Компьютерную томографию височных костей с акцентом на барабанную полость и мосто-мозжечковый угол
Визуализация височной кости при помощи лучевых методов является ценным инструментом в арсенале оториноларинголога — хирурга головы и шеи. В настоящее время распространены два основных метода исследования: компьютерная томография (КТ) и магнитно-резонансная томография (МРТ). КТ позволяет детально оценить костные структуры височной кости, на МРТ лучше визуализируются мягкие ткани. На МРТ костная ткань не отображается.
На КТ все кости и структуры с высоким содержанием кальция имеют белый цвет, воздух — черный, а мягкие ткани — серый.
Фактически, височная кость состоит из пяти разных костей: чешуйчатой кости, каменистой кости, сосцевидной кости, барабанного кольца и шиловидного отростка. Чешуйчатая кость образует латеральную часть черепа, к ней крепятся височные мышцы. Каменистая кость представляет собой медиальную часть пирамиды височной кости, в которой расположены полость среднего уха и ушная капсула.
Сосцевидная кость представляет собой латеральную пневматизированную часть височной кости. Барабанное кольцо — это U-образная кость, которая формирует переднюю, нижнюю и заднюю стенки наружного слухового прохода. Барабанное кольцо спереди соединяется с чешуйчатой костью (барабанно-чешуйчатый шов) и с сосцевидной костью сзади (барабанно-сосцевидный шов). Наконец, от нижней части височной кости отходит шиловидный отросток. Шиловидный отросток представляет собой хороший ориентир для обнаружения шилососцевидного отверстия, через которое лицевой нерв покидает височную кость.

КТ левой височной кости в аксиальной проекции. Срез слева проходит выше, чем срез справа.
А, антрум; В, средняя черепная ямка; С, задняя черепная ямка;
D, поддуговая артерия; Е, верхний полукружный канал; G, внутренний слуховой проход;
Н, преддверие; I, латеральный полукружный канал; J, водопровод преддверия.
Оценивая КТ височной кости, всегда важно оценить общую структуру кости прежде чем начать поиск конкретных патологических признаков. На основе КТ можно судить о всех процессах, которые когда-либо протекали в височной кости. При анализе КТ нужно оценивать ее развитие, пневматизацию и аэрацию.
К факторам развития относят наличие, отсутствие или мальформации структур лабиринта: улитки, полукружных каналов, преддверия и внутреннего слухового прохода. В хорошо развитых костях эти структуры выглядят абсолютно нормальными, что свидетельствует о здоровом внутриутробном развитии (обычно на 3-16 неделе гестации).
Под пневматизацией понимают наличие или отсутствие воздухоносных клеток в сосцевидном отростке. В хорошо пневматизированной кости обнаруживается большое количество клеток и минимальное присутствие костного мозга в верхушке сосцевидного отростка. Иногда пневматизируется пирамида. Пневматизация начинается с рождения и продолжается до подросткового возраста. Частые острые средние отиты или длительный экссудативный отит препятствуют нормальной пневматизации. Восстановление пневматизации наблюдается при установке тимпаностомических трубок.
Наконец, под аэрацией подразумевают состояние воздухоносных клеток: заполнены ли они воздухом или жидкостью. Аэрация отражает состояние уха в конкретный момент. Височная кость может иметь плохую пневматизацию, но нормальную аэрацию. Такая картина характерна у пациентов с частыми средними отитами в детстве, впоследствии не возобновлявшимися. Напротив, если пневматизация височной кости хорошая, но аэрация нарушена, значит в ухе протекает патологический процесс (но это не обязательно свидетельствует о наличии хронической инфекции).
На рисунке ниже изображены аксиальные срезы КТ височных костей с основными ориентирами, направление сверху вниз. На отдельном рисунке изображен фронтальный срез. Всегда важно помнить, что КТ показывает именно костные структуры. Мембранозные образования внутреннего уха расположены внутри костных. Преддверие расположено в центре лабиринта, здесь находятся полукружный и сферический мешочки, также с преддверием соединены полукружные каналы. Лицевой, слуховой и два вестибулярных нерва проходят по внутреннему слуховому проходу от ствола мозга до внутреннего уха.
Водопровод преддверия — это костный канал, в котором расположен эндолимфатический проток, оканчивающийся эндолимфатическим мешком. Наконец, водопровод улитки — еще один костный канал, идущий параллельно и ниже внутреннего слухового прохода от мостомозжечкового угла до базального завитка улитки. В водопроводе улитки не расположено никаких анатомических образований. В молодом возрасте улитковый проток может зиять, из-за чего при менингите инфекционный процесс может распространяться на улитку, вызывая снижение слуха. Также зияние водопровода улитки может объяснить тот факт, что при менингите часто наблюдается оссификация базального завитка улитки.
Подозрение на холестеатому является одним из самых частых показаний для КТ височных костей. Диагноз устанавливается при осмотре, КТ служит только для уточнения степени распространения процесса. Только в редких случаях с помощью КТ можно однозначно установить диагноз. На рисунке ниже показаны аксиальный и фронтальный срезы КТ височной кости с холестеатомой. Четко определяется эрозия костной ткани, что является основным признаком холестеатомы. Другим признаком является эрозия ушной капсулы. Деструкция слуховых косточек может встречаться и при простом хроническом среднем отите, поэтому ее нельзя рассматривать как признак холестеатомы.
Для диагностики сосудистых опухолей височных костей полезно использование контраста. В качестве контрастного препарата используется йод. Его следует использовать с осторожностью у лиц с непереносимостью йода, астмой и почечной недостаточностью. Но в данном случае МРТ практически полностью вытеснила КТ с контрастом, поскольку МРТ гораздо лучше визуализирует мягкие ткани.

КТ левой височной кости в аксиальной проекции. Срезы проходят ниже, чем на снимках выше.
Вновь срез слева проходит выше, чем срез справа. А, лабиринтный сегмент лицевого нерва; В, коленчатый ганглий;
С, барабанный сегмент лицевого нерва; D, головка молоточка; Е, тело наковальни; Е, сигмовидный синус;
G, верхушка пирамиды; Н, улитка; I, рукоятка молоточка; J, длинный отросток наковальни;
К, наружный слуховой проход; L, супраструктуры стермени (едва заметны) и основание стремени. 
КТ левой височной кости в аксиальной проекции. Срезы проходят ниже, чем на снимках выше.
Вновь срез слева проходит выше, чем срез справа.
А, тройничное вдавление, в котором находится тройничный (гассеров) ганглий;
В, основной, средний и апикальный завитки улитки; С, клетки сосцевидного отростка;
D, каменистая часть сонной артерии; Е, височно-нижнечелюстной сустав;
F, нисходящий сегмент лицевого нерва; G, водопровод преддверия. 
КТ левой височной кости во фронтальной проекции, срезы идут от передних отделов к задним (слева направо).
А, улитка; В, молоточек; С, наружный слуховой проход; D, средняя черепная ямка;
Е, внутренний слуховой проход; F, преддверие; G, верхний полукружный канал;
Н, ниша круглого окна; I, латеральный полукружный канал; J, нисходящий сегмент лицевого нерва. 
КТ височной кости в (а) аксиальной и (б) фронтальной проекциях,
на которой определяется холестеатома, расположенная латеральнее молоточно-наковального сустава, разрушающая скутум.
- Вернуться в оглавление раздела "отоларингология"

11.10.2019 2010 ≈ 7 минут на чтение

Врач-рентгенолог, кандидат медицинских наук, член Европейского общества радиологов

Оглавление
- Введение
- Классификация томографов
- Показания
- Противопоказания
- Подготовка
- Как проходит процедура
- Длительность процедуры
- Что показывает
- Расшифровка, заключение
- С контрастом и без в чем разница
- КТ или МРТ, что лучше?
- Рентген или МРТ, что лучше?
- Ребёнку
- Фото
- Видео
- Цена
- Отзывы
- Где сделать
Введение
МОСТОМОЗЖЕЧКОВЫЙ УГОЛ — пространство, где смыкаются мост (варолиев мост), продолговатый мозг и мозжечок. М. у. открыт спереди, к основанию черепа, в область задней черепной ямки. С вентральной стороны М. у. прикрыт паутинной оболочкой, которая не заходит в глубину его, а располагается поверхностно, в результате чего в этой области образуется вместилище для цереброспинальной жидкости — латеральная цистерна моста, часто отождествляемая в литературе с М. у. в широком смысле слова. В этом случае под М. у. понимают узкое пространство, напоминающее по форме сплюснутую неправильную пирамиду, ограниченную спереди и сбоку задней поверхностью пирамиды височной кости, изнутри — стыком моста, продолговатого мозга и мозжечка, составляющих вершину мостомозжечковой области, сзади — поверхностью полушария мозжечка, и сверху — наметом мозжечка. В области М. у. располагаются корешки V—XI пар черепных нервов, передняя нижняя мозжечковая и лабиринтная артерии и многочисленные вены мозжечка, впадающие в верхний каменистый синус, среди к-рых вена клочка отличается постоянством.
МРТ – дорогой метод аппаратного исследования, поэтому мосто-мозжечковые углы чаще всего исследуются в купе с диагностикой головного мозга. Для прицельного изучения данного отдела необходимо наличие симптомов, указывающих на дегенеративные изменения структуры.
![]() | ![]() |
| Схема расположения мосто-мозжечкового угла | МРТ снимок мосто-мозжечкового угла |
Классификация томографов
![]() | ![]() |
| МР томограф открытого типа | МР томограф закрытого типа |
- Он подходит для пациентов, страдающих клаустрофобией и для детей, которым может быть страшно в замкнутом пространстве закрытого томографа;
- Имеет воздушный зазор, в который помещается пациент, как правило больше, чем у томографов закрытого типа. Это даёт возможность провести обследование пациентам с избыточным весом.
- Время обследования меньше, чем у открытого. Время обследования важно для тех пациентов, которые по тем или иным причинам не могут сохранить неподвижность в течение длительного времени.
- Качество снимков у закрытого томографа выше, потому что качество снимков зависит от величины создаваемой напряженности магнитного поля, измеряемой в единицах Тесла. Томографы открытого типа в силу конструктивных особенностей не могут создать напряженность сопоставимую с томографами закрытого типа.
- Низкопольные - до 0,5 Тесла.
- Среднепольные - от 0,5 до 0,9 Тесла.
- Высокопольные - от 1,0 до 1,5 Тесла.
- Свервысокопольные - 3 Тесла.
Как правило напряженности 1,5 Тесла достаточно для получения снимков приемлемого качества.
| Качество изображения от мощности оборудования |
Показания
Поводом к проведению прицельной МР диагностики ММУ считается наличие сенсоневральной тугоухости, если из причин патологии исключены ЛОР нарушения.
Симптомы, определяющие необходимость магнитно-резонансного исследования:
- Головокружение и нарушение координации.
- Паралич лицевых мышц.
- Нарушение восприятия вкусов.
- Обильное беспричинное слезотечение.
- Частичная или полная потеря чувствительности кожи лица.
Это типичные признаки поражения 5-8 пар черепно-мозговых нервов, проходящих через ММУ.
Так же показаниями к назначению МР томографии мосто-мозжечковых углов являются следующие факторы:
- Аномалии строения и пороки развития головного мозга.
- Инфекционные поражения ЦНС.
- Абсцесс мосто-мозжечковой зоны.
- Подозрение на опухолевые процессы.
- Оценка необходимости хирургического вмешательства.
- Анализ динамики заболевания.
- Послеоперационный контроль.
- Изучение эффективности консервативного лечения доброкачественных и злокачественных опухолей. Поиск метастаз.
Противопоказания
Противопоказания к МРТ мосто-мозжечковых углов делятся на абсолютные, когда сделать МРТ невозможно, и относительные, когда возможно сделать при соблюдении определенных условий.
- Установленный кардиостимулятор. Магнитное поле может нарушить работу электронного оборудования, что может привести к выводу его из строя.
- Наличие в теле металлических имплантов или других металлических предметов (например осколков), которые реагируют на воздействие магнитного поля. Если у пациента имеются в теле импланты, не реагирующие на магнитное поле, то следует предоставить документы, подтверждающие это.
- Клаустрофобия. Это противопоказание актуально для томографов закрытого типа и обходится проведением обследования на томографах открытого типа.
- Первый триместр беременности.
- Пациент не может сохранять неподвижность в течение всего обследования. Снимки получатся смазанными, а соответственно не подойдут для диагностики, если пациент двигается в течение обследования. Решением может быть успокоительное средство или наркоз.
- Вес пациента превышает допустимый вес, на который рассчитан стол томографа. В этом случае нужно искать томографы с большим допустимым весом. Как правило томографы открытого типа имеют в этом плане преимущество перед томографами закрытого типа.
- Диаметр окружности наиболее широкого места туловища превышает длину воздушного зазора томографа. В этой ситуации также нужно поискать томограф с необходимыми параметрами. Как правило томографы открытого типа имеют больший воздушный зазор, чем у томографов закрытого типа.
- У пациента декомпенсированная сердечная недостаточность.
- Пациент находится в тяжёлом состоянии.
- Неадекватное поведение, в том числе алкогольное опьянение.
Подготовка
МРТ мосто-мозжечковых углов не требует специальной подготовки.
Как проходит процедура
- Оформить документы. Если процедура платная, то в обязательном порядке составляется договор на оказание платных медицинских услуг. Если процедура по страховке ОМС или ДМС, то проверяется необходимый пакет документов.
- Выяснить противопоказания. Противопоказания описаны в одноименном разделе статьи.
- Если требуется проведение МРТ с контрастом, то выясняются противопоказания для введения контраста. А также доктору нужно подобрать тип и дозу контрастного вещества, на что потребуется определенное количество времени.
- Дальше перед обследованием следует переодеться в свободную одежду без металлических элементов, снять с себя все металлические предметы.
- Пациента провожают к томографу.
- Укладывают на стол.
- Фиксируют тело мягкими ремнями, чтобы избежать микродвижения. Движения во время МРТ приводят к смазыванию изображения и обследование нужно переделывать.
- Если нужно, то фиксируют обследуемую область специальной катушкой.
- Обследование сопровождается специфическими шумами, которые издают механизмы томографа. Чтобы снизить отрицательный эффект шумов, пациенту выдаются наушники, в которых играет музыка, также в наушники могут передаваться инструкции доктора, проводящего обследование.
- В случае проведения процедуры на томографе закрытого типа, пациент находится в замкнутом пространстве.
- Сразу после обследования пациенту выдаётся снимок на плёнке и/или на диске.
- В течение некоторого времени после обследования пациенту выдаётся заключение обследования доктора-радиолога. Обычно это время составляет около 30 минут, но может быть и больше в зависимости от загруженности доктора. Может быть, что заключение выдадут на следующий день. Некоторые МРТ-центры высылают заключение на электронную почту.
Длительность процедуры
МРТ мосто-мозжечковых углов в закрытом высокопольном томографе с напряжённостью магнитного поля 1,5 Тесла занимает до 20 минут.
Аналогичное обследование на оборудовании открытого типа занимает до 40 минут. Если для постановки точного диагноза необходима томография с применением контрастного вещества, то длительность процедуры увеличивается приблизительно в 2 раза. Проводится первичное сканирование без контраста, затем вводится раствор, и манипуляции повторяются.
Что показывает
В протоколе расшифровки описывается состояние структур мосто-мозжечкового отдела, их симметричность. При наличии патологий МРТ позволяет определить целый ряд заболеваний с точностью до 90 %:
- Нарушение кровообращения: тромбоз венозных сосудов, разрыв оболочки сосуда и кровоизлияние в полость мозга, аневризма.
- Инфекционные и воспалительные поражения нервов.
- Опухоли: невринома, менингиома, холестеатома,липома, арахноидальные кисты.
Расшифровка, заключение
После проведения магнитно-резонансной томографии пациент получает на руки снимок и/или изображение на электронном носителе, а так же протокол расшифровки.

МРТ головного мозга. Т1-взвешенная аксиальная МРТ (фрагмент). Мосто-мозжечковые углы в норме. Цветовая обработка изображения.
Мосто-мозжечковый угол (ММУ) – это стык Варолиева моста, продолговатого мозга и мозжечка. Основным поводом к исследованию этой области является сенсоневральная тугоухость. ЛОР методы позволяют сузить поиск, определив, что что тугоухость связана с поражением нерва ретрокохлеарно ( в ММУ, а не в ухе), либо в структурах уха. В последнем случае применяется чаще КТ. МРТ СПб позволяет выбирать место выполнения МРТ, мы рекомендуем Вам обследоваться у нас, где возмлжности прицельного исследования больше, чем во многих других МРТ центрах. При МРТ в СПб в наших центрах при ретрокохлеарной тугоухости методом выбора служит МРТ головного мозга, так как поражается 8 черепной нерв (преддверно-улитковый).
Типичные опухоли этой области невриномы (шванномы) и менингиомы. При невриномах может быть фрагмент опухоли во внутреннем слуховом проходе, что видно, особенно при МРТ головного мозга с контрастированием.

МРТ головного мозга. Т1-зависимая МРТ с контрастированием. Шваннома со сдавлением 4 желудочка.

МРТ головного мозга. Шваннома с компонентом внутри канальца.

МРТ головного мозга. Т1-взвешенная корональная МРТ с контрастированием. Полностью внутриканальцевая невринома.
В области верхушки пирамиды височной кости также встречаются опухоли эндолимфатического мешка, холестеатомы, параганглиомы, липомы и аневризмы внутренней сонной артерии.
Опухоли эндолимфатического мешка доброкачественные, медленнорастущие, двухсторонние связаны с болезнью Гиппель-Линдау, относящейся группе факоматозов. При КТ видна костная эрозия верхушки пирамиды, а при МРТ головного мозга с контрастировавшем образование хорошо усиливается.

МРТ. Т1-зависимая с контрастированием. Опухоль эндолимфатического мешка.
Холестеатомы (эпидермоидные кисты) часто встречаются в области верхушки пирамиды. Их отображение на МРТ зависит от примеси холестерола.

МРТ. Т2-зависимая томограмма. Холестеатома.
Липомы типично яркие на Т1-взвешенных МРТ и Т2-взвешенных МРТ головного мозга.

МРТ головного мозга. Т1-зависимая МРТ. Липома.
Редко встречающиеся хондросаркомы разрушают верхушку пирамиды, что видно при МРТ и КТ головного мозга.

МРТ головного мозга. Т2-зависимая МРТ. Хондросаркома.
С чем можно спутать невриному мосто-мозжечкового угла
- Шваннома преддверного нерва,
- шваннома лицевого нерва,
- сосудистые опухоли,
- воспалительный процесс, например менингит, неврит, сифилитическая гумма.
- Иногда в круг дифференциальной диагностики при опухоли мостомозжечкового угла включают также липому, метастазы злокачественных опухолей и лимфому.
КТ и МРТ признаки шванномы мосто-мозжечкового угла
- Шваннома преддверного нерва является наиболее частой патологией области мостомозжечкового угла (90%).
- Симптомы, с которых начинается невринома мосто мозжечкового угла, а именно нарушение слуха и равновесия или парез лицевого нерва, помогают установить, откуда исходит опухоль мостомозжечкового угла.
- При менингиоме отмечается (хотя и не всегда) утолщение твердой мозговой оболочки, а вовлечение в процесс внутреннего слухового прохода наблюдается реже.
- Для эпидермоидной кисты характерны округлая форма, сигнал повышенной интенсивности на Т1 -взвешенных изображениях и отсутствие контрастного усиления после введения препаратов гадолиния.
- Арахноидальные кисты мостомозжечкового угла можно принять за кистозную опухоль.
- При передней локализации опухоль может оказаться шванномой тройничного нерва.

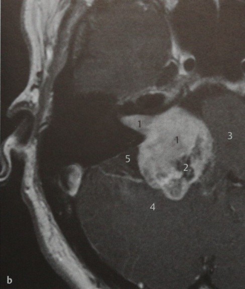
Пациент с медленно прогрессирующей односторонней нейросенсорной тугоухостью.
МРТ: Т2-взвешенное изображение в горизонтальной проекции. Опухоль имеет средние размеры (1), расположена в области мостомозжечкового угла и отчасти во внутреннем слуховом проходе и касается ствола мозга (2). Хотя нет четких признаков, указывающих на то, что латеральная часть внутреннего слухового прохода, т.е. его дно, заполнена жидкостью, какое-то количество ее все же имеется (З), сама опухоль не выходит за пределы медиальной части внутреннего слухового прохода.

Пациент, обратившийся по поводу подостро развившейся односторонней тугоухости. МРТ:Т1-взвешенное изображение в горизонтальной проекции после введения препарата гадолиния. На данной МРТ представлен случай более крупной шванномы преддверно-улиткового нерва. Опухоль накапливает КС, заполняет внутренний слуховой проход, и значительная часть ее достигает мостомозжечкового угла (1). Учитывая отчетливое контрастное усиление и характерную локализацию опухоли, можно предположить с большой долей вероятности, что это шваннома преддверно-улиткового нерва. Участки опухоли, которые не накапливают КС (2), по-видимому, соответствуют кистозному перерождению, часто наблюдаемому при шванномах. Видно, что опухоль сдавливает ствол мозга (3) и мозжечок (4). Отмечается слабо выраженная реакция твердой мозговой оболочки, которая более характерна для менингиомы. Кзади от опухоли, возможно, имеется арахноидальная киста (5), которая иногда образуется из-за скопления ЦСЖ, связанного с вызываемым опухолью масс-эффектом.

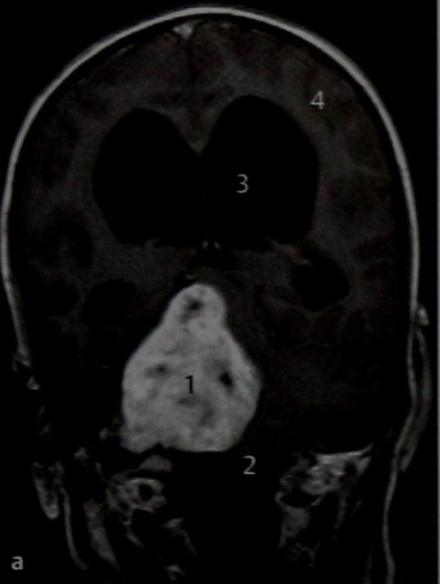
МРТ 9-летнего мальчика, отстающего в умственном развитии, который на протяжении ряда лет не раз был осмотрен ЛОР-специалистами. Тугоухость приписывали наличию ретракционного кармана в барабанной перепонке, пока повышение внутричерепного давления не вызвало неврологический дефицит. а Т1 -взвешенное изображение в вертикальной проекции после введения препарата гадолиния. Шваннома (1) с кистозным компонентом в виде нескольких кисп она растет кверху и значительно сдавливает и оттесняет ствол мозга (2). Расширенные желудочки мозга (3) свидетельствуют о гидроцефалии, связанной с обструкцией ликворных путей, которая вызвала изменение нормального рисунка коры головного мозга (4).



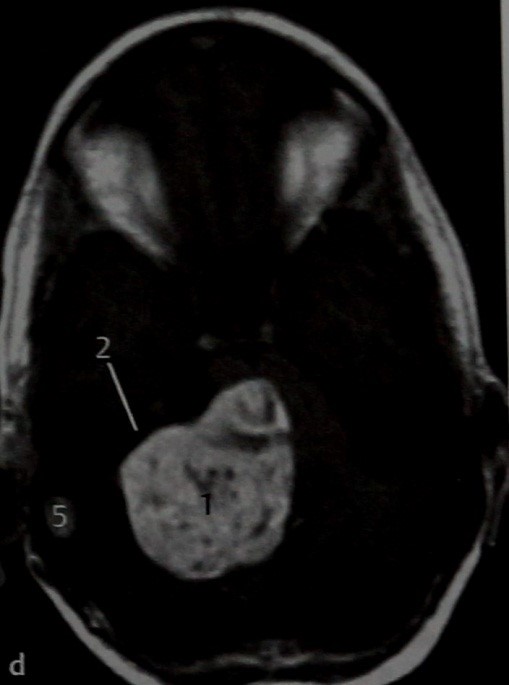
МРТ: Т1- (b) и Т2-взвешенное (с) изображения и Т1-взвешенное изображение с контрастным усилением (d) в горизонтальной проекции. Гигантская опухоль, локализующаяся в области мостомозжечкового угла (Т); отмечаются гипоинтенсивный сигнал на Т1 -взвешенном изображении и гиперинтенсивный - на Т2-взвешенном изображении и усиление сигнала после введения КС. Контрастного усиления внутреннего слухового прохода (2) не происходит. Хотя такая картина для шванномы менее типична, исключить эту опухоль нельзя, учитывая ее округлую форму и ряд других особенностей. Отмечается выраженная компрессия ствола мозга (3) и мозжечка (4). Контрастное усиление содержимого сигмовидного синуса (5) в сочетании с гиперинтенсивным сигналом на Т1 -взвешенном изображении указывает на тромбоз синуса.
Читайте также:






