Аденома внутрипеченочных желчных протоков. Холангиокарцинома.
Добавил пользователь Владимир З. Обновлено: 29.01.2026
Причины появления первичных опухолей печени и желчевыводящих путей
Причины появления первичных опухолей печени и желчевыводящих путей пока точно не определены, однако существуют некоторые факторы риска, общие для обеих категорий: Цирроз Хронический вирусный гепатит B Хронический вирусный гепатит C Гемохроматоз Хронические заболевания печени и желчевыводящих путей Хронические воспалительные заболевания кишечника Ожирение Курение Некоторые химические вещества, такие как афлатоксины, диоксин, нитрозамин, радон и асбест. Изменения обмена веществ, такие как диабет, гипертония, гиперхолестеринемия Генетическая предрасположенность (мутации генов KRAS, INK4a, p53 и EGFR) Аутоиммунные заболевания, такие как первичный склерозирующий или врожденный холангит, дефицит ферментов, таких как альфа-1-антитрипсин или тирозин.
Симптомы первичных опухолей печени и желчевыводящих путей
Как опухоли печени, так и опухоли желчевыводящих путей развиваются бессимптомно, особенно на начальных стадиях. Специфические симптомы проявляются с развитием заболевания и могут включать: Боль в верхней части брюшной полости с возможным охватом спины и плеч Увеличение живота Усталость Высокая температура Потеря веса Потеря аппетита Тошнота Рвота Ощущение сытости Желтуха Темный цвет мочи Светлый цвет кала
Диагностика первичных опухолей печени и желчевыводящих путей
При подозрении на первичную опухоль печени или желчевыводящих путей врач проводит объективный осмотр, включающий пальпацию живота, проверку на наличие асцита, контроль цвета кожи и глаз. Далее составляется анамнез пациента. После этого врач прописывает анализ крови для контроля уровня транзаминаз и билирубина. Кроме того, врач может провести оценку уровня альфа-фетопротеина (АФП) - белка, чье присутствие в теле взрослого в большинстве случаев указывать на наличии гепатоцеллюлярной карциномы Далее врач предписывает проведение диагностических тестов: УЗИ брюшной полости Компьютерная томография (КТ) Магнитно-резонансная томография (МРТ) Позитронно-эмиссионная томография (ПЭТ) Ангиография печени и/или холангиография ЭндоУЗИ Наконец, необходимо провести биопсию печени для анализа подозрительной ткани и постановки окончательного диагноза. После подтверждения наличия первичной опухоли печени или желчевыводящих путей необходимо определить стадию заболевания для выбора подходящего вида лечения. В данном случае существуют две системы определения стадии: система TNM, наиболее эффективная для прогнозирования у пациентов, прошедших удаление, и система BCLC, более подходящая в случае пациентов, не подвергавшихся хирургическому вмешательству. Система TNM основывается на следующих параметрах: T: распространение опухоли N: состояние лимфоузлов M: Присутствие метастазов После этих букв добавляются числа от 0 до 4 для прогрессивного обозначения тяжести заболевания. Система BCLC основывается на следующих параметрах: A: ранняя B: средняя C: поздняя
Лечение первичных опухолей печени и желчевыводящих путей
Лечение первичных опухолей печени и желчевыводящих путей зависит от ряда факторов, например, состояния здоровья пациента, стадии заболевания, числа опухолей, их расположения, размеров и возможного наличия метастазов. По этой причине выбор лечения должен производиться при участии многопрофильной команды специалистов. Обычно приоритет отдается хирургическому вмешательству, однако часто этот подход не может быть применен ввиду поздней стадии заболевания.
Аденома внутрипеченочных желчных протоков. Холангиокарцинома.
Аденома внутрипеченочных желчных протоков. Холангиокарцинома.
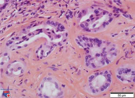
Аденома внутрипеченочных желчных протоков (доброкачественная холангиома, холангиома, гамартома, тубулярная аденома) — опухоль, представленная пролиферирующими мелкими желчными протоками, расположенными в фиброзной строме и выстланными эпителием, сходным с эпителием нормальных протоков. Чаще встречают у мужчин. Ряд исследователей относят данную патологию к гамартомам.
Макроскопически имеет вид солитарного узла вблизи капсулы печени, с четкими границами диаметром до 1 см. Реже описывают мультинодулярные формы. Микроскопически образована пролиферирующими желчными протоками, располагающимися в гиалинизированной или клеточной строме, нередко с воспалительной, преимущественно лимфоцитарной инфильтрацией. Эпителиальные клетки имеют кубическую форму, светлую цитоплазму и мелкое умеренно хромофильное ядро. В опухолевый процесс могут вовлекаться портальные тракты, однако паренхиматозные дольки остаются интактными. Нарушение дольковой архитектоники и инвазия в окружающие ткани отсутствуют. В большинстве наблюдений опухоль протекает бессимптомно. Описаны отдельные случаи возникновения на фоне аденомы внутрипеченочных желчных протоков холангиоцеллюлярного рака.
Цистаденома внутрипеченочных желчных протоков крайне редкая доброкачественная опухоль, представленная кистозными полостями, выстланными слизеобразующим эпителием, среди которого встречают бокаловидные клетки. Характерно образование папиллярных структур. Обычно опухоль локализуется на нижней поверхности печени, имеет четкие границы за счет наличия фиброзной капсулы, иногда выбухает в брюшную полость. В просветах кистозных полостей обнаруживают муцинозное содержимое или относительно прозрачную жидкость. Иногда отмечают связь с желчным протоком, и опухоль в этих случаях напоминает истинную папиллому протока.
Микроскопически характерны папиллярные структуры, покрытые уплощенным кубическим, цилиндрическим, иногда многоядерным эпителием, встречаются бокаловидные клетки. В сосочках могут формироваться вторичные железистые структуры. Желчь и гликоген отсутствуют. Слизь обнаруживают как в клетках, так и в отечной строме. Последняя, как правило, богата клетками, иногда в ней имеются гладкомышечные пучки. В редких случаях цистаденому трудно отличить от ее злокачественного аналога—цистаденокарцииомы желчных протоков. Дифференциальный диагноз основывается на обнаружении при цистаденокарциноме признаков инвазии в подлежащую строму, клеточной и ядерной атипии, большого числа фигур митоза.

Для плеоморфного варианта гепатоцеллюлярного рака характерен выраженный клеточный и ядерный полиморфизм, наличие причудливых гигантских и многоядерных клеток; для светлоклеточного варианта—наличие опухолевых клеток, цитоплазма которых богата гликогеном или липидами, что придает опухоли сходство со светлоклеточным раком почки. В классификации ВОЗ указывается также на возможность гепатоцеллюлярного рака из мелких опухолевых клеток со скудной цитоплазмой или клеток вытянутой формы.
Дифференциальный диагноз гепатоцеллюлярного рака приводят опухолеподобными процессами, гепатоцеллюлярной аденомой, холангиокарциномой и метастатическим поражением печени. При этом следует учитывать характерные признаки гепатоцеллюлярного рака. К ним относятся: наличие трабекулярных и ацинарных структур, напоминающих первичные трабекулы, разделенные синусоидами; продукция желчи (как внутри, так и вне опухолевых клеток), которая специфична для этого вида опухоли, однако обнаруживается не во всех случаях; наличие широкого поля эозинофильной гранулярной цитоплазмы; обнаружение в некоторых случаях в цитоплазме опухолевых клеток гликогена; выявление гиалина Маллори ШИК-отрицательных, неравномерно окрашиваемых внутриклеточных включений, описанных только в случаях гепатоцеллюлярного рака; наличие шаровидных гиалиновых телец, гомогенных, ШИК-положигельных интенсивно ацидофильных включений, расположенных как внеклеточно, так и внутриклеточно (обнаруживают в гепатоцеллюлярных раках и редко в других опухолях); отсутствие секреции слизи.
Холангиокарцинома (рак внутрипеченочных желчных протоков, холангиома, злокачественная холангиома)—злокачественная опухоль печени, представленная клетками, напоминающими эпителий желчных протоков. Встречается в возрасте 50—70 лет, одинаково часто у мужчин и женщин. Чаще локализуется в правой доле печени, редко сочетается с циррозом печени.
Макроскопически опухолевая ткань серого или серовато-белого цвета, плотная, преимущественно узловатого строения. Микроскопически опухоль чаще всего выглядит как высокодифференцированная аденокарцинома с хорошо или умеренно развитой стромой. Опухолевые клетки имеют преимущественно кубическую или уплощенную форму. Реже обнаруживается аденокарцинома различной степени зрелости с нежной соединительнотканной стромой. В этих случаях опухолевые железы обычно выстланы высоким цилиндрическим эпителием. Нередко опухоль представлена солидными пластами, напоминающими трабекулоподобные структуры, однако в отличие от гепатоцеллюлярного рака они разделены не синусоидами, а прослойками соединительной ткани.
Иногда встречается холангиокарцинома с формированием папиллярных структур и очень редко в виде слизистой аденокарциномы с большим количеством внеклеточной слизи или перстневидно-клеточной с преобладанием клеток, заполненных слизью. Описаны редкие наблюдения синдрома Кароли—холангиокарциномы на фоне врожденных кистозно-расширенных протоков. Согласно классификации ВОЗ, в эту группу включена выделенная P. Steiner в 1956 г. холангиоцеллюлярная карцинома, состоящая из мелких кубовидных клеток, формирующих тяжи с небольшими просветами. Опухоль обладает развитой стромой, по своему строению опухоль напоминает пролиферирующие холангиомы (канальцы Геринга).
Дифференциальный диагноз с гепатоцеллюлярным раком основан на обнаружении при холангиокарциноме внутри- и внеклеточной слизи, отсутствии внутриклеточных скоплений желчного пигмента. Наличие многоядерных гигантских клеток не характерно для холангиокарциномы, изредка в ней могут встречаться двуядерные клетки. Дифференцировать холангиокарциному от метастазов или прорастания аденокарциномы желчного пузыря, внепеченочных желчных протоков или поджелудочной железы на основании только микроскопического исследования невозможно. Проводя дифференциальный диагноз со склерозирующнм холангитом, следует обращать внимание на характер воспалительного инфильтрата, а также на атипию и полиморфизм клеток, отсутствующие при холангите.
Редко встречающимися формами рака являются железисто-плоскоклеточный и плоскоклеточный рак, источником развития которых считают метаплазированный эпителий желчных протоков.
Информация на сайте подлежит консультации лечащим врачом и не заменяет очной консультации с ним.
См. подробнее в пользовательском соглашении.
Рак желчных протоков
Рак желчных протоков (холангиокарцинома)– злокачественная опухоль, происходящая из эпителия желчных протоков. Рак внепеченочных желчных протоков встречается значительно чаще рака внутрипеченочных желчных протоков.
Акции
Полное обследование на онкологические заболевания для мужчин и женщин.
Онкоконсилиум может потребоваться как при лечении в «СМ-Клиника», так и пациентам других медицинских учреждений с целью получения альтернативного мнения.
«СМ-Клиника» предоставляет своим пациентам предоперационное обследование со скидкой до 72%!
Консультация врача-хирурга по поводу операции бесплатно!
Содержание статьи:
Холангиокарцинома желчных протоков — это злокачественное новообразование, состоящее из патологически измененных клеток желчных протоков. В большинстве случаев рак желчных протоков развивается у мужчин среднего и пожилого возраста. Заболевание чаще встречается в странах, где распространены паразитарные патологии печени. Всего регистрируется 1-2 случая данного типа рака на сто тысяч населения.
Классификация холангиокарциномы
По локализации различают следующие формы патологии:
По типу роста выделяют следующие виды опухоли:
- инфильтративная;
- экзофитная;
- полиповидная;
- смешанная.
Причины рака желчных протоков и факторы риска
К сожалению, несмотря на многолетнее изучение, точные причины развития данного типа рака неизвестны. Существует ряд факторов, которые могут спровоцировать развитие заболевания. К ним относят:
- склерозирующий первичный холангит — это хроническое заболевание неясной этиологии;
- болезнь Кароли — врожденная патология, при которой происходит образование большого количества внутрипеченочных кист;
- гепатоз печени;
- аденомы;
- сахарный диабет;
- паразитарные болезни печени;
- работа на вредном производстве;
- ВИЧ-инфекция;
- синдром Линча — это наследственная патология, которая повышает риск развития онкологических заболеваний органов пищеварения;
- гепатит В, С;
- болезнь Крона — тяжелое хроническое заболевание, при котором наблюдается воспаление слизистых оболочек пищеварительного тракта;
- цирроз печени;
- вредные привычки.
Симптомы рака желчных протоков
Одним из главных симптомов холангиокарциномы является механическая желтуха, которая сопровождается сильным кожным зудом. Кал у пациента обесцвеченный. Болей перед желтухой обычно нет, приступы колики случаются редко. При быстрой закупорке просвета протока опухолью перед желтухой могут возникать приступы боли.
К симптомам и признакам рака желчных протоков также относят диспепсический синдром, снижение аппетита, потерю веса. Температура тела у части пациентов остается в пределах нормы, у части повышается. В результате застоя желчи нарушается работа печени. Она при пальпации безболезненна, увеличена, имеет гладкий край.
Одним из методов дифференциальной диагностики желтух является пальпация желчного пузыря. При этом опухоль в большинстве случаев не пальпируется, так как расположена в глубине брюшной полости и имеет небольшие размеры. При сдавливании новообразованием воротной вены развивается водянка брюшной полости.
Стадии холангиокарциномы
Выделяют четыре стадии заболевания:
Первая стадия. Новообразование находится ниже слияния печеночных протоков, без вовлечения в патологический процесс места их соединения (конфлюенса).
Вторая стадия. Опухоль по-прежнему находится ниже слияния протоков, но распространяется на место их соединения.
Третья стадия. Новообразование продолжает разрастаться и постепенно поражает левый и правый печеночный проток.
Четвертая стадия. Поражаются сегментарные протоки.
Согласно классификации по TNM выделяют следующие типы и степени заболевания:
| T0 | Никаких видимых признаков наличия новообразования нет |
| Tis | Очаг поражения локализован в пределах желчных протоков |
| T1 | Новообразование все еще находится в пределах пораженного органа, начинает прорастать в мышечную и фиброзную ткань |
| T2 | Очаг поражения распространяется за пределы протоков, опухоль начинает прорастать в близлежащие ткани печени |
| T3 | Новообразование распространяется на печеночные артерии |
| T4 | Опухоль прорастает в протоки печени либо в патологический процесс вовлекаются близлежащие сосуды |
Диагностика холангиокарциномы
Клинические признаки заболевания не являются специфическими, поэтому поставить диагноз рак желчных путей, основываясь только на данных анамнеза и клинического осмотра, не представляется возможным.
Пациенту дополнительно назначают следующие лабораторные и инструментальные диагностические исследования:
- (биохимический). Дает информацию о наличии в печени патологического процесса, но не позволяет поставить точный диагноз. В крови повышен уровень щелочной фосфатазы, билирубина. Показатели АСТ, АЛТ, а также концентрация альбуминов при данном виде онкологии обычно находятся в пределах нормы. холангиокарциномы. Имеет большое диагностическое значение. У пациентов выявляют антиген СА 19-9 (этот антиген также может синтезироваться при холангите и раке поджелудочной железы). Если уровень маркера у больных с хроническим холангитом сильно повышается (до 100 U/ml и больше), то, скорее всего, это говорит о развитии холангиокарциномы.
- УЗИ желчного пузыря и печени. Назначают на начальных этапах диагностики. При помощи данного метода можно обнаружить патологическое расширение протоков в некоторых местах, а также выявить новообразование большого размера.
- Допплерография сосудов печени. Выявляют нарушения кровотока в очаге поражения, но небольшие опухоли при помощи данной методики обнаружить не удается.
- КТ желчевыводящих путей. Более информативный метод диагностики. При помощи КТ можно увидеть опухоли небольшого размера, диагностировать увеличение регионарных лимфоузлов.
- МСКТ. Определяют степень закупорки желчевыводящих путей.
- ПЭТ КТ. Усовершенствованная методика. С ее помощью можно увидеть новообразования узлового типа размером менее одного сантиметра. Но инфильтрационные формы заболевания при помощи данной методики выявить сложно.
- Эндоскопическая ретроградная холецистография. Используется для уточнения диагноза. С ее помощью можно точно определить места закупорки желчных протоков и взять образец тканей для проведения гистологического исследования. . На сегодняшний день является наиболее информативным методом диагностики онкологических патологий желчных протоков и печени. При проведении данного исследования не используются контрастные вещества, метод неинвазивный, поэтому безопасный для здоровья пациента. На МРТ можно увидеть сосуды и желчные протоки в трехмерном изображении, правильно оценить стадию болезни, выявить новообразования небольших размеров, определить тактику дальнейшего лечения и дать прогноз.
Методы лечения холангиокарциномы
Выбор тактики терапии при раке протока желчного пузыря зависит от степени запущенности заболевания, локализации новообразования, возраста пациента, его общего самочувствия, наличия сопутствующих заболеваний.
Хирургические методы
Оперативное вмешательство при холангиокарциноме печени — это единственный вариант добиться полного выздоровления пациента. Но проведение радикальной операции возможно лишь в том случае, когда патология была выявлена на ранней стадии, опухоль имеет небольшие размеры и не вышла за пределы протоков. К сожалению, на этой стадии болезнь диагностируют крайне редко и обычно случайно, при проведении обследования по поводу другой патологии.
Вид оперативного вмешательства зависит от локализации очага поражения. При раке внутрипеченочных желчных протоков проводится частичная резекция печени. Оставшаяся часть органа пи этом продолжает функционировать.
При раке внепеченочных желчных протоков показано удаление очагов поражения, лимфоузлов, а также желчного пузыря, части печени, 12-ти перстной кишки, поджелудочной железы. Это сложная операция, которая может привести к развитию тяжелых осложнений. Поэтому выполнять ее должен хирург с большим практическим опытом проведения подобных хирургических вмешательств. Если диагностирован один узел небольшого размера, но при этом сильно нарушена работа печени (например, из-за цирроза), то проводится трансплантация.
Паллиативные операции
Проводятся, если радикальное вмешательство невозможно. Это может быть установка в желчные протоки стентов, наружно-внутренне и наружное дренирование. Специалисты нашей клиники имеют большой практический опыт проведения подобных операций.
Лучевая терапия
Может быть назначена до или после операции с целью уменьшения размеров рака желчных протоков печени и профилактики рецидивов заболевания. При запущенной онкологии радиотерапия может использоваться в качестве самостоятельного метода при проведении паллиативного лечения, направленного на облегчение самочувствия больного и повышение качества его жизни. Чаще всего используют внешние источники облучения. В ряде случаев применяют внутрибилиарную брахитерапию (пациенту в желчные пути на короткое время вводят специальный зонд, который является источником излучения).
ХИМИОТЕРАПИЯ
Также может быть назначена до или после операции либо самостоятельно, на последних стадиях холангиоцеллюлярного рака для облегчения страданий пациента. Химиотерапия может быть системной или внутриартериальной, когда растворы препаратов вводятся непосредственно в печеночную артерию. В результате в кровь попадает небольшое количество препарата, благодаря чему дозировку можно увеличить без риска развития побочных эффектов.
Химиолучевая терапия
Сочетание двух вышеперечисленных методик. Это позволяет более эффективно уничтожать клетки опухоли. Но при таком лечении велик риск развития серьезных побочных эффектов.
Прогноз при холангиокарциноме печени
Средняя продолжительность жизни при раке желчных протоков составляет два года. Пятилетняя выживаемость для дистальной формы патологии составляет 20-30%, для портальной и внутрипеченочной холангиокарциномы — 10%.
После радикального хирургического вмешательства и при отсутствии метастазов пятилетняя выживаемость при воротной холангиокарциноме составляет 30-65%, дистальной — 40-60%, внутрипеченочной — 36-43%.
Профилактика
Специфической профилактики заболевания не существует. Снизить риск развития онкологического поражения желчных протоков можно, выполняя следующие рекомендации:
- правильное питание;
- контроль веса;
- соблюдение режима труда и отдыха;
- избегание стрессовых ситуаций;
- отказ от малоподвижного образа жизни, регулярные прогулки на свежем воздухе;
- отказ от вредных привычек;
- соблюдение техники безопасности при работе на вредном производстве;
- вакцинация от вирусного гепатита;
- регулярное, не реже раза в год, прохождение профилактических осмотров, это поможет выявить возможные патологические изменения в желчных протоках на ранней стадии, что существенно облегчит лечение и улучшит прогноз.
Михайлов Алексей Геннадьевич оперирующий онколог, врач высшей квалификационной категории, к.м.н. стаж: 21 год
Информация в статье предоставлена в справочных целях и не заменяет консультации квалифицированного специалиста. Не занимайтесь самолечением! При первых признаках заболевания необходимо обратиться к врачу.
Холангиокарцинома (Рак внутрипеченочного желчного протока)
Холангиокарцинома (рак внутрипеченочного желчного протока) – злокачественная опухоль, развивающаяся из клеток желчных протоков и желчных ходов печени.
Внимание!
Здесь вы сможете выбрать врача, занимающегося лечением Холангиокарцинома (Рак внутрипеченочного желчного протока) Если вы не уверены в диагнозе, запишитесь на прием к терапевту или врачу общей практики для уточнения диагноза.
Статьи на тему Холангиокарцинома (Рак внутрипеченочного желчного протока):
Причины холангиокарциномы
Распространенность
Симптомы холангиокарциномы
Лечение холангиокарциномы
Какой врач лечит Холангиокарцинома (Рак внутрипеченочного желчного протока)
Юлия Юрьевна занимается лечением травм и заболеваний молочных желез, предраковой патологии груди, проводит осмотр желез у беременных, предоставляет рекомендации по грудному вскармливанию. Ведет прием пациентов с дисгормональными пролиферативными процессами. Участвует в подготовке женщин к искусственному оплодотворению
Профессор, доктор медицинских наук, врач-онколог онкологической клиники "Инновация", автор 20 научных изобретений. Специалист в хирургии опухолей в колопроктологии, ЖКТ, нейроэндокринных опухолей.
Направление работы Антона Антоновича: микронейрохирургическое и комбинированное лечение грыж межпозвонковых дисков, опухолей, метастатических поражений и доброкачественных опухолей головного и спинного мозга. Врач также менеджер и общественный деятель в сфере здравоохранения, ассистент опорной кафедры нейрохирургии Национального университета здравохранения им. П.Л. Шупика. Работал в отделениях ургентной помощи, нейрореанимации, нейротравматологии и нейроонкологии. В лечении следует лучшим мировым протоколам NCCN и ESMO. Шкиряк А.А. является соавтором многих научных работ, сертифицированный специалист по проведению клинических исследований "GCP and clinical trial regulations". Медицинский эксперт программ на ведущих телеканалах Украины.
Причины холангиокарциномы
В странах, где распространены соответствующие паразитарные гельминтозы, развитие злокачественной опухоли может быть спровоцировано заражением печеночными трематодами и другими паразитами. Заболевание в некоторых случаях развивается у людей, которые продолжительный срок болеют неспецифическим язвенным колитом, склерозирующим холангитом, болезнью Крона.
К факторам риска относят:
- воздействие на организм химических средств (к примеру, диоксида тория);
- наличие наследственных заболеваний желчевыводящих путей (к примеру, кисты общего желчного протока);
- хронический вирусный гепатит В и С;
- алкогольное поражение печени; ;
- аденому желчных путей;
- недостачу альфа-1-антитрипсина.
Распространенность
На 100 тыс. человек диагноз «рак внутрипеченочного желчного протока» ставят 5 пациентам. Болезни предрасположены люди возрастом старше 60. Среди пациентов в 1,5 раза больше мужчин. Холангиокарцинома достаточно распространена в странах Дальнего Востока, где распространены возбудители болезни.
Симптомы холангиокарциномы
Даже крохотная опухоль в желчных протоках может привести к заболеванию, симптомами которого являются: желтуха; отсутствующий аппетит; генерализованный зуд кожи; снижение массы тела; наличие ноющих болей в правом подреберье и эпигастрии.
С развитием инфекции добавляется еще один симптом – повышенная температура тела.
Заболевание диагностируется с помощью биохимического анализа крови, ультразвукового исследования (при котором выявляется опухоль и расширение протоков), компьютерной томографии (для оценки размеров опухоли и лимфатических внутрибрюшных узлов), внутрипротоковой ультрасонографии и других распространенных методик.
Лечение холангиокарциномы
Чаще всего лечение практически не дает эффекта. Улучшения незначительны, из-за чего в течение нескольких месяцев после постановки диагноза пациенты умирают. Но если диагностировать опухоль на раннем этапе, есть возможность удалить ее хирургическим путем, что позволяет надеяться на более длительное выживание. Допускается трансплантация печени, а также, при отсутствии возможности оперативного вмешательства – дренирование билиарного тракта, что улучшает отток желчи и избавляет от зуда.
Для того чтобы правильно и вовремя диагностировать рак внутрипеченочного желчного протока и обеспечить лечение пациента, важно обратиться к опытному врачу-онкологу. Выбрать лучшего специалиста по отзывам и рейтингу и записаться к нему на прием можно, используя возможности сайта Doc.ua.
Опухоли желчного пузыря и желчных протоков
Опухоли желчного пузыря и желчных протоков могут приводить к билиарной обструкции. Клиническое течение может быть бессимптомным, однако чаще возникают признаки, ассоциированные непосредственно с нарушением тока желчи. Диагноз устанавливается на основании результатов ультрасонографии в сочетании с КТ-холангиографией или магнитно-резонансной холангиопанкреатографией. Прогноз неблагоприятный. Дренаж желчи часто уменьшает кожный зуд, боль и возвратный сепсис.
Холангиокарценома и другие опухоли желчного протока встречаются редко (1–2 случая на 100 000 человек) и являются, как правило, злокачественными. Холангиокарцинома поражает преимущественно внепеченочные желчные протоки: 60–70% случаев возникает в области ворот печени (опухоль Клацкина), около 25% – в дистальных сегментах протоков, в остальных случаях поражается печень. Факторы риска включают пожилой возраст, первичный склерозирующий холангит Первичный склерозирующий холангит (ПСХ) Первичный склерозирующий холангит (ПСХ) - это очаговое воспаление, фиброз и стриктуры желчных протоков, причина возникновения которых неизвестна. Однако в 80% случаев он также сочетается с воспалительным. Прочитайте дополнительные сведения , инвазию печеночной двуусткой и кисты общего желчного протока.
Карцинома желчного пузыря встречается редко (2,5/100 000). Она чаще наблюдается у американских индейцев, пациентов с большими камнями ( > 3 см) и кальцификацией стенок желчного пузыря на фоне хронического холецистита Хронический холецистит Хронический холецистит – это длительное воспаление желчного пузыря, практически всегда вызванное камнями. (См. также Обзор функций желчи (Overview of Biliary Function)). Хронический холецистит. Прочитайте дополнительные сведения (фарфоровый желчный пузырь). Практически у всех пациентов (70–90%) имеются конкременты Холелитиаз Холелитиаз – наличие одного или нескольких камней в желчном пузыре. В развитых странах около 10% взрослых и около 20% лиц > 65 лет имеют камни в желчном пузыре. Заболевание чаще протекает бессимптомно. Прочитайте дополнительные сведения . Средняя продолжительность жизни составляет 3 месяца. Лечение возможно при раннем обнаружении рака (например, случайно при выполнении холецистэктомии).
Полипы желчного пузыря обычно протекают бессимптомно, являются доброкачественными выпячиваниями слизистой желчного пузыря в его просвет. Большинство из них 10 мм в диаметре и состоит из эстеров холестерина и триглицеридов; присутствие полипов носит название холестероза. Их обнаруживают приблизительно в 5% случаев при ультрасонографии. Другие, реже встречающиеся доброкачественные полипы включают аденомы (аденомиоматоз) и воспалительные полипы. Маленькие полипы желчного пузыря, которые обнаруживают случайно, не требуют лечения. Однако для полипов > 10 мм в диаметре следует рассмотреть возможность хирургического вмешательства.
Симптоматика опухолей желчного пузыря и желчных протоков
Большинство пациентов с холангиокарциномой манифестируют заболевание зудом и безболевой обструктивной желтухой Желтуха Желтуха – это окрашивание кожи и слизистых в желтый цвет, вызванное гипербилирубинемией. Желтуха становится видимой при повышении билирубина примерно от 2 до 3 мг/дл (34–51 мкмоль/л). (См. также. Прочитайте дополнительные сведенияКлинические проявления карциномы желчного пузыря варьируются от случайных результатов при холецистэктомии, выполненной с целью снятия билиарной боли на фоне холелитиаза, до тяжелого заболевания с постоянной болью, потерей веса, очагом в брюшной полости или обструктивной желтухой.
Полипы желчного пузыря в большинстве случаев бессимптомны.
Диагностика опухолей желчного пузыря и желчных протоков
Ультрасонографии (иногда эндоскопическая ультрасонография) с последующей КТ-холангиографией либо магнитно-резонансной холангиопанкреатографией Магнито-резонансная томография (МРТ) (МРХПГ)
Иногда – эндоскопическая ретроградная холангиопанкреатография (ЭРХПГ)
Холангиокарциному и карциному желчного пузыря подозревают при необъяснимой обструкции внепеченочных желчных протоков. Результаты лабораторных тестов отражают степень выраженности холестаза. Пациентам, имеющих первичный склерозирующий холангит Первичный склерозирующий холангит (ПСХ) Первичный склерозирующий холангит (ПСХ) - это очаговое воспаление, фиброз и стриктуры желчных протоков, причина возникновения которых неизвестна. Однако в 80% случаев он также сочетается с воспалительным. Прочитайте дополнительные сведения , с целью исключения холангиокарциномы периодически проводят исследование сыворотки крови на карциноэмбриональный антиген (СЭА) и раковый антиген 19-9 (CA-19-9).
Диагноз ставится на основании результатов ультрасонографии (или эндоскопической ультрасонографии) вслед за которой обычно проводят МРХПГ (см. Визуальные исследования печени и желчного пузыря Визуальные исследования печени и желчного пузыря Визуальные методы исследования позволяют точно диагностировать патологию билиарного тракта и важны для определения очаговых повреждений печени (например, абсцесс, опухоль). Они ограничены в. Прочитайте дополнительные сведения ). Иногда проводится КТ, которое может дать больше информации, чем ультрасонография, особенно, в диагностировании карциномы желчного пузыря. Если эти методы не дают результатов или при подозрении на холангиокарциному, то выполняется эндоскопическая ретроградная холангиопанкреатография ( РХПГ) Эндоскопическая ретроградная холангиопанкреатография (ЭРХПГ) Визуальные методы исследования позволяют точно диагностировать патологию билиарного тракта и важны для определения очаговых повреждений печени (например, абсцесс, опухоль). Они ограничены в. Прочитайте дополнительные сведения Эндоскопическая ретроградная холангиопанкреатография позволяет не только обнаружить опухоль, но и выполнить брашбиопсию для подтверждения диагноза, при которой нет необходимости делать пункционную биопсию с УЗ- или КТ-проводником. КТ с контрастным веществом помогает в определении стадии заболевания.
Открытая лапаротомия бывает нужна для определения распространенности патологического процесса, что дает возможность выбрать лечебную тактику.
Лечение опухолей желчного пузыря и желчных протоков
При холангиокарциноме – стентирование (или другие процедуры восстановления пассажа желчи), изредка – резекция
При карциноме желчного пузыря лечение, как правило, симптоматическое
При холангиокарциноме стентирование или другие процедуры восстановления пассажа желчи помогают уменьшить зуд, желтуху и иногда – слабость.
Внутрипротоковая холангиокарцинома, с КТ-признаками распространения стентируется с помощью чрескожной транспеченочной холангиографии Чрескожная транспеченочная холангиография (ЧТХ) Визуальные методы исследования позволяют точно диагностировать патологию билиарного тракта и важны для определения очаговых повреждений печени (например, абсцесс, опухоль). Они ограничены в. Прочитайте дополнительные сведения или эндоскопической ретроградной холангиопанкреатографии (ЭРХПГ). Дистально расположенная холангиокарцинома является показанием к эндоскопическому стентированию при эндоскопической ретроградной холангиопанкреатографии. Если холангиокарцинома локализована, диагностическая операция определяет резектабельность путем хирургической резекции или панкреатодуоденэктомии.
Большинство опухолей желчного пузыря лечат симптоматически.
Основные положения
Рак желчных путей (как правило, холангиокарцинома или рак желчного пузыря) встречается редко.
Следует подозревать рак, если пациенты имеют необъяснимые внепеченочные желчные обструкции или объемные образования в брюшной полости.
Диагноз ставится на основании результатов ультрасонографии с последующей МРХПГ.
Лечить рак следует симптоматически (например, стентированием или шунтированием обструкций при холангиокарциноме); иногда, оправданным является метод резекции.
Рассмотрите возможность трансплантации печени отобранным пациентам с внутрипротоковой холангиокарциномой.
Авторское право © 2022 Merck & Co., Inc., Rahway, NJ, США и ее аффилированные лица. Все права сохранены.
Читайте также:
