Мениск после резекции мрт
МРТ коленного сустава стала повсеместно принятым диагностическим исследованием и резко сократила число артроскопий. В то же время, задача МРТ оценки состояния структур после операции на связках и менисках остается весьма непростой для многих центров МРТ СПб . МРТ в СПБ, проводимая профессором Холиным А.В., с успехом справляется с этой задачей не только в высоком поле, но и в том числе и на аппаратах открытого типа.
После операции частичного удаления мениска нередко возникают боли в оперированном суставе. тогда стоит вопрос о повторном разрыве. Задача МРТ коленного сустава состоит в дифференциальной диагностика следа восстановления мениска после операции от повторного разрыва. Повышенный сигнал в мениске на Т2-взвешенных МРТ очень схож при заживлении мениска и при разрыве, однако, разрывы обычно линейной формы и связаны с замечательной пластинкой. После операции могут быть также трабекулярные отеки костного мозга, что может отражать остеонекроз.

МРТ коленного сустава. Корональная Т2-взвешенаая МРТ. Нормальное состояние мениска после частичной менискэктомии.

МРТ коленного сустава. Сагиттальная МРТ, отражающая протонную плотность. Нормальная послеоперационная потеря контура сустава.
МРТ коленного сустава. Сагиттальная Т2-взвешенная МРТ. Повторный разрыв оперированного мениска.

МРТ коленного сустава. Корональная Т2-взвешенная томограмма с подавлением сигнала от жира. Остеонекроз после операции.
После восстановления передней крестообразной связки (ПКС) важно оценить по МРТ ее состоятельность в поддержании стабильности коленного сустава, послеоперационные повреждения структур коленного сустава, оценить послеоперационные контракты в связи с фиброзом и импинджментом. Чаще всего для восстановление целостности ПКС используется аутотрансплантация. Ход костных тоннелей в дистальной части бедренной кости и проксимальном отделе большеберцовой кости имеют решающее значение для правильного функционирования трансплантата ПКС , и важно, чтобы при МРТ коленного сустава оценить положение этих туннелей. Правильное положение бедренного туннеля имеет решающее значение которое позволяет сохранять постоянную длину и натяжение трансплантата при сгибании и разгибании коленного сустава. Если бедренный туннель расположен слишко кпереди это будет вызывать удлинение трансплантата и приводить к нестабильности коленного сустава. Положение бедренного туннеля должно соответствовать задней межмыщелковой крыше на сагиттальных МРТ коленного сустава. На коронарных МРТ коленного сустава, бедренный туннель должен быть на 11 часов для правого коленного сустава и 1 час для левого коленного сустава. Правильное положение большеберцового туннеля важно для предотвращения соударений трансплантата. Положение большеберцовой туннеля должно быть параллельно, но позади склона межмыщелковой крыши (линии Blumensaat), что видно на сагиттальных МРТ. На корональных МРТ, большеберцовый туннель должен открываться на межмыщелковом возвышении. Интактные трансплантаты имеют либо низкую интенсивностью сигнала или промежуточную интенсивность сигнала на Т1-взвещенных МРТ коленного сустава. На Т2-взвешенных МРТ, в трансплантате могут быть участки с промежуточной интенсивностью сигнала, но не должно быть никакого жидкостного сигнала, проходящего через всю толщину трансплантата.Поскольку оба неповрежденные и порванные трансплантаты ПКС могут иметь промежуточную интенсивность сигнала на Т1-взвешенных МРТ коленного сустава, результаты визуализации на T2-взвешенных МРТ имеют решающее значение для выявления нарушения трансплантата. На Т2-взвешенных МРТ не должно быть разрушения трансплантата в виде увеличение интенсивности сигнала. Потеря разгибания или контрактура сгибания является осложнением функции после реконструкции ПКС, который обычно вызвано соударениями (импинджмент) или локальным передним фиброзом. Клинически трудно провести различие между этими двумя состояниями, но каждый из них имеет отличительные черты при МРТ. Соударения наиболее часто происходят, когда туннель большеберцовой кости расположен впереди пересечении склона межмыщелковой крыши с проксимальным отделом большеберцовой кости. Как обсуждалось ранее, большеберцовый туннель должен быть полностью позади пересечении межмыщелковой крыши и большеберцовой кости. МРТ коленного сустава позволяет визуализацировать большеберцовый туннель и его отношение к линии Blumensaat и отношение трансплантата ПКС к межмыщелковой крыше. Локальный передний фиброз – вторая важная причина потери функции разгибания. Он представляет собой локальное поражение, которое находится кпереди от трансплантата ПКС и может быть к его дистальной части. Это участок фиброза захватывается между бедром и голенью, когда колено разгибается, что приводит к механическому блокаде разгибания. Патогенез локального переднего фиброза является неясным. На T1-взвешенных МРТ коленного сустава участок поражения низкой интенсивности сигнала, который расположен кпереди от трансплантата в межмыщелковой выемке. На Т2-взвешенных МРТ коленного сустава, фиброз неоднородный, но преимущественно низкой интенсивности сигнала и хорошо дифференцируется от высокого сигнала суставной жидкости.

МРТ коленного сустава. Сагиттальная Т1-взвешенная МРТ. Нормальный ход трансплантата ПКС.
МРТ коленного сустава. Сагиттальная Т2-взвешенная МРТ. Разрыв трансплантата.
Что такое мениск коленного сустава? В самом сложном по конфигурации мыщелковом сочленении костно-мышечной системы – коленном суставе – находятся две подвижные волокнистые хрящевые прослойки С-образной формы, которые называются мениски (медиальный и латеральный). Они играют многозначительную роль, так как принимают непосредственное участие в правильном распределении нагрузок на сустав, амортизации и устойчивости коленного отдела при сгибании, разгибании, вращении. Помимо этого, эластичные элементы защищают гиалиновый хрящ суставных костей, что предохраняет его от повреждений и снижает вероятность развития артроза. Место расположения функциональных волокнисто-хрящевых тел – между бедренной и большой берцовой костью.

Так выглядят мениски.
К сожалению, важные амортизирующие прокладки, заботливо оберегая структуры коленного сустава от силовых толчков, повышенного трения, дестабилизации сочленения в целом, нередко сами же первыми попадают под удар, в прямом смысле этого слова. Несмотря на тот факт, что природа наделила их особенными свойствами упругости, растяжимости, устойчивости к механическому воздействию, хрящевые прослойки при неблагополучных обстоятельствах легко повреждаются.

Как правило, целостность их тканей теряется во время спортивных занятий, падений, нефизиологического поворота и резкого сгибания-разгибания колена, вращательных движений на одной ноге, ротации конечности в согнутом или полусогнутом состоянии с фиксированной стопой, неудачного спрыгивания с высоты и пр. Как следствие, разрыв хрящевых волокон и угнетение функций коленного отдела. При подобном поражении довольно часто требуется операция на мениск с целью его частичного или полного удаления, сшивания или протезирования. Консервативный подход целесообразен лишь при незначительных травмах.
Диагностическое обследование
Наиболее подвержен повреждениям медиальный (внутренний) элемент, поскольку он на анатомическом уровне менее подвижен, чем противоположный (внешний) мениск, что при неудачных движениях, мощных толчках и ударах, нехарактерных поворотах ноги в области колена делает его слишком уязвимым. Несомненно, латеральный компонент тоже может настигнуть неприятная участь, однако, как показывают наблюдения, он повреждается в 3 раза реже. Операция на мениске коленного сустава медиального типа, следовательно, более востребована.
Понять, что целостность волокнисто-хрящевых тканей нарушена, можно по резко появившейся сильной боли и ощущению своеобразного хруста. Также на почве разрыва возникают:
- прострелы (локально) при совершении движений;
 - снижение опроспособности конечности;
 - подавление двигательных функций колена;
 - сложности при передвижении, особенно при ходьбе по лестнице;
 - болезненное щелканье с последующим заклиниванием колена (блокированием движений);
 - местный отек, воспаление, локальное повышение температуры.
 
Важно! Абсолютно любые травмы хряща должны в неукоснительном порядке лечиться! Самостоятельно поставить себе точный диагноз не получится, можно лишь предположить, что с одним из менисков случилась беда. Подтвердить или опровергнуть ваши предположения сможет только специальное диагностическое обследование у ортопеда-травматолога.
Сначала специалист выслушивает жалобы больного, делает визуальный и пальпационный осмотр, проверяет амплитуду движений не только коленного сустава, но и тазобедренного, оценивает болевой фактор путем контролируемого провоцирования боли, тестирует мышечные ткани на способность проводить возбуждение. Все первичные результаты, свидетельствующие о явной проблеме с мениском, должны быть подкреплены эффективными средствами визуальной диагностики, чтобы установить:
- на каких участках сосредоточено повреждение;
 - какую площадь оно охватывает;
 - какого направления и формы данное травматическое образование;
 - нарушены ли близлежащие структуры (связки, капсула и пр.).
 
С этой целью прибегают к высокоинформативным диагностическим способам, способным четко визуализировать исследуемый анатомический объект, к ним относят:
- магниторезонансную компьютерную томографию (МРТ);
 - ультразвуковое исследование колена (УЗИ);
 - диагностическую артроскопию.
 
Что касается рентгена, подобная методика может быть полезна, но только с контрастированием сустава. При обычной рентгенографии мениск на снимках не виден. После установления точного диагноза врач решает, какую тактику лечения лучше применить в конкретном случае. Пациента могут отправить на операцию на мениске коленного сустава или же прописать консервативную терапию.

А в этом случае диагностирован артроз последней стадии.
Нельзя не предупредить о том, что в группу риска входят не только люди, занимающиеся спортом, но и пациенты, у которых присутствуют хронические недуги сустава (артрит, гонартроз и пр.). Им в любой момент может потребоваться операция на колено: мениск при таких состояниях легкоранимый.

Разволокнение тканей в полости сустава говорит и травматизации.
Показания для операции
Полное удаление мениска коленного сустава неизбежно, если диагностика показала разрыв большей части тела или раздробленность хрящевой прослойки. К счастью, такое бывает крайне редко. Органосберегающая операция, которая преимущественно и выполняется, заключается в частичном удалении мениска коленного сустава, то есть резекции только нежизнеспособного участка. Что касается консервативной медицины, она задействуется при несущественных надрывах волокон, микротравмах, структурных дегенеративно-дистрофических изменениях, если они не провоцируют ущемления и суставную нестабильность.

Виды разрывов мениска.
По словам врачей, пациенты не всегда сразу обращаются в больницу, а спустя годы после того, как пережили травму. И то, что ранее казалось обычным ушибом, через время приводит к тяжелым осложнениям. Так как амортизирующая прокладка не располагает достаточной сетью кровеносных сосудов, их практически нет, некоторые разрывы в определенных зонах не могут срастись сами по себе – их следует либо резецировать, либо сшивать. Операция на мениске, а ее разумно делать при свежих травмах, что увеличивает шансы на полноценное восстановление двигательных функций, имеет следующие показания:
- присутствие вертикального разрыва по срединной линии;
 - поперечное или продольное нарушение целостности;
 - лоскутные (языкообразные) передние разрывы;
 - множественные расслоения;
 - отрыв фрагмента хряща от основной пластины;
 - защемление менисковых хрящей;
 - сильно раздробленные структуры;
 - наличие кистозных образований.
 
Удаленный мениск в руках травматолога.
Болтающиеся менисковые части или оторванные хрящевые куски, которые постоянно заклиниваются между сочленяющимися костями, – это настоящая катастрофа для двигательно-опорных функций и здоровья суставных поверхностей. Артроз гарантирован, если своевременно не была проведена операция по удалению мениска коленного сустава, вернее, его патологических фрагментов. А запущенный остеоартроз – прямая дорога к инвалидности. Вот поэтому специалисты не советуют испытывать судьбу, а хотя бы для начала обратиться в травмпункт.
Внимание! В интернет-источниках часто упоминается, что якобы делается замена мениска коленного сустава, заметьте, вскользь и без всяких подробностей. Скудные сведения по поводу вживления донорского материала или имплантата менискового тела говорят просто-напросто о том, что такая методика пока не получила одобрения со стороны экспертов по ортопедии. Ввиду недостаточной базы клинических доказательств эффективности замена мениска, в отличие от эндопротезирования коленного сустава, еще не обрела широкого распространения.
Обзор хирургических методов
Операция мениска коленного сустава, подразумевающая полное/неполное удаление, в ортопедии и травматологии зовется менискэктомией. По способу создания доступа методику классифицируют на 2 вида: открытая и закрытая резекция мениска коленного сустава.
Процедура первого типа подразумевает полостное вскрытие сочленения (длина разреза до 8 см) и совершение манипуляций через полностью открытое операционное поле. С такой устаревшей тактикой практически не работают, потому что она сопряжена значительными интра- и постоперационными рисками. Кроме того, послеоперационное лечение удаленного мениска после открытой радикальной хирургии долгое и очень тяжело переносится пациентами.
Второй вариант основывается на использовании современной миниинвазивной эндоскопической технологии – высокотехнологичной артроскопии. Метод позволяет через 2-3 пункционных прокола (величина 5 мм) продуктивно устранить разрыв мениска, операция при этом отличается надежной безопасностью. Именно на артроскопической процедуре сегодня базируется оказание высокоэффективной и щадящей хирургической помощи людям с разнообразными травмами мениска. Рассмотрим, как артроскопическая менискэктомия проходит.
- Первоначально вводится, конечно, наркоз. Самый распространенный тип анестезиологического обеспечения для такого сеанса – спинальная анестезия. Безусловно, анестетик может быть введен и общего действия. Еще на этапе предоперационной подготовки больного о грамотном подборе наиболее оптимального обезболивающего заботится анестезиолог.
 - Дальше хирург вводит в сочленение через миниатюрный доступ тонкую трубку артроскопа, оснащенную видеокамерой, благодаря которой проблемный компонент выводится на экран монитора в многократно увеличенном формате. Затем через такой же небольшой разрез специальными микрохирургическими инструментами удаляется нефункциональный фрагмент или весь мениск. Заметим, что замену менисков коленных суставов донорским материалом или протезом в данном направлении не практикуют.
 - Нежизнеспособные ткани извлекаются наружу через выводной канал инструмента. При разрыве менисков операция выручает, если нужно прошить разорванный участок. Для этого, используя проводниковую иглу и специальные плетеные нити из полиэстера, врач накладывает прочный продольный или поперечный шов. В конце всех мероприятий делается санация (промывание) сустава с целью дезинфекции и доскональной очистки полости от мелких сегментов хряща.
 

Еще один пример травмы мениска с видом через артроскоп.
Малоинвазивная операция – артроскопия мениска – обладает многогранными возможностями. Она используется и для развернутой диагностики различных патологий колена. На сегодняшний день артроскопия является наиболее информативным и стопроцентно достоверным способом определения даже микроскопических изъянов в гиалиновых и менисковых хрящах, связках, костях, мыщелках, бурсах, капсуле и прочих составляющих сочленения.

Во время операции.
Современные медицинские технологии, бесспорно, достигли вершины развития, благодаря чему многие серьезные суставные болезни, требующие оперативного вмешательства, лечатся безопасно, бескровно и относительно безболезненно. Минимальная травматичность делает возможным сократить сроки послеоперационного лечения удаленного мениска и значительно минимизировать вероятность развития осложнений.
Осложнения после удаления мениска
Удаление мениска неполное и тотальное может иметь последствия, как и любое оперативное вмешательство, хоть и вероятность возникновения негативных реакций невелика. По статистике около 90% операций по удалению менисков коленных суставов прогнозируют благополучный результат без постоперационных проблем. Безусловно, при высокой точности манипуляций, соблюдении асептики и антисептики в ходе процедуры и правильном послеоперационном уходе. Но все же, огласим возможные осложнения:
- тромботические образования в прооперированной конечности;
 - кровотечение вследствие повреждения кровеносных сосудов;
 - травмирование нервного пучка;
 - патогенная инфекция внутри сустава или в операционной ране.
 
Бытует мнение, что распространенным после удаления мениска последствием является артроз. Не спорим, однако важно учитывать и тот момент, что тотальная хирургия, а именно она грозит появлением лет через 15 дегенеративного патогенеза – малоупотребительная тактика, применяемая исключительно в особо сложных случаях, как крайняя мера. Например, если масштабы и тяжесть поражения ну никак не подлежат коррекционной пластике или парциальной резекции мениска коленного сустава, что большая редкость.
Специалисты всегда стараются оставить по максимуму функциональную единицу, понимая, что на ней держится биомеханика костного соединения колена. Поэтому руководствоваться тем, что удаление мениска последствия в виде гонартроза коленного сустава спровоцирует, и не идти к врачу, – это огромная ошибка. Серьезные костно-хрящевые дегенерации, плюс атрофия мышц бедра, тогда точно не заставят себя долго ждать. И даже пущенные на самотек несложные дефекты в коллагеновых структурах хряща, которые в свое время можно было бы полностью вылечить вообще консервативно, сулят аналогичный исход.
Ценная информация! В первую очередь операция спасает мениск, а значит, на колено прекратит действовать патологический источник, препятствующий нормальному взаимодействию суставных костей. Благодаря устранению повреждающего фактора сокращается и вероятность формирования дегенеративно-дистрофического очага в структурах костного соединения.
Реабилитационный период
Послеоперационное лечение частично или тотально удаленного мениска значительно проще, чем если бы его структуры были сшитыми. Терапевтическая программа в каждом отдельном случае разрабатывается индивидуально. По окончании реабилитации ограничений по физической активности нет. Но только важно соблюдать врачебные предписания беспрекословно! Нарушения в лечебно-восстановительной терапии опасны появлением серьезных последствий, начиная от развития инфекции и тромбоэмболии, заканчивая повторной травматизацией внутренних структур колена.
- После артротомии (открытой операции) необходимость в иммобилизации прооперированной ноги составляет в среднем 5 суток, при этом нужно будет пользоваться костылями при ходьбе приблизительно 2 недели (без опоры на конечность!). Чтобы предупредить мышечный гипотонус и образование контрактур, со вторых суток прописывается изометрический ЛФК-комплекс упражнений. Примерно через 1 неделю включают активные движения. Временная нетрудоспособность составляет 3-4 месяца.
 - После артроскопической процедуры иммобилизировать сустав, как правило, не требуется. Проблемную ногу, когда человек находится в постели, следует располагать где-то на 10 см выше грудной клетки. С первых часов выполняется тренировка мышц бедра и голени. В этот же день пациенту разрешается дозировано ходить, не допуская полной нагрузки на ногу, при этом при передвижении тоже используются костыли, иногда трость. Частота, интенсивность, продолжительность всех занятий контролируются строго инструктором по ЛФК. К полноценной осевой нагрузке на ногу постепенно приходят на 4-7 день. Лечебной физкультурой начинают заниматься обычно спустя 24 часа. Окончательное восстановление наступает примерно по истечении 2 месяцев.
 
На протяжении 3 дней, чтобы снять отек и боль, показана криотерапия – местное прикладывание сухого холода. Обработка раны и смена стерильной повязки – обязательный ежедневный ритуал. Швы будут сняты на 7-10 сутки. Специалист прописывает дополнительно обезболивающие и противовоспалительные препараты, антибиотик широко спектра для профилактики инфекционных процессов в ране и во внутрисуставных отделах. Лечебная физкультура всегда идет в сочетании с физиотерапией, где особенная роль отводится электромиостимуляции, магнитолечению и лазеротерапии.
Видео реабилитационного протокола после артроскопического лечения мениска:

Лечение при разрыве мениска колена
В ряде случаев допускается консервативная терапия – временное ограничение нагрузок, прием медикаментов, внутрисуставные инъекции гиалуроновой кислоты, физиотерапевтические процедуры, реабилитационные мероприятия. Однако, если имеется достаточно выраженное повреждение, подтвержденное при обследовании (осмотре врача, магнитно-резонансной томографии), характеризующееся определенной симптоматикой, то без оперативного вмешательства не обойтись. Идеальным балансом эффективности и безопасности, а также легкой переносимостью пациентом обладает современная операция артроскопии коленного сустава.
Преимущества артроскопии мениска
Метод получил популярность благодаря обилию положительных сторон, среди которых выделяют следующие:
- Точная диагностика – даже если другие виды диагностических мероприятий не позволяют определить объемы повреждения, артроскопия справится с этим без проблем – сегодня не существует более эффективной диагностики патологий внутрисуставной полости;
 - Нет необходимости в общем наркозе, а значит операция в большей степени подойдет пациентам, имеющим проблемы с сердечно-сосудистой системой;
 - Быстрое восстановление – уже в день проведения (иногда – через сутки) больной может отправляться домой, возвращение в спорт происходит через несколько недель;
 - Низкий уровень возникновения осложнений – после обычных операций они появляются в разы чаще;
 - Диагностика и лечение осуществляются одновременно, не придется ждать повторных вмешательств, решение о необходимости резекции/сшивании мениска принимается в процессе;
 - Низкая травматичность – практически не повреждаются окружающие ткани;
 - Отсутствие крупных шрамов – остаётся лишь два небольших следа по бокам от коленной чашечки;
 - Адекватная стоимость – несмотря на то, что цена на артроскопию оказывается чуть выше, чем на обычную операцию, вы можете сэкономить на оплате пребывания в стационаре, что в итоге оборачивается существенным сокращением расходов.
 
Ушивание разрывов мениска
В тех случаях, когда разрыв мениска находится возле суставной капсулы, то есть там, где есть активное кровообращение, при недавно произошедшем повреждении, возможно сшить края поврежденной части мениска или произвести восстановление целостности рассасывающимися фиксаторами. При таком объеме операции прогноз наиболее благоприятный, есть шанс возвращения функциональности сустава. Но в отдельных ситуациях назначается резекция или полное удаление мениска с заменой на имплантат.
Резекция мениска коленного сустава
Резекция мениска подразумевает удаление только поврежденных частей при полном разрыве, длительном сдавлении, неблагоприятной локализации разрыва или иных ситуациях. Такую операцию желательно проводить в кратчайшие сроки после травмы. Все здоровые ткани мениска сохраняются, их поверхность выравнивается для лучшего скольжения в суставе. Восстановление функций сустава происходит частично или полностью в относительно быстрые сроки. Реабилитационные мероприятия после операции способствуют наиболее благоприятному исходу.
Менискэктомия
Если резекция невозможна, специалист полностью удаляет мениск ( проводит менискэктомию). Часто решение принимается уже в процессе артроскопического вмешательства. После менискэктомии ключевую роль в возвращении всех двигательных функций и предупреждении осложнений, играет грамотное комплексное ведение послеоперационного периода. Наблюдение пациента специалистом после менискэктомии должно осуществляться на регулярной основе. При необходимости производят в дальнейшем установку имплантата, заменяющего удаленный мениск. Однако такие операции проводят довольно редко.
Подробнее об артроскопической диагностике и лечении: "Артроскопия коленного сустава".
Реабилитация после резекции мениска колена
При необходимости врач назначает следующие реабилитационные мероприятия:
- Кинезиотерапию – один из ключевых способов быстрого восстановления.
 - Лечебный массаж – количество сеансов зависит от особенностей организма, выполненных хирургических манипуляций и других факторов.
 - Магнитотерапию.
 - Электрофорез.
 - Механотерапия – у нас Вы можете арендовать аппарат на дом.
 - Контроль и регулировка хода реабилитации со стороны врачей и специалистов по реабилитации.
 
При наличии жалоб со стороны пациентов, врач назначает повторную артроскопию для выявления и устранения осложнений – такие случаи очень редки, но если они возникают, нужно сразу сообщить об этом врачу.
Механизм повреждения мениска
- Продольный разрыв встречается значительно чаще, чем поперечный разрыв.
 - Частота травм мениска коленного сустава 61:100 000
 - 60% людей в возрасте после 60 лет имеют дегенеративные поражения мениска
 - В 80% случаев поражается медиальный мениск
 - Поражается преимущественно задняя часть мениска (разрыв заднего рога внутреннего или медиального мениска коленного сустава)
 - Сочетанный разрыв латерального мениска и медиального встречается редко (менее 10%)
 - Часто сочетается с поражениями передней крестовидной связки (35-78%)
 - Травматическое или дегенеративное поражение медиального или внутреннего мениска коленного сустава
 - Предрасположенность к поражению менисков у работников профессий, длительно находящихся на коленях (например, кровельщик), и у профессиональных спортсменов (чаще всего дегенеративное повреждение заднего рога внутреннего мениска)
 - Разрыв мениска возникает в том случае, если приложенное воздействие не поглощается внутренними структурами сустава
 - Часто травма мениска колена возникает при ротационном движении и легком сгибании в коленном суставе
 - В зависимости от тяжести травмы повреждение мениска может сочетаться с разрывом крестовидной связки, разрывом коллатеральной связки или остеохондральными переломами.
 
- Тип разрыва: продольный, поперечный, радиарный, дольчатый, в виде коромысла (обширный продольный разрыв, при котором оторванные фрагменты остаются фиксированными в области переднего и задне¬го рогов, но смещаются в межмыщелковое пространство), сочетанные разрывы.
- Расположение: передняя, средняя, задняя треть окружности мениска, медиальная или периферическая треть.
Какой метод диагностики повреждения мениска выбрать: МРТ, КТ, рентген
- МРТ
 - Чувствительность и специфичность около 90%
 - Диагностика и предоперационное планирование лечения повреждение мениска коленного сустава (расположение, тип, распространенность).
 
- Рентгенологическое исследование для исключения поражения кости
 - Чаще всего вторичные дегенеративные изменения.
 
- Последовательности ТSЕ и SЕ с коротким временем эха
 - Последовательность SЕ часто ложноположительная
 - Повреждение латерального мениска и повреждение заднего рога медиального мениска часто сочетаются с повреждением хрящевой ткани и изменением сигнала, сходным с отеком костного мозга.
 
- 0 степень: нормальные признаки.
- I степень: очаги повышения сигнала, не распространяющиеся на поверхность.
- II степень: линейные зоны увеличения интенсивности сигнала, которые не достигают поверхности.
- III степень: очаговые или линейные зоны увеличения интенсивности сигнала, которые достигают поверхности мениска.
- IV степень: несколько участков увеличения интенсивности сигнала, ко¬торые достигают поверхности мениска; фрагментация мениска.
При исследовании более чем в одной плоскости и изображении более чем на одном срезе - диагноз повреждения медиального мениска 2 степени и 3 степени по Stoller более точен.
распространенность разрыва более 1 см (одна треть окружности мениска); смещение фрагмента; сочетанный разрыв (многоплоскостной).
Клинические проявления
Типичные проявления или симптомы повреждения мениска коленного сустава:
- Боль при разгибании
 - Пораженный сустав находится в вынужденном согнутом положении
 - Ограничение функции (физические нагрузки, под¬вижность)
 - Выпот в полости сустава
 - Припухлость
 - Гемартроз.
 
Клинические тесты - симптомы травма мениска коленного сустава: боль вызывается компрессией суставной щели (признак Böhler, признак Пайера, признак Штеинманна II: задний рог) или приложением ударной силы (признак Штеинманна I).

 
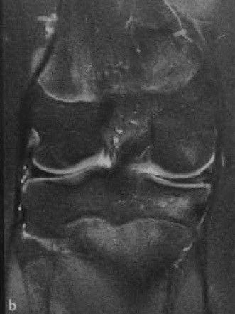
а, b Посттравматический разрыв мениска. МРТ. Протонное плотновзвешенное изображение ТSЕ с подавлением МР-сигнала от жировой ткани, а Промежуточное фронтальное и b заднее фронтальное изображения. Обширный разрыв (размер продольного компoнента более 15 мм) в промежуточной части и заднем роге медиального мениска. Распространенность поражения и наличие дополнительного поперечного компонента (b) (сочетанный разрыв) - признак нестабильности.
Методы лечения травмы мениска коленного сустава
- Консервативное лечение при мелких, преимущественно бессимптомных стабильных дегенеративных повреждениях и травмах мениска ношение наколенника для стабилизации сустава
 - Операция при лечении разрыва заднего рога медиального мениска заключается в сшивании мениска (периферическая треть) или резекции поражения с отделенными подвижными фрагментами, при малейшей возможности стремясь к сохранению мениска.
 
Течение и прогноз
- При отсутствии лечения механически значимое поражение сочетается с увеличением риска вторичного артрита, так как мениск гасит до 40% нагрузки, передающейся с бедренной кости на большеберцовую кость.
 
Что хотел бы знать лечащий врач
- Тип поражения и его тяжесть
 - Диагноз
 - Дополнительные изменения кости или хряща.
 
Какие заболевания имеют симптомы, схожие с повреждением мениска коленного сустава
МРТ обычно точно дифференцирует поражение мениска от других нарушений (например, гонартроза, повреждения связок коленного сустава, рассекающего остеохондрита, ревматоидного артрита, подагры, переломов, свободных инородных тел в суставной щели и синовита).


Классификация нарушения сигнала, наблюдаемого при поражении мениска.
Советы и ошибки
Ложноотрицательные результаты при небольшом посттравматическом радиальном разрыве заднего рога латерального мениска.
Читайте также:


