Поперечный шов затылочной кости
Подробное строение, анатомия затылочной кости и его составных частей: базилярной, латеральной, а также затылочной чешуи. Аномалии развития затылочной кости.
Затылочная кость (os occipitale) находится в задненижней части мозгового отдела черепа.
- базилярная
 - две латеральные части
 - затылочная чешуя.
 

Данные части ограничивают большое (затылочное) отверстие (foramen magnum). Передний край отверстия располагается выше заднего края. Вдоль задней полуокружности этого отверстия имеется костный валик толщиной 4-7 мм. Данный валик является местом прикрепления задней атлантозатылочной мембраны. К внутреннему краю большого (затылочного) отверстия прикрепляется твердая оболочка головного мозга, а вокруг него расположен краевой синус этой оболочки.
Базилярная часть затылочной кости
Базилярная часть (pars basilaris) расположена сзади от большого отверстия. Спереди соединяется с телом клиновидной кости, вместе с которым образует площадку — скат (clivus), на котором находится ствол головного мозга.
 
Базилярная часть имеет:
- Глоточный бугорок (tuberculum pharyngeum) – находятся на нижней поверхности базилярной части. К нему прикрепляются шов глотки и передняя продольная связка позвоночника. По обе стороны от глоточного бугорка находятся ямочки. К ним прикрепляются длинные мышцы головы, а чуть кзади — передние прямые мышцы головы.
 - Борозду нижнего каменистого синуса (sulcus sinus petrosi inferioris) – расположена по краям базилярной части. К нему прилежит одноименный синус твердой оболочки головного мозга.
 
Наружный край базилярной части затылочной кости примыкает к пирамиде височной кости. Между ними образуется каменистозатылочная щель (fissura petrooccipitalis), заполненная хрящом.
Латеральная часть
Латеральная часть (pars lateralis) затылочной кости, парная, сзади переходит в ее чешую.
Латеральная часть имеет:
- Затылочный мыщелок (condylus occipitalis) — эллипсоидное возвышение. Необходим для сочленения с первым шейным позвонком. Поверхность каждого затылочного мыщелка выпуклая.
 - Мыщелковую ямку (fossa condylaris) – расположена кзади от мыщелка. На ее дне — отверстие, ведущее в мыщелковый канал (canalis condylaris). Его длина — 8 мм, диаметр — 3 мм. Через него проходит одноименная вена.
 

- Канал подъязычного нерва (canalis nervi hypoglossi) – находится в основании мыщелка. Имеет длину 8 мм, диаметр 4-5 мм. Через него проходят одноименный нерв и венозное сплетение.
 - Яремную вырезку (incisura jugularis) – расположена сбоку от затылочного мыщелка. Имеет небольшой внутрияремный отросток (processus intrajugularis). Кзади и кнаружи яремную вырезку ограничивает яремный отросток (processus jugularis). На его наружной поверхности находится маленький околососцевидный отросток (processus paramastoideus). К нему прикрепляется латеральная прямая мышца головы.
 - Борозду сигмовидного синуса (sulcus sinus sygmoidei) — находится на мозговой поверхности. Кпереди и медиальнее борозды находится небольшой яремный бугорок (tuberculum jugulare). Бугорок располагается на границе базилярной и латеральной частей затылочной кости.
 
Затылочная чешуя
Затылочная чешуя (squama occipitalis) имеет:
- Крестообразное возвышение (eminentia cruciformis) на внутренней стороне. В центре возвышения расположен внутренний затылочный выступ (protuberantia occipitalis interna).
 - Парную мозговую ямку, к которой прилежат затылочные доли полушарий большого мозга.
 - Борозду поперечного синуса (sulcus sinus transversi) — идёт поперечно от внутреннего затылочного выступа. Данная борозда продолжается книзу в борозду сигмовидного синуса (sulcus sinus sigmoidei). К бороздам прилежат одноименные синусы твердой оболочки головного мозга.
 

- Внутренний затылочный гребень (crista occipitalis interna) — идёт вниз от внутреннего затылочного выступа к затылочному отверстию. К гребню крепится серп мозжечка и проходит затылочный синус твердой оболочки головного мозга. По обе стороны затылочного гребня расположены мозжечковые ямки (fossae cerebellaris). К ним прилежат полушария мозжечка.
 - Наружный затылочный выступ (protuberantia occipitalis externa) — находится на задней поверхности затылочной чешуи. Является одним из мест начала трапециевидной мышцы. От наружного затылочного выступа к затылочному отверстию проходит наружный затылочный гребень (crista occipitalis externa). От наружного затылочного выступа в стороны расходится парная верхняя выйная линия (linea nuchalis superior), выше и параллельно расположена парная наивысшая выйная линия (linea nuchalis suprema), а ниже — нижняя выйнaя линия (linea nuchalis inferior). К этим линиям прикрепляются затылочные мышцы и фасции.
 
Передненижний край затылочной чешуи ограничивает сзади большое (затылочное) отверстие, служащее границей между головным (продолговатым) и спинным мозгом. Боковой край чешуи соединяется с затылочными краями теменной и височной костей.
Аномалии строения затылочной кости
У человека затылочная кость может иметь различные варианты и аномалии строения.
- Верхняя часть затылочной кости в процессе развития может не срастаться с остальной частью, отделяясь от нее поперечным швом. В результате обособляется самостоятельная межтеменная кость.
 - Иногда затылочные мыщелки частично или полностью срастаются с шейным позвонком (ассимиляция атланта).
 - Вокруг затылочной кости в швах часто имеются небольшие добавочные кости разной формы — кости швов.
 - Нередко наружный затылочный выступ сильно выражен и приобретает вид отростка, выраженного бугра.
 - Большое (затылочное) отверстие может иметь овальную или округлую форму, нередко оно асимметрично.
 
- Home
 - Кости черепа
 - _Список всех статей
 - __DropDown 1
 - __DropDown 2
 - __DropDown 3
 - _ShortCodes
 - _SiteMap
 - Мембраны
 - _Перечень всех статей
 - Механизмы равновесия и осанки
 - Регионы тела
 - _Обзор всех постов
 - _Video Documentation
 - Контакты
 

Рис. Швы затылочной кости. БЗО - большое затылочное отверстие, изнутри и снаружи - положение затылочной кости в шве, поперечная ось - ось краниосакральной подвижности затылочной кости. 
 
Соединение теменной и затылочной костей. 
Лямбдовидный затылочно-теменной шов, или sutura occipitoparietalis:Проходит от lambda до asterion. На своем протяжении шов меняет срез. От ламбды до стержневой затылочно-теменной точки, punctum occipitoparietale (POP), затылочная кость покрывает сверху теменную кость. После этого в нижней части шва от РОР до астериона теменная кость покрывает сверху затылочную.

Рис. Ast - астерион, Lb - лямбда, In - инион. Лямбдовидный шов соответственно, между Ast и Lb.

Рис. Затылочная кость зеленого цвета. Lb - лямбда, In - инион.
Соединение височной и затылочной костей 
Затылочно-сосцевидный шов, sutura occipitomastoidalis. 
Шов начинается на своде черепа от астериона и следует каудально, переходя на основание черепа до яремного отверстия. В затылочно-сосцевидном шве выделяют две части: вертикальную и горизонтальную. Вертикальная часть расположена на своде черепа, а горизонтальная на его основании. Кроме того, границей между вертикальной и горизонтальной частями шва служит мыщелко-чешуйчато-сосцевидный пивот, или PCSM, лежащий при переходе со свода черепа на его основание.
Вертикальная часть затылочно-сосцевидного шва идет от астериона до стержневой мыщелко-чешуйчато-сосцевидной точки, или punctum condilo squamomastoidalis (PCSM). На всём протяжении этой части шва височная кость покрывает затылочную.
Горизонтальная часть затылочно-сосцевидного шва продолжается от PCSM до яремного отростка. На протяжении этой части шва затылочная кость покрывает височную.

Рис. Расположение сигмовидного синуса (отмечен синим) и затылочно-сосцевидного шва (отмечен красным), заканчивающегося яремным отверстием (красный круг).

Рис. Расположение швов затылочной кости и смежных венозных синусов. SutPetroOcc - петро-базилярный шов, forJag - яремное отверстие, SutOccMast - затылочно-сосцевидный шов.
Хорошая подвижность в затылочно-сосцевидном шве и в следующих швах затылочной кости на основании черепа особенно важна для успешного дренирования крови по венозным синусам в яремную вену. Мы можем видеть, что сигмовидный синус проходит близко к вертикальной части затылочно-сосцевидного шва и лежит непосредственно под его горизонтальной частью. И как затылочно-сосцевидный шов заканчивается яремным отверстием и sutura petrojugularis, так и сигмовидный синус дренируется в яремную вену в яремном отверстии.
Каменисто-яремный шов, или петро-югулярный, или sutura petrojugularis. 
Представляет собой соединение яремного отростка затылочной кости в вентро-цефалическом направлении с яремной ямкой височной кости.
Яремное отверстие и соответственно, петро-югулярный шов проецируются на боковую поверхность черепа от переднего края сосцевидного отростка, и до височно-нижнечелюстного сустава.

Рис. Flac - рваное отверстие, FJug - яремное отверстие, PCSM - мыщелко-чешуйчато-сосцевидный пивот, Asterion.
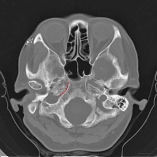
Каменисто-базилярный, или петро-базилярный шов, или sutura petrooccipitalis, . 
Образуется в результате соединения базилярной части (основания) затылочной кости с каменистой пирамидой височной кости. Каменисто-базилярный шов соединяет яремное отверстие (дорсально) с рваным отверстием, или for. lacerum (вентрально). Формируется скользящий тип соединения - шиндилез.

Рис. Петро-базилярный шов.
Рис. Каменисто-базилярный шов, sutura petrooccipitalis, или петро-базилярный шов отмечен красной линией. Источник
Состоит из 4 частей:
- затылочная чешуя (лат.squama occipitalis );
 - латеральные массы, или мыщелки (лат.partes laterales );
 - тело (базилярная часть, базион) (лат.pars basilaris ).
 
В месте соединения четырёх частей расположено большое затылочное отверстие(лат. foramen occipitale magnum ), соединяющее полость черепа с позвоночным каналом.
Представляет собой плоскую пластинку сферической формы, с наружной (выпуклой) и внутренней (вогнутой) поверхностью.
На наружной поверхности имеется:
- Наружный затылочный выступ (инион) — доступное пальпации возвышение в центре затылочной чешуи;
 - Затылочная площадка — часть чешуи выше иниона;
 - Наивысшая выйная линия — начинается от верхнего края иниона;
 - Верхняя выйная линия — на уровне затылочного выступа между наивысшей и нижней выйной линией;
 - Нижняя выйная линия — между верхней выйной линией и большим затылочным отверстием;
 - Наружный затылочный гребень — идёт вертикально от иниона к БЗО.
 
На внутренней поверхности имеются:
- Крестообразное возвышение — возвышение на внутренней поверхности затылочной кости, в месте перекреста внутреннего затылочного гребня и борозд верхнего сагиттального и поперечного синусов.
 - Внутренний затылочный выступ — соответствует месту слияния венозных синусов;
 - Внутренний затылочный гребень;
 - Борозда верхнего сагиттального синуса;
 - Две борозды поперечного синуса;
 - Базион — условная точка, соответствующая середине переднего края большого затылочного отверстия;
 - Опистион — опознавательная точка, соответствующая середине заднего края большого затылочного отверстия.
 
Рельеф внутренней поверхности обусловлен формой прилегающего к ней мозга и его оболочек.
Ограничивают большое затылочное отверстие с боковых краёв. На наружной поверхности имеются мыщелки для соединения суставными поверхностями первого шейного позвонка (атланта).
В составе латеральных масс различают:
- Яремные отростки — ограничивают с боковых сторон яремное отверстие, соответствуют поперечным отросткам позвонка;
 - Канал подъязычного нерва (подъязычный канал) — расположен спереди и сбоку от большого отверстия. Содержит XII черепной нерв;
 - Мыщелковый канал — расположен позади мыщелка, содержит эмиссарную вену;
 - Яремный бугорок — расположен над подъязычным каналом.
 
Самая передняя часть. Скошена спереди и сверху. В ней различают:
- Нижняя поверхность — несёт на себе глоточный бугорок, место прикрепления шва глотки;
 - Два наружных края — соединяются с пирамидами височной кости;
 - Верхняя поверхность (скат) — обращена в полость черепа.
 
Сочленения


Образует сочленения с костями свода и основания черепа. Является связующим звеном между черепом и позвоночником.
Связи
- Передняя атланто-затылочная мембрана: натянута между передней дугой атланта и основанием затылочной кости;
 - Задняя атланто-затылочная мембрана: между задней дугой атланта и задней частью большого затылочного отверстия. Входит в состав задней стенки позвоночного канала;
 - Латеральная атланто-затылочная связка: соединяет поперечный отросток атланта с яремным отростком затылочной кости;
 - Связка зуба: от верхушки зуба (отростка второго шейного позвонка) к переднему краю большого отверстия;
 - Крыловидные связки зуба: к латеральным краям большого отверстия;
 - Покровная мембрана: продолжение задней продольной связки в направлении переднего края большого отверстия, переходит в надкостницу костей основания черепа;
 - Поверхностный апоневроз: прикрепляется по верхней выйной линии;
 - Глубокий апоневроз: прикрепляется к основанию затылочной кости.
 
- К наивысшей затылочной линии: затылочное брюшко надчерепной мышцы;
 - К верхней затылочной линии: затылочная, трапециевидная, грудино-ключично-сосцевидная, ременная;
 - К нижней затылочной линии: малая задняя прямая мышца головы (к остистому отростку атланта), большая задняя прямая (к остистому отростку второго шейного позвонка), верхняя косая мышца головы (к поперечному отростку второго шейного позвонка).
 
- Намёт мозжечка: прикрепляется по краям поперечной затылочной борозды;
 - Серп мозга: прикрепляется задней частью к краям борозды верхнего сагиттального синуса;
 - Серп мозжечка: к внутреннему затылочному гребню.
 
- Через яремное отверстие проходят: IX (языкоглоточный), X (блуждающий), XI (добавочный) пары черепно-мозговых нервов;
 - Через канал подъязычного нерва на уровне мыщелков: XII пара ЧМН (подъязычный);
 - Спинальные корешки XI пары проходят через большое затылочное отверстие.
 
- На уровне внутреннего затылочного возвышения находится место слияния синусов (лат.confluens sinuum ), куда впадают поперечные, нижний затылочный, верхний сагиттальный и прямой синусы;
 - Нижний затылочный синус проходит по внутреннему затылочному гребню;
 - Верхний сагиттальный синус — в одноимённой борозде;
 - Поперечные синусы — в одноимённых бороздах;
 - Внутренняя яремная вена: проходит через яремное отверстие;
 - Нижний каменистый синус: в бороздке между пирамидами височной кости и латеральными массами затылочной;
 - Позвоночные артерии: проходят в полость черепа через большое затылочное отверстие. Менингеальные ветви кровоснабжают кости черепа и ТМО мозжечка;
 - Задняя менингеальная артерия (ветвь наружной сонной): проникает в череп через яремное отверстие, кровоснабжает ТМО задней черепной ямки.
 
Развитие


Затылочная кость состоит из двух частей:
- Межтеменная чешуя — часть кости выше верхней выйной линии, имеет мембранозное происхождение с двумя точками окостенения;
 - Окципут — вся остальная кость ниже верхней выйной линии, имеет хрящевое происхождение с шестью точками окостенения. Состоит из супраокципута (чешуя ниже верхней выйной линии) с двумя ядрами окостенения, инфраокципута (мыщелки и основание кости) с четырьмя ядрами окостенения. На уровне канала подъязычного нерва мыщелки разделены на переднюю 1/3 и задние 2/3. На уровне верхней выйной линии проходит шарнир Будена, разделяющий мембранозную часть кости от хрящевой.
 
Затылочная кость состоит из шести частей, разделённых хрящом:
- Чешуя;
 - Пара задних 2/3 мыщелков;
 - Пара передних 1/3 мыщелков;
 - Основание.
 
Слияние супра- и инфраокципута происходит в 5 лет. Слияние передних и задних частей мыщелков и основания заканчивается к 7 годам.
Кости черепа соединены между собой в основном при помощи непрерывных соединений — швов и синхондрозов. Лишь нижняя челюсть образует с височной костью парный височно-нижнечелюстной сустав.
Височно-нижнечелюстной сустав (articulatio temporomandibularis) образован нижнечелюстной ямкой височной кости и головкой мыщелкового отростка нижней челюсти (рис. 122, 123, табл. 23). Впереди ямки находится суставной бугорок. Между суставными поверхностями имеется двояковогнутый суставной диск (discus articularis) овальной формы, образованный волокнистым хрящом, который разделяет полость сустава на два отдела: верхний и нижний. В верхнем этаже суставная поверхность височной кости сочленяется с верхней поверхностью суставного диска. Синовиальная мембрана этого этажа (membrana synovialis superior) покрывает внутреннюю поверхность капсулы и прикрепляется по краям суставного хряща. В нижнем этаже сочленяются головка нижней челюсти и нижняя поверхность суставного диска. Синовиальная мембрана нижнего этажа (membrana synovialis inferior) покрывает не только капсулу, но и заднюю поверхность шейки мыщелкового отростка, находящуюся внутри капсулы.
Свободная суставная капсула на височной кости прикрепляется кпереди от суставного бугорка, а сзади — на уровне каменисто-барабанной щели. На мыщелковом отростке суставная капсула прикрепляется спереди по краю головки, а сзади на 0,5 см ниже головки нижней челюсти. Суставная капсула сращена по всей окружности с суставным диском. Капсула спереди тонкая, а сзади она утолщается и укрепляется несколькими связками (рис. 124). Веерообразная латеральная связка (ligamentum laterale), укрепляющая капсулу сустава с латеральной стороны, начинается от основания скулового отростка височной кости. Волокна этой связки идут кзади и книзу и прикрепляются на заднелатеральной поверхности шейки мыщелкового отростка. Клиновидно-нижнечелюстная связка (ligamentum sphenomandibulare), находящаяся с медиальной стороны от сустава, начинается на ости клиновидной кости и прикрепляется к язычку нижней челюсти. Шилонижне-челюстная связка (ligamentum stylomandibulare) начинается от шиловидного отростка височной кости и прикрепляется к внутренней поверхности заднего края ветви нижней челюсти вблизи ее угла. Связка располагается медиально и кзади от височно-нижнечелюстного сустава. Обе эти внесуставные связки отделены от суставной капсулы жировой клетчаткой.

Рис. 122. Височно-нижнечелюстной сустав, правый. Вид с латеральной стороны, скуловая дута удалена, суставная капсула вскрыта:
1 — Stylomandibular ligament; 2 — Hcad of mandible; 3 — Aiticular tuberclc; 4 — Joint capsule; Articular cap- sule; 5 — Articular disc; 6 — Tempora l bone, squamous part; 7 - Lateral pterygoid, upper hcad; superior liead; 8 — Lateral pterygoid, lowerhead; inferior head; 9 — Medial pterygoid; 10— Buccinator

Рис. 123. Височно-нижнечелюстной сустав, левый, капсула вскрыта, все окружающие ткани удалены, вил сбоку:
1 — Articular tubercle; 2 — Joint capsule; Articular capsulc; 3 — Articular disc; 4— H e ad of mandible; 5— Stylomandibular ligament
Височно-нижнечелюстной сустав эллипсовидный комплексный двухосный комбинированный. Правый и левый суставы функционируют совместно, совершая движения вокруг вертикальной и фронтальной осей. Вокруг фронтальной оси нижняя челюсть поднимается и опускается, вокруг вертикальной оси нижняя челюсть совершает боковые движения вправо и влево. Благодаря обширной суставной поверхности на височной кости суставные отростки вместе со всей нижней челюстью сдвигаются вперед и назад. Суставные отростки нижней челюсти при движении нижней челюсти вперед смещаются на суставные бугорки, а при движении челюсти назад возвращаются в исходное положение — в суставные ямки.
При опускании нижней челюсти подбородочный выступ движется вниз и несколько кзади, описывая дугу, обращенную вогнутостью кзади и кверху. В этом движении можно выделить три фазы. В первой (незначительное опускание нижней челюсти) движение вокруг фронтальной оси происходит в нижнем этаже сустава, суставной диск остается в суставной ямке. Во второй (значительное опускание нижней челюсти) на фоне продолжающегося шарнирного движения суставных головок в нижнем этаже сустава хрящевой диск вместе с головкой суставного отростка скользит вперед и выходит на суставной бугорок. Мыщелковые отростки нижней челюсти перемещаются вперед приблизительно на 12 мм. В третьей (максимальное опускание челюсти) движение происходит только в нижнем этаже сустава вокруг фронтальной оси, суставной диск в это время находится на суставном бугорке.
При дальнейшем сильном открывании рта возможны соскальзывание головки нижней челюсти с суставного бугорка кпереди, в подвисочную ямку, и вывих в височно-нижнечелюстном суставе. Механизм поднятия нижней челюсти повторяет в обратном порядке этапы ее опускания. Если нижняя челюсть смещается вперед, движение происходит только в верхнем этаже сустава. Суставные отростки вместе с суставными дисками скользят вперед и выходят на бугорки как в правом, так и в левом височно-нижнечелюстном суставе.
При боковом смещении нижней челюсти движения в правом и левом височно-нижнечелюстном суставах неодинаковы. Так, при движении нижней челюсти вправо в левом височно-нижнечелюстном суставе суставная головка вместе с диском скользит вперед и выходит на суставной бугорок, т.е. происходит скольжение в верхнем этаже сустава. В это время в правом суставе суставная головка вращается вокруг вертикальной оси, проходящей через шейку мыщелкового отростка. При движении нижней челюсти влево скольжение головки вместе с суставным диском вперед происходит в правом суставе, а поворот вокруг вертикальной оси — в левом.

Рис. 124. Внесуставные связки височно-нижнечелюстного сустава, правого, вид изнутри:
1 — Pterygoid process, laleral piate; 2 —- Pterygospinotis ligament; 3 — Mandibular notch; 4 — Stylomandibular ligament; 5 — Sph e nomandibular ligament; 6 — Pterygoid process, medial piate
Таблица 23. Височно-нижечелюстной сустав
Суставные
поверхности
Суставная капсула
Суставные связки
Тип сустава, оси движения
Функция и мышцы, действующие на сустав
Нижнечелюстная ямка височной кости, головка мыщелкового отростка нижней челюсти. Между суставными поверхностями имеется суставной диск
Тонкая, сращена по всей окружности с суставным диском
Латеральная связка соединяет основание скулового отростка височной кости с заднелатеральной поверхностью шейки мыщелкового отростка. Клиновидно-нижнечелюстная связка соединяет ость клиновидной кости с язычком нижней челюсти. Шилонижнечелюстная связка соединяет шиловидный отросток височной кости с внутренней поверхностью заднего края ветви нижней челюсти вблизи ее угла
Эллипсоидный комплексный двуосный комбинированный. Вокруг фронтальной оси - поднимание и опускание нижней челюсти, вокруг вертикальной оси - боковые движения челюсти вправо и влево
Поднимание нижней челюсти, мышцы: височная; поднимание угла нижней челюсти: жевательная, медиальная крыловидная. Выдвижение нижней челюсти вперед - обе латеральные крыловидные мышцы, при одностороннем сокращении - смещение нижней челюсти в противоположную сторону
Опускание нижней челюсти осуществляется при сокращении парных двубрюшной, челюстно-подъязычной и подъязычных мышц. Поднимание челюсти выполняется также парными височной, жевательной и медиальной крыловидной мышцами. Нижнюю челюсть выдвигают вперед латеральные крыловидные мышцы и передние пучки жевательных мышц, возвращают в исходное положение нижние (задние) пучки височных мышц. Боковые движения нижней челюсти вправо и влево выполняет при одностороннем сокращении латеральная крыловидная мышца противоположной стороны.
Капсула височно-нижнечелюстного сустава кровоснабжается ветвями верхнечелюстной артерии, венозная кровь оттекает в венозную сеть, оплетающую сустав, и далее в занижнечелюстную вену. Лимфа оттекает в глубокие околоушные, а затем в глубокие шейные лимфатические узлы. Иннервацию осуществляет ушно-височный нерв (ветвь нижнечелюстного нерва).
Непрерывные соединения костей черепа представлены фиброзными соединениями — швами у взрослого человека и межкостными перепонками (синдесмозами) у новорожденных. В области основания черепа имеются синхондрозы.
Кости крыши черепа соединяются между собой посредством зубчатых и чешуйчатых швов. Медиальные края теменных костей соединены между собой зубчатым сагиттальным швом (sutura sagittalis). Передние края теменных костей соединяются с задним краем лобной кости зубчатым венечным швом (sutura coronalis). Задние края теменных костей образуют с передним краем затылочной кости зубчатый ламбдовидный шов (sutura lambdoidea). Чешуя височной кости соединяется с теменной костью и большим крылом клиновидной кости, образуя чешуйчатый шов (sutura squamosa). В области лицевого отдела черепа швы ровные, плоские, или гармоничные (табл. 24).
На черепе имеются также непостоянные (временные) швы, образующиеся в результате позднего сращения или несращения отдельных точек окостенения. Так, например, иногда верхняя часть затылочной чешуи отделена поперечным швом целиком или частично от остальной части затылочной кости. Иногда не срастаются обе половины лобной кости. В этих случаях сагиттальный шов (так называемый метопический) начинается от глабеллы или несколько выше. При наличии межчелюстной, или резцовой, кости образуется резцовый шов. При удвоении теменной кости имеется межтеменной шов. Кроме того, встречаются непостоянные швы: чешуйчато-сосцевидный, клиновидно-челюстной (между крыловидным отростком клиновидной кости и телом верхней челюсти). Во второй половине жизни человека большинство швов полностью или частично зарастают. При этом соединительнотканная пластинка между костями черепа замещается костной тканью.
Хрящевые соединения, или синхондрозы, черепа (табл. 25) располагаются в области его основания, они образованы волокнистым хрящом. Обычно с возрастом у человека хрящевая ткань замещается костной. На месте клиновидно-затылочного синхондроза к 20 годам образуется синостоз.
Таблица 24. Плоские шв ы черепа
Название швов
Соединения костей (структуры)
Затылочно-сосцевидный (sut. occipitomastoidea)
Затылочный край сосцевидного отростка височной кости - с сосцевидным краем затылочной чешуи затылочной кости
Теменно-сосцевидный (sut. parietomastoidea)
Сосцевидный угол теменной кости - с теменной вырезкой чешуйчатой части и прилежащим участком сосцевидного отростка височной кости
Клиновидно-теменной (sut. sphenoparietalis)
Клиновидный угол теменной кости - с теменным краем клиновидной кости
Клиновидно-лобный (sut. sphenofrontalis)
Лобный край больших и малых крыльев клиновидной кости - с глазничной частью лобной кости
Клиновидно-решетчатый (sut. sphenoethmoidalis)
Клиновидный гребень клиновидной кости - с задним краем перпендикулярной пластинки решетчатой кости
Клиновидно-чешуйчатый (sut. sphenosquamosa)
Чешуйчатый край большого крыла клиновидной кости - с клиновидным краем чешуйчатой части височной кости
Клиновидно-сошниковый (sut. sphenovomeralis)
Нижняя поверхность тела и клюв клиновидной кости - с верхней поверхностью крыльев сошника
Клиновидно-скуловой (sut. sphenozygomatica)
Скуловой край большого крыла клиновидной кости - с лобным отростком скуловой кости
Лобно-носовой (sut. frontonasalis)
Носовой край лобной кости - с верхним краем носовых костей
Лобно-решетчатый (sut. frontoethmoidalis)
Глазничная и носовая части лобной кости - с соответствующими краями решетчатой кости
Лобно-верхнечелюстной (sut. frontomaxillaris)
Носовая часть лобной кости - с лобным отростком верхней челюсти
Лобно-слезный (sut. frontolacrimalis)
Глазничная часть лобной кости - с верхним краем слезной кости
Лобно-скуловой (sut. frontozygomatica)
Скуловой отросток лобной кости - с лобным отростком скуловой кости
Скуловерхнечелюстной (sut. zygomaticomaxillaris)
Скуловая кость - со скуловым отростком верхней челюсти
Решетчато-верхнечелюстной (sut. ethmoidomaxillaris)
Нижний край глазничной пластинки решетчатой кости - с глазничной поверхностью тела верхней челюсти
Решетчато-слезный (sut. ethmoidolacrimalis)
Глазничная пластинка решетчатой кости - со слезной костью
Височно-скуловой (sut. temporozygomatica)
Скуловой отросток височной кости - с височным отростком скуловой кости
Межносовой (sut. internasalis)
Обращенные друг к другу медиальные края носовых костей
Носоверхнечелюстной (sut. nasomaxillaris)
Латеральный край носовой кости - с лобным отростком верхней челюсти
Слезно-верхнечелюстной (sut. lacrimomaxillaris)
Нижний край слезной кости (сзади) - с глазничной поверхностью верхней челюсти
Слезно-раковинный (sut. lacrimoconchalis)
Нижний край слезной кости (спереди) - со слезным отростком нижней носовой раковины
Межверхнечелюстной (sut. intermaxillaris)
Альвеолярные отростки обеих верхних челюстей
Таблица 25. Синхондпозы чепепа
Название синхондрозов
Соединяемые кости
Клиновидно-затылочный (synchondrosis sphenooccipitalis)
Задняя поверхность тела клиновидной кости - с базилярной частью затылочной кости
Клиновидно-каменистый (synchondrosis sphenopetrosa)
Тело основной кости - с угловой остью каменистой части височной кости
Каменисто-затылочный (synchondrosis petrooccipitalis)
Биологическая библиотека - материалы для студентов, учителей, учеников и их родителей.
Наш сайт не претендует на авторство размещенных материалов. Мы только конвертируем в удобный формат материалы, которые находятся в открытом доступе и присланные нашими посетителями.
Если вы являетесь обладателем авторского права на любой размещенный у нас материал и намерены удалить его или получить ссылки на место коммерческого размещения материалов, обратитесь для согласования к администратору сайта.
Разрешается копировать материалы с обязательной гипертекстовой ссылкой на сайт, будьте благодарными мы затратили много усилий чтобы привести информацию в удобный вид.
Читайте также:


