосуды мягкой мозговой оболочки суживаются при гипокапнии. Дэвис, Вэллэс и многие другие их последователи полагают, что возникновение тета и дельта - активности при гипервентиляции обусловлено развитием гипоксического состояния вследствие снижения кровотока через церебральные сосуды в результате их спазма. Последнее приводит к недостаточному снабжению мозга кислородом и глюкозой, от которых зависит его метаболизм.

По существующим воззрениям, эффект гипервентиляции связан с церебральной гипоксией, развивающейся вследствие рефлекторного спазма артериол и уменьшения мозгового кровотока (Яруллин Х.Х., 1967).

Экспериментальные данные показывают, что гипоксия приводит к деполяризации мембраны нейронов, повышению их возбудимости и общему деполяризационному сдвигу в коре, с чем и связано провоцирование медленноволновой активности (Окуджава В.М., 1969).
Гипервентиляционный синдром по определению — это состояние, характеризующееся рядом соматических и психических симптомов, вызванное альвеолярной гипервентиляцией вследствие нарушения регуляции дыхания или при произвольной гипервентиляции .
Данная форма нарушения газообменной функции легких характеризуется избыточным, превышающим текущие потребности организма, выделением углекислого газа из крови вследствие увеличения объема альвеолярной вентиляции. При этом возникает гипокапния, которая может сопровождаться некоторым увеличением парциального напряжения кислорода в крови, оттекающей от легких, и незначительным повышением оксигенации гемоглобина.
Гипокапни́я (от греч. hypó — под, внизу и kapnos — дым) — состояние, вызванное недостаточностью СО2 в крови. Содержание углекислого газа в крови поддерживается дыхательными процессами на определённом уровне, отклонение от которого приводит к нарушению биохимического баланса в тканях. Проявляется гипокапния в лучшем случае в виде головокружения, а в худшем — заканчивается потерей сознания.
Гипокапния возникает при глубоком и частом дыхании, которое автоматически возникает в состоянии страха, паники или истерики. Искусственная гипервентиляция перед нырянием с задержкой дыхания — самая распространённая причина недостаточности СО2. К данному синдрому может приводить произвольная гипервентиляция (!) (произвольная гипервентиляция = холотроп)

При гипервентиляционной гипокапнии повышается возбудимость коры головного мозга. Раньше всего гипервентиляция влияет на осязание, затем на ощущение давления, холода, тепла, боли. Часто возникают явления парестезии в конечностях, в области лица, может отмечаться боль в левой половине грудной клетки и в животе. 
Возможны эмоциональные и поведенческие расстройства, синкопальные состояния. Возможно развитие эпилептических и эпилептиформных припадков (вторично по отношению к вазоконстрикции сосудов головного мозга).
Характерным симптомом являются судороги и спазмы скелетных мышц, которые возникают при снижении парциального давления СО2 примерно вдвое по отношению к нормальным величинам. Частым симптомом является карпо-педальный спазм. 
Значительную роль в возникновении судорог играет ионизированный кальций, а также нарушения баланса магния. Мышечная слабость обусловлена гипофосфатемией. Аналогом судорог может быть тремор. В тяжелых случаях развивается тетанус. (длительно непроходящий спазм или судорога) 
![]()  | 
| Руководитель научной группы,  доцент Государственного университета Ринад Минвалеев  | 
"- Что такое гипервентиляционный синдром?
- Идет вымывание углекислого газа из крови, резкое сужение мозгового кровотока и - как следствие - галлюцинации. Это очень любят делать сейчас на всякого рода психологических тренингах. Вас укладывают на пол и предлагают дышать глубоко и часто.
Эти галлюцинации рассматриваются как нечто очень важное или даже священное. Что, в общем-то, заслуживает внимания, но только потому, что здесь на самом деле речь идет не о развитии мозга, а о его деградации. Потому что всякая гипервентиляция ведет не просто к сужению мозгового кровотока, но и к гибели нервных клеток.
Снижение CO2 в легких при углубленном дыхании человека сдвигает рН в щелочную сторону ,что изменяет активность ферментов и витаминов - регуляторов обмена веществ, что нарушает нормальное протекание обменных процессов и ведет к гибели клеток. Если CO2 снизится до трех процентов, а рН сдвинется до восьми, организм погибнет.
Йога учит, что жизнь измеряется количеством дыханий. Учит дышать неглубого и медленно. В медитации дыхание естественно замедляется.
В Интернете встречаются статьи о холотропе, где холотроп сравнивают бхастрика пранаямой, но это совершенно разные вещи. Вот описание бхастрика пранаямы:
Как видим, в этом упражнении углекислый газ не только не вымывается из организма, но наоборот накапливается во время кумбхаки (задержке дыхания).
Холотропом называют искусственную гипервентиляцию (быстрое и глубокое дыхание) под музыку в течении 2-4 часов. Холотроп разрушает мозг и может спровоцировать появлене ряда тяжелых болезьней. Возникает гипокапмия. Такое дыхание вызывает чрезвычайно вредный для организма и мозга человека гипервентиляционный синдром.

в дополнение к обсуждениям в темах Кислород, углекислота и сон и Холотропное дыхание и пранаямы в борьбе с депрессией приведу ссылку, присланную ув. участником под ником dimas в теме Йога туммо: физиологическое обоснование: Hyperventilation as a model for acute ischaemic hypoxia of the brain: Effects on cortical auditory evoked potentials ' Гипервентиляция как модель острой ишемической гипоксии мозга: влияния на корковые аудиторно вызванные потенциалы' Цитата: . Controlled hyperventilation (HV) may be used as an experimental procedure to produce transient ischaemic hypoxia of the brain. ' Управляемая гипервентиляция может быть использована как экспериментальная процедура для вызова преходящей ишемической гипоксии мозга. '
Иными словами, уже в 1991 году было известно, что управляемая гипервентиляция (сиречь, голотропное дыхание ) ведет к предынсультному состоянию (ишемия мозга есть прямой путь к гибели нервных клеток). Хорошо известно также провокационное (диагностическое ) значение гипервентиляционной пробы для вызова большого эпилептического припадка у больных с подозрением на эпилепсию. Последующие исследования только подтверждают негативное влияние гипервентиляции на мозговую функцию: В обзоре 1995 года Hyperventilation therapy for severe traumatic brain injury. прямо утверждается, что Цитата: . hyperventilation is no longer recommended as a first-line therapy for intracranial hypertension or as prophylactic therapy following severe TBI. ' . гипервентиляция не может быть больше рекомендована как первичная терапия при повышенном внутричерпном давлении и как профилактическая терапия после некоторых травм мозга. '
В 2007: Hyperventilation following head injury: effect on ischemic burden and cerebral oxidative metabolism. И, наконец, в самом свежем обзоре 2010 года Hypocapnia and the injured brain: more harm than benefit. окончательно утверждается, что вызванная гипервентиляцией гипокапния приносит "больше вреда, чем пользы" (с).
Распространенная форма психологического ослабоумливания людей (трансперсональная психология и некоторые преподаватели Йоги широко использующая гипервентиляционные паттерны дыхания - холотроп) тщательно игнорирует вышеприведенные объективные исследования.
Читайте также:



