Мрт болезнь педжета что это такое
а) Терминология:
1. Сокращения:
• Болезнь Педжета (БПж)
2. Синонимы:
• Деформирующий остеит
3. Определение:
• Хроническое метаболическое заболевание скелета
• Характеризуется утолщением костных структур с вариабельной степенью их деструктивных ± склеротических изменений
б) Визуализация:
1. Общие характеристики болезни Педжета:
• Лучший диагностический критерий:
о Дефекты с четкими контурами и/или выраженное утолщение + склероз
• Локализация:
о Моностозный характер (10-35%): часто поражается осевой скелет
о Полиостозный характер (65-90%)
о Череп (25-65%): изменения могут быть ограничены основанием черепа

(Слева) МРТ, постконтрастное Т1 -ВИ, режим подавления сигнала от жира, аксиальный срез: у этого же пациента наблюдается фрагментарное накопление контрастного вещества в области костей свода черепа, что указывает на наличие активных поражений в данном случае длительного течения заболевания.
(Справа) КТ, костное окно, аксиальный срез, крупный план: представлена классическая склеротическая фаза болезни Педжета с поражением височной кости. Кость утолщена, ее структура уплотнена за счет склероза.
4. МРТ признаки болезни Педжета:
• Т1-ВИ:
о Зоны гиперинтенсивного сигнала за счет желтого мозга обычно остается неизменным:
- Иногда жировая ткань выражена в большем количестве в измененных, чем в сохранных костных структурах
о Ранняя деструктивная-ранняя промежуточная фазы:
- ↓ интенсивность сигнала от костного мозга вследствие замещения костного мозга
- Остаточные нормальные очаги желтого костного мозга → исключает злокачественную трансформацию
о Поздняя склеротическая фаза: снижение интенсивности сигнала от костного мозга вследствие склеротических изменений, а также огрубения трабекул и утолщения кортикального слоя
о Псевдоопухолевая форма БПж: сохраняются участки желтого костного мозга
• Т2-ВИ:
о Изменение костного мозга в виде его замещения
• Постконтрастные Т1-ВИ:
о ↑ контрастное усиление, отражающее патологическое ↑ васкуляризации
• МР-признаки осложнений болезни Педжета (БПж):
о Деформация и уплощение головного мозга
о Деформация ствола мозга вследствие базилярной инвагинации
о Приобретенная аномалия Киари 1
о Саркоматозная трансформация:
- Замещение костного мозга, очаговое разрушение костной ткани, мягкотканное объемное образование
о Трансформация в ГКО:
- Литическое поражение без периостальной реакции/объемного образования
- Замещение костного мозга позволяет отличить данное состояние от типичной литической фазы болезни Педжета (БПж)
- Возможны кистозные и геморрагические изменения
6. Рекомендации по визуализации:
• Лучший инструмент визуализации:
о Рентгенография + остеосцинтиграфия:
- Изменения при сцинтиграфии костей + рентгенографии выявляются в 56-86% случаев
- Изменения только при остеосцинтиграфии наблюдаются в 2-23% случаев
- Изменения только при рентгенографии наблюдаются в 11—20% случаев
о Бесконтрастная КТ позволяет детализировать изменения/оценить степень поражения, особенно при БПж основания черепа
о МРТ для оценки осложенинй БПж
• Совет по протоколу исследования:
о Бесконтрастная КТ: высокоразрешающее тонкосрезовое сканирование через основание черепа
о МРТ:
- Корональные + сагиттальные срезы для выявления БИ
- Постконтрастные Т1 -ВИ для исключения малигнизации
в) Дифференциальная диагностика болезни Педжета:
1. Остеосклеротические метастазы:
• Классическая локализация первичных опухолей: предстательная железа, молочная железа, лимфома
2. Остеолитические метастазы:
• Большинство метастазов в кости, включая метастазы при раке легких, почек, щитовидной железы
4. Другие причины утолщения костей свода черепа:
• Гиперостоз внутренней пластинки лобной кости, менингиома, хроническая кальцинированная субдуральная гематома
г) Патология:
2. Макроскопические и хирургические особенности:
• Локализованные зоны ↑ резорбции костной ткани + избыточный аберрантный неоостеогенез:
о Аномальная мягкость новой костной ткани обусловливает деформацию скелета
д) Клиническая картина:
1. Проявления болезни Педжета:
• Наиболее частые признаки/симптомы:
о В 20% случаев бессимптомное течение
о Усталость, боль, болезненность при пальпации, ↑ размеров головного убора
о Гипертермия вследствие гиперваскуляризации
о Недостаточность функции черепного нерва(ов), пульсирующий тиннитус
о Новый эпизод появления боли/опухания → злокачественная трансформация
• Клинический профиль:
о Пожилые пациенты
о ↑ сывороточной щелочной фосфатазы (смешанная и бластная фазы)
о ↑ гидроксипролина в сыворотке крови/моче (литическая фаза)
2. Демография:
• Возраст:
о > 55 лет (обычно около 70 лет); редко афроамериканцы > африканцы
о ↑ заболеваемость у евреев-ашкенази
• Эпидемиология:
о 3-4% > 40 лет; 10-11 % > 80 лет
• Географическое распределение:
о ↑ заболеваемость в северных широтах по всему земному шару
о ↑ в Великобритании: страны, населенные британцами (Австралия, Новая Зеландия, США) характеризуются ↑ заболеваемостью
о Редко в Азии и Африке (за исключением Южной Африки)
3. Течение и прогноз:
• У 10% пациентов развивается вторичный гиперпаратиреоз вследствие гиперкальциемии, обусловленной агрессивным ремоделированием костей
• Утолщение костей основания черепа → недостаточность функции черепных нервов, сенсоневральная тугоухость (вовлечение улитки), смешанная тугоухость (фиксация стремечек к овальному окну)
• БИ: до 30% случаев; чаще у женщин → компрессия ствола мозга, сирингомиелические полости, обструктивная гидроцефалия
• Злокачественная трансформация:
о Саркоматозная трансформация (в 1 % случаев или меньше):
- М: Ж = 2:1; 55-80 лет
- Остеосаркома (50-60%), фибросаркома/злокачественная фиброзная гистиоцитома (20—25%), хондросаркома (10%)
- Нередко метастазируют, наиболее часто в легкие
о ГКО:
- ГКО черепа/области лица практически всегда связан с болезнью Педжета (БПж)
- М:Ж= 1,6:1; 32-85 лет
- Одиночная или множественные; в 91 % случаев наблюдаются при полиостозном варианте болезни Педжета (БПж)
- Редко приводят к смерти; обычно не метастазируют
4. Лечение болезни Педжета:
• Медицикаментозное:
о Цель: контроль, уменьшение и облегчение боли, а не возвращение нормальной костной ткани:
- Кальцитонин, бисфосфонаты, митрамицин
- НПВС и ацетаминофен для купирования боли
- Лечение может приводить (не всегда) к улучшению/нормализации рентгенологической картины
• Биопсия под контролем КТ необходима для диагностики саркоматозной трансформации
е) Список литературы:
1. Wodajo FM: Top Five Lesions That Do Not Need Referral to Orthopedic Oncology. Orthop Clin North Am. 46(2):303-314, 2015
2. Galson DL et al: Pathobiology of Paget's Disease of Bone. J Bone Metab. 21 (2):85—98, 2014
3. Griz L et al: Diagnosis and management of Pagets disease of bone. Arq Bras Endocrinol Metabol. 58(6):587-99, 2014
4. Gruener G et al: Paget's disease of bone. Handb Clin Neurol. 1 19:529-40,2014
5. Guahabens N et al: Implications of a new radiological approach for the assessment of Paget disease. Calcif Tissue Int. 91 (6):409-15, 2012
Редактор: Искандер Милевски. Дата публикации: 13.5.2019
Что такое болезнь Педжета и почему она развивается
- Чаще встречается в Западной Европе, Северной Америке и Австралии.
- Синонимы: остеит деформирующий, деформирующая остеодистрофия, деформирующий остоз
- Болезнь Педжета (деформирующий остеит) – хроническое заболевание, характеризующееся повышенной резорбцией костной ткани (разрушением), приводящей к ослаблению, деформации и болезненности костей.
- Частота: 3% людей в возрасте после 40 лет
- 90% пациентов с диагнозом деформирующий деформирующий остоз имеют возраст старше 40 лет Мужчины поражаются в 1,5-2,1 раза чаще, чем женщины
- Точная этиология болезни Педжета не установлена;
- обсуждается связь с инфицированием остеокластов парамиксовирусами и вследствие этого ускорение разрушения костной ткани и ремоделирования.
Какой метод диагностики болезни Педжета выбрать: МРТ, КТ, рентген, УЗИ
- рентгенологическое исследование.
- Зависят от стадии заболевания
- Часто увеличение объема кости
- Склеротические изменения и грубая трабекуляция.
- Наблюдается преимущественно: кости таза, бедренная кость, большеберцовая кость, череп, тела позвонков, грудина.
- Формы болезни Педжета с поражением одной или нескольких костей.
Стадии:
I стадия (литическая): острая стадия
- Увеличение кровотока
- Остеолизис
- Поражение длинных трубчатых костей определяется как деструкция кортикального слоя кости в виде очагов пламени или в форме клина.
- смешанное остеолитическое и склеротическое поражение
- Утолщение кортикального слоя
- Грубая трабекулярность
- Увеличение пораженной кости.
III стадия (стадия стихания процесса/склеротическая):
- преобладание склероза кости с возможным деформированием кости (например, саблевидная большеберцовая кость или деформация бедренной кости в форме посоха)
- Переломы вследствие недостаточности костной ткани, особенно на выпуклой части кривизны.
- грубый склероз отдельных позвонков
- типичные признаки включают увеличение переднезаднего диаметра и полосовидное затемнение вдоль верхней и нижней замыкательной пластинки позвонка.

Женщина 67 лет с болезнью Педжета , поражающей правую половину таза. Рентгенологическое изображение таза. Склеротическая стадия заболевания с преобладанием склероза в правой половине таза. Поражение обычно не пересекает крестцово-подвздошного соединения. Артропатия Педжета правого тазобедренного сустава.

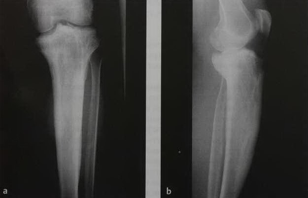
а, b Мужчина 72 лет с болезнью Педжета большеберцовой кости. На рентгенограмме большеберцовой кости в проекциях а) прямой, b) боковой определяется расширение кости, склероз, грубая трабекулярность.
- Сходны с рентгенологическими признаками
- Показана для профилактики возможных осложнений (сдавление нервов, злокачественная трансформация)
- Подозрение на злокачественный процесс возникает при обнаружении нового литического очага в склерозированной кости с мягкотканным компонентом либо формировании новой кости в области, прилегающей к пораженной (остеосаркома) Дифференциальная диагностика.
- МРТ особенно показана при наличии подозрения на саркоматозную трансформацию: возникновение нового гипоинтенсивного участка на Т1-взвешенном изображении, соответствующего гиперинтенсивному участку, определявшемуся в стадии стихания заболевания.
- гипоинтенсивное на Т1-взвешенном изображении
- Гиперинтенсивное на изображении с подавлением МР-сигнала от жировой ткани, накопление контрастного вещества (в сравнении с фиброзно-сосудистой соединительной тканью)
- Неотличима от опухоли!
- сигнал вновь становится изоинтенсивным по отношению к жировой ткани
- Гиперинтенсивное на Т1-взвешенном изображении
- Гипоинтенсивное на изображении с подавлением МР-сигнала от жировой ткани.
- Участки повышенного метаболизма кости (очаги высокой интенсивности) в стадии I и II
- Четкая корреляция с активностью заболевания
- Подтверждение или исключение формы с поражением нескольких костей.
Клинические проявления
Типичные проявления или основные симптомы оссеита :
- Бессимптомное течение в 90% случаев
- Болевой синдром встречается редко; увеличение локальной температуры и покраснение
- Типично увеличение уровня щелочной фосфатазы, в то время как уровень кальция и фосфатов в пределах нормы
- Новое возникновение болевого синдрома в области поражения подозрительно в отношении злокачественной трансформации.
Методы лечения
- Кальцитонин (ингибирует активность остеокластов) и бисфосфонаты уменьшают активность болезни Педжета.
Течение и прогноз
- Повторное рентгенологическое исследование и уровень щелочной фосфатазы в сыворотке крови для мониторинга течения и активности заболевания
- Злокачественная трансформация возникает в 1% случаев: остеосаркома, фибросаркома, гигантоклеточная опухоль
- Иногда развивается артропатия Педжета (дегенерация и деформация суставов)
- При вовлечении в процесс основания черепа может возникать клиника сдавления черепно-мозговых нервов.
Что хотел бы знать лечащий врач
- Одно- или многокамерное поражение
- Патологические переломы
- Размеры и распространенность очага ремоделирования кости при болезни Педжета
- Деформации кости
- Признаки злокачественной трансформации.
Какие заболевания имеют симптомы, схожие с болезнью Педжета
Метастазы
- Более агрессивная структура роста П-Ш (по Lodwick)
Фиброзная дисплазия
Гемангиома позвонка
- Отсутствие усиления МР-сигнала от позвонка
- Увеличение трабекуляции позвонка
Искривление костей черепа, ног, рук, таза и позвоночного столба, мучительные боли, потеря слуха, зрения – как противостоять этим тягостным последствиям и сохранить трудоспособность?
Особенности
Существует еще два медицинских термина, определяющих болезнь Педжета, — остеодистрофия или деформирующий остеит.

Деформирующий остеит — что это такое? Это состояние, для которого характерны хаотично протекающие процессы рассасывания и восстановления кости. Старая костная ткань при болезни Педжета разрушается раньше, чем должно быть в норме, а новая образуется аномально быстро. Такие не регулируемые процессы ведут к формированию рыхлой и мягкой кости, легко подвергающейся переломам, искривлениям и дистрофическим изменениям.
У 30% больных поражения обнаруживают в одной кости, но в среднем болезнь затрагивает 2 парные или сразу 3 кости. При болезни Педжета наиболее часто дегенеративные процессы наблюдают в костях конечностей, таза, позвоночного столба и черепа.

Причины
Точная причина, приводящая к остеодистрофии пока не установлена, но существует ряд обоснованных медицинских гипотез.
Причинными факторами, провоцирующими костные деформации при болезни Педжета считают:
- Долговременную скрытую активность в организме вирусов кори, собачьей чумы;
- Аномальные изменения в обменных процессах фосфора и кальция;
- Генетические мутации.
В 2 раза чаще заболевают мужчины старше 40 – 43 лет в Британии, Греции, Европе.
Симптомы
Клинические признаки определяются видом больной кости и тяжестью процесса. При медленном и скрытом течении патологии пациенты не испытывают болей и других признаков аномального процесса.
Если симптомы болезни Педжета возникают, то развиваются постепенно. К распространенным проявлениям остеодистрофии относятся:

Осложнения
Прогрессирование дистрофических процессов при болезни Педжета приводят к серьезным осложнениям:
- Спонтанные переломы, возникающие при незначительном давлении;
- Остеоартрит и остеоартроз;
- Сдавливание нервных узлов деформированными костями черепа и позвонков, что ведет к сильным болям, ухудшению зрения, слуха вплоть до потери функций (нейрогенная глухота или отосклероз);
- Сердечная недостаточность;
- Кровотечения в ходе эндопротезирования на костях с выраженными сосудистыми разрастаниями;
- Снижение или аномальное повышение в крови кальция.
Диагностика
При подозрении на болезнь Педжета костей предусмотрены следующие диагностические методы:
- Рентгенография. На снимках просматривается разрастание кости, рыхлая грубоволокнистая структура, деформации, очаги разрушения, микропереломы;
- Исследование крови на содержание щелочной фосфатазы (повышено), С- и N-телопептидов (повышено), кальция и фосфата;
- Анализ мочи. При болезни Педжета повышен уровень основных белков коллагена — пиридинолина, оксипролина, дезоксипиридинолина;
- Остеосцинтиграфия для точной локализации участков поражения, динамического наблюдения пациентов и оценки результативности терапии болезни Педжета;
- КТ и МРТ (томография) при подозрении на злокачественное перерождение деформированных участков.

Лечение
Лечение деформирующего остеита нацелено:
- На подавление активности остеокластов, растворяющих минеральный состав костной ткани;
- Уменьшение болей и другой тягостной симптоматики;
- Замедление патологических процессов, ведущих к новым спонтанным переломам, дистрофии, потере слуха, неврологическим расстройствам.
Медикаментозная терапия
Терапия лекарственными средствами показана:
- Если уровень фермента сывороточной щелочной фосфатазы превышает норму в 2 раза даже при отсутствии признаков болезни;
- Если у больного наблюдаются признаки дистрофических изменений в черепных и позвоночных костях;
- Для предупреждения или замедления развития осложнений, особенно в тех случаях, когда хирургическое лечение невозможно или нежелательно;
- Для уменьшения болей при костных деформациях.
Лекарства, назначаемые в первую очередь, — это азотсодержащие бисфосфонаты. Часть препаратов пациент принимает внутрь — в таблетках, а часть получает в форме капельных внутривенных инфузий.

Фрагменты бисфосфонатов встраиваются в кость, связываются с кальцием, накапливаются и повышают сопротивляемость ткани к разрушающему действию остеокластов. Связанное с костной тканью активное вещество много лет находится в ней, продолжая замедлять аномальные процессы — например, время распада бисфосфоната алендроната составляет примерно 20 лет.
- Ризедронат (Актонель);
- Альдендронат (Фосамакс);
- Памидронат;
- Ибандронат;
- Золедроновая кислота.
Золедронат (Акласта), содержащий две молекулы азота, действует более эффективно и длительно. В отличие от других, внутривенная инъекция Золедроната делается только раз в 12 месяцев.
Выпускают одно- и двухкомпонентные бисфосфонаты, имеющие в составе кальций или витамин D.
- Бисфосфонаты в таблетках хорошо переносятся пациентами, но могут раздражать желудок и пищевод, вызывать изжогу, тошноту, диарею, боли в суставах. Чтобы избежать подобных реакций и почти на 50% усилить действие лекарства, таблетки пьют утром за 2 часа до завтрака, запивая 1 – 2 стаканами воды. После приема таблетки 30 — 40 минут нельзя ложиться горизонтально.
- Лекарством второй линии, которое назначают при непереносимости или неэффективности бисфосфонатов, является синтетический кальцитонин лосося. Препарат тормозит процесс рассасывания кости, стимулирует минерализацию, способствуя формированию полноценной костной ткани.
- Длительное получение бисфосфонатов при остеодистрофии может привести к уменьшению количества кальция в крови (гипокальциемии), поэтому в терапию обязательно включают средства с кальцием и витамином D. Промежуток между приемом бисфосфоната и кальция (или витамина D) должен составлять не меньше 2 часов.
- Чтобы снизить выраженность болей в суставах и костях при остеодистрофии врач назначает болеутоляющие препараты в таблетках и инъекциях с противовоспалительным действием: Темпалгин, Баралгин, Диклофенак, Лорносикам, Ксефокам, Кетонал.



Правильно проводимая терапия полностью не излечивает болезнь, но обеспечивает длительный период снижения активности всех аномальных процессов.
Немедикаментозная терапия
Костные деформации нижних конечностей при болезни Педжета, приводящие к двигательным нарушениям, компенсируют с помощью ношения ортезов — ортопедических приспособлений. Ортезы разгружают позвоночник или больную ногу, уменьшают боли и сдерживают прогрессирование дегенеративного процесса.
Индивидуально подобранная ортопедом программа упражнений необходима пациенту даже при постельном режиме.
Оперативное лечение
При появлении признаков осложнений болезни Педжета в виде аномальных переломов, очагов дистрофии, сильных искривлений, нередко требуется госпитализация и хирургическое лечение.
Применяют следующие техники:

Болезнь Педжета – деформирующее заболевание костей, при котором нарушены процессы ремоделирования и восстановления их ткани. Синонимами болезни являются деформирующий остоз, деформирующая остеопатия.
Об истории болезни Педжета
В конце 19 века Джеймс Педжет описал несколько случаев заболеваний костей воспалительной природы. Как оказалось, до него подобные случаи тоже встречались, но считались казуистикой. Характерные для болезни Педжета изменения костей были обнаружены даже при раскопках в скелетах древних людей.
Педжет предположил, что в основе заболевания лежит хроническая воспалительная реакция, вызванная вирусами. Спустя годы эта теория стала одной из ведущих в учении о болезни Педжета, хотя до сих пор ученые не могут сойтись на едином мнении о происхождении заболевания.
На микроскопическом уровне в костной ткани при подобном поражении обнаруживаются участки склероза, сменяющиеся остеопорозом, разрастание кровеносных сосудов в месте поражения. Нижние конечности страдают и деформируются сильнее, так как на пораженную кость влияет и весовая нагрузка всего тела.
Сейчас есть факты, подтверждающие наследование семейной предрасположенности к болезни Педжета. Мужчины болеют чаще женщин, возраст пациентов на момент обнаружения заболевания почти всегда старше 40 – 50 лет, юношеские формы встречаются редко. Чем моложе заболевший человек, тем быстрее развивается и злокачественней прогрессирует болезнь.
Чаще всего болезнь Педжета встречается в Великобритании, а вот в Японии и Индии не зарегистрировано ни одного случая.
Симптомы болезни Педжета
При данной болезни поражается костная ткань. Выделяют формы болезни Педжета с поражением одной или нескольких костей. Первоначальные проявления незначительны и неспецифичны. Болезнь Педжета поражает кости:
- Нижних конечностей;
- Черепа;
- Плечевого пояса;
- Ребер.
Кости становятся слабыми, перерастягиваются и искривляются. По степени разрушения костной ткани в течении заболевания выделяют 3 стадии.
Основными симптомами болезни Педжета являются:
- Нарушение функций пораженных конечностей, тазового и плечевого пояса, позвоночника;
- Ноющие боли в костях;
- Костные деформации.
Боли начинают беспокоить человека в среднем на 5 лет раньше, чем можно будет обнаружить патологический процесс в костях с помощью рентгеновских лучей. Пациент испытывает более выраженную боль при поражении костей таза, ног и позвоночника.
При данном заболевании изменяется форма мозговой части черепа, он увеличивается в размерах, ноги приобретают X- или О-образную форму. Одним из симптомов болезни Педжета является снижение слуха. Происходит это потому, что перестройка височной кости вызывает сдавление проходящих в ней слуховых нервов.
Считается, что за 1 год болезни пораженным оказывается около 1 см костной ткани.
Диагностика болезни Педжета

Кроме анамнеза и жалоб пациента заболевание можно подтвердить объективными методами.
Рентгенологические признаки болезни Педжета:
- Поражаются, в основном, кости мозгового черепа, позвонки грудного отдела позвоночника, ребер и конечностей;
- Очаги остеопороза (разрежения костной ткани) чередуются с очагами уплотнения кости;
- Утолщение костей черепа в 2 раза;
- Наружная пластинка костей черепа с нечеткими очертаниями;
- Внутренняя пластинка костей черепа резко уплотнена;
- Позвонки выглядят деформированными, уплощенными, увеличиваются в окружности;
- Сужаются суставные щели нижних конечностей.
Из-за того, что на рентгене область поражения выглядит сильно измененной, требуется дифференцировать болезнь Педжета с опухолевыми метастазами и гемангиомой. Сцинтиграфия костей помогает установить точное место поражения.
Из лабораторных методов диагностики могут быть полезными показатели, свидетельствующие об активизации минерального обмена – щелочная фосфатаза и остеокальцин, а также уровни кальция, фосфора и магния.
Осложнения болезни Педжета
Из-за нерегулируемой перестройки костной ткани очаги поражения при болезни Педжета могут перерождаться в злокачественные костные опухоли. Чаще всего на фоне заболевания развиваются фибросаркома, остеогенная саркома и гигантоклеточная опухоль.
Навести на мысль о злокачественном перерождении могут такие симптомы болезни Педжета, как постепенное усиление болей, которые становятся продолжительнее и не реагируют на терапию дифосфонатами. Усиливается деформация костей, в них могут появляться мягкие очаги и патологические переломы.
Лечение болезни Педжета
Терапия обязательно должна проходить под контролем травматолога-ортопеда. В качестве медикаментозного лечения болезни Педжета, с целью повлиять на минеральный обмен в костях, применяют средства на основе тиреокальцитонина. Курс лечения этими препаратами в среднем длится 28 – 30 дней, в течение года требуется повторение его 2 – 3 раза.
В процессе лечения тиреокальцитонином необходим контроль показателей минерального обмена (костной фракции щелочной фосфатазы, кальция и фосфора в крови и моче, гидроксипролина мочи). При передозировке тиреокальцитонина бывает гипокальциемия (в крови снижается уровень кальция).
Препарат ксидифон (группа бифосфонатов) нельзя применять при остеомаляции. Он снижает в крови уровень кальция. Дозу подбирают индивидуально, с учетом динамики процесса.
С болевым синдромом болезни Педжета борются посредством нестероидных противовоспалительных средств (например, принимая парацетамол). Больные с таким заболеванием нуждаются в достаточном количестве витамина D и кальция.
При переломах и артритах может понадобиться помощь хирургов и травматологов, эндопротезирование, при нарушении способности слышать – специальные слуховые аппараты.
Хирургическая помощь может стать необходимой для устранения переломов костей или лечения артрита заменой сустава (эндопротезированием). При снижении слуха используют слуховые аппараты.
Видео с YouTube по теме статьи:
Информация является обобщенной и предоставляется в ознакомительных целях. При первых признаках болезни обратитесь к врачу. Самолечение опасно для здоровья!
Самое редкое заболевание – болезнь Куру. Болеют ей только представители племени фор в Новой Гвинее. Больной умирает от смеха. Считается, что причиной возникновения болезни является поедание человеческого мозга.
Средняя продолжительность жизни левшей меньше, чем правшей.
В нашем кишечнике рождаются, живут и умирают миллионы бактерий. Их можно увидеть только при сильном увеличении, но, если бы они собрались вместе, то поместились бы в обычной кофейной чашке.
В стремлении вытащить больного, доктора часто перегибают палку. Так, например, некий Чарльз Йенсен в период с 1954 по 1994 гг. пережил более 900 операций по удалению новообразований.
Ученые из Оксфордского университета провели ряд исследований, в ходе которых пришли к выводу, что вегетарианство может быть вредно для человеческого мозга, так как приводит к снижению его массы. Поэтому ученые рекомендуют не исключать полностью из своего рациона рыбу и мясо.
Самая высокая температура тела была зафиксирована у Уилли Джонса (США), который поступил в больницу с температурой 46,5°C.
В четырех дольках темного шоколада содержится порядка двухсот калорий. Так что если не хотите поправиться, лучше не есть больше двух долек в сутки.
Многие наркотики изначально продвигались на рынке, как лекарства. Героин, например, изначально был выведен на рынок как лекарство от детского кашля. А кокаин рекомендовался врачами в качестве анестезии и как средство повышающее выносливость.
Люди, которые привыкли регулярно завтракать, гораздо реже страдают ожирением.
Образованный человек меньше подвержен заболеваниям мозга. Интеллектуальная активность способствует образованию дополнительной ткани, компенсирующей заболевшую.
Желудок человека неплохо справляется с посторонними предметами и без врачебного вмешательства. Известно, что желудочный сок способен растворять даже монеты.
Человеческие кости крепче бетона в четыре раза.
Раньше считалось, что зевота обогащает организм кислородом. Однако это мнение было опровергнуто. Ученые доказали, что зевая, человек охлаждает мозг и улучшает его работоспособность.
Первый вибратор изобрели в 19 веке. Работал он на паровом двигателе и предназначался для лечения женской истерии.
Лечение в Израиле - это комплексный подход в диагностике заболевания, составление индивидуальных терапевтических схем, реабилитация и помощь в социальной адапта.
Читайте также:


